Antitumor activity in vivo of aqueous and alcoholic extracts of Thymus Marschallianus Willd
- Authors: Sheremetyeva A.S.1, Napsheva A.M.1, Durnova N.A.1
-
Affiliations:
- Saratov State Medical University named after V.I. Razumovsky
- Issue: Vol 9, No 6 (2021)
- Pages: 476-484
- Section: Articles
- URL: https://journals.eco-vector.com/2307-9266/article/view/111713
- DOI: https://doi.org/10.19163/2307-9266-2021-9-6-476-484
- ID: 111713
Cite item
Abstract
The aim of research is to study the antitumor activity of aqueous and alcoholic extracts of Thymus marschallianus Willd. on male outbreed white rats with transplanted liver tumor PC-1.
Materials and methods. The object of study is crushed grass of Thymus marschallianus Willd. collected in the Saratov vicinity in the flowering phase. Extracts from the specified plant material were made in two different ways: first way, water was used as an extractant, in the other, ethyl alcohol 95%. 15 male outbreed white laboratory rats weighing 200±50 were used in experiment. The subcutaneous injections of alveolar liver cancer RS-1 were made in scapula area. Animals with transplanted tumor were randomly divided into 3 groups of 5 rats: the first was a control (negative control) that did not receive extract; the second was an experimental one that receiving alcoholic extract of Thymus marschallianus Willd.; the third was an experimental one that receiving aqueous extract of Thymus marschallianus Willd. To study the pathomorphosis of the tumor, morphological and morphometric methods were used standard histological staining with hematoxylin and eosin.
Results It has been established that alcoholic and aqueous extracts of Thymus marschallianus Willd. have antitumor activity. Morphological examination of animal tumors showed a decrease in the number of preserved tumor cells in the view field, pronounced necrobiotic and atrophic changes in tumor cells, absence of mitosis, proliferation of connective tissue fibers corresponding to the II-III degree of tumor pathomorphosis.
Conclusion. Thymus marschallianus Willd. aqueous extract showed more potent antitumor activity. Introduction into tumor tissue revealed morphological signs of apoptosis: the appearance of apoptotic bodies, karyopycnosis, and condensation of nuclear chromatin in tumor cells. It can be assumed that the more pronounced antitumor effect of the aqueous extract is due to the higher yield of flavonoids.
Full Text
Abbreviations: NCI – nuclear cytoplasmic index; WHO – World Health Organization; MTS – metastases; SP RF XIVed – State Pharmacopoeia of Russian Federation XIV edition.
INTRODUCTION
According to the World Health Organization (WHO)1, cancer is the second leading cause of death in the world. In 2018, 9.6 million people died from this disease. Cancer is causing every sixth death in the world. The common methods of cancer treatments are surgery, chemotherapy and radiation therapy2. However, the antitumor activity of both individual natural compounds (alkaloids, terpenoids, quinones), and plant extracts, for example, Асоnitum baicalense Тurcz. ex Rapaics Ranunculaceae family [2], Kalanchoe daigremontiana Raym.-Hamet & H.Perrier Crassulaceae family, Aloe arborescens Mill. Asphodelaceae family [3], has been proven. The drugs of this compounds are prescribed in the complex treatment of cancer [1]. Flavonoids, polysaccharides, etc. are being studied as potential antitumor agents [1]. Herbal extracts are a promising subject of research in the field of cancer therapy. This is possible due for substances with a new mechanism of action that allows targeted action on tumor cells without damaging normal ones. The common chemical compounds of Thymus marschallianus Willd. are essential oil, phenolic compounds, triterpene compounds, polysaccharide complexes, mineral elements, amino acids, and organic acids [4–11], that makes this species promising in terms of antitumor activity study.
Previously, the antitumor activity was studied for species of Thymus L. genus of different countries – T. algeriensis [12–13], T. vulgaris [12, 14–17], T. serpyllum, [12, 18–19], T. caramanicus, T. carnosus Boiss., T. citriodorus, T. mastichina, T. pulegioides, T. satureioides, T. schimperi, T. zygis [12]. For example, MTT assay in vitro is used to show the antiproliferative effects of ethanol lyophilic extract and Thymus algeriensis Boiss & Reut. essential oil. The effects were evaluated on five human cancer cell lines: MCF-7 human adenocarcinoma cells and MDA-MB-231, human cervical adenocarcinoma cells HeLa, human prostate cancer cell line PC3 and human leukemia cell line K56S [13]. Essential oil has been shown more effective growth suppression of cancer cells all lines than ethanol extracts. Thus, LD50 of ethanol extract was more than 10,000 µg/ml, LD50 of essential oil in range 300–1067 µg/ml for various cancer cell lines used in this study. As a positive control, doxorubicin (an anticancer drug) was used, which demonstrated LD50 values in the range from 1 to 20 µg/ml [13]. Another experiment [16] showed the antiproliferative effect of Thymus vulgaris L. essential oil on the MCF-7 and MDA-MB-231 cell lines using MTS colorimetric assays (to control cytotoxicity) and ELISA (to control cell proliferation). The results showed that thyme essential oil significantly reduced metabolic activity and subsequently cell survival in both tested cell lines: at a concentration of 0.12 µg/ml – MDA-MB-231 cell lines and 0.13 µg/ml – MCF-7 cell lines [16]. It has been established that methanolic extract of Thymus serpyllum L. showed anti-cancer activity on the human cervical epithelial carcinoma cell line (HCerEpC) in MTT assay. In the experiment cytotoxicity varied from 50 to 100% respectively in concentration range of 500–2500 µg/ml [18]. In addition, the ability of creeping thyme extract to induce apoptosis of a breast cancer tumor cell line (MCF-7 and MDA-MB-231) has been established. At the same time, it does not exhibit a cytotoxic effect on the human healthy breast cell line (MCF-10A) [19].
