Possibilities of CT-perfusion in diagnostics of pancreatic cancer
- Authors: Kabanov M.Y.1, Sementsov K.V.1, Belikova M.Y.2, Yakovleva D.M.1
-
Affiliations:
- North-Western State Medical University named after I.I. Mechnikov
- Hospital for Veterans of Wars
- Issue: Vol 10, No 1 (2018)
- Pages: 89-94
- Section: Reviews
- Submitted: 03.05.2018
- Published: 15.03.2018
- URL: https://journals.eco-vector.com/vszgmu/article/view/8819
- DOI: https://doi.org/10.17816/mechnikov201810189-94
- ID: 8819
Cite item
Full Text
Abstract
The article presents a clinical observation of a patient with a pancreatic head tumor, when ultrasound and the standard MSCT protocol with the use of intravenous bolus contrast and multiphase scanning techniques revealed a tumor and its resequence could not be assessed. Inclusion in the protocol of CT scan of perfusion of the pancreas allowed to clearly visualize and localize the tumor, to estimate its size, the relationship with the main vessels. Based on the results of the examination, the patient underwent pancreatoduodenal resection.
Full Text
Введение
Для принятия решения о возможности выполнения радикального оперативного вмешательства у пациентов с опухолью поджелудочной железы хирургу важно получить от лучевого диагноста информацию об ее локализации, размерах, взаимоотношениях с окружающими органами и структурами, и в первую очередь о наличии инвазии магистральных артерий и вен.
Признанным «золотым стандартом» диагностики заболеваний поджелудочной железы является компьютерная томография. Стандартный протокол МСКТ при исследовании гепатопанкреатодуоденальной зоны (ГПДЗ) включает нативное исследование и постконтрастное трехфазное сканирование после болюсного внутривенного введения контрастного вещества. Сканирование в артериальную фазу позволяет детально оценивать анатомию и проходимость артерий целиакомезентериального бассейна, выявлять гиперваскулярные опухоли и очаги в печени и поджелудочной железе. Панкреатическая фаза дает возможность диагностировать воспалительные и опухолевые заболевания, оценивать состояние протоковой системы поджелудочной железы. В портовенозную фазу отмечается максимальное накопление контрастного вещества в паренхиме печени и портальных венах, что позволяет исключить вторичные изменения, оценить состояние желчных протоков, магистральных вен и лимфоузлов [4].
Аденокарцинома в большинстве случаев изоденсна паренхиме поджелудочной железы при нативном сканировании и характеризуется сниженным накоплением контрастного вещества только в панкреатическую фазу, приобретая плотность, аналогичную неизмененной паренхиме во все остальные фазы сканирования. Однако существуют опухоли не только изоденсные паренхиме при нативном сканировании, но и не отличающиеся по степени накопления контрастного препарата при многофазном сканировании (изоваскулярные опухоли). В таких случаях приходится опираться только на косвенные признаки в виде расширения гепатохоледоха и главного панкреатического протока, которые в зависимости от локализации присутствуют не всегда. Оценить истинные границы и размеры опухоли, ее взаимоотношения с магистральными сосудами бывает крайне затруднительно [3, 4].
Относительно новой методикой, позволяющей не только диагностировать морфологические изменения, но и определять функциональные параметры органов и тканей, более эффективно обнаруживать изоваскулярные опухоли и опухоли сложных локализаций (периампулярной области), является перфузионная компьютерная томография [2, 3].
При данном исследовании в зоне интереса после внутривенного болюсного введения контрастного вещества выполняется несколько серий динамических сканирований в течение короткого интервала времени (41–85 с). Затем полученные данные подвергаются постпроцессорной обработке на рабочей станции компьютерного томографа с помощью специального программного обеспечения. Для расчета параметров перфузии, построения графиков и функциональных карт производится измерение и сравнение плотности в афферентной артерии и в зонах интереса. Стандартными показателями перфузии, которые рассчитываются при оценке состояния органов ГПДЗ, являются скорость кровотока (BF — blood-flow), объемный кровоток (BV — blood-volume), среднее время прохождения контрастного вещества (MTT — mean transit time). В норме поджелудочная железа характеризуется высокими показателями перфузии: BF — 111+/–15,70 мл/100 г/мин; BV — 19,64+/–2,48 мл/100 г [1, 5].
