Забрюшинная синовиальная саркома
- Авторы: Лисицын А.А.1, Земляной В.П.1, Коткас И.Е.1, Бехтерева И.А.1
-
Учреждения:
- Северо-Западный государственный медицинский университет им. И.И. Мечникова
- Выпуск: Том 15, № 4 (2023)
- Страницы: 81-88
- Раздел: Клинический случай
- Статья получена: 11.12.2023
- Статья одобрена: 12.12.2023
- Статья опубликована: 28.12.2023
- URL: https://journals.eco-vector.com/vszgmu/article/view/624440
- DOI: https://doi.org/10.17816/mechnikov624440
- ID: 624440
Цитировать
Полный текст



Аннотация
Синовиальная саркома забрюшинного пространства — редкая и агрессивная опухоль. В ряде случаев дифференциальная диагностика между забрюшинной саркомой и адренокортикальным раком затруднена, что обусловлено схожими клиническими и интраскопическими проявлениями этих новообразований. Окончательный диагноз ставят на основании результатов гистологического, иммуногистохимического и генетического исследований. Наиболее важным этапом лечения синовиальной саркомы является полное удаление опухоли. Однако несмотря на радикальность вмешательства частота развития местного рецидива и метастазирования остается высокой.
Цель работы — провести ретроспективный анализ показателей оперированных больных с синовиальной саркомой забрюшинного пространства.
Настоящее исследование направлено на изучение результатов обследования и хирургического лечения больных синовиальной саркомой забрюшинного пространства, находившихся в хирургическом отделении Клиники им. Э.Э. Эйхвальда СЗГМУ им. И.И. Мечникова.
Пациентам оценили гормональный статус методом иммуноанализа с определением уровней адренокортикотропного гормона, кортизола, альдостерона, ренина, норметанефрина и метанефрина в крови, а также выполнили тест на подавление дексаметазона в дозе 1 мг. Методом высокоэффективной жидкостной хроматографии в сыворотке крови определены 6 глюкокортикоидов: кортизол, кортизон, кортикостерон, 11-дезоксикортикостерон, 11-дегидрокортикостерон, 11-дезоксикортизол. У всех пациентов исследован стероидный профиль мочи методом газовой хромато-масс-спектрометрии. Всем больным выполнили компьютерную томографию органов брюшной полости и забрюшинного пространства с контрастированием, морфологическое и иммуногистохимическое исследования удаленного материала. Фиксацию материала осуществили в 10 % нейтральном забуференном формалине. Затем кусочки подвергали стандартной проводке с последующей заливкой в парафин. Из полученных блоков готовили срезы толщиной 2–3 мкм, окрашивали гематоксилином и эозином. Иммуногистохимическое исследование проводили на парафиновых срезах. Использовали панель моноклональных антител: белок S-100 (poly), панцитокератин (АЕ1/АЕ3), эпителиальные мембранные антигены, цитокератин-8, -18, хромогранин А, синаптофизин, α-ингибин, SOX-10, CD99, TLE-1, bcl-2, GATA-3. Послеоперационные исходы и последующие наблюдения оценивали в соответствии с информацией в медицинских картах и данных, полученных на основании телефонного разговора с каждым пациентом. Статистическая обработка результатов не проведена из-за редкости случаев заболевания.
Ключевые слова
Полный текст
ВВЕДЕНИЕ
Предоперационная диагностика случайно обнаруженных новообразований забрюшинного пространства — непростая задача, позволяющая выбрать правильную тактику ведения пациента. Одним из редких типов неопластического заболевания является синовиальная саркома, на ее долю приходится от 5 до 10 % всех сарком мягких тканей [1]. Редкой формой такого новообразования является синовиальная саркома, исходящая из забрюшинного пространства. С учетом бессимптомного характера начальной стадии заболевания в момент выявления опухоли может быть диагностировано новообразование больших размеров, а некоторых случаях метастатическое поражение легких и печени. В связи с этим частота рецидивов саркомы при адекватном хирургическом лечении составляет от 28 до 36 %, а пятилетняя выживаемость таких пациентов составляет от 20 до 29 % [2].
