Биофункционализация альгинатного гидрогеля магнитными наночастицами: результаты экспериментального исследования
- Авторы: Марков П.А.1, Ерёмин П.С.1, Торлопов М.А.2, Мартаков И.С.2, Михайлов В.И.2
-
Учреждения:
- Национальный медицинский исследовательский центр реабилитации и курортологии Минздрава России
- Федеральный исследовательский центр «Коми научный центр Уральского отделения Российской академии наук»
- Выпуск: Том 24, № 4 (2025)
- Страницы: 121-129
- Раздел: Статьи
- Статья опубликована: 13.08.2025
- URL: https://journals.eco-vector.com/2078-1962/article/view/680022
- DOI: https://doi.org/10.38025/2078-1962-2025-24-4-121-129
- ID: 680022
Цитировать
Полный текст
Аннотация
Введение. Применение гидроколлоидов и гидрогелей природного происхождения в качестве компонентов биомиметических материалов имеет существенное преимущество, поскольку такие биополимеры обладают высокой биосовместимостью. Вместе с тем масштабному внедрению природных гидрогелей в тканевую инженерию и практическую медицину препятствует сложность стандартизации структуры и химического состава этого класса биополимеров, а следовательно, трудности в прогнозировании клеточного ответа на гидрогелевые биоматериалы. Одним из способов решения данной проблемы может быть интеграция магнитных наночастиц в структуру гидрогелевых биоматериалов.
Цель. Оценить влияние наночастиц магнетита (НМ) на биосовместимость и адгезию фибробластов к поверхности альгинатного гидрогеля.
Материалы и методы. Для приготовления альгинатной гидрогелевой пленки использовали 2 % водный раствор альгината натрия. Для модификации биофункциональных свойств альгинатного гидрогеля использовали НМ, обработанные лимонной кислотой. Биосовместимость материалов оценивали методами световой и люминесцентной микроскопии с использованием флюоресцентных красителей (DAPI, Rhodamine) и набора для оценки метаболической активности клеток с использованием тетразолиевого красителя (МТТ-тест).
Результаты и обсуждение. Установлено, что внесение в состав альгинатной пленки НМ сохраняет пролиферативную и метаболическую активность фибробластов. Через 48 часов инкубации количество клеток увеличивается с 30 ± 5 до 60 ± 7 шт./200 мкм2, а метаболическая активность фибробластов составляет 93 % от контрольных значений. Поверхность гибридной пленки приобретает способность поддерживать адгезию и жизнеспособность фибробластов, количество клеток на поверхности гибридной пленки более чем в 10 раз превышает количество клеток, адгезированных на альгинатной пленке. Таким образом, НМ, модифицированные лимонной кислотой, можно использовать для регуляции функциональных клеточных реакций на гидрогелевые биоматериалы растительного происхождения.
Заключение. Предложен новый способ биофункционализации альгинатного гидрогеля путем включения в его состав НМ. Интеграция НМ с природными гидрогелями и создание биоматериалов с контролируемыми структурно-механическими свойствами могут быть решением проблемы прогнозируемого клеточного ответа на гетерогенные по составу и структуре биополимеры.
Полный текст
Введение
В настоящее время увеличивается потребность в новых терапевтических решениях, направленных на восстановление функций тканей, утраченных как в результате физиологических процессов, например, возрастная дегенерация, так и в результате травм и хирургического лечения [1, 2]. Традиционные методы и протоколы лечения с использованием лекарственных средств и хирургических манипуляций могут приводить к неблагоприятным последствиям для пациента, кроме того, при подборе тактики лечения необходимо учитывать соматическое состояние пациента из-за определенных противопоказаний в силу его возраста или общего состояния организма [3].
В связи с этим сохраняется актуальность поиска новых, в том числе немедикаментозных, методов лечения. Тканевая инженерия является одним из передовых подходов, позволяет восстановить функции ткани и органов путем создания искусственных биологических структур (биомиметических материалов) для замещения и восстановления утраченных тканей. В качестве компонентов тканеинженерных конструкций используется комбинация из биосовместимых материалов, клеток и биологически активных молекул. Наиболее популярными полимерами для конструирования биомиметических материалов являются гидроколлоиды природного (альгинат, пектин, хитозан, коллаген и др.) и синтетического (производные метакрилата, гликолевой и акриловой кислот и др.) происхождения [4, 5].
Применение гидроколлоидов и гидрогелей природного происхождения в качестве компонентов биомиметических материалов имеет существенное преимущество, поскольку такие биополимеры обладают высокой биосовместимостью [6, 7]. Вместе с тем масштабному внедрению природных гидрогелей в тканевую инженерию и практическую медицину препятствует сложность стандартизации структуры и химического состава этого класса биополимеров, а следовательно, трудности в прогнозировании клеточного ответа на гидрогелевые биоматериалы.
Хорошо известно, что от структурно-механических свойств биоматериалов, таких как твердость, упругость и шероховатость поверхности, зависят функциональные клеточные реакции [8–10]. Следовательно, изменяя структурно-механические свойства поверхности биоматериалов, можно регулировать и функциональный клеточный ответ, что может служить новым и эффективным методом в немедикаментозном лечении и профилактике заболеваний, связанных с нарушениями клеточных функций (фиброз, хронические раны и аутоиммунные кожные заболевания).
