Impact of a new coronavirus infection on the clinical course of immunoinflammatory rheumatic diseases
- Authors: Mazurov V.I.1,2, Belyaeva I.B.1,2, Sarantseva L.E.1,2, Chudinov A.L.2, Bashkinov R.A.1,2, Trofimov E.A.1, Smulskaya O.A.2, Inamova O.V.1,2, Petrova M.S.1,2, Melnikov E.S.1,2
-
Affiliations:
- North-West State Medical University named after I.I. Mechnikov
- Clinical Rheumatology Hospital No. 25
- Issue: Vol 13, No 2 (2021)
- Pages: 39-47
- Section: Original study article
- Submitted: 01.07.2021
- Accepted: 02.07.2021
- Published: 30.08.2021
- URL: https://journals.eco-vector.com/vszgmu/article/view/72269
- DOI: https://doi.org/10.17816/mechnikov72269
- ID: 72269
Cite item
Abstract
BACKGROUND: The COVID-19 pandemic poses a particular threat to patients suffering from immunoinflammatory rheumatic diseases. New coronavirus infection has been found to be accompanied by the development of a wide range of extrapulmonary clinical and laboratory manifestations, which are characteristic of a number of immunoinflammatory rheumatic diseases.
AIM: To evaluate the features of the clinical course of immunoinflammatory rheumatic diseases in patients who underwent new coronavirus infection.
MATERIALS AND METHODS: The clinical course of immunoinflammatory rheumatic diseases was analyzed in 324 patients who underwent new coronavirus infection from March 2020 to February 2021 and were treated at the Clinical Rheumatology Hospital No. 25, Saint Petersburg, for exacerbation of the underlying disease.
RESULTS: Analysis showed that the risk factors for severe new coronavirus infection in patients with immunoinflammatory rheumatic diseases were: age over 60, comorbidities, use of prednisolone in a dose greater than 12,5 mg, and ESR values ≥40 mm/hour before the development of new coronavirus infection. There was no effect of immunosuppressive and biological therapy on the severity of the course of viral infection. There was no effect of immunosuppressive therapy and biological therapy on the severity of the course of viral infection in patients with immunoinflammatory rheumatic diseases. The development of the postinfectious syndrome was observed in 1/4 of patients, which was characterized by the formation of postinfectious arthritis in 3,6% of patients, transformation of undifferentiated arthritis into various rheumatic diseases in 49% of patients (more often into early rheumatoid arthritis), as well as exacerbation of the underlying disease in 83,4% of patients with an advanced stage of rheumatoid arthritis. In patients with mixed connective tissue disease, there was a significant increase in immunologic activity due to antinuclear factor (up to a maximum of 1:163 840). Clinical cases of the development of arthritis associated with viral infection and the debut of rheumatoid arthritis after an new coronavirus infection are presented.
CONCLUSIONS: New coronavirus infection in the cohort of patients with immunoinflammatory rheumatic diseases observed in the Clinical Rheumatology Hospital No. 25, Saint Petersburg, proceeded in the variant of medium severity in half of patients, initiated the development of lung lesions in 68,6% of patients, arthritis associated with viral infection in 3,6% of patients, immunoinflammatory rheumatic diseases which transformed from undifferentiated arthritis in 49% of cases and exacerbation of the main disease in an overwhelming number of patients. Patients with immunoinflammatory rheumatic diseases have a high risk of adverse outcome of new coronavirus infection, especially in cases of unstable course of the disease or exacerbation of this group of diseases.
Full Text
BACKGROUND
Currently, the novel coronavirus infection (NCI) pandemic poses a particular danger to patients suffering from immunoinflammatory rheumatic diseases (IIRD). Patients with IIRD have an increased incidence of infectious complications due to both secondary immunodeficiency, increased disease activities, and the use of antirheumatic drugs with an immunosuppressive effect [1–4]. The NCI course is often accompanied by the development of arthralgia, myalgia, vasculitis, pneumonitis, myocarditis, antiphospholipid syndrome, and laboratory disorders such as cytopenia, increased levels of acute-phase proteins, ferritin, D-dimer, pro-inflammatory cytokines, antibodies to phospholipids, and antinuclear antibodies. These clinical and laboratory changes are specific for several IIRD [5–12].
