Комплексная биостимуляция внутриплеврального адгезиогенеза в торакальной хирургии
- Авторы: Калашников А.В.1, Воробьев А.А.2, Калашникова С.А.1, Салимов Д.Ш.3
-
Учреждения:
- Пятигорский медико-фармацевтический институт – филиал федерального государственного бюджетного учреждения высшего образования «Волгоградский государственный медицинский университет» Министерства здравоохранения Российской Федерации
- Федеральное государственное бюджетное учреждение высшего образования «Волгоградский государственный медицинский университет» Министерства здравоохранения Российской Федерации
- Федеральное казенное учреждение «Центральный военный клинический госпиталь имени П.В. Мандрыка» Министерства обороны Российской Федерации
- Выпуск: Том 8, № 2 (2020)
- Страницы: 86-99
- Раздел: Статьи
- URL: https://journals.eco-vector.com/2307-9266/article/view/111631
- DOI: https://doi.org/10.19163/2307-9266-2020-8-2-86-99
- ID: 111631
Цитировать
Аннотация
Цель. Определить эффективность применения плазмы, обогащенной тромбоцитами в комплексном лечении травмы грудной клетки и хронической эмпиемы плевры.
Материалы и методы. Работа выполнена на 450 крысах-самцах, которым моделировали травму грудной клетки (n=180) и хроническую эмпиему плевры (n=270). В опытных группах осуществлялась биостимуляция адгезиогенеза: внутриплевральное введение 1 мл плазмы, обогащенной тромбоцитами, в группе сравнения при эмпиеме плевры вводили 1 мл раствора доксициклина, в группах негативного контроля лечения не проводилось. Выведение из эксперимента на 10-е, 20-е, 30-е сутки. Образцы внутриплевральных сращений фиксировали в 10%-ом формалине с последующей гистологической проводкой и изготовлением микропрепаратов, окраской гематоксилином и эозином. Морфометрическое исследование включало определение объемной доли (ОД) коллагеновых и ретикулярных волокон; фибрина; клеток воспалительного ряда; сосудистого русла (%).
Результаты. Внутриплевральное введение плазмы, обогащенной тромбоцитами, является эффективным способом стабилизации реберного каркаса – при травмах грудной клетки, и ликвидации остаточных полостей – при хронической эмпиеме плевры. При оценке выраженности спаечного процесса при травме грудной клетки установлено, что наиболее часто спайки визуализируются в местах перелома ребер (от 13,3 до 40%). При эмпиеме плевры на протяжении всего наблюдения ОД коллагеновых волокон, формирующих спайки, была выше в группе с биологической стимуляцией адгезиогенеза, чем в группе НКэп и в ГСэп. В PRP-группе данный показатель уже на начальных сроках эксперимента был достоверно ниже, чем в группе НК и ГС (p<0,05).
Заключение. На основании полученных данных доказана эффективность применения плазмы, обогащенной тромбоцитами в торакальной хирургии для биологического потенцирования адгезиогенеза: при экспериментальных травмах грудной клетки и хронической эмпиеме плевры.
Полный текст
Сокращения: ТГК – травма грудной клетки; НКт – группа негативного контроля с травмой грудной клетки (без фармакологической коррекции); PRPт – введение плазмы, обогащенной тромбоцитами для лечения травмы грудной клетки; ЭП – эмпиема плевры; НКэп – группа негативного контроля с эмпиемой плевры (без фармакологической коррекции); PRPэп – введение плазмы, обогащенной тромбоцитами для лечения эмпиемы плевры; ГС – группа сравнения; ГСэп – группа сравнения без фармакологической поддержки.
ВВЕДЕНИЕ
В настоящее время одним из перспективных направлений регенераторной медицины является биологическая стимуляция процессов репарации с использованием плазмы, обогащенной тромбоцитами (PRP – рlatelet rich plasma), содержащей многочисленные факторы роста и цитокины [1–3].
Препараты, разработанные на основе аутологичных компонентов, все шире внедряются в косметологию и травматологию, однако в торакальной хирургии биотехнологии на основе PRP-технологий до настоящего времени не нашли применения, что и обусловливает актуальность данной работы. По-прежнему нерешенными проблемами остается стабилизация реберного каркаса при тяжелых сочетанных травмах и ликвидация остаточных полостей при хронических эмпиемах плевры, что требует поиска новых решений с применением биологической стимуляции адгезиогенеза в комплексном лечении данных нозологий [4–7].
ЦЕЛЬ РАБОТЫ – определение эффективности применения плазмы, обогащенной тромбоцитами, в комплексном лечении травмы грудной клетки и эмпиемы плевры.
МАТЕРИАЛЫ И МЕТОДЫ
Экспериментальные животные
Эксперимент выполнен на 450 нелинейных половозрелых крысах-самцах (сток), массой 280-300 г, которые содержались в стандартных условиях вивария, с естественной сменой суточного цикла, свободным доступом к экструдированному корму и воде. Содержание и манипуляции проводились в соответствии с приказом Минздрава СССР №755 от 12.08.1977 г. и Европейской Конвенцией о защите позвоночных животных, используемой для экспериментов или в других научных целях (Страсбург, 18 марта 1986 г.) [8, 9]. Положительное заключение на экспериментальные исследования Локального независимого этического комитета Волгоградского государственного медицинского университета получено 29.09.2016 г., протокол №12-2016.
Дизайн исследования
Дизайн эксперимента представлен на рис. 1.
Рисунок 1 – Дизайн эксперимента
Примечание: ТГК – травма грудной клетки; НКт – группа негативного контроля с травмой грудной клетки (без фармакологической коррекции); PRPт – введение плазмы, обогащенной тромбоцитами для лечения травмы грудной клетки; ЭП – эмпиема плевры; НКэп – группа негативного контроля с эмпиемой плевры (без фармакологической коррекции); PRPэп лечения эмпиемы плевры.
Животным моделировали травму грудной клетки (n=180) и хроническую эмпиему плевры (n=270) с использованием авторских методик после наркотизации (хлоралгидрат 350 мг/кг интраперитонеально). При моделировании ТГК выделяли группу негативного контроля (НКт) и экспериментальную группу (PRPт), которым осуществлялось биологическое потенцирование адгезиогенеза введением в плевральную полость плазмы, обогащенной тромбоцитами (PRP): набор для забора крови Plasmolifting™, ООО «Плазмолифтинг», г. Казань, Россия. ТУ 9437-002-27837594-2015, регистрационное удостоверение № РЗН 2016/3980 от 19.04.2016. Протокол проведения процедуры:
I этап. Забор крови в объеме 5 мл из хвостовой вены с помощью шприца в специализированную пробирку Plasmolifting™.
