H. pylori eradication therapy: impact of gastric mucosa atrophy on transport of amoxicillin to H. pylori colonization area
- Authors: Sablina A.O.1, Sablin O.A.1, Andreeva J.V.2, Rodionov G.G.1, Shantyr I.I.1, Ushal I.E.1, Samusenko I.A.1
-
Affiliations:
- Nikiforov Russian Center of Emergency and Radiation Medicine
- Pavlov Institute of Physiology
- Issue: Vol 13, No 2 (2021)
- Pages: 57-66
- Section: Original study article
- Submitted: 06.05.2021
- Accepted: 13.05.2021
- Published: 30.08.2021
- URL: https://journals.eco-vector.com/vszgmu/article/view/70280
- DOI: https://doi.org/10.17816/mechnikov70280
- ID: 70280
Cite item
Abstract
AIM: The aim was to assess systemic transport of amoxicillin, the most common antibiotic in H. pylori eradication regimens to the gastric in atrophic gastritis.
MATERIALS AND METHODS: Systemic transport of amoxicillin to the gastric lumen of rats was evaluated in washes from the gastric mucosa in the model of atrophic gastritis after intravenous drug infusion. Transport of amoxicillin from bloodstream to the gastric lumen was also assessed in patients with atrophic and non-atrophic gastritis in aspirated via nasogastric probe gastric juice after oral drug administration. Amoxicillin concentration was measured in samples using liquid chromatography-mass spectrometry.
RESULTS: In rats with induced atrophic gastritis, hyperemia and acute erosions of the gastric mucosa, as well as microscopic signs of non-active chronic body gastritis and non-active antral atrophic gastritis were found. Amoxicillin concentration in washes from the gastric mucosa was significantly (p < 0.01) higher in rats of experimental group than in control group at all time points (30, 60, 120, 240 min after drug infusion). The lowest mean amoxicillin concentration in gastric juice was observed in patients with antral atrophy (p < 0.01). The maximum amoxicillin concentration in gastric secretion was found at the 180th min of aspiration in patients with atrophy of gastric mucosa, while in patients of the group of comparison it was found at 30-120th min of aspiration.
CONCLUSIONS: Acute gastric mucosa erosions enhance amoxicillin delivery to gastric lumen in rats. Atrophy of antral mucosa more than in the corpus is characterized by decreased amoxicillin transfer from systemic bloodstream to gastric lumen in patients after oral amoxicillin intake. The gastric mucosa atrophy should be taken into consideration while predicting the efficacy of H. pylori eradication therapy in patients with chronic gastritis.
Full Text
BACKGROUND
The task of improving the effectiveness of H. pylori eradication therapy in gastroenterology remains very important. One of the main reasons for the ineffectiveness of treatments is the low concentration of antibacterial drugs in the stomach cavity.
The cavity degradation of the substance, the dosage form, the permeability of the gastric mucous membrane (GMM), and the rate of evacuation of gastric contents significantly influence the concentration of antibiotics in the lumen of the stomach. For drugs included in the eradication therapy regimens, the concentration in the lumen of the stomach immediately after administration and the amount that has entered the lumen from the bloodstream after absorption in the intestine are both relevant. After oral ingestion, most antibacterial drugs that are encapsulated or enteric coated to prevent pH-dependent degradation pass through the stomach unchanged, are absorbed in the intestine, and enter the bloodstream, where they enter the stomach cavity through filtration, simple diffusion, facilitated diffusion, or active transport and act on H. pylori.
Factors that affect the permeability of the GMM and the concentration gradient between the mucous membrane and the systemic blood flow during indirect drug intake are as follows: pH in the stomach cavity, binding of the drug to blood proteins, drug lipophilicity, the possibility of active transport, as well as the inflammation of the GMM due to H. pylori infection or the presence of nonsteroidal anti-inflammatory drugs.
Additionally, drug ionization is another important factor in systemic transport. Unlike polar-ionized matter that passes through biological membranes with great difficulty [1], amoxicillin is an amphoteric substance that has good lipophilicity and ability to pass through membranes because of its nonionized form under alkaline and very acidic conditions [2].
