Dacryologic complications of rhinosurgery: a case series analysis
- Authors: Nersesyan M.V.1,2, Krakhovetskiy N.N.3,4, Maydanova A.A.5, Popadyuk V.I.2, Galkina T.A.5
-
Affiliations:
- Ilyinskaya Hospital
- Peoples’ Friendship University of Russia
- M.M. Krasnov Research Institute of Eye Diseases
- Central State Medical Academy of Department of Presidential affairs
- State Research Center — Burnasyan Federal Medical Biophysical Center
- Issue: Vol 30, No 3 (2024)
- Pages: 223-232
- Section: Original study
- Submitted: 16.11.2024
- URL: https://journals.eco-vector.com/2310-3825/article/view/641978
- DOI: https://doi.org/10.33848/fopr641978
- ID: 641978
Cite item
Abstract
BACKGROUND: The number of iatrogenic complications, including dacryologic ones, inevitably increases with the active development of rhino-sinus surgery and the increase in the number of nasal procedures.
AIM: The aim was to evaluate the anatomical causes and the type of structural damage of the vertical part of the lacrimal ducts in cases of dacryocystitis after nasal and sinus surgery.
MATERIALS AND METHODS: The study included a retrospective analysis of 38 case reports of patients with chronic secondary dacryocystitis after nasal and sinus surgery.
RESULTS: Based on the data analysis, patients were divided into three comparable groups according to the level of lacrimal duct damage. Lacrimal duct obstruction was found at the level of the lacrimal sac in group 1 (7 cases), at the level of upper and middle part of nasolacrimal duct in group 2 (21 cases), at the level of lower third of the nasolacrimal duct in group 3 (10 cases). The relationship between the level of damage and the type of previous surgical procedure was evaluated. Retrograde dissection of the uncinate process during endoscopic middle meatal antrostomy was found to be the most common cause of lacrimal duct obstruction (12 cases, 31.58%). Persistent obstruction of the vertical part of the nasal passages was observed after anterior ethmoidectomy, maxillary sinus surgery with partial or total medial wall dissection, inferior turbinate plasty, inferior turbinate mucosal flap, and lateral osteotomy in rhinoplasty.
CONCLUSIONS: The results obtained require further study in a larger, more representative sample of patients.
Full Text
ОБОСНОВАНИЕ
В настоящее время наблюдается тенденция к активному развитию риносинусохирургии: усовершенствование хирургического инструментария и оборудования, появление новых методик оперативных вмешательств, что повышает их эффективность и безопасность. Однако рост числа операций неизбежно приводит к увеличению количества ятрогенных осложнений [1]. W. Hosemann и C. Draf подразделяли осложнения функциональной эндоскопической ринохирургии на «большие» и «малые», при этом частота «малых» составляла до 5 %, а «больших» находилась в диапазоне 0,5–1 % [1]. Если говорить об офтальмологических осложнениях интраназальных вмешательств, по данным литературных источников, частота их развития не превышает 1 % [2–4]. Однако, по данным некоторых авторов, этот показатель может составлять до 6 % [2, 4–7].
Повреждение структур вертикального отдела слезоотоводящих путей (СОП) V. Siedek и соавт. [2] относят ко II классу офтальмологических осложнений (крупные) ринологических операций. W. Hosemann и C. Draf [1] также считают это большим (grade B — необратимым) орбитальным осложнением. В результате повреждений могут возникнуть явления транзиторного или стойкого дакриостеноза или облитерации вертикального отдела СОП [5, 8]. Клинически это проявляется наличием эпифоры, отделяемого из СОП, развитием хронического дакриоцистита, что в большинстве случаев требует хирургического вмешательства с целью восстановления проходимости СОП [8]. Изучение причин развития офтальмологических осложнений актуально, в том числе с целью разработки комплекса мероприятий по их предотвращению.
Цель — анализ анатомических причин и характера повреждения структур вертикального отдела слезоотводящих путей в случаях возникновения дакриоцистита после хирургических вмешательств на структурах полости носа и околоносовых пазухах, предложить методы профилактики их возникновения.
