The classification of consequences and complications of spinal cord injury in children
- Authors: Novoselova I.N.1,2, Ponina I.V.1, Valiullina S.A.1
-
Affiliations:
- Clinical and Research Institute of Emergency Pediatric Surgery and Trauma
- Russian Medical Academy of Continuous Professional Education
- Issue: Vol 4, No 4 (2022)
- Pages: 234-243
- Section: ORIGINAL STUDY ARTICLE
- Submitted: 24.11.2022
- Accepted: 24.11.2022
- Published: 09.12.2022
- URL: https://journals.eco-vector.com/2658-6843/article/view/114841
- DOI: https://doi.org/10.36425/rehab114841
- ID: 114841
Cite item
Full Text
Abstract
BACKGROUND: Consequences and complications of spinal cord injury in children which appear at all recovery stages significantly affect outcomes. The Classification proposed in 1994 does not provide a clear distinction between terms "consequences" and "complications" and currently, in our opinion, is outdated and was outdated long ago, since it raises more questions than it contains answers.
AIM: to propose a new classification of spinal cord injury consequences and complications in children covering all periods of the injury course.
MATERIAL AND METHODS: Children with severe spinal and spinal cord injury who have been admitted to the Clinical and Research Institute of Emergency Pediatric Surgery and Trauma in Moscow since 2014 were taken into the study. To diagnose their current state, the following diagnostic tools were used: clinical examination, trophological status, neurological assessment by ASIA scale, locomotor pattern, laboratory and instrumental testings; in addition, psychological examination so as to identify child's post-traumatic disadaptation and psychopathological state.
RESULTS: Three years after the injury, spinal cord injury consequences were detected in 96% of injured children; spinal cord injury complications ― in 56% of children who were treated at Clinical and Research Institute of Emergency Pediatric Surgery and Trauma in 2014–2020. The authors have developed a new classification of spinal cord injury consequences and complications in children.
CONCLUSION: The early start of rehabilitation measures and subsequent long-term medical and psychological support of children with spinal cord injury delays the onset of spinal cord injury consequences, prevents complications, as well as encourages the child and his/her parents to comply with the recommendations of the rehabilitation team. Underestimation of the severity of child's condition can lead not only to the deprivation of motor restoration, but also to the deterioration in the quality of family life and to the problem of integrating children with spinal cord injury into the society.
The newly developed classification is an important instrument to improve injury outcomes, child's growth and development as well his/her integration into the social environment.
Full Text
ОБОСНОВАНИЕ
Последствия и осложнения, неизбежно возникающие на протяжении всей жизни у детей с позвоночно-спинномозговой травмой (ПСМТ), существенно влияют на результат восстановления и исход заболевания. В течение последних десятилетий правила ведения пациентов с ПСМТ значительно изменились в связи с углублением знаний о патофизиологии, появлением новых методов диагностики и лечения [1, 2]. Однако до настоящего времени отсутствует классификация последствий и осложнений ПСМТ. Последствия (вторичные изменения) ― это комплекс необратимых морфологических, функциональных, метаболических изменений, которые возникают у всех пациентов с травмой спинного мозга. Выраженность последствий ПСМТ зависит от уровня и характера поражения, метаболических особенностей пациента, степени восстановления, образа жизни и времени, прошедшего после травмы. Осложнения ― это вторичные патологические состояния, присоединившиеся к основному заболеванию, вследствие недооценки последствий и неправильного ведения пациента [3]. Осложнения на самом раннем этапе восстановления, отягощая течение болезни, отодвигают момент активизации пациента, увеличивают сроки пребывания в стационаре, а порой приводят к летальному исходу [4].
