Application of nanostructured carbon implants in surgical treatment of transverse flat feet
- Authors: Savintsev A.M.1,2, Sorokin I.V.2
-
Affiliations:
- North-Western State Medical University named after I.I. Mechnikov
- Pokrovskaya Municipal Hospital
- Issue: Vol 12, No 1 (2020)
- Pages: 45-52
- Section: Original study article
- Submitted: 04.12.2019
- Accepted: 06.04.2020
- Published: 28.05.2020
- URL: https://journals.eco-vector.com/vszgmu/article/view/18534
- DOI: https://doi.org/10.17816/mechnikov202012145-52
- ID: 18534
Cite item
Full Text
Abstract
This article discusses the modern method of treatment of transverse flat feet using carbon nanostructured implants. The characteristic features of the installation, recovery period, features of consolidation, cosmetic and functional results are analyzed. Based on the research, the disadvantages of the method, its characteristics and features were identified, and the results were compared with the data stated by the implant manufacturer
Full Text
Введение
Лечение пациентов с деформацией hallux valgus в сочетании с другими статическими деформациями стоп при поперечном плоскостопии не утратило актуальности и по сей день. Проблема определяется широкой распространенностью, снижением качества жизни, а также трудностями выбора оптимальной хирургической тактики. Основными причинами обращения служат жалобы, такие как боль и дискомфорт при ходьбе, неудобство при ношении обуви, косметические деформации. Среди статических деформаций опорно-двигательной системы человека наиболее распространено поперечное плоскостопие (от 0,3 до 85 %) [4–6, 7, 10, 11]. Плоскостопие диагностируют в возрасте 6–9 лет у 44 % детей, а к 11–14 годам — у 53,6 % [1]. Около 40 % детей и до 70–80 % людей в возрасте 50–60 лет страдают статическими деформациями стоп и их дисфункцией разной степени [2, 3, 8, 9, 12, 13].
Для оперативного лечения вальгусной деформации I пальца при поперечном плоскостопии предложено множество видов оперативного лечения, однако до настоящего времени не существует эффективных и целенаправленных методов лечения, удовлетворяющих как больных, так и хирургов в функциональном и косметическом отношении. Ситуация усугубляется еще и тем, что отсутствуют четкие показания к применению той или иной методики, а это негативно отражается на результатах лечения.
Консервативные же методы лечения этой деформации следует рассматривать в основном как профилактические и паллиативные мероприятия, облегчающие функционирование стоп при статических и динамических нагрузках.
С появлением углеродных наноструктурных компонентов возник новый вид хирургического лечения. Однако он применяется не так широко и не упоминается в литературе. Этот досадный пробел в современной ортопедии и послужил поводом для выполнения настоящей работы. Нами был использован тип 28, размеры D16/Н5 ТУ9398 (Имплантаты углеродные наноструктурные, допущены к обращению на территории Российской Федерации приказом Росздравнадзора от 31.10.2014 № 7406, регистрационное удостоверение № РЗН 2014/2080). Основное клиническое назначение изделий данного типа — замещение дефектов при переломах костей конечностей и остеотомиях. Ограничения для использования — дети до года и пациенты старше 80 лет. Функциональные характеристики по заявлению производителя — наличие пор в имплантате обеспечивает быстрое прорастание кости с образованием костно-углеродного блока. Применение имплантатов углеродных наноструктур в клинических условиях позволяет проводить сеансы электростимуляции роста кости, выполнять магнитно-резонансную и компьютерную томографию. Имплантаты рентгенонеконтрастны, но отчетливо визуализируются с помощью компьютерной томографии.
Цели и задачи — выяснить возможность и необходимость применения углеродных нанострукурных имплантатов в хирургическом лечении поперечного плоскостопия.
