Контроль краев резекции после неоадъювантной системной терапии при органосохраняющих операциях у больных раком молочной железы
- Авторы: Криворотько П.В.1, Бондарчук Я.И.1, Донских Р.В.1, Жильцова Е.К.1, Амиров Н.С.1, Багненко С.С.1, Чёрная А.В.1, Песоцкий Р.С.1, Емельянов А.С.1, Мортада В.В.1, Табагуа Т.Т.1, Гиголаева Л.П.1, Ерещенко С.С.1, Комяхов А.В.1, Николаев К.С.1, Зернов К.Ю.1, Еналдиева Д.А.1, Бессонов А.А.2, Артемьева А.С.1, Бусько Е.А.1,3, Семиглазов В.В.1,4, Семиглазова Т.Ю.1, Семиглазов В.Ф.1, Беляев А.М.1,5
-
Учреждения:
- Национальный медицинский исследовательский центр онкологии им. Н.Н. Петрова
- Ленинградский областной клинический онкологический диспансер
- Санкт-Петербургский государственный университет
- Первый Санкт-Петербургский государственный медицинский университет им. акад. И.П. Павлова
- Северо-Западный государственный медицинский университет им. И.И. Мечникова
- Выпуск: Том 15, № 1 (2023)
- Страницы: 87-95
- Раздел: Оригинальные исследования
- Статья получена: 17.11.2022
- Статья одобрена: 10.02.2023
- Статья опубликована: 05.05.2023
- URL: https://journals.eco-vector.com/vszgmu/article/view/112609
- DOI: https://doi.org/10.17816/mechnikov112609
- ID: 112609
Цитировать
Полный текст
Аннотация
Обоснование. Хирургическое лечение рака молочной железы играет важнейшую роль в комбинированном и комплексном лечении пациентов. «Чистота» исследуемых краeв резецированной ткани молочной железы — основной показатель надежности органосохраняющей операции и один из главных факторов развития локального рецидива. Неоадъювантная (предоперационная) системная терапия позволяет оценить эффективность лечения in vivo и уменьшить размер первоначального образования, как при местно-распространенных, так и при операбельных формах рака молочной железы. Основным преимуществом данного лечения является возможность хирурга выполнить оперативное вмешательство по сохранению молочной железы для улучшения качества жизни пациента и эстетических результатов без ухудшения показателей безрецидивной и общей выживаемости.
Цель исследования — изучить клинико-патологические характеристики и проанализировать органосохраняющее лечение больных раком молочной железы после неoадъвантной химиотерапии.
Материалы и методы. Проанализировано 156 органосохраняющих операций после неoадъвантной химиотерапии. Органосохраняющая резекция подразумевала радикальное удаление остаточного/резидуального опухолевого узла в пределах здоровых тканей молочной железы с достижением негативных краев резекции. При обнаружении патологами окрашенных инвазивных клеток или рака in situ в фиксированном в формалине препарате выполняли повторное хирургическое вмешательство.
Результаты. Из 156 исследуемых анатомических препаратов после органосохраняющих операций позитивный край обнаружен в 4 (2,56 %) случаях. У 4 пациенток такой край был представлен протоковой карциномой in situ. По результатам трепан-биопсии образований до неoадъвантной химиотерапии внутрипротоковый компонент не обнаружен. Наибольшая протяженность участка протоковой карциномы in situ — 2,2 мм. В 3 случаях расстояние до окрашенного края резекции микропрепарата составляло 1 мм. В результате повторного патоморфологического исследования доиссеченных краев после хирургического вмешательства рак in situ не обнаружен.
Выводы. Неоадъювантная системная терапия при раке молочной железы с частичным или полным ответом опухоли повышает долю выполнения органосохраняющих операций пациенткам, изначально подлежащим радикальной мастэктомии, но желающим сохранить ткань молочной железы.
Полный текст
ОБОСНОВАНИЕ
Хирургическое лечение рака молочной железы (РМЖ) играет основную роль в комбинированном и комплексном лечении пациентов. В последние годы произошла смена парадигмы в хирургическом подходе лечения больных РМЖ от мастэктомии радикального и калечащего характера в сторону органосохраняющего лечения, онкологическая безопасность которого подтверждена крупными проспективными рандомизированными исследованиями [1, 2].
