Peculiarities of percutaneous stenting interventions on the bile ducts
- Authors: Yakovleva D.M.1,2
-
Affiliations:
- Saint Petersburg Hospital for War Veterans
- Military Medical Academy named after S.M. Kirov
- Issue: Vol 11, No 4 (2019)
- Pages: 37-46
- Section: Original study article
- Submitted: 28.03.2019
- Accepted: 02.10.2019
- Published: 27.03.2020
- URL: https://journals.eco-vector.com/vszgmu/article/view/11524
- DOI: https://doi.org/10.17816/mechnikov201911437-46
- ID: 11524
Cite item
Abstract
Bile duct stenting is not a common intervention in most multidisciplinary hospitals in our city. The article presents our 5-year experience with 84 antegrade prosthetic interventions using self-expanding nitinol stents and endoprostheses. The interventions were carried out in 2 stages: percutaneous transhepatic cholangiography drainage followed by biliary stenting or endoprosthetics. All patients were operated on for obstructive jaundice: 10 benign genesis, 74 — malignant. The analysis of postoperative pancreatitis with primary drainage intervention development allowed us to find the algorithm for its prediction, early detection and treatment. The possibilities of using partially-coated nitinol stents in different variants of the biliary tree anatomy were considered. The article also provides evidence for advisability of endoprosthesses in benign strictures of the bile ducts.
Full Text
Introduction
Timely, minimally invasive biliary decompression is an important component of the staged or final surgical treatment of patients with diseases of organs in the hepatopancreatobiliary region that cause obstructive jaundice. However, surgeries performed in the presence of long-term obstructive jaundice, especially in elderly and senile age patients with severe comorbid pathology, are accompanied by complications in 16%–43% of cases. Mortality ranges between 9%–33%, reaching 36%–45% among urgently operated patients aged over 60 years [1–5].
Endobiliary interventions restore liver function quickly and effectively, reduce postoperative mortality, especially in elderly and senile age patients, which makes this type of intervention a bridge between subsequent radical and palliative surgical care for patients in this older age group [6–9].
Stenting of the bile ducts in most multi-specialty hospitals in St. Petersburg is often not performed. The lack of qualified personnel, technical equipment, and the high cost of consumables significantly limit the possibility of using this technique in everyday surgical practice. According to various authors, the frequency of complications of stenting interventions varies from 18.6% to 30% [10, 11].
This work aimed to consider the technical aspects of biliary prosthetics and study the complications of antegrade stenting interventions to improve the quality of surgical care for patients with obstructive jaundice of various origins.
Materials and methods
The study included 84 patients with obstructive jaundice, who underwent biliary stenting or endoprosthetics and received inpatient treatment from 2014 to 2018. Participants included 10 patients with benign strictures of the bile ducts and 74 patients with malignant strictures. The average age of patients with cancer of the biliary tree was 73 years, and that of patients with benign strictures was 57 years. According to the World Health Organization (WHO) classification, 24 of 84 patients were of elderly age, 41 were of senile age, and 7 patients were long-livers, which totaled 85.7% of patients.
Results
The treatment of patients in the groups studied was phased. A two-stage approach was used most often used for malignant lesions: first, percutaneous or endoscopic drainage was performed, with subsequent stenting of the bile ducts. During the initial intervention, attention was paid to the anatomy of the zone of the major duodenal papilla, so that during the joint return of the common bile duct (CBD) and the major pancreatic duct (MPD), suprapapillary percutaneous drainage could be performed. In the case of endoscopic decompression of the bile ducts with a plastic stent, the intervention was supplemented with MPD stenting. Some patients with percutaneous access during direct cholangiography did not have a joint return of CBD and MPD, and the rapid emptying of the biliary tree from the injected contrast agent due to relaxation of the sphincter of Oddi was noteworthy.