Для регуляции структурно-механических свойств гидрогелевых материалов используют различные методы от простых, как, например, варьирования концентраций компонентов и смешивания различных полимеров [8, 11] до применения сложных физико-химических методов сшивки и использования наночастиц металлов и их оксидов [12, 13].
Применение наночастиц металлов и их оксидов является одним из новейших методов модификации биофункциональных свойств гидрогелевых материалов [14–16]. Отдельно следует отметить применение в качестве модифицирующих агентов наночастиц, способных заданным образом управлять структурой гидрогелевых биоматериалов и функциональным клеточным ответом. Такими наночастицами являются оксиды железа — магнетит и маггемит, которые обладают высокой магнитной восприимчивостью и чувствительностью к внешнему электромагнитному полю. Прикладываемое внешнее магнитное поле заставляет НМ выстраиваться упорядоченным образом, а в случае с интеграцией НМ и гидрогелей это позволит создать упорядоченные микроструктуры на поверхности и регулировать как механические свойства, так и микроархитектуру поверхности [17].
Таким образом, интеграция НМ в структуру гидрогелевых биоматериалов является перспективным направлением исследований в области направленной биофункционализации материалов. Развитие данного направления позволит создать биоматериалы с контролируемыми структурно-механическими свойствами и прогнозируемым клеточным ответом.
Цель
Оценить влияние НМ на биосовместимость и адгезию фибробластов к поверхности альгинатного гидрогеля.
Материалы и методы
Материалы
В работе использованы гидрогелевые пленки, предоставленные Институтом химии Федерального исследовательского центра «Коми научный центр Уральского отделения Российской академии наук», г. Сыктывкар, Россия.
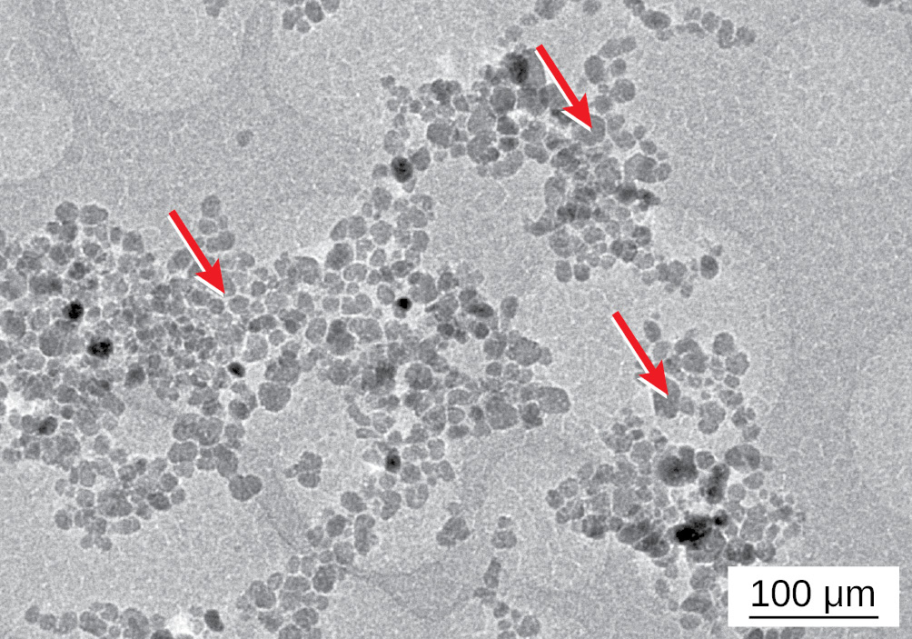
Для приготовления альгинатной гидрогелевой пленки (ГАП) использовали 2 % водный раствор альгината натрия, полученный путем его растворения в нагретой до 70 °С воде. Для модификации биофункциональных свойств ГАП использовали НМ, обработанные лимонной кислотой. Синтез таких частиц проводили по разработанной авторами методике [18]. В результате были получены стабильные гидрозоли, состоящие из сферических частиц с диаметром до 20 нм (рис. 1).
Рис. 1. Микрофотографии просвечивающей электронной микроскопии наночастиц магнетита, модифицированных лимонной кислотой. Размер шкалы 100 нм. Стрелками показаны наночастицы магнетита
Fig. 1. Transmission electron micrographs of magnetite nanoparticles modified with citric acid. Scale bar is 100 nm. Arrows indicate magnetite nanoparticles
Для приготовления гибридной гидрогелевой пленки, обогащенной НМ (ГАП-НМ), в горячий раствор альгината натрия при интенсивном перемешивании вносили НМ в виде гидрозоля из расчета 20 масс.% НМ от массы альгината натрия.
