A case of successful treatment of a neuroendocrine tumor of the small intestine complicated by partial intestinal obstruction
- Authors: Kurkov A.A.1, Sigua B.V.1, Lataria E.L.1, Gurzhiy D.V.1, Kvarku V.E.1, Belyaeva A.V.1, Vinnichuk S.A.1, Abdulov A.R.1, Zemlianoi V.P.1
-
Affiliations:
- North-Western State Medical University named after I.I. Mechnikov
- Issue: Vol 14, No 4 (2022)
- Pages: 101-107
- Section: Case report
- Submitted: 19.10.2022
- Accepted: 01.11.2022
- Published: 20.01.2023
- URL: https://journals.eco-vector.com/vszgmu/article/view/112004
- DOI: https://doi.org/10.17816/mechnikov112004
- ID: 112004
Cite item
Abstract
The incidence of neoplasms of the small intestine does not exceed 3% in the structure of all tumors of the gastrointestinal tract. Among them, the frequency of neuroendocrine tumors is about 30%. Due to the absence of pathognomonic symptoms, such tumors are usually detected at the stage of surgical complications such as intestinal obstruction or intestinal necrosis. In such a situation, the oncological process is already either locally widespread or generalized. Therefore, timely diagnosis of tumors should be based not only on the complaints and anamnesis, allowing to suspect the development of complications, but also on the use of modern imaging methods.
A clinical case demonstrating the difficulties of timely diagnosis of a neuroendocrine tumor of the small intestine is presented.
Full Text
ВВЕДЕНИЕ
Новообразования тонкой кишки относятся к самым редко встречающимся (не более чем в 3 % случаев) нозологическим формам опухолей желудочно-кишечного тракта [1, 2]. Среди злокачественных новообразований тонкой кишки гастроинтестинальные стромальные опухоли составляют до 50 %, нейроэндокринные опухоли — 30 %, около 20 % — лимфомы, а частота встречаемости аденокарцином тонкой кишки не превышает 1–2 % [3, 4].
Нейроэндокринные опухоли желудочно-кишечного тракта, согласно данным литературы, встречаются с частотой 10–20 случаев на 1 млн населения в год, при этом именно тонкая кишка является наиболее распространенной локализацией карциноидных опухолей (около 45 %) [5, 6]. Чаще всего опухоли имеют кольцевидную форму, постепенно суживающую просвет кишки с неизбежным нарушением кишечного пассажа [7]. В структуре причин острой кишечной непроходимости из-за крайне редкой встречаемости доля нейроэндокринных опухолей не превышает 0,5 % [5].
Своевременная диагностика карциноидных опухолей представляет актуальную проблему современной онкологии, так как данные опухоли имеют тенденцию к длительному медленному росту и характеризуются отсутствием патогномоничных симптомов [8]. Чаще их выявляют либо при возникновении хирургических осложнений, таких как острая кишечная непроходимость или некроз стенки кишки с перфорацией и перитонитом, либо при отдаленном метастазировании, происходящем в 30 % случаев нейроэндокринных опухолей [5].
В статье приведен собственный клинический пример диагностики и лечения пациента с нейроэндокринной опухолью тонкой кишки, осложненной нарушением кишечной проходимости.
КЛИНИЧЕСКИЙ СЛУЧАЙ
Пациент Б. 64 лет госпитализирован в терапевтическое отделение № 2 СЗГМУ им. И.И. Мечникова в экстренном порядке с ухудшением течения гипертонической болезни 23.06.2022. На фоне подбора антигипертензивной терапии его состояние улучшилось. Однако 28.06.2022 в связи с жалобами на периодическое вздутие живота, а также по причине снижения массы тела на 20 кг в течение последнего года пациента осмотрел хирург-онколог для решения вопроса о дальнейшей лечебно-диагностической тактике.
Из анамнеза известно, что вздутие живота и отрыжка воздухом беспокоили пациента периодически с сентября 2021 г., однако только в мае 2022 г. по настоянию родственников он обратился за медицинской помощью по месту жительства. На основании жалоб и с учетом снижения массы тела начат онкопоиск.
По результатам лабораторных исследований, все основные показатели клинического анализа крови, биохимического анализа крови, коагулограммы и общего анализа мочи оставались в пределах референсных значений.
Выполнена видеоэзофагогастродуоденоскопия, по результатам которой выявлены хронический смешанный гастрит и катаральный дуоденит. При видеоколоноскопии осмотрена толстая кишка на всем протяжении, а также дистальный участок подвздошной кишки, обнаружен полип нисходящего отдела толстой кишки. Патогистологическое исследование показало тубулярную аденому с дисплазией части желез низкой степени.
