Bronhoadenitis simplex in mycoplasma pneumonia in the child (differential diagnostics and treatment)
- Authors: Orlov A.V.1,2, Pashkevich A.A.2, Gonchar N.V.1,3, Borisenko T.S.2, Babachenko I.V.3, Romanyuk F.P.1
-
Affiliations:
- North-Western State Medical University named after I.I. Mechnikov
- Children's City Hospital of St. Olga
- Pediatric Research and Clinical Center for Infectious Diseases
- Issue: Vol 11, No 2 (2019)
- Pages: 71-78
- Section: Case report
- Submitted: 05.03.2019
- Accepted: 05.04.2019
- Published: 09.08.2019
- URL: https://journals.eco-vector.com/vszgmu/article/view/11324
- DOI: https://doi.org/10.17816/mechnikov201911271-78
- ID: 11324
Cite item
Full Text
Abstract
Background. Mycoplasma pneumoniae is included in the group of atypical pathogens of acute respiratory diseases. Mycoplasma pneumoniae is characterized by a tendency to prolonged course with progressive changes in the lungs. Main value in the confirmation of mycoplasma infection has microbiome in biosubstrates selection and serological diagnostics: the determination of specific immunoglobulins IgM or IgG in the dynamics to M. pneumoniae. Antibacterial therapy of mycoplasma pneumonia is prescribed based on the sensitivity of the pathogen to them. The duration of antibiotic treatment of mycoplasma pneumonia is determined by the dynamics of clinical and radiological data.
Materials and methods. The article describes the features of the clinical course of mycoplasma pneumonia in a patient with tubinfection proceeding with bronchoadenitis and obstruction of the bronchus, which necessitated a differential diagnosis with tuberculosis of the intrathoracic lymph nodes and the appointment of repeated courses of antibiotic treatment.
Results. In the described clinical case, the duration of Mycoplasma infection exceeded 3.5 months, during which time the patient received several courses of antibiotics. Mycoplasma pneumonia had a prolonged course, accompanied by bronchoadenitis.
Conclusion. Our observations show the need to study the effectiveness of extended courses of antibiotics from the azalid group in the treatment of prolonged and complicated forms of Mycoplasma pneumonia.
Full Text
Пневмония остается первой по значимости причиной детской смертности в мире, поэтому включена в перечень заболеваний, подлежащих регистрации и учету. В последние годы среди детей школьного возраста этиологическим фактором пневмоний нередко становятся атипичные возбудители, в том числе Mycoplasma pneumoniae [1, 2]. Заболеваемость микоплазменной пневмонией в экономически развитых странах достигает 100 случаев на 100 000 населения в год [3]. Описаны эпидемии респираторного микоплазмоза с клиникой бронхита, интерстициальной пневмонии, который может приводить к развитию пневмосклероза, бронхоэктазов, бронхиальной астмы [4, 5]. Микоплазменная пневмония характеризуется длительным течением с прогрессирующими изменениями в легких и нередко с реакцией плевры; наибольшую опасность она представляет для людей с ослабленным иммунитетом [3, 6]. Типичным симптомом служит навязчивый непродуктивный коклюшеподобный кашель [1, 7]. Заболевание иногда протекает при субфебрильной или нормальной температуре тела. При тяжелых формах обычно увеличены бронхиальные лимфоузлы [6, 7]. Осложненное течение микоплазменной пневмонии часто сопровождается катаральным отитом [6]. У детей с микоплазмозом выявляется снижение неспецифической резистентности в виде нарушений микробиоты слизистых оболочек ротоглотки, кишечника, угнетения фагоцитарной активности нейтрофилов [7], депрессии Т-клеточного звена иммунитета [8].
Для выделения M. pneumoniae редко используют бактериологические методы (посев и культивирование на специальных обогащенных средах требуют от 1 до 3–6 нед.). Основное значение в подтверждении микоплазменной инфекции имеет серологическая диагностика: определение специфических иммуноглобулинов IgM, IgA или IgG в динамике к M. pneumoniae методом иммуноферментного анализа. Частота положительных результатов исследования серологических маркеров зависит от состояния иммунной системы ребенка. Антибактериальная терапия снижает продукцию антител к M. pneumoniae [9]. Применяют также метод полимеразной цепной реакции для диагностики M. pneumoniae (выявление 16S-рибосомальной ДНК или гена белка адгезии Р1 в мазках из ротоглотки или в смывах из бронхов) [2]; на результаты исследования не влияет выраженность иммунного ответа пациента [3].