Материал и методы
Всего на отделении за последние три года лечились 64 пациента с поперечным плоскостопием, при обследовании использовали клинический, рентгенологический, фотографический и статистический методы. Возраст пациентов варьировал от 56–78 лет, было 62 женщины (97 %), 2 мужчин (3 %). Давность заболевания у всех пациентов превышала 10 лет. Основные жалобы больные предъявляли на неудобство при ношении и подборе обуви, боль при ходьбе, косметические деформации. У 56 больных (87 %) сопутствующей патологией была молоткообразная деформация II пальца стопы. Основными методами лечения являлись оперативное лечение по методике Шеде – Брандеса — 30 (47 %), шевронные остеотомии — 14 (22 %), остеотомии по Кочеву — 6 (9 %), SCARF — 2 (3 %), Lapidus — 5 (7 %). В данной статье рассмотрена возможность применения современных наноструктурных имплантатов при лечении деформаций переднего отдела стопы при поперечном плоскостопии. Нами выполнено 8 операций у 8 (12 %) пациентов с использованием углеродных имплантатов.
Результаты
Основной причиной деформаций стоп служило поперечное плоскостопие. В возникновении поперечного плоскостопия существенную роль играют:
1) неблагоприятная наследственность (94,3 %), из них по материнской линии — 85,4 % больных, по отцовской — 4,6 %;
2) ношение нерационально подобранной обуви — 57,7 % больных;
3) избыточная масса тела (74,8 % больных с I–III степенями ожирения).
Вальгусная деформация I пальца стопы у 97,5 % пациентов развивалась постепенно, по мере прогрессирования поперечного плоскостопия, молоткообразная деформация II–III степеней отмечена в 97,6 % случаев. Механизм развития деформации пальцев при поперечном плоскостопии полиэтиологичен. Можно выделить следующие сочетания этиопатогенетических и анатомо-физиологических факторов:
1) вальгусная деформация пальца стопы в сочетании со сгибанием в I плюснефаланговом суставе — 66,7 %;
2) опущение средних плюсневых костей (чаще II кости, как наиболее выступающей) — 79,9 %;
3) анатомические особенности стопы («греческий» тип — длинные II и III пальцы) в сочетании с длительным ношением нерациональной обуви.
Объем и характер операций при молоткообразной деформации пальцев зависели от варианта, степени выраженности, локализации деформации суставов пальца, а также наличия болезненности и омозолелости на его тыльной поверхности и других моментах, отраженных в нашей оригинальной классификации. Мы выделяем три основных варианта операций [7].
При сгибательном варианте молоткообразной деформации считаем наиболее патогенетически обоснованной косую остеотомию дистальной трети плюсневой кости в сочетании с резекцией головки основной фаланги и артропластикой проксимального межфалангового сустава дубликатурой сухожилия длинного разгибателя, предложенную профессором А.М. Савинцевым в 1992 г.
При разгибательном варианте наиболее рациональными являются следующие операции.
- При частично фиксированной контрактуре в плюснефаланговом суставе — удлинение сухожилия длинного разгибателя и тенотомия короткого и, по мере необходимости, редрессация плюснефалангового сустава или его капсулотомия.
- Когда головка соответствующей плюсневой кости значительно выступает кпереди (по отношению к остальным), при наличии подвывиха (вывиха) в плюснефаланговом суставе — экономная моделирующая резекция головки плюсневой кости с использованием вытяжения за палец в послеоперационном периоде.
При разгибательно-сгибательном варианте молоткообразной деформации пальцев стопы рекомендуем выполнять иссечение омозолелости на тыле проксимального межфалангового сустава, резекцию головки основной фаланги и артропластику этого сустава сухожилием длинного разгибателя. Для устранения разгибательного компонента необходимо прибегать к удлинению сухожилия длинного разгибателя и тенотомии короткого. При значительном опущении соответствующей плюсневой кости следует предпочесть косую остеотомию в дистальной ее трети.
Особое внимание уделяем послеоперационному ведению больных, что имеет большое значение для достижения хороших результатов в хирургическом лечении молоткообразной деформации пальцев при поперечном плоскостопии. Для этого необходимо соблюдать следующие основные условия:
1) обеспечить прочную фиксацию вальгусно отклоненного I пальца стопы в корригированном положении;
2) соблюдать срок вытяжения или фиксации пальцев стопы после некоторых операций — не менее 3–4 нед.