МАТЕРИАЛЫ И МЕТОДЫ
Проведен ретроспективный анализ 38 историй болезни пациентов с хроническим вторичным дакриоциститом после предшествующего вмешательства на структурах полости носа и околоносовых пазухах, которые проходили лечение в отделении патологии слезного аппарата ФГБНУ НИИ глазных болезней им. М.М. Краснова, а также в отделении оториноларингологии ФГБУ ГНЦ ФМБЦ им. А.И. Бурназяна ФМБА в период с марта 2021 по июль 2024 г. Из них 68,42 % составили женщины (26 случаев), 31,58 % мужчины (12 случаев). Возраст пациентов составлял от 24 до 68 лет (средний возраст — 46,4 ± 7,2 года).
Для установки диагноза выполнили стандартное офтальмологическое, ринологическое обследование, в частности риноэндоскопию, а также дакриологическое обследование. Всем пациентам выполняли мультиспиральную компьютерную томографию (МСКТ) с контрастированием СОП. По данным анамнеза, результатам МСКТ и анатомическим изменениям полости носа, выявленным при риноэндоскопии, проанализирован характер предыдущих хирургических вмешательств, которые привели к развитию вторичной непроходимости вертикального отдела СОП. При анализе томограмм оценивали также характер и локализацию повреждений структур вертикального отдела СОП. По результатам полученных данных пациенты были распределены на три группы:
- 1-я группа (7 случаев) — повреждение СОП на уровне слезного мешка (саккальные);
- 2-я группа (21 случай) — локализация на уровне верхних и средних отделов носослезного канала (НСК);
- 3-я группа (10 случаев) — повреждение на уровне нижней трети НСК.
Всем пациентам выполнено плановое хирургическое лечение в объеме эндоскопической эндоназальной дакриоцисториностомии (ЭЭ ДЦР) по методике P. Wormald [3].
РЕЗУЛЬТАТЫ И ОБСУЖДЕНИЕ
Анализ полученных данных показал, что самой частой причиной травматизации структур вертикального отдела СОП были различные хирургические вмешательства на верхнечелюстной пазухе (ВЧП), такие как эндоскопическая эндоназальная риноантростомия в среднем носовом ходе, с частичной либо тотальной резекцией медиальной стенки ВЧП. Это обусловлено их тесным топографоанатомическим взаиморасположением и техникой выполнения операции [8–11].
Структура пациентов по этиологическому фактору представлена в табл. 1.
Таблица 1. Структура пациентов по этиологическому фактору
Table 1. Morbidity structure by etiology
Первичная операция (этиологический фактор) | Число случаев (%) |
Эндоскопическая риноантростомия в среднем носовом ходе | 12 (31,58) |
Вмешательства на верхнечелюстной пазухе с частичной либо тотальной резекцией ее медиальной стенки | 10 (26,31) |
Конхопластика нижних носовых раковин | 6 (15,79) |
Инфратурбинальное формирование лоскута слизистой оболочки | 2 (5,26) |
Остеотомия при ринопластике | 2 (5,26) |
Другое | 6 (15,79) |
Рассмотрим анатомические особенности.
Носослезный канал проходит в латеральной стенке полости носа в направлении около 3–40° кзади (в среднем около 20°), книзу и латерально и имеет среднюю протяженность 12 мм [8–10, 12]. Носослезный проток (НСП), расположенный в просвете костного НСК, — это непосредственное продолжение слезного мешка. Носослезный канал образован структурами нижней носовой раковины в нижних отделах, верхнечелюстной кости латерально и кпереди и слезной костью в верхних отделах. Слезная кость имеет толщину около 0,1 мм [8–10, 12], а в 0,9 % случаев может полностью отсутствовать [9, 12]. Кзади и в задненижних отделах она граничит с вертикальной пластиной крючковидного отростка, а в ряде случаев бывает прикрыта его участком. Среднее расстояние между естественным соустьем ВЧП и НСК составляет 5,5 мм [8–10, 12, 14–16]. По данным литературы, наименьшее расстояние, которое было зафиксировано при отсутствии анатомических аномалий строения, составило 4,8 мм [8, 11]. И еще один из частых анатомических вариантов — предлежание клетки валика носа (agger nasi) к структурам слезной ямки.