Антибактериальную терапию микоплазменной пневмонии назначают с учетом чувствительности возбудителя (макролиды; «респираторные» фторхинолоны у взрослых); оригинальные препараты по своей эффективности предпочтительнее дженериков [1, 10, 11]. Способы введения антибиотиков (внутривенно, перорально, «ступенчатые методы») зависят от тяжести и характера течения пневмонии. Длительность антибиотикотерапии микоплазменной пневмонии определяется динамикой клинических и рентгенологических данных и составляет в среднем 14 дней [10]. Особенности строения M. pneumoniae и воздействия этого возбудителя на макроорганизм определяют его ответ на лечение антибиотиками: внутриклеточная локализация и расположение между ресничками эпителия на слизистой оболочке дыхательных путей защищает M. pneumoniae от возможности эффективной элиминации возбудителя, а отсутствие ригидной клеточной стенки обеспечивает устойчивость к бета-лактамным антибактериальным препаратам, ингибирующим процессы синтеза мембраны микробной клетки [1, 5, 12].
Цель работы — описание особенностей клинического течения микоплазменной пневмонии у ребенка, протекавшей с бронхоаденитом, что обусловило необходимость дифференциальной диагностики с туберкулезом внутригрудных лимфатических узлов и продленного назначения антибактериальной терапии.
Пациентка Н., 8 лет 7 мес., поступила в инфекционную больницу 26.04.18 без направления на 16-й день болезни с жалобами на высокую лихорадку до (39–40 °C), малопродуктивный кашель.
Анамнез болезни. В первую неделю болезни отмечались субфебрильная температура и катаральные симптомы, лечилась симптоматически. С 16.04 появились высокая лихорадка и кашель. С 17.04 по 23.04 получала кларитромицин перорально в дозе 7,5 мг/кг в сутки. 18.04 на рентгенограмме органов грудной клетки обнаружены инфильтративные изменения без четких контуров в S1–S2 справа и в проекции правого корня легкого (не исключено, что за счет бронхопульмональных лимфоузлов). В клиническом анализе крови — лейкоцитоз, нейтрофилез, повышение ESR. Ввиду отсутствия положительной динамики с 23.04 кларитромицин отменен, назначен цефтриаксон внутримышечно один раз в сутки в дозе 37 мг/кг в сутки, после чего наблюдалось небольшое улучшение состояния — увеличились интервалы между подъемами температуры.
Анамнез жизни. Ребенок от второй беременности, первых родов, из двойни. Течение беременности с угрозой прерывания. Роды методом кесарева сечения. Масса при рождении — 2500 г, длина тела — 47 см. Выписана из роддома на 4-й день жизни. Вскармливание естественное до года. Прорезывание зубов с 6 мес. Прививки по возрасту. Перенесла ветряную оспу (на первом году жизни), коклюш. В 4 года установлено инфицирование микобактериями туберкулеза (МБТ). Результат пробы с препаратом Диаскинтест® от 12.02.18 отрицательный. В раннем возрасте находилась под наблюдением аллерголога с диагнозом: «Атопический дерматит (пищевая аллергия на белок куриного яйца, укусы насекомых)». В последние годы проявлений атопического дерматита не было. Курящих лиц в окружении ребенка нет. Бытовые условия без особенностей. Наследственность отягощена по аллергическим заболеваниям.
При поступлении в стационар состояние средней тяжести за счет общеинфекционного синдрома, температура — 39,4 °C; ЧСС — 112 уд/мин; ЧД — 26 в мин. Масса тела — 27 кг (5 кор.), рост — 128 см (4 кор.). Кожные покровы, видимые слизистые оболочки чистые; периферические лимфоузлы не увеличены, мягкие, эластичные, безболезненные. Дыхание ослабленное по переднебоковой поверхности грудной клетки справа и паравертебрально, выслушиваются влажные хрипы, определяется укорочение перкуторного звука паравертебрально. Тоны сердца ритмичные, ясные, шумов нет. Живот мягкий, безболезненный. Печень по краю правой реберной дуги. Селезенка не пальпируется. Стул оформленный. Диурез достаточный.