Полученный раствор альгината натрия и дисперсию альгината с НМ постепенно остужали до 40 °С и переливали в полистирольные чашки Петри. Полученные гелевые пленки сушили при 40 ± 1 °С в конвекционном сушильном шкафу до влажности 5 ± 2 %, после чего обрабатывали 8 масc.% водным раствором CaCl2 и отмывали в дистиллированной воде от его избытка. Затем сшитые гели помещали на полипропиленовую поверхность и сушили при 40 ± 1 °С в конвекционном сушильном шкафу до достижения влажности 4 ± 1 %.
Исследования по оценке биофункциональных свойств гидрогелевых пленок проведено на базе ФГБУ «Национальный медицинский исследовательский центр реабилитации и курортологии» Минздрава России (Москва, Россия). В исследовании использовали коммерческую культуру фибробластов кожи человека HdFb d281, приобретенную в Банке клеточных культур «Коллекция клеточных культур» Центра коллективного пользования Института биологии развития им. Н.К. Кольцова Российской академии наук.
Методы
При оценке биологических свойств материалов руководствовались положениями стандартов, изложенных в ГОСТ ISO 10993-5-2011 «Изделия медицинские: оценка биологического действия медицинских изделий. Исследования на цитотоксичность: методы in vitro».
Оценку пролиферативной активности проводили при совместной инкубации исследуемых образцов с фибробластами человека в течение 24 и 48 часов. Клеточную суспензию (1 мл), содержащую фибробласты (5 × 104 шт./мл), вносили в лунки 12-луночного культурального планшета, инкубировали 60 минут в стандартных условиях для прикрепления клеток к поверхности лунок. Затем предварительно простерилизованные 30 % этиловым спиртом и УФ-облучением образцы (ø10 мм) помещали в лунки планшетов из расчета один образец на лунку, общее количество повторов для каждого образца — 7 шт. Инкубировали в стандартных условиях (37 °С, 5 % СО2). Количество и морфометрические характеристики фибробластов оценивали после окрашивания люминесцентными красителями 4’,6-диамидино-2-фенилиндолом (DAPI) и Rhodamine B через 24 и 48 часов инкубации. Пролиферативную активность оценивали, подсчитывая количество клеток на 20 квадратах площадью 200 мкм2, используя для этого программное обеспечение Leica Application Suite (Leica Microsystems).
Оценку метаболической активности проводили при совместной инкубации исследуемых образцов с фибробластами человека в течение 24 часов. Клеточную суспензию (0,1 мл), содержащую фибробласты (3,5–4,0 × 104 шт./мл), вносили в лунки 96-луночного культурального планшета, инкубировали 60 минут в стандартных условиях для прикрепления клеток к поверхности лунок. Затем предварительно простерилизованные образцы (ø5 мм) помещали в лунки планшетов из расчета один образец на лунку, общее количество повторов для каждого образца — 7 шт. Инкубировали в стандартных условиях (37 °С, 5 % СО2). Через сутки образцы извлекали, лунку промывали стерильным фосфатно-солевым буфером Дульбекко (DPBS) от дебриса, после чего вносили 0,1 мл раствора DPBS, содержащего 5 мг/мл 3-[4,5-диметилтиазол-2-ил]-2,5-дифенилтетразолий бромид (МТТ). Культуральные планшеты инкубировали в течение 5 часов в стандартных условиях. После этого раствор МТТ удаляли, и вносили 0,2 мл диметилсульфоксида, инкубировали 10 минут в темноте (37 °С при перемешивании). Оптическую плотность раствора измеряли при 550 нм, используя для этого микропланшетный фотометр iMark (BioRad).
Оценку адгезивных свойств гидрогелевых биоматериалов оценивали по количеству фибробластов, прикрепившихся к поверхности образцов. Предварительно простерилизованные образцы помещали в лунки 12-луночных планшетов из расчета один образец на лунку, общее количество повторов для каждого образца — 5 шт. Затем в лунки внесли 0,1 мл клеточной суспензии, содержащей фибробласты в количестве 3,5–4,0 × 104 шт./мл. Инкубировали в стандартных условиях (37 °С, 5 % СО2). Через 24 часа образцы извлекали и промывали от неадгезированных клеток DPBS. Затем образцы обрабатывали 4 % раствором параформальдегида, пермеабилизацию клеток проводили с использованием 0,1 % раствора Triton X-100. После промывания и высушивания при комнатной температуре на поверхность образцов последовательно наносили растворы люминесцентных красителей DAPI и Rhodamine B. Через 10 минут промывали DPBS и помещали на предметное стекло. С использованием световой и люминесцентной микроскопии оценивали количество и морфометрические характеристики фибробластов. Адгезию клеток оценивали, подсчитывая количество клеток на 20 квадратах площадью 200 мкм2, используя для этого программное обеспечение Leica Application Suite (Leica Microsystems).
Полученные данные были обработаны с использованием Microsoft Excel 2007. Данные представляли в виде среднего арифметического ± стандартное отклонение. При сравнении выборочных средних, имеющих нормальное распределение, использовали t-критерий Стьюдента.
Результаты и обсуждение
Типичное изображение поверхности пленок ГАП и ГАП-НМ представлены на рисунке 2. Пленки ГАП обладают шероховатой поверхностью с возвышающимися структурными элементами сферической и продолговатой формы размерами 1–2 мкм (рис. 2A). Пленка ГАП-НМ имеет плотную структуру и ровную поверхность, на которой явно выделяются агрегаты магнетита (рис. 2B).
