Surgical aspects of the treatment of a patient with actinomycosis of the colon complicated by the formation of a colovesical fistula
- Authors: Sigua B.V.1, Kurkov A.A.1, Lataria E.L.1, Kozlova O.P.1, Gurzhiy D.V.1, Vinnichuk S.A.1, Efimov A.L.1, Chizhov G.V.1, Khvatov A.A.1, Zemlianoi V.P.1
-
Affiliations:
- North-Western State Medical University named after I.I. Mechnikov
- Issue: Vol 15, No 4 (2023)
- Pages: 65-72
- Section: Case report
- Submitted: 08.10.2023
- Accepted: 02.11.2023
- Published: 28.12.2023
- URL: https://journals.eco-vector.com/vszgmu/article/view/606683
- DOI: https://doi.org/10.17816/mechnikov606683
- ID: 606683
Cite item
Abstract
Actinomycosis is a chronic bacterial infection caused by bacteria from the Actinomycetaceae family. The causes of abdominal actinomycosis are usually destructive appendicitis, prolonged presence of an intrauterine contraceptive or perforation of the colon. Of the internal organs, the left colon and sigmoid colon are most often affected, which often leads to surgical complications. At the same time, diagnosis is significantly difficult due to the nonspecific nature of the clinical presentation, which is similar to that of oncological diseases, and verification of the process is possible only with microscopic examination in a specialized institution.
A clinical case demonstrating the difficulties of diagnosis and treatment of widespread abdominal actinomycosis complicated by the development of a colovesical fistula is presented.
Keywords
Full Text
ВВЕДЕНИЕ
Актиномикоз — хроническая прогрессирующая бактериальная инфекция, вызванная грамположительными бактериями из семейства Actinomycetaceae [1, 2]. Актиномицеты — представители нормобиоты ротовой полости, слепой кишки, червеобразного отростка, влагалища и цервикального канала [3]. Наиболее часто актиномикоз поражает челюстно-лицевую зону (более чем в 50 % случаев), частота встречаемости абдоминального актиномикоза не превышает 20 % [2, 4].
Исследователи считают, что причинами абдоминального актиномикоза могут быть деструкция воспаленного червеобразного отростка, длительное нахождение контрацептива в полости матки, а также перфорация толстой кишки и диссеминация из других органов [5, 6]. Клинические проявления актиномикоза неспецифичны и включают лихорадку, снижение массы тела, анемию и боли в животе [1]. Поражение левых отделов ободочной и сигмовидной кишок наиболее характерно при расположении первичного источника воспаления в малом тазу, при этом развивается плотный фиброзный инфильтрат, по данным литературы, часто приводящий к сужению просвета кишки и другим хирургическим осложнениям [1, 4, 7].
В таком случае клинические симптомы актиномикоза идентичны таковым при онкологических заболеваниях толстой кишки или органов малого таза, что значительно затрудняет диагностический поиск и препятствует началу своевременного патогенетического лечения.
Среди причин развития коловезикальных свищей чаще всего выделяют дивертикулярную болезнь, онкологические заболевания толстой кишки и мочевыделительной системы [8]. При анализе литературы не обнаружены описания актиномикоза как первопричины развития данного осложнения.
В статье представлен собственный клинический пример диагностики и лечения пациентки с осложненным вариантом распространенного актиномикоза брюшной полости.
Клинический случай
Пациентка Ш., 58 лет, в марте 2020 г. в связи с появлением болей в нижних отделах живота обратилась к гинекологу по месту жительства. Выполнено ультразвуковое исследование органов малого таза: выявлены признаки многоузловой миомы матки. Рекомендована магнитно-резонансная томография. По ее результатам описана картина опухолевого инфильтрата в полости малого таза размером 105 × 55 мм, распространенного на верхнеампулярный отдел прямой кишки, сигмовидную кишку, петли тонкой кишки, заднюю стенку матки. Данный инфильтрат также вовлек левый яичник, левый мочеточник, инфильтрировал боковую стенку таза, достигая наружных подвздошных сосудов, без явной инвазии. При этом отмечены признаки карциноматоза брюшины, поражения параколярных и подвздошных лимфатических узлов, подозрение на вторичный генез.