Thymus serpyllum L. is officinal species. On the territory of the Saratov region occurs as a rare invasive species and has no resource value in the region. [20]. The most common closely related species in the territory of the Saratov region is a Thymus marschallianus Willd. Closely related plants species often exhibit a similar pharmacological effect, because they have a similar chemical properties [21]. For example, wild-growing Thymus marschallianus Willd, previously showed expectorant, anti-inflammatory, angioprotective, antioxidant activity better then pharmacopoeial species – Thymus serpyllum L. The effects of these two types are similar [22]. At the same time, the quantitative content of essential oils in the grass of Thymus marschallianus Willd exceeded the content of oils in the grass of Thymus serpyllum L. [23].
It should be noted that the most experimental studies of antitumor activity Thymus genus representatives were based in vitro [12–15, 17–19], while in vivo [16] experiments number is very small. There is no information in literature about the effect of extracts from raw Thymus marschallianus Willd on tumor cells.
THE AIM of the research is to study the antitumor activity of aqueous and alcoholic extracts of Thymus marschallianus Willd on male outbreed white rats with a PC-1 liver tumor.
MATERIALS AND METHODS
The object of research is crushed grass of Thymus marschallianus Willd. Сollected in flowering phase (June-July 2018) in the vicinity of Saratov. The species was determined according to the key of V. N. Gladkova and Yu. L. Menitsky “Flora of the European part of the USSR”3 [24]. The raw material was dried in well-ventilated place, then crushed to particles passing through a sieve with holes of 2 mm in size.
Method of extracts preparation
Extracts from the specified plant material were made in two different ways:
- According to the methodology of the State Pharmacopeia of Russian Federation XIVed (SP RF XIV) GPhM.1.4.1.0018.15 “Infusions and decoctions” 10 g of raw materials were placed in a glass preheated in a boiling water bath, 100 ml of water was poured at room temperature (the ratio of raw materials and extractant 1:10), closed with a lid and insisted on water bath for 15 minutes, then at room temperature – 45 minutes. The resulting extract was evaporated in a water bath until a thick extract was obtained (product yield – 1.0 ± 0.2 g), then diluted with water for injection to concentration of 100 mg/ml. The technology of this extraction method is regulated by the SP RF XIV, validated and easily reproducible.
- According to the patented technique [24], a two-time extraction was carried out with ethyl alcohol 95% (10 g of raw materials were poured with 100 ml of ethanol), boiled for 15 minutes. The obtained extract was drained, the remaining raw materials were again poured with 100 ml of alcohol, brought to a boil and drained for the first extraction. The obtained extract was evaporated in a water bath to the state of thick extract, diluted with distilled water, purified with chloroform, centrifuged for 15 minutes, then the purified aqueous fraction was evaporated in a water bath until thick extract was obtained (product yield – 0.4 ± 0.1 g), then diluted with water for injection to concentration of 100 mg/ml. The obtained extract of Thymus marschallianus Willd. by this method previously show antimicrobial activity [25]. In addition, the obtained extract of Gratīola officinālis by this method previously shown antitumor activity [24, 26].
Work with laboratory animals
The work with laboratory animals was carried out in accordance with the research protocol that does not contradict Directive 2010/63/eu of the European Parliament and of the Council of the European Union of September 22, 2010 on the Vertebrate Animals used in experimental research. The aim and descriptions of the experiments were approved by the Ethical Commission of the Saratov State Medical University named after V.I. Razumovsky (Protocol No. 4, May 3, 2020).
Study design
The experiment was conducted in accordance with the guidelines for the experimental (preclinical) study of new pharmacological substances4. 15 male outbreed white laboratory rats weighing 200±50 g were injected subcutaneous in the scapula by 0.5 ml of 25% tumor suspension of Hanks solution of the strain hepatic alveolar cancer RS-1, obtained from the bank of tumor strains of the N.N. Blokhin State Research Center of the Russian Academy of Medical Science. Animals with transplanted tumor were randomly divided into 3 groups of 5 rats: the first was a control (negative control) that did not receive extract; the second was an experimental one that receiving alcoholic extract of Thymus marschallianus Willd; the third was an experimental one that receiving aqueous extract of Thymus marschallianus Willd. After the tumor reached 1 cm3 (on the 18th day from the beginning of experiment), the rats in the experimental groups were injected intraperitoneally by extract in dose of 100 mg/kg, once a day for the next 14 days (18-31 day experiment). After extract withdrawal laboratory animals were monitored for 7 days (32-38 day experiment). In connection, animals of all groups were withdrawn from the experiment ahead of schedule on the 32nd day, because tumor has disintegrated in groups receiving alcoholic extract of thyme.
