Possibilities of endoscopic evaluation of swallowing function in patients with chronic disorders of consciousness
- Authors: Kondratyeva E.A.1,2,3, Lesteva N.A.1, Verbitskaya E.V.4, Kondratyev S.A.1, Petrova A.B.1, Ivanova N.E.1, Kondratyev A.N.1
- 
							Affiliations: 
							- Almazov National Medical Research Centre
- Kirov Military medical academy
- Federal Research and Clinical Center of Intensive Care Medicine and Rehabilitology
- Academician I.P. Pavlov First St. Petersburg State Medical University
 
- Issue: Vol 4, No 3 (2022)
- Pages: 140-153
- Section: ORIGINAL STUDY ARTICLE
- Submitted: 09.09.2022
- Accepted: 09.09.2022
- Published: 02.10.2022
- URL: https://journals.eco-vector.com/2658-6843/article/view/110856
- DOI: https://doi.org/10.36425/rehab110856
- ID: 110856
Cite item
Full Text
Abstract
BACKGROUND: The period of coma in some patients after severe brain damage ends with a transition to one of the forms of chronic disorders of consciousness ― a vegetative state/unresponsive wakefulness syndrome or a minimally conscious state. Almost all patients with chronic disorders of consciousness have dysphagia of varying severity, and therefore nutrition of this category of patients is carried out initially through a nasogastric tube, and then through a gastrostomy. Early tracheostomy cannula removal may lead to the development of aspiration and pneumonia. Dysphagia is often not diagnosed in chronic disorders of consciousness patients.
AIMS: Analysis of the results of fibrooptic endoscopic assessment of swallowing in chronic disorders of consciousness patients to identify the relationship between the presence and severity of dysphagia with the level of consciousness, data on the coma recovery scale, as well as the duration of consciousness disorders and dynamics of recovery of consciousness.
MATERIALS AND METHODS: The study was of a prospective type, conducted in the period from 2019 to 2021. 39 chronic disorders of consciousness patients (18 ― vegetative state/unresponsive wakefulness syndrome, 18 ― minimally conscious state "minus" and minimally conscious state "plus" and 3 patients with a level of consciousness corresponding to the emergence from the minimally conscious state). The average duration of chronic disorders of consciousness was 7.7±9.4 months. All patients underwent a neurological examination using the CRS-R upon admission to the hospital and a month later, an endoscopic examination of the swallowing function was performed with scores calculated according to the Federal Endoscopic Dysphagia Severity Assessment Scale (FEDSS) and aspiration assessment scale in accordance with the Rosenbek criteria.
RESULTS: Dysphagia of varying severity was detected in 36 patients (92.3%). The correlation of the total CRS-R score with the degree of dysphagia (Ro=-0.481, p=0.002) was found. The degree of dysphagia did not depend on the chronic disorders of consciousness duration.
CONCLUSION: Regardless of the chronic disorders of consciousness severity (vegetative state/unresponsive wakefulness syndrome, minimally conscious state "minus", minimally conscious state "plus") before tracheostomy removing and switching to the oral feeding, it is necessary to perform fibrooptic endoscopic studies of swallowing to detect dysphagia, determine its degree, which is a method of preventing complications of the decanulation consequences.
Full Text
ОБОСНОВАНИЕ
У ряда пациентов с тяжёлым поражением головного мозга период комы заканчивается переходом в одну из форм хронического нарушения сознания (ХНС) ― вегетативное состояние/синдром ареактивного бодрствования (ВС/САБ) или состояние минимального сознания (СМС) [1, 2]. ВС/САБ характеризуется полным отсутствием признаков сознания при наличии циклов сна и бодрствования [3, 4]. У пациентов в ВС/САБ, как правило, наблюдаются различные комбинации примитивных рефлексов при стабильности витальных функций. Переход в СМС подразумевает появление первых признаков сознания. СМС подразделяют на две категории ― СМС минус и СМС плюс. При СМС минус возможны фиксация взора, слежение за предметами, автоматические двигательные реакции, локализация и захват рядом лежащих предметов. СМС плюс характеризует более высокий уровень ответных реакций с возможностью осознанной устойчивой коммуникации с использованием жестов или вербальных ответов («да/нет») [4, 5]. Следующая категория нарушения сознания ― выход из СМС (ВСМС) ― близка к полному восстановлению сознания: пациент может показать, как использовать не менее двух простых предметов (например, как пользоваться расчёской, зубной щёткой и т.д.), а также правильно отвечает на 6 из 6 вопросов в «протоколе исследования коммуникации» шкалы восстановления после комы.
В настоящее время во всём мире используют стандартизированную форму неврологического осмотра пациентов с ХНС с применением шкалы восстановления после комы (Coma Recovery Scale Revised, CRS-R) [4, 5]. Данная шкала состоит из 6 подшкал, в том числе описывает состояние оромоторных рефлексов, однако без оценки функции глотания.
Практически все пациенты с ХНС страдают дисфагией различной степени выраженности, в связи с чем питание данной категории пациентов проводят первоначально через назогастральный зонд, а затем через гастростому [6, 7]. Дисфагия (от дис ― расстройство и греч. phagein ― есть, глотать) ― клинический симптом нарушения функции глотания: трудности или дискомфорт продвижения пищевого комка от ротовой полости до желудка, возникающие вследствие нарушения пассажа пищи из ротовой полости в желудок [8]. У пациентов с ХНС могут иметь место сочетания различных вариантов дисфагии: нейрогенной (двигательной), обусловленной поражением/дисфункцией нервной системы/мышц, участвующих в глотании; дисфагии вследствие исчезновения подскладочного давления при канюленосительстве; дисфагии при искусственном кормлении по механизму «learned non use» (наученное неиспользование), а также дисфагии как проявления синдрома приобретённой в отделении реанимации и интенсивной терапии мышечной слабости [9, 10]. Наличие тяжёлой дисфагии откладывает решение об удалении трахеостомической канюли, так как в данном случае она обеспечивает разобщение трахеобронхиального дерева и пищевода, предотвращая аспирацию [10]. Дисфагию часто не диагностируют у пациентов с ХНС [11, 12]. В свою очередь, преждевременное удаление трахеостомической канюли может привести к развитию аспирации и пневмонии [13, 14].
