Results of surgical treatment of patients of elderly and senile age with complicated forms of locally advanced colon cancer
- Authors: Glushkov N.I.1,2, Gorshenin T.L.1,2, Belikova M.Y.1,2, Dulaeva S.K.1,2, Borovik I.K.2
-
Affiliations:
- North-Western State Medical University named after I.I. Mechnikov
- Saint Petersburg War Veterans Hospital
- Issue: Vol 11, No 2 (2019)
- Pages: 35-42
- Section: Original study article
- Submitted: 15.03.2019
- Accepted: 21.03.2019
- Published: 09.08.2019
- URL: https://journals.eco-vector.com/vszgmu/article/view/11367
- DOI: https://doi.org/10.17816/mechnikov201911235-42
- ID: 11367
Cite item
Full Text
Abstract
The paper analyzes the results of treatment of 74 elderly and senile patients with complicated forms of locally advanced colon cancer. The article demonstrates the prevalence of symptomatic operations due to the severity of the condition advanced oncological process. The use of endovideosurgical technologies in treating patients with complications of locally advanced colon cancer reduces the number of postoperative complications.
Keywords
Full Text
Проблема лечения рака толстой кишки сохраняет свою актуальность. Общемировые демографические тенденции по увеличению продолжительности жизни отразились и на возрастной структуре больных рака толстой кишки — более 70 % заболевших составляют пациенты старше 60 лет [1]. Для пациентов старших возрастных групп характерна поздняя обращаемость, так как зачастую рак ободочной кишки развивается у них на фоне длительно существующих заболеваний кишечника: дивертикулярной болезни, хронического колита, функциональных расстройств и др. В результате запоздалой верификации большинство больных поступают в общехирургические стационары по поводу осложнений этого заболевания [2]. Причем эти негативные тенденции характерны и для развитых стран — более 40 % гериатрических больных оперируют в неотложном порядке вследствие развившихся осложнений [3]. К осложнениям рака толстой кишки относятся острая кишечная непроходимость (20–85 %), перифокальное воспаление с абсцедированием (5–29,9 %), кровотечение (0,8–14,7 %), перфорация опухоли (0,4–18 %) [4]. Особую группу составляют больные, у которых осложнения колоректального рака развиваются на фоне местнораспространенного опухолевого процесса. Работы, посвященные лечению местнораспространенного рака толстой кишки, немногочисленны [5, 6]. Операции при местнораспространенном раке толстой кишки сопровождаются большим количеством осложнений и высокой послеоперационной летальностью [7]. Вышеприведенные данные свидетельствуют об актуальности рассматриваемой проблемы.
Цель работы — оценить результаты лечения пациентов пожилого и старческого возраста с местнораспространенным раком ободочной кишки.
Материалы и методы
В период с 2008 по 2016 г. нами прооперировано 545 пациентов с осложнениями рака ободочной кишки, находившихся на лечении в СПбГБУЗ «Госпиталь для ветеранов войн». Острая толстокишечная непроходимость выявлена у 413 (75,8 %) больных, перифокальное воспаление с абсцедированием — у 77 (14,1 %), кровотечение — у 30 (5,5 %), перфорация опухоли — у 25 (4,6 %). У 74 (13,6 %) из 545 пациентов отмечено развитие осложнений рака ободочной кишки на фоне местнораспространенного опухолевого процесса, когда имела место инвазия опухоли в соседние органы и ткани. В 41 (55,4 %) случае развилась острая кишечная непроходимость, в 25 (33,8 %) — перифокальное воспаление с абсцедированием, в 8 (10,8 %) — перфорация опухоли.
