Особенности послеоперационного ведения пациентов после остеосинтеза внутри-и околосуставных переломов дистального отдела плечевой кости: проспективное исследование
- Авторы: Квасов Д.В.1, Солод Э.И.2, Бекшоков К.К.2
-
Учреждения:
- Тульская областная клиническая больница
- Российский университет дружбы народов им. Патриса Лумумбы
- Выпуск: Том 24, № 2 (2025)
- Страницы: 150-158
- Раздел: Диссертационная орбита
- Статья опубликована: 19.04.2025
- URL: https://journals.eco-vector.com/2078-1962/article/view/634739
- DOI: https://doi.org/10.38025/2078-1962-2025-24-2-150-158
- ID: 634739
Цитировать
Полный текст
Аннотация
ВВЕДЕНИЕ. Переломы дистального отдела плечевой кости (ДОПК) часто вызывают блокирование движений в локтевом суставе (ЛС), а также могут привести к инвалидности. Это связано с тем, что активные движения в локтевом суставе после подобных травм практически полностью исключены. Данные повреждения могут также привести к серьезным последствиям у взрослых пациентов, таким как замедленная регенерация тканей, контрактуры и консолидация костных отломков в функционально невыгодном положении. При вынужденной длительной иммобилизации вследствие переломов в области нижней трети плечевой кости пациент и медицинский персонал должны приложить значительные усилия для устранения стойких контрактур и восстановления былой подвижности в ЛС. Кроме того, риск развития артроза в будущем у данных пациентов также увеличивается, если реабилитационные мероприятия не проводятся в полном объеме. Все это означает, что профилактика посттравматических контрактур и артроза в области ЛС после повреждений его костных и/или мягкотканых структур остается актуальной темой для научных исследований.
ЦЕЛЬ. Проанализировать применяющиеся в клинике методы реабилитации пациентов после переломов ДОПК и установить корреляцию между характером перелома и способами дальнейших реабилитационных мероприятий.
МАТЕРИАЛЫ И МЕТОДЫ. В настоящей работе были проанализированы результаты реабилитационных процедур 142 пациентов возрастом от 18 до 73 лет с разными типами переломов ДОПК, проходившими лечение в травматологическом отделении Тульской областной клинической больницы в период с 2021 по 2024 год. Чтобы оценить эффективность лечения, использовалась балльная оценка по опросникам DASH и MEPS.
РЕЗУЛЬТАТЫ И ОБСУЖДЕНИЕ. Результаты после оперативного лечения при переломах ДОПК улучшаются при использовании лечебной гимнастики и элементов физиотерапии. При анализе результатов лечения было обнаружено, что при грамотном применении современных методов реабилитации функция верхней конечности по интегральным шкалам DASH и MEPS в среднесрочном периоде наблюдения (до 6 месяцев после выполнения операции) составляет 4 балла у 64 респондентов (45 %), 2–3 балла в 78 случаях (55 %). В отдаленном периоде (более 1 года) данное значение составило 2–3 балла у 32 (22,535 %) и 4 балла у 103 пациентов (72,535 %), причем у 7 пациентов (4,93 %) нам удалось добиться возвращения полного объема активных и пассивных движений.
ЗАКЛЮЧЕНИЕ. После операции и последующей реабилитации пациентов с переломами ДОПК с использованием современных методик наблюдается восстановление функций верхней конечности.
Ключевые слова
Полный текст
ВВЕДЕНИЕ
Предотвращение появления различных посттравматических последствий переломов дистального отдела плечевой кости (ДОПК), в частности контрактур, артроза, гетеротопической оссификации является актуальной проблемой, а также объектом дискуссии на различных конференциях как в России, так и за рубежом [1–3].
В травматологической практике, обычно выделяют три периода: период иммобилизации, период постиммобилизации и восстановительный период, который определяется как время до полного восстановления функции конечности или максимально возможной функциональной компенсации. Лечебная физкультура (ЛФК), физиотерапия, диетотерапия и рефлексотерапия входят в число способов реабилитации после повреждений костно-мышечных структур, указанных в научной литературе и клинических руководствах (рис. 1) [4].