В настоящее время оценка нарушений глотания состоит из общего и клинического исследования функции глотания («у постели больного») и использования методов динамической визуализации [7−10, 15]. Клиническую оценку дисфагии обычно проводят логопед, обученный диагностике дисфагии, а также невролог [8−10]. Моторные функции ларингеального отдела верхних дыхательных путей определяют состояние двух важнейших взаимосвязанных функций ― глотания и кашля [8], поэтому скрининг дисфагии основан в первую очередь на оценке кашлевого рефлекса. Оценить непроизвольный кашель можно с помощью простых тестов, в частности трёхглотковой пробы [8]. Помимо непосредственной диагностики дисфагии проводят также анализ возможных последствий дисфагии: наличие пневмонии, неоправданной потери веса. Обращают внимание на возможность выполнять губами различные движения, степень подвижности языка и мягкого нёба, степень слюноотделения, сохранность рвотного рефлекса, характер дыхания [16]. Для повышения надёжности прикроватной оценки дисфагии некоторые авторы предлагают проводить трёхглотковую пробу с измерением сатурации [17]. Снижение сатурации более чем на 2% от исходного уровня считается достаточным, чтобы предположить наличие дисфагиии и рекомендовать более точную диагностическую оценку. Снижение сатурации более чем на 5% является стоп-сигналом к прерыванию теста, так как свидетельствует об аспирации. Положительный результат этих тестов требует детального исследования с использованием методов визуализации, таких как видеофлюороскопия (videofluoroscopy, VFS) и/или фиброоптическое эндоскопическое исследование глотания (fibrooptic endoscopic examination of swallowing, FEES), которые обеспечивают визуализацию анатомии и физиологии акта глотания [18, 19]. Фиброоптическое эндоскопическое исследование позволяет увидеть застойные явления в валлекулах, грушевидных синусах и преддверии гортани, кроме того, при стимуляции кончиком эндоскопа глоточной и ларингеальной зон можно оценить их ответную реакцию. Согласно недавнему консенсусу логопедов, у пациентов с ХНС предпочтительнее использовать инструментальную оценку; также отмечено, что FEES обычно лучше переносится, чем VFS [19, 20]. Хотя FEES был предложен в качестве золотого стандарта в оценке дисфагии, необходимы дальнейшие исследования, чтобы лучше понять все возможности данной методики у пациентов с ХНС [21].
Цели исследования — оценить степень тяжести дисфагии у пациентов с различными формами ХНС с помощью фиброоптического эндоскопического исследования глотания; сопоставить степень дисфагии с уровнем сознания, а также продолжительностью нарушения сознания и динамикой дальнейшего восстановления.
МАТЕРИАЛ И МЕТОДЫ
Критерии соответствия
Критерии включения:
- нарушение сознания различной этиологии продолжительностью 2–36 мес;
- возраст старше 18 лет.
Критерии невключения:
- травма лицевого скелета;
- декомпенсация соматических заболеваний;
- сепсис.
Условия проведения
Все пациенты (n=39), включённые в исследование, проходили лечение в отделении анестезиологии-реанимации Российского научно-исследовательского нейрохирургического института имени профессора А.Л. Поленова (РНХИ, филиал НМИЦ им. В.А. Алмазова) в период с 2019 по 2021 г.
Описание медицинского вмешательства
В течение первой недели от момента поступления пациентов в стационар проводили неврологический осмотр не менее 5 раз с применением шкалы CRS-R, учитывали наилучший балл. Заключительную оценку по шкале CRS-R выполняли через месяц от момента поступления в стационар.
Всем пациентам в течение первой недели выполнено фиброоптическое эндоскопическое исследование для оценки функции глотания. Исследования проводили с помощью фибробронхоскопа (Karl Stolz 11301BN1, Германия). Назогастральный зонд предварительно удаляли. Исследования выполняли в отделении реанимации вне медикаментозной седации (для исключения медикаментозного угнетения функции глотания); для поверхностной анестезии слизистой носа использовали лидокаин 10% спрей. Бронхоскоп заводили через носовой ход; после оценки структур гортани (степень подвижности надгортанника, симметричность и степень смыкания голосовой щели) выполняли тест оценки глотания с продуктами различной плотности. В трёх емкостях разводили жидкость с добавлением загустителя Thicken Up или Visco Instant Clear, который представляет собой порошок без вкуса и запаха на основе мальтодекстрина и ксантановой камеди. В зависимости от объёма добавляемого загустителя получали жидкость различной консистенции: жидкость, нектар и пудинг. В качестве растворителя использовали смесь для сипинга, так как она имеет приятный вкус и хорошо дифференцируется от слюны при исследовании. Ассистент с помощью шприца вводил жидкость пациенту через рот. Тест проводили последовательно: жидкость 5−10−20 мл, нектар 5−10−20 мл, пудинг 5−10−20 мл (рис. 1). Оценку результатов исследования проводили согласно федеральным клиническим рекомендациям по диагностике и лечению дисфагии при заболеваниях центральной нервной системы от 2013 года [22]. Применяли следующие шкалы: федеральную эндоскопическую шкалу по оценке тяжести дисфагии (Fiberoptic endoscopic dysphagia severity scale, FEDSS) и шкалу оценки аспирации в соответствии с критериями Rosenbek (penetration-aspiration scale, PAS) [23]. После суммарной оценки определяли степень тяжести дисфагии.