The dynamics of tumor growth was estimated by the change of volume according to the formula:
where: A is the tumor width; B is the thickness; C is the height of the tumor.
Measurements were made with caliper every two days from the beginning of the experiment. To analyze the results, the true mass of the animal was calculated by subtracting the theoretical mass of the tumor (multiplying the volume of the tumor by density) from the weighing mass and true mass change:
where: М – is the weighing weight; V – tumor volume; р – the density of transplanted tumor 0,74 g/cm3 [26].
The change in true weight of the animals (delta) body was determined by subtracting the mass of the animal before the start of experiment from true mass of the animal on experiment day and offered as a percentage. On day 32, the rats were removed from the experiment and samples of organ tissue, tumors, and blood were collected for additional studies.
To study the pathomorphosis of the tumor, morphological and morphometric methods were used standard histological staining with hematoxylin and eosin. In the study of tumor tissue, the presence of dystrophic and necrobiotic changes was assessed, as well as morphometric indicators such as: the diameter of the tumor cell, the ratio of the diameters of the tumor cell and its nucleus, the nuclear cytoplasmic index (NCI). The calculation was carried out on 100 cells in 10 view fields of each micropreparation using medical transmitted light Microvizor μVizo-101 (LOMO, Russia).
Statistical processing of results
Statistical processing of results was performed using the application Software package Statistica 10.0 (StatSoft Inc., USA). The normal distribution of quantitative features and the equality of general variances were checked using the Shapiro-Wilk test and the Fisher’s exact test. Descriptive statistics of quantitative traits were presented in the form of central tendency, median (Me), interval (minimum and maximum values of the studied trait), and interquartile range (25 and 75 percentiles). In the text, these indicators were specified as Me, [min-max], (LQ; UQ). The difference of the groups was determined using the Kruskal-Wallis test and also the Mann-Whitney U-test. The significance of the null statistical hypothesis was 0.05.
RESULTS AND DISCUSSION
In the middle of the experiment a noticeable growth of the tumor was observed in animals receiving ethanol extract of Thymus marschallianus Willd, but significant differences from the control are not found (P = 0.427). The dynamic of changes in the tumor volume of rats receiving aqueous extract, was comparable to the measurements in the control group and did not differ from it (P = 0.919).
Animals of all groups gained maximum weight before the tumor became 1 cm3 in volume (at 11 day). During the experiment, fluctuation in the dynamic of the animals true mass were observed: in the control group, this change was 4.6%.The dynamic vibration of the true weight of animals were also observed when introducing extracts of Thymus marschallianus Willd (18–31 days). In the group receiving ethanol extract, the true body weight of rats increased by 2.7% in the end of the experiment, but these changes in compared with the control were unreliable (P = 0.835). In animal group receiving aqueous extract, it increased by 14.4%, relative to the weight at the beginning of the experiment compared with the control group (P = 0.037) (Table 1).
Table 1 – Dynamic of changes in the volume of the transplanted tumor of rats RS-1 and true body weight of experimental animals
Group Indicator | Control group | Alcoholic thyme extract | Aqueous thyme extract | Р* | Р** |
Ме (LQ; UQ) [min-max] | |||||
Tumor volume | 11087; (3678–22210); | 15150; (4863.5–20736); | 9948; (3072–19941); | 0.583 | 0.329 |
Change in the true body weight of animals | 6.53; (3.7–6.9); [–5.7–11.5] | 0.7; (–2.1–8.7); [–3.1–9.4] | 15.4; (11.3–16.4); [8.0–20.7] | 0.000 | 0.037 |
Note: Me – median, LQ – lower quartile, UQ – upper quartile; [min-max] – the minimum and maximum values of the defined attribute; Р* – the significance of the differences between the groups was assessed using the Kruskal-Wallis test; Р** – the significance of the differences between the two experimental groups was assessed using the Mann-Whitney test.
These changes indicate that in the animal group receiving aqueous thyme extract, body weight loss occurred more slowly than in the control group and the group receiving ethanol extract.
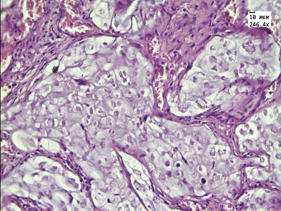
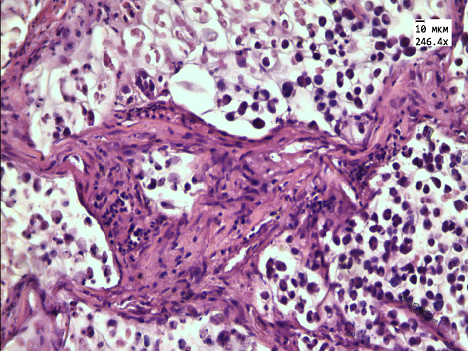
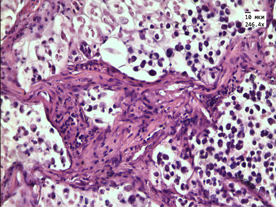
The morphological examination revealed that the transplanted tumor in the control group consisted of cellular structures of different shapes and sizes, separated by thin layers of connective tissue (Fig. 1). Tumor cells of oval or rounded shape, in the cytoplasm are large vacuoles containing mucus and pushing the oval nucleus to the periphery of the cell. The number of mitoses was 6 in one visual field. Single tumor cells of necrosis were noted.
