Surgical treatment of comminuted intraarticular distal femur fracture in patient with osteogenesis imperfecta type I
- Authors: Burtsev M.E.1,2, Frolov A.V.1,2, Logvinov A.N.1,2, Ilyin D.O.1, Korolev A.V.1,2
-
Affiliations:
- ECSTO, European Clinic of Sports Traumatology and Orthopaedics (ECSTO)
- eoples Friendship University of Russia
- Issue: Vol 7, No 1 (2019)
- Pages: 87-96
- Section: Clinical cases
- Submitted: 01.09.2018
- Accepted: 31.10.2018
- Published: 06.04.2019
- URL: https://journals.eco-vector.com/turner/article/view/9319
- DOI: https://doi.org/10.17816/PTORS7187-96
- ID: 9319
Cite item
Abstract
Aim. Osteogenesis imperfecta (OI) is characterized by bone fragility and long bones deformities. Most studies are dedicated to surgical treatment of diaphyseal fractures. To our knowledge, there are no reports giving recommendations about surgical treatment of distal femur intraarticular fractures.
Clinical case. We describe the surgical treatment of a 14-year-old girl with OI who had intraarticular fracture of the left distal femur and fracture of a right femur diaphysis. Surgical treatment was complicated by migration of a titanium elastic nail and impaired consolidation, which had to be fixed with a plate and led to peri-implant fracture. Results were assessed before trauma and at 1 and 2 years after trauma with Gillette Functional Assessment Questionnaire (GFAQ) and Bleck score.
Discussion. During surgical treatment of comminuted intraarticular distal femur fractures in patients with OI, we had to use big cancellous screw that made implantation in an intramedullary fixator more difficult. Internal fixation with a plate in patients with OI is associated with high risks of peri-implant fracture.
Conclusion. For treatment of comminuted intraarticular fracture of the distal femur, it is necessary to have large variety of internal fixators, follow the principles of absolute and relative stability, and be familiar with minimally-invasive techniques.
Full Text
Introduction
Osteogenesis imperfecta (OI), or fragile bone disease, is a genetically and phenotypically heterogeneous skeletal dysplasia [1]. OI is manifested by increased bone fragility, decreased bone density, bone deformities, and growth deficiency [1, 2]. The incidence is 1 per 10,000 newborns [1–4]. OI type I (Van Der Hoeve syndrome) is the mildest and most common form of IO. It is characterized by mild course, moderate bone deformities, joint hyperelasticity, congenital or early bradyacuasia, discoloration of the sclera (blue, dark blue or gray), and normal growth and is occasionally accompanied by imperfect dentinogenesis. Spinal deformities (kyphosis, scoliosis) occur in only 20% of patients [5]. The structure of type 1 collagen within OI type I is unaltered. As a result of a mutation, the null allele is formed in the COL1A1 gene, which leads to a two-fold decrease in the amount of type 1 collagen synthesized by dermal fibroblasts [6].
In our clinical practice, hip bone fractures at the height of the deformity in OI pediatric patients were the most common indication for surgical treatment. The combination of fractures that we have faced in this clinical case is extremely rare. Most of the publications on this subject are devoted to the treatment of shaft fractures [7–11]; we could not find any publications that described the treatment of intra-articular fractures of the distal third femur in OI pediatric patients.
The fracture of the femur is a serious injury for any person, as it is accompanied by a vast loss of blood, especially in an OI pediatric patient [12]. Restoring the length, axis, rotation, and congruence of the articular surfaces of femur is the primary task of the surgical treatment of these fractures. The presence of growth zones, low quality of bone tissue, and congenital and post-traumatic deformities make such clinical cases extremely difficult and unpredictable for the surgeon. Despite this, surgical treatment is the method of choice for OI patients, since it restores the anatomy, reduces the time of immobilization, and allows rehabilitation to start earlier [13].
This article aimed to demonstrate our approaches to the treatment of intra-articular femoral fractures in OI pediatric patients, to show the advantages and disadvantages of our methods of osteosynthesis, and to describe the possible complications of using titanium elastic nails (TEN) and plates under the conditions of poor bone quality.