Рис. 1. Фиброоптическое эндоскопическое исследование функции глотания у пациента с хроническим нарушением сознания в отделении реанимации и интенсивной терапии.
Этическая экспертиза
Исследование одобрено локальным этическим комитетом (выписка из протокола заседания № 08-19 от 12.08.2019).
Статистический анализ
Статистический анализ проводили с использованием пакета статистических программ SAS9.4. Для суммирования количественных данных по группам рассчитывали медиану и квартили (Me [Q1−Q3]). Оценку динамики показателей проводили с использованием непараметрического критерия парных сравнений Вилкоксона. Связь между количественными переменными (например, суммарный балл CRS-R и тяжесть дисфагии) оценивали с использованием непараметрического коэффициента корреляции Спирмана (Rо). Категориальные переменные представляли в виде частоты и процентной доли (%). При анализе связи категориальных переменных использовали точный критерий Фишера. За критический уровень значимости принимали α=0,05. Для получения модели предсказания выхода пациентов из комы проводили построение логистической регрессии с последующим ROC-анализом, однако надёжной модели получено не было, в связи с чем результаты анализа в статью не включены.
РЕЗУЛЬТАТЫ
Объекты (участники) исследования
В исследование включено 39 пациентов, в числе которых 20 (51,3%) мужчин и 19 (48,7%) женщин, средний возраст 37,8±14,6 года, из них 18 в ВС/САБ, 18 в СМС минус/плюс, 3 пациента соответствовали критериям ВСМС. Средняя продолжительность нарушения сознания у пациентов составила 7,7±9,4 мес. Этиология поражения головного мозга: травматическая ― у 22 (56,4%), нетравматическая ― у 17 (43,6%). Среди пациентов с нетравматическим поражением 12 больных перенесли остановку сердечной деятельности с гипоксией, у 5 пациентов диагностировано острое нарушение мозгового кровообращения. В табл. 1 представлено распределение пациентов по этиологии поражения мозга и суммарному баллу по шкале CRS-R.
Таблица 1. Распределение пациентов с хроническим нарушением сознания по этиологии поражения головного мозга и суммарному баллу по шкале CRS-R (исходному при поступлении и через месяц на фоне лечения)
Table 1. Chronic disorders of consciousness patients distribution according to the etiology of brain damage and the total score on the CRS-R (initial at admission and after a month on the background of treatment)
| Показатель | Этиология | Всего, n (%) | ||
| Травматическая, n (%) | Нетравматическая, n (%) | |||
| Суммарный балл CRS-R исходный | 0–7 | 8 (36,4) | 10 (58,8) | 18 (46,2) | 
| 8–14 | 10 (45,5) | 6 (35,3) | 16 (41,0) | |
| >14 | 4 (18,2) | 1 (5,9) | 5 (12,8) | |
| Всего | 22 (100,0) | 17 (100,0) | 39 (100,0) | |
| CRS-R через 1 мес | 0–7 | 6 (27,3) | 9 (56,3) | 15 (39,5) | 
| 8–14 | 7 (31,8) | 6 (37,5) | 13 (34,2) | |
| >14 | 9 (40,9) | 1 (6,3) | 10 (26,3) | |
| Всего | 22 (100,0) | 16 (100,0) | 38 (100,0) | |
В табл. 2 представлены данные по наличию трахеостомы, назогастрального зонда или гастростомы у обследованных пациентов. К моменту поступления в РНХИ трахеостомическая канюля была удалена у 2 пациентов в ВС/САБ и у 6 пациентов в СМС, однако диагностики дисфагии до удаления канюли не проводили.
Таблица 2. Данные о наличии трахеостомы, назогастрального зонда и гастростомы
Table 2. Data on the presence of tracheostomy, nasogastric tube and gastrostomy
| Тип питания | ВС/САБ (n=18) | СМС (n=18) | ВСМС (n=3) | 
| Гастростома | 14 | 8 | 1 | 
| Назогастральный зонд | 4 | 10 | 1 | 
| Трахеостома | 16 | 12 | 1 | 
Примечание. ВС/САБ ― вегетативное состояние/синдром ареактивного бодрствования; СМС ― состояние минимального сознания; ВСМС ― выход из состояния минимального сознания.
Note: ВС/САБ ― vegetative state/areactive wakefulness syndrome; СМС ― the state of minimal consciousness; ВСМС ― the exit from the state of minimal consciousness.
Основные результаты исследования
В результате фиброоптического эндоскопического исследования дисфагия различной степени выраженности диагностирована у 36 (92,3%) пациентов, отсутствовали признаки дисфагии у 1 пациента в СМС плюс (14 баллов по шкале CRS-R) и 2 пациентов с наиболее высоким уровнем сознания ― ВСМС (21 и 22 балла по шкале СRS-R). В табл. 3 представлено распределение пациентов в зависимости от тяжести дисфагии с указанием оценки по шкале CRS-R.
Таблица 3. Распределение пациентов в зависимости от степени выраженности дисфагии с указанием оценки по шкале CRS-R
Table 3. Distribution of patients depending on the severity of dysphagia, indicating the CRS-R score
| Степень тяжести дисфагии | Количество пациентов, n (%) | Суммарный балл CRS-R у каждого пациента | Средний балл CRS-R M±SD, Me [Q1−Q3] | 
| Нет дисфагии | 3 (7,7) | 14; 21; 22 | 18,0±5,66 18 [14−22] | 
| Лёгкая | 19 (48,7) | 6; 6; 3; 6; 6; 4; 2; 7; 9; 9; 10; 13; 14; 12; 15; 10; 14; 11; 18 | 9,1±4,47 9 [6−13] | 
| Умеренная | 4 (10,3) | 6; 1; 11; 8 | 6,5±4,20 7 [4−10] | 
| Тяжёлая | 11 (28,2) | 3; 5; 5; 7; 1; 1; 8; 11; 15;11; 8 | 6,8±4,40 7 [3−11] | 
| Очень тяжёлая | 2 (5,1) | 2; 4 | 3,0±1,41 3 [2−4] | 
В результате сопоставления суммарного балла CRS-R со степенью тяжести дисфагии обнаружена взаимосвязь этих показателей (Ro=-0,481, p=0,002).
