Endovideosurgery in treating large nonparasitic hepatic cysts
- Authors: Sigua B.V.1, Zemlyanoy V.P.1, Kachiuri A.S.1, Gurjii D.V.1, Abdulaeva R.M.1, Vinnichuk S.A.1, Zakharov E.A.1
-
Affiliations:
- North-Western State Medical University named after I.I. Mechnikov
- Issue: Vol 11, No 1 (2019)
- Pages: 55-60
- Section: Case report
- Submitted: 16.12.2018
- Accepted: 18.12.2018
- Published: 25.04.2019
- URL: https://journals.eco-vector.com/vszgmu/article/view/10721
- DOI: https://doi.org/10.17816/mechnikov201911155-60
- ID: 10721
Cite item
Full Text
Abstract
Background. Liver cysts despite their low prevalence are an important issue in surgical hepatology. Among the indicatiors of the problem are often on the one hand, an asymptomatic course and on the other hand, possible complications such as compression of vessels and bile ducts, suppuration with abscesses and their rupture leading to peritonitis.
Material and methods. The article presents the experience of treating the patient with a large nonparasitic liver cyst, as well as the technical aspects of surgery and the immediate results of the treatment.
Results. The use of endovideosurgical technologies in treating patients with large nonparasitic liver cysts reduces the length of hospital stays, minimizing postoperative complications, as well as the period of rehabilitation.
Conclusion. The use of external drainage of nonparasitic liver cysts under the control of medical imaging methods is preferable in the presence of infectious complications of cysts as a preparatory stage for radical treatment. Laparoscopic treatment of patients with large nonparasitic liver cysts is characterized by the lowest complication and recurrence rates and for repeated surgical interventions.
Keywords
Full Text
Введение
Кистой печени называют разнообразные нозологические формы, объединяемые по одному признаку: образованию в печени полости или полостей, заполненных жидкостью. Заболевание встречается примерно у 0,8 % населения. Расположение кист печени, как правило, не имеет никакой закономерности. Кисты могут определяться в разных долях и сегментах печени.
Кистой печени (простой кистой) обычно называют единичные (солитарные) непаразитарные кисты печени. Однако существует несколько типов кистозных образований печени, с которыми необходимо дифференцировать простые кисты печени для выбора правильного метода лечения. К ним относятся паразитарные кисты, абсцессы, цистоаденомы [1, 7].
Выделяют несколько причин возникновения непаразитарных кист [2]. Истинные кисты происходят из зачатков желчных ходов, остатка зародышевой ткани вследствие нарушения процессов развития и дифференциации. Считается, что множественные кисты в области ветвей воротной вены происходят из околопротоковых желез. Одной из причин образования кист служат внутрипеченочные нарушения циркуляции в ветвях воротной вены. Образуются замкнутые полости, внутри которых скапливается жидкость, продуцируемая клетками эпителиальной выстилки [3, 6]. Кисты связок печени могут образовываться вследствие инвагинации и отшнуровывания участка брюшины с формированием замкнутой полости.
Следует отметить, что кисты могут локализоваться в различных долях и сегментах печени. Они располагаются в глубине или у поверхности, могут выпячиваться из печени и даже связываться с печенью тонкой перемычкой («ножкой»). Часть кист находится в связках печени. Размеры кист варьируют от нескольких миллиметров до десятков сантиметров в диаметре. Диаметр кист может составлять от 1−2 мм до 25 см и более. Соответственно объем кист может достигать 10 и даже 16 литров [5].
Главная особенность непаразитарных кист печени заключается в их преимущественно бессимптомном течении. Неопределенные боли в правом подреберье и эпигастральной области связаны со сдавлением паренхимы печени и растяжением глиссоновой капсулы (проявляются ноющими и тупыми болями в правом боку и около пупка, чувством тяжести и давления в области правого подреберья и подложечной области, нарушением стула, тошнотой, рвотой (после приема пищи)). Также может наблюдаться асимметрия живота, определяться опухолевидное образование в правом подреберье. При компрессии воротной вены развиваются признаки портальной гипертензии (асцит, варикозное расширение вен в пищеводе и др.); при компрессии желчных протоков — механическая желтуха; при сдавлении 12-перстной кишки — дуоденостаз [4, 9].