II этап. Центрифугирование 1000 G (3200 оборотов) 5 мин., разделение на фракции, получение тромбоцитарной аутоплазмы.
III этап. Забор супернатанта (тромботической аутологичной плазмы), которая располагается в верхней части пробирки над разграничительным гелем (рис. 2Б).
IV этап. Введение 1 мл препарата при переломах ребер: точечно в зону перелома, субплеврально и в плевральную полость; при хронической эмпиеме плевры – непосредственно в остаточную плевральную полость.
При моделировании хронической ЭП кроме вышеописанных групп была добавлена группа сравнения (ГСэп), животным которой вводили 1 мл раствора доксициклина внутриплеврально. Доксициклин (Doxycyclinum) является полусинтетическим бактериостатическим антибиотиком из группы тетрациклинов широкого спектра действия. Химическое название (4S,4aR,5S,5aR,6R,12aS)-4-диметиламин-3,5,10,12,12а-пентагидрокси-6-метил-1,11-диокси-1,4,4а,5,5а,6,11,12а-октагидронафтацен-2-карбоксиамида моногидрохлорид, в смеси с этанолом (2:1), полугидрат C22H24N2O8*HCl*½C2H5OH*½H2O. Торговое название Doxycycline, БИНЕРГИЯ ЗАО (Россия), лиофилизат для приготовления раствора для инфузий 100 мг флаконы (5) контурные пластиковые (1), пачки картонные. Код АТХ J01AA02. Состав: доксициклин (в форме гидрохлорида) 100 мг, вспомогательные вещества: натрия дисульфит – 6 мг, динатрия эдетат – 0,02 мг. Кроме антибактериального действия, оказываемого Доксициклином, данное вещество, согласно Национальным клиническим рекомендациям по торакальной хирургии, является препаратом выбора для химического плевродеза [10–12]. Выведение из эксперимента проводили на 10-е, 20-е и 30-е сутки эксперимента. Описание макроскопической картины плевральной полости и забор внутриплевральных спаек осуществляли с максимальным сохранением точек прикрепления [13].
Гистологическое исследование
Осуществлен забор 1350 образцов внутриплевральных сращений с максимальным сохранением точек прикрепления спаек между париетальной и висцеральной плеврой и фиксацией материала в 10% растворе нейтральном формалине (экспозиция 24 ч), осуществляли стандартную гистологическую проводку, проводя фиксированный материал по этиловому спирту в восходящей концентрации (от 70° до 100°) и хлороформу. Комплексное морфологическое исследование включало изготовление серийных срезов внутриплевральных сращений на разных сроках эксперимента с окраской гематоксилином и эозином. Микрофотографии сделаны с использованием микроскопа «Leiсa DM 100» с цифровой фотокамерой, увеличение ×100, ×200, ×400.
Морфометрическое исследование
Морфометрическое исследование проводилось в соответствии со сложившимися принципами количественных морфологических исследований, согласно которым проводят измерение на микрофотограммах, полученных при фотодокументировании серийных срезов (и определением количества объектов не менее чем на 10 стеклах в 10 полях зрения) [автандилов]. С помощью программы «Видеотест Морфо» определяли объемные доли (ОД) коллагеновых и эластических волокон, фибрина, клеточный состав спаек (лимфоциты, лейкоциты, фибробласты) и ОД сосудистого русла [14].
Статистическая обработка результатов
Полученные результаты были обработаны с использованием прикладного программного пакета STATISTICA 7.0 (StatSoft, США) и определяли M±SEM, непараметрического критерия Вилкоксона, критерия Стьюдента (t) и показателя достоверности (p). Результаты считались достоверными при p<0,05.
РЕЗУЛЬТАТЫ
Эффективность плазмы, обогащенной тромбоцитами при внутриплевральном введении для потенцирования адгезиогенеза при травме грудной клетки по результатам макроскопического исследования
В результате сравнительного анализа опытной группы и группы негативного контроля установлено, что на 10-е сутки эксперимента при ТГК не было отмечено случаев консолидации переломов ребер. В группе НКт спаечный процесс отсутствовал в 16,7% случаев, в 36,7% спайки образовывались локально, исключительно в зоне операционной травмы и были представлены белесоватыми полупрозрачными тяжами (паутинные спайки), рис. 2А.
При внутриплевральном введении PRP спайки не сформировались лишь в 6,7%, что достоверно меньше, чем в группе НКт (p<0,05). Обращает на себя внимание тот факт, что внутриплевральные сращения были представлены более плотными (пленчатыми) спайками, локализованными преимущественно между торакотомным рубцом и париетальной и висцеральной плеврой (рис. 2Б).
Рисунок 2 – Плевральная полость на 10-е сутки экспериментальной травмы грудной клетки
Примечание: А. Группа негативного контроля. Б. Опытная группа. Введение плазмы, обогащенной тромбоцитами (PRPт). Отсутствие консолидации реберных отломков.
Консолидация реберных отломков на 20-е сутки эксперимента зафиксирована у 66,7% животных группы НКт и у 77,8% – опытной группы. Спайки в группе НКт, как и на предыдущем сроке эксперимента, преимущественно образовывались в зоне операционной травмы – в 43,3% и были представлены паутинными и пленчатыми сращениями (рис. 3А).
При введении плазмы, обогащенной тромбоцитами (PRPт) на 20 сутки в плевральный полости лишь в 1 случае (3,3%) спайки отсутствовали, в остальных случаях было зафиксировано спайкообразование с тотальным заращением плевральной полости в 13,3% (4 случая). Наиболее часто определялись спайки в зоне перелома – 40,0%, а также единичные локальные спайки (20,0%) и единичные спайки вне зоны перелома (23,3%). Спаечные сращения были представлены плотными, плоскостными спайками (рис. 3Б).
Рисунок 3 – Плевральная полость на 20-е сутки экспериментальной травмы грудной клетки
Примечание: А. Группа негативного контроля. Наличие консолидации переломов ребер, отсутствие внутриплевральных спаек. Б. Опытная группа. Введение плазмы, обогащенной тромбоцитами (PRPт), образование плевральных сращений.
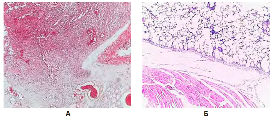
На 30-е сутки эксперимента в группе НКт отмечалась консолидация мест перелома с образованием выраженной костной мозоли. Отмечено сужение и деформация межреберных промежутков, сформировавшихся за счет спаечного процесса. Тотального заращения плевральной полости не выявлено (рис. 4А).