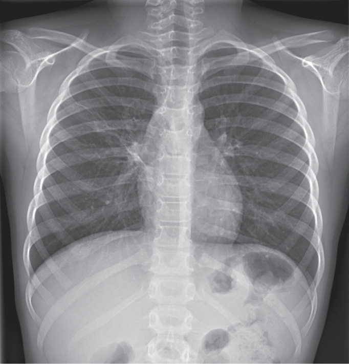
27.04 на рентгенограмме органов грудной клетки (ОГК) в двух проекциях определялось выраженное неоднородное затемнение легочной ткани по типу пневмонической инфильтрации в проекции S2–S3 справа. Легочный рисунок в зоне инфильтрации не прослеживался. Подчеркнута и подтянута кверху горизонтальная междолевая плевра. Тень сердца размыта в верхних отделах справа. Контуры диафрагмы четкие, ровные, плевральные синусы свободны (рис. 1).
Рис. 1. Рентгенограмма ребенка Н., 8 лет 7 мес., 27.04
Fig. 1. X-ray of a child N., 8 years 7 months, 27.04
ЭКГ 27.04 — нормальное положение электрической оси сердца, ритм синусовый, ЧСС — 111 в минуту, неполная блокада правой ножки пучка Гиса.
В клиническом анализе крови 27.04: HGB — 109 г/л; RBC — 3,74 · 1012/л; HCT — 31,4 %; WBC — 14,5 · 109/л (палочкоядерные нейтрофилы — 16 %; сегментоядерные нейтрофилы — 57 %; лимфоциты — 17 %; эозинофилы — 1 %; моноциты — 9 %); PLT — 523 · 109/л; токсическая зернистость нейтрофилов ++; ESR — 14 мм/ч. В биохимическом анализе крови отмечалось повышение С-реактивного белка — 93,4 мг/л.
В посеве мокроты патогенных и условно-патогенных бактерий не обнаружено. Методом ПЦР в мокроте ДНК бактериальных возбудителей (Mycoplasma pneumoniae и Chlamydia pneumoniae) не выявлено. При культуральном исследовании секрета из слизистых оболочек носоглотки носа роста патогенных и условно-патогенных бактерий не зарегистрировано. ПЦР крови на ДНК герпесвирусов — Эпштейна – Барр (EBV), цитомегаловируса (CMV), вируса герпеса человека 6-го типа (HHV 6) — отрицательные. При серологическом исследовании выявлены антитела класса IgM к M. pneumoniae. Антитела IgG к M. pneumoniae и антитела классов IgM и IgG к Ch. pneumoniae не обнаружены.
Клинический диагноз: «J15.7 Острая внебольничная правосторонняя (S2–S3) пневмония микоплазменной этиологии. ДН 0–1 ст.».
В инфекционном стационаре с учетом длительности заболевания и антибактериальной терапии на догоспитальном этапе девочка получала ампициллин/сульбактам (150 мг/кг в сутки) внутримышечно с азитромицином (10 мг/кг в сутки) перорально с 26.04 по 16.05 с умеренным положительным эффектом — достигнута апирексия, снизился С-реактивный белок до 22,4 мг/л.
03.05 на рентгенограмме ОГК незначительное уменьшение объема инфильтрации; правый корень расширен, бесструктурен; подчеркнута междолевая плевра; диафрагма контурирована; синусы свободны; тень сердца не изменена.
С 04.05 лечение продолжено в условиях дневного стационара. ЧСС — 90 уд в минуту. ЧД — 18/мин. Аускультативные данные: дыхание ослаблено по переднебоковой поверхности грудной клетки справа; паравертебрально выслушивается бронхиальное дыхание. С 05.05 ежедневно субфебрильная температура 37,1–37,2 °C; влажный кашель. В клиническом анализе крови 09.05: HGB — 115 г/л; RBC — 3,95 · 1012/л; HCT — 32,2 %; WBC — 12,9 · 109/л (палочкоядерные нейтрофилы — 5 %; сегментоядерные нейтрофилы — 65 %; лимфоциты — 25 %; эозинофилы — 2 %; моноциты — 8 %); PLT — 474 · 109/л; ESR — 25 мм/ч.
10.05 пациентка консультирована фтизиатром. Тест Т-SPOT®.ТВ — отрицательный. Диагноз: «Инфицирована МБТ с 2014 г. Данных за туберкулез нет».