Диагноз ставят после проведения комплекса инструментальных исследований. Решающий фактор в диагностике принадлежит ультразвуковому исследованию (УЗИ) и спиральной компьютерной томографии (СКТ) или магнитно-резонансной томографии (МРТ). Характерными особенностями при УЗИ непаразитарных кист являются эхонегативные жидкостные образования округлой или овальной формы с четкими ровными контурами и тонкой капсулой. Отмечаются повышенное отражение эхосигнала от задней стенки кисты и эффект усиления за ней, часто с боковым ослаблением эхосигнала. При компьютерной томографии солитарная киста печени определяется в виде образования с четкими контурами низкой рентгеновской плотности [7, 10].
В ряде случаев трудно дифференцировать непаразитарную кисту печени от эхинококковой. При этом весьма ценными являются серологические пробы на эхинококкоз.
Непаразитарные кисты печени могут осложняться разрывом, перекручиванием ножки и некрозом, а также нагноением. В таких случаях развивается картина перитонита и больного госпитализируют по срочным показаниям, оперируя с различными диагнозами (острый аппендицит, гематогенный перитонит, перфоративная язва желудка и др.).
При выборе метода лечения кист учитывают размеры, объем, характер и локализацию образования, а также возраст пациента и сопутствующие заболевания. Из сопутствующих заболеваний чаще других отмечаются: хронический панкреатит (13,3 %), хронический бескаменный холецистит (11,5 %), хронический калькулезный холецистит (11,5 %). Для лечения непаразитарных кист печени применяют открытые вмешательства, лапароскопические операции и чрескожные пункции под УЗИ-контролем с аспирацией содержимого кисты и введением 96 % этанола [6, 7, 10].
Цель исследования — оценить эффективность использования малоинвазивных технологий в лечении пациентов, страдающих большими непаразитарными кистами печени.
Материал и методы
Представлен опыт лечения пациентки с большой непаразитарной кистой печени, а также отражены технические аспекты оперативного вмешательства и непосредственные результаты лечения.
Наружное дренирование непаразитарных кист печени под контролем методов медицинской визуализации предпочтительнее при наличии инфекционных осложнений кист, как подготовительный этап для проведения радикального лечения. Лапароскопическое лечение пациентов с большими непаразитарными кистами печени характеризуется наименьшим числом осложнений, низкой частотой рецидивов, отсутствием необходимости в повторных хирургических вмешательствах.
Приводим собственное клиническое наблюдение успешного лечения большой непаразитарной кисты печени.
Пациентка A., 67 лет, госпитализирована в плановом порядке 30.03.2018 в клинику факультетской хирургии им. И.И. Грекова Северо-Западного государственного медицинского университета им. И.И. Мечникова с диагнозом направления: «Желчнокаменная болезнь. Хронический калькулезный холецистит, вне обострения. Киста печени».
Из анамнеза известно, что в 2017 г. с гипертоническим кризом в экстренном порядке была госпитализирована в один из стационаров города, где в ходе обследования обнаружили конкременты желчного пузыря и кисту печени.
По данным эндоскопии выявлен пептический рефлюкс-эзофагит, скользящая грыжа пищеводного отверстия диафрагмы 1-й ст., поверхностный гастродуоденит, дуоденогастральный рефлюкс. По данным УЗИ органов брюшной полости: гемангиома, кистозное образование правой доли печени (S 7, 8) размером 112 × 89 мм; в просвете желчного пузыря лоцируется группа подвижных конкрементов, с четкой акустической тенью, до 11 мм в диаметре.
