Additive neuroprotective effect of 3-hydroxypyridine derivatives and human erythropoetin analogue on a hemorrhagic stroke model in rats
- Authors: Kolesnichenko P.D.1, Shcheblykina O.V.1, Nesterova N.I.1,2, Shcheblykin D.V.1, Nesterov A.V.1, Pokrovsky M.V.1, Zhuchenko M.A.3, Tverskoy A.V.1, Reznikov K.M.4
-
Affiliations:
- Belgorod State National Research University
- Forensic-histological department of Belgorod Bureau of Forensic Medical Examination”
- Sector of development and preclinical research of State Pharmaceutical Foundation of officinal medicines “PHARMAPARK”
- Voronezh State Medical University n.a. N.N. Burdenko
- Issue: Vol 8, No 3 (2020)
- Pages: 169-180
- Section: Articles
- URL: https://journals.eco-vector.com/2307-9266/article/view/111640
- DOI: https://doi.org/10.19163/2307-9266-2020-8-3-169-180
- ID: 111640
Cite item
Abstract
The correction of free radical oxidation processes is one of the most promising strategies of neuroprotection in acute cerebrovascular disorders.
The aim of the study is an experimental study of the neuroprotective effects of 3-hydroxypyridine and erythropoietin derivatives, as well as their combined use.
Materials and methods. The study was performed on 109 male Wistar rats. The neuroprotective effect of the substances was studied on a hemorrhagic stroke model. The study drugs were administered to the animals intraperitoneally. Carbamylated darbepoetin was administered three times in advance at the dose of 100 µg/kg within intervals of 3 days, the last injection took place 1 hour before the operation (the total dose was 300 mg/kg). Etoxidol was administered once 1 hour before the surgery at the dose of 50 mg/kg. The survival rate, behavioral features and the state of the animals on the 1st, 3rd, 7th and 14th days were recorded, and the morphological assessment of the brain was carried out.
Results and discussion. The investigated substances had a positive effect on both the survival rate of the animals during the first day and on the 14th day. The best survival rates on the 14th day were recorded in the group of a combined use of ethoxydol and carbamylated darbepoetin (75%). Thus, in this group of rats, a faster recovery of neurological disorders was already distinguished from the first day on. By the 7th day, more than 50% of the rats receiving the combination of the studied drugs, had had a slight neurological deficit (up to 3 points on the McGrow scale); by the 14th day there had been only minor changes in the neurological status in the rats of this group. A pronounced neuroprotective effect of the combination of 3-hydroxypyridine and erythropoietin derivatives has been confirmed by a histological examination of brain slices – a more rapid decrease in the size of perifocal edema and microcirculation disorders, less damage to neurons and glial elements, and faster processes of resorption and organization of hemorrhage. A macroscopic examination of the brain sections stained with triphenyltetrazolium chloride of the dying rats, showed that perifocal necrosis had been the main cause of high mortality in the control group after the 3rd day.
Conclusion. As a result of the experiment, the nephroprotective effect of the studied derivatives of 3-hydroxypyridine and erythropoietin has been proved. Moreover, the combination of these drugs has shown a greater neuroprotective activity than their isolated use. The additive effect of these drugs was due to their action mechanism resulting from the synergism of various structures and components of the cells.
Full Text
INTRODUCTION
The significance of a stroke as a medical and social problem increases every year around the world. This is associated with an increase in the average age of the population, as well as an increase in the population of people with risk factors for cardiovascular diseases.
Currently, drugs and new compounds of the so-called neuroprotective action, based on a variety of mechanisms, including antioxidant, antihypoxic, anti-apoptotic and other effects, are widely used for the prevention and treatment of cerebrovascular diseases.
In clinical practice, antioxidant drugs based on 3-hydroxypyridine (for example, mexidol, etoxidol, emoxipin), are widely used in the treatment of cerebrovascular diseases, as they inhibit lipid peroxidation processes, increase the activity of antioxidant enzymes, thereby modulating the activity of receptors and membrane-bound enzymes [1].
However, despite the achievements of modern neuropharmacology, there is an increase in the number of patients with this pathology: their high mortality (50–70%) [2] and disability (approximately 2/3 patients) [3]. The issues of drug support for patients with acute cerebrovascular accidents remain the most important problem of modern pharmacology and neurology.
The experimental data confirming a high neuroprotective potential of erythropoietin, have been accumulated for several decades. The erythropoietin molecule is best known as a positive regulator of erythropoiesis, which is produced primarily in the kidneys in response to a decrease in the partial pressure of oxygen. However, the spectrum of physiological effects of erythropoietin is quite wide and allows us to consider it as an agent with a universal cytoprotective orientation. The metabolic cascades started by them, lead to an increase in the resistance of the cells to damage, and this phenomenon is combined into the concept of “non-hematopoietic effects of erythropoietin” [4]. In ischemic lesions of various organs, erythropoietin causes angiogenic, antioxidant, anti-inflammatory and anti-apoptotic effects [5], which reduce the damage area. At the same time, due to the activation of a large number of secondary mediators, erythropoietin can cause the development of such negative effects as an increase in endothelin production, an increase in tissue renin concentration, a change in the balance of vascular tissue prostaglandins, angiogenesis stimulation and proliferation of vascular smooth muscle cells [6, 7]. Carbamylated darbepoetin is fundamentally different from erythropoietin-based drugs, combining the best qualities of medicinal preparations of the previous generations [8, 9].
