Application of multipotent mesenchymal stem cell secretome in the treatment of adjuvant arthritis and contact-allergic dermatitis in animal models
- Authors: Golubinskaya P.A.1, Sarycheva M.V.1, Dolzhikov A.A.1, Bondarev V.P.2, Stefanova M.S.3, Soldatov V.O.1, Nadezhdin S.V.1, Korokin M.V.1, Pokrovsky M.V.1, Burda Y.E.1
-
Affiliations:
- Belgorod State National Research University
- Regional Pathoanatomical Bureau of the Health Committee of the Kursk Region
- City Hospital No. 2
- Issue: Vol 8, No 6 (2020)
- Pages: 416-425
- Section: Articles
- URL: https://journals.eco-vector.com/2307-9266/article/view/111661
- DOI: https://doi.org/10.19163/2307-9266-2020-8-6-416-425
- ID: 111661
Cite item
Abstract
The therapeutic effect of multipotent mesenchymal stem cells has been proven on various disease models. One of the mechanisms is the paracrine effect of the cells on the surrounding tissues.
The aim. To investigate the secretome effectiveness of the multipotent mesenchymal stem cells in the treatment of adjuvant arthritis and contact-allergic dermatitis in Wistar rats.
Materials and methods. Adjuvant arthritis was simulated in 26 female rats by the administration of Freund’s complete adjuvant and then treated with the administration of 100 µl of multipotent mesenchymal stem cell secretome or saline. Contact-allergic dermatitis was modeled on 30 female rats by applying 200 μl of an oil solution of dinitrofluorobenzene to the skin on days 1, 5 and 6. Then the rats were treated with fluocinolone ointment (a positive control), baby cream (a negative control), baby cream with a secretome of native multipotent mesenchymal stem cells or from the cells processed with dexamethasone.
Results. Judging by the indicators of the longitudinal and transverse dimensions of the paws in rats and a histological examination, the secretome did not have any anti-inflammatory effect on adjuvant arthritis. A cream with a secretome from multipotent mesenchymal stem cells processed with dexamethasone, was the most effective on the model of contact-allergic dermatitis: the clinical improvement occurred on the 2nd day. The secretome from native multipotent mesenchymal stem cells and fluocinolone had a therapeutic effect on the 3rd day of application, the negative control – on the 4th day. The lymphocytic infiltration coefficient was significantly lower (p<0.05) in all the cases compared to the negative control (2.8±0.1). However, the lowest infiltration was observed when the cream with secretome from native (1.75±0.1) and dexamethasone-stimulated (1.76±0.1) multipotent mesenchymal stem cells was being used.
Conclusion. The cream with the secretome of multipotent mesenchymal stem cells suppresses lymphocytic infiltration more strongly than the highly active topical glucocorticosteroid – fluocinolone – on the model of contact-allergic dermatitis, which is a classic local delayed-type hypersensitivity reaction. However, a further study of the therapeutic effect of the secretome on models of systemic inflammatory diseases is required after its preliminary purification from large-molecular proteins.
Keywords
Full Text
Abbreviations: AA – adjuvant arthritis; DTHS – delayed-type hypersensitivity; GCS – glucocorticosteroids; DNFB – dinitrofluorobenzene; IL – interleukin; KAD – contact-allergic dermatitis; kDa – kilodaltons; MMSC – multipotent mesenchymal stem cells; mRNA – micro-ribonuleic acid; RNA – ribonucleic acid; CD – cluster of differentiation; FoxP3 – FOXP3, Forkhead Box Protein P; IFNγ – interferon gamma; NF-κB – nuclear factor “kappa-bi”; NK cells – Natural killer cells; STAT5 – Signal transducer and activator of transcription 5; Th1 – T-helper 1; Th17 – T-helper 17; TNFα – Tumor necrosis factor α.
INTRODUCTION
Nowadays, the study of the therapeutic effect of the secretome of multipotent mesenchymal stem cells (MMSC) is relevant in the field of regenerative medicine. Preclinical and clinical studies have proven the efficacy and safety of MMSCs in the treatment of atopic dermatitis, osteoarthritis and other inflammatory diseases [1–4]. The last decade has shown an increase in the research related to the study of the action mechanisms of MMSCs associated with tissue regeneration. The main directions of the MMSC actions can be considered as follows: secretion of biologically active substances, microvesicles, exosomes [5, 6]. The secret of MMSCs contains a wide range of biologically active substances, possesses immunomodulatory properties, and therefore is potentially applicable in therapy without any use of the cells themselves [7].
Unlike the secretomes of MMSCs, topical glucocorticosteroids (GCSs), which are widely used in therapy, have a number of disadvantages. First, GCSs can lead to local and systemic side effects, the development of which is unlikely when using MMSC secretomes [8]. In addition, contraindications to the use of GCSs are burns and wounds, which, on the contrary, can be indications for the use of MMSC secretomes.
Dexamethasone is a powerful synthetic glucocorticoid that is widely used in the treatment of inflammatory diseases, as well as in cell technologies to enhance the MMSC differentiation in osteo-, chondro- and adipogenic directions in vitro [9]. It has been shown that the effect of dexamethasone on apoptosis, cell cycle, proliferation, and the MMSC differentiation depends on the exposure time and the drug concentration [9]. Dexamethasone also affects the profile of RNA and mRNA expressed by MMSCs [10], the migration ability and a cell shape [11]. Dexamethasone-enhanced MMSCs inhibit CD69 expression and IFNγ production, as well as STAT5 phosphorylation in NK cells [12]. It may be possible to use GCSs to suppress the synthesis of proinflammatory cytokines indirectly, using dexamethasone-treated MMSCs and their secretomes, avoiding the increased risk of the complications characteristic of GCSs.