Рис. 2. Микрофотографии сканирующей электронной микроскопии поверхности альгинатной гидрогелевой пленки — ГАП (А) и альгинатной гидрогелевой пленки, обогащенной наночастицами магнетита — ГАП-НМ (B). Длина шкалы 30 мкм; стрелками обозначены агрегаты магнетита
Fig. 2. Scanning electron micrographs of the surface of alginate hydrogel film — AHF (A) and alginate hydrogel film enriched with magnetite nanoparticles — AHF-MN (B). Scale bar is 30 μm; arrows indicate magnetite aggregates
На первом этапе исследования оценивали биосовместимость гидрогелевых пленок с фибробластами человека при их совместной инкубации. В контроле, через 24 часа культивирования, все фибробласты приобретают веретеновидную форму. Длина клеток с учетом филоподий составляет 73 ± 16 мкм (рис. 3A, 4). Установлено, что внесение в культуральную среду ГАП замедляет рост фибробластов, длина клеток составляет 48 ± 6 мкм, что на 35 % меньше контрольных значений (рис. 3B, 4). При инкубации фибробластов с ГАП-НМ существенных различий с контрольными значениями не выявлено, размеры фибробластов сопоставимы с контролем и составляют 81 ± 15 мкм (рис. 3C, 4).
Рис. 3. Фибробласты человека через 24 часа совместного культивирования в стандартных условиях (A), при совместном культивировании с альгинатной гидрогелевой пленкой — ГАП (B) и с альгинатной гидрогелевой пленкой, обогащенной наночастицами магнетита — ГАП-НМ (C); увеличение ×100, размер шкалы 100 мкм, окрашивание Rhodamine
Fig. 3. Human fibroblasts after 24 hours of co-culture under standard conditions (A), and during co-culture with alginate hydrogel film — AHF (B) and alginate hydrogel film enriched with magnetite nanoparticles — AHF-MN (C); magnification ×100, scale bar 100 µm, Rhodamine staining
Рис. 4. Длина фибробластов человека через 24 часа совместного культивирования с альгинатными гидрогелевыми пленками — ГАП и альгинатными гидрогелевыми пленками, обогащенными наночастицами магнетита — ГАП-НМ. Данные представлены в виде среднего арифметического значения и стандартного отклонения, количество образцов в каждой группе — 7; * — по сравнению с контролем при p < 0,05.
Fig. 4. Human fibroblasts length after 24 hours of co-cultivation with alginate hydrogel films — AHF and alginate hydrogel films enriched with magnetite nanoparticles — AHF-MN. Data are presented as arithmetic mean and standard deviation, number of samples in each group — 7; * — compared to control at p < 0.05
Как правило, задержка в трансформации клеток указывает на задержку пролиферативной активности клеток. Поэтому на следующем этапе исследования оценивали пролиферативную активность фибробластов при совместном культивировании с гидрогелевыми пленками в течение 48 часов.
В контрольной группе количество фибробластов через 48 часов культивирования составляет 65 ± 7 шт./200 мкм2 (рис. 5). Полученные результаты указывают, что клетки, используемые в исследовании, обладают нормальной пролиферативной активностью.
Установлено, что внесение в культуральную среду ГАП замедляет пролиферативную активность фибробластов, через 48 часов совместной инкубации количество клеток не увеличивается и составляет 47 ± 7 шт./200 мкм2 (рис. 5). При инкубации фибробластов с ГАП-НМ существенных различий с контрольными значениями не выявлено, пролиферативная активность клеток сопоставима с контролем (рис. 5).
Рис. 5. Пролиферативная активность фибробластов при совместной инкубации с альгинатными гидрогелевыми пленками — ГАП и альгинатными гидрогелевыми пленками, обогащенными наночастицами магнетита — ГАП-НМ. Данные представлены в виде среднего арифметического значения и стандартного отклонения, количество образцов в каждой группе — 7; a — по сравнению с начальной точкой той же группы при p < 0,05; b — по сравнению с контролем при p < 0,05
Fig. 5. Proliferative activity of fibroblasts during co-incubation with alginate hydrogel films – AHF and alginate hydrogel films enriched with magnetite nanoparticles — AHF-MN. Data are presented as arithmetic mean and standard deviation, number of samples in each group — 7; a — compared to the starting point of the same group at p < 0.05; b — compared to the control at p < 0.05
Результаты морфометрической характеристики клеточных реакций на исследуемые материалы согласуются с результатами оценки метаболической активности клеток с использованием МТТ-теста. Установлено, что через 48 часов совместной инкубации фибробластов с образцами ГАП метаболическая активность клеток на 30–40 % ниже контрольных значений (рис. 6). При инкубации с ГАП-НМ метаболическая активность клеток сопоставима с контролем (рис. 6).