Кроме того, необходимо отметить, что дегисценция костных стенок клеток решетчатого лабиринта возникает в 53,2 % случаев [12, 13]. Именно близкое взаиморасположение вышеуказанных структур обусловливает высокий риск травматизации НСК в ходе различных хирургических вмешательств на структурах полости носа и околоносовых пазухах, а также в области наружного носа. По данным литературных источников, зачастую (до 98,3 %) это не приводит к возникновению какой-либо клинической симптоматики, в частности эпифоры [1, 8, 14, 17]. В случаях же, когда появляется эта симптоматика, она может носить транзиторный характер с последующим восстановлением оттока слезы и отсутствием у пациента жалоб на слезотечение [1, 5, 8, 18, 19]. Помимо этого, T.H. Nguyen и соавт. [5] отмечают, что в случаях персистирующей эпифоры, возникшей после FESS-хирургии (functional endoscopic sinus surgery, функциональная эндоскопическая хирургия носа и околоносовых пазух), у 46 % пациентов область хирургического вмешательства не имела непосредственной топографоанатомической связи со структурами вертикального отдела СОП и на самом деле была обусловлена развитием реактивного отека слизистой оболочки. Интересная закономерность, по мнению W. Hosemann и C. Draf [1], — достоверно более частое поражение структур полости носа слева у хирургов-правшей.
Наши данные о локализации травматических повреждений и частота их встречаемости представлены в табл. 2.
Таблица 2. Локализация травматических повреждений и частота их встречаемости
Table 2. Localization and incidence rates of traumatic injuries
Локализация повреждений | Частота встречаемости (%) |
Повреждение СОП на уровне слезного мешка (саккальные) (группа 1) | 7 (18, 4) |
Повреждение на уровне верхних и средних отделов НСК (группа 2) | 21 (55,3) |
Повреждение на уровне нижней трети НСК (группа 3) | 10 (26,3) |
Примечание. СОП — слезоотоводящие пути; НСК — носослезный канал.
Мы попытались выявить, существует ли зависимость уровня повреждения НСК от вида предшествующей операции. Распределение этиологических факторов при различной локализации повреждения представлены в виде рис. 1–3.
Рис. 1. Повреждение слезоотводящих путей на уровне слезного мешка (саккальные), группа 1
Fig. 1. Lacrimal duct damage at the level of the lacrimal sac (saccal), Group 1
Рис. 2. Повреждение на уровне верхних и средних отделов носослезного канала (постсаккальные), группа 2
Fig. 2. Damage at the level of the upper and middle parts of the nasolacrimal canal (post-saccal), Group 2
Рис. 3. Повреждение на уровне нижней трети носослезного канала (постсаккальные), группа 3
Fig. 3. Damage at the level of the lower third of the nasolacrimal canal (post-saccal), Group 3
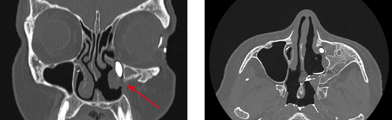
Наиболее распространенной причиной дакриоцистита оказалась ретроградная резекция крючковидного отростка с помощью обратного выкусывателя или при использовании микродебридера в ходе эндоназальной риноантростомии (12 случаев, 31,58 %). Интересно, что повреждение чаще всего было локализовано в области задневерхних отделов НСК, а также в области шейки слезного мешка (рис. 4). Наши данные согласуются с данными литературных источников [1, 2, 4–6, 8, 13, 14, 17].
Рис. 4. Облитерация носослезного протока справа на уровне верхней трети после осуществления ретроградной инфундибулотомии справа. Мультиспиральная компьютерная томография выполнена через 3 мес. после проведенной FESS (стрелки)
Fig. 4. Right nasolacrimal duct obliteration at the level of the upper third after right retrograde infundibulotomy. Multislice computed tomography at 3 months after FESS (arrows)
Некоторые авторы акцентируют внимание на положении инструмента при выполнении инфундибулотомии с целью минимизации риска данного осложнения. Выкусывающие движения предложено выполнять, избегая направления кверху и не продвигаясь слишком кпереди, при необходимости проводя расширение антростомы в среднем носовом ходе кзади и книзу [6, 8].
