Clinical case of an acute toxic-allergic reaction due to single intake of methotrexate
- Authors: Mazurov V.I.1, Shostak M.S.1, Kalinina E.Y.1, Ripachev V.V.1, Bashkinov R.A.1
-
Affiliations:
- North-Western State Medical University named after I.I. Mechnikov
- Issue: Vol 11, No 2 (2019)
- Pages: 53-58
- Section: Case report
- Submitted: 18.02.2019
- Accepted: 21.03.2019
- Published: 09.08.2019
- URL: https://journals.eco-vector.com/vszgmu/article/view/11101
- DOI: https://doi.org/10.17816/mechnikov201911253-58
- ID: 11101
Cite item
Full Text
Abstract
This is the case report of an acute allergic reaction in a patient with psoriatic arthritis due to a single intake of low-dose methotrexate. We review the presentation, laboratory tests and results of autopsy. The management of the disease and its outcome were analyzed according to current treatment recommendations for psoriatic arthritis.
Full Text
Введение
Псориатический артрит (ПсА) представляет собой важную медицинскую и социальную проблему для ревматологии и дерматологии, поскольку встречается у 1,4 % лиц в общей популяции и быстро приводит к инвалидизации и снижению качества жизни пациентов [1, 2]. Помимо кожных проявлений различной степени тяжести ПсА характеризуется прогрессирующим поражением опорно-двигательного аппарата, вовлечением в патологический процесс различных органов и систем, а также повышением сердечно-сосудистого риска.
Современная комплексная терапия ПсА включает широкий спектр базисных противовоспалительных препаратов (сульфасалазин, гидроксихлорохин, метотрексат). Что касается нестероидных противовоспалительных препаратов (НПВП) и глюкокортикостероидов (ГКС), то, несмотря на уменьшение выраженности болевого синдрома и улучшение качества жизни в период их применения, они принципиально не влияют на прогрессирование деструктивного процесса в суставах и сроки наступления инвалидности [3]. Напротив, базисные противовоспалительные препараты (БПВП) в адекватных дозах, при удовлетворительной переносимости пациентом, позволяют свести к минимуму дозы НПВП и ГКС, которые вызывают ряд значимых нежелательных явлений со стороны органов желудочно-кишечного тракта, печени, почек, сердечно-сосудистой системы, а также могут снижать минеральную плотность костной ткани и вызывать остеопоротические переломы костей различной локализации даже при их применении короткими курсами [4]. Более того, системное применение ГКС имеет ограничение в связи с возможным утяжелением течения псориатического процесса [1, 5, 6].
Общепринятым фактом является то, что среди БПВП наилучшим профилем безопасности и наилучшей эффективностью обладает метотрексат (МТ), благодаря чему он внесен в перечень препаратов первой линии терапии активного ПсА [1, 7]. Помимо влияния на суставной синдром, МТ оказывает положительное действие на кожный псориаз [6]. Согласно клиническим рекомендациям EULAR при лечении МТ требуется динамическое наблюдение за пациентом с ПсА для оценки эффективности и безопасности терапии. Подтверждает необходимость соблюдения данных положений описываемый ниже клинический случай [8, 9].
Течение заболевания
Пациентка М., 66 лет, с ноября 2013 г. наблюдалась в нефрологическом центре ФГБОУ ВО СЗГМУ им. И.И. Мечникова» с диагнозом: «Сахарный диабет 2-го типа, протекающий с инсулиновой недостаточностью и значимыми осложнениями в виде поражения периферической нервной системы (полинейропатия), глаз (ретинопатия) и почек (диабетическая нефропатия с формированием хронической болезни почек (ХБП))». Наряду с сахарным диабетом, пациентка длительное время страдала кожным псориазом и ПсА (более 5 лет). С дебюта заболевания находилась в спонтанной ремиссии на фоне симптоматического лечения НПВП. Базисную терапию, в том числе метотрексат, не получала, у ревматолога не наблюдалась. Отмечалось постепенное прогрессирование ХБП до терминальной стадии, что послужило поводом к переводу пациентки на хронический гемодиализ, который постоянно получала с 2014 г. в отделении диализа № 2 ФГБУ ВО «СЗГМУ им. И.И. Мечникова».