В мире проведено большое количество исследований с основной целью — найти критерии, учитываемые при органосохраняющих операциях (ОСО). Ключевыми из этих критериев являются: соотношение диаметра опухоли и размера молочной железы, состояние подмышечных лимфоузлов, гистологическая оценка чистоты краев резецируемого участка железы с опухолью, возможность применения послеоперационной лучевой терапии, необходимость предоперационного системного лечения [3]. «Чистота» исследуемых краев резекции — основной показатель надежности и безопасности ОСО и один из главных факторов развития локального рецидива [4].
Неоадъювантная (предоперационная) системная терапия позволяет оценить эффективность терапии in vivo и уменьшить размер первоначального образования как при местно-распространенных, так и при операбельных формах РМЖ. Основным преимуществом данного лечения является возможность хирурга выполнить оперативное вмешательство по сохранению молочной железы для улучшения качества жизни пациентов и эстетических результатов в дальнейшем без ухудшения показателей безрецидивной и общей выживаемости [5, 6].
В отношении оптимальной ширины краев резекции при ОСО после неоадъвантной химиотерапии (НАХТ) консенсусная группа экспертов в Сан-Галлене (2017) рассмотрела вопрос, должна ли опухоль молочной железы после частичного или полного ответа на терапию быть удалена в пределах изначальных размеров узла до НАХТ, если планируется дальнейшая лучевая терапия с возможным адъювантным системным лечением по результатам патоморфологического исследования. Группа экспертов методом голосования определила, что объем забираемых тканей должен определяться «остаточным» образованием, и нет необходимости в удалении тканей молочной железы в зависимости от первоначальных размеров опухолевого узла до предоперационной химиотерапии. Однако в случае регресса опухоли по типу мультифокальных или разбросанных остаточных опухолевых узлов многие эксперты выступили за расширение границ забираемых хирургических краев резекции при ОСО [7].
В международном исследовании J.H. Volders и соавт. проанализированы результаты органосохраняющего хирургического лечения больных РМЖ после НАХТ. Из 9901 больных 626 (6,3 %) на I этапе получили НАХТ, а 949 (10,2 %) — хирургическое лечение. Ширину краев резекции 1 мм и менее наблюдали у 111 больных после НАХТ, что составило 17,7 % от общего количества пациентов. Cкорректированное отношение шансов у пациентов с позитивными краями резекции после НАХТ составило 2,94, что показывает в три раза более высокий риск по сравнению с показателем у пациентов, которым сначала выполнена ОСО. У пациентов с дольковой формой РМЖ (54,9 %) и больных, не ответивших на НАХТ (42,1 %), наблюдали чаще вовлеченные позитивные края резекции. В результате у 37 (16,5 %) пациентов выявлены позитивные края резекции после гистологического исследования, у 32 (14,3 %) — ширина краев резекции составила 1 мм и менее. На основании проведенного анализа авторы установили, что приоритетной целью для хирургов, планирующих ОСО после НАХТ, является достижение чистоты краев резекции, а удаление чрезмерных объемов тканей молочной железы не гарантирует чистоту краев резекции после патоморфологического исследования [8].
По результатам метаанализа S.Y. Wang и соавт. с включением 4660 пациентов рассмотрен вопрос относительно ширины краев резекции при дуктальной карциноме in situ у больных, получивших лечение по поводу карциномы in situ в объеме ОСО молочной железы и послеоперационной дистанционной лучевой терапии. Идентифицирована высокая вероятность развития местного рецидива у пациенток с выявленными позитивными краями резекции, а при отступе в 2 мм этот риск уменьшался. При ширине краев резекции от 2 мм до 5 мм не замечено существенной разницы в показателях безрецидивной и общей выживаемости [9].
Маркировка опухолевого узла до начала НАХТ играет важную роль в идентификации остаточной опухоли после терапии для правильного планирования ОСО с дальнейшим достижением чистоты краев резекции после гистологического исследования [10]. Татуажные метки наносят маркером на ткань молочной железы перед оперативным вмешательством под ультразвуковой навигацией для определения точных границ опухолевого узла, чтобы минимизировать объем удаляемой ткани вокруг остаточного образования с сохранением формы и объема молочной железы [11].
Частота полного патоморфологического ответа после НАХТ значительно увеличилась в течение последних лет, благодаря применению таргетной и неадъювантной химиотерапии в группе больных HER2/neu-позитивным и трижды негативным подтипами РМЖ с 12 до 40,4 %, что способствует деэскалации хирургического лечения [12].
Цель проспективного исследования — изучить клинико-патологические характеристики и проанализировать органосохраняющее хирургическое лечение у больных РМЖ после НАХТ.