Рис. 6. Метаболическая активность фибробластов человека через 24 и 48 часов совместного культивирования альгинатными гидрогелевыми пленками — ГАП и альгинатными гидрогелевыми пленками, обогащенными наночастицами магнетита — ГАП-НМ. Данные представлены в виде среднего арифметического значения и стандартного отклонения, количество образцов в каждой группе — 7; a — по сравнению с контролем, принятым за 100 % (p < 0,05), b — по сравнению с ГАП при p < 0,05
Fig. 6. Metabolic activity of human fibroblasts after 24 and 48 hours of co-cultivation with alginate hydrogel films — AHF and alginate hydrogel films enriched with magnetite nanoparticles — AHF-MN. Data are presented as the arithmetic mean and standard deviation, the number of samples in each group is 7; a — compared to the control taken as 100 % (p < 0.05), b — compared to AHF at p < 0.05
На следующем этапе исследования оценивали адгезию фибробластов к поверхности гидрогелевых пленок. Поскольку идентификация клеток на поверхности гидрогелевых пленок методом световой микроскопии затруднена из-за наличия значительного количества артефактов, проводили окрашивание c использованием двух флюоресцентных красителей: Rhodamine, окрашивающим белки, и DAPI, окрашивающим нуклеиновые кислоты. За клетки принимались объекты, окрашиваемые одновременно как Rhodamine, так и DAPI.
Оценка адгезии фибробластов к поверхности ГАП показала, что через 24 часов после внесения клеточной суспензии количество адгезированных фибробластов составляет менее 5 клеток на 200 мкм2, клетки имеют вытянутую форму, без видимых филоподий (рис. 7A, B). На поверхности ГАП-НМ фибробласты присутствуют преимущественно в виде конгломератов клеток (на рисунке выделены красными стрелками). Количество клеток в таких колониях варьируется от 10–15 до 50–70 шт. (рис. 7C, D). Полученные результаты указывают, что ГАП-НМ приобретает способность поддерживать адгезию и жизнеспособность фибробластов.
Рис. 7. Фибробласты человека на поверхности альгинатной гидрогелевой пленки — ГАП (A, B) и альгинатной гидрогелевой пленки, обогащенной наночастицами магнетита — ГАП-НМ (C, D); увеличение ×100, размер шкалы 100 мкм, окрашивание Rhodamine и DAPI
Fig. 7. Human fibroblasts on the surface of alginate hydrogel film — AHF (A, B) and alginate hydrogel film enriched with magnetite nanoparticles — AHF-MN (C, D); magnification ×100, scale bar 100 μm, stained with Rhodamine and DAPI
Примечание: красными стрелками показаны клетки и их конгломераты.
Note: red arrows indicate cells and their conglomerates.
Таким образом, в проведенном исследовании установлено, что внесение в состав альгинатной пленки НМ повышает биосовместимость гидрогелевого материала. Поверхность гибридной пленки приобретает способность поддерживать адгезию и жизнеспособность фибробластов.
В проведенном исследовании оценивалась способность НМ модифицировать биофункциональные свойства поверхности альгинатной гидрогелевой пленки. НМ были получены ранее описанным способом и представляют собой наночастицы оксида железа (Fe3O4), покрытые лимонной кислотой, что повышает их биосовместимость [18] и тем самым расширяет области их применения, в том числе для нужд тканевой инженерии.
Традиционно в медицине НМ применяются для улучшения визуализации раковых опухолей при лучевой диагностике с использованием позитронно-эмиссионной и магнитно-резонансной томографии [19, 20]. Кроме того, НМ нашли свое применение в гипертермической терапии раковых опухолей и в качестве носителя в системах адресной доставки лекарственных средств [21, 22].
Применение НМ в качестве самостоятельных биологически активных агентов ограничивается их цитотоксичностью [21]. В связи с этим модификация поверхности НМ лимонной кислотой может быть эффективным способом решения проблемы, поскольку позволяет повысить их биосовместимость [18].
Применение НМ для модификации свойств гидрогелей является сравнительно новым подходом в направленной биофункционализации свойств поверхности биоматериалов. При этом следует отметить, что в большинстве проводимых исследований в качестве матрицы для НМ используются биополимеры, уже обладающие низкой цитотоксичностью и хорошими адгезивными свойствами в отношении клеток человека, такие как хитозан [23], фибрин [24], желатин и их композиции [25].
Однако с точки зрения медико-биологического применения использование композитных материалов из полимеров животного происхождения не всегда безопасно, поскольку может вызывать чрезмерную активацию иммунновоспалительных реакций и отторжение трансплантата [26, 27].
В проведенном исследовании в качестве матрицы для НМ использовали альгинатный гидрогель. Применение гидрогелевых биоматериалов на основе растительных полисахаридов вызывает менее интенсивный провоспалительный ответ, а также позволяет контролировать функциональную активность макрофагов и нейтрофилов — клеток, регулирующих воспалительно-репаративные процессы [28, 29].
Гидрогели на основе альгината и других полианионных растительных полисахаридов плохо поддерживают адгезию клеток, что обусловлено отсутствием сайтов клеточной адгезии [30]. Мы выявили, что интеграция НМ в состав альгинатного гидрогеля модифицирует поверхность гидрогеля и создает условия для прикрепления клеток и поддержания их в жизнеспособном состоянии. Пока неизвестно какие именно изменения в свойствах поверхности ГАП-НМ привели к изменению клеточного ответа на биоматериал. Согласно данным литературы, это могут быть изменения в пористости, гидрофобности, природы и плотности распределения химических функциональных групп, а также в механических свойствах биоматериала [31, 32].