However, animal experiments have shown that the blood supply to the GMM limits the secretion of weak acids such as amoxicillin. Hence, increasing the blood supply will increase the secretion of the test substance [3]. Since atrophic changes in the GMM are observed in microcirculation disorders [4], we can assume that the secretion of the test substance into the gastric cavity will decrease with atrophy of its mucous membrane.
Some studies have observed a reduced efficiency of H. pylori eradication therapy in patients with GMM atrophy [5], suggesting that the effectiveness of the therapy is, to a certain extent, due to the peculiarities of the antibiotic transport from the circulatory system to the gastric cavity during atrophic changes in the GMM.
This study aims to identify the features of the systemic transport of amoxicillin, the most common antibiotic in H. pylori eradication therapy regimens, into the gastric cavity in atrophic gastritis.
MATERIALS AND METHODS
We carried out the study in two stages. The first stage included the assessment of the transport of amoxicillin from the systemic circulation to the gastric cavity in a chronic atrophic gastritis rat model, as described by T. Naguchi et al. [6].
We carried out the experiments under the supervision of the Commission on Bioethics of the I.P. Pavlov Institute of Physiology, Russian Academy of Sciences (RAS). In this study, we used Sprague–Dawley rats raised in the vivarium of the Institute of Philosophy, RAS (Center for Collective Use Biocollections of the Institute of Physiology, RAS, the Program for the Preservation and Development of Bioresource Collections of the Federal Agency for Scientific Organizations of Russia). Within 12 weeks, we provided only 0.2% aqueous solution of NH4OH as a drink to 15 male rats (age: 4–6 weeks, weight: 300–350 g). In addition, a 60% aqueous solution of ethanol at a dose of 1 ml/100 g of body weight was introduced into the stomach 2 times a week after fasting for 24 h. The control group comprised 14 rats (same sex and age) which did not receive the solutions that induced aggressive effects on the GMM.
Before the pharmacokinetic assessment of amoxicillin, the rats were starved for 18 h with free access to water. We used urethane as intraperitoneal anesthetic at a dose of 1.3 g/kg. Dissection included tracheal cannulation, midline laparotomy, and femoral vein catheterization. We then introduced a probe through the esophagus into the iron-free proventriculus. We ligated the duodenum above the bulb and washed the stomach through an esophageal tube with isotonic sodium chloride solution (10 ml, 37°C) which we drained through a cannula in the nonglandular part of the stomach. We dissolved amoxicillin powder in isotonic sodium chloride solution and administered it intravenously at a dose of 50 mg/kg for a minute since the pharmacokinetics of an antibiotic depends on the rate of its absorption in the intestine, which, along with the stomach, was subjected to prolonged exposure to ammonium. The dosage was based on the fact that the fraction of amoxicillin transported from the blood to the gastric juice is extremely small, and a very low drug concentration in the blood can lead to difficulty in detecting amoxicillin in the gastric contents [2].
We washed the GMM 30, 60, 120, and 240 min after drug administration. To do this, 2 ml of isotonic sodium chloride solution was injected into the stomach each time, 2 min before receiving the sample. We then let the gastric contents drip into a test tube through a cannula in the glandless part of the stomach. We stored the samples at −70°C until we used them for amoxicillin concentration assessment via gas chromatography–mass spectrometry.
We performed autopsy and removed the stomach at the end of the experiment. We assessed the state of the GMM by gross examination and took biopsy samples from the body and antrum of the stomach. We fixed the histological material in 10% neutral formalin for 24 h according to Lilly, then dehydrated it in increasing concentration of alcohol and embedded it in paraffin. Next, we prepared paraffin sections (5 μm) using the traditional method and stained them with hematoxylin and eosin.
The second stage assessed the transport of amoxicillin from the bloodstream to the gastric cavity in patients with atrophic and nonatrophic gastritis. The independent ethical committee of the FSBU A.M. Nikiforov All-Russian Center of Emergency and Radiation Medicine approved the study. We assessed the state of the GMM in all patients in the study via endoscopic, histological (examination of biopsies of the body and antrum of the stomach), and serological (enzyme-linked immunosorbent assay, GastroPanel® test system, Biohit, Finland) methods. We then determined the morphological changes in the mucous membrane, the severity of atrophy, cellular infiltration of the stroma, and intestinal metaplasia in accordance with the amended Sydney classification of chronic gastritis [7]. Chronic atrophic gastritis was diagnosed based on histological biopsy results from specimens of the GMM and pepsinogen I and gastrin-17 analysis in the blood serum. All patients underwent diagnostic tests for H. pylori infection using a rapid urease test and determination of IgG for H. pylori in the blood serum. All study participants signed voluntary informed consent.
