Dependence of the 8-plate position inhemiepiphysiodesis on the X-ray parameters of the epimetaphyseal bone junction
- Authors: Kenis V.M.1, Morenko E.S.1, Sapogovsky A.V.1
-
Affiliations:
- The Turner Scientific Research Institute for Children’s Orthopedics
- Issue: Vol 6, No 2 (2018)
- Pages: 37-43
- Section: Original papers
- Submitted: 22.06.2018
- Accepted: 22.06.2018
- Published: 22.06.2018
- URL: https://journals.eco-vector.com/turner/article/view/8987
- DOI: https://doi.org/10.17816/PTORS6237-43
- ID: 8987
Cite item
Abstract
Introduction. To correct axial deformities in children at the knee joint level, the method of “guided growth” using the 8-plate is applied. Despite the widespread use of this method, the toolkit for its implementation was developed mainly for patients with idiopathic deformities and does not take into account the features of the epimetaphyseal bone junction in children with skeletal dysplasias.
Aim. To develop X-ray criteria that characterize anatomical features of the epimetaphyseal region of the bone to predict possible difficulties associated with the position of the metal structure in hemiepiphysiodesis.
Materials and methods. We developed calculations of the X-ray parameters of the epimetaphyseal junction of the bone (angle of the epimetaphyseal junction and index of the epimetaphyseal junction) in 58 patients (107 lower limbs) with axial deformities in the frontal plane at the knee level in skeletal dysplasias (main group). The control group included 50 children (67 lower limbs) with identical deformities but without a primary lesion of the growth plate in which similar calculations of the X-ray parameters were performed. In stage I of the study, all patients were admitted to the Department of the Turner Research Institute for Children’s Orthopedics for temporary hemiepiphysiodesis using the 8-plate to correct axial deformities of the lower extremities at the knee joint level. In stage 2, the metal structure position was evaluated after the operative treatment that adhered the plate to the bone metaphysis. A total of 255 plates were fixed: the hemiepiphysiodesis of the femur was performed in 138 cases and of the tibia in 117. Pearson correlation coefficient analysis was performed by using IBM SPSS Statistics version 23 software.
Results. Among the patients who underwent surgical interventions using the method of guided growth, incomplete adherence of the plate to the bone was observed in 43 (17.3%) of 255 fixed plates because of the anatomical features of the epimetaphyseal region and more often in patients with skeletal dysplasias.
Conclusion. We developed X-ray criteria for the angle of the epimetaphyseal junction and the index of the epimetaphyseal junction that are recommended for prediction of the position of metal structures.
Full Text
Introduction
Axial deformities at the level of the knee joint represent a common problem in pediatric patients with systemic dysplasia of the skeleton [1]. Different surgical treatments are used to correct these deformities, such as the “controlled growth” method that uses placement of figure-of-eight plates [2, 3]. This method is a reliable, effective, and simple technique to correct axial deformities of the lower limbs in children during bone growth [4–6].
This method was initially used to correct idiopathic and posttraumatic deformities of the lower limbs [4, 7]. However, subsequent indications for its use have significantly expanded. To date, “controlled growth” is actively used to correct axial deformities in pediatric patients with systemic dysplasia of the skeleton when there are growth disorders or development of bone and cartilaginous tissue [1, 8, 9].
Installing the figure-of-eight plates involves passing a navigation wire through the growth zone, then fixing the plate to the bone in the epimetaphyseal junction using cannulated screws that are drawn along the guide wires [7]. Parallelism of the screws is not a prerequisite for the correct installation of the hardware [10].
If installation of the hardware is violated, as well as certain anatomical aspects of the epimetaphyseal region of the bone, there may be nuances of implant installation in this zone in the form of incomplete adjoining of the metaphyseal part of the plate to the bone.
The practical importance of this phenomenon concerning the efficiency of correction has not been studied to date; however, the efficiency of the method is believed to be decreasing. It is also thought that installation results in a concentrated area of stress outside the immersed portion of the metaphyseal screw in the bone, which can lead to destruction of the screw [11].
Anatomical factors predisposing these difficulties in plate installation include the epimetaphyseal junction. To date, no radiographic indicators have been developed to predict these problems at the planning stage of surgical intervention.