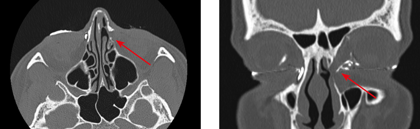
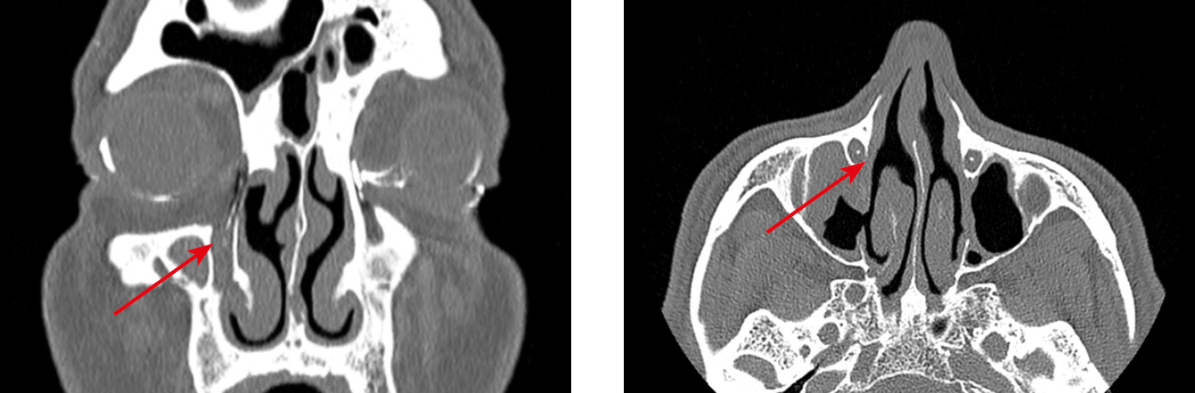
Облитерация СОП на уровне нижней трети НСК возникала также у пациентов после таких хирургических вмешательств, как различные виды конхопластик нижних носовых раковин (6 случаев). В двух случаях облитерация устья НСП сформировалась после выкраивания лоскутов в области нижнего носового хода: с целью пластического закрытия перфорации перегородки носа (1 случай, рис. 5), а также при проведении инфратурбинальной антростомии (1 случай, рис. 6). По данным МСКТ костная часть НСК у этих пациентов оставалась интактной. При планировании вмешательства в нижнем носовом ходе целесообразно определить локализацию устья НСП, во избежание его травматизации. В случаях недостаточной визуализации устья НСП возможна его идентификация при промывании СОП, в том числе с использованием красителя [25].
Рис. 5. Случай неудачной попытки пластики перфорации перегородки носа. Развитие вторичного дакриоцистита с частичной проходимостью носослезного протока (OS) после забора лоскута слизистой оболочки в области нижнего носового хода слева, формирование дакриостеноза на уровне устья носослезного протока (стрелка)
Fig. 5. A case of plasty failure for nasal septal perforation. Secondary dacryocystitis with partial patency of the nasolacrimal duct (OS) after dissection of a mucosal flap in the left inferior nasal passage, dacryostenosis at the level of the nasolacrimal orifice (arrow)
Рис. 6. Хронический дакриоцистит (OD) с частичной проходимостью носослезного протока после гайморотомии, дакриостеноз носослезного канала на уровне нижней трети (стрелки)
Fig. 6. Chronic dacryocystitis (OD) with partial patency of the nasolacrimal duct after maxillary sinusotomy, dacryostenosis of the nasolacrimal duct at the level of the lower third (arrows)
В одном из случаев непроходимость СОП возникла после эндоназальной гайморотомии, выполненной прелакримальным доступом (рис. 7). Этот доступ был предложен N. Liang и соавт. в 2008 г. в качестве альтернативы доступу через переднюю стенку ВЧП [20]. По рекомендациям авторов, с целью избежания возможных осложнений при планировании такой операции необходимо предварительно оценить расстояние от заднего края передней стенки ВЧП до переднего края НСК по данным МСКТ, а также размеры самого прелакримального кармана [20–22]. По мнению H.B. Koo и соавт. [22], в ситуациях, когда это расстояние недостаточно (менее 3 мм — 1-й тип либо находится в диапазоне от 3 до 7 мм — 2-й тип строения), следует отдать предпочтение другим видам доступов.
