Method of treatment of cervical osteochondrosis by intradiscal administration of small doses of papain: morphological substantiation and clinical application
- Authors: Vetrila S.T.1, Pogozheva T.I.1, Styablin N.I.1
-
Affiliations:
- Central Institute of Traumatology and Orthopedics. N.N. Priorova
- Issue: Vol 7, No 1 (2000)
- Pages: 16-22
- Section: Original study articles
- Submitted: 23.02.2022
- Accepted: 23.02.2022
- Published: 25.02.2000
- URL: https://journals.eco-vector.com/0869-8678/article/view/101501
- DOI: https://doi.org/10.17816/vto101501
- ID: 101501
Cite item
Full Text
Abstract
Experiments in 91 rabbits were performed to study the action of proteolytic enzyme - papaine (lekozime, «Lek», Yugoslavia) in small doses (0.5-1.0 mg) and alcohol (in concentrations 24%, 48%, 96%) on the structure of intervertebral disks. 359 intervertebral disks were examined using light and electron microscopy. Morphologic data showed that under papaine effect the gradual substitution of the hydrated tissue of nucleus pulposus by fibrous tissue, decrease of intervertebral space and formation of not mobile block between two displaced vertebral bodies took place. Data obtained during experiments allowed to apply intradisk injection of papaine in small doses for the treatment of cervical intervertebral disk pathology, and gave the possibility to elaborate new method for the treatment of cervical osteochondrosis. That method was used in 89 patients. Follow-up period ranged from 3 months to 9 years. Positive results preserved in 95.2%o of patients. Indications and contraindications for the application of elaboration method were defined on the base of experimental and clinical data, outcomes and treatment efficacy.
Keywords
Full Text
Актуальность проблемы лечения шейного остеохондроза обусловлена распространенностью этого заболевания, поражающего наиболее трудоспособную часть населения [9, 12]. Страдающие шейным остеохондрозом составляют 11,3% от общего числа пациентов с неврологическими заболеваниями [10].
Анатомическая сложность шейного отдела позвоночника и особенности его иннервации определяют большое число синдромов, наблюдающихся при дегенеративных поражениях этого отдела. Установлено, что дегенерация межпозвонкового диска играет основную роль в патогенезе остеохондроза, а стабилизация позвоночника, достигаемая за счет раннего фиброзирования диска, является важным лечебным фактором.
Широкое распространение при лечении шейного остеохондроза в нашей стране получил метод внутридискового введения этилового спирта [2, 3, 5, 6]. Однако до сих пор нет четких морфологических данных о механизме действия разных концентраций этилового спирта на ткань диска. Не получила должной разработки и проблема использования ферментов в комплексном лечении шейного остеохондроза. Публикации, посвященные применению папаина при данной патологии, весьма малочисленны [11, 15].
Проведенное нами комплексное исследование включало экспериментальную и клиническую части. В задачу экспериментального исследования входило выяснение механизма действия малых доз протеолитического фермента папаина и этилового спирта разной концентрации на структуру межпозвонкового диска у кроликов. Задачей клинического исследования было разработать на основании полученных экспериментальных данных метод внутридискового введения папаина в сочетании с этиловым спиртом для лечения патологии шейных дисков и определить показания к его применению.
Материал и методы
Эксперименты проведены на 91 кролике породы шиншилла массой от 2,5 до 3 кг. Этиловый спирт в концентрации 24, 48 и 96% в объеме 0,2—0,3 мл вводили в межпозвонковые диски однократно. Эта группа опытов выполнена на 35 кроликах, исследовано 135 дисков. Папаин вводили внутрь дисков также однократно в дозе 0,5 и 1 мг (56 кроликов, 224 диска). Использовали коммерческий препарат «Lekosim» (фирма «Lek», Югославия), 1 мг которого эквивалентен 7 единицам (U) Fip (Fip — международная фармацевтическая федерация), или 7 FipU.
Сроки исследования — 1, 3, 6, 12 и 24 ч, 3, 7, 14, 60 и 90 сут. Контролем служили интактные межпозвонковые диски того же животного. Кроликов выводили из опыта введением в ушную вену воздуха после предварительной внутримышечной инъекции 1% раствора гексенала.