Case description
This work presents a clinical treatment for a patient aged 14 years with OI type I. The past medical history reveals that, since 2011, the patient has been under the supervision of pediatricians, trauma orthopedists and geneticists who specialize in the treatment of OI, and that she has periodically received rehabilitation therapy. By the time of treatment, she had received seven courses of treatment with bisphosphonates (1 mg/kg/day of Pamidronate was given for 3 days every 4 months). During her life, she had more than 10 fractures of the extremities, and conservative treatment was conducted in a primary care facility. In 2011, she was sent to the European Medical Center (EMC) with a diagnosis of a fragmentary fracture of the shaft of the right femur with displaced fragments. Osteosynthesis was performed with two TENs with a diameter of d = 3.0 mm. After consolidation of the fracture, the patient suffered from pain in the medial regions of knee joint. According to the results of X-ray examination, the migration of TEN was detected, due to which the rod was removed in the primary care facility. Before the injury described below, the patient could stand without additional support; afterward, she moved around in the house with the help of crutches, but she used a wheelchair outside of the house and cared about herself independently in everyday life.
On March 21, 2016, as a result of a fall from her own height, the patient felt severe pain in the lower limbs and experienced impaired supporting ability of the lower limbs. She was taken to the hospital at the place of injury (Kursk), where the results of X-ray analysis revealed a comminuted fracture of the lower third of left femur and a fracture of the lower third of the shaft of right femur. The left lower limb was immobilized with a spica cast and the right lower limb was immobilized with a posterior plaster cast from the tiptoes to the gluteal fold. Bone fragment reposition was not performed. On March 22, the patient was taken to the EMC for surgical treatment.
Results of physical, laboratory, and instrumental examinations
At the time of admission, the patient’s condition was severe due to post-hemorrhagic anemia, pain syndrome, and primary disease. Plaster bandages were applied directly to the skin. After the bandage edges were separated, skin maceration zones were found outside of the zone of the intended surgical approaches (Fig. 1). The replacement of plaster bandages was not performed due to severe pain syndrome. The multiplanar deformity of the proximal third of left femur, arcuate deformity of the middle third of right femur, and absolute shortening of the right lower extremity by 5 cm were visually determined.
Fig. 1. View of the patient’s lower limbs upon admission to the clinic
According to the radiographs performed in a primary care facility (of poor quality, in one projection), a closed, comminuted intra-articular fracture of the distal metaepiphysis of left femur (Salter-Harris IV) was diagnosed with a transition to the shaft with the displacement of fragments (Fig. 2); in addition, a closed fracture of the right femoral bone in the lower third of the shaft with mild displacement of fragments was observed (Fig. 3). TEN in the intramedullary canal of right femur prevented a severe displacement of the fragments. As a result of the fracture, TEN was deformed.
Fig. 2. Intraoperative radiographs of the left femur: a — frontal view; b — lateral view
Fig. 3. Intraoperative radiographs of the right femur: a — frontal view; b — lateral view
On day 1, preoperative preparation was performed; a pediatrician and anesthesiologist examined the patient. General and biochemical blood tests were completed and a coagulogram was made. Tests for HIV, hepatitis, and syphilis were done. Additionally, a blood group and a Rh factor were determined, and a fluorography was made.
According to the laboratory data, a decrease in hemoglobin (Hb 101 g/L, Ht 31.70 %, Er 4.00 106/mcl) was revealed. Two doses of packed erythrocytes were preliminary prepared.
Due to the pronounced displacement of the fragments and the intra-articular nature of the fracture of the left femur, surgical treatment was indicated to the patient and was scheduled on the next day after hospitalization.
Treatment
Surgical treatment was performed under laryngeal-mask anesthesia, on a fracture table, with the patient in supine position under the control of an electron-optical image converter. Plaster bandages were removed after performing anesthesia.