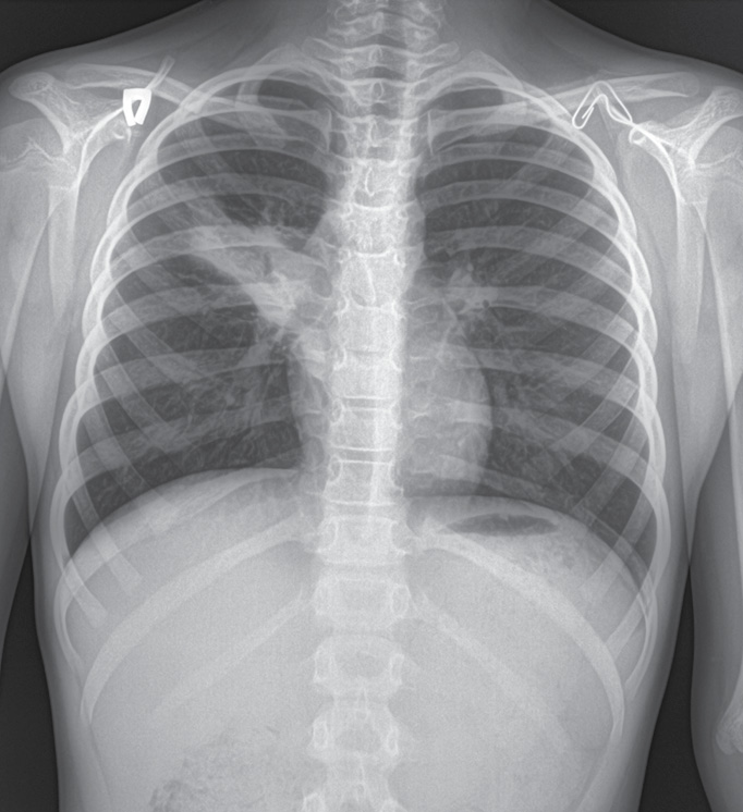
15.05 на рентгенограмме ОГК отмечено уменьшение распространенности и интенсивности инфильтрации в S2–S3 справа; объем S3 справа уменьшен за счет ателектатического компонента; корень правого легкого расширен, уплотнен; легочный рисунок усилен за счет интерстициального компонента в прикорневых отделах с обеих сторон; горизонтальная междолевая плевра подчеркнута и подтянута кверху; тень сердца размыта в верхних отделах справа; контуры диафрагмы четкие, ровные; плевральные синусы свободны (рис. 2). Аускультативно в легких единичные влажные хрипы при форсированном дыхании.
Рис. 2. Рентгенограмма ребенка Н., 8 лет 7 мес., 15.05
Fig. 2. X-ray of the child N., 8 years 7 months, 15.05
16.05 пациентка консультирована пульмонологом; рекомендована госпитализация в пульмонологическое отделение стационара для проведения бронхоскопии, биопсии слизистой бронхов, забора мокроты для бактериологического посева на условно-патогенные возбудители, диагностики туберкулеза методом бактериологического посева на среду BACTEC и методом ПЦР.
17.05 при поступлении в отделение пульмонологии состояние ребенка средней тяжести, температура — 36,7 °C, жалобы на кашель. ЧД — 22 в минуту, ЧСС — 104 уд/мин, SpO2 — 98 %. Кашель незначительный, продуктивный. Дыхание ослаблено справа над S3; притупление перкуторного звука в проекции S3 справа; хрипы единичные, влажные и сухие. Сердце, органы брюшной полости без особенностей. Физиологические отправления в норме.
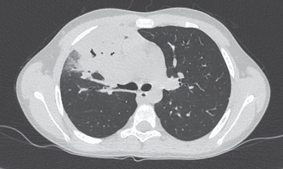
18.05. МСКТ-ангиография ОГК: определяются увеличенные бронхопульмональные лимфоузлы справа, умеренно сдавливающие бронх В3 и правый верхнедолевой бронх, оттесняя сосуды. Складывается впечатление о невыраженном краевом накоплении контрастного препарата капсулой лимфоузлов, а также о наличии зоны некроза (пониженной плотности, не накапливающей контрастный препарат) в центре. Выявленные изменения внутригрудных лимфоузлов могли бы свидетельствовать в пользу туберкулезного их поражения, однако изменения в легочной ткани этому не соответствуют. Ателектаз S3 вполне типичен для микоплазменной пневмонии, протекающей с реактивной гиперплазией лимфоузлов (рис. 3).
