Эффективность применения программ санаторно-курортного лечения женщин с хроническим эндометритом: проспективное рандомизированное исследование
- Авторы: Кончугова Т.В.1, Котенко Н.В.1, Юрова О.В.1, Борисевич О.О.1
-
Учреждения:
- ФГБУ «Национальный медицинский исследовательский центр реабилитации и курортологии» Минздрава России
- Выпуск: Том 22, № 6 (2023)
- Страницы: 8-20
- Раздел: Статьи
- Статья опубликована: 25.12.2023
- URL: https://journals.eco-vector.com/2078-1962/article/view/627413
- DOI: https://doi.org/10.38025/2078-1962-2023-22-6-8-20
- ID: 627413
Цитировать
Полный текст
Аннотация
ВВЕДЕНИЕ. Проблема рецидивирующих антибиотикорезистентных урогенитальных инфекций быстро нарастает, патогены становятся полирезистентными, повышается риск неэффективности стандартной терапии. Санаторно-курортное лечение хронических воспалительных заболеваний органов малого таза женщин позволяет решать данные задачи при помощи природных и преформированных физических факторов.
ЦЕЛЬ. Изучить клиническую эффективность комплексных программ санаторно-курортного лечения, включающих естественные и преформированные лечебные факторы, у пациенток с хроническим эндометритом и рецидивирующими вульвовагинальными инфекциями.
МАТЕРИАЛЫ И МЕТОДЫ. В проспективное рандомизированное исследование включены 73 пациентки в возрасте 35 ± 10 лет, с диагнозом «хронический эндометрит» в сочетании с рецидивирующими урогенитальными инфекциями. Контрольная группа (n = 25) получала «базовую» терапию, включающую электроимпульсную терапию, хлоридные натриевые гидродинамические ванны. Группа сравнения (n = 24) получала «базовую» терапию и мануальную терапию. Основная группа (n = 24) получала «базовую» терапию в сочетании с высокоинтенсивным импульсным магнитным полем и мануальную терапию. Диагностическими критериями для оценки эффективности являлись: иммуногистохимическое исследование эндометрия на 20–23-й день менструального цикла, эхографическое исследование, допплерометрия сосудов малого таза, лазерная допплеровская флоуметрия.
РЕЗУЛЬТАТЫ И ОБСУЖДЕНИЕ. После лечения в контрольной группе, группе сравнения и основной группе отмечалось достоверное увеличение индекса артериальной перфузии матки по сравнению с исходными показателями. Медиана данного показателя увеличилась в группах исследования в 2,36, 2,4 и 2,6 раза (p < 0,05) соответственно. Снижение максимальной пиковой скорости в группе сравнения и основной группе превышало аналогичные показатели в контрольной (p < 0,001). Систоло-диастолическое отношение снижалось в группе сравнения и основной группе (p < 0,05). Уменьшение застойных явлений в венулярном звене микроциркуляции, нормотонический тип микроциркуляции, улучшение эндотелиальной функции (p < 0,01) выявлены в основной группе исследования.
ЗАКЛЮЧЕНИЕ.Разработан алгоритм применения факторов физиолечения, бальнеолечения, мануальной терапии у пациенток с хроническими воспалительными заболеваниями органов малого таза. При выявлении гипоплазии эндометрия, сниженной перфузии матки, повышенного индекса резистентности маточных артерий рекомендована «базовая» терапия, включающая хлоридные натриевые ванны и амплипульстерапию. При повышении максимальной пиковой скорости кровотока, увеличении систоло-диастолического соотношения необходимо добавление к «базовой» терапии курса мануальной терапии. При выявлении нарушений венозного оттока дополнительно рекомендовано включать высокоинтенсивную импульсную магнитотерапию.
Полный текст
ВВЕДЕНИЕ
Переход к персонализированной медицине и технологиям здоровьесбережения в настоящее время является приоритетной стратегией научно-технического развития Российской Федерации согласно Указу Президента Российской Федерации от 1 декабря 2016 г. № 642 «О Стратегии научно-технологического развития Российской Федерации». Соответственно данной Стратегии разрабатываются комплексные физиотерапевтические технологии восстановительной медицины, основанные на персонифицированном подходе и которые могут применяться у пациенток с рецидивирующими воспалительными заболеваниями урогенитальной системы.
Проблема лечения рецидивирующих урогенитальных инфекций, устойчивых к антибак териальным препаратам, быстро нарастает, многие патогены становятся полирезистентными, что несет сопутствующий повышенный риск неэффективности стандартной терапии [1]. Чрезмерное и неправильное использование антибиотиков, несмотря на разработку современных лекарств фармацевтической промышленностью, является наиболее важной причиной кризиса устойчивости к антибиотикам [2].
Приобретение микроорганизмами резистентных свойств к антимикробным препаратам становится в последние годы значимой проблемой. Антибиотикорезистентность ответственна за затяжное течение урогенитальных болезней и рецидивирующий характер инфекций [7, 8].
В последнее время парадигма лечения инфекционных заболеваний начала меняться, поскольку была установлена концепция микробиома [3]. «Проект человеческого микробиома» был запущен в 2007 г. для биомедицинских исследований [4]. У женщин репродуктивного возраста на микробиоценоз влагалищной среды влияют такие факторы, как возраст, сексуальная активность, беременность и экзогенные гормоны [4, 5].
Роль вагинального микробиома в фертильности недостаточно ясна. Хотя, по современным данным, доказано, что известные патогены, такие как Mycoplasma tuberculosis, Chlamydia trachomatis и Neisseria gonorrhoeae, могут вызывать бесплодие, субклинические изменения микробиоты при таких состояниях, как бактериальный вагиноз, также считаются факторами риска бесплодия [6].
Становится актуальной задача не только лечения урогенитальных инфекций, поиска медикаментозных и немедикаментозных технологий борьбы с возбудителями инфекционных заболеваний, но и разработка приоритетных способов управления регуляторными механизмами укрепления здоровья, влияние на иммунный статус, гормональную функцию, вегетативную нервную систему, формирование «здорового микробиома», коррекцию психоэмоциональных расстройств и формирование здоровых социальных взаимоотношений [9, 10]. Лечение женщин с хроническими воспалительными заболеваниями органов малого таза, которое проводится в условиях санаторно-курортных организаций, позволяет решать данные задачи при помощи немедикаментозных методов, с применением природных и преформированных факторов.
ЦЕЛЬ
Изучить клиническую эффективность комплексных программ санаторно-курортного лечения, включающих естественные и преформированные лечебные факторы, применяемые у пациенток с хроническим эндометритом, сочетанным с рецидивирующими вульвовагинальными инфекциями.