В июле 2018 г. у пациентки стали нарастать явления кожного псориаза и ПсА (постепенное усиление боли и припухлости в мелких суставах кистей и стоп, лучезапястных, коленных суставов с двух сторон). В сентябре 2018 г. обратилась к ревматологу по месту жительства, согласно критериям CASPAR 2006 г. был подтвержден диагноз: «Псориатический артрит, полиартрит, активность 2-й степени (DAPSA-17 баллов), ФК 2, осложненный синдромом карпального канала справа». Ввиду высокой клинико-лабораторной активности заболевания пациентке был рекомендован метотрексат в начальной дозе 10 мг в неделю per os и фолиевая кислота 5 мг в неделю (в день, свободный от приема метотрексата, и не менее чем через 24 ч после его приема). Были даны подробные рекомендации по схеме приема препарата и динамическому клинико-лабораторному контролю ревматологом по месту жительства 1 раз в месяц первые 3 месяца, далее 1 раз в 3 месяца.
15.09.2018 согласно рекомендации пациентка приняла одну таблетку метотрексата 2,5 мг после сеанса гемодиализа, общее самочувствие оставалось удовлетворительным. Во время планового сеанса гемодиализа 18.09.2018 пациентка не сообщила лечащему нефрологу о начале приема метотрексата в рамках терапии ПсА. О том, что пациентка начала прием метотрексата, нефрологу стало известно непосредственно перед очередным сеансом гемодиализа, запланированным на 20.09.2018. Лечащий нефролог рекомендовал прекратить прием препарата. Пациентке экстренно выполнен клинический анализ крови, по результатам которого отмечено снижение уровня гемоглобина (117 г/л) и незначительная абсолютная лимфоцитопения (0,8 · 109/л), остальные показатели гемограммы были в пределах нормальных значений (табл. 1). Так как жалобы со стороны пациентки отсутствовали и показатели гемограммы отклонялись от нормы незначительно, экстренные лечебные меры не требовались, и пациентке было рекомендовано явиться в стационар для клинико-лабораторного контроля и планового гемодиализа через два дня. 22.09.2018 во время визита в стационар пациентка предъявила жалобы на появление и постепенное нарастание слабости, мелкоточечные высыпания по всей поверхности кожи геморрагического характера, не сливающиеся между собой и возвышающиеся над поверхностью кожи, обострение кожных проявлений псориаза, а также впервые возникшие проявления буллезной токсикодермии (повышенная чувствительность и покраснение слизистой ротовой полости, кровянистые выделения из носа и прямой кишки). В клиническом анализе крови был выявлен агранулоцитоз (см. табл. 1), что послужило поводом к экстренной госпитализации в отделение реанимации СПбГБУЗ «Александровская больница» для проведения интенсивной терапии стимуляторами гемопоэза, компонентами крови, антибактериальными препаратами. Несмотря на проводимую в отделении терапию в период с 22.09.2018 по 25.09.2018, наблюдалась отрицательная динамика в виде ухудшения самочувствия, прогрессирования лейкопении (0,85 · 109/л — 0,56 · 109/л — 0,24 · 109/л — 0,21 · 109/л) и тромбоцитопении (135 · 109/л — 82 · 109/л — 40 · 109/л — 30 · 109/л).
Таблица 1 / Table 1
Динамика показателей клинического анализа крови пациентки
The dynamics of the CBC parameters
Дата | Лейкоциты | Тромбоциты | Эритроциты | Гемоглобин |
20.09.2018 | 7,7 · 109/л (нейтрофилы — 6,8 · 109/л, лимфоциты — 0,8 · 109/л) | 291 · 109/л | 3,69 · 1012/л | 117 г/л |
22.09.2018 | 1 · 109/л (нейтрофилы — 0,7 · 109/л, лимфоциты — 0,3 · 109/л) | 144 · 109/л | 3,52 · 1012/л | 113 г/л |
25.09.2018 | 0,3 · 109/л | 16 · 109/л | 3,15 · 1012/л | 97 г/л |
26.09.2018 | 0,2 · 109/л (нейтрофилы — 0 · 109/л, лимфоциты — 0,2 · 109/л, бласты — 1 %) | 5 · 109/л (по Фонио — 8 промилле) | 2,44 · 1012/л | 78 г/л |
27.09.2018 | 0,0077 · 109/л | 2 · 109/л | 2,23 · 1012/л | 71 г/л |
25.09.2018 переведена из СПбГБУЗ «Александровская больница» в отделение реанимации и интенсивной терапии 18-2 ФГБОУ ВО «СЗГМУ им. И.И. Мечникова» для проведения гемодиализа и продолжения лечения, где была осмотрена нефрологом, терапевтом, дерматологом, верифицировавшим буллезную токсикодермию, скорее всего связанную с приемом метотрексата. На фоне терапии преднизолоном, лейкостимом, антибактериальными препаратами и симптоматического лечения, в том числе и регулярных инфузий свежезамороженной плазмы, состояние пациентки ухудшалось, показатели клинического анализа крови прогрессивно снижались (см. табл. 1). Несмотря на комплекс осуществляемых лечебных мероприятий, 28.09.2018 пациентка скончалась.
