Experimental study of toxic properties of VMU-2012-05 drug – original non-nucleeside inhibitor of HIV-1 reverse transcriptase
- Authors: Vavilova V.A.1, Shekunova E.V.1, Jain E.A.2, Balabanyan V.Y.2, Ozerov A.A.3, Makarova M.N.1, Makarov V.G.1
-
Affiliations:
- «Research-and manufacturing company «НОМЕ OF РНАRМАСУ» Joint Stock Company
- Moscow State University named after M.V. Lomonosov
- Volgograd State Medical University
- Issue: Vol 9, No 3 (2021)
- Pages: 205-221
- Section: Articles
- URL: https://journals.eco-vector.com/2307-9266/article/view/111685
- DOI: https://doi.org/10.19163/2307-9266-2021-9-3-205-221
- ID: 111685
Cite item
Abstract
Antiretroviral therapy is currently the main component of treatment for HIV patients. The development of new, more effective and safer drugs is an urgent task.
The aim of the research is to study the toxic properties of the finished dosage form (FDF) VMU-2012-05, a non-nucleoside reverse transcriptase inhibitor (1-[2-(2-benzoylphenoxy)ethyl]-6-methyluracil) for the HIV-1 infection treatment in single and repeated enteral administrations.
Materials and methods. The study of toxic properties in single administrations was carried out on outbred mice; the drug was administered at the limiting dose of 2000 mg/kg (by reference to the active substance). For 90 days, in repeated daily administrations, the toxic properties were studied in rats of both sexes at the doses of 0 mg/kg (placebo), 9 mg/kg (1 HTD), 45 mg/kg (5 HTD), 90 mg/kg (10 HTD). The toxic properties were also studied in rabbits of both sexes within a 28-day administration at the doses of 0 mg/kg, 4 mg/kg (1 HTD), 20 mg/kg (5 HTD), 40 mg/kg (10 HTD); the recovery period 30 days. Clinical observations and examinations, body weight registrations, physiological and clinical laboratory studies were carried out during the experiment. At the end of the administration period (50% of animals) and at the end of the recovery period, a pathological examination was performed.
Results. The LD50 of the drug is more than 2000 mg/kg. In the repeated administrations, the no observed adverse effect level (NOAEL) has been established. For rats, it is 9 mg/kg (1 HTD), for rabbits – 4 mg/kg (1 HTD). According to the results of the experiments carried out on rabbits and rats, the main target organ of the drug toxic effect is the liver. According to the data obtained in the study on rats, a toxic effect on the organs of the male reproductive system has been manifested (hypoplasia of the spermatogenic epithelium). Under the conditions of the experiment, the test drug had no effect on the gastrointestinal tract.
Conclusion. The results have manifested a favorable safety profile of the drug, not inferior to the ones of a similar pharmacological group used in clinical practice; it can be considered a promising drug candidate for the HIV-1 infection treatment.
Full Text
Abbreviations: ALT – Alanine transaminase; JSC – joint-stock company / ZAO; HAART – Highly Active Anti-Retroviral Therapy; AST – aspartate aminotransferase; APTT – activated partial thromboplastin time; BEC – Bioethics committee; HTD – highest therapeutic dose; HIV – human immunodeficiency virus; FDF – finished dosage form; AUSS – All-Union state standard; DNA – Deoxiribonucleic Acid; GIT – gastrointestinal tract; LD50 – half-lethal dose / 50% lethal dose; NRTI – Nucleoside Reverse Transcriptase Inhibitor; NNRTI – Non Nucleoside Reverse Transcriptase Inhibitor; SPA – Scientific Production Association; RT – reverse transcriptase; PT – prothrombin time; RNA – ribonucleic acid; AIDS – acquired immune deficiency syndrome; HR – heart-rate; AP – alkaline phosphatase; EDTA – ethylenediaminetetraacetic acid; ECG – electrocardiography; GLP – Good Laboratory Practice; NOAEL –no-observed-adverse-effect level
INTRODUCTION
Since the early 1980s, great strides have been made in treating HIV-infected patients. Long-term efforts of scientists have led to the creation of drugs with different mechanisms of action with antiretroviral activity. They can be divided into several groups [1]:
- Nucleoside reverse transcriptase inhibitors (NRTIs) of HIV, competing with natural deoxynucleotides for inclusion in the growing chain of viral DNA with a subsequent disruption of the reverse transcription process, i.e., synthesis of viral DNA on the viral RNA matrix (abacavir, emtricitabine, lamivudine; tenofovir, zidov) [2].
- Non-nucleoside reverse transcriptase inhibitors (NNRTIs) that block HIV reverse transcriptase (RT) by direct binding to the enzyme (efavirenz, etravirine, nevirapine, rilpivirine) [3].
- Fusion inhibitors that bind to the HIV glycoprotein gp41 and disrupt the binding, fusion and penetration of virions into the cells (enfuvirtide) [4].
- Protease inhibitors that block proteolytic cleavage of precursor proteins that are required for the production of viral particles (atazanavir, darunavir, fosamprenavir, ritonavir, saquinavir, tipranavir) [5].
- An antagonist of CCR5-receptors, blocking the CCR receptor on the T-cell and preventing the attachment of the virus (Maravirok) [6]
- Post-attachment inhibitors, which are monoclonal antibodies that bind CD4, preventing the virus from entering the cell (ibalizumab) [8].
- Integrase inhibitors, blocking the action of the enzyme and preventing the insertion of the viral genome into the host cell DNA (dolutegravir, raltegravir, elvitegravir, bictegravir) [7].
- Pharmacokinetic enhancers that inhibit the human CYP3A enzyme and increase the plasma concentration of other antiretroviral drugs (cobicistat) [9].
Currently, the main method of treating the HIV infection is highly active antiretroviral therapy (HAART), which implies the simultaneous use of several substances aimed at different stages of the HIV life cycle [10]. The use of a combination of different agents provides a synergistic antiviral effect, thereby increasing the efficiency of suppressing viral replication. Correctly selected HAART significantly increases the duration and quality of patients’ life [11]. In 1981–1982, when the first cases of the HIV infection were recorded, the average life expectancy of a person with established AIDS, was 1–2 years [12, 13]. Today, for a HIV-infected person in their 20s and older who receives HAART, the projected life expectancy is about 53 years [14]. According to the recent reports from the Joint United Nations Program On HIV / AIDS (UNAIDS), 19.5 million people are now receiving life-saving HAART (accounting for 53% of all the people living with HIV in the world), and AIDS deaths have halved since 2005 year1.
Over the past four decades, the introduction of these treatments has faced a number of problems associated with drug toxicity, inconsistent adherence to complex treatment regimens, drug resistance, low patient adherence to the prescribed treatment, and inadequate access to drugs in certain population groups [15, 16]. However, the main limitations of the existing compounds use are the formation of mutant, resistant strains of the virus in the course of therapy, which makes a constant change of drugs necessary, and the side effects, in some cases leading to premature discontinuation of treatment [17–19]. Thus, the search for new compounds with an antiretroviral activity against both the wild strain and resistant virus isolates, is an extremely important area of modern virology and medicinal chemistry.
With the emergence of new NNRTIs classes of pyrimidine nature, containing structurally complex binuclear aromatic substituents, there may be prospects for the creation of new original drugs for the treatment of the HIV-1 infection. Some representatives of pyrimidine derivatives with fragments of diphenyl ether, diphenylmethane, or benzophenone in the side chain, have demonstrated activity against wild and mutant HIV-1 strains in the nanomolar range [20]. It has been shown that pyrimidine derivatives of benzophenone exhibit the anti-HIV-1 activity in vitro, superior to that of nevirapine and not inferior to that of efavirenz [21]. In terms of the level of the antiviral action in vitro, the representatives of this class of compounds are on average 5–10 times higher than the most active analogous compounds in the absence of cytotoxic properties in new substances in the entire range of the studied concentrations (0.001–100 µM) [22].
Previous studies have shown that a representative of this class of compounds, 1-[2-(2-benzoylphenoxy)ethyl]-6-methyluracil, is highly active against HIV-1 in in vitro studies: it is 2.5 times higher than nevirapine and not inferior to efavirenz. The study of the acute toxicity of the substance in rats and mice showed that the LD50 of the compound is more than 2000 mg/kg in the oral administration. In conjunction with the previously obtained data on the effectiveness of the substance against HIV-1, it indicates the promising use of this compound in HIV therapy. A finished dosage form containing 1-[2-(2-benzoylphenoxy)ethyl]-6-methyluracil as an active substance, was developed for the oral administration.
One of the main stages in the drug candidate development after the establishment and proof of its pharmacological efficacy and mechanism of action is the assessment of its safety. In this regard, the study of the toxic properties of the finished dosage form of the drug based on the pyrimidine derivative of benzophenone in single and multiple administrations was carried out. In accordance with modern requirements for preclinical safety2 studies, the experiments were carried out on several types of laboratory animals with the route of administration similar to that planned for clinical practice.
THE AIM of the research is to study the toxic properties of the VMU-2012-05 finished dosage form (FDF), a non-nucleoside reverse transcriptase inhibitor (1-[2-(2-benzoylphenoxy)ethyl]-6-methyluracil) for the HIV-1 infection treatment in single and repeated enteral administrations to mice, rats and rabbits.
MATERIALS AND METHODS
Animals
The experiments on the study of the toxic properties of the FDF VMU-2012-05 in single administrations were carried out on sexually mature male and female outbred mice aged 9–11 weeks (from the nursery of «RМС «HОМЕ OF PHARMACY» JSC). The study of the toxic properties in multiple administrations was carried out on sexually mature males and females of outbred rats aged 10–12 weeks (from the nursery of «RМС «HОМЕ OF PHARMACY» JSC) and on sexually mature males and females of rabbits of the “White Giant” breed aged 2.5–3.5 months (from the peasant farm “Nera”). Before the beginning of every experiment, a meeting of the Bioethics Committee (BEC) of «RМС «HОМЕ OF PHARMACY» JSC) was held. The experiments were unanimously approved by the members of the Committee (protocols of BEC No. 5.3 / 18 dated January 17, 2018 and BEC No. 6.3 / 18 dated January 17, 2018).