В послеоперационном периоде выполняли иммобилизацию оперированной конечности гипсовой повязкой от ногтевых фаланг до верхней трети голени, больные передвигались при помощи костылей без нагрузки на нижнюю конечность.
При коррекции деформации первого луча использовали наноструктурный углеродный имплантат клиновидной формы (тип 28, размеры D16/Н5 ТУ9398) с остеотомией основания I плюсневой кости.
В качестве иллюстрации приводим следующее клиническое наблюдение.
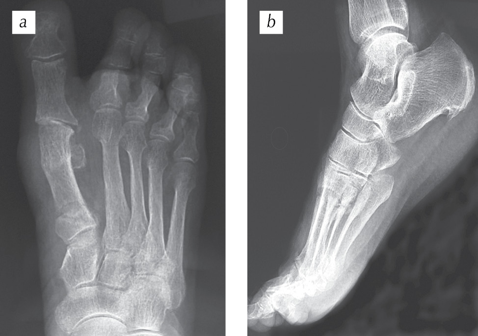
Пациентка Е., 73 года, поступила в отделение травматологии и ортопедии Покровской больницы в плановом порядке с жалобами на деформацию правой стопы, боль при ходьбе (рис. 1). Со слов пациентки, боль, дискомфорт в области правой стопы беспокоят в течение многих лет. В последние два года отмечала выраженные проблемы с ношением и подбором обуви. После обследования установлен диагноз: «Поперечное плоскостопие: hallux valgus правой стопы. Молоткообразная деформация II пальца правой стопы». На рис. 2 представлены рентгенограммы пациентки до оперативного лечения. Угол вальгусного отклонения I пальца, образованный осями I плюсневой кости и проксимальной фаланги I пальца, равен 40° при норме 8–16°. Межфаланговый угол I пальца, образованный осями проксимальной и дистальной фаланг I пальца, равен 0° при норме 0–8°. Угол варусного отклонения I плюсневой кости, образованный осями I и II плюсневых костей, составил 23° при норме 5–14°. Угол наклона суставной поверхности головки I плюсневой кости, образованный осью I плюсневой кости и осью, проведенной перпендикулярно линии, соединяющей края суставной поверхности головки I плюсневой кости, равен 20° при норме 3–10°. Угол наклона суставной поверхности основной фаланги к ее оси, образованный проксимальной фалангой I пальца и перпендикуляром к плоскости суставной поверхности этой же фаланги, равен 3° при норме 0–5°. Угол наклона суставной поверхности медиального плюснеклиновидного сустава, определяемый как угол между линией данного сустава и перпендикуляром к тангете медиального края медиальной клиновидной кости, равен 20° при норме 0–20°.
