Methods for Diagnosing and Predicting Diaphragm Dysfunction in the Recovery Period of a Stroke: a Narrative Review
- Authors: Melnikova E.A.1, Starkova E.Y.1, Vladimirova N.N.2, Tsvetkova E.M.1,2, Litau V.Y.1
-
Affiliations:
- Moscow Regional Scientific Research Clinical Institute named after M.F. Vladimirsky
- Central Clinical Hospital with Polyclinics of Administration of President of the Russian Federation
- Issue: Vol 22, No 4 (2023)
- Pages: 138-149
- Section: Articles
- Published: 18.10.2023
- URL: https://journals.eco-vector.com/2078-1962/article/view/625001
- DOI: https://doi.org/10.38025/2078-1962-2023-22-4-138-149
- ID: 625001
Cite item
Full Text
Abstract
INTRODUCTION. Diaphragm is not only the main human respiratory muscle, it also plays an important role in maintaining intra-abdominal pressure, balance, upper limb motor function, swallowing and speech. In patients with cerebral stroke, the function of the diaphragm can be impaired on the side of hemiparesis in more than half of the cases and may negatively affect the entire recovery process. Moderate clinical manifestations of unilateral diaphragm dysfunction require special examination methods for diagnosis and planning of appropriate rehabilitation measures.
AIM. To analyze the predictors and compare of methods for diagnosing diaphragm dysfunction in patients with hemiparesis during the recovery period of stroke to improve the quality of the rehabilitation diagnosis and the effectiveness of further rehabilitation process.
DISCUSSION. An analysis of publications over the past five years was done. Anatomical and physiological aspects of the diaphragm are identified, and a comparison of manual and instrumental methods for the diaphragm function evaluation are presented. An assessment of diagnostic methods is given in terms of accuracy, accessibility and possibility of use for dynamic monitoring of patients. The main values of normal indicators of diaphragm function and their level in case of unilateral dysfunction are presented. Predictors of diaphragm dysfunction in patients with hemiparesis as a result of stroke are identified.
CONCLUSION. Timely diagnosis of diaphragm dysfunction will ensure the appropriate rehabilitation goal setting during the recovery period of a stroke and will help to optimize the interventions and increase the effectiveness of rehabilitation process. The information is addressed primarily to specialists working in rehabilitation. The search was carried out using the Pubmed and RSCI databases.
Full Text
ВВЕДЕНИЕ
Восстановление функций конечностей, постурального контроля и ходьбы входят в число первоочередных задач медицинской реабилитации после инсульта. Двигательные нарушения встречаются у 70–90 % пациентов в остром периоде инсульта, сохраняясь в 40–50 % случаях на срок свыше 6–12 месяцев [1]. Нарушения могут сохраняться у пациента годами, нарушая его повседневную активность. До 50 % пациентов впоследствии не могут достичь полной независимости [2]. Данные нарушения непосредственно связаны с морфологическими характеристиками скелетных мышц, таких как объем мышечной ткани, функциями силы и тонуса, уровнем активности в виде сократительной способности и выносливости [3]. Гораздо реже в реабилитационном диагнозе пациентов с инсультом специалисты оценивают нарушение функций диафрагмы (Код b4451 — «Функции диафрагмы» Международной классификации функционирования, ограничений жизнедеятельности и здоровья (МКФ)) [4], хотя данное осложнение встречается у 51,7 % пациентов в остром периоде инсульта [5] и в 46,7 % в восстановительном периоде [6]. Основной причиной недооценки данной дисфункции является малосимптомное течение одностороннего паралича диафрагмы при гемипарезе, а также его неспецифические проявления [7, 8]. Хотя данное нарушение оказывает негативное влияние на функции дыхания, баланса и восстановление функций мышц конечностей.
Диафрагма является главной дыхательной мышцей, обеспечивающей глубину и интенсивность вдоха и выдоха. Описаны дыхательные нарушения у пациентов с инсультом, связанные с дисфункцией диафрагмы [5]. Более того, диафрагма играет важную роль в поддержании внутрибрюшного давления, статического и динамического баланса, участвует в двигательных синергиях с мышцами плечевого пояса и верхней конечности согласно теории анатомических поездов Томаса Майерса [9].
Наиболее глубоко изучено нарушение функции диафрагмы у пациентов, находящихся длительно на искусственной вентиляции легких, или возникшее вследствие осложнений кардиохирургических вмешательств, таких как повреждение диафрагмального нерва. Для таких пациентов разработаны алгоритмы обследования и лечения. Однако не все методы обследования, применимые в условиях реанимационного отделения, подходят для реабилитации, к тому же пациенты в восстановительном периоде инсульта имеют определенные особенности.
Для оценки структуры и функции диафрагмы используются лучевые методы исследования (рентгеноскопия, компьютерная томография (КТ)), магнитно-резонансная томография (МРТ), ультразвуковое исследование (УЗИ), определение трансдиафрагмального давления [10], электромиография, инструментальные методы оценки функции внешнего дыхания, шкалы и тесты для оценки баланса [11–13]. На сегодняшний день нет единого алгоритма обследования реабилитационного пациента с целью выявления нарушения двигательной или сократительной функции диафрагмы (изменение экскурсии и утолщения мышцы в разные фазы дыхательного цикла). А с учетом ее глубокого расположения и сложностей визуализации количество неинвазивных и безопасных методов обследования ограничено. Целенаправленная оценка и коррекция функции диафрагмы при ее нарушении может повысить эффективность реабилитационных мероприятий, направленных на восстановление дыхательной функции, баланса и моторной функции верхней конечности [6].
ЦЕЛЬ
Обзор и сравнение современных методов диагностики дисфункции диафрагмы у пациентов с гемипарезом в восстановительном периоде инсульта для повышения качества постановки реабилитационного диагноза и эффективности реабилитационных мероприятий.