To exclude the influence of the researcher’s preferences on the formation of the experimental groups, the selection of animals by the method of modified block randomization was carried out. The animals were kept in standard conditions in accordance with Directive 2010/63 / EU of the European Parliament and of the Council of the European Union dated September 22, 2010, on the protection of animals used for scientific purposes and in accordance with the sanitary and epidemiological rules of the structural unit 2.2.1.3218-14 “Sanitary epidemiological requirements for the design, equipment and maintenance of experimental biological clinics (vivariums)” (Resolution of the Chief State Sanitary Doctor of the Russian Federation dated August 29, 2014 No. 51). The animals were kept under controlled environmental conditions. The light regime was 12 hours of light and 12 hours of darkness.
The animals received food for keeping laboratory animals, prepared in accordance with GOST R50258-92 “Complete feed for laboratory animals. Technical conditions”. The food and water were given ad libitum.
Study design
Planning and implementation of all the work was carried out in strict accordance with the requirements of the Ministry of Health of the Russian Federation and international standards in the field of preclinical studies of the safety of new pharmacological agents – the GLP (Good Laboratory Practice) system3,4.
In all of the studies described below, the following FDF formulation was used:
Active substance: 1-[2-(2-benzoylphenoxy)ethyl]- 6-methyluracil – 50 mg
Excipients: povidone – 200 mg; lactose monohydrate – 59 mg; microcrystalline cellulose – 29 mg; crospovidone – 40 mg; sodium carboxymethyl starch – 16 mg; colloidal anhydrous silicon dioxide – 4 mg; magnesium stearate – 2 mg.
The control animals received placebo (excipients only).
Single dose toxicity study in mice
The results of the earlier studies on the acute toxicity of a drug pharmaceutical substance based on a pyrimidine derivative of benzophenone showed that the LD50 of the substance when administered intragastrically to rats and mice is more than 2000 mg/kg. When administered at the dose of 2000 mg/kg, the death of rats and mice was not recorded, no pronounced signs of intoxication were notified either. Taking into account the available data on the low toxicity of the substance, in accordance with the recommendations5,6, as well as in accordance with the principles of “3Rs”, the acute toxicity of FDF of the test objects (tablets for oral administration, 50 mg) was studied when administered at the limiting dose of 2000 mg/kg in mice. The mice (5 males and 5 females) received a suspension (in a 1% starch solution) of the FDF preparation intragastrically at the dose of 2000 mg/kg (by reference to the active substance) through a ball tip needle. 5 males and 5 females received a placebo suspension of the test object (the control group). The total volume of the administration was 1.6 ml per animal weighing 20 g. Since the total volume exceeded the allowable for a single intragastrical administration to mice7, the suspensions were injected fractionally (0.4 ml per animal weighing 20 g), with the intervals between the injections of at least 30 min.
The total observation period over the animals was 14 days. During the experiment, in order to register the signs of intoxication, the clinical observation was carried out within 4 hours after the drugs administration, then daily and weekly, a detailed clinical examination / weighing the mice was carried out immediately before the administration, one day after the administration, on the 7th and 15th days of the experiment.
To register a possible delayed effect of the drug on the locomotor and orientation-exploratory activity of the animals on the 14th day of the experiment, “Open Field” test was carried out. Euthanasia was performed on the 15th day using a CO2 chamber. A subsequent pathological examination included necropsy, macroscopic examination, and weighing of internal organs. A study of the state of the chest and abdominal cavity and a macroscopic examination of the internal organs were carried out. Weighing of the heart, thymus, liver, spleen, kidneys, brain, testes was carried out.
Repeated dose toxicity studies in rats and rabbits
According to the draft instructions for the medical use of VMU-2012-05, developed on the basis of the study of its pharmacological activity, the mechanism of the action and the experience of the clinical use of the drugs of a similar pharmacological group and a similar mechanism of action, the clinical highest therapeutic dose (HTD) of the drug is assumed to be 100 mg per day. For a person with a body weight of 60 kg it is 1.7 mg/kg. Taking into account the coefficients of interspecies conversion of doses8, the HTD for a rat will be 9 mg/kg, for a rabbit – 4 mg/kg. In this study, the test object was administered to the rats intragastrically at three doses: 9 mg/kg (1 HTD); 45 mg/kg (5 HTD); 90 mg/kg (10 HTD). Immediately before the injections, a suspension of the drug was prepared in a 1% starch solution with an active substance concentration of 0.94 mg/ml, 4.69 mg/ml, 9.38 mg/ml, respectively. The volume of a single injection was 2.4 ml per rat weighing 250 g. To the rabbits, the drug was administered orally at the doses of 4 mg/kg (1 HTD), 20 mg/kg (5 HTD), 40 mg/kg (10 HTD). Immediately before the injections, a suspension of FDF was prepared in a 1% starch solution with an active substance concentration of 2.79 mg/ml, 13.95 mg/ml, 27.91 mg/ml, respectively. The suspension was injected in the volume of 1.45 ml per 1 kg of the body weight. The control animals received placebo in the volume corresponding to the volume of the administrated suspensions of the test object. Each of the 4 groups consisted of 16 male and 16 female rats and 8 male and 8 female rabbits. The period of administration to rats was 90 days, to rabbits – 28 days. On the 91st day of the experiment (rats) or on the 29th day (rabbits), 50% of the animals of each group (the main groups) were euthanized, the remaining animals were euthanized after 30 days of the delayed observation (recovery groups).
During the experiment, a clinical observation was carried out daily for 1 hour after the administration of the drug and during the recovery period. A detailed clinical examination was carried out weekly, the body weight of the animals was recorded. In rats, to assess the possible effect of the drug on locomotor and orientation-exploratory activity on the 30th and 90th days of the experiment (for the animals of the main groups) and on the 120th day (for the animals of the recovery groups), “Open Field” test was performed. On the 30th and 90th days (for the animals of the main groups) and on the 120th day (for animals of the recovery groups), a clinical blood test was carried out, and the indicators of the hemostasis system were assessed: prothrombin time (PT) and activated partial thromboplastin time (APTT). The blood was taken from the rabbits twice: on the 28th day (from all animals) and on the 56th day (recovery groups). The blood was collected from the tail vein (rats) or the marginal ear vein (rabbits). The blood for a clinical analysis was collected in tubes with EDTA. Using the hematological analyzer “ABACUS JuniorVet” (Austria), an RBC count, an Hb level, hematocrit a WBC count, a platelet count, leukogram were determined in whole blood. For the determination of the hemostatic profile, the blood was taken into tubes with sodium citrate, and then centrifuged for 15 min to obtain plasma. The plasma was transferred to secondary tubes. The hemostatic profile was determined using an APG4-02-P coagulometer. Prothrombin time (PT) was determined using a set of reagents “Tekhplastin-test”, Tekhnologiya-standard, Russia. APTT was determined using a set of reagents “APTV-El-test”, Tekhnologiya-standard, Russia. The biochemical parameters of blood in rats were determined on the 30th and 90th days (for the animals of the main groups) and on the 120th day (for the animals of the recovery groups). Blood was taken from the rabbits twice: on the 28th day (from all the animals) and on the 56th day (from the animals of the recovery groups). For the study, the blood which had been collected in test tubes without an anticoagulant, was used. To obtain plasma, the blood was centrifuged for 15 min at 3000 rpm. The resulting plasma was transferred to secondary tubes. The samples were analyzed with the help of an A-25 analyzer (Spain) using reagents from BioSystems (Spain) and in accordance with the manufacturer’s instructions. The parameters evaluated were: aminotransferases (ALT and AST), creatinine, urea, albumine, alkaline phosphatase (AP), total protein, triglycerides, cholesterol, albumins / globulins ratio (calculated values), total bilirubin, globulin (calculated values), glucose.
The ECG registration in rats was carried out on the 29th and 89th days in the animals of the main groups, and on the 119th day in the animals of the recovery group; in rabbits – on the 26th day (50% of the animals) and on the 54th day (in the animals of the recovery groups). To register the ECG, the animal was preliminarily anesthetized with a mixture of Zoletila® + Xyly® at the doses of 25 mg/kg + 5 mg/kg, intramuscularly (rats) and 5 mg/kg + 2 mg/kg, intravenously (rabbits), then fixed on the operating table. The ECG registration was performed using a computer electrocardiograph for veterinary medicine “Poly-spectrum-8V”. The ECG was recorded in lead II. The following indicators were assessed: heart rate (HR), RR interval (ms), P (ms), PQ (ms), QRS (ms), QT (ms). The study of the physical-chemical composition of urine was carried out using diagnostic test strips “LabStripurinalysis REF ANA-9910” and the analyzer “DocURader 2” in rats on the 28th and 88th days (in main groups) and on the 118th day (in recovery groups). In rabbits, it took place on the 27th day (in 50% of the animals, main groups) and on the 55th day (recovery groups). Urine was collected using metabolic cells, where the animal had been placed for 4 hours. Before being placed in a metabolic cage, the rats received drinking water intragastrically in the volume of 10 ml/kg. The rabbits were placed in metabolic cages without preliminary water loading. The determined parameters were: glucose, pH, bilirubin; urobilinogen, protein, urine specific gravity (USG), leukocytes, erythrocytes, ketones, nitrites.
Euthanasia of rats was carried out on the 91st day (the animals of the main groups) and on the 121st day (recovery groups) using a CO2 camera. The rabbits were euthanized on the 29th day (50% of the animals) and on the 57th day. Euthanasia of the rabbits was carried out by means of an anesthetic overdose (Zoletil®; 25 mg/kg; intravenous). After euthanasia, the animals were carefully examined for external pathological signs. The organs extracted by necropsy were weighed (heart, thymus, liver, spleen, lungs with trachea, kidneys, adrenal glands, brain, testes / ovaries). The relative weight of the organs was calculated (the ratio of the organ mass to the body mass, expressed as a percentage).
