Disseminated seronegative echinococcosis: difficulties of diagnosis and treatment
- Authors: Mazurov V.I.1,2, Gaidukova I.Z.1,2, Nochvay E.E.1, Petrova M.S.1,2, Inamova O.V.1,2, Mazurenko S.O.3,4, Petrova Y.A.5, Bychkova A.S.2, Vorobyev S.L.6
-
Affiliations:
- Clinical Rheumatology Hospital No. 25
- North-Western State Medical University named after I.I. Mechnikov
- North-Western District Scientific and Clinical Center named after L.G. Sokolov Federal Medical and Biological Agency
- Saint Petersburg State University
- Mariinsky Hospital
- National Center for Clinical Morphological Diagnostics
- Issue: Vol 14, No 4 (2022)
- Pages: 93-100
- Section: Case report
- Submitted: 26.10.2022
- Accepted: 20.11.2022
- Published: 20.01.2023
- URL: https://journals.eco-vector.com/vszgmu/article/view/112095
- DOI: https://doi.org/10.17816/mechnikov112095
- ID: 112095
Cite item
Abstract
Disseminated seronegative echinococcosis, occurring with damage to soft tissues, bones and joints, is a rare variant of the course of helminthiasis, often associated with diagnostic difficulties, a high probability of complications and difficult treatment.
This article presents a case of disseminated seronegative echinococcosis, clinically and laboratory simulating a severe form of Weber–Christian panniculitis complicated by sepsis. The advantages and disadvantages of serological and morphological studies in the verification of disseminated echinococcosis are discussed, as well as the feasibility of using repeated histological studies in cases of echinococcosis under the masks of rheumatic diseases.
Full Text
ВВЕДЕНИЕ
Диагностика паразитарных болезней в настоящее время осуществляется весьма успешно в связи с постоянным совершенствованием способов их верификации, включающих весь спектр современных методов серологической, иммуногистохимической и рентгенологической диагностики, что сказывается на эффективности терапии [1–8].
Неудачи лечения паразитарных болезней в XXI в. встречаются редко, и вероятно, они связаны с рядом причин, из которых наиболее значимыми являются позднее обращение к врачу, нетипичное течение заболевания, неверная интерпретация результатов исследований, а также недооценка или переоценка данных дополнительных обследований [9–13].
Цель работы — продемонстрировать сложности диагностики и лечения пациента с диссеминированным эхинококкозом, протекавшим «под маской» панникулита Вебера – Крисчена с развитием сепсиса.
КЛИНИЧЕСКОЕ НАБЛЮДЕНИЕ
Пациент С., 32 года. Из анамнеза жизни известно, что в 2011 г. при дорожно-транспортном происшествии получил травму переднего отдела грудной клетки с развитием посттравматического панкреонекроза, по поводу которого было успешно выполнено оперативное лечение. Установлено также, что пациент являлся носителем вируса гепатита В. Других особенностей анамнеза жизни нет.
В июле 2017 г. (в возрасте 32 лет) больной отметил появление на коже голеней экхимозов диаметром до 4–5 см и повышение температуры тела до 38,5 ℃, в связи с чем самостоятельно начал лечение азитромицином в течение 5 дней, затем Амоксиклавом (амоксициллином с клавулановой кислотой) в течение 7 дней. На фоне терапии отметил нормализацию температуры тела и одновременно с этим трансформацию экхимозов в болезненные и горячие на ощупь узлы и появление артритов правого коленного и голеностопных суставов. В течение последующего месяца пациент похудел на 5 кг при сохраненном аппетите и стал отмечать нарастание общей слабости.