Рис. 7. Нарушение проходимости (дакриостеноз) носослезного протока на уровне нижней трети (OU) после гайморотомии прелакримальным доступом. Справа контрастное вещество, введенное в слезоотводящие пути, частично дренируется в верхнечелюстную пазуху
Fig. 7. Obstruction (dacryostenosis) of the lacrimal ducts at the level of the lower third (OU) after maxillary sinusotomy using the prelacrimal approach. Right maxillary sinus partial drainage of contrast injected into the lacrimal ducts
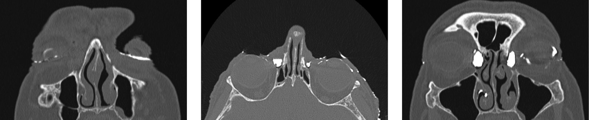
Интересен тот факт, что в двух случаях нашей серии нарушение проходимости СОП возникло после осуществления вмешательств на структурах наружного носа, а именно при проведении остеотомии в ходе ринопластики (рис. 8–10). По данным литературных источников, такие осложнения встречаются крайне редко, в основном при латеральной остеотомии [23, 24].
Рис. 8. Состояние после риносептопластики. Саккальная непроходимость слезоотводящих путей слева после проведения латеральной остеотомии (стрелки)
Fig. 8. Status post rhinoseptoplasty. Left lacrimal duct obstruction after lateral osteotomy (arrows)
Рис. 9. Двустороннее нарушение проходимости вертикального отдела слезоотводящих путей; слева — после проведения латеральной остеотомии на уровне верхней трети носослезного канала (постсаккальная непроходимость)
Fig. 9. Bilateral obstruction of the vertical part of the lacrimal ducts; on the left, status post lateral osteotomy at the level of the upper third of the nasolacrimal canal (post-saccal obstruction)
Рис. 10. Состояние после медиальной максиллотомии слева, септопластики. Хронический дакриоцистит (OS) с частичной проходимостью носослезного протока, дакриостеноз носослезного протока на уровне нижней трети носослезного канала (стрелка)
Fig. 10. Status post left maxillary medial sinusotomy, septoplasty. Chronic dacryocystitis (OS) with partial patency of the nasolacrimal duct, dacryostenosis of the nasolacrimal duct at the level of the lower third of the nasolacrimal canal (arrow)
Дискутабельным вопросом остается алгоритм действий хирурга в случае подозрения на интраоперационную травматизацию структур СОП. По мнению ряда авторов, в таких ситуациях в первую очередь необходимо выполнить идентификацию структур вертикального отдела СОП в полости носа под эндоскопическим контролем. При небольших повреждениях в большинстве случаев клиническая симптоматика может отсутствовать либо носить транзиторный характер. Наиболее рациональным подходом в таком случае будет динамическое наблюдение пациента в послеоперационном периоде [8, 27], в ходе которого возможно проведение промываний СОП с растворами глюкокортикостероидов с целью купирования реактивных воспалительных процессов в раннем послеоперационном периоде.
В ситуациях, когда хирург может расценить повреждение СОП как состояние, требующее коррекции в ходе операции, принятие решения о ее необходимости и тактике в каждом конкретном случае индивидуально. Так, при непреднамеренной травматизации устья НСП целесообразно проведение его пластики [8, 25].
При саккальной локализации повреждения R. Nowak и соавт. [26] предложили оригинальную методику пластики дефекта стенки вертикального отдела СОП лоскутом слизистой оболочки, взятым со дна полости носа ипсилатеральной стороны. При необходимости резекции структур медиальной стенки полости носа, например, при операции медиальной максиллэктомии (рис. 10), некоторые авторы предлагают симультанное проведение ДЦР как профилактику возможных ятрогенных осложнений со стороны вертикального отдела СОП [11, 23]. В то же время наиболее распространенная в этом случае хирургическая тактика — это пересечение НСП после его предварительной идентификации и освобождения от костных структур в области перехода слезного мешка в НСП, избегая при этом коагуляции [8]. А. Imre и соавт. [18] сообщают о высокой эффективности подобного подхода.