At present, the risk of developing NCI in patients with IIRD is similar to the population risk, although it depends on the presence of factors, such as old age, obesity, diabetes mellitus, cardiovascular diseases, etc. immunosuppressive therapy, and high doses of glucocorticoids, with a longer period of viral replication, which requires dynamic monitoring of severe acute respiratory syndrome coronavirus 2 (SARS-CoV-2) viremia level and correction of antirheumatic therapy [4].
The problem of post-COVID syndrome development, which includes signs or abnormal clinical syndromes that persist for 4 weeks or more after coronavirus disease-2019 (COVID-19) onset, are considered as long-term sequellae of NCI in resolved IIRD [11]. Currently, further study about the risk factors for the severe course of NCI in IIRD is necessary.
One of the urgent problems of clinical medicine is undifferentiated arthritis (UDA), which develops together with or after NCI. UDA is considered both within the framework of post-infectious arthritis, which has a short-term nature that is effectively treated with non-steroidal anti-inflammatory drugs (NSAIDs) or short courses of glucocorticoids in low doses and as the first manifestation of one of the IIRDs [13]. A deeper study of UDA issues will allow developing reasonable criteria for its prognosis and treatment.
This study aimed to assess the features of the IIRD clinical course in patients with NCI.
MATERIALS AND METHODS
This study included 324 patients with various IIRD who had NCI of varying severity (asymptomatic course: 49 [15.1%] patients, mild: 136 [41.9%], moderate: 128 [39.5%], severe: 11 [3.39%]) from March 2020 to February 2021, who were treated at the St. Petersburg State Budgetary Healthcare Institution Clinical Rheumatological Hospital No. 25 for underlying disease exacerbation. This cohort included 244 patients with joint and spinal diseases (rheumatoid arthritis [RA] [n = 101], UDA [n = 94], spondyloarthritis [n = 18], psoriatic arthritis [n = 21], adult Still disease [n = 1], gout [n = 7], osteoporosis [n = 2], osteoarthritis [n = 14], degenerative-dystrophic diseases of the spine [n = 2], arthralgia [n = 2]) and 80 patients with systemic diseases of the connective tissue (systemic lupus erythematosus [n = 16], systemic scleroderma [n = 10], Sjogren’s disease [n = 8], systemic vasculitis [n = 12], polymyositis [n = 1], unspecified systemic connective tissue disease (SCTD) [n = 14], and chronic rheumatic heart disease [n = 1]).
The average age of patients was 57.3 ± 13.5 years, wherein 76.8% are women (n = 249) and 23.2% are men (n = 75). The largest group of patients with IIRD who had NCI was aged of 60–88 years (n = 128; 39.5%) and 40–59 years (n = 99; 30.5%). Patients aged 18–39 years were significantly less common (n = 97; 29.9%).
Of the total group of patients with rheumatological problems included in the study, 149 (46%) patients were diagnosed with interstitial pneumonia of varying severity. Thus, the lung lesion stage according to multispiral computed tomography (MSCT) CT-1 (with lesions of ≤25% of the lung parenchyma) was diagnosed in 60 (40%) patients, CT-2 (with lesions from ≥25 to <50% of the lung parenchyma) in 70 (47%), CT-3 (with a lesion of ≥50 to <75% of the lung parenchyma) in 15 (10%), and CT-4 (with a lesion of ≥75% of the lung parenchyma) in 4 patients (3%). Hospitalization in specialized departments of hospitals was required in 43.5% of cases.
Fatal outcome during the NCI period was recorded in three patients (0.96%); causes included sepsis (in a patient with systemic lupus erythematosus at the 26th week of pregnancy) and respiratory distress syndrome (in one patient with eosinophilic granulomatosis with polyangiitis and the second one with systemic scleroderma).
The most frequent diagnoses were hypertension (43.5% of patients), coronary heart disease (CHD) (26.9% of patients), dyslipidemia (27.5% of patients), type 2 diabetes mellitus (15.4% of patients), metabolic syndrome (12.7% of patients), and chronic heart failure (12% of those examined) among the comorbid diseases in patients from both groups. Chronic kidney disease (9.6% of patients), bronchial asthma (3.1% of patients), and chronic obstructive pulmonary disease (1.5% of patients) were significantly less common.