After percutaneous transhepatic external-internal cholangiostomy, most patients of this group had pancreatitis on day 1 after surgery (in some patients with pancreatic necrosis). With the accumulation of experience with the so-called “rapid emptying” symptom, we began to conduct targeted contrasting at the level of the terminal part of the CBD using a diagnostic angiographic catheter with a diameter of 4–5 Fr with a bolus injection of the contrast agent. In most cases, a joint return of CBD and MPD was detected, for which suprapapillary transdermal transhepatic cholangio-drainage was performed. As a result, the incidence of postoperative pancreatitis decreased from 8.7% [11] to 3.8% [6], and mortality from pancreatic necrosis decreased from 5.6% [7] to 0.6% [1] (p < 0.001) (Table 1).
Table 1 / Таблица 1
The incidence of postoperative pancreatitis in percutaneous drainage interventions
Частота развития послеоперационного панкреатита при чрескожных дренирующих вмешательствах
Year | Surgeries | Complications | ||
transhepatic external-internal cholangio-drainage | suprapapillary percutaneous transhepatic cholangio-drainage | postoperative pancreatitis | pancreonecrosis | |
2014 | 27 | 1 | 2 | 3 |
2015 | 93 | 5 | 2 | 4 |
2016 | 67 | 26 | 4 | 1 |
2017 | 38 | 28 | 1 | 0 |
2018 | 26 | 20 | 2 | 0 |
Since mid-2016, we have developed and put into practice an algorithm for the early diagnosis of acute pancreatitis after percutaneous cholangio-drainage. Three hours after transdermal transhepatic external-internal cholangio-drainage, all patients had their hemoglobin levels, hematocrits, leukocyte counts, bilirubin levels, and blood amylase levels determined.
Analysis of red blood indices enabled the prevention of early postoperative complications in the form of intra-abdominal bleeding or control of the intensity of hemobilia (if any). When hyperamylasemia was detected 3–5 times higher than the initial level, repeated control after 3–6 hours was performed. This control focused on the clinical presentation during treatment according to the clinical recommendations for providing medical care to patients with acute pancreatitis of the Russian Society of Surgeons and the Association of Hepatopancreatobiliary Surgeons of the Commonwealth of Independent States (CIS) countries. With a continuing tendency to increase the level of blood amylase, the external-internal cholangiostomy drainage was urgently replaced with the suprapapillary one. In 2016, the drainage system was reinstalled in two of four patients (in the remaining two patients, acute pancreatitis was treated conservatively), in 2017 it was reinstalled in one patient, and two patients in 2018. Such patient surveillance reduced the incidence of severe pancreatitis and enabled the prevention of complications in the form of pancreatic necrosis in 2017–2018.
Stenting was performed in 73 cancer patients. Of these, 47 patients had stage IV disease, 24 patients had an extremely high operational risk, and two patients refused radical surgical treatment. Table 2 presents the distribution of patients by nosological groups and the amount of intervention.
Table 2 / Таблица 2
The number of percutaneous bile duct prosthetic interventions performed depending on the affected area
Количество выполненных чрескожных вмешательств по протезированию желчных протоков в зависимости от зоны поражения
Diagnosis | Number of patients | Endoprosthetics | Stenting | Number of stents | Fatal outcome |
С25 | 39 | 11 | 30 | 32 | 1 |
С23 | 1 | 0 | 1 | 1 | 1 |
С24.0 | 13 | 7 | 9 | 10 | 1 |
С24.1 | 3 | 0 | 3 | 3 | 0 |
С22 | 11 | 5 | 7 | 12 | 1 |
PDL metastases | 7 | 2 | 5 | 6 | 0 |
Benign diseases | 10 | 9 | 2 | 4 | 0 |
Total | 84 | 34 | 57 | 68 | 4 |
Note. PDL — pancreatic-duodenal ligament.
For stenting, self-expanding nitinol stents (SNS) made by HANAROSTENT and MIT were used. Endoprosthetics was performed by an arcuate curved flexible X-ray contrast polymer tube with lateral holes and reverse bending in the distal section. The proximal end was sealed with a titanium obturator located in the subcutaneous tissue (V.G. Ivshin’s biliary prosthesis) (see Fig. 3, c).
