Регресс хронического болевого синдрома, рефрактерного к фармакотерапии опиоидами, у пациента после имплантации нейростимулятора спинного мозга: клинический случай
- Авторы: Бурмистрова А.В.1, Воробьев А.Н.1, Варюхина М.Д.1, Ильина А.А.1,2, Радутная М.Л.1, Яковлев А.А.1, Гречко А.В.1
-
Учреждения:
- Федеральный научно-клинический центр реаниматологии и реабилитологии
- Российский университет дружбы народов
- Выпуск: Том 4, № 4 (2022)
- Страницы: 283-291
- Раздел: КЛИНИЧЕСКИЙ СЛУЧАЙ
- Статья получена: 25.09.2022
- Статья одобрена: 31.10.2022
- Статья опубликована: 09.12.2022
- URL: https://journals.eco-vector.com/2658-6843/article/view/111062
- DOI: https://doi.org/10.36425/rehab111062
- ID: 111062
Цитировать
Полный текст
Аннотация
Обоснование. Хронический болевой синдром у пациентов с онкологическими заболеваниями зачастую сложно поддаётся медикаментозной терапии, является причиной серьёзного стресса для пациента и его родственников, а также значительно снижает качество жизни. Современные рекомендации по медикаментозному лечению хронического болевого синдрома не являются эффективными в 100% случаев, особенно это относится к хроническому болевому синдрому пациентов с онкологией. В связи с этим существует необходимость мультидисциплинарного персонализированного подхода к выбору тактики лечения хронической боли в пользу хирургических методов на более ранних этапах. Нейромодуляция широко применяется для лечения нейропатического хронического болевого синдрома у пациентов с различной патологией, однако в настоящее время у пациентов с онкологическими заболеваниями её использование не является рутинным.
Описание клинического случая. Группой авторов представлен клинический случай устойчивого к медикаментозной терапии хронического болевого синдрома, вызванного раком прямой кишки. Выполненная имплантация восьмиконтактного электрода на уровне Th10–Th12 позвонков в задних отделах позвоночного канала позволила прекратить системное применение опиоидов у пациентки с хроническим болевым синдромом и добиться длительной ремиссии. Применение нейростимуляции спинного мозга в данном клиническом случае являлось перспективным видом лечения и позволило улучшить качество жизни пациентки без применения анальгетиков.
Заключение. Данный клинический случай наглядно показывает, что действующие рекомендации по лечению хронического болевого синдрома требуют пересмотра и расширения показаний к проведению нейростимуляции спинного мозга.
Полный текст
Список сокращений
ВАШ ― визуальная аналоговая шкала
ВОЗ ― Всемирная организация здравоохранения
КТ ― компьютерная томография
АКТУАЛЬНОСТЬ
Боль является проявлением или симптомом заболевания, служит защитным сигналом в случае реального или предполагаемого повреждения органов и тканей. Однако в случае хронизации процесса боль ведёт к дезадаптации, неадекватному восприятию поступающих импульсов, что в значительной степени ухудшает качество жизни больного и его близких, представляет собой значимую социальную проблему. По данным Всемирной организации здравоохранения (ВОЗ), около 20–30% пациентов при адекватно проводимой консервативной терапии не получают достаточного обезболивания [1]. Длительность хронического болевого синдрома, согласно определению Международной ассоциации по изучению боли, составляет 3 мес и более [2]. У пациентов онкологического профиля боль возникает из-за поражения органов, прорастания или сдавления нервных структур опухолью, обструкции протоков и сосудов [3, 4].
Показатель заболеваемости злокачественными новообразованиями на 100 тыс. населения России составляет 379,7 (доверительный интервал 378,7–380,6) [5, 6]. В зависимости от стадии опухолевого процесса хронический болевой синдром сопровождает 35–96% клинических случаев. Поэтапный подбор анальгетиков, в соответствии с «трёхступенчатой лестницей обезболивания» ВОЗ (рис. 1), позволяет достигнуть адекватной анальгезии в 77–90% случаев [7], у остальных пациентов вариантом выбора может быть интервенционное лечение хронической боли. На сегодняшний день у данной группы пациентов применяется в основном фармакологическое лечение болевого синдрома. Фармакотерапия подразумевает поэтапный подход от более «слабых» анальгетиков к более «сильным», согласно рекомендованной «лестнице обезболивания» ВОЗ (см. рис. 1).