The most frequent combinations of comorbid diseases in this cohort of patients were CHD and essential hypertension (23.8%; n = 77); CHD and dyslipidemia (12.7%; n = 41); CHD, essential hypertension, and dyslipidemia (11.7%; n = 38); and CHD, essential hypertension, and type 2 diabetes mellitus (9%; n = 29). Moreover, >50% of patients in each polymorbid group had moderate COVID-19.
Before NCI, 168 (52%) patients received background therapy: methotrexate in 70 (41.7%), sulfasalazine in 32 (19.1%), leflunomide in 10 (5.9%), mycophenolate mofetil in 2 (1.2%), hydroxychloroquine in 23 (13.7%), azathioprine in 2 (1.2%), cyclophosphamide in 3 (1.9%), and chlorambucil in 6 (3.6%) patients. Glucocorticoids were prescribed to 68 (40.5%) patients at an average dose of 10.2 ± 11.1 mg per day according to prednisolone. Before NCI, 21 (12.5%) patients received biological disease-modifying antirheumatic drugs and synthetic targeted drugs: abatacept in 7, adalimumab in 4; rituximab in 2, infliximab in 2, secukinumab in 2, iksekizumab in 1, tocilizumab in 1, sarilumab in 1, and upadacitinib in 1 patient. NSAIDs were prescribed according to indications in 55 (17%) patients.
The material for statistical processing (Microsoft Excel, SPSS for Windows 22.0) includes data of outpatient records, case histories, and results of clinical and laboratory examinations with the calculation of the IIRD activity indices before and after the NCI. The Kolmogorov-Smirnov test or Shapiro–Wilk test was used depending on the number of observations to check the correspondence of the characteristic distribution to the normal one. The mean value of the trait and standard deviation of the mean (M ± m) were used to describe the quantitative traits with a normal distribution. In a comparative analysis of two groups with a normal distribution of a quantitative trait, the Student’s t-test was determined for independent groups and the Mann–Whitney U-test for two groups with an abnormal distribution. Significant differences in quantitative traits in related samples were assessed using the Wilcoxon test. Risk factors for certain outcomes were identified using the contingency tables (relative risk). Differences were considered statistically significant at the level of reliability p < 0.05.
RESULTS
At the first stage of the study, the risk factors for the COVID-19 severe course in patients with IIRD were assessed. No significant differences were found like the NCI course in patients with inflammatory diseases of the joints and SCTD. However, age over 60 years, presence of comorbid diseases (CHD, chronic heart failure, and chronic obstructive pulmonary disease), level of erythrocyte sedimentation rate (ESR) of ≥40 mm/h, and use of prednisolone at a dose of ≥12.5 mg per day was established as risk factors for a severe course of COVID-19 in IIRD using multivariate analysis (Table 1, Fig. 1).
Table 1. Risk factors for severe coronavirus infection (n = 324) / Таблица 1. Факторы риска тяжелого течения коронавирусной инфекции (n = 324)
Risk factor | Relative risk | 95% confidence interval | p-value |
Age over 60 years old | 1.33 | 1.03–1.74 | 0.038 |
Erythrocyte sedimentation rate ≥40 mm/h before the onset of coronavirus infection | 1.82 | 1.11–2.97 | 0.047 |
Premorbid background | |||
Coronary heart disease | 1.61 | 1.25–2.06 | <0.001 |
Chronic heart disease | 1.71 | 1.31–2.23 | 0.001 |
Chronic obstructive pulmonary disease | 2.02 | 1.25–3.03 | 0.024 |
Fig. 1. Effect of glucocorticoid therapy on COVID-19 severity in immunoinflammatory rheumatic diseases (n = 324) / Рис. 1. Влияние терапии глюкокортикоидами на степень тяжести COVID-19 при иммуновоспалительных ревматических заболеваниях (n = 324)
The analysis showed that background therapy before the development of COVID-19 did not significantly affect the NCI severity (Fig. 2).