Материал фиксировали для световой и электронной микроскопии. Для световой микроскопии кусочки ткани фиксировали в 12% нейтральном формалине, обезвоживали в растворах этилового спирта возрастающей концентрации и заливали в целлоидин. Препараты окрашивали гематоксилином и эозином и пикрофуксином по общепринятым методикам.
Для трансмиссионной электронной микроскопии (ТЭМ) кусочки ткани фиксировали в 2,5% растворе глютарового альдегида на фосфатном буфере (pH 7,2—7,4) в течение 2 ч и затем 2 ч в 2% растворе OsO4, обезвоживали в растворах этанола возрастающей концентрации, затем в ацетоне и заливали в аралдит. Срезы готовили на ультратоме LKB-III (Швеция), окрашивали цитратом свинца по Reynolds (1963) и просматривали в микроскопе IEM-7A (Япония). Для выявления протеогликанов исследуемый материал фиксировали с добавлением в глютаровый альдегид 0,2% раствора рутениевого красного, а все растворы готовили на кокадилатном буфере с pH 7,3.
Клиническая часть работы выполнена в группе из 89 больных шейным остеохондрозом, в лечении которых применялось внутридисковое введение лекарственных веществ. Заболевание во всех случаях характеризовалось прогрессирующим течением, не поддавалось длительной консервативной терапии и сопровождалось утратой трудоспособности.
Результаты и обсуждение
Межпозвонковые диски кроликов в отличие от дисков человека состоят из студенистого ядра (СЯ) и фиброзного кольца. Между зоной роста тел позвонков и СЯ располагается костная замыкательная пластинка, имеющая самостоятельное кровоснабжение, не связанное с кровоснабжением тел позвонков.
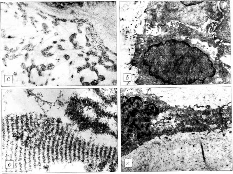
Рис. 1. Студенистое ядро интактного межпозвонкового диска кролика. а — тяжи клеток нотохорда (окраска пикрофуксином. Ок. 7, об. 16); б ТЭМ: ультраструктура группы клеток нотохорда, бедной цитоплазматическими органоидами и межклеточными контактами «замкового» типа (ув. 4500); в - ТЭМ: ультраструктура одиночной клетки нотохорда с длинным цитоплазматическим отростком. Межклеточный матрикс представлен гранулярно-филаментозной сетью протеогликанов (ув. 4500); г — поперечно исчерченные филаментозные агрегаты (CBFA) межклеточного матрикса (ув. 20 000).
Клеточные элементы СЯ, которые большинством авторов идентифицируются как клетки нотохорда, немногочисленны и объединены в небольшие группы (рис. 1, а). Клетки в пределах одной группы могут быть разной степени зрелости и функциональной активности. Они либо плотно прилегают друг к другу, либо расположены рыхло, соединяясь только длинными отростками. Однако и в том и в другом случае каждая клетка имеет отчетливую цитоплазматическую мембрану. Клеточные контакты осуществляются при помощи десмосом, соединений «замкового» типа или зоны замыкания (zonula occludens) (рис. 1, б). Отростчатые клетки разделены перицеллюлярными пространствами различной ширины. Длинные отростки соседних клеток, соединяясь либо десмосомой, либо зоной замыкания, отграничивают экстрацеллюлярное пространство внутри группы клеток от основного матрикса (рис. 1, в). Вероятно, именно такая организация клеток является оптимальной и отвечает условиям высокого гидростатического давления внутри диска. Эти клетки со слабо развитыми цитоплазматическими органоидами поддерживают определенный уровень гомеостаза СЯ в физиологических условиях [20].
Наибольший объем СЯ занимает межклеточный матрикс, основным компонентом которого являются белково-углеводные комплексы и необычные волокнистые элементы — поперечно исчерченные филаментозные агрегаты (CBFA). Последние образованы продольными рыхлоупакованными пучками филаментов с четкими поперечно чередующимися светлыми и темными периодами шириной от 56 до 120 нм. По наружному краю и внутри пучков филаментов располагаются электронно-плотные гранулы и хлопьевидные скопления (рис. 1, г). CBFA имеют коллагеновую природу [7, 8, 13, 14, 19]. Зрелых коллагеновых и эластических волокон в СЯ интактных межпозвонковых дисков кроликов не выявлено.