Пациентка направлена на консультацию к онкогинекологу и обследована в условиях одного из онкологических учреждений Санкт-Петербурга. Анализ крови на наличие ракового антигена 125 показал его уровень 23 ед/мл, что соответствует возрастной норме. Следует отметить, что у пациентки стоял внутриматочный контрацептив в течение 4 лет до развития симптомов заболевания и был удален в марте 2020 г. Цитологическое исследование мазка из шейки матки и цервикального канала: без атипии.
По результатам цистоскопии обнаружено умеренное поддавливание извне по верхней стенке мочевого пузыря без признаков инвазии. Выполнены также видеоэзофагогастродуоденоскопия и видеоколоноскопия.
По данным видеоэзофагогастродуоденоскопии обнаружены признаки эритематозной гастропатии и атрофического гастрита. При видеоколоноскопии в восходящей ободочной кишке выявлено два полипа размерами 0,4 и 0,6 см, по визуальным характеристикам соответствующие аденомам; в ректосигмоидном отделе и нижней трети сигмовидной кишки на 20 см от анокутанной линии просвет кишки сужен, слизистая оболочка отечная, бугристая, без признаков инфильтрации и нарушения сосудистого рисунка, для колоноскопа данная зона проходима свободно. Таким образом, имеет место сдавление ректосигмоидного отдела толстой кишки и нижней трети сигмовидной кишки извне без признаков инвазии в слизистую оболочку.
С целью оценки распространенности процесса дополнительно выполнена компьютерная томография (КТ) органов грудной клетки и брюшной полости. Данное исследование лишь косвенно подтвердило предположение о злокачественном характере процесса. Выявлено увеличение забрюшинных и общих подвздошных лимфатических узлов, уплотнены листки париетальной брюшины, без признаков асцита. В зоне сканирования найден опухолевый инфильтрат, на большом протяжении вовлекающий сигмовидную кишку и париетальную брюшину, а также прилежащие петли тонкой кишки, левый мочеточник, левый яичник, ветви нижней брыжеечной артерии и вены. В проекции левого придатка обнаружено кистозное образование размером 62 × 49 мм. В заключении безальтернативно фигурирует диагноз «метастатическое поражение забрюшинных лимфатических узлов и перитонеальный карциноматоз».
Случай был обсужден на онкологическом консилиуме, поскольку выполнение биопсии под ультразвуковой или КТ-навигацией сопряжено с крайне высоким риском повреждения целостности кишки или магистральных сосудов. Принято решение в пользу диагностической лапароскопии, получен биопсионный материал. По результатам гистологического исследования операционного материала выявлены фрагменты фиброзной и жировой ткани с очагом лимфоидной и гистиоцитарной инфильтрации, скоплениями сидерофагов и пенистых макрофагов. Таким образом, процесс не был верифицирован.
В послеоперационном периоде проведена контрольная КТ. Подтверждены картина внеорганной опухоли в полости таза с инфильтрацией окружающих структур и сосудов, а также метастатические изменения в тазовых лимфоузлах. Выявлен левосторонний уретерогидронефроз.
Проведен повторный онкологический консилиум: с целью морфологической верификации процесса рекомендована пункция образования под КТ-навигацией.
09.06.2020 выполнена трепан-биопсия опухоли малого таза с помощью КТ-навигации. По результатам гистологического исследования выявлены фрагменты фиброзной и жировой ткани с очагом лимфоидной и гистиоцитарной инфильтрации, скоплениями сидерофагов и пенистых макрофагов. С учетом данной микроскопической картины рекомендован пересмотр материала в Научно-исследовательском институте медицинской микологии им. П.Н. Кашкина СЗГМУ им. И.И. Мечникова.