Fig. 2. COVID-19 severity in patients with immunoinflammatory rheumatic diseases depending on the use of baseline therapy before COVID-19 / Рис. 2. Степень тяжести COVID-19 у пациентов с иммуновоспалительными ревматическими заболеваниями в зависимости от применения базисной терапии до COVID-19
Patients receiving biological disease-modifying drugs and targeted drugs (upadacitinib) before NCI should tolerate it in a mild form; COVID-19 of moderate severity and severe course in this group of patients was significantly less common (p = 0.047) (Fig. 3). Nevertheless, correlations were not found between the likelihood of developing a severe course of NCI and such risk factors as body mass index and RA activity (except for the ESR level).
Fig. 3. Distribution by severity of new coronavirus infection in patients with rheumatic pathology who received biological therapy / Рис. 3. Распределение по степеням тяжести новой коронавирусной инфекции у пациентов с ревматической патологией, получавших генно-инженерные биологические препараты. ГИБТ — генно-инженерная биологическая терапия
At the second stage, the course of IIRD was assessed in the post-COVID-19 period, which revealed that 84 (25.9%) patients after NCI complained of weakness, shortness of breath, arthralgia, myalgia, weight loss, memory loss, and depression. In the early stages (from 1 to 2 months) after infection, an exacerbation of the underlying disease was experienced, which in most cases (72%) required hospital treatment in a rheumatic hospital. Among patients with the post-COVID-19 syndrome, 3 (3.6%) developed arthritis associated with a viral infection. A rapid reverse dynamics of the articular syndrome was observed due to NSAID use.
Presented herein is a clinical case of patient H., 48 years old, who attended the clinic in March 2021 due to severe pain syndrome (pain assessment according to the visual analog scale of 7–8 points) in the area of small joints of the left hand. The onset of the articular syndrome developed 5 weeks after NCI of moderate severity: fever up to 38.9°C, shortness of breath during physical activity, changes in MSCT, typical viral lesions (CT-2), SpO2 of <95%, and blood serum level of C-reactive protein (CRP) of 32 mg/l. Antibacterial and detoxification therapy was carried out, and glucocorticoids were prescribed as well as anticoagulant drugs. The articular syndrome was characterized by interphalangeal arthritis of the III–IV fingers of the left hand and dactylitis of the IV finger of the left hand.
The laboratory examination revealed an increased level of CRP up to 14 mg/l and increased ESR up to 32 mm/h (according to Panchenkov). No changes were found in the hemogram. Specific immunological tests: rheumatoid factor, antibodies to a cyclic citrullinated peptide (ACCP), antinuclear antibodies, and HLA-B27 were negative. The joint ultrasound examination revealed elements of synovitis, as well as tenosynovitis; without signs of osteodestruction. Bacteriological and virological (including the method of polymerase chain reaction (PCR) in the synovial fluid to determine SARS-CoV-2), the examination did not give positive results. Arthritis associated with NCI was verified based on obtained data, as well as the chronological relationship with a viral infection. On Day 4, the pain syndrome significantly decreased according to the visual analog scale of 1–2 points due to NSAID therapy (aceclofenac at 100 mg 2 times a day, morning and evening). On Day 14 of anti-inflammatory therapy, complete regression of all arthritis manifestations was recorded. During the same period, laboratory control revealed normal CRP and ESR levels.
Thus, the articular syndrome was characterized by a favorable course (the clinical effect was quickly achieved with the use of aceclofenac) as well as the absence of chronic inflammation.
Among 94 patients with UDA, 76 (80.1%) had an average severity of the course of NCI. The duration of the period from NCI onset to the articular syndrome manifestation ranged from 2 to 6 months. During hospitalization, 46 (49%) patients were diagnosed with various rheumatic diseases. Thus, RA was diagnosed in 19 (40.4%) patients, spondyloarthritis in 2 (4.3%), Sjogren’s disease in 2 (4.1%), psoriatic arthritis in 9 (19.1%), osteoarthritis in 5 (10.6%), systemic lupus erythematosus in 1 (2.1%), unspecified SCTD in 4 (8.5%), and gout in 4 (8.5%) patients. The diagnosis of UDA was preserved in 48 (51%) patients. High antinuclear factor values in 10 patients with UDA (from 1:320 to 1:2560) attracted attention. The highest antinuclear factor values were observed in patients with UDA transformation into Sjogren’s disease (1:1280), with systemic lupus erythematosus (1:2560), unspecified SCTD (1:640), and RA (1:640 and 1:1280). In the group of patients with UDA and osteoarthritis, the antinuclear factor values were lower, accounting for 1:320 and 1:640, respectively. Criterion diagnoses verification in patients with UDA that developed after COVID-19, in whom antinuclear factor titers were elevated, is presented in Table 2.