ОБСУЖДЕНИЕ
1. Диафрагма: строение, иннервация, функции
Диафрагма является куполообразной мышцей, разделяющей грудную и брюшную полости. Это самая крупная мышца в организме человека с точки зрения площади поверхности. Анатомически она состоит из трех частей: грудинной, берущей начало от задней части мечевидного отростка; реберной, начинающейся от внутренних поверхностей нижних ребер; поясничной, состоящей из правой и левой ножек, прикрепляющихся соответственно к передней поверхности трех (L1–L3) и двух (L1–L2) верхних поясничных позвонков. Медиальный край двух ножек образует сухожильную дугу, пересекающую переднюю часть аорты, называемую срединной дугообразной связкой. Все три части направляются медиально, образуя сухожильный центр диафрагмы.
По строению диафрагма относится к скелетным мышцам и состоит преимущественно из устойчивых к утомлению медленных мышечных волокон I типа и быстрых мышечных волокон II типа. Именно эти волокна диафрагмы наиболее активны (рабочий цикл ~ 40 %), они обеспечивают выполнение автоматического цикла дыхания. Мышечные волокна типа IIx/IIb, входящие в состав диафрагмы в меньшем количестве, задействуются только при произвольных движениях с усилием (рабочий цикл < 1 %) [14].
Во время вдоха укорочение мышечных волокон диафрагмы приводит к опусканию купола диафрагмы вниз, снижению внутриплеврального давления, расправлению легких и повышению внутрибрюшного давления. Сила, создаваемая диафрагмой, количественно определяется трансдиафрагмальным давлением (Pdi), которое представляет собой градиент давления, создаваемый между грудной и брюшной полостями во время сокращения диафрагмы [15].
Мышечная (средняя) часть диафрагмы покрыта с двух сторон фасцией, образующей многочисленные связки с близлежащими структурами и органами, а также обеспечивающей синергетическую связь с мышцами верхней конечности, груди, живота, и поясницы. Поверх фасции со стороны грудной полости к диафрагме прилегает плевра, а со стороны брюшной полости — брюшина. Рецепторы серозных оболочек, а также легких и самой диафрагмы передают импульсы через афферентные волокна аксонов диафрагмальных нервов к диафрагмальному двигательному ядру, расположенному в медиальной части вентральных рогов С3–С5. Оттуда по эфферентным волокнам диафрагмального нерва импульс передается на мышечную часть диафрагмы. Эта двигательная система помогает поддерживать дыхание на протяжении всей жизни, а также способствует поддержанию таких важных функций, как баланс, кашель, глотание и речь [16]. Постуральная функция диафрагмы не зависит от ее дыхательной активности и не снижается при увеличении напряжения мышц живота [17].
Повышение внутрибрюшного давления при сокращении диафрагмы укрепляет поясничный отдел позвоночника и стабилизирует его при произвольных движениях туловища и конечностей благодаря синергии диафрагмы с большой поясничной мышцей, квадратной мышцей поясницы и мышцами брюшного пресса. При сокращении нижних конечностей диафрагма не расслабляется полностью и остается в тоническом напряжении, поддерживая баланс тела [18].
2. Нарушение функции диафрагмы при инсульте
Нарушения функции диафрагмы в виде снижения сократительной способности и экскурсии во время дыхания на стороне гемипареза наблюдались в исследованиях в острую фазу инсульта у 51,7 % [5], а в восстановительном периоде у 46,7 % [6] пациентов. Дисфункция диафрагмы обусловлена вовлечением корково-диафрагмальных путей, а выраженность диафрагмальных расстройств дыхания коррелирует с выраженностью двигательных (пирамидных) нарушений [6]. На стороне гемипареза происходит уплощение и смещение купола диафрагмы, снижается экскурсия диафрагмы и диафрагмальное давление на вдохе и выдохе, что приводит к нарушению физиологического процесса дыхания. В острейшем периоде инсульта также может уменьшаться экскурсия и здоровой половины диафрагмы [19].
Двусторонний паралич диафрагмы при инсульте встречается редко и сопровождается выраженной клинической картиной дыхательной недостаточности, что облегчает постановку диагноза. Эвентрация диафрагмы чаще всего является врожденным дефектом либо вызывается повреждением диафрагмального нерва в результате осложнений хирургических вмешательств [18]. В доступных источниках у пациентов с инсультом не описана.
Наиболее частым клиническим проявлением дисфункции диафрагмы является дыхательная недостаточность. Вклад диафрагмы в дыхательный акт при спокойном дыхании, особенно в положении лежа на спине, достигает 70 % и более от общего объема дыхания [19]. Описаны случаи корреляции дисфункции диафрагмы с нарушением функции глотания [20], патологией вращательной манжеты плеча [21], нарушением постурального контроля [19].
3. Методы исследования функции диафрагмы
Для обследования функции диафрагмы применяются клинические (физикальные) и инструментальные методы обследования. Последние делятся на инвазивные и неинвазивные, визуализационные и измерительные. В основе всех методов, как правило, лежат измерения различных показателей диафрагмы (размеры, расстояния, давление, электрическая активность) в разные фазы дыхательного цикла или тестов на равновесие и баланс.
3.1. Физикальные методы обследования диафрагмы. Тесты и шкалы
3.1.1. Мануальная оценка диафрагмальной мышцы (Manual evaluation of diaphragm muscle — MED)
Техника, используемая мануальными и физическими терапевтами, позволяющая при помощи семи приемов определить эластичность и ригидность грудной клетки, диафрагмальных связок и экскурсию диафрагмы во время дыхания, обнаружить спазмированные, болезненные участки диафрагмы. Последовательно определяется реберная экскурсия (руки специалиста располагаются на боковых поверхностях грудной клетки), затем оценивается экскурсия диафрагмы в передних, латеральных, заднелатеральных отделах, в области куполов и мечевидного отростка грудины (руки специалиста располагаются под реберной дугой, оценивая во время дыхания движение диафрагмы). Затем определяется эластичность медиальных (в межостистых промежутках с Тh 11–12 до L 3–4) и латеральных (используя натяжение 12-го ребра) связок. Каждый из параметров оценивается по шкале от 1 до 5 баллов по степени ограничения движения диафрагмы. Исследование проводится в положении пациента сидя и лежа, занимает немного времени, практически не имеет противопоказаний, что делает его безопасным для постинсультных пациентов и привлекательным для использования в реабилитационном процессе [22, 23] (рис. 1).