МАТЕРИАЛЫ И МЕТОДЫ
Ретроспективный анализ ОСО проведен в отделении опухолей и реконструктивно-пластической хирургии молочной железы на базе Национального медицинского исследовательского центра онкологии им. Н.Н. Петрова. В период с мая 2021 г. по настоящее время ОСО молочной железы после НАХТ была выполнена 156 больным.
Органосохраняющая резекция подразумевала радикальное удаление остаточного/резидуального опухолевого узла в пределах здоровых тканей молочной железы с достижением негативных краев резекции после планового гистологического исследования. Большей части пациентов нанесена татуажная разметка остаточной опухоли на коже под ультразвуковой навигацией для определения точных границ оперируемой области молочной железы. Проведен также интраоперационный рентгенологический контроль удаленного макропрепарата с применением цифровой двухпозиционной секторографии (Faxitron PathVision). С помощью этой методики хирурги интраоперационно оценивали минимальное расстояние от опухоли до краев резекции и наличие микрокальцинатов в удаленном макропрепарате, а также контролировали наличие рентгенологических меток, установленных перед НАХТ (рис. 1).
Рис. 1. Интраоперационное применение рентгеновской секторографии на маммографическом аппарате Faxitron PathVision (металлическая клипса установлена перед неоадъювантной химиотерапией)
Fig. 1. Intraoperative use of X-ray sectorography on the Faxitron PathVision mammography device (metallic marker is placed before neoadjuvant chemotherapy)
По результатам планового патоморфологического исследования адекватная ширина краев резекции была определена в соответствии с руководством Society of Surgical Oncology, American Society for Radiation Oncology и American Society of Clinical Oncology. Край резекции считали негативным при «отсутствии красящих веществ на опухоли» (no ink on tumor cells) для инвазивного РМЖ и наличие «запаса» в 2 мм для протоковой карциномы in situ (DCIS).
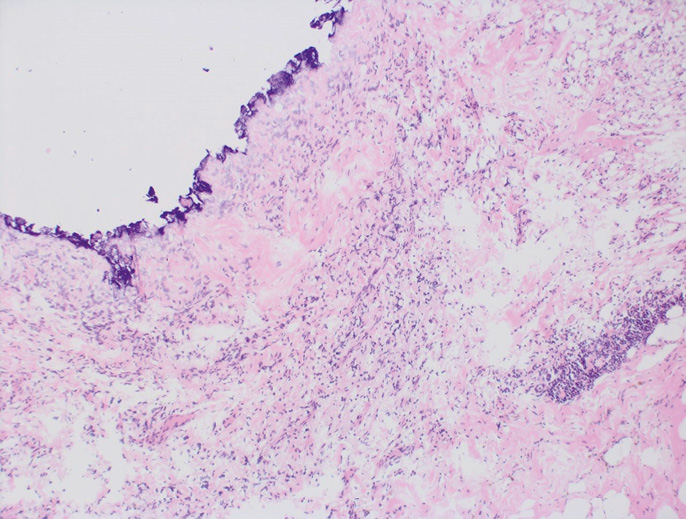
При обнаружении патологами окрашенных инвазивных клеток/рака in situ в фиксированном в формалине препарате (рис. 2) выполняли повторное хирургическое вмешательство (реиссечение соответствующего края резекции или мастэктомию, в том числе, с одномоментной реконструкцией). Все пациенты после ОСО независимо от характера хирургических краев подвергались послеоперационной дистанционной лучевой терапии.
Рис. 2. Плановое гистологическое исследование (ложе опухоли в крае резекции)
Fig. 2. Planned histological examination (tumor bed in the resection margin)
РЕЗУЛЬТАТЫ
Средний возраст пациенток составил 48,4 года (медиана 44,6 года, стандартное отклонение — 9,6 года).
Размеры опухолевых узлов до НАХТ — от 4 до 45 мм (средний размер новообразования 16,1 ± 1,5 мм). I стадия заболевания обнаружена у 6,62 %, II стадия — у 76 % и III стадия — у 17 % женщин. С учетом иммуногистохимических характеристик, молекулярные подтипы были следующими: люминальный подтип A — у 19,8 % пациенток; люминальный подтип B (HER2-негативный) — у 28,8 %; люминальный подтип B (HER2-позитивный) — у 12,8 %; HER2-позитивный подтип нелюминальный — у 8,97 % и трижды негативный — у 29,5 %. Татуажная предоперационная разметка с ультразвуковой навигацией проведена 131 больным, рентгенологических меток до НАХТ выявлено 20.