Как видно из табл. 4, у всех пациентов в ВС/САБ (100%) и почти у всех пациентов в СМС (94,4%) выявлена дисфагия. Однако у 44,4% пациентов в ВС/САБ наблюдали лёгкую степень дисфагии, а тяжёлую и очень тяжёлую степени диагностировали соответственно у 33,3 и 11,1% пациентов. Приблизительно такое же соотношение было у пациентов в СМС: у 55,6% выявили лёгкую степень дисфагии, у 27,7% ― тяжёлую (см. табл. 4).
Таблица 4. Распределение степени выраженности дисфагии в зависимости от формы нарушения сознания
Table 4. Distribution of dysphagia severity depending on the level of consciousness disorder
| Степень тяжести дисфагии | ВС/САБ, n (%) | СМС, n (%) | ВСМС, n (%) | 
| Нет дисфагии | 0 | 1 (5,6) | 2 (66,6) | 
| Лёгкая | 8 (44,4) | 10 (55,6) | 1 (33,4) | 
| Средняя | 2 (11,1) | 2 (11,1) | 0 | 
| Тяжёлая | 6 (33,3) | 5 (27,7) | 0 | 
| Очень тяжёлая | 2 (11,1) | 0 | 0 | 
На рис. 2 представлено распределение пациентов в зависимости от тяжести дисфагии и балла по шкале CRS-R.
Рис. 2. Сопоставление степени выявленной дисфагии и суммарного балла CRS-R (Ro=-0,481, p=0,002).
Статистически значимой взаимосвязи между длительностью нарушения сознания и степенью дисфагии не обнаружено (рис. 3).
Рис. 3. Взаимосвязь длительности нарушения сознания и степени дисфагии (* различия статистически незначимы).
Проведено сопоставление степени тяжести дисфагии и динамики восстановления сознания по шкале CRS-R. Значимые различия в динамике восстановления сознания наблюдались только при лёгкой степени дисфагии у пациентов с травматическим поражением головного мозга, у которых отмечали лучшую динамику восстановления сознания в течение месяца последующего наблюдения (критерий Вилкоксона, р=0,026) (рис. 4).
Рис. 4. Взаимосвязь динамики по шкале CRS-R и степени тяжести дисфагии у пациентов с хроническим нарушением сознания травматической и нетравматической этиологии.
Примечание. * Значимая динамика по шкале CRS-R только у пациентов с лёгкой степенью дисфагии при травматическом поражении головного мозга (р=0,026, критерий Вилкоксона). Статистической значимости различий между травматическим и нетравматическим поражением нет.
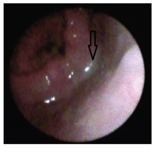
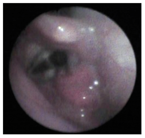
Визуализационная картина фиброоптического эндоскопического исследования с целью определения степени дисфагии отражена на рис. 5, 6.
Рис. 5. Пенетрация с остатками пищи в грушевидных синусах (стрелка) соответствует лёгкой степени дисфагии (2 балла по шкале PAS, 2 балла по шкале FEDSS).
Рис. 6. Неполное смыкание голосовой щели, парез левой голосовой связки соответствуют тяжёлой степени дисфагии (4 балла по шкале PAS, 4 балла по шкале FEDSS).
Нежелательные эффекты
При проведении исследования осложнений и нежелательных явлений не отмечено.
ОБСУЖДЕНИЕ
Резюме основного результата исследования
Дисфагия различной степени выраженности выявлена у 100% пациентов в ВС/САБ и у 94,4% в СМС, при этом у 44,4% пациентов в ВС/САБ и 55,6% в СМС наблюдали лёгкую степень дисфагии, тяжёлая и очень тяжёлая степени выявлены в 44,4 и 27,7% случаев соответственно. Степень дисфагии не зависела от продолжительности нарушения сознания. При травматической этиологии поражения мозга и лёгкой степени дисфагии отмечали лучшую динамику восстановления сознания в течение месяца последующего наблюдения. По результатам исследования можно было сделать вывод, что независимо от формы ХНС (ВС/САБ, СМС минус, СМС плюс) до удаления трахеостомической канюли и переходу к кормлению через рот необходимо выполнять фиброоптическое эндоскопическое исследование для выявления дисфагии. Данный подход позволяет избежать аспирации и пневмонии.
Обсуждение основного результата исследования
Глотание представляет собой сложную функцию, которая задействует множество сенсомоторных связей, инициируется либо произвольно ― осознанно, либо спонтанно ― рефлекторно. Результаты нейровизуализационных исследований показали, что во время глотания активен не только так называемый центральный генератор паттерна (central pattern generator, CPG; локализован в стволе мозга), реализующий рефлекторный компонент глотания, но многие области коры больших полушарий, которые участвуют в произвольных процессах глотания [23, 24]. Однако отмечено, что при произвольном и рефлекторном глотании активны различные сети коры головного мозга [23]. Исследования с применением функционального режима магнитно-резонансной томографии у здоровых добровольцев показали, что корковое представительство рефлекторного глотания слюны и воды в основном локализовано в первичной сенсомоторной коре и островковой коре больших полушарий [24, 25]. Во время произвольного глотания болюса слюны и воды происходит активация первичной сенсомоторной, премоторной, префронтальной, лобной, оперкулярной, височной и островковой коры, а также передней поясной извилины и предклинья [26]. В акт глотания вовлечены также мотонейроны подъязычного, тройничного, лицевого и блуждающего нервов [27].