Возраст больных варьировал от 60 до 99 лет, в среднем составил 85,5 года. Женщин было 53 (71,6 %), мужчин — 21 (28,4 %). Все больные поступали в экстренном порядке по скорой помощи. Для экстренно поступавших больных была характерна поздняя госпитализация: большинство из них — 62 (83,8 %) человека — поступили познее 24 ч от момента начала заболевания. Все больные имели выраженную в той или иной степени сопутствующую патологию. Наиболее часто отмечались заболевания со стороны сосудистой и нервной системы. Нередко у одного пациента имелось до пяти нозологических форм сопутствующей патологии. Влияние коморбидности на течение периоперационного периода оценивали с помощью возраст-зависимого критерия Charlson. Этот критерий варьировал в границах от 6 до 12 и в среднем составил 9,8. Операционно-анестезиологический риск оценивали по шкале АSA. У 48 (64,9 %) пациентов отмечена III степень операционно-анестезиологического риска, у 33 (44,5 %) — IV степень. Уровень вероятной послеоперационной летальности определяли с помощью шкалы Cr-POSSUM. Согласно критериям этой шкалы уровень летальности варьировал от 2 до 80 % и в среднем составил 32,8 %. Опухоли чаще локализовались в левой половине толстой кишки в 51 (68,9 %) случае, с преимущественным поражением сигмовидной кишки — в 22 (29,7 %) и ректосигмоидного отдела толстой кишки — в 20 (27 %) случаях.
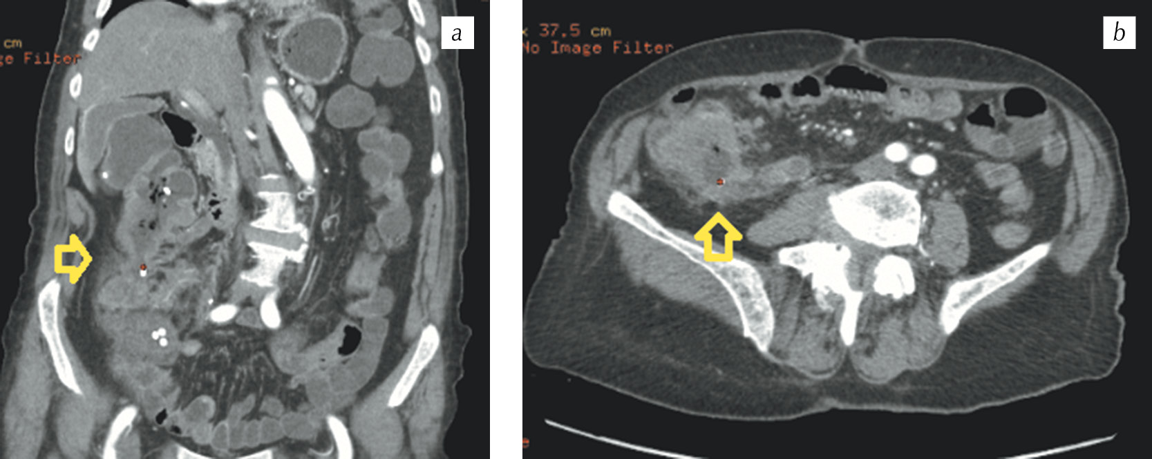
У большинства больных наблюдались третья (33 человека, 44,6 %) и четвертая (24 человека, 32,4 %) стадии онкологического процесса. Всем больным при поступлении проводили комплексное обследование, включавшее рентгенографию груди, живота, ЭКГ, УЗИ, исследование крови, осмотр терапевта. При отсутствии показаний к экстренному оперативному вмешательству объем предоперационного обследования расширяли — проводили эхокардиографию, исследовали функцию внешнего дыхания, выполняли ультразвуковое дуплексное сканирование вен нижних конечностей и др. Более широкое и полноценное обследование позволяло получить исчерпывающую информацию о состоянии основных систем и органов и о степени компенсации сопутствующих заболеваний, а также своевременно корригировать их с привлечением врачей-специалистов смежных специальностей. Большую роль в установлении местнораспространенного опухолевого процесса в толстой кишке играла спиральная компьютерная томография (СКТ) (рис. 1).