К окончанию эксперимента (30-е сут.) в группе PRPт тотальное заращение плевральной полости наблюдалось в 13,3% (4 случая). На рис. 4Б представлена наиболее типичная ситуация, характеризующаяся формированием плоскостной интимной спайки в месте перелома при биостимуляции адгезиогенеза плазмой, обогащенной тромбоцитами. Протяженность спайки – 10 мм, ширина 4 мм, толщина до 1 мм, общая площадь органной спайки составила 40 мм2, отмечалось оскуднение васкуляризации по сравнению с предыдущим сроком.
Рисунок 4 – Плевральная полость на 30-е сутки экспериментальной травмы грудной клетки
Примечание: А. Группа негативного контроля. Наличие консолидации переломов ребер, отсутствие внутриплевральных спаек. Б. Опытная группа. Введение плазмы, обогащенной тромбоцитами (PRPт). Формирование плоскостных спаек.
Таким образом, при сравнительном анализе спаечного процесса в плевральной полости при травме грудной клетки установлены достоверные различия у крыс НКт и опытной группой PRPт. В группе НКт преобладали паутинные и пленчатые сращения, в то время как при биостимуляции адгезиогенеза плазмой, обогащенной тромбоцитами обнаруживались лентовидные и плоскостные спайки, плотность которых увеличивалась в динамике эксперимента.
Эффективность плазмы, обогащенной тромбоцитами при внутриплевральном введении для потенцирования адгезиогенеза при травме грудной клетки по результатам гистологического исследования
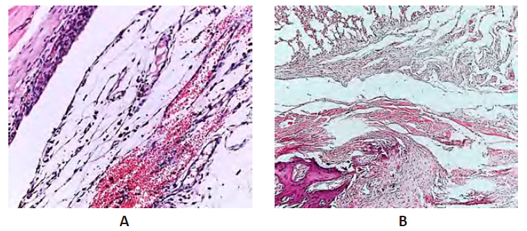
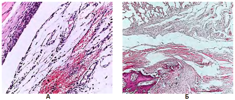
При гистологическом исследовании плевральных спаек на 10-е сутки экспериментальной травмы грудной клетки как в группе НКт, так и в группе PRPт характеризовались преобладанием хаотично расположенных волокон соединительной ткани с выраженной лейкоцитарной инфильтрацией. При этом в группе НКт в исследуемых образцах обнаруживался диффузно расположенный серозно-геморрагический экссудат с отложениями фибрина (рис. 5А).
В опытной группе на 10-е сутки эксперимента определялись тонкие волокна соединительной ткани, расположенные неравномерно, преимущественно в зоне перелома и введения препарата. Количество экссудата было незначительным, отмечалась его организация на фоне сохраняющейся воспалительной реакции (рис. 5Б).
Рисунок 5 – Экспериментальная травма грудной клетки 10-е сутки
Примечание: А. Группа НКт. Б. Группа PRPт. Окраска гематоксилином и эозином. Ув. ×400.
Объем серозно-геморрагического экссудата на 20-е сутки эксперимента в группе НКт был незначителен, выявлен отек соединительной ткани, представленной хаотично локализованными волокнами, по типу миксоматозной трансформации. Определялись единичные сосуды и диффузная преимущественно нейтрофильная воспалительная инфильтрация. Отмечалось несоответствие незрелых плевральных сращений сроку эксперимента (рис. 6А).
При введении PRP на 20-е сутки определялись молодые плевральные сращения, содержащие в своем составе волокна, ориентированные параллельно поверхности стенок плевральной полости. В рыхло расположенных волокнах соединительной ткани визуализировались единичные гранулы гемосидерина, что связано с изменением проницаемости эндотелия и базальной мембраны и свидетельствовало о продолжающемся адгезиогенезе (рис. 6Б).
Рисунок 6 – Экспериментальная травма грудной клетки 20-е сутки
Примечание: А. Группа НКт. Окраска гематоксилином и эозином. Ув. ×100. Б. Опытная группа PRPт. Окраска гематоксилином и эозином. Ув. ×200.
В группе НКт на 30-е сутки эксперимента спайки по-прежнему были незрелыми. Кровенаполнение сосудов и присутствие гранул гемосидерина с сидерофагами свидетельствовало о продолжающемся ангиогенезе и формировании плевральных сращений. Сосуды были тонкостенными, полнокровными и располагались неравномерно среди волокон соединительной ткани. Отмечалось наличие единичных лимфоцитов, плазмоцитов и нейтрофилов, а также обилие макрофагов (сидерофагов) (рис. 7А).
При гистологическом исследовании морфологических изменений в плевральной полости при биостимуляции адгезиогенеза введением плазмы, обогащенной тромбоцитами к окончанию эксперимента определялись зрелые сращения в области перелома ребер. Спайки сформированы строго ориентированными коллагеновыми волокнами и включали в свой состав фибробласты, фиброциты, с единичными в поле зрения сосудами (рис. 7Б).
Рисунок 7 – Экспериментальная травма грудной клетки 30-е сутки
Примечание: А. Группа НКт. Окраска гематоксилином и эозином. Ув. ×200. Б. Опытная группа PRPт. Окраска гематоксилином и эозином. Ув. ×400.
Морфометрическая оценка эффективности плазмы, обогащенной тромбоцитами, для потенцирования адгезиогенеза при травме грудной клетки в динамике
Морфометрический анализ полностью согласовывался с результатами гистологического исследования (табл. 1).
Таблица 1 – Морфометрические показатели состава спаек у крыс с травмой грудной клетки на фоне плазмы, обогащенной тромбоцитами для потенцирования адгезиогенеза (M±m, %)
Показатели, ОД (%) | Экспериментальные группы | |||||
НКт | PRPт | |||||
10-е сут | 20-е сут | 30-е сут | 10-е сут | 20-е сут | 30-е сут | |
Коллагеновые волокна | 3,04±0,8 | 15,11±2,3# | 33,72±9,7# | 8,23±0,9* | 29,15±3,1*# | 37,23±8,3*# |
Ретикулярные волокна | 31,56±3,5 | 25,05±0,9# | 2,95±0,7# | 30,19±3,7 | 15,03±1,1*# | 4,15±0,3# |
Фибрин | 8,11±0,9 | 6,09±0,3 | 5,21±0,3# | 9,15±0,9 | 4,25±0,8*# | 4,08±0,5 |
Лейкоциты | 22,17±1,7 | 18,75±3,5 | 9,73±0,5# | 21,95±3,9 | 17,21±2,5 | 8,92±0,8# |
Лимфоциты | 11,01±0,9 | 14,15±0,8 | 20,12±7,3# | 10,27±0,9 | 15,95±1,9 | 19,75±1,3 |
Фибробласты | 6,88±0,5 | 10,05±1,3 | 18,36±3,5# | 7,07±0,8 | 10,21±0,7 | 21,03±1,5# |
Сосуды | 17,23±2,5 | 10,80±2,5# | 9,91±0,8# | 13,14±1,5 | 8,2±0,9*# | 4,84±0,3*# |
Примечание: * – достоверность различий по сравнению с группой НКт (p<0,05);
# – достоверность различий по сравнению с предыдущим сроком (p<0,05).
При определении ОД коллагеновых и ретикулярных волокон, формирующих спайки, установлены достоверные различия в группе НКт и в опытной группе PRPт. Так, ОД коллагеновых волокон на 10-е сутки эксперимента в группе НКт была достоверно меньше, чем в экспериментальной группе со стимуляцией адгезиогенеза плазмой, обогащенной тромбоцитами (3,04±0,8% 8,23±0,9% соответственно) p<0,05. На фоне увеличения доли коллагеновых волокон происходило достоверное снижение ОД ретикулярных волокон, резко уменьшавшихся на 30-е сутки эксперимента (p<0,05).