Использование цифровой двухпозиционной секторографии (Faxitron PathVision) ассоциировано с меньшей частотой повторных иссечений у пациенток после НАХТ (1,4 против 3,1 %), чем у больных, которым не выполнена данная методика, хотя разница этих показателей не достигала статистической значимости. Полный патоморфологический ответ (рCR) наблюдали в 62 (39,7 %) случаях — наибольший при HER2/neu-позитивном (54 %) и трижды негативном (44 %) РМЖ (таблица).
Таблица. Общие характеристики пациенток после органосохраняющих операций (n = 156)
Table. General characteristics of the patients after breast-conserving surgery (n = 156)
Параметр | Количество, n | Доля, % |
Стадия · I · II · III | 10 115 26 | 6,62 76,1 17,2 |
Морфология · неспецифицированный рак молочной железы · дольковый рак молочной железы · протоковая карцинома in situ · редкие формы рака молочной железы | 74 3 15 4 | 47,4 1,92 9,6 2,56 |
Биологический подтип · люминальный А · люминальный В · люминальный подтип B (HER2+) · HER2-позитивный · трижды негативный | 31 45 20 14 46 | 19,8 28,8 12,8 8,97 29,5 |
Оценка по классификации Residual Cancer Burden · полный патоморфологический ответ · I · II · III | 62 25 61 8 | 39,7 16 39,1 5,12 |
Оценка по классификации Miller–Payne · 1 · 2 · 3 · 4 · 5 | 8 22 25 36 65 | 5,12 14,1 16 23 41,6 |
Маркировка · метка до неоадъювантной химоитерапии · якорный проводник · разметка с ультразвуковой навигацией · не проведена | 20 3 131 2 | 12,8 1,92 83,9 1,28 |
Использование Faxitron PathVision | 60 | 38,5 |
Из 156 исследуемых анатомических препаратов после ОСО позитивный край резекции (R1) обнаружен в 4 (2,56 %) случаях. Мультифокальность опухолевых узлов с выявленными R1 до НАХТ обнаружена в 2 случаях. У 4 пациенток R1 был представлен DCIS. По результатам трепан-биопсии образований до НАХТ внутрипротоковый компонент не обнаружен. Наибольшая протяженность участка DCIS — 2,2 мм. В 3 случаях расстояние до окрашенного края резекции микропрепарата составило 1 мм. В результате повторного патоморфологического исследования доиссеченных краев после хирургического вмешательства рак in situ не обнаружен. Татуажная предоперационная разметка с ультразвуковой навигацией нанесена 4 пациенткам с R1, интраоперационная рентгенологическая оценка проведена в 1 случае. Рентгенологических меток, установленных до НАХТ, не выявлено.
ОБСУЖДЕНИЕ
Помощь больным РМЖ основана на адекватном хирургическом и эффективном неоадъювантном лечении, преимуществами которого являются отслеживание терапевтического эффекта различных схем лечения, достижение полного патоморфологического ответа, выполнение ОСО совместно с лучевой терапией и, соответственно, улучшение качества жизни больных при таких же показателях безрецидивной и общей выживаемости, как при радикальной мастэктомии [13].
В систематический обзор G. Susan и соавт. (2018) включено 31 исследование, посвященное изучению клинических рекомендаций относительно оптимальной ширины краев резекций при ОСО, частоты выявления позитивных краев резекции после гистологического исследования, а также частоты повторных операций. При инвазивном РМЖ (n = 59 979) согласно большинству рекомендаций позитивным считали край резекции, в котором обнаружены опухолевые клетки. По результатам анализируемых исследований, частота позитивных краев варьировала от 9 до 36 %, а частота выполняемых реопераций — от 77 до 99 %. При DCIS мнения экспертов относительно позитивных краев расходились между отсутствием DCIS в крае резекции, DCIS на расстоянии 2 мм и увеличением ширины краев резекции. При этом частота позитивного края резекции составила от 4 до 23 % (n = 841) [14]. По результатам настоящего исследования частота обнаружения DCIS после патоморфологического исследования остаточной опухоли составила 2,56 % (n = 156). Можно сделать вывод о положительном опыте проведения ОСО у пациенток после НАХТ и отсутствии позитивных краев резекции, представленных инвазивным РМЖ.