Рис. 1. Спиральная компьютерная томография. Мультипланарные реконструкции в корональной (а) и аксиальной (б) проекциях в артериальную фазу. Опухоль восходящей ободочной кишки с инвазией латероканальной фасции и переднего листка почечной фасции (стрелки)
Fig. 1. Spiral computed tomography. Multiplanar reconstructions in the coronal (a) and axial (b) planes into the arterial phase. A tumor of the ascending colon with latero-canal fascia invasion and anterior renal fascia (arrows)
В последнее время в обследовании пациентов с опухолевым поражением ободочной кишки стали применять перфузионную компьютерную томографию (ПКТ). ПКТ является разновидностью динамической СКТ, которая наравне с информацией об анатомических особенностях и морфологических изменениях в зоне интереса путем расчета показателей тканевой перфузии позволяет получить данные о функциональном состоянии органов и тканей. Методика включает в себя бесконтрастное исследование для определения зоны интереса и серию непрерывных динамических сканирований в течение 60 с в выбранной зоне после внутривенного болюсного введения йодсодержащего контрастного вещества. Это дает возможность отследить изменение плотности контрастного вещества во времени в артериях, сосудах микроциркуляторного русла и венах. На основании полученных данных в специальной программе строят графики зависимости «время — плотность» в афферентном сосуде (брюшной аорте) и в каждом вокселе зоны интереса рассчитывают показатели перфузии, на основании значений которых автоматически строятся цветные параметрические карты. Параметрические карты позволяют получить наглядное представление о васкуляризации и распространении опухоли, оценить параметры перфузии в регионарных лимфатических узлах (рис. 2).
Рис. 2. Спиральная компьютерная томография. Опухоль ректосигмоидного отдела толстой кишки. Четко видны границы и распространенность опухоли, интенсивное красное окрашивание свидетельствует о выраженной васкуляризации
Fig. 2. Spiral computed tomography. A tumor of rectosigmoid colon. Clearly visible boundaries and the tumor site, intense red staining indicates pronounced vascularization
Статистическую обработку результатов осуществляли с помощью программ Statistica 7.0 for Windows и Microsoft Excel. Анализ достоверности различия средних величин проводили по критерию Стьюдента (t-критерий), оценку сопряженности качественных признаков — с использованием критерия Пирсона χ2. Статистически значимыми считали результаты при р < 0,05.
Результаты и их обсуждение
Все больные в зависимости от характера развившегося осложнения, тяжести состояния, степени выраженности сопутствующей патологии были оперированы в экстренном, срочном или отсроченном порядке. С 2009 г. в лечении осложнений рака ободочной кишки стали использовать эндовидеохирургические технологии. Виды и объем оперативных вмешательств, выполненных пациентам с осложнениями рака толстой кишки, представлены табл. 1.
Таблица 1 / Table 1
Виды оперативных вмешательств
Types of surgical interventions
Виды операций | Сочетание осложнений | Всего | ||
МРП + перфорация | МРП + ПФВ | МРП + ОТКН | ||
Традиционные | ||||
Правосторонняя гемиколэктомия | 3 | 3 | 3 | 9 |
Левосторонняя гемиколэктомия | 0 | 0 | 1 | 1 |
Операция типа Гартмана | 3 | 7 | 6 | 16 |
Обходной анастомоз | 0 | 0 | 5 | 5 |
Колостомия | 2 | 4 | 17 | 23 |
Всего | 8 | 14 | 32 | 54 |
Эндовидеохирургические | ||||
Правосторонняя гемиколэктомия | 0 | 3 | 2 | 5 |
Левосторонняя гемиколэктомия | 0 | 1 | 0 | 1 |
Операция типа Гартмана | 0 | 6 | 1 | 7 |
Обходной анастомоз | 0 | 0 | 4 | 4 |
Колостомия | 0 | 1 | 2 | 3 |
Всего | 0 | 11 | 9 | 20 |
Итого | 8 | 25 | 41 | 74 |
Примечание. МРП — местнораспространенный опухолевый процесс; ПФВ — перифокальное воспаление; ОТКН — острая толстокишечная непроходимость.
Выполнено 35 (47,3 %) радикальных, 4 (5,4 %) паллиативных и 35 (47,3 %) симптоматических операций. Объем оперативных вмешательств зависел от тяжести состояния больного, стадии онкологического процесса, распространения опухоли на соседние органы и ткани, квалификации операционной бригады.
Лапароскопические операции выполняли в стандартных объемах: при локализации опухоли в правой половине толстой кишки осуществляли лапароскопическую гемиколэктомию с формированием первичного анастомоза. При неоперабельных опухолях и тяжелом состоянии пациентов проводили видеоассистированную илеотрансверзостомию. В случае расположения опухоли в левой половине толстой кишки отдавали предпочтение резекционным вмешательствам с формированием первичного анастомоза или, что чаще, операции типа Гартмана. Лапароскопическую колостомию выполняли в случае неудалимых опухолей левой половины толстой кишки и в случаях тяжелого состояния пациента.