Кроме этого на всех сроках эксперимента определялись достоверные различия в группе НК и экспериментальных группах при определении ОД клеточного состава спаек: лейкоцитов, лимфоцитов, фибробластов (p<0,05).
Таким образом, в результате комплексного морфологического исследования установлено, что биологическое потенцирование адгезиогенеза плазмой, обогащенной тромбоцитами является эффективной мерой стабилизации реберного каркаса при травмах грудной клетки с множественными переломами ребер.
Эффективность плазмы, обогащенной тромбоцитами при внутриплевральном введении для потенцирования адгезиогенеза при хронической эмпиеме плевры по результатам макроскопического исследования
В результате проведенного исследования установлены достоверные различия в морфогенезе остаточных полостей у животных групп сравнения и опытных групп. При проведении сравнительной характеристики экспериментальной хронической эмпиемы плевры и спаечного процесса в плевральной полости без лечения и при различных способах биологической стимуляции спайкообразования было установлено, что на 10-е сутки эксперимента во всех группах исследования, в том числе в группе негативного контроля, в группе сравнения и в трех экспериментальных группах, макроскопически сохранялась остаточная полость. Выраженность спаечного процесса зависела от тактики ведения остаточной плевральной полости, возникшей при экспериментальном моделировании эмпиемы плевры.
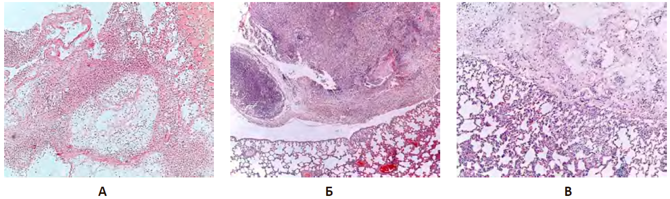
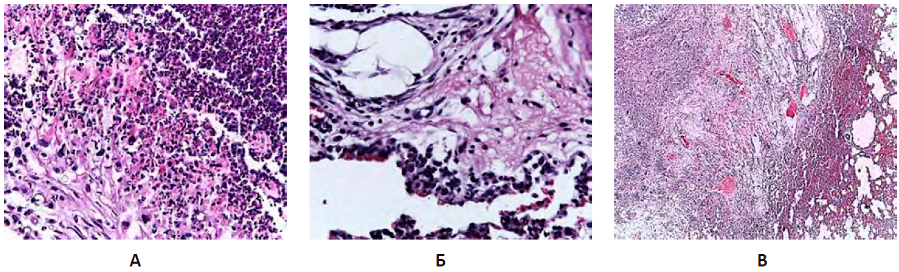
В группе НКэп объем остаточной плевральной полости был максимальным и в среднем составлял 25,1±3,1 мм3. В основном у животных данной группы определялись единичные спайки (50,0%), в 36,7% случаев спайки отсутствовали, множественные спайки обнаружены лишь в 13,3%, при этом морфологически определялись преимущественно паутинные спайки. Полость была заполнена жидким гноем без признаков организации. Висцеральная плевра утолщена до 1–1,5 мм, в ее толще определялись абсцессы диаметром от 1 до 3 мм (рис. 8А).
В ГСэп также как и в группе НКэп тотальное заращение остаточной полости не наблюдалось. Однако определялись внутриплевральные спайки, как единичные – в 56,7%, так и множественные – 23,3%. Объем остаточной плевральной полости был меньше, чем в группе НК – 23,2±2,5 мм3, (p>0,05). В ГС остаточная полость эмпиемы была сформирована париетальной плеврой, висцеральной плеврой верхней доли, междолевой бороздой, нижней долей и диафрагмой. В толще плевры определялись множественные инкапсулированные абсцессы до 3 мм в диаметре. На поверхности плевры имелись очаговые отложения фибрина (рис. 8Б).
В опытной группе на фоне введения плазмы, обогащенной тромбоцитами, на 10-е сутки экспериментальной ЭП определялись остаточные полости небольшого объема, раздробленные единичными органными спайками на сектора. Внутриплевральные сращения чаще всего располагались в области реберно-диафрагмального синуса и были пронизаны вновь образованными сосудами, что свидетельствовало об активном формировании спаек (рис. 8В).
Рисунок 8 – Плевральная полость на 10 сут экспериментальной эмпиемы плевры в группе сравнения
Примечание: А. Группа негативного контроля (НКэп). Полость заполнена жидким гноем, множественные абсцессы. Б. Группа сравнения (ГСэп). В. Опытная группа (PRPэп).
На 20-е сутки экспериментальной ЭП в группе НК определялась остаточная полость, содержащая гнойный экссудат. Пиогенная оболочка была утолщена за счет отложения фибрина до 2 мм, инфильтрирована многочисленными микроабсцессами. Купол диафрагмы сглажен, отмечалась деформация синусов, при этом внутриплевральные сращения отсутствовали (рис. 9А).
В передненижних отделах плевральной полости у крыс ГСэп определялась остаточная полость эмпиемы с утолщенными стенками, содержащая организованный экссудат. Обнаружены многочисленные спайки, преимущественно пленчатые и плоскостные, локализованные в плевро-диафрагмальных синусах и междолевой борозде. Выраженный внутриспаечный воспалительный процесс и богатая неоваскуляризация свидетельствовали об активном формировании спайки (рис. 9Б).
При биологическом потенцировании адгезиогенеза с помощью введения плазмы, обогащенной тромбоцитами, определялись деформированные (за счет спаечного процесса) остаточные полости без гнойного содержимого, с очаговыми отложениями фибрина на стенках, толщиной до 2 мм. Морфологически спайки были представлены широким спектром: единичные органные спайки сочетались с множественными пленчатыми и лентовидными сращениями, которые хаотично располагались внутри остаточной полости значительно сокращая ее объем (рис. 9В).