A histological examination of the following organs was carried out: aorta, heart, trachea, lungs with bronchi, thymus, stomach, small intestine, large intestine, pancreas, liver, spleen, kidneys, urinary bladder, testes (males), ovaries (females), mandibular lymph nodes, thyroid gland, brain.
To assess the local irritating effect of the drugs during the necropsy procedure, deviations in the appearance of the organs of the gastrointestinal tract (GIT) were visually assessed, as well as their histological evaluation was carried out.
Data analysis
Descriptive statistics was applied to all data: the data were checked against the normal distribution using the Shapiro-Wilk test. Between group differences were analyzed by parametric or nonparametric methods, depending on the type of distribution. A one-way analysis of variance (ANOVA) was used to assess the normally distributed with the signs of normal distribution, followed by post-hoc Tukey’s test. In case of not normally distributed data, the Kruskal-Wallis test was used with a further application of the nonparametric method of mean ranks for multiple comparisons in case of a significant influence of the factor under study. The differences were determined at the 0.05 significance level. The statistical analysis was performed using Statistica 10.0 Software. (StatSoft, USA).
RESULTS
Single dose toxicity study in mice
The death of the animals was not registered when they had been administrated with the drug at the dose of 2000 mg/kg.
At the beginning of the experiment, the body weight of female mice was 19–21 g, of males – 21–23 g. Within 14 days after the administration, there was a positive dynamics of the body weight in both the control group and in the groups of males and females administrated with VMU-2012-05. Diarrhea was observed in all animals after the administration of the last dose, of both the test object and the placebo. After 5 hours, the condition of the animals returned to normal, and then, within 14 days of the observation, no deviations from the norm were recorded.
The dose of 2000 mg/kg can be considered maximum tolerable, since the death of the animals and / or pronounced signs of intoxication were not observed when this dose was administered.
Repeated dose toxicity studies. Influence on general habitus, results of functional tests
Throughout the experiment, three death cases of male rats were recorded. One case took place in the group administrated with the test drug at the dose of 45 mg/kg (on the 51st day of the experiment), and two – at the dose of 90 mg/kg (on the 36th and 48th days). 3–4 days before death, these animals looked depressed, their hair was rumpled; the day before the death, shortness of breath and a decrease in the muscle tone were added to the observed changes. The dead animals showed edema and hemorrhagic impregnation of the lung tissue, edema and moderate plethora of cerebral vessels. On the basis of these factors, it was recognized that an acute heart failure was the immediate cause for the animals’ death. During both the administration period and the recovery period, the general condition and behavioral reactions of the remaining animals administrated with the drug, did not differ from those of the control group. The absence of the drug effect on the animals’ general habitus was also confirmed by “Open Field” test: there were no changes in the individual behavior of the animals administrated with the drug, compared with the control group. In rabbits, there were no deviations from the norm according to the results of clinical examinations and observations during the entire experiment, either.
At the beginning of the experiment, the body weight of the rats was 190-200 g (males) and 178–185 g (females), the body weight of rabbits was 2800–3200 g (males) and 2300–2600 g (females). A slight slowdown in the positive dynamics of the body weight by the end of the administration period was observed only in high dose male group.
By the 91st day, the body weight of this group animals was statistically significantly reduced in comparison with the control group, while the decrease was not more than 10% of the control (Table 1). In female rats, as well as in rabbits, during the entire period of the experiment, the effect of the drug on the body weight dynamics was not revealed (Tables 2 and 3).
Table 1 – VMU-2012-05 effect on body weight of male rats within 90-day drug administration, M ± SEM, g
Study day | Control | VMU-2012-05 | ||
9 mg/kg | 45 mg/kg | 90 mg/kg | ||
1st | 193.3±3.05 n=16 | 193.3±3.35 n=16 | 193,3±3,23 n=16 | 193.2±3.91 n=16 |
7th | 222.3±3.38* n=16 | 223.6±3.77* n=16 | 220.3±4.56* n=16 | 211.8±4.95 n=16 |
14th | 256.1±4.15* n=16 | 251.6±3.59* n=16 | 248.3±4.08* n=16 | 243.1±4.49* n=16 |
21st | 286.0±4.91* n=16 | 275.9±3.62* n=16 | 271.9±3.77* n=16 | 267.8±4.33* n=16 |
28th | 320.6±5.65* n=16 | 303.0±4.44* n=16 | 306.7±5.05* n=16 | 305.7±4.71* n=16 |
35th | 302.1±4.59* n=16 | 286.7±5.73* n=16 | 284.2±5.45* n=16 | 281.6±4.27* n=16 |
42nd | 337.1±6.99* n=16 | 316.1±6.58* n=16 | 309.3±5.63* n=16 | 310.9±5.48* n=15 |
49th | 373.2±9.09* n=16 | 348.2±7.04* n=16 | 343.3±6.95* n=16 | 344.1±6.10* n=14 |
56th | 372.7±8.61* n=16 | 345.7±7.07* n=16 | 339.2±6.81* n=15 | 344.6±6.25* n=14 |
63rd | 380.3±9.03* n=16 | 351.2±6.90* n=16 | 346.3±7.63* n=15 | 355.4±6.88* n=14 |
70th | 392.6±9.78* n=16 | 361.1±7.13* n=16 | 355.9±8.52* n=15 | 359.0±6.97* n=14 |
77th | 401.9±9.85* n=16 | 369.6±7.06* n=16 | 366.5±8.50* n=15 | 374.3±7.15* n=14 |
84th | 407.8±10.22* n=16 | 374.6±6.77* n=16 | 369.9±8.26* n=15 | 379.3±6.61* n=14 |
91st | 425.6±11.44* n=16 | 389.6±7.28* n=16 | 383.7±9.77*# n=15 | 385.5±6.89*# n=14 |
Notes: * – p <0.05, the differences are statistically significant compared with the baseline in the corresponding group, Tukey’s test; # – p <0.05, the differences are statistically significant compared to the control group, Tukey’s test
Table 2 – VMU-2012-05 effect on body weight of female rats within 90-day drug administration, M ± SEM, n = 16, g
Study day | Control | VMU-2012-05 | ||
9 mg/kg | 45 mg/kg | 90 mg/kg | ||
1st | 180.4±1.93 | 180.7±1.78 | 180.2±2.16 | 180.8±2.25 |
7th | 188.8±3.09 | 191.1±1.91 | 192.3±2.83 | 194.6±2.45 |
14th | 199.7±3.64* | 202.3±2.64* | 200.4±2.99* | 203.0±2.96* |
21st | 207.1±3.76* | 213.7±3.51* | 212.1±3.24* | 221.0±5.06* |
28th | 231.4±4.30* | 236.3±2.84* | 234.6±3.65* | 225.3±6.76* |
35th | 219.6±4.12* | 224.2±2.98* | 225.2±3.73* | 222.5±4.22* |
42nd | 225.9±4.64* | 232.9±3.46* | 230.3±3.49* | 233.6±4.94* |
49th | 241.3±5.53* | 245.4±4.07* | 248.1±4.68* | 245.9±4.78* |
56th | 235.9±5.00* | 245.8±5.00* | 247.4±4.27* | 239.6±5.25* |
63rd | 233.1±5.04* | 242.6±5.21* | 243.3±4.29* | 236.6±4.88* |
70th | 238.7±5.17* | 243.9±4.75* | 248.5±4.14* | 242.3±4.82* |
77th | 242.6±5.56* | 250.1±5.02* | 255.9±4.92* | 246.7±4.85* |
84th | 241.3±5.89* | 253.1±5.86* | 254.5±4.90* | 244.6±4.94* |
91st | 257.1±6.26* | 265.8±5.92* | 269.6±5.39* | 257.2±4.50* |
Note: * – p <0.05, the differences are statistically significant compared to baseline in the corresponding group, Tukey’s test
Table 3 – VMU-2012-05 effect on body weight of male and female rabbits within 28-day drug administration, M ± SEM, n = 8, g
Study day | Sex | Control | VMU-2012-05 | ||
4 mg/kg | 20 mg/kg | 40 mg/kg | |||
1st | Males | 3120.6±50.54 | 2886.3±128.79 | 2843.8±93.84 | 2895.0±112.83 |
Females | 2443.1±50.87 | 2591.3±89.16 | 2516.9±56.50 | 2540.6±47.70 | |
7th | Males | 3248.8±59.83* | 2982.5±136.27 | 2990.6±85.48* | 2966.9±112.12 |
Females | 2495.6±51.05 | 2678.1±94.76 | 2568.8±51.27 | 2620.0±49.78 | |
14th | Males | 3268.8±52.46* | 3073.1±129.90* | 3088.1±105.08* | 3078.8±110.82* |
Females | 2524.4±48.93 | 2737.5±90.28* | 2591.3±61.17 | 2677.5±49.31* | |
21st | Males | 3324.4±51.98* | 3122.5±132.78* | 3144.4±104.69* | 3148.8±107.20* |
Females | 2657.5±35.98* | 2767.5±90.48* | 2626.3±57.65* | 2708.1±48.91* | |
29th | Males | 3383.1±61.68* | 3311.3±141.92* | 3281.3±121.92* | 3277.5±102.93* |
Females | 2891.9±43.31* | 2917.5±91.68* | 2830.0±54.18* | 2817.5±54.62* | |
Note: * – p <0.05, the differences are statistically significant compared to the baseline in the corresponding group, Tukey’s test
When assessing the individual behavior of rats in the open field test, the effect of the tested drug on the evaluated parameters was not found either on the 30th, 90th (Tables 4 and 5), or on the 120th day of the experiment.