Table 2. Criterion diagnoses verification in patients with undifferentiated arthritis and positive antinuclear factor developed after COVID-19 / Таблица 2. Верификация критериальных диагнозов у пациентов с недифференцированным артритом, развившимся после COVID-19, и позитивным антинуклеарным фактором
Parameter | Number of patients |
UDA with identified ANF, n (%) | 10 (26.3) |
Sjogren’s disease, n (%) | 3 (5.2) |
Systemic lupus erythematosus, n (%) | 1 (2.6) |
SCTD not otherwise specified, n (%) | 1 (2.6) |
Rheumatoid arthritis, n (%) | 2 (5.2) |
UDA, n (%) | 2 (5.2) |
Osteoarthritis, n (%) | 1 (2.6) |
Note. UDA: undifferentiated arthritis; ANF: antinuclear factor; SCTD: systemic connective tissue disease.
Thus, patients with UDA who had NCI and high levels of antinuclear factor develop IIRD, and therefore dynamic monitoring is necessary for timely disease diagnosis and adequate treatment. UDA that arose after COVID-19 belongs to the group of arthritis associated with infection, which usually does not transform into IIRD and disappear within 2–3 months due to NSAID treatments.
In the natural course assessment of coronavirus infection in the group of patients with RA (n = 101), asymptomatic NCI was noted in 21% of cases, and mild, moderate, and severe were identified in 15.8, 57.9, and 5.3% of cases, respectively. Articular syndrome exacerbation occurred in 84 (83.4%) patients with RA, who had NCI. Thus, a high degree of disease activity was found in 38 (38.3%) patients with RA at the time of hospitalization or outpatient admission (DAS28 ≥ 5.1). The average degree of RA activity (DAS28 ≥ 3.2) was recorded in 42 (41.9%) patients, and low activity was detected much less frequently in 19 (19.6%) patients. On average, the laboratory activity of RA increased 3 ± 1.2 months after NCI: the mean values of CRP increased (26.08 ± 0.92 to 31.28 ± 6.34 mg/l) and rheumatoid factor (29.5 ± 10.12 to 50.1 ± 11.64 U/ml) was relative to the original. A 58-year-old patient with a long history of erosive RA (26 years) had a maximum rheumatoid factor of 746 U/ml (baseline data not provided).
Clinical and immunological examination results of patients with SCTD after NCI revealed the progression of parameters of clinical activity and a significant increase in the level of an antinuclear factor in patients with Sjogren’s disease (up to a maximum of 1:163 840), systemic lupus erythematosus (maximum 1:40 960), and systemic scleroderma (maximum up to 1:5280).
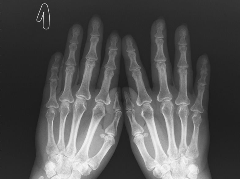
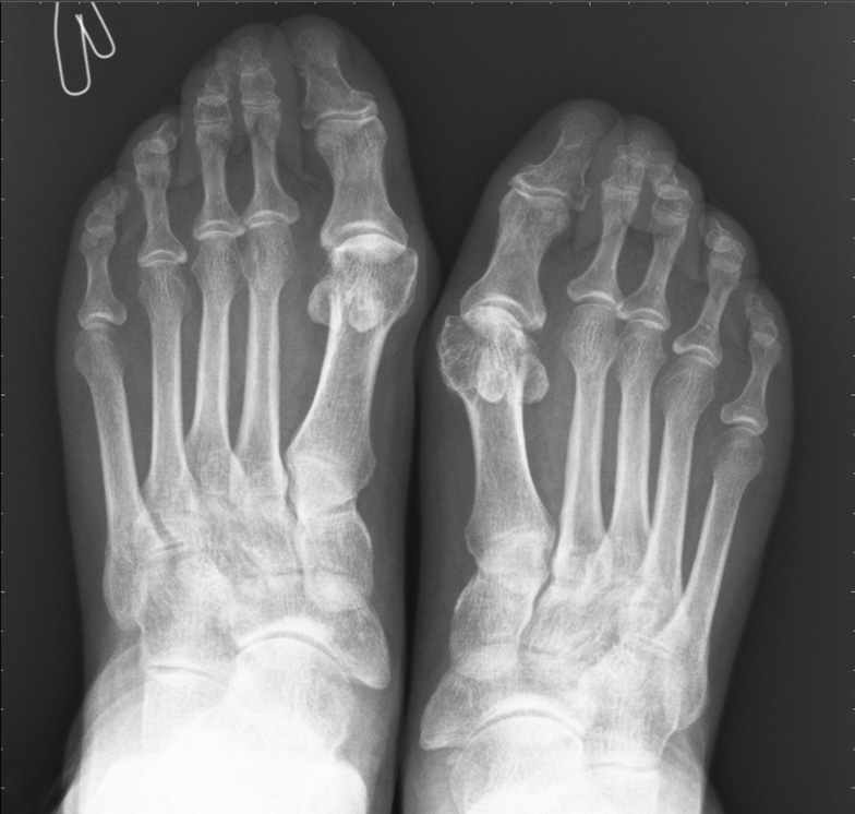