Рисунок 9 – Плевральная полость на 20-е сутки экспериментальной эмпиемы плевры
Примечание: А. Группа негативного контроля (НКэп). Полость заполнена жидким гноем, множественные абсцессы. Б. Группа сравнения (ГСэп). В. Опытная группа (PRPэп).
К окончанию эксперимента (30-е сутки) во всех группах регистрировались случаи ликвидации остаточных полостей, однако в группе НКэп полость эмпиемы определялась достоверно чаще, чем в группе сравнения и в опытной PRPэп группе (р<0,05). При этом в НКэп объем остаточной полости был наибольшим (19,3±1,7 мм3). Отмечалось утолщение париетальной и висцеральной плевры, с субплеврально расположенными абсцессами. У животных данной группы превалировали единичные спайки (50,0%), в 30,0% случаев спайки отсутствовали, множественные спайки обнаружены лишь в 13,3%, тотальное заращение зарегистрировано лишь в 6,6% (рис. 10А).
При введении доксициклина (ГСэп) объем остаточной полости эмпиемы в среднем составлял 16,5±1,5 мм3, заращение остаточной полости обнаружено в 13,3%, в 16,7% определялись единичные спайки, в 46,7% – множественные. Спайки были представлены зрелыми массивными швартами, расположенными в нижних отделах (рис. 10Б).
В опытной группе (PRPэп) на 30-е сутки тотальное заращение полости эмпиемы зарегистрировано в 13,3%. Объем остаточной плевральной полости в среднем составил 12,1±0,8 мм3. Отсутствие спаек зарегистрировано в 20,0%. Морфологически определялись лентовидные и плоскостные спайки (рис. 10В).
Рисунок 10 – Плевральная полость на 30-е сутки экспериментальной эмпиемы плевры
Примечание: А. Группа негативного контроля (НКэп). Б. Группа сравнения (ГСэп). В. Опытная группа (PRPэп).
Эффективность плазмы, обогащенной тромбоцитами при внутриплевральном введении для потенцирования адгезиогенеза при травме грудной клетки по результатам гистологического исследования
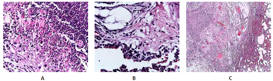
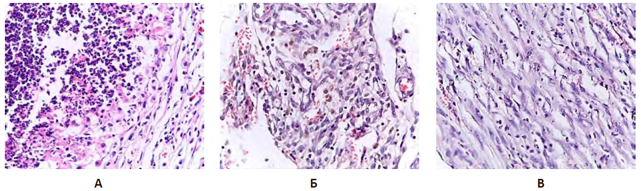
На 10-е сутки эксперимента в группе НКэп в плевральной полости определялось пропитывание листков плевры гнойно-фибринозным экссудатом с вовлечением в патологический процесс прилежащих тканей. В воспалительном детрите экссудата определялись отложения нитей фибрина. В париетальной плевре обнаруживались реактивные изменения, характеризующиеся явлениями гиперхромии ядер и нарушениями ядерно-цитоплазматического взаимоотношения. Воспалительный инфильтрат был представлен обилием полиморфно-ядерных нейтрофилов с единичными лимфоцитами и макрофагами (рис. 11А).
В группе сравнения в остаточной полости ЭП также обнаруживался гнойно-фибринозный экссудат. Выявлены признаки воспаления, заключающиеся в визуализации клеток мезотелия с воспалительными измениями. В плевральных сращениях определялись хаотично расположенные соединительнотканные волокна, преимущественно ретикулярные, в толще которых располагались единичные фибробласты и множественные нейтрофильные лейкоциты (рис. 11Б).
В опытной группе остаточная плевральная полость была отграничена от ткани легкого за счет формирования грануляционной ткани, представленной волокнами соединительной ткани с обилием сосудов (рис. 11В).
Рисунок 11 – Формирование незрелой соединительной ткани при эмпиеме плевры на 10-е сутки эксперимента на фоне хронической эмпиемы плевры крыс
Примечание: А. Группа негативного контроля (НКэп). Б. Группа сравнения (ГСэп). В. Опытная группа (PRPэп) при введении плазмы, обогащенной тромбоцитами. Окраска гематоксилином и эозином. Ув. ×400.
В группе НКэп на 20-е сутки экспериментальной ЭП выявлена частичная организация экссудата с осадком фибрина и единичных волокон соединительной ткани. Обнаруживались немногочисленные микроабсцессы с тканевым дендритом, расположенном в центре. Отграничение патологического процесса происходило посредством незрелых волокон соединительной ткани, внутри которых отмечалась массивная воспалительная инфильтрация, представленная нейтрофилами с единичными лимфоцитами и макрофагами. Отмечалось несоответствие степени зрелости плевральных сращений срокам эксперимента (рис. 12А).
При введении доксициклина на 20-е сутки эксперимента адгезиогенез имел ряд особенностей, связанных с фрагментацией остаточной полости соединительнотканными сращениями на микрополости, содержащие незначительное количество серозно-гнойного экссудата. Обнаруживаемые спайки были инфильтрированы нейтрофильными лейкоцитами и богато васкуляризованы, что свидетельствовало об активном неоангиогенезе (рис. 12Б).
Введение плазмы, обогащенной тромбоцитами, на данном сроке эксперимента приводило к активному формированию соединительной ткани, представленной сетью рыхло расположенных тонких волокон с явлениями отека. При этом выраженность воспалительной реакции была значительно ниже, чем в группе НКэп и ГСэп. Морфологически определялась умеренная диффузная лимфоцитарная инфильтрация плевральных сращений с единичными нейтрофильными лейкоцитами. Со стороны микроциркуляторного русла были выявлены признаки активного неоангиогенеза, сосуды равномерно располагались среди волокон соединительной ткани (рис. 12В).
Рисунок 12 – Экспериментальная эмпиема плевры на 20-е сутки эксперимента
Примечание: А. Группа НКэп. Окраска гематоксилином и эозином. Ув. ×100. Б. Группа сравнения. Окраска гематоксилином и эозином. Ув.х100. В. Опытная группа (PRPэп) при введении плазмы, обогащенной тромбоцитами. Фаза молодых сращений с наличием незрелой соединительной ткани на фоне хронической эмпиемы плевры крыс на 20 сут при введении плазмы, обогащенной тромбоцитами. Окраска гематоксилином и эозином. Ув. ×100.