Через месяц от дебюта заболевания (в сентябре 2017 г.) пациент впервые обратился к врачу. При обследовании были выявлены признаки анемии и повышение в сыворотке крови активности α-амилазы. Пациент был направлен в многопрофильную больницу для верификации диагноза заболевания и назначения комплексной терапии. При госпитализации в стационар он жаловался на зудящие высыпания на коже голеней, припухлость и болезненность голеностопных суставов, слабость нижних конечностей. Состояние пациента было расценено как среднетяжелое. При внешнем осмотре на коже голеней определялись узлы бордового цвета с цианотичным оттенком, диаметром до 6 см, безболезненные при пальпации (рис. 1). Голеностопные и коленные суставы были припухшими и болезненными без гиперемии кожных покровов над ними. Обращало на себя внимание наличие у больного тахикардии (частоты сердечных сокращений 110 в минуту) на фоне синусового ритма, чистых сердечных тонов и нормального артериального давления (120 мм рт. ст.). Над легкими определялось везикулярное дыхание, хрипы не выслушивались, частота дыхательных движений составляла 16 в минуту. Живот был мягким, безболезненным, край печени плотно-эластической консистенции определялся на уровне реберной дуги. Размеры селезенки в пределах нормы. Симптом поколачивания по пояснице с обеих сторон был отрицательным. Стул, мочеиспускание в норме. Результаты лабораторного обследования пациента представлены в табл. 1.
Рис. 1. Изменения кожи нижних конечностей пациента
Таблица 1. Результаты лабораторного обследования пациента
Table 1. The results of laboratory examination of the patient
Показатель | Нормальный референсный интервал | Результат от 09.2017 | Результат от 11.2017 |
Клинический анализ крови | |||
Гемоглобин, г/л | 120–160 | 92 | 80 |
Эритроциты, 1012/л | 3,7–5,1 | 3,33 | 3,1 |
Лейкоциты, 109/л | 4–9 | 16,2 | 13 |
Палочкоядерные, % | 0,0–0,3 | 12 | 39 |
Сегментоядерные, % | 48–78 | 61 | 52 |
Эозинофилы, % | 0,5–5 | 4 | 2 |
Лимфоциты, % | 19–37 | 18 | 3 |
Моноциты, % | 2–10 | 5 | 4 |
Тромбоциты, 109/л | 170–350 | 512 | 600 |
Скорость оседания эритроцитов, мм/ч | до 15 | 15 | 25 |
Биохимический анализ крови | |||
Общий билирубин, мкмоль/л | 3,4–20,5 | 6,7 | – |
Аланинаминотрансфераза, ЕД/л | до 40 | 35 | – |
Аспартатаминотрансфераза, ЕД/л | до 40 | 68 | – |
Липаза, ЕД/л | до150 | более 12000 | – |
Глюкоза, ммоль/л | 4,9–6,4 | 5,36 | – |
Креатинин, мкмоль/л | 53–97 | 74 | – |
Мочевина, ммоль/л. | 2,5–8,3 | 4,5 | – |
Общий белок, г/л | 69 | – | 43 |
С-реактивный белок, мг/л | до 10 | 163,8 | 178 |
Ревматоидный фактор | отрицательный | отрицательный | – |
Лактатдегидрогеназа, МЕ/л | до 450 | 1253 | – |
Мочевая кислота, ммоль/л | 180–420 | 0,152 | – |
Прокальцитонин, нг/мл | 0,01 | 0 | более 2,0 |
Иммунологическое исследование | |||
Антитела к циклическому цитруллинсодержащему пептиду | – | отрицательный | – |
Антинуклеарный фактор | – | отрицательный | – |
Антитела к экстрагируемому ядерному антигену | – | отрицательный | – |
Примечание. HBsAg (поверхностный антиген вируса гепатита B) — положительный; аnti-HCV (антитела к вирусу гепатита С) — отрицательный; антитела к ВИЧ — отрицательный; реакция Вассермана — отрицательный.
Несмотря на лечение, включавшее парентеральное введение ципрофлоксацина, ванкомицина и Тиенама, сохранялась лихорадка с ознобами, увеличилось количество узлов на нижних конечностях, появились узлы в области верхних конечностей, отечность мягких тканей в области задних поверхностей голеней, артриты крупных суставов верхних и нижних конечностей. По данным ультразвукового исследования, в мышцах конечностей определялись множественные жидкостые образования длиной до 200 мм и шириной 1,5 см, некоторые из них сообщались с полостями прилежащих крупных суставов. По данным магнитно-резонансной томографии, в области головки поджелудочной железы определялось образование неоднородной структуры размером до 3 см, расцененное как проявление хронического панкреатита с формированием парапанкреатического инфильтрата и абсцесса. На основании наличия у пациента лихорадки, лейкоцитоза со сдвигом лейкоцитарной формулы влево, анемии и жидкостных образований в мягких тканях, расцененных как бактериальные отсевы, был заподозрен сепсис со вторичным гнойным полиартритом коленных, голеностопных, лучезапястных и правого локтевого суставов и параартикулярной флегмоной.
