Diagnostic difficulties and features of endovideosurgical treatment of a patient with mucocele of the appendix
- Authors: Sigua B.V.1, Zemlyanoy V.P.1, Lataria E.L.1, Kurkov A.A.1, Melnikov V.A.1, Vinnichuk S.A.1
-
Affiliations:
- North-Western State Medical University named after I.I. Mechnikov
- Issue: Vol 12, No 2 (2020)
- Pages: 85-90
- Section: Case report
- Submitted: 22.04.2020
- Accepted: 03.05.2020
- Published: 21.08.2020
- URL: https://journals.eco-vector.com/vszgmu/article/view/33831
- DOI: https://doi.org/10.17816/mechnikov202012285-90
- ID: 33831
Cite item
Abstract
The mucocele of the appendix is the expansion of the appendix with the accumulation of a large amount of mucus. The mechanism and causes of mucocele are not fully understood. According to some authors, such changes in the appendix can occur due to cicatricial narrowing of the lumen of the appendix, compression or blockage of its base. Other authors believe that the mucocele of the appendix is a benign tumor that develops from the remnants of primitive mesenchyme and is sometimes prone to malignancy. Clinical manifestations of mucocele of the appendix are nonspecific. In a number of patients, this disease causes pain in the right abdomen, more often pulling, intermittent. However, the disease is often asymptomatic. In this regard, diagnosis is established only during performing an operation, most often, regarding acute appendicitis. Nevertheless, instrumental diagnostic methods such as ultrasound and computed tomography of the abdominal and pelvic organs make it possible to suspect mucocele. Despite the frequent asymptomatic, non-aggressive course, a number of life-threatening complications can become the outcome of the mucocele of the vermiform appendix. The most formidable complication is the rupture of the appendix with mucus entering free abdominal cavity, followed by the development of peritoneal pseudomyxoma due to implantation of mucus-forming cells. The only option for radical treatment of the mucocele of the appendix is a surgical intervention. A presented clinical case demonstrates the difficulties of diagnosis, as well as the features of surgical treatment of a patient with a mucocele of the appendix.
Keywords
Full Text
Mucocele of the cecal appendage, which is a rare disease, is an extension of the cecal appendage with the accumulation of a large amount of mucus. According to various authors, it comprises 0.2%–0.7% of all appendectomies performed. The frequency of occurrence of mucocele of the cecal appendage among all neoplasms of the cecal appendage is also low — only 8% [1–3].
This pathological condition was first described by Austrian pathologist Karl von Rokitansky in 1842. He described the changes as “dropsy of the vermiform process.” In 1877, Fere redescribed the case of this disease and first introduced the term “mucocele of the cecal appendage,” which translates as “mucosal cyst.” Virchow in 1863 and Aho, 10 years later, described this disease in more detail [3, 4].
The mechanism and causes of mucocele are not fully understood. According to some authors, such changes in the cecal appendage may occur due to the scarring of the lumen of the appendix and compression or blockage of its base. Other authors believe that the mucocele of the cecal appendage is a benign tumor that develops from the remains of primitive mesenchyma and is sometimes inclined to malignancy. Nevertheless, there is a closed cavity, and the outflow of mucus from which is disrupted; meanwhile, the production of mucus inside this cavity is preserved.
It should be noted that mucocele of the cecal appendage is four times more common in women, and the average age of patients is 55 years [5, 6].
Mucocele is a collective term that includes several changes in the cecal appendage.
- Simple mucocele (retention cyst of the appendix) occurs due to the blockage in the area of the base of the appendix and accumulation of gelatinous contents in its lumen, characterized by degenerative changes in the epithelium. Lumen obstruction is more often caused by scarring or the presence of coprolite. It occurs in 18% of all cases of mucocele.
- Hyperplasia of the appendix mucosa occurs when there is focal or diffuse growth and thickening of the mucosa of the cecal appendage while atypical cells are absent. The frequency of occurrence among all cases of mucocele is 20%.
- Mucinous cystadenoma is a benign neoplasm of the cecal appendage with mucous contents. It is about 52% of all cases.
- Mucinous cystadenocarcinoma is a malignant neoplasm of the vermiform process, which is characterized by the invasion of the stroma and implantation of epithelium on the leaves of the peritoneum. It is the rarest form of mucocele and comprises 10% [1, 4, 7, 8].