В настоящее время существует лишь одна русскоязычная классификация характерных осложнений ПСМТ, принятая в 1994 г. [5], которая выделяет инфекционно-воспалительные, нейротрофические, сердечно-сосудистые изменения, а также нарушения функции тазовых органов и ортопедические последствия. В остром, раннем и промежуточном периодах гнойно-воспалительные осложнения встречаются у 5–40% взрослых больных [6], нейротрофические и сосудистые ― у 35–63% [7]; осложнения со стороны тазовых органов, по данным разных авторов, встречаются в 77–100% случаев [8], ортопедические последствия травмы ― в 60% [9].
Риск развития осложнений у детей с ПСМТ сравним со взрослыми пострадавшими [10]. Эпидемиологического исследования ПСМТ у детей в России не проводилось, литературные данные по вопросу последствий и осложнений ПСМТ у детей относительно немногочисленны и представлены чаще отдельными статьями, посвящёнными ограниченному кругу проблем. Статистические данные по детям были обнаружены нами в англоязычной литературе, где последствия и осложнения ПСМТ рассматриваются по отдельным органам и системам, частота их возникновения не отличается от взрослых пациентов [11–13].
При прочих равных условиях шансы умереть от осложнений у детей, которым на момент травмы было менее 16 лет, ежегодные увеличиваются на 31% по сравнению со взрослыми, получившими травмы в более старшем возрасте (р=0,013). Этот повышенный риск существенно не зависит от возраста, пола, расы, тяжести травмы или времени её получения (р >0,05) [10].
Цель исследования ― разработать новую классификацию последствий и осложнений ПСМТ, охватывающую все периоды течения травмы.
МАТЕРИАЛЫ И МЕТОДЫ
Критерии включения: возраст от 1 года до 17 лет включительно; наличие позвоночно-спинномозговой травмы, подтверждённой клиническими и лучевыми методами обследования; добровольное информированное согласие пациента или родителей (опекунов) пациента на участие в научном исследовании.
Условия проведения
Исследование выполнено среди пациентов детского возраста с позвоночно-спинномозговыми травмами, поступавших на лечение в Научно-исследовательский институт неотложной детской хирургии и травматологии (НИИ НДХиТ) в период с 2014 по 2020 г.
Описание медицинского вмешательства
Всем детям проводились мероприятия по разработанной нами методике: пациентам I группы ― курс ранней реабилитации, начинающийся в отделении реанимации; пациентам II группы ― второй этап реабилитации в профильном отделении. В процессе медицинской реабилитации дети и их родители получали подробные рекомендации по уходу, питанию, позиционированию, физическим нагрузкам и двигательному режиму, приобретению дополнительных технических средств реабилитации, переоборудованию жилого помещения и оформлению пособия по инвалидности.
После выписки из стационара реабилитационные мероприятия продолжались с использованием многофункциональной телемедицинской цифровой платформы KIDS REHAB1 для постстационарного медико-социального мониторинга и сопровождения детей с ПСМТ, нуждающихся в длительной реабилитации.
Методы регистрации исходов
С целью определения неврологического статуса исследовали уровень и степень тяжести поражения спинного мозга, которые оценивались по шкале Американской ассоциации травм спинного мозга ASIA (American Spinal Cord Injury Association), являющейся международным стандартом неврологической и функциональной классификации повреждений спинного мозга [14].
Подтверждение неврологического диагноза и определение тактики ведения пациента осуществляли путём верификации уровня, степени и характера повреждения позвоночника и спинного мозга с помощью методов лучевой диагностики: компьютерной и магнитно-резонансной томографии.
Оценка соматического статуса базировалась на клиническом осмотре с оценкой антропометрических данных, лабораторном (общий анализ крови, биохимический анализ крови, анализ суточной мочи) и инструментальном (ультразвуковое исследование, ультразвуковая допплерография, электрокардиография) мониторинге.
Для обследования локомоторного паттерна проводили оценку ограничения пассивных движений в крупных суставах методом гониометрии, мышечной силы по шестибалльной шкале Вейсс (Weiss functional impairment rating scale) и мышечного тонуса по шкале Эшворта (Ashworth).
Кроме того, проводилось психологическое обследование с целью выявления постравматической дезадаптации и психопатологических состояний.