С учетом показаний выполнено вскрытие параартикулярного образования правого голеностопного сустава и получено 50 мл слизисто-гнойного отделяемого без запаха, а также установлена связь полостного образования с полостью голеностопного сустава. Одновременно были вскрыты параартикулярные флегмоны в области коленных и лучезапястных суставов, а также правого локтевого сустава, при этом получено умеренное количество гнойного содержимого без запаха. Бактериальный посев содержимого полостей мягких тканей показал наличие скудного роста золотистого стафилококка, чувствительного к ципрофлоксацину, и умеренного роста энтерококка, чувствительного к ампициллину, ванкомицину, гентамицину и ципрофлоксацину. Выполнена биопсия фрагмента кожи левой голени с наибольшими изменениями в виде индурации и гиперемии, гистологическое исследование которой свидетельствовало о выраженной инфильтрации дермы и подкожно-жировой клетчатки лимфоцитами, плазматическими клетками, нейтрофильными лейкоцитами и большим количеcтвом эозинофильных лейкоцитов. Патоморфолог, проводивший исследование биопсийного материала, сделал заключение о том, что гистологическая картина морфологического субстрата характерна для выраженного дерматита и панникулита с преобладанием эозинофильно-клеточного воспалительного компонента с очаговым некротизирующим васкулитом, однако она не имеет нозологической принадлежности.
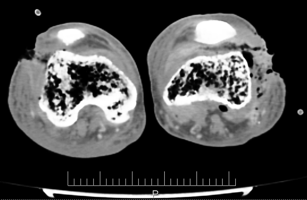
При компьютерной томографии коленных суставов у пациента выявлены деструктивные изменения в эпифизах костей и очаговые инфильтративные процессы в мягких тканях, прилежащих к суставам (рис. 2).
Рис. 2. Очагово-деструктивные и инфильтративные изменения костей и мягких тканей области коленных суставов пациента (по данным компьютерной томографии)
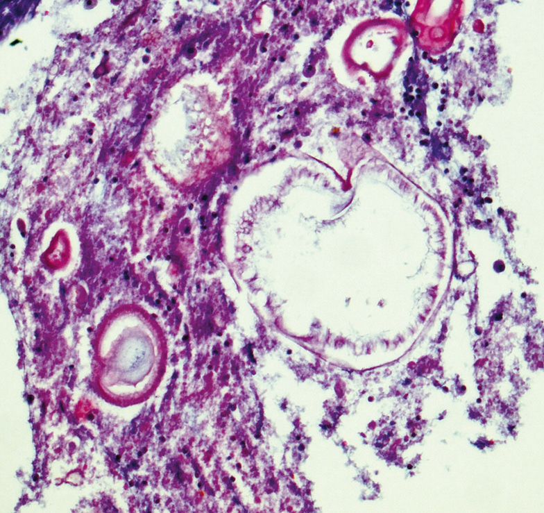
Повторное гистологическое исследование образований мягких тканей нижних конечностей показало гнойно-грануляционное воспаление, в воспалительном детрите были найдены множественные округло-овальные гидатиды с отчетливой хитиновой оболочкой и перифокальной кальцификацией, в просвете части гидатид определялись сохраненные сколексы (рис. 3). Согласно заключению патоморфолога гистологическая картина наиболее вероятно соответствовала эхинококковому гнойно-деструктивному поражению суставов и мягких тканей нижних конечностей, что определило перевод пациента в инфекционную больницу, где при дообследовании тесты на серологические маркеры эхинококкоза (определение антител к эхинококку методом иммуноферментного анализа) показали отрицательные результаты. Несмотря на данные серонегативного теста на антитела к эхинококку назначено лечение, направленное на элиминацию эхинококка (пациент получал Альбендазол по 600 мг/сут 18 дней). После дообследования в инфекционном отделении пациент был переведен в многопрофильный стационар с септическим отделением, где несмотря на лечение антибактериальными препаратами широкого спектра действия у него появилась и быстро нарастала полиорганная недостаточность, развивались признаки сепсиса, и в ноябре 2017 г. наступил летальный исход.