THE AIM of the research was an experimental study of the therapeutic efficacy of 3-hydroxypyridine and erythropoietin as well as their combinations, in the simulation of experimental intracerebral posttraumatic hematoma in rats.
MATERIALS AND METHODS
Compliance with the rules of the organization of laboratory research
The study was conducted in accordance with the approved rules of good laboratory practice of the Ministry of Health of the Russian Federation (GOST 51000.3-96 and 51000.4-96) No 267 “On rules of good laboratory practice” dated 19 June 2003.
Study design
Male Wistar rats were divided into several groups: Group 1 – falsely operated rats (10 animals), which were anesthetized, then scalped and trepanned without any destruction of the brain tissue; Group 2 – the animals with a hemorrhagic stroke, not receiving drugs (control group, 23 rats); Group 3 – the animals with a hemorrhagic stroke, which were administered with etoxidol (23 rats); Group 4 – the animals with simulated pathology that were administered with carbamylated darbepoietin (20 rats), Group 5 – the rats with a hemorrhagic stroke, treated with carbamylated darbepoetin and etoxidol (23 rats).
The technique of modeling a hemorrhagic stroke
An acute autohemorrhagic stroke was modelled in the area of the inner capsule of the right hemisphere, according to the methods of Makarenko et al. [10] in the authors’ modification [11]. The operation was performed under general anesthesia. After premedication with “Xyla” at the dose of 0.1 ml, chloral hydrate as a basic anesthetic was administered intraperitoneally at the dose of 300 mg/kg. After deep anesthesia, the blood was sampled with a syringe from the rat tail vein. After the treatment of the surgical field, a linear incision of the scalp in the parietal area was made. The incision performed in the frontal plane, was followed by hemostasis. The length of the incision was 1.5 cm. After that, bone skeletonization was performed and the periosteum was separated. With the help of a dental bur, a trephination hole in the right parietal area was superimposed. The diameter of the burr hole was 3 mm. Then, using a device for a stereotactic administration, a puncture needle was inserted in the area of the inner capsule (the coordinates were: H=4 mm, L=3.1 mm, A=1.5 mm from the bregmatic fontanel according to “Atlas of the human brain stem” by G. Paxinos) to a depth of 3 mm. Then the device was fixed, a mandrel-wire knife was inserted into the needle, the destruction of the brain tissue was carried out (the mandrel was turned in three turns clockwise and three turns counterclockwise). The mandrel was removed and, under sterile conditions, the autologous blood was taken from the tail vein of the animal and injected into the rat in a volume of 0.11 ml/100 g of weight. The introduction of the blood was carried out by stream infusion. The effectiveness of the introduction was determined by the presence of stem convulsions. After that, the puncture needle was removed, the wound was dried, hemostasis was monitored and the wound was layered. Falsely operated animals underwent scalping and trepanning of the skull.
The study drugs were administered to the animals intraperitoneally. Carbamylated darbepoetin (Pharmstandard LLC, Russia) was administered three times in advance at the dose of 100 µg/kg with an interval of 3 days (the total dose was 300 mkg/kg), the last injection was an hour before the operation. Etoxidol, a 3-hydroxypyridine derivative (Sintez OJSC, Russia) was administered once a day before the operation at the dose of 50 mg/kg (according to the interspecific conversion rate of the human average therapeutic dose). The control animals were injected with saline in an equivalent volume.
Effect of drugs on animals’ survival
Observations were carried out for 14 days after the surgery. The registered features of the behavior and the state of the animals on the 1st, 3rd, 7th and 14th days were studied.
Study of neurological status
To assess the behavioral disorders of the animals after a hemorrhagic stroke, a set of traditional methods was used in the experiment. To assess the neurological status, a method of assessing a neurological deficit according to McGrow’s CHADS2 in Gannushkina’s modification was used [12]. To assess the muscle tone by measuring the strength of the grip of the limbs, a dynamometric software and hardware system had been developed.
In assessing the neurological status according to McGrow’s CHADS2 in Gannushkina’s modification, the following factors were taken into consideration: mild symptoms (up to 3 points) – lethargy of movements, weakness of limbs, unilateral semidiaphanous, tremor, manoeuvring movements; severe manifestations of neurological disorders (from 3.5 to 10 points) - paresis and paralysis of the limbs, as well as а lateral position and depression of consciousness.
Measurement of the strength of the animals in the grasping reflex was carried out using a dynamometer. As a comparison criterion, the relative value (a specific force) was calculated by dividing the maximum grip force by the rat body weight. In order to assess the orienting-exploratory behavior, the platform was used to study the motor activity of the laboratory animals - ACTI-TRACK (PANLAB HARVARD APPARATS). Testing of the rats was carried out for 5 minutes in the infrared monitor of the activity prior to the creation of pathology, as well as on days 1, 3, 7 and 14 after modeling a hemorrhagic stroke.