Состояние детей оценивалось на момент поступления, через 6 мес после травмы во время госпитализации, через 1 год после травмы по опросникам KIDS REHAB и через 3 года после травмы по опроснику «Последствия и осложнения».
Этическая экспертиза
Исследование выполнено в соответствии с этическими принципами Хельсинкской декларации Всемирной медицинской ассоциации «Этические принципы проведения научных медицинских исследований с участием человека», правилами клинической практики в Российской Федерации и одобрено локальным этическим комитетом Центра 20 февраля 2019 года, протокол № 7.
Статистический анализ
Статистическая обработка данных осуществлялась с помощью компьютерной программы Statistica v.6.0 (StatSoft Inc.). Использовались вычислительные и графические возможности редактора электронных таблиц Excel. Данные проверялись на соответствие нормальному закону распределения с помощью критериев Лиллиефорса (Lilliefors) и Шапиро–Уилка (Shapiro-Wilk W-test). Применяли дисперсионный анализ, t-критерий Стьюдента, непараметрические тесты: критерий знаков и парный тест Вилкоксона (Wilcoxon Т-test). При всех видах статистического анализа различия считались достоверными при уровне значимости р <0,05.
РЕЗУЛЬТАТЫ
Объекты (участники) исследования
В исследование были включены 167 детей в возрасте от 1 года до 17 лет включительно: I группу (n=106) составили дети, поступившие в течение 1 мес после события травмы, II группу (n=61) ― дети, поступившие более чем через 1 мес после получения травмы. Средний возраст детей составил 11,4±4,0 года. Среди детей преобладали мальчики (56,3%), статистически значимых различий между сформированными группами не выявлено.
Самым частым осложнением у пациентов I группы в течение первого месяца после травмы были психоэмоциональные нарушения, в том числе депрессивные тенденции, требующие специализированной медикаментозной коррекции, причём у детей с тетраплегией (парезом) их было значительно больше (32% против 4%). Вторым значимым соматическим осложнением у детей была анемия ― 16% случаев у пациентов с тетраплегией (парезом) и 4% у пациентов с параплегией (парезом); табл. 1.
Таблица 1. Частота встречаемости соматических осложнений у пациентов I группы в течение первого месяца после травмы / Table 1. The frequency of occurrence of somatic complications in patients of group I during the 1st month after injury
Двигательный дефицит | Осложнения, абс. (%) | Число детей | ||||||||
П | А | Пр | ИМП | АД | ГО | Д | Кр | МКБ | ||
Тетраплегия (парез) | 4 (13) | 5 (16) | 5 (16,1) | 2 (6,5) | 4 (13) | 1 (3) | 10 (32) | - | - | 31 |
Параплегия (парез) | 1 (1,4) | 3 (4) | 1 (1,4) | 2 (2,7) | 1 (1,3) | - | 3 (4) | - | - | 75 |
Всего | 5 (4,7) | 8 (7,5) | 6 (5,7) | 4 (3,8) | 5 (4,7) | 1 (0,9) | 13 (12,3) | - | - | 106 |
Примечание. Здесь и в табл. 2–4: П ― пневмония, А ― анемия, Пр ― пролежни, ИМП ― инфекции мочевыводящих путей, АД ― приступы автономной дисрефлексии, ГО ― гетеротопические оссификаты, Д ― депрессия или депрессивные тенденции, Кр ― контрактуры, О ― остеопороз, МКБ ― мочекаменная болезнь.
Note: Here and in Tables 2–4: П ― pneumonia, А ― anemia, Пр ― bedsores, ИМП ― urinary tract infections, АД ― attacks of autonomous dysreflexia, ГО ― heterotopic ossifications, Д ― depression or depressive tendencies, Кр ― contractures, О ― osteoporosis, МКБ ― urolithiasis.
На момент выписки из стационара после окончания первого этапа реабилитации все возникшие осложнения у пациентов I группы были купированы, а родители детей обучены современным методам ухода и профилактики осложнений гипостатического положения.