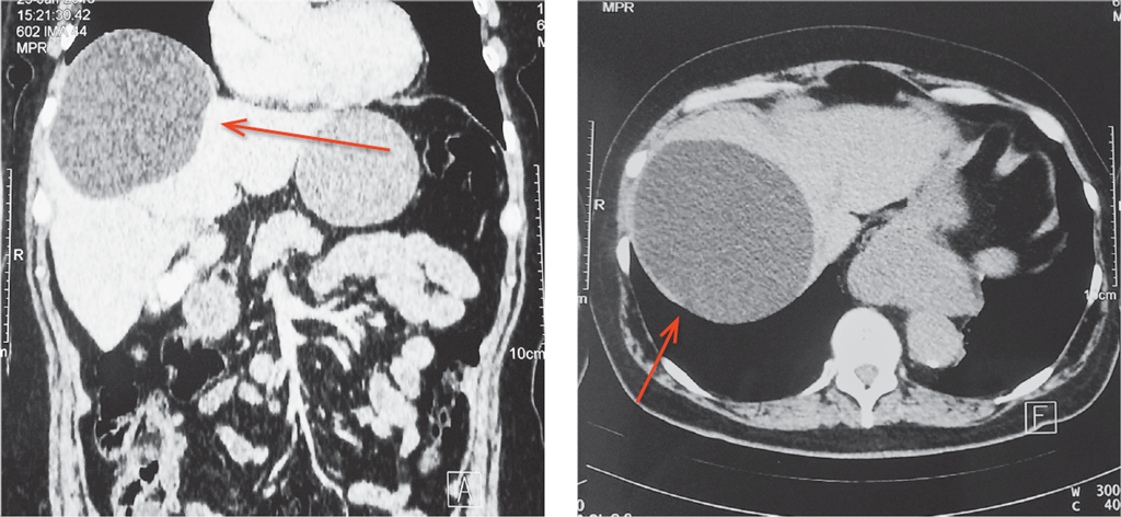
Кроме того, выполнено СКТ органов брюшной полости, при котором установлено, что в VII, VIII сегментах, субкапсулярно, определяется кистозное образование с четкими контурами, неправильной формы, размером 120 × 110 × 101 мм (рис. 1).
Рис. 1. МСКТ-картина кистозного образования печени
Fig. 1. MSCT image of hepatic cyst lesion
Паразитарная природа кисты исключена с помощью иммуноферментного анализа крови (эхинококковые антитела класса G).
С учетом лабораторных и инструментальных данных принято решение о выполнении симультанной операции в плановом порядке в объеме: лапароскопическая холецистэктомия, лапароскопическая фенестрация кисты печени.
Под комбинированной анестезией параумбиликально, доступом по Хассену установлен лапаропорт. Карбоксиперитонеум — 12 мм рт. ст., установлены оптическая система, троакары с рабочими инструментами: 2 троакара по 5 мм — в правое подреберье, троакар 12 мм — в эпигастрии. При ревизии: прядь сальника и 12-перстной кишки подпаяна к краю правой доли печени (спайки разобщены). В брюшной полости выпота нет. Желчный пузырь размером 10 × 4 × 4 см. Раздельно выделены, клипированы и пересечены пузырный проток и пузырная артерия. Выполнена холецистэктомия «от шейки». Ложе желчного пузыря обработано электрокоагуляцией. В проекции VII сегмента с переходом на VIII сегмент печени визуализирована киста (рис. 2).
Рис. 2. Киста печени
Fig. 2. Liver cyst
Выполнена пункция, получено около 700 мл, прозрачного экссудата (материал отправлен на бактериологическое исследование). Стенки кисты иссечены с помощью аппарата LigaSure (препарат отправлен на патогистологическое исследование). Ложе кисты обработано аргоноплазменной коагуляцией (Söring) (рис. 3). Выполнен контроль гемостаза и холестаза. Установлены дренаж в ложе желчного пузыря и два дренажа в ложе кисты.