Figure 1 – Histological tumor structure of the control group
Note: the tumor cells are separated by thin layers of connective tissue. Stained with hematoxylin and eosin. Magnification 246.4×.
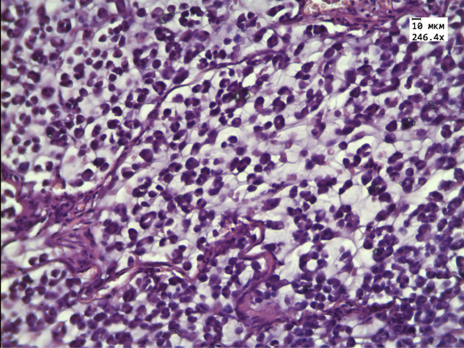
During the morphological and morphometric study of the tumor tissue in the rats group receiving alcoholic thyme extract, attention was paid to the pronounced pathomorphosis mainly in the central parts of the tumor. A large number of “shadow cells”, a decrease in the size of tumor cells, and extensive zones of necrosis were noted. The intact tumor cells are represented by small rounded cells with rounded or bean shaped nuclei with single small vacuoles containing mucus. The tumor cells are located in cells formed by thickened connective tissue partitions with a large number of thin-walled blood vessels. Connective tissue fibers are infiltrated by lymphocytes. Mitosis was determined only in one case of observation (Fig. 2).
Figure 2 – Histological structure of the transplanted hepatic cancer in the group receiving alcohol extract of Thymus marschallianus Willd.
Note: dystrophic and necrotic changes in tumor cells, “shadow cells” (black arrow), thickening of connective tissue partitions (white arrow). Stained with hematoxylin and eosin. Magnification 246.4×.
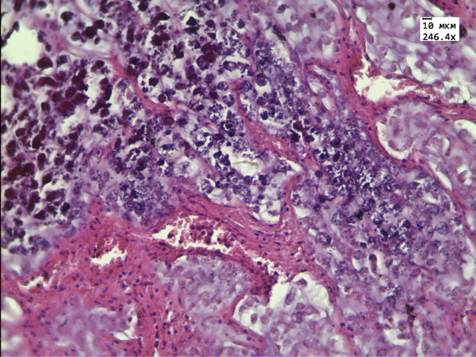
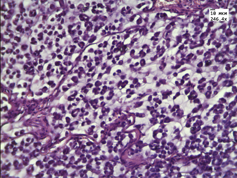
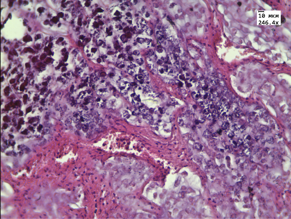
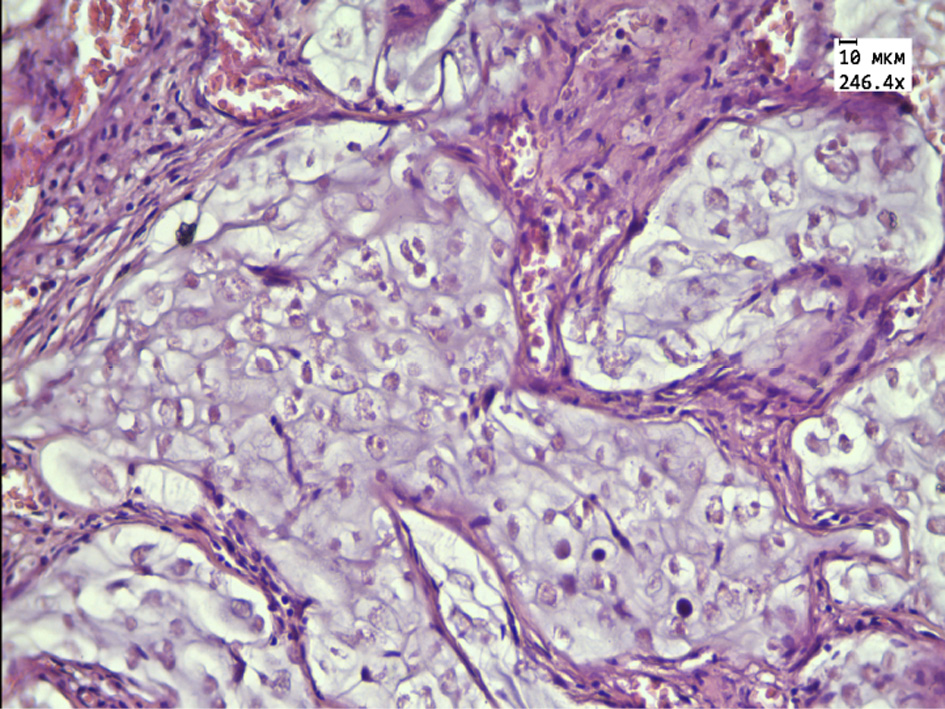
In the group of rats receiving aqueous extract of thyme, the tumor is represented by small rounded cells with a reduced flattened nucleus located on the periphery of the tumor tissue. The central parts are represented by extensive necrotic foci, a large number of “shadow cells” and thickened connective tissue partitions with a large number of blood vessels, as well as extensive clusters of tumor cells with signs of karyopycnosis, nuclear chromatin condensation and karyorexis, and a large number of apoptotic cells (Fig. 3, 4).