In addition to the abovementioned forms, myxoglobulosis is another one, which is first described by A. Latham in 1897. This form is identified as extremely rarely; the frequency of its occurrence is 0.35%–0.8% of all cases of mucocele.
The etiology and pathogenesis of microglobulin have not been studied. Microglobulin is characterized by the organization of mucin in semi-transparent grains or albescent pearl beads, called mucinous globules. The diameter of globules is 1–10 mm, and their surface calcification is often identified. Several authors have described the macroscopic type of globule as “frog eggs” [1, 9].
Clinical appearances of mucocele of the cecal appendage are nonspecific. In several patients, this disease causes pain in the right parts of the abdomen, often of a pulling nature, unstable. This condition can also appear as dyspeptic symptoms — nausea, vomiting, and defecation disorder. Evidence revealed that an increase in the severity of clinical aspects up to the symptoms of “acute abdomen” may indicate the malignant nature of mucocele [4]. However, the disease is often asymptomatic. In this regard, the diagnosis is made only during surgery and more often for acute appendicitis. However, instrumental diagnostic methods such as an ultrasound and a computed tomography (CT) of the abdominal and pelvic organs allow you to suspect mucocele. During ultrasound of the abdominal and pelvic organs, a pear-shaped or oval-shaped cystic formation is located, intimately adjacent to the cecum. One of the ultrasound characteristics of mucocele is “onion skin” sign, characterized by concentric echogenic layers with barriers. However, this phenomenon can occur with mucinous formations of other organs, such as in the ovaries. In the complex diagnosis of mucocele of the cecal appendage, it is necessary to perform colonoscopy. The pathognomonic symptom in endoscopic colon examination is the “volcano crater,” which is characterized by a natural opening of the cecal appendage, surrounded by an inflammatory shaft, and covered with a normal mucous membrane. In addition, other organic changes in the colon can be ruled out using colonoscopy. However, the most accurate method of diagnosis is CT of the abdominal cavity, which allows to not only determine the presence of education but also clarify the source of its origin and discover its link with the surrounding tissues and organs [1, 3, 4, 10].
Despite the frequent asymptomatic, nonaggressive course, mucocele of the cecal appendage can cause many life-threatening complications. When attaching microflora of the cecum, there is a high probability of developing acute appendicitis and empyema of the appendix. Being a mobile organ, the cecal appendage with a mucocele can contribute to the invagination or inversion of the intestine with the appearance of acute intestinal obstruction. The most dangerous complication is the rupture of the cecal appendage with mucus entering the free abdominal cavity, followed by the development of pseudomyxoma of the peritoneum due to the implantation of mucus-forming cells. This is a morphologically benign process, but the aggressiveness of the course resembles a malignant peritoneal tumor mesothelioma. Rupture of the vermiform process can be either spontaneous or iatrogenic, which should be remembered during surgery [11, 12].
The most common diseases that require differential diagnosis of mucocele of the cecal appendage are acute appendicitis, ovarian cyst, hydrosalpinx, cecum formation, hematoma, cyst, and right kidney formation [1, 4, 12].
The only variant for a radical treatment of mucocele of the cecal appendage is surgery. Many opinions about the volume of surgery exist. Several authors believe that in this disease, it is most appropriate to perform right-sided hemicolectomy. However, most people think that an appendectomy is sufficient. Another reason for discussion is the validity of laparoscopic methods of surgical intervention for mucocele of the cecal appendage. Sugarbaker, who has an extensive experience in treating patients with peritoneal pseudomyxoma, is convinced that the mucocele of the cecal appendage serves as a direct indication for the conversion of access and the performance of traditional appendectomy. Nevertheless, in the literature, descriptions of cases of successful laparoscopic radical surgery are increasingly common [7, 10, 13].
We present our own clinical observation.
Patient C., 59 years old, was admitted as planned for an examination and treatment at the Grekov Department of Faculty Surgery of the Mechnikov State Medical University on March 31, 2020, with complaints of discomfort and periodic pulling pain in the right abdominal areas.
The patient first noted discomfort in the right abdominal areas at the beginning of March 2020 and was examined as an outpatient. According to ultrasound data of the abdominal cavity organs, the lower pole of the right kidney, possibly retroperitoneal, revealed a formation with a clear, even contour, horizontally elongated type of spindle structure, moderately heterogeneous with a size of 116 × 53 mm.