Противопоказания к проведению операций с помощью эндовидеохирургических технологий разделяли на абсолютные и относительные, местные и общие. К местным абсолютным противопоказаниям относили признаки декомпенсированной кишечной непроходимости с нарушением гомеостаза; наличие множественных послеоперационных рубцов, занимающих больше половины площади передней брюшной стенки или функционирующих каловых свищей; распространенный перитонит давностью более 12 ч; перерастяжение петель кишечника, при котором требовалась назоинтестинальная интубация. Местными относительными противопоказаниями считали большие невправимые вентральные грыжи, несформированные кишечные свищи, тотальный спаечный процесс брюшной полости. Общие абсолютные противопоказания включали острые сердечно-сосудистые расстройства (острый коронарный синдром, острое нарушение мозгового кровообращения), нарушение основных систем и функций организма в стадии декомпенсации. Общими относительными противопоказаниями являлись нестабильная стенокардия, бронхиальная астма с частыми обострениями, ожирение IV степени, портальная гипертензия, перенесенная массивная лучевая терапия.
При местнораспространенном процессе выявлялась инвазия опухоли в соседние органы и ткани (рис. 3). В 39 случаях были выполнены комбинированные резекции, в 26 — традиционные, в 13 — применяли эндовидеохирургические технологии (табл. 2).
Рис. 3. Инвазия опухоли ободочной кишки в соседние органы и ткани
Fig. 3. Invasion of a colon tumor into adjacent organs and tissues
Таблица 2 / Table 2
Виды комбинированных резекций у больных с местнораспространенным раком ободочной кишки
Types of combined resections in the patients with locally advanced colon cancer
Виды комбинированных операций | Способ выполнения операций | Всего | |
традиционный | видеоассистированный | ||
Правосторонняя гемиколэктомия + резекция печени | 1 | 1 | 2 |
Правосторонняя гемиколэктомия + резекция 2/3 желудка | 1 | 0 | 1 |
Правосторонняя гемиколэктомия + резекция тонкой кишки | 1 | 1 | 2 |
Правосторонняя гемиколэктомия + резекция мочеточника | 2 | 0 | 2 |
Правосторонняя гемиколэктомия + аднексэктомия | 2 | 2 | 4 |
Правосторонняя гемиколэктомия + резекция брюшной стенки | 2 | 1 | 3 |
Левосторонняя гемиколэктомия + аднексэктомия | 1 | 1 | 2 |
Операция типа Гартмана + резекция тонкой кишки | 2 | 1 | 3 |
Операция типа Гартмана + резекция печени | 1 | 0 | 1 |
Операция типа Гартмана + резекция поджелудочной железы + спленэктомия | 1 | 0 | 1 |
Операция типа Гартмана + резекция мочеточника | 2 | 0 | 2 |
Операция типа Гартмана + резекция мочевого пузыря | 3 | 2 | 5 |
Операция типа Гартмана + ампутация матки с придатками | 3 | 2 | 5 |
Операция типа Гартмана + резекция брюшной стенки | 4 | 2 | 6 |
Всего | 26 | 13 | 39 |
При локализации опухолей в правой половине толстой кишки выполнено 14 комбинированных правосторонних гемиколэктомий: девять — традиционным способом и пять — видеоассистированным. У пациента с инвазией опухоли слепой кишки в правые придатки и переднюю брюшную стенку с формированием паратуморозного абсцесса была произведена видеоассистированная правосторонняя гемиколэктомия с удалением правых придатков. У одного из пациентов при локализации опухоли в проксимальной трети поперечной ободочной кишки была выявлена истинная инвазия опухоли в левую долю печени. Была осуществлена комбинированная расширенная правосторонняя гемиколэктомия с атипичной резекцией левой доли печени. При инвазии опухоли в петлю тонкой кишки выполняли комбинированные резекции en block как традиционно, так и с использованием эндовидеохирургических технологий. При видеоассистированных операциях анастомозы формировали экстракорпорально.