Таким образом, полученные нами результаты расширяют методы биофункционализации гидрогелей растительного происхождения. НМ, модифицированные лимонной кислотой, можно использовать для регуляции функциональных клеточных реакций на гидрогелевые биоматериалы растительного происхождения. Интеграция НМ в состав гидрогелевых биоматериалов из природных полисахаридов может решить проблему стандартизации структурно-механических свойств поверхности биоматериалов и селективности клеточных реакций.
Заключение
Предложен новый способ биофункционализации альгинатного гидрогеля путем включения в его состав НМ. Применение НМ, модифицированных лимонной кислотой, позволяет повысить адгезивность композитного гидрогеля в отношении фибробластов человека и снизить его цитотоксичность. Интеграция НМ с природными гидрогелями и создание биоматериалов с контролируемыми структурно-механическими свойствами могут быть решением проблемы прогнозируемого клеточного ответа на гетерогенные по составу и структуре биополимеры.
Дополнительная информация
Вклад авторов. Все авторы подтверждают свое авторство в соответствии с международными критериями ICMJE (все авторы внесли значительный вклад в концепцию, дизайн исследования и подготовку статьи, прочитали и одобрили окончательный вариант до публикации). Наибольший вклад распределен следующим образом: Марков П.А. — научное обоснование, написание текста статьи; Ерёмин П.С. — получение и анализ фактических данных, статистическая обработка данных; проверка и редактирование рукописи; Торлопов М.А. — получение и анализ фактических данных, статистическая обработка данных; проверка и редактирование рукописи; Мартаков И.С. — получение и анализ фактических данных, статистическая обработка данных; проверка и редактирование рукописи; Михайлов В.И. — получение и анализ фактических данных, статистическая обработка данных; проверка и редактирование рукописи.
Источники финансирования. Исследование выполнено за счет гранта Российского научного фонда № 24-73-10091, https://rscf.ru/project/24-73-10091/.
Конфликт интересов. Авторы декларируют отсутствие явных и потенциальных конфликтов интересов, связанных с публикацией настоящей статьи.
Доступ к данным. Данные, подтверждающие выводы этого исследования, можно получить по обоснованному запросу у корреспондирующего автора.
Additional information
Author Contributions. All authors confirm their authorship according to the international ICMJE criteria (all authors contributed significantly to the conception, study design and preparation of the article, read and approved the final version before publication). Special Contributions: Markov P.A. — conceptualization; writing — original draft; Eremin P.S. — investigation; writing — review & editing; Torlopov M.A. — investigation; writing — review & editing; Martakov I.S. — investigation; writing — review & editing; Mikhailov V.I. — investigation; writing — review & editing.
Funding. This study was supported by a grant from the Russian Science Foundation No. 24-73-10091, https://rscf.ru/en/project/24-73-10091/.
Disclosure. The authors declare no apparent or potential conflicts of interest related to the publication of this article.
Data Access Statement. The data that support the findings of this study are available on reasonable request from the corresponding author.
Об авторах
Павел Александрович Марков
Национальный медицинский исследовательский центр реабилитации и курортологии Минздрава России
Автор, ответственный за переписку.
Email: p.a.markov@mail.ru
ORCID iD: 0000-0002-4803-4803
кандидат биологических наук, ведущий научный сотрудник отдела биомедицинских технологий
Россия, МоскваПетр Серафимович Ерёмин
Национальный медицинский исследовательский центр реабилитации и курортологии Минздрава России
Email: p.a.markov@mail.ru
ORCID iD: 0000-0001-8832-8470
научный сотрудник лаборатории клеточных технологий отдела биомедицинских технологий
Россия, МоскваМихаил Анатольевич Торлопов
Федеральный исследовательский центр «Коми научный центр Уральского отделения Российской академии наук»
Email: p.a.markov@mail.ru
ORCID iD: 0000-0002-0991-906X
кандидат химических наук, старший научный сотрудник, Институт химии
Россия, СыктывкарИлья Сергеевич Мартаков
Федеральный исследовательский центр «Коми научный центр Уральского отделения Российской академии наук»
Email: p.a.markov@mail.ru
ORCID iD: 0000-0001-7321-9327
кандидат химических наук, старший научный сотрудник, Институт химии
Россия, СыктывкарВасилий Игоревич Михайлов
Федеральный исследовательский центр «Коми научный центр Уральского отделения Российской академии наук»
Email: p.a.markov@mail.ru
ORCID iD: 0000-0003-1544-6593
кандидат химических наук, старший научный сотрудник, Институт химии
Россия, Сыктывкар, Республика КомиСписок литературы
- Васильева В.А., Марченкова Л.А., Ответчикова Д.И. и др. Медицинская реабилитация после травм нижних конечностей у пациентов с сахарным диабетом: обзор литературы. Вестник восстановительной медицины. 2024; 22(3): 61–68. https://doi.org/10.38025/2078-1962-2024-23-3-61-68 [Vasileva V.A., Marchenkova L.A., Otvetchikova D.I., et al. Medical Rehabilitation after Lower Limb Injuries in Patients with Diabetes Mellitus: a Review. Bulletin of Rehabilitation Medicine. 2024; 22(3): 61–68. https://doi.org/10.38025/2078-1962-2024-23-3-61-68 (In Russ.).]