It has been established that the MMSC secretion reduces the production of proinflammatory cytokines and the cytokines by blood mononuclear cells involved in the cell-mediated immune inflammation [13]. In the literature, it has been shown that the galectin network mediates the immunomodulatory effects of MMSCs [14, 15]. The stimulating effect of the adipose tissue MMSC secretome, which contains more than 100 proteins [16], on the proliferative and migratory capacity of various types of skin cells, has been shown [17]. In rheumatoid arthritis, the ability of human MMSCs from the adipose tissue to regulate a wide range of inflammatory mediators together with suppression of Th1 and Th17 responses, has been shown [18]. Earlier, a pilot study of the effect of the secretome of native and dexamethasone-stimulated MMSCs on the course of experimental diseases, had been conducted [19]. In this regard, the appropriate disease models – adjuvant arthritis (AA) and contact-allergic dermatitis (CAD) have been selected. They reproduce an autoimmune reaction similar to the pathogenesis of rheumatoid arthritis [20] and a delayed-type hypersensitivity reaction (DTHS), respectively.
THE AIM of the study was to investigate the secretome of the multipotent mesenchymal stem cells effectiveness in the treatment of inflammatory diseases – adjuvant arthritis and contact-allergic dermatitis – in Wistar rats.
MATERIALS AND METHODS
Obtaining MMSC secretome
MMSC secretome from human adipose tissue was obtained by culturing cells at passage 4 in a gas incubator (37°C, 5% CO2) for 48 hours in a serum-free nutrient medium without phenol red DMEM/F12 (Paneko, Russia). Some of the cells were treated with 10 μmol/ml dexamethasone. Then, the preparation was washed free from dexamethasone with phosphate-buffered saline and cultured for 48 hours a in serum-free DMEM/F12 nutrient medium without phenol red (Paneko, Russia). The supernatant was collected and concentrated using a Vivaflow 200 ultrafiltration unit (Sartorius, Germany) on membranes with MWCO 3 kDa. Galectin-1 was chosen as a protein for standardization, since its presence in the MMSC secretome have been proven and its anti-inflammatory properties are known [20, 22]. The content of galectin-1 in the concentrated secretome was determined with the help of enzyme-linked immunosorbent assay using CloudClone Corp. kits. (USA).
Then the concentration of galectin-1 was adjusted to 6 pg/ml using phosphate-buffered saline, since galectin-1 had been chosen as an identifiable factor in order to standardize the drug. Calculated using 1 g of total protein, in the MMSCs secretome treated with dexamethasone there was, on average, 1.5 times more galectin-1 than in the secretome of native MMSCs. For the subsequent calculation of the protein concentration, the optical density was measured using a Nano Photometer No 60 (Implen, Germany). The obtained secretome was sterilized using filters with a pore diameter of 0.22 μm (Merk, Millipore, USA) and stored at –20°C until use. The methods for preparing the secretome is described in detail in patent RU 2747024 “Composition with anti-inflammatory and immunosuppressive activity based on the secretome of multipotent mesenchymal stromal cells, and method of preparation”.
Animals
Mature rats of both sexes of the Wistar line (weight 200-260 g) were obtained from the nursery of the Research Center for Biomedical Technologies of the Federal Medical and Biological Agency, the Stolbovaya branch (Stolbovay settlement, Moscow region). The animals were kept under controlled conditions: individual ventilated cages with the temperature of 21–22°C and the air humidity of 55–60%. The light conditions were: 16 hours of light and 8 hours of darkness. The animals were fed with all-in-one feed. Wood sawdust was used as bedding. To anesthetize the animals, Zoletil 100 (Virbac, France) was used at the dose of 1 mg / 100 g of animal weight. The work was carried out in compliance with all bioethical standards in accordance with the “European Convention for the Protection of Vertebrate Animals used for Experimental or Other Scientific Purposes” [Directive 2010/63 / EU].
Study design
To model AA, 26 female rats were injected with 0.1 ml of Freund’s complete adjuvant (Sigma, United States) into the plantar surface of the hind paws [21]. The choice of female animals for the study was due to the increased prevalence of the simulated disease among women [3]. The introduction was repeated a week later. Two weeks after the first injection, the edema of the hind legs and lameness were observed. Then, 100 μL of MMSC secretome was injected subcutaneously into the right hind paw of the experimental animals (10 rats). 10 rats of another experimental group were injected with 100 μl of the secretome from MMSCs pretreated with dexamethasone. 6 rats of the control group were injected with 100 μl of saline in the right hind paw. The left hind paws remained untreated. The edema of the paws was measured using an electronic caliper (Enkor 10740, Russia).
As a CAD inducer, a 3% solution of dinitrofluorobenzene (DNFB) was used on the 1st day. Then, on the 5th and 6th days, a 1% solution of DNFB in olive oil was applied in the volume of 200 μL to the depilated skin of the upper half of the back of 30 female rats of the Wistar line [23]. On the 6th day, inflammation with hyperemia, skin edema and peeling developed. The inflammation was controlled by a single daily application of baby cream (Avanta, Russia) (the negative control), the ointment with topical GCS fluocinolone at the concentration of 0.025% (Flucinar, Jelfa, Poland) (the positive control), baby cream with the addition of a secretome from the dexamethasone treated MMSCs or a secretome from untreated MMSCs. In this respect, in the animals in all the 3 groups, the studied drugs (secretomes), or the positive control (fluocinolone), were applied to the area of the right scapula, and the negative control (baby cream) – to the area of the left scapula. That made it possible to avoid the need to create a separate control group and the associated variability of the individual response. The baby cream was chosen as the base, to which the MMSC secretome was added, due to its availability and the already known, clinically investigated properties of the cream.