КЛИНИЧЕСКИЕ СЛУЧАИ
В хирургическом отделении Клиники им. Э.Э. Эйхвальда СЗГМУ им. И.И. Мечникова оперировано три пациентки с гистологически подтвержденным диагнозом «cиновиальная саркома забрюшинного пространства справа». Возраст пациенток составил 25, 27 и 55 лет, индекс массы тела — 24,2, 26,6 и 21,1 кг/м2. При обращении в стационар все пациентки отмечали жалобы на общую слабость и тошноту. У одной больной наблюдали снижение массы тела на 9 кг в течение 9 мес. Две больных обращали внимание на ноющие боли в правой половине грудной клетки и поясничной области с необходимостью приема нестероидных противовоспалительных препаратов. Во всех наблюдениях с помощью визуализирующих методов новообразования были выявлены случайно. Последующее эндоскопическое и томографическое (органов грудной клетки и малого таза) исследования не показали других патологий.
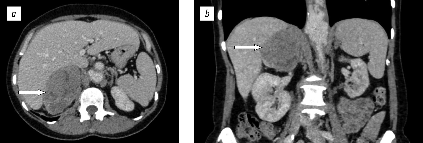
В клиническом анализе крови наблюдали гипохромную анемию (от 84 до 92 г/л), лейкоцитоз (от 10,5 до 24,4 · 109/л), тромбоцитоз (от 419 до 502 · 109/л) и повышение скорости оседания эритроцитов (от 33 до 57 мм/ч). Дополнительно отмечено повышение уровня С-реактивного белка (от 15 до 124,5 г/л). Гормональное исследование не выявило данных, свидетельствующих в пользу феохромоцитомы и первичного гиперальдостеронизма. Суточный ритм кортизола был сохранен. Однако у всех больных было получено повышение уровня кортизола (с 56,8 до 68,7 нмоль/л) на фоне ночного подавляющего теста с 1 мг дексаметазона. Уровень дегидроэпиандростерона-сульфата был снижен (от 0,19 до 0,28 мкг/мл). По данным высокоэффективной жидкостной хроматографии сыворотки крови, отклонения значений не выявлены. По результатам компьютерной томографии органов брюшной полости и забрюшинного пространства с контрастированием, в проекции правого надпочечника определялось объемное образование размерами от 10 до 17см, с деформацией окружающих тканей, со смещением правой почки (в одном случае с подозрением на инвазию в нижнюю полую вену), неоднородной структуры (с участками кистозной трансформации), с высокой нативной плотностью (максимально до +45 HU) и абсолютным коэффициентом вымывания контрастного вещества через 15 мин от 20 до 48 %. То есть такие случайно выявленные опухоли имели злокачественный интраскопический фенотип, что на предоперационном этапе было расценено как адренокортикальная карцинома (рис. 1).
Рис. 1. Компьютерная томография органов брюшной полости и забрюшинного пространства с контрастированием у больной 55 лет с синовиальной саркомой забрюшинного пространства справа: а — аксиальная плоскость, паренхиматозная фаза; b — корональная плоскость, паренхиматозная фаза
Fig. 1. Computed tomography of the abdominal and retroperitoneal area with contrast of a 55-year-old patient with synovial sarcoma of the retroperitoneal area on the right side: a, axial plane, enhanced phase; b, coronal plane, enhanced phase
С целью дополнительного обследования и дифференциальной диагностики исследован стероидный профиль мочи. По результатам профилирования получено только незначительное повышение уровня тиреотропина с 149 до 215 мкг/сут. Увеличение уровней андрогенов и прогестагенов, а также фиксирование неклассических 5-ene-прегненов не получены. Вместе с этим установлены признаки снижения ферментативной активности 11β-гидроксилазы [снижение соотношения (5А-THF + + 5В-THF + 5В-THЕ) / 5В-THS с 4,5 до 8,9] и 11β-гидроксистероиддегидрогеназы II типа (повышение соотношений (5А-THF + 5В-THF) / 5В-THЕ и 5В-THF / 5β-THЕ].