По результатам пересмотра патоморфологических блоков от 09.07.2020 г. в материале выявлены мелкие фрагменты плотной фиброзной ткани с включениями жировых четок и очаговые инфильтраты, состоящие из гранулоцитов, с примесью лимфоцитов, гистиоцитов и плазматических клеток. К одному из столбиков прилегает колония нитчатых микроорганизмов, позитивно окрашенных реактивом Шиффа, морфологически соответствующих актиномицетам (рис. 1.). Колония окружена «муфтой» из гранулоцитов. С учетом анамнеза, клинической картины, а также обнаружения актиномикотических друз, по данным гистологического исследования, поставлен диагноз «распространенный абдоминальный актиномикоз с поражением подвздошной, сигмовидной и прямой кишок, мочевого пузыря, левого мочеточника, маточных труб».
Рис. 1. Микроскопическая картина биоптата опухоли малого таза (окраска гематоксилин-эозином, увеличение ×100)
Fig. 1. A microscopic image of a biopsy of the pelvic tumor (hematoxylin-eosin, magnification ×100)
Пациентке назначен длительный курс антибактериальной терапии. С учетом наличия у больной лекарственной аллергии на антибактериальные препараты пенициллиновой группы препаратом выбора стал клиндамицин в дозе 300 мг 3 раза в сутки. Контрольная КТ органов брюшной полости и малого таза запланирована через 3 мес.
При контрольных КТ в динамике отмечено уменьшение инфильтрата в размере: в октябре 2020 г. его размер с 105 × 55 мм сократился до 80 × 43 мм, а в феврале 2021 г. — до 68 × 30 мм. При этом к инфильтрату предлежали аппендикс и сигмовидная кишка, где ранее визуализировались пузырьки воздуха, вероятно, имел место кишечный свищ. По-прежнему в структуре инфильтрата определяются петли тонкой кишки, левый яичник, ветви нижней брыжеечной артерии и вены, а также левый мочеточник. Однако у пациентки не было каких-либо жалоб.
В связи с положительной рентгенологической и клинической динамикой прием антибактериальной терапии был продолжен. На фоне приема клиндамицина на протяжении 1 года и 4 мес., по данным КТ от ноября 2021 г., образование уменьшилось до 34 × 21 мм. Миколог рекомендовал оперативное вмешательство, от которого на тот момент решено воздержаться из-за перенесенной ранее новой коронавирусной инфекции.
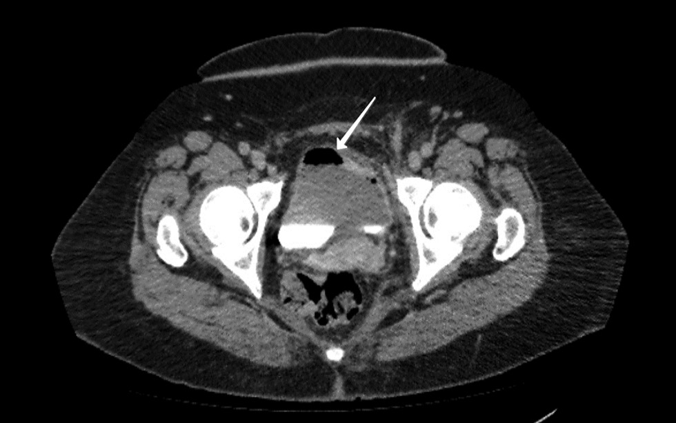
Рис. 2. Компьютерная томография органов брюшной полости. Стрелкой указан свободный газ в просвете мочевого пузыря
Fig. 2. Computed tomography of the abdomen. The arrow indicates free gas in the bladder cavity
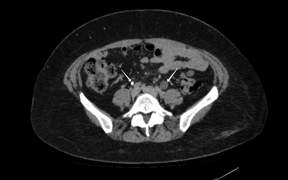
По данным контрольной КТ от 17.03.2022: в левой половине малого таза над мочевым пузырем определяется конгломерат петель кишки, заполненный содержимым, не отделимый от стенки мочевого пузыря, утолщенной и накапливающей рентгенконтрастный препарат. В просвете мочевого пузыря обнаружен воздух (рис. 2.). Отмечен отек внутритазовой клетчатки, расширение тазовых сплетений слева. Дистальный отдел левого мочеточника теряется в инфильтрате, присутствует умеренная левосторонняя пиелоуретероэктазия (рис. 3, 4).
