Remote assessment of natural hazards on the base of the mathematical morphology of landscape
- Authors: Victorov A.S.1, Orlov T.V.1, Sadkov S.A.1, Trapeznikova O.N.1
-
Affiliations:
- Sergeev Institute of Environmental Geoscience, Russian Academy of Sciences
- Issue: No 5 (2019)
- Pages: 61-73
- Section: RESEARCH METHODS AND TECHNIQUES
- URL: https://journals.eco-vector.com/0869-7809/article/view/16170
- DOI: https://doi.org/10.31857/S0869-78092019561-73
- ID: 16170
Cite item
Full Text
Abstract
The aim of this paper is to show approaches for the quantitative evaluation of natural hazards using the remote sensing data and basing on the results of the mathematical morphology of landscape. The mathematical model of the morphological pattern for lacustrine thermokarst plains with fluvial erosion was taken for the decision of the problem in case of an asynchronous start of the thermokarst process with the continuous generation of new thermokarst depressions.
The mathematical analysis of assumptions taken in the model gives us the regularities of the morphological pattern for the thermokarst plains with fluvial erosion including exponential distribution for khasyrei areas, integral-exponential distribution for lake areas, and the Poisson distribution for a quantity of either khasyreis or lakes within the key sites. Besides, analyzing the development of the territory in question by the approaches used in mathematical morphology of landscape we found out that in case of asynchronous start under very general conditions a dynamic equilibrium is established in generating thermokarst lakes and turning them into khasyreis after a long time. At the same time, the distribution density of thermokarst foci and their sizes, as well as process damage and the dimensions of khasyreis tend to some final levels specified by the expressions described above.
The results obtained were empirically tested at 17 key sites. Generally, the empirical testing shows that the asynchronous start takes place within thermokarst plains with fluvial erosion at a sufficient number of sites, and the theoretically obtained regulations are valid.
The regulations obtained were used for the mathematical solution of the probabilistic task for damage of a linear structure crossing the thermokarst plain with fluvial erosion.
Full Text
Способы оценки природной опасности на основе использования материалов дистанционных съемок развиваются в целом ряде исследований [3, 6, 5, 8-12]. Однако их результаты характеризуются следующими особенностями:1
- оценка природной опасности носит преимущественно качественный характер (высокая, низкая и др.),
- итоговым результатом является выделение участков с разной степенью природной опасности.
Цель настоящей статьи – показать подходы к количественной оценке природной опасности на основе материалов дистанционных съемок с привлечением математической теории морфологического строения ландшафта. Исследования выполнялись на примере ландшафтов криолитозоны.
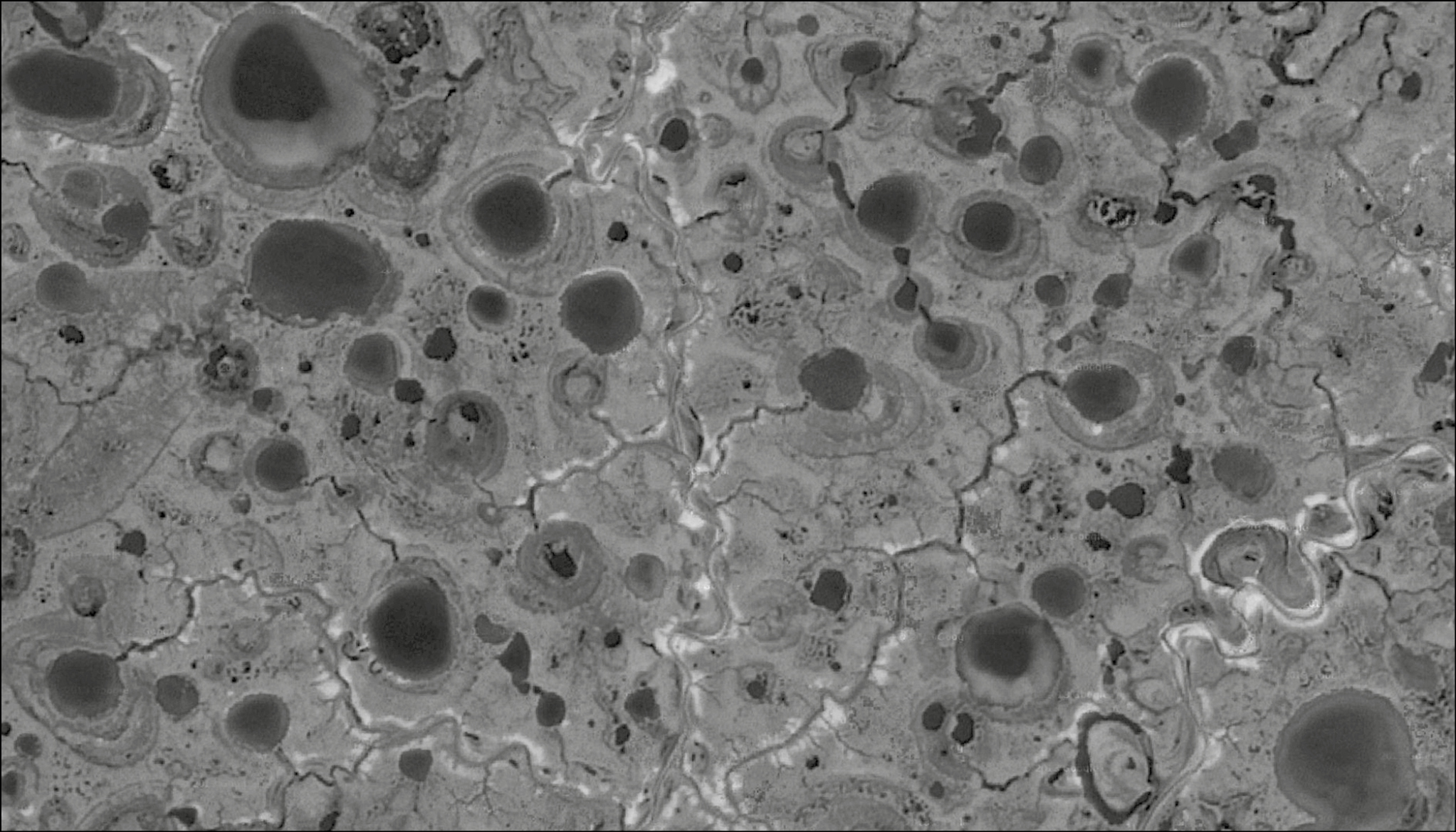