Динамика основных показателей клинического анализа крови, биохимических показателей и коагулограммы представлены в табл. 1–3.
Таблица 2 / Table 2
Динамика биохимических показателей сыворотки крови за время нахождения в отделении реанимации и интенсивной терапии
The dynamics of the blood serum test over the course of intensive care unit stay
Показатели | 25.09.2018 | 26.09.2018 | 27.09.2018 |
Калий сыворотки | 6,51 ммоль/л | 5,57 ммоль/л | 4,07 ммоль/л |
Глюкоза венозной крови | 12,9 ммоль/л | 14,5 ммоль/л | 11,8 ммоль/л |
АЛТ | 40 Ед/л | – | 59 Ед/л |
АСТ | 47 Ед/л | – | 84 Ед/л |
Креатинин | 624 мкмоль/л | – | – |
Мочевина | 23,1 ммоль/л | – | – |
Билирубин общий | 48 мкмоль/л | – | 78 мкмоль/л |
Креатинфосфокиназа | 197 Ед/л | – | 266 Ед/л |
Креатинфосфокиназа миоглобиновая | 45 Ед/л | – | 32 Ед/л |
Амилаза | 167 Ед/л | – | 125 Ед/л |
Альбумин | 29 г/л | – | 34 г/л |
Прокальцитонин | 9,28 нг/л | ||
С-реактивный белок | – | 365,83 мг/л | – |
СОЭ | – | 75 мм/ч | – |
Таблица 3 / Table 3
Динамика показателей коагулограммы за время нахождения в отделении реанимации и интенсивной терапии
The dynamics of the coagulation parameters over the course of intensive care unit stay
Дата | АЧТВ | Фибриноген по Клауссу | МНО |
25.09.2018 | 35,7 с | 9,62 г/л | 3,17 |
26.09.2018 | 55,5 с | 8,85 г/л | 2,64 |
27.09.2018 | 34,4 с | 7,51 г/л | – |
По данным аутопсии в отделении патологической анатомии ФГБОУ ВО «СЗГМУ им. И.И. Мечникова» смерть наступила от прогрессирующей хронической почечной недостаточности, утяжеленной обширным некротическим поражением кожи (буллезная токсидермия) и геморрагическим синдромом. Осложнения были обусловлены апластической анемией, подтвержденной постмортальным гистологическим исследованием костного мозга, преимущественно представленного жировой тканью с резким обеднением всех ростков кроветворения.
Данные гистологического исследования органов
Кожа: акантоз, гиперкератоз, резкое утолщение рогового слоя, зернистый слой отсутствует, акантотические отростки широкие, ветвятся и соединяются между собой. Выраженная нейтрофильная инфильтрация с выраженными некротическими изменениями эпидермиса с формированием пузырей и отслойкой (рис. 1).