Рис. 1. Методы реабилитации после переломов
Fig. 1. Methods of rehabilitation after fractures
Для улучшения качества жизни травмированных пациентов, необходимо получить следующие результаты:
- восстановление гемодинамики тканей в области сустава;
- репарация физиологического тонуса мышц верхней конечности;
- близкое к физиологическому натяжение околосуставных тканей.
Таких клинических результатов пациенты с переломами ДОПК в основном достигают с помощью лечебной физкультуры (ЛФК) [4].
При этом ЛФК преследует следующие цели:
- восстановление объема движений в локтевом суставе;
- восстановление кровообращения после длительной иммобилизации;
- предотвращение развития осложнений и элиминации мышечных волокон;
- улучшение общего самочувствия пациента.
При правильном подходе к ЛФК уже через 1–2 месяца можно добиться максимального эффекта, а именно устранения болевых ощущений и дискомфорта и возвращения подвижности верхних конечностей.
МАТЕРИАЛЫ И МЕТОДЫ
В ходе проведения настоящего клинического исследования были проанализированы результаты реабилитационных мероприятий 142 пациентов возрастом от 18 до 73 лет с различными типами переломов ДОПК, проходившими лечение в травматологическом отделении Тульской областной клинической больницы в период с 2021 по 2024 год. Всем пациентам, включенным в данное исследование, проводилось хирургическая фиксация перелома с использованием техники погружного остеосинтеза. Из 142 пациентов у 64 проводился остеосинтез переломов нижней трети плечевой кости с остеотомией локтевого отростка, у 78 — без использования остеотомии. Оперативные вмешательства были проведены в сроки до 3-х недель после получения травмы. После выполнения операции всем пациентам составлялась индивидуальная программа реабилитационных мероприятий. Оценка функциональных результатов лечения производилась с использованием опросников DASH и MEPS.
Пациенты, являющиеся потенциальными участниками настоящего научного исследования, ознакомились с информацией о характере клинических испытаний, методах лечения, а также о возможных побочных явлениях, связанных с проведением процедур, содержащейся в информационном листке пациента. Все пациенты, включенные в испытание, подписывали добровольное информированное согласие на участие в исследовании.
Критерии включения:
подписание пациентом добровольного информированного согласия на участие в исследовании, возраст старше 18 лет; наличие у пациентов перелома ДОПК, пролеченного с использованием хирургических методов фиксации.
Критерии невключения:
нежелание пациентов участвовать в настоящем исследований; пациенты, у которых был использован консервативный метод лечения с использованием гипсовых или ортезных повязок.
Критерии исключения:
решение пациентов выйти из исследования; отсутствие возможности проведения пациентам диагностических и лечебных процедур; нарушение протокола программы наблюдения и реабилитации; отсутствие возможности наблюдения за пациентом для оценки среднесрочных и отдаленных результатов лечения.
К проведению занятий по ЛФК приступали уже на вторые сутки после наложения гипсовой повязки, чтобы кровь в обездвиженной руке циркулировала и не позволяла мышцам уменьшаться в объеме. На этом этапе пациентам нужно двигать пальцами пораженной руки и плеча, так как этим сегментам руки не будет мешать гипсовая повязка. Последовательность проведения занятии по ЛФК приведена на рисунке 2.