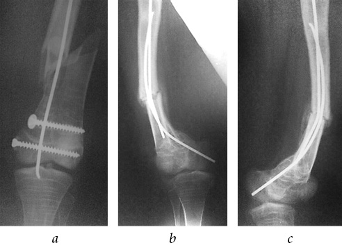
The first stage of the surgery was osteosynthesis of the distal metaepiphysis of left femur by two cannulated cancellous screws of 6.5 mm in diameter with full threading and with washers above and below the growth zone. Next, an attempt at retrograde osteosynthesis of TEN d = 3.0 mm was made from the standard approaches proximal to the growth zone. Due to the extremely low quality of the bone tissue and the comminuted nature of the fracture of metaphyseal zone, the titanium rods broke the cortical layer of the bone at the site of their insertion or perforated the opposite cortical layer (Fig. 4). It was decided to perform antegrade insertion of internal fixation devices. The rod was inserted through the lateral cortical layer of the upper third of femur and brought to the distal metaepiphysis, and then fixed in place with screws. Due to the small size of the distal metaepiphysis, in order to ensure satisfactory fixation, we perforated the growth zone. The distal end of the rod was placed behind the proximal screw and in front of the distal screw before being fixed in the subchondral zone of bone. Osteosynthesis with a second rod was not possible due to the narrow intramedullary canal. Enlarging the canal by drilling was technically impossible without additional surgical access, which would have significantly increased blood loss, volume, and time of surgery (Fig. 5 a).
Fig. 4. Intraoperative radiograph, TEN perforation of the opposite cortical bone layer
Fig. 5. Postoperative radiographs: a — left femur, frontal view; b — right femur, frontal view
The fracture of the lower third of the shaft of right femur was with insignificant displacement due to the presence of a TEN in the intramedullary canal. The TEN arched, resulting in an angular deformity in the anterior-posterior direction. After performing a closed reposition, it was possible to eliminate the antecurvation of the femur and reduce the rod deformity. The distal end of the TEN was located deep in the cortical layer of the lower third of femoral shaft. We considered it inappropriate to remove it because of the inevitability of additional bone trauma and an increase in the time of the surgery, instead proceeding with the aim of replacing it with a longer TEN, Then, antegrade osteosynthesis with TEN d = 3.0 mm was performed through the medial part of the femur. The intramedullary canal in the middle third of the shaft was very narrow, so it was not possible to insert the rod to the proximal part. The rod was fixed in the shaft of the bone in hard contact with the second rod (Fig. 5 b). Upon completion of the surgical stage, both limbs were immobilized with posterior polymeric splints from the gluteal region to the lower third of the tibia for a period of 4 weeks.
According to the laboratory results after surgery, a decrease in red blood indices was detected (Hb 75 g/L, Ht 23.30%, Er 3.04 106/mcl). Due to the absence of a critical reduction in hemoglobin, packed erythrocytes transfusions were not performed.
On day 6, after the stabilization of the condition and reduction of pain syndrome to 3–4 points on a visual analog scale (VAS), the patient was discharged for case follow-up and rehabilitation therapy in a primary care facility (Kursk).
One month after the surgery, the patient provided a radiograph of the left femur in one projection. Along with the osteosynthesis of the left femur with one TEN, the displacement of fragments was preserved in the distal third of the shaft and the delayed consolidation of the fracture and signs of TEN migration were noted (Fig. 6 a). The term of immobilization of the left lower limb was extended to a period of 8 weeks.
On the radiographs of the right femur, the current consolidation of the fracture was noted. Immobilization was discontinued and the patient proceeded to mobilize the right knee joint (Fig. 6 b, c).
Fig. 6. Radiographs of the left femur: signs of fragments displacement, delayed consolidation, TEN migration (a); frontal view of the right femur (b); lateral view of the right femur: signs of current consolidation (c)
After the end of immobilization of the left lower extremity, the patient complained of a persistent restriction of movement in the left knee joint. After 2 months, control radiographs revealed TEN migration to the proximal tibial metaepiphysis (Fig. 7), which caused the blockade of the knee joint and indicated the need for a repeated surgical intervention. The patient complained of pain in the medial regions of the right knee joint during movements. The absolute stability provided by the cancellous screws in the area of the splitting of the left femoral condyles created the conditions for complete consolidation of fracture and an absence of secondary displacement. The fracture of the right femur was also consolidated.