Рис. 1. Кожа. ×200, окраска гематоксилином и эозином. Акантоз, гиперкератоз, резкое утолщение рогового слоя. Зернистый слой отсутствует, акантотические отростки широкие, ветвятся и соединяются между собой
Fig. 1. Skin. ×200, stained with hematoxilin and eosin. Acanthosis, hyperkeratosis, and a substantial thickening of the stratum corneum. The figure demonstrates the absence of the granular layer. The acanthotic processes are wide, branching and connected to each other
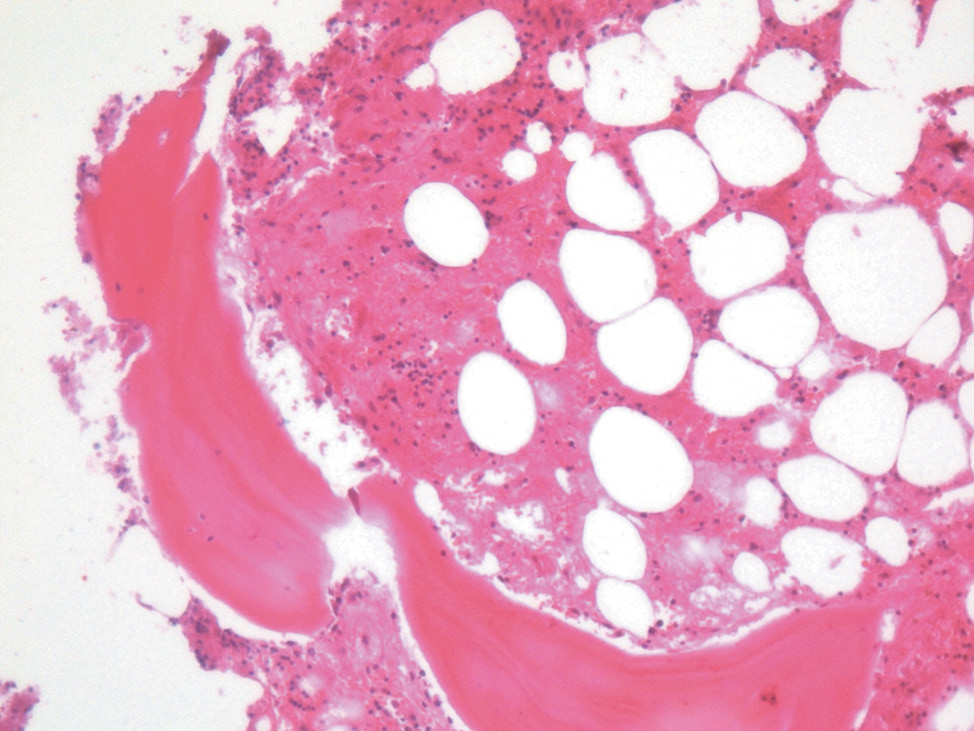
Костный мозг: преимущественно представлен жировой тканью с резким обеднением всех ростков кроветворения (рис. 2, 3).
Рис. 2. Костные балки, костный мозг. ×40, окраска гематоксилином и эозином. Костные балки утолщены, костный мозг преимущественно представлен жировой тканью с резким обеднением всех ростков кроветворения
Fig. 2. Bone rods, bone marrow. ×40, stained with hematoxilin and eosin. Bone rods are thickened. The bone marrow is mostly represented by adipose tissue with a substantial depletion of all the sprouts of hematopoiesis
Рис. 3. Костные балки, костный мозг. ×100, окраска гематоксилином и эозином. Костные балки утолщены, костный мозг преимущественно представлен жировой тканью с резким обеднением всех ростков кроветворения
Fig. 3. Bone rods, bone marrow. ×100, stained with hematoxilin and eosin. Bone rods are thickened. The bone marrow is mostly represented by adipose tissue with a substantial depletion of all the sprouts of hematopoiesis
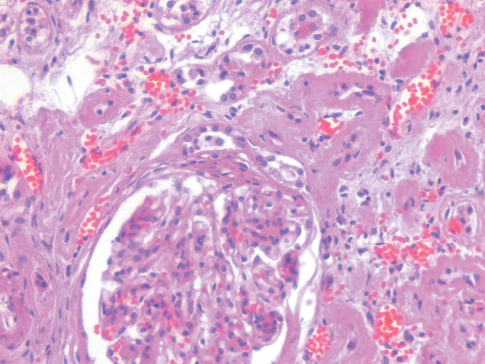
Почки: резкое нарушение архитектоники почки за счет замещения структуры стромы и клубочков фиброзной тканью с формированием рубцовых клубочков и крупных участков диффузного и очагового нефросклероза с гиалинозом и склерозом стенки артериол, с резко выраженным сужением их просвета. В единичных сохранившихся клубочках отмечается спадение петель, отложение белковых депозитов, формирование синехий и выраженное расширение мочевого пространства. Эпителий канальцев уплощен, местами некротизирован, просвет расширен, в просвете (особенно мозгового слоя) обилие крупных гиалиновых цилиндров. Артерии крупного калибра с явлениями гиперэластоза и эластофиброза, с очаговым кальцинозом (рис. 4).