Рассмотрим территорию эрозионно-термокарстовой равнины – одного из типичнейших ландшафтов криолитозоны. Данный тип территорий представляет собой слабоволнистую субгоризонтальную поверхность с преобладанием различной тундровой или лесотундровой растительности (пушицевые тундры, осоково-пушицевые тундры и др.), в которую вкраплены озера и хасыреи, а также местами развита нечастая эрозионная сеть (рис. 1). Озера часто имеют округлую форму и беспорядочно разбросаны по равнине. Хасыреи представляют собой плоскодонные и пологосклонные заторфованные понижения, также изометричной формы, занятые луговой или болотной растительностью и аналогично озерам в беспорядке располагающиеся на равнине. Внутри хасыреев могут оставаться мелкие остаточные озерки по периферии и крупные озера в центральной части. В пределах хасыреев возможны вторичное формирование мерзлоты и развитие бугров пучения. В соответствии со взглядами большинства исследователей, хасыреи образуются в результате осушения термокарстовых озер, чаще всего в результате эрозионной деятельности водотоков.
Рис. 1. Пример изображения ландшафта эрозионно-термокарстовой равнины на материалах космической съемки.
Ландшафт эрозионно-термокарстовых равнин находится под влиянием сложно взаимодействующих термокарстовых, термоабразионных и термоэрозионных процессов. Это проявляется в том, что:
- на территории возникают новые первичные термокарстовые понижения;
- термокарстовые понижения растут независимо друг от друга, как озера, за счет термоабразионных процессов;
- в случайный момент времени озеро может быть спущено эрозионными процессами и превратиться в хасырей, при этом рост котловины остановится из-за отсутствия водной массы.
В данной работе авторами рассматривается вариант изменения морфологии территории, когда наблюдается постоянное появление новых термокарстовых понижений, развивающихся в озера (“асинхронный старт” термокарстовых процессов). Рост озер регулируется случайными факторами, связанными с развитием метеорологических процессов конкретного года и грунтовыми условиями.
Решение задачи может быть найдено с помощью математической модели морфологической структуры эрозионно-термокарстовых равнин, полученной на основе подходов математической морфологии ландшафта и основывающейся на следующих предположениях.
- Возникновения первичных термокарстовых понижений (очагов) за непересекающиеся отрезки времени () и на непересекающихся площадках () являются независимыми случайными событиями; вероятность возникновения понижения зависит только от величины отрезка времени и площадки2:
,
,
где λ – параметр.
- Возникновение первичных термокарстовых понижений не происходит на площади существующих термокарстовых озер.
- Изменение радиуса возникшего термокарстового понижения представляет собой случайный процесс; оно происходит независимо от других озер, и его скорость, находясь под воздействием случайных факторов, при этом пропорциональна плотности тепловых потерь через боковую поверхность озерной котловины.
- В процессе роста озеро может перейти в хасырей при его спуске эрозионной сетью, вероятность этого не зависит от других озер, при этом рост котловины прекращается.
- Возникновения истоков эрозионных форм на непересекающихся площадках являются независимыми случайными событиями, и их вероятность определяется только величиной площадки3.
Таким образом, территория представляется как некоторый поток развивающихся термокарстовых озер. Каждое озеро появляется в случайный момент времени независимо от других, расширяется под действием, в том числе случайных факторов, и, наконец, достигая критического размера, в случайный момент времени независимо от других переходит в стадию хасырея.