Рис. 3. КТ органов грудной клетки ребенка Н., 8 лет 7 мес., 21.05
Fig. 3. Chest CT of the child N., 8 years 7 months, 21.05
21.05 проведена видеобронхоскопия под общей анестезией: выявлено образование и обтурация бронха В3 справа. Эндоскопическая картина похожа на туберкулезное поражение лимфатического узла (рис. 4).
Рис. 4. Видеобронхоскопия ребенка Н., 8 лет 7 мес., 21.05. Образование и обтурация бронха В3 справа. Эндоскопическая картина похожа на туберкулезное поражение лимфатического узла
Fig. 4. Videobronchoscopy of the child N., 8 years 7 months, 21.05. Formation and obturation of bronchus v3 on the right. The endoscopic picture is similar to the tuberculous lesion of the lymph node
Гистоморфологическое исследование биоптата слизистой оболочки бронха В3: материал представлен поверхностным кубическим эпителием со слизью, определяется смешанная лимфо-макрофагально-нейтрофильная инфильтрация, выявлен фрагмент грануляционной ткани с фиброзом и выраженной лимфо-макрофагально-нейтрофильной инфильтрацией; описанная картина характерна для хронического гнойного бронхита. Обнаружение гноя в бронхах и гистологические изменения в биоптате свидетельствовали об участии в воспалительном процессе иных возбудителей и сочетании их с M. pneumoniae (микст-инфекция).
Результаты ПЦР-смывов из бронхов, бактериальных посевов смывов на твердые среды и среду BACTEC на МБТ трехкратно от 18.05, 21.05, 22.05 были отрицательными; результат пробы с препаратом Диаскинтест® от 22.05 — отрицательный. Микроскопия смывов из ротоглотки и бронхов на МБТ троекратно от 18.05, 21.05, 22.05 — отрицательная.
24.05 на рентгенограмме ОГК, в сравнении с предыдущими данными, протяженность изменений в S2–S3 правого легкого увеличилась; в уменьшенных в объеме сегментах на фоне перибронхиальных изменений и сближения элементов легочного рисунка сохраняется ателектаз и прилежащее к нему затенение легочной ткани; подчеркнута и подтянута вверх горизонтальная междолевая плевра. 28.05 на рентгенограмме придаточных пазух носа определяется пристеночное снижение пневматизации в левой верхнечелюстной пазухе; отек слизистой оболочки носа.
Консультация фтизиатра повторно 24.05: «Туберкулез внутригрудных лимфоузлов, осложненный бронхогенным поражением S2–S3 справа? Пневмония, ателектаз средней доли». Рекомендовано повторить Тест Т-SPOT®.ТВ.
28.05 Тест Т-SPOT®.ТВ — отрицательный.
Антибактериальное лечение пациентки в отделении пульмонологии проводили с учетом возможной смешанной этиологии пневмонии: с 17.05 по 24.05 цефотаксим внутривенно по 1,5 г 2 раза в сутки; с 24.05 по 05.06 ципрофлоксацин 125 мг 2 раза в сутки перорально; с 24.05 по 09.06 азитромицин 250 мг/сут (2 дня внутривенно, затем перорально). Симптоматическая терапия: амброксола гидрохлорид перорально.
На фоне лечения отмечался положительный эффект в виде купирования субфебрильной лихорадки и положительной рентгенологической динамики. На контрольной рентгенограмме ОГК 05.06: протяженность изменений в верхней доле правого легкого уменьшилась, в S3 справа на фоне перибронхиальных изменений, сближения и деформации элементов легочного рисунка сохраняется ателектаз и прилежащее к нему затенение легочной ткани, которое в сравнении с предыдущими данными имеет неоднородный характер. Диафрагма располагается между задними отделами IX и X ребер, контур ее четкий. Реберно-диафрагмальные синусы не затенены. Сердечно-сосудистая тень без особенностей.
По данным комплексного обследования отмечался высев Candida albicans из ротоглотки, что рассматривалось как проявления дисбиоза на фоне лечения антибиотиками.
09.06 девочка была выписана из стационара в удовлетворительном состоянии. Основной диагноз: «Правосторонняя S3 пневмония микоплазменной этиологии, тяжелой степени, затяжное течение. ДН 0 ст.». Осложнения: ателектаз S3 справа. Левосторонний катаральный гайморит. Сопутствующий диагноз: «Инфицирована МБТ с 2014 г.».