Рис. 4. Почка. ×200, окраска гематоксилином и эозином. В единичных сохранившихся клубочках отмечается спадение петель, отложение белковых депозитов, формирование синехий. Эпителий канальцев уплощен, местами некротизирован, просвет расширен. Артерии крупного калибра с явлениями гиперэластоза и эластофиброза, с очаговым кальцинозом
Fig. 4. A kidney. ×200, stained with hematoxylin and eosin. In a few remaining glomeruli loops are collapsed. Also protein deposits, and formation of synechia are observed. The epithelium of the tubules is flattened, with sites of necrosis, the diameter is increased. Large caliber arteries have signs of hyperelastosis and elastofibrosis, with focal calcification
Патологоанатомический диагноз: «Основное заболевание: сахарный диабет II типа с инсулиновой недостаточностью (инсулинотерапия): атрофия, склероз, липоматоз тела и хвоста поджелудочной железы, диабетический нефросклероз, гемодиализ с 2014 г., вторичная артериальная гипертензия: гипертрофия миокарда левого желудочка. Псориаз, псориатический артрит. Осложнения: ХПН — фибринозный плеврит, фибринозно-эрозивный энтероколит, фибринозный альвеолит. Апластическая анемия, обусловленная однократным приемом метотрексата. ДВС-синдром: геморрагический синдром — множественные петехиальные кровоизлияния кожи, слизистых и серозных оболочек. Буллезная токсидермия: множественные сливающиеся некротические поражения кожи. Сопутствующие заболевания: атеросклероз аорты и ее ветвей с преимущественным поражением коронарных и церебральных артерий, диффузный мелкоочаговый атеросклеротический кардиосклероз, мелкие кисты в области подкорковых узлов полушарий головного мозга. Аномалия развития сердца: дефект межпредсердной перегородки, открытое овальное окно, первичная легочная гипертензия».
Заключение
Известно, что метотрексат относится к золотому стандарту в лечении ПсА, однако в редких случаях может вызывать выраженную депрессию костномозгового кроветворения, ведущую в конечном счете к агранулоцитозу. При назначении метотрексата требуется контроль за биохимическими и гематологическими показателями ежемесячно в первые 3 месяца его применения, в дальнейшем, при хорошей переносимости, один раз в 3 месяца. При этом, по данным современной литературы, доза метотрексата 10 мг не может являться причиной развития панцитопении. Исходя из вышесказанного, летальный исход в описанном нами клиническом случае, вероятно, связан с развитием острой токсико-аллергической реакции на однократный прием малой дозы препарата, которая сопровождалась угнетением костномозгового кроветворения, усугублением течения терминальной стадии ХБП, кожными проявлениями (буллезная токсикодермия), отеком и кровоточивостью слизистых оболочек. Предсказать развитие подобной реакции достаточно сложно, особенно на фоне неотягощенного аллергического анамнеза.
Следует отметить, что при депрессии костномозгового кроветворения уже в первые часы необходимо применение ростовых факторов, стимулирующих гемопоэз, проведение заместительной терапии гемокомпонентами, а также использование антибактериальных препаратов ввиду выраженной иммуносупрессии. Широкий диапазон примененных методов лечения в данном случае оказался неэффективным.
Конфликт интересов: авторы заявляют об отсутствии конфликта интересов.