При обследовании через 6 мес после ПСМТ у 16,1% пациентов I группы с тетраплегией (парезом) наблюдались приступы автономной дисрефлексии, у 12,9% сохранялись депрессивные тенденции; анемия, пролежневые раны, инфекции мочевыводящих путей были обнаружены у 9,7% детей. Самым частым осложнением у пациентов I группы с параплегией (парезом) были инфекции мочевыводящих путей (у 6; 5,7%), у 1 (1,3%) ребёнка отмечены проявления остеопороза (табл. 2).
Таблица 2. Последствия и осложнения позвоночно-спинномозговой травмы у пациентов I группы через 6 мес после травмы / Table 2. Consequences and complications of spinal cord injury in patients of group I 6 months after injury
Двигательный дефицит | Последствия и осложнения, абс. (%) | Число детей | |||||||||
П | А | Пр | ИМП | АД | ГО | Д | Кр | О | МКБ | ||
Тетраплегия (парез) | - | 3 (9,7) | 3 (9,7) | 3 (9,7) | 5 (16,1) | 1 (3) | 4 (12,9) | 1 (3) | - | - | 31 |
Параплегия (парез) | - | 2 (2,7) | 1 (1,3) | 3 (4) | - | - | - | - | 1 (1,3) | - | 75 |
Всего | - | 5 (4,7) | 4 (3,8) | 6 (5,7) | 10 (9,4) | 1 (0,9) | 4 (3,8) | 1 (0,9) | 1 (0,9) | - | 106 |
Наличие осложнений у детей, родители которых были обучены методам профилактики, связаны, по-видимому, с отсутствием комплаенса, индифферентной стратегией семейных взаимоотношений и недостатком контроля со стороны родителей ребёнка.
Самым частым соматическим осложнением у пациентов II группы были пролежневые раны (57,3%): у 90,5% детей с тетраплегией (парезом) (табл. 3) диагностированы I–IV стадии пролежней (рис. 1).
Таблица 3. Последствия и осложнения у пациентов II группы на момент поступления / Table 3. Consequences and complications in patients of group II at the time of admission
Двигательный дефицит | Последствия и осложнения, абс. (%) | Число детей | |||||||||
П | А | Пр | ИМП | АД | ГО | Д | Кр | О | МКБ | ||
Тетраплегия (парез) | 6 (28,6) | 4 (19) | 19 (90,5) | 17 (80,9) | 12 (57,1) | 3 (14) | 7 (33,3) | 1 (4,8) | 3 (14) | 2 (9,5) | 21 |
Параплегия (парез) | 2 (5) | 1 (2,5) | 16 (40) | 16 (40) | - | - | 2 (5) | - | 1 (2,5) | 3 (7,5) | 40 |
Всего | 8 (13,1) | 5 (8,2) | 35 (57,3) | 33 (54,1) | 12 (19,7) | 3 (9,9) | 9 (14,8) | 1 (1,6) | 4 (6,6) | 5 (8,2) | 61 |
Рис. 1. Гнойно-некротическая рана крестца IV стадии у пациента с позвоночно-спинномозговой травмой на уровне С5–С6 (2 мес после травмы). / Fig. 1. Purulent-necrotic wound of the sacrum, stage IV, in a patient with SSCI at the C5–C6 level (2 months after the injury).
Вторым значимым осложнением у пациентов этой группы были инфекции мочевыводящих путей (54,1%), третьим ― приступы автономной дисрефлексии (19,7%) (см. табл. 3); 12 (19,7%) детей с тетраплегией (парезом) испытывали приступы автономной дисрефлексии, но ни дети, ни родители не были проинформированы о клинических проявлениях, мерах профилактики и способах коррекции этого состояния, угрожающего жизни ребёнка.