Для случая асинхронного старта остаются справедливыми следующие исходные зависимости, полученные в математической морфологии ландшафта:
- распределение радиуса свободно растущего термокарстового очага через время t после возникновения данного озера [1]:
,(1)
где — параметры распределения, – время, прошедшее с начала процесса;
- распределение расстояния от центра растущего очага до ближайшего истока эрозионной формы, останавливающего рост озера с превращением его в хасырей, отвечает закону Рэлея [13]:
,(2)
где γ – средняя плотность расположения истоков эрозионных форм.
Анализ предположений модели позволяет сделать существенные выводы о динамике процесса. При выполнении исследований были использованы и результаты, полученные в рамках гранта РНФ.
Рассмотрим развитие отдельного озера. Предположения модели позволяют получить вывод о вероятности непревращения термокарстового озера в хасырей через время t после его появления. Она определяется вероятностью недостижения за данное время его критического размера (расстояния до ближайшего истока эрозионной формы), при котором происходят спуск воды и превращение в хасырей. Соответственно, вероятность сохранения озера за время t с момента его образования будет равна
,
где f0(x,t) – плотность распределения размеров озера через время t после его появления (см. (1)).
Предположения модели позволяют получить вывод о динамике процесса генерации первичных очагов термокарстового процесса. Генерация первичных термокарстовых понижений на свободном (незаозеренном) участке без развития эрозии описывается пуассоновским процессом [1], т.е. вероятность появления на площадке S за время t числа k первичных термокарстовых понижений дается выражением
,
где λ – среднее число первичных термокарстовых понижений, появляющихся за единицу времени на единице площади, – площадь пробной площадки, t – временной интервал.
Как неоднократно показано ранее (например, [1, 7, 2]), это строго следует из первого предположения модели. Однако с учетом второго положения модели это означает, что первичные понижения генерируются только вне площади озер, т.е. эквивалентно тому, что наблюдается переменная плотность генерации первичных понижений:
,
где представляет собой долю свободной от озер площади – величину, дополнительную к средней пораженности территории термокарстовым процессом (дополнение до единицы). Под средней пораженностью понимается вероятность того, что случайно взятая точка территории будет охвачена хотя бы одним очагом термокарстового процесса или, что то же самое, средняя доля площади, занятая термокарстовыми озерами (заозеренность). Функция , как показано ранее [1, 2], связана с параметрами процесса экспоненциальной зависимостью, и именно этим определяется ее динамика:
, (3)
где – средняя площадь озер в данный момент времени, – среднее число озер на единицу площади в момент времени .
Предположения модели позволяют получить вывод об изменении среднего числа термокарстовых озер на единице площади в процессе развития ландшафта эрозионно-термокарстовой равнины. Для этого следует учесть:
- переменную генерацию первичных понижений,
- возможность превращения озера в хасырей за время его существования до настоящего момента .
Тогда среднее число озер на единицу площади в момент времени составит:
,(4)
а распределение числа озер останется пуассоновским (так как вероятность перехода в хасырей не зависит от расположения озера), но с нелинейным изменением параметра во времени.
Распределение (плотность распределения) радиусов озер в момент времени t будет равно отношению числа невырожденных озер, имеющих данный радиус, к общему количеству озер, еще не превратившихся в хасыреи, и после упрощения составит4:
.
Анализ модели позволяет определить и характеристики динамики хасыреев. Поскольку вероятность превращения озера в хасырей не зависит от его расположения, распределение числа хасыреев останется пуассоновским, но также с нелинейным изменением параметра. Распределение радиусов хасыреев на момент времени t будет равно отношению числа хасыреев, имеющих заданный радиус, к общему числу хасыреев. После упрощения получаем:
’(5)
где F0(x,u) − распределение радиуса озера через время t после его появления при свободном росте.
Модель позволяет получить выражение, описывающее динамику доли свободной от озер поверхности участка. Если из вышеприведенного закона распределения радиуса установить значение средней площади озера, то с учетом выражения для (4) после упрощения и логарифмирования можно получить интегральное уравнение:
,(6)
решением которого и является функция доли свободной от озер площади (“незаозеренность”).
Особый интерес представляет изучение каждого процесса при значительном времени его развития. Это особенно важно, так как сплошь и рядом исследователь сталкивается с давно идущими процессами.
Проанализируем развитие морфологической структуры эрозионно-термокарстовых равнин по истечении значительного времени, т.е. при t →+∞.
В этом случае, используя интегральное уравнение (6), нетрудно показать, что уравнение
,
где ,
всегда имеет единственное решение, и если оно превышает 0.56, то существует предел функции при t →+∞, причем он равен .
В основе доказательства лежит построение пары ступенчатых функций, ограничивающих функцию сверху и снизу. Используя уравнение (6), которому подчиняется названная функция, можно показать, что при указанном выше условии обе ступенчатые функции сходятся к единому пределу. Соответственно, по известной теореме, тот же предел должна иметь также и функция .
