Results of treatment of children with femoral neck fractures
- Authors: Bortulev P.I.1, Baskov V.E.1, Barsukov D.B.1, Pozdnikin I.Y.1, Ovsyankin A.V.2, Drozdetsky A.P.2, Bortuleva O.V.1, Baskaeva T.V.1, Kostomarova E.A.1
-
Affiliations:
- The Turner Scientific Research Institute for Children’s Orthopedics
- Federal Center of Traumatology, Orthopedics and Endoprosthetics Replacement
- Issue: Vol 6, No 2 (2018)
- Pages: 63-72
- Section: Exchange of experience
- Submitted: 22.06.2018
- Accepted: 22.06.2018
- Published: 22.06.2018
- URL: https://journals.eco-vector.com/turner/article/view/8991
- DOI: https://doi.org/10.17816/PTORS6263-72
- ID: 8991
Cite item
Abstract
Introduction. Femoral fractures in children remain a topical problem because of the risk and frequency of severe complications, such as aseptic necrosis of the femoral head that causes deforming coxarthrosis and early disabilities. This type of injury accounts for approximately 1% of all skeletal bone fractures in childhood. In 80% of the cases, the cause of femoral neck fracture is severe trauma, but in 15% of patients, the fracture occurs despite inadequate trauma during physiologically normal activity of the child. With femoral neck fractures without stable osteosynthesis, consolidation of bone fragments occurs extremely rarely, and a long period of immobilization during conservative treatment is accompanied by a risk of complications caused by hypodynamia.
Aim. To conduct a retrospective analysis of the results of surgical treatment of different types of fracture of the femoral neck in children.
Materials and methods. We analyzed surgical treatment results of 5 children aged 10 to 17 years (4 boys, 1 girl) with different types of femoral neck fractures according to the Delbet and Colonna classification. The cause of the fractures in all 5 children was high-energy trauma. All patients, depending on the type of fracture, underwent a closed repositioning with osteosynthesis of the fragments using metal constructions (cannulated screws, DHS plate). Follow-up observations were performed ≤7 years after the surgical treatment.
Results. Restoration of the hip joint function, absence of pain syndrome, absence of complications, and complete social adaptation was achieved in all cases.
Conclusion. Femoral neck fractures are subject to immediate surgical treatment because there is a high risk of aseptic necrosis of the head of the femur. With the correct technical performance, it is possible to achieve stable, positive, functional, and radiologic long-term results.
Keywords
Full Text
“The truth is that fractures of the proximal femur in children are so rare that no one has much experience in their treatment.” Blount
According to the World Health Organization (WHO), the number of fractures of the proximal femur is on the rise worldwide, especially in developed countries where life expectancy has recently increased [1]. In adult patients, proximal femoral fractures are perceived as a real epidemic with a high (up to 10%–20%) primary mortality, treatment challenges inherent to this injury, and the cause of an increased mortality in the near future [2, 3]. In children, such fractures are relatively rare and account for approximately 1% of all skeletal fractures. They most frequently occur at the age of 5–14 years and are much less common at the ages of 2–4 and 15–17 years [4]. According to WHO, in 1990 approximately 1.3 million cases of proximal femoral fractures were recorded worldwide, half of which were intra-articular fractures [5]. In 80% of cases, the fracture of the femoral neck is caused by a severe trauma. In 15% of the young patients, the fracture occurs as a result of physiologically normal activity during games; that is, when falling and jumping from a height of 0.5–1.5 m, when performing splits and half-splits, and in case of direct impacts of moderate strength in the area of a great trochanter. Lastly, pathologic fractures are noted in the remaining 5% of cases [1]. The classifications by Delbet (1907) and Colonna (1929) are most often used for determining the type of fracture [6] (Table 1).