Рис. 1. Методика мануальной оценки диафрагмальной мышцы [22] Примечание: A — определение движения ребер на вдохе; B — пальпация переднего отдела на вдохе; C — оценка куполов диафрагмы; D — оценка заднебоковых отделов; E — оценка области мечевидного отростка; F — оценка эластичности медиальных связок; G — оценка эластичности латеральных связок.
Fig. 1. Method for manual assessment of the diaphragmatic muscle [22] Note: A — determining the movement of the ribs on inspiration; B — palpation of the anterior section on inspiration; C — assessment of domes of the diaphragm; D — evaluation of the posterior-lateral sections; E — assessment of the area of the xiphoid process; F — assessment of the elasticity of the medial ligaments; G — assessment of the elasticity of the lateral ligaments.
3.1.2. Шкала баланса К. Берга (The Berg balance scale — BBS)
Шкала разработана специально для пациентов с церебральным инсультом, включает в себя 14 тестовых заданий из положения сидя и стоя. Каждое задание оценивается по 5-балльной шкале (от 0 до 4) в зависимости от полноты и времени выполнения. Таким образом, максимально возможный результат равен 56 баллам. Шкала широко используется для оценки риска падения (41–56 баллов соответствует низкому риску, 21–40 — среднему риску, ниже 20 баллов — высокому риску), а также для оценки эффективности реабилитационных мероприятий. Разница в 7–8 баллов может считаться существенным показателем улучшения функции баланса. Также отмечается корреляция результатов данной шкалы с нарушением функции диафрагмы, установленными другими методами [12].
3.1.3. Тест Фугла — Мейера (Fugl-Mayer assessment — FMA)
Инструмент для оценки неврологического дефицита у пациентов с постинсультным гемипарезом позволяет определять степень нарушения моторной функции (объем активных и пассивных, простых и сложных синергетических движений), рефлекторной активности, глубокой и поверхностной чувствительности, координации и болезненности. Оценка каждого параметра производится по 3-балльной шкале (от 0 до 2). Максимальное значение составляет 226 баллов (113 параметров). Инструмент хорошо зарекомендовал себя в нейрореабилитации, применяется специалистами в большинстве стран мира, включая Россию. Также отмечается положительная корреляция между результатом FMA и степенью дисфункции диафрагмы [13].
3.1.4. Диафрагмальный тест Бордони (Bordoni Diaphragm Test — BDT)
В основе данного теста лежит физиологическая реакция усиления мышц-стабилизаторов и улучшение координации при глубоком вдохе. Первая часть теста проводится в виде маршевой пробы Фукуда (Fukuda step test — FST) с небольшой адаптацией теста. Для безопасности пациента его руки располагаются на бедрах или опущены, а не вытянуты вперед, как при классическом тесте. Пациенту предлагается с закрытыми глазами совершить 50–60 шагов на месте, высоко поднимая бедра. Результат теста оценивается по углу отклонения пациента от первоначального положения. Вторая попытка проводится с добавлением глубокого вдоха в момент сгибания бедра. Достаточно сделать 2–4 вдоха, чтобы активизировать диафрагму и более интенсивно простимулировать вестибулярные центры и мозжечок, что улучшает результат по сравнению с первой пробой. Если этого не происходит, можно констатировать дисфункцию диафрагмы. Во второй части теста к вышеописанным действиям тестируемого добавляется участие специалиста, который в момент подъема бедра оказывает давление на него рукой сверху, усложняя задачу тестируемому. Тест может быть использован как индикатор наличия или отсутствия дисфункции диафрагмы и только у пациентов, не имеющих нейромоторных или когнитивных ограничений для его выполнения [11] (рис. 2).
Рис. 2. Диафрагмальный тест Бордони [11] Примечание: A — первый этап теста; B — второй этап теста.
Fig. 2. Bordoni Diaphragm Test [11] Note: A — the first stage of the test; B — the second stage of the test.
Простота и безопасность физикальных методов обследования (реабилитационных шкал и тестов) пациента делает их незаменимыми в практике реабилитолога и позволяет заподозрить или диагностировать нарушение функции диафрагмы уже на первом этапе обследования.
3.2. Инструментальные визуализационные методы обследования диафрагмы
Для определения расположения, формы, размеров и наличия дефектов диафрагмы используются статичные методы визуализации, такие как рентгенография, компьютерная томография (КТ) и магнитно-резонансная томография (МРТ). Для оценки экскурсии и изменения толщины диафрагмы в разные фазы вдоха и выдоха применяют динамические методы, такие как рентгеноскопия и ультразвуковое исследование (УЗИ) [18].
3.2.1. Рентгеноскопия и Sniff-тест
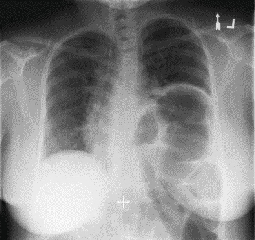
Рентгеноскопия во время глубокого дыхания позволяет оценить расположение и экскурсию диафрагмы. Проведение так называемого sniff-теста (резкий вдох через нос с имитацией нюхательного движения) является традиционной методологией, используемой для диагностики одностороннего паралича диафрагмы. Во время нюхательного маневра у пациентов с односторонним параличом диафрагмы здоровая половина диафрагмы опускается, в то время как пораженная половина совершает парадоксальное движение вверх. При подъеме половины диафрагмы на резком вдохе на 2 см и более тест считается положительным. Однако данный тест имеет ряд ограничений: он не очень специфичен (у 6 % здоровых людей тест положителен), более того, в 20 % случаев тест положителен при двустороннем поражении диафрагмы. У пациентов с двусторонней слабостью диафрагмы тест также может быть ложноотрицательным за счет расслабления мышц брюшной стенки в начале вдоха. В этом случае диафрагма опускается за счет смещения передней брюшной стенки наружу [23, 24] (рис. 3).