Morphological study
For macroscopic confirmation of the repeatability of the results, verification of the localization of the hemorrhagic lesion and the degree of damage in some animals, NADH-dehydrogenase activity was studied on day 4 by the standard method of staining with triphenylterazolium chloride. The animal’s brain was extracted, cut into 2 frontal slices through the entry point of the mandrel into the brain tissue. Staining was carried out in a 1% solution of triphenyltetrazolium chloride (TTX, Sigma Aldrich) for 30 minutes in a thermostat at 37°C. Then, photographing and a macroscopic evaluation of the slices were carried out.
For a morphological evaluation, the animals were withdrawn from the experiment after 24 hours, 7 and 14 days from the start of the study. The description and assessment of the consequences of a hemorrhagic stroke were carried out according to the recommendations of the atlas of the nervous system histopathology [13]. The rats were decapitated, the brain was collected, fixed in 10% neutral buffered formalin for 24–48 hours, and embedded in paraffin. Frontal histological sections of the brain with a thickness of 7 μm were stained with hematoxylin and eosin. A microscope “MIKMED-6” with a binocular attachment, electric illumination, a digital camera MS-5 and a computer with software “MSview” were used.
Statistical processing of the obtained data was performed using STATISTICA 10.0 and MICROSOFT EXCEL 2016. After estimating the normality of the distribution using the Shapiro-Wilk criterion, the arithmetic mean, confidence intervals (with a parametric distribution) and quartile span (with a nonparametric distribution) were calculated. To assess the reliability of intergroup differences with a normal distribution, the Student’s t test was used, with a distribution other than normal – the Mann-Whitney test. To assess the survival analysis, the procedure of constructing survival curves was used; the differences between the groups were considered significant at p<0.05.
RESULTS
Effect of drugs on animals’ survival analysis
During the operation and for 1 day after it, 50% of rats with a hemorrhagic stroke died in the control group. In the group of the animals administrated with the test substances, the mortality within 1 day was lower than in the control group (Fig.1). In particular, in the groups of rats treated with carbamylated darbepoietin or etoxidol, a daily survival rate was 70%. In the group of the combined use of carbamylated darbepoetin and etoxidol, the daily survival rate was 90%.
Figure 1 – Effect of ethoxydol, carbamylated darbepoetin and their combined use on the survival analysis of animals on day 1, 3, 7 and 14 after the simulation of hemorrhagic stroke
The fact that in the groups administrated with the drugs under study there were no deaths of animals after 7 days, is of particular attention.
All the studied substances increased the total (day 14) survival rate by more than 40% compared to the control group. The best survival rates for day 14 were recorded in the group of the combined use of ethoxydol and carbamylateddarbepoetin: the total survival rate of the animals in this group was 75%.
No deaths have been recorded in the group of falsely operated animals during the entire observation period.
Evaluation of neurological deficit according to the McGrow scale
As for the assessment of neurological disorders, on the first day after the operation, almost all the rats with simulated intracerebral hematoma showed pronounced post-stroke changes in the form of cyclic motions, paresis and limb paralysis (Table 1). In the group of falsely operated animals, no severe neurological deficit was observed, and only 30% of the falsely operated rats showed lethargy and slowness of movements.
The rats treated with the test substances, had a statistically significant, less pronounced neurological deficit over the entire observation period compared with the control group.
The group of the rats treated with a combination of etoxidol and carbamylated darbepoetin, had been distinguished by a more rapid recovery of neurological disorders since the first day. By day 7, more than 50% of the rats administrated with the combination of the studied drugs, had had a slight neurological deficit (up to 3 points according to the McGrow scale) in the form of slowness of movements, weakness of limbs, unilateral hemiptosis and manege movements. By day 14, only minor changes in the neurological status had been observed in the rats of this group – 1.1±0.5 according to the McGrow stroke scale.