Основное вещество студенистых ядер, микроскопическая и гистохимическая структура которого обусловливает их гидратационные свойства, при электронно-микроскопическом исследовании представляется в виде тонкой гранулярно-филаментозной сети, соответствующей структурированным протеогликанам (ПГ). Особенностью ПГ является слабо выраженная способность к образованию агрегатов: в состав агрегатов включается только 10% макромолекул ПГ, остальные находятся в свободном состоянии. Кроме того, размеры ПГ в СЯ в 10 раз меньше, чем в других хрящах, но в них больше гиалуроновой кислоты. Именно ПГ своей организацией создают своеобразное молекулярное сито, регулирующее процессы диффузии. Благодаря высокой ионообменной активности гликозаминогликанов, входящих в состав ПГ, и большому содержанию жидкости возможен транспорт питательных веществ и конечных продуктов обмена, что очень важно для бессосудистых брадитрофных тканей [1, 4, 20].
Пространственная структура белково-углеводных агрегатов, обеспечивающих высокую степень гидратации, соответствует функциональным требованиям ткани СЯ. Несжимаемость жидкости сообщает ему свойство упругости, что в сочетании с механической прочностью коллагенового каркаса фиброзного кольца позволяет межпозвонковому диску выдерживать огромные статические и динамические нагрузки [16, 18].
Проведенные экспериментальные исследования показали, что после введения в СЯ этилового спирта в концентрации 96, 48, 24% не происходит грубой деструкции гидратированной ткани. Отмечаются распад крупных клеточных тяжей на более мелкие и дистрофические изменения части клеток, которые либо незначительны и носят обратимый характер, либо, усугубляясь, приводят к дегенерации этих клеток.
Структура межклеточного матрикса существенно не меняется, если не считать появления полостей, заполненных жидкостью, и, как следствие, некоторого «уплотнения» основного вещества в первые сутки, что также носит обратимый характер. Сохранившиеся клетки продолжают выполнять свои функции, поддерживая определенный уровень обмена в тканях межпозвонкового диска. Высокая степень гидратации СЯ сохраняется. Функциональная стабильность диска не нарушается (рис. 2).
Рис. 2. Структура межпозвонкового диска кролика после введения этилового спирта. а — через 2 нед после введения 48% этилового спирта (окраска пикрофуксином. Ок. 7, об. 3); б — через 1 мес после введения 96% этилового спирта (ок. 7, об. 10).
Введение в СЯ протеолитического фермента папаина вызывает глубокие изменения структуры межпозвонкового диска. Уже через 1 ч после введения 0,5 мг фермента в межклеточном матриксе образуются многочисленные полости, заполненные жидкостью. Клеточные тяжи распадаются. При ТЭМ выявляются крупные вакуоли в цитоплазме клеток, что свидетельствует не только о тканевом, но и о внутриклеточном отеке (рис. 3, а, б). Изменений в других элементах лиска не наблюдается
Рис. 3. Студенистое ядро кролика после однократного введения 0,5 мг папаина. а — распад клеточных тяжей через 1 ч после введения папаина (окраска пикрофуксином. Ок. 7, об. 20); б — ТЭМ: группа клеток нотохорда с гидропическими вакуолями и плотным ядром через 1 ч после введения папаина (ув. 4500); в — ТЭМ: скопление секретируемого клеткой нотохорда зернистого материала, содержащего гликозаминогликаны, в перицеллюлярной зоне через 24 ч после введения папаина (ув. 20 000); г — ТЭМ: вновь сформированные коллагеновые фибриллы в перицеллюлярной зоне фибробласта через 14 сут после введения папаина (ув. 20 000); д — клеточно-волокнистая ткань, заместившая студенистое ядро, через 1 мес после введения папаина (окраска пикрофуксином. Ок. 7, об. 16); е — структура межпозвонкового диска кролика через 1 мес после введения папаина (окраска пикрофуксином. Ок. 7, об. 3).