Рис. 2. Этапы проведения занятий по лечебной гимнастике
Fig. 2. Stages of therapeutic gymnastics classes
Также мы использовали так называемые постуральные упражнения вместе с классическими занятиями. В основе этого подхода к реабилитации находится применение особых укладок, которые находятся в проекции, способствующей наилучшей коррекции. Закрепление укладок проводят гипсовыми лонгетами, шинами и фиксирующими повязками. Такой механизм реабилитации позволяет улучшить итоги ЛФК, а в дальнейшем применим и к восстановительной терапии. В заключительной стадии процедур ЛФК необходимо использовать спецупражнения, направленные на расслабление мышц путем снижения их тонуса. Например, таковым являются упражнения, при которых сочетаются встряхивание рук и маховые движения на фоне длительного выдоха. Пациенты при этом сравнивают это упражнение с постизометрической релаксацией. Объективный контроль устанавливается при помощи детекторов, работающих на принципе обратной связи. В основе работы этих детекторов лежит электромиография, индикация света и звука, что способствует мониторингу расслабления и напряжения соответствующих мышц.
К механотерапевтическим методам восстановления биомеханики локтевого сустава относится применение особых механизмов. Реабилитационные упражнения при использовании данной методики требуют использования аппаратов с электроприводом. Аппараты механотерапии создают пассивное движение фиксированной конечности в одной плоскости, с учетом назначенной врачом амплитудой и скоростью в зависимости от вида травмы, ее тяжести и ощущений пациента [5, 6]. Данный способ восстановления функций локтевого сустава позволяет начать реабилитацию раньше. Тренажеры также помогают в восстановлении движений в суставе и предотвращают развитие контрактуры.
Как и вообще в применении ЛФК, нагрузка при механотерапии должна иметь постепенную динамику. Обычной схемой является назначение 6–8 повторов для каждого упражнения, а затем пошаговое увеличивание до 10–15 повторов. Одна тренировка длится в среднем пятнадцать минут. Возникновение болевых ощущений является основным признаком того, что нужно уменьшить нагрузку.
Физиотерапия включает в себя применение физических факторов, таких как свет, электроток, магнитное поле, ультразвуковые волны, а также использование лечебных грязей, горного воска (озокерит) и других вспомогательных средств. Этот метод увеличивает вероятность развития гетеротопической оссификации, поэтому он должен применяться с большой осторожностью при травмах в области локтевого сустава (ЛС) [7].
В нашем исследовании, по прошествии 2–3 дней после операции, пациентам назначались следующие процедуры физиотерапии с целью уменьшения отечности, болевых ощущений, улучшения гемодинамики и иннервации окружающих тканей, расслабления мышц и повышения их тонуса:
1) Ультразвуковая терапия, которая ускоряет деление клеток, увеличивает выработку коллагена, стимулирует производство биологически активных веществ и улучшает обмен веществ в тканях. Ультразвуковые частоты также снимают боль и воспаление.
2) Магнитотерапия ускоряет обменные процессы в мягких тканях, уменьшая отек.
3) Электрофорез с кальцием и интерференционные тока ускоряют образование костной мозоли. Электростимуляцию, ультразвук и лазер назначали после того, как плотность кости позволяла выдерживать соответствующую нагрузку. В среднем за 25–40 дней костная ткань в области остеосинтеза уплотняется.
К гидрокинезиотерапии относятся разнообразные водные процедуры с активным движением и использованием плавучих материалов, к примеру, пенопласта. Упражнения проводят в горизонтальной плоскости (иногда и вертикальной), с поддержкой на водной поверхности. Большая плотность воды относительно воздуха позволяет двигаться с дозированной нагрузкой, которая распределяется равномерно, рука преодолевает сопротивление воды, что предотвращает резкие движения. Равномерное давление воды снижает нагрузку на локтевую область, облегчает выполнение упражнений, улучшает подвижность пальцев и в конечном итоге улучшает биомеханику.
Дополнительно используют подводный массаж, лежание в воде и медленное вытягивание локтевого сустава. Морская соль может усилить эффект воды в бассейне или ванне за счет повышения плотности.
Методы гидрокинезиотерапии можно применять для пациентов с умеренно выраженными контрактурами и нарушениями нервной проводимости. Нельзя применять гидрокинезиотерапию при наличии инфекций и воспаления в области локтевого сустава. Все водные процедуры используют только после снятия швов с послеоперационной раны.