В нашей серии наблюдений у всех пациентов была стойкая непроходимость структур вертикального отдела СОП, поэтому с целью восстановления этой проходимости всем пациентам была выполнена ЭЭ ДЦР. Интубацию НСП в ходе оперативного вмешательства проводили по показаниям, в частности, при адгезивных формах дакриоцистита, что было отмечено у 3 пациентов (7,9 %) с саккальной локализацией повреждений. Срок наблюдения пациентов в послеоперационном периоде составлял от 3 до 36 мес., рецидивов нами отмечено не было. По данным литературных источников, ЭЭ ДЦР — это операция выбора в случаях ятрогенных дакриоциститов [7–9], а альтернативные вмешательства (ДЦР наружным доступом, дакриоцистэктомия, лакориностомия) осуществлялись в случаях невозможности ее проведения, например при наличии металлических конструкций, установленных в ходе предшествующего вмешательства [7, 8, 26–28].
ЗАКЛЮЧЕНИЕ
- Наиболее часто НСК травмируется при оперативных вмешательствах на ВЧП. В основном это происходит при ретроградном парциальном или полном удалении крючковидного отростка. В связи с этим наиболее частый локус повреждения — задневерхние отделы НСК. С целью минимизации вероятности травмирования НСК при работе обратным выкусывателем не следует направлять инструмент кверху, а антростому желательно расширять в задненижнем направлении от естественного соустья пазухи.
- Операции на структурах полости носа и ОНП следует планировать с тщательным предварительным анализом МСКТ-исследования, определяя тактику оперативного вмешательства с учетом расстояния до структур вертикального отдела СОП.
- В ходе операций на структурах медиальной стенки полости носа, особенно в области нижнего носового хода, необходима идентификация устья НСП, что возможно, например, при промывании СОП, в том числе с использованием подкрашивающего вещества.
- При необходимости проведения хирургических вмешательств с резекцией структур латеральной стенки полости носа оптимальной тактикой стало пересечение НСП острым путем в области перехода слезного мешка в НСП, избегая при этом коагуляции.
- При возникновении ятрогенного ДЦ после хирургических вмешательств на полости носа наиболее результативная тактика лечения — проведение ЭЭ ДЦР.
ДОПОЛНИТЕЛЬНАЯ ИНФОРМАЦИЯ
Вклад авторов. Все авторы внесли существенный вклад в разработку концепции, проведение исследования и подготовку статьи, прочли и одобрили финальную версию перед публикацией.
Личный вклад авторов: Н.Н. Краховецкий — хирургическое лечение; М.В. Нерсесян — анализ полученных данных, написание текста; А.А. Майданова — хирургическое лечение, сбор и обработка информации, написание текста; В.И. Попадюк — сбор и обработка материалов, написание текста; Т.А. Галкина — написание текста, обзор литературы.
Источник финансирования. Авторы заявляют об отсутствии внешнего финансирования при проведении исследования.
Конфликт интересов. Авторы декларируют отсутствие явных и потенциальных конфликтов интересов, связанных с публикацией настоящей статьи.
Этический комитет. Не применимо.
Информированное согласие на публикацию. Получено согласие пациентов (их представителей) на участие в исследовании и публикацию данных.
ADDITIONAL INFORMATION
Author contribution. All authors made a substantial contribution to the conception of the study, acquisition, analysis, interpretation of data for the work, drafting and revising the article, final approval of the version to be published and agree to be accountable for all aspects of the study.
Personal contribution of the authors: N.N. Krakhovetskiy — surgical treatment; M.V. Nersesyan — analysis of the obtained data, writing the text; A.A. Maydanova — surgical treatment, collection and processing of information, writing the text; V.I. Popadyuk — collection and processing of materials, writing the text; T.A. Galkina — writing the text, literature review.
Funding source. This study was not supported by any external sources of funding.
Competing interests. The authors declare that they have no competing interests.
Ethics approval. Not applicable.
Consent for publication. Consent of patients (their representatives) for participation in the study and publication of data was obtained.