Based on the results of the assessment of the state of the GMM, the patients were divided into three groups.
- Patients with chronic atrophic gastritis of the gastric corpus (AGT) (pepsinogen I < 50 μg/l, basal gastrin-17 > 7 pmol/l) and histological signs of atrophy in the stomach body (12 people, mean age: 69.2 ± 7.7 years old).
- Patients with chronic atrophic antral gastritis (AAG) (pepsinogen I > 50 μg/l, basal gastrin-17 < 1 pmol/l) and histological signs of atrophy in the antrum (26 people, mean age: 67.3 ± 4.7 years old).
- Comparison group: patients with nonatrophic inactive gastritis (pepsinogen I > 50 μg/l, basal gastrin-17: 1–7 pmol/l) and without histological signs of diffuse atrophy of the GMM (27 people, average age: 65.2 ± 6.8 years old). This group included patients with mild focal atrophy according to endoscopic and histological studies.
We investigated the transport of amoxicillin from the systemic circulation into the gastric cavity in patients with H. pylori infection on the morning of the first day of treatment. Before taking the drug, a nasogastric tube was installed to a depth of 45–55 cm. We then aspirated 2 capsules of 500 mg of amoxicillin with 20 ml of gastric secretion (30, 60, 120, 180, and 240 min after oral administration on an empty stomach), with the patient lying on the left side. We froze the gastric secretion samples at −70°C and simultaneously examined them as they accumulated.
Cavity pH-dependent drug degradation is essential in the pharmacokinetics of antibiotics. Additionally, metronidazole, known to be very stable in gastric juices, has a half-life of over 800 h at pH 2–7 [8]. On the other hand, clarithromycin, the least acid-resistant drug, has a half-life of <1 h at a specified pH. For amoxicillin, its half-life is >15 h and is quite stable at pH 2. Studies have shown that H+/K+ ATPase inhibitors in eradication therapy regimens reduce or prevent acid-dependent destruction of the antibiotic in the gastric cavity and increase the concentration of antibiotics in gastric secretions by inhibiting gastric content evacuation, eliminating antibiotic washout from tissues, and reducing the gastric juice volume [9, 10], without affecting the amoxicillin concentration in the plasma and serum [2, 11-14]. In this regard, we carried out our pharmacokinetic study of amoxicillin before the use of H+/K+ ATPase inhibitors.
We determined the amoxicillin concentration in the samples using an Agilent 1200 high performance liquid chromatograph with an Agilent 6460 triple quadrupole mass spectrometer (Agilent Technologies, USA). The method for the determination of amoxicillin was previously validated. We then identified amoxicillin based on the retention time and characteristic ions recorded in the selected reactions monitoring mode (MRM) set during the preliminary calibration of the device.
We performed quantification using the internal standard method. We established the following chromatographic measurement conditions: column Zorbax Eclips Plus C18 Rapid Resolution: 100 mm × 4.6 mm × 3.5 μm, elution rate: 0.5 ml/min, mobile phase A: water + 0.2% formic acid (90%), mobile phase B: acetonitrile (10%), and isocratic elution mode. We registered the mass chromatograms corresponding to the scanning parameters for amoxicillin, with the transition of masses at 364 → 223. We set the lower limit of quantitative detection at 0.25 μg/ml of amoxicillin in this method.
We used Agilent Technologies Mass Hunter B 06.00, Excel 2010, and Statistica 10.0 software to statistically process the data. On the other hand, we used the Mann-Whitney test to compare indicators. Differences were considered significant at a level of p < 0.05.