Рис. 3. Компьютерная томография органов брюшной полости. Стрелками указаны мочеточники, слева определяется уретерэктазия
Fig. 3. Computed tomography of the abdominal organs. The arrows indicate the ureters; ureterectasia is visualized on the left
Рис. 4. Компьютерная томография органов брюшной полости. Стрелкой отмечена пиелэктоазия слева
Fig. 4. Computed tomography of the abdomen. The arrow indicates pyelectasis on the left
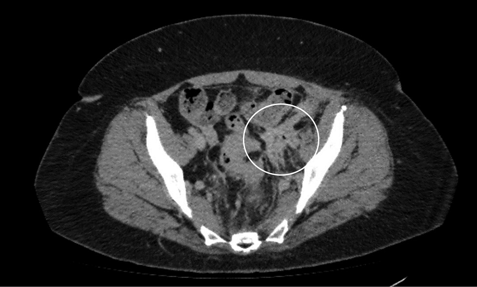
В левой паховой области определяется инфильтрат аксиальным размером 34 × 21 мм, с нечеткими контурами и наличием воздуха в центре (рис. 5). Инфильтрат интимно прилежит к левой прямой мышце живота, утолщенной. В заключении исследования подтверждены косвенные КТ-признаки пузырно-кишечного свища.
Рис. 5. Компьютерная томография органов брюшной полости. Маркирован инфильтрат в полости малого таза
Fig. 5. Computed tomography of the abdomen. Infiltrate in the pelvic cavity is indicated
Спустя неделю после исследования пациентка отметила повышение температуры тела до 39,5 ℃, а также появление крови и примеси каловых масс при мочеиспускании, отхождение газов через мочеиспускательный канал. Больная госпитализирована в экстренном порядке в одно из лечебных учреждений Санкт-Петербурга. На время пребывания в стационаре модифицирована антибактериальная терапия, клиническая картина системной воспалительной реакции купирована, при этом, со слов пациентки, периодическое выделение газа при мочеиспускании сохранялось.
В связи с развитием вышеуказанных осложнений 05.04.2022 пациентка госпитализирована в хирургическое отделение № 2 СЗГМУ им. И.И. Мечникова с целью определения дальнейшей лечебной тактики.
В условиях отделения продолжена антибактериальная терапия клиндамицином в дозе 300 мг 3 раза в день. Пациентке выполнена контрольная видеоколоноскопия. Эндоскоп проведен на расстояние до 45 см от анокутанной линии. На высоте осмотра выявлен фиксированный изгиб, не проходимый для эндоскопа, — признаки спаечного процесса в брюшной полости. На 16 см от анокутанной линии определяется свищевое отверстие диаметром до 5 мм с поступлением гноя в просвет кишки — эндоскопическая картина кишечного свища.
По итогам консилиума с учетом клинической, эндоскопической и рентгенологической картины коловезикального свища как очевидного осложнения основного заболевания пациентке показано оперативное вмешательство. Наиболее вероятным объемом операции считали обструктивную резекцию сигмовидной кишки с резекцией стенки мочевого пузыря. При этом в связи с данными КТ о вовлечении в инфильтрат дистальной части левого мочеточника пациентке показана катетеризация левого мочеточника перед операцией.
11.04.2022 после предварительной катетеризации левого мочеточника выполнена операция — лапаротомия, вскрытие параректального абсцесса, обструктивная резекция прямой кишки, резекция подвздошной кишки, аппендэктомия, двухсторонняя тубэктомия, санация, дренирование брюшной полости.