Возможная необходимость последующей мастэктомии в случае обнаружения позитивных краев резекции, а также потеря онкологических и эстетических результатов после ОСО обуславливают необходимость поиска методик для интраоперационного исследования краев резекции. В настоящем исследовании продемонстрировано снижение количества повторных операций после ОСО у пациенток, получавших НАХТ с использованием цифровой двухпозиционной секторографии (Faxitron PathVision) для интраоперационной рентгеновской оценки (1,4 против 3,1 %). Применение данной методики, по данным литературы, позволило снизить частоту повторных хирургических вмешательств более чем в два раза (с 12 до 5 %), и преимущество метода заключается в распознавании наличия микрокальцинатов в удаленном макропрепарате, что подразумевает наличие внутрипротокового компонента (DCIS) в остаточном опухолевом узле [15].
ЗАКЛЮЧЕНИЕ
Неоадъювантная системная терапия при РМЖ с частичным или полным ответом опухоли повышает долю выполнения ОСО пациенткам, изначально подлежащим радикальной мастэктомии, но желающим сохранить ткань молочной железы.
ДОПОЛНИТЕЛЬНАЯ ИНФОРМАЦИЯ
Источник финансирования. Авторы заявляют об отсутствии внешнего финансирования при проведении исследования.
Конфликт интересов. Авторы декларируют отсутствие явных и потенциальных конфликтов интересов, связанных с публикацией настоящей статьи.
Этическое утверждение. Данное исследование было одобрено локальным этическим комитетом Национального медицинского исследовательского центра онкологии им. Н.Н. Петрова.
Вклад авторов. Все авторы подтверждают соответствие своего авторства, согласно международным критериям ICMJE (все авторы внесли существенный вклад в разработку концепции, проведение исследования и подготовку статьи, прочли и одобрили финальную версию перед публикацией).
Наибольший вклад распределен следующим образом: П.В. Криворотько, Я.И. Бондарчук, Е.К. Жильцова — написание текста рукописи, обработка полученных данных и разработка дизайна исследования; Р.В. Донских, Н.С. Амиров, Р.С. Песоцкий, А.С. Емельянов, В.В. Мортада — анализ полученных данных и разработка дизайна исследования; Т.Т. Табагуа, Л.П. Гиголаева, С.С. Ерещенко, А.В. Комяхов, К.С. Николаев, К.Ю. Зернов, Д.А. Еналдиева — написание текста рукописи; С.С. Багненко, А.В. Черная, Е.А. Бусько, Т.Ю. Семиглазова — консультативная помощь; А.С. Артемьева — получение и анализ данных патоморфологического исследования; А.А. Бессонов, В.В. Семиглазов, В.Ф. Семиглазов, А.М. Беляев — обзор публикаций по теме статьи.
ADDITIONAL INFORMATION
Funding. The study had no external funding.
Conflict of interest. The authors declare no conflict of interest.
Ethics approval. The present study protocol was approved by the local Ethics Committee of N.N. Petrov National Medical Research Center of Oncology.
Author contributions. All the authors confirm the compliance of their authorship with the international ICMJE criteria (all the authors have made a significant contribution to the development of the concept, research and preparation of the article, read and approved the final version before publication).
The greatest contribution is distributed as follows: P.V. Krivorotko, Ya.I. Bondarchuk, E.K. Zhiltsova — writing the text of the manuscript, data collection and developing the design of the study; R.V. Donskikh, N.S. Amirov, R.S. Pesotskiy, A.S. Emelyanov, V.V. Mortada — data analysis and study design development; T.T. Tabagua, L.P. Gigolaeva, S.S. Yerechshenko, A.V. Komyakhov, K.S. Nikolaev, K.Yu. Zernov, D.A. Enaldieva — writing the article; S.S. Bagnenko, A.V. Chernaya, E.A. Busko, T.Yu. Semiglazova — advisory assistance; A.S. Artemyeva — acquisition and analysis of pathomorphological data; A.A. Bessonov, V.V. Semiglazov, V.F. Semiglazov, A.M. Belyaev — a review of publications on the topic of the article.
Об авторах
Петр Владимирович Криворотько
Национальный медицинский исследовательский центр онкологии им. Н.Н. Петрова
Email: dr.krivorotko@mail.ru
ORCID iD: 0000-0002-4898-9159
SPIN-код: 2448-7506
Scopus Author ID: 36600762900
д-р мед. наук
Россия, 197758, Санкт-Петербург, п. Песочный, ул. Ленинградская д. 68
Яна Игоревна Бондарчук
Национальный медицинский исследовательский центр онкологии им. Н.Н. Петрова
Email: yana_bondarchuk_2015@mail.ru
ORCID iD: 0000-0002-6442-0106
SPIN-код: 9546-3222
аспирант
Россия, 197758, Санкт-Петербург, п. Песочный, ул. Ленинградская д. 68Роман Владимирович Донских
Национальный медицинский исследовательский центр онкологии им. Н.Н. Петрова
Email: Rdonskih@rambler.ru
ORCID iD: 0000-0002-9391-5327
SPIN-код: 5111-8211
канд. мед. наук
Россия, 197758, Санкт-Петербург, п. Песочный, ул. Ленинградская д. 68Елена Константиновна Жильцова
Национальный медицинский исследовательский центр онкологии им. Н.Н. Петрова
Email: ziltsova@yandex.ru
ORCID iD: 0000-0002-2029-4582
SPIN-код: 3045-1704
канд. мед. наук
Россия, 197758, Санкт-Петербург, п. Песочный, ул. Ленинградская д. 68Николай Сергеевич Амиров
Национальный медицинский исследовательский центр онкологии им. Н.Н. Петрова
Email: amirovn17@gmail.com
ORCID iD: 0000-0002-2421-3284
SPIN-код: 7793-4290
аспирант
Россия, 197758, Санкт-Петербург, п. Песочный, ул. Ленинградская д. 68Сергей Сергеевич Багненко
Национальный медицинский исследовательский центр онкологии им. Н.Н. Петрова
Email: bagnenko_ss@mail.ru
ORCID iD: 0000-0002-4131-6293
SPIN-код: 4389-9374
Scopus Author ID: 57222983473
д-р мед. наук
Россия, 197758, Санкт-Петербург, п. Песочный, ул. Ленинградская д. 68Антонина Викторовна Чёрная
Национальный медицинский исследовательский центр онкологии им. Н.Н. Петрова
Email: dr.chernaya@mail.ru
ORCID iD: 0000-0002-7975-3165
SPIN-код: 6498-1419
канд. мед. наук
Россия, 197758, Санкт-Петербург, п. Песочный, ул. Ленинградская д. 68Роман Сергеевич Песоцкий
Национальный медицинский исследовательский центр онкологии им. Н.Н. Петрова
Email: shipmeback@gmail.com
ORCID iD: 0000-0002-2573-2211
Россия, 197758, Санкт-Петербург, п. Песочный, ул. Ленинградская д. 68
Александр Сергеевич Емельянов
Национальный медицинский исследовательский центр онкологии им. Н.Н. Петрова
Email: ae28111992@yandex.ru
ORCID iD: 0000-0002-0528-9937
SPIN-код: 6312-4894
Россия, 197758, Санкт-Петербург, п. Песочный, ул. Ленинградская д. 68
Виктория Владимировна Мортада
Национальный медицинский исследовательский центр онкологии им. Н.Н. Петрова
Email: vika-gukova@mail.ru
ORCID iD: 0000-0002-1982-5710
SPIN-код: 3871-8774
аспирант
Россия, 197758, Санкт-Петербург, п. Песочный, ул. Ленинградская д. 68Тенгиз Тенгизович Табагуа
Национальный медицинский исследовательский центр онкологии им. Н.Н. Петрова
Email: tedo8308@mail.ru
ORCID iD: 0000-0003-1471-9473
SPIN-код: 4466-6316
канд. мед. наук
Россия, 197758, Санкт-Петербург, п. Песочный, ул. Ленинградская д. 68Лариса Павловна Гиголаева
Национальный медицинский исследовательский центр онкологии им. Н.Н. Петрова
Email: gigosha532@gmail.com
ORCID iD: 0000-0001-7654-4336
SPIN-код: 3521-7448
канд. мед. наук
Россия, 197758, Санкт-Петербург, п. Песочный, ул. Ленинградская д. 68Сергей Сергеевич Ерещенко
Национальный медицинский исследовательский центр онкологии им. Н.Н. Петрова
Email: dr.ereschenko@gmail.com
ORCID iD: 0000-0002-5090-7001
SPIN-код: 5957-9137
канд. мед. наук
Россия, 197758, Санкт-Петербург, п. Песочный, ул. Ленинградская д. 68Александр Валерьевич Комяхов
Национальный медицинский исследовательский центр онкологии им. Н.Н. Петрова
Email: komyahov@yandex.ru
ORCID iD: 0000-0002-6598-1669
SPIN-код: 8286-4406
канд. мед. наук
Россия, 197758, Санкт-Петербург, п. Песочный, ул. Ленинградская д. 68Кирилл Станиславович Николаев
Национальный медицинский исследовательский центр онкологии им. Н.Н. Петрова
Email: kirill.nikolaev87@gmail.com
ORCID iD: 0000-0003-3377-6369
SPIN-код: 5627-6696
канд. мед. наук
Россия, 197758, Санкт-Петербург, п. Песочный, ул. Ленинградская д. 68Константин Юрьевич Зернов
Национальный медицинский исследовательский центр онкологии им. Н.Н. Петрова
Email: konstantin_zernov@hotmail.com
ORCID iD: 0000-0002-2138-3982
SPIN-код: 9186-5705
канд. мед. наук
Россия, 197758, Санкт-Петербург, п. Песочный, ул. Ленинградская д. 68Диана Артуровна Еналдиева
Национальный медицинский исследовательский центр онкологии им. Н.Н. Петрова
Email: DIANAENALDIEVA932@gmail.com
ORCID iD: 0000-0002-2773-3111
аспирант
Россия, 197758, Санкт-Петербург, п. Песочный, ул. Ленинградская д. 68Александр Алексеевич Бессонов
Ленинградский областной клинический онкологический диспансер
Email: dr.bessonov@gmail.com
ORCID iD: 0000-0002-6649-7641
SPIN-код: 3553-4670
канд. мед. наук
Россия, Санкт-ПетербургАнна Сергеевна Артемьева
Национальный медицинский исследовательский центр онкологии им. Н.Н. Петрова
Email: oinochoya@gmail.com
ORCID iD: 0000-0002-2948-397X
SPIN-код: 5760-5463
канд. мед. наук
Россия, 197758, Санкт-Петербург, п. Песочный, ул. Ленинградская д. 68Екатерина Александровна Бусько
Национальный медицинский исследовательский центр онкологии им. Н.Н. Петрова; Санкт-Петербургский государственный университет
Email: Katrn@mail.ru
SPIN-код: 7323-1083
д-р мед. наук
Россия, 197758, Санкт-Петербург, п. Песочный, ул. Ленинградская д. 68; Санкт-ПетербургВладислав Владимирович Семиглазов
Национальный медицинский исследовательский центр онкологии им. Н.Н. Петрова; Первый Санкт-Петербургский государственный медицинский университет им. акад. И.П. Павлова
Email: oncology.spbgmu@mail.ru
ORCID iD: 0000-0002-8825-5221
SPIN-код: 6786-9577
Scopus Author ID: 7006310596
д-р мед. наук
Россия, 197758, Санкт-Петербург, п. Песочный, ул. Ленинградская д. 68; Санкт-Петербург
Татьяна Юрьевна Семиглазова
Национальный медицинский исследовательский центр онкологии им. Н.Н. Петрова
Email: tsemiglazova@mail.ru
ORCID iD: 0000-0002-4305-6691
SPIN-код: 9773-3759
Scopus Author ID: 8562948700
д-р мед. наук
Россия, 197758, Санкт-Петербург, п. Песочный, ул. Ленинградская д. 68Владимир Федорович Семиглазов
Национальный медицинский исследовательский центр онкологии им. Н.Н. Петрова
Email: ssemiglazov@mail.ru
ORCID iD: 0000-0003-0077-9619
SPIN-код: 3874-9539
д-р мед. наук, профессор, чл.-корр. РАН
Россия, 197758, Санкт-Петербург, п. Песочный, ул. Ленинградская д. 68Алексей Михайлович Беляев
Национальный медицинский исследовательский центр онкологии им. Н.Н. Петрова; Северо-Западный государственный медицинский университет им. И.И. Мечникова
Автор, ответственный за переписку.