Помимо традиционных методов реабилитации для ранней активизации пациентов нами применялись внутри- и околосуставные инъекции обезболивающих средств. Препараты (лидокаин 2 % или новокаин 2 %) при этом вводили под обязательным рентгеноскопическим контролем, чтобы избежать инфекции тканей локтевого сустава, повреждения кровеносных сосудов или (и) нарушения иннервации [8, 9]. В случае необходимости многократных внутрисуставных инъекций устанавливали специальный катетер.
На фоне предложенной методики обезболивания использование в послеоперационном периоде этапных гипсовых повязок в комплексе с ЛФК создает благоприятные условия для получения положительных функциональных результатов у 91,4 % больных (рис. 3).
Рис. 3. Этапные гипсовые повязки
Fig. 3. Stage castings
На 1-е, 4-е, 8-е сутки разгибание в ЛС до 120º, на 2-е, 5-е, 9-е сутки — 90º, на 3-е, 6-е, 10-е сутки — меньше 90º (до 60º). Гипсовые повязки периодически менялись. Данное лечение сопровождалось проведением занятий по ЛФК.
РЕЗУЛЬТАТЫ И ОБСУЖДЕНИЕ
При анализе результатов лечения было обнаружено, что при грамотном применении современных методов реабилитации функция верхней конечности по интегральным шкалам DASH и MEPS в среднесрочном периоде наблюдения (до 6 месяцев после выполнения операции) составляет 4 балла у 64 респондентов (45%), 2–3 балла в 78 случаях (55 %). В отдаленном периоде (более 1 года) данное значение составило 2–3 балла у 32 (22,535 %) и 4 балла у 103 пациентов (72,535 %), причем у 7 пациентов (4,93 %) нам удалось добиться возвращения полного объема активных и пассивных движений.
Чтобы проиллюстрировать последовательность применяемого нами алгоритма лечения, приведем пример пациентки У. (44 года), которая получила травму в результате дорожно-транспортного происшествия (диагноз: оскольчатый перелом левой плечевой кости в нижней трети со смещением отломков).
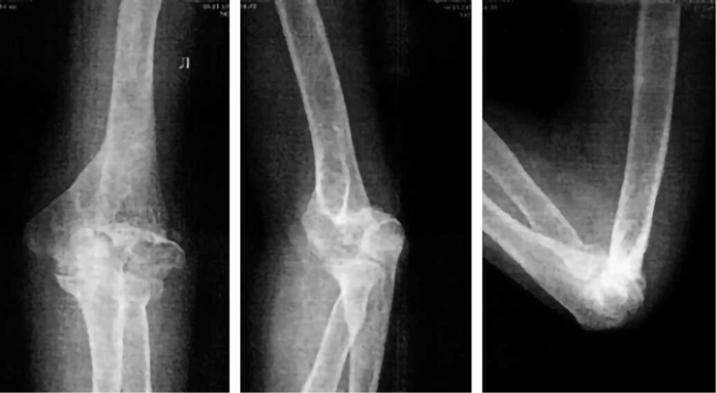
При поступлении в отделение назначен план обследования пациентки: анализы для выполнения анестезиологического пособия, электрокардиограмма, рентгенограммы грудной клетки, левого плеча (рис. 4), компьютерная томография правого плеча (рис. 5), консультация терапевта, невролога, анестезиолога-реаниматолога.
Рис. 4. Рентгенограмма левого локтевого сустава при поступлении
Fig. 4. X-ray of the left elbow joint upon admission
Рис. 5. Компьютерная томография дистального отдела левого плеча
Fig. 5. Computed tomography scan of the distal left shoulder
Проведена операция: открытая репозиция, остеосинтез левой плечевой кости метафизарной титановой пластиной и винтами.