Время от начала появления жалоб до операции составило от 5 до 10 мес. После обсуждения больных было выполнено хирургическое удаление образований посредством срединной лапаротомии. Во всех случаях опухоль удаляли с окружающей клетчаткой и надпочечником. В одном наблюдении при мобилизации опухоли была диагностирована инвазия в нижнюю полую вену, что потребовало иссечения участка стенки сосуда с последующим формированием сосудистого шва. Длительность операций составила от 120 до 235 мин. В послеоперационном периоде осложнений не наблюдали.
При макроскопическом исследовании у новообразований обнаружено похожее макроскопическое строение (рис. 2). Снаружи определялась сохраненная капсула. На разрезе опухоль была с признаками распада, грязно-серого цвета, с красными и темно-коричневыми очагами.
Рис. 2. Макропрепарат удаленной забрюшинной синовиальной саркомы (пациентка В., 55 лет)
Fig. 2. Macro specimen of removed retroperitoneal synovial sarcoma (patient V., 55 years old)
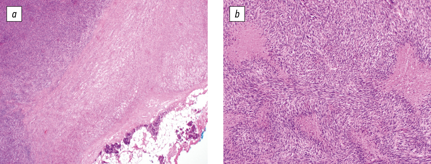
При микроскопическом исследовании у опухолей выявлено однотипное морфологическое строение (рис. 3 и 4). Они были образованы веретеновидными клетками, формирующими короткие разнонаправленные пучки. Определялись множественные фокусы «географического» некроза (рис. 3, b). Цитоплазма опухолевых клеток скудная, без четких границ, ядра овальной формы, хроматин везикулярный, ядрышки слабо выражены, выявлены митозы, в том числе, патологические (6–10–14 в одном поле зрения при увеличении микроскопа ×400). У пациентки В. (55 лет) обнаружены очаги опухолевого роста в перикапсулярной жировой ткани (рис. 3, а).
Рис. 3. Пациентка В., 55 лет, диагноз «синовиальная саркома». а — ткань коркового слоя надпочечника (в центре), в перикапсулярной жировой ткани фокусы опухолевого роста (справа внизу), левый верхний угол — фокус синовиальной саркомы, окраска гематоксилином и эозином, увеличение ×40 (лупа); b — опухоль образована веретеновидными клетками, формирующие короткие разнонаправленные пучки, определяются множественные «географического» вида некроза, окраска гематоксилином и эозином, увеличение ×100
Fig. 3. Patient V., 55 years old, diagnosis “synovial sarcoma”. a, tissue of the adrenal cortex (in the center), in the pericapsular adipose tissue there are sites of tumor growth (bottom right); the upper left corner is the focus of synovial sarcoma, staining with hematoxylin and eosin, magnification ×40 (magnifying glass); b, the tumor is formed by spindle-shaped cells, forming short multidirectional bundles; multiple “geographical” types of necrosis are determined, hematoxylin and eosin staining, magnification ×100