08.06.2022 выполнена мультиспиральная компьютерная томография органов брюшной полости с внутривенным контрастированием: свободной жидкости в брюшной полости не выявлено. Петли тонкой кишки расширены до 38 мм с уровнями жидкости и газа, уровень перехода в спавшуюся часть не оценен (малый таз в исследование не включен). Лимфоузлы не увеличены. Отмечены признаки портальной гипертензии (воротная вена 19 мм). Селезенка увеличена. Очагового поражения органов брюшной полости не выявлено.
Из-за отсутствия у пациента клинических признаков кишечной непроходимости (жалоб на тошноту, рвоту, запоры), показаний для перевода в хирургическое отделение не было.
Следует также отметить, что при осмотре обращало на себя внимание умеренное вздутие живота, а также дистанционно слышимая усиленная перистальтика. Тем не менее, характерного для кишечной непроходимости «шума плеска» не выслушивалось.
Таким образом, диагноз «острая кишечная непроходимость» на момент осмотра был исключен. Однако причины описанных при мультиспиральной компьютерной томографии изменений, а также усиленной перистальтики и снижения массы тела оставались не ясными, что позволило продолжить онкопоиск. Был рекомендован анализ крови на онкомаркеры: раковый эмбриональный антиген, альфа-фетопротеин, Са-19.9. Он не дал дополнительной информации, поскольку показатели оставались в пределах нормальных значений.
С учетом сохраняющегося явления субкомпенсированного нарушения кишечного пассажа, а также описанных при мультиспиральной компьютерной томографии изменений, было приятно решение выполнить ультразвуковое исследование органов брюшной полости на аппарате экспертного класса с прицельным изучением предположительной зоны поражения. 29.06.2022 выполнено ультразвуковое исследование органов брюшной полости. По его данным, в мезогастрии слева определялся участок тонкой кишки диаметром 15 мм на протяжении 15 мм, стенка толщиной 7–9 мм, гипоэхогенная, аваскулярная, просвет кишки диаметром 2–3 мм, сужен, периодически проходим для содержимого (рис. 1). Приводящий участок тонкой кишки диаметром до 40 мм, стенка не утолщена, перистальтика определяется, содержимое мелкодисперсное эхогенное, перемещение маятникообразное. При динамическом исследовании дистальнее стриктуры тонкая кишка имела участки расширения с маятникообразным перемещением содержимого. Лимфатические узлы в брыжейке увеличены до 19 мм. Результат ультразвукового исследования был трактован как нейроэндокринная (предположительно, гастроинтестинальная стромальная) опухоль тонкой кишки с признаками транзиторного нарушения тонкокишечной проходимости. Увеличение регионарных лимфатических узлов не позволяло исключить злокачественный характер процесса.
Рис. 1. Ультразвуковая картина: образование тонкой кишки, стенозирующее ее просвет
01.07.2022 было принято решение о переводе пациента в хирургическое отделение № 2 СЗГМУ им. И.И. Мечникова для определения дальнейшей лечебной тактики. Из-за высокого риска развития острой кишечной непроходимости коллегиально определены показания к хирургическому лечению. После предоперационной подготовки (05.07.2022) выполнено оперативное вмешательство в объеме: лапаротомия, резекция тонкой кишки, дренирование брюшной полости.
Выписка из протокола операции: «…. выпота в брюшной полости нет. При ревизии выявлено, что петли тонкой кишки резко дилятированы до 8 см в диаметре начиная от 1 м от связки Трейтца, на протяжении около 1,5 м вплоть до стенозирующего образования, локализующегося в 1,5 м проксимальнее илеоцекального угла. Образование диаметром около 1,5 см, полностью стенозирует просвет тонкой кишки, далее кишка спавшаяся (рис. 2). Стенка дилятированного участка кишки утолщена до 4–5 мм, отечна, перистальтика сохранена. Брыжейка также отечна, определяются увеличенные до 1,5 см лимфатические узлы. При дальнейшей ревизии других патологических изменений органов брюшной полости не выявлено. С учетом очевидных признаков нарушения кишечной проходимости, с целью декомпрессии кишки в проекции предполагаемой резекции выполнена энтеротомия — эвакуированы около 2000 мл тонкокишечного застойного содержимого, с последующей резекцией тонкой кишки с опухолью (при отступе около 40 см проксимальнее и 20 см дистальнее образования). Сформирован энтероэнтероанастомоз по типу «бок-в-бок». «Окно» в брыжейке ушито узловыми швами.