Рис. 1. «Лестница обезболивания» хронической онкологической боли у взрослых, согласно Всемирной организации здравоохранения (WHO, 1986, 1996) и с учётом рекомендаций Европейской ассоциации паллиативной помощи (EAPC, 2012). Примечание. НПВП ― нестероидный противовоспалительный препарат. / Fig. 1. The World Health Organization Analgesic Ladder (1986, 1996) with European Association for Palliative Care recommendations (2012). Note: НПВП ― nonsteroidal anti-inflammatory drug.
По данным многих современных исследований продемонстрирована эффективность нейромодуляции в лечении хронической боли. Нейромодуляция показана в случаях неэффективности фармакотерапии анальгетиками или при развитии побочных явлений консервативной терапии [8, 9]. Принцип работы нейростимулятора основан на теории «воротного контроля» [10]. Стимуляция спинного мозга включает в себя создание электрических полей между металлическими контактами, расположенными в эпидуральном пространстве. Направленные поля изменяют электрический потенциал на мембранах в зависимости от свойств тканей вблизи электрода, таких как твёрдая мозговая оболочка, слой спинномозговой жидкости и белое вещество. В случае возбудимых мембран, находящихся в соседних аксонах задних столбов спинного мозга, электрическое поле может запускать один или несколько потенциалов действия, в зависимости от биоэлектрических свойств аксона (диаметр, состояние миелинизации и электрический порог). Помимо провоцирования потенциалов действия, электрическая стимуляция изменяет мембранный потенциал нейронов и других типов клеток, подвергающихся воздействию электрических полей, тем самым изменяя электрохимические свойства поражённых сегментов, поэтому электрод, установленный у задних столбов спинного мозга, стимулирует тормозящие боль нервные волокна, замещая боль ощущением покалывания (парестезиями).
Целью публикации является демонстрация эффективности нейромодуляции как альтернативы применению опиоидных анальгетиков при лечении хронического болевого синдрома, связанного с онкологическим заболеванием. Представлен клинический случай пациентки, длительно страдающей от болевого синдрома, рефрактерного к фармакотерапии опиоидами, прекратившей терапию анальгетиками в связи с достижением адекватного обезболивающего эффекта после имплантации нейростимулятора.
ОПИСАНИЕ КЛИНИЧЕСКОГО СЛУЧАЯ
О пациенте
Пациентка У., 76 лет, поступила в состоянии средней тяжести в ФГБНУ «Федеральный научно-клинический центр реаниматологии и реабилитологии» Министерства науки и высшего образования Российской Федерации (ФНКЦ РР) для планового лечения в связи с хроническим болевым синдромом, не поддающимся медикаментозной коррекции.
Из анамнеза известно, что ранее верифицирован рак прямой кишки рТ2N0M0, в связи с чем наблюдалась у онколога по месту жительства. Выполнены хирургическое и адъювантное лечение, лучевая терапия в 2016 г. В 2021 г. отмечено прогрессирование заболевания, после чего возникли жалобы на постоянную боль разной интенсивности в животе, малом тазу, пояснично-крестцово-копчиковой области, нарушение походки. В связи с выраженным хроническим болевым синдромом длительное время пациентка принимала терапию опиоидами, при этом сохранялась боль 7–8 баллов по визуальной аналоговой шкале (ВАШ), что существенно снижало качество жизни. Из сопутствующих заболеваний у пациентки имелись сахарный диабет 2-го типа, диабетическая нефропатия, гипертоническая болезнь, ишемическая болезнь сердца, хроническая болезнь почек стадии 3Б (скорость клубочковой фильтрации 40 мл/мин/1,73м2).
Физикальная, инструментальная и лабораторная диагностика
При осмотре пациентка в ясном сознании, адекватна, ориентирована в месте, времени и собственной личности. Критика сохранна. Гемодинамические показатели стабильны, эпизодов гипо-/гипертензии на фоне проводимой терапии не отмечалось. Дыхание самостоятельное через естественные дыхательные пути. Аускультативно патологии сердечно-сосудистой и дыхательной систем не выявлено. Явлений диспепсии и дизурии не наблюдалось.