Table 4 – Locomotor activity of rats in the open field test on the 30th and 90th days of VMU-2012-05 repeated intragastric administrations, M ± SEM, n = 16
Groups | Dose, mg/kg | Number of quadrants visited | Number of wall-huggings | ||
30th day | 90th day | 30th day | 90th day | ||
Control | 0 | 27.5±1.54 | 27.6±2.87 | 12.8±0.78 | 9.9±1.16 |
VMU-2012-05 | 9 | 28.1±1.53 | 29.8±3.19 | 14.0±0.97 | 1.4±1.23 |
45 | 26.8±1.16 | 28.6±2.24 | 13.1±1.05 | 1.9±1.50 | |
90 | 24.1±1.49 | 27.5±2.48$ | 11.8±0.91 | 11.0±1.14$ | |
Note: $ – number of the animals in group n = 15
Table 5 – Activity of rats in the open field test on the 30th and 90th days of repeated VMU-2012-05 intragastric administrations, Me (Q1; Q3)
Day | Groups | Dose, mg/kg | n | Number of center square entries | Number of rearings | Number of groomings | Number of urinations | Number of defecations |
30th | Control | 0 | 16 | 0.5 (0.0;2.0) | 0.0 (0.0;1.0) | 0.5 (0.0;1.5) | 0.0 (0.0;1.0) | 0.5 (0.0;1.0) |
VMU-2012-05 | 9 | 16 | 0.5 (0.0;2.0) | 0.0 (0.0;1.0) | 0.0 (0.0;1.5) | 0.0 (0.0;1.0) | 1.0 (0.0;1.0) | |
45 | 16 | 1.0 (0.0;1.5) | 0.0 (0.0;1.0) | 0.0 (0.0;1.5) | 0.0 (0.0;1.0) | 0.0 (0.0;2.0) | ||
90 | 16 | 0.5 (0.0;1.5) | 0.0 (0.0;0.0) | 1.0 (0.0;2.5) | 0.0 (0.0;0.5) | 1.0 (0.0;2.0) | ||
90th | Control | 0 | 16 | 0.5 (0.0;1.0) | 1.0 (1.0;4.5) | 1.5 (0.5;3.5) | 0.5 (0.0;3.0) | 0.0 (0.0;1.0) |
VMU-2012-05 | 9 | 16 | 1.0 (0.0;2.5) | 1.0 (0.0;3.5) | 1.0 (0.0;2.5) | 2.0 (0.0;3.5) | 0.0 (0.0;0.0) | |
45 | 16 | 0.5 (0.0;1.0) | 1.0 (0.5;3.0) | 0.0 (0.0;2.5) | 1.0 (0.0;6.5) | 0.0 (0.0;0.0) | ||
90 | 15 | 0.0 (0.0;1.0) | 1.0 (0.0;3.0) | 1.0 (0.0;1.0) | 2.0 (0.0;2.0) | 0.0 (0.0;0.0) |
In the course of the experiment, the functional state of the cardiovascular system was assessed according to the ECG data. Neither rats nor rabbits treated with the drug, showed any changes in the ECG parameters compared with the control group (Tables 6, 7 and 8).
Table 6 – VMU-2012-05 effect on the rat ECG parameteres on the 29th day of the experiment, M±SEM, n = 8
Groups | Dose, mg/kg | Sex | Indicators | |||||
HR, beat/min | RR, ms | P, ms | PQ, ms | QRS, ms | QT, ms | |||
Control | 0 | Males | 254.9±9.2 | 237,1±8,7 | 45,8±2,7 | 57,0±2,4 | 63,0±2,5 | 136,8±6,6 |
Females | 234.4±14.1 | 263.8±18.6 | 42.3±0.9 | 57.3±3.5 | 65.1±2.9 | 131.0±8.2 | ||
VMU-2012-05 | 9 | Males | 280.3±6.2 | 214.9±4.8 | 41.9±0.4 | 53.9±2.2 | 69.5±2.4 | 142.9±9.9 |
Females | 264.8±13.4 | 219.6±10.7 | 37.6±1.9 | 49.0±1.4 | 75.1±2.9 | 149.0±8.5 | ||
45 | Males | 280.3±15.9 | 215.1±11.3 | 39.9±0.8 | 50.4±2.6 | 63.4±2.2 | 146.0±11.0 | |
Females | 235.5±5.1 | 255.5±5.5 | 42.3±0.7 | 53.4±1.9 | 67.1±4.1 | 125.8±3.1 | ||
90 | Males | 242.4±11.1 | 242.3±15.2 | 45.0±4.4 | 57.8±4.5 | 63.8±1.5 | 128.1±4.9 | |
Females | 248.5±8.4 | 243.6±8.3 | 42.4±1.5 | 50.6±1.5 | 64.0±1.4 | 152.6±8.9 | ||
Table 7 – VMU-2012-05 effect on the rat ECG parameteres on the 89th day of the experiment, M±SEM
Groups | Dose, mg/kg | Sex | n | Indicators | |||||
HR, beat/min | RR, ms | P, ms | PQ, ms | QRS, ms | QT, ms | ||||
Control | 0 | Males | 8 | 278.3±5.1 | 215.3±3.4 | 41.8±0.8 | 53.1±2.1 | 62.1±6.5 | 139.9±9.9 |
Females | 8 | 304.8±7.9 | 198.1±4.9 | 47.3±2.6 | 56.0±2.4 | 65.4±2.9 | 154.4±9.3 | ||
VMU-2012-05 | 9 | Males | 8 | 294.8±5.8 | 204.3±3.8 | 42.0±1.0 | 52.1±2.5 | 64.5±3.0 | 139.4±6.7 |
Females | 8 | 306.5±5.7 | 196.3±3.6 | 43.9±1.9 | 51.5±2.6 | 73.5±4.6 | 146.0±7.6 | ||
45 | Males | 8 | 297.8±5.9 | 202.1±4.3 | 39.0±2.0 | 52.3±1.2 | 58.4±3.3 | 134.4±10.2 | |
Females | 8 | 298.8±10.6 | 202.5±6.3 | 40.8±0.9 | 50.1±0.7 | 67.4±4.1 | 155.5±9.9 | ||
90 | Males | 7 | 284.6±14.2 | 215.0±13.3 | 48.6±4.2 | 57.3±2.9 | 63.0±4.1 | 136.4±7.4 | |
Females | 8 | 296.1±6.7 | 203.4±4.5 | 49.0±5.2 | 59.9±5.1 | 71.8±4.4 | 133.8±7.7 | ||
Table 8 – VMU-2012-05 effect on the rabbit ECG parameteres on the 26th day of the experiment, M±SEM, n=4
Groups | Dose, mg/kg | Sex | Indicators | |||||
HR, beat/min | RR, ms | P, ms | PQ, ms | QRS, ms | QT, ms | |||
Control | 0 | Males | 274.8±21.3 | 222.3±16.2 | 45.5±4.8 | 71.3±6.2 | 142.5±4.1 | 170.8±11.1 |
Females | 187.5±10.5 | 322.5±18.7 | 59.0±6.4 | 77.0±2.5 | 158.8±2.0 | 156.8±8.1 | ||
VMU-2012-05 | 4 | Males | 300.0±9.3 | 200.8±5.9 | 55.8±7.7 | 70.3±7.5 | 139.0±7.7 | 163.3±11.0 |
Females | 208.8±6.1 | 288.5±8.7 | 51.5±2.5 | 82.0±4.7 | 146.0±12.2 | 192.3±14.4 | ||
20 | Males | 251.3±24.9 | 246.3±25.2 | 46.5±10.1 | 70.8±6.2 | 168.8±20.4 | 229.5±27.6 | |
Females | 200.3±9.7 | 302.3±14.9 | 49.5±1.0 | 73.0±2.6 | 159.0±5.2 | 190.5±10.5 | ||
40 | Males | 267.3±7.0 | 225.0±6.2 | 52.0±3.7 | 66.3±4.3 | 166.8±3.3 | 190.0±8.8 | |
Females | 182.3±6.9 | 330.0±12.1 | 49.3±2.3 | 79.0±2.9 | 156.5±3.7 | 206.3±23.5 | ||
Results of clinical and laboratory studies
The results of the analysis of the urine physicochemical properties showed that in the group of female rabbits administrated with the test drug at the maximum investigated dose, there was a decrease in urine pH (up to 5.5) compared to the intralaboratory norms (pH from 7 to 9)9. After a recovery period, a decrease in urine pH (up to 6.3) compared with the physiological norm was observed in the groups of female rabbits administrated with the test drug in medium and maximum doses. In the remaining groups of rabbits and rats, no deviations from the norm were found, either after the course of administration or after the recovery period.
According to the results of the clinical blood test on the 30th and 90th days (Table 9) of the experiment in the groups of female rats administrated with the drug at the doses of 45 mg/kg and 90 mg/kg, there was a significant increase in the number of platelets. On the 90th day, there was an increase in the number of leukocytes in these groups compared with the control group (Table 9). In the group administrated with the maximum dose, there was a shift in the leukocyte formula towards a decrease in the percentage of granulocytes and an increase in lymphocytes (compared to the control). At the same time, all the revealed changes in leukocytes and leukocyte formula did not go beyond the established intralaboratory standards for female outbred rats (leukocytes 5.5–18.0×109/l, the percentage of lymphocytes is 59–87%, the percentage of granulocytes is 13.5–37.6%, the platelet count is 348–950×109/l). In female rabbits of the groups administrated with medium and maximum doses, there had been an increase in the percentage of lymphocytes in relation to the control group by the end of the drug administration and a tendency to a decrease in the percentage of granulocytes (Table 10). The changes did not go beyond the intra-laboratory norms for rabbits (the percentage of lymphocytes was 30–70%, of granulocytes – 20–58%). No other differences from the control group or deviations from the physiological norm have been found out either in rats or in rabbits over the entire period of the drug administration. No delayed effects have been found out either.