Рис. 3. Гистологическое исследование кожно-мышечного лоскута правого бедра пациента, окраска гематоксилин-эозин. Определяются гидатиды с отчетливой хитиновой оболочкой и перифокальной кальцификацией, в просвете части гидатид определяются сохраненные сколексы
На вскрытии подтверждено наличие:
- генерализованного эхинококкоза, протекавшего с развитием паразитарного полиартрита крупных суставов конечностей;
- сепсиса с формированием гнойного артрита голеностопных, коленных, лучезапястных и локтевых суставов;
- распространенного остеомиелита длинных трубчатых костей, костей запястья, плюсны и предплюсны;
- флегмон обеих голеней и левого предплечья;
- абсцессов верхней трети левого бедра;
- гепатомегалии (масса печени 2400 г);
- септической гиперплазии селезенки (340 г);
- септического интерстициального миокардита;
- двусторонней крупноочаговой полисегментарной абсцедирующей пневмонии с субтотальным поражением верхней доли левого легкого;
- левостороннего серозно-фибринозного плеврита;
- двустороннего интерстициального нефрита;
- восходящего гнойного уретропиелита;
- гнойно-геморрагического цистита.
Посмертные посевы из всех гнойных очагов показали наличие однотипной смешанной микрофлоры, представленной Escherihia coli, Proteus mirabillis, Klebsiella Pneuminia, Pseudomonas aeroginosa.
ОБСУЖДЕНИЕ
Настоящее наблюдение демонстрирует трудности диагностики генерализованного эхинококкоза, осложненного бактериальным сепсисом, клинически и лабораторно имитирующего тяжелую форму панникулита Вебера – Крисчена или панникулита, ассоциированного с панкреатитом. Следует отметить важность повторных гистологических исследований при нетипичном и резистентном к лечению заболевании мягких тканей. В представленном случае несмотря на массивное обсеменение мягких тканей сколексами эхинококка только повторное гистологическое исследование позволило поставить правильный диагноз.
В ряде исследований доказана возможность отрицательного результата иммуноферментного анализа на эхинококкоз при наличии у пациентов тяжелых генерализованных форм этого заболевания [1, 6, 9]. Причиной этому может быть как анергия маркроорганизма на фоне тяжелой инфекции, так и гиперегическая реакция с массивным образованием циркулирующих иммунных комплексов [6–10]. Вместе с тем есть и описания случаев успешной иммунологической диагностики эхинококкоза при отрицательном гистологическом результате [7–10].
Диссеминированные формы эхинококкоза могут приводить к массивной местной реакции тканей с перипаразитарным некрозом, вторичным инфицированием и развитием тяжелого септико-аллергического процесса, ассоциированного с резистентностью к антибиотикам широкого спектра действия и неблагоприятным прогнозом для жизни, как в описываемом случае. В настоящее время наблюдается полиморфизм клинического течения эхинококкоза, затрудняющий диагностику этого заболевания даже с применением самых современных лабораторных, инструментальных и гистологических методов [11–17].
ЗАКЛЮЧЕНИЕ
Первыми и ведущими клиническими признаками диссеминированного эхинококкоза может быть сепсис и местные кожные реакции, имитирующие системный васкулит, что затрудняет диагностику и лечение подобной формы гельминтоза даже при условии применения мультидисциплинарного подхода.
ДОПОЛНИТЕЛЬНАЯ ИНФОРМАЦИЯ
Источник финансирования. Авторы заявляют об отсутствии внешнего финансирования при проведении исследования.
Конфликт интересов. Авторы декларируют отсутствие явных и потенциальных конфликтов интересов, связанных с публикацией настоящей статьи.
Вклад авторов. В.И. Мазуров — анализ полученных данных, редактирование промежуточных и итоговых версий статьи; И.З. Гайдукова — анализ полученных данных, редактирование промежуточных и итоговых версий статьи; Е.Э. Ночвай — написание статьи, редактирование статьи; М.С. Петрова, С.О. Мазуренко, Ю.А. Петрова, А.С. Бычкова, С.Л. Воробьев — анализ полученных данных, редактирование промежуточных и итоговых версий статьи.