Study of neurological status
Table 1 – Effect of etoxidol, carbamylated darbepoetin and their combined administration on indicators of neurological status on days 1, 3, 7 and 14 after modeling a hemorrhagic stroke
Before pathology modeling | ||||
Control | Etoxidol | CDEPO | CDEPO+etoxidol | |
Specific force | 7.0±0.3 | 7.5±0.2 | 7.4±0.3 | 7.7±0.3 |
McGrow | 0 | 0 | 0 | 0 |
Day 1 | ||||
Control | Etoxidol | CDEPO | CDEPO+etoxidol | |
Specific force | 2.7±0.3 | 3.1±0.2 | 3.1±0.2* | 3.1±0.1* |
McGrow | 8.1±2.0 | 6.7±2.4* | 7.2±2.0 | 5.6±1.8* |
Day 3 | ||||
Control | Etoxidol | CDEPO | CDEPO+etoxidol | |
Specific force | 4.0±0.5 | 4.5±0.5 | 4.6±0.2* | 5.1±0.3* |
McGrow | 6.4±2.6 | 4.3±1.8* | 4.2±2.5* | 3.9±2.4* |
Day 7 | ||||
Control | Etoxidol | CDEPO | CDEPO+ etoxidol | |
Specific force | 4.5±0.3 | 4.6±0.3 | 4.8±0.3 | 4.2±0.5 |
McGrow | 5.4±2.1 | 3.3±2.1* | 3.2±2.2* | 2.9±1.9* |
Day 14 | ||||
Control | Etoxidol | CDEPO | CDEPO+etoxidol | |
Specific force | 4.7±0.2 | 5.0±0.5 | 4.5±0.4 | 4.5±0.5* |
McGrow | 5.0±2.5 | 3.0±0.5 | 2.4±0.6* | 1.1±0.5* |
Note: * P <0.05 – the differences are statistically significant when compared with control animals
Muscle tone studies
The study of the grip strength of rats’ paws revealed that on the first day after the stroke, the muscle tone in the control group and in the group receiving carbamylated darbepoetin, did not differ significantly and amounted to 56% on average (Table 1). Against the background of the ethoxidol administration, the decrease in the muscle tone for the 1st day was 38.3%, which was significantly lower than in the control group. The greatest decrease in the muscle tone was observed in the group of the animals administrated with a combination of the studied drugs, and amounted to 27.4%. On day 3, there was an increase in muscle strength in all groups, and an increase in the groups administrated with the test substances, was significantly higher than in the control group. On days 7 and 14, a statistically significant increase in the muscle strength was only in the rats administrated with carbamylated darbepoetin and a combination of carbamylated darbepoetin and etoxidol.
The effect of the studied drugs on the motor activity of the animals with a hemorrhagic stroke was also studied. Within days 1–7, after modeling a hemorrhagic stroke, the indicators of the total activity (Fig. 2) and the total distance (Fig. 3) under the influence of etoxidol and the combination of carbamylated darbepoetin and etoxidol preparations, were significantly higher than in the control group.
Figure 2 – Effect of etoxidol, carbamylated darbepoetin and their combined use, on total activity indicators calculated by the Acti-Track program on days 1, 3, 7 and 14 after modeling a hemorrhagic stroke
Note: * P<0.05 – the differences are statistically significant when compared with control animals
Figure 3 – Effect of etoxidol, carbamylated darbepoetin and their combined use on total distance indicators calculated by the Acti-Track program on days 1, 3, 7 and 14 after modeling a hemorrhagic stroke
Note: * P<0.05 – the differences are statistically significant when compared with control animals
On day1, the indicators of the total activity and the distance gone by the rats treated with carbamylateddarbepoietin, were significantly lower than the results of the animals administrated with ethoxydol and the combination of the drugs, and did not have significant differences with the control group. However, by day 3, the activity of the animals treated with carbamylated darbepoietin, had been increasing and it did not have statistically significant differences from the groups of other test substances. By the 14th day, the activity indicators of the animals in this group had even exceeded those in the ethoxidol group, and were slightly inferior to the group of the drug combinations.
Compared with monotherapy, since 1 day, the indicators of the total activity had been increasing most actively and rapidly under the influence of the combination of drugs.
High levels of activity of the control group on day 14, can be explained by a high mortality rate in this group and survival of only the strongest individuals with high a regenerative potential.
Morphological study
For a macroscopic confirmation of the results, repeatability and adequacy of the methodology for clinical cases of a hemorrhagic stroke, staining of brain sections with triphenylterazolium chloride was performed (Fig. 4).
Figure 4 – Efficiency of the additive neuroprotective action of carbamylateddarbepoetin and ethoxidol in modeling a hemorrhagic stroke in rats. Macroscopic view of brain sections stained with triphenyltetrazolium chloride
Note: A. Section of a dying rat’s brain from the control group on day 1. B. Section of a dying rat’s brain from the control group on day 5. C. Section of a dying rat’s brain from the CDEPO+ethoxidol group
A macroscopic evaluation confirmed the adequacy of the use of neuroprotective therapy in the model of a hemorrhagic stroke (Fig. 4). It is obvious that the causes of mortality on the 1st day, were associated both with a direct effect of the blood injected into the brain tissue, and with dislocation complications. However, starting from the 4th day, the mortality was due to massive perifocal necrosis.
In the control group animals, on the first time a day after modeling an intracerebral hemorrhage along the periphery of the hematoma, the following disorders were detected: a pronounced edema; violation of histoarchitectonics of the neuronal layers of the cortex, pronounced ischemic changes, karyolysis of neurons, a moderately pronounced perifocal leukocyte reaction and a less pronounced glial reaction (Fig. 5A).
Polymorphism of neurons was detected: swelling of neurocytons, the nuclei of neurons were deformed and basophilic, the nucleoli were deformed and displaced to the periphery. In places, the nuclei and nucleoli were almost or completely indistinguishable. There was also neuronal karyolysis, a moderate perifocal leukocyte response and a less pronounced glial response (Fig. 5A).
On the seventh day, a moderately pronounced perifocal leukocyte reaction changed to a moderately pronounced glio-macrophage reaction with an admixture of single macrophages with an intracellular accumulation of a blood pigment (hemosiderophage) (Fig. 5B). On day 14, a moderately pronounced glio-macrophage reaction persists, but with an admixture of a few macrophages with intracellular accumulation of a blood pigment (hemosiderophages) (Fig. 5C).