Исследований по выявлению дисфагии у пациентов с ХНС в литературе немного [6, 15, 20, 28−31]. Дисфагия у пациентов с ХНС обычно связана со следующими особенностями [15, 28]:
- функциональной дезорганизацией двигательных паттернов, связанных с глотанием, вследствие дискоординации в работе сенсорных, моторных и когнитивных сетей мозга;
- очаговым неврологическим дефицитом с поражением ядер черепно-мозговых нервов и проводников на уровне ствола головного мозга, приводящим к снижению моторики, тонуса и чувствительности полости рта, глотки и гортани, а также отсутствию/снижению глотательного и кашлевого рефлексов;
- частично обратимыми изменениями, связанными с длительным наличием трахеостомической канюли и продолжительной вспомогательной вентиляцией;
- очень низким и/или меняющимся в течение суток уровнем сознания;
- наличием примитивных рефлексов (тризм, хоботковый рефлекс);
- плохой гигиеной полости рта, располагающей к появлению микозов, воспаления слизистых, которые могут нарушать механизм глотания;
- переломами лицевого скелета, нижней челюсти; удалением зубов; изменениями сочленения нижней челюсти (возможные последствия травмы, травматичной интубации или длительного пребывания в остром периоде в положении лежа на спине с полуоткрытым ртом);
- периферическим поражением черепных нервов как результата полинейромиопатии.
Кроме перечисленных выше причин, у пациентов с ХНС снижены или отсутствуют многие защитные рефлексы, необходимые для безопасного глотания, включающие кашель, глотание по требованию, поддержание безопасной позы во время глотания. Тем не менее у некоторых пациентов с ХНС можно вызвать законченный глотательный рефлекс, при котором пища во рту активирует рефлекторный процесс глотания: таким образом, у пациентов в ВС/САБ возможно редкое восстановление глотания и оральное кормление жидкими и полужидкими текстурами [16, 18]. Так, E. Mélotte с соавт. [30], изучавшие длительное время дисфагии у пациентов с ХНС, в одной из своих публикаций пытались ответить на вопрос, совместимо ли кормление через рот с синдромом ареактивного бодрствования. Проведя анализ историй болезни 68 пациентов в ВС/САБ, они обнаружили, что только 2 пациента находились на пероральном питании, при этом один получал через рот только часть жидкой и полужидкой пищи в дополнение к вводимой в гастростому, а у второго было полноценное пероральное питание (жидкая и смешанная твёрдая пища). Клинические данные свидетельствовали о том, что оба пациента соответствовали критериям ВС/САБ. Однако результаты нейровизуализационных и нейрофизиологических тестов отличались у этих пациентов: у пациента, находившегося на полноценном пероральном питании, они были нетипичны для диагноза ВС/САБ и соответствовали данным, регистрируемым у пациентов с более высоким уровнем сознания. Авторы сделали заключение, что кормление через рот предполагает наличие полной и сложной оральной фазы глотания, поэтому сохранность или восстановление адекватного глотания, позволяющего кормить пациента через рот, следует рассматривать как признак сознания. Позже эти же исследователи на выборке из 92 пациентов с ХНС показали, что у данной категории пациентов высокий риск «тихой» аспирации, так как у 48% пациентов отсутствовал кашлевой рефлекс [6]. При проведении эндоскопического теста у 28% была обнаружена аспирация слюны, у 13% ― аспирация пищи текстуры «пуддинг», у 32% ― аспирация жидкостью. В недавнем исследовании G. Galeoto c соавт. [14] у всех обследованных пациентов с ХНС выявили по крайней мере один вид дисфункции глотания, при этом ни один из пациентов с ВС/САБ не получал одновременный пероральный приём твёрдой или жидкой пищи из-за наличия трахеостомической канюли и/или дисфагии (отсутствовала эффективная оральная фаза, была снижена эффективность глоточной фазы), тогда как пациенты в СМС не могли питаться полностью перорально из-за низкого уровня активности.
Результаты нашей работы согласуются с приведёнными выше данными литературы. В результате фиброоптического эндоскопического исследования дисфагия выявлена не только у всех пациентов в ВС/САБ, но практически у всех пациентов в СМС (кроме одного пациента с баллом CRS-R 14, у которого не отмечено признаков дисфагии). Интересно, что у 44,4% пациентов в ВС/САБ и 55,6% в СМС диагностировали лёгкую степень дисфагии, но тяжёлая и очень тяжёлая степени преобладали у пациентов в ВС/САБ (соответственно у 44,4 и 27,7%). Можно отметить, что у пациентов с баллом CRS-R ≥12 чаще наблюдали более лёгкую форму дисфагии. Большинство пациентов в ВС/САБ получали питание через гастростому (77,8%), а остальные 22,2% ― через назогастральный зонд. Полный объём питания через рот был только у 1 пациента в ВСМС. После получения результатов фиброоптического исследования была изменена тактика питания: 4 пациентам в СМС (с лёгкой степенью дисфагии или её отсутствием) удалены назогастральный зонд и гастростома, в дальнейшем питание проводили через рот. Напротив, 7 пациентам в связи с выявленной дисфагией выполнена эндоскопическая гастростомия (4 в ВС/САБ, 3 в СМС), при этом 3 пациентам в ВС/САБ гастростома была наложена впервые, а 1 пациенту повторно, так как она была преждевременно удалена до перевода в РНХИ. В обследованной группе пациентов степень дисфагии не зависела от продолжительности нарушения сознания. Возможно, дисфагия являлась одним из симптомов разобщения корково-стволовых функций у пациентов в ВС/САБ. У пациентов с устойчивыми признаками сознания ― СМС плюс ― наличие дисфагии могло быть расценено как проявление дискоординации акта глотания в результате поражения первичной сенсорной коры, или островка, стволовых структур.