Fig. 7. Radiographs of the left femur: a — frontal view; b — lateral view: migration of TEN into the proximal tibial epiphysial cartilage, delayed consolidation
On June 29, 2016, the child was hospitalized at the EMC for surgical treatment. Upon examination, a persistent restriction of movement in the left knee was revealed. The range of motion in the right knee joint was 5–0–105°, and pain during movements was localized in the projection of the end of the medial TEN.
After the standard preoperative examination, surgical treatment was performed on the same day. To eliminate the blockade for the knee joint, the TEN was removed. Due to the pronounced displacement of fragments of the distal third of femur, comminuted nature of the fracture, and delayed consolidation, a mini-invasive osteosynthesis with a metaphysical plate 3.5 LCP was performed to ensure adequate reposition, stable fixation, and preservation of the periosteal blood circulation, (Fig. 8). Additionally, medial TEN shortening of the right femur was performed. After the surgery, the left lower extremity was immobilized with a rear polymer splint from the lower third of the shin to the upper third of the femur for a period of 10 days.
Fig. 8. Intraoperative radiographs of the left femur, mini-invasive osteosynthesis with a metaphysical plate (a); postoperative plain radiograph of the femurs in the frontal view (b)
In the postoperative period, according to laboratory data, a decrease in red blood indices was evident (Hb 64 g/L, Ht 20.30 %, Er 2.67 106/mcl), which required a single dose of packed erythrocyte transfusion. After stabilization of the condition, the hemoglobin level increased (Hb 89 g/L, Ht 28.60 %, Er 3.50 106/mcl) and the pain syndrome reduced to 3–4 points on VAS. On day 4 after the surgery, the patient was transferred to other health facility of Moscow for case follow-up and rehabilitation therapy.
Joint movements in the operated limb were fully allowed after the termination of immobilization. The patient fully developed movements in the left knee joint one month after the termination of immobilization. Control radiographs made one month after the surgery revealed no signs of plate migration. Two and a half months after the surgery, the patient moved independently on crutches. After shortening TEN in the area of right femur, she did not have pain sensations.
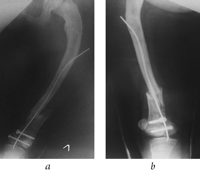
On September 24, 2016, the patient felt severe pain in her left femur while walking. She visited the primary care facility, where, according to the results of X-ray, a re-implant fracture of the left femur was diagnosed (Fig. 9 a).
Fig. 9. Reimplantation fracture of the left femur, lack of complete consolidation of the distal third of the shaft, frontal view (a); postoperative radiographs of the left femur, frontal view (b)
On September 29, 2016, the patient was taken to EMC. Due to the unstable nature of the fracture, displacement of fragments, severe pain, blood loss, and the need for early activation in order to prevent hypokinetic osteoporosis, surgical treatment was indicated.
After the standard preoperative preparation, the surgery was performed on the same day. Due to the lack of complete consolidation of the distal third of the shaft, it was impossible to remove the plate (see Fig. 9 a). It was decided to perform antegrade intramedullary osteosynthesis with TEN. The channel in the proximal part of the distal fragment was sealed, due to which we removed the proximal screws from the plate temporarily and formed a channel. The distal fixation of the TEN was obstructed by screws blocked in the plate. Due to the pre-curved distal end of TEN, it was possible to bypass all the screws with both rods, which provided additional stability in the distal fragment due to the tight contact between the rods and screws. Due to special aspects of rods installation in the distal fragment, we could not insert two rods of the same diameter; TEN d = 2.5 mm was set the first, and TEN d = 2.0 mm was the second. Next, the proximal end of the plate was blocked by two screws (Fig. 9 b). After the surgery, the left lower extremity was immobilized with a posterior polymer splint from the lower third of the shin to the upper third of the femur for a period of 4 weeks.
According to postoperative blood tests (Hb 85 g/L, Ht 25.60 %, Er 3.31 106/mcl), there was no indication of a need for packed erythrocytes transfusion. On day 5 of hospitalization, the patient’s condition was stable, the pain was estimated at 3–4 points on VAS, and the patient was discharged for case follow-up and rehabilitation therapy in a primary care facility.