Рис. 4. Пациентка К., 27 лет, диагноз «синовиальная саркома». а — опухоль образована веретеновидными клетками, формирующими короткие разнонаправленные пучки, окраска гематоксилином и эозином, увеличение ×100; b — ядра опухолевых клеток овальные, хроматин везикулярный, ядрышки слабо выражены, цитоплазма опухолевых клеток скудная, без четких границ, окраска гематоксилином и эозином, увеличение ×400, многочисленные митозы
Fig. 4. Patient K., 27 years old, diagnosis “synovial sarcoma”. a, the tumor is formed by spindle-shaped cells that form short multidirectional bundles, staining with hematoxylin and eosin, microscope magnification ×100; b, the nucleus of tumor cells are oval; the chromatin is vesicular; the nucleus are poorly defined; the cytoplasm of tumor cells is scanty and has no clear boundaries, hematoxylin and eosin staining, magnification ×400, numerous mitoses
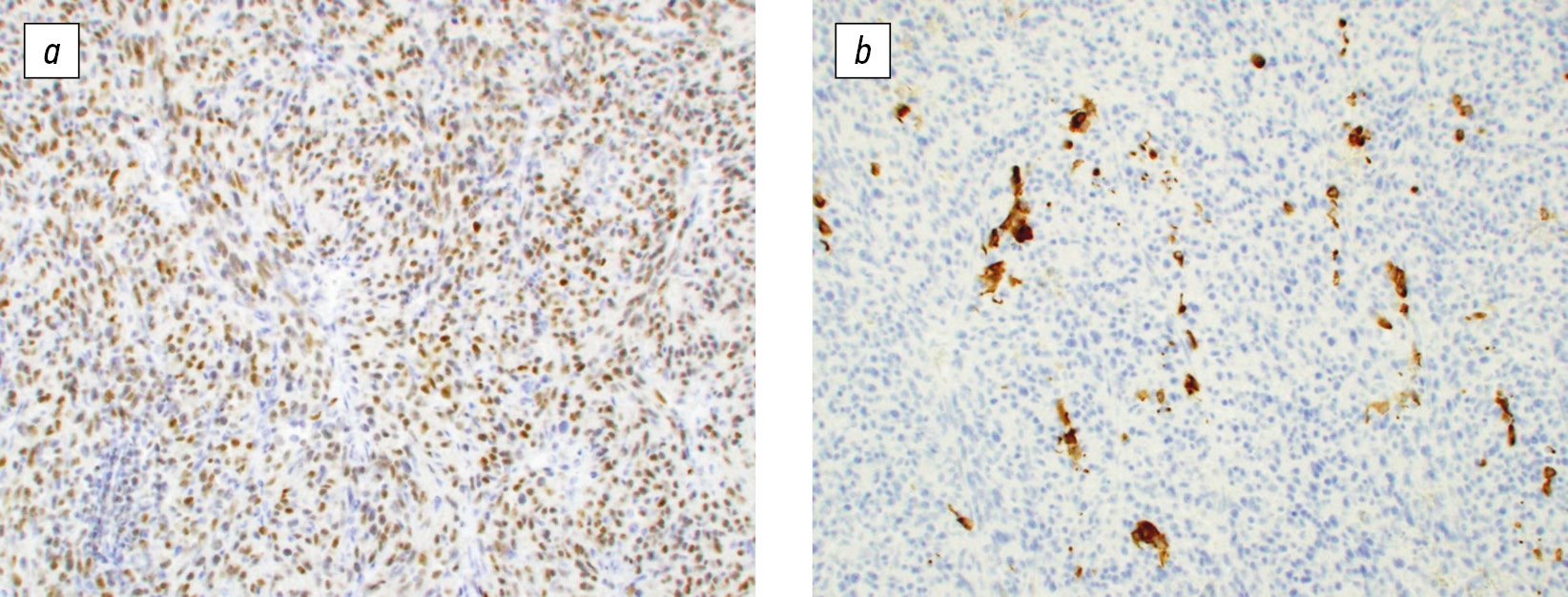
При иммуногистохимическом исследовании выявлена выраженная экспрессия TLE-1, bcl-2, GATA-3 в большинстве опухолевых клеток (рис. 5 и 6), в единичных опухолевых клетках отмечена экспрессия цитокератина 8 и белка S-100.
Рис. 5. Пациентка К., 27 лет, диагноз «синовиальная саркома». Окраска — иммуногистохимическая реакция: ядерная экспрессия TLE-1 (а), диффузная цитоплазматическая bcl-2 (b) в большинстве опухолевых клеток (увеличение ×200)
Fig. 5. Patient K., 27 years old, diagnosis “synovial sarcoma”. Staining — immunohistochemical reaction: nuclear expression of TLE-1 (a), diffuse cytoplasmic bcl-2 (b) in most tumor cells (magnification ×200)
Рис. 6. Пациентка В., 55 лет, диагноз «синовиальная саркома». Окраска — иммуногистохимическая реакция: экспрессия GATA-3 (а) в большинстве опухолевых клеток (увеличение ×200), экспрессия цитокератина 8 (b) в незначительной части опухолевых клеток (увеличение ×200)
Fig. 6. Patient V., 55 years old, diagnosis “synovial sarcoma”. Staining — immunohistochemical reaction: expression of GATA-3 (a) in the most tumor cells (magnification ×200), expression of cytokeratin 8 (b) in a small part of tumor cells (magnification ×200)
Экспрессии панцитокератина (АЕ1/АЕ3), эпителиальных мембранных антигенов, цитокератина 18, цитокератина 19, α-ингибина, хромогранина А, синаптофизина, SOX-10, CD99 в опухолевых клетках не выявлены. У двух больных выполнен генетический анализ, показавший наличие характерной хромосомной транслокации t(X;18)(p11;q11). Таким образом, поставлен окончательный диагноз «монофазная синовиальная саркома».