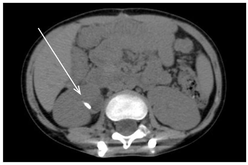
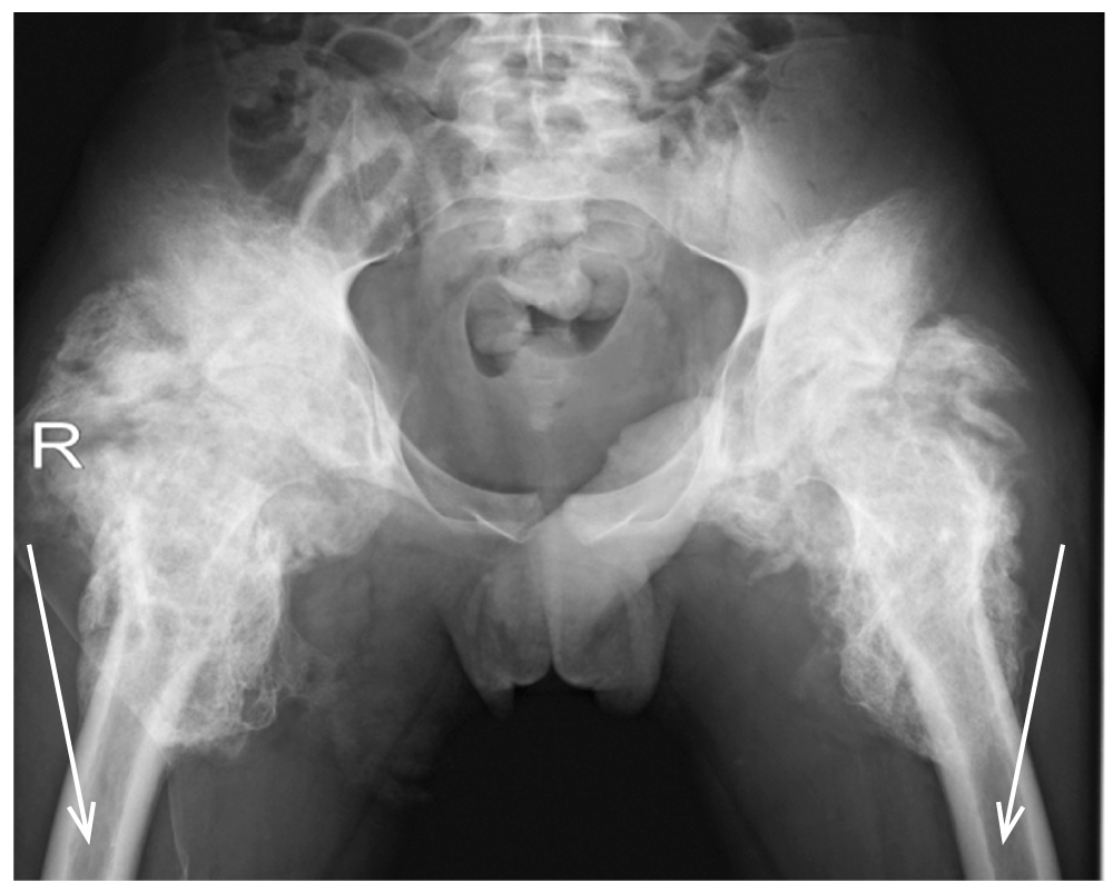
На реабилитацию с тромбозами нижних конечностей в стадии реканализации поступили 12 (19,7%) детей этой группы, у 5 (8,2%) из них была выявлена мочекаменная болезнь (рис. 2). У 3 (14,3%) детей II группы при поступлении на реабилитацию были выявлены гетеротопические оссификации (рис. 3).
Рис. 2. Компьютерная томография: мочекаменная болезнь, картина высокоплотного конкремента в лоханке правой почки (стрелка). / Fig. 2. Computed tomography: picture of urolithiasis, a high-density calculus in the pelvis of the right kidney (arrow).