С учетом затяжной пневмонии в сегменте верхней доли правого легкого, бронхоаденита, тубинфицированности ребенка в течение нескольких лет, а также необходимости проведения повторных курсов антибактериальной терапии для достижения положительной динамики нельзя было полностью исключить туберкулез внутригрудных лимфоузлов, осложненный бронхогенным поражением S2–S3 справа.
На консилиуме принято решение off-label продолжить лечение в амбулаторных условиях в следующем режиме: азитромицин 250 мг/сут перорально через день в течение месяца, с последующей плановой госпитализацией через месяц для проведения контрольных эндоскопического и рентгенологического исследований, а также для определения дальнейшей тактики ведения и наблюдения.
При повторной госпитализации в пульмонологическое отделение стационара (с 17.07 по 20.07) проведена видеобронхоскопия под общей анестезией; отмечено отсутствие воспалительных изменений слизистой оболочки и деформации бронхов (рис. 5).
Рис. 5. Видеобронхоскопия ребенка Н., 8 лет 7 мес., 18.07. Отсутствие воспалительных изменений слизистой оболочки и деформации бронхов
Fig. 5. Videobronchoscopy of the child N., 8 years 7 months, 18.07. No inflammatory changes in the mucous membrane and deformation of the bronchi
Выполнено повторное обследование на туберкулез: цитология мокроты на МБТ (смыв из бронхов), посев смыва из бронхов на МБТ (среда BACTEC) — результаты отрицательные. На рентгенограмме ОГК выявлена положительная динамика в виде значительного уменьшения ателектаза S3 справа (рис. 6).
Рис. 6. Рентгенограмма ребенка Н., 8 лет 7 мес., 13.07
Fig. 6. X-ray of the child N., 8 years 7 months, 13.07
Окончательный клинический диагноз: «Правосторонняя S3 пневмония микоплазменной этиологии, тяжелая форма, затяжное течение». Осложнения: ателектаз S3 справа. Сопутствующий диагноз: «Инфицирована МБТ». При выписке рекомендовано наблюдение пульмонолога.
Согласно федеральным клиническим рекомендациям такие критерии, как клиническое выздоровление и отсутствие лабораторных признаков воспаления, удовлетворяют требованиям к результатам лечения микоплазменной инфекции; лечение антибиотиками проводят в течение 10–14 дней, а использование азитромицина, по мнению экспертов, позволяет сократить длительность терапии микоплазменной инфекции до 5–7 суток [5]. В описанном клиническом случае длительность микоплазменной инфекции превысила 3,5 мес., за это время пациентка получила несколько курсов антибиотиков: кларитромицин амбулаторно, в стационаре — азитромицин в сочетании с ампициллином/сульбактамом на старте терапии, затем лечение было продолжено цефотаксимом, ципрофлоксацином в сочетании с азитромицином; на последнем этапе терапии был применен азитромицин через день в течение месяца. Микоплазменная пневмония имела затяжное течение, сопровождалась бронхоаденитом. Ателектаз S3 справа расценен как осложнение, поскольку прежде всего был обусловлен обтурацией бронха В3 за счет гиперплазии внутригрудных лимфоузлов. Обращает на себя внимание несовпадение результатов ПЦР- и ИФА-исследований при диагностическом поиске M. pneumoniae, поэтому отрицательный результат ПЦР на ДНК M. pneumoniae в мазках мокроты не исключает необходимость комплексного подхода в этиологической диагностике. Эффективность проведенной терапии очевидна, о ней свидетельствовала положительная динамика клинико-лабораторные показателей, результаты рентгенологического исследования ОГК и бронхоскопии. Наши наблюдения демонстрируют необходимость исследования эффективности продленных курсов азалидов в лечении затяжных и осложненных форм микоплазменной пневмонии.
About the authors
Aleksandr V. Orlov
North-Western State Medical University named after I.I. Mechnikov; Children's City Hospital of St. Olga
Email: orlovcf@yandex.ru
ORCID iD: 0000-0002-2069-7111
SPIN-code: 8287-1405
Scopus Author ID: 721638
ResearcherId: O-6746-2014
candidate of medical sciences, associate professor, department of pediatrics and neonatology; manager infectious office No. 3
Russian Federation, 191015, Sankt-Peterburg, Kirochnaya str., d.41; 194156, Sankt-Peterburg, Zemledel`cheskaya str., 2Aleksandr A. Pashkevich
Children's City Hospital of St. Olga
Email: pashkevich_aa@live.ru
ORCID iD: 0000-0002-5151-586X
SPIN-code: 4442-8115
attending physician of infectious office No. 3
Russian Federation, 194156, Sankt-Peterburg, Zemledel`cheskaya str., 2Natal'ya V. Gonchar
North-Western State Medical University named after I.I. Mechnikov; Pediatric Research and Clinical Center for Infectious Diseases
Author for correspondence.