При гистологическом исследовании тканей плевральной полости на 30-е сутки в группе негативного контроля наблюдался выраженный отек соединительной ткани, обильно инфильтрированной нейтрофилами, единичными плазмоцитами и макрофагами. Мезотелий висцерального и париетального листков не визуализировался, между тонкими тяжами соединительной ткани определялся экссудат, который по своему составу был представлен преимущественно нейтрофилами. Выявлено диффузное пропитывание и утолщение плевральных листков за счет выраженного отека и обильной нейтрофильной инфильтрации. Сосуды микроциркуляторного русла были умеренного кровенаполнения, с явлениями периваскулярного отека, что гистологически проявлялось разволокнением сосудистой стенки и наличием оптически пустых периваскулярных пространств (рис. 13А).
У животных группы сравнения (на фоне введения доксициклина) отмечалось наличие единичных незрелых спаек в плевральной полости. Спайки были сформированы рыхлой волокнистой соединительной ткани, при этом тонкие соединительнотканные волокна имели различное направление, между которыми выявлялось обилие умеренно полнокровных сосудов. Между волокнами соединительной ткани четко визуализировалось скопление фибробластов, которые имели округлые ядра и незначительное количество цитоплазмы. Кроме этого определялась лимфоцитарная инфильтрация с наличием единичных плазматических клеток. В плевральных сращениях определялись гранулы гемосидерина, а также крупные клетки с наличием в цитоплазме бурого пигмента (сидерофаги). Обращало на себя внимание, что сосуды микроциркуляторного русла были выстланы эндотелиоцитами с округлым ядром, что свидетельствовало о «раздражении» эндотелия и являлось морфологическим признаком эндотелиальной дисфункции (рис. 13Б).
В опытной группе с биологическим потенцированием адгезиогенеза в плевральной полости плазмой, обогащенной тромбоцитами зарегистрировано образование множественных спаек с наличием строго ориентированных соединительно-тканных волокон, где определялись фибробласты и фиброциты с вытянутым ядром и незначительным количеством цитоплазмы. Визуализировались единичные сосуды с эндотелием типичного строения. Морфологические признаки воспаления были минимальны и характеризовались наличием единичных лимфоцитов и плазматических клеток (рис. 13В).
Рисунок 13 – Экспериментальная эмпиема плевры на 30-е сутки эксперимента
Примечание: А. Группа НКэп. Б. Группа сравнения. В. Опытная группа (PRPэп) при введении плазмы, обогащенной тромбоцитами. Зрелая спайка в плевральной полости крыс с наличием ориентированных соединительно-тканных волокон, незначительным количеством лимфоцитов на фоне хронической эмпиемы плевры. Окраска гематоксилином и эозином. Ув. ×400.
Морфометрическая оценка эффективности плазмы, обогащенной тромбоцитами, для потенцирования адгезиогенеза при хронической эмпиеме плевры в динамике
Сводные данные по результатам проведенного морфометрического исследования у животных с экспериментальной травмой грудной клетки группы НКэп и при различных способах биологической стимуляции адгезиогенеза представлены в табл. 2.
Таблица 2 – Морфометрические показатели состава спаек у крыс при хронической эмпиеме плевры на фоне введения плазмы, обогащенной тромбоцитами для потенцирования адгезиогенеза (M±m, %)
Показатели, ОД (%) | Экспериментальные группы | |||||
НКэп | PRPэп | |||||
10 сут | 20 сут | 30 сут | 10 сут | 20 сут | 30 сут | |
Коллагеновые волокна | 1,09±0,7 | 11,13±1,7# | 30,08±3,1# | 8,19±0,8* | 23,07±1,5*# | 32,64±4,1# |
Ретикулярные волокна | 33,72±2,3 | 29,16±3,6# | 7,26±0,8# | 30,75±2,9 | 15,28±3,5*# | 5,11±0,5*# |
Фибрин | 9,23±0,8 | 7,95±0,9 | 5,83±0,3# | 10,67±0,7 | 8,17±0,9 | 4,97±0,1# |
Лейкоциты | 21,16±1,3 | 19,31±2,1 | 11,12±1,1# | 23,13±4,1 | 16,81±3,3 | 8,13±0,9 |
Лимфоциты | 13,11±1,9 | 14,29±0,7 | 19,19±5,7 | 12,87±0,8 | 16,03±1,1# | 21,40±1,1 |
Фибробласты | 8,02±0,3 | 9,83±1,1 | 17,23±2,9 | 6,92±0,8 | 12,91±0,8 | 19,73±1,1 |
Сосуды | 13,67±1,9 | 8,33±0,3 | 9,29±0,9 | 7,47±1,1# | 7,73±0,9*# | 8,02±0,5 |
Примечание: * – достоверность различий по сравнению с группой НКэп (p<0,05);
# – достоверность различий по сравнению с предыдущим сроком (p<0,05).
В результате комплексного морфологического исследования установлено, что состав спайки внутри экспериментальных групп значительно варьировал. Так, на протяжении всего наблюдения ОД коллагеновых волокон, формирующих спайки была выше в группе с биологической стимуляцией адгезиогенеза, чем в группе НКэп и в ГСэп. На 10 сут в группе с применением PRP технологий данный показатель был в 7,5 раз выше по сравнению с группой НК (p<0,01). По мере увеличения сроков эксперимента ОД коллагеновых волокон в спайках, формирующихся в группе НК и ГС неуклонно увеличивалась и к 30-ым суткам не имела достоверных отличий от спаек, сфрмированных при потенцировании адгезиогенеза.
Параллельно с увеличением ОД коллагеновых волокон происходило снижение ОД ретикулярных волокон, что свидетельствовало о созревании спайки. Однако в PRP-группе данный показатель уже на начальных сроках эксперимента был достоверно ниже, чем в группе НК и ГС (p<0,05). Изменения в клеточном составе спаек были менее выраженными, но при этом лейкоцитарная инфильтрация значительно уменьшалась в группе PRPэп, по сравнению с группой НК и ГС. Так, на 20-е сутки в группе с сочетанной стимуляцией спаек плазмой, обогащенной тромбоцитами ОД лейкоцитов была в 2,1 раза меньше, чем в группе НК. Параллельно с этим происходило увеличение ОД лимфоцитов и ОД фибробластов, которое регистрировалось достоверно раньше (10–20 сут.), чем в группе НК.
Таким образом, полученные результаты свидетельствуют о более раннем формировании и созревании спаек при биологической стимуляции плазмы, обогащенной тромбоцитами, а также об их стабильности в данной группе.
ОБСУЖДЕНИЕ РЕЗУЛЬТАТОВ
Адгезиогенез представляет собой компенсаторную реакцию, возникающую в ответ на операционную (или иную) травму. В качестве биологической субстанции, обеспечивающей потенцирование адгезиогенеза были выбраны плазма, обогащенная тромбоцитами (PRP-технологии).