Рис. 3. Рентгенологическая картина пациента с позвоночно-спинномозговой травмой на уровне С5–С6 (3 мес после травмы): массивные гетеротопические оссификаты в области тазобедренных суставов в проекции от крыльев подвздошных костей до верхней трети диафизов бедренных костей, регионарный остеопороз (стрелка). / Fig. 3. X-ray picture of massive heterotopic ossifications in the area of the hip joints in the projection from the wings of the iliac bones, up to 3 of the diaphysis of the femur, regional osteoporosis (arrow) in a patient with at the level of C5–C6 (3 months after injury).
На момент выписки из стационара после окончания первого курса реабилитации все осложнения у пациентов II группы были купированы, а родители детей обучены современным методам ухода и профилактики.
Через 6 мес после ПСМТ у 19% пациентов II группы с тетраплегией (парезом) наблюдались приступы автономной дисрефлексии и сохранялись депрессивные тенденции, у 14,3% ― анемия; пролежневые раны, инфекции мочевыводящих путей обнаружены у 23,8% детей, у 4 (6,6%) ― проявления остеопороза (табл. 4).
Таблица 4. Последствия и осложнения у пациентов II группы на момент выписки из стационара после проведённого курса реабилитации / Table 4. Consequences and complications in patients of group II at the time of discharge from the hospital after a course of rehabilitation
Двигательный дефицит | Последствия и осложнения, абс. (%) | Число детей | |||||||||
П | А | Пр | ИМП | АД | ГО | Д | Кр | О | МКБ | ||
Тетраплегия (парез) | 1 (4,7) | 3 (14,3) | 3 (14,3) | 5 (23,8) | 4 (19) | 3 (14) | 4 (19) | 1 (4,8) | 3 (14) | 2 (9,5) | 21 |
Параплегия (парез) | - | 2 (5) | - | 3 (7,5) | - | - | - | - | 1 (2,5) | 3 (7,5) | 40 |
Всего | 1 (1,6) | 5 (8,2) | 2 (3,3) | 8 (13,1) | 4 (6,6) | 3 (9,9) | 4 (6,6) | 1 (1,6) | 4 (6,6) | 5 (8,2) | 61 |
Пролежневые раны I–II стадии к 6 мес были выявлены у 2 (3,3%) детей II группы; гнойно-некротические раны, с которыми дети поступали на первый курс реабилитации, были подвергнуты успешному хирургическому лечению (рис. 4). Новых тромбозов у пациентов этой группы при поступлении на повторный курс реабилитации не обнаружено, «старые» тромбозы были реканализованы, но 4 пациентам продолжалась антикоагулянтная терапия.
Рис. 4. Успешное хирургическое лечение гнойно-некротической раны крестца IV стадии у пациента с позвоночно-спинномозговой травмой на уровне С5–С6 (6 мес после травмы). / Fig. 4. Successful surgical treatment of a grade IV purulent-necrotic sacral wound in a patient with spinal cord injury at the C5–C6 level (6 months after injury).
Через 1 год после ПСМТ у 39 детей I группы и 25 пациентов II группы, сопровождаемых по системе дистанционного мониторинга KIDS REHAB, были оценены время возникновения последствий ПСМТ и частота осложнений (табл. 5).
Таблица 5. Оценка возникновения последствий и осложнений позвоночно-спинномозговой травмы у детей, участвующих в дистанционном мониторинге по системе KIDS REHAB* / Table 5. Assessment of the occurrence of consequences and complications of spinal cord injury in children participating in remote monitoring using the KIDS REHAB system*
Группы детей | Последствия, мес | Осложнения, количество |
I (n=39) | 5±1,2 | 21±4,6 |
II (n=25) | 4±1,6 | 33±5,2 |
Примечание. * р=0,015.
Note: * р=0,015.
Очевидно, что у детей, прошедших I этап реабилитации в первичном стационаре (I группа), последствия ПСМТ при прочих равных условиях появляются позже, а количество осложнений значительно меньше за счёт ранней адаптации ребёнка и его семьи к актуальному неврологическому дефициту и новому образу жизни.