Figure 3 – Histological structure of transplanted hepatic cancer in the group receiving aqueous extract of Thymus marschallianus Willd.
Note: necrotic foci of tumor tissue (black arrow), thickening of connective tissue partitions (white arrow). Stained with hematoxylin and eosin. Magnification 246.4×.
Figure 4 – Histological structure of transplanted hepatic cancer in the group receiving aqueous extract of Thymus marschallianus Willd.
Note: nuclear chromatin condensation and karyorexis in tumor cells (white arrow). Stained with hematoxylin and eosin. Magnification 246.4×
The morphometric study determined the decrease in the average number of intact tumor cells in the field of view. In compared with the control group a decrease was observed 2.2 times in the rat groups receiving ethanol extract of thyme, and 7.8 times in the group receiving aqueous extract.
The reducing of tumor cells size was observed in both experimental groups compared to the control group. Thus, in the rats group receiving alcoholic thyme extract, the average diameter of the tumor cell was 1.86 times, and in the group receiving aqueous extract - 1.99 times less than in the control group. In addition, the reducing of nucleus diameter in the tumor cells and also the values of the nuclear-cytoplasmic ratio was noted in both the animal groups receiving ethanol extract (0.43) and aqueous thyme extract (0.38) compared to the control group (0.6) (Table 2).
Table 2 – Morphometric parameters of transferable hepatic cancer cells
Group Indicator | Control group | Alcoholic thyme extract | Aqueous thyme extract | Р* | Р** |
Ме (LQ; UQ) [min-max] | |||||
Cells number in the view field | 90 (82–96); [68–123] | 39 (34–47); [24–64] | 11 (9–15); [6–18] | 0.000 | 0.000 |
Number of necrotic cells | 1 (1–2); [0–4] | 20.05 (11–34); [7–47] | 42 (38–44); [28–54] | 0.000 | 0.000 |
Diameter of t tumor cell | 14 (13–15); [12–21] | 7 (6–8) [6–12] | 7 (6–8); [6–10] | 0.000 | 0.065 |
Diameter of the tumor cell nucleus | 8 (7–9); [6–10] | 3 (3–4) [2–5] | 3 (2–3); [2–3] | 0.000 | 0.000 |
Nuclear-cytoplasmic ratio | 0.6 (0.5–0.6); [0.5–0.8] | 0.43 (0.38–0.5); [0.3–0.83] | 0.38 (0.33–0.43); [0.2–0.5] | 0.001 | 0.001 |
Note: Me – median, LQ – lower quartile, UQ – upper quartile; [min-max] – the minimum and maximum values of the defined attribute; Р* – the significance of the differences between the groups was assessed using the Kruskal-Wallis test; Р** – the significance of the differences between the two experimental groups was assessed using the Mann-Whitney test.
Previously Kubatko P. et al. [16] studied the antitumor activity of Thymus vulgaris L. on models of breast carcinoma in vivo. Chemoprophylaxis (NMU-induced breast caтncer model in female rats) and therapeutic use (4T1 adenocarcinoma model in female mice) were studied experimentally. The animals were fed pellets of thyme grass (the grass was crushed to particles of 2 mm in size and processed using a “cold granulation procedure”) in two concentrations of 1 g/kg and 10 g/kg. The pellets were given to rats a week before the carcinogen would been administered on and continued for up to 15 weeks of the experiment. For mice – from the day of inoculation of carcinoma cells and up to 15 days. Food intake during the experiment was monitored four times in rats and twice in mice for 24 hours. The average daily dose of thyme for rat was 16.27 mg (thyme 1 g/kg) and 172.00 mg (thyme 10 g/kg), for mouse – 2.06 mg (thyme 1 g/kg) and 15.13 mg (thyme 10 g/kg). Thyme dose of 10 g/kg significantly inhibited the formation of breast cancer by 53% compared with the control, but the latency of the tumor and average volume does not significantly change. The chemoprophylactic efficacy (tumor frequency) observed in this rats group significantly correlated with tumors reduced, i.e. a small number of new tumors that grew longer were noted. Thyme at dose of 1 g/kg doesn’t show any significant changes compared with control. The volume of tumors was significantly smaller in the two experimental groups receiving thyme compared with control: 85% in group receiving pellets at concentration of 1 g/kg and 84% in group receiving pellets at concentration of 10 g/kg. Moreover, thyme in both doses significantly reduced the necrosis ratio of entire tumor area –77% (thyme 1 g/kg) and 81% (thyme 10 g/kg) compared with control, as well as the mitotic activity index –31.5% (thyme 1 g/kg) and 25% (thyme 10 g/kg) compared with the control (with adenocarcinomas).