Через 3 ч отчетливо видно, что часть клеток СЯ имеют признаки внутриклеточного отека, теряют контакты друг с другом и располагаются изолированно, образуя подобие «ажурной сети». Другая часть клеток, объединенная в характерные группы, полностью сохраняет свою структуру. Такой полиморфизм клеток по глубине дистрофических изменений, по-видимому, зависит от их исходного морфофункционального состояния к началу эксперимента. По периферии со стороны костных замыкательных пластинок наблюдаются пролиферативные процессы, в результате чего между замыкательными пластинками и СЯ появляется слой из 2-3 рядов клеток. В фиброзном кольце отмечается некоторая дезорганизация внутренней зоны в виде отека, нарушения строгой ориентации коллагеновых фибрилл и набухания последних.
Через 12 ч явления внутриклеточного отека сохраняются, зона клеточной пролиферации со стороны костных замыкательных пластинок увеличивается до 3-4 слоев. В фиброзном кольце наблюдается «выпрямление» характерной вогнутости пластинок, что, вероятно, связано с изменением внутридискового давления.
Через 24 ч в центральной зоне СЯ среди сохранившихся клеток нотохорда обнаруживаются клетки с повышенной секреторной активностью. Цитоплазма таких клеток плотная, заполнена разбухшими канальцами и цистернами эндоплазматического ретикулума с мелкозернистым или хлопьевидным содержимым. Такой же материал в изобилии содержится на цитоплазматической мембране и в перицеллюлярной зоне (рис. 3, в). Окраска рутениевым красным свидетельствует о присутствии в нем большого количества гликозаминогликанов. Известно, что гликозаминогликаны, ПГ и гликопротеиды участвуют в регуляции процесса фибриллогенеза. По периферии СЯ со стороны фиброзного кольца наблюдается пролиферация клеток фибробластического ряда.
Через 3 сут центральная часть СЯ сохраняет характерную гидратированную структуру. Однако и здесь происходит «уплотнение» межклеточного матрикса за счет увеличения количества поперечно исчерченных филаментозных структур и микрофибрилл — результат усиленного синтеза клетками гликозаминогликанов и коллагенового белка. Со стороны фиброзного кольца к центру формируется характерный «вырост», состоящий из вновь образующейся ткани. Эта ткань по структуре клеток и межклеточного матрикса, содержащего зрелые коллагеновые фибриллы, представляет собой рыхлую соединительную ткань.
Через 7 дней в сохранившихся участках гидратированной ткани появляются не только единичные тонкие (диаметром 10-15 нм) микрофибриллы без поперечной исчерченности, но и коллагеновые фибриллы.
Через 2 нед СЯ почти полностью замещается вновь образованной соединительной тканью, в которой можно наблюдать лишь небольшие фрагменты сохранившейся гидратированной ткани (рис. 3, г). В центральной части СЯ волокнистая ткань менее зрелая, с большим количеством фибробластических клеток. Волокнистые элементы более тонкие, без строгой ориентации. По периферии СЯ волокнистая ткань более зрелая: клеток меньше, преобладают фиброциты, волокна имеют больший диаметр и строго упорядоченную ориентацию.
Через 1 мес после внутридискового введения папаина СЯ полностью замещается плотной волокнистой тканью. Отмечается уменьшение высоты межтелового пространства (рис. 3, д, е).
При использовании папаина в дозе 1 мг результаты исследования были аналогичными.
Таким образом, экспериментальные исследования показали, что папаин в отличие от этилового спирта вызывает деструкцию части клеток нотохорда и отек межклеточного матрикса без нарушения герметичности и сохранности других элементов межпозвонкового диска. Кроме того, введение папаина стимулирует процессы пролиферации клеток фибробластического ряда, располагающихся по периферии СЯ, и активный синтез гликозаминогликанов и коллагена сохранившимися клетками нотохорда и пролиферирующими фибробластами.
В результате действия фермента происходит замещение гидратированной ткани СЯ фиброзной, снижение межтелового пространства и образование малоподвижного блока между двумя смежными телами позвонков.
Данные экспериментального исследования показали целесообразность использования внутридискового введения малых доз папаина (лекозима) при патологии шейных межпозвонковых дисков и послужили основанием для разработки и клинического применения нового способа лечения шейного остеохондроза.