- Carton F., Rizzi M., Canciani E. et al. Use of Hydrogels in Regenerative Medicine: Focus on Mechanical Properties. Int J Mol Sci. 2024; 25(21): 11426. https://doi.org/10.3390/ijms252111426
- Amadeh A., Mohebbi N., Amadeh Z., Jamshidbeigi A. Comparative Efficacy of Autolytic and Collagenase-Based Enzymatic Debridement in Chronic Wound Healing: A Comprehensive Systematic Review. Int Wound J. 2025; 22(4): e70177. https://doi.org/10.1111/iwj.70177
- Ahmad Z., Salman S., Khan S.A, et al. Versatility of Hydrogels: From Synthetic Strategies, Classification, and Properties to Biomedical Applications. Gels. 2022; 8(3): 167. https://doi.org/10.3390/gels8030167
- Tran T., Hamid Z., Cheong K. A Review of Mechanical Properties of Scaffold in Tissue Engineering: Aloe Vera Composites. J. Phys. Conf. Ser. 2018; 1082: 012080. https://doi.org/10.1088/1742–6596/1082/1/012080
- Lu P., Ruan D., Huang M., et al. Harnessing the potential of hydrogels for advanced therapeutic applications: current achievements and future directions. Signal Transduct Target Ther. 2024; 9(1): 166. https://doi.org/10.1088/1742–6596/1082/1/012080
- Марков П.А., Ерёмин П.С., Падерин Н.М. и др. Влияние биопластического материала на адгезию, рост и пролиферативную активность фибробластов человека в средах, имитирующих кислотность раневого ложа при остром и хроническом воспалении. Вестник восстановительной медицины. 2023; 22(2): 42–51. https://doi.org/10.38025/2078-1962-2023-22–2-42-51 [Markov P.A., Eremin P.S., Paderin N.M., et al. Effect of Bioplastic Material on Adhesion, Growth and Proliferative Activity of Human Fibroblasts when Incubated in Solutions Mimic the Acidity of Wound an Acute and Chronic Inflammation. Bulletin of Rehabilitation Medicine. 2023; 22(2): 42–51. https://doi.org/10.38025/2078-1962-2023-22-2-42-51 (In Russ.).]
- Cambria E., Brunner S., Heusser S. et al. Cell-Laden Agarose-Collagen Composite Hydrogels for Mechanotransduction Studies. Frontiers in bioengineering and biotechnology. 2020; 8:346. https://doi.org/10.3389/fbioe.2020.00346
- Zhang M., Sun Q., Liu Y., et al. Controllable ligand spacing stimulates cellular mechanotransduction and promotes stem cell osteogenic differentiation on soft hydrogels. Biomaterials. 2021; 268: 120543. https://doi.org/10.1016/j.biomaterials.2020.120543
- Meli V.S., Atcha H., Veerasubramanian P.K., et al. YAP-mediated mechanotransduction tunes the macrophage inflammatory response. Science advances. 2020; 6(49): eabb8471. https://doi.org/10.1126/sciadv.abb8471
- Chaudhuri O., Cooper-White J., Janmey P.A., et al. Effects of extracellular matrix viscoelasticity on cellular behaviour. Nature. 2020; 584(7822): 535–546. https://doi.org/10.1038/s41586–020–2612–2
- Liu J., Zheng H., Poh P.S., et al. Hydrogels for Engineering of Perfusable Vascular Networks. Int J Mol Sci. 2015; 16(7): 15997–6016. https://doi.org/10.3390/ijms160715997
- Zhang M., Sun Q., Liu Y., et al. Controllable ligand spacing stimulates cellular mechanotransduction and promotes stem cell osteogenic differentiation on soft hydrogels. Biomaterials. 2021: 268: 120543. https://doi.org/10.1016/j.biomaterials.2020.120543
- Raja I.S., Fathima N.N. Gelatin-Cerium Oxide Nanocomposite for Enhanced Excisional Wound Healing. ACS applied bio materials, 2018; 1(2): 487–495. https://doi.org/10.1021/acsabm.8b00208
- Wu P., Shen L., Liu H., et al. The marriage of immunomodulatory, angiogenic, and osteogenic capabilities in a piezoelectric hydrogel tissue engineering scaffold for military medicine. Military Medical Research. 2023; 10(1): 35. https://doi.org/10.1186/s40779-023-00469-5
- Chen L., Zhou X., He C. Mesoporous silica nanoparticles for tissue-engineering applications. Wiley interdisciplinary reviews. Nanomedicine and nanobiotechnology. 2019; 11(6): e1573. https://doi.org/10.1002/wnan.1573
- Stiufiuc G.F., Stiufiuc R.I. Magnetic Nanoparticles: Synthesis, Characterization, and Their Use in Biomedical Field. Applied Sciences. 2024; 14(4): 1623. https://doi.org/10.3390/app14041623