Со стороны черепно-мозговых нервов без патологии. Нистагма нет. Асимметрии лица нет. Парезов/параличей не выявлено. Функции тазовых органов контролирует. Хроническая боль в пояснично-крестцово-копчиковом отделе сопровождается такими физическими нарушениями, как анталгическая походка и частичное ограничение движений в данной области. Оценка по ВАШ: в покое ― 6 баллов, при движении/ходьбе ― 7–8 баллов.
Заключение компьютерной томографии (КТ) органов малого таза при поступлении: в полости малого таза определяется зона опухолевой инфильтрации без чётких контуров, неоднородной плотности.
Лабораторные показатели: за время пребывания в условиях стационара отмечалась белково-энергетическая недостаточность (гипопротеинемия, гипоальбуминемия), панцитопения, анемия лёгкой степени, а также умеренное повышение С-реактивного белка, что, вероятнее всего, обусловлено течением основного онкологического заболевания; азотемия расценивалась как проявление диабетической нефропатии на фоне хронической болезни почек стадии 3Б (скорость клубочковой фильтрации 40 мл/мин/1,73 м2).
В раннем послеоперационном периоде выявлена лейкоцитурия, в связи с чем пациентке проводилась терапия фосфомицином с положительным эффектом (табл. 1–3).
Таблица 1. Динамика показателей биохимического анализа крови / Table 1. Dynamics of comprehensive metabolic panel results
Показатели | Дата наблюдения (2021) | |||
18.10 | 25.10 | 26.10 | 27.10 | |
Билирубин общий, мкмоль/л | 14,1 | 13,4 | 14,7 | 13,2 |
Общий белок, г/л | 58 | 61,5 | 55,1 | 55,6 |
Альбумин, г/л | 31,5 | 35,4 | 31,8 | 32,9 |
Мочевина, ммоль/л | 6,1 | 7,8 | 7,5 | 9,2 |
Креатинин, мкмоль/л | 115,8 | 157 | 162,4 | 157,1 |
Глюкоза, ммоль/л | 5,3 | 7,17 | 8,26 | 5,27 |
Калий, ммоль/л | 4,4 | 4 | 4,2 | 3,8 |
Натрий, ммоль/л | 141,3 | 140 | 142,6 | 141 |
Хлор, ммоль/л | 107 | 104 | 107,7 | 107,2 |
Аланинаминотрансфераза, Ед/л | 15,6 | 9,3 | 8,2 | 6,4 |
Аспартатаминотрансфераза, Ед/л | 27,5 | 21,5 | 19,6 | 15,3 |
С-реактивный белок, мг/л | 23,06 | 30,29 | 30,88 | 43,95 |
Таблица 2. Динамика показателей клинического анализа крови / Table 2. Dynamics of complete blood count results
Показатели | Дата наблюдения (2021) | ||||
18.10 | 20.10 | 25.10 | 26.10 | 28.10 | |
Лейкоциты, 109/л | 3,5 | 3,7 | 4,8 | 6,3 | 3,4 |
Эритроциты, 1012/л | 2,74 | 2,69 | 2,82 | 2,63 | 2,39 |
Гемоглобин, г/л | 105 | 105 | 111 | 103 | 95 |
Гематокрит, % | 32 | 31,3 | 33,2 | 30,8 | 28,4 |
Тромбоциты, 109/л | 102 | 90 | 131 | 105 | 96 |
Нейтрофилы, % | 62,2 | 65,4 | 73,3 | - | 73,4 |
Лимфоциты, % | 24,3 | 22 | 19,8 | - | 18,5 |
Таблица 3. Динамика показателей общего анализа мочи / Table 3. Dynamics of urinalysis results
Показатели | Дата наблюдения (2021) | |||
18.10 | 25.10 | 26.10 | 28.10 | |
Цвет | Соломенно-жёлтый | Соломенно-жёлтый | Бледно-жёлтый | Соломенно-жёлтый |
Прозрачность | Неполная | Прозрачная | Мутноватая | Неполная |
Лейкоциты в поле зрения | 28 | 10 | 362 | 8 |
Слизь в поле зрения | 3 | - | 26 | 9 |
Эритроциты в поле зрения | - | - | 13 | - |
Лечение, динамика
С целью решения вопроса об имплантации постоянного нейростимулятора пациентке выполнена установка тестовых спинальных электродов на уровне Th11–L1 позвонков под рентгенологическим контролем электронно-оптического преобразователя. Оперативное вмешательство проведено в условиях тотальной внутривенной анестезии с применением искусственной вентиляции лёгких через оротрахеальную трубку. В качестве внутривенного анестетика применялось внутривенное введение эмульсии пропофола в рекомендуемых расчётных дозах. Анальгезия осуществлялась струйным внутривенным введением раствора фентанила (агонист опиоидных рецепторов) в дозе 1–2 мл 0,005% с повторным введением каждые 20–25 мин. Проводилось болюсное введение раствора рокурония бромида в расчётных дозах с целью миорелаксации. Миоплегия как компонент анестезии является обязательным условием, обеспечивающим более безопасную и правильную установку электродов в эпидуральное пространство, позволяет минимизировать риски дислокации и развития интраоперационных осложнений.