Для оценки последствий и осложнений через 3 года после ПСМТ мы использовали разработанный нами опросник «Последствия и осложнения». В мониторинге приняли участие 148 детей из I и II групп (табл. 6).
Таблица 6. Оценка последствий и осложнений позвоночно-спинномозговой травмы у детей по опроснику «Последствия и осложнения» через 3 года после травмы / Table 6. Assessment of the consequences and complications of spinal cord injury in children according to the questionnaire “Consequences and complications” 3 years after the injury
Последствия | +/- | Осложнения | +/- |
Нарушение трофики | 96 | Пролежни | 52 |
Недостаточность дыхательной мускулатуры, бронхообструкция | 52 | Пневмония, ателектаз | 12 |
Изменение артериального давления, нарушение проведения по синоатриальному и/или атриовентрикулярному узлам | 64 | Нарушение ритма, блокады, инфаркт, инсульт | 1 |
Нарушение моторики кишечника, работы сфинктеров | 97 | Язвенная болезнь, запор или недержание, инвагинация, кишечная непроходимость, жёлчнокаменная болезнь | 56 |
Детрузорно-сфинктерная диссинергия, эректильная дисфункция, автономная дисрефлексия | 82 | Рефлюкс, гидронефроз, мочекаменная болезнь, инфекция мочевой системы, хроническая почечная недостаточность, приступы автономной дисрефлексии | 42 |
Остеопороз, спастика | 102 | Вторичные переломы, гетеротопические оссификаты, контрактуры | 49 |
Метаболические нарушения | 73 | Белково-энергетическая недостаточность, ожирение, сахарный диабет 2-го типа | 26 |
Психологическая дезадаптация, болевой синдром | 125 | Эмоциональные, мотивационные, поведенческие расстройства | 56 |
Различные последствия ПСМТ через 3 года после получения травмы выявлены у 96% пострадавших детей, осложнения ― у 56% детей с ПСМТ.
Разработанная новая классификация является необходимой для улучшения исходов травмы, дальнейшего роста и развития ребёнка и интеграции его в социальную среду (табл. 7).
Таблица 7. Классификация последствий и осложнений позвоночно-спинномозговой травмы у детей / Table 7. Classification of consequences and complications of spinal cord injury in children
№ | Патогенез | Последствия | Осложнения |
1 | Кожа и слизистые | ||
Изменение тонуса сосудов | Нарушение трофики | Пролежни | |
2 | Дыхательная система | ||
Нарушение центральной регуляции дыхательной мускулатуры | Выключение из акта дыхания определённых групп мышц в зависимости от уровня поражения | Пневмония Ателектаз | |
Нарушение вегетативной иннервации | Бронхообструкция | ||
Изменение мукоцилиарного клиренса | |||
3 | Сердечно-сосудистая система | ||
Нарушение вегетативной иннервации | Изменение артериального давления, нарушение проведения по синоатриальному и атриовентрикулярному узлам | Инфаркт, инсульт, остановка сердца нарушения ритма, блокады | |
4 | Желудочно-кишечный тракт | ||
Нарушение вегетативной иннервации | Повышение агрессивности секрета | Стрессовые язвы | |
Нарушение моторики кишечника | Копростаз Запор или недержание Инвагинация, кишечная непроходимость | ||
Нарушение работы сфинктеров | |||
Дисфункция билиарного тракта | Билиарный сладж, жёлчнокаменная болезнь | ||
5 | Мочеполовая система | ||
Нарушение вегетативной иннервации при отсутствии центральной регуляции | Детрузорно-сфинктерная диссинергия Эректильная дисфункция | Рефлюкс, гидронефроз, хроническая почечная недостаточность, мочекаменная болезнь, инфекция мочевой системы, | |
6 | Эндокринная система | ||
Отсутствие центральной регуляции | Метаболические нарушения (гиперкатаболизм, гