BETAMETHASONE ADMINISTRATION AS A TREATMENT OF CHOICE IN LOCAL POST-TATTOO COMPLICATIONS
- Authors: Karymov O.N.1, Vorobyov A.A.2, Kalashnikova S.A.3, Polyakova L.V.4, Vyskub M.N.5
-
Affiliations:
- Moscow scientific and practical center of dermatovenerology and cosmetology Moscow Healthcare Department
- Federal State budgetary Institution of Higher Education “Volgograd Medical State University”
- Pyatigorsk Medical and Pharmaceutical Institute, branch of the Federal budgetary Educational Institution of Higher Education “Volgograd Medical State University”
- Рyatigorsk Medical and Pharmaceutical Institute, branch of the Federal budgetary Educational Institution of Higher Education “Volgograd Medical State University”
- Medical Center
- Issue: Vol 8, No 1 (2020)
- Pages: 48-56
- Section: Articles
- URL: https://journals.eco-vector.com/2307-9266/article/view/111630
- DOI: https://doi.org/10.19163/2307-9266-2020-8-1-48-56
- ID: 111630
Cite item
Full Text
Abstract
The aim of the study is to determine the effectiveness of betamethasone in the treatment of local post-tattoo complications, depending on the mode of administration.
Materials and methods. The work was carried out on 90 male rats which had been tattooed (n = 30 – a negative control group; n = 30 – a comparison group: a subcutaneous administration of 1 ml of a betamethasone solution; n = 30 – an experimental group: an administration of 1 ml of a betamethasone solution using a tattoo machine), 15 – intact rats. Withdrawal from the experiment took place on the 3rd, 10th and 21st days. The skin samples were fixed in 10% formalin, followed by histological posting and manufacturing of micropreparations, then staining with hematoxylin and eosin, according to Van Gieson. A morphometric study included determination of the volume fraction (VF) of the epidermis; dermal fibers; pigment; inflammatory cells; macrophages (%), as well as the pigment depth (μm) and the severity of edema.
Results. The study found out that in the process of the betamethasone administration using a tattoo machine, the drug was uniformly administrated over the entire area of the tattoo; hereby, the phenomena of edema and inflammatory infiltration were insignificant. The dermal fibers were located in each layer with no signs of edema and with single cells of inflammation, respectively. The data of the histological processing were completely consistent with the results of morphometry: it was found out that in the experimental group, edema significantly decreased, the volume fraction of the pigment and macrophages decreased, and the volume fraction of the dermal fibers increased. The estimation of the inflammatory reaction was carried out according to the morphometric parameters of the volume fraction of inflammatory cells and had significant differences in all the experimental groups, decreasing in the following series: the negative control group> the comparison group> the experimental group> the group of intact animals (p <0.05).
Conclusion. Based on the data obtained, the effectiveness of betamethasone in the treatment of local post-tattoo complications has been proved. In this case, the treatment of choice is the administration of this drug not traditionally subcutaneously, but using a tattoo machine that enables the targeted delivery of the substance to the area of the pathological process.
Keywords
Full Text
INTRODUCTION
The search for the development and implementation of treatment regimens for patients with post-tattoo complications is an urgent problem of modern medicine in general, and dermatology in particular. In modern society, having tattoos is no longer associated with a certain social status of its owners, however, due to the appearance of numerous tattoo parlors, the number of complications resulting from tattooing is steadily growing [1].
On the basis of a multicenter clinical trial, a classification of complications arising from the tattoo procedure has been presented [2]. One of the most common post-tattoo local complications is contact dermatitis and the formation of keloid scars [3, 4].
The attempts to treat inflammation in the tattoo area using local non-steroidal and steroidal anti-inflammatory drugs, are single [5], and the data obtained are contradictory. These factors determine the relevance of this study.
THE AIM of the study is to determine the effectiveness of betamethasone in the treatment of local post-tattoo complications, depending on the mode of administration.
MATERIALS AND METHODS
Experimental animals
The experiment was performed on 105 nonlinear sexually mature male rats (stock), weighing 280–300 g. The rats were kept under standard vivarium conditions, with a natural change in the daily cycle, a free access to extruded food and water. The contents and manipulations were carried out in accordance with order No. 755 of the USSR Ministry of Health dated 08/12/1977, and the European Convention for the Protection of Vertebrate Animals used for Experimental and Other Scientific Purposes (Strasbourg, March 18, 1986) [6, 7].
Study design
The design of the experiment is shown in Fig. 1.
At the first stage of the experiment, after anesthesia (injected intraperitoneally with chloral hydrate 350 mg/kg) and preoperative showering обработки операционного поля (the dorsal area область спины), 90 rats were intradermally tattooed with a black pigment (Corona Colors Inc., USA), 2 cm2 in area, using a Long Time Liner tattoo machine of a rotary type. A characteristic feature of this device is its operation in a gentle mode, providing a penetration depth of 0.5 mm into the tissue. The control group was represented by 15 intact animals.