Рис. 1. Рентгенограммы пациентки Е. до оперативного лечения (выраженный костно-хрящевой экзостоз головки I плюсневой кости, вальгусная деформация I пальца, молоткообразная деформация II пальца с омозолелостью на тыле проксимального межфалангового сустава)
Fig. 1. Radiographs of patient E. before surgical treatment (pronounced bone-cartilage exostosis of the head of I metatarsal bone, valgus deformity of the first toe, hammer-like deformity of the second toe with homosoleness on the back of the proximal interphalangeal joint)
Рис. 2. Рентгенограммы переднего отдела правой стопы пациентки Е. до оперативного лечения: а — прямая проекция; b — косая (3/4) проекция (пояснения см. в тексте)
Fig. 2. Radiographs of the anterior part of the right foot of patient E. before surgery: a — straight projection; b — oblique (3/4) projection (see the text for explanations)
Оперативное лечение под спинальной анестезией — реконструктивно-пластическая операция правой стопы — выполнено 28.07.2017. Дугообразным разрезом выпуклостью книзу обнажен I плюсне-фаланговый сустав правой стопы. Из капсулы сустава выкроен треугольный лоскут с дистальным основанием. Произведены сагиттальная резекция костно-хрящевого экзостоза головки I плюсневой кости, резекция основания основной фаланги I пальца и поперечная остеотомия основания I плюсневой кости с коррекцией деформации наноструктурным углеродным имплантатом клиновидной формы — тип 28, размеры D16/Н5 ТУ9398 (рис. 3). Первый палец выведен в правильное положение. Капсульный лоскут ушит с натяжением. Выполнены контроль гемостаза, туалет и шов раны. Доступом в проекции тыла проксимального межфалангового сустава II пальца правой стопы с иссечением омозолелости выделена и резецирована головка основной фаланги II пальца (~6 мм) с ее артропластикой по методике профессора А.М. Савинцева (1992). Место резекции диафиза фаланги обработано мелким рашпилем и укрыто капсульно-сухожильным лоскутом. Выполнены контроль гемостаза, туалет, шов раны. Линейным доступом в проекции головки II плюсневой кости послойно выделено и Z-образно рассечено сухожилие длинного разгибателя II пальца, проведена тенотомия короткого разгибателя II пальца. Выполнен шов сухожилия длинного разгибателя с удлинением. Второй палец установлен в правильное положение и фиксирован спицей трансоссально. Проведены контроль гемостаза, туалет, шов раны. Осуществлена гипсовая иммобилизация задней гипсовой лонгетой до верхней трети голени.
Рис. 3. Углеродный наноструктурный имплантат, установленный в место остеотомии основания I плюсневой кости
Fig. 3. Carbon nanostructured implant installed in the place of osteotomy of base I of the metatarsal bone
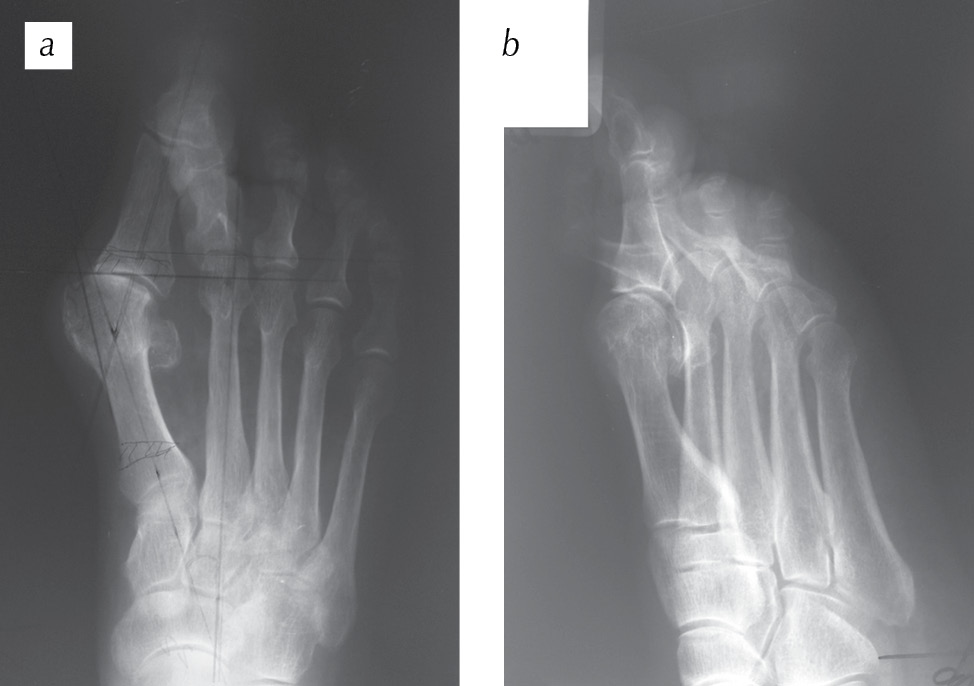
На рис. 4 представлены рентгенограммы пациентки в двух проекциях сразу после оперативного лечения. Угол вальгусного отклонения I пальца, образованный осями I плюсневой кости и проксимальной фаланги I пальца, равен 8° при норме 8–16°. Межфаланговый угол I пальца, образованный осями проксимальной и дистальной фаланг I пальца, равен 0° при норме 0–8°. Угол варусного отклонения I плюсневой кости, образованный осями I и II плюсневых костей, равен 13° при норме 5–14°. Угол наклона суставной поверхности головки I плюсневой кости, образованный осью I плюсневой кости и осью, проведенной перпендикулярно линии, соединяющей края суставной поверхности головки I плюсневой кости, равен 10° при норме 3–10°. Угол наклона суставной поверхности основной фаланги к ее оси, образованный проксимальной фалангой I пальца и перпендикуляром к плоскости суставной поверхности этой же фаланги, равен 0° при норме 0–5°. Угол наклона суставной поверхности медиального плюснеклиновидного сустава, определяемый как угол между линией данного сустава и перпендикуляром к тангете медиального края медиальной клиновидной кости, равен 20° при норме 0–20°.
Рис. 4. Рентгенограммы переднего отдела правой стопы пациентки Е. сразу после оперативного лечения: а — прямая проекция; b — косая (3/4) проекция (пояснения см. в тексте)
Fig. 4. Radiographs of the anterior part of the right foot of patient E. immediately after the surgery: а — straight projection; b — oblique (3/4) projection (see the text for explanations)
Послеоперационный период протекал без осложнений, назначали обезболивающую, антикоагулянтную, антибактериальная терапию, выполняли перевязки. Швы сняты на 12-е сутки. Больная передвигалась при помощи костылей без нагрузки на правую нижнюю конечность. Через 3 нед. после оперативного лечения выполнен рентгенологический контроль в двух проекциях: положение спицы удовлетворительное, определяется место остеотомии основания I плюсневой кости (рис. 5).
Рис. 5. Этапный рентгенологический контроль через 3 нед. после операции: а — прямая проекция; b — косая (3/4) проекция (пояснения см. в тексте)
Fig. 5. Stage x-ray control 3 weeks after the operation: а — direct projection; b — oblique (3/4) projection (see the text for explanations)
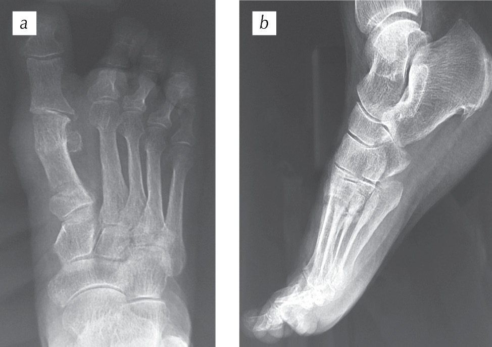
Через 6 нед. после операции спица, фиксирующая II палец правой стопы, и гипсовая иммобилизация удалены, пациентке разрешено ходить с полной нагрузкой на правую нижнюю конечность. Рентгенологический контроль представлен на рис. 6.
Рис. 6. Рентгенограммы переднего отдела правой стопы пациентки Е. через 6 нед. после операции: а — прямая проекция; b — косая (3/4) проекция. Спица, фиксирующая II палец, удалена. Признаки консолидации места остеотомии основания I плюсневой кости с внедренным углеродным наноструктурным имплантатом
Fig. 6. Radiographs of the anterior part of the right foot of patient E. 6 weeks after the operation: а — straight projection; b — oblique (3/4) projection. The pin fixing the second toe has been removed. There are signs of consolidation of the osteotomy site of the first metatarsal bone base with an implanted carbon nanostructured implant
Спустя 6 нед. со дня операции больная выписана, косметическим и функциональным результатом довольна.
Спустя два года после оперативного лечения функциональные и косметические результаты хорошие, не испытывала дискомфорта при ходьбе и неудобства при ношении обуви (см. рис. 7, 9). Однако при выполнении компьютерной томографии правой стопы в области остеотомии основной фаланги I плюсневой кости прослеживалось наличие углеродного наноструктурного имплантата (рис. 8).