Table 9 – Effect of tested drug on haemotology of the female rats on the 30th day of the experiment, M±SEM, n = 8
Investigated indicators | Control | VMU-2012-05 | ||
9 mg/kg | 45 mg/kg | 90 mg/kg | ||
WBC, Leukocytes, 109/l | 8.6±0.48 | 9.6±0.40 | 13.1±1.30* | 12.3±1.18* |
LYM, Lymphocytes, % | 70.9±2.54 | 74.2±1.41 | 73.1±1.84 | 79.3±2.28* |
MON, Monocytes, % | 5.0±0.49 | 4.8±0.28 | 6.9±0.44 | 6.3±0.83 |
GRA, Granulocytes, % | 24.1±2.18 | 20.9±1.18 | 20.1±1.98 | 14.4±1.68* |
RBC, Erythrocyte, 1012/l | 7.6±0.21 | 7.4±0.08 | 7.6±0.12 | 7.0±0.41 |
HGB, Hemoglobin, g/l | 153.5±1.95 | 148.1±1.36 | 149.1±2.81 | 137.9±8.18 |
HCT, Hematocrit, % | 42.0±0.60 | 40.4±0.35 | 41.3±0.55 | 38.5±1.79 |
PLT, Platelets, 109/l | 748.0±30.84 | 865.3±47.25 | 969.9±40.58* | 989.5±57.61* |
Note: * – p <0.05, statistically significant differences from the control group (one-way ANOVA, Tukey’s test)
Table 10 – Effect of tested drug on haemotology of the female rabbits on the 28th day of the experiment, M±SEM, n = 8
Investigated indicators | Control | VMU-2012-05 | ||
4 mg/kg | 20 mg/kg | 40 mg/kg | ||
WBC, Leukocytes, 109/l | 7.2±0.29 | 7.6±0.60 | 6.5±0.51 | 7.9±0.46 |
LYM, Lymphocytes, % | 61.1±1.54 | 61.1±2.19 | 67.6±1.72 | 67.9±2.54* |
MON, Monocytes, % | 3.1±0.25 | 3.2±0.17 | 2.6±0.18 | 3.1±0.15 |
GRA, Granulocytes, % | 35.9±1.61 | 35.7±2.19 | 29.5±1.48 | 29.2±2.50 |
RBC, Erythrocyte, 1012/l | 6.1±0.15 | 6.2±0.25 | 5.9±0.21 | 6.0±0.11 |
HGB Hemoglobin, g/l | 130.9±2.33 | 133.4±5.98 | 126.9±3.42 | 127.6±2.38 |
HCT Hematocrit, % | 43.5±0.64 | 43.2±1.41 | 43.0±1.04 | 43.3±0.82 |
PLT Platelets, 109/l | 302.5±17.76 | 320.3±30.74 | 289.0±22.75 | 304.4±32.31 |
Note: * – p <0.05, statistically significant differences from the control group (one-way ANOVA, Tukey’s test)
According to the analysis results of the hemostasis system parameters, no clinically significant effects of the drug on PT and APTT in rabbits and rats have been established (Tables 11–14).
Table 11 – Results of prothrombin time (PT) determination in rats, s, M ± SEM
Groups | Dose, mg/kg | 30th day of experiment | 90th day of experiment | 120th day of experiment | |||
Males | Females | Males | Females | Males | Females | ||
Control | 0 | 21.6±0.37 n=8 | 22.7±0.16 n=8 | 18.4±0.25 n=8 | 20.0±0.35 n=8 | 17.3±0.27 n=8 | 17.6±0.27 n=8 |
VMU-2012-05 | 9 | 21.8±0.19 n=8 | 22.6±0.31 n=8 | 17.7±0.41 n=8 | 18.8±0.45 n=8 | 18.0±0.50 n=8 | 16.9±0.68 n=8 |
45 | 21.4±0.50 n=8 | 22.3±0.51 n=8 | 17.4±0.73 n=8 | 19.0±0.28 n=8 | 18.3±0.86 n=7 | 16.0±0.40 n=8 | |
90 | 22.5±0.19 n=8 | 20.0±0.96* n=8 | 17.3±0.54 n=7 | 19.8±0.41 n=8 | 20.1±0.72* n=7 | 16.1±0.43 n=8 | |
Note: * – statistically significant differences from the control group, Tukey’s test, p <0.05
Table 12 – Results of prothrombin time (PT) determination in rabbits, s, M ± SEM
Groups | Dose, mg/kg | 28th day of experiment | 56th day of experiment | ||
Males | Females | Males | Females | ||
n=8 | n=8 | n=4 | n=4 | ||
Control | 0 | 8.3±0.17 | 8.7±0.37 | 8.6±0.25 | 8.5±0.08 |
VMU-2012-05 | 4 | 8.1±0.20 | 7.9±0.26 | 8.0±0.18 | 8.0±0.16 |
20 | 7.4±0.17* | 7.5±0.14 | 8.3±0.20 | 8.1±0.19 | |
40 | 7.5±0.13* | 7.2±0.42* | 7.9±0.05 | 7.7±0.12* | |
Note: * – statistically significant differences from the control group, Tukey’s test, p <0.05
Table 13 – Results of determination of activated partial thromboplastin time (APTT) in rats, s, M ± SEM
Groups | Dose, mg/kg | 30th day of experiment | 90th day of experiment | 120th day of experiment | |||
Males | Females | Males | Females | Males | Females | ||
Control | 0 | 16.2±0.67 n=8 | 17.6±0.89 n=8 | 12.8±0.42 n=8 | 13.3±0.94 n=8 | 12.2±0.33 n=8 | 14.2±1.06 n=8 |
VMU-2012-05 | 9 | 13.8±0.66 n=8 | 15.5±1.65 n=8 | 12.7±0.47 n=8 | 16.2±0.51* n=8 | 13.7±1.05 n=8 | 12.3±0.50 n=8 |
45 | 13.8±0.43 n=8 | 18.8±0.85 n=8 | 12.8±0.65 n=8 | 14.5±0.72 n=8 | 13.5±0.76 n=8 | 12.2±0.30 n=8 | |
90 | 16.9±0.75 n=8 | 17.7±0.62 n=8 | 15.4±0.92* n=7 | 16.2±0.33* n=8 | 13.0±0.62 n=7 | 12.1±0.57 n=8 | |
Note: * – statistically significant differences from the control group, Tukey’s test, p <0.05
Table 14 – Results of determination of activated partial thromboplastin time (APTT) in rabbits, s, M ± SEM
Groups | Dose, mg/kg | 28th day of experiment | 56th day of experiment | ||
Males | Females | Males | Females | ||
n=8 | n=8 | n=4 | n=4 | ||
Groups | 0 | 15.2±0.35 | 15.6±0.44 | 18.5±0.69 | 18.4±0.47 |
VMU-2012-05 | 4 | 15.1±0.72 | 16.8±0.61 | 16.9±1.16 | 17.4±0.51 |
20 | 16.1±0.72 | 17.2±1.04 | 17.7±1.36 | 15.7±0.63* | |
40 | 17.1±0.87 | 17.0±0.78 | 16.8±1.08 | 15.7±0.59* | |
Note: * – statistically significant differences from the control group, Tukey’s test, p <0.05.
The results of the biochemical blood test showed that against the background of the test drug administration to female rats at the maximum dose, on the 30th day of the experiment, the level of the AST activity increased (by 40% compared with the control group; the tendency that did not reach its statistical significance) (Table 15). A similar tendency (not statistically significant) was observed in male rabbits on the 28th day of the experiment: the AST activity level exceeded the indicators of the control group by 60% (Table 16). On the 28th day of the experiment, an increased level of alkaline phosphatase activity was notified in female rabbits administrated with the drug in medium and maximum doses, in comparison with the intralaboratory norms (15–140 u/l) and / or with the control group. Within the recovery period, the tested drug had no effect on the biochemical parameters of the laboratory animals’ blood.
Table 15 – VMU-2012-05 effect on biochemical parameters of rat blood, M±SEM, n = 8 #
Sex | Dose, mg/kg | ALT, u/l | AST, u/l | AP, u/l | ||||||
Day of experiment | ||||||||||
30 | 91 | 121 | 30 | 91 | 121 | 30 | 91 | 121 | ||
Males | 0 | 42±3.4 | 66±3.3 | 57±2.5 | 94±7.9 | 103±8.0 | 128±8.7 | 124±14.8 | 152±11.3 | 113±9,4 |
Females | 0 | 36±5.1 | 57±5.0 | 53±2.9 | 86±2.2 | 115±4.0 | 139±5.6 | 96±7.1 | 134±12.0 | 100±4,6 |
Males | 9 | 42±4.2 | 67±2.7 | 61±4.1 | 83,9±8.07 | 107±6.8 | 135±6.5 | 111±14.8 | 153±12.6 | 120±9,1 |
Females | 9 | 32±2.0 | 56±3.8 | 55±7.5 | 95±3.6 | 112±5.5 | 135±7.3 | 92±12.3 | 125±19.3 | 92±9,9 |
Males | 45 | 43±6.5 | 62±5.3 | 60±5.7 | 98±10.4 | 108±6.7 | 134±7.5 | 106±7.2 | 159±12.9 | 139±11,0 |
Females | 45 | 31±2.5 | 62±5.0 | 50±4.6 | 91±4.8 | 98±4.8 | 131±10.8 | 117±13.1 | 144±12.4 | 91±7,7 |
Males | 90 | 40±4.3 | 52±2.7 | 57±2.9 | 76±3.3 | 107±7.5 | 134±9.9 | 116±8.7 | 103±12.7* | 122±7,0 |
Females | 90 | 39±5.4 | 65±4.0 | 52±3.3 | 118±14.0* | 112±4.6 | 148±4.9 | 103±13.5 | 155±14.6 | 87±4,5 |
Note: * – p <0.05, statistically significant differences from the control group, (one-way analysis of variance, Tukey’s test); # – n=7 (males, 90 mg/kg group, 91st and 121st days; males, 45 mg/kg group, 121st day)
Table 16 – VMU-2012-05 effect on biochemical parameters of rabbit blood, M±SEM
Sex | Dose, mg/kg | ALT, u/l | AST, u/l | AP, u/l | |||
Day of experiment | |||||||
28 | 56 | 28 | 56 | 28 | 56 | ||
n=8 | n=4 | n=8 | n=4 | n=8 | n=4 | ||
Males | 0 | 61±4.7 | 50±6.3 | 34±3.6 | 24±1.4 | 120±7.0 | 106±14.8 |
Females | 0 | 50±6.1 | 54±8.9 | 34±4.4 | 34±14.0 | 126±5.0 | 130±4.0 |
Males | 4 | 56±6.7 | 59±6.2 | 33±8.3 | 40±11.7 | 123±7.3 | 102±10.0 |
Females | 4 | 47±4.5 | 54±10.2 | 38±9.5 | 46±10.1 | 131±5.7 | 109±6.9 |
Males | 20 | 60±5.0 | 57±12.0 | 45±7.0 | 29±7.5 | 131±3.6 | 115±8.4 |
Females | 20 | 49±4.9 | 56±3.7 | 34±4.5 | 35±7.9 | 142±4.7 | 116±8.5 |
Males | 40 | 64±5.0 | 53±4.8 | 53±7.0 | 24±2.9 | 139±7.4 | 108±13.4 |
Females | 40 | 49±4.6 | 52±2.9 | 32±7.1 | 67±26.7 | 152±5.1* | 130±9.9 |
Note: * – p <0.05, statistically significant differences from the control group, (one-way analysis of variance, Tukey’s test)
The results of the pathomorphological examination
Edema and hemorrhagic impregnation of the lung tissue, edema and moderate plethora of the cerebral vessels, as well as plethora of internal organs were recorded in necropsy of 3 male rats that had died before the planned euthanasia. An acute heart failure was the immediate cause of death in this group of animals.
In the process of histological examination, immediately after the end of the administration period at the maximum studied dose of 90 mg/kg, alveolar histiocytosis and encapsulated foci with foreign bodies in the lung tissue were revealed in two rats. A similar pathological change was found in one case after a recovery period in the medium dose group. The detected changes were probably due to the ingress of drug microparticles into the lung tissue, and, accordingly, were not directly related to its toxic effect.
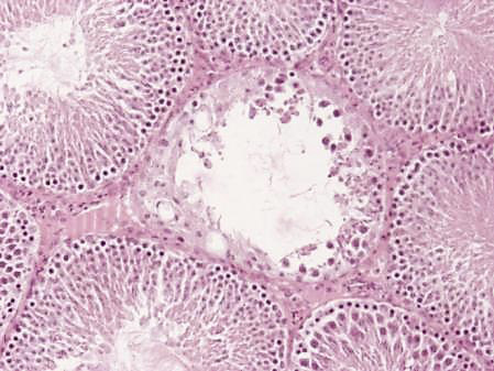
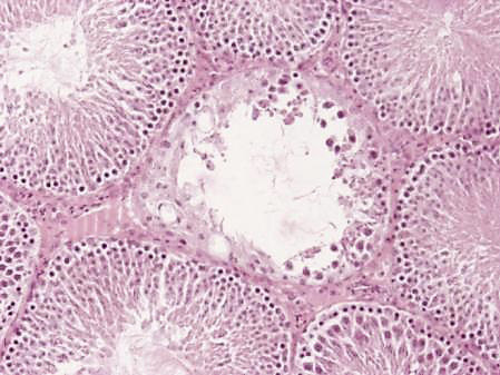
On the 91st day of the experiment, hypoplasia of the spermatogenic epithelium was found out in two male rats from the groups administrated with VMU-2012-05 at the doses of 45 mg/kg and 90 mg/kg. In the same groups, the similar changes were found out in two males after a delayed observation period (Fig. 1).
Figure 1 – Section of the testis of a male rat of the group receiving the drug at a dose of 45 mg/kg, 91st day of the experiment
Note: hypoplasia of spermatogenic epithelium. Coloring – hematoxylin-eosin, magnification×100
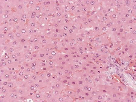
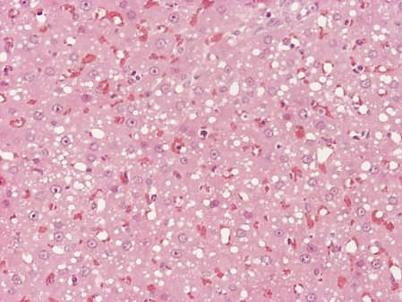
In the group of rats administrated with the maximum dose, immediately after the end of the administration period, one case of small-drop hepatic steatosis was found out (Fig. 2). At the end of the recovery period, one female of the group administrated with VMU-2012-05 at the dose of 90 mg/kg showed presumably apoptotic changes in hepatocytes (Fig. 3). Small-drop hepatic steatosis was found out in three animals of this group.
Figure 2 – Liver cross section of a male rat from the group administrated with the drug at the dose of 90 mg/kg, 91st day of the experiment
Note: Small-drop adipose degeneration of hepatocytes. Coloring – hematoxylin-eosin, magnification×200
Figure 3 – Liver cross section of a female rat of the group administrated with the drug at the dose of 90 mg/kg, recovery period, 121st day of the experiment
Note: presumably apoptotic changes in hepatocytes (arrows). Coloring – hematoxylin-eosin, magnification×200
In male rats, on the 91st day, immediately after the end of the administration period, a statistically significant decrease in the relative weight of the liver, kidneys and testes was revealed in the group administrated with the test drug at the dose of 90 mg/kg, compared with the control group (Table 17). After a recovery period, no differences from the control group were observed.
Table 17 – VMU-2012-05 effect on the ralative organ weight in male rats, 91st day of the experiment, % of body weight, M±SEM
Investigated indicators | Control | VMU-2012-05 | ||
9 mg/kg | 45 mg/kg | 90 mg/kg | ||
n=8 | n=8 | n=8 | n=7 | |
Liver | 3.65±0.154 | 3.61±0.082 | 3.38±0.168 | 3.14±0.071* |
Kidneys | 0.76±0.029 | 0.82±0.020 | 0.73±0.031 | 0.65±0.010* |
Testes | 1.01±0.064 | 1.1±0.034 | 0.97±0.044 | 0.73±0.072* |
Note: * – p <0.05, statistically significant differences from the control group (one-way analysis of variance, Tukey’s test)
In female rats and in rabbits of both sexes, the effect of the test preparation on the relative organ weight, was not recorded.
While assessing the local irritant effect according to the results of histological examination on the 91st day of the experiment, one case of catarrhal gastritis was revealed in the group of male rats administrated with the test drug at the dose of 90 mg/kg. No pathological changes in the gastrointestinal tract were revealed in rabbits. At the end of the recovery period, no signs of local irritation were found in either rats or rabbits.
DISCUSSION
The study results of the toxic VMU-2012-05 properties in its single and repeated enteral administrations in mice, rats and rabbits, showed the following.
After the intragastric administration, the acute toxicity (LD50) was > 2000 mg/kg. It should be notified that according to preclinical studies, the drugs of a similar pharmacological group (NNRTI) used in clinical practice, have also moderate toxicity in single enteral administrations. As for efavirenz, the minimum lethal dose for female rats ranged from 250 to 500 mg/kg, for males it was 1000 mg/kg10. In the experiments with nevirapine, the animal mortality (mice, rats, dogs, monkeys) was not reported in single enteral administrations in the dose range from 50 to 450 mg/kg11.
In repeated administrations, the toxic properties of VMU-2012-05 were studied on two animal species – rats and rabbits. During the experiment on rats, three rat males died: two from the group of the maximum dose (10 HTD), one from the intermediate dose (5 HTD). The percentage of deaths was 4.7% of the total number of the animals administrated with the drug at these doses. Necropsy showed that acute heart failure had been the cause for the animals’ death.
Within the periods of VMU-2012-05 administration and recovery period, the state of all other animals was characterized as satisfactory. In rabbits, no cases of death were recorded during the experiment. Therefore, it is not possible to unequivocally assert that the cause for the animals’ death is directly related to the drug effect.
The results of clinical and laboratory studies revealed a slight decrease in urine pH in the female rabbits of the maximum dose group (40 mg/kg). In the rats of the maximum dose group, a decrease (no more than 15% of the control group indicators) was notified in the relative weight of the kidneys. No other changes that could indicate a violation of the urinary system functioning of rabbits and rats, were found out. These observations are not considered essential for predicting the clinical safety profile of the drug. During preclinical studies, for a number of drugs NNRTI a negative effect on the kidneys was revealed. In studies of rilpivirine, kidney toxicity has been found out in mice and dogs12. Nephrotoxicity was one of the main toxic effects of efavirenz in rats, with necrosis of the renal cortex, dilatation and degeneration of the tubules leading to the development of renal failure. At high doses (more than 500 mg/kg), the animals’ death was caused by acute necrosis of the renal tubules. Meanwhile, no toxic effect of efavirenz on the kidneys was revealed in monkeys, despite the achievement of a systemic exposure exceeding that in rats. Later, it was shown that nephrotoxicity detected in rats is a consequence of the formation of glutathione conjugate efavirenz in this animal species, which made it possible to consider this effect as species-specific13. According to the results of the toxic properties study, the kidneys are not the target of nevirapine toxic action14. According to the results of the study carried out on two types of laboratory animals, it is also justified for VMU-2012-05.
Evaluation of the results of a clinical blood test showed a moderate effect on the leukogram and platelet count of the rats. It should be notified that, according to the results of preclinical studies, the hematopoietic system is the target of the toxic effect of nevirapine is used in clinical practice15. In preclinical studies of rilpivirine, a toxic effect on the hematopoietic system in mice, rats and dogs has also been established 16. In clinical practice, among the side effects of nevirapine (according to the post-registration studies), there is a drug reaction with eosinophilia and systemic symptoms such as rash, fever, arthralgia, myalgia, etc.17. As a result of intaking etravirine, the following side effects can be observed: thrombocytopenia, anemia, and a decrease in the number of neutrophils 18. In preclinical VMU-2012-05 studies, moderate changes based on the results of a clinical blood test were revealed, but taking into account the experience of clinical use of drugs with a similar spectrum of action, when planning further preclinical and clinical studies, it is necessary to take into account the potential impact on hematological parameters.
VMU-2012-05 had an effect on the functional activity of the liver (an increase in AST activity, a decrease in the relative weight of the liver in male rats of the maximum dose group, the presence of small-drop hepatic steatosis in 13% of rats in the maximum dose group, in one female (3.3% of the total number of animals) revealed presumably apoptotic changes in hepatocytes.