Рис. 3. Ложе кисты после обработки аргоноплазменной коагуляцией
Fig. 3. Cyst bed after argon plasma coagulation treatment
Послеоперационный период протекал без осложнений. Дренажи из брюшной полости были удалены на вторые и третьи сутки. На пятые сутки после операции выполнено контрольное УЗИ органов брюшной полости — свободной жидкости в брюшной полости и очагово-инфильтративных изменений не выявлено. Пациентка была выписана на 7-е сутки в удовлетворительном состоянии.
Патогистологическое исследование стенки непаразитарной кисты печени № 1628 от 04.04.2018: «Фиброзная стенка кисты печени с очагами кровоизлияния. В печени дистрофия и очаговая гипертрофия гепатоцитов, мелкие очаги фиброза» (рис. 4).
Рис. 4. Патогистологическая картина печени с кистой (a), стенка кисты (b)
Fig. 4. Histopathological picture of the liver with a cyst (a), cyst wall (b)
Бактериологическое исследование интраоперационного материала от 06.04.2018 — роста нет.
Таким образом, современные методы исследования (УЗИ, СКТ) позволили диагностировать непаразитарную кисту печени, локализовавшуюся интрапаренхиматозно, а эндовидеохирургические технологии — осуществить малотравматичное оперативное вмешательство. Лапароскопия является значимым звеном в современной тактике хирургического лечения больных с непаразитарными кистами печени, а использование аргоноплазменной коагуляции дает возможность создавать плотно прилегающий струп за счет бесконтактного воздействия высокочастотного тока в ионизированной среде.
Результаты
Использование эндовидеохирургических технологий в лечении пациентов с большими непаразитарными кистами печени сокращает сроки пребывания в стационаре, сводит к минимуму послеоперационные осложнения, при этом сокращается период реабилитации.
About the authors
Badri V. Sigua
North-Western State Medical University named after I.I. Mechnikov
Email: dr.sigua@gmail.com
ORCID iD: 0000-0002-4556-4913
д.м.н., профессор кафедры факультетской хирургии им. И.И. Грекова
Russian Federation, 41, Kirochnaya street, Saint-Petersburg, 191015Vyacheslav P. Zemlyanoy
North-Western State Medical University named after I.I. Mechnikov
Email: zeml.spb@mail.ru
ORCID iD: 0000-0003-2329-0023
д.м.н. профессор, заведующий кафедрой факультетской хирургии им. И.И. Грекова, декан хирургического факультета
Russian Federation, 41, Kirochnaya street, Saint-Petersburg, 191015Andrey S. Kachiuri
North-Western State Medical University named after I.I. Mechnikov
Email: Kachiuria@mail.ru
врач-хирург хирургического отделения №2
Russian Federation, 41, Kirochnaya street, Saint-Petersburg, 191015Dmitrii V. Gurjii
North-Western State Medical University named after I.I. Mechnikov
Email: gurzhiydv@ro.ru
к.м.н., заведующий хирургическим отделением №2 больницы им. Петра Великого
Russian Federation, 41, Kirochnaya street, Saint-Petersburg, 191015Raisat M. Abdulaeva
North-Western State Medical University named after I.I. Mechnikov
Email: abdulaeva_raiska@mail.ru
клинический ординатор факультетской хирургии им. И. И. Грекова.
Russian Federation, 41, Kirochnaya street, Saint-Petersburg, 191015Sergey A. Vinnichuk
North-Western State Medical University named after I.I. Mechnikov
Email: s.a.vinnichuk@gmail.com
ORCID iD: 0000-0002-9590-6678
SPIN-code: 6448-9110
к.м.н., доцент кафедры патологической анатомии, заведующий Центральным патологоанатомическим отделением ФГБОУ ВО СЗГМУ им. И.И. Мечникова МЗ РФ
Russian Federation, 41, Kirochnaya street, Saint-Petersburg, 191015Evgeni A. Zakharov
North-Western State Medical University named after I.I. Mechnikov
Author for correspondence.