Outcome and treatment results
The fracture consolidation was assessed by radiographs performed in a primary care facility 1, 2, 6, 12, 24 months postoperatively. Due to the lack of a rehabilitologist in the primary care facility, the patient restored range of motion in the joints and learned to walk independently.
The range of motion in the left knee joint was 10–0–110° 2 month postoperatively. The patient was able to stand up with additional support 1.5 months postoperatively and take several steps with additional support 2 months postoperatively (Fig. 10). There were no infectious complications over the entire follow-up period. According to the radiographs, signs of consolidation of the re-implant fracture appeared 1 and 2 months postoperatively (Fig. 11).
Fig. 10. The appearance of the patient 2 months after the surgery
Fig. 11. Radiograph of the left femur: a — after 1 month; b — after 2 months
However, initial signs of the formation of a false joint were determined on the radiographs 6 months postoperatively (Fig. 12 a); therefore, an increase in axial load was recommended. The patient walked on crutches with a full load on the left lower extremity and she did not complain of pain or pathological mobility. Radiographs at 1-year follow-up revealed an improvement in the consolidation of the re-implant fracture of left femur. Radiographs at 2-year follow-up showed signs of complete consolidation of the fracture (Fig. 12 b, c).
Fig. 12. Plain radiograph 6 months postoperatively, initial signs of formation of a false joint of the left femoral shaft, complete consolidation of the right femoral fracture (a); radiographs of the left knee joint 2 years postoperatively (b); signs of complete consolidation of the left femoral fractures 2 years later (c)
We asked the patient to retrospectively assess her motor mode before the injury, and then 1 and 2 years after the first injury using GFAQ (Gillette Functional Assessment Questionnaire) [13] and Bleck’s Scores [14]. During the last month before injury, the child could move outside the home independently, but only on a flat surface, and help from other people was required to overcome steps and other irregularities, which is estimated at 7 points by GFAQ and at 4 points by Bleck’s Score. A year after the first injury, the child could walk at home, but slowly. She did not use walking as her preferred way to move at home (5 by GFAQ, 3 by Bleck’s Score). Two years after the first injury, she could walk more than 4.5–15 meters away from home, but a wheelchair was necessitated to move outside and in public places (6 by GFAQ, 4 by Bleck’s Score). The results are presented in Fig. 13. The patient complained of instability in the knee joints and muscle hypotrophy in the hips. During verticalization and walking, she was afraid to fall again and cause another fracture. This prevented the expansion of motor mode and prevented the return to the previous level of mobility.
Fig. 13. Patient survey results on the GFAQ and Bleck scales
Discussion
In the surgical treatment of fractures and deformities of femur in OI pediatric patients, internal fixation devices are mainly used, both telescopic (Baily-Dubow/Sheffield, Fassier-Duval) and non-telescopic (Rush, Kirschner wires, TEN) [7]. The presence of an intra-articular component of the fracture did not allow us to confine ourselves to only intramedullary fixation. At the first stage, it was necessary to restore the congruence of the articular surfaces of femoral and tibial bones and create absolute stability between the intra-articular fragments of the fracture. The use of cannulated cancellous screws ensured their accurate installation along the guide wire, and the large diameter (6.5 mm) and wide threaded part enabled them to perform interfragmental compression of fragments under the conditions of poor bone quality. The presence of metal fixators in the distal metaepiphysis of the femur significantly limited the choice of fixator for intramedullary osteosynthesis. The use of telescopic rod in this case was technically difficult due to the presence of a screw in the femoral epiphysis, where one of the telescopic elements is fixed [15]. The main advantages of TEN with this type of fracture include the possibility of choosing the point of rod insertion, the pre-curved simulated tip of the rod, and a wide range of anchor diameters (1.5 to 4.0 mm). According to E.R. Mingazov et al., one should avoid inserting the threaded and rigid anchors through the growth zone to avoid its closure, whereas anchors with a smooth surface, inserted through the growth zone once, do not lead to its closure [11]. The poor quality of the bone is the reason for the frequent migration of TEN [7], which in our case was a factor for repeated surgery. Due to the narrow intramedullary canal, we could not establish two TENs to maintain adequate reposition. Enlarging the intramedullary canal by drilling would entail the deterioration of the patient’s general condition due to severe injury and a vast blood loss.