The experience of clinical use has shown that all NRTIs can provoke an increase in the level of transaminases, which may not be accompanied by clinical manifestations of hepatitis [23]. For example, against the background of efavirenz, an increase in AST and ALT activities more than 5 times higher than the upper limit of the norm was observed in 3% of 1008 patients taking efavirenz at the dose of 600 mg per day (5-8% with long-term antiretroviral therapy with efavirenz). A similar increase was observed in the control group (5% with long-term antiretroviral therapy without efavirenz)19. In preclinical studies of efavirenz, an increase in the incidence of fibrosis of the liver bile ducts in rats in multiple administrations at the doses of 500 mg/kg (about 10 HTD) and higher was found out, which was often associated with hyperplasia of the bile ducts. Changes in the bile ducts were also found out in monkeys (at the doses of 150 mg/kg), while no biochemical signs of cholestasis were observed. Preclinical studies in rats and dogs have shown that the liver is a target organ for the toxic effects of nevirapine20. According to the experience of clinical use from the NNRTI group, it is for this drug that hepatotoxicity is most characteristic. The toxic effect on the liver can develop throughout the course of therapy and is usually most pronounced in the patients infected with hepatitis viruses in addition to HIV [23]. Considering the moderate effect of VMU-2012-05 on the functional activity of the liver, revealed in preclinical studies, the appearance of side effects in relation to the liver function cannot be excluded in case of a prolonged clinical administration of the drug. Herewith, the available experimental data do not make it possible to predict a greater severity of such effects relative to the effects of NNRTI already used in clinical practice.
When studying the toxic properties of VMU-2012-05, the presence of hypoplasia of the spermatogenic epithelium was found out in 12–14% of males from the groups administrated with the drug at medium and maximum doses. In male rats, on the 91st day, immediately after the end of the administration period, a decrease in the relative weight of the testes in the group with the maximum dose was manifested. In rabbits, no effect on the organs of the male reproductive system was found out, but it should be borne in mind that the duration of VMU-2012-05 administration to the rabbits was 28 days, while the rats were administrated with the drug for 90 days. Although the detected pathological change can occur spontaneously in rats [24], the absence of pathological changes in the control group and in the groups administrated with the drug at the lowest dose suggests that the revealed deviation may be due to the influence of VMU-2012-05. It is possible that this change is a species-specific reaction of rats to the drug. Further research is needed to confirm (or refute) this assumption. Since antiretroviral therapy is prescribed in the clinic for a long time or even permanently, the next step to study its toxic properties is to conduct studies of a longer duration (6 months in rodents, 9 months in non-rodents)21.
An obligatory requirement for assessing the toxic properties of a drug is an assessment of its local tolerance. In case of the enteral administration, the effect of the drug on the organs and tissues of the gastrointestinal tract that are in direct contact with the drug, is considered. When assessing the local irritant effect according to the results of histological examination on the 91st day of the experiment, one case of catarrhal gastritis was found out in the group of the male rats administrated with the test drug at the dose of 90 mg/kg. With respect to the low frequency of occurrence (3.3% of the total number of animals) of this pathological change in the conditions of the experiment, as well as the fact that such changes in the tissues of the stomach can be considered a background pathology associated with the route of administration [25], it can be concluded that that the drug in the studied dose range did not have any local irritant effect. No pathological changes in the gastrointestinal tract have been revealed in rabbits. The data obtained suggest that the drug is relatively safe for the gastrointestinal tract when taken up to 3 months.
CONCLUSION
A preclinical study of the toxic properties of the finished dosage form based on a pyrimidine derivative of benzophenone for the treatment of the HIV-1 infection in single and repeated administrations, was carried out. The LD50 of FDF in the intragastric administration is more than 2000 mg/kg. In the course of the study of the toxic properties in repeated administrations, the level of the doses that do not cause undesirable effects (NOAEL) has been established. For rats it is 9 mg/kg (1 HTD), for rabbits – 4 mg/kg (1 HTD). The drug influenced the liver functional activity. A study on rats showed a toxic effect on the organs of the male reproductive system (hypoplasia of the spermatogenic epithelium). The assessment of the local irritant effect has not reveal any negative effect on the gastrointestinal tract. In general, VMU-2012-05 has shown a favorable safety profile, not inferior to the drugs of a similar pharmacological group used in the clinic, and can be considered a promising drug candidate for the treatment of the HIV-1 infection. Since antiretroviral therapy is prescribed in clinical practice for a long time or permanently, the next step for a more detailed and complete study of toxic properties is to conduct preclinical studies of toxic properties with a longer period of the drug administration (6 months in rodents, 9 months in non-rodents).
FUNDING
The work was carried out under the government contract No. 14.N08.11.0154 for the implementation of applied research and experimental development on the topic “Preclinical studies of a drug based on a pyrimidine derivative of benzophenone for HIV-1 infections treatment”.
CONFLICT OF INTEREST
The authors declare no conflicts of interest.
AUTHORS’ CONTRIBUTION
Valeria A. Vavilova – experiments conducting, data collecting, data analyzing, a draft manuscript preparing; Elena V. Shekunova – experiment planning, data analysis, literature analysis; participation in manuscript writing; Ekaterina A. Jain (Korsakova) – results interpretation, literature analysis, participation in manuscript writing; Vadim Yu. Balabanyan – participation in the concept development, study design, results discussion; Alexander A. Ozerov – development of the concept and research design, results discussion; Marina N. Makarova – discussion of the results obtained, participation in manuscript writing and its final approval for publication; Valery G. Makarov – discussion of the results obtained, final approval of the manuscript for publication.
1 UNAIDS. Press release. 2017. Available from: http://www.unaids.org/en/resources/presscentre/pressreleaseandstatementarchive/2017/july/20170720_PR_Global_AIDS_Update_2017
2 National standard of the Russian Federation GOST R 56701-2015 dated 01.07.2016 “Medicines for medical use. Guidelines for planning preclinical safety studies for the purpose of subsequent clinical trials and drug registration”. Available from: https://docs.cntd.ru/document/1200126923.
3 Interstate Standard of the Russian Federation GOST 33044-2014 "Principles of Good Laboratory Practice". Available from: https://docs.cntd.ru/document/1200115791. Russian
4 Interstate standard GOST 32296-2013 “Test methods for the effects of chemical products on the human body. Basic Requirements for Tests to Assess Acute Toxicity in Intragastric Intake by a Fixed Dose Method. Available from: https://docs.cntd.ru/document/1200111000. Russian
5 Decision of the EEC Council of November 3, 2016 N 81 "On Approval of the Rules of Good Laboratory Practice of the Eurasian Economic Union in the Sphere of Circulation of Medicines". Available from: https://www.alta.ru/tamdoc/16sr0081/. Russian
6 Guideline for testing of chemicals. Acute Oral Toxicity – Fixed Dose Procedure No 420. OECD (2001). Available from: https://www.oecd-ilibrary.org/environment/test-no-420-acute-oral-toxicity-fixed-dose-procedure_9789264070943-en
7 Guidelines for preclinical studies of drugs.”NTsEMSP”. Edited by A.N. Mironov. Volume. 1.2012.942 p. Russian
8 Guidelines for preclinical studies of drugs.”NTsEMSP”.
9 Directory. Physiological, biochemical and biometric indicators of the norm of experimental animals / Under. ed. Makarova V.G. and Makarova M.N. SPb, 2013:116 p. Russian
10 Product monograph. AURO-EFAVIRENZ. Efavirenzю Tablets, 600 mg. Auro Pharma Inc. August 11, 2017. Available from: https://pdf.hres.ca/dpd_pm/00040742.PDF
11 Product monograph. VIRAMUNE® (nevirapine). Immediate-Release Tablets 200 mg. Extended-Release Tablets 400 mg. Control Number: 167894.2013. Boehringer Ingelheim (Canada) Ltd. Available from: https://www.boehringer-ingelheim.ca/sites/ca/files/documents/viramunexrpmen.pdf
12 Product monograph including patient medication information Predurant® Rilpivirine as rilpivirine hydrochloride Tablets, 25 mg Oral. Janssen Inc. Submission Control No: 223865. 2019. Available from: https://pdf.hres.ca/dpd_pm/00050300.PDF
13 Productmonograph. AURO-EFAVIRENZ. Efavirenz Tablets, 600 mg.
14 Product monograph. VIRAMUNE® (nevirapine).
15 Product monograph. VIRAMUNE® (nevirapine).
16 Product monograph including patient medication information Predurant® Rilpivirine as Rilpivirine hydrochloride.
17 Nevirapine. Instructions for medical use. LP-005197-191118. Available from: https://grls.rosminzdrav.ru/Grls_View_v2.aspx?routingGuid=1167f0bc-0600-499f-8b2f-9ab9366bdf5f&t. Russian
18 Intellens. Instructions for medical use. LP-006200-120520. Available from: https://grls.rosminzdrav.ru/Grls_View_v2.aspx?routingGuid=2a18740e-fe4c-4b6e-9680-a6a696993281&t. Russian
19 Efavirenz. Instructions for medical use LP-005142-251018. Available from: https://grls.rosminzdrav.ru/Grls_View_v2.aspx?routingGuid=71eecdb2-b233-4f11-8cf2-27c5245b9479&t. Russian
20 Product monograph. AURO-EFAVIRENZ.
21 National standard of the Russian Federation GOST R 56701-2015 dated 01.07.2016 “Medicines for medical use. Guidelines for the planning of preclinical safety studies for the subsequent conduct of clinical trials and drug registration”.