Рис. 2. Интраоперационная картина: образование тонкой кишки, стенозирующее ее просвет, с выраженным супрастенотическим расширением
Послеоперационный период протекал без осложнений. Дренаж удален на 1-е сутки после операции, на 8-е сутки выполнено ультразвуковое исследование органов брюшной полости, по результатам которого свободного или отграниченного скопления жидкости в брюшной полости не выявлено.
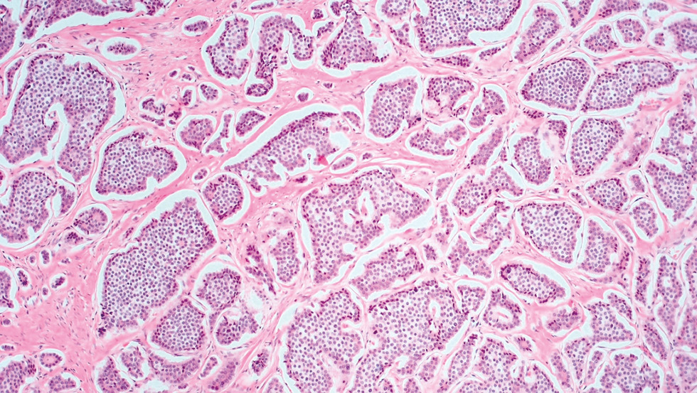
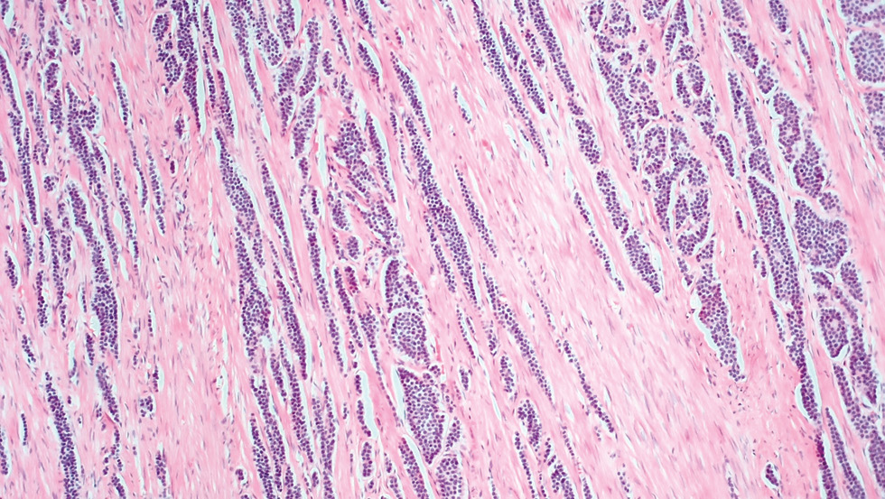
По данным патогистологического исследования, обнаружена высокодифференцированная нейроэндокринная опухоль тонкой кишки типа А, прорастающая все слои стенки кишки с инвазией в жировую клетчатку брыжейки. Отмечаются многочисленные гнезда опухолевой ткани, сформированные однотипными округлыми клетками с овальным ядром и хроматином по типу «соль и перец» с тенденцией к выраженному розеткообразованию (рис. 3, 4). Митозы немногочисленны (соответствуют нейроэндокринной опухоли I степени — NET G1). Отмечается периваскулярный рост с участками инвазии опухолевой ткани в стенку сосудов, данные за периневральный рост положительные. Края резекции без признаков продолженного опухолевого роста. В лимфатических узлах (1 единице) перифокально отмечаются очаги опухолевой ткани. В жировой клетчатке выявлены единичные депозиты опухолевой ткани, просвет единичного сосуда обтурирован опухолевым эмболом.
Рис. 3. Микроскопическая картина опухоли тонкой кишки (гематоксилин-эозин, увеличение ×100)
Рис. 4. Микроскопическая картина инвазии опухоли тонкой кишки в мышечный слой (гематоксилин-эозин, увеличение ×100)
Пациент выписан в удовлетворительном состоянии под наблюдение хирурга и онколога на 9-е сутки послеоперационного периода. Перед выпиской состояние пациента было обсуждено на онкологическом консилиуме — рекомендовано выполнение позитронно-эмиссионной томографии, совмещенной с компьютерной томографией, а также дополнительное иммуногистохимическое исследование.