Figure 5 – Rats’ brain tissue in the hematoma area
Note: A – control group on the 1st day; B – control group on the 7th day; C – control group on the 14th day. Staining: hematoxylin and eosin; Mag. ×400
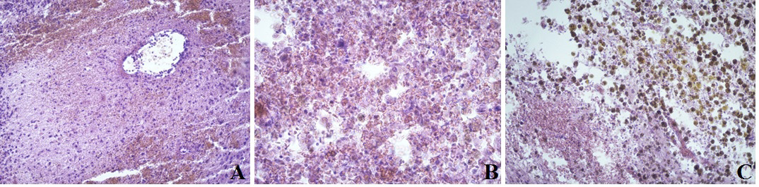
When analyzing the group using etoxidol, it was established that a perifocal edema was less pronounced compared to the control group (Fig. 6A) and the group where carbamylated darbepoetin had been used (Fig. 7A); but it was more pronounced than in the group of a combined use of carbamylated darbepoetin and etoxidol (Fig. 8A). In the animals treated with carbamylated darbepoietin and a combination of drugs, the signs of an inflammatory reaction with the development of leukocyte infiltration were more pronounced. At the same time, its severity did not reach the degree of intensity recorded in the control group. On day 7, a glio-macrophage reaction in the etoxidol groups (Fig.6B) and the carbamylated darbepoetin group (Fig. 7B) was ahead of the control group. In the group of the combined use of carbamylated darbepoietin and etoxidol (Fig. 8B), more pronounced resorption processes in the form of clusters of a few macrophages accumulation of a blood pigment (hemosiderophages), were revealed. On the 14th day, the processes of resorption in the groups of etoxidol (Fig. 6C) and carbamylated darbepoetin (Fig. 7C) were ahead of the control group. But the signs of resorption and organization in the group of a combined use of carbamylated darbepoetin and etoxidol (Fig. 8C), were more pronounced, they were in the form of clusters of numerous macrophages with intracellular and extracellular accumulations of a blood pigment (hemosiderophages).
Figure 6 – Brain tissue of rats treated with ethoxidol, in the area of hematoma
Note: A – on the 1st day; B – on the 7th day; C – on the 14th day. Staining: hematoxylin and eosin; Mag. ×400
Figure 7 – Brain tissue of rats treated with carbamylated darbepoetin, in the area of hematoma
Note: A – on the 1st day; B – on the 7th day; C – on the 14th day. Staining: hematoxylin and eosin; Mag. ×400
Figure 8 – Brain tissue of rats treated with a combination of carbamylated darbepoetin and ethoxydol, in the area of hematoma
Note: A – on the 1st day; B – on the 7th day; C – on the 14th day. Staining: hematoxylin and eosin; Mag. ×400
Thus, according to the histological studies, a simultaneous administration of a carbamylated darbepoetin and etoxidol combination is accompanied by a more rapid decrease in perifocaledema and microcirculation disorders, less damage to neurons and glial elements, and faster processes of resorption and organization of the hemorrhage focus.
DISCUSSION
The results of the study confirm the presence of neuroprotective properties in all the studied substances. However, the neuroprotective activity of carbamylated darbepoetin had been developing more slowly - by day 3, in contrast to etoxidol and the combination of etoxidol and carbamylated darbepoietin, in which cerebroprotective properties were observed already on the 1stday (a less prounced severity of neurological disorders and a greater activity of the animals in these groups in the infrared monitor).
The combination of etoxidol and carbamylated darbepoetin has more pronounced neuroprotective properties than when used in isolation. This is manifested by higher survival rates of animals of this group, a significant decrease in the severity of post-stroke disorders from the very first day, as well as in histological examination of brain sections.
The additive effect of these drugs is due to their action mechanism. Hypothetical synergism is achieved by affecting various structures and components of the cell.
Etoxidol is among the inhibitors of free radical processes. The presence of 3-hydroxypyridine in the structure of etoxidol, provides a complex of its antioxidant and membranotropic effects, the ability to reduce glutamate excitotoxicity, to modulate functioning of the receptors. The 3-hydroxypyridine residue affects the activity of membrane-bound enzymes (phosphodiesterase, adenylatecyclase), inhibits free radical stages of the synthesis of prostaglandins, catalyzed by cyclooxygenase and lipooxygenase, changes the ratio of simple cyclin / thromboxane A2 and inhibits the formation of leukotrienes [14].
Malate, which is a part of etoxidol, easily penetrates the blood-brain barrier. During hypoxia, malate undergoes metabolism with the formation of adenosine triphosphate. Depending on the degree of hypoxia, malate is reversibly rebuilt, due to which the cell continues to receive energy even in the absence of oxygen. Malate has the advantage of being able to turn into fumarate and even succinate.
Depending on the degree of ischemia and the cell’s energy requirements, malate can be oxidized with the release of ATP with enough oxygen in the mitochondria and even with insufficient oxygen in the cytoplasm, it can also be restored to succinate. It has been established that the cell does not expend the ATP energy for the transfer of malate to mitochondria. For this, there is a special malate-aspartate shuttle. The ability of malate to increase the respiratory control coefficient of mitochondria, to restore cytochrome b5 in the presence of nicotinamide adenine dinucleotide, a coenzyme participating in redox reactions, has been proved and shown off [15–17].