Рис. 7. Рентгенограммы переднего отдела правой стопы пациентки Е. через два года после оперативного лечения: а — прямая проекция; b — косая (3/4) проекция. Консолидация места остеотомии основания I плюсневой кости. Остеоартроз I плюснефалангового сустава
Fig. 7. Radiographs of the anterior part of the right foot of patient E. 2 years after the surgery: а — straight projection, b — oblique (3/4) projection. There is a consolidation of the osteomy place of the first metatarsal bone base. Osteoarthritis of the I metatarsophalangeal joint
Рис. 8. Компьютерная томография правой стопы пациентки Е. через два года после оперативного лечения: а, b — срезы во фронтальной и в аксиальной плоскостях (стрелками обозначен углеродный наноструктурный имплантат); c, d — 3D-реконструкция костей правой стопы (определяется консолидация места остеотомии I плюсневой кости по типу обрастания имплантата по периферии)
Fig. 8. CT of the right foot of patient E. 2 years after the surgery: а, b — sections in the frontal and axial planes (arrows indicate carbon nanostructured implant), c, d — 3D-reconstruction of the right foot bones (the consolidation of the place of the first metatarsal bone osteotomy is determined by the type of overgrowth of the implant on the periphery)
Рис. 9. Косметический результат через два года после оперативного лечения пациентки Е. (грибковое поражение ногтевой пластинки I пальца правой стопы)
Fig. 9. Cosmetic result after 2 years of surgical treatment of patient E. (there is a fungal lesion of the nail plate of the first toe of the right foot)
К сожалению, несмотря на консолидацию места остеотомии I плюсневой кости, которая зафиксирована по типу обрастания имплантата только по периферии (см. рис. 8), интеграции углеродного наноструктурного имплантата с костной тканью не произошло, равно как и не произошло обещанного производителем образования «костно-углеродного блока». Это клиническое наблюдение показывает, что внедренные углеродные наноструктурные имплантаты не всегда обеспечивают активный рост новообразуемой кости в его порах.
Вывод
Таким образом, по нашим данным и результатам КТ-исследований, интеграции и формирования костно-углеродного блока при применении углеродного наноструктурного имплантата не происходит, консолидация зоны остеотомии идет по типу обрастания имплантата костной тканью по периферии, как инородного тела.
Исходя из полученных результатов, считаем, что применение наноструктурных углеродных имплантатов в хирургическом лечении поперечного плоскостопия целесообразно только в случаях, когда нет возможности использовать аутологичный костный материал.
About the authors
Alexander M. Savintsev
North-Western State Medical University named after I.I. Mechnikov; Pokrovskaya Municipal Hospital
Email: almisav@yandex.ru
MD, Professor, head of the Department of traumatology and orthopedics, Professor of the Department of traumatology orthopedics and military field surgery
Russian Federation, Saint PetersburgIgor V. Sorokin
Pokrovskaya Municipal Hospital
Author for correspondence.
Email: 79312910364@yandex.ru
Orthopedic Traumatologist, Department of Traumatology and Orthopedics
Russian Federation, Saint PetersburgReferences
- Андрианов В.Л., Веселов Н.Г., Мирзоева И.И. Организация ортопедической и травматологической помощи детям. – Л.: Медицина, 1988. – 240 с. [Andrianov VL, Veselov NG, Mirzoeva II. Organizatsiya ortopedicheskoy i travmatologicheskoy pomoshchi detyam. Leningrad: Meditsina; 1988. 240 p. (In Russ.)]
- Бережной С.Ю. Чрескожные операции в лечении статических деформаций переднего отдела стопы: Автореф. дис. … д-ра мед. наук. – М., 2014. [Berezhnoy SY. Chreskozhnye operatsii v l echenii staticheskikh deformatsiy perednego otdela stopy. [dissertation] Moscow; 2014. (In Russ.)]