Согласно выписке из протокола операции при ревизии в брюшной полости выявлено незначительное количество прозрачного выпота — посев. В малом тазу отмечен выраженный спаечный процесс. При ревизии в проекции верхнеампулярного отдела прямой кишки визуализирован инфильтрат, включающий в себя стенку прямой кишки, маточные трубы, участок подвздошной кишки длиной около 10 см, дистальный край которого расположен в 20 см от илеоцекального угла, а также червеобразный отросток. Выполнена мобилизация сигмовидной кишки и прямой кишки до среднеампулярного отдела, при этом отмечено поступление мутного отделяемого в объеме около 10 мл. При ревизии полости абсцесс свищевого хода убедительно не выявлен. Выделена, перевязана и пересечена верхнепрямокишечная артерия. Левый мочеточник расположен под фасцией Героты, убедительно признаки его вовлеченности в инфильтрат не обнаружены. Выполнена мобилизация органокомплекса, состоящего из ректосигмоидного отдела толстой кишки, верхнеампулярного отдела прямой кишки, участка подвздошной кишки, червеобразного отростка, а также маточных труб с последующей резекцией. Культя аппендикса погружена в купол слепой кишки, ушита кисетным и z-образным швами. Сформирован энтероэнтероанастомоз. «Окно» в брыжейке тонкой кишки ушито узловыми швами. Через контрапертуру в левом мезогастрии сформирована «плоская» колостома. Проведена «водная» проба — в мочевой пузырь введено болюсно около 500 мл физиологического раствора: поступления в брюшную полость нет. Брюшная полость санирована, установлены два дренажа в малый таз.
После операции сформулирован диагноз «распространенный абдоминальный актиномикоз с поражением подвздошной кишки, прямой кишки, червеобразного отростка, маточных труб, параректальный абсцесс».
По данным гистологического заключения: стенка толстой кишки без признаков опухолевого роста, с фиброзными изменениями подслизистого и мышечного слоев, очаговыми лимфоцитарными инфильтратами в мышечном слое, гранулемами (состоящими из лимфоцитов, плазмоцитов и макрофагов), небольшим количеством гигантских многоядерных клеток, очагами гиалиноза и созревающими грануляциями, расположенными преимущественно в окружающей стенку кишки клетчатке. В остальных препаратах выявлена ткань типового строения. Поставлено заключение «хронический трансмуральный гранулематозный колит».
Послеоперационный период протекал удовлетворительно. Мочевой катетер и катетер из левого мочеточника удалены на 7-е сутки. Пациентка выписана в удовлетворительном состоянии на 9-е сутки после операции.
27.09.2022 в плановом порядке выполнено КТ: данных за патологические изменения в зоне операции нет. 28.10.2022 в плановом порядке проведена реконструктивно-восстановительная операция по обеспечению непрерывности кишечника с ликвидацией стомы и формированием анастомоза. Послеоперационный период протекал гладко. В удовлетворительном состоянии пациентка выписана на 9-е сутки после операции.
ЗАКЛЮЧЕНИЕ
Данное клиническое наблюдение демонстрирует безусловные трудности первичной диагностики актиномикоза ввиду характерных для опухолевого поражения клинико-рентгенологических данных. В целом лишь при прицельном гистологическом исследовании биопсийного материала из очага поражения в профильном микологическом учреждении и исключении иной природы инфильтрата удалось поставить окончательный диагноз и начать терапию.
Лечение больных висцеральным актиномикозом должно быть комплексным и включать применение длительной высокодозной антибактериальной терапии, хирургическое удаление очагов поражения, а также снижение выраженности факторов риска. При ранней диагностике и адекватном лечении наступает полное выздоровление. При этом даже вовремя инициированная антибактериальная терапия без необходимого оперативного лечения не может исключить развития осложнений, например, формирования коловезикального свища. В данном клиническом случае хирургическое лечение после постановки диагноза было проведено спустя 2 года.