At the second stage, the rats were divided into 3 groups: a negative control group (without pharmacological correction, n = 30), a comparison group (with a traditional subcutaneous administration of 1 ml of a betamethasone solution, n = 30), an experimental group (an administration of 1 ml of a betamethasone solution using a tattoo apparatus, n = 30). Betamethasone is a glucocorticosteroid, its trade name is Diprospan® suspension for injection 7 mg/ml (2 mg + 5 mg/ml); 1 ml ampoule, blister pack 1, cardboard pack 1; EAN Code: 4602210000038; No. P N013528 / 01, 2008-07-04 from MSD Pharmaceuticals LLC (Russia); manufacturer: Schering-Plough Labo N.V. (Belgium) ATX H02AB01 Betamethasone. Betamethasone (Diprospan) is a drug of choice in dermatovenerology in the local treatment of dermatitis, eczema, psoriasis and other skin diseases.
The animals were withdrawn from the experiment on the 3rd, 10th and 21st days.
Histological processing
180 fragments of the skin with tattoos were taken; 30 fragments of the skin of intact animals were taken as a control. After fixing the material in a 10% neutral formalin solution (the exposition time was 24 h), a standard histological posting was performed by keeping the fixed material in ethyl alcohol in the ascending concentration (from 70° to 100°) and chloroform. After pouring into paraffin and manufacturing blocks, serial histological sections were obtained, followed by staining with hematoxylin and eosin, according to Van Gieson (for determining the connective tissue).
The microphotographs were taken using a “Leica DM 100” microscope with a digital camera, magnification ×100, ×200.
Morphometric research
The morphometric research was carried out in accordance with the established principles of quantitative morphological studies, according to which measurements are made on microphotograms obtained by photographic documentation of serial sections (and determining the number of objects on at least 10 glasses in 10 fields of view) [8].
Using the program “Video test Morpho”, the following data were determined: the volume fraction of epidermis (%); the volume fraction of dermal fibers (%); the volume fraction of the pigment (%); the volume fraction of inflammatory cells (%); the volume fraction of macrophages (%), as well as the depth of the pigment (μm) and the severity of edema.
Statistical processing of results
The gained results were processed using the STSTISTICA 7.0 application software package (StatSoft, USA). The following data were determined: M ± SEM, nonparametric Wilcoxon’s test, Student’s t-test and confidence indices (p). The results were considered reliable at p <0.05.
RESULTS
Effectiveness of betamethasone during the tattooing process depending on the mode of administration according to the results of histological processing
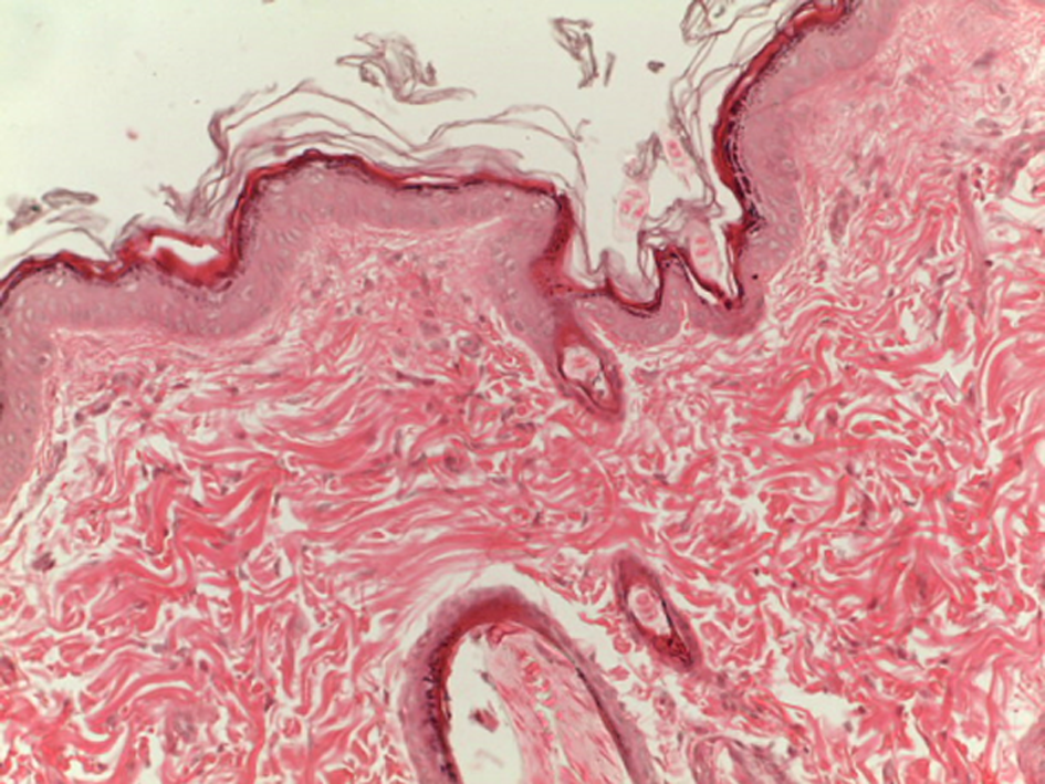
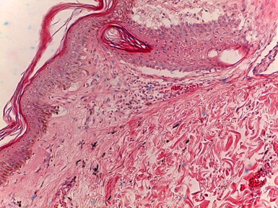
When performing the histological block of the study of the rats’ skin samples, it was found out that on the 3rd day, in the rats of the intact group, the skin was represented by two layers: epidermis and derma. The epidermis included horny, prickle-cell and basal layers adjacent to the basement membrane; the derma consisted of papillary and reticular layers (Fig. 2).