The animals were withdrawn from the experiment by cervical dislocation under anesthesia. After a visual assessment and photoprotocol of the body parts exposed to experimental effects, the pieces of the skin or hind paws were excised and fixed in a 10% formalin solution. Histological preparations stained with hematoxylin and eosin, were prepared in a standard manner. The study of micropreparations was carried out under a Lomo microscope equipped with a DV1000 video camera and the McrA-View 7.3.1.7 program (LOMO-microsystems, Russia). For a quantitative assessment of the lymphocytic infiltration degree of the dermis, a semi-quantitative assessment of the of infiltration degree was performed: the weak one (1+) – up to 5 lymphocytes in the area of the papillary layer; the moderate / medium one (2+) – up to 5–10 lymphocytes; the strong / pronounced one (3+) – up to more than 10 lymphocytes. The data were statistically processed using an MS Excel 2016 spreadsheet, with the calculation of the average infiltration coefficient. Complementarily, a frequency analysis of the pronounced infiltration degree was made. This infiltration was accompanied by epidermal lesions, and it was dependent on the drugs used for its treatment.
Statistical processing of results
For statistical analysis, the Pearson Chi-square test with Yates correction, the Fisher test, and the Mann-Whitney U-test were used. The significance level was assumed to be p<0.05. The calculations were performed using SPSSStatistics 17.0 software (IBM, USA).
RESULTS
In terms of the longitudinal and transversalis dimensions of the paws in rats with AA, there were no statistically significant differences between the groups. Histological study showed that the use of the MMSC secretome led to the development of chronic arthritis and periathritis with hyperplastic synovitis of an immunoinflammatory nature without involvement of osteochondral structures (Fig. 1, Fig. 2). In the control group, with the introduction of saline, there was a gradual decrease in inflammation in the joints of the paws, the same on both sides. Histologically, single plethoric capillaries without signs of inflammation were found out in the synovial membrane of the joints.
Figure 1 – General aspect of joint with adjuvant arthritis
Note: Stained with hematoxylin and eosin, Magnification ×100.
Figure 2 – Hyperplasia of synoviocytes with the formation of pseudopapillary structures (arrow)
Note: Stained with hematoxylin and eosin, Magnification ×100. XP – an articular cartilage bone without visible morphological changes; CO – folds of the synovial membrane with diffuse focal inflammatory infiltration (arrows)
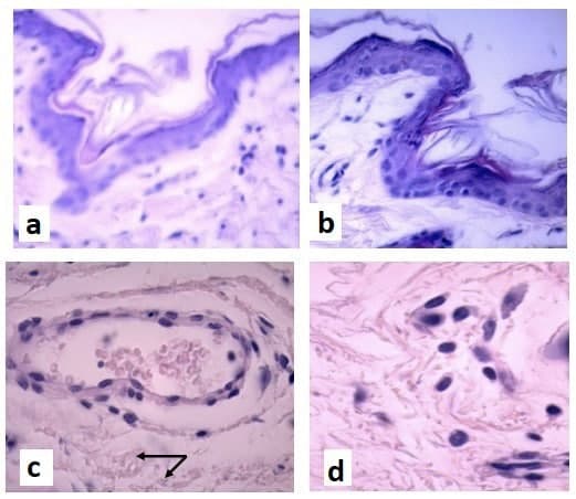
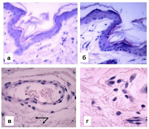
A macroscopic assessment of the skin areas with experimental CAD in the negative control group and their histological examination showed that the used model of the disease adequately reproduces the changes characteristic of a delayed-type hypersensitivity reaction: hyperemia and infiltrative-inflammatory skin changes, mainly around the hair funnels, abundant scaly keratic masses were observed. In some cases, they took place before the formation of large hyperkeratotic plaques. Histological examination (Fig. 3) revealed inflammatory changes due to hyperkeratosis, lymphocytic-macrophage infiltration with single eosinophils, edema and vascular reaction.
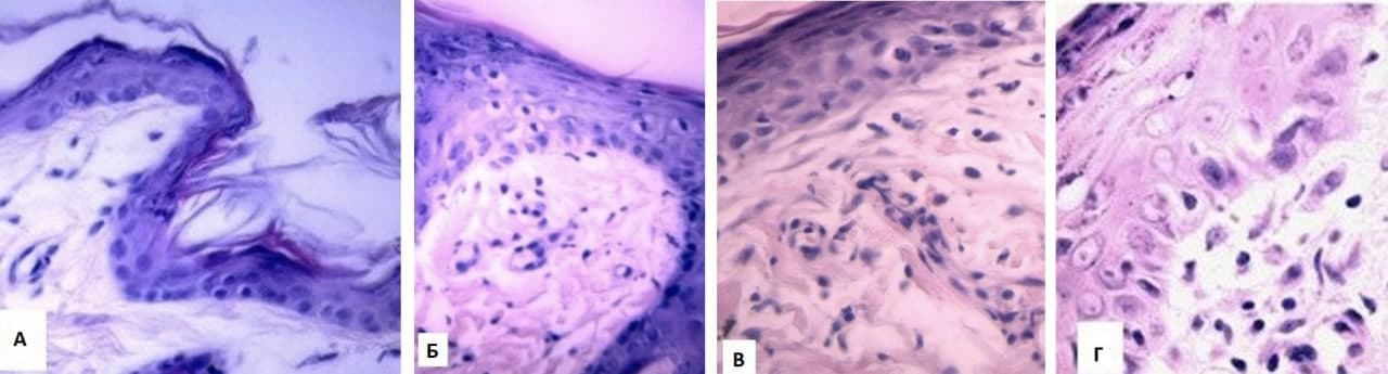
Figure 3 – Skin changes characteristic of contact-allergic dermatitis
Note: Stained with Hematoxylin and eosin, Magnification X400; a, b – epidermis with foci of hyperkertosis and exfoliating of the stratum corneum, edema of the papillary layer, low density of lymphocytic infiltrate; c – sanguine venule on the border with hypodermis, perivascular edema; d – accumulation of immature fibroblasts in the papillary layer; no inflammatory elements
When assessing the degree of lymphocytic infiltration using a gradation by the number of lymphocytes in the field of view, it was found out that low (1+) and medium (2+) degrees prevailed, being observed, in total, in 67.2% of the evaluated dermis areas (Table 1). A high degree of lymphocytic infiltration prevailed in the deep areas of the dermis. Lymphocytic and lymphocytic-macrophage infiltrates were often located directly around the venules, creating a picture of lymphocytic venular vasculitis characteristic of CAD. Separate accumulations of mononuclear elements looked like granulomas.
