Variants of proportionality of gonional-occlusal and condylar-occlusal height of the mandibular branch in physiological occlusion of permanent teeth
- Authors: Dmitrienko T.D.1, Yagupova V.T.1, Kerobyan V.I.1
-
Affiliations:
- Volgograd State Medical University
- Issue: Vol 22, No 2 (2025)
- Pages: 34-40
- Section: Articles
- Published: 26.07.2025
- URL: https://journals.eco-vector.com/2658-4514/article/view/688300
- DOI: https://doi.org/10.19163/2658-4514-2025-22-2-34-40
- ID: 688300
Cite item
Full Text
Abstract
The variability in the size of the branches of the lower jaw determines the relevance of assessing the proportionality of its main parts. In intravital conditions, X-ray methods of examination occupy a special place in diagnosis. Purpose. To determine the main vertical parameters of the mandibular branch and its components in physiological occlusion of permanent teeth. Material and methods. An analysis of 74 sets of radiographs, including orthopantomograms and teleradiographs of people with signs of physiological occlusion, was carried out. The mandibular branch was conditionally divided by a line running through the distal occlusal point into two sections, the upper occlusal articular and the lower occlusal gonional. Results and discussion. In the course of the analysis of radiographs of people with physiological types of occlusion, it was found that the height of the mandibular branch averaged (61.28 ± 1.24) mm. The ratio of the upper part to the lower part was 1.97 ± 0.07. The relative ratio in the range from 1.8 to 2.1 allowed us to distinguish 3 groups. The first group included radiographs in which the relative indicator corresponded to the mean values (1.8–2.1). The second group included radiographs with a reduced ratio of parts of the mandibular branch (less than 1.7). In the third group, the ratio of parts of the mandibular branch exceeded 2.2. Conclusion. On average, the height of the upper occlusal articular part of the branch was twice the size of the lower occlusal gonional part, which can be used both in the clinic of orthodontics and maxillofacial surgery when planning operations to model the branch of the lower jaw.
Full Text
Нижняя челюсть является наиболее вариабельной костью лицевого черепа [1]. Размеры ветви и тела челюсти определяют вариабельность органа как в пределах границ анатомической нормы, так и определяют различные виды аномалий челюстно-лицевой области.
Особое место в вариантной анатомии отводится величине нижнечелюстного угла, который зависит не только от периода онтогенеза, но и от типа роста гнатического отдела лица [2, 3].
Анатомия тела нижней челюсти представлена двумя частями: альвеолярной частью и непосредственно телом челюсти, которые разделены апикальными частями корней зубов нижней челюсти. Вполне вероятно, что высота альвеолярной части зависит от высоты корней зубов, при измерении которых ориентируются на условную срединную вертикаль [4, 5].
Немаловажное значение отводится и высоте коронок зубов, которые вместе с альвеолярной частью челюсти формируют зубочелюстные сегменты, размеры которых представлены в работах специалистов [6].
Размеры челюстей и особенно их альвеолярных частей определяется периодом прикуса ребенка. Наибольшие изменения размеров нижней челюсти и ее ветви происходят в периоде сменного прикуса и связаны со сменой генераций зубов [7, 8].
Размеры коронок зубов определяются дентальными типами зубных дуг, среди которых встречаются как макро-, так и микродентальные варианты зубочелюстных дуг [9, 10]. Отмечено, что типологические варианты зубных дуг коррелируют с размерами краниофациального компелекса.
Для одонтометрии и биометрии зубочелюстных дуг предложено множество хрестоматийных и современных методов исследования [11]. Методы достаточно точно определяют исследуемые параметры, но не определяют их влияние на размеры нижней челюсти и ее ветви.
Для оценки размеров зубов, зубочелюстных сегментов, тела и ветви челюсти широкое применение нашли рентгенологические методы исследования, включая конусно-лучевую томографию [12]. Приведены сведения о размерах гнатической части лица. Отмечено, что при некоторых патологических состояний и, в частности, при недифференцированной дисплазии, снижается высота носовой части лица, что отражается на соразмерности лицевого отдела головы [13].
Метод ортопантомографии позволяет оценить форму, размеры, положение и количество зубов [14]. Для оценки линейных и угловых параметров предложены методы исследования. Однако в приведенных исследованиях не указано соотношение частей ветви нижней челюсти, которые, как правило, оказывают влияние на высоту гнатического отдела лица. При анализе рентгенограмм окклюзионная линия, как правило, делит гнатическую часть лица на два отдела: верхнечелюстной и нижнечелюстной [15]. Однако продолжение указанного ориентира в сторону ветвей может служить условной границей между окклюзионно-суставной и окклюзионно-альвеолярной частями ветви. Тем не менее в литературе мы не встретили подобных исследований.