Table 1. P.C. Colonna modified classification of fractures of the femoral neck according to M.P. Delbet
Type | Description | Frequency, % | Risk of avascular necrosis, % |
I | Subcapital (IA without epiphysis dislocation beyond the cotyloid cavity, IB with epiphysis dislocation beyond the cotyloid cavity) | < 10 | 38 (100 for IB) |
II | Transcervical | 40–50 | 28 |
III | Trochanteric-cervical (basicervical) | 30–35 | 18 |
IV | Pertrochanteric | 10–20 | 5 |
According to the AO/ASIF organization, the preferred method of surgical treatment of fractures of types I and II in children would be transcutaneous pinning, while for treating types III and IV, both pinning and extra-cortical osteosynthesis using a plate can be employed. The conservative treatment of intra-articular femoral neck fractures with displacement is associated with a risk of complications including skin trophic disorders and pneumonia caused by prolonged bed rest and plaster immobilization of the lower limb [7]. Surgical intervention that can be open or closed repositioning of bone fragments and their fixation using various hardware structures, depending on the type of fracture, is indicated in more than 80% of cases. Surgical treatment is contraindicated in children under 4 years of age. Femoral neck fractures in children attract attention not due to the frequency of their occurrence, but due to the frequency of possible complication development [8–10]. In the Department of Hip Joint Pathology of the Turner Scientific and Research Institute for Children’s Orthopedics, 77 out of 278 total hip replacement surgeries were performed for stage 3 posttraumatic coxarthrosis from 2009 to 2017.
Specificity of the blood supply to the proximal femur
Blood supply to the femoral head is primarily provided by the arteria circumflexa femoris medialis, which in the fossa trochantarica region gives rise to three or four branches called rami retinaculares (capsule vessels). They pass dorsal-cranial along the neck in the synovial layer until they reach the border of the head cartilage where they enter the bone tissue for supplying blood to the head. The arteria obturatoria branches, located inside the ligamentum teres, supply blood only to a limited area of the bone tissue located near the ligament attachment. Additional blood supply to the femoral head is provided by the intraosseous vessels arising from the metaphysis in the cranial direction (Figure 1). In the case of a femoral neck fracture, intraosseous vessels are always damaged. In the case of intra-articular fractures (I, II, and III types), in addition to the above vessels, the a. circumflexa femoris medialis et lateralis branches may also be damaged (Figure 2) [11].
Fig. 1. Arterial blood supply of the proximal femur (according to PA Romanov): 1 - artery of the ligament of the head; 2 - arc anastomosis of the upper and lower arteries of the head; 3 - arterial anastomosis of the articular periphery of the head; 4 - lower arteries of the head; 5 - medial femur circumflex; 6 - femoral artery; 7 - lateral circumflex hip artery; 8 - deep thigh artery; 9 - diaphyseal artery; 10 - branch of the first perforating artery; 11 - posterior cervical arteries; 12 - anterior cervical arteries; 13 - upper arteries of the neck and head; 14 - branch of the lower gluteal artery; 15 - branch of the upper gluteal artery
Fig. 2. Arterial blood supply to the head of the femur with medial cervical fractures (according to PA Romanov): 1 - upper arteries of the neck and head; 2 - artery of the ligament of the head; 3 - arc anastomosis of the upper and lower arteries of the head; 4 - lower arteries of the head; 5 - medial femur circumflex; 6 - femoral artery; 7 - lateral circumflex hip artery; 8 - deep thigh artery; 9 - branch of the lower gluteal artery; 10 - branch of the upper gluteal artery
Thus, the fracture of the femoral neck represents an “emergency situation” that requires a quick and accurate intervention to minimize complications along with taking into account costs associated with treatment and rehabilitation of the patient.
The present study conducted a retrospective analysis of the results of various types of fracture surgical treatment of the femoral neck in children.