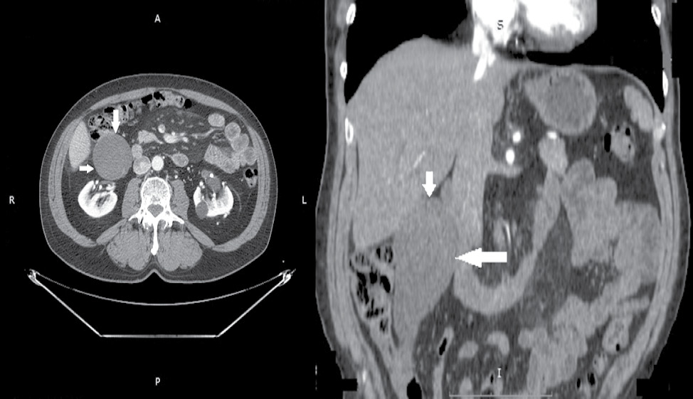
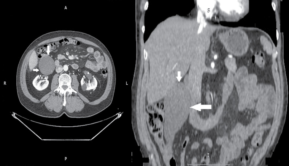
On March 7, 2020, a CT scan of the abdominal organs was conducted, and a 137 × 60 × 58 mm formation was found in the loops of the small intestine. The growth from its wall on the right side of the abdomen, clearly separated from the surrounding structures, has a heterogene structure, and the fiber around the formation is slightly compacted (Fig. 1).
Fig. 1. Spiral CT picture of abdominal organs with contrast (arrows indicate a pathological formation)
Рис. 1. Спиральная компьютерная томограмма органов брюшной полости с контрастированием (стрелками маркировано патологическое образование) червеобразный отросток с мукоцеле: а — препарат до вскрытия; b — препарат вскрыт
According to colonoscopy and gastroscopy data from March 24, 2020, no formations were found in the examined segments.
In clinical and biochemical blood tests or coagulogram, it is without any clinically significant changes.
Considering the anamnesis data, clinical picture, and laboratory and instrumental studies, the patient was diagnosed with “neoplasm of the small intestine” and was recommended surgical treatment.
The surgery was conducted on April 2, 2020. An excerpt from the surgical records noted that.”. at the lower point of the tracing Kalk by Hassen, an optical laparoport is installed, and a carboxyperitoneum is 12 mm Hg. Additionally, three manipulation ports are installed at typical base of the cecal appendage intact for 0.5–0.7 mm. It is retrocecal, partially retroperitoneale. The cecal appendage is mobilized. The mesentery of the process is crossed by the Ligasure apparatus. The base of the process is clipped with three plastic clips. The cecal appendage is crossed at the base. A lower-middle mini-laparotomy was made. The cecal appendage with the formation of a single block is removed in the container. The drain is installed in the right side channel…”
The removed preparation (a cecal appendage with a mucocele) with a size of 14 × 6 × 6 cm was opened, and a cloudy whitish-yellow gelatinous content was found in the lumen (Figs. 2 and 3). A sample was sent for pathohistological examination.
Fig. 2. An intraoperative picture of mucocele of the appendix
Рис. 2. Интраоперационная картина мукоцеле червеобразного отростка
Fig. 3. Excised appendix with mucocele: a — before opening; b — opened
Рис. 3. Удаленный червеобразный отросток с мукоцеле: а — препарат до вскрытия; b — препарат вскрыт
The postoperative period was uneventful, and the blood tests were without complications. The drainage was removed on day 2 after surgery, and an ultrasound of the abdominal organs was performed on day 7. The results showed that free and delimited accumulation of fluid in the abdominal cavity is not located.
The data from the pathohistological examination of the removed cecal appendage revealed the following results: fragments on the sclerosed wall of the cecal appendage with mucosal atrophy, focal lymphocytic infiltration in all layers, and a weakly basophilic content in the lumen. Conclusion: “Simple mucocele (retention cyst of the appendix)” (Fig. 4).
Fig. 4. A microscopic picture of the wall of the appendix with the contents (Hematoxylin-eosin: a — ×40; b — ×100
Рис. 4. Микроскопическая картина стенки червеобразного отростка с содержимым. Окраска гематоксилином и эозином, увеличение: а — ×40; b — ×100
The patient was discharged in a satisfactory condition under the supervision of a surgeon on day 8 of the postoperative period.