Описание операции
В положении пациентки лежа на животе произведена трехкратная обработка кожных покровов растворами антисептиков. Предплечье согнуто под углом 90°. Выполнен разрез кожи в проекции перелома, выполнена остеотомия локтевого отростка, тупым путем отсепарированы мягкие ткани, выделена область перелома ДОПК. Выделен локтевой нерв и медиальный надмыщелок плечевой кости. В метафизарной зоне выделены 3 крупных костных отломка. Произведена периневральная новокаинизация лучевого нерва.
Отломки левой плечевой кости репонированы. Произведена межфрагментарная временная фиксация спицами и винтами. На плечевой кости размещена медиальная дистальная пластина LCP. Костные фрагменты фиксированы через пластину винтами. Выполнен остеосинтез левого локтевого отростка по Веберу. Локтевой нерв окутан мягкотканой прослойкой.
На следующий день после выполнения операции сделана контрольная рентгенография левой плечевой кости в 2-х проекциях, ЛФК для локтевого сустава и мышц проводилась с первого дня после операции с применением описанных выше методов. На контрольных рентгенограммах, сделанных через 2 года после операции, видны признаки консолидации перелома нижней трети левой плечевой кости, металлоконструкции были удалены (рис. 6). Отмечается полный объем движений в локтевом суставе (рис. 7).
Рис. 6. Рентгенограммы после удаления металлоконструкций
Fig. 6. Radiographs after removal of metal structures
Рис. 7. Пациентка У. 44 года. Объем движений в локтевом суставе после удаления металлофиксаторов
Fig. 7. Patient U. is 44 years old. The volume of movements in the elbow joint after removing the metal fixers
Функциональные результаты лечения пациентов с травмами в области локтевого сустава во многом зависят от адекватности проведенного хирургического лечения, которое в свою очередь должно основываться на типе перелома и характере смещения отломков. Стабильный функциональный остеосинтез переломов нижней трети плечевой кости позволяет быстро мобилизовать локоть после травмы, согласно мнению известных отечественных и зарубежных исследователей [10, 11]. Наше исследование показывает, что иммобилизация локтевого сустава в течение 3–4 недель с момента травмы не приводит к контрактурам. При переломах дистального отдела плечевой кости со смещением или раздроблением фрагментов требуется стабильный остеосинтез. Это позволяет человеку совершать активные движения в локтевом суставе в течение первых двух недель после операции.
Основные условия, необходимые для достижения желаемого результата в лечении переломов дистального отдела плечевой кости, следующие:
- выполнение оперативного вмешательства в течении 48 часов после травмы;
- адекватный и окончательный выбор метода лечения в зависимости от типа перелома;
- восстановление конгруэнтности суставной поверхности;
- устранение смещений, диастазов костных фрагментов и интерпозиции мягких тканей;
- использование методов остеосинтеза, которые являются стабильно-функциональными во время операции;
- исключение повторных хирургических манипуляций на оперированной конечности
Вопрос выбора метода фиксации до сих пор остается спорным в мировой травматологии. Но, по нашему мнению, для всех видов оскольчатых переломов, в том числе для надмыщелковых переломов типа 13А2 и полных внутрисуставных переломов типа 13С, предпочтительным методом фиксации является комбинированный остеосинтез и остеосинтез пластиной. Это согласуется с мнением других авторов [12, 13]. При переломах надмыщелков типа 13А1 и частично внутрисуставных переломах типа 13В остеосинтез винтами является предпочтительным методом фиксации, поскольку хирургическое вмешательство является менее травмирующим, а использование малоинвазивных технологий обеспечивает стабильный остеосинтез [14, 15]. В этом случае выбор метода выполнения операции зависит от типа перелома и его расположения.
Ограничения исследования
Существенным ограничением настоящего клинического исследования является зависимость конечного функционального результата лечения от таких факторов как: приверженность пациента к процессу лечения и реабилитации, разные возможности каждого человека к выполнению физических упражнений во время занятий лечебной физкультурой, а также различный уровень оснащения учреждений здравоохранения аппаратурой для проведения медицинской реабилитации.