МАТЕРИАЛЫ И МЕТОДЫ
Все пациентки, включенные в клиническое исследование, были информированы о характере проведения клинического исследования, методах воздействия, о возможных побочных явлениях, методах проводимого лечения. Для уменьшения систематической ошибки при проверке эффективности комплексных программ санаторно-курортного лечения методом рандомизации проводилось случайное распределение в группы исследования путем созданной последовательности распределения, с использованием генератора случайных чисел. Дизайн исследования был составлен согласно требованиям CONSORT к нефармакологическим исследованиям, учитывались принципы надлежащей клинической практики (Good Clinical Practice — GCP).
В данное проспективное контролируемое клиническое исследование были включены 73 пациентки с диагнозом «хроническая воспалительная болезнь матки» (МКБ N71.1), «подострый и хронический вагинит» (МКБ N76.1), «воспалительная болезнь шейки матки» (МКБ N72). Исследуемые женщины находились в возрастном диапазоне от 25 до 45 лет, средний возраст составил 36 [30, 5; 41, 5] лет.
Критерии включения в клиническое исследование: хронический эндометрит, сочетанный с рецидивирующими урогенитальными инфекциями, выявленный у женщин, в возрасте 25–45 лет. Критерии невключения: синдром раннего истощения функции яичников, в том числе в следствие воздействия ятрогенных факторов, уровень гормонов в сыворотке крови: ФСГ — более 25 мМЕ/мл, эстрадиол — менее 120 пмоль/мл, острые воспалительные заболевания, внутриматочные вмешательства в течение последнего месяца, доброкачественные и злокачественные опухоли, пролиферативные заболевания органов малого таза, миома матки более 6 недель беременности, патология молочных желез по шкале оценки результатов маммографии BI-RADS 3, беременность, период лактации.
В комплексные программы лечения были включены методики применения природных и преформированных факторов с высокой степенью доказательности, воздействующие на патогенетические механизмы возникновения и течения хронических воспалительных заболеваний органов малого таза.
Были сформированы группы исследования, различающиеся по факторам лечебного воздействия:
- 1-я группа (n = 25) — контрольная группа, включала применение электроимпульсной терапии по брюшно-крестцовой методике, хлоридные натриевые гидродинамические ванны;
- 2-я группа (n = 24) — группа сравнения, включала применение электроимпульсной терапии по брюшно-крестцовой методике, хлоридные натриевые гидродинамические ванны, мануальную терапию;
- 3-я группа (n = 24) — основная группа, включала применение электроимпульсной терапии по брюшно-крестцовой методике, воздействие высокоинтенсивным импульсным магнитным полем, хлоридные натриевые гидродинамические ванны, мануальную терапию.
Этап противовоспалительного лечения острых инфекционных заболеваний органов малого таза проводился не менее 3 месяцев до начала клинического исследования, с применением антибиотикотерапии при выявлении чувствительности к препаратам.
Программы санаторно-курортного лечения включали методы, способствующие улучшению регенерации тканей, антиадгезивному дефиброзирующему эффекту, снижению оксидативных стрессовых факторов в тканях, нормализации показателей микроциркуляции (ПМ), включающих снижение спастичности сосудов, улучшение венозного возврата крови.
Электроимпульсная терапия применялась в виде синусоидальных модулированных токов на аппарате ИОНОСОН-Эксперт (PHYSIOMED Elektromedizin AG, Германия) по брюшно-крестцовой методике. Воздействие производилось с частотой 5000 Гц, в режиме ритмически меняющихся частот, диапазон — от 50 до 250 Гц, длительность одной процедуры составляла 10 минут, курс воздействия — 10 процедур.
Применялось высокоинтенсивное фокусированное электромагнитное поле (магнитная индукция от 0,5 до 2,5 Тл) от аппарата «BTL EMSELLA», (БТЛ Индастриз Инк. / BTL Industries Inc., Бостон, Массачусетс, США). Длительность процедуры составляла 15–28 минут, курс воздействия — 10 процедур.
Мануальная терапия проводилась для коррекции нарушений со стороны пояснично-крестцового отдела позвоночника, симметрии и баланса таза, тазобедренных суставов, функциональной активности миофасциальной системы органов малого таза. Использовалась запатентованная методика мануальной терапии, состоящая из 6 техник воздействия на мягкие ткани (заявка патент № 2740264, дата подачи 13.05.2020, дата публикации: 12.01.2021). Курс лечения составил 5 процедур, проводимых через 1–2 дня.
Для хлоридных натриевых ванн (рапных ванн) применялся рассол из скважины ФГБУ «НМИЦ РК» Минздрава России, вода высокой степени минерализации (90,0 г/дм). Применялись общие хлоридные натриевые ванны с концентрацией рассола 40 г/л. Продолжительность процедуры составляла 15 минут, температура ванн — 37 °С, курс — 10 процедур.
Диагностическими критериями для оценки эффективности применения программ санаторно-курортного лечения являлись данные гистологического и иммуногистохимического исследования эндометрия в фазу «окна имплантации» — 20–24-й день менструального цикла (6–10-й день после овуляции). Исследования препаратов биопсии эндометрия проводились с использованием меченных флюоресцирующими веществами антител для определения рецептивности эндометрия. Из полости матки до лечения проводился забор мазка на выявление условно-патогенных инфекций и инфекций, передающихся половым путем.
Цитологическое исследование вагинальных и цервикальных мазков проводилось с целью выявления вагинальной инфекции. Забор проводился также в фазу «окна имплантации» для оценки гормонального фона (кариопикнотический индекс, индекс созревания).
Ультразвуковая диагностика, допплерометрия сосудов малого таза выполнялись с помощью вагинального датчика на аппарате ультразвуковой диагностики GE Voluson E6, GE Healthcare Austria GmbH & Co OG, США. Ультразвуковое исследование проводилось на 5–8-й день менструального цикла и во второй фазе менструального цикла на 21–23-й день.
Согласно балльной системе оценки критериев хронического эндометрита [11], применялась интегративная шкала ультразвуковых признаков, с помощью которой определялся интегральный параметр для выявления структурной патологии эндометрия, который при хроническом эндометрите соответствовал 4 баллам и более (табл. 1).
Таблица 1. Балльная система оценки хронического эндометрита по ультразвуковым критериям
Table 1. Scoring system for chronic endometritis assessment using the ultrasonic criteria
Признак / Sign | Количество баллов/ Number of points |
Толщина эндометрия менее 7 мм в период “имплантационного окна“ на 21–23-й день менструального цикла / The thickness of the endometrium is less than 7 mm during the “implantation window“ on day 21–23 of the menstrual cycle | 1 |
Неровный наружный контур эндометрия/ Irregular outer contour of the endometrium | 1 |
Неровная линия смыкания переднего и заднего листков эндометрия/ Irregular line of closure of the anterior and posterior endometrial layers | 1 |
Неравномерное повышение эхогенности эндометрия в пролиферативную фазу/ Uneven increase in endometrial echogenicity during the proliferative phase | 1 |
Гиперэхогенные включения в проекции базального слоя/ Hyperechoic inclusions in the basal layer projections | 2 |
Неравномерное расширение полости матки в пролиферативную фазу/ Uneven expansion of the uterine cavity during the proliferative phase | 1 |
Синехии в полости матки/ Synechia in the uterine cavity | 2 |
Расширение вен миометрия более 3 мм/ The expansion of the myometrial veins is more than 3 mm | 1 |
При исследовании кровотока в маточных артериях был произведен расчет индекса артериальной перфузии матки (ИАП). Данный параметр отражает степень перфузии единицы объема тела матки (1 см³). ИАП выражен в процентах и рассчитывается по формуле:
где VvolМАправая — объемный кровоток правой маточной артерии;
VvolМАлевая — объемный кровоток левой маточной артерии;
Vматки — объем матки (см3) [12].
Нормальным показателем маточной перфузии на 21–23-й день менструального цикла является значение ИАП более 1,1 % [12].
Индекс резистентности правой и левой маточных артерий на 21–23-й день менструального цикла, при симметричном маточном кровотоке и отсутствии спастического компонента сосудистой стенки, составляет в норме 0,83 ± 0,06 (М ± SD), показатель систоло-диастолического соотношения не превышает 2,7 ± 0,09 [11, 13].
Для оценки функционального состояния микроциркуляции применялся метод лазерной допплеровской флоуметрии (ЛДФ). Проведение диагностики осуществлялось с помощью лазерного анализатора капиллярного кровотока ЛАКК-М (НПП «ЛАЗМА», Россия). При анализе ЛДФ-граммы оценивались средние величины перфузии тканей (ПМ) и амплитудно-частотные характеристики колебаний кровотока. Использовался вейвлет-анализ амплитуд и частот ритмических составляющих микроциркуляции. Оценивались ритмы активности эндотелия, нейрогенные колебания, обусловленные симпатическими адренергическими влияниями на артериолы, миогенные ритмы собственной внутренней активности миоцитов по пейсмекерному механизму, а также дыхательные ритмы, отражающие степень венозного возврата в венулах.
Статистическая обработка полученных данных проводилась с помощью Microsoft Excel и Stat Soft. Inc. версии 10 для Windows (Stat Soft. Inc., США). Количественные показатели оценивались на предмет соответствия нормальному распределению с помощью критерия Шапиро — Уилка (менее 50 исследуемых) или критерия Колмогорова — Смирнова (более 50 исследуемых). При нормальном распределении значений приводился расчет среднего значения и стандартного отклонения M ± σ. При ненормальном распределении приводили значения в виде медианы, 25-го и 75-го квартилей Ме [Q1; Q3], а также 5-го и 95-го процентилей. Сравнение процентных долей при анализе четырехпольных таблиц сопряженности выполнялось с помощью критерия Хи-квадрат Пирсона (при значениях ожидаемого явления более 10) и критерия Фишера (при значениях ожидаемого явления менее 10). Для динамического анализа применяли парный t-критерий Стьюдента для зависимых выборок и критерий Вилкоксона для показателей, не отвечающих закону нормального распределения. Непараметрический коэффициент ранговой корреляции Спирмена R применяли для выявления линейной взаимосвязи двух показателей. Критический уровень значимости при проверке статистических гипотез был принят равным 0,05.
РЕЗУЛЬТАТЫ И ОБСУЖДЕНИЕ
В ходе сбора жалоб и анамнеза, а также анкетирования исследуемых пациенток была выявлена следующая структура гинекологических симптомов: 57 пациенток (78,1 %) предъявляли жалобы на диспареунию, 21 пациентка (28,7 %) — на периодические тянущие боли в нижних отделах живота, у 17 пациенток (23,3 %) выявлялась альгодисменорея, 6 пациенток (8,2 %) отмечали межменструальные кровянистые выделения, а 3 человека (4,1 %) — гомогенные выделения из половых путей серозного характера. Распределение исследуемых по характеру жалоб представлено в табл. 2.
Таблица 2. Структура жалоб у пациенток, вошедших в исследование (n = 73)
Table 2. Structure of complaints of the patients included in the study (n = 73)
Характер жалоб / Complaints | Количество пациентов / Number of patients | |
Абс. | % | |
Диспареуния/ Dyspareunia | 57 | 78,1 |
Периодические тянущие боли в нижних отделах живота/ Periodic pulling pains in the lower abdomen | 21 | 28,7 |
Альгодисменорея/ Algodismenorrhea | 17 | 23,3 |
Межменструальные кровянистые выделения/ Intermenstrual spotting | 6 | 8,2 |
Выделения из половых путей серозного характера/ Discharge from the genital tract of a serous nature | 3 | 4,1 |
Из анамнеза и оценки сопутствующей заболеваемости у исследуемых женщин была выявлена высокая частота хронической инфекционной патологии мочевыделительной системы и желудочно-кишечного тракта (табл. 3).
Таблица 3. Структура сопутствующей соматической патологии у пациенток с хроническим эндометритом (n = 73)
Table 3. Structure of concomitant somatic pathology in patients with chronic endometritis (n = 73)
Показатель / Sign | Количество пациентов / Number of patients | |
Абс. | % | |
Хронический цистит/ Chronic cystitis | 35 | 47,9 |
Хронический пиелонефрит/ Chronic pyelonephritis | 13 | 17,8 |
Хронический гастрит/ Chronic gastritis | 34 | 46,6 |
Дискинезия желчевыводящих путей/ Biliary dyskinesia | 14 | 19,2 |
Гастроэзофагеальная рефлюксная болезнь/ Gastroesophageal reflux disease | 6 | 8,2 |
Синдром раздраженного кишечника/ Irritable bowel syndrome | 17 | 23,2 |
Учитывался осложненный акушерский и гинекологический анамнез: аборты (вакуум-аспирация, abrasio cavi uteri) — у 25 пациенток (34,3 %), диагностические внутриматочные вмешательства — гистероскопия, пайпель-биопсия, ЦУГ-эндометрия, а также установка и удаление внутриматочных контрацептивов — у 34 женщин (46,6 %).
У 7 женщин (9,6 %) было выявлено первичное бесплодие, у 25 (34,3 %) — вторичное бесплодие, у 24 (6,8 %) — невынашивание беременности.
Исследования препаратов биопсии эндометрия проводились с использованием меченных флюоресцирующими веществами антител для определения рецептивности эндометрия в фазу «окна имплантации».
В гистологических препаратах у большинства исследуемых пациенток визуализировались фрагменты эндометрия с уменьшенным количеством желез на единицу площади эндометрия. Железы располагались неравномерно, имели различные размеры, форму (в основном трубчатые и круглые). Строма рыхлая с децидуоподобными изменениями, слабым диффузным склерозом, диффузной слабовыраженной лимфогистиоцитарной инфильтрацией.
Иммуногистохимическое исследование позволило выявить неравномерную экспрессию рецепторов эстрогена (Эр) и прогестерона (Пр) в эпителии желез и клетках стромы. В количественном отношении содержание элементов с экспрессией рецепторов в эпителии желез было снижено незначительно (соотношения в строме — Эр:Пр 0,8:1; в железах — Эр:Пр 1:0,9). Состав воспалительного клеточного инфильтрата: СD 138+, как правило, до 5 в поле зрения.
Полученные данные свидетельствовали о наличии у пациенток слабо или умеренно выраженной степени гипопластического варианта хронического эндометрита вне обострения.
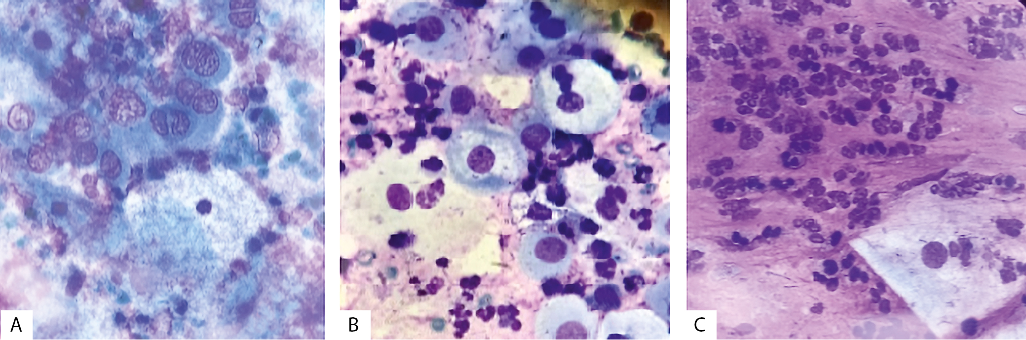
Цитологическое исследование вагинальных мазков проводилось с целью выявления инфекций. Забор проводился в фазу «окна имплантации» для оценки гормонального фона (кариопикнотический индекс, индекс созревания) (рис. 1).
Рис. 1. Различные варианты цитологических мазков у пациенток до лечения, ×400
Fig. 1. Various variants of cytological smears in patients before the treatment, ×400
Примечание: А — гистиоциты; В — койлоциты; С — микст-инфекция.
Note: A — histiocytes; B — coilocytes; C — mixed infection.
В цитологических мазках помимо эпителиальных клеток встречались множественные сегментоядерные лейкоциты, а также гистиоциты — клетки разных размеров, округлой или овальной формы с эксцентричным ядром и вакуолизацией цитоплазмы, часто с митозами, а также гигантские многоядерные гистиоциты (рис. 1А). О наличии папилломавирусной инфекции свидетельствовало выявление койлоцитов — клеток с деформированным ядром, «пустой» зоной цитоплазмы (рис. 1В), иногда двухядерные койлоциты с ядрами в форме «пенсне». Часто до лечения отмечалось наличие условно-патогенных микст-инфекций (рис. 1С), «ключевых» клеток, спор и мицелия грибов, аэробных бактерий в большом количестве.
Рис. 2. Персистенция бактериально-вирусной инфекции в эндометрии обследованных женщин с хроническим эндометритом
Fig. 2. Persistence of bacterial-viral infection in the endometrium of examined women with chronic endometritis
При оценке персистенции бактериально-вирусной инфекции в эндометрии в 72 % случаев роста условно-патогенной и специфической флоры не выявлялось (рис. 2).
В результате проведенного бактериологического исследования полости матки в большинстве случаев было выявлено отсутствие возбудителя инфекционных воспалительных заболеваний эндометрия, при сохраняющемся хроническом воспалительном процессе эндометрия, сопровождающемся локальным нарушением кровотока в малом тазу.
Таким образом, отмечается целесообразность проведения комплексного воздействия на различные звенья патогенеза хронического воспалительного процесса в полости матки с применением немедикаментозных методов лечения.
После проведенного курсового лечения во всех исследуемых группах отмечалось достоверное увеличение ИАП матки по сравнению с исходными показателями (табл. 4).
Таблица 4. Индекс артериальной перфузии матки на 21–23-й день менструального цикла, Me [Q1; Q3]
Table 4. Index of arterial perfusion of the uterus on day 21–23 of the menstrual cycle, Me [Q1; Q3]
Группы исследования/ Study groups | Индекс артериальной перфузии матки,% / Index of arterial perfusion of the uterus, % | ||
Норма/ Standard | До лечения/ Before the treatment | После лечения/ After the treatment | |
1 — контрольная группа/ 1 — control group (n=25) | > 1,1 | 0,73 | 1,72 |
2 — группа сравнения (n=24)/ 2 — comparison group (n=24) | 0,73 | 1,73 | |
3 — основная группа (n=24)/ 3 — main group (n=24) | 0,73 | 1,83 | |
Примечание: * — различия показателей (до и после лечения) статистически значимы (p < 0,05), используемый метод: критерий Вилкоксона.
Note: * — differences in indicators (before and after the treatment) are statistically significant (p < 0.05), method used: Wilcoxon criterion.
Медиана увеличилась в контрольной группе в 2,36 раза (p < 0,05), в группе сравнения — в 2,4 раза (p < 0,05), в основной группе — в 2,6 раза (p < 0,05). При этом межгрупповых достоверных различий показателя ИАП после лечения, в том числе по сравнению с группой контроля, не выявлено (p > 0,05).
Учитывая включение в исследуемые комплексные методы единой стандартной терапии — электроимпульсной терапии и хлоридные натриевые ванны (рапные ванны), анализ полученных результатов указывает на эффективность данной стандартной терапии в отношении улучшения показателя маточной перфузии по данным ультразвуковой допплерометрии.
В ходе допплерометрического картирования сосудов матки в основной группе после лечения увеличилась частота визуализации цветовых сигналов в аркуатных и базальных сосудах миометрия — в 84,3 и 82,5 % случаев соответственно, спиральные сосуды эндометрия визуализировались в 56,2 и 51,4 % случаев соответственно. После проведенного курса лечения во всех группах выявлено достоверно значимое уменьшение медианы систолической скорости кровотока и систоло-диастолического отношения.