Our in vivo experiment conducted on rats, alveolar hepatic cancer PC-1 was used. Thymus marschallianus Willd. herb extracts were administered intraperitoneal to animals at dose of 100 mg/kg (0.1 g/kg) for 14 days after the tumor became 1 cm3. We studied the effectiveness of the therapeutic use of Thymus marschallianus Willd. extracts. In the article Kubatko P. et al. [16], the general condition of animals (changes of animal weight, appetite) was not described. This does not allow us to compare the antichectic activity of common thyme granules and studied Thymus marschallianus extracts. It should be noted that the rats chemocarcinogen-induced breast carcinogenesis in, thyme granules at dose of 10 g/kg significantly reduced the incidence of tumors (about 53%). That proves the effectiveness of thyme granules use as a chemoprophylactic agent. it is difficult to assess the key parameters of the therapeutic effect (tumor volume) of this experimental model, since the rats with effective chemoprophylaxis had a relatively small number of new tumors compared to the control group. The model of carcinoma transplantation in mice [16], as in our experiment, makes it possible to evaluate the therapeutic effect of the investigated substances, since their action is directed against existing cancer cells. Our experiment was show that the volume of tumors in experimental groups changed in the same way as in the control group, however, histological tumors analysis of animals receiving extracts at dose of 100 mg/kg We revealed a decrease in the number of intact tumor cells in the field of view, pronounced necrobiotic and atrophic changes in tumor cells, the absence of mitosis, proliferation of connective tissue fibers, due to which, probably, the volume of tumors did not decrease. At the same time, the aqueous extract of Thymus marschallianus Willd. showed a more pronounced antitumor effect, since morphological signs of apoptosis were revealed when it was administered.
In the experiment Kubatka P. et al. [16] the volume of tumors in mice receiving thyme granules in two studied doses (1 g/kg and 10 g/kg) was less than in the control group. The results described by the authors are demonstrated several mechanisms of antitumor action studied in the experiment – proapoptotic, antiproliferative, antiangiogenic, antioxidant [16]. Thus, our experiment and research Kubatka P. et al. [16] demonstrated significant anti-cancer activity in vivo of species of the Thymus L. genus (Thymus marschallianus and Thymus vulgaris), but despite the fact that these species are closely related, the nature of the effects manifested is different. It can be assumed that the different changes in the vo- lume of tumors and the different nature of the structural tumor changes of the two experiments are due to the different sensitivity of cancer cells in vivo to phytochemicals, the variability of the chemical composition of the studied plant species, as well as dose dependence.
CONCLUSION
The growth dynamic of tumor volume under the influence of both alcoholic and aqueous extracts of Thymus marschallianus Willd. was similar to the measurements in the control group (no significant differences from the control group were found). At the same time, in both experimental groups receiving thyme extracts, along with necrotic changes, there was an overgrowth of connective tissue fibers, which probably explains the unreliability of changes in the volume of tumor formations in groups.
Morphological analysis of the tumor tissue showed antitumor activity of both alcoholic and aqueous extracts Thymus marschallianus Willd. herb, and this is evidenced by a decrease in the number of preserved tumor cells in the view field, pronounced necrobiotic and atrophic changes in tumor cells, the absence of mitoses, and the growth of connective tissue fibers corresponding to the II-III stage of tumor pathomorphosis [27]. It should be noted that the aqueous extract of Thymus marschallianus Willd showed stronger antitumor activity, since morphological signs of apoptosis were revealed: the appearance of apoptotic bodies, karyopycnosis and condensation of nuclear chromatin in tumor cells. It can be assumed that the more pronounced antitumor effect of the aqueous extract is due to the high yield of flavonoids.
FUNDING
This study did not receive any financial support from outside organizations.
CONFLICT OF INTEREST
The authors declare that there is no conflict of interest.
AUTHORS CONTRIBUTION
Anna S. Sheremetyeva – collection of plant material for the experiment, conducting the experiment and data collection, analysis and interpretation of the data obtained, statistical processing of the results obtained, literature analysis, writing the manuscript; Aneta M. Napsheva – analysis and interpretation of the data obtained, statistical processing of the results obtained, verification of critical intellectual content, final approval for publication of the manuscript; Natalia A. Durnova – research planning, participation in the development of the concept and design of the study, verification of critical intellectual content, final approval for the publication of the manuscript.
1 World Health Organization. Cancer. 2021. Available from: https://www.who.int/ru/news-room/fact-sheets/detail/cancer.
2 Ibid.
3 Fedorov AA, Menitskiy YuL. Flora of the European part of the USSR. Leningrad: Nauka, 1978: 259 p. Russian
4 Mironov A.N., Bunyatyan N.D., Vasiliev A.N., et al. Guidelines for conducting preclinical studies of medicines. Moscow: Grif and K. 2012: 944 p. Russian.
About the authors
Anna S. Sheremetyeva
Saratov State Medical University named after V.I. Razumovsky
Author for correspondence.