The discrepancy between the number of patients and the surgical interventions performed is mainly because of distant postoperative complications in the form of cholangitis or obstruction of the endoprosthesis. Therefore, after the endoprosthetics procedure, it was necessary to perform the stenting surgery in the same patient. After endoprosthetics, two patients with malignant pancreatic lesions required stenting. In addition, three patients with CBD, one patient with Klatskin tumor, and only one patient with benign hepatic bile duct (HBD) after stenting required endoprosthetics due to granulation tissue obstruction of the upper jaw of the stent.
The main issues that we focused on when performing stenting were the presence of a functioning gallbladder, the joint return of the CBD and MPD, and the features of return of the segmental bile ducts (Fig. 1). At the beginning of the technique development, all the above anatomical aspects acted as “deterrents” to the use of coated SNSs. Gradually, we abandoned uncoated stents because of their rapid obstruction in the presence of tumor tissue invasion through stent cells and the relapse of jaundice. Figure 1 presents cases of stenting with partially covered nitinol stents in the case of a tumor lesion of the extrahepatic bile ducts, considering special aspects of the anatomy of the biliary tree and the area of the major duodenal papilla. For each patient, the nitinol stent was selected individually depending on the extent of the stricture, its location, and the above anatomical aspects. The correct choice of stent length and diameter are important factors in preventing its early obstruction and migration. The necessary length of the stent is the sum of the length of the stricture itself in addition to 2 cm (preferably 3 cm, if anatomy permits that) in the proximal direction, and 1 cm distally in the case of a suprapapillary installation, or 2 cm in case of a transpapillary installation.
Fig. 1. Stenting options for partially coated self-expanding nitinol stents considering the volume of anatomical features: a — the presence of a functioning gallbladder; b — stenting of the right lobar duct with extensive tumor lesion; c — joint infusion of the common bile duct and main pancreatic duct
Рис. 1. Варианты стентирования частично покрытыми саморасправляющимися нитиноловыми стентами с учетом анатомических особенностей: a — наличие функционирующего желчного пузыря; b — стентирование правого долевого протока при обширном опухолевом поражении; c — совместное впадение общего желчного протока и главного панкреатического протока
When calculating, it must be remembered that when the stent is expanded, the latter is shortened by 30%–50% in the area of the dilated part of the duct (if the duct diameter exceeds the diameter of the stent used) and in the duodenal lumen. Leaving the long distal part of the stent in the lumen of the duodenum facilitates its migration with food masses. The SNS diameter was chosen considering the severity of stenosis and its extent (from 6 to 10 mm). The longer and the denser (during bougienage) the narrowing is, and the more significantly it deforms the lumen of the duct, the smaller diameter of the stent (i.e., 6 mm) can be used. With a slight suprastenotic expansion of the ducts, 1 mm was added to the diameter of the dilated duct to determine the required diameter of the stent. With severe biliary hypertension and an unexpanded stricture, a stent of maximum diameter (10 mm) was used.
Given the possibility of preliminary positioning of the stent after trial opening, we formed perforations in the stent lining in the zone of interest. After that, it was finally installed (Fig. 2).
Fig. 2. Cholangiogram of the patient with primary sclerosing cholangitis (the arrows indicate the main pancreative duct and functioning gall bladder) (a); cholangiogram after stenting (the black arrows indicate the stents, the white arrows — the areas of artificially perforated holes) (b)
Рис. 2. Холангиограмма пациента с первичным склерозирующим холангитом (стрелками отмечены главный панкреатический проток и функционирующий желчный пузырь) (a); холангиограмма после стентирования (черными стрелками обозначены установленные стенты, белыми — зоны искусственно сформированных перфорационных отверстий) (b)
Fig. 2 presents the case of successful treatment of patient D., 34 years old, with primary sclerosing cholangitis. The patient had anatomical features of a joint return of CBD and MPD and a functioning gall bladder. After the draining intervention and regression of jaundice, the second stage was stenting with three SNSs. All stents were coated with a lasso. After the stents were preliminary positioned and partially perforated, an endoscopic installation of a stent of the right lobular duct was performed, and a percutaneous installation of the stent of the CBD and the left lobular duct was performed. After six months, the CBD stent migrated, and after five months, a single attack of cholangitis was noted when the hepatoprotectors were canceled independently and was stopped conservatively with antibiotics. The total follow-up period at present is 2.5 years.