Materials and methods
From month 2010 to month year, a total of five children, 4 boys and one girl, aged 10–15 years were treated for femoral neck fractures at various locations, in the Department of Hip Joint Pathology, Turner Scientific and Research Institute for Children’s Orthopedics, and the (Children’s) Department of Traumatology and Orthopedics of the Federal State Institution Federal Center of traumatology, orthopedics and endoprosthesis replacement (Smolensk). All guardians/parents voluntarily signed the informed consent to participate in the study, including processing of personal data and surgical intervention. According to the Colonna classification, type IA was observed in one patient, type IB was not noted, type II was in two patients, type III was noted in two patients, and type IV also was not observed. The cause of the fracture in all children was catatrauma. All patients were hospitalized in a primary care facility, where only immobilization with an antirotation plaster cast and symptomatic therapy aimed at arresting the pain syndrome were performed. Clinical, radiologic, and computed tomographic methods of investigation were used for assessing the anatomical and functional state of the affected hip joint. The clinical assessment corresponded with the classical description of a femoral neck fracture [12], including the position of the external rotation and the shortening of the lower limb on the fracture side, the absence of active movements, and the “straight leg raising” symptom. The nature of the fracture and the degree of displacement of bone fragments were assessed using radiologic methods.
Surgical technique: Under anesthesia in the supine position with a fixed pelvis on the fracture table, traction of the limb along the axis (abduction and internal rotation) is performed until the bone fragments are correctly repositioned under EOD control in direct and axial projections. Next, two Kirschner’s wires are transcutaneously inserted along the anterior surface of the femoral neck for determining the antetorsion and caput-collum-diaphyseal angles. Using the parallel transfer method, 2–3 wires with a notch at the end are passed through the fracture line, along which, after cutting the skin up to 1 cm in length, cannulated screws are inserted. Wounds are sutured layer by layer. Then the hip joint is punctured and the hematoma is actively aspirated.
On the basis of our experience, the above-mentioned surgery conditions provide the most accurate, low-traumatic reposition of bone fragments, and reduce the overall duration of anesthesia and surgery.
No postoperative complications were observed in any of the five patients. External immobilization during the postoperative period was not performed. All patients underwent complex rehabilitation as follows: from day 2 post-operatively, mechanotherapy with the Arthromot K1 apparatus was applied with the purpose of restoring the amplitude of movements in the operated joint, laying in the most extreme positions possible for several minutes, the therapy was aimed to redress muscles in the region of the hip joint and to restore the muscles tone of the lower limbs. Massage using the HIVAMAT apparatus was initiated from day 3. Starting from day 4, the patients started to perform active movements. The patients were verticalized on days 4–5 post-operation under conditions for excluding any axial load on the operated limb. The total duration of walking on crutches without load on the affected limb was in average 10 months from the date of surgical treatment.
Clinical cases
Patient M., 10 years old, was transferred from the Central District Hospital of the city of T. with the diagnosis of closed subcapital fracture of the left femur neck with the displacement of the fragments. His medical history indicated that the trauma had occurred 5 days earlier following a fall from height. The patient was conservatively treated, the left lower limb was immobilized with a derotation plaster cast, and symptomatic therapy aimed at arresting the pain syndrome was performed. Analysis of the radiography of the hip joints in frontal projection (Figure 3) confirmed a type Ia fracture according to the Colonna classification, external-rotational position of the left femur, and downward and posterior epiphysis displacement.
Fig. 3. Patient M. before treatment: radiograph of the hip joints before the operation in a direct projection: total disruption of the integrity of the neck of the left femur in the subcapital zone with the displacement of fragments
Surgical treatment was performed in the volume of closed repositioning of femoral fragments fixed with two cannulated screws as described (Fig. 4, a, b).
Fig. 4. Patient M. after surgical treatment: a - X-ray of the hip joint after closed reposition and fixation with cannulated screws in a straight projection: complete reposition in the frontal plane, position of the metal structures radiologically correct; b - radiograph of the hip joint after closed reposition and fixation with cannulated screws in the projection on Lauenstein: complete reposition with restoration of the individual norm of the epiphysis-diaphysis angle
Patient M., aged 14 years, was transferred from the Central District Hospital of the city of S. with the diagnosis of closed basicervical fracture of the left femur neck with fragment displacement. The trauma had occurred 4 days prior as the result of a fall from height.
During the primary care hospitalization, the patient received conservative treatment including plaster immobilization and symptomatic therapy. On the hip joint radiographs in a frontal projection, a type III fracture according to Colonna classification was confirmed (Fig. 5, a). Surgical restorative treatment was performed. The complete consolidation of bone fragments at the fracture site was achieved after 7 months (Fig. 5, b).