A clinical case of the onset of RA in a patient who underwent NCI was presented. Patient O., 60 years old, had NCI (confirmed by the PCR method) of moderate severity in October 2020, complicated by bilateral interstitial polysegmental pneumonia (respiratory failure of I–0 degrees). In November 2020, pains and swelling appeared in the left knee joint, followed by pains of an inflammatory nature in the right knee joint, wrist joints, and interphalangeal joints of the hands. Morning stiffness in the joints did not arrest for >30 min. She received Cartiflex at 1 sachet for 1 month and used ointments with NSAIDs without significant effect. According to laboratory data, an increased ESR up to 28 mm/h was noted. The patient was referred for hospitalization to clarify the diagnosis and treatment at the end of January 2021. Hospital: examination revealed symmetrical synovitis of the wrist joints, interphalangeal joints of the hands, left knee joint, and positive compression symptoms of the hands and feet. Pain syndrome on a visual analog scale was 8 points. The laboratory test revealed an increased level of CRP up to 12.3 mg/l, rheumatoid factor up to 89.9 IU/ml, and antibodies to ACCP over 200 IU/ml. Initial manifestations of arthritis are observed according to the X-ray data of the hands and feet (Fig. 4, 5).
Fig. 4. X-ray of the hands of patient O., age 60 / Рис. 4. Рентгенография кистей пациентки О., 60 лет
Fig. 5. X-ray of the feet of patient O., 60 years old / Рис. 5. Рентгенография стоп пациентки О., 60 лет
Periarticular soft tissues, mainly in the area of the interphalangeal joints of both hands, are indurated and expanded. Moderate periarticular osteoporosis was noted. Joint spaces are narrowed in all joint groups. The joint spaces of the distal interphalangeal joints of both hands are sharply narrowed, without subluxations. Single cyst-like lucencies are found in the interphalangeal joints, metacarpophalangeal joints, and small joints of the wrist, without convincing data for erosion (see Fig. 4).
The joint spaces in the interphalangeal joints and metatarsophalangeal joints of both feet are moderately narrowed, with moderate periarticular osteoporosis. Subluxations were not identified. A single cyst-like lucency was found in the metatarsophalangeal joints. Hallux valgus of the first toes of both feet, without erosion data (see Fig. 5).
Based on the approved clinical guidelines of RA by the Ministry of Health of the Russian Federation in 2018 and the International Classification of Diseases, revision 10, the diagnosis was verified as seropositive RA, early clinical stage, activity Degree II (DAS28: 3.64), non-erosive, X-ray stage I according to Steinbrocker, AB-CCP positive, and with a functional class of joint insufficiency 2.
The background therapy was prescribed to the patient as follows: methotrexate at 15 mg intramuscularly once a week, folic acid at 5 mg per os daily, and celecoxib at 100 mg 2 times a day for joint pain. Dynamic follow-up by a rheumatologist is recommended.
This case demonstrates that an inflammatory articular syndrome develops after NCI, and dynamic follow-up and in-depth examination are required to exclude the onset of RA or another rheumatological disease.