In all the skin samples in the groups with tattooing, the signs of the traumatic damage were reported in tattooing with a black pigment and an inflammatory reaction in response to this damage. When assessing the skin layers in the negative control group, the epidermis was characterized by preserving all its layers, where the epithelium was represented by a basal layer that was fairly tightly adjacent to the basement membrane without signs of damage.
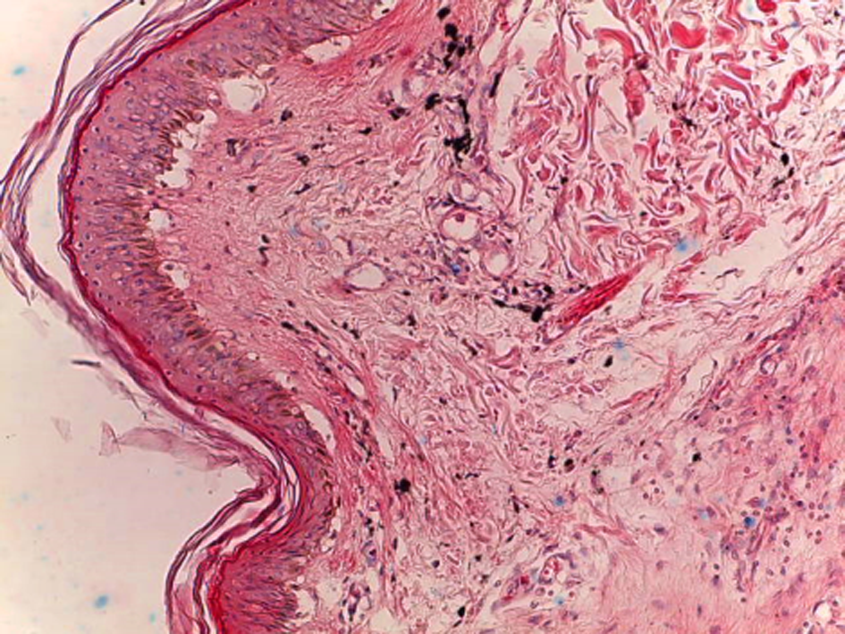
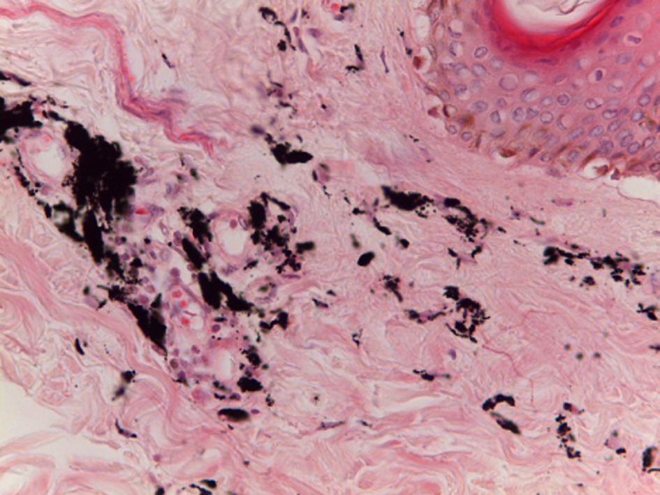
The remaining layers of the epidermis (prickle-cell, granular, horny) were preserved and clearly visualized when stained with hematoxylin and eosin. In the papillary and reticular layers of the derma, an accumulation of the black pigment was reported. It was located both diffusely and perivascularly, which was accompanied by a reaction of the vascular bed and the development of a pronounced inflammatory reaction. So, in the early period, there was a slight perivascular edema and the presence of neutrophils mainly in the reticular layer of the derma. The boundary between the reticular and papillary dermal layers was not clearly detected due to the edema and inflammatory infiltration. The dermal fibers were more loose compared to the skin samples of the intact animals (Fig. 3).