Рис. 3. Рентгенограмма грудной клетки в прямой проекции больного с хроническим подъемом левой половины диафрагмы неизвестной этиологии [23]
Fig. 3. Posterior-anterior projection upright chest radiograph of the patient with chronic left hemidiaphragm elevation from unknown etiology [23]
3.2.2. Компьютерная томография (КТ)
КТ не играет существенную роль в диагностике дисфункции диафрагмы, поскольку требует статичного положения пациента лежа на спине, а различные усилия на вдохе могут значительно изменить видимое положение диафрагмы. Основная роль КТ заключается в выявлении или исключении распространенных причин паралича диафрагмального нерва, особенно компрессионной или инфильтративной патологии в области шеи или грудной клетки. Некоторое время назад возлагались надежды на спиральную КТ, которая в ряде исследований была использована для расчета объема диафрагмы [18]. Данный параметр мог бы указать на мышечную силу диафрагмы. Однако на сегодняшний день ни один исследователь не подтвердил точность спиральной КТ для расчета объема диафрагмы [18].
3.2.3. Динамическая МРТ
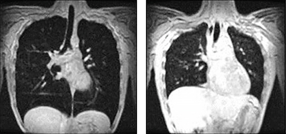
Динамическая МРТ является одним из наиболее информативных и точных визуализационных методов, позволяющих оценить экскурсию и степень утолщения различных отделов диафрагмы в разные фазы дыхательного цикла и при проведении специальных проб. Во многом благодаря данному методу были проведены замеры на здоровых добровольцах и созданы таблицы нормальных значений параметров диафрагмы, а также удалось подтвердить участие диафрагмы в стабилизации поясничного отдела позвоночника при произвольных движениях туловища и конечностей [18]. Из минусов данного метода диагностики стоит упомянуть ограниченную доступность и высокую стоимость исследования, а также его длительность (до 40 минут), что в некоторых случаях может быть препятствием его применения у постинсультных пациентов. Применение МРТ также ограничено у пациентов с металлическими имплантами и клаустрофобией [18] (рис. 4).
Рис. 4. Магнитно-резонансное изображение при максимальном вдохе и максимальном выдохе при 12-секундной задержке дыхания у здорового добровольца [18]
Fig. 4. Magnetic resonance images at maximum inhalation and maximum exhalation during 12-s inspiratory breath-hold (healthy volunteer) [18]
3.2.4. Ультразвуковое исследование диафрагмы
Исследование становится все более популярным среди специалистов. Метод позволяет визуализировать диафрагму, оценить ее форму и экскурсию, а также сделать измерения толщины (Tdi) и динамические оценки доли утолщения (TFdi) и экскурсии диафрагмы. Tdi и TFdi можно оценить с помощью ультразвука с высокочастотным линейным датчиком, расположенным на уровне зоны аппозиции. TFdi менее 20 % предлагается в качестве порогового значения, указывающего на наличие дисфункции диафрагмы. Существуют ограничения метода, связанные как с опытом оператора, так и с телосложением пациента. По данным ряда авторов, УЗИ диафрагмы имеет лучшую чувствительность, чем рентгеноскопия для обнаружения односторонней дисфункции диафрагмы, другие исследования подтвердили успешное использование ультразвука для мониторинга восстановления с течением времени. УЗИ имеет меньшую точность и большую зависимость от оператора по сравнению с КТ и МРТ, однако среди визуализационных методов является наиболее доступным, комфортным и безопасным для пациента [6, 17, 18, 23–26] (рис. 5).
Рис. 5. Ультразвуковое исследование диафрагмы [6] Примечание: А — УЗИ в В-режиме, где гиперэхогенная линия соответствует диафрагме, а пунктирная линия имеет угол около 30°; В — УЗИ в М-режиме, где амплитуда движения гиперэхогенной линии соответствует подвижности диафрагмы; С — ультрасонография в М-режиме, где пунктирная линия расположена на диафрагме, а толщину диафрагмы можно наблюдать во время дыхания; D — положение датчиков, где левая пунктирная линия представляет собой переднюю подмышечную линию, а правая пунктирная линия представляет собой срединно-ключичную линию, и два больших черных прямоугольника — места расположения низкочастотных датчиков, а меньший черный прямоугольник — место расположения высокочастотного датчика; Е — ультрасонография в М-режиме, показывающая измерение подвижности диафрагмы при спокойном и глубоком дыхании; F, G — УЗИ в B-режиме, показывающее измерение толщины диафрагмы в конце вдоха и в конце выдоха.
Fig. 5. Ultrasound examination of the diaphragm [6] Note: A — B-mode ultrasonography, where the hyperechoic line is the diaphragm, and the dotted has an angle of about 30°; B — M-mode ultrasonography, where the movement amplitude of the hyperechoic line is the mobility of the diaphragm; C — M-mode ultrasonography, where the dotted line is positioned on the diaphragm, and diaphragm thickness can be observed during breathing; D — the probes position, where the left dotted line is the anterior axillary line, and the right dotted line is the midclavicular line, and the two larger black boxes are low frequency probes, while the smaller black box is the high-frequency probe; E — M-mode ultrasonography showing the measurement of diaphragm mobility during quiet and deep breathing; F, G — B-mode ultrasonography showing the measurement of diaphragm thickness at end-inspiration and end-expiration.
3.3. Инструментальные измерительные методы
Основаны на сравнении полученных показателей во время исследования с возрастной нормой.
3.3.1. Максимальное произвольное ротовое или внутримасочное давление
Измерение максимального произвольного инспираторного (PI, max) и экспираторного (PЕ, max) (или MIP — maximal inspiratory pressure и MEP — maximal expiratory pressure) давления является наиболее простым неинвазивным методом оценки силы дыхательных мышц. Давление регистрируется во рту или в маске во время максимального произвольного вдоха (маневр Мюллера) или выдоха (маневр Вальсальвы) при перекрытых воздухоносных путях. Поскольку при выполнении таких маневров не происходит изменения легочного объема, величина измеряемого давления не зависит от свойств легких и отражает исключительно суммарную силу сокращений всех мышц, участвующих в акте вдоха или выдоха. Исследование может носить скрининговый характер и использоваться в сочетании с другими методами исследования, а также в качестве контроля эффективности проводимых реабилитационных мероприятий. Даже в том случае, когда MIP или MEP оказываются меньше нижней границы нормы, суммарная сила дыхательных мышц может быть достаточной для обеспечения нормальной жизненной емкости легких (ЖЕЛ) и поддержания необходимой вентиляции легких во время легких мышечных нагрузок. Примерно 5 % обследуемых людей, не имеющих клинической патологии респираторной системы, показывают значения MIP и MEP ниже физиологической нормы [27].