The treatment of benign strictures was a multi-stage or hybrid technique. In one case of iatrogenic partial damage to the HBD and its clipping, a percutaneous drainage intervention was initially performed in combination with laparoscopic removal of the clip. In cases of benign strictures (the most often previously formed biliodigestive anastomosis), with or without choledocholithiasis, suprapapillary cholangio-drainage was performed with the primary recanalization of the stenosis zone. In the second stage, in all cases, endoprosthetics were performed with or without percutaneous lithoextraction. The staged replacement of the endoprosthesis was performed when it was obturated. Removal was performed no earlier than 2.5 years after the initial installation. We used V.G. Ivshin’s endoprostheses (manufactured by MIT) with a diameter of 12 or 14 CH; the bending angle of the prosthesis distal end was chosen individually depending on the anatomical aspects of the patient.
In total, nine endoprosthetics were performed for benign strictures of the bile ducts, namely. four surgeries for strictures of biliodigestive anastomoses (three hepaticojejunostomy, one choledochoduodenoanastomosis), one after destructive pancreatitis, one after iatrogenic HBD damage, one due to stricture of the CBD terminal section with a large recurrent choledocholithiasis after stomach resection according to Billroth II, one due to stricture of the middle third of the CBD with suprastenotic choledocholithiasis after a traditional cholecystectomy, choledocholithotomy, and drainage by Kehr.
Clinical case
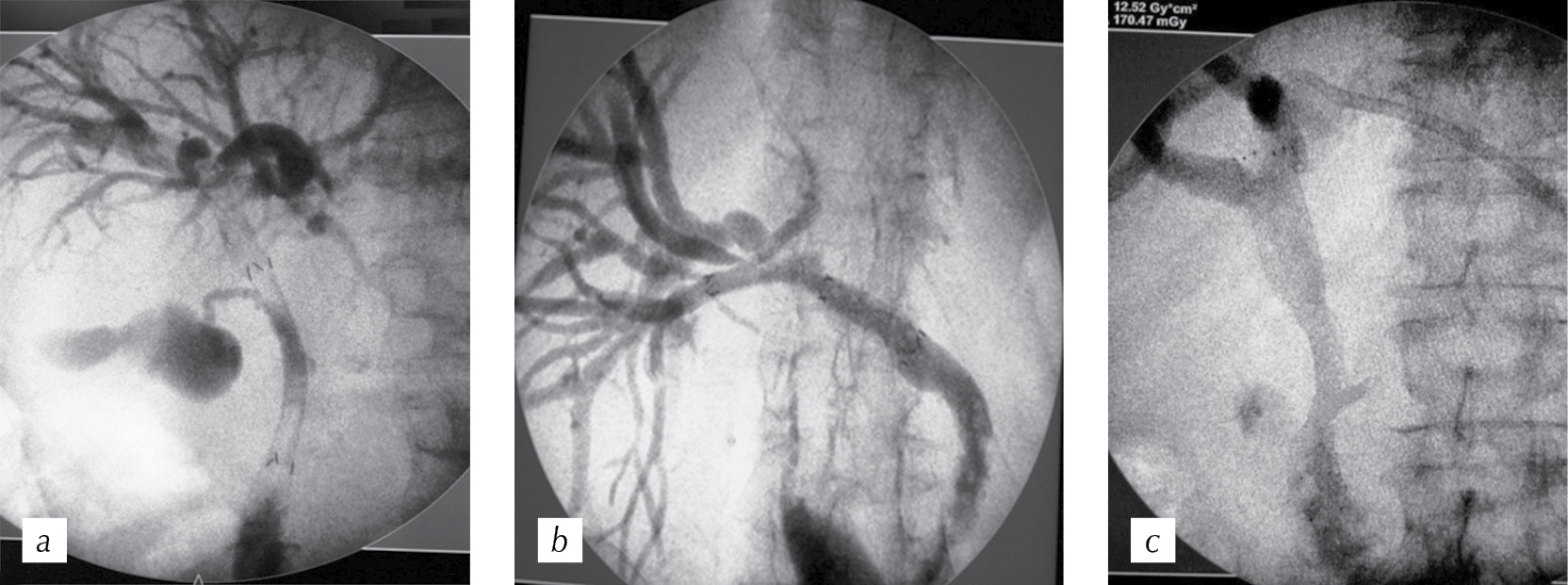
Patient M., 83 years old, was admitted with the primary diagnosis of gallstone disease, choledocholithiasis, and obstructive jaundice. He had a secondary diagnosis of coronary heart disease, abdominal compartment syndrome, angina of effort of functional class 3, ciliary arrhythmia, permanent form; hypertension stage III; chronic heart failure, degree IIIA, functional class 3; risk of cardiovascular complications 4; hepatic cirrhosis; cerebrovascular disease; disculator encephalopathy, degree II; chronic bronchitis; respiratory failure, degree I; benign prostatic hyperplasia, degree II; and chronic pyelonephritis, latent course. His condition after Billroth II resection of the stomach in 1979, indicated that he had postoperative ventral hernias, degenerative and dystrophic diseases of the spine, and osteochondritis of the spine. The patient’s history reveals that in 2011, he was operated on in one of the hospitals in St. Petersburg for a laparotomy, choledocholithotomy, and drainage of the CBD according to Kehr. In 2014, the patient underwent a mini-laparotomy, choledocholithotomy, and drainage of the CBD, according to