In the comparison group (with intradermal betamethasone administration into the tattoo area), the edema of the derma was less pronounced, the fibers were located more densely to each other, and the papillary and reticular layers of the derma were visualized. The sites of inflammatory infiltration represented by neutrophils and lymphocytes were reported, while the cellular reaction was less pronounced and manifested unevenly, persisting mainly in the deep layers of the derma. Inflammatory infiltrates located perivascularly, as well as around the appendages of the skin, were detected. The structure of the epidermis had no significant differences from the structure of the skin of the intact group animals: the basal, prickle-cell, granular and horny layers were visualized (Fig. 4).
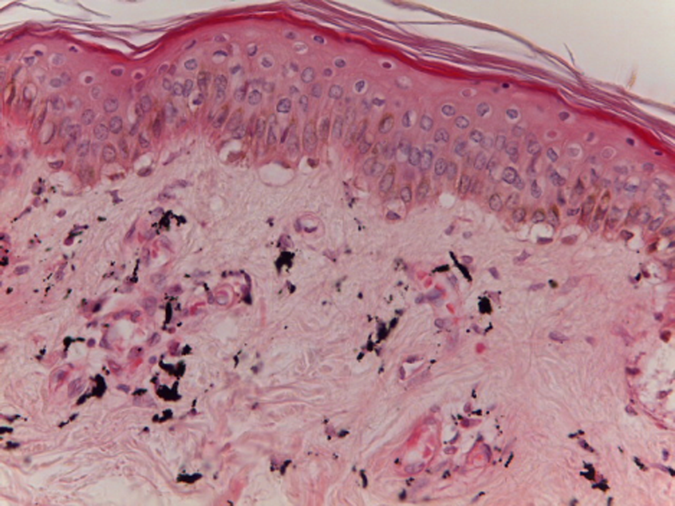
In the skin samples of the experimental group (with intradermal betamethasone administration using a tattoo machine), the drug was uniformly injected over the entire tattoo area, in this regard, the phenomena of edema and inflammatory infiltration were insignificant. So, the papillary layer was represented by a loose, unformed connective tissue, the fibers were tightly attached to the basement membrane of the epidermis. A clear boundary between the papillary and reticular layers, where the latter was represented by a dense unformed tissue, with the inclusion of skin appendages, was visualized. Single lymphocytes and neutrophils around the blood vessels and appendages of the skin, were determined. The dermal fibers were located in each layer without signs of edema, respectively (Fig. 5).
On the 10th day of the experiment, the skin samples of the intact animals had a typical histological structure that did not differ from that on the 3rd day of the experiment. In the negative control group, on the 10th day of the experiment, the epidermis had a typical structure that did not differ from that in the group of intact animals, the cells were tightly attached to the basement membrane. Morphological changes concerned the papillary and reticular layers of derma. In this case, there were phenomena of edema, visually manifested in a connective tissue shedding. An inflammatory infiltrate was determined, and in this model, its severity slightly decreased compared to the 3rd day of the experiment. According to the cellular composition, single neutrophils, lymphocytes, and plasmocytes were detected. It should be noted that at this time of the experiment, macrophages absorbing the black pigment, were identified; they were located predominantly perivascularly and were characterized by incomplete phagocytosis. An insignificant reaction of connective tissue cells was also reported. There fibroblasts and fibrocytes with randomly located fibers which can lead to the formation of scar tissue or keloid scar, were determined.
In the comparison group, on the 10th day, there was a decrease in edema and inflammatory response. Histologically, all the skin layers represented by epidermis, derma and hypoderma, were determined. The basal cells were located on the membrane, in a tight contact with the prickle-cell layer adjacent to the granular one and the subsequent horny layer. The papillary dermal layer tightly adhered to the basement membrane of the epidermis, the fibers of the loose tissue were located somewhat randomly. Single lymphocytes, neutrophils and plasma cells were detected. A black pigment with a diffuse arrangement of granules was revealed in both reticular and papillary layers, and in single macrophages. In the reticular layer there were appendages of the skin, represented by intact hair follicles, sweat and sebaceous glands.
A histological processing of the animal skin samples of the experimental group on the 10th day, did not show significant differences from the skin fragments in the comparison group. All the layers of the epidermis, the structure of the basement membrane were preserved, a clear boundary was determined between the papillary and reticular layers of the derma. The black pigment was located both in the papillary and reticular layers, in the form of small clusters located mainly perivascularly. A small number of macrophages with black pigment inclusions was determined. Single lymphocytes and neutrophils were observed only in the deep layers of the derma near the hair follicles and sebaceous glands.