3.3.2. Спирометрия
Спирометрия представляет собой неинвазивный метод измерения воздушных потоков и объемов как функции времени с использованием форсированных маневров [28] и может лишь косвенно свидетельствовать о нарушении функции дыхательной мускулатуры (рестриктивный характер нарушений, снижение форсированной ЖЕЛ). Для получения более достоверной информации проводится последовательное исследование в положении стоя и лежа на спине. У лиц с нормальной функцией диафрагмы в положении лежа ЖЕЛ обычно снижается менее чем на 10 %. При снижении показателя на 10–30 % может быть заподозрена односторонняя дисфункция диафрагмы, а при снижении на 30–50 % — двусторонняя дисфункция [29].
3.3.3. Трансдиафрагмальное давление (Pdi)
Pdi представляет собой золотой стандарт теста на дисфункцию диафрагмы, позволяющий оценить сократительную способность, силовой резерв и устойчивость к утомлению, а также вклад диафрагмы в основные параметры внешнего дыхания в разные фазы дыхательного цикла. При выполнении исследования проводится одновременное измерение давления в желудке (Pga) и пищеводе (Poe) во время дыхательных маневров, при этом разница между пищеводным и желудочным давлением и является искомым показателем (Pdi = Poe − Pga). После установки катетеров измерения Pdi можно выполнять либо с помощью произвольных усилий (вдох, кашель), либо с помощью вызванных сокращений с использованием магнитной стимуляции диафрагмальных нервов, что повышает точность и воспроизводимость результатов. Трансдиафрагмальное давление при максимальном инспираторном усилии и сомкнутых голосовых связках в норме превышает 70–80 мм водного столба [29, 30]. В клинической практике метод широко не используется из-за необходимости размещения баллонных катетеров в желудке и пищеводе для получения измерения.
3.3.4. Электромиография (ЭМГ)
В сочетании со стимуляцией диафрагмального нерва ЭМГ может предоставить диагностическую информацию о целостности аксонов, миелиновой оболочки и нервно-мышечного соединения, которая может помочь в определении лежащей в основе дисфункции диафрагмы этиологии. Точка электрической или магнитной стимуляции выбирается обычно на шее, в проекции прохождения диафрагмального нерва. Электроды для записи ЭМГ размещают на краю реберной дуги. Для повышения точности исследования можно использовать транспищеводные или игольчатые электроды, однако такое исследование является инвазивным, следовательно, существенно возрастает риск осложнений при его проведении [15]. Метод используется в основном в исследовательской работе, в клинической практике применяется редко.
3.3.5. Стабилометрия
Стабилометрия — метод регистрации положения и колебаний проекции общего центра тяжести тела (ОЦТ) на плоскость опоры. Может являться косвенным методом оценки функции диафрагмы, участвующей в осуществлении функции баланса за счет поддержания внутрибрюшного давления. Проводится в положении обследуемого стоя, а также сидя, лежа и при выполнении различных диагностических тестов. Статическая стабилометрия представлена тестами на равновесие. Проводят исследования на платформе с открытыми и закрытыми глазами. Динамическая стабилометрия исследует основную стойку в изменяющихся внешних условиях (перемещение и наклоны платформы, движение окружающего пациента пространства). Большинство современных реабилитационных отделений располагают необходимым оборудованием для проведения исследования. Метод прост в использовании, может повторяться многократно во время проводимого курса лечения и использоваться для оценки эффективности реабилитационных мероприятий [31].
Конечно, мы перечислили лишь наиболее широко применимые методы диагностики дисфункции диафрагмы, актуальные в восстановительном периоде инсульта в условиях реабилитационного отделения. Сравнение методов исследования по трем параметрам: 1) точность и специфичность метода; 2) доступность оборудования, низкая стоимость исследования; 3) отсутствие ограничений для динамического (многократного) использования — приведено в табл. 1.
Таблица 1. Сравнение диагностических методов, применяемых для оценки функции диафрагмы [23]
Table 1. Comparison the diaphragm function evaluating methods [23]
Диагностический метод / Evaluation method | Точность и специфичность/ Accuracy and Specificity | Доступность оборудования, стоимость исследования / Accessibility of equipment, cost of evaluation | Отсутствие ограничений для динамического (многократного) использования / No restrictions for dynamic (multiple) use |
Мануальная оценка диафрагмальной мышцы / Manual evaluation of diaphragm muscle | ++ | +++ | +++ |
Шкала баланса Берга, тест Фугла — Майера, диафрагмальный тест Бордони (и другие шкалы оценки равновесия и неврологического дефицита) / Berg balance scale, Fugl-Mayer assessment, Bordoni diaphragmatic test (and other scales for balance and neurological deficit evaluation) | + | +++ | +++ |
Рентгеноскопия и снифф-тест / Fluoroscopy and sniff-test | ++ | ++ | + |
КТ и спиральная КТ / СT and spiral СT | ++ | + | + |
Динамическая МРТ / Dynamic MRI | +++ | + | ++ |
УЗИ / Ultrasound examination | +++ | +++ | +++ |
Максимальное произвольное ротовое давление / Maximum voluntary oral pressure | + | +++ | +++ |
Спирометрия / Spirometry | + | ++ | +++ |
Трансдиафрагмальное давление / Transdiaphragmatic pressure | +++ | + | + |
ЭМГ / Electromyography | ++ | ++ | ++ |
Стабилометрия / Stabilometry | + | +++ | +++ |
Примечание: + — ниже среднего; ++ — средний уровень; +++ — высокий уровень.