Из существования предела функции в свою очередь следует, что существует предельное значение пораженности, и вытекает также существование предельного (стационарного) значения плотности генерации первичных очагов. Оно составляет:
.
При большом времени существует предельное распределение размеров хасыреев. Переходя к пределу в выражении (5), учитывая существование предела у , используя правило Лопиталя и соответственно дифференцируя по t интегралы в числителе и знаменателе, получаем:
.
Иначе говоря, распределение радиусов хасыреев отвечает распределению Рэлея, а площадей, следовательно, как нетрудно получить, – экспоненциальному распределению:
.
При указанных условиях, обеспечивающих существование предельного значения пораженности, существует также предельное распределение радиусов озер при t →+∞. Используя выражение (1) для плотности распределения радиуса при свободном росте и вычисляя верхний интеграл как значение преобразования Лапласа, получаем:
,
где − интегральная экспоненциальная функция. Отсюда нетрудно получить, что распределение площадей будет отвечать распределению
,
которое может быть названо “интегрально-экспоненциальным”, с плотностью распределения:
.
Наконец, из полученного результата о предельном значении незаозеренности вытекает, как можно показать [2], что в этом случае существует предельное (при t →+∞) значение среднего числа озер на единицу площади:
.
Само распределение числа озер на случайно выбранной площадке остается пуассоновским.
В целом, выполнив анализ развития территории на основе результатов математической морфологии ландшафта, получаем, что в случае асинхронного старта при весьма общих условиях по прошествии большего времени устанавливается динамическое равновесие в процессах генерации термокарстовых озер и превращения их в хасыреи. При этом плотность распределения очагов термокарстовых процессов и их размеры, пораженность процессом, а также размеры хасыреев приближаются к некоторым конечным уровням, задаваемым описанными выше выражениями.
Таким образом, использование подходов математической морфологии ландшафта позволяет получить математическую модель развития морфологической структуры эрозионно-термокарстовой равнины и в частности очагов термокарстовых процессов.
ЭМПИРИЧЕСКАЯ ПРОВЕРКА МОДЕЛЕЙ РАЗВИТИЯ МОРФОЛОГИЧЕСКОЙ СТРУКТУРЫ ЭРОЗИОННО-ТЕРМОКАРСТОВЫХ РАВНИН
Эмпирическая проверка моделей развития морфологической структуры эрозионно-термокарстовых равнин базировалась на комплексе созданных моделей математической морфологии ландшафта. Проверке подвергались следующие свойства морфологической структуры равнин:
- соответствие распределения числа центров хасыреев и числа центров термокарстовых озер на случайно выбранной круговой площадке распределению Пуассона;
- соответствие распределения площадей хасыреев и термокарстовых озер разным видам распределений.
Для эмпирической проверки были выбраны участки, находящиеся в различных физико-географических условиях (рис. 2).
Рис. 2. Расположение ключевых участков эрозионно-термокарстовых равнин.
Были использованы следующие материалы космической съемки: архивные снимки Corona (3-7 м/пикс, 1965-1976 гг.); съемка среднего разрешения Sentinel 2A 2017-2018 гг., 10 м/пикс; современные высокодетальные снимки 0.5-0.7 м/пикс (Ресурс-П, IKONOS, QuickBird, Worldview 2, Geoeye-1, июнь-август 2008-2014 гг.), как специально заказанные (от НЦ ОМЗ), так и полученные из открытых источников (спутниковые покрытия Google, Bing, Yandex).
Выделение границ термокарстовых понижений производили как автоматизированным методом – на основе программных модулей ARCGIS и QGIS по спектральным яркостям снимка, так и в ручном режиме. После выделения проводился дополнительный анализ с целью исключения ошибок распознавания. Выделение границ хасыреев производили в основном вручную.
Проверку соответствия теоретически полученных распределений по эмпирическим критериям для большинства распределений выполняли с помощью программного пакета для статистического анализа с использованием критерия Пирсона (хи-квадрат) на основе известной методики при соблюдении условий ее применения. Для интегрально-экспоненциального распределения был создан специальный модуль для расчета значения критерия Пирсона (разработчик П.В. Березин). Это осуществлялось для случая, когда первичное возникшее понижение имело площадь , в общем случае отличную от единицы. При этом распределение дается выражением:
,
с плотностью распределения:
.
За оценку параметра принимали минимальное значение выборки, а значение γ находили в рамках того же программного модуля методом моментов путем численного решения уравнения:
,
где – средняя площадь озера.
Эмпирическая проверка моделей эрозионно-термокарстовых равнин дала следующие результаты.