Цель работы — проанализировать клинический случай выявления изоваскулярной опухоли поджелудочной железы путем применения методики КТ-перфузии.
Материалы и методы
Пациентка Б., 63 года, поступила в хирургическое отделение Госпиталя для ветеранов войн с механической желтухой 03.01.2018. Длительность желтухи — более 14 суток, уровень общего билирубина при поступлении 234 мкмоль/л. С целью устранения желтухи 04.01.2018 выполнено эндоскопическое билиарное стентирование. Для определения причины механической желтухи пациентке выполнена МСКТ органов гепатопанкреатодуоденальной зоны с болюсным внутривенным контрастированием по стандартному протоколу и КТ-перфузия поджелудочной железы. Исследование проведено на компьютерном томографе GE 64 Optima 660. Стандартный протокол включал нативное исследование и постконтрастное сканирование после болюсного внутривенного введения 60 мл Омнипак 370 со скоростью 4,5 мл/с в артериальную (на 25 с), панкреатическую (на 40 с) и портальную (на 65 с) фазы. Вторым этапом выполнена КТ-перфузия с болюсным внутривенным введением 40 мл Омнипак 370 со скоростью 4,5 мл/с и динамическим сканированием на уровне поджелудочной железы в течение 50 с. Постпроцессорная обработка данных проведена на рабочей станции Adwantage Workstation VS5 с использованием программного пакета CT Perfusion 4D Multi-Organ. Расчет показателей перфузии осуществлен с применением стандартного алгоритма и алгоритма деконволюции. Основными количественными показателями перфузии, которые оценивали в нашем исследовании, были BF, BV, MTT.
Результаты исследования
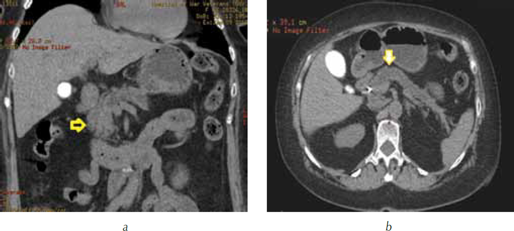
При нативном сканировании опухоль в головке поджелудочной железы не отличалась по плотности от окружающей паренхимы и была не видна. В гепатохоледохе визуализировался стент. Отмечалось расширение главного панкреатического протока в теле и хвосте поджелудочной железы до 9 мм (рис. 1).
Рис. 1. Компьютерная томография гепатопанкреатодуоденальной зоны в нативную фазу сканирования: а — трехмерная реформация в алгоритме MIP. Головка поджелудочной железы однородной структуры (стрелка), опухоль не видна; b — трехмерная реформация в аксиальной проекции. В теле и хвосте поджелудочной железы расширен главный панкреатический проток (стрелка)
При сканировании в артериальную фазу и построении объемных реформаций была установлена важная при выполнении радикального оперативного вмешательства особенность строения артерий целиакомезентериального бассейна в виде отхождения правой печеночной артерии от верхней брыжеечной артерии (рис. 2).
Рис. 2. Компьютерная томография в артериальную фазу: 3D-реконструкция в алгоритме Volume rendering. Вариант строения артерий целиакомезентериального бассейна. Общая печеночная артерия отходит от чревного ствола (длинная стрелка), после отхождения гастродуоденальной артерии переходит в левую печеночную артерию. Правая печеночная артерия (короткая стрелка) самостоятельно отходит от верхней брыжеечной артерии
В панкреатическую фазу опухоль по степени накопления контрастного вещества не отличалась от окружающей паренхимы поджелудочной железы и также была не видна (рис. 3).
Рис. 3. Компьютерная томография гепатопанкреатодуоденальной зоны в артериальную фазу сканирования: а — трехмерная реформация в коронарной проекции в алгоритме MIP. Головка поджелудочной железы однородной структуры, равномерно накапливает контрастный препарат (короткая стрелка), опухоль не видна. В теле поджелудочной железы расширен главный панкреатический проток (длинная стрелка); b — трехмерная реформация в аксиальной проекции в алгоритме MIP. В теле и хвосте поджелудочной железы расширен главный панкреатический проток (стрелка)
Выполнение КТ-перфузии поджелудочной железы с построением перфузионных карт позволило четко визуализировать опухоль в головке поджелудочной железы, оценить ее границы и размеры, выявить распространение на перешеек поджелудочной железы (рис. 4), измерить показатели перфузии в опухоли и неизмененной паренхиме головки (рис. 5).