Note: + — below average; ++ — average level; +++ — high level.
Также в табл. 2 суммированы значения основных параметров диафрагмы в норме и при ее одностороннем поражении.
Таблица 2. Основные параметры диафрагмы в норме и при одностороннем поражении
Table 2. Main parameters of the normal diaphragm function and in case of unilateral lesions
Параметр / Parameter name | Значение в норме / Normal level | Значение при одностороннем поражении диафрагмы / Unilateral lesions level | Ссылка на источник / References |
ЖЕЛ в вертикальном положении / Upright vital capacity (VC) | Определяется по таблице должных значений с учетом возраста и пола / Due values, according to age and gender | 70–100 % от должной величины / 70–100 % from due values | |
ЖЕЛ в положении лежа / Vital capacity in supine position | Снижается на 0–10 % от ЖЕЛ стоя / 0–10 % decrease vs. VC in upright position | Снижается на 10–30 % от ЖЕЛ стоя / 10–30 % decrease vs. VC in upright position | |
Трансдиафрагмальное давление при максимальном инспираторном усилии / Transdiaphragmatic pressure at maximum inspiratory effort | ≥ 80 cм вод. ст. у мужчин ≥ 70 cм вод. ст. у женщин / ≥ 80 cm H2O in men ≥ 70 cm of H2O in women | 40–70 см вод. ст. / 40–70 cm of H2O | [15] |
Индекс утолщения диафрагмы на вдохе / Inspiratory diaphragm thickening index | ≥ 20% | ≤ 20% | |
Экскурсия диафрагмы при спокойном дыхании / Diaphragm excursion during quiet breathing | 18 ± 3 мм у мужчин 16 ± 3 мм у женщин / 18 ± 3 mm in men 16 ± 3 mm in women | 13 ± 0,54 mm | |
Экскурсия диафрагмы при глубоком дыхании / Diaphragm excursion during deep breathing | 70 ± 11 мм у мужчин 57 ± 10 мм у женщин / 70 ± 11 mm in men 57 ± 10 mm in women | 31,7 ± 1,52 mm |
J.V. Catala-Ripoll с соавторами исследовали 160 пациентов с различными типами инсульта с целью выявления предикторов дисфункции диафрагмы. Исследовались демографические характеристики пациентов, локализация поражения, степень пареза и других нарушений в различные сроки (от острого периода до 6 месяцев с момента события). В результате проведенного исследования было выявлено, что нарушения функции диафрагмы у пациентов с последствиями инсульта связаны с локализацией поражения — территория средней мозговой артерии, оценкой выше 6 баллов по шкале инсульта Национального института здоровья (NIHSS) (68 против 24 %, p = 0,023) и наличием гемипареза (р = 0,01). При этом у пациентов с высокой степенью гемипареза (1–3 по шкале MRC — Medical Research Council) дисфункция диафрагмы наблюдалась в 100 % случаев при обычном (нефорсированном) дыхании. При более низкой степени пареза частота дисфункции диафрагмы была существенно ниже. В остром периоде инсульта дисфункция диафрагмы встречалась чаще, чем в восстановительном. Женский пол также можно считать предиктором диафрагмальной дисфункции, что может быть связано с анатомическими особенностями (меньший объем мышцы и меньшая экскурсия) [5].
ЗАКЛЮЧЕНИЕ
Нарушение функции диафрагмы на стороне гемипареза у пациентов с инсультом наблюдается почти в половине случаев, однако часто протекает малосимптомно, маскируется за более выраженными симптомами, и, как следствие, редко отражается в реабилитационном диагнозе. Нарушение функции диафрагмы влияет негативно на функции дыхания, равновесия, глотания, речи, моторную функцию плечевого пояса и верхней конечности. Своевременная диагностика нарушения функции диафрагмы позволит включить в реабилитационный комплекс специальные методы лечения, тем самым повысив общую эффективность восстановительного процесса.
В арсенале реабилитолога сегодня находится множество диагностических методов от простых физикальных до сложных инструментальных, применять которые стоит с учетом клинической картины, необходимости и противопоказаний у каждого конкретного пациента. Гемипарез от умеренной до тяжелой степени уже является предиктором возможной дисфункции диафрагмы, а низкие результаты оценочных шкал равновесия и неврологического дефицита должны подтолкнуть врача к проведению дополнительных тестов и исследований (MED, BDT, МЕP/MIP, спирометрия, УЗИ или рентгеноскопия). В большинстве случаев данных методов будет достаточно, чтобы оценить состояние функции диафрагмы, однако в более сложных можно использовать ЭМГ, динамическую МРТ, определение трансдиафрагмального давления, а также полисомнографию и ряд других методик.
Исследования в динамике позволят оценить объективно результат проведенных реабилитационных мероприятий.
About the authors
Ekaterina A. Melnikova
Moscow Regional Scientific Research Clinical Institute named after M.F. Vladimirsky
Email: elena.starkova@inbox.ru
ORCID iD: 0000-0002-7498-1871
Dr. Sci. (Med.), Professor of the Course of Rehabilitation and Physiotherapy at the Department of Traumatology and Orthopedics
Russian Federation, MoscowElena Yu. Starkova
Moscow Regional Scientific Research Clinical Institute named after M.F. Vladimirsky
Email: starkova@inbox.ru
ORCID iD: 0000-0001-9371-5934
Research of Physiotherapy and Rehabilitation Department, Assistant Professor at the Department of Traumatology and Orthopedics
Russian Federation, MoscowNadezhda N. Vladimirova
Central Clinical Hospital with Polyclinics of Administration of President of the Russian Federation
Email: elena.starkova@inbox.ru
ORCID iD: 0000-0002-8929-3748
Ph. D. (Med.), Vice Chief Medical Officer (Therapy)
Russian Federation, MoscowEvgeniya M. Tsvetkova
Moscow Regional Scientific Research Clinical Institute named after M.F. Vladimirsky; Central Clinical Hospital with Polyclinics of Administration of President of the Russian Federation
Email: elena.starkova@inbox.ru
ORCID iD: 0009-0000-1761-4859
Executive Head of Rehabilitation center, Central Clinical Hospital with Polyclinics of Administration of President of the Russian Federation, Research officer of the Department of Physiotherapy and Rehabilitation, Moscow Regional Scientific Research Clinical Institute named after M.F. Vladimirsky
Russian Federation, Moscow; MoscowVladislav Yu. Litau
Moscow Regional Scientific Research Clinical Institute named after M.F. Vladimirsky
Author for correspondence.