Email: bam281060@yandex.ru
ORCID iD: 0000-0001-5580-4821
SPIN-код: 9445-9473
д-р мед. наук, профессор
Россия, 197758, Санкт-Петербург, п. Песочный, ул. Ленинградская д. 68; Санкт-ПетербургСписок литературы
- Fisher B., Anderson S., Bryant J. et al. Twenty-year follow-up of a randomized trial comparing total mastectomy, lumpectomy, and lumpectomy plus irradiation for the treatment of invasive breast cancer // N. Engl. J. Med. 2002. Vol. 347, No. 16. P. 1233–1241. doi: 10.1056/NEJMoa022152
- Veronesi U., Cascinelli N., Mariani L. et al. Twenty-year follow-up of a randomized study comparing breast-conserving surgery with radical mastectomy for early breast cancer // N. Engl. J. Med. 2002. Vol. 347, No. 16. P. 1227–1232. doi: 10.1056/NEJMoa020989
- Зикиряходжаев А.Д., Ермощенкова М.В. Состояние краев резекции при органосохраняющих операциях по поводу рака молочной железы // Онкология. Журнал им. П.А. Герцена. 2015. № 6(4). С. 65–73. doi: 10.17116/onkolog20154665-73
- Семиглазов В.Ф., Семиглазов В.В., Николаев К.С. и др. Контроль хирургических краев резекции при органосохраняющем лечении рака молочной железы // Онкохирургия. 2014. № 1. С. 58–63.
- Boughey J.C., Peintinger F., Meric-Bernstam F. et al. Impact of preoperative versus postoperative chemotherapy on the extent and number of surgical procedures in patients treated in randomized clinical trials for breast cancer // Ann. Surg. 2006. Vol. 244, No. 3. P. 464–470. doi: 10.1097/01.sla.0000234897.38950.5c
- Volders J.H., Negenborn V.L., Spronk P.E. et al. Breast-conserving surgery following neoadjuvant therapy-a systematic review on surgical outcomes // Breast Cancer Res. Treat. 2018. Vol. 168, No. 1. P. 1–12. doi: 10.1007/s10549-017-4598-5
- Curigliano G., Burstein H.J., Winer E.P. et al. De-escalating and escalating treatments for early-stage breast cancer: the St. Gallen International Expert Consensus Conference on the Primary Therapy of Early Breast Cancer 2017 // Ann. Oncol. 2017. Vol. 28, No. 8. P. 1700–1712. doi: 10.1093/annonc/mdx308
- Volders J.H., Haloua M.H., Krekel N.M. et al. Neoadjuvant chemotherapy in breast-conserving surgery – Consequences on margin status and excision volumes: A nationwide pathology study // Eur. J. Surg. Oncol. 2016. Vol. 42, No. 7. P. 986–993. doi: 10.1016/j.ejso.2016.02.252
- Wang S.Y., Chu H., Shamliyan T. et al. Network meta-analysis of margin threshold for women with ductal carcinoma in situ // J. Natl. Cancer Inst. 2012. Vol. 104, No. 7. P. 507–516. doi: 10.1093/jnci/djs142
- Gobardhan P.D., de Wall L.L., van der Laan L. et al. The role of radioactive iodine-125 seed localization in breast-conserving therapy following neoadjuvant chemotherapy // Ann. Oncol. 2013. Vol. 24, No. 3. P. 668–673. doi: 10.1093/annonc/mds475
- Rubio I.T., Esgueva-Colmenarejo A., Espinosa-Bravo M. et al. Intraoperative ultrasound-guided lumpectomy versus mammographic wire localization for breast cancer patients after neoadjuvant treatment // Ann. Surg. Oncol. 2016. Vol. 23, No. 1. P. 38–43. doi: 10.1245/s10434-015-4935-z
- Haque W., Verma V., Hatch S. et al. Response rates and pathologic complete response by breast cancer molecular subtype following neoadjuvant chemotherapy // Breast Cancer Res. Treat. 2018. Vol. 170, No. 3. P. 559–567. doi: 10.1007/s10549-018-4801-3
- Chen A.M., Meric-Bernstam F., Hunt K.K. et al. Breast conservation after neoadjuvant chemotherapy: the MD Anderson cancer center experience // J. Clin. Oncol. 2004. Vol. 22, No. 12. P. 2303–2312. doi: 10.1200/JCO.2004.09.062
- Brouwer de Koning S.G., Vrancken Peeters M.T.F.D., Jóźwiak K. et al. Tumor resection margin definitions in breast-conserving surgery: Systematic review and meta-analysis of the current literature // Clin. Breast Cancer. 2018. Vol. 18, No. 4. P. e595–e600. doi: 10.1016/j.clbc.2018.04.004
- Muttalib M., Tisdall M., Scawn R. et al. Intra-operative specimen analysis using faxitron microradiography for excision of mammographically suspicious, non-palpable breast lesions // Breast. 2004. Vol. 13, No. 4. P. 307–315. doi: 10.1016/j.breast.2004.02.005
Дополнительные файлы