ЗАКЛЮЧЕНИЕ
Основными требованиями к получению отличных и хороших функциональных результатов лечения у пациентов с переломами ДОПК являются: ранее выполнение остеосинтеза в сроки не позднее 3-х недель с момента травмы с обязательным восстановлением при этом конгруэнтности суставной поверхности, устранением смещений, диастазов костных фрагментов и интерпозиции мягких тканей. Кроме того, функциональные результаты лечения внутри- и околосуставных переломов нижней трети плечевой кости зависят не только от качества и адекватности проведенного хирургического лечения, но также от правильно подобранной программы реабилитационного лечения пациента. При этом программа реабилитационного лечения должна учитывать тип и характер перелома, а также индивидуальные особенности каждого пациента и его приверженность лечению, а также обязательно включать в себя комплекс восстановительного лечения с использованием мер медикаментозного, физиотерапевтического лечения и ЛФК.
ДОПОЛНИТЕЛЬНАЯ ИНФОРМАЦИЯ
Источник финансирования. Данное исследование не было поддержано никакими внешними источниками финансирования.
Конфликт интересов. Авторы декларируют отсутствие явных и потенциальных конфликтов интересов, связанных с публикацией настоящей статьи.
Этическое утверждение. Авторы заявляют, что все процедуры, использованные в данной статье, соответствуют этическим стандартам учреждений, проводивших исследование, и соответствуют Хельсинкской декларации в редакции 2013 года.
Информированное согласие. От всех пациентов (законных представителей) было получено письменное согласие на публикацию всей соответствующей медицинской информации, включенной в рукопись.
Доступ к данным. Данные, подтверждающие выводы этого исследования, можно получить по обоснованному запросу у корреспондирующего автора.
ADDITIONAL INFORMATION
Funding. This study was not supported by any external funding sources.
Disclosure. The authors declare no apparent or potential conflicts of interest related to the publication of this article.
Ethics Approval. The authors declare that all procedures used in this article are in accordance with the ethical standards of the institutions that conducted the study and are consistent with the 2013 Declaration of Helsinki.
Informed Consent for Publication. Written consent was obtained from the patient for publication of relevant medical information.
Data Access Statement. The data that support the findings of this study are available on reasonable request from the corresponding author.
Об авторах
Дмитрий Владимирович Квасов
Тульская областная клиническая больница
Email: doctorsolod@mail.ru
ORCID iD: 0009-0009-8950-3758
заведующий
Россия, ТулаЭдуард Иванович Солод
Российский университет дружбы народов им. Патриса Лумумбы
Автор, ответственный за переписку.
Email: doctorsolod@mail.ru
ORCID iD: 0000-0001-7807-8981
доктор медицинских наук, профессор
Россия, МоскваКазбек Керимович Бекшоков
Российский университет дружбы народов им. Патриса Лумумбы
Email: doctorsolod@mail.ru
ORCID iD: 0000-0002-2667-341X
ординатор
Россия, МоскваСписок литературы
- Кесян Г.А., Арсеньев И.Г., Уразгильдеев Р.З., Карапетян Г.С. Дифференцированный подход к оперативному лечению последствий тяжелых повреждений локтевого сустава. Вестник Смоленской государственной медицинской академии. 2017; 16(4): 161–167. [Kesyan G.A., Arsenyev I.G., Urazgildeev R.Z., Karapetyan G.S. Differentiated approach to surgical treatment of the consequences of severe injuries to the elbow joint. Vestnik of the Smolensk State Medical Academy. 2017; 16(4): 161–167 (In Russ.).]
- Wahl E.P., Casey P.M., Risoli T.Jr., et al. Heterotopic ossification formation after fractures about the elbow. Eur J Orthop Surg Traumatol. 2021; 31(6): 1061–1067. https://doi.org/10.1007/s00590-020-02855-4
- Fan J., Ji J.Q., Zhang X., et al. Zhonghua Wai Ke Za Zhi. [Operative effect and treatment strategies for the low distal humerus fracture. (Chinese journal of surgery). 2020; 58(3): 213–219. https://doi.org/10.3760/cma.j.issn.0529-5815.2020.03.009 (In Chinese).]