Aims. The present study aimed to develop radiographic criteria characterizing the anatomical aspects of the epimetaphyseal region of the bone, predict possible difficulties associated with the location of the hardware, and assess the effect of these aspects on the rate of deformity correction in hemiepiphiseosis.
Materials and methods
We analyzed the results of examinations and treatment of patients with axial deformities of various etiologies at the knee joint level that were observed in the Turner Scientific and Research Institute for Children’s Orthopedics from 2010 to 2016. The study consisted of two stages. In the first stage, radiographs of the patients’ lower limbs were analyzed to identify the anatomical aspects of the epimetaphyzareal zone before performing temporary hemiepiphysiodesis with plates to correct valgus and varus deformities of the lower limbs at the level of the knee joint. The study group consisted of 58 patients (107 limbs) with systemic dysplasia of the skeleton, with 188 plates installed for temporary hemiepiphysiodesis. The control group consisted of 50 patients, including 22 children (37 limbs) with idiopathic deformities, 11 pediatric patients (11 limbs) with posttraumatic deformities, nine pediatric patients (11 limbs) with developmental defects of the lower limbs, and eight pediatric patients (eight limbs) with Blount disease. A total of 67 plates were installed in the control group patients. The ages of the children in the study and control groups were 8.3 ± 2.4 years and 9.1 ± 2.9 years, respectively.
We developed the following parameters, calculated using the radiographs: the angle of the epimetaphyseal junction (AEJ) and the index of the epimetaphyseal junction (IEJ).
The AEJ was constructed by drawing a straight line through the maximally protruding points of the proximal metaphysis of the tibia bone and the distal metaphysis of the femoral bone (A and B). A circle was then drawn with the center at point A or B, depending on the zone of interest, with a radius of 10 mm (diameter 20 mm). At the intersection of this circle with the metaphysis of the bone, point C was determined. Points A (B) and C were connected by a straight line, and the value of the ABC angle (the AEJ) was determined (Fig. 1a).
Fig. 1. Schemes of calculation of the proposed indicators on the radiographs of the knee in a direct projection: a - calculation of the angle of the epimetaphyseal transition; b - calculation of the epimetaphyseal transition index
The IEJ was calculated by drawing a straight line through the maximum protruding points of the metaphysis (A and B) of the bones. A 10-mm-long straight line was then drawn perpendicular to the AB line through point B or A, depending on the zone of interest (point C). A straight line was drawn perpendicular to the BC line through point C to the bone metaphysis. Point D was placed at the intersection of this line with the bone metaphysis. The CD distance was measured (Fig. 1b). The 10 mm distance used in the calculation was to account for the special design of the plates, as the remoteness of the screw holes in the plate from its center is 10 mm. Thus, the position of the metaphyseal screw could be predicted at a distance of 10 mm from the growth zone with a high degree of accuracy.
At the second stage of the study, the position of the hardware after surgical treatment was evaluated (temporary hemiepiphysiodesis), namely, adjoining of the plate to the bone metaphysis. A total of 255 plates were installed. Femoral bone hemiepiphysiodesis was performed in 138 cases and tibia hemiepiphysiodesis was performed in 117 cases. To correct valgus deformities, the plates were placed on the medial surface of the femur (95 cases, 68.8%) and the tibia (54 cases, 46.2%). To eliminate varus deformities, the plates were installed on the lateral surface of the femur in 43 cases (31.2%) and the tibia in 63 cases (53.8%).
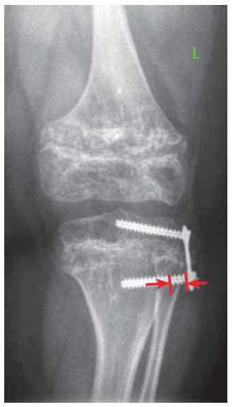
Incomplete adjoining was considered as the distance between the plate and the bone surface of more than 2 mm. Measurements were made from the base of the cap of the screw to the edge of the cortical plate of the metaphyseal part of the bone (Fig. 2).