RESULTS AND DISCUSSION
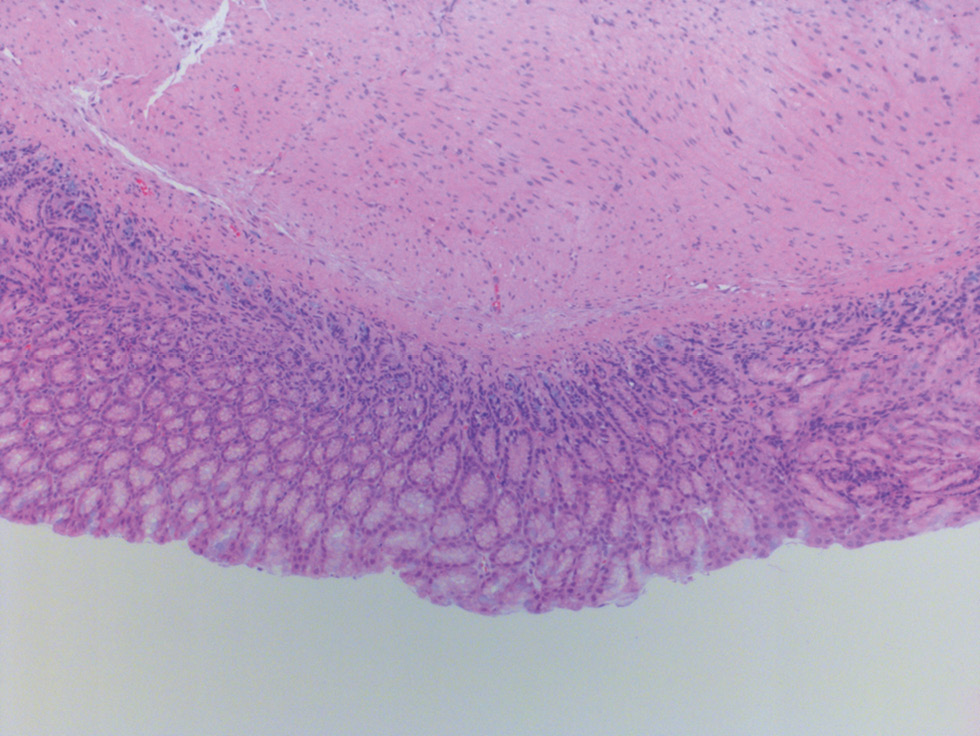
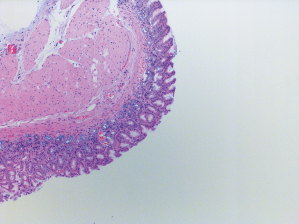
In the morphological study of rats in the control group, we observed high villi in the GMM, shallow dimple-cervical regions, a uniform distribution of glands, and single lymphocytes in the mucous membrane. We also noted that the muscular layer is represented by bundles of smooth muscle fibers, while the serous membrane is covered with a single layer of mesothelium. The thickness of the mucous membrane of the stomach body was 0.50 ± 0.01 mm, while that of the antrum was 0.30 ± 0.03 mm. Histochemical detection of glycosaminoglycans using Alcian blue stain at pH 2.5 in the stomach body revealed focal, poorly expressed production by the epithelium of the superficial parts of the GMM. On the other hand, focal production of glycosaminoglycans in the antrum section was observed in the bottom sections of the glands (Figs. 1, 2).