Email: anna-sheremetyewa@yandex.ru
ORCID iD: 0000-0002-0022-8318
Senior Lecturer of the Department of General Biology, Pharmacognosy and Botany
Russian Federation, 112, Bolshaya Kazachya Str., Saratov, Russia, 410012Aneta M. Napsheva
Saratov State Medical University named after V.I. Razumovsky
Email: a.napsheva@yandex.ru
ORCID iD: 0000-0002-7471-4335
Candidate of Sciences (Medicine), Associate Professor of the Department of Pathological Anatomy
Russian Federation, 112, Bolshaya Kazachya Str., Saratov, Russia, 410012Natalia A. Durnova
Saratov State Medical University named after V.I. Razumovsky
Email: ndurnova@mail.ru
ORCID iD: 0000-0003-4628-9519
Dean of the Faculty of Pharmacy, Doctor of Sciences (Biology), Associate Professor, Head of the Department of General Biology, Pharmacognosy and Botany
Russian Federation, 112, Bolshaya Kazachya Str., Saratov, Russia, 410012References
- Tursunova NV, Churin BV, Klinnikova MG. Antitumor activity of compounds of natural origin [Protivoopuholevaya aktivnost’ soedinenij prirodnogo proiskhozhdeniya]. Modern problems of science and education. 2018;(5):201. Russian
- Povetyeva TN, Pashinsky VG, Semenov AA, Zhapova TS, Pogodaeva NN, Horuzhaya TG. Research of antitumor and antimetastatic properties of herbal remedies from Baikal aconite [Issledovanie protivoopuholevyh i antimetastaticheskih svojstv rastitel’nyh sredstv iz akonita bajkal’skogo]. Siberian Oncological Journal. 2002;3−4:138−41. Russian
- Prikhodchenko TR, Akentieva NP, Nemirova ES, Gizatullin AR, SHkondina NI. Study of the antitumor activity of plant extracts (Kalanchoe daigremontiana, Aloe arborescens) on cells of multiple myeloma [Izuchenie protivoopuholevoj aktivnosti rastitel’nyh ekstraktov (Kalanchoe daigremontiana, Aloe arborescens) na kletkah mnozhestvennoj mielomy]. Russian Biotherapeutic Journal. 2018; 17(S):59–60. Russian
- Vinokurova OA, Trineva OV, Slivkin AI. Comparative characterisrics of different types of thyme: the composition, properties and application (review) [Sravnitel’naya harakteristika razlichnyh vidov tim’yana: sostav, svojstva, primenenie (obzor)]. Development and registration of medicines.2016;4:134–50. Russian
- Bubenchikova VN, Starchak YuA, Lapina ES. Thymus marchallianus Willd. – a source of pectin substances [Tim’yan Marshalla (Thymus marchallianus Willd.) – istochnik pektinovyh veshchestv]. Successes of modern natural science. 2015;1–7:1139–41. Russian
- Sevastre-Berghian AC, Ielciu I, Mitre AO, Filip GA, Oniga I, Vlase L, Benedec D, Gheldiu AM, Toma VA, Mihart B, Mihuţ A, Bâldea I, Olteanu D, Chis IC, Clichici SV, Hanganu D. Targeting oxidative stress reduction and inhibition of HDAC1, MECP2, and NF-kB pathways in rats with experimentally induced hyperglycemia by administration of Thymus marshallianus Willd. extracts. Front Pharmacol. 2020;11:581470. doi: 10.3389/fphar.2020.581470.
- Sheremetyeva A.S., Frolkova A.V., Durnova N.A. Effect of extraction conditions on the qualitative composition of Marshall thyme herb extracts. Harmonizing approaches to pharmaceutical development: theses collection of the III International scientific and practical conference. Peoples’ Friendship University of Russia. Moscow, 2020:133–6. Russian
- Bubenchikova VN, Starchak YuA. Amino acid and mineral composition of the herb Thymus marchallianus Willd [Zhirnokislotnyj i uglevodnyj sostav travy tim’yana Marshalla (Thymus marchallianus Willd.)]. Scientific notes of the Oryol State University. Series: Natural, Technical and Medical Sciences. 2012;6–1:214–6. Russian
- Starchak YuA, Bubenchikova VN. Fatty acid and carbohydrate composition of Thymus marchallianus Willd. Scientific notes of the Oryol State University. Series: Natural, Technical and Medical Sciences. 2014;1(7):221–2. Russian
- Bubenchikova VN, Starchak YuA, Popova NV. Analysis of hydroxycoric acids in the grass of Thymus serpyllum and Thymus marchallianus Willd [Analiz gidroksikorichnyh kislot v trave tim’yana polzuchego i tim’yana Marshalla]. Journal of Pharmaceuticals Quality Assurance Issues. 2014;4:28–31. Russian
- Bubenchikova VN, Starchak YuA, Bezylagnaya AA. Carboxylic acids of Thymus marchallianus Willd. [Karbonovye kisloty travy tim’yana Marshalla (Thymus marchallianus Willd.)]. Fundamental research. 2015;2-15:3316–8.12. Russian
- Afonso AF, Pereira OR, Cardoso SM. Health-promoting effects of Thymus phenolic-rich extracts: Antioxidant, anti-inflammatory and antitumoral properties. Antioxidants. 2020;9(9):814–34. doi: 10.3390/antiox9090814.