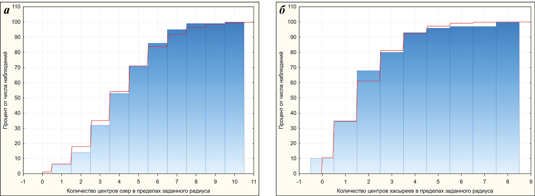
Результаты проверки на соответствие распределения числа центров термокарстовых озер и хасыреев на случайно выбранной круговой площадке распределению Пуассона приведены в табл. 1. Проанализировано 11 участков, при этом объем выборок составлял 100 “бросаний”. Для каждой совокупности озер и хасыреев на участке проводили по 4 испытания. Большинство проведенных испытаний показали соответствие распределению Пуассона. На некоторых участках, например, А4 (хасыреи) и С3 (озера) дали частично отрицательный результат, что требует в дальнейшем более глубокого анализа данных ключевых участков на предмет их однородности. На рис. 3 приведен пример графика соответствия эмпирически полученных данных по числу озер и хасыреев распределению Пуассона.
Рис. 3. Пример соответствия эмпирического распределения количества озер на случайной площадке распределению Пуассона на ключевом участке А4 (а) и количества хасыреев – на ключевом участке A8 (б).
Таблица 1. Соответствие эмпирических распределений числа озер и хасыреев на случайно выбранной площадке распределению Пуассона
Номер участка | Объект | Радиус пробной площадки, м | λ, км-2 | p-value |
A1 | Хасыреи | 576 | 1.04 | 0.231 |
865 | 2.65 | 0.182 | ||
1153 | 3.97 | 0.008 | ||
1730 | 9.7 | 0.039 | ||
Озера | 487 | 0.87 | 0.841 | |
730 | 2.71 | 0.648 | ||
974 | 4.4 | 0.489 | ||
1461 | 9.22 | 0.664 | ||
A2 | Хасыреи | 875 | 1.09 | 0.989 |
1312 | 2.68 | 0.057 | ||
1750 | 4.94 | 0.272 | ||
2625 | 11.01 | 0.001 | ||
Озера | 424 | 1.01 | 0.942 | |
636 | 2.66 | 0.505 | ||
848 | 4.25 | 0.705 | ||
1272 | 9.3 | 0.316 | ||
A3 | Хасыреи | 559 | 0.84 | 0.470 |
839 | 2.24 | 0.276 | ||
1119 | 3.26 | 0.741 | ||
1679 | 8.02 | 0.022 | ||
Озера | 440 | 1.2 | 0.471 | |
660 | 2.57 | 0.433 | ||
880 | 4.2 | 0.426 | ||
1320 | 9.07 | 0.454 | ||
A4 | Хасыреи | 409 | 0.69 | 0.000 |
613 | 2.88 | 0.000 | ||
818 | 3.85 | 0.000 | ||
1227 | 9.7 | 0.000 | ||
Озера | 1385 | 0.94 | 0.116 | |
2077 | 2.41 | 0.000 | ||
2770 | 4.46 | 0.013 | ||
4155 | 9.38 | 0.638 | ||
A6 | Хасыреи | 881 | 1.01 | 0.989 |
1322 | 2.13 | 0.483 | ||
1763 | 4.33 | 0.577 | ||
2645 | 10.41 | 0.022 | ||
Озера | 506 | 0.92 | 0.799 | |
759 | 2.55 | 0.481 | ||
1012 | 4.66 | 0.173 | ||
1518 | 10.17 | 0.350 | ||
A8 | Хасыреи | 787 | 1.29 | 0.032 |
1181 | 2.41 | 0.029 | ||
1574 | 3.76 | 0.211 | ||
2362 | 8.06 | 0.000 | ||
Озера | 385 | 1.05 | 0.307 | |
578 | 2.48 | 0.135 | ||
771 | 4.45 | 0.773 | ||
1157 | 10.52 | 0.089 | ||
B2 | Хасыреи | 1083 | 1 | 0.025 |
1625 | 2.46 | 0.005 | ||
2166 | 4.7 | 0.003 | ||
3250 | 10.5 | 0.211 | ||
Озера | 709 | 1.08 | 0.744 | |
1063 | 1.89 | 0.024 | ||
1418 | 4.29 | 0.002 | ||
2127 | 8.4 | 0.590 | ||
C1 | Хасыреи | 3142 | 1.01 | 0.094 |
4713 | 2.26 | 0.065 | ||
6284 | 4.2 | 0.015 | ||
9426 | 8.91 | 0.025 | ||
Озера | 1700 | 0.89 | 0.000 | |
2550 | 2.58 | 0.000 | ||
3400 | 3.7 | 0.000 | ||
5100 | 9.58 | 0.000 | ||
C2 | Хасыреи | 1088 | 1.24 | 0.000 |
1632 | 2.56 | 0.000 | ||
2177 | 4.52 | 0.000 | ||
3265 | 10.83 | 0.021 | ||
Озера | 850 | 0.89 | 0.142 | |
1275 | 2.41 | 0.000 | ||
1701 | 4.22 | 0.000 | ||
2551 | 9.73 | 0.000 | ||
C3 | Хасыреи | 1558 | 0.98 | 0.581 |
2337 | 2.31 | 0.116 | ||
3117 | 4.2 | 0.015 | ||
4675 | 9.49 | 0.031 | ||
Озера | 956 | 0.97 | 0.009 | |
1435 | 2.42 | 0.051 | ||
1913 | 3.99 | 0.000 | ||
2870 | 9.16 | 0.000 | ||
D1 | Хасыреи | 2031 | 1.29 | 0.040 |
3046 | 2.62 | 0.000 | ||
4062 | 5.86 | 0.000 | ||
6093 | 10.67 | 0.022 |
Примечание. Здесь и в табл. 2, 3 жирным шрифтом выделены значения, отвечающие согласию эмпирических данных проверяемому распределению на уровне значимости 0.99.