The hematopoietic functions of erythropoietin are due to their effect on the central nervous system. Erythropoietin receptors are expressed on the surface of neurons [18]. At various CNS injuries, astrocyte synthesis of erythropoietin having a neuroprotective effect, is observed [19–21]; it inhibits apoptosis, stimulates neuronal proliferation and angiogenesis.
Carbamylated darbepoetin, a hyperglycosylated variant of human recombinant erythropoietin,’ has less pronounced hematopoietic properties than the basic molecule due to the heterodimeric receptor EpoR / CD131 than to the homodimeric receptor EpoR / EpoR [22]. When the carbamylated darbepoietin molecule, as well as erythropoietin, binds to the EpoR receptor, a cascade of phosphorylation reactions of key proteins, such as Ras-mitogen-activating protein kinase, Janus tyrosine kinase-2, etc., is launched. They, in turn, activate the expression of the bcl-xl genes and the synthesis of anti-apoptotic proteins that suppress apoptotic cell deaths [23, 24].
However, due to the carbamylation of primary protein amines and amino acid lysine residues of the protein in the N-terminal region, without affecting the glycosylation profile of the whole molecule, carbamylated darbepoietin does not interact with the classical erythropoietin receptor (does not stimulate the proliferation of TF1 cell line), and does not have a number of undesirable side effects, such as an increased blood pressure and the risk of blood clots, which, in the case of cerebrovascular diseases, is absolutely contraindicated. [25–27].
The results obtained, determine the possibility of further studying the neuroprotective effects of a combination of etoxidol and carbamylated darbepoetin, and the possible future of its introduction into clinical practice for the treatment and prevention of cerebrovascular diseases.
CONCLUSION
The investigated derivatives of 3-hydroxypyridine and human erythropoietin have a neuroprotective effect, which is manifested in the smallest severity of neurological disorders and a more rapid decrease in signs of neurodegeneration, accelerated processes of hemorrhage.
The neuroprotective activity of carbamylated darbepoetin had been developing more slowly – by day 3, in contrast to ethoxydol and the combination of ethoxydol and carbamylated darbepoietin, in which cerebroprotective properties had been notified by already day 1.
The combination of ethoxydol and carbamylateddarbepoetin has a more pronounced neuroprotective properties which are manifested by a significant decrease in the severity of post-stroke disorders. These differences are already noticeable by day 1 of the disease, as evidenced by higher survival rates of the animals in this group, the animals’ activity in this group; as well as by a histological examination of brain slices – a faster reduction of perifocaledema and microcirculation disorders, less damage to neurons and glial elements, and more rapid processes of resorption and organization of hemorrhage.
FINANCIAL SUPPORT
This study did not have any financial support from outside organizations.
AUTHOR’S CONTRIBUTION
Kolesnichenko PD – working out the conceptual foundation and design of the study, implemention of the experiment, processing the results, writing the text; Shcheblykina OV – statistical processing of the results, editing; Nesterova NI – collecting and processing of the morphological materials, carrying out a semi-quantitative morphological analysis; Shcheblykin DV – collecting and processing of the materias, implementation of the experiment; Nesterov AV – refinement of the experimental model, working out the conceptual foundation and design of the study, implemention of the experiment, carrying out a morphological study; Pokrovsky MV – working at the conceptual foundation and design of the study, administrative organization of the experimental work; Zhuchenko MA – working at the conceptual foundation, production of the carbamylated form of darbepoetin; Tverskoy AV – editing a morphological study of the experimental material; Reznikov KM – approval of the final version of the article, responsibility for the integrity of all the parts of the article.
CONFLICT OF INTEREST
The authors declare no conflicts of interest.
About the authors
Pavel D. Kolesnichenko
Belgorod State National Research University
Author for correspondence.