В клинике внутридисковое введение препаратов применено при лечении 89 больных шейным остеохондрозом ( 38 мужчин и 51 женщина). Кроме выраженного болевого синдрома, у 28 (31,5%) из них отмечался неврологический дефицит, а у 35 (39,3%) — ограничение движений в плечевом суставе.
Обследование больных проводилось с изучением всего «очага» шейного остеохондроза: в общей сложности у 89 пациентов исследован 231 диск. Дискографические признаки патологии межпозвонковых дисков обнаружены у всех больных. Чаще всего выявлялись трещины и разрывы фиброзного кольца — 214 (92,6%) дисков; затекание контрастного вещества до задней и передней продольных связок отмечено в 145 (62,8%), а паравертебральное распространение его — в 28 (12,1%) случаях. Грыжи дисков выявлены только в 6 (2,6%) случаях.
Купирование болевого синдрома достигалось воздействием на нервные окончания диска этиловым спиртом путем его внутридискового введения. Дерецепция проводилась всем 89 больным. У 27 пациентов она применялась как основной метод лечения. Этим больным вводили 96% этиловый спирт в объеме 0,3-0,7 мл в каждый диск.
У 62 пациентов внутридисковое введение этилового спирта применяли в сочетании с введением малых доз папаина (лекозима) по разработанной нами методике. После определения с помощью дискографии дисков, ответственных за проявление клинических синдромов заболевания, вводили в них 48% этиловый спирт в объеме 0,3-0,4 мл, а спустя 4-5 мин — папаин в дозе 0,5-2 мг (3,5—7 FipU лекозима). Общая доза папаина в 75,8% случаев составляла от 1 до 4 мг (7-28 FipU лекозима) и только в 4,2% случаев достигала 7-8 мг (49- 56 FipU лекозима).
После этой процедуры у всех больных осуществляли иммобилизацию шейного отдела позвоночника ортезами в течение 3 нед, а пациентам с двигательными и очаговыми неврологическими нарушениями проводили комплексное восстановительное лечение.
Разработанный метод лечения шейного остеохондроза базируется на патогенетическом принципе, т.е. предусматривает ликвидацию причин основных проявлений заболевания:
- устранение ирритации нервных окончаний периферического отдела фиброзного кольца межпозвонкового диска фрагментами пульпозного ядра, что достигается введением 48% этилового спирта и малых доз папаина (лекозима). При этом на ранних стадиях после внутридискового воздействия боль устраняется вследствие дерецепции, а в более поздние сроки — за счет фиброзирования пульпозного ядра;
- воздействие на реактивные изменения, связанные с дегенеративно-дистрофическим поражением диска, с пункцией диска и введением в него этилового спирта и папаина. С этой целью сразу после внутридискового введения препаратов в мягкие ткани шеи вводятся паравертебрально над областью соответствующего диска лекарственные вещества, способствующие быстрому обратному развитию реактивных изменений (витамины группы В, но-шпа, гидрокортизон);
- создание условий для стабилизации пораженных позвоночных сегментов и устранение неврологических нарушений — фиксация шейного отдела ортезом, обеспечивающая благоприятные условия для развития фиброзной ткани в пульпозном ядре, и медикаментозное лечение, направленное на улучшение трофики и регенеративных процессов в нервной ткани.
Результаты лечения изучены в сроки от 3 мес до 7 лет. Положительный эффект, состоявшийся в полном устранении или значительном уменьшении болевого синдрома, восстановлении объема движений в шейном отделе и плечевом суставе, а также исчезновении неврологической симптоматики, был достигнут по окончании лечения у 95,2% больных.
Сравнительная оценка динамики болевого синдрома в сроки от 1 года до 7 лет показала преимущество разработанного нами метода. После лечения этим методом в течение 1-го года боли и ощущение дискомфорта в шейном отделе отсутствовали у 73,7% больных, а в сроки от 5,5 до 7 лет — у 36,9%. При внутри- дисковом введении только 96% этилового спирта эти показатели оказались скромнее — соответственно 64,7 и 33,3%.
Основываясь на результатах экспериментального и клинического исследований, изучении ближайших и отдаленных исходов лечения, мы определили показания и противопоказания к применению разработанного нами метода.