- Чушинская М.М. Общие принципы реабилитации переломов конечностей. Scientist (Russia). 2020; 4(14): 20 с. [Tushinskaya M.M. General principles of rehabilitation of limb fractures. Scientist (Russia). 2020; 4(14): 20 p. (In Russ.).]
- Maier M., Bratschitsch G., Friesenbichler J., et al. Pathologic fracture of the distal humerus due to a textiloma. J Shoulder Elbow Surg. 2016; 25(10): e304–e308. https://doi.org/10.1016/j.jse.2016.07.024
- Saini R., Sharma A., Rathore K.S., Sidhu S.S. Clinical and Functional Outcomes of Anatomical Plating in Distal Humerus Fractures in Adults. Cureus. 2023; 15(2): e30. https://doi.org/10.7759/cureus.35581
- Бенэльхафи Х. Профилактика посттравматических контрактур локтевого сустава при лечении около- и внутрисуставных переломов дистального отдела плечевой кости. Диссертация на соискание ученой степени кандидата медицинских наук. 2010; 19 с. [Benelhafi H. Prevention of post-traumatic contractures of the elbow joint in the treatment of near- and intra-articular fractures of the distal humerus. Dissertation for the degree of Candidate of Medical Sciences. Yaroslavl. 2010; 19 p. (In Russ.).]
- Worden A., Ilyas A.M. Ulnar neuropathy following distal humerus fracture fixation. Orthop Clin North Am. 2012; 43(4): 509–514. https://doi.org/10.1016/j.ocl.2012.07.019
- Miller A.N., Beingessner D.M. Intra-articular distal humerus fractures. Orthop Clin North Am. 2013; 44(1): 35-45. https://doi.org/10.1016/j.ocl.2012.08.010
- Сергеев А.Ю., Файн А.М., Ваза А.Ю. и др. Опыт использования расширенного транстрицепитального доступа при остеосинтезе сложных переломов дистального метаэпифиза плечевой кости. Журнал им. Н.В. Склифосовского «Неотложная медицинская помощь». 2021; 10(4): 687–694. https://doi.org/10.23934/2223-9022-2021-10-4-687-694 [Sergeev A.Yu., Fine A.M., Vaza A.Yu., et al. Experience of extended transtriceps approach in osteosynthesis of complex fractures of the distal metaepiphysis of the humerus. Russian Sklifosovsky Journal “Emergency Medical Care”. 2021; 10(4): 687–694. https://doi.org/10.23934/2223-9022-2021-10-4-687-694 (In Russ.).]
- Dey Hazra R.O., Lill H., Jensen G., et al Fracture-pattern-related therapy concepts in distal humeral fractures. Obere Extrem. 2018; 13(1): 23–32. https://doi.org/10.1007/s11678-018-0442-8
- Savvidou O.D., Zampeli F., Koutsouradis P., et al. Complications of open reduction and internal fixation of distal humerus fractures. EFORT Open Rev. 2018; 3(10): 558–567. https://doi.org/10.1302/2058-5241.3.180009
- Koh K.H., Lim T.K., Lee H.I., et al. Surgical release of elbow stiffness after internal fixation of intercondylar fracture of the distal humerus. J Shoulder Elbow Surg. 2013; 22(2): 268–274. https://doi.org/10.1016/j.jse.2012.10.024
- Limthongthang R., Jupiter J.B. Distal Humerus Fractures. Operative Techniques in Orthopaedics. 2013; 23(4): 178–187. https://doi.org/10.1053/j.oto.2013.07.011
- Zalavras C.G., Papasoulis E. Intra-articular fractures of the distal humerus-a review of the current practice. Int Orthop. 2018; 42(11): 2653–2662. https://doi.org/10.1007/s00264-017-3719-4
Дополнительные файлы