Все авторы подтверждают соответствие своего авторства, согласно международным критериям ICMJE (все авторы внесли существенный вклад в разработку концепции, проведение исследования и подготовку статьи, прочли и одобрили финальную версию перед публикацией).
Благодарность. Авторы выражают признательность М.А. Протченковой, Г.Г. Поповой (Городская Мариинская больница, Санкт-Петербург, Россия) и В.Е. Каревой (Детский научно-клинический центр инфекционных болезней Федерального медико-биологического агентства, Санкт-Петербург, Россия).
Информированное согласие на публикацию. Авторы получили письменное согласие законных представителей пациента на анализ и публикацию медицинских данных и фотографий.
ADDITIONAL INFORMATION
Funding. This research did not receive any specific grant from funding agencies in the public, commercial, or not-for-profit sectors.
Conflict of interest. The authors declare no conflict of interest.
Author contributions. V.I. Mazurov — analysis of the received data, editing of intermediate and final versions of the article; I.Z. Gaidukova — analysis of the received data, editing of intermediate and final versions of the article; E.E. Nochvai — writing an article, editing an article; M.S. Petrova; S.O. Mazurenko; Yu.A. Petrova; A.S. Bychkova; S.L. Vorobyev — analysis of the received data, editing of intermediate and final versions of the article.
All authors confirm the compliance of their authorship, according to the international ICMJE criteria (all authors have made a significant contribution to the development of the concept, research and preparation of the article, read and approved the final version before publication).
Acknowledgements. The authors thank to M.A. Protchenkova, G.G. Popova (City Mariinsky Hospital, Saint Petersburg, Russia) and V.E. Kareva (Children’s Scientific and Clinical Center for Infectious Diseases of the Federal Medical and Biological Agency, Saint Petersburg, Russia).
Consent for publication. Written consent was obtained from the patient for publication of relevant medical information and all of accompanying images within the manuscript.
About the authors
Vadim I. Mazurov
Clinical Rheumatology Hospital No. 25; North-Western State Medical University named after I.I. Mechnikov
Email: maz.nwgmu@yandex.ru
ORCID iD: 0000-0002-0797-2051
SPIN-code: 6823-5482
ResearcherId: J-9643-2014
MD, Dr. Sci. (Med.), Professor, Academician of the RAS, Honored Scientist of the Russian Federation
Russian Federation, Saint Petersburg; Saint PetersburgInna Z. Gaidukova
Clinical Rheumatology Hospital No. 25; North-Western State Medical University named after I.I. Mechnikov
Email: ubp1976@list.ru
ORCID iD: 0000-0003-3500-7256
SPIN-code: 3083-7996
Scopus Author ID: 55237525900
ResearcherId: F-6020-2013
MD, Dr. Sci. (Med.), Professor
Russian Federation, Saint Petersburg; Saint PetersburgElena E. Nochvay
Clinical Rheumatology Hospital No. 25
Email: b25@zdrav.spb.ru
ORCID iD: 0000-0002-8636-5961
MD
Russian Federation, Saint PetersburgMarianna S. Petrova
Clinical Rheumatology Hospital No. 25; North-Western State Medical University named after I.I. Mechnikov
Email: alek-bychkova@yandex.ru
ORCID iD: 0000-0001-5261-6614
MD, Cand. Sci. (Med.)
Russian Federation, Saint Petersburg; Saint PetersburgOksana V. Inamova
Clinical Rheumatology Hospital No. 25; North-Western State Medical University named after I.I. Mechnikov
Email: alek-bychkova@yandex.ru
ORCID iD: 0000-0001-9126-3639
SPIN-code: 8841-5496
MD, Cand. Sci. (Med.)
Russian Federation, Saint Petersburg; Saint PetersburgSergey O. Mazurenko
North-Western District Scientific and Clinical Center named after L.G. Sokolov Federal Medical and Biological Agency; Saint Petersburg State University
Email: b4@zdrav.spb.ru
ORCID iD: 0000-0002-1915-2237
SPIN-code: 2764-6326
Scopus Author ID: 57189031088
ResearcherId: J-8829-2013
MD, Dr. Sci. (Med.), Professor
Russian Federation, Saint Petersburg; Saint PetersburgYulia A. Petrova
Mariinsky Hospital
Email: b16@mariin.ru
ORCID iD: 0000-0002-2675-392X
MD
Russian Federation, Saint PetersburgAlexandra S. Bychkova
North-Western State Medical University named after I.I. Mechnikov
Author for correspondence.