Опубликованы результаты нескольких исследований по сопоставлению степени выраженности дисфагии и сроков восстановления глотания с дальнейшим исходом и прогнозированием восстановления сознания. Так, согласно недавнему исследованию, некоторые пациенты с ХНС, у которых в раннем периоде восстанавливалось глотание, в дальнейшем имели хороший прогноз по восстановлению сознания [20]. В другой работе был разработан протокол по стимуляции восстановления произвольного глотания, который способствовал расширению контакта с пациентами [29]. Пациентам в ВС/САБ (n=24) ежедневно предъявляли несколько стимулов: команду «открой рот»; ложку перед ртом больного без команды и с командой «открой рот»; ложку с водой перед ртом больного без команды и с командой «открой рот». Проявлением произвольной реакции считали открывание рта и высовывание языка в ответ на команду. Авторы обнаружили наибольшую чувствительность к возникновению произвольных реакций на стимул в виде ложки, наполненной водой, перед ртом с пациента с одновременной командой «открой рот». Пациенты, показавшие положительный ответ на данный стимул, имели более быстрые сроки восстановления при 6-месячном наблюдении (от СМС минус до СМС плюс, от ВС/САБ до СМС минус).
Бельгийской группой авторов [31] с целью стандартизировать оценку глотания у пациентов с ХНС разработан «Протокол оценки глотания при нарушении сознания» (Swallowing Assessment in Disorders of Consciousness, SWADOC). Документ достаточно сложен для его использования в повседневной клинической практике, требует дополнительного обучения и валидации на русском языке. Ценность данного протокола заключается в том, что он позволяет оценивать взаимосвязь между уровнем сознания и наличием дисфагии [28]. Этот инструмент также предоставляет чёткую и точную сводку ограничений пациента в пользу терапии, ориентированной на дисфагию.
По полученным в нашей работе данным, у пациентов с лёгкой степенью дисфагии вследствие поражения мозга травматической этиологии отмечалась лучшая динамика восстановления сознания в течение месяца последующего наблюдения. Возможно, наличие расстройства акта глотания не может быть убедительным критерием в прогнозировании исхода ВС/САБ, однако правильная диагностика дисфагии позволяет принять решение о необходимости наличия трахеостомической канюли, назогастрального зонда или гастростомы.
По результатам данного исследования, несмотря на относительно небольшое количество пациентов, можно вынести практическую рекомендацию: независимо от диагностики уровня сознания, всем пациентам с ХНС до удаления трахеостомической канюли и перехода к кормлению через рот показано фиброоптическое эндоскопическое исследование функции глотания для исключения средней и тяжёлой степени дисфагии. Дисфагия требует комплексного реабилитационного подхода для предотвращения вторичных структурных изменений, связанных с бездействием данных систем (атрофия мышечного аппарата, развитие дисфагии бездействия и т.д.) [8−10]. Процесс реабилитации пациентов уже в остром периоде должен заключаться в поддержании афферентации и эфферентации с целью предупреждения потери сигнальных связей [10].
Ограничения исследования
К ограничениям исследования относятся относительно короткий период наблюдения за пациентами в рамках госпитализации (1 месяц), относительно небольшое количество пациентов (n=39), различная продолжительность нарушения сознания у пациентов (от 2 до 32 месяцев). Существенным недостатком исследования явилось отсутствие логопеда как активного участника реабилитационной программы, так как логопедический осмотр мог бы дать дополнительную информацию для исследования (результаты трёхглотковой пробы и т.д.).
ЗАКЛЮЧЕНИЕ
В нашем исследовании дисфагия разной степени выраженности выявлена не только у всех пациентов в ВС/САБ, но и у большинства (кроме одного) пациентов в СМС. Однако у 44,4% пациентов в ВС/САБ и 55,6% в СМС наблюдали лёгкую степень дисфагии, а тяжёлую и очень тяжёлую ― у 44,4 и 27,7% соответственно. Степень дисфагии не зависела от продолжительности нарушения сознания. У пациентов с травматической этиологией ХНС и лёгкой степенью дисфагии в течение месяца последующего наблюдения отмечали лучшую динамику восстановления сознания.
Результаты данного исследования позволяют сделать вывод, что независимо от формы ХНС (ВС/САБ, СМС минус, СМС плюс) до удаления трахеостомической канюли и переходу к кормлению через рот необходимо выполнять фиброоптическое эндоскопическое исследование для выявления дисфагии и определения её степени. Данный подход позволяет избежать возможных осложнений деканюляции.
ДОПОЛНИТЕЛЬНАЯ ИНФОРМАЦИЯ
Источник финансирования. Исследование выполнено при финансовой поддержке гранта РФФИ № 19-29-01066.
Конфликт интересов. Авторы данной статьи подтвердили отсутствие конфликта интересов, о котором необходимо сообщить.
Вклад авторов. Е.А. Кондратьева — концепция и дизайн исследования, сбор и анализ литературных источников, сбор материала, написание текста статьи; Н.А. Лестева — сбор материала, написание текста статьи; Е.В. Вербицкая — обработка материала; С.А. Кондратьев — сбор материала, написание текста статьи; А.Б. Петрова — сбор материала, написание текста статьи; Н.Е. Иванова — редактирование, ответственность за целостность всех частей статьи; А.Н. Кондратьев — концепция и дизайн исследования, утверждение окончательного варианта статьи. Все авторы подтверждают соответствие своего авторства международным критериям ICMJE (все авторы внесли существенный вклад в разработку концепции, проведение исследования и подготовку статьи, прочли и одобрили финальную версию перед публикацией).