ОБСУЖДЕНИЕ
В статье представлено три наблюдения, связанных с диагнозом «монофазная синовиальная саркома забрюшинного пространства». Синовиальная саркома — это редкое злокачественное заболевание мягких тканей, в 15 % случаев исходящее из забрюшинного пространства [3]. Частота встречаемости забрюшинной синовиальной саркомы составляет менее 1 % среди всех злокачественных новообразований [4]. Данное заболевание может возникать в любом возрасте, вместе с этим чаще всего его диагностируют у людей молодого возраста [5]. Самой частой жалобой у больных были боли в животе и пояснице, проявления анемии и эндогенной интоксикации. Вместе с этим, постановка правильного диагноза представляется сложной задачей, что обусловлено редкостью патологии и схожестью клинических и визуализирующих проявлений с признаками других новообразований, исходящих из забрюшинного пространства. Ультразвуковое исследование и компьютерная томография брюшной полости и забрюшинного пространства у представленных пациентов выявили объемные образования, исходящие из забрюшинного пространства справа, не позволяющие провести их дифференциацию от злокачественной опухоли надпочечника. В качестве дополнительного обследования у всех больных проведено стероидное профилирование мочи, не показавшее увеличения биомаркеров рака коркового слоя надпочечника, что позволило заподозрить вненадпочечниковое происхождение выявленных новообразований. Тонкоигольная аспирационная биопсия не выполнена. Однако во многих рекомендациях указано на необходимость ее проведения [6–8]. Вместе с этим у 47 % пациентов методика тонкоигольной аспирационной биопсии не позволяет поставить предоперационный диагноз [9]. А некоторые исследователи отмечают, что ее результат не влияет на онкологический исход, в частности выживаемость больных [10, 11]. Окончательный диагноз ставят на основании результатов полного гистологического исследования с учетом иммуногистохимического и генетического анализов [2]. По мнению авторов, иммуногистохимическими маркерами синовиальной саркомы являются ядерная экспрессия TLE-1, диффузная экспрессия белка bcl-2, экспрессия CD99, панцитокератина AE1/AE3, цитокератина 19, эпителиальных мембранных антигенов, CD56, CD57, кальретинина, белка S100 [2, 12]. Настоящие результаты иммуногистохимического исследования согласуются с существующими данными. Дополнительным диагностическим исследованием, позволяющим дифференцировать синовиальную саркому от других забрюшинных заболеваний, является генетический анализ. Данный метод позволяет диагностировать у 90 % больных синовиальной саркомой наличие хромосомной транслокации t(X;18)(p11;q11), что обусловлено слиянием гена SYT на хромосоме 18 с геном семейства SSX на хромосоме X. В настоящих наблюдениях тоже была выявлена данная мутация.
Хирургическое вмешательство является основным и единственным оптимальным методом лечения забрюшинных сарком [13]. Во всех случаях было выполнено полное удаление опухоли, позволившее улучшить качество жизни пациентов. На сегодняшний день роль адъювантной и неоадъювантной химиотерапии при синовиальной саркоме не определена, а результаты лечения остаются противоречивыми. Вместе с этим все прооперированные больные были направлены на рассмотрение возможности химиотерапевтического лечения. Несмотря на то что стратегия лечения опирается на комплексный подход, результаты лечения больных остаются неутешительными, что вызывает необходимость дополнительно поиска решения данной проблемы.