Table 1 – Index of lymphocytic infiltration in different CAD treatment groups
Group | Lymphocytic infiltration index, mean ± standard deviation |
Treatment with baby cream K (–) | 2.8±0,1 |
Fluocinolone K (+) treatment | 2.18±0.08* |
Treatment with baby cream with MMSC secretome | 1.75±0.1*# |
Treatment with baby cream with secretome from MMSCs treated with dexamethasone | 1.76±0.1*# |
Note: * – there are statistically significant differences in comparison with the K (–), p <0.05; # – there are statistically significant differences in comparison with the K (+) group, p<0.05
In the animals with simulated CAD and treatment with 0.025% fluocinolone ointment, clinical improvement occurred on the 3rd day of the drug administration. The most significant remaining symptom was diffuse skin erythema. At the same time, the epidermis was without destructive changes, had changes in the form of preservation of foci of hyperkeratosis, desquamation of the stratum corneum. Microscopically, these changes corresponded to plethora of dermal microvessels, edema of the papillary layer, perivascular edema in the deeper tissues. In the epidermis, there was thickening of the stratum corneum with areas of its stratification and desquamation, both as separate keratic scales and as the whole layers of keratic masses. The assessment of the composition and severity of cellular infiltrates in the dermis revealed the predominance of low and medium representation of the lymphocytic component in the whole dermis, with a lesser degree in the papillary layer, in contrast to the deep layers. Quantitatively (Table 1), this was reflected in the values of the lymphocytic infiltration index, which turned out to be significantly less (p <0.05) in comparison with the negative control group. Separately, for the papillary layer, the index was significantly less (p = 0.004) than in the negative control group. In addition, in a nonparametric statistical analysis of the effect of fluocinolone on the frequency of a high degree of lymphocytic infiltration, it was found out that in general, for the dermis it was insignificant, and separately for the papillary layer it was significantly mean (p = 0.03). However, at the qualitative level and in the quantitative assessment of lymphocytic infiltrates, the effect is unequal in the superficial portions of the dermis, where it is more pronounced, and in its depth. In the papillary layer, both accumulations of immature fibroblasts and a noticeable number of fibroblasts with morphological signs of a functional activity were often found out.
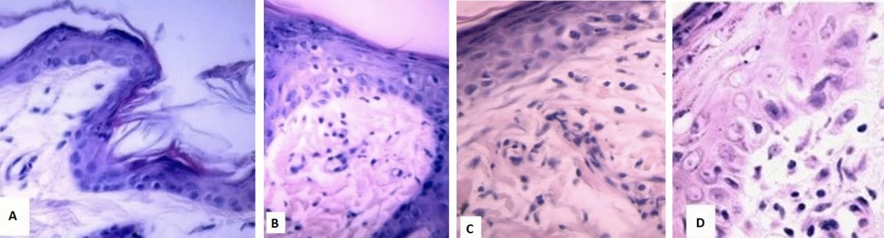
Externally, the state of the skin treated with the baby cream with a MMSC secretome was similar to that observed when the skin was treated with fluocinolone: diffuse erythema, small scaly keratic deposits, foci of the epidermis destruction were absent. An improvement in the condition of the skin was also observed 3 days after the beginning of treatment, as in the fluocinolone group. Histological examination also revealed similar changes in the form of thickening and desquamation of the stratum corneum, edema of the papillary layer, plethora of dermal microvessels. In the papillary layer of the dermis, accumulations of mature fibroblasts with signs of a functional activity were noticeable. A high degree of lymphocytic infiltration was detected only in 10% of the examined skin areas. Accordingly, the infiltration index turned out to be significantly lower (p=0.05) in comparison with the negative control and the positive control (fluocinolone treatment) for the dermis as a whole (p <0.05), but did not statistically differ from the papillary layer indicator in this group (Fig. 4).
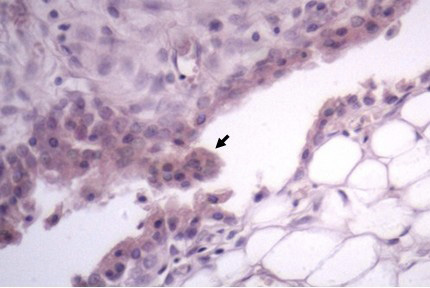
Figure 4 – Lymphocytic infiltrate
Note: Stained with Hematoxylin and eosin, Magnification X400. A – negative control group (baby cream); B — positive control group (treatment with fluocinolone); C – treatment group with baby cream enriched with MMSC secretome; D – treatment group with baby cream enriched with MMSC secretome, treated with dexamethasone
According to nonparametric criteria, the degree of influence of the secretome on the frequency of a high degree of lymphocytic infiltration was moderate but significant (p=0.016). Thus, the MMSC secretome has a positive effect comparable to that of fluocinolone. There is a certain superiority of the secretome, which is due to the presence of an anti-inflammatory effect in the entire thickness of the dermis, as evidenced by the given statistical indicators.