The use of plates in OI patients is accompanied with a high risk of complications associated with the occurrence of stress load on the bone at the edge of the plate [15-17]. According to J.E. William et al., the incidence of complications after plate osteosynthesis in OI patients is 69%. In 46% of cases, complications were associated with re-implant fractures [17]. Despite this, the use of plate in our clinical case enabled anatomical reposition and the stable fixation of bone fragments. The periosteal blood supply was preserved using a mini-invasive technique that provided conditions for the consolidation of multifragmentary fracture and reduction of immobilization term. The development of hypokinetic osteoporosis in OI patients after prolonged immobilization and an absence of axial load significantly increase the risk of recurrent fractures. This defines the concept of surgical treatment aimed at early activation of the patient. Considering the registered complications, a combined method of extramedullary and intramedullary osteosynthesis for these fractures should be considered.
Two years after the initial injury, we managed to consolidate the fracture of left femur. However, limb length discrepancy and deformities of the femoral bones remained in the patient, which required correction. The elimination of deformities would reduce the risk of recurrent fractures and expand motor mode. Many authors believe that bone reinforcement is necessary to reduce the risk of fractures, which cannot be ensured by TEN due to the continued growth of the child and a lack of telescopic effect with the chosen method of rod insertion.
In our opinion, in this case, the correction of deformities during the treatment of fractures was not possible due to the severity of the patient’s condition. The correction at the first stage would significantly increase the volume of the surgery and volume of blood loss, which were already significant considering the fractures of both femoral bones. During correction in the subsequent two stages, there were significant risks of failure of the bone fragments fixation due to the delayed consolidation of the distal third of the femur.
Thus, after the complete consolidation of fractures, corrective osteotomies can be performed to restore the normal limb anatomy with the fixation of bone fragments using an internal fixation device with telescopic effect. The removal of the plate and two TENs from the left femoral bone, correction of the multiplanar deformity in the subtrochanteric zone with restoration of the neck-shaft angle (which will also shorten the limb), and correction of the multiplanar deformity of the right femur shaft at the border of middle and distal thirds were performed on the patient.
A multidisciplinary approach involving pediatrician, trauma orthopedist, rehabilitologist, endocrinologist, and psychologist is of great importance in the treatment of OI patients. Drug treatment aims at preventing osteoporosis in OI patients. Over the past 20 years, bisphosphonates have been used to treat IO patients. The pediatrician and endocrinologist make up an individual bisphosphonate treatment regimen, which is adjusted based on X-ray densitometry of the spinal bones.
As a result of therapy, bone density increases, which significantly expands the surgical possibilities for treating fractures and correcting deformities. Rehabilitation therapy plays a key role in restoring the motor regime after surgeries. It is aimed at restoring joint movements, strengthening the muscle frame, and learning to walk. Falls are often caused by the instability of the knee joints, along with hyperelasticity and post-immobilization muscle hypotrophy. The use of individual, hinged orthoses in the postoperative period helps to solve this problem [8]. OI pediatric patients often suffer multiple fractures and many of them are afraid of getting a new injury at the rehabilitation stage [1]. Patients often despair and decide not to re-learn to walk or even get up, but are more willing to move in a wheelchair, so the help of a psychologist working with both the child and his parents is very important.
Conclusion
The surgical treatment of an intra-articular multifragmentary fracture of the distal third of the femur in IO pediatric patients is a difficult task for the trauma orthopedist. Low bone density and the presence of growth zones make it impossible to apply classical approaches to the treatment of these fractures. Complete instrumental equipment should be at the disposal of surgeon for implementing the principles of absolute and relative stability under the conditions of poor quality bone tissue. The restoration of the congruence of articular surfaces is of paramount importance. The use of large diameter cancellous screws in the case described above enabled the surgeon to create interfragmental compression and absolute stability of the intra-articular component of fracture. The absence of anatomical reposition and stable fixation led to a delayed consolidation of the fracture of the distal third of left femur.