Было выявлено снижение максимальной скорости кровотока правой маточной артерии контрольной группы на 9,1 %, более значительно данный показатель уменьшался в группе сравнения — на 19,1 % и в основной группе — на 20 %. В левой маточной артерии снижение максимальной скорости кровотока происходило симметрично и составило в контрольной группе — на 9,1 %, в группе сравнения — на 21 %, в основной группе — на 21 % (p < 0,001).
Максимальная пиковая скорость снизилась после лечения в группе сравнения и основной группе, данный показатель достоверно превышал значения в контрольной группе (p < 0,001). Достоверного снижения диастолической скорости кровотока ни в одной группе не выявлено. Систоло-диастолическое отношение достоверно снижалось с высокой степенью достоверности в группе сравнения и основной группе по сравнению с группой контроля (p < 0,05).
В ходе анализа полученных данных была выявлена эффективность воздействия мануальной терапии, в том числе в сочетании с высокоинтенсивным магнитным полем на область мышц тазового дна, на снижение показателей систолической скорости кровотока и систоло-диастолического соотношения по сравнению со стандартной методикой (табл. 5).
Таблица 5. Показатели скорости кровотока в правой и левой маточных артериях
Table 5. Indicators of blood flow velocity in the right and left uterine arteries
Группы исследования / Study groups | Показатели кровотока в правой маточной артерии / Indicators of blood flow in the right uterine artery | Показатели кровотока в левой маточной артерии / Indicators of blood flow in the left uterine artery | ||||||||||
Систолическая скорость кровотока, см/с/ Systolic blood flow rate, cm/s n = 31,0 (18,8–44,5) | Диастолическая скорость кровотока, см/с/ Diastolic blood flow rate, cm/s n = 4,3 (0,2–8,0) | Систоло-диастолическое соотношение/ Systolic-diastolic ratio | Систолическая скорость кровотока, см/с/ Systolic blood flow rate, cm/s n = 31,0 (18,8–44,5) | Диастолическая скорость кровотока, см/с / Diastolic blood flow rate, cm/s n = 4,3 (0,2–8,0) | Систоло-диастолическое соотношение/ Systolic-diastolic ratio | |||||||
До лечения/ Before the treatment | После лечения/ After the treatment | До лечения/ Before the treatment | После лечения/ After the treatment | До лечения/ Before the treatment | После лечения/ After the treatment | До лечения/ Before the treatment | После лечения/ After the treatment | До лечения/ Before the treatment | После лечения/ After the treatment | До лечения/ Before the treatment | После лечения/ After the treatment | |
1 — контрольная группа (n=25)/ 1 — control group (n=25) | 40,3 25,6–53,2 26,7–52,8 | 36,6** 32,5–38,9 27,4–44,6 | 4,1 3,1–4,8 2,2–5,7 | 4,2 3,2–4,1 2,2–5,5 | 9,8 8,5–13,2 5,8–23,5 | 8,9** 7,4–11,4 6,1–16,1 | 39,5 34,0–44,7 28,5–52,7 | 35,9* 32,8–39,5 28,8–43,8 | 4,2 2,8–4,9 2,1–5,9 | 4,2 3,1–4,9 2,2–5,5 | 9,7 7,5–13,3 5,2–21,6 | 8,8** 7,7–10,8 5,5–18,6 |
2 — группа сравнения (n=24)/ 2 — comparison group (n=24) | 39,8 32,9–47,0 29,7–57,6 | 32,2**# 23,4–34,5 19,7–37,6 | 4,1 2,0–4,5 2,1–4,7 | 4,2 2,8–4,9 2,1–5,9 | 9,7 7,5–13,3 5,2–22,6 | 7,6**# 7,7–10,8 5,5–18,6 | 41,2 38,8–46,7 32,8–51,3 | 32,6**# 25,6–53,2 26,7–52,8 | 4,3 3,6–5,2 3,1–5,8 | 4,3 3,8–5,5 2,8–6,7 | 9,8 8,5–13,2 5,8–22,5 | 7,8**# 7,0–10,2 3,7–11,9 |
3 — основная группа (n=24)/ 3 — main group (n=24) | 40,1 26,4–49,0 27,3–54,2 | 32,1**# 24,6–33,8 19,5–36,6 | 4,1 3,8–4,6 2,2–5,4 | 4,2 3,2–4,6 2,1–5,7 | 9,8 8,5–12,5 5,5–21,8 | 7,6**# 7,5–11,6 5,8–18,2 | 41,2 38,8–46,7 32,8–51,3 | 32,6**# 25,6–53,2 26,7–52,8 | 4,3 3,6–5,2 3,1–5,8 | 4,3 3,8–5,5 2,8–6,7 | 9,8 8,5–13,2 5,8–22,5 | 7,8**# 7,0–10,2 3,7–11,9 |
Примечание: Количественные параметры показателей нормальных значений представлены в виде 50-го (5–95-го) процентиля; в таблице количественные параметры представлены в виде медианы (1-я строка ячейки), 25-го и 75-го квартилей (2-я строка ячейки), 5–95-го процентилей (3-я строка ячейки); * — различия показателей (до и после лечения) статистически значимы (p < 0,05); ** — (p < 0,001), используемый метод: критерий Вилкоксона; # — различия показателей (в сравнении с группой контроля) статистически значимы (p < 0,05), используемый метод: U-критерий Манна — Уитни.
Note: The quantitative parameters of the indicators of normal values are presented in the form of the 50th (5–95th) percentile; in the table, quantitative parameters are presented in the form of the median (1st row of the cell), the 25th and 75th quartiles (2nd row of the cell), the 5–95th percentiles (3rd row of the cell); * — differences in indicators (before and after the treatment) are statistically significant (p < 0.05); ** — (p < 0.001), the method used is the Wilcoxon test; # — differences in indicators (in comparison with the control group) are statistically significant (p < 0.05), the method used is the Mann-Whitney U-test.
Методом ЛДФ проводилась оценка локального функционального состояния микроциркуляции, а также зависимости скоростных показателей кровотока от фазности и синхронности функционального состояния эндотелия, вазомоторных колебаний сосудистой стенки, состояния артериол и венул.
У исследуемых были выявлены нарушения микроциркуляции по спастико-застойному типу, что коррелировало со сниженными показателями ИАП матки по данным допплерометрии. Коэффициент корреляции Спирмена R составил 0,71 (рис. 3).