Kehr. After the examination, transhepatic external-internal cholangio-drainage was performed, during which a stricture of the CBD terminal section was found, with calculus of 3.2 × 1.8 cm. After three weeks, the patient was repeatedly hospitalized in a planned manner, bougienage of the stricture of the terminal part of the CBD, percutaneous lithotripsy, and repeated drainage of the bile ducts were performed. After one month, the endoprosthetics of the bile ducts were performed (Fig. 3). No problems occurred during the postoperative period. The endoprosthesis was removed after two years and seven months; however, its replacement was never performed. The follow-up of this patient’ s case was performed for 10 months.
Fig. 3. Cholangiograms of the staged treatment of “major” recurrent choledocholithiasis: a — transhepatic external-internal cholangiodrainage; b — percutaneous lithotripsy, lithoextraction; c — endoprosthesis placement
Рис. 3. Холангиограммы этапного лечения «крупного» рецидивного холедохолитиаза: a — чреспеченочное наружно-внутреннее холангиодренирование; b — чрескожная литотрипсия, литоэкстракция; c — эндопротезирование
We divided all postoperative complications of stenting interventions into frequent and rare. Cholangitis, obstruction, and complete migration of the prosthesis were frequent, whereas rare occurrences included duodenal perforation, nonfunctioning gallbladder, cholangiogenic sepsis, pancreatic necrosis, external bile leakage, and stent dislocation (Table 3).
Table 3 / Таблица 3
Complications of stenting interventions
Осложнения стентирующих вмешательств
Complications | Stenting | Endoprosthetics | |
Frequent | Cholangitis | 1 | 2 |
Prosthesis obturation | 5 | 8 | |
Complete prosthesis migration | 3 | 0 | |
Rare | Cholangiogenic sepsis | 2 | 0 |
Duodenal perforation | 1 | 0 | |
Stent dislocation | 1 | 0 | |
Pancreatic necrosis | 1 | 0 | |
External bile leakage | 0 | 1 | |
Total | 14 | 11 |
There were 11 complications of endoprosthetics (32.4%). A high percentage of postoperative complications was most likely due to the altered lithogenic properties of bile in cancer patients, which contributed to the rapid obstruction of the prosthesis. For this reason, we refused bile duct endoprosthetics for oncopathology. After stenting, 14 (24.6%) complications and four fatalities occurred, which totaled 7%. All lethal outcomes were in the group of oncological patients. Two deaths occurred due to cholangiogenic sepsis, one due to pancreatic necrosis, and one after emergency pancreatoduodenal resection due to duodenum perforation with a stent. All deaths occurred in the initial period of development of the technique and were because of inexperience in selecting the correct stent, and insufficient skills in manipulation.