In the experimental group, after the use of the MMSCs secretome cream pre-treated with dexamethasone, the macro- and microscopic patterns of skin changes were similar to those in the previous group. However, a clinical improvement was observed earlier – 2 days after the start of this cream therapy. The skin was erythematous, with dusty and finely scaly keratic overlays, but without destructive foci in the epidermis. Histologically, the foci of thickening of the epidermis were revealed, mainly due to the stratum corneum, which was characterized by stratification and sloughing of stratum corneum layers. The papillary layer of the dermis was with varying degrees of edema. Cellular infiltration was qualitatively and quantitatively different in different parts of the dermis in dependence to the depth. In the papillary layer, with a predominance of low and medium degrees of lymphocytic infiltration (a total of 71% of the assessed areas), there were a few foci with dense lymphocytic infiltrate penetrating into the growth layer of the epidermis with the formation of peripolysis patterns. In the deep layers of the dermis and in the adjacent hypodermis, the infiltrate was more polymorphic due to the presence of a few eosinophils and partially degranulated mast cells. A quantitative assessment of lymphocytic infiltration gave the results similar to the previous group, including the negative and positive control groups in comparison. In comparison with the negative control group, the lymphocytic infiltration index was significantly lower (p = 0.001), but this difference is also significant only in comparison with the dermis on the whole. The groups with the secretome and the baby cream did not differ in this indicator. According to nonparametric estimates, the effect of this drug on the incidence of high lymphocytic infiltration was weak.
According to the main morphological criteria, there are reliable anti-inflammatory effects of the cream with the secretome from dexamethasone-treated MMSCs and untreated MMSCs, which are not inferior to the reference drug fluocinolone, even exceeding its prevalence throughout the entire thickness of the dermis. Thus, the drugs worked equally, but according to nonparametric statistical criteria for the effect on the frequency of a high degree of lymphocytic infiltration, a definite advantage of the cream with MMSC secretion has been revealed.
DISCUSSION
Currently, clinical studies are focused on the therapeutic effects of MMSCs and their exosomes in osteoarthritis [24, 25]. The ability of human MMSCs from adipose tissue has been shown to regulate a wide range of inflammatory mediators together with the suppression of Th1 and Th17 responses in rheumatoid arthritis [26]. The use of cells or their exosomes containing a spectrum of different biologically active substances can provide a therapeutic advantage along with the usual treatment protocols using immunosuppressants. In the literature, there are also data on the study of the effect of stimulated with IFNγ and TNFα in vitro MMSCs or their secretome, on the model of osteoarthritis. In this case, the injection of the MMSCs secretome, which had been isolated from the bone marrow of the elderly, as well as the injection of the cells themselves, led to an early reduction in pain and had a protective effect on the development of cartilage damage, without any effect on the subchondral bone in mice [27]. Another scientific source describes an experiment with the induction of osteoarthritis in mice, which was then treated with the injection of the MMSC secretome [28]. In this case, the therapeutic effect of the MMSC secretome led to a significant decrease in synovial infiltrate and hyperplasi-synovial intima and cartilage compared to the control group (the introduction of a nutrient medium). The effect of the MMSC secretome observed in our experiment, may be due to the presence of large-molecular xenogenic proteins in the secretion of human MMSCs, which are also able of causing an immune response – collagen arthritis. The anti-inflammatory and immunosuppressive factors present in the secretome, were unable to prevent its development in this model. The results described in the literature, do not agree with the ones obtained in this investigation, since the authors used a secretome from allogeneic MMSCs. The effectiveness of the cream with the MMSCs secretome on the CAD model, shown by the authors of the present article, is a demonstration of the classic local reaction of delayed-type hypersensitivity. It is not inferior to the topical GCS of high activity – fluocinolone, and even surpasses it in terms of the decrease in lymphocytic infiltration (p<0.05). That being the case, since large-molecular proteins are not able to penetrate through the epidermis into the deep layers of the skin, in the CAD model, the effect of increasing inflammation was not observed as in the AA model. The difference in the efficiency of secretomes in the two models of diseases, can also be due to the following. To be used in systemic models, it is necessary to purify the secretome from large-molecular compounds and / or utilize allogeneic cells to obtain it.
It has been shown that the MMSC extract from the human umbilical cord suppresses the T-cell response and NF-κB-dependent activation of transcription in keratinocytes, thereby reducing inflammation in atopic dermatitis [29]. As therapy for skin diseases, MMSCs exosomes of adipose tissue are also studied [30, 31]. They reduce the expression of proinflammatory cytokines. From reviews of preclinical studies, it can be seen that the use of a conditioned medium from MMSCs can be cheaper, faster, and can give an equal or more powerful effect than a drug based on extracellular MMSC vesicles for the treatment of many diseases. Up to date, there have been no reports that culture medium concentrates from MMSCs are not safe compared to extracellular vesicles [32]. However, it is not yet known which secretome molecules are responsible for the therapeutic effect. It has been shown that both proteins and micro RNAs and lipids that do not encode long RNAs, play a role in the treatment of various organs and systems [32]. The cells themselves have been also shown effective in the treatment of atopic dermatitis in dogs [33] and mice [34], as well as in humans [35]. At the same time, a histological examination of the skin of mice with experimental atopic dermatitis revealed that epidermal hyperplasia and lymphocyte infiltration caused by the induction of the disease were weakened by the intravenous administration of cells in a dose-dependent manner. This article shows that after a systemic administration, cells leave the focus of inflammation within 2 hours and exert their therapeutic effect paracrinally [34]. Taking these facts into account, a cell secretion cream for the local treatment of CAD has been chosen.
It has been shown that extracellular vesicles from MMSCs suppress inflammation in the mouse model of CAD by inhibiting cytotoxic T-lymphocytes, T-helper cells of type 1, as well as reducing the level of TNF-α and IFN-γ. In this case, the vesicles induced CD4 + CD25 + Foxp3 + regulatory T cells and increased the level of the anti-inflammatory cytokine IL-10 [36]. Other authors showed that in mice with CAD, the simultaneous treatment with MMSC and dexamethasone did not affect the anti-inflammatory effect of the cells. In addition, a co-administration of MMSCs with dexamethasone reduced the local expression of IFN-γ and TNF-α in the ear tissue of mice with CAD [37]. Possibly, the mechanisms of the action listed above, also took place in the present study when the cream with the MMSC secretome was used.