Рис. 3. Корреляционная зависимость (ранговая корреляция Спирмена) между показателем индекса артериальной перфузии матки и показателем общей микроциркуляции на коже надлобковой области
Fig. 3. Correlation (Spearman’s rank correlation) between the index of arterial perfusion of the uterus and the index of general microcirculation in the skin of the suprapubic region
У пациенток с нарушениями гемоциркуляции по спастико-застойному типу отмечалось повышение амплитуды миогенного (22,4 ± 0,46 %, p < 0,01), нейрогенного компонентов (16,5 ± 0,34 %, p < 0,01) колебаний, также выявлены застойные явления в венулярном звене микроциркуляции, что отражалось в повышении амплитуды дыхательных ритмов до 16,42 ± 0,51 % (p < 0,01). Данные изменения указывали на преобладание вазоспастического компонента с сокращением количества функционирующих капилляров. У всех обследуемых пациенток выявлялся монотонный тип ЛДФ-граммы и низкий ПМ (ПМкожи 4,6 ± 0,76 перф. ед.). Был уменьшен приток крови и затруднен ее отток в микроциркуляторном русле, отмечалось расширение и повышение извитости венул. При спастичности сосудов прекапиллярного звена наблюдалось расширение венул с признаками застойных явлений.
После проведения программ восстановительного лечения у пациенток, имеющих гиперемически-застойный тип микроциркуляции, наблюдалось повышение исходно сниженного ПМ до нормальных значений (ПМкожи 10,2 ± 0,53 перф. ед., ПМслизист. 16,2 ± 0,49, p < 0,01) (табл. 6), изменения миогенного и нейрогенного тонуса в виде снижения исходно повышенных показателей до 17,8 ± 0,65 % (p < 0,05) и 14,1 ± 0,51 % (p < 0,05) соответственно (p < 0,05, статистическая проверка гипотез методом t-критерия Стьюдента). Вышеописанные изменения свидетельствовали о нормализации тонуса артериол.
В группе контроля и группе сравнения сохранялось высокое значение дыхательных волн после лечения (14,46 ± 0,53%, p < 0,05). В данных группах сохранялся застойный тип гемодинамики, отличающейся застойной гиперемией, извитостью сосудов венулярного русла с неравномерным диаметром на всем протяжении. Уменьшение застойных явлений в венулярном звене микроциркуляции достоверно выявлено в основной группе, где применялось высокоинтенсивное магнитное поле на область тазового дна. После лечения у всех пациенток данной группы отмечался нормотонический тип микроциркуляции. В основной группе наблюдалась нормализация ПМ (ПМкожи 9,8 ± 0,52 перф. ед., ПМслизист. 16,8 ± 0,48, p < 0,01) (табл. 6), улучшение эндотелиальной функции (11,8 ± 0,43 %, p < 0,01) и нормализация микроциркуляции в венулярном звене (снижение амплитуды дыхательных флаксмоций до 10,5 ± 0,78 % (p < 0,01). Отмечались положительные изменения миогенного и нейрогенного тонуса в виде их нормализации, что проявлялось снижением амплитуды до 8,4 ± 0,41 % (p < 0,05) и 7,2 ± 0,58 % (p < 0,05) соответственно (p < 0,05, статистическая проверка гипотез методом t-критерия Стьюдента).
Таблица 6. Показатели микроциркуляции по данным лазерной допплеровской флоуметрии поверхности кожи и передней стенки влагалища у пациенток в группах исследования
Table 6. Microcirculation parameters according to laser Doppler flowmetry of the skin surface and the anterior vaginal wall in the patients in the study groups
Группы исследования/ Study groups | Показатель микроциркуляции, перф. ед. / Microcirculation index, perf. units | ||
Норма/ Standard | До лечения ПМкожа/ ПМслизист. (перф. ед.) Before the treatment PM skin/ PM mucous membrane (perf. units) | После лечения ПМкожа/ ПМслизист. (перф. ед.) After the treatment PM skin/ PM mucous membrane (perf. units) | |
1 — контрольная группа (n=25)/ 1 — control group (n=25) | ПМкожа / PM skin 10,05 ± 1,26
ПМслизист. / PM mucous membrane 19,5 ± 0,57 | 4,7 ± 0,48 / 12,5 ± 0,52 | 10,8 ± 0,53* / 16,2 ± 0,5* |
2 — группа сравнения (n=24)/ 2 — comparison group (n = 24) | 4,6 ± 0,52 / 12,8 ± 0,49 | 9,51 ± 0,54* / 16,3 ± 0,47* | |
3 — основная группа (n=24)/ 3 — main group (n=24) | 4,6 ± 0,51 /13,6 ± 0,53 | 8,8 ± 0,52* /16,8 ± 0,48* | |
Примечание: * — различия показателей (до и после лечения) статистически значимы (p < 0,01), используемый метод: парный t-критерий Стьюдента для зависимых выборок.
Note: * — differences in indicators (before and after the treatment) are statistically significant (p < 0.01), the method used is the paired Student t-test for dependent samples.
Таким образом, полученные данные свидетельствуют о положительном влиянии курса сочетанного воздействия высокоинтенсивным импульсным магнитным полем на область тазового дна и синусоидальными модулированными токами по брюшно-крестцовой методике в сочетании с хлоридными натриевыми ваннами и мануальной терапией на состояние микроциркуляции области малого таза у пациенток с гиперемически-застойным типом микроциркуляции. Метод воздействия высокоинтенсивным импульсным магнитным полем на область тазового дна обладает выраженным эффектом воздействия на венулярное звено микроциркуляции органов малого таза, уменьшая застойные явления в малом тазу.
Причинами затяжного течения и прогрессирования хронического воспалительного процесса в малом тазу являются нарушения функционирования регионарного вегетативного обеспечения и гемодинамики [14].
Особенностями нейроанатомии органов малого таза является то, что между поверхностными структурами и внутренними органами имеются общие афферентная и эфферентная иннервация, кровоснабжение, а также их объединяет единая «миофасциальная» система [15].
В связи с тесной взаимосвязью поясничного, крестцового, копчикового вегетативных нервных сплетений и сложной системой тазового сплетения, связанного с ними, осуществляется перекрестная иннервация. Соматосенсорная болевая афферентация проходит по спино-таламическому и спино-ретикулярно-таламическому путям. Иннервация является диффузно неспецифической, поэтому имеются особенности локализации висцерально-тазовых болей. От шейки матки и нижнего маточного сегмента иррадиация осуществляется через связочный аппарат матки в нижнюю часть спины, пояснично-крестцовый отдел, ягодицы, заднюю поверхность бедер. Иррадиация от маточных труб, матки и дна мочевого пузыря — в нижнюю и среднюю часть брюшной стенки «трубно-яичниковый треугольник». Патологические импульсы от яичников, латеральной части маточных труб и прямой кишки могут передаваться болевыми ощущениями в область передней брюшной стенки латеральнее пупка [14, 15].