Email: nvgonchar@yandex.ru
ORCID iD: 0000-0002-5938-2934
SPIN-code: 9931-7939
Scopus Author ID: 55813585500
ResearcherId: 0-7896-2014
doctor of medical sciences, professor, department of pediatrics and neonatology; senior research associate, head of department of intestinal infections
Russian Federation, 191015, Sankt-Peterburg, Kirochnaya str., 41; 197022, Sankt-Peterburg, Professora Popova str., 9.Taras S. Borisenko
Children's City Hospital of St. Olga
Email: borisenko_taras@mail.ru
SPIN-code: 8928-3744
attending physician of infectious office No. 3
194156, Sankt-Peterburg, Zemledel`cheskaya str., 2Irina V. Babachenko
Pediatric Research and Clinical Center for Infectious Diseases
Email: babachenko-doc@mail.ru
ORCID iD: 0000-0002-1159-0515
SPIN-code: 4634-1070
Scopus Author ID: 6507755830
doctor of medical sciences, professor, leading researcher, head of the department of respiratory (drip) infections
Russian Federation, 197022, Sankt-Peterburg, Professora Popova str., 9.Fedor P. Romanyuk
North-Western State Medical University named after I.I. Mechnikov
Email: fedor.romanyk@szgmu.ru
SPIN-code: 4446-2428
doctor of medical sciences, professor, head of the department of pediatrics and neonatology
Russian Federation, 191015, Sankt-Peterburg, Kirochnaya str., 41References
- Белых Н.А, Фокичева Н.Н., Пискунова М.А., Шилина С.А. и др. Клинико-эпидемиологические особенности микоплазменной инфекции у детей Рязанской области // Российский медико-биологический вестник им. академика И.П. Павлова. – 2018. – Т. 26. – № 2. – С. 258 – 267. [Belyh NA, Fokicheva NN, Piskunova MA, SHilina SA, et al. Clinical and epidemiological features of the peculiarity of mycoplasma infection in children in the Ryazan region. Rossijskij mediko-biologicheskij vestnik im. akademika I.P. Pavlova. 2018;26(2):258-267. (In Russ.) doi: 10.23888/PAVLOVJ2018262258-267]
- Кокорева С.П., Разуваев О.А. Микоплазменная пневмония и факторы риска ее развития при вспышке респираторного микоплазмоза в детском коллективе // Вопросы практической педиатрии. – 2016. – Т. 11. – № 2. – С. 65 – 70. [Kokoreva SP, Razuvaev OA. Mycoplasma pneumonia and risk factors for its development in an outbreak of respiratory mycoplasmosis in the children's team. Voprosy prakticheskoj pediatrii. 2016;11(2):65-70. (In Russ.) doi: 10.20953/1817-7646-2016-2-65-70]
- Делягин В.М., Блохин Б.М., Мельникова М.А., Мельникова М.Б. Микоплазменная инфекция как междисциплинарная проблема // Лечебное дело. – 2006. – № 4. – С. 3 – 10. [Delyagin VM, Blohin BM, Mel'nikova MA, Mel'nikova MB. Mikoplazmennaya infekciya kak mezhdisciplinarnaya problema. Lechebnoe delo. 2006;4:3-10. (In Russ.)]
- Савенкова М.С., Савенков М.П., Самитова Э.Р., Буллих А.В. и др. Микоплазменная инфекция: клинические формы, особенности течения, ошибки диагностики // Вопросы современной педиатрии. 2013. – Т. 12. – № 6. – С. 108 – 114. [Savenkova MS, Savenkov MP, Samitova EH.R, Bullih AV, et al. Mycoplasma Infection: Clinical Types, Variations of Clinical Course and Diagnostic Mistakes. Voprosy sovremennoj pediatrii. 2013;12(6):108-114. (In Russ.)]
- Зайцева С.В., Застрожина А.К., Муртазаева О.А. Микоплазменная инфекция у детей (обзор литературы) // РМЖ. – 2017. – Т. 25. – № 5. – С. 327 – 334. [Zajceva SV, Zastrozhina AK, Murtazaeva OA. Mycoplasma infection in children (literature review). RMZH. – 2017;25(5):327-334. (In Russ.)]