Due to the dislocation and migration of the SNS, restenting or case follow-up (in the case of primary sclerosing cholangitis) was required. As a result of prosthesis obturation, two patients required endoscopic sanitation, two patients required repeated stent-in-stent stenting, and one patient required endoprosthetics.
Clinical case
Patient B., 52 years old, was hospitalized in the clinic with symptoms of obstructive jaundice. The patient had a history of combined treatment for cancer in the upper ampullar segment of the rectum in the area of the anterior rectum resection, an extended right-sided hemihepatectomy, and five courses of palliative chemotherapy. Initially, a stricture at the hepatic hilar level was regarded as a progression of the oncological process (Fig. 4). At the first stage, external cholangio-drainage was performed, and at the second stage, stenting (an uncoated SNS was used) was performed. After one year, the patient was re-hospitalized due to the relapse of jaundice.
Fig. 4. Stages of surgical treatment of the patient with benign stricture of the common hepatic duct: a — direct cholangiography (the arrow indicates the stricture zone); b — stage of stenting (the arrow indicates the stent); c — cholangiogram (the arrow shows the area of stent obstruction); d — suprapapillary endoprosthesis placement (the arrow shows the endoprosthesis installed through the stent lumen)
Рис. 4. Этапы хирургического лечения пациентки с доброкачественной стриктурой общего печеночного протока: a — прямая холангиография (стрелкой указана зона стриктуры); b — этап стентирования (стрелка указывает на стент); c — холангиограмма (стрелкой показана зона обтурации стента); d — супрапапиллярное эндопротезирование (стрелкой отмечен эндопротез, установленный через просвет стента)
At the time of hospitalization, the patient had stabilization of the oncological process. Direct cholangiography revealed obturation of the upper jaw of the stent. A percutaneous intraluminal biopsy and recanalization of the stricture zone were performed. The pathological examination revealed fragments of granulation tissue, that is, the presence of benign strictures along the left lobar duct. Then, suprapapillary endoprosthesis replacement was performed due to the joint return of the MPD and the CBD. The patient’s case has been followed up for two years. During this time, the endoprosthesis has been replaced twice, and the patient is currently undergoing targeted therapy for disease progression in the form of metastases to the lungs and the liver.
During the obturation of endoprostheses, it was necessary to replace them or perform stenting with the SNS. The absence of lethal outcomes when using endoprostheses is because of their “controllability,” that is, in case of complications, the endoprosthesis can be removed or replaced, unlike the SNS.
In cases of treatment of benign strictures, there were no complications and lethal outcomes.
Discussion
The widespread use of plastic stents is only a temporary measure in the treatment of patients with bile duct strictures because of the high risk of occlusion. The main factor limiting patency of plastic stents is the formation of bacterial biofilms, which leads to the deposition of bile salts and the formation of stones associated with the stent. The service life of plastic stents was extended by changing their shape and using ursodeoxycholic acid preparations, aspirin, or antibiotics [12], but the desired effect was not achieved. Attempts to increase the life of the stent resulted in the invention of metal self-expanding mesh structures of larger diameter, which increased the period of adequate bile discharge. However, this invention also has several disadvantages, including the ingrowth of granulation tissue through stent cells due to reactive hyperplasia with strictures of benign origin and tumor invasion in the case of cancer damage [13]. Therefore, uncoated SNSs were used in limited cases., Coatings for metal stents were introduced in an attempt to improve the results [14]. Prolonged functioning compared with uncoated stents [13], in combination with the possibility of their removal, prompted us to use this technique in surgical practice.
The results of our work indicate that the use of a self-expanding nitinol stent requires paying attention to the main important points, including the presence of a functioning gall bladder, the joint return of the CBD, and MPD, and the aspects of the return of the segmental bile ducts. For each patient, the stent was chosen individually based on the stricture extent, its location, and the above anatomical features. The use of endoprostheses in cancer patients is impractical due to their rapid obstruction in the presence of altered lithogenic properties of bile [10, 11]. The use of biliary endoprostheses is indicated for benign strictures of the bile ducts as it enables the avoidance of laparotomic reconstructive intervention. The endoprosthesis advantages are due to its “controllability,” that is, in case of complications, the prosthesis can be removed or replaced with another.