ADDITIONAL INFORMATION
Funding source. The study was supported by RFBR grant No. 19-29-01066.
Competing interests. The authors declare that they have no competing interests.
Authors contribution. E.A. Kondratyeva — the concept and design of the study, the collection and analysis of literary sources, the collection of material, writing the text of the article; N. A. Lesteva — collecting material, writing the text of the article; E.V. Verbitskaya — material processing; S.A. Kondratyev — collection of material, writing the text of the article; A.B. Petrova — collecting material; N.E. Ivanova — editing, responsibility for the integrity of all parts of the article; A.N. Kondratyev — concept and design of the study, approval of the final version of the article. All authors confirm that their authorship complies with the international ICMJE criteria, made a substantial contribution to the conception of the work, acquisition, analysis, interpretation of data for the work, drafting and revising the work, final approval of the version to be published and agree to be accountable for all aspects of the work.
About the authors
Ekaterina A. Kondratyeva
Almazov National Medical Research Centre; Kirov Military medical academy; Federal Research and Clinical Center of Intensive Care Medicine and Rehabilitology
							Author for correspondence.
							Email: eak2003@mail.ru
				                	ORCID iD: 0000-0001-6362-6543
				                	SPIN-code: 6966-3270
																		                								
MD, Dr. Sci. (Med.)
Russian Federation, Saint Petersburg; Saint Petersburg; MoscowNataliya A. Lesteva
Almazov National Medical Research Centre
														Email: lestevan@mail.ru
				                	ORCID iD: 0000-0002-9341-7440
				                	SPIN-code: 3450-2917
																		                								
MD, Cand. Sci. (Med.)
Russian Federation, Saint PetersburgElena V. Verbitskaya
Academician I.P. Pavlov First St. Petersburg State Medical University
														Email: Elena.verbitskaya@gmail.com
				                	ORCID iD: 0000-0003-3770-993X
				                	SPIN-code: 4701-8118
																		                								
Cand. Sci. (Biol.), Associate Professor
Russian Federation, Saint PetersburgSergey A. Kondratyev
Almazov National Medical Research Centre
														Email: 3773717@mail.ru
				                	ORCID iD: 0000-0001-5028-5938
				                	SPIN-code: 1690-7350
																		                								
MD, Cand. Sci. (Med.)
Russian Federation, Saint PetersburgAlina B. Petrova
Almazov National Medical Research Centre
														Email: petrova_ab17@mail.ru
				                	ORCID iD: 0000-0003-1622-1142
				                	SPIN-code: 3726-8393
																		                												                	Russian Federation, 							Saint Petersburg						
Natalya E. Ivanova
Almazov National Medical Research Centre
														Email: Ivamel@yandex.ru
				                	ORCID iD: 0000-0003-2790-0191
				                	SPIN-code: 1854-7827
																		                								
MD, Dr. Sci. (Med.), Professor
Russian Federation, Saint PetersburgAnatolii N. Kondratyev
Almazov National Medical Research Centre
														Email: anest-neuro@mail.ru
				                	ORCID iD: 0000-0002-7648-2208
				                	SPIN-code: 8235-9765
																		                								
MD, Dr. Sci. (Med.), Professor
Russian Federation, Saint PetersburgReferences
- Piradov MA, Suponeva NA, Voznyuk IA, et al. Chronic disorders of consciousness: terminology and diagnostic criteria. The results of the first meeting of the Russian Working Group for Chronic Disorders of Consciousness. Ann Clin Experimental Neurology. 2020;14(1):5−16. (In Russ). doi: 10.25692/ACEN.2020.1.1
- Belkin AA, Suponeva NA, Voznyuk IA, et al. Prolonged disorder of consciousness — a new concept in the evaluation of chronical disorders of consciousness in ICU patients. A multi-disciplinary concensus. Bulletin Intensive Therapy Named After A.I. Saltanov. 2021;(2):7–16. (In Russ). doi: 10.21320/1818-474X-2021-2-7-16
- Bruno MA, Laureys S, Demertzi A. Coma and disorders of consciousness. Handb Clin Neurol. 2013;118:205–213. doi: 10.1016/B978-0-444-53501-6.00017-2
- Giacino JT, Katz DI, Schiff ND, et al. Comprehensive systematic review update summary: Disorders of consciousness: Report of the Guideline Development, Dissemination, and Implementation Subcommittee of the American Academy of Neurology; the American Congress of Rehabilitation Medicine; and the National Institute on Disability, Independent Living, and Rehabilitation Research. Neurology. 2018;91(10):461−470. doi: 10.1212/WNL.0000000000005928
- Kondziella D, Bender A, Diserens K, et al. EAN Panel on Coma, Disorders of Consciousness. European Academy of Neurology guideline on the diagnosis of coma and other disorders of consciousness. Eur J Neurol. 2020;27(5):741−756. doi: 10.1111/ene.14151
- Mélotte E, Maudoux A, Delhalle S, et al. Swallowing in individuals with disorders of consciousness: a cohort study. Ann Phys Rehabil Med. 2021;64(4):101403. doi: 10.1016/j.rehab.2020.04.008
- Goryachev AS, Savin IA, Pucillo MV, et al. Evaluation scale and therapeutic strategies for swallowing disorders in patients with brain stem injuries. Issues Neurosurgery. 2006(4):24−28. (In Russ).