Fig. 5. Patient M., 14 years old: a - X-ray of the hip joints before the operation in a direct projection: total disruption of the neck of the left femur in the cervical-neck area with displacement of the fragments; b - X-ray of the hip joints after closed reposition and fixation with cannulated screws in a straight projection: complete reposition with restoration of the neck-diaphysis angle
Eleven months after the primary injury, the patient experienced a repeated fracture of the left femur neck with a displacement of the fragments and destabilization of the surgical hardware following a rear impact of the footboard of the moving electric train to the region of the left hip joint (Fig. 6, a, b).
Fig. 6. Patient M., 14 years old: a, b - X-ray and CT of hip joints 11 months after repeated fracture of femoral neck with displacement of fragments and destabilization of metal structures: violation of the integrity of the femoral neck in the basicervical zone with fracture of one cannulated screw and deformation of the other , absence of trophic disorders in the pituitary epiphysis
Surgical treatment was performed for the partial removal of surgical hardware, followed by the closed reposition of the femoral neck fragments with DHS plate fixation (Fig. 7, a, b). Given the patient’s history, an open repositioning with complete removal of the surgical hardware was not an option because of the increased risk of aseptic necrosis of the femoral head that could result from additional trauma to nutrient vessels of the femoral epiphysis in the course of capsulotomy and bone fragments mobilization.
Fig. 7. Patient M., age 14: a, b - radiograph and CT of hip joints after repeated closed repositioning, partial removal of metal structures and osteosynthesis by a dynamic femoral screw (DHS) in a direct projection: restoration of angular values corresponding to the contralateral limb
d
Results
Within the seven-year follow-up period, all patients had their hip joint function restored, reported no pain syndrome, and had complete social and personal adjustment. The results of the surgical treatment were assessed on a point scale that was developed at the Turner Scientific and Research Institute for Children’s Orthopedics [13] (Table 2).
Table 2. Patient self-evaluation scale
Criteria | Number of points |
Feeling of fatigue or pain syndrome | |
No feeling of fatigue and pain | 0 |
Feeling of fatigue occurs by the end of the day | 1 |
Pain arises with increased adolescent activities (long walks, games, dances, etc.) | 2 |
Constant pain occurs by the end of the day | 3 |
Locomotor function according to the patient (or parents) | |
Not impaired | 0 |
Habitual movements are hindered by the end of the day | 1 |
Any movement requires periodic rest | 2 |
Lifestyle restrictions intrinsic to age | |
No restrictions | 0 |
Lifestyle restrictions are insignificant | 1 |
Pathology hinders a way of life intrinsic to age (participation in action games, dances, etc.) | 2 |
No action games possible; restrictions when choosing clothes and shoes | 3 |
The average score on the patient self-evaluation scale after surgery was 0.08 (95% CI 0.04–0.13). Cannulated screws were not removed from any patient since such a second surgical intervention would be highly traumatic (requiring full surgical access to the lateral surface of the femur greater trochanter). Total endoprosthesis replacement of the hip joint was not required in any case. Long-term treatment outcomes are shown in Fig. 8, 9.
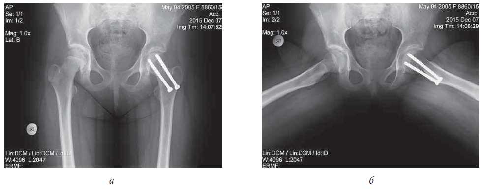
Fig. 8. Patient M., 15 years old. The result of surgical treatment after 5 years: a - X-ray of the hip joints in a direct projection: the absence of signs of aseptic necrosis of the head of the femur, the correct position of the metal structures; b - X-ray of the hip joints in the projection on Lauenstein: absence of signs of aseptic necrosis of the femoral head, correct position of the metal structures, absence of secondary displacement; in, г - a functional result in 6 years - restrictions and a painful syndrome are not present
Fig. 9. Patient M., 21 years old. The result of surgical treatment after 7 years: a - X-ray of the hip joints in a direct projection: the absence of signs of aseptic necrosis, secondary changes in the proximal part in the form of deformation as cam-impingement; b - X-ray of the hip joints in the projection on Lauenstein: absence of signs of aseptic necrosis, an increase in off set and angle α (cam-impingement); c, d - functional result 7 years after repeated surgical treatment: minimal limitation of lead in the left hip joint, no pain syndrome
Conclusion
Despite the high risk of aseptic necrosis of the femoral head in children when surgery is used for treating femoral neck fractures, long-term stable positive outcomes can be achieved with correct technical implementation.