Показаниями к лечению внутридисковым введением этилового спирта и малых доз папаина (лекозима) являются:
- шейный остеохондроз с наличием ирритативного корешкового болевого синдрома при безуспешности консервативной терапии;
- шейный остеохондроз, сопровождающийся плечелопаточным болевым синдромом с ограничением движений в плечевых суставах и легкими неврологическими расстройствами;
- тяжелая степень шейного остеохондроза с нейродистрофическими и миодистрофическими синдромами.
Противопоказаниями являются: наличие злокачественной опухоли, декомпенсированные пороки сердца, тяжелые поражения печени и почек, беременность. Аллергические заболевания и состояния после тяжелых инфарктов миокарда служат относительными противопоказаниями.
Таким образом, внутридисковое введение этилового спирта и малых доз папаина является патогенетически обоснованным методом лечения шейного остеохондроза, который при неэффективности комплексной консервативной терапии может заменить оперативное вмешательство, обеспечив устранение компрессии спинномозговых корешков и стабильность пораженного позвоночного сегмента.
About the authors
S. T. Vetrila
Central Institute of Traumatology and Orthopedics. N.N. Priorova
Author for correspondence.
Email: info@eco-vector.com
Russian Federation, Moscow
T. I. Pogozheva
Central Institute of Traumatology and Orthopedics. N.N. Priorova
Email: info@eco-vector.com
Russian Federation, Moscow
N. I. Styablin
Central Institute of Traumatology and Orthopedics. N.N. Priorova
Email: info@eco-vector.com
Russian Federation, Moscow
References
- Бычков С.М., Захарова М.М. //Вопр. мед. химии. — 1979. — Т. 25, N 3. — С. 227-237.
- Ветрилэ С.Т. //Диагностика и лечение повреждений и заболеваний опорно-двигательного аппарата. — М., 1987. — С. 55-60.
- Долгун А.П. Внутридисковая блокада и дерецепция в лечении плечелопаточного и других рефлекторных болевых синдромов шейного остеохондроза: Автореф. дис. ... канд. мед. наук. — Красноярск, 1971.
- Мусил Я., Новакова О. Кунц К. Современная биохимия в схемах. — М., 1981. — С. 162-173.
- Овсянников В.А. Дерецепция межпозвонковых дисков в патогенетическом лечении рефлекторых синдромов шейного остеохондроза: Автореф. дис. ... канд. мед. наук. — М., 1983.
- Осна А.И., Овсянников В.А., Евстифеев В.И. //Всесоюз. съезд нейрохирургов, 3-й: Тезисы докладов. — М., 1982. — С. 164-165.
- Павлова М.Н., Барер Ф.С., Погожева Т.П. //Цитология и генетика. — 1982. — N5. — С. 11-15.
- Павлова М.Н., Семенова Г.А. //Арх. анат. — 1989. — N 8. — С. 31-36.
- Попелянский Я.Ю. //Труды Казанского мед. ин-та. — 1981. — Т. 57. — С. 59-65.
- Попелянский Я.Ю. Болезни периферической нервной системы. — М., 1989.
- Чудновский Н.А. //Вопр. нейрохир. — 1985. — Вып.- С. 43-47.
- Юмашев Г.С., Фурман М.Е. Остеохондрозы позвоночника. — М., 1984.
- Buckwaiter J.A., Maynard J.A., Cooper R.R. //Clin. Orthop. — 1979. — N 139. — P. 259—266.
- Buckwalter J.A., Maynard J.A., Cooper R.R. //J. Bone Jt Surg. — 1985. — Vol. 67, N 2. — P. 284-295.
- Fernando J.C. et al. //Annual meeting International Intradiscal therapy society, 6-й. — 1996. — P. 27-28.
- Higuichi M., Abe K. //Spine. — 1985. — Vol. 10, N 7. — P. 638-643.
- Roblis-Marin J. //Rev. Chir. Orthop. — 1974. — Vol.60, N 5. — P. 349-363.
- Smith J.W., Serafini-Fracassini A. //J. Cell. Sci. — 1968. — Vol. 31. — P. 33-40.
- Stevens R.L., Dondi P.Y., Muir H. //Biochem. J. — 1979. - Vol. 179, N 3. — P. 573-578.
- Urban J., Maroudas A. //Connective Tissue Res. — 1981. — Vol. 9. — P. 1-10.
Supplementary files