Email: elena.starkova@inbox.ru
ORCID iD: 0009-0003-6255-405X
Senior Lecturer at the Department of Traumatology and Orthopedics
Russian Federation, MoscowReferences
- Левин О.С., Боголепова А.Н. Постинсультные двигательные и когнитивные нарушения: клинические особенности и современные подходы к реабилитации. Журнал неврологии и психиатрии им. С.С. Корсакова. 2020; 120 (11): 99–107. https://doi.org/10.17116/jnevro202012011199 [Levin O.S., Bogolepova A.N. Poststroke motor and cognitive impairments: clinical features and current approaches to rehabilitation. Zhurnal Nevrologii i Psikhiatrii imeni S.S. Korsakova. 2020; 120 (11): 99–107. https://doi.org/10.17116/jnevro202012011199 (In Russ.).]
- O’Dell M.W. Stroke Rehabilitation and Motor Recovery. Continuum (Minneap Minn). 2023; 29(2): 605–627. https://doi.org/10.1212/CON.0000000000001218
- Beckwée D., Cuypers L., Lefeber N. et al. Skeletal Muscle Changes in the First Three Months of Stroke Recovery: A Systematic Review. Journal of Rehabilitation Medicine. 2022; 54: jrm00308. https://doi.org/10.2340/jrm.v54.573
- World Health Organization, International Classification of Functioning, Disabilities and Health (ICF). 2023. https://www.who.int/standards/classifications/international-classification-of-functioning-disability-and-health (accessed 06.05.2023).
- Catalá-Ripoll J.V., Monsalve-Naharro J.Á., Hernández-Fernández F. Incidence and predictive factors of diaphragmatic dysfunction in acute stroke. BMC Neurology. 2020; 20(1): 79. https://doi.org/10.1186/s12883-020-01664-w
- Liu X., Qu Q., Deng P. et al. Assessment of Diaphragm in Hemiplegic Patients after Stroke with Ultrasound and Its Correlation of Extremity Motor and Balance Function. Brain Sciences. 2022; 12(7): 882. https://doi.org/10.3390/brainsci12070882
- Bonnevie T., Gravier F.E., Ducrocq A. et al. Exercise testing in patients with diaphragm paresis. Respiratory Physiology & Neurobiology. 2018; 248(1): 31–35. https://doi.org/10.1016/j.resp.2017.11.006
- Kılıçoğlu M.S., Yurdakul O.V., Çelik Y., Aydın T. Investigating the correlation between pulmonary function tests and ultrasonographic diaphragm measurements and the effects of respiratory exercises on these parameters in hemiplegic patients. Top Stroke Rehabilitation. 2022; 29(3): 218-229. https://doi.org/10.1080/10749357.2021.1911748
- Anatomy Trains Myofascial Meridians for Manual Therapists and Movement Professionals. 4th Edition. 2020; 378 р.
- Supinski G.S., Morris P.E., Dhar S., Callahan LA. Diaphragm Dysfunction in Critical Illness. Chest. 2018; 153(4): 1040-1051. https://doi.org/10.1016/j.chest.2017.08.1157
- Bordoni B., Escher A.R. Functional evaluation of the diaphragm with a noninvasive test. Journal of Osteopathic Medicine. 2021; 121(11): 835-842. https://doi.org/10.1515/jom-2021-0101
- Miranda-Cantellops N., Tiu T.K. Berg Balance Testing. StatPearls Publishing; February 17, 2023.
- Hernández E.D., Galeano C.P., Barbosa N.E. Intra- and inter-rater reliability of Fugl-Meyer Assessment of Upper Extremity in stroke. Journal Rehabilitation Medicine. 2019; 5(9): 652–659. https://doi.org/10.2340/16501977-2590
- Brown A.D., Fogarty M.J., Sieck G.C. Mitochondrial morphology and function varies across diaphragm muscle fiber types. Respiratory Physiology & Neurobiology. 2022; 295(1): 103780. https://doi.org/10.1016/j.resp.2021.103780
- Schepens T., Fard S., Goligher E.C. Assessing Diaphragmatic Function. Respiratory Care. 2020; 65(6): 807-819. https://doi.org/10.4187/respcare.07410
- Fuller D.D., Rana S., Smuder A.J., Dale E.A. The phrenic neuromuscular system. Handbook of Clinical Neurology. 2022; 188: 393–408. https://doi.org/10.1016/B978-0-323-91534-2.00012-6
- Sembera M., Busch A., Kobesova A. et al. Postural-respiratory function of the diaphragm assessed by M-mode ultrasonography. PLoS One. 2022; 17(10): e0275389. https://doi.org/10.1371/journal.pone.0275389
- Laghi F.A. Jr, Saad M., Shaikh H. Ultrasound and non-ultrasound imaging techniques in the assessment of diaphragmatic dysfunction. BMC Pulmonary Medicine. 2021; 21(1): 85. https://doi.org/10.1186/s12890-021-01441-6
- Чучалин А.Г., Гусев Е.И., Мартынов М.Ю., Ким Т.Г., Шогенова Л.В. Дыхательная недостаточность в остром периоде церебрального инсульта: факторы риска и механизмы развития. Журнал неврологии и психиатрии им. С.С. Корсакова. 2020; 120(7): 716. https://doi.org/10.17116/jnevro20201200717 [Chuchalin A.G., Gusev E.I., Martynov M.Yu., Kim T.G., Shogenova L.V. Pulmonary insufficiency in acute stroke: risk factors and mechanisms of development. Zhurnal Nevrologii i Psikhiatrii imeni S.S. Korsakova. 2020; 120(7): 716. https://doi.org/10.17116/jnevro20201200717 (In Russ.).]