Полученные данные по площадям хасыреев включали выборки объема от 43 до 352 элементов. Результаты проверки приведены в табл. 2 и рис. 4. Анализ показывает, что на 13 участках из 17 распределение площадей хасыреев соответствует теоретическим построениям и отвечает экспоненциальному распределению на уровне значимости 0.99. Одновременно на 12 участках из этих 13 распределение площадей хасыреев соответствует как экспоненциальному распределению, так и логнормальному распределению. Последнее вполне объясняется двумя факторами:
- эрозионно-термокарстовые равнины на начальных стадиях представляли собой озерно-термокарстовые равнины, так как вероятность спуска озер при их изначально ограниченных размерах была невелика, а для них характерно логнормальное распределение площадей озер;
- экспоненциальное распределение есть предельное распределение при , а прошедшее с начала термокарстового процесса время является хотя и большим, но конечным.
Рис. 4. Примеры соответствия эмпирических распределений площадей хасыреев экспоненциальному распределению на ключевых участках A3 (а) и A8 (б).
Таблица 2. Соответствие эмпирических и теоретических распределений площадей хасыреев
Номер участка | Объем выборки | p-value | |||
Распределение | |||||
нормальное | логнормальное | гамма- | экспоненциальное | ||
A1 | 97 | 0.000 | 0.766 | 0.127 | 0.179 |
A10 | 122 | - « - | 0.353 | 0.000 | 0.396 |
A11 | 76 | - « - | 0.012 | - « - | 0.723 |
A2 | 62 | - « - | 0.108 | - « - | 0.000 |
A3 | 97 | - « - | 0.670 | 0.221 | 0.539 |
A5 | 49 | - « - | 0.444 | 0.108 | 0.281 |
A6 | 143 | - « - | 0.893 | 0.000 | 0.153 |
A7 | 127 | - « - | 0.000 | 0.005 | 0.084 |
A8 | 93 | - « - | 0.525 | 0.584 | 0.390 |
A9 | 73 | - « - | 0.044 | 0.000 | 0.191 |
B1 | 90 | - « - | 0.077 | - « - | 0.005 |
B2 | 114 | - « - | 0.045 | 0.159 | 0.034 |
C1 | 89 | - « - | 0.248 | 0.555 | 0.749 |
C2 | 352 | - « - | 0.237 | 0.000 | 0.000 |
C3 | 176 | - « - | 0.076 | 0.048 | 0.372 |
C4 | 178 | - « - | 0.552 | 0.000 | 0.001 |
D1 | 85 | - « - | 0.661 | - « - | 0.225 |
Таблица 3. Соответствие эмпирических и теоретических распределений площадей термокарстовых озер
Участок | Объем выборки | Среднее, м2 | Распределение | |||||
нормальное | логнормальное | гамма- | экспоненциальное | интегрально-экспоненциальное | ||||
p-value | хи-квадрат | хи-квадрат 0.99 | ||||||
A1 | 135 | 62393 | 0.000 | 0.000 | 0.057 | 0.018 | 2.946 | 11.341 |
A2 | 213 | 108293 | - « - | - « - | 0.000 | 0.000 | 14.437 | 11.341 |
A3 | 274 | 92392 | - « - | 0.220 | - « - | - « - | 21.774 | 15.086 |
A4 | 493 | 118059 | - « - | 0.000 | - « - | 0.003 | 50.676 | 18.475 |
A5 | 559 | 36798 | - « - | - « - | - « - | 0.000 | 4.68 | 6.635 |
A6 | 434 | 71626 | - « - | - « - | - « - | - « - | 2.546 | 11.341 |
A7 | 257 | 30130 | - « - | 0.011 | 0.005 | 0.000 | 1.625 | 9.21 |
A8 | 235 | 56733 | - « - | 0.022 | 0.237 | 0.018 | 19.427 | 16.812 |
B1 | 222 | 254272 | - « - | 0.016 | 0.000 | 0.000 | 11.084 | 13.277 |
B2 | 142 | 51149 | - « - | 0.041 | 0.012 | 0.164 | 18.048 | 13.277 |
C1 | 304 | 281956 | - « - | 0.321 | 0.000 | 0.000 | 9.526 | 9.21 |
C2 | 269 | 402552 | - « - | 0.083 | - « - | - « - | 2.738 | 9.21 |
C3 | 387 | 632891 | - « - | 0.031 | - « - | - « - | 2.554 | 6.635 |
C4 | 1532 | 463501 | - « - | 0.000 | - « - | - « - | 28.126 | 15.086 |
D1 | 293 | 75584 | - « - | 0.490 | - « - | - « - | 56.992 | 16.812 |
Полученные эмпирические данные площадей термокарстовых озер для ключевых участков эрозионно-термокарстовых равнин включали выборки объема от 49 до 2108 элементов. Результаты проверки приведены в табл. 3.