- Belkin AA, Alasheev AM, Belkin VA, et al. Rehabilitation in the intensive care unit (intensive care unit). Methodological recommendations of the Union of Rehabilitologist of Russia and the Federation of Anesthesiologists and Resuscitators. Bulletin Intensive Therapy Named After A.I. Saltanov. 2022;(2):7–40. (In Russ). doi: 10.21320/1818-474X-2022-2-7-40
- Belkin AA. Syndrome of consequences of intensive therapy (PIT syndrome). Bulletin Intensive Therapy Named After A.I. Saltanov. 2018;(2):12–23. (In Russ). doi: 10.21320/1818-474X-2018-2-12-23
- Belkin AA, Davydova NS, Leiderman IN, et al. Clinical recommendations. Anesthesiology and resuscitation. Rehabilitation in intensive care. Moscow: GEOTAR-Media; 2016. Р. 833−858. (In Russ).
- Pistoia F, Sacco S, Franceschini M, et al. Comorbidities: a key issue in patients with disorders of consciousness. J Neurotrauma. 2015;32(10):682−688. doi: 10.1089/neu.2014.3659
- Ganesh S, Guernon A, Chalcraft L, et al. Medical comorbidities in disorders of consciousness patients and their association with functional outcomes. Arch Phys Med Rehabil. 2013;94(10):1899−907. doi: 10.1016/j.apmr.2012.12.026
- Godbolt AK, Stenberg M, Jakobsson J, et al. Subacute complications during recovery from severe traumatic brain injury: frequency and associations with outcome. BMJ Open. 2015;5(4):e007208. doi: 10.1136/bmjopen-2014-007208
- Galeoto G, Turriziani S, Berardi A, et al. Levels of cognitive functioning assessment scale: Italian cross-cultural adaptation and validation. Ann Ig. 2020;32(1):16−26. doi: 10.7416/ai.2020.2326
- Raciti L, Raciti G, Pulejo G, et al. Neurogenic dysphagia and nutrition in disorder of consciousness: an overview with practical advices on an “old” but still actual clinical problem. Medicines (Basel). 2022;9(2):16. doi: 10.3390/medicines9020016
- Yan N, Jiang J, Liu H, et al. Evidence-based bundled care for patients with dysphagia after severe traumatic brain injury: a randomized controlled trial. Am J Transl Res. 2021;13(7):7819−7828.
- Sebastian S, Nair PG, Thomas P, Tyagi AK. Oropharyngeal dysphagia: neurogenic etiology and manifestation. Indian J Otolaryngol Head Neck Surg. 2015;67(Suppl 1):119−123. doi: 10.1007/s12070-014-0794-3
- Moore JD, Kleinfeld D, Wang F. How the brainstem controls orofacial behaviors comprised of rhythmic actions. Trends Neurosci. 2014;37(7):370−380. doi: 10.1016/j.tins.2014.05.001
- Langmore SE, Schatz K, Olsen N. Fiberoptic endoscopic examination of swallowing safety: a new procedure. Dysphagia. 1988;2(4):216−219. doi: 10.1007/BF02414429
- Bremare A, Rapin A, Veber B, et al. Swallowing disorders in severe brain injury in the arousal phase. Dysphagia. 2016;31(4):511−520. doi: 10.1007/s00455-016-9707-9
- Checklin M, Dahl T, Tomolo G. Feasibility and safety of fiberoptic endoscopic evaluation of swallowing in people with disorder of consciousness: a systematic review. Dysphagia. 2022;37(4):778−787. doi: 10.1007/s00455-021-10327-y
- Amosova NN, Balashova IN, Belkin AA, et al. Diagnosis and treatment of dysphagia in diseases of the central nervous system. Clinical recommendations. Bulletin Restorative Med. 2014;(4):99−115. (In Russ).
- Hamdy S, Mikulis DJ, Crawley A, et al. Cortical activation during human volitional swallowing: an event-related fMRI study. Am J Physiol. 1999;277(1):219−225. doi: 10.1152/ajpgi.1999.277.1.G219
- Kern MK, Jaradeh S, Arndorfer RC, Shaker R. Cerebral cortical representation of reflexive and volitional swallowing in humans. Am J Physiol Gastrointest Liver Physiol. 2001;280(3): 354−360. doi: 10.1152/ajpgi.2001.280.3.G354
- Martin RE, Goodyear BG, Gati JS, Menon RS. Cerebral cortical representation of automatic and volitional swallowing in humans. J Neurophysiol. 2001;85(2):938−950. doi: 10.1152/jn.2001.85.2.938
- Hamdy S, Mikulis DJ, Crawley A, et al. Cortical activation during human volitional swallowing: an event-related fMRI study. Am J Physiol. 1999;277(1):219−225. doi: 10.1152/ajpgi.1999.277.1.G219
- Dellow PG, Lund JP. Evidence for central timing of rhythmical mastication. J Physiol. 1971;215(1):1−13. doi: 10.1113/jphysiol.1971.sp009454
- Mélotte E, Maudoux A, Panda R, et al. Links between swallowing and consciousness: a narrative review. Dysphagia. 2022. doi: 10.1007/s00455-022-10452-2
- Wang J, Wang J, Hu X, et al. The initiation of swallowing can indicate the prognosis of disorders of consciousness: a self-controlled study. Front Neurol. 2019;10:1184. doi: 10.3389/fneur.2019.01184
- Mélotte E, Maudoux A, Delhalle S, et al. Is oral feeding compatible with an unresponsive wakefulness syndrome? J Neurol. 2018;265(4):954−961. doi: 10.1007/s00415-018-8794-y
- Mélotte E, Belorgeot M, Herr R, et al. The development and validation of the SWADOC: a study protocol for a multicenter prospective cohort study. Front Neurol. 2021;12:662634. doi: 10.3389/fneur.2021.662634
Supplementary files
 
				
			 
					 
						 
						 
									
 
  
  
  Email this article
			Email this article 