The action of the cream with the MMSC secretome had a visible effect on the skin a day earlier than the topical GCS. The decrease in the degree of lymphocytic infiltration was significantly higher when using a cream with secretome (p <0.05) than with fluocinolone. Unlike the MMSC secretomes, topical corticosteroids have a number of disadvantages. First, GCSs can lead to local and systemic side effects, such as epidermal atrophy, infectious complications, the effect on all types of metabolism during resorption from large surfaces. In a variety of studies it has been shown, that MMSC secretomes are unlikely to be used due to the presence of regenerative properties and the absence of a significant effect on metabolic processes. Second, burns and wounds are contraindications for the use, which, on the contrary, may be indications for the use of MMSC secretomes also due to their regenerative properties [8].
CONCLUSION
Thus, the anti-inflammatory activity of the complex of humoral MMSC secretome factors, both native and dexamethasone-induced in vitro, when applied topically, contributes to a significant reduction in skin inflammation. It takes place in the model of contact-allergic dermatitis, with almost a daily advantage in the secretome-induced MMSCs. In this case, the index of lymphocytic infiltration is significantly lower in the use of secretomes than after using topical corticosteroids. This is the basis for a further study of the therapeutic effects of various fractions of the MMSC secretome and the disclosure of its mechanism of the action. However, to study the systemic effect of the secretome, it is necessary to purify it from large molecules or use allogeneic MMSC to obtain it.
FUNDING
The authors declare funding from ООО “Biryuch Innovation Center – New Technologies” and ООО “Biryuch Center for Cell Technologies”.
CONFLICT OF INTEREST
The authors declare no conflicts of interest.
AUTHORS’ CONTRIBUTION
P.A. Golubinskaya – text writing, carrying out laboratory works, conducting experiments with animals, data analysis; M.V. Sarycheva – carrying out laboratory works and experiments with animals, data analysis; A.A. Dolzhikov – production of histological preparations, data analysis; V.P. Bondarev – production of histological preparations, data analysis; M.S. Stefanova – data analysis; V.O. Soldatov – conducting experiments with animals; S.V. Nadezhdin – carrying out laboratory works; M.V. Korokin – validation of critically important content; M.V. Pokrovsky – development of the research concept; Yu.E. Burda – analysis and interpretation of data, review of critically important content, final approval for publication of the manuscript.
About the authors
Polina A. Golubinskaya
Belgorod State National Research University
Author for correspondence.
Email: polinapigeon@gmail.com
ORCID iD: 0000-0002-1765-9042
postgraduate student of the Department of Pharmacology and Clinical Pharmacology
Russian Federation, 85, Pobeda St., Belgorod, Russia 308015Marina V. Sarycheva
Belgorod State National Research University
Email: dr.sarycheva@mail.ru
ORCID iD: 0000-0002-3618-5284
postgraduate student of the Department of Pharmacology and Clinical Pharmacology
Russian Federation, 85, Pobeda St., Belgorod, Russia 308015Alexander A. Dolzhikov
Belgorod State National Research University
Email: dolzhikov@bsu.edu.ru
ORCID iD: 0000-0003-2798-513X
Doctor of Sciences (Medicine), Professor, the Head of the Department of Human Anatomy and Histology
Russian Federation, 85, Pobeda St., Belgorod, Russia 308015Vyacheslav P. Bondarev
Regional Pathoanatomical Bureau of the Health Committee of the Kursk Region
Email: svbond46@yandex.ru
the Head of the bureau, pathologist of the of Superior Merit
Russian Federation, 45a, St. Sumskaya, Kursk, Russia, 305007Maria S. Stefanova
City Hospital No. 2
Email: stefanova-ms@yandex.ru
ORCID iD: 0000-0001-5549-1634
general practitioner
Russian Federation, 46, Gubkin St., Belgorod, Russia 308036Vladislav O. Soldatov
Belgorod State National Research University
Email: zinkfingers@gmail.com
ORCID iD: 0000-0001-9706-0699
Assistant of the Department of Pharmacology and Clinical Pharmacology
Russian Federation, 85, Pobeda St., Belgorod, Russia 308015Sergei V. Nadezhdin
Belgorod State National Research University
Email: nadezdin@bsu.edu.ru
ORCID iD: 0000-0002-6249-2464
Candidate of Sciences (Biology), Associate Professor of the Department of Biology of the Institute of Pharmacy, Chemistry and Biology
Russian Federation, 85, Pobeda St., Belgorod, Russia 308015Mikhail V. Korokin
Belgorod State National Research University
Email: mkorokin@mail.ru
ORCID iD: 0000-0001-5402-0697
Doctor of Sciences (Medicine), Professor of the Department of Pharmacology and Clinical Pharmacology
Russian Federation, 85, Pobeda St., Belgorod, Russia 308015Mikhail V. Pokrovsky
Belgorod State National Research University
Email: pokrovskii@bsu.edu.ru
ORCID iD: 0000-0002-1493-3376
Doctor of Sciences (Medicine), Professor of the Department of Pharmacology and Clinical Pharmacology
Russian Federation, 85, Pobeda St., Belgorod, Russia 308015Yuri E. Burda
Belgorod State National Research University
Email: burda@bsu.edu.ru
ORCID iD: 0000-0002-1183-4436
Candidate of Sciences (Medicine), Associate Professor of the Department of Pharmacology and Clinical Pharmacology
Russian Federation, 85, Pobeda St., Belgorod, Russia 308015References
- Hoffman AM, Dow SW. Concise Review: Stem Cell Trials Using Companion Animal Disease Models. Stem Cells. 2016 Jul;34(7):1709–29. doi: 10.1002/stem.2377.
- Kim HS, Lee JH, Roh KH, Jun HJ, Kang KS, Kim TY. Clinical Trial of Human Umbilical Cord Blood-Derived Stem Cells for the Treatment of Moderate-to-Severe Atopic Dermatitis: Phase I/IIa Studies. Stem Cells. 2017 Jan;35(1):248–255. doi: 10.1002/stem.2401.