Fig. 1. Control group rat. Gastric body mucosa1 / Рис. 1. Крыса группы контроля. Слизистая оболочка тела желудка2
Fig. 2. Control group rat. Gastric antrum mucosa with focal production of glycosaminoglycans in the area of the glands / Рис. 2. Крыса группы контроля. Слизистая оболочка антрального отдела желудка с очаговой продукцией гликозаминогликанов в области желез
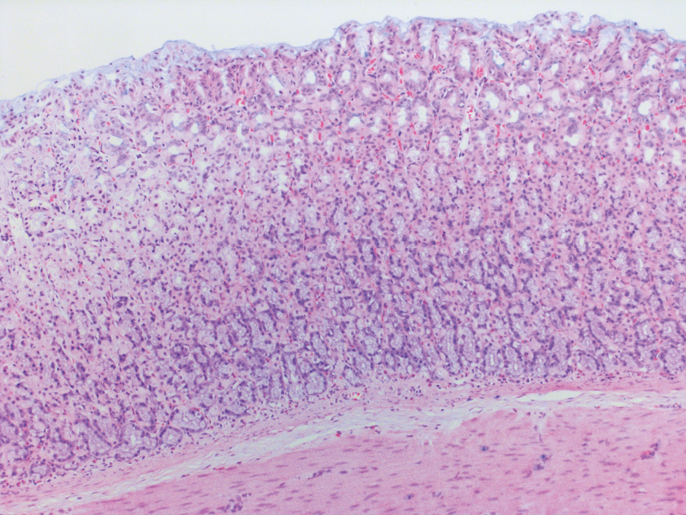
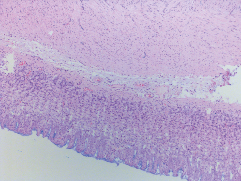
In the morphological study of the GMM in the atrophic gastritis rat model, we observed high villi, shallow pits and cervical regions, a uniform distribution of glands in the mucous membrane of the stomach body and antrum, weak lymphohistiocytic infiltration, eosinophil infiltration, and the presence of single plasma cells. Similarly, the muscular layer is represented by bundles of smooth muscle fibers, while the serous membrane is covered with a single layer of mesothelium. The thickness of the mucous membrane of the body of the stomach was 0.53 ± 0.04 mm, while that of the antrum was 0.21 ± 0.01 mm. Although that was less than in the control group, the difference did not reach statistical significance. During histochemical detection of glycosaminoglycans using Alcian blue stain at pH 2.5 in the stomach body, we observed that production did not increase, was diffused, and moderately expressed in the superficial parts of the GMM (Fig. 3). On the other hand, the production of glycosaminoglycans in the antrum of the stomach increased compared with that in the group of intact rats and was moderate both in the superficial parts and in the bottom parts of the glands (Fig. 4).
Fig. 3. Rat with atrophic gastritis modeling. Gastric body mucosa with enhanced glycosaminoglycans production in superficial epithelium / Рис. 3. Крыса с моделированием атрофического гастрита. Слизистая оболочка тела желудка с увеличением продукции гликозаминогликанов в поверхностном отделе эпителия
Fig. 4. Rat with atrophic gastritis modeling. Gastric antrum mucosa with atrophy and moderate glycosaminoglycans production in the area of the glands / Рис. 4. Крыса с моделированием атрофического гастрита. Слизистая оболочка антрального отдела желудка с атрофией и умеренной продукцией гликозаминогликанов в области желез
Thus, based on the morphological study of biopsy specimens of the GMM of the atrophic gastritis rat model, we can presume that the rats developed inactive chronic gastritis of the gastric corpus and inactive chronic AAG. At the same time, the macroscopic picture of the GMM of the rats of the experimental group reveal signs of acute inflammation in the form of hyperemia and acute erosive changes localized in the stomach body and antrum.
We used chromatography–mass spectrometry to determine the amoxicillin concentration in washings with GMM of rats of both groups (Fig. 5) and observed the following: 30 min after administration of the drug, the median (Q1; Q3) amoxicillin concentration in samples from control and experimental animals was 452.0 (304.6; 541.6) ng/ml and 988.0 (700.0; 1258.5) ng/ml, respectively. After 60 min, concentration decreased to 250.0 (153.8; 361.8) ng/ml and 1021.0 (807.5; 1386.0) ng/ml, respectively. This decreased further after 120 min to 362.5 (235.0; 422.8) ng/ml and 984.0 (783.0; 1486.0) ng/ml, respectively. Finally, concentration after 240 min was 183.0 (121.3; 298.3) ng/ml and 768.0 (638.5; 1002.5) ng/ml, respectively. We noted that the amoxicillin concentration in the samples was significantly (p < 0.01) higher at all time points in the atrophic gastritis model group.
Fig. 5. Amoxicillin concentration in washes from the gastric mucosa of rats from both groups at different time points, Me. * p < 0.01 / Рис. 5. Концентрация амоксициллина в смывах слизистой оболочки желудка крыс разных групп в разных временны´х точках, Me. * различия с уровнем значимости p < 0,01
This means that with regard to the increase in GMM permeability for amoxicillin, acute erosive changes in the mucous membrane are more important than moderate atrophic changes in the antrum.
Thus, the development of acute erosive changes in the GMM against the background of chronic AAH is accompanied by an increase in the intake of amoxicillin into the gastric lumen.