На 7 участках из 15 наблюдается соответствие интегрально-экспоненциальному распределению (рис. 5), на 4 из них присутствует согласие и с логнормальным законом. На 3 участках из 15 наблюдается соответствие эмпирических распределений как гамма-распределению, так и логнормальному распределению, что соответствует модели синхронного старта [4, 5]. Это, как и в случае с хасыреями, вполне объясняется двумя упомянутыми выше факторами. Интересно, что для типичных озерно-термокарстовых равнин справедливо в основном только логнормальное распределение [4].
Рис. 5. Пример соответствия эмпирического распределения площадей озер (темная линия) интегрально экспоненциальному распределению (светлая линия) на ключевом участке С1 (площади даны в м2).
В целом эмпирическая проверка позволяет сделать вывод, что ситуация асинхронного старта для эрозионно-термокарстовых равнин реализуется в природе не достаточно часто. Теоретически полученные закономерности – экспоненциального распределения площадей хасыреев, интегрально-экспоненциального распределения площадей озер, пуассоновского распределения числа хасыреев и числа озер на пробных площадках – подтверждаются эмпирически на значительном числе ключевых участков.
Таким образом, использование подходов математической морфологии ландшафта позволяет получить закономерности весьма сложного развития морфологического строения эрозионно-термокарстовой равнины и в частности очагов термокарстовых процессов. Эти закономерности могут быть использованы при разработке методов оценки природных опасностей на основе материалов дистанционных съемок.
ОЦЕНКА ПРИРОДНЫХ ОПАСНОСТЕЙ НА ОСНОВЕ МАТЕРИАЛОВ ДИСТАНЦИОННЫХ СЪЕМОК
Рассмотрим вероятность поражения линейного сооружения длиной L, пролегающего в пределах ландшафта эрозионно-термокарстовой равнины, при этом ограничимся лишь потенциальной угрозой от возникающих термокарстовых очагов, не рассматривая уже существующие к моменту создания линейного сооружения. Рассмотрим сначала полосу конечной длины R, на оси которой расположен рассматриваемый линейный объект. Вероятность того, что один очаг процесса из числа названных заденет линейное сооружение, обусловливается тремя факторами:
- удаленностью его центра от линейного сооружения x;
- величиной радиуса озера;
- отсутствием в пределах площадки с радиусом x истоков эрозионных форм, которые могли бы остановить рост озера и превратить в его хасырей.
При этом необходимо учесть, что термокарстовый очаг может возникнуть в различные моменты (u) рассматриваемого временного интервала, а также что, согласно предположениям модели, удаленность от сооружения и время возникновения очага распределены равномерно. В итоге в целом упомянутая вероятность равна:
,
где − распределение радиуса озера через время t после его появления при свободном росте.
Вероятность того, что ни один из очагов процесса не заденет линейное сооружение при условии, что их на полосе k штук, равна:
.
С учетом того, что число возникших очагов, как следует из предположений модели, распределено по закону Пуассона, вероятность непоражения линейного сооружения при произвольном числе очагов на полосе может быть получена суммированием по k и равна после упрощения
.
Выражение для бесконечной полосы получаем, переходя к пределу в последней формуле при R→+∞. Учитывая, что
,
получаем:
.
Необходимые параметры α, σ, λ, γ, Pc* определяются по материалам повторных дистанционных съемок:
, Pc* =, , ,
где – сроки первой и второй съемок, , – средний логарифм радиусов озер за соответствующий срок, – дисперсия логарифма радиусов озер за соответствующий срок, ni – число озер на рассматриваемой площади участка, свободной от озер (в начальный момент) S за соответствующий срок, m – число истоков эрозионных форм на площади участка S0.
ВЫВОДЫ
Таким образом, в целом могут быть сформулированы следующие выводы.
- Использование подходов математической морфологии ландшафта перспективно для решения задачи дистанционной оценки природных опасностей.
- Основой решения названной задачи является использование математических моделей морфологических структур соответствующего генетического типа.
- Материалы дистанционных съемок позволяют получить параметры, необходимые для оценки вероятности поражения инженерного сооружения опасными экзогенными процессами.
Примечания:
1 Выполнено в рамках государственного задания по теме №г.р. АААА-А19-119021190077-6.
2 При этом для малых площадок и временных отрезков вероятность возникновения нескольких понижений много меньше, чем вероятность возникновения одного понижения.
3 При этом для малых площадок вероятность наличия более чем одного истока эрозионной формы много меньше, чем вероятность наличия одного истока.