To improve the quality of medical care for cancer patients of the elderly and senile age (especially in the presence of cognitive impairment), the possibility of simultaneous stenting intervention should be considered, namely percutaneous transhepatic drainage with recanalization of the tumor stricture zone, installation of a self-expanding nitinol stent with characteristics suitable for a particular patient, and subsequent filling of the wound canal. This prevents threatening postoperative complications such as dislocation and fracture of drainage with bile leakage into the abdominal cavity, reduces the risk of intra-abdominal hemorrhage in the early postoperative period, and most importantly, it eliminates the need for repeated hospitalizations for treatment of long-term postoperative complications, such as cholangitis, obstruction or loss of biliary drainage. The positive aspects of simultaneous stenting intervention also include a higher quality of life of the operated patient and reduction of financial costs for treatment.
Conclusions
Mini-invasive draining interventions are highly effective in the treatment of elderly and senile patients with obstructive jaundice with severe concomitant somatic pathology and are life-saving. A careful study of the anatomical aspects of the zone of the major duodenal papilla enables the prevention of postoperative pancreatitis. The use of a partially coated SNS is advisable in patients with anatomical structural features of the biliary tree with oncological damage to the hepatopancreatobiliary zone. Endoprosthetics are indicated for patients with benign bile duct strictures. They enable the avoidance of laparotomic reconstructive interventions.
About the authors
Diana M. Yakovleva
Saint Petersburg Hospital for War Veterans; Military Medical Academy named after S.M. Kirov
Author for correspondence.
Email: szdasuik@mail.ru
Department of Naval Surgery
Russian Federation, 21-2, Narodnaya str., Saint-Petersburg, 193079; 6G, Akademika Lebedeva street, Saint-Petersburg, 194044References
- Данилов М.В., Зурабиани В.Г., Карпова Н.Б. Осложнения минимально инвазивной хирургии. – М.: БИНОМ, 2015. – 304 с. [Danilov MV, Zurabiani VG, Karpova NB. Oslozhneniya minimal’no invazivnoy khirurgii. Moscow: BINOM; 2015. 304 р. (In Russ.)]
- Ившин В.Г., Лукичев О.Д. Малоинвазивные методы декомпрессии желчных путей у больных механической желтухой. – Тула: Гриф и К., 2003. – 182 с. [Ivshin VG, Lukichev OD. Maloinvazivnyye metody dekompressii zhelchnykh putey u bol’nykh mekhanicheskoy zheltukhoy. Tula: Grif i K.; 2003. 182 р. (In Russ.)]
- Каримов Ш.И., Хакимов М.Ш., Адылходжаев А.А., и др. Лечение осложнений чреспеченочных эндобилиарных вмешательств при механической желтухе, обусловленной периампулярными опухолями // Анналы хирургической гепатологии. – 2015. – Т. 20. − № 3. – С. 68–74. [Karimov ShI, Khakimov MSh, Adylkhodzhaev AA, et al. Correction of complications of the transhepatic endobiliary interventions for obstructive jaundice caused by periampullar tumors. Annaly khirurgicheskoy gepatologii. 2015;20(3):68-74. (In Russ.)]
- Руководство по хирургии желчных путей / под ред. Э.И. Гальперина, П.С. Ветшева. – М.: Видар-М, 2006. – 568 с. [Mannual of bile ducts surgery. Ed. by E.I. Galperin, P.S. Vetshev. Moscow: Vidar-M; 2006. 568 р. (In Russ.)]
- Кулезнева Ю.В. Чрескожные вмешательства в абдоминальной хирургии. – М.: ГЭОТАР-Медиа, 2016. – С. 78. (Библиотека врача-специалиста. Хирургия. Рентгенология. Ультразвуковая диагностика). [Kulezneva YuV. Chreskozhnyye vmeshatel’stva v abdominal’noy khirurgii. Moscow: GEOTAR-Media; 2016. Р. 78. (Biblioteka vracha-spetsialista. Khirurgiya. Rentgenologiya. Ul’trazvukovaya diagnostika). (In Russ.)]