При левосторонней локализации местнораспространенной опухоли, осложненной перифокальным воспалением с абсцедированием, у больных старческого возраста мы отдавали предпочтение обструктивным резекциям толстой кишки. Формирование первичного трансверзоректоанастомоза при левосторонней гемиколэктомии выполнено в одном случае у пациента с перифокальным воспалением без признаков абсцедирования и в другом — при компенсированной кишечной непроходимости. При инвазии опухоли в мочевой пузырь осуществляли резекцию кишки со стенкой мочевого пузыря с последующим ушиванием стенки мочевого пузыря и формированием концевой колостомы. Такие операции производили как традиционным методом, так и с использованием эндовидеохирургических технологий. У одного пациента имелась опухоль селезеночного угла ободочной кишки с инвазией в хвост поджелудочной железы с формированием паратуморозного абсцесса. Ему была выполнена обструктивная резекция левой половины толстой кишки с резекцией хвоста поджелудочной железы и спленэктомией en block традиционным методом. При резекционных вмешательствах объем лимфодиссекции был не меньше D2, а иногда и расширялся до D3. Послеоперационные осложнения развились у 32 пациентов (табл. 3).
Таблица 3 / Table 3
Послеоперационные осложнения
Postoperative complications
Послеоперационные осложнения | Способ выполнения операции | Всего (n = 74) | ||||
Традиционный (n = 54) | Видеоассистированный (n = 20) | |||||
абс. | % | абс. | % | абс. | % | |
Инфекция области хирургического вмешательства – I | 19 | 35,2 | 2 | 10 | 21 | 28,4 |
Эвентрация | 3 | 5,6 | 0 | 0 | 3 | 4,1 |
Несостоятельность анастомоза | 1 | 1,9 | 0 | 0 | 1 | 1,4 |
Поддиафрагмальный абсцесс | 1 | 1,9 | 0 | 0 | 1 | 1,4 |
Некроз стомы | 3 | 5,6 | 0 | 0 | 3 | 4,1 |
Острый инфаркт миокарда | 2 | 3,7 | 0 | 0 | 2 | 2,7 |
Пневмония | 10 | 18,5 | 0 | 0 | 10 | 13,5 |
Антибиотик-ассоциированный колит | 2 | 3,7 | 0 | 0 | 2 | 2,7 |
Желудочно-кишечное кровотечение | 0 | 0 | 1 | 5 | 1 | 1,4 |
Всего | 41 | 75,9 | 3 | 15 | 44 | 59,5 |
Чаще всего из абдоминальных осложнений отмечались инфекционные осложнения со стороны ран — 21 (28,4 %), причем в большинстве случаев после операций, выполненных традиционными методами, — 19 (35,2 %). После мини-инвазивных операций это осложнение наблюдалось в 2 (10 %) случаях.
Несостоятельность анастомоза развилась у 1 (1,4 %) пациента после комбинированной обструктивной резекции сигмовидной кишки с резекцией тонкой кишки en block вследствие истинной инвазии опухоли в петлю тонкой кишки. Несостоятельность энтероэнтероанастомоза произошла на третьи сутки. Была выполнена релапаротомия с разобщением анастомоза и дренированием брюшной полости. Данный случай закончился летальным исходом. Формирование поддиафрагмального абсцесса зарегистрировано после комбинированной левосторонней гемиколэктомии по Гартману с резекцией тела и хвоста поджелудочной железы и спленэктомией. Абсцесс был дренирован под УЗ-навигацией. Затем последовало выздоровление пациента.
Из экстраабдоминальных осложнений наиболее часто были выявлены послеоперационные пневмонии — 10 (13,5 %), причем во всех случаях после традиционных операций. Острый инфаркт миокарда осложнил течение послеоперационного периода у двух больных. В обоих случаях последовал летальный исход. В двух случаях (2,7 %) мы наблюдали грозное осложнение антибактериальной терапии — антибиотик-ассоциированный колит. У одного пациента после видеоассистированной левосторонней гемиколэктомии с формированием аппаратного трансверзоректоанастомоза на вторые сутки отмечено кишечное кровотечение из зоны анастомоза по линии скрепочного шва. Кровотечение было своевременно распознано, и осуществлен эндоскопический гемостаз клипированием.