Email: farpavel@yandex.ru
ORCID iD: 0000-0002-2434-994X
Candidate of Sciences (Medicine), Associate Professor of the Department of Pharmacology and Clinical Pharmacology
Russian Federation, 85, Pobeda St., Belgorod, 308015Olesya V. Shcheblykina
Belgorod State National Research University
Email: sheolvi31@gmail.com
postgraduate student of the Department of Pharmacology and Clinical Pharmacology
Russian Federation, 85, Pobeda St., Belgorod, 308015Natalya I. Nesterova
Belgorod State National Research University; Forensic-histological department of Belgorod Bureau of Forensic Medical Examination”
Email: sushkova-nesterova@mail.ru
postgraduate student of the Department of Pharmacology and Clinical Pharmacology, legal physician of the forensic histological department
Russian Federation, 85, Pobeda St., Belgorod, 308015; 159, Volchanskaya St., Belgorod, 308017Dmitry V. Shcheblykin
Belgorod State National Research University
Email: dmitryshch1@gmail.com
ORCID iD: 0000-0002-2420-2243
postgraduate student of the Department of Pharmacology and Clinical Pharmacology
Russian Federation, 85, Pobeda St., Belgorod, 308015Arkady V. Nesterov
Belgorod State National Research University
Email: nesterov_a@bsu.edu.ru
Candidate of Sciences (Medicine), Associate Professor of the Department of Pathology
Russian Federation, 85, Pobeda St., Belgorod, 308015Mikhail V. Pokrovsky
Belgorod State National Research University
Email: mpokrovsky@yandex.ru
ORCID iD: 0000-0002-1493-3376
Doctor of Sciences (Medicine), Professor of the Department of Pharmacology and Clinical Pharmacology, the Head of Research Institute of Pharmacology of Living Systems
Russian Federation, 85, Pobeda St., Belgorod, 308015Maxim A. Zhuchenko
Sector of development and preclinical research of State Pharmaceutical Foundation of officinal medicines “PHARMAPARK”
Email: maksim.zhuchenko@pharmapark.ru
Candidate of Sciences (Biology), the head of the sector of development and preclinical research of officinal medicines
Russian Federation, 8 (Bld. 1), Nauchny proezd, Moscow, 117246Alexey V. Tverskoy
Belgorod State National Research University
Email: tverskoy@bsu.edu.ru
ORCID iD: 0000-0003-1537-6564
Candidate of Sciences (Medicine), the head of the Department of Human Anatomy and Histology
Russian Federation, 85, Pobeda St., Belgorod, 308015Konstantin M. Reznikov
Voronezh State Medical University n.a. N.N. Burdenko
Email: vrkmf@yandex.ru
Doctor of Sciences (Medicine), Professor of the Department of Pharmacology
Russian Federation, 10, Studencheskaya St., Voronezh, 394036References
- Kesarev OG, Danilenko LM, Pokrovskii MV, Timokhina AS, Khavanskii AV. Study of dose-dependent effect of 2-ethyl-6-methyl-3 hydroxypyridine succinate on the contractile function of isolated rat heat. Research Result in Pharmacology. 2017;3(1):3–9. doi: 10.18413/2500-235X-2017-3-1-3-9.
- Skvorcova VI, Chazova IE, Stahovskaja LV. [Vtorichnaja profilaktika insul’ta]. M.: PAGRI. 2002: 120p. Russian
- Karpov SM, Dolgova IN, Vishlova IA. The main issues of topical diagnosis of nervous system diseases. Stavropol. Stavropol State Medical University. 2015:120p.
- Reznikov KM, Gorbunova NS, Kolesnichenko PD, Tverskoy AV, Kostina DA, Bashkatova DA, Nikitina VA. Search of new pharmaceuticals on the basis of darbepoetin in the treatment of ischemic stroke (review of literature). Research Result: Pharmacology and Clinical Pharmacology. 2017;3(1):125–136. doi: 10.18413/2500-235X-2017-3-1-125-136
- Zhu L, Bai X, Wang S, Hu Y, Wang T, Qian L, Jiang L. Recombinant human erythropoietin augments angiogenic responses in a neonatal rat model of cerebral unilateral hypoxia-ischemia. Neonatology. 2014;106(2):143–148. doi: 10.1159/000362262.
- Fisher JW. Erythropoietin: physiology and pharmacology update. Experimental Biology and Medicine (Maywood). 2003;228(1):1–14. doi: 10.1177/153537020322800101.
- Shabelnikova AS. Correction of ischemic damage to the retina on application of pharmacological preconditioning of recombinant erythropoietin. Research Result in Pharmacology. 2016;2(2):67–90. doi: 10.18413/2313-8971-2016-2-2-67-90.
- Catlin DH, A. Breidbach, Elliott S, Glaspy J. Comparison of darbepoetin alfa, recombinant human erythropoietin, and endogenous erythropoietin from human urine. Clinical Chemistry. 2002;48(11):2057–2059. doi: 10.1093/clinchem/48.11.2057.
- Alehin SA, Kolmykov DI, Pokrovskii MV. Human recombinant erythropoietin gradient dosage in-fluence on ischemic and reperfusion liver injury. Research Result in Pharmacology. 2015;1(1):9–12. doi: 10.18413/2500-235X-2015-1-4-9-14.
- Makarenko AN, Kositsin NS, Pasikova NV, Svinov VV. Simulation of local cerebral hemorrhage in different brain structures of experimental animals. Journal of Higher Nervous Activity. 2002;52(6):765–768.
- [Patent 2721289. Rossijskaja Federacija, MPK G09B 23/28. Sposob modelirovanija gemorragicheskogo insul’ta u krys / Nesterov A.V., Kolesnichenko P.D., Pokrovskij M.V., Nesterova N.I., Markovskaja V.A., Ivanova M.I., Karagodina A.Ju., Saparboeva N.M., Murashev B.V., Proshin A.Ju., Patrahanov E.A., Arhipov I.S., Pokrovskij V.M.; zajavitel’ i patentoobladatel’ federal’noe gosudarstvennoe avtonomnoe obrazovatel’noe uchrezhdenie vysshego obrazovanija “Belgorodskij gosudarstvennyj nacional’nyj issledovatel’skij universitet” (NIU “BelGU”) – № 2019134892; zajavl. 30.10.2019; Published: 2020 May 18]. Russian
- Gannushkina IV. The pathophysiological mechanisms of disorders of cerebral circulation and the new directions in their prevention and treatment. Journal. Neuropatol. and psychiatrist. 1996. 1:14–18.