Таким образом, обосновано включение в схемы терапии хронического эндометрита факторов, влияющих на миофасциальные структуры, связанные с органами малого таза общей иннервацией и кровообращением.
Для повышения эффективности лечения и снижения лекарственной нагрузки необходимо использование дополнительных немедикаментозных методов, оказывающих непосредственное воздействие на иннервацию и кровообращение в малом тазу.
Мануальная терапия — эффективный метод, позволяющий корректировать нарушения микроциркуляции органов малого таза у пациенток с хроническими воспалительными заболеваниями органов малого таза [16, 17].
Обоснованным является использование в терапии воспалительных заболеваний органов малого таза высокоинтенсивного магнитного поля для лечения нейровоспалительных расстройств, болевого синдрома в области малого таза. Известно, что применение высокоинтенсивного импульсного электромагнитного поля способствует регенерации мышц тазового дна, восстановлению функции тазовых органов, коррекции сексуальной дисфункции, уменьшению болевого синдрома. Помимо воздействия на единые перекрестные миофасциальные структуры, дополнительный эффект достигается за счет влияния на клеточные реакции. Воспалительный стимул вызывает дефицит аккомодации мышц с нарушением сократимости или спастической болезненной контрактуры в области таза. Использование высокоинтенсивного магнитного поля позволяет добиться адекватного реагирования миоцитов, а также стимулирует ряд регенеративных явлений за счет воздействия на клеточные мембраны и цитоплазму тучных клеток, которые играют важнейшую роль в механизме формирования воспаления [18].
ЗАКЛЮЧЕНИЕ
Согласно данным проведенного исследования, для определения тактики лечения хронических воспалительных заболеваний органов малого таза сформирован следующий диагностический алгоритм:
- На этапе скрининга целесообразно проведение ЛДФ для оценки общего состояния кровотока в малом тазу.
- При выявлении изменения ПМ, а также спектральных параметров по данным ЛДФ необходимо провести оценку кровотока органов малого таза методом ультразвуковой допплерометрии в 2 циклах в период «окна имплантации» (21–22-й день менструального цикла).
- При показателях М-эхо менее 7 мм в сочетании со сниженным ИАП необходимо провести морфологическое и иммуногистохимическое исследование эндометрия для выявления хронического эндометрита.
Рис. 4. Алгоритм применения программ санаторно-курортного лечения у женщин с хроническими воспалительными заболеваниями органов малого таза
Fig. 4. Algorithm of application of spa treatment programs in women with chronic inflammatory diseases of the pelvic organs
По итогам проведения лечения в исследуемых группах разработан алгоритм применения факторов физиолечения, бальнеолечения, мануальной терапии у пациенток с хроническими воспалительными заболеваниями органов малого таза (рис. 4):
- При выявлении у обследуемой женщины гипоплазии эндометрия, сниженной перфузии матки, повышенного индекса резистентности маточных артерий целесообразно применение «базовой» терапии, включающей хлоридные натриевые ванны и амплипульстерапию по брюшно-крестцовой методике.
- При увеличении выше нормативных значений допплерометрических показателей максимальной пиковой скорости кровотока и систоло-диастолического соотношения необходимо добавление к «базовой» терапии курса мануальной терапии.
- При выявлении нарушений венозного оттока органов малого таза, при «застойных» явлениях по данным ЛДФ, оценивающей показатель общей микроциркуляции, рекомендовано включать в программу лечения дополнительно высокоинтенсивную импульсную магнитотерапию на область тазового дна.
ДОПОЛНИТЕЛЬНАЯ ИНФОРМАЦИЯ
Вклад авторов. Все авторы подтверждают свое авторство в соответствии с международными критериями ICMJE (все авторы внесли значительный вклад в концепцию, дизайн исследования и подготовку статьи, прочитали и одобрили окончательный вариант до публикации).
Наибольший вклад распределен следующим образом: Котенко Н.В. — методология, проведение исследования, проверка и редактирование рукописи; Борисевич О.О. — проведение исследования, анализ данных, написание и редактирование текста статьи; Фесюн А.Д., Юрова О.В. — обсуждение, выводы, участие в одобрении окончательной версии статьи.
Источники финансирования. Данное исследование не было поддержано никакими внешними источниками финансирования.
Конфликт интересов. Фесюн А.Д. — главный редактор журнала «Вестник восстановительной медицины»; Юрова О.В. — заместитель главного редактора журнала «Вестник восстановительной медицины». Остальные авторы заявляют об отсутствии конфликта интересов.
Этическое утверждение. Авторы заявляют, что все процедуры, использованные в данной статье, соответствуют этическим стандартам учреждений, проводивших исследование, и соответствуют Хельсинкской декларации в редакции 2013 г. Проведение исследования было одобрено локальным этическим комитетом Национального медицинского исследовательского центра реабилитации и курортологии (Протокол № 3 от 18.12.2020).
Доступ к данным. Данные, подтверждающие выводы этого исследования, можно получить по обоснованному запросу у корреспондирующего автора.
ADDITIONAL INFORMATION
Author Contributions. All the authors confirm their authorship according to the international ICMJE criteria (all the authors have contributed significantly to the conception, study design and preparation of the article, read and approved the final version before publication). Special contributions: Kotenko N.V. — methodology, investigation, writing — review & editing; Borisevich O.O. — investigation, data analysis, writing and editing; Fesyun А.D., Yurova O.V. — concept, discussion, conclusions, participation in the approval of the final version of the paper.
Funding. This study was not supported by any external funding sources.
Disclosure. Fesyun A.D. — Editor-in-Chief of the Journal “Bulletin of Rehabilitation Medicine”; Yurova O.V. — Deputy Editor-in-Chief of the Journal “Bulletin of Rehabilitation Medicine”. Other authors declare no apparent or potential conflicts of interest related to the publication of this article.
Ethics Approval. The authors declare that all procedures used in this article meet the ethical standards of the institutions that conducted the study and comply with the Declaration of Helsinki as revised in 2013.The study was approved by the Local Ethics Committee of the National Medical Research Center for Rehabilitation and Balneology (Protocol No. 3, 12.18.2020).
Data Access Statement. The data that support the findings of this study are available on reasonable request from the corresponding author.
Об авторах
Татьяна Венедиктовна Кончугова
ФГБУ «Национальный медицинский исследовательский центр реабилитации и курортологии» Минздрава России
Email: kotenkonv@nmicrk.ru
ORCID iD: 0000-0003-0991-8988
доктор медицинских наук, профессор, главный научный сотрудник отдела физиотерапии и рефлексотерапии, заведующая кафедрой восстановительной медицины, физической терапии и медицинской реабилитации
Россия, МоскваНаталья Владимировна Котенко
ФГБУ «Национальный медицинский исследовательский центр реабилитации и курортологии» Минздрава России
Автор, ответственный за переписку.