Всего из 74 оперированных пациентов умерло 23 (31,1 %). На уровень послеоперационной летальности влияли различные факторы: возраст, тяжесть состояния, характер развившегося осложнения, объем хирургического пособия (табл. 4).
Таблица 4 / Table 4
Послеоперационные осложнения и летальность в зависимости от осложнения рака ободочной кишки
Postoperative complications and mortality depending on the type of colon cancer complication
Осложнения рака ободочной кишки | n | Осложнения | Летальность | ||
Абс. | % | Абс. | % | ||
МРП + перфорация | 8 | 5 | 62,5 | 7 | 87,5 |
МРП + ОТКН | 25 | 13 | 52.0 | 6 | 24,0 |
МРП + ПФВ | 41 | 14 | 34,1 | 10 | 24,4 |
Всего | 74 | 32 | 43,2 | 23 | 31,1 |
Примечание. МРП — местнораспространенный опухолевый процесс; ОТКН — острая толстокишечная непроходимость; ПФВ — перифокальное воспаление.
Наибольшей летальностью сопровождались операции при перфорации местнораспространенной опухоли ободочной кишки (87,5 %), что можно объяснить сочетанием неблагоприятных взаимоотягощающих факторов: запущенным онкологическим процессом, распространенным перитонитом, причиной которого стала перфорация опухоли, а также выраженной сопутствующей патологией.
На уровень послеоперационной летальности влияло и количество произошедших осложнений — чем больше осложнений развивалось одновременно или последовательно у одного пациента, тем меньше шансов на выздоровление у него оставалось (табл. 5).
Таблица 5 / Table 5
Послеоперационная летальность в зависимости от количества развившихся осложнений
Postoperative mortality depending on the number of developed complications
Количество осложнений | Количество пациентов | Умерло | |
Абс. | % | ||
1 | 20 | 10 | 50 |
2 | 7 | 5 | 57,1 |
3 | 4 | 3 | 75 |
>3 | 2 | 2 | 100 |
Всего | 32 | 23 | 31,1 |
При анализе зависимости послеоперационной летальности от вида выполненной операции отмечено, что наибольшая послеоперационная летальность зафиксирована после различного вида колостомии (табл. 6).
Таблица 6 / Table 6
Послеоперационная летальность в зависимости от выполненного оперативного вмешательства
Postoperative mortality depending on the performed surgical intervention
Вид оперативного вмешательства | Количество пациентов | Умерло пациентов | Летальность, % |
Правосторонняя гемиколэктомия | 14 | 2 | 14,3 |
Операция типа Гартмана | 23 | 5 | 21,7 |
Колостомия | 26 | 16 | 61,5 |
Илеотрансверзостомия | 9 | 0 | 0 |
Левосторонняя гемиколэктомия | 2 | 0 | 0 |
Колостомия, как наименее травматичная операция, сопровождалась наибольшей послеоперационной летальностью ввиду того, что к этому виду оперативного вмешательства прибегали тогда, когда больший объем или по тяжести состояния, или по причине запущенности онкологического процесса был невыполним. По сути, это были операции отчаяния.
Заключение
Результаты нашего исследования свидетельствуют, что у больных старших возрастных групп осложнения рака ободочной кишки, развивающиеся на фоне местнораспространенного опухолевого процесса, встречаются в 13,6 %. В этой группе пациентов, как правило, выполняют вынужденные симптоматические операции, сопровождающиеся большим количеством послеоперационных осложнений и высокой послеоперационной летальностью. Применение современных методов лучевой диагностики (ПКТ) позволяет получить достоверные данные о локализации и распространенности опухоли в ободочной кишке и ее осложнениях. Эндовидеохирургические технологии при лечении осложненного местнораспространенного рака ободочной кишки в отсутствие противопоказаний способствуют снижению послеоперационных осложнений и летальности.
About the authors
N. I. Glushkov
North-Western State Medical University named after I.I. Mechnikov; Saint Petersburg War Veterans Hospital
Email: tgorshenin@mail.ru
Russian Federation, St.Petersburg
T. L. Gorshenin
North-Western State Medical University named after I.I. Mechnikov; Saint Petersburg War Veterans Hospital
Author for correspondence.