About the authors
Vadim I. Mazurov
North-Western State Medical University named after I.I. Mechnikov
Email: maz.nwgmu@yandex.ru
ORCID iD: 0000-0002-0797-2051
SPIN-code: 6823-5482
Scopus Author ID: 16936315400
head of the department of therapy, rheumatology, examination of temporary disability and the quality of medical care. E.E. Eichwald, w.s. RF, Academician of the Russian Academy of Sciences, MD Professor
Mikhail S. Shostak
North-Western State Medical University named after I.I. Mechnikov
Email: mikhail.shostak@szgmu.ru
assistant of the Department of Therapy, Rheumatology, Examination of Temporary Disability and Quality of Medical Care E.E. Eichwald
Russian Federation, 191015, Saint-Petersburg, Kirochnaya street, 41Elena Yu. Kalinina
North-Western State Medical University named after I.I. Mechnikov
Email: drkalinina@yandex.ru
ORCID iD: 0000-0001-7077-3584
SPIN-code: 1176-5739
Scopus Author ID: 8574527400
Associate Professor, Department of Pathological Anatomy, Ph.D.
Russian Federation, 191015, Saint-Petersburg, Kirochnaya street, 41Victor V. Ripachev
North-Western State Medical University named after I.I. Mechnikov
Author for correspondence.
Email: ripachev-v-2010@yandex.ru
Assistant of the Department of Therapy, Rheumatology, Examination of Temporary Disability and Quality of Medical Care E.E. Eichwald North-Western State Medical University named after I.I. Mechnikov
Russian Federation, 191015, Saint-Petersburg, Kirochnaya street, 41Roman A. Bashkinov
North-Western State Medical University named after I.I. Mechnikov
Email: bashkinov-roman@mail.ru
resident of the department of therapy, rheumatology, examination of temporary disability and the quality of medical care. E.E. Eichwald North-Western State Medical University named after I.I. Mechnikov
191015, Saint-Petersburg, Kirochnaya street, 41References
- Российские клинические рекомендации. Ревматология / под ред. Е.Л.Насонова. – М.: ГЭОТАР-Медиа, 2017. – 464 с.: 87-110.
- Баткаева Н.В., Коротаева Т.В., Баткаев Э.А. Распространенность псориатического артрита и коморбидных заболеваний у больных тяжелым псориазом: данные ретроспективного анализа госпитальной когорты // Современная ревматология. -2017. – Т. 11. - №1. – С.19-22. Batkaeva NV, Korotaeva TV, Batkaev EA. Prevalence of psoriatic arthritis and comorbidities in patients with severe psoriasis: Data of a retrospective analysis of a hospital cohort. Sovremennaya Revmatologiya=Modern Rheumatology Journal. 2017;11(1):19–22..
- Коротаева ТВ, Корсакова ЮЛ, Логинова ЕЮ и др. Псориатический артрит. Клинические рекомендации по диагностике и лечению // Современная ревматология. – 2018. – Т. 12. №2. – С.22–35. Korotaeva TV, Korsakova Yu.L., Loginova EYu, et al. Psoriatic arthritis. Clinical guidelines for diagnosis and treatment. Sovremennaya Revmatologiya=Modern Rheumatology Journal. 2018;12(2):22–35.
- Angel Lanas, Maarten Boers, Javier Nuevo . Gastrointestinal events in at-risk patients starting non-steroidal anti-inflammatory drugs (NSAIDs) for rheumatic diseases: the EVIDENCE study of European routine practice. Annals Of The Rheumatic Diseases. 2015 Apr;74(4):675-681. doi: 10.1136/annrheumdis-2013-204155
- Чамурлиева МН, Логинова ЕЮ, Коротаева ТВ. Выявляемость псориатического артрита у больных псориазом в дерматологической и ревматологической клинике. Современная ревматология. 2016;10(4):47–50.
- Федеральные клинические рекомендации по ведению больных псориазом. Доступно по: https://www.ismos.ru/guidelines/doc/psoriaz.pdf. Ссылка активна на 03.02.2019
- Laura C Coates, Philip S Helliwell. Methotrexate efficacy in the Tight Control in Psoriatic arthritis (TICOPA) study. J Rheumatol. 2016 Feb; 43(2): 356–361.
- Jonathan West, Simon Ogston, and John Foerster. Safety and Efficacy of Methotrexate in Psoriasis: A Meta-Analysis of Published Trials. PLoS One. 2016; 11(5): e0153740. doi: [10.1371/journal.pone.0153740]
- The PLOS ONE Staff. Correction: Safety and Efficacy of Methotrexate in Psoriasis: A Meta-Analysis of Published Trials. PLoS One. 2016; 11(7): e0158928. doi: [10.1371/journal.pone.0158928]
Supplementary files