ЗАКЛЮЧЕНИЕ
Настоящая работа ограничена малым количеством случаев, что обусловлено редкостью встречаемости забрюшинных синовиальных сарком. Забрюшинная синовиальная саркома в большинстве случаев является инциденталомой. Дооперационная персонификация таких новообразований затруднена из-за отсутствия специфических диагностических признаков, связанных с синовиальной саркомой забрюшинного пространства. Основным методом лечения является хирургическое удаление опухоли, позволяющее провести гистологическую верификацию удаленного новообразования и сделать выбор последующей тактики ведения больного. Данной работой авторы напоминают о возможности случайного выявления одного из сложных и гетерогенных заболеваний, исходящих из забрюшинного пространства с необходимостью дифференциальной диагностики с адренокортикальным раком и другими заболеваниями мягких тканей забрюшинного пространства.
Дополнительная информация
Источник финансирования. Исследование проведено на базе хирургического отделения Клиники им. Э.Э. Эйхвальда СЗГМУ им. И.И. Мечникова.
Конфликт интересов. Авторы заявляют об отсутствии явных и потенциальных конфликтов интересов, связанных с публикацией настоящей статьи.
Вклад авторов. Все авторы подтверждают соответствие своего авторства, согласно международным критериям ICMJE (все авторы внесли существенный вклад в разработку концепции, проведение исследования и подготовку статьи, прочли и одобрили финальную версию перед публикацией).
Наибольший вклад каждого авторов распределен следующим образом: А.А. Лисицын — концепция, анализ полученных данных, написание текста, обзор литературы; В.П. Земляной — дизайн исследования; И.А. Бехтерева — сбор материалов; И.Е. Коткас — патоморфологическое исследование, анализ полученных данных.
Информированное согласие на публикацию. Авторы получили письменное согласие законных представителей пациентов на публикацию медицинских данных и фотографий.
Благодарности. Исследования выполнены с использованием оборудования Клиники им. Э.Э. Эйхвальда СЗГМУ им. И.И. Мечникова. Авторы признательны сотрудникам клиники.
Additional information
Funding source. The study has been conducted on the basis of the surgical department of the E.E. Eichwald Clinic of the North-Western State Medical University named after I.I. Mechnikov.
Competing interests. The authors declare that they have no competing interests.
Author contributions. Thereby, all the authors confirm that their authorship complies with the international ICMJE criteria (all the authors have made a significant contribution to the development of the concept, research, and preparation of the article as well as read and approved the final version before its publication).
Personal contribution of the authors: A.A. Lisitsyn — experimental design, collecting and preparing the samples, data analysis, writing the main part of the text, literature review; V.P. Zemlyanoi — experimental design; I.A. Bekhtereva — collecting and preparing the samples; I.E. Kotkas — pathomorphological research, data analysis.
Consent for publication. Written informed consent had been obtained from the patients to publish relevant medical information and all accompanying images within the manuscript.
Acknowledgments. The studies have been carried out using the equipment of the E.E. Eichwald Clinic of the North-Western State Medical University named after. I.I. Mechnikov. The authors express gratitudes to the employees of the Clinic.
Об авторах
Александр Александрович Лисицын
Северо-Западный государственный медицинский университет им. И.И. Мечникова
Email: aleksandr.lisitsyn@szgmu.ru
ORCID iD: 0000-0003-2045-0044
SPIN-код: 3237-4309
кандидат мед. наук, доцент
Россия, 191015, Санкт-Петербург, Кирочная ул., д. 41Вячеслав Петрович Земляной
Северо-Западный государственный медицинский университет им. И.И. Мечникова
Email: zeml.spb@mail.ru
ORCID iD: 0000-0003-2329-0023
доктор мед. наук, профессор, заслуженный врач РФ
Россия, 191015, Санкт-Петербург, Кирочная ул., д. 41Инна Евгеньевна Коткас
Северо-Западный государственный медицинский университет им. И.И. Мечникова
Автор, ответственный за переписку.