Mucocele of the cecal appendage is a rare disease and difficult to diagnose. Difficulties in diagnosis are usually associated with the absence of specific symptoms. Since mucocele is highly likely to develop complications and because of its possible malignant nature, making a timely diagnosis is a fundamental element of successful treatment for this patient category.
Currently, helical CT remains the most informative method of diagnosis. Simultaneously, ultrasound of the abdominal cavity allows you to suspect the disease and the clinical picture, and it is reasonable to expand the diagnostic search.
The established diagnosis serves as an indication for surgical treatment. It should be noted that until recent times, the detection of a mucocele of the cecal appendage during diagnostic laparoscopy was an absolute indication of access conversion. However, there have been publications devoted to an endovideosurgical treatment of this disease. The present clinical case demonstrates the difficulties of preoperative diagnosis of the mucocele of the cecal appendage and proves that this disease should not be an obstacle to the use of endovideosurgical techniques. In this case, it is necessary to consider the high risk of an intraoperative damage to the cecal appendage and the risk of developing such a formidable complication as pseudomyxoma of the peritoneum. In this regard, it is necessary to attract specialists with sufficient experience to make endovideosurgical interventions.
About the authors
Badri V. Sigua
North-Western State Medical University named after I.I. Mechnikov
Email: dr.sigua@gmail.com
ORCID iD: 0000-0002-4556-4913
д.м.н., профессор кафедры факультетской хирургии им. И.И. Грекова
Russian Federation, Saint-PetersburgVyacheslav P. Zemlyanoy
North-Western State Medical University named after I.I. Mechnikov
Email: zeml.spb@mail.ru
ORCID iD: 0000-0003-2329-0023
д.м.н. профессор, заведующий кафедрой факультетской хирургии им. И.И. Грекова, декан хирургического факультета
Russian Federation, Saint-PetersburgElguja L. Lataria
North-Western State Medical University named after I.I. Mechnikov
Email: Elguja.Lataria@szgmu.ru
Candidate of Medical Sciences, Associate Professor, Vice-Rector for Clinical Work, North-Western Medical University named after I.I. Mechnikov
Russian Federation, Saint PetersburgAlexey A. Kurkov
North-Western State Medical University named after I.I. Mechnikov
Email: dok.kurkov@gmail.com
ORCID iD: 0000-0002-2128-8651
SPIN-code: 6396-4386
Candidate of Medical Sciences, Assistant of the Department of Faculty Surgery named after I. I. Grekov North-Western State Medical University named after I.I. Mechnikov.
Russian Federation, Saint-PetersburgVyacheslav A. Melnikov
North-Western State Medical University named after I.I. Mechnikov
Author for correspondence.
Email: melnikov.szgmu@yandex.ru
ORCID iD: 0000-0002-9723-0392
SPIN-code: 2793-3016
Clinical Resident of the Department of Faculty Surgery named after I. I. Grekov
Russian Federation, Saint-PetersburgSergey A. Vinnichuk
North-Western State Medical University named after I.I. Mechnikov
Email: s.a.vinnichuk@gmail.com
ORCID iD: 0000-0002-9590-6678
SPIN-code: 6448-9110
к.м.н., доцент кафедры патологической анатомии, заведующий Центральным патологоанатомическим отделением ФГБОУ ВО СЗГМУ им. И.И. Мечникова МЗ РФ
Russian Federation, Saint-PetersburgReferences
- Юдин А.Л., Щетинин Р.А., Афанасьева Н.И., Юматов Е.А. Мукоцеле червеобразного отростка // Медицинская визуализация. – 2015. – № 4. – С. 68–78. [Yudin AL, Schetinin RA, Afanasyeva NI, Yumatova EA. Mucocele of the appendix. Medical visualization. 2015;(4):68-78. (In Russ.)]
- Самусенко А.А., Раянов Н.В. Диагностические ошибки в диагностике острого аппендицита у детей раннего возраста // Вестник Северо-Западного государственного медицинского университета. – 2018. – Т. 10. – № 1. – С. 86–88. [Samusenko AA, Rayanov NV. Diagnostic errors in the diagnosis of acute appendicitis in young children. Herald of North-Western State Medical University named after I.I. Mechnikov. 2018;10(1):86-88. (In Russ.)]. https://doi.org/10.17816/mechnikov201810186-88.