На размеры челюстей оказывают влияние аномалии челюстно-лицевой области, среди которых особое значение имеют асимметричные формы [16]. Вполне очевидно влияние снижение высоты прикуса на размеры нижней челюсти, ее ветви и костных элементов нижнечелюстного сустава.
Однако в приведенных исследованиях не отмечена вариабельность вертикальных размеров ветви челюсти и ее составных частей. Спорными остаются вопросы о границе между ветвью и телом челюсти. Нет сведений о соотношении вертикальных размеров частей ветви, которые условно можно разделить на нижнюю и верхнюю части, которую можно рассматривать как окклюзионно-суставную, что и послужило целью работы.
Цель работы
Определить основные вертикальные параметры ветви нижней челюсти и ее составных частей при физиологической окклюзии постоянных зубов.
Методика исследования
Проведен анализ 74 комплектов ортопантомограмм и телерентгенограмм пациентов с физиологическими вариантами прикуса из архива кафедры.
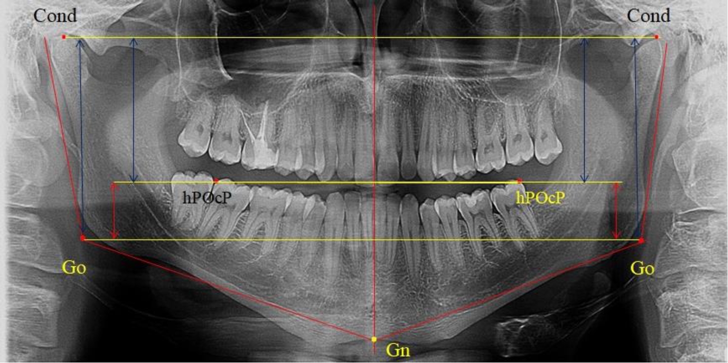
На боковых телерентгенограммах определяли положение верхней точки суставной головки Cond. Касательные линии к ветви и телу нижней челюсти пересекались в точке, которую в клинической практике обозначают как точка угла нижней челюсти или точка гонион Go. Точкой hPOcP обозначали дистальный бугорок нижнего второго моляра вблизи окклюзионного контура коронки, через нее от межрезцовой точки проводили окклюзионную линию, ее продолжали до задней части ветви челюсти. Высоту ветви измеряли как расстояние от угла нижней челюсти до вершины суставной головки Go-Cond. Общую высоту ветви условно делили на 2 части, ее границей служила окклюзионная линия. Верхнюю часть обозначали как окклюзионно-суставная, а нижнюю – как окклюзионно-гониональная.
На ортопантомограмме использовали аналогичные суставные точки Cond на каждой стороне, их соединяли между собой суставной линией Cond-Cond.
Касательная к ветви нижней челюсти соединяла выступающие точку. При построении касательной к телу челюсти проводили в обе стороны линии от точки Gn, расположенной в нижней центральной части подбородочного симфиза, до выступающей нижней точки угла челюсти. Касательные линии при пересечении определяли конструктивную точку гонион Go. Соединение гониональных точек определяло положение гониональной линии Go-Go. При соединении окклюзионных точек hPOcP получали окклюзионную горизонталь (рис. 1). Измеряли расстояние между горизонталями в области ветвей нижней челюсти. Статистический анализ проводили в программе Microsoft Excel. Составляли вариационные ряды с последующим расчетом среднего значения, стандартного отклонения и ошибки среднего ±m. Также оценивали максимальные и минимальные значения величин. Определи относительные величины соотношения верхней и нижней частей ветви нижней челюсти.
Рис. 1. Метод измерения высоты ветви нижней челюсти на телерентгенограмме (а) и ортопантомограмме (б)
Результаты исследования и их обсуждение
В ходе анализа рентгенограмм людей с физиологическими видами прикуса было установлено, что высота ветви нижней челюсти в среднем составила (61,28 ± 1,24) мм. При этом максимальная высота была 73 мм, а минимальная – 53 мм, что свидетельствует о существенной вариабельности признака (см. табл.). Вариабельность высоты ветви челюсти отражалась на показателях высоты ее составных частей. При этом, высота окклюзионо-суставной части превалировала над вертикальными размерами окклюзионно-гониональной части ветви.
Высота ветви нижней челюсти и ее частей по данным рентгенологического исследования
Параметры ветви нижней челюсти (в мм) | Статистические показатели | ||
М ср | SD | ±m | |
Общая высота ветви (Cond-Go) | 61,28 | 6,08 | 1,24 |
Окклюзионно-суставная часть ветви | 40,31 | 3,57 | 0,73 |
Окклюзионно-гониональная часть ветви | 20,98 | 3,76 | 0,77 |
В среднем по группе отношение частей составило 1,97 ± 0,07. С учетом полуширины 95 % доверительного интервала (произведение ошибки на 1,992) величина отклонения в среднем составила 0,14. Таким образом, относительный показатель соотношения в диапазоне от 1,8 до 2,1 позволил нам распределить анализируемый материал на 3 группы.
В 1-ю группы включили рентгенограммы, у которых относительный показатель соответствовал средним значениям (1,8–2,1). Во 2-ю группу относили рентгенограммы с уменьшенным коэффициентом соотношения частей ветви нижней челюсти (меньше 1,7). В 3-й группе показатель коэффициента соотношения частей ветви нижней челюсти превышал значения 2,2.
Далее анализировали результаты в трех выделенных подгруппах.
В 1-ю подгруппу были включены 36 комплектов телерентгенограмм и ортопантомограмм [или (48,65 ± 5,81) % от общего количества], на которых средняя величина отношения верхней части ветви к нижней составляла 1,95 ± 0,03, что соответствовало показателям, полученным по группе в среднем, но с меньшим показателем ошибки среднего значения. Визуально верхняя окклюзионно-суставная часть выглядела вдвое больше нижней окклюзионно-гониональной (рис. 2). При этом высота ветви составляла (62,09 ± 1,22) мм. Максимальная высота была 71 мм, а минимальная – 55 мм. Высота верхней части составляла (41,02 ± 0,77) мм, а высота нижнего отдела ветви была (21,09 ± 0,51) мм.
Во 2-ю подгруппу был включен 21 комплект телерентгенограмм и ортопантомограмм [или (28,38 ± 5,24) %], на которых средняя величина отношения верхней части ветви к нижней составляла 1,63 ± 0,03, что было достоверно меньше показателя, полученного по группе в среднем и в 1-й подгруппе.
Визуально параметры ветви отличались от первой группы (рис. 3).
Рис. 2. ОПТГ пациента 1-й группы с оптимальным коэффициентом соотношения частей ветви нижней челюсти
Рис. 3. ОПТГ пациента 2-й группы с уменьшенным коэффициентом соотношения частей ветви нижней челюсти
Высота ветви составляла (62,75 ± 1,42) мм и достоверных различий по этому показателю не отмечено. Максимальная высота была 73 мм, а минимальная – 55 мм. Высота верхней части составляла (38,81 ± 0,76) мм, что было достоверно меньше, чем у людей 1-й подгруппы.
В то же время высота нижнего отдела ветви была (23,94 ± 0,73) мм, и показатель отличался в большую сторону по сравнению с аналогичным размеров в 1-й подгруппе.
3-я подгруппа была с наименьшим количеством анализируемого материала, и здесь было проанализировано 17 комплектов рентгенограмм [(22,97 ± 4,89) %], на которых средняя величина отношения верхней части ветви к нижней составляла 2,45 ± 0,04, что было достоверно больше показателя, полученного по группе в среднем, а также в 1-й и 2-й подгруппе. Визуально параметры ветви отличались от других подгрупп. Высота ветви составляла (57,83 ± 0,89) мм, что было несколько меньше, чем в других подгруппах. Максимальная высота была 64 мм, а минимальная – 53 мм. Высота верхней части составляла (41,03 ± 0,59) мм, что было близким по значениям, полученным в других подгруппах и свидетельствовало о меньшей вариабельности указанного параметра. В то же время высота нижнего отдела ветви была (16,83 ± 0,36) мм и показатель отличался в меньшую сторону, по сравнению с аналогичным размеров в других подгруппах (рис. 4).
Таким образом, при физиологических вариантах прикуса определены основные вертикальные параметры ветви нижней челюсти и ее составных частей. В среднем высота верхней окклюзионно-суставной части ветви в два раза превышала размеры нижней окклюзионно-гониональной части, что может быть использовано как в клинике ортодонтии, так и челюстно-лицевой хирургии при планировании операций по моделированию ветви нижней челюсти.
Рис. 4. ОПТГ пациента 3-й группы с увеличенным коэффициентом соотношения частей ветви нижней челюсти
Заключение
В ходе исследования определены основные вертикальные параметры ветви нижней челюсти и ее составных частей. Наиболее часто встречаемым соотношением верхней (окклюзионно-сустав-ной части) к нижней (окклюзионно-гониональной) составляла величина, варьируемая от 1,8 до 2,1. Встречались варианты с увеличенным и уменьшенным коэффициентом соотношения частей ветви нижней челюсти, что может быть использовано в клинической практике и диагностике аномалий размеров ветвей нижней челюсти.
About the authors
T. D. Dmitrienko
Volgograd State Medical University
Author for correspondence.