Таким образом, данный клинический пример еще раз доказывает необходимость поэтапного мультидисциплинарного подхода в лечебно-диагностической тактике при воспалительно-инфильтративных заболеваниях брюшной полости, от реализации которого во многом зависит результат лечения.
Дополнительная информация
Источник финансирования. Исследование проведено без финансового обеспечения и спонсорской поддержки.
Конфликт интересов. Авторы декларируют отсутствие явных и потенциальных конфликтов интересов, связанных с публикацией настоящей статьи.
Вклад авторов. Все авторы подтверждают соответствие своего авторства, согласно международным критериям ICMJE (все авторы внесли существенный вклад в разработку концепции, проведение исследования и подготовку статьи, прочли и одобрили финальную версию перед публикацией).
Наибольший вклад распределен следующим образом: Б.В. Сигуа — концепция и дизайн исследования, анализ полученных данных, хирургическое лечение; А.А. Курков — концепция и дизайн исследования, анализ полученных данных, написание текста, хирургическое лечение, обзор литературы; Э.Л. Латария, А.Л. Ефимов, В.П. Земляной — концепция и дизайн исследования; О.П. Козлова — концепция и дизайн исследования, анализ полученных данных, консервативное лечение; Д.В. Гуржий — хирургическое лечение; С.А. Винничук — диагностические исследования; Г.В. Чижов — написание текста; А.А. Хватов — сбор и обработка материалов.
Информированное согласие на публикацию. Авторы получили письменное согласие законных представителей пациента на публикацию медицинских данных.
Additional information
Funding source. The study had no external funding.
Competing interests. The authors declare that they have no competing interests.
Author contributions. Thereby, all the authors confirm that their authorship complies with the international ICMJE criteria (all the authors have made a significant contribution to the development of the concept, research, and preparation of the article as well as read and approved the final version before its publication).
Personal contribution of the authors: B.V. Sigua — concept and design of the study, analysis of the data obtained, surgical treatment; A.A. Kurkov — concept and design of the study, analysis of the data obtained, writing the text, surgical treatment, literature review; E.L. Lataria, A.L. Efimov, V.P. Zemlianoi — concept and design of the study; O.P. Kozlova — concept and design of the study, analysis of the data obtained, conservative treatment; D.V. Gurzhiy — surgical treatment; S.A. Vinnichuk — diagnostic studies; G.V. Chizhov — text writing; A.A. Khvatov — collection and processing of materials.
Consent for publication. Written consent had been obtained from the patient to publish relevant medical information within the manuscript.
About the authors
Badri V. Sigua
North-Western State Medical University named after I.I. Mechnikov
Email: dr.sigua@gmail.com
ORCID iD: 0000-0002-4556-4913
SPIN-code: 5571-8893
MD, Dr. Sci. (Med.), Professor
Russian Federation, 41 Kirochnaya St., Saint Petersburg, 191015Alexey A. Kurkov
North-Western State Medical University named after I.I. Mechnikov
Email: dok.kurkov@gmail.com
ORCID iD: 0000-0002-2128-8651
SPIN-code: 6396-4386
MD, Cand. Sci. (Med.)