Despite the high risks of re-implant fractures, the use of a plate was necessary for osteosynthesis of the juxta-articular fracture. Using a mini-invasive osteosynthesis technique, we managed to maintain periosteal blood supply and create conditions for fracture consolidation. The use of predominantly blocked screws reduced the risk of their migration in the postoperative period.
To restore the function of the lower extremities and expansion of the motor regime, OI patients need comprehensive rehabilitation therapy in a specialized health care facility. The primary task of organizing the treatment of severe injuries in OI pediatric patients is to provide a multidisciplinary approach, as a result of which the child can regain the previous level of physical activity.
Additional information
Source of financing. This scientific work was not funded.
Conflict of interest. The authors of the article have no conflicts of interest.
Ethical review. The consent of the patient and her parents to the processing and publication of personal data was obtained.
Contribution of the authors
M.E. Burtsev performed the collection and processing of materials, analysis of the data obtained, writing the text.
A.V. Frolov created the concept and design of the study.
A.N. Logvinov collected and processed the materials.
D.O. Ilyin created the concept and design of the study.
A.V. Korolev created the concept and design of the study.
Acknowledgment. We express gratitude to the Foundation “Khrupkiye lyudi” for organizing the treatment of IO patients in Russia.
About the authors
Mikhail E. Burtsev
ECSTO, European Clinic of Sports Traumatology and Orthopaedics (ECSTO); eoples Friendship University of Russia
Author for correspondence.
Email: drburtsev91@gmail.com
ORCID iD: 0000-0003-1614-1695
SPIN-code: 6268-0522
https://www.emcmos.ru/doctors/burcev-mihail
MD, Orthopaedic Trauma Surgeon; PhD Student in Department of Traumatology and Orthopaedics
Russian Federation, 7, Orlovsky per., Moscow, 129110; 6, Miklukho-Maklaya st., Moscow, 117198Aleksandr V. Frolov
ECSTO, European Clinic of Sports Traumatology and Orthopaedics (ECSTO); eoples Friendship University of Russia
Email: drburtsev91@gmail.com
MD, PhD, Orthopaedic Trauma Surgeon, Chief of Trauma Department; Assistant Professor in Department of Traumatology, Orthopaedics
Russian Federation, 7, Orlovsky per., Moscow, 129110; 6, Miklukho-Maklaya st., Moscow, 117198Aleksei N. Logvinov
ECSTO, European Clinic of Sports Traumatology and Orthopaedics (ECSTO); eoples Friendship University of Russia
Email: drburtsev91@gmail.com
MD, Orthopaedic Trauma Surgeon; PhD Student in Department of Traumatology and Orthopaedics
Russian Federation, 7, Orlovsky per., Moscow, 129110; 6, Miklukho-Maklaya st., Moscow, 117198Dmitry O. Ilyin
ECSTO, European Clinic of Sports Traumatology and Orthopaedics (ECSTO)
Email: drburtsev91@gmail.com
MD, PhD, Orthopaedic Trauma Surgeon
Russian Federation, 7, Orlovsky per., Moscow, 129110Andrey V. Korolev
ECSTO, European Clinic of Sports Traumatology and Orthopaedics (ECSTO); eoples Friendship University of Russia
Email: drburtsev91@gmail.com
MD, PhD, Professor, Orthopaedic Trauma Surgeon, Chief Doctor and Medical Director; ); Professor in Department of Traumatology and Orthopaedics
Russian Federation, 7, Orlovsky per., Moscow, 129110; 6, Miklukho-Maklaya st., Moscow, 117198References
- Sillence DO, Rimoin DL, Danks DM. Clinical variability in osteogenesis imperfecta — variable expressivity or genetic heterogeneity. Birth Defects Orig Artic Ser. 1979;15(5B):113-129.
- van Dijk FS, Sillence DO. Osteogenesis imperfecta: clinical diagnosis, nomenclature and severity assessment. Am J Med Genet A. 2014;164A(6):1470-1481. https://doi.org/10.1002/ajmg.a.36545.