Email: inna.kotkas@yandex.ru
ORCID iD: 0000-0003-4605-9887
SPIN-код: 1853-8825
доктор мед. наук, профессор
Россия, 191015, Санкт-Петербург, Кирочная ул., д. 41Ирина Анатольевна Бехтерева
Северо-Западный государственный медицинский университет им. И.И. Мечникова
Email: Irina.Bekhtereva@szgmu.ru
ORCID iD: 0000-0002-5206-3367
SPIN-код: 3954-2873
доктор мед. наук, доцент
Россия, 191015, Санкт-Петербург, Кирочная ул., д. 41Список литературы
- Blay J.Y., von Mehren M., Jones R.L. et al. Synovial sarcoma: characteristics, challenges, and evolving therapeutic strategies // ESMO Open. 2023. Vol. 8, No. 5. P. 101618. doi: 10.1016/j.esmoop.2023.101618
- Mastoraki A., Schizas D., Papanikolaou I.S. et al. Management of primary retroperitoneal synovial sarcoma: A case report and review of literature // World J. Gastrointest. Surg. 2019. Vol. 11, No. 1. P. 27–33. doi: 10.4240/wjgs.v11.i1.27
- Ansari Djafari A., Razzaghi M., Rakhshan A. et al. A large primary retroperitoneal synovial sarcoma: a case report of a huge malignant tumor // Iran J. Med. Sci. 2022. Vol. 47, No. 3. P. 280–284. doi: 10.30476/IJMS.2021.90470.2141
- Huned D., Kam J.H., Lee L.S., Tiwari R.V. Primary renal synovial sarcoma presenting with a retroperitoneal bleed // BMJ Case Rep. 2021. Vol. 14, No. 3. P. e237099. doi: 10.1136/bcr-2020-237099
- Sultan I., Rodriguez-Galindo C., Saab R. et al. Comparing children and adults with synovial sarcoma in the surveillance, epidemiology, and end results program, 1983 to 2005: An analysis of 1268 patients // Cancer. 2009. Vol. 115. P. 3537–3547. doi: 10.1002/cncr.24424
- Casali P.G., Abecassis N., Bauer S. et al. Soft tissue and visceral sarcomas: ESMO–EURACAN Clinical Practice Guidelines for diagnosis, treatment and follow-up // Ann. Oncol. 2018. Vol. 29, No. Suppl 4. P. iv51–iv67. doi: 10.1093/annonc/mdy096
- Swallow C.J., Strauss D.C., Bonvalot S. et al. Management of Primary Retroperitoneal Sarcoma (RPS) in the adult: An updated consensus approach from the Transatlantic Australasian RPS working group // Ann. Surg. Oncol. 2021. Vol. 14. P. 7873–7888. doi: 10.1245/s10434-021-09654-z
- von Mehren M., Kane J.M., Bui M.M. et al. NCCN Guidelines Insights: Soft tissue sarcoma, version 1.2021 // J. Natl. Compr. Canc. Netw. 2020. Vol. 18, No. 12. P. 1604–1612. doi: 10.6004/jnccn.2020.0058
- Dobrindt E.M., Saeger W., Bläker H. et al. The challenge to differentiate between sarcoma or adrenal carcinoma — an observational study // Rare Tumors. 2021. Vol. 13. P. 20363613211057746. doi: 10.1177/20363613211057746
- Wilkinson M.J., Martin J.L., Khan A.A. et al. Percutaneous core needle biopsy in retroperitoneal sarcomas does not influence local recurrence or overall survival // Ann. Surg. Oncol. 2015. Vol. 22. P. 853–858. doi: 10.1245/s10434-014-4059-x
- Straker R.J., Song Y., Shannon A.B. Preoperative biopsy in patients with retroperitoneal sarcoma: Usage and outcomes in a national cohort // Ann. Surg. Oncol. 2021. Vol. 289, No. 11. P. 6868–6879. doi: 10.1245/s10434-021-09691-8
- Foo W.C., Cruise M.W., Wick M.R., Hornick J.L. Immunohistochemical staining for TLE1 distinguishes synovial sarcoma from histologic mimics // Am. J. Clin. Pathol. 2011. Vol. 135, No. 6. P. 839–844. doi: 10.1309/AJCP45SSNAOPXYXU
- Schmitz E., Nessim C. Retroperitoneal sarcoma care in 2021 // Cancers (Basel). 2022. Vol. 14, No. 5. P. 1293. doi: 10.3390/cancers14051293
Дополнительные файлы