We carried out the second stage of our study to assess the effect of GMM atrophy in the absence of acute erosive changes on the transport of amoxicillin into the gastric cavity from the systemic circulation, within which we determined the serum levels of pepsinogen I, II, basal gastrin-17, and antibodies for H. pylori in patients of all groups as well as the severity of atrophy based on the histological examination of GMM biopsy specimens. Table presents the median values of serological and histological parameters in patients of different groups.
Table. Serological markers of gastric mucosa inflammation functional activity and atrophy (GastroPanel® test system, Biohit, Finland) and histological examination results in different groups of patients, Me (Q1; Q3) / Таблица. Серологические маркеры функциональной активности воспаления и атрофии слизистой оболочки желудка (тест-система ГастроПанель®, Biohit, Финляндия) и результаты гистологического исследования в разных группах пациентов, Me (Q1; Q3)
Parameter | AGB | AAG | Сontrol group |
Pepsinogen I, μg/l | 42.1 (11.6; 45.9) | 86.3 (74.2; 95.0) | 104.6 (73.1; 146.4) |
Pepsinogen II, μg/l | 9.9 (7.7; 16.7) | 9.2 (7.3; 11.2) | 11.9 (9.0; 25.5) |
Pepsinogen I/II | 2.5 (0.7; 5.2) | 9.2 (6.9; 12.8) | 6.9 (4.7; 10.1) |
Gastrin-17, pmol/l | 12.3 (8.8; 19.0) | 0.5 (0.4; 0.6) | 4.1 (2.3; 6.4) |
IgG for H. pylori, enzyme-linked immunosorbent assay | 19.1 (12.0; 37.4) | 14.8 (3.3; 38.7) | 51.8 (16.4; 100.4) |
Atrophy (histology; 0–1–2–3) | 2.0 (1.8; 3.0) | 2.0 (1.3; 2.8) | 0.0 (0.0; 0.0) |
Note. AGB: atrophic gastritis of the body of the stomach; AAG: atrophic antral gastritis.
In the group of patients with AGB, we found that the values of pepsinogen I, the ratio of pepsinogen I/II, as well as higher values of gastrin-17 were significantly (p < 0.01) lower than those in the comparison group. On the other hand, patients with AAG are characterized by lower values of pepsinogen II (p = 0.02), basal gastrin-17 (p < 0.01), and IgG antibodies for H. pylori (p = 0.02) with a norm of <30 EIU compared with patients in the comparison group. Based on histological examinations, the atrophy of the GMM in the patients with AGB and AAH was significantly (p < 0.01) more pronounced than in the comparison group.
The gas chromatography–mass spectrometry analysis of gastric secretion samples showed that among all groups, the average amoxicillin concentration in patients with AAG (p < 0.01) was the lowest (mean value: 1.8 μg/ml). Additionally, the amoxicillin concentration in patients with AGB was also lower (mean value: 17.3 μg/ml) than in patients of the comparison group (mean value: 30.4 μg/ml) (p < 0.05).
Analysis of the dynamics of the amoxicillin concentration in gastric secretion samples showed that the concentration of the antibiotic in the gastric contents 30 and 60 min after taking the drug in patients with AGB was significantly lower (p = 0.02) than in patients of the comparison group, but became significantly (p < 0.01) higher after 240 min (Fig. 6). In patients with AAG, the amoxicillin concentration in the samples after 30, 60, and 120 min after administration was significantly (p < 0.01) lower than in patients without atrophy. It was also significantly lower 120 min (p < 0.01), 180 min (p = 0.02), and 240 min (p < 0.01) after administration than in patients with AGB. For patients with AGB, against the background of significantly lower (compared with the values in the comparison group) concentrations of the antibiotic in the gastric secretion in the first 2 h of the study, an increase in its concentration was characteristic 3 and 4 h after taking the drug.
Fig. 6. Amoxicillin mean concentration in gastric secretion samples in patients of different groups in different time points. ABG — atrophic body gastritis, AAG — atrophic antral gastritis / Рис. 6. Средняя концентрация амоксициллина в пробах желудочного секрета у пациентов разных групп в разных временных точках. АГТ — атрофический гастрит тела желудка; ААГ — атрофический антральный гастрит
Moreover, we observed the maximum amoxicillin concentration in gastric secretions in patients with GMM atrophy at the 180th minute of aspiration, and that in the comparison group from the 30th to 120th minute of aspiration.