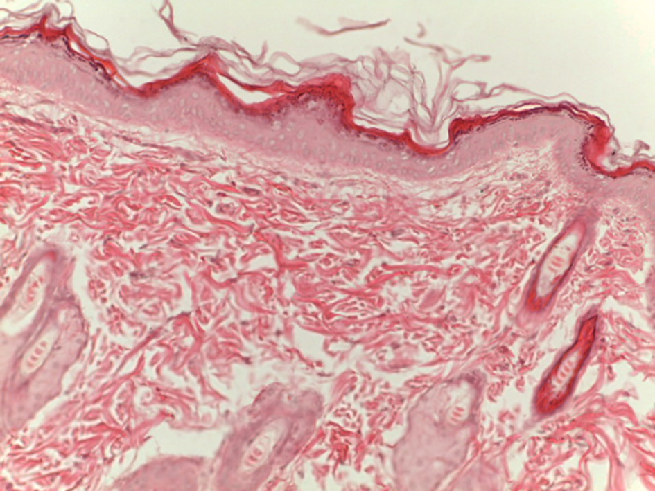
On the 21st day of the experiment, the structure of the skin samples of the intact rats corresponded to the histological norm (Fig. 6).
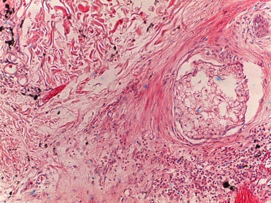
On the 21st day, in the negative control group, the skin samples from the tattoo area showed morphological changes from the derma, while the epidermis was fully consistent with the intact rats’ skin structure. It should be notified that in the derma, there were cells of the lymphocytic series, represented by single groups of lymphocytes and plasmocytes, which are the basis for the development of granulomatous complications with the formation of nonspecific intradermal granulomas. Such pathological manifestations of the skin reaction to an alien pigment, lead to visual changes in the skin topography, and are the most common reason for patients to contact a dermatologist with complaints of a violation of the aesthetic appearance of the tattoo.
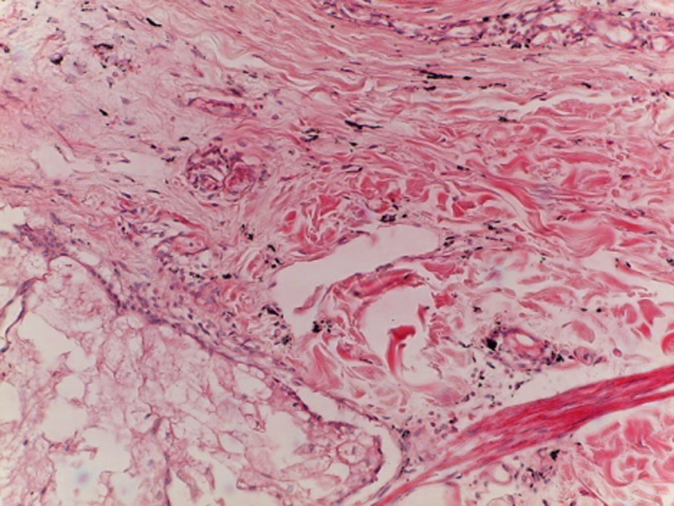
On the 10th day of the experiment, the pigment volume decreased slightly due to the presence of both resident macrophages and free phagocytes. The number of cells of the fibroblastic series increased significantly, and single fibrocytes were reported. These factors were associated with the presence of a severe inflammation at the early stages, and secondary tissue damage. In some cases, a thickening of the connective tissue fibers was observed. It was due to hyalinosis resulting in the formation of scars. According to the morphological structure, these scars were similar to keloid ones (Fig. 7).
When studying the skin samples of the comparison group on the 21st day of the experiment, a complete absence of cellular elements was revealed. It indicates an inflammatory process due to the peculiarities of the pathological process at the earlier stage of the experiment. In this regard, secondary tissue damage, as well as chemo-induced fibroblast migration, was reduced, which did not cause a pronounced synthesis of the connective tissue fibers resulting in the formation of scars. So, the papillary layer of the derma which was closely adjacent to the basement membrane of the epidermis, as well as the reticular layer in which the appendages of the skin were located, were determined. The pigment distribution was shaped relatively nonuniformly as small clusters in both reticular and papillary layers (Fig. 8).
The greatest effect in reducing the inflammatory response and prevention of complications was achieved in the experimental group. In the study carried out on the 21st day, it was found out that the skin structure corresponded to the histological norm with visualization of the main layers: epidermis, derma, hypoderma (Fig. 9).
The presence of the black pigment in the reticular derma, was reported in the form of small clusters caused by the presence of histiocytes in the connective tissue. The dermal fibers were arranged according to its layers and had a characteristic structure.
Morphometric evaluation of betamethasone effectiveness in tattoo dynamics depending on the mode of administration
The results of the morphometric study of the skin samples in the tattoo area in the rats of the studied groups in the dynamics of the experiment, are presented in Table 1.