По результатам иммуногистохимического исследования, выявлена нейроэндокринная опухоль тонкой кишки G1 (карциноид). Подтверждено наличие метастатического поражения брыжеечных лимфатических узлов, а также опухолевой инвазии в жировую клетчатку. Индекс пролиферативной активности экспрессии Ki67 составил 1 %. Результаты анализов крови на онкомаркеры (серотонин и хромогранин А) положительные.
Позитронно-эмиссионная томография, совмещенная с компьютерной томографией (29.07.2022), показала картину радиофармпозитивных брыжеечных и мезентериальных лимфатических узлов, что соответствует их метастатическому поражению.
С августа 2022 г., по заключению онколога по месту жительства, пациент получает первую линию гормонотерапии.
ЗАКЛЮЧЕНИЕ
Данное клиническое наблюдение демонстрирует не только исключительную редкость злокачественного поражения тонкой кишки, но и трудности первичной диагностики заболевания.
Из-за медленного роста нейроэндокринных опухолей желудочно-кишечного тракта, на что указывает низкий индекс пролиферативной активности экспрессии Ki-67, заболевание на первых этапах протекает малосимптомно, а выявляется, как правило, уже на стадии местного или отдаленного метастазирования. В данной ситуации огромное значение имеют именно методы лучевой диагностики и, как показал клинический пример, не всегда такие дорогостоящие, как мультиспиральная компьютерная томография. Ультразвуковое исследование как метод визуализации в «режиме реального времени» позволяет получить гораздо больше информации о «динамичных объектах», в том числе тонкой кишке.
Тщательный сбор анамнеза, назначение полного спектра необходимых лабораторно-инструментальных методов исследования, а также мультидисциплинарный подход в выборе лечебно-диагностической тактики позволяют добиться наилучших результатов в лечении пациентов со злокачественным поражением тонкой кишки.
ДОПОЛНИТЕЛЬНАЯ ИНФОРМАЦИЯ
Источник финансирования. Авторы заявляют об отсутствии внешнего финансирования при проведении исследования.
Конфликт интересов. Авторы декларируют отсутствие явных и потенциальных конфликтов интересов, связанных с публикацией настоящей статьи.
Вклад авторов. А.А. Курков — концепция и дизайн исследования, анализ полученных данных, написание текста, хирургическое лечение, обзор литературы; Б.В. Сигуа — концепция и дизайн исследования, анализ полученных данных, хирургическое лечение; Э.Л. Латария — концепция и дизайн исследования; Д.В. Гуржий — хирургическое лечение; С.А. Винничук, В.Е. Кварку, А.В. Беляева — диагностические исследования; А.Р. Абдулов — сбор и обработка материалов, хирургическое лечение, написание текста, обзор литературы; В.П. Земляной — концепция и дизайн исследования.
Все авторы подтверждают соответствие своего авторства, согласно международным критериям ICMJE (все авторы внесли существенный вклад в разработку концепции, проведение исследования и подготовку статьи, прочли и одобрили финальную версию перед публикацией).
Информированное согласие на публикацию. Авторы получили письменное согласие законных представителей пациента на анализ и публикацию медицинских данных и фотографий.
ADDITIONAL INFORMATION
Funding. This research did not receive any specific grant from funding agencies in the public, commercial, or not-for-profit sectors.
Conflict of interest. The authors declare no conflict of interest.
Author contributions. A.A. Kurkov — research concept and design, data analysis, text writing, surgical treatment, literature review; B.V. Sigua — research concept and design, data analysis, surgical treatment; E.L. Lataria — research concept and design; D.V. Gurzhiy — surgical treatment; S.A. Vinnichuk, V.E. Kvarku, A.V. Belyaeva — diagnostic studies; A.R. Abdulov — collection and processing of materials, surgical treatment, text writingt, literature review; V.P. Zemlianoi — research concept and design.
All authors confirm the compliance of their authorship, according to the international ICMJE criteria (all authors have made a significant contribution to the development of the concept, research and preparation of the article, read and approved the final version before publication).
Informed consent to publication. The authors received written consent from the patient’s legal representatives to analyze and publish medical data and photographs.
About the authors
Alexey A. Kurkov
North-Western State Medical University named after I.I. Mechnikov
Author for correspondence.