Email: kotenkonv@nmicrk.ru
ORCID iD: 0000-0001-6501-791X
кандидат медицинских наук, ведущий научный сотрудник отдела соматической реабилитации репродуктивного здоровья и активного долголетия
Россия, МоскваОльга Валентиновна Юрова
ФГБУ «Национальный медицинский исследовательский центр реабилитации и курортологии» Минздрава России
Email: kotenkonv@nmicrk.ru
ORCID iD: 0000-0001-7626-5521
заместитель директора по научной работе и образовательной деятельности, доктор медицинских наук, профессор
Россия, МоскваОльга Олеговна Борисевич
ФГБУ «Национальный медицинский исследовательский центр реабилитации и курортологии» Минздрава России
Email: kotenkonv@nmicrk.ru
ORCID iD: 0000-0002-3175-6308
научный сотрудник отдела соматической реабилитации репродуктивного здоровья и активного долголетия
Россия, МоскваСписок литературы
- Tillotson G.S., Zinner S.H. Burden of antimicrobial resistance in an era of decreasing susceptibility. Expert Review of Anti-infective Therapy 2017; 15(7): 663–76. https://doi.org/10.1080/14787210.2017.1337508
- Morehead M.S., Scarbrough C. Emergence of Global Antibiotic Resistance. Primary Care. 2018; 45(3): 467–84.https://doi.org/10.1016/j.pop.2018.05.006
- Whiteside S.A., Razvi H., Dave S. et al. The microbiome of the urinary tract—a role beyond infection. Nat Rev Urol. 2015; 12(2): 81–90. https://doi.org/10.1038/nrurol.2014.361
- Peterson J., Garges S., Giovanni M. et al. NIH HMP Working Group the NIH Human Microbiome Project. Genome Research. 2009; 19(12): 2317–2323. https://doi.org/10.1101/gr.096651.109
- Van Oostrum N., De Sutter P., Meys J., Verstraelen H. Risks associated with bacterial vaginosis in infertility patients: a systematic review and meta-analysis. Human Reproduction (Oxford, England). 2013; 28(7): 1809–1815. https://doi.org/10.1093/humrep/det096
- Радзинский В.Е. и др. Прегравидарная подготовка: клинический протокол. М.: Редакция журнала StatusPraesens, 2016. 80 с. [Radzinsky V.E. et al. Pregravidar preparation: clinical protocol. M.: Editorial office of the journal StatusPraesens, 2016. 80 p. (In Russ.).]
- Радзинский В.Е. Акушерская агрессия. StatusPraesens. 2011. 688 c. [Radzinsky V.E. Obstetric aggression. Status Praesens. 2011. 688 p. (In Russ.).]
- Радзинский В.Е. и др. Прегравидарная подготовка. Клинический протокол Междисциплинарной ассоциации специалистов репродуктивной медицины (МАРС). Версия 2.0. 2020. [Radzinsky V.E.et al. Pregravidar training. Clinical protocol. Interdisciplinary Association of Reproductive Medicine Specialists (MARS). Version 2.0. 2020. (In Russ.).]
- Xiao B. et al. Predictive value of the composition of the vaginal microbiota in bacterial vaginosis, a dynamic study to identify recurrence-related flora. Sci Rep. 2016; 6: 26674. https://doi.org/10.1038/srep26674
- Hoffman S.J., Outterson K., Rottingen J.-A. et al. An International Legal Framework to Address Antimicrobial Resistance. Bull World Health Organ. 2015; 93(2): 66. https://doi.org/10.2471/BLT.15.152710
- Буланов М.Н. Ультразвуковая гинекология: курс лекций. 2-е изд., перераб. и доп. М.: Видар-М, 2012. 555 с. [Bulanov M.N. Ultrasound gynecology: a course of lectures. 2nd ed., reprint. and add. Moscow: Vidar-M, 2012. 555 p. (In Russ.).]
- Смирнова Д.В., Герасимов А.М., Кулида Л.В. и др. Подготовка эндометрия к беременности у пациенток с хроническим эндометритом и бесплодием. Российский вестник акушера-гинеколога. 2022; 22(6): 76–83. [Smirnova D.V., Gerasimov A.M., Kulida L.V., et al. Endometrial preparation for pregnancy in patients with chronic endometritis and infertility. Russian Bulletin of Obstetrician-Gynecologist. 2022; 22(6): 76–83. https://doi.org/10.17116/rosakush20222206176 (In Russ.).]
- Ali Zarad C. Role of uterine artery Doppler in assessment of unexplained infertility Egyptian Journal of Radiology and Nuclear Medicine. 2021: 52–59. https://ejrnm.springeropen.com/articles/10.1186/s43055-021-00430-3
- Саморуков А.Е. Применение мануальной терапии в лечении хронических воспалительных заболеваний репродуктивной системы женщин. Арбатские чтения: Сб. науч. тр. Знание. М., 2020; (2): 85–90. [Samorukov A.E. he use of manual therapy in the treatment of chronic inflammatory diseases of the reproductive system of women. Arbat readings: Collection of scientific papers. Znanie. M., 2020; (2): 85–90. (In Russ.).]
- Баринов А.Н. Диагностика и лечение тазовой боли. Медицинский совет. 2015; 10: 66–76. [Barinov A.N. Diagnosis and treatment of pelvic pain. Medical advice. 2015; 10: 66–76. https://cyberleninka.ru/article/n/diagnostika-i-lechenie-sindroma-hronicheskoy-tazovoy-boli (In Russ.).]
- Борисевич О.О., Фесюн А.Д., Котенко Н.В. и др. Эффективность комплексных программ прегравидарной подготовки с применением хлоридных натриевых ванн, электроимпульсной терапии и мануальной терапии: рандомизированное клиническое исследование. Врач. 2023; (34); 9: 38–42. [Borisevich O.O., Fesyun A.D., Kotenko N.V. et al. The effectiveness of complex programs of pregravidar preparation using sodium chloride baths, electric pulse therapy and manual therapy: a randomized clinical trial. Doctor. 2023; (34); 9: 38–42. https://doi.org/10.29296/25877305-2023-09-08 (In Russ.).]
- Tettambel M.A. An osteopathic approach to treating women with chronic pelvic pain. The Journal of the American Osteopathic Association. 2005; 105: 20–22.
- Aragona S.E., Mereghetti G., Lotti J. et al. Electromagnetic field in control tissue regeneration, pelvic pain, neuro-inflammation and modulation of non-neuronal cells. Journal of biological reguators and homeostftic Agents. 2017; 31(Suppl. 2): 219–225.
Дополнительные файлы