Russian Federation, Saint PetersburgElguja L. Lataria
North-Western State Medical University named after I.I. Mechnikov
Email: Elguja.Lataria@szgmu.ru
ORCID iD: 0000-0002-9569-8485
SPIN-code: 7376-9672
MD, Cand. Sci. (Med.), Assistant Professor
Russian Federation, 41 Kirochnaya St., Saint Petersburg, 191015Olga P. Kozlova
North-Western State Medical University named after I.I. Mechnikov
Email: olgakozlova07@gmail.com
ORCID iD: 0000-0002-2467-4945
SPIN-code: 6312-0770
MD, Cand. Sci. (Med.), Assistant
Russian Federation, 41 Kirochnaya St., Saint Petersburg, 191015Dmitrii V. Gurzhiy
North-Western State Medical University named after I.I. Mechnikov
Email: gurzhiydv@ro.ru
ORCID iD: 0000-0002-4005-0403
SPIN-code: 7344-3941
Scopus Author ID: 365404
MD, Cand. Sci. (Med.), Assistant Professor
Russian Federation, Saint PetersburgSergey A. Vinnichuk
North-Western State Medical University named after I.I. Mechnikov
Email: Sergei.Vinnichuk@szgmu.ru
ORCID iD: 0000-0002-9590-6678
SPIN-code: 6448-9110
MD, Cand. Sci. (Med.), Assistant Professor
Russian Federation, 41 Kirochnaya St., Saint Petersburg, 191015Alexey L. Efimov
North-Western State Medical University named after I.I. Mechnikov
Email: aespb@mail.ru
ORCID iD: 0000-0001-7586-6405
SPIN-code: 7854-1596
MD, Cand. Sci. (Med.), Assistant Professor
Russian Federation, 41 Kirochnaya St., Saint Petersburg, 191015Gleb V. Chizhov
North-Western State Medical University named after I.I. Mechnikov
Email: gleb.chizhov.98@mail.ru
MD
Russian Federation, 41 Kirochnaya St., Saint Petersburg, 191015Andrey A. Khvatov
North-Western State Medical University named after I.I. Mechnikov
Email: andrey_hvatov@mail.ru
ORCID iD: 0009-0005-8859-5030
MD
Russian Federation, 41 Kirochnaya St., Saint Petersburg, 191015Viacheslav P. Zemlianoi
North-Western State Medical University named after I.I. Mechnikov
Author for correspondence.
Email: zeml.spb@mail.ru
ORCID iD: 0000-0003-2329-0023
MD, Dr. Sci. (Med.), Professor, Honored Doctor of the Russian Federation
Russian Federation, 41 Kirochnaya St., Saint Petersburg, 191015References
- Toidze VV, Akimov VP, Churgulia MZ, et al. Difficulties in the diagnosis of abdominal actinomycosis. The Hospital. 2019;(2(28)):18–21. (In Russ.)
- Kozlova OP, Shevyakov MA, Klimko NN. Abdominal’nyi aktinomikoz. Klinika, diagnostika, lechenie. Uspekhi meditsinskoi mikologii. 2017;17:256–257. (In Russ.)
- Mirzabalaeva AK, Kozlova OP, Chernopyatova AK, et al. Case of successful treatment of widespread abdominal actinomycosis. Journal Infectology. 2009;1(2–3):81–86. (In Russ.) doi: 10.22625/2072-6732-2009-1-2,3-81-86
- Petrie BA, Schwartz SI, Saltmarsh GF. Intra-abdominal actinomycosis in association with sigmoid diverticulitis. Am Surg. 2014;80(6):157–159. doi: 10.1177/000313481408000603
- Das K, Karateke F, Ozyazıcı S. Unusual presentations of actinomycosis; anterior abdominal wall and appendix: report of three cases. Balkan Med J. 2013;30(3):315–317. doi: 10.5152/balkanmedj.2012.377
- Chzhao AV, Andrejceva OI, Zhavoronkova OI, et al. Abdominal actinomycosis (clinical case). Vysokotekhnologicheskaya medicina. 2018;5(3):11–22. (In Russ.)
- Tortorano AM, Richardson M, Roilides E, et al. ESCMID and ECMM joint guidelines on diagnosis and management of hyalohyphomycosis: Fusarium spp., Scedosporium spp. and others. Clin Microbiol Infect. 2014;20 Suppl 3:27–46. doi: 10.1111/1469-0691.12465
- Melchior S, Cudovic D, Jones J, et al. Diagnosis and surgical management of colovesical fistulas due to sigmoid diverticulitis. J Urol. 2009;182(3):978–982. doi: 10.1016/j.juro.2009.05.022
Supplementary files