Funding and conflict of interest
The work was supported by the Turner Scientific Research Institute for Children’s Orthopedics. The authors declare no conflicts of interest related to the publication of this article.
About the authors
Pavel I. Bortulev
The Turner Scientific Research Institute for Children’s Orthopedics
Author for correspondence.
Email: pavel.bortulev@yandex.ru
MD, Research Associate of the Department of Hip Pathology
Russian Federation, 64, Parkovaya str., Saint-Petersburg, Pushkin, 196603Vladimir E. Baskov
The Turner Scientific Research Institute for Children’s Orthopedics
Email: dr.baskov@mail.ru
MD, PhD, Head of the Department of Hip Pathology
Russian Federation, 64, Parkovaya str., Saint-Petersburg, Pushkin, 196603Dmitry B. Barsukov
The Turner Scientific Research Institute for Children’s Orthopedics
Email: dbbarsukov@gmail.com
MD, PhD, Senior Research Associate of the Department of Hip Pathology
Russian Federation, 64, Parkovaya str., Saint-Petersburg, Pushkin, 196603Ivan Y. Pozdnikin
The Turner Scientific Research Institute for Children’s Orthopedics
Email: pozdnikin@gmail.com
MD, PhD, Research Associate of the Department of Hip Pathology
Russian Federation, 64, Parkovaya str., Saint-Petersburg, Pushkin, 196603Anatoliy V. Ovsyankin
Federal Center of Traumatology, Orthopedics and Endoprosthetics Replacement
Email: anatoly.ovsjankin@orthosmolensk.ru
MD, PhD, Head Doctor
Russian Federation, 29, Builders prospect, Smolensk, 214031Alexey P. Drozdetsky
Federal Center of Traumatology, Orthopedics and Endoprosthetics Replacement
Email: anatoly.ovsjankin@orthosmolensk.ru
MD, PhD, Chief of the Department of Pediatric Traumatology and Orthopedics
Russian Federation, 29, Builders prospect, Smolensk, 214031Oksana V. Bortuleva
The Turner Scientific Research Institute for Children’s Orthopedics
Email: tamila-baskaeva@mail.ru
MD, PhD Student of the Department of Hip Pathology
Russian Federation, 64, Parkovaya str., Saint-Petersburg, Pushkin, 196603Tamila V. Baskaeva
The Turner Scientific Research Institute for Children’s Orthopedics
Email: tamila-baskaeva@mail.ru
MD, orthopedic surgeon
Russian Federation, 64, Parkovaya str., Saint-Petersburg, Pushkin, 196603Ekaterina A. Kostomarova
The Turner Scientific Research Institute for Children’s Orthopedics
Email: tamila-baskaeva@mail.ru
Clinical Resident
Russian Federation, 64, Parkovaya str., Saint-Petersburg, Pushkin, 196603References
- Лазарев А.Ф., Солод Э.И., Рагозин А.О., Какабадзе М.Г. Лечение переломов проксимального отдела бедренной кости на фоне остеопороза // Вестник травматологии и ортопедии им Н.Н. Приорова. – 2004. – № 1. – С. 27–31. [Lazarev AF, Solod EI, Ragozin AO, Kakabadze MG. Treatment of Proximal Femur Fractures on the Background of Osteoporosis. Vestnik Travmatologii i Ortopedii im. N.N. Priorova. 2004;(1):27-31. (In Russ.)]