4 Считаем, что функции распределения обладают необходимыми для перемены порядка интегрирования качествами (равномерной сходимостью, равномерно интегрируемы и т.д.), а случайные величины имеют конечные моменты до четвертого порядка включительно.
About the authors
A. S. Victorov
Sergeev Institute of Environmental Geoscience, Russian Academy of Sciences
Author for correspondence.
Email: dist@geoenv.ru
Russian Federation, Ulanskii per., 13, str. 2, Moscow, 101000
T. V. Orlov
Sergeev Institute of Environmental Geoscience, Russian Academy of Sciences
Email: dist@geoenv.ru
Russian Federation, Ulanskii per., 13, str. 2, Moscow, 101000
S. A. Sadkov
Sergeev Institute of Environmental Geoscience, Russian Academy of Sciences
Email: dist@geoenv.ru
Russian Federation, Ulanskii per., 13, str. 2, Moscow, 101000
O. N. Trapeznikova
Sergeev Institute of Environmental Geoscience, Russian Academy of Sciences
Email: dist@geoenv.ru
Russian Federation, Ulanskii per., 13, str. 2, Moscow, 101000
References
- Viktorov, A.S. Mathematical model of thermokarst lacustrine plains as a basis for interpretation of space survey data. Earth observation and remote sensing, 1996, vol. 13, no. 5, pp. 739-749.
- Victorov, A.S. Osnovnye problemy matematicheskoi morfologii landshafta [The main problems of mathematical morphology of landscape]. Moscow, Nauka, 2006, 252 p. (in Russian)
- Victorov, A.S., Kapralova, V.N. Kolichestvennaya otsenka prirodnykh riskov na osnove materialov kosmicheskoi s’emki (na primere ozerno-termokarstovykh ravnin) [Quantitative assessment of natural risks based on remote sensing data (a case study of lacustrine thermokarst plains)]. Issledovaniya Zemli iz kosmosa, 2013, no. 4, 2013, pp. 33-38. (in Russian)
- Victorov, A.S., Kapralova, V.N., Orlov, T.V., Trapeznikova, O.N., Arkhipova, M.V., Berezin, P.V., Zverev, A.V., Panchenko, Ye.N., Sadkov, S.A. Analiz razvitiya morfologicheskoi struktury ozerno-termokarstovykh ravnin na osnove matematicheskoii modeli [Analysis of developing morphologic structure of thermokarst lacustrine plain based on the mathematical model]. Geomorfologiya, no. 3, 2015, pp. 3-13. (in Russian)
- Victorov, A.S., Kapralova, V.N., Orlov, T.V., Trapeznikova, O.N., Arkhipova, M.V., Berezin, P.V., Zverev, A.V., Sadkov, S.A., Panchenko, E.G. Matematicheskaya morfologiya landshaftov kriolitozony [Mathematical morphology of cryolithozone landscapes]. Moscow, RUDN, 2016. 232 p. (in Russian)
- Yolkin V.A. Regional'naya otsenka karstovoi opasnosti i riska (na primere Respubliki Tatarstan) [Regional assessment of karst hazard and risk (by the example of the Tatarstan Republic)]. Extended abstract of Cand. Sci. (Geol.-Min.) Dissertation, Moscow, 2004, 24 p. (in Russian)
- Karlin, S. Osnovy teorii sluchainykh protsessov [Fundamentals of stochastic process theory]. Moscow, Mir Publ. House, 1971, 536 p. (in Russian)
- Osipov, V.I. Prirodnye opasnosti i strategicheskie riski v mire i v Rossii [Natural hazards and strategic risks in the world and in Russia]. Ekologiya i zhizn’, 2009, nos.11-12 (96-97), pp. 5-15 (in Russian)
- Ragozin, A.L., Ed. Otsenka i upravlenie prirodnymi riskami [Assessment and management of natural risks]. Proc. of All-Russia Conference “Georisk-2003”, Moscow, RUDN Publ. House, 2003, 412 p. (in Russian)
- Ragozin, A.L. Osnovnye polozheniya teorii opasnykh geologicheskikh protsessov i riskov [The main provisions of the theory of hazardous geological processes and risks]. Novyye idei v naukakh o Zemle [New ideas in the Earth Sciences]. III International Conference, abstract volume, Moscow, vol.4, 1997, p.115. (in Russian)
- Sheko, A.I., Krupoderov, V.S. Otsenka opasnosti i riska ekzogennykh protsessov [Hazard and risk assessment of exogenous geological processes]. Geoekologiya, 1994, no.3, pp. 53-59. (in Russian)
- Fell, R., Corominas, J., Bonnard, C., Cascini, L., Leroi, E., Savage, W.Z. Guidelines for landslide susceptibility, hazard and risk zoning for land use planning, Engineering Geology, 2008, vol. 102, no 3-4, pp. 85-98.
- Victorov, A.S. Mathematical Models of Thermokarst Erosion Plains. GIS and Spatial Analysis. Proceedings of IAMG 2005, Toronto, Canada. 2005, pp. 62-67.
Supplementary files