- Rezzoug M, Bakchiche B, Gherib A, Roberta A, Kilinçarslan Ö, Mammadov R, Bardaweel SK. Chemical composition and bioactivity of essential oils and ethanolic extracts of Ocimum basilicum L. and Thymus algeriensis Boiss. Reut. from the Algerian Saharan Atlas. BMC complementary and alternative medicine.2019;19(1):1-10. doi: 10.1186/s12906-019-2556-y.
- Patil SM, Ramu R, Shirahatti PS, Shivamallu C, Amachawadi RG. A systematic review on ethnopharmacology, phytochemistry and pharmacological aspects of Thymus vulgaris Linn. Heliyon. 2021;7(5):e07054. doi: 10.1016/j.heliyon.2021.e07054.
- Niksic H, Becic F, Koric E, Gusic I, Omeragic E, Muratovic S, Duric K. Cytotoxicity screening of Thymus vulgaris L. essential oil in brine shrimp nauplii and cancer cell lines. Scientific Reports. 2021;11(1):1–9. doi: 10.1038/s41598-021-92679-x.
- Kubatka P, Uramova S, Kello M, Kajo K, Samec M, Jasek K, Vybohova D, Liskova A, Mojzis J, Adamkov M, Zubor P, Smejkal K, Svajdlenka E, Solar P, Samuel SM, Zulli A, Kassayova M, Lasabova Z, Kwon TK, Pec M, Danko J, Büsselberg D. Anticancer Activities of Thymus vulgaris L. in Experimental Breast Carcinoma in vivo and in vitro. Int J Mol Sci. 2019 Apr 9;20(7):1749. doi: 10.3390/ijms20071749.
- Heidari Z, Salehzadeh A, Sadat Shandiz SA, Tajdoost S. Anti-cancer and anti-oxidant properties of ethanolic leaf extract of Thymus vulgaris and its bio-functionalized silver nanoparticles. 3 Biotech. 2018 Mar;8(3):177. doi: 10.1007/s13205-018-1199-x.
- Balakina AA, Kuzmina EA, Drevova AN, Mubarak MM, Karsunkina NP, Kalashnikova EA, Cherednichenko MYu. Assessment of the cytotoxic effect of extracts from medicinal plants on the M HeLa cell line [Ocenka citotoksicheskogo dejstviya ekstraktov iz lekarstvennyh rastenij na kletochnuyu liniyu M HeLa]. Bulletin of the Ryazan State Agrotechnical University named after PA Kostychev. 2015;4(28):127–31. Russian
- Bozkurt E, Atmaca H, Kisim A, Uzunoglu S, Uslu R, Karaca B. Effects of Thymus serpyllum extract on cell proliferation, apoptosis and epigenetic events in human breast cancer cells. Nutr Cancer. 2012;64(8):1245–50. doi: 10.1080/01635581.2012.719658.
- Skvortsova IV, Berezutsky MA. Flora of railway embankments of the southern part of the Volga upland [Flora zheleznodorozhnyh nasypej yuzhnoj chasti Privolzhskoj vozvyshennosti]. Volga Ecological Journal. 2008;(1):55–64. Russian
- Kusova RD. Research of flavonoids and oxycoric acids in the herb Thymus marschallianus Willd.[ Issledovanie flavonoidov i oksikorichnyh kislot v trave Thymus marschallianus Willd]. Monthly scientific journal. 2014(2):142–4. Russian
- Bubenchikova VN, Starchak YuA. Study of expectorant activity of thyme plants [Izuchenie otharkivayushchej aktivnosti rastenij roda tim’yan]. Medical Bulletin of Bashkortostan. 2013;8(5):78–80. Russian
- Sheremetyeva AS, Durnova NA, Berezutsky MA. The content of essential oils in the grass of different species of the genus thyme (Thymus L.) [Soderzhanie efirnyh masel v trave raznyh vidov roda tim’yan (Thymus L.)]. Bull of the Botanicl Garden of Saratov State Univ. 2017;15(2):15–9. Russian
- Polukonova NV, Navolokin NA, Durnova NA et al. inventors; Polukonova N.V., Navolokin N.A., proprietors. Method for preparing dry extract of herbal raw material possessing biological activity. RU 2482863. 2012. Russian
- Sheremetyeva AS, Durnova NA, Raikova SV. Investigation of antimicrobial activity of water-alcohol extract of Thymus marschallianus Willd. [Issledovanie antimikrobnoj aktivnosti vodno-spirtovogo ekstrakta tim’yana Marshalla]. Modern trends in the development of health-saving technologies. 2019 Dec 19;509–14. Russian
- Navolokin NA, Mudrak DA, Polukonova NV, Tychina SA, Korchakov NV, Bucharskaya AB, Maslyakova GN. Evaluation of antitumor and anticachexic activity of avran medicinal extract (Gratiola officinalis L.) in rats with an intertwined sarcoma. Siberian Oncological Journal. 2016;15(1):37–43. doi: 10.21294/1814-4861-2016-15-1-37-43. Russian
- Lushnikov EF, Abrosimov AYu. The doctrine of Y.L. Rappoport on pathomorphosis: past and present. Archive of Pathology. 2013;4:62–6. Russian
Supplementary files