About the authors
Marina V. Nersesyan
Ilyinskaya Hospital; Peoples’ Friendship University of Russia
Email: nermarina@yahoo.com
ORCID iD: 0000-0003-2719-5031
SPIN-code: 9757-6725
MD, Dr. Sci. (Medicine), Head and Neck Surgery Center
Russian Federation, Moscow; MoscowNikolay N. Krakhovetskiy
M.M. Krasnov Research Institute of Eye Diseases; Central State Medical Academy of Department of Presidential affairs
Email: nnk@niigb.ru
ORCID iD: 0000-0002-3247-8418
SPIN-code: 8112-2018
MD, Cand. Sci. (Medicine)
Russian Federation, Moscow; MoscowAnastasiya A. Maydanova
State Research Center — Burnasyan Federal Medical Biophysical Center
Email: amaydanova@yandex.ru
ORCID iD: 0000-0002-3937-0530
SPIN-code: 6838-4955
Russian Federation, Moscow
Valentin I. Popadyuk
Peoples’ Friendship University of Russia
Author for correspondence.
Email: popadyuk@mail.ru
ORCID iD: 0000-0003-3309-4683
SPIN-code: 6284-8040
MD, Dr. Sci. (Medicine)
Russian Federation, MoscowTatiana A. Galkina
State Research Center — Burnasyan Federal Medical Biophysical Center
Email: tatagalkina@rambler.ru
ORCID iD: 0000-0001-7848-6045
SPIN-code: 8485-2131
MD, Cand. Sci. (Medicine)
Russian Federation, MoscowReferences
- Hosemann W, Draf C. Danger points, complications and medico-legal aspects in endoscopic sinus surgery. GMS Curr Top Otorhinolaryngol Head Neck Surg. 2013;12:Doc06. doi: 10.3205/cto000098
- Siedek V, Pilzweger E, Betz C, et al. Complications in endonasal sinus surgery: a 5-year retrospective study of 2,596 patients. Eur Arch Otorhinolaryngol. 2013;270:141–148. doi: 10.1007/s00405-012-1973-z
- Wormald PJ. Powered endonasal dacryocystorhinostomy. Larynoscope. 2002;112:69–72. doi: 10.1097/00005537-200201000-00013
- Duvanova ED, Danilov SS, Grusha YO. Ophthalmic complications of endoscopic sinus surgery. Russian Annals of Ophthalmology. 2022;138(2):108–113. EDN: XAQCJL doi: 10.17116/oftalma2022138021108
- Nguyen TH, Venturelli N, Espinoza S, et al. Persistent epiphora after endonasal ENT surgery: CT dacryography findings. J Fr Ophtalmol. 2022;45(3):306–313. doi: 10.1016/j.jfo.2021.12.010
- Serdahl CL, Berries CE, Chole RA. Nasolacrimal duct obstruction after endoscopic sinus surgery. Arch Ophthalmol. 1990;108:391–392. doi: 10.1001/archopht.1990.01070050089038
- Mukherjee B, Gudkar AI, Nair AG, et al. Iatrogenic nasolacrimal duct obstruction after adnexal intervention: An avoidable consequence. Oman J Ophthalmol. 2021;14(3):157–161. doi: 10.4103/ojo.ojo_462_20
- Gupta N. Endoscopic Dacryocystorhinostomy. Springer Singapore; 2021. doi: 10.1007/978-981-15-8112-0
- Kakizaki H. Anatomy, physiology, and immunology of the lacrimal system. In: Ali MJ, editor. Principles and Practice of Lacrimal Surgery. 2nd edition. Springer Singapore; 2018. P. 16–33.
- Takahashi Y, Nakamura Y, Nakano T, et al. The narrowest part of the bony nasolacrimal canal: an anatomical study. Ophthalmic Plast Reconstr Surg. 2013;29:318–322. doi: 10.1097/IOP.0b013e31828de0b0
- Sarber KM, O’Connor PD, Doellman MS, et al. Surgical relationship of the nasolacrimal system to the maxillary line: Performing safe mega antrostomy. Allergy Rhinol (Providence). 2015;6(3):158–161. doi: 10.2500/ar.2015.6.0138
- Burkat CN, Lucarelli MJ. Anatomy of the lacrimal system. In: Cohen AJ, Brazzo B, eds. The lacrimal system: diagnosis, management, and surgery. New York: Springer; 2006.