CONCLUSION
Thus, results of dynamic follow-up of patients with IIRD observed at the St. Petersburg State Budgetary Healthcare Institution Clinical Rheumatological Hospital No. 25 were evident that NCI proceeded in a variant of moderate severity in 50% of patients and initiated the development of pneumonic complications in 68.6%. A high incidence of comorbid diseases (39%) prevailed, the most significant of which were CHD, essential hypertension, dyslipidemia, and type 2 diabetes mellitus in the study cohort of patients with RA (39.7%) in the middle and older age groups (84.8%). Risk factors for severe NCI in IIRD should be considered in age over 60 years, comorbid diseases (CHD, chronic heart failure, and chronic obstructive pulmonary disease), use of glucocorticoids at >12.5 mg per day, and ESR values of ≥40 mm/h before NCI development. Background therapy, as well as treatment with biological disease-modifying anthirheumatic drugs and targeted synthetic drugs, did not increase the course severity of the viral infection in these patients.
Clinical course features of IIRD after NCI included the formation of arthritis associated with viral infection in 3.6% of patients, whereas a rapid reverse dynamics of the articular syndrome was observed due to NSAID usage; transformation of UDA into any rheumatic diseases in 49% of patients (most often in early RA), as well as an increased RA activity in 83.4% of patients and SCTD. In patients with interstitial lung lesions in rheumatic diseases, the risk of an unfavorable outcome of NCI increases, especially in the case of a progressive course of the disease and severe immunosuppression, with which dynamic follow-up with the intensification of treatment is necessary.
Study results indicate the need to study the effect of NCI on the course and outcomes of immunoinflammatory diseases including UDA and rheumatic disease formation features in patients without previous rheumatological pathology. The solution to these issues will develop substantiated algorithms for the patient management of this group.
Conflict of interest. The authors declare no conflict of interest.
About the authors
Vadim I. Mazurov
North-West State Medical University named after I.I. Mechnikov; Clinical Rheumatology Hospital No. 25
Email: maz.nwgmu@yandex.ru
ORCID iD: 0000-0002-0797-2051
SPIN-code: 6823-5482
Scopus Author ID: 16936315400
ResearcherId: A-8944-2016
MD, Dr. Sci. (Med.), Professor, Honoured Science Worker, Academician of the RAS
Russian Federation, 41 Kirochnaya str., Saint Petersburg, 191015; Saint PetersburgIrina B. Belyaeva
North-West State Medical University named after I.I. Mechnikov; Clinical Rheumatology Hospital No. 25
Author for correspondence.
Email: belib@mail.ru
ORCID iD: 0000-0002-7981-6349
SPIN-code: 3136-9062
MD, Dr. Sci. (Med.), Professor
Russian Federation, 41 Kirochnaya str., Saint Petersburg, 191015; Saint PetersburgLubov E. Sarantseva
North-West State Medical University named after I.I. Mechnikov; Clinical Rheumatology Hospital No. 25
Email: dr.liubovs@gmail.com
Russian Federation, 41 Kirochnaya str., Saint Petersburg, 191015; Saint Petersburg
Anton L. Chudinov
Clinical Rheumatology Hospital No. 25
Email: anton-chudinov@mail.ru
ORCID iD: 0000-0002-7675-5683
SPIN-code: 5771-8320
MD, Cand. Sci. (Med.)
Russian Federation, Saint PetersburgRoman A. Bashkinov
North-West State Medical University named after I.I. Mechnikov; Clinical Rheumatology Hospital No. 25
Email: bashkinov-roman@mail.ru
ORCID iD: 0000-0001-9344-1304
SPIN-code: 5169-5066
MD, PhD student
Russian Federation, 41 Kirochnaya str., Saint Petersburg, 191015; Saint PetersburgEvgeni A. Trofimov
North-West State Medical University named after I.I. Mechnikov
Email: evgeniy.trofimov@szgmu.ru
SPIN-code: 4358-1663
MD, Cand. Sci. (Med.), Assistant Professor
Russian Federation, 41 Kirochnaya str., Saint Petersburg, 191015Olga A. Smulskaya
Clinical Rheumatology Hospital No. 25
Email: olgasmul@yandex.ru
MD, Cand. Sci. (Med.)