- Mikhaylov V.I., Kryuchkova A.V., Sitnikov P.A., et al. Magnetite Hydrosols with Positive and Negative Surface Charge of Nanoparticles: Stability and Effect on the Lifespan of Drosophila melanogaster. Langmuir. 2020; 36: 4405–4415. https://doi.org/10.1021/acs.langmuir.0c00605
- Arami H., Teeman E., Troksa A., et al. Tomographic magnetic particle imaging of cancer targeted nanoparticles. Nanoscale. 2017; 9(47): 18723–18730. https://doi.org/10.1039/c7nr05502a
- Estelrich J., Sánchez-Martín M.J., Busquets M.A. Nanoparticles in magnetic resonance imaging: from simple to dual contrast agents. International Journal of Nanomedicine. 2015; 10: 1727–1741. https://doi.org/10.2147/IJN.S76501
- Rarokar N., Yadav S., Saoji S., et al. Magnetic nanosystem a tool for targeted delivery and diagnostic application: Current challenges and recent advancement. International Journal of Pharmaceutics. 2024; 7: 100231. https://doi.org/10.1016/j.ijpx.2024.100231
- Lu Y., Wang X., Jia Y., et al. PAD4 Inhibitor-Loaded Magnetic Fe3O4 Nanoparticles for Magnetic Targeted Chemotherapy and Magnetic Resonance Imaging of Lung Cancer. International journal of nanomedicine. 2025; 20: 3031–3044. https://doi.org/10.2147/IJN.S502814
- Chircov C., Bejenaru I.T., Nicoară A.I., et al. Chitosan-Dextran-Glycerol Hydrogels Loaded with Iron Oxide Nanoparticles for Wound Dressing Applications. Pharmaceutics. 2022, 14(12): 2620. https://doi.org/10.3390/pharmaceutics14122620
- Hong J., Wu D., Wang H., et al. Magnetic fibrin nanofiber hydrogel delivering iron oxide magnetic nanoparticles promotes peripheral nerve regeneration. Regenerative biomaterials. 2024; 11: rbae075. https://doi.org/10.1093/rb/rbae075
- Najafi P., Tamjid E., Abdolmaleki P., Behmanesh M. Thermomagneto-responsive injectable hydrogel for chondrogenic differentiation of mesenchymal stem cells. Biomaterials advances. 2025; 168: 214115. https://doi.org/10.1016/j.bioadv.2024.214115
- Terkawi M.A., Matsumae G., Shimizu T., et al. Interplay between Inflammation and Pathological Bone Resorption: Insights into Recent Mechanisms and Pathways in Related Diseases for Future Perspectives. Int J Mol Sci. 2022; 23(3): 1786. https://doi.org/10.3390/ijms23031786
- Ponzetti M., Rucci N. Updates on Osteoimmunology: What’s New on the Cross-Talk Between Bone and Immune System. Front Endocrinol (Lausanne). 2019; 10: 236. https://doi.org/10.3389/fendo.2019.00236
- Xu G.R., Zhang C., Yang H.X., et al. Modified citrus pectin ameliorates myocardial fibrosis and inflammation via suppressing galectin-3 and TLR4/MyD88/NF-κB signaling pathway. Biomed Pharmacother. 2020; 126: 110071. https://doi.org/10.1016/j.biopha.2020.110071
- Cao J., Yang J., Wang Z., Lu M., Yue K. Modified citrus pectins by UV/H2O2 oxidation at acidic and basic conditions: Structures and in vitro anti-inflammatory, anti-proliferative activities. Carbohydr Polym. 2020; 247: 116742. https://doi.org/10.1016/j.carbpol.2020.116742
- Hurtado A., Cano-Vicent A., Tuñón-Molina A., et al. Engineering alginate hydrogel films with poly(3-hydroxybutyrate-co-3-valerate) and graphene nanoplatelets: Enhancement of antiviral activity, cell adhesion and electroactive properties. International journal of biological macromolecules. 2022; 219: 694–708. https://doi.org/10.1016/j.ijbiomac.2022.08.039
- Chen X., Liu J., Bu Y., et al. Dodecyl glycoside intercalated organo-montmorillonite promoted biomimetic alginate/microcrystalline cellulose/nano-hydroxyapatite composite hydrogels for bone tissue engineering. International journal of biological macromolecules. 2025; 310(Pt 2): 143304. https://doi.org/10.1016/j.ijbiomac.2025.143304
- Eivazzadeh-Keihan R., Nokandeh S.M., Aliabad H.A.M., et al. Unveiling the synergy: Biocompatible alginate-cellulose hydrogel loaded with silk fibroin and zinc ferrite nanoparticles for enhanced cell adhesion, and anti-biofilm activity. International journal of biological macromolecules. 2024; 275(Pt 1): 133412. https://doi.org/10.1016/j.ijbiomac.2024.133412
Дополнительные файлы