- Панасюк А.И., Старовойтова К.А., Панасюк М.А. Мукоцеле червеобразного отростка – одна из масок острого аппендицита // Международный студенческий научный вестник. – 2019. – № 1. – С. 21. [Panasyuk AI, Starovoitova KA, Panasyuk MA. Mucocele of the appendix – one of the masks of acute appendicitis. Mezhdunarodnyy studencheskiy nauchnyy vestnik. 2019;(1):21. (In Russ.)]. https://doi: 10.17513/msnv.19527.
- Лубашев Я.А., Курлович М.В., Буковская Ю.В. Мукоцеле аппендикса – редкая патология, о которой нужно помнить: обзор литературы и собственное клиническое наблюдение // Радиология – практика. – 2013. – № 6. – С. 51–59. [Lubashev YA, Kurlovich MV, Bukovskaya YV. Mucocele of appendix – is a rare pathology that should be kept in mind: а case report with the review of the literature. Radiologiia-praktika. 2013;(6):51-59. (In Russ.)]
- Ruiz-Tovar J, Teruel DG, Castineiras VM, et al. Mucocele of the appendix. World J Surg. 2007;31(3):542-548. https://doi.org/10.1007/s00268-006-0454-1.
- Кохнюк В.Т. Опухоли червеобразного отростка // Новости хирургии. – 2013. – Т. 21. – № 6. – С. 84–88. [Kohnjuk VT. Tumors of the vermiform appendix. Novosti khirurgii. 2013;21(6):84-88. (In Russ.)]. https://doi.org/ 10.18484/2305-0047.2013.6.84.
- Мишин И.В., Данч А.В. Мукоцеле червеобразного отростка // Новости хирургии. – 2012. – Т. 20. – № 3. – С. 125–127. [Mishin IV, Danch AV. Mucocele of the appendix. Novosti khirurgii. 2012;20(3):125-127. (In Russ.)]
- Мелконян Г.Г., Качурин С.А., Ширинский В.Г., и др. Мукоцеле червеобразного отростка. Клиническое наблюдение // Московский хирургический журнал. – 2018. – Т. 61. – № 3. – С. 12–13. [Melkonyan GG, Kachurin SA, Shirinsky VG, et al. Mukotsele cherveobraznogo otrostka. Klinicheskoe nablyudenie. Moskovskiy khirurgicheskiy zhurnal. 2018;61(3):12-13. (In Russ.)]
- Padhy BP, Panda SK. Myxoglobulosis of appendix a rare entiy. Indian J Surg. 2013;75(Suppl 1):337-339. https://doi.org/10.1007/s12262-012-0691-5.
- Kleemann M, Laubert T, Krokowski M, et al. Mucocele of the appendix – a heterogeneous surgical pathology. Zentralbl Chir. 2010;135(4):330-335. https://doi.org/10.1055/s-0029-1224563.
- Абдуллаев А.Г., Полоцкий Б.Е., Давыдов М.И. Современные подходы к лечению псевдомиксомы брюшины // Российский онкологический журнал. – 2013. – № 6. – С. 4–11. [Abdullaev AG, Polotsky BE, Davydov MI. Current approach es to the treatment of peritoneal pseudomyxoma of abdomen. Russian journal of oncology. 2013;(6):4-11. (In Russ.)]
- Жарко С.В., Аль-Канани Э.С., Ярош А.А., и др. Муцинозная цистаденома червеобразного отростка как причина псевдомиксомы брюшины (клинический случай) // Научные ведомости Белогородского государственного университета. – Серия «Медицина. Фармация». – 2019. – Т. 42, № 1. – С. 126-132. [Jarko SV, Al-Kanani ES, Iarosh AA, et al. Mucinous cystadenoma of the appendix as a cause of pseudomyxoma of the peritoneum (clinical case). Belgorod State University scientific bulletin. Medicine, pharmacy. 2019;42(1):126-132. (In Russ.)]. https://doi.org/10.18413/2075-4728-2019-42-1-126-132.
- Filho JGA, Lira EF. Mucocele of the appendix – appendectomy or colectomy? Journal of сoloproctology. 2011;31(3):276-284. https://doi.org/10.1590/S2237-9363 201100030000.
Supplementary files