- Бойченко, А.В., Соломин Л.Н., Парфеев С.Г., и др. Сравнение результатов односторонней и двусторонней хирургической коррекции hallux valgus // Травматология и ортопедия России. – 2014. – № 3. – С. 44–51. [Boychenko AV, Solomin LN, Parfeev SG, et al. Efficacy of bilateral simultaneous hallux valgus correction compared to unilateral. Traumatology and Orthopedics of Russia. 2014;(3):44-51. (In Russ.)]. https://doi.org/10.21823/2311-2905-2014-0-3-44-51.
- Вреден Р.Р. Практическое руководство по ортопедии. – Л.; М.: Гос. Мед. Издат, 1930. – 269 с. [Vreden RR. Prakticheskoe rukovodstvo po ortopedii. Leningrad, Moscow: Gos. Med. Izdat; 1930. 269 p. (In Russ.)]
- Карданов А.А. Хирургическая коррекция деформаций стопы. – М.: Медпрактика-М, 2016. – 220 с. [Kardanov AA. Khirurgicheskaya korrektsiya deformatsiy stopy. Moscow: Medpraktika-M; 2016. 220 p. (In Russ.)]
- Крамаренко Г.Н. Статические деформации стоп: Автореф. дис. … д-ра мед. наук. – М., 1970. – 34 с. [Kramarenko GN. Staticheskie deformatsii stop. [dissertation] Moscow; 1970. 34 p. (In Russ.)]
- Савинцев А.М. Реконструктивно-пластическая хирургия поперечного плоскостопия. – СПб.: Фолиант, 2006. – 200 с. [Savintsev AM. Rekonstruktivno-plasticheskaya khirurgiya poperechnogo ploskostopiya. Saint Petersburg: Foliant; 2006. 200 p. (In Russ.)]
- Свириденок А.И. Результаты выполнения в рамках европейской программы «Добрососедство Польша – Беларусь – Украина» Польско-Белорусского проекта по биохимическому исследованию и коррекции дисфункций детских стоп // Сборник тезисов I международной научно-практической конференции «Биомеханика стопы человека»; Гродно, 18–19 июня 2008 г. – Гродно: ГрГУ, 2008. – С. 12–16. [Sviridenok AI. Rezul’taty vypolneniya v ramkakh evropeyskoy programmy “Dobrososedstvo Pol’sha – Belarus’ – Ukraina” Pol’sko – Belorusskogo proekta po biokhimicheskomu issledovaniyu i korrektsii disfunktsiy detskikh stop. In: Proceedings of the I international scientific and practical conference “Biomechanics of the human foot”; Grodno, 18-19 Jun 2008. Grodno: GrGU; 2008. P. 12-16. (In Russ.)]
- Усольцев И.В., Леонова С.Н., Косарева М.А. Оперативное лечение тяжелой деформации переднего отдела стопы // Вестник травматологии и ортопедии им. Н.Н. Приорова. – 2015. – № 3. – С. 84–86. [Usol’tsev IV, Leonova SN, Kosareva MA. Surgical Treatment of Severe Forefoot Deformity. Vestnik travmatologii i ortopedii imeni N.N. Priorova. 2015;(3):84-86. (In Russ.)]
- Черкес-Заде Д.И., Каменев Ю.Ф. Хирургия стопы. – М.: Медицина, 2002. – 250 с. [Cherkes-Zade DI, Kamenev YF. Khirurgiya stopy. Moscow: Meditsina; 2002. 250 p. (In Russ.)]
- Barouk P. Recurrent metatarsalgia. Foot Ankle Clin. 2014;19(3):407-424. https://doi.org/10.1016/j.fcl.2014. 06.005.
- Canale ST, Beaty JH, Azar FM. Campbells core orhopaedic procedures. Elsevier; 2016. 480 p.
- Chang BC, Liu DH, Chang JL, et al. Plantar pressure analysis of accommodative insole in older people with metatarsalgia. Gait Posture. 2014;39(1):449-454. https://doi.org/10.1016/j.gaitpost.2013.08.027.
Supplementary files