По данным контрольной КТ пояснично-крестцового отдела, между остистыми отростками L4 и L5 позвонков парасагиттально слева заведён эпидуральный электрод, расположенный в заднем эпидуральном пространстве. Восьмиконтактный электрод расположен на уровне Th11–L1 позвонков эпидурально в задних отделах позвоночного канала, его дистальный конец ― на уровне Th11 позвонка (рис. 2).
Рис. 2. Компьютерная томограмма пояснично-крестцового отдела позвоночника после установки тестовых спинальных электродов на уровне Th11 позвонка: а ― электрод в заднем эпидуральном пространстве между остистыми отростками L4 и L5 позвонков (стрелка); b ― дистальный конец электрода на уровне Th11 позвонка (стрелка). / Fig. 2. Computed tomography of lumbosacral spine after epidural electrode implantation at the Th11 level (test neuromodulation): а ― electrode is placed in posterior epidural space insertion, point is midline between L4 and L4 spinous processes (arrow); b ― electrode’s distal part at the Th11 level (arrow).
Послеоперационный период протекал без особенностей и осложнений. Медикаментозное лечение включало в себя гастропротекцию, ритм-урежающую и антигипертензивную терапию под контролем показателей гемодинамики. Проводилась коррекция гликемии с учётом уровня глюкозы капиллярной крови в динамике. Проведён подбор параметров стимуляции, включавший применение тонической стимуляции и циклической программы. Программа стимуляции, на которой был получен положительный эффект: режим Burst циклический 30 сек стимуляции / 3 мин пауза, частота 40 Гц, ширина импульса 1000 мкс, амплитуда 2–3,9 мА; заряд электрода (--+00000). При этом были получены удовлетворительные показатели импеданса, что свидетельствует об эффективной работе системы.
К третьим суткам после имплантации тестовых эпидуральных электродов на фоне проводимой нейростимуляции болевой синдром регрессировал, что способствовало активизации пациентки и увеличению объёма движений в поясничном отделе позвоночника. Учитывая значимую положительную динамику, были удалены тестовые электроды и определены показания к установке системы для нейростимуляции.
За время наблюдения после удаления тестовых электродов отмечалось постепенное нарастание болевого синдрома в пояснично-крестцово-копчиковой области, вновь возникли ограничение подвижности в поясничном отделе позвоночника, инсомния. Анальгетический эффект от применяемых препаратов (нестероидный противовоспалительный препарат + трамадол) не был достигнут, в связи с чем пациентка отказалась от дальнейшего применения обезболивающих средств.
Предоперационная подготовка, а также анестезиологическое пособие при имплантации системы для нейростимуляции не имело значимых особенностей и отличий от предшествующего этапа установки тестовых спинальных электродов. Под контролем интраоперационной рентгеноскопии в эпидуральное пространство установлен восьмиконтактный электрод, дистальный конец которого размещён на уроне Th11 позвонка; нейростимулятор имплантирован под кожу поясничной области в проекции гребня подвздошной кости.