- Миронов С.П., Родионова С.С., Андреева Т.М. Организационные аспекты проблемы остеопороза в травматологии и ортопедии // Вестник травматологии и ортопедии им. Н.Н. Приорова. – 2009. – № 1. – С. 3–6. [Mironov SP, Rodionova SS, Andreeva TM. Organizational aspects of the osteoporosis problem in traumatology and orthopaedics. Vestnik Travmatologii i Ortopedii im. N.N. Priorova. 2009;(1):3-6. (In Russ.)]
- Jordan RW, Chahal GS, Davies M, Srinivas K. A comparison of mortality following distal femoral fractures and hip fractures in an elderly population. Advances in Orthopedic Surgery. 2014;2014:1-4. doi: 10.1155/2014/873785.
- Филатов С.В. Повреждения тазобедренного сустава и их последствия у детей и подростков: Дисс. … д-ра мед. наук. – СПб., 1995. [Filatov SV. Hip joint injuries and their consequences in children and adolescents. [dissertation] Saint Petersburg; 1995. (In Russ.)]
- Какабадзе М.Г. Переломы шейки бедра: эндопротезирование в остром периоде: Автореф. дис. … канд. мед. наук. – М., 2005 [Kakabadze MG. Fractures of the femoral neck: endoprosthetics in the acute period. [dissertation] Moscow; 2005 (In Russ.)]
- Hajdu S, Oberleitner G, Schwendenwein E, et al. Fractures of the head and neck of the femur in children: an outcome study. Int Orthop. 2011;35(6):883-888. doi: 10.1007/s00264-010-1039-z.
- Зуби Ю.Х., Абуджазар У.М., Жаксыбаев М.Н., и др. Экстренное лечение переломов проксимального отдела бедренной кости // Научная дискуссия: вопросы медицины. – 2015. – № 10–11. – С. 132–137. [Zubi YK, Abudzhazar UM, Zhaksybaev MN, et al. Emergency treatment of the proximal femur fractures. Nauchnaia diskussiia. Voprosy meditsiny. 2015;(10-11):132-137. (In Russ.)]
- Erdem Bagatur A, Zorer G. Complications associated with surgically treated hip fractures in children1. J Pediatr Orthop B. 2002;11(3):219-228. doi: 10.1097/00009957-200207000-00005.
- Colonna PC. Fracture of the neck of the femur in children. Am J Surg. 1929;6(6):793-797. doi: 10.1016/s0002-9610(29)90726-1.
- Inan U, Kose N, Omeroglu H. Pediatric femur neck fractures: a retrospective analysis of 39 hips. J Child Orthop. 2009;3(4):259-264. doi: 10.1007/s11832-009-0180-y.
- Топографическая анатомия и оперативная хирургия: учебник / Под ред. А.В. Николаева. – М.: ГЭОТАР-Медиа, 2009. [Topographic anatomy and operative surgery: a textbook. Ed by A.V. Nikolaev. Moscow: GEOTAR-Media; 2009. (In Russ.)]
- Травматология: национальное руководство / Под ред. Г.П. Котельникова, С.П. Миронова. – М.: ГЭОТАР-Медиа, 2008. [Traumatology: national guidelines. Ed by G.P. Kotel’nikov, S.P. Mironov. Moscow: GEOTAR-Media; 2008. (In Russ.)]
- Басков В.Е., Неверов В.А., Бортулёв П.И., и др. Особенности тотального эндопротезирования тазобедренного сустава у детей после артропластики деминерализированными костно-хрящевыми аллоколпачками // Ортопедия, травматология и восстановительная хирургия детского возраста. – 2017. – Т. 5. – № 1. – С. 13–20. [Baskov VE, Neverov VA, Bortulev PI, et al. Total hip arthroplasty in children who have undergone arthroplasty with demineralized bone-cartilage allocups. Pediatric Traumatology, Orthopaedics and Reconstructive Surgery. 2017;5(1):16. (In Russ.)]. doi: 10.17816/PTORS5113-20.
Supplementary files