- Freitag J, Bates D, Boyd R, Shah K, Barnard A, Huguenin L, Tenen A. Mesenchymal stem cell therapy in the treatment of osteoarthritis: reparative pathways, safety and efficacy – a review. BMC Musculoskelet Disord. 2016 May 26;17:230. doi: 10.1186/s12891-016-1085-9.
- Golchin A, Farahany TZ, Khojasteh A, Soleimanifar F, Ardeshirylajimi A. The Clinical Trials of Mesenchymal Stem Cell Therapy in Skin Diseases: An Update and Concise Review. Curr Stem Cell Res Ther. 2019;14(1):22–33. doi: 10.2174/1574888X13666180913123424.
- Gwam C, Mohammed N, Ma X. Stem cell secretome, regeneration, and clinical translation: a narrative review. Ann Transl Med. 2021 Jan;9(1):70. doi: 10.21037/atm-20-5030.
- Spees JL, Lee RH, Gregory CA. Mechanisms of mesenchymal stem/stromal cell function. Stem Cell Res Ther. 2016 Aug 31;7(1):125. doi: 10.1186/s13287-016-0363-7.
- Liu A, Zhang X, He H, Zhou L, Naito Y, Sugita S, Lee JW. Therapeutic potential of mesenchymal stem/stromal cell-derived secretome and vesicles for lung injury and disease. Expert Opin Biol Ther. 2020 Feb;20(2):125–140. doi: 10.1080/14712598.2020.1689954.
- Kucharzewski M, Rojczyk E, Wilemska-Kucharzewska K, Wilk R, Hudecki J, Los MJ. Novel trends in application of stem cells in skin wound healing. Eur J Pharmacol. 2019 Jan 15;843:307–315. doi: 10.1016/j.ejphar.2018.12.012.
- Wang H, Pang B, Li Y, Zhu D, Pang T, Liu Y. Dexamethasone has variable effects on mesenchymal stromal cells. Cytotherapy. 2012 Apr;14(4):423–30. doi: 10.3109/14653249.2011.652735.
- Li T, Xu Y, Wang Y, Jiang Y. Differential expression profiles of long noncoding RNAs and mRNAs in human bone marrow mesenchymal stem cells after exposure to a high dosage of dexamethasone. Stem Cell Res Ther. 2021 Jan 6;12(1):9. doi: 10.1186/s13287-020-02040-8.
- Schneider N, Gonçalves Fda C, Pinto FO, Lopez PL, Araújo AB, Pfaffenseller B, Passos EP, Cirne-Lima EO, Meurer L, Lamers ML, Paz AH. Dexamethasone and azathioprine promote cytoskeletal changes and affect mesenchymal stem cell migratory behavior. PLoS One. 2015 Mar 10;10(3):e0120538. doi: 10.1371/journal.pone.0120538.
- Michelo CM, Fasse E, van Cranenbroek B, Linda K, van der Meer A, Abdelrazik H, Joosten I. Added effects of dexamethasone and mesenchymal stem cells on early Natural Killer cell activation. Transpl Immunol. 2016 Jul;37:1–9. doi: 10.1016/j.trim.2016.04.008.
- Nauta AJ, Kruisselbrink AB, Lurvink E, Willemze R, Fibbe WE. Mesenchymal stem cells inhibit generation and function of both CD34+-derived and monocyte-derived dendritic cells. J Immunol. 2006 Aug 15;177(4):2080–7. doi: 10.4049/jimmunol.177.4.2080.
- Del Fattore A, Luciano R, Pascucci L, Goffredo BM, Giorda E, Scapaticci M, Fierabracci A, Muraca M. Immunoregulatory Effects of Mesenchymal Stem Cell-Derived Extracellular Vesicles on T Lymphocytes. Cell Transplant. 2015;24(12):2615–27. doi: 10.3727/096368915X687543.
- Gieseke F, Kruchen A, Tzaribachev N, Bentzien F, Dominici M, Müller I. Proinflammatory stimuli induce galectin-9 in human mesenchymal stromal cells to suppress T-cell proliferation. Eur J Immunol. 2013 Oct;43(10):2741–9. doi: 10.1002/eji.201343335.
- Salgado AJ, Reis RL, Sousa NJ, Gimble JM. Adipose tissue derived stem cells secretome: soluble factors and their roles in regenerative medicine. Curr Stem Cell Res Ther. 2010 Jun;5(2):103–10. doi: 10.2174/157488810791268564.
- Gwam C, Mohammed N, Ma X. Stem cell secretome, regeneration, and clinical translation: a narrative review. Ann Transl Med. 2021 Jan;9(1):70. doi: 10.21037/atm-20-5030.
- Maumus M, Jorgensen C, Noël D. Mesenchymal stem cells in regenerative medicine applied to rheumatic diseases: role of secretome and exosomes. Biochimie. 2013 Dec;95(12):2229–34. doi: 10.1016/j.biochi.2013.04.017.
- Golubinskaya PA, Sarycheva MV, Dolzhikov AA, Bondarev VP, Stefanova MS, Soldatov VO, Nadezhdin SV, Korokin MV, Pokrovsky MV, Burda YuE. Application of multipotent mesenchymal stem cell secretome in the treatment of adjuvant arthritis and contact-allergic dermatitis in animal models. Pharmacy & Pharmacology. 2020;8(6):416–425. Russian
- Orlovskaya IA, Tsyrendorzhiev DD, Shchelkunov SN. Rheumatoid arthritis: laboratory models of the disease. Medical Immunology (Russia). 2015;17(3):203–210. doi: 10.15789/1563-0625-2015-3-203-210. Russian
- Fajka-Boja R, Urbán VS, Szebeni GJ, Czibula Á, Blaskó A, Kriston-Pál É, Makra I, Hornung Á, Szabó E, Uher F, Than NG, Monostori É. Galectin-1 is a local but not systemic immunomodulatory factor in mesenchymal stromal cells. Cytotherapy. 2016 Mar;18(3):360–70. doi: 10.1016/j.jcyt.2015.12.004.