Исходы и прогноз
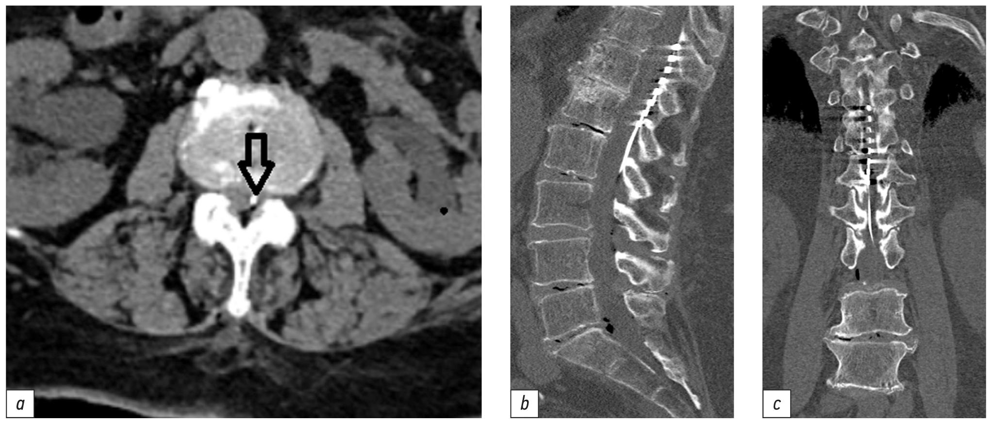
При контрольной КТ пояснично-крестцового отдела позвоночника между остистыми отростками L2 и L3 позвонков парасагиттально слева заведён эпидуральный электрод, расположенный в заднем эпидуральном пространстве. Восьмиконтактный электрод расположен на уровне Th10–Th12 позвонков в задних отделах позвоночного канала, его дистальный конец ― на уровне Th10 позвонка (рис. 3).
Рис. 3. Компьютерная томограмма пояснично-крестцового отдела позвоночника после установки спинальных электродов на уровне Th12–L1 позвонков: а ― электрод в заднем эпидуральном пространстве между остистыми отростками L2 и L3 позвонков (стрелка); b ― электрод в заднем эпидуральном пространстве на уровне Th12–L1 позвонков; с ― расположение электрода в заднем эпидуральном пространстве. / Fig. 3. Computed tomography of lumbosacral spine after epidural electrode implantation at the Th12–L1 level (constant neuromodulation): а ― electrode is placed in posterior epidural space, insertion point is midline between L2 and L3 spinous processes (arrow); b ― electrode is placed in posterior epidural space at the Th12–L1 levels; с ― location of the electrode in the posterior epidural space.
Ранний послеоперационный период протекал без особенностей и осложнений.
На вторые сутки после имплантации пациентке была начата нейростимуляция спинного мозга в циклическом режиме Burst с частотой 40 Гц, шириной импульса 1000 мкс, амплитудой 0,60–4,05 мА; заряд электрода (--+00000). Значение импеданса составило 337 Ом для данной программы. На третьи сутки после имплантации нейростимулятора болевой синдром уменьшился, пациентка поэтапно вертикализирована и активизирована в пределах палаты. Для коррекции параметров стимуляции пациентка была обучена обращению с пультом. На 13-е сутки от момента госпитализации больная выписана из стационара домой в удовлетворительном состоянии.
Со слов родственников, спустя 2 месяца после имплантации нейростимулятора пациентка жалоб на возобновление болевого синдрома не предъявляла и отказалась от приёма опиоидных анальгетиков.
ОБСУЖДЕНИЕ
По данным зарубежных и отечественных авторов, фармакотерапия, в том числе опиоидными анальгетиками, имеет преимущественное распространение в купировании хронического болевого синдрома. Выбор в пользу консервативного лечения находит своё объяснение в том, что интенсивность хронического болевого синдрома прогрессирует в динамике при продолженном росте объёмного образования, в связи с чем оперативные методы лечения не рассматриваются на более ранних стадиях онкологического заболевания, сопровождающегося лёгким или умеренным болевым синдромом.
Болевой синдром лёгкой степени, как правило, ограничивается проведением монотерапии нестероидным противовоспалительным препаратом или его комбинацией с парацетамолом. Для купирования более выраженного болевого синдрома требуется назначение опиоидных анальгетиков. По мере нарастания боли подбор анальгетиков, согласно «лестнице обезболивания» ВОЗ, подразумевает поэтапный переход от слабых анальгетиков (нестероидный противовоспалительный препарат, парацетамол) к более сильным (опиоиды) с применением адъювантных средств. При этом ВОЗ не даёт конкретных рекомендаций относительно момента перехода от слабого опиоида к сильному у пациентов с умеренной или сильной болью при онкологическом заболевании [8].