During the experiment, the volume fraction (VF) of the epidermis had no significant differences from the VF of the epidermis in the group of intact animals and averaged 16.49±1.19% (p> 0.05) in all the experimental groups.
When determining the VF of the dermal fibers, it was found out that in the tattooed animals, there was a significant decrease in this indicator compared to the intact rats. The most pronounced decrease in this morphometric indicator, was determined in the negative control group on the 3rd day of the experiment (60.02±4.02%), p <0.05. As the duration of the experiment increased, the VF of the dermal fibers increased, too, and on the 10th day, in the animals of the comparison and experimental groups, there were no significant differences from the VF in the intact group.
The maximum VF values of the tattoo pigment were determined in all the experimental groups on the 3rd day and significantly decreased as the duration of the experiment increased. At the same time, there was an increase in the VF of macrophages; however, this indicator significantly decreased in the dynamics of the experiment. Thus, the macrophage VF was minimal in the negative control group, varying from 1.74 ± 0.11% (on the 3rd day) to 0.6 ± 0.05% (on the 21st day), p <0.05.
The assessment of the inflammatory response was carried out according to the morphometric parameters of the VF of the inflammatory series cells (neutrophils, lymphocytes, monocytes). This indicator had significant differences in all the experimental groups, decreasing in the series in the following way: the negative control group> the comparison group> the experimental group> the group of intact animals (p <0.05).
The greatest betamethasone effectiveness in morphometry was determined when evaluating an interstitial edema, which had significantly reduced by the 10th day of the experiment as a result of intradermal administration of the drug, and completely leveled when introduced using a tattoo machine (p <0.05).
When studying the depth of the tattoo pigment, it was found out that in the dynamics of the experiment, in the negative control rats an increase of this indicator by 1.97 times was recorded in all the animals; in the comparison group – by 1.75 times and in the experiment – by 1.82 times (p <0.05).
DISCUSSION
The intact animals’ skin had a typical structure, which corresponded to the histological norm. In all the experimental groups, the main pathomorphological changes were registered in the derma. The accumulation of the black pigment was registered in the papillary and reticular layers; it was located both diffusely and perivascularly. The pigment accumulation was accompanied by a reaction of the vascular bed and the development of a pronounced inflammatory reaction.
In the negative control group in the early period, the border between the reticular and papillary layers of derma was not clearly defined due to edema and inflammatory infiltration. The dermal fibers were looser compared to the skin samples of the intact animals. In the reticular layer of the derma and hypoderma, skin appendages were determined; there was neutrophilic infiltration and an admixture of lymphocytes around the sebaceous glands and hair follicles, which can become a source of purulent complications. The results obtained are consistent with the data of foreign authors, who point out a risk of post-tattoo complications, mainly when using a black tattoo pigment [9, 10].
By the end of the experiment, the border between the papillary and reticular layers had become fuzzy, due to the development of a fibroblastic reaction and an increased production of connective tissue fibers; it resembled the picture of a “young” scar in the process of formation. The data obtained do not contradict the literature data on the possibility of the formation of keloid scars in the tattoo area, regarded as a local procedure complication [11].
In the comparison group (with intradermal betamethasone administration into the tattoo area), the edema of the derma was less pronounced, the fibers were located more densely to each other, and the papillary and reticular сетчатый layers of the derma were visualized.
The inflammatory reaction was less pronounced and nonuniformly manifested, persisting mainly in the deep layers of the derma and dynamically decreasing as the duration of the experiment increased. On the 21st day of the experiment, secondary tissue damage was reported, herewith the chemically induced migration of fibroblasts was reduced, which did not cause a pronounced synthesis of the connective tissue fibers resulting in the formation of scars.