The decrease in the amoxicillin concentration in the gastric secretion in patients in the AGB and AAG groups is probably due to a decrease in its transport from the bloodstream to the gastric cavity, which accompanies the atrophy of the GMM. Meanwhile, the detection of amoxicillin in gastric secretions within 30 min after oral administration is most likely due to the rapid transit of the drug through the stomach in unchanged form, absorption in the intestine, and transport into the gastric cavity from the blood. We assumed that gastric evacuation could be delayed in some patients because the destruction of the capsule occurred in the stomach, so we excluded three patients from the study because of extremely high concentrations of amoxicillin recorded at the 30th minute of aspiration (exceeding 100–1000 times the values in the majority). Additionally, changes in the amoxicillin concentration in gastric secretions associated with impaired motility of the gastroduodenal zone and duodenogastric reflux in some patients were also possible. However, we found no studies devoted to this problem.
CONCLUSION
Based on our results, the following conclusions can be drawn.
- Despite atrophic processes, acute erosive changes in the cutting fluid improves the transport of amoxicillin into the lumen of the stomach of rats, which is important for patients with erosive gastritis during pylori eradication therapy.
- Atrophy in the antrum causes lower efficiency of amoxicillin transport from the systemic circulation to the gastric cavity when the drug is taken orally, compared with atrophy in the stomach body.
- When predicting the effectiveness of pylori eradication therapy in patients with chronic gastritis, the presence of GMM atrophy should be taken into account.
ADDITIONAL INFORMATION
Conflict of interest. The authors declare no conflicts of interest.
Funding. This work was partially supported by the Program of Fundamental Scientific Research of State Academies for 2014–2020. (GP-14, section 64).
1 In the pictures 1–4 histology slides stained with hematoxylin and eosin with alcian blue additional staining, ×200 magnification.
2 На рис. 1–4 окраска гематоксилином и эозином с докрашиванием альциановым синим, ×200.
About the authors
Anastasiya O. Sablina
Nikiforov Russian Center of Emergency and Radiation Medicine
Author for correspondence.
Email: a.o.sablina@mail.ru
ORCID iD: 0000-0002-0337-453X
SPIN-code: 1044-8392
Scopus Author ID: 57216203494
MD, PhD student
Russian Federation, 4/2 Academica Lebedeva str., Saint Petersburg, 194044Oleg A. Sablin
Nikiforov Russian Center of Emergency and Radiation Medicine
Email: gastroleg@yandex.ru
ORCID iD: 0000-0002-2597-1220
SPIN-code: 5446-2329
Scopus Author ID: 6508192177
ResearcherId: U-1854-2017
MD, Dr. Sci. (Med.), Professor
Russian Federation, 4/2 Academica Lebedeva str., Saint Petersburg, 194044Julia V. Andreeva
Pavlov Institute of Physiology
Email: jandreeva@mail.ru
ORCID iD: 0000-0002-7360-9306
SPIN-code: 5122-4026
Scopus Author ID: 42960935800
ResearcherId: AAO-9573-2021
Cand. Sci. (Biol.)
Russian Federation, Saint PetersburgGennadii G. Rodionov
Nikiforov Russian Center of Emergency and Radiation Medicine
Email: rodgengeor@yandex.ru
ORCID iD: 0000-0001-6237-7848
SPIN-code: 6471-3933
Scopus Author ID: 57220177362
ResearcherId: AAQ-5773-2021
MD, Dr. Sci. (Med.), Assistant Professor
Russian Federation, 4/2 Academica Lebedeva str., Saint Petersburg, 194044I. I. Shantyr
Nikiforov Russian Center of Emergency and Radiation Medicine
Email: shantyr@arcerm.spb.ru
ORCID iD: 0000-0003-1840-5770
SPIN-code: 8038-2999
Scopus Author ID: 57216182544
MD, Dr. Sci. (Med.), Professor
Russian Federation, 4/2 Academica Lebedeva str., Saint Petersburg, 194044Inna E. Ushal
Nikiforov Russian Center of Emergency and Radiation Medicine
Email: innaushal@mail.ru
ORCID iD: 0000-0001-5857-3627
SPIN-code: 4726-8832
Scopus Author ID: 23111545700
Cand. Sci. (Biol.)