Выбор травмы грудной клетки, с множественными флотирующими переломами ребер и остаточной полости при хронической эмпиеме плевры в качестве нозологических единиц для применения биотехнологии в стимуляции адгезиогенеза неслучаен. При травме грудной клетки стимуляция спаечного процесса должна иметь двоякую роль: стабилизация реберного каркаса – с одной стороны и защита легочной паренхимы от повреждения – с другой. При эмпиеме плевры заращение остаточной полости соединительной тканью приводит к ее облитерации и ликвидации хронического очага гнойной инфекции.
Согласно данным литературы, использование плазмы, обогащенной тромбоцитами, является патогенетически обоснованной, т.к. тромбоциты содержат факторы роста (PDGF, VEGF, EGF, FGF и др.), которые повышают активность фибробластов. Фибробласты продуцируют эластин, коллаген, гиалуроновую кислоту, способствуя образованию соединительной ткани и ее неоваскуляризации. Кроме этого факторы роста сдерживают уменьшение объема костной ткани за счет стимуляции пролиферации остеобластов и блокирования остеокластов. Имеются сведения об иммуностимулирующем действии PRP, участие в нормализации метаболических процессов, тканевого дыхания, оптимизации микроциркуляции [15, 16].
При травме грудной клетки нами разработана модель стабилизации реберного каркаса путем стимуляции адгезиогенеза с использованием плазмы, обогащенной тромбоцитами. Данная модель является патогенетически обоснованной, обладает валидностью и дает возможность оценить морфологическое строение спаек, формирующихся под действием тромбоцитарных факторов роста. При моделировании и лечении экспериментальной травмы грудной клетки с множественными переломами ребер установлены достоверные отличия в группе негативного контроля и в опытной группе. При оценке выраженности спаечного процесса установлено, что наиболее часто спайки визуализируются в местах перелома ребер (от 13,3 до 40%). При этом в группе НК преобладали единичные спайки (23,3–63,3%), в то время как в экспериментальной группе на 20-е и 30-е сутки единичные спайки отсутствовали (p<0,01). Аналогичные результаты получены при анализе случаев отсутствия спаек: в группе НК на всех сроках эксперимента определялись животные без спаек в плевральной полости (16,7% на 10-е, 20-е сутки; 13,3% – на 30-е сутки). В то время как в группе с PRP-технологией, процент крыс без спаек в плевральной полости был достоверно ниже: от 6,7% на 10-е сутки, 3,3% – на 20-е сутки, до 0% на 30-е сутки (p<0,05).
Обращает на себя внимание макроскопические различия в строение спаек, в группе НК преобладали паутинные и пленчатые спайки, в то время как в экспериментальных группах превалировали лентовидные и плоскостные спайки. Толщина и плотность спаек нарастала по мере увеличения сроков эксперимента во всех исследуемых группах.
Итак, проведенное исследование позволяет прийти к выводу, что биологическое потенцирование спайкообразования является логичной мерой стабилизации при травмах грудной клетки с множественными переломами ребер. Морфологическим субстратом данного способа является образование зрелых сращений без проявлений активности и дальнейшего развития, подтверждая тем самым зрелость и сформированность спаек. Полученные результаты согласуются с данными литературы, согласно которым применение PRP-технологии оказывает стимулирующее действие на развитие и неоваскуляризацию спаек за счет содержащихся факторов роста, кроме этого, имеются сведения о стимулирующем влиянии PRP-технологии на формирование костной мозоли [17].
При моделировании и лечении экспериментальной эмпиемы плевры применили авторскую методику биологической стимуляции адгезиогенеза путем введения плазмы, обогащенной тромбоцитами. В основе ликвидации остаточной плевральной полости лежит стимуляция спайкообразования факторами роста, содержащимися в PRP, что согласовывается с литературными данными [18, 19].
При этом установлены достоверные различия в морфогенезе остаточных полостей у животных группы НК, групп сравнения и экспериментальной группы. Обращает на себя факт, что в группе сравнения (лечение доксициклином) спайки состояли преимущественно из рыхлой волокнистой соединительной ткани, инфильтрированной клеточными элементами, что подтверждало факт воспалительного процесса в спайке и является прогностически неблагоприятным в плане возникновения полной облитерации спайками плевральной полости. В то же время в экспериментальной группе внутриплевральные сращения были сформированы преимущественно волокнами соединительной ткани, содержащей в своем составе лимфоциты, гистиоциты, фибробласты, незначительным количеством запустевающих сосудов, признаков воспаления не выявлялось. Описанная гистологическая картина характерна для зрелых сращений, а значит, при адресном введении PRP в плевральную полость, адгезиогенез может быть признан контролируемым.
Итак, в эксперименте установлено, что применяемые биотехнологии дают возможность потенцировать внутриплевральные сращения при остаточных полостях при хронической эмпиеме плевры, что приводит к заращению, вплоть до полной облитерации полости эмпиемы – хронического источника инфекции и фактора риска рецидива заболевания.
ЗАКЛЮЧЕНИЕ
В результате проведенного экспериментального исследования доказана эффективность применения плазмы, обогащенной тромбоцитами, для биологического потенцирования адгезиогенеза при экспериментальных травмах грудной клетки и хронической эмпиеме плевры. Полученные результаты могут быть достаточным основанием для рекомендации к проведению клинических исследований.
ФИНАНСОВАЯ ПОДДЕРЖКА
Данное исследование не имело какой-либо поддержки от сторонних организаций.
АВТОРСКИЙ ВКЛАД
Все авторы в равной степени внесли свой вклад в исследовательскую работу.
КОНФЛИКТ ИНТЕРЕСОВ
Авторы заявляют об отсутствие конфликта интересов.
Об авторах
Антон Владимирович Калашников
Пятигорский медико-фармацевтический институт – филиал федерального государственного бюджетного учреждения высшего образования «Волгоградский государственный медицинский университет» Министерства здравоохранения Российской Федерации
Автор, ответственный за переписку.