Email: alek-bychkova@yandex.ru
ORCID iD: 0000-0002-6275-2123
SPIN-code: 7615-0120
Russian Federation, Saint Petersburg
Sergey L. Vorobyev
National Center for Clinical Morphological Diagnostics
Email: ncmd@ncmd.ru
ORCID iD: 0000-0002-7817-9069
SPIN-code: 5920-0603
MD, Cand. Sci. (Med.)
Russian Federation, Saint PetersburgReferences
- Moro P, Schantz PM. Echinococcosis: a review. Int J Infect Dis. 2009;13(2):125–133. doi: 10.1016/j.ijid.2008.03.037
- McManus DP, Zhang W, Li J, Bartley PB. Echinococcosis. Lancet. 2003;362(9392):1295–1304. doi: 10.1016/S0140-6736(03)14573-4
- Sadjjadi SM. Present situation of echinococcosis in the Middle East and Arabic North Africa. Parasitol Int. 2006;55:197–202. doi: 10.1016/j.parint.2005.11.030
- Tekinbas C, Turedi S, Gunduz A, Erol MM. Hydatid cyst disease of the lung as an unusual cause of massive hemoptysis: a case report. J Med Case Rep. 2009;3:21. doi: 10.1186/1752-1947-3-21
- Sarkar M, Pathania R, Jhobta A, et al. Cystic pulmonary hydatidosis. Lung India. 2016;33(2):179–191. doi: 10.4103/0970-2113.177449
- Engström ELS, Salih GN, Wiese L. Seronegative, complicated hydatid cyst of the lung: A case report. Respir Med Case Rep. 2017;21:96–98. doi: 10.1016/j.rmcr.2017.04.005
- Sarkari B, Rezaei Z. Immunodiagnosis of human hydatid disease: Where do we stand? World J Methodol. 2015;5(4):185–195. doi: 10.5662/wjm.v5.i4.185
- Biava MF, Dao A, Fortier B. Laboratory diagnosis of cystic hydatic disease. World J Surg. 2001;25(1):10–14. doi: 10.1007/s002680020002
- Force L, Torres JM, Carrillo A, Buscà J. Evaluation of eight serological tests in the diagnosis of human echinococcosis and follow-up. Clin Infect Dis. 1992;15(3):473–480. doi: 10.1093/clind/15.3.473
- Singh U, Kumar S, Gour H, et al. Complicated hydatid cyst and “air bubble” sign: a stepping-stone to correct diagnosis. Am J Case Rep. 2015;16:20–24. doi: 10.12659/AJCR.892621
- Beggs I. The radiology of hydatid disease. AJR Am J Roentgenol. 1985;145(3):639–648. doi: 10.2214/ajr.145.3.639
- von Sinner WN. New diagnostic signs in hydatid disease; radiography, ultrasound, CT and MRI correlated to pathology. Eur J Radiol. 1991;12(2):150–159. doi: 10.1016/0720-048x(91)90119-g
- Kuzucu A, Soysal O, Ozgel M, Yologlu S. Complicated hydatid cysts of the lung: clinical and therapeutic issues. Ann Thorac Surg. 2004;77(4):1200–1204. doi: 10.1016/j.athoracsur.2003.09.046
- Ramos G, Orduña A, García-Yuste M. Hydatid cyst of the lung: diagnosis and treatment. World J Surg. 2001;25(1):46–57. doi: 10.1007/s002680020007
- Turgut AT, Altin L, Topçu S, et al. Unusual imaging characteristics of complicated hydatid disease. Eur J Radiol. 2007;63(1):84–93. doi: 10.1016/j.ejrad.2007.01.001
- von Sinner WN. Radiographic, CT and MRI spectrum of hydatid disease of the chest: a pictorial essay. Eur Radiol. 1993;3(1):62–70. doi: 10.1007/bf00173526
- Anadol D, Ozçelik U, Kiper N, Göçmen A. Treatment of hydatid disease. Paediatr Drugs. 2001;3(2):123–135. doi: 10.2165/00128072-200103020-00005
Supplementary files