Russian Federation, 4/2 Academica Lebedeva str., Saint Petersburg, 194044Igor A. Samusenko
Nikiforov Russian Center of Emergency and Radiation Medicine
Email: egors_2000@mail.ru
ORCID iD: 0000-0003-0622-3515
SPIN-code: 6669-5602
Scopus Author ID: 14020322000
Cand. Sci. (Med.)
Russian Federation, 4/2 Academica Lebedeva str., Saint Petersburg, 194044References
- Goddard AF. Review article: factors influencing antibiotic transfer across the gastric mucosa. Aliment Pharmacol Ther. 1998;12(12):1175–1184. doi: 10.1046/j.1365-2036.1998.00425.x
- Zheng H-L, Hu Y-M, Bao J-J, Ju H-M. Transfer and distribution of amoxicillin in the rat gastric mucosa and gastric juice and the effects of rabeprazole. Acta Pharmacol Sin. 2010;31(4):501–508. doi: 10.1038/aps.2009.191
- Shore PA, Brodie BB, Hogben CAM. The gastric secretion of drugs: a pH partititon hypothesis. J Pharmacol Exp Ther. 1957;119(3):361–369.
- Kurumado K, Yamakawa T, Ohara T. Changes in arterioles of the human gastric mucosa with atrophic gastritis. Hepatogastroenterology. 1990;37(2):235–238.
- Denisov NL, Ivashkin VT, Lobzin JuV, Golofeevskij VJu. Efficacy of Helicobacter pylori eradication in relation to the level of secretory immunoglobulin A production and morphological changes of the stomach mucosa. Russian Journal of Gastroenterology, Hepatology, Coloproctology. 2007;17(3):40–46. (In Russ.)
- Noguchi T, Umegaki E, Shimamoto C, Katsu K-I. Effect of long-term administration of ammonia water on rat gastric mucosa – combined effect of gastric mucosal protective agents. Bulletin of the Osaka Medical College. 2007;53(1):69–78.
- Dixon MF, Genta RM, Yardley JH, Correa P. Classification and grading of gastritis. The updated Sydney System. International Workshop on the Histopathology of Gastritis Houston 1994. Am J Surg Pathol. 1996;20(10):1161–1181. doi: 10.1097/00000478-199610000-00001
- Erah PO, Goddard AF, Barrett DA, et al. The stability of amoxicillin, clarithromycin and metronidazole in gastric juice: relevance to the treatment of Helicobacter Pylori infection. J Antimicrob Chemother. 1997;39(1):5–12. doi: 10.1093/jac/39.1.5
- Benini L, Castellani G, Bardelli E, et al. Omeprazole causes delay in gastric emptying of digestible meals. Dig Dis Sci. 1996;41(3):469–474. doi: 10.1007/BF02282320
- Peterson WL. The role of antisecretory drugs in the treatment of Helicobacter pylori infection. Aliment Pharmacol Ther. 1997;11 Suppl 1: 21–25. doi: 10.1046/j.1365-2036.11.s1.4.x
- Goddard AF, Jessa MJ, Barrett DA, et al. Effect of omeprazole on the distribution of metronidazole, amoxicillin and clarithromycin in human gastric juice. Gastroenterology. 1996;111(2):358–367. doi: 10.1053/gast.1996.v111.pm8690200
- Calafatti AS, don Santos A, da Saliva CM, et al. Transfer of metronidazole to gastric juice: impact of Helicobacter pylori infection and omeprazole. Scand J Gastroenterol. 2000;35(7):699–704. doi: 10.1080/003655200750023354
- Pedrazzoli JJ, Calafatti SA, Ortiz RA, et al. Transfer of clarithromycin to gastric juice is enhanced by omeprazole in Helicobacter pylori-infected individuals. Scand J Gastroenterol. 2001;36(12):1248–1253. doi: 10.1080/003655201317097074
- Ortiz RAM, Calafatti SA, Corazzi A, et al. Amoxicillin and ampicillin are not transferred to gastric juice irrespective of Helicobacter pylori status or acid blockade by omeprazole. Aliment Pharmacol Ther. 2002;16(6):1163–1170. doi: 10.1046/j.1365-2036.2002.01262.x
Supplementary files