Table 1 – Morphometric parameters of the skin in the tattoo area of the rats in the studied groups in the experiment dynamics (M ± m)
Groups of Animals | Experiment duration | ||
The 3rd day | The 10th day | The 21st day | |
VF of epidermis,% | |||
Intact | 16.21±0.81 | 17.01±0.85 | 15.99±0.79 |
Negative control | 16.82±1.51 | 16.77±1.84 | 16.01±1.12 |
Comparison group | 16.74±1.17 | 16.59±1.49 | 16.33±1.31 |
Experimental group | 16.43±1.31 | 16.68±1.01 | 16.29±1.14 |
VF of dermal fibers,% | |||
Intact | 83.79±4.18 | 82.7±4.13 | 84.01±4.20 |
Negative control | 60.02±4.02* | 69.82±4.19* | 78.65±5.51*# |
Comparison group | 66.0±4.62* | 75.23±6.77 | 79.43±5.56 |
Experimental group | 67.39±4.87* | 74.8±4.49 | 79.51±6.36 |
Pigment depth, μm | |||
Intact | 0 | 0 | 0 |
Negative control | 42.0±2.13* | 67.9±4.75*# | 82.77±6.62*# |
Comparison group | 40.53±2.43* | 70.6±4.23*# | 71.0±4.97*# |
Experimental group | 40.21±2.81* | 61.33±3.68*# | 73.22±5.85*# |
VF of pigment, % | |||
Intact | 0 | 0 | 0 |
Negative control | 8.77±0.61* | 5.11±0.46*# | 4.43±0.49*# |
Comparison group | 9.58±0.86* | 4.98±0.34*# | 3.97±0.19* |
Experimental group | 9.33±0.65* | 5.52±0.39*# | 3.99±0.23*# |
VF of inflammatory series cells, % | |||
Intact | 0 | 0 | 0 |
Negative control | 12.65±1.01* | 7.5±0.82*# | 0.31±0.02 |
Comparison group | 6.35±0.45* | 3.1±0.21*# | 0.17±0.01 |
Experimental group | 5.7±0.39* | 2.9±0.23*# | 0.11±0.01 |
VF of macrophages, % | |||
Intact | 0 | 0 | 0 |
Negative control | 1.74±0.11* | 0.8±0.07*# | 0.6±0.05*# |
Comparison group | 1.33±0.11* | 0.1±0.008# | 0.1±0.007 |
Experimental group | 1.15±0.10* | 0.1±0.011# | 0.1±0.005 |
Severity of edema (+++) | |||
Intact | – | – | – |
Negative control | +++* | ++*# | –# |
Comparison group | ++* | +*# | –# |
Experimental group | ++* | –*# | – |
Note: * – significant differences with the group of intact animals (p <0.05); # – significant differences compared with the previous period (p <0.05)
The greatest effect in relation to the inflammatory reaction and the prevention of complications, was achieved in the experimental group. In the skin samples of the experimental group (with intradermal betamethasone administration using a tattoo machine), the drug was uniformly injected over the entire area of the tattoo; in this regard, the phenomena of edema and inflammatory infiltration were insignificant. The dermal fibers were located in each layer, respectively, with no signs of edema and with single cells of inflammation. The carried out histological research was fully consistent with the results of morphometry. It was found out that in the betamethasone administration using a tattoo machine, edema significantly decreased, the VF of the pigment, macrophages and inflammatory cells decreased, too, and the number of dermal fibers increased (p <0.05).
The data obtained are extremely relevant, which is confirmed by foreign authors’ publications. They indicate an increase in post-tattoo complications and the development of skin diseases, such as atopic dermatitis, allergic reactions provoked by the tattoo procedure [12–15]. Granulomatous diseases, up to skin sarcoidosis, are recorded somewhat less frequently [16]; the prerequisites for its occurrence were identified during the histological research. Thus, the inflammatory nature of the skin diseases, against the background of tattooing and the location of the tattoo pigment in the deep layers of the derma, determine the consistency of using betamethasone as the drug of choice and explain the effectiveness of its administration using a tattoo machine.
CONCLUSION
As a result of the carried out experimental study, the effectiveness of betamethasone in the treatment of local post-tattoo complications has been proved. In this case, the treatment of choice is the administration of this drug not traditionally subcutaneously, but using a tattoo machine. That enables the targeted delivery of the substance to the area of the pathological process, and can be recommended for clinical trials.
FINANCIAL SUPPORT
This study did not have any support from outside organizations.
AUTHORS’ CONTRIBUTION
All the authors have equally contributed to the research work.
CONFLICT OF INTEREST
The authors declare no conflict of interest.
About the authors
Oleg N. Karymov
Moscow scientific and practical center of dermatovenerology and cosmetology Moscow Healthcare Department
Email: med_lazer@mail.ru
ORCID iD: 0000-0002-7048-3605
Candidate of Sciences (Medicine), Head of the department of laser therapy and other hardware methods of treatment and diagnosis, Moscow Scientific and Practical Center of Dermatovenerology and Cosmetology.
Russian Federation, MoscowAlexander A. Vorobyov
Federal State budgetary Institution of Higher Education “Volgograd Medical State University”
Email: cos@volgmed.ru
ORCID iD: 0000-0001-8378-0505
Doctor of Sciences (Medicine), Professor, Head of the Department of Operative Surgery and Topographic Anatomy, Volgograd State Medical University.
Russian Federation, VolgogradSvetlana A. Kalashnikova
Pyatigorsk Medical and Pharmaceutical Institute, branch of the Federal budgetary Educational Institution of Higher Education “Volgograd Medical State University”
Email: kalashnikova-sa@yandex.ru
ORCID iD: 0000-0002-7688-9366
Doctor of Sciences (Medicine), Associate Professor, Head of the Department of Morphology, Рyatigorsk Medical and Pharmaceutical Institute, branch of the Federal budgetary Educational Institution of Higher Education “Volgograd Medical State University”,
Russian Federation, PyatigorskLyudmila V. Polyakova
Рyatigorsk Medical and Pharmaceutical Institute, branch of the Federal budgetary Educational Institution of Higher Education “Volgograd Medical State University”
Email: lvpolyakova7@gmail.com
ORCID iD: 0000-0002-5349-1435
Candidate of Sciences (Medicine), Associate Professor of the Department of Morphology, 3Рyatigorsk Medical and Pharmaceutical Institute, branch of the Federal budgetary Educational Institution of Higher Education “Volgograd Medical State University”,
Russian Federation, PyatigorskMaksim N. Vyskub
Medical Center
Author for correspondence.