Fig. 2. X-ray of the left knee in a direct projection of the patient T., 10 years old. Diagnosis: "Spondyloepiphisal dysplasia. Varus deformation of the lower extremities "(the arrows indicate the zone of incomplete abutment of the plate)
Radiographic parameters of the epimetaphyseal bone junction were analyzed from the panoramic radiographs of the lower limbs in a frontal projection, made with an identical focal length of 220 cm, with a fully extended knee joint, using the Phillips apparatus (model M-cABINETcXA).
To determine the relationship between the incomplete adjoining of the metaphyseal part of the plate and the rate of correction of lower limb deformities, a correlation analysis was performed and paired Pearson correlation coefficients were calculated. To determine the analytical form of the relationship between these parameters, a regression analysis was performed and the value of the determination coefficient was calculated. Statistical analysis of the data obtained was performed using IBM SPSS Statistics program, version 23.
The results were evaluated one year after the installation of the hardware.
All patients were examined and underwent surgery after obtaining signed voluntary informed consent from their parents or representatives to participate in the study and undergo surgery.
The protocol of the study was approved at the meeting of the ethical committee on November 11, 2015 (protocol No. 5, the chairman of the ethical committee was V.A. Vilensky).
Results
Radiographic measurements of the epimetaphyseal bone junction were calculated from radiographs performed at the planning stage of the surgical intervention (Table 1). These revealed that the magnitude of the AEJ varied from 25° to 69° (mean, 49.5 ± 10.7°). In patients with systemic dysplasia of the skeleton, the range of the angular values was 25° to 67° (mean, 43.2 ± 10.1°), and was significantly greater than in patients without primary lesions of the growth zone (idiopathic or posttraumatic deformities, congenital lower limb malformations, Blount disease), which ranged from 48° to 69° (mean value 56.7 ± 5.6°).
Table 1. Comparative results of the radiographic parameters of the epimetaphyseal junction of the bone of patients in the study and the control groups
Groups | Angle of epimetaphyseal junction, degrees | Index of epimetaphyseal junction, mm | Incomplete adjoining of hardware |
Study | 43.2 ± 10.1 | 12.22 ± 2.04 | 41 (21.8%) n = 188 |
Control | 56.7 ± 5.6 | 7.08 ± 2.38 | 3 (4.5%) n = 67 |
All patients | 49.5 ± 10.7 | 9.81 ± 3.39 | 44 (17.3%) n = 255 |
The IEJ value ranged from 4.7 to 14.26 mm. In pediatric patients with systemic dysplasia of the skeleton, this parameter averaged 12.22 ± 2.04 mm, while in patients without primary lesion of growth zones, the mean IEJ value was significantly lower (7.08 ± 2.38 mm).
Analysis of radiographs performed after the placement of figure-of-eight plates showed that incomplete adjoining of the metaphyseal part of the plate to the bone was noted in 17.3% of all cases (44 out of 255 plates). A total of 41 out of 44 cases of incomplete adjoining of the hardware was detected in the study group patients with systemic dysplasia of the skeleton, whereas this phenomenon was observed much less often (three out of 67 hardware installed, corresponding to 4.5%) among children without primary pathology of the growth zone. In patients with systemic dysplasia of the skeleton, in radiographs showing incomplete adjoining of the hardware to the bone, the AEJ was less than 45° (37.2 ± 3.6°), while the IEJ value was 9.7 ± 1.9 mm.
In the control group, incomplete adjoining was noted in two cases: one with Blount disease and one with idiopathic valgus deformity. The radiographic parameters in pediatric patients with Blount disease were within the same range, that is, the AEJ was less than 45° (37.2 ± 3.6°) and the IEJ value was 9.7 ± 1.9 mm. In one patient with idiopathic valgus deformity, the AEJ value was 51° and the IEJ value was 4.9 mm.
Correlation analysis between the AEJ, IEJ, and degree of adjoining of the plate to the bone revealed that the Pearson correlation coefficient was −0.7142 (p < 0.05) for AEJ, and −0.3271 (p < 0.05) for IEJ.
Since most cases of incomplete adjoining of plates were noted in the study group (21.8% of cases), correlation analysis between the value of endurance of the metaphyseal part of the plate and the rate of correction of the lower limb deformities was only performed in the study group. The results obtained are presented in Table 2.