Рис. 4. КТ-перфузия поджелудочной железы: а — перфузионная карта скорости кровотока (BF). Опухоль в головке поджелудочной железы определяется в виде участка синего и зеленого цветов (короткая стрелка), четко видны границы опухоли с неизмененной паренхимой, имеющей красный цвет (длинная стрелка); b — трехмерная реформация в аксиальной проекции. Панкреатическая фаза. Головка поджелудочной железы (стрелка) равномерно накапливает контрастный препарат, опухоль не видна; c — перфузионная карта скорости кровотока (BF). Размеры опухоли составили 26,6 × 20,3 мм
Рис. 5. КТ-перфузия поджелудочной железы: а — перфузионная карта скорости кровотока (BF). В опухоли (участок синего цвета) установлен ROI2, в не вовлеченной в опухолевый процесс ткани головки (участок красного цвета) ROI3; b — график зависимости «время – плотность». Красным цветом (№ 1) обозначена зависимость показателей «время – плотность» в брюшной аорте, красным цветом (№ 2) в опухоли, зеленым цветом (№ 3) в не вовлеченной в опухолевый процесс ткани поджелудочной железы. Показатели перфузии в опухоли составили: BF — 37,5 мл/100 г/мин, BV — 3,3 мл/100 г, MTT — 5,5 с; в неизмененной паренхиме головки: BF — 117 мл/100 г/мин, BV — 10,6 мл/100 г, MTT — 8 с
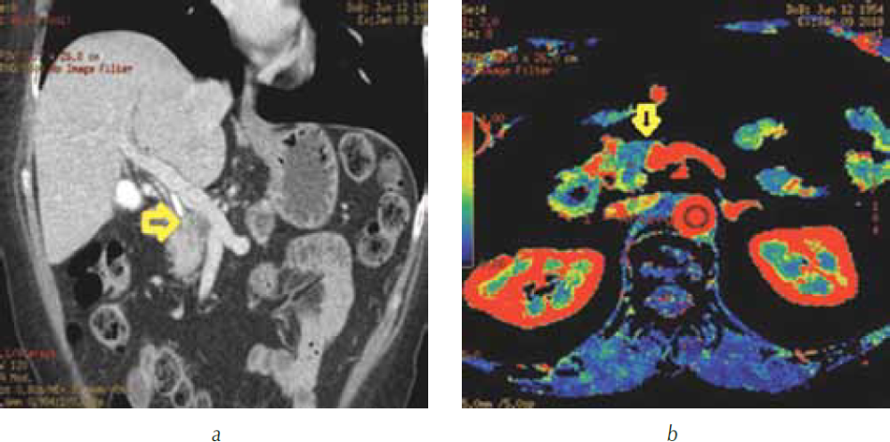
При анализе перфузионных карт был выявлен контакт опухоли на уровне конфлюэнса с правой боковой стенкой воротной вены с уплощением ее контура без признаков инвазии (рис. 6), от магистральных артерий опухоль была отделена прослойками жировой ткани.
Рис. 6. Компьютерная томография гепатопанкреатодуоденальной зоны в портальную фазу сканирования: а — трехмерная реформация в алгоритме MIP. Перешеек поджелудочной железы (стрелка) прилежит к портомезентериальному стволу, границы опухоли не видны; b — перфузионная карта скорости кровотока (BF). Опухоль (стрелка) в головке поджелудочной железы вплотную прилежит к правой боковой стенке воротной вены (стрелка) без сохранения жировой прослойки. Контур вены в месте контакта с опухолью уплощен
Полученные данные позволили расценить опухоль как резектабельную, что послужило показанием к выполнению радикального оперативного вмешательства. 01.02.2018 пациентка оперирована в объеме пилоросохраняющей панкреатодуоденальной резекции. Интраоперационно признаков инвазии опухоли в воротную вену не выявлено. При патоморфологическом исследовании установлен окончательный диагноз: «Низкодифференцированная протоковая карцинома поджелудочной железы pT2N1M0G3R0». Послеоперационный период гладкий. Пациентка выписана из стационара на 8-е сутки.