- Ali MJ, Murphy J, Wormald PJ, Psaltis AJ. Bony nasolacrimal duct dehiscence in functional endoscopic sinus surgery: radiological study and discussion of surgical implications. J Laryngol Otol. 2015;129 Suppl 3:S35–40. doi: 10.1017/S0022215115000778
- Unlü HH, Gövsa F, Mutlu C, et al. Anatomical guidelines for intranasal surgery of the lacrimal drainage system. Rhinology. 1997;35(1):11–15.
- Fasina O, Ogbole GI. CT assessment of nasolacrimal canal in a black African population. Ophthalmic Plast Reconstr Surg. 2013;29(3):231–233. doi: 10.1097/IOP.0b013e3182873d2e
- McCormick A, Sloan B. The diameter of nasolacrimal canal measured by computed tomography: gender and racial differences. Clin Exp Ophthalmol. 2009;37(4):357–361. doi: 10.1111/j.1442-9071.2009.02042.x
- Unlu HH, Goktan C, Aslan A, Tarhan S. Injury to the lacrimal apparatus after endoscopic sinus surgery: surgical implications from active transport dacryocystography. Otolaryngol Head Neck Surg. 2001;124(3):308–312. doi: 10.1067/mhn.2001.112433
- Imre A, Imre SS, Pinar E, et al. Transection of nasolacrimal duct in endoscopic medial maxillectomy: implication on epiphora. J Craniofac Surg. 2015;26(7):e616–619. doi: 10.1097/SCS.0000000000002115
- Karpishchenko SA, Beldovskaya NY, Baranskaya SV, Karpov AA. Ophthalmic comlications of functional endoscopic sinus surgery. Ophthalmology reports. 2017;10(1):87–92. EDN: YNAGTR doi: 10.17816/OV1087-92
- Liang N, Qu J, Huang Q, Zhou B. Prelacrimal recess approach for maxillary sinus inverted papilloma: a 15-year experience from a single center. Eur Arch Otorhinolaryngol. 2024;281(9):4763–4771. doi: 10.1007/s00405-024-08551-x
- Yeguas-Ramírez L, Santamaría-Gadea A, Vaca-González M, et al. Minimally Anterior Medial Maxillary Approach (MAMMA): a novel technique for a wide access to the maxillary sinus. Eur Arch Otorhinolaryngol. 2024;281(4):1799–1806. doi: 10.1007/s00405-023-08335-9
- Koo HB, Lee JH. Effect of anterior maxillary wall shape on ease of prelacrimal recess approach among Asians and Westerners. Eur Arch Otorhinolaryngol. 2023;280(5):2317–2322. doi: 10.1007/s00405-022-07768-y
- Jamshidian Tehrani M, Asadi Khameneh E, Veisi A. lacrimal drainage system problems after rhinoplasty. Aesthetic Plast Surg. 2021;45(1):255–260. doi: 10.1007/s00266-020-01929-2
- Çetin YS, Akin R. Dacryocystitis with skin defects secondary to septorhinoplasty. J Craniofac Surg. 2022;33(1):e69–e71. doi: 10.1097/SCS.0000000000007953
- Atkova EL, Krakhovetskiy NN, Yartsev VD, Mazurova YuV. Meatoplasty — an effective method for surgical treatment of patients with nasolacrimal duct ostium stenosis. Russian bulletin of otorhinolaryngology. 2019;84(4):28–32. EDN: WPWMCI doi: 10.17116/otorino20198404128
- Nowak R, Nowak-Gospodarowicz I, Rekas M, Ali MJ. Lacrimal sac reconstruction using a nasal mucosal graft. Ophthalmic Plast Reconstr Surg. 2022;38(5):e150–e152. doi: 10.1097/IOP.0000000000002189
- Sadeghi N, Joshi A. Management of the nasolacrimal system during trans nasal endoscopic medial maxillectomy. Am J Rhinol Allergy. 2012;26(2):e85–88. doi: 10.2500/ajra.2012.26.3737
- Agarwal A, Naik M, Ali MJ, Bothra N. The role of CT-DCG in hardware — associated secondary acquired lacrimal duct obstruction: SALDO update study — (SUP) — Paper III. Am J Ophthalmol Case Rep. 2024;34:102026. doi: 10.1016/j.ajoc.2024.102026
Supplementary files