About the authors
Valeria A. Vavilova
«Research-and manufacturing company «НОМЕ OF РНАRМАСУ» Joint Stock Company
Email: vavilova.va@doclinika.ru
ORCID iD: 0000-0002-1009-3963
pharmacologist of the 1st category of the Department of Experimental Pharmacology and Toxicology
Russian Federation, Bldg. 245, 3, Zavodskaya St., Vil. Kuzmolovsky, Vsevolozhsky Dist., Leningrad Reg., Russia, 188663Elena V. Shekunova
«Research-and manufacturing company «НОМЕ OF РНАRМАСУ» Joint Stock Company
Email: shekunova.ev@doclinika.ru
ORCID iD: 0000-0002-2689-6891
Candidate of Sciences (Biology), Head of the Department of Experimental Pharmacology and Toxicology
Russian Federation, Bldg. 245, 3, Zavodskaya St., Vil. Kuzmolovsky, Vsevolozhsky Dist., Leningrad Reg., Russia, 188663Ekaterina A. Jain
Moscow State University named after M.V. Lomonosov
Author for correspondence.
Email: ekaterina.korsa@gmail.com
ORCID iD: 0000-0003-0283-8598
Postgraduate student of the Department of Pharmaceutical Chemistry, Pharmacognosy and Organization of Pharmaceutical Business, Faculty of Fundamental Medicine
Russian Federation, Bldg. 1, 27, Lomonosov Ave., Moscow, Russia, 119991Vadim Yu. Balabanyan
Moscow State University named after M.V. Lomonosov
Email: bal.pharm@mail.ru
ORCID iD: 0000-0002-5744-7060
Doctor of Sciences (Pharmacy), Associate Professor of the Department of Pharmaceutical Technology, Faculty of Fundamental Medicine
Russian Federation, Bldg. 1, 27, Lomonosov Ave., Moscow, Russia, 119991Alexander A. Ozerov
Volgograd State Medical University
Email: prof_ozerov@yahoo.com
ORCID iD: 0000-0002-4721-0959
Doctor of Sciences (Chemistry), Professor, Head of the Department of Pharmaceutical and Toxicological Chemistry
Russian Federation, 1, Pavshikh Bortsov Sq., Volgograd, Russia, 400131Marina N. Makarova
«Research-and manufacturing company «НОМЕ OF РНАRМАСУ» Joint Stock Company
Email: makarova.mn@doclinika.ru
ORCID iD: 0000-0003-3176-6386
Doctor of Sciences (Medicine), General Director, Director of Research
Russian Federation, Bldg. 245, 3, Zavodskaya St., Vil. Kuzmolovsky, Vsevolozhsky Dist., Leningrad Reg., Russia, 188663Valery G. Makarov
«Research-and manufacturing company «НОМЕ OF РНАRМАСУ» Joint Stock Company
Email: makarov.vg@doclinika.ru
ORCID iD: 0000-0002-2447-7888
Doctor of Sciences (Medicine), Professor, Deputy General Director
Russian Federation, Bldg. 245, 3, Zavodskaya St., Vil. Kuzmolovsky, Vsevolozhsky Dist., Leningrad Reg., Russia, 188663References
- Kemnic TR, Gulick PG. HIV Antiretroviral Therapy. [Updated 2021 Jun 25]. In: StatPearls [Internet]. Treasure Island (FL): StatPearls Publishing; 2021 Jan. Available from: https://www.ncbi.nlm.nih.gov/books/NBK513308/
- Yoshida Y, Honma M, Kimura Y, Abe H. Structure, Synthesis and Inhibition Mechanism of Nucleoside Analogues as HIV-1 Reverse Transcriptase Inhibitors (NRTIs). ChemMedChem. 2021 Mar 3;16(5):743–66. doi: 10.1002/cmdc.202000695.
- Wang Y, De Clercq E, Li G. Current and emerging non-nucleoside reverse transcriptase inhibitors (NNRTIs) for HIV-1 treatment. Expert Opin Drug Metab Toxicol. 2019 Oct;15(10):813–29. doi: 10.1080/17425255.2019.1673367.
- Xu W, Pu J, Su S, Hua C, Su X, Wang Q, Jiang S, Lu L. Revisiting the mechanism of enfuvirtide and designing an analog with improved fusion inhibitory activity by targeting triple sites in gp41. AIDS. 2019 Aug 1;33(10):1545–55. doi: 10.1097/QAD.0000000000002208.
- Voshavar C. Protease Inhibitors for the Treatment of HIV/AIDS: Recent Advances and Future Challenges. Curr Top Med Chem. 2019;19(18):1571–98. doi: 10.2174/1568026619666190619115243.
- López-Huertas, MR, Jiménez-Tormo L, Madrid-Elena N, Gutiérrez C, Rodríguez-Mora S, Coiras M, Alcamí J, Santiago M. The CCR5-antagonist Maraviroc reverses HIV-1 latency in vitro alone or in combination with the PKC-agonist Bryostatin-1. Sci Rep. 2017;7(1): 2385. doi: 10.1038/s41598-017-02634-y.
- Trivedi J, Mahajan D, Jaffe RJ, Acharya A, Mitra D, Byrareddy SN. Recent Advances in the Development of Integrase Inhibitors for HIV Treatment. Curr HIV/AIDS Rep. 2020 Feb;17(1):63–75. doi: 10.1007/s11904-019-00480-3.
- Blair HA. Ibalizumab: A Review in Multidrug-Resistant HIV-1 Infection. Drugs. 2020 Feb;80(2):189–96. doi: 10.1007/s40265-020-01258-3.
- Deeks ED. Darunavir/Cobicistat/Emtricitabine/Tenofovir Alafenamide: A Review in HIV-1 Infection. Drugs. 2018 Jul;78(10):1013–24. doi: 10.1007/s40265-018-0934-2.
- Eggleton JS, Nagalli S. Highly Active Antiretroviral Therapy (HAART). 2021 Jul 8. In: StatPearls [Internet]. Treasure Island (FL): StatPearls Publishing; 2021.
- Dionne B. Key Principles of Antiretroviral Pharmacology. Infect Dis Clin North Am. 2019 Sep;33(3):787–805. doi: 10.1016/j.idc.2019.05.006.
- Rothenberg R, Woelfel M, Stoneburner R, Milberg J, Parker R, Truman B. Survival with the acquired immunodeficiency syndrome. Experience with 5833 cases in New York City. N Engl J Med. 1987 Nov 19;317(21):1297–302. doi: 10.1056/NEJM198711193172101.
- Hellinger FJ. The lifetime cost of treating a person with HIV. JAMA. 1993;270(4):474–8. doi: 10.1001/jama.1993.03510040078033.
- Marcus JL, Chao CR, Leyden WA, Xu L, Quesenberry CP Jr, Klein DB, Towner WJ, Horberg MA, Silverberg MJ. Narrowing the Gap in Life Expectancy Between HIV-Infected and HIV-Uninfected Individuals With Access to Care. J Acquir Immune Defic Syndr. 2016 Sep 1;73(1):39–46. doi: 10.1097/QAI.0000000000001014.
- Fauci AS, Marston HD. Ending the HIV-AIDS Pandemic--Follow the Science. N Engl J Med. 2015 Dec 3;373(23):2197–9. doi: 10.1056/NEJMp1502020.
- Wood E, Montaner JS, Bangsberg DR, Tyndall MW, Strathdee SA, O’Shaughnessy MV, Hogg RS. Expanding access to HIV antiretroviral therapy among marginalized populations in the developed world. AIDS. 2003 Nov 21;17(17):2419–27. doi: 10.1097/00002030-200311210-00003.
- Gupta RK, Gregson J, Parkin N, et al. HIV-1 drug resistance before initiation or re-initiation of first-line antiretroviral therapy in low-income and middle-income countries: a systematic review and meta-regression analysis. Lancet Infect Dis. 2018 Mar;18(3):346–55. doi: 10.1016/S1473-3099(17)30702-8.
- Tang MW, Shafer RW. HIV-1 antiretroviral resistance: scientific principles and clinical applications. Drugs. 2012 Jun 18;72(9):e1–25. doi: 10.2165/11633630-000000000-00000.
- Chawla A, Wang C, Patton C, Murray M, Punekar Y, de Ruiter A, Steinhart C. A Review of Long-Term Toxicity of Antiretroviral Treatment Regimens and Implications for an Aging Population. Infect Dis Ther. 2018 Jun;7(2):183–95. doi: 10.1007/s40121-018-0201-6.
- Eremenko NN, Gubenko AI, Zebrev AI, Lysikova IV. Sovremennye podhody v lechenii VICH-inficirovannyh bol’nyh [Modern approaches in the treatment of HIV-infected patients]. Bulletin of the Scientific Centre for Expert Evaluation of Medicinal Products=Vedomosti NCESMP. 2014;2:40–5. Russian
- Petrov VI, Ozerov AA, Luganchenko AI. Pyrimidine derivatives of benzophenone with anti-HIV-1 activity. Russian Federation Patent 2489427. 2013 Oct 08.
- Novikov MS, Ivanova ON, Ivanov AV, Ozerov AA, Valuev-Elliston VT, Temburnikar K, Gurskaya GV, Kochetkov SN, Pannecouque C, Balzarini J, Seley-Radtke KL. 1-[2-(2-Benzoyl- and 2-benzylphenoxy)ethyl]uracils as potent anti-HIV-1 agents. Bioorg Med Chem. 2011 Oct 1;19(19):5794–802. doi: 10.1016/j.bmc.2011.08.025.
- Aronin SI. VICH-infekciya: voprosy terapii [HIV infection: issues of therapy] // Kazan Medical Journal=Kazanskij medicinskij zhurnal. 2005;86(6): 433–50. Russian
- Creasy D, Bube A, de Rijk E, Kandori H, Kuwahara M, Masson R, Nolte T, Reams R, Regan K, Rehm S, Rogerson P, Whitney K. Proliferative and nonproliferative lesions of the rat and mouse male reproductive system. Toxicol Pathol. 2012 Aug;40(6 Suppl):40S–121S. doi: 10.1177/0192623312454337.
- Uehara T, Elmore SA, Szabo K. A. Esophagus and stomach. Chapter 6. Boorman’s Pathology of the Rat (Second Edition), Academic Press, 2018: 35–50. doi: 10.1016/B978-0-12-391448-4.00006-X.
Supplementary files