Возрастающий со временем болевой синдром требует увеличения дозы и кратности введения препаратов. Применяемые препараты для лечения хронического болевого синдрома имеют ряд нежелательных явлений в виде нефро- и гепатотоксичности, вызывают зависимость и усугубляют полипрагмазию, в связи с чем имеют ограничения в использовании. Преимуществом консервативной терапии перед хирургическими методами лечения является финансовая составляющая [9].
Учитывая вышеизложенное, в настоящее время пролонгированная нейромодуляция спинного мозга не рассматривается научным сообществом в качестве терапии первой линии хронического болевого синдрома [11]. Представленный клинический случай демонстрирует эффективность метода при неэффективности лечения наркотическими анальгетиками.
Положительные результаты, представленные в данном наблюдении, предполагают, что нейромодуляцию следует рассматривать на более ранних этапах лечения хронического болевого синдрома у пациентов с онкологическими заболеваниями, что поможет улучшить качество жизни. Однако требуется проведение дополнительных исследований на большей выборке пациентов данной категории.
ЗАКЛЮЧЕНИЕ
Данный клинический случай наглядно показывает, что методика нейромодуляции спинного мозга является альтернативным и эффективным методом лечения фармакорезистентной формы хронического болевого синдрома у пациентов онкологического профиля. В совокупности подобные описанные клинические случаи могут стать предпосылкой к пересмотру рекомендаций/протоколов лечения хронического болевого синдрома научным сообществом. Привлечение отечественных производителей к производству расходных материалов и оборудования может значимо снизить стоимость операций по имплантации нейростимуляторов.
ДОПОЛНИТЕЛЬНАЯ ИНФОРМАЦИЯ
Источник финансирования. Поисково-аналитическая работа проведена на личные средства авторского коллектива.
Конфликт интересов. Авторы декларируют отсутствие явных и потенциальных конфликтов интересов, связанных с публикацией настоящей статьи.
Вклад авторов. А.В. Бурмистрова, М.Д. Варюхина, А.А. Ильина ― анализ данных, написание статьи; А.Н. Воробьев, М.Л. Радутная, А.А. Яковлев, А.В. Гречко ― кураторство работы, редактирование, одобрение статьи для публикации. Все авторы подтверждают соответствие своего авторства международным критериям ICMJE (все авторы внесли существенный вклад в разработку концепции, проведение исследования и подготовку статьи, прочли и одобрили финальную версию перед публикацией).
Согласие пациента. Пациент добровольно подписал информированное согласие на публикацию персональной медицинской информации в обезличенной форме в журнале «Физическая и реабилитационная медицина, медицинская реабилитация» (дата подписания 18.10.2021).
ADDITIONAL INFORMATION
Funding source. This study was not supported by any external sources of funding.
Competing interests. The authors declare that they have no competing interests.
Authors’ contribution. A.V. Burmistrova, M.D. Varyukhina, A.A. Ilyina ― data analysis, manuscript writing; A.N. Vorobyev, M.L. Radutnaya, A.A. Yakovlev, A.V. Grechko ― curating the work, reviewing and approving the manuskript. All authors made a substantial contribution to the conception of the work, acquisition, analysis, interpretation of data for the work, drafting and revising the work, final approval of the version to be published and agree to be accountable for all aspects of the work.
Patients permission. The patient voluntarily signed an informed consent to the publication of personal medical information in depersonalized form in the journal “Physical and rehabilitation medicine, medical rehabilitation” (date of signing 18.10.2021).
Об авторах
Александра Васильевна Бурмистрова
Федеральный научно-клинический центр реаниматологии и реабилитологии
Автор, ответственный за переписку.