Russian Federation, Saint PetersburgOksana V. Inamova
North-West State Medical University named after I.I. Mechnikov; Clinical Rheumatology Hospital No. 25
Email: b25@zdrav.spb.ru
ORCID iD: 0000-0001-9126-3639
SPIN-code: 8841-5496
MD, Cand. Sci. (Med.)
Russian Federation, 41 Kirochnaya str., Saint Petersburg, 191015; Saint PetersburgMarianna S. Petrova
North-West State Medical University named after I.I. Mechnikov; Clinical Rheumatology Hospital No. 25
Email: podagra@bk.ru
ORCID iD: 0000-0001-5261-6614
MD, Cand. Sci. (Med.), Assistant Professor
Russian Federation, 41 Kirochnaya str., Saint Petersburg, 191015; Saint-PetersburgEvgeni S. Melnikov
North-West State Medical University named after I.I. Mechnikov; Clinical Rheumatology Hospital No. 25
Email: melnikovzhenya@mail.ru
ORCID iD: 0000-0002-8521-6542
MD, PhD student
Russian Federation, 41 Kirochnaya str., Saint Petersburg, 191015; Saint-PetersburgReferences
- Nasonov EL. Coronavirus disease 2019 (COVID-19): A rheumatologist’s thoughts. Rheumatology Science and Practice. 2020;58(2): 123–132. (In Russ.). doi: 10.14412/1995-4484-2020-123-132
- Halpert G, Shoenfeld Y. SARS-CoV-2, the autoimmune virus. Autoimmun Rev. 2020;19(12):102695. doi: 10.1016/j.autrev.2020.102695
- Remy KE, Mazer M, Striker DA, et al. Severe immunosuppression and not a cytokine storm characterizes COVID-19 infections. JCI Insight. 2020;5(17):e140329. doi: 10.1172/jci.insight.140329
- Nasonov EL. Coronavirus disease 2019 (COVID-19) and autoimmunity. Rheumatology Science and Practice. 2021;59(1):5–30. (In Russ.). doi: 10.47360/1995-4484-2021-5-30
- Song WC, FitzGerald GA. COVID-19, microangiopathy, hemostatic activation, and complement. J Clin Invest. 2020;130(8):3950–3953. doi: 10.1172/JCI140183
- Nasonov EL, Beketova TV, Reshetnyak TM, et al. Coronavirus disease 2019 (COVID-19) and immune-mediated inflammatory rheumatic diseases: at the crossroads of thromboinflammation and autoimmunity. Rheumatology Science and Practice. 2020;58(4):353–367. (In Russ.). doi: 10.47360/1995-4484-2020-353-367
- Osier F, Ting JPY, Fraser J, et al. The global response to the COVID-19 pandemic: how have immunology societies contributed? Nat Rev Immunol. 2020;20(10):594–602. doi: 10.1038/s41577-020-00428-4
- Bhimraj A, Morgan RL, Shumaker AH, et al. Infectious Diseases Society of America Guidelines on the treatment and management of patients with COVID-19. Clin Infect Dis. 2020;ciaa478. doi: 10.1093/cid/ciaa478
- Robinson PC, Yazdany J. The COVID-19 Global Rheumatology Alliance: collecting data in a pandemic. Nat Rev Rheumatol. 2020;16(6):293–294. doi: 10.1038/s41584-020-0418-0
- Yazdany J. COVID-19 in rheumatic diseases: a research agenda. Arthritis Rheumatol. 2020;72(10):1596–1599. doi: 10.1002/art.41447
- Weatherhead JE, Clark E, Vogel TP, et al. Inflammatory syndromes associated with SARS-CoV-2 infection: dysregulation of the immune response across the age spectrum. J Clin Invest. 2020;130(12):6194–6197. doi: 10.1172/JCI145301
- Schett G, Sticherling M, Neurath MF. COVID-19: risk for cytokine targeting in chronic inflammatory diseases? Nat Rev Immunol. 2020;20(5):271–272. doi: 10.1038/s41577-020-0312-7
- Schett G, Manger B, Simon D, Caporali R. COVID-19 revisiting inflammatory pathways of arthritis. Nat Rev Rheumatol. 2020;16(8):465–470. doi: 10.1038/s41584-020-0451-z
Supplementary files