Email: cos@pmedpharm.ru
кандидат медицинских наук, заведующий кафедрой хирургических дисциплин
Россия, 357532, Ставропольский край, г. Пятигорск, пр. Калинина, 11Александр Александрович Воробьев
Федеральное государственное бюджетное учреждение высшего образования «Волгоградский государственный медицинский университет» Министерства здравоохранения Российской Федерации
Email: cos@volgmed.ru
ORCID iD: 0000-0001-8378-0505
заслуженный деятель науки РФ, доктор медицинских наук, профессор, заведующий кафедрой оперативной хирургии и топографической анатомии
Россия, 400131, г. Волгоград, пл. Павших Борцов, д. 1Светлана Александровна Калашникова
Пятигорский медико-фармацевтический институт – филиал федерального государственного бюджетного учреждения высшего образования «Волгоградский государственный медицинский университет» Министерства здравоохранения Российской Федерации
Email: kalashnikova-sa@yandex.ru
ORCID iD: 0000-0002-7688-9366
доктор медицинских наук, доцент, заведующий кафедрой морфологии
Россия, 357532, Ставропольский край, г. Пятигорск, пр. Калинина, 11Дмитрий Шамильевич Салимов
Федеральное казенное учреждение «Центральный военный клинический госпиталь имени П.В. Мандрыка» Министерства обороны Российской Федерации
Email: salimow.dmitry@yandex.ru
ORCID iD: 0000-0001-8647-1505
кандидат медицинских наук, начальник II хирургического отделения
Россия, 107076, г. Москва, Большая Оленья улица, владенье 8АСписок литературы
- Ахмеров Р.Р. Применение тромбоцитарной аутоплазмы при лечении гонартрозов и коксартрозов / Р.Р. Ахмеров, Р.Ф. Зарудий, З.М. Аминова, А.Л. Емелин, М.В. Овечкина // Практ. медицина. – 2013. – Т. 1. – № 2(2). – С. 17–20.
- Jhang J.F. Repeated intravesical injections of platelet-rich plasma are effective in the treatment of interstitial cystitis: a case control pilot / J.F. Jhang, S.Y. Wu, T.Y. Lin, H.C. Kuo // Low Urin Tract Symptoms. – 2017. doi: 10.1111/luts.12212.
- Cieslik-Bielecka A. The application of L-PRP in AIDS patients with crural chronic ulcers: A pilot study / A. Cieslik-Bielecka, R. Skowroński, М. Jędrusik-Pawłowska, М. Pierchała // Adv Med Sci. – 2017 – V. 63. – N 1. – P. 140–146. doi: 10.1016/j.advms.2017.10.002.
- Sakakura N. Surgical treatment of empyema after pulmonary resection using pedicle skeletal muscle plombage, thoracoplasty, and continuous cavity ablution procedures: a report on three cases / N. Sakakura, Т. Mizuno, Н. Kuroda, Y. Sakao, T. Uchida // J Thorac Dis. – 2016. – N 6. – P. 1333–9. DOI: 10.21037 / jtd.2016.04.04.
- Botianu P.V. Muscle flaps and thoracomyoplasty as a re-redo procedure for postoperative empyema / P.V. Botianu, A.M. Botianu, V.C. Bacarea // Thorac Cardiovasc Surg. – 2016. – V. 64. – N 3. – P. 252–7. doi: 10.1055/s-0034-1387820.
- Жестков К.Г. Национальные клинические рекомендации по лечению спонтанного пневмоторакса] / К.Г. Жестков, Б.Г. Барский, М.А. Атюков, А.А. Пичуров / Москва, РФ. – 2014. – 23 с.
- MacDuff A. Management of spontaneous pneumothorax: British Thoracic Society pleural disease guideline 2010 / А. MacDuff, А. Arnold, J. Harvey // Thorax. – 2010. – V. 65. – N 2. – P. 18–31. doi: 10.1136/thx.2010.136986.
- Рыбакова, А.В. Методы эвтаназии лабораторных животных в соответствии с европейской директивой 2010/63 / А.В. Рыбакова, М.Н. Макарова // Международный вестник ветеринарии. – 2015. – №2. – С. 96–107.
- Рыбакова, А.В. Санитарный контроль экспериментальных клиник (вивариев) в соответствии с локальными и международными требованиями / А.В. Рыбакова, М.Н. Макарова // Международный вестник ветеринарии. – 2015. – №4. – С. 81–89.
- Song K.S. Chemical pleurodesis using doxycycline and viscum album extract / K.S. Song. D. Keum, J.B. Kim // Korean J Thorac Cardiovasc Surg. – 2017. V. 50 – N 4 – P. 281–286. doi: 10.5090/kjtcs.2017.50.4.281.
- Thomas R. Intrapleural fibrinolysis for the treatment of indwelling pleural catheter-related symptomatic loculations: a multicenter observational study / R. Thomas, F.Piccolo, D. Miller, P.R. MacEachern Chee, A.C. Huseini // Chest. – 2015. – V. 148. – N 3. – P. 746–51. doi: 10.1378/chest.14-2401.
- Boshuizen R.C. A randomized controlled trial comparing indwelling pleural catheters with talc pleurodesis (NVALT-14) / R.C. Boshuizen, V.Vd. Noort, J.A. Burgers, G.J.M. Herder, S.M.S. Hashemi, T.J.N. Hiltermann // Lung Cancer. – 2017. – V. 108. – N 9. – P. 14. doi: 10.1016/j.lungcan.2017.01.019.
- Воробьёв А.А, Бебуришвили А.Г. Хирургическая анатомия оперированного живота и лапароскоспическая хирургия спаек: Волгоград, РФ: Издатель; 2001. 230 с.
- Автандилов, Г. Г. Основы количественной патологической анатомии. – М.: Медицина, 2002. – 240 с.
- Bohlen H.L. Platelet-Rich Plasma Is an Equal Alternative to Surgery in the Treatment of Type 1 Medial Epicondylitis / H.L. Bohlen, Z.E. Schwartz, V.J. Wu, S.G. Thon, Z.J. Finley, M.J. O’Brien, F.H. Savoie // Sports Med. – 2020. – V. 8. – N 3. – P. 2325967120908952. doi: 10.1177/2325967120908952.
- Picard F. Platelet-rich plasma-enriched autologous fat graft in regenerative and aesthetic facial surgery: Technical note / F. Picard, В. Hersant, S. La Padula, J.P. Meningaud // J Stomatol Oral Maxillofac Surg. – 2017. – V. 118. – N 4. – P. 228–231. doi: 10.1016/j.jormas.2017.05.005.
- Блаженко, А.Н. Применение обогащённой тромбоцитами плазмы для стимуляции репаративного остеогенеза на ранней стадии формирования костной мозоли / А.Н. Блаженко, М.Л. Муханов, Е.Г. Лысых, А.С. Самойлова // Современные проблемы науки, технологий, инновационной деятельности: сб. трудов по матер. междунар. науч.-практич. конф. Белгород: Агентство перспективных научных исследований. – 2017. – С. 9–12.
- Корымасов, Е.А. Национальные клинические рекомендации «Эмпиема плевры» / Е.А. Корымасов, П.К. Яблонский, Е.Г Соколович, В.В. Лишенко, И.Я. Мотус, С.А. Скрябин. – 2015. – 33 с.
- Ачкасов, Е.Е. Применение аутоплазмы, обогащенной тромбоцитами, в клинической практике / Е.Е. Ачкасов, Э.Н. Безуглов, А.А. Ульянов // Биомедицина. – 2013. – №4. – C. 46–59.
Дополнительные файлы
