Email: dok.kurkov@gmail.com
ORCID iD: 0000-0002-2128-8651
SPIN-code: 6396-4386
MD, Cand. Sci. (Med.)
Russian Federation, Saint PetersburgBadri V. Sigua
North-Western State Medical University named after I.I. Mechnikov
Email: dr.sigua@gmail.com
ORCID iD: 0000-0002-4556-4913
SPIN-code: 5571-8893
MD, Dr. Sci. (Med.), Professor
Russian Federation, Saint PetersburgElguja L. Lataria
North-Western State Medical University named after I.I. Mechnikov
Email: Elguja.Lataria@szgmu.ru
ORCID iD: 0000-0002-9569-8485
SPIN-code: 7376-9672
MD, Cand. Sci. (Med.), Assistant Professor
Russian Federation, Saint PetersburgDmitry V. Gurzhiy
North-Western State Medical University named after I.I. Mechnikov
Email: gurzhiydv@ro.ru
ORCID iD: 0000-0002-4005-0403
SPIN-code: 7344-3941
MD, Cand. Sci. (Med.), Assistant Professor
Russian Federation, Saint PetersburgVictoria E. Kvarku
North-Western State Medical University named after I.I. Mechnikov
Email: viktoriya.kvarku@szgmu.ru
Russian Federation, Saint Petersburg
Anna V. Belyaeva
North-Western State Medical University named after I.I. Mechnikov
Email: Anna.Belyaeva@szgmu.ru
ORCID iD: 0000-0002-6299-2856
SPIN-code: 8205-6112
MD, Cand. Sci. (Med.)
Russian Federation, Saint PetersburgSergey A. Vinnichuk
North-Western State Medical University named after I.I. Mechnikov
Email: Sergei.Vinnichuk@szgmu.ru
ORCID iD: 0000-0002-9590-6678
SPIN-code: 6448-9110
MD, Cand. Sci. (Med.), Assistant Professor
Russian Federation, Saint PetersburgAbdul R. Abdulov
North-Western State Medical University named after I.I. Mechnikov
Email: Abdulov_97@list.ru
ORCID iD: 0000-0001-7578-8179
Russian Federation, Saint Petersburg
Viacheslav P. Zemlianoi
North-Western State Medical University named after I.I. Mechnikov
Email: zeml.spb@mail.ru
ORCID iD: 0000-0003-2329-0023
MD, Dr. Sci. (Med.), Professor, Honored Doctor of the Russian Federation
Russian Federation, Saint PetersburgReferences
- Deshina EG, Macnev AO, SHlykov OA. Analysis of rare cases of surgical treatment of patients with tumors of the small intestine. Meditsina: aktual'nye voprosy i tendentsii razvitiya. 2016;(7):5. (In Russ.)
- de Franchis R, Rondonotti E, Abbiati C, et al. Small bowel malignancy. Gastrointest Endosc Clin N A. 2004;14(1):139–148. doi: 10.1016/j.giec.2003.10.006
- Rossini FP, Risio M, Pennazio M. Small bowel tumors and polyposis syndromes. Gastrointest Endosc Clin N Am. 1999;9(1):93–114. doi: 10.1016/S1052-5157(18)30222-8
- Mainstrenko NA, Galkin VN. Diagnostika i khirurgicheskoe lechenie neepitelial’nykh opukholei tonkoi kishki. Grekov's Bulletin of Surgery. 2003;(3):41–45. (In Russ.)
- Sharafutdinov IM, Minniahmetov MF, Ionin VP. Surgical treatment of acute intestinal obstaclation conditioned by a neuroendokrin tumor of the thin intestine, on the background of the patient infection of a new coronovirus infection COVID-19. The scientific and practical journal of medicine. 2020;(2(24)):37–45. (In Russ.). doi: 10.25017/2306-1367-2020-24-2-37-45
- Lysanyuk MV, Majstrenko NA, Romashchenko PN. The diffic.ulties of diagnosis and choice of treatment tactics of neuroendocrine tumors of the small intestine. Grekov’s bulletin of surgery. 2018;177(4):76–80. (In Russ.). doi: 10.24884/0042-4625-2018-177-4-76-80
- Ovnatanyan KT, Tarnopol’skii AM. Opukholi tonkoi kishki i ee bryzheiki. Kiev; 1966. 175 p. (In Russ.)
- Volostnikov EV, Murav’ev AV, Brusnev LA. Tumors of the small intestine. Koloproktologiya. 2019;18(S3(69)):60. (In Russ.)
Supplementary files