Table 2. Correlation dependence between the value of incomplete adjoining of the plate and the rate of correction of deformities of the lower limbs in pediatric patients with systemic dysplasia of the skeleton
Options | Value of incomplete adjoining of the plate, mm | Rate of deformity correction, degrees per month of epiphysiodesis | |
Adjoining | Pearson correlation | 1 | –0.818* |
Value (bilateral) | 0.000 | ||
N | 188 | 188 | |
Correction | Pearson correlation | –0.818* | 1 |
Value (bilateral) | 0.000 | ||
N | 188 | 188 | |
* Correlation is significant at the level of 0.01 (bilateral)
The regression analysis data are presented in Figure 3.
Fig. 3. The rate of correction of deformation as a function of the value of the incomplete fit of the plate
Discussion
The method of “controlled growth” significantly changed the approach to the correction of axial deformities of lower limbs in pediatric patients during bone growth [1]. Despite the extensive use of this method, the technique of installing hardware was mainly developed for patients with a normal epimetaphyseal junction. However, pediatric patients with systemic dysplasia of the skeleton have anatomical features of this area that can present difficulties in the placement of implants.
Stevens reported that incomplete adjoining of implants results in a concentrated tension in the part of the metaphyseal screw that is not immersed in the bone, which can result in destruction of the screw [11]. The present study showed that the magnitude of the plate endurance also affects the rate of correction. Regression analysis demonstrated that increasing the distance of incomplete adjoining significantly reduced the rate of deformity correction.
We developed radiographic parameters at the planning stage of surgical intervention in order to predict possible problems. These parameters enabled the evaluation of the probability of occurrence of these difficulties, namely the AEJ and IEJ. We revealed that in cases (n = 43) where the plate was not fully adjoined to the metaphyseal part of the bone, the AEJ value was less than 45° (37.2 ± 7.6°) and the IEJ value was greater than 7.8 mm (9.7 ± 1.9 mm). In one patient with idiopathic valgus deformity, incomplete adjoining of the hardware to the bone was also observed, with an AEJ value of 51° and IEJ value of 4.9 mm. However, in our opinion, this situation was due to technical inaccuracy of the plate installation (the latter was biased towards the epiphysis).
Correlation analysis revealed the presence of a linear relationship between the radiographic parameters (AEJ and IEJ) and the degree of the plates adjoining. The obtained value of the Pearson coefficient for the AEJ (r = −0.7142, p < 0.05) indicates a high degree of dependence, that is, the smaller the AEJ value, the greater the degree of incomplete adjoining of the plate to the metaphyseal part of the bone. Therefore, when calculating the Pearson coefficient for the IEJ, a low degree of linear dependence (r = −0.3271, p < 0.05) was revealed. Most likely, this is due to a possible error in the calculation of the index, which is more significant than the error in the calculation of the angular index.
The limiting factors of the present study include the relatively small number of cases, a lack of differentiation of X-ray measurements investigated between different age groups, and lack of evaluation of the interexpert reliability of the developed indicators. Nevertheless, the results represent the first attempt to systematize data to determine the possibility of predicting the position of the hardware for controlled bone growth in children with systemic dysplasia of the skeleton.
The radiographic parameters (AEJ and IEJ) proposed in the present study enable the prediction of possible difficulties in the installation of figure-of-eight plates, including those in pediatric patients with systemic dysplasia of the skeleton. The first of these indicators (AEJ) demonstrates a higher predictive potential; therefore, we recommend using this angle to plan surgical intervention. In cases where the AEJ is less than 45°, use of the standard technique of installation of the plate and standard tools is associated with a high probability of incomplete adjoining of the hardware, which requires the use of modified hardware (step-shaped plate) and modification of the installation technique (without the central wire).
Conclusion
Surgical intervention during “controlled growth” in 43 cases (out of 255 installed plates) showed that the metaphyseal part of the plate was not fully adjoined to the bone due to the anatomical aspects of the epimetaphyseal region. This phenomenon was much more common in patients with systemic dysplasia of the skeleton. We developed radiographic criteria (AEJ and IEJ) to predict possible difficulties associated with the location of the hardware in hemiepiphysiodesis. As a result of the correlation analysis, the AEJ demonstrated a strong correlation with incomplete adjoining of the plate after the surgery. We recommend using this criterion for preoperative planning in pediatric patients with systemic dysplasia of the skeleton.