Email: dr.zakharovea@gmail.com
ORCID iD: 0000-0002-2070-7420
Клинический ординатор кафедры факультетской хирургии им. И.И. Грекова
Russian Federation, 41, Kirochnaya street, Saint-Petersburg, 191015References
- Ахаладзе Г.Г., Нанеташвили М.Г., Чевокин А.Ю., Гальперин Э.И. Хирургическое лечение непаразитарных кист печени // Анналы хирургической гепатологии. – 1999. – Т. 4. – № 1. – С. 29–33. [Akhaladze GG, Nanetashvili MG, Chevokin AYu, Gal’perin EI. Khirurgicheskoe lechenie neparazitarnykh kist pecheni. Annaly khirurgicheskoi gepatologii. 1999;4(1):29-33. (In Russ.)]
- Береснев А.В., Сипливый В.А., Садовский Г.В. Хирургическое лечение непаразитарных кист печени // Анналы хирургической гепатологии. – 1996. – Т. 1. – С. 199. [Beresnev AV, Siplivyi VA, Sadovskii GV. Khirurgicheskoe lechenie neparazitarnykh kist pecheni. Annaly khirurgicheskoi gepatologii. 1996;1:199. (In Russ.)]
- Глушков H.H., Скородумов А.В., Пахмутова Ю.А. Возможности ультрасонографии в диагностике и лечении непаразитарных кист и абсцессов печени // Вестник хирургии им. И.И. Грекова. – 2009. – Т. 168. – № 3. – С. 76–78. [Glushkov HH, Skorodumov AV, Pakhmutova YuA. Vozmozhnosti ul’trasonografii v diagnostike i lechenii neparazitarnykh kist i abstsessov pecheni. Vestnik khirurgii im. I.I. Grekova. 2009;168(3):76-78. (In Russ.)]
- Clinical guidelines for the diagnosis and treatment of benign liver tumors. Journal of Hepatology. 2016;65:386-398.
- Лебедев М.С. Инновационные технологии в диагностике и хирургическом лечении очаговых образований печени (обзор) // Саратовский научно-медицинский журнал. – 2011. – Т. 7. – № 2. – С. 525–528. [Lebedev MS. Innovatsionnye tekhnologii v diagnostike i khirurgicheskom lechenii ochagovykh obrazovanii pecheni (obzor). Saratovskii nauchno-meditsinskii zhurnal. 2011;7(2):525-528. (In Russ.)]
- Пышкин С.А., Аладин А.С., Борисов Д.Л., и др. Лечебная тактика при неосложненных непаразитарных кистах печени // Хирургия. – 2008. – № 11. – С. 35–38. [Pyshkin SA, Aladin AS, Borisov DL, et al. Lechebnaya taktika pri neoslozhnennykh neparazitarnykh kistakh pecheni. Khirurgiya. 2008;(11):35-38. (In Russ.)]
- Толстиков А.П. Минимально инвазивная хирургия в лечении больных с непаразитарными кистами печени // Медицинский альманах. – 2010. – № 1(10). – С. 151–152. [Tolstikov AP. Minimal’no invazivnaya khirurgiya v lechenii bol’nykh s neparazitarnymi kistami pecheni. Meditsinskii Al’manakh. 2010;1(10):151-152. (In Russ.)]
- Федоров В.Д. Диагностика и хирургическое лечение метастатических поражений печени: 50 лекций по хирургии. – М.: Литтерра, 2003. – С. 194–198. [Fedorov VD. Diagnostika i khirurgicheskoe lechenie metastaticheskikh porazhenii pecheni: 50 lektsii po khirurgii. Moscow: Litterra; 2003. P. 194-198. (In Russ.)]
- Kornprat P, et al. Surgical therapy options in polycystic liver disease. Wien Klin Wochenschr. 2005;117(5-6):215-218. (In German)
- Ishikawa H, Uchida S, Yokokura Y. Nonparasitic solitary huge liver cysts causing intracystic hemorrhage or obstructive jaundice. Hepatobilliary Pancreat Surg. 2002;9(6):764-768.
Supplementary files