- Zhang Y, Ge XH, Guo XJ, Guan SB, Li XM, Gu W, Xu WG. Bone marrow mesenchymal stem cells inhibit the function of dendritic cells by secreting galectin-1. BioMed research international. 2017; 2017. DOI: n10.1155/2017/3248605.
- Burda YuE, Sarycheva MV. Razrabotka modeli kontaktno-allergicheskogo dermatita u krys linii Wistar. Farmakologiya zhivyh sistem: 6 let passionarnogo razvitiya: Conference; 2018 Apr 9–13; Belgorod, Russia; NRU «BelSU»; 2018. p. 35–36. Russian
- Freitag J, Bates D, Boyd R, Shah K, Barnard A, Huguenin L, Tenen A. Mesenchymal stem cell therapy in the treatment of osteoarthritis: reparative pathways, safety and efficacy – a review. BMC Musculoskelet Disord. 2016 May 26;17:230. doi: 10.1186/s12891-016-1085-9.
- Toh WS, Lai RC, Hui JHP, Lim SK. MSC exosome as a cell-free MSC therapy for cartilage regeneration: Implications for osteoarthritis treatment. Semin Cell Dev Biol. 2017 Jul;67:56–64. doi: 10.1016/j.semcdb.2016.11.008.
- Baharlou R, Rashidi N, Ahmadi-Vasmehjani A, Khoubyari M, Sheikh M, Erfanian S. Immunomodulatory Effects of Human Adipose Tissue-derived Mesenchymal Stem Cells on T Cell Subsets in Patients with Rheumatoid Arthritis. Iran J Allergy Asthma Immunol. 2019 Feb;18(1):114–119.
- Khatab S, van Osch GJ, Kops N, Bastiaansen-Jenniskens YM, Bos PK, Verhaar JA, Bernsen MR, van Buul GM. Mesenchymal stem cell secretome reduces pain and prevents cartilage damage in a murine osteoarthritis model. Eur Cell Mater. 2018 Nov 6;36:218–230. doi: 10.22203/eCM.v036a16.
- Kay AG, Long G, Tyler G, Stefan A, Broadfoot SJ, Piccinini AM, Middleton J, Kehoe O. Mesenchymal Stem Cell-Conditioned Medium Reduces Disease Severity and Immune Responses in Inflammatory Arthritis. Sci Rep. 2017 Dec 21;7(1):18019. doi: 10.1038/s41598-017-18144-w.
- Song JY, Kang HJ, Ju HM, Park A, Park H, Hong JS, Kim CJ, Shim JY, Yu J, Choi J. Umbilical cord-derived mesenchymal stem cell extracts ameliorate atopic dermatitis in mice by reducing the T cell responses. Sci Rep. 2019 Apr 29;9(1):6623. doi: 10.1038/s41598-019-42964-7.
- Xiong M, Zhang Q, Hu W, Zhao C, Lv W, Yi Y, Wu Y, Wu M. Exosomes From Adipose-Derived Stem Cells: The Emerging Roles and Applications in Tissue Regeneration of Plastic and Cosmetic Surgery. Front Cell Dev Biol. 2020 Sep 10;8:574223. doi: 10.3389/fcell.2020.574223.
- Cho BS, Kim JO, Ha DH, Yi YW. Exosomes derived from human adipose tissue-derived mesenchymal stem cells alleviate atopic dermatitis. Stem Cell Res Ther. 2018 Jul 11;9(1):187. doi: 10.1186/s13287-018-0939-5.
- Bogatcheva NV, Coleman ME. Conditioned Medium of Mesenchymal Stromal Cells: A New Class of Therapeutics. Biochemistry (Mosc). 2019 Nov;84(11):1375–1389. doi: 10.1134/S0006297919110129.
- Villatoro AJ, Hermida-Prieto M, Fernández V, Fariñas F, Alcoholado C, Rodríguez-García MI, Mariñas-Pardo L, Becerra J. Allogeneic adipose-derived mesenchymal stem cell therapy in dogs with refractory atopic dermatitis: clinical efficacy and safety. Vet Rec. 2018 Dec 1;183(21):654. doi: 10.1136/vr.104867.
- Shin TH, Lee BC, Choi SW, Shin JH, Kang I, Lee JY, Kim JJ, Lee HK, Jung JE, Choi YW, Lee SH, Yoon JS, Choi JS, Lee CS, Seo Y, Kim HS, Kang KS. Human adipose tissue-derived mesenchymal stem cells alleviate atopic dermatitis via regulation of B lymphocyte maturation. Oncotarget. 2017 Jan 3;8(1):512–522. doi: 10.18632/oncotarget.13473.
- Daltro SRT, Meira CS, Santos IP, Ribeiro Dos Santos R, Soares MBP. Mesenchymal Stem Cells and Atopic Dermatitis: A Review. Front Cell Dev Biol. 2020 May 14;8:326. doi: 10.3389/fcell.2020.00326.
- Guo L, Lai P, Wang Y, Huang T, Chen X, Luo C, Geng S, Huang X, Wu S, Ling W, Huang L, Du X, Weng J. Extracellular vesicles from mesenchymal stem cells prevent contact hypersensitivity through the suppression of Tc1 and Th1 cells and expansion of regulatory T cells. Int Immunopharmacol. 2019 Sep;74:105663. doi: 10.1016/j.intimp.2019.05.048.
- Wang D, Sun YQ, Gao WX, Fan XL, Shi JB, Fu QL. An in Vitro and in Vivo Study of the Effect of Dexamethasone on Immunoinhibitory Function of Induced Pluripotent Stem Cell-Derived Mesenchymal Stem Cells. Cell Transplant. 2018 Sep;27(9):1340–1351. doi: 10.1177/0963689718780194.
Supplementary files