Funding and conflict of interest
The present study was supported by the Turner Scientific Research Institute for Children’s Orthopedics.
The authors declare no obvious or potential conflicts of interest related to the publication of this article.
About the authors
Vladimir M. Kenis
The Turner Scientific Research Institute for Children’s Orthopedics
Author for correspondence.
Email: kenis@mail.ru
ORCID iD: 0000-0002-7651-8485
MD, PhD, Associate Professor, Deputy Director for Development and International Relations, Head of the Department of Foot Surgery, Neuroortopedics and Skeletal Displasias.
Russian Federation, 64, Parkovaya str., Saint-Petersburg, Pushkin, 196603Ekaterina S. Morenko
The Turner Scientific Research Institute for Children’s Orthopedics
Email: emorenko@gmail.com
MD, PhD Student of the Department of Foot Surgery, Neuroortopedics and Skeletal Displasias
Russian Federation, 64, Parkovaya str., Saint-Petersburg, Pushkin, 196603Andrey V. Sapogovsky
The Turner Scientific Research Institute for Children’s Orthopedics
Email: sapogovskiy@gmail.com
MD, PhD, Senior Researcher of the Department of Foot Surgery, Neuroortopedics and Skeletal Displasias
Russian Federation, 64, Parkovaya str., Saint-Petersburg, Pushkin, 196603References
- Yilmaz G, Oto M, Thabet AM, et al. Correction of lower extremity angular deformities in skeletal dysplasia with hemiepiphysiodesis: a preliminary report. J Paediatr Orthop. 2014;34(3):336-345. doi: 10.1097/BPO.0000000000000089.
- Danino B, Rodl R, Herzenberg JE, et al. Guided growth: preliminary results of a multinational study of 967 physes in 537 patients. J Child Orthop. 2018;12(1):91-96. doi: 10.1302/1863-2548.12.170050.
- Моренко Е.С., Кенис В.М. Коррекция осевых деформаций коленного сустава у детей методом управляемого роста (обзор литературы) // Ортопедия, травматология и восстановительная хирургия детского возраста. – 2016. – Т. 4. – № 1. – С. 57–62. [Morenko ES, Kenis VM. Guided growth for correction of axial deformities of the knee in children: a literature review. Pediatric traumatology, Orthopaedics and Reconstructive Surgery. 2016;4(1):57-62. (In Russ.)]
- Stevens PM. Guided growth for angular correction: a preliminary series using a tension band plate. J Paediatr Orthop. 2007;27(3):253-259. doi: 10.1097/BPO.0b013e31803433a1.
- Goldman V, Green DW. Advances in growth plate modulation for lower extremity malalignment (knock knees and bow legs). Curr Opin Pediatr. 2010;22(1):47-53. doi: 10.1097/MOP.0b013e328334a600.
- Patwardhan S, Shah K, Shyam A, Sancheti P. Growth Modulation in Children for Angular Deformity Correction around knee — Use of Eight Plate. International Journal of Paediatric Orthopaedics. 2015;1(1):29-33.
- Stevens PM. Guided growth: 1933 to the present. Strategies Trauma Limb Reconstr. 2006;1(1):29-35. doi: 10.1007/s11751-006-0003-3.
- Boero S, Michelis MB, Riganti S. Use of the eight-Plate for angular correction of knee deformities due to idiopathic and pathologic physis: initiating treatment according to etiology. J Child Orthop. 2011;5(3):209-216. doi: 10.1007/s11832-011-0344-4.
- Stevens PM, Klatt JB. Guided growth for pathological physes: radiographic improvement during realignment. J Paediatr Orthop. 2008;28(6):632-639. doi: 10.1097/BPO.0b013e3181841fda.
- Zajonz D, Schumann E, Wojan M, et al. Treatment of genu valgum in children by means of temporary hemiepiphysiodesis using eight-plates: short-term findings. BMC Musculoskelet Disord. 2017;18(1):456. doi: 10.1186/s12891-017-1823-7.
- Stevens PM. The broken screw dilemma. J Pediatr Orthop. 2014;34(3):e5. doi: 10.1097/BPO.0b013e31829aaf1a.
Supplementary files