Email: svdmitrienko@volgmed.ru
Candidate of Medical Sciences, Associate Professor
Russian Federation, VolgogradV. T. Yagupova
Volgograd State Medical University
Email: violeta.yagupova@mail.ru
Candidate of Medical Sciences, Associate Professor
Russian Federation, VolgogradV. I. Kerobyan
Volgograd State Medical University
Email: vikerobyan@volgmed.ru
Clinical Resident
Russian Federation, VolgogradReferences
- Vorobyov A. A., Konevsky A. G., Krayushkin A. I. Clinical Anatomy and Operative Surgery of the Head and Neck. Tutorial.St. Petersburg: ELBI-SPb Publishing House,2 008. 249 с. (In Russ).
- Davydov B. N., Domeniuk D. A., Ivanyuta S. O. Morphometric analysis of the relationship between the basic dimensions of dental arches taking into account individual gnathic types. Medicinskiy alfavit = Medical Alphabet. 2019;5(380). (In Russ).
- Lepilin A. V., Fomin I. V. Diagnostic Capabilities of Cone-Beam Computed Tomography in Craniomorphological and Craniometric Studies in the Assessment of Individual Anatomical Variability (Part I). Institut stomatologii = Institute of Dentistry. 2018;4(81):52–55. (In Russ).
- Goncharov V. V., Krayushkin A. I. Methods of measuring teeth. Volgograd, 1998. 48 с. (In Russ).
- Domeniuk D. A., Davydov B. N., Vedeshina E. G., Nalbandyan L. V. Variability of odontometric parameters in patients with physiological occlusion of permanent teeth and mesognathic type of dental arches. Institut stomatologii = Institute of Dentistry. 2015;3(68):74–77. (In Russ).
- Domenyuk D. A., Vedeshina E. G., Kochkonyan A. S., Harutyunyan Yu. S. Clinical anatomy of teeth and dentoalveolar segments. Stavropol: StSMU Publishing House, 2015. 188 с. (In Russ).
- Davydov B. N., Kochkonyan T. S., Domenyuk D. A., Dmitrienko T. D. Individual anatomical variability of dental arches in the period of removable occlusion at optimal occlusal ratios. Medicinskiy alfavit = Medical Alphabet. 2022;2:86–94. (In Russ).
- Dmitrienko S. V. Substantiation of the stages of modeling permanent and milk teeth in humans. Vestnik Volgogradskoy medicinskoy aradevii = Bulletin of the Volgograd Medical Academy. 2000;56(6):203. (In Russ).
- Domeniuk D. A., Davydov B. N., Vedeshina E. G. Morphometric assessment of dentoalveolar arches in physiological occlusion of permanent teeth. Institut stomatologii = Institute of Dentistry, 2015;4(69);74–78. (In Russ).
- Dmitrienko S. V., Shkarin V. V., Dmitrienko T. D. Methods of biometric study of dentoalveolar arches. Volgograd: VolgSMU Publishing House, 2022. 220 с. (In Russ).
- Domeniuk D. A., Davydov B. N., Lepilin A. V., Fomin I. V. Study of morphology, methods of comparison of dental and alveolar arches based on the results of anthropometry and cone-beam computed tomography (Part I). Institut stomatologii = Institute of Dentistry. 2018;2(79):68–72. (In Russ).
- Davydov B. N., Domeniuk D. A., Kondratyeva T. A., Arutyunyan Yu. S. Cephalometric features of connective tissue dy splasia in children and adolescents. Stomatologiya detskogo vosrasta I profilaktika = Pediatric Dentistry and Prevention. 2020;3(75):174–183. (In Russ).
- Shkarin V. V., Kochkonyan Т. S., Domenyuk D. A. Occlusal plane orientation in patients with dentofacial anomalies based on morphometric cranio-facial measurements. Archiv EuroMedica. 2021;11(1):116–121.
- Fomin I. V., Mikhalchenko A. D., Yukhnov I. N. Algorithm for constructing the occlusal plane and determining the location of occlusal points on a lateral teleradiography. Volgogradskiy nauchno-mtdicinskiy jurnal = Volgograd Scientific Medical Journal. 2023;20(4):44–50. (In Russ).
- Davydov B. N., Porfiriadis M. P., Vedeshina E. G. Features of Tactics and Principles of Orthodontic Treatment of Patients with Asymmetry of Dental Arches Caused by a Different Number of Antimers (Part II). Institut stomatologii = Institute of Dentistry. 2018;1(78):70–73. (In Russ).
- Kochkonyan T. I., Shkarin V. V., Domenyuk D. A., Potryasova A. M. Orthodontic treatment strategy in patients with diagonal asymmetry of dental arches taking into account craniofacial morphology. Medicinskiy alfavit = Medical Alphabet. 2021;2:56–63. (In Russ).
Supplementary files