- Yun R.Y., Park H.E., Hong J.W. et al. Correlation of Swallowing Function with Bilateral Diaphragmatic Movement in Hemiplegic Stroke Patients. Annals of Rehabilitation Medicine. 2019; 43(2): 156–162. https://doi.org/10.5535/arm.2019.43.2.156
- Fernández-López I., Peña-Otero D., Atín-Arratibel MLÁ. Effects of diaphragm muscle treatment in shoulder pain and mobility in subjects with rotator cuff injuries: A dataset derived from a pilot clinical trial. Data in Brief. 2021; 35(02): 106867. https://doi.org/10.1016/j.dib.2021.106867
- Bordoni B., Morabito B. The Diaphragm Muscle Manual Evaluation Scale. Cureus. 2019; 11 (4): e4569. https://doi.org/10.7759/cureus.4569
- Starkova E. Diaphragm dysfunction. Mendeley Data. 2023; V1: https//doi.org/10.17632/mw3kjjs933.1
- Fayssoil A., Nguyen L.S., Ogna A. Diaphragm sniff ultrasound: Normal values, relationship with sniff nasal pressure and accuracy for predicting respiratory involvement in patients with neuromuscular disorders. PLoS One. 2019; 14(4): e0214288. https://doi.org/10.1371/journal.pone.0214288
- Chen Y., Zhou S., Liao L. et al. Diaphragmatic ultrasound can help evaluate pulmonary dysfunction in patients with stroke. Frontiers in Neurology. 2023; 14(4): 1061003. https://doi.org/10.3389/fneur.2023.1061003
- Santana P.V., Cardenas L.Z., Albuquerque A.L.P. et al. Diaphragmatic ultrasound: a review of its methodological aspects and clinical uses. Jornal Brasileiro de Pneumologia. 2020; 46(6): e20200064. https://doi.org/10.36416/1806-3756/e20200064
- Сегизбаева М.О., Александрова Н.П. Оценка функционального состояния дыхательных мышц: методические аспекты и интерпретация данных. Физиология человека. 2019; 45 (2): 115–127. https://doi.org/10.1134/S0131164619010120 [Segizbaeva M.O., Aleksandrova N.P. Otsenka funktsionalnogo sostoyaniya dykhatelnykh myshts: metodicheskiye aspekty I interpretatsia dannykh. Zhurnal Fiziologiya cheloveka. 2019; 45 (2): 115–127. https://doi.org/10.1134/S0131164619010120 (In Russ.).]
- Чучалин А.Г., Айсанов З.Р., Чикина С.Ю. и т.д. Федеральные клинические рекомендации Российского респираторного общества по использованию метода спирометрии. 2014; 6: 11–24. https://doi.org/10.18093/0869-0189-2014-0-6-11-24 [Chuchalin A.G., Aysanov Z.R., Chikina S.Yu. et al. Federalnye klinicheskiye rekomendatsii Rossiyskogo respiratornogo obschestva po ispolzovaniyu metoda spirometrii. 2014; 6: 11–24. https://doi.org/10.18093/0869-0189-2014-0-6-11-24 (In Russ.).]
- Hannan L.M., De Losa R., Romeo N., Muruganandan S. Diaphragm dysfunction: a comprehensive review from diagnosis to management. Journal of Internal Medicine. 2022; 52(12): 2034–2045. https://doi.org/10.1111/imj.15491
- Caleffi-Pereira M., Pletsch-Assunção R., Cardenas L.Z. et al. Unilateral diaphragm paralysis: a dysfunction restricted not just to one hemidiaphragm. BMC Pulmonary Medicine. 2018; 18(1): 126. https://doi.org/10.1186/s12890-018-0698-1
- Костенко Е.В., Петрова Л.В., Рыльский А.В., Энеева М.А. Эффективность коррекции постинсультных двигательных нарушений с применением методов функциональной электростимуляции и БОС-стабиломеритрического постурального контроля. Журнал Неврология и психиатрия. 2019; 119(1): 23–30. https://doi.org/10.17116/jnevro201911901123 [Kostenko E.V., Petrova L.V., Rylsky A.V., Eneeva M.A. Effectiveness of correction of post-stroke motor disorders using the methods of functional electrostimulation and BFB-stabilometric postural control. Neurology and Psychiatry. 2019; 119(1): 23–30. https://doi.org/10.17116/jnevro201911901123 (In Russ.).]
- Yamaguti W.P., Sakamoto E.T., Panazzolo D. et al. Diaphragmatic mobility in healthy subjects during incentive spirometry with a flow-oriented device and with a volume-oriented device. Journal Brasileiro Pneumologia. 2010; 36(6): 738-45. https://doi.org/10.1590/s1806-37132010000600011
- Park G.Y., Kim S.R., Kim Y.W. et al. Decreased diaphragm excursion in stroke patients with dysphagia as assessed by M-mode sonography. Archive of Physical Medicine Rehabilitation. 2015; 96(1): 114-21. https://doi.org/10.1016/j.apmr.2014.08.019
- Choi Y.M., Park G.Y., Yoo Y. et al. Reduced Diaphragm Excursion During Reflexive Citric Acid Cough Test in Subjects with Subacute Stroke. Respiratory Care. 2017; 62(12): 1571–1581. https://doi.org/10.4187/respcare.05488
- Yoon S.Y., Moon H.I., Kim J.S. et al. Comparison Between M-Mode Ultrasonography and Fluoroscopy for Diaphragm Excursion Measurement in Patients With Acquired Brain Injury. Journal Ultrasound in Medicine. 2020; 39(3): 535–542. https://doi.org/10.1002/jum.15130
- Kabil A.E., Sobh E., Elsaeed M. et al. Diaphragmatic excursion by ultrasound: reference values for the normal population; a cross-sectional study in Egypt. Multidiscipliinary Respiratory Medicine. 2022; 17: 842. https://doi.org/10.4081/mrm.2022.842
Supplementary files