Email: aburmistrova@fnkcrr.ru
ORCID iD: 0000-0001-5532-5396
SPIN-код: 4477-8293
врач-нейрохирург
Россия, МоскваАлексей Николаевич Воробьев
Федеральный научно-клинический центр реаниматологии и реабилитологии
Email: avorobyev@fnkcrr.ru
ORCID iD: 0000-0003-3742-6171
SPIN-код: 3253-7996
Россия, Москва
Мария Дмитриевна Варюхина
Федеральный научно-клинический центр реаниматологии и реабилитологии
Email: mvaryuhina@fnkcrr.ru
ORCID iD: 0000-0001-8870-7649
SPIN-код: 7463-4645
Россия, Москва
Анна Александровна Ильина
Федеральный научно-клинический центр реаниматологии и реабилитологии; Российский университет дружбы народов
Email: shishova-1992@mail.ru
ORCID iD: 0000-0001-6188-870X
SPIN-код: 1200-3966
Россия, Москва; Москва
Маргарита Леонидовна Радутная
Федеральный научно-клинический центр реаниматологии и реабилитологии
Email: mradutnaya@fnkcrr.ru
ORCID iD: 0000-0002-9181-2295
SPIN-код: 1077-5970
Россия, Москва
Алексей Александрович Яковлев
Федеральный научно-клинический центр реаниматологии и реабилитологии
Email: ayakovlev@fnkcrr.ru
ORCID iD: 0000-0002-8482-1249
SPIN-код: 2783-9692
к.м.н.
Россия, МоскваАндрей Вячеславович Гречко
Федеральный научно-клинический центр реаниматологии и реабилитологии
Email: avgrechko@fnkcrr.ru
ORCID iD: 0000-0003-3318-796X
SPIN-код: 4865-8723
д.м.н., профессор, член-корреспондент РАН
Россия, МоскваСписок литературы
- WHO’s pain relief ladder for cancer pain relief. Annex 2 [Internet] // World Health Organization. Cancer pain relief. Geneva, 1986. Р. 71–74. Режим доступа: https://apps.who.int/iris/bitstream/handle/10665/43944/9241561009_eng.pdf. Дата обращения: 14.09.2022.
- Когония Л.М., Новиков Г.А., Орлова Р.В., и др. Практические рекомендации по лечению хронического болевого синдрома у взрослых онкологических больных // Злокачественные опухоли. 2021. T. 11, № 3. С. 167–186. doi: 10.18027/2224-5057-2021-11-3s2-49
- Caraceni A., Shkodra M. Cancer pain assessment and classification // Cancers. 2019. Vol. 11, N 4. P. 510. doi: 10.3390/cancers11040510
- Scholz J., Finnerup N.B., Attal N., еt al. The IASP classification of chronic pain for ICD-11: Chronic neuropathic pain // Pain. 2019. Vol. 160, N 1. P. 53–59. doi: 10.1097/j.pain.0000000000001365
- Злокачественные новообразования в России в 2020 году (заболеваемость и смертность). Статистический сборник / под ред. А.Д. Каприна, В.В. Старинского, А.О. Шахзадовой. Москва: Московский научно-исследовательский онкологический институт имени П.А. Герцена, 2021. 252 c.
- Всемирная организация здравоохранения, Европейский портал информации здравоохранения [интернет]. Заболеваемость раком на 10 000 населения. Режим доступа: https://gateway.euro.who.int/ru/indicators/hfa_357-2320-incidence-of-cancer-per-100-000/visualizations/#id=19288. Дата обращения: 12.09.2022.
- Когония Л.М., Волошин А.Г., Новиков Г.А., Сидоров А.В. Практические рекомендации по лечению хронического болевого синдрома у онкологических больных // Злокачественные опухоли. 2019. Т. 9, № 3. С. 685–703. doi: 10.18027/2224-5057-2019-9-3s2-685-703
- Blasco M.A. Chronic pain management in head and neck oncology // Otolaryngol Clin North Am. 2020. Vol. 53, N 5. P. 865–875. doi: 10.1016/j.otc.2020.05.015
- International Neuromodulation Society. Neuromodulation, or Neuromodulatory Effect [интернет]. Режим доступа: https://www.neuromodulation.com/. Дата обращения: 12.09.2022.
- Melzack R., Wall P.D. Pain mechanisms: a new theory // Science. 1965. Vol. 150, N 3699. P. 971–979. doi: 10.1126/science.150.3699.971
- Hofmeister M., Memedovich A., Brown S., еt al. Effectiveness of neurostimulation technologies for the management of chronic pain: a systematic review // Neuromodulation. 2020. Vol. 23, N 2. P. 150–157. doi: 10.1111/ner.13020
Дополнительные файлы