Email: elsi2002@list.ru
ORCID iD: 0000-0002-8652-8089
Cosmetologist, Medical Center.
Russian Federation, VolgogradReferences
- Wenzel SM, Rittmann I, Landthaler SM, Baumer W. Dermatology. 2013;226(2):138–47. DOI: http://dx.doi.org/10.1159/000346943.
- Karymov ON, Vorobiev AA, Kalashnikova SA. Klassifikatsiya oslozhneniy tatuazha [Classification of tattoo complications]. The Russian Journal of Dermatology and Venereology. 2018;6:98–107. DOI: http://dx.doi.org/10.17116/klinderma20181706198. Russian
- Karymov ON, Kalashnikova SA. Klinicheskiy sluchay obrazovaniya keloidnogo rubtsa na meste tatuirovki [A case report of keloid scarring triggered by tattooing]. Volgograd Journal of Medical Research. 2017;1:59–61. Russian
- Tiong W, Basiron N. Challenging diagnosis of a rare case of spontaneous keloid scar. J Med Cases. 2014;5(8):466–9. DOI: http://dx.doi.org/10.14740/jmc1887w
- Sharobaro VI, Romanets OP, Grechishnikov MI, Baeva AA. Metody optimizatsii lecheniya i profilaktiki rubtso [Optimization of treatment and prevention of scars]. Pirogov Russian Journal of Surgery. 2015;9:85–90. DOI: http://dx.doi.org/10.17116/hirurgia2015985–90 Russian
- Rybakova A, Makarova M. Metody evtanazii laboratornykh zhivotnykh v sootvetstvii s yevropeyskoy direktivoy 2010/63 [Methods of euthanasia of laboratory animals, in accordance with European Directive 2010/63]. International bulletin of Veterinary Medicine. 2015;2:96–107. Russian
- Rybakova A, Makarova M. Sanitarnyy kontrol’ eksperimental’nykh klinik (vivariyev) v sootvetstvii s lokal’nymi i sootvetstvuyushchimi trebovaniyami [Sanitary inspection of experimental clinic (vivarium) with using local and internation requirement]. International bulletin of Veterinary Medicine. 2015;4:81–9. Russian.
- Avtandilov GG. Osnovy kolichestvennoy patologicheskoy anatomii [Fundamentals of quantitative pathological anatomy]. Moscow, Medicine, 2002: 240p. Russian
- Anzi OE, Hassam B. Black henna tattoo: risk of developing allergic contact eczema. The Pan African Medical Journal. 2018; 30: 46. DOI: http://dx.doi.org/10.11604/pamj.2018.30.46.15563
- Foss-Skiftesvik MH, Johansen JD, Thyssen JP. Sign of the kiss’ from black henna tattoos // Contact Dermatitis. 2015;73(6):370–1. DOI: http://dx.doi.org/10.1111/cod.12451
- Borkhunova EN, Taganov AV. Keloidnyye i gipertroficheskiye rubtsy: osobennosti patogeneza, gistoarkhitektoniki i aspekty differentsial’noy diagnostiki [Keloid and hypertrophic scars: features of pathogenesis, histoarchitectonics and aspects of differential diagnosis]. Cosmetics and medicine. 2016;3:30–8. Russian
- Bassi A, Campolmi P, Giovanni С. Tattoo-associated skin reaction: the importance of an early diagnosis and proper treatment. Biomed Research International. 2014; 2014:7. DOI: http: //dx.doi.org/10.1155/2014/354608.
- Ballard MS. Contact dermatitis after henna skin tattooing. J. R. Army Med Corps. 2006;152(4):242–3. DOI: http: //dx.doi.org/10.1136/jramc-152-04-10
- Tiew S. Tattoo-associated panuveitis: A 10-year follow-up // Eur J Ophthalmol. 2019;29(1_suppl):18-21. DOI: http: //dx.doi.org/10.1177/1120672119846341.
- Greywal T, Cohen PR. Cosmetic tattoo pigment reaction. Dermatol Online J. 2016;22(7). pii: 13030/qt3rc114rg.
- Tanner SL, Menzies S. Cutaneous sarcoid granulomas within a cosmetic tattoo. BMJ. 2017 Jan 5;356:i6324. DOI: http://dx.doi.org/10.1136/bmj.i6324.
Supplementary files