- Ermohin PN. Gistopatologija central’noj nervnoj sistemy: atlas mikrofotografij. PN. Ermohin; pod red. A.P. Avcyna. – Moskva: Medicina, 1969:243. Russian
- Djumaev KM, Voronina TA, Smirnov LD. Antioksidanty v profilaktike i terapii patologij CNS. – M.: Medicina, 1995:65. Russian
- Peresypkina A, Pazhinsky A, Pokrovskii M, Beskhmelnitsyna E, Pobeda A, Korokin M. Correction of experimental retinal ischemia by l-isomer of ethylmethylhydroxypyridine malate. Antioxidants. 2019;8(2):34. doi: 10.3390/antiox8020034. Russian
- Kolesnichenko PD, Reznikov KM, Zhhernakova NI, Stepchenko AA, Popova IA. The Value Changes Redox System the Body Fluid Media for Life Processes and the Action of Drugs. Journal of International Pharmaceutical. 2018; 45:440–444. Russian
- Livanov GV, Aleksandrov MV, Vasilyev SA, Batotsyrenova KV, Batotsyrenov BV, Lodyagin AN, Lutsyk MA, Nosov AV. Metabolic Desynchronization in Critical Conditions: Experimental Study. General Reanimatology. 2006;2(1):42–46. doi: 10.15360/1813-9779-2006-1-42-46.
- Sanchis-Gomar F, Perez-Quilis C, Lippi G. Erythropoietin Receptor (EpoR) Agonism Is Used to Treat a Wide Range of Disease. Molecular Medicine. 2013;19(1):62–64. doi: 10.2119/molmed.2013.00025.
- Tjurenkov IN, Kurkin DV, Bakulin DA, Volotova EV. Studying the Neuroprotective Effect of the Novel Glutamic Acid Derivative Neiroglutam on Focal Cerebral Ischemia in Rats Russian Journal of Experimental and Clinical Pharmacology. 2014;77(9):8–12. doi: 10.30906/0869-2092-2014-77-9-8-12.
- Celik M, Gokmen N, Erbayraktar S, Akhisaroglu M, Konakc S, Ulukus C, Genc S, Genc K, Sagiroglu E, Cerami A, Brines M. Erythropoietin prevents motor neuron apoptosis and neurologic disability in experimental spinal cord ischemic injury. PNAS. 2002;99(4):2258–2263. doi: 10.1073/pnas.042693799.
- Basov AA, Elkina AA, Samkov AA, Volchenko NN, Moiseev AV, Fedulova LV, Baryshev MG, Dzhimak SS. Influence of deuterium-depleted water on the isotope D/H composition of liver tissue and morphological development of rats at different periods of ontogenesis. Iranian Biomedical Journal. 2019;23(2):129–141. doi: 10.29252/.23.2.129.
- Tverskoy AV, Kolesnichenko PD, Shcheblykina OV, Gorbunova NS, Morozov VN, Mukhina TS. Morphology of the rat’s brain in four vessels model of ischemic stroke after administration of carbamylated darbepoetin. Drug Invention Today. 2018;10(5):3897–3900.
- Middleton SA, Barbone FP, Johnson DL, Thurmond RL, You Y, McMahon FJ, Jin R, Livnah O, Tullai J, Farrell FX, Goldsmith MA, Wilson IA, Jolliffe LK. Shared and unique determinants of the erythropoietin (EPO) receptor are important for binding EPO and EPO mimetic peptide. Journal of Biological Chemistry. 1999;274(20):14163–14169.
- Kolesnichenko PD, Dolzhikov AA, Zhernakova NI, Shaposhnikov AA, Stepchenko AA, Batishcheva GA, Reznikov KM. Preclinical study of the allergenic properties of carbamylated darbepoetin. Indo American Journal of Pharmaceutical Sciences. 2017;4(10):3798–3802.
- Gaudard A, Varlet-Marie E, Bressolle F, Audran M. Drugs for Increasing Oxygen Transport and Their Potential Use in Doping. Sports Medicine. 2003;33(3):187–212.
- Pozdniakova NV, Turobov V, Garanina EE, Ryabaya OA. Temporal dynamics of cytokines in the blood of rats with experimentally induced autoimmune encephalomyelitis. Bulletin of RSMU. 2017; 6:69–77. doi: 10.24075/brsmu.2017-06-12.
- Basov AA, Kozin SV, Bikov IM, Popov KA, Moissev AV, Elkina AA, Dzhimak SS. Changes in Prooxidant-Antioxidant System Indices in the Blood and Brain of Rats with Modelled Acute Hypoxia Which Consumed a Deuterium-Depleted Drinking Diet. Biology Bulletin. 2019;46(6):531–535. doi: 10.1134/S1062359019060049.
Supplementary files