Обсуждение
В нашем наблюдении при стандартном протоколе МСКТ нативное исследование и постконтрастное сканирование в артериальную и портальную фазы позволили выявить только косвенный признак опухоли головки поджелудочной железы в виде расширения главного панкреатического протока в области тела и хвоста, сама опухоль была не видна. Построение 3D-реформаций в артериальную фазу дало возможность установить важную при выполнении радикального вмешательства особенность строения артерий целиакомезентериального бассейна в виде отхождения правой печеночной артерии от верхней брыжеечной артерии. КТ-перфузия позволила четко визуализировать опухоль, определить ее границы, выявить распространение на область перешейка поджелудочной железы. По параметрическим картам были определены размеры опухоли, измерены показатели перфузии, соответствовавшие аденокарциноме, доказано отсутствие инвазии магистральных висцеральных артерий и вен.
Заключение
Таким образом, при подозрении на опухоль поджелудочной железы, изоденсной и изоваскулярной при МСКТ, выполненной по стандартной программе, необходимо включение в протокол КТ-перфузии, которая позволяет выявить опухоль и оценить ее резектабельность.
About the authors
M. Yu. Kabanov
North-Western State Medical University named after I.I. Mechnikov
Author for correspondence.
Email: konstantinsementsov@gmail.com
Russian Federation, Saint Petersburg
K. V. Sementsov
North-Western State Medical University named after I.I. Mechnikov
Email: konstantinsementsov@gmail.com
Russian Federation, Saint Petersburg
M. Ya. Belikova
Hospital for Veterans of Wars
Email: konstantinsementsov@gmail.com
Russian Federation, Saint Petersburg
D. M. Yakovleva
North-Western State Medical University named after I.I. Mechnikov
Email: konstantinsementsov@gmail.com
Russian Federation, Saint Petersburg
References
- Нестеров Д.В., Розенгауз Е.В. Динамическая компьютерная томография у больных раком поджелудочной железы. Оценка перфузии в опухоли и в паренхиме железы вне ее // Медицинская визуализация. – 2014. – № 2. – С. 68–74. [Nesterov DV, Rozengauz EV. Dynamic Computed Tomography at Patients with Pancreatic Cancer. Perfusion Analysis in the Tumor and Pancreatic Parenchyma. Medical Visualization. 2014;(2):68-74. (In Russ.)]
- Нестерюк Я.И. КТ-перфузия при опухолях поджелудочной железы // Медицинская визуализация. – 2015. – № 3. – С. 57–67. [Nerestyuk YaI. CT Perfusion of Pancreatic Tumors. Medical Visualization. 2015;(3):57-67. (In Russ.)]
- Долгушин М.Б., Тулин П.Е., Оджарова А.А., и др. КТ-перфузия в дифференциальной диагностике опухолей печени // Медицинская визуализация. – 2015. – № 5. – С. 18–31. [Dolgushin MB, Tulin PE, Odzharova AA, et al. KT-perfuzija v differencial’noj diagnostike opuholej pecheni. Medical Visualization. 2015;(5):18-31. (In Russ.)]
- Кармазановский Г.Г. Опухоли поджелудочной железы солидной структуры: протоколы лучевых исследований, дифференциальная диагностика // Медицинская визуализация. – 2016. – № 4. – С. 54–63. [Karmazanovsky GG. Solid Pancreatic Tumors: Protocols of Radiological Examinations and Differential. Medical Visualization. 2016;(4):54-63. (In Russ.)]
- Xie Q, Tang Y, Tang Y, et al. Whole-Organ CT Perfusion of the pancreas: Impact of Iterative Reconstruction on Image Quality, Perfusion Parameters and Radiation Dose in 256-Slice CT-Preliminary Findings. PLoS ONE. 2013;8(11):1-8. doi: 10.1371/journal.pone.0080468.
Supplementary files