Email: tgorshenin@mail.ru
Russian Federation, St.Petersburg
M. Ya. Belikova
North-Western State Medical University named after I.I. Mechnikov; Saint Petersburg War Veterans Hospital
Email: tgorshenin@mail.ru
Russian Federation, St.Petersburg
S. K. Dulaeva
North-Western State Medical University named after I.I. Mechnikov; Saint Petersburg War Veterans Hospital
Email: tgorshenin@mail.ru
Russian Federation, St.Petersburg
I. K. Borovik
Saint Petersburg War Veterans Hospital
Email: tgorshenin@mail.ru
Russian Federation, St.Petersburg
References
- Денисенко В.Л., Гаин Ю.М. Осложнения колоректального рака: проблемы и перспективы // Новости хирургии. – 2011. – Т. 19. – № 1. – С. 103–111. [Denisenko VL, Gain YuM. Oslozhneniya kolorektal’nogo raka: problemy i perspektivy. Novosti hirurgii. 2011;19(1):103-111. (In Russ.)]
- Глушков Н.И., Дулаева С.К. Непосредственные результаты хирургического лечения осложненного рака у больных пожилого и старческого возраста // Успехи геронтологии. – 2018. – Т. 31. – № 4. – С. 574–578. [Glushkov NI, Dulaeva SK. Neposredstvennye rezul’taty hirurgicheskogo lecheniya oslozhnennogo raka u bol’nyh pozhilogo i starcheskogo vozrasta. Uspekhi gerontologii. 2018;31(45):74-578. (In Russ.)]
- Latkauskas T, Rudinskaitė G, Kurtinaitis J, et al. The impact of age on post-operative outcomes of colorectal cancer patients undergoing surgical treatment. BMC Cancer. 2005;5:153. https://doi.org/10.1186/1471-2407-5-153.
- Сингаевский А.Б., Цикоридзе М.Ю. Совершенствование хирургической тактики при осложненном раке ободочной кишки в многопрофильном стационаре // Вестник Северо-Западного государственного медицинского университета им. И.И. Мечникова. – 2014. – Т. 6. – № 1. – С. 59–65. [Singaevskij AB, Cikoridze MYu. Sovershenstvovanie hirurgicheskoj taktiki pri oslozhnennom rake obodochnoj kishki v mnogoprofil’nom stacionare. Herald of the North-Western State Medical University named after I.I. Mechnikov. 2014;6(1):59-65. (In Russ.)]
- Лихтер М.С., Шелыгин Ю.А., Ачкасов С.И. Мультидисциплинарный подход к лечению больных колоректальным раком с вовлечением органов мочевыделительной системы // Хирургия. – 2012. – № 12. – С. 34–39. [Lihter MS, SHelygin YuA., Achkasov SI. Mul’tidisciplinarnyj podhod k lecheniyu bol’nyh kolorektal’nym rakom s vovlecheniem organov mochevydelitel’noj sistemy. Hirurgiya. 2012;(12):34-39. (In Russ.)]
- Патютко Ю.И., Кудашкин Н.Е., Котельников А.Г. Хирургическое лечение местнораспространенного рака правой половины толстой кишки // Онкологическая колопроктология. – 2014. – № 2. – С. 28–32. [Patyutko YuI, Kudashkin NE, Kotel’nikov AG. Hirurgicheskoe lechenie mestno-rasprostranennogo raka pravoj poloviny tolstoj kishki. Onkologicheskaya koloproktologiya. 2014;(2):28-32. (In Russ.)]
- Кит О.И., Геворкян Ю.А., Солдаткина Н.В., и др. Комбинированные оперативные вмешательства при местнораспространенном колоректальном раке // Хирургия. – 2016. – № 11. – С. 42–47. [Kit OI, Gevorkyan YuA, Soldatkina NV, et al. Kombinirovannye operativnye vmeshatel’stva pri mestno-rasprostranennom kolorektal’nom rake. Hirurgiya. 2016;(11):42-47. (In Russ.)]
Supplementary files