- McAllion SJ, Paterson CR. Causes of death in osteogenesis imperfecta. J Clin Pathol. 1996;49(8):627-630. https://doi.org/10.1136/jcp.49.8.627.
- Forlino A, Cabral WA, Barnes AM, Marini JC. New perspectives on osteogenesis imperfecta. Nat Rev Endocrinol. 2011;7(9):540-557. https://doi.org/10.1038/nrendo.2011.81.
- Willing MC, Deschenes SP, Scott DA, et al. Osteogenesis imperfecta type I: molecular heterogeneity for COL1A1 null alleles of type I collagen. Am J Hum Genet. 1994;55(4):638-647.
- Esposito P, Plotkin H. Surgical treatment of osteogenesis imperfecta: current concepts. Curr Opin Pediatr. 2008;20(1):52-57. https://doi.org/10.1097/MOP.0b013e3282f35f03.
- Fassier F. Fassier-Duval Telescopic System: How I Do It? J Pediatr Orthop. 2017;37 Suppl 2:S48-S51. https://doi.org/10.1097/BPO.0000000000001024.
- Rosemberg DL, Goiano EO, Akkari M, Santili C. Effects of a telescopic intramedullary rod for treating patients with osteogenesis imperfecta of the femur. J Child Orthop. 2018;12(1):97-103. https://doi.org/10.1302/1863-2548.12.170009.
- Trejo P, Fassier F, Glorieux FH, Rauch F. Diaphyseal Femur Fractures in Osteogenesis Imperfecta: Characteristics and Relationship with Bisphosphonate Treatment. J Bone Miner Res. 2017;32(5):1034-1039. https://doi.org/10.1002/jbmr.3071.
- Мингазов Э.Р., Попков А.В., Кононович Н.А., и др. Результаты применения интрамедуллярного трансфизарного эластичного армирования у пациентов с тяжелыми формами несовершенного остеогенеза // Гений ортопедии. – 2016. – № 4. – C. 6–16. [Mingazov ER, Popkov AV, Kononovich NA, et al. Results of using transphyseal elastic intramedullary nailing in patients with severe types of osteogenesis imperfecta. Genii ortopedii. 2016;(4):6-16. (In Russ.)]. https://doi.org/10.18019/1028-4427-2016-4-6-16.
- Pichard CP, Robinson RE, Skolasky RL, et al. Surgical blood loss during femoral rodding in children with osteogenesis imperfecta. J Child Orthop. 2009;3(4):301-305. https://doi.org/10.1007/s11832-009-0190-9.
- Francois R. Fassier. Osteogenesis imperfecta. In: Sanjeev Sabharwal, editor. Pediatric Lower Limb Deformities: principles and techniques of management. Springer; 2016. P. 255-265.
- medi.ru [интернет]. Несовершенный остеогенез [доступ от 17.02.2019]. Доступно по: https://medi.ru/klinicheskie-rekomendatsii/nesovershennyj-osteogenez_14106/. [Medi.ru [Internet]. Imperfect osteogenesis [cited 2019 Feb 17]. Available from: https://medi.ru/klinicheskie-rekomendatsii/nesovershennyj-osteogenez_14106/. (In Russ.)]
- Bleck E. Nonoperative Treatment of Osteogenesis Imperfecta: Orthotic and Mobility Management. Clin Orthop Relat Res. 1981;159:111-122.
- Lin TY, Yang CY, Liu SC. Corrective osteotomy with retrograde Fassier-Duval nail in an osteogenesis imperfecta patient with bilateral genu valgum: A case report. Medicine (Baltimore). 2017;96(47):e8459. https://doi.org/10.1097/MD.0000000000008459.
- Thomas IH, DiMeglio LA. Advances in the Classification and Treatment of Osteogenesis Imperfecta. Curr Osteoporos Rep. 2016;14(1):1-9. https://doi.org/10.1007/s11914-016-0299-y.
- Enright WJ, Noonan KJ. Bone plating in patients with type III osteogenesis imperfecta: results and complications. Iowa Orthop J. 2006;26:37-39.
Supplementary files

