- Жуков Б.Н., Борисов А.И., Стаханова О.И. Инструментальная билиарная декомпрессия при механической желтухе у лиц в возрасте старше 60 лет // Вестник Самарского государственного университета. Естественно-научная серия. − 2006. − № 4-4. − С. 166–171. [Zhukov BN, Borisov AI, Stakhanova OI. Instrumental’naya biliarnaya dekompressiya pri mekhanicheskoy zheltukhe u lits v vozraste starshe 60 let. Vestnik Samarskogo gosudarstvennogo universiteta. Estestvennonauchnaya seriya. 2006;(4-4):166-171. (In Russ.)]
- Кабанов М.Ю., Соловьев И.А., Яковлева Д.М., и др. Мини-инвазивные методы декомпрессии в лечении механической желтухи злокачественного генеза у пациентов пожилого и старческого возраста // Вестник Национального медико-хирургического центра им. Н.И. Пирогова. – 2018. − Т. 13. − № 1. – С. 74−78. [Kabanov MYu, Solov’ev IA, Yakovleva DM, et al. Minimally invasive methods of decompression in thetreatment of mechanical jaundice of malignantgenesis in elderly and senile patients. Vestnik Natsional’nogo mediko-khirurgicheskogo tsentra im. N.I. Pirogova. 2018;13(1):74-78. (In Russ.)]
- Балахнин П.В. Рентгенохирургические методы лечения неотложных состояний в онкологии // Практическая онкология. – 2015. – Т. 16. − № 4. – С. 140−156. [Balakhnin PV. Interventional radiology in the treatment of oncologic emergencies. Prakticheskaya onkologiya. 2015;16(4):140-156. (In Russ.)]
- Кириллова М.С. Осложнения антеградных желчеотводящих вмешательств при различном уровне опухолевого билиарного блока: Автореф. дис. … канд. мед. наук. – М., 2013. – 24 с. [Kirillova MS. Oslozhneniya antegradnykh zhelcheotvodyashchikh vmeshatel’stv pri razlichnom urovne opukholevogo biliarnogo bloka. [dissertation abstract] Moscow; 2013. 24 р. (In Russ.)]. Доступно по: https://search.rsl.ru/ru/record/01005049287. Ссылка активна на 14.09.2019.
- Калаханова Б.Х., Мумладзе Р.Б., Чеченин Г.М., и др. Антеградное билиарное стентирование: проблема выбора стента // Анналы хирургии. − 2014. − № 5. − С. 16–20. [Kalakhanova BKh, Mumladze RB, Chechenin GM, et al. Antegrade biliary stenting: the problem of choice of stent. Annals of surgery. 2014;(5):16-20. (In Russ.)]
- Баринов Ю.В., Мумладзе Р.Б., Чеченин Г.М., и др. Осложнения антеградных стентирующих вмешательств на желчных протоках у онкологических больных // Российский онкологический журнал. – 2014. – Т. 19. − № 4. – С. 38–39. [Barinov YuV, Mumldaze RB, Chechenin GM, et al. Complications of antegrade stenting interventions on the bile ducts in patients with cancer. Russian journal of oncology. 2014;19(4):38-39. (In Russ.)]
- Holt AP, Thorbun D, Mirza D, et al. A prospective study of standardized nonsurgical therapy in the management of biliary anastomotic strictures complicating liver transplantation. Transplantation. 2007;84(7):857-863. https://doi.org/10.1097/01.tp.0000282805.33658.ce.
- Isayama H, Komatsu Y, Tsujino T, et al. A prospective randomised study of “covered” versus “uncovered” diamond stents for the management of distal malignant biliary obstruction. Gut. 2004;53(5):729-734. https://doi.org/10.1136/gut.2003.018945.
- Hu B, Gao DJ, Yu FH, et al. Endoscopic stenting for post-transplant biliary stricture: usefulness of a novel removable covered metal stent. J Hepatobiliary Pancreat Sci. 2011;18(5):640-645. https://doi.org/10.1007/s00534-011-0408-3.
Supplementary files