- Учайкин В.Ф., Нисевич Н.И., Шамшева О.В. Инфекционные болезни и вакцинопрфилактика у детей. – М.: ГЕОТАР-Медиа, 2007. – С. 376 – 380. [Uchajkin VF, Nisevich NI, SHamsheva OV. Infekcionnye bolezni i vakcinoprfilaktika u detej. – M.: GEOTAR-Media; 2007. P. 376 - 380. (In Russ.)]
- Феклисова Л.В., Хадисова М.К., Русанова Е.В., Целипанова Е.Е. и др. Клинико-лабораторные особенности респираторного микоплазмоза у стационарных больных с длительным кашлем // Инфекционные болезни. – 2012. – Т. 10. – № 3. – С. 24 – 28. [Feklisova LV, Hadisova MK, Rusanova EV, Celipanova EE, et al. Clinico-laboratory specificities of respiratory mycoplasmosis in hospital patients with persistent cough. Infekcionnye bolezni. 2012;10(3):24-28. (In Russ.)]
- Мусалимова Г.Г., Саперов В.Н., Марков Д.С., Воропаева Л.А. и др. Клинико-иммунологическая оценка эффективности применения рекомбинантного интерлейкина-2 человека (ронлейкина) в комплексном лечении пневмоний микоплазменной и хламидийной этиологии // Вестник современной клинической медицины. – 2009. – Т. 2. – № 1. – С. 14a – 20. [Musalimova GG, Saperov VN, Markov DS, Voropaeva LA, et al. Clinical and immunological evaluation of recombinant human interleukin-2 (ronleukin) efficiency in the treatment of of mycoplasmal and chlamydia pneumonias. Vestnik sovremennoj klinicheskoj mediciny. 2009;2(1):14a-20. (In Russ.)]
- Филиппова О.В., Баженов М.С., Иванова В.С. Иммуноферментный анализ в диагностике внебольничных пневмоний микоплазменной и хламидийной этиологии у детей возраста 1-5 лет // Современные тенденции развития науки и технологий. – 2016. – № 2-2. – С. 85 – 87. [Filippova OV, Bazhenov MS, Ivanova VS. Immunofermentnyj analiz v diagnostike vnebol'nichnyh pnevmonij mikoplazmennoj i hlamidijnoj ehtiologii u detej vozrasta 1-5 let. Sovremennye tendencii razvitiya nauki i tekhnologij. 2016;2(2):85-87. In Russ.)]
- Евдокимова С.А., Ноников В.Е., Макарова О.В. Современные клинико-эпидемиологические подходы к антибактериальной терапии бронхо-легочных инфекций // Кремлевская медицина. Клинический вестник. – 2008. – № 3. – С. 84 – 85. [Evdokimova SA, Nonikov VE, Makarova OV. Sovremennye kliniko-ehpidemiologicheskie podhody k antibakterial'noj terapii bronho-legochnyh infekcij. Kremlevskaya medicina. Klinicheskij vestnik. 2006;4:3-10. (In Russ.)]
- Зайцев А.А., Белевский А.С. Внебольничная пневмония и обострение хронической обструктивной болезни легких в амбулаторной практике: ключевые вопросы ведения пациентов и режимы антимикробной терапии. Практическая пульмонология. – 2016. – № 1. – С. 36 – 43. [Zajcev AA, Belevskij AS. Vnebol'nichnaya pnevmoniya i obostrenie hronicheskoj obstruktivnoj bolezni legkih v ambulatornoj praktike: klyuchevye voprosy vedeniya pacientov i rezhimy antimikrobnoj terapii. Prakticheskaya pul'monologiya. 2016;1:36-43. (In Russ.)]
- Утешев Д.Б., Челенкова И.Н., Арутюнова А.Б. Фармакоэпидемиологические особенности антибактериальной терапии «атипичных» внебольничных пневмоний // РМЖ. – 2011. – Т. 19. – № 23. – С. 1429 – 1433. [Uteshev DB, CHelenkova IN, Arutyunova AB. Farmakoehpidemiologicheskie osobennosti antibakterial'noj terapii «atipichnyh» vnebol'nichnyh pnevmonij // RMZH. 2011;19(23):1429-1433. (In Russ.)]
Supplementary files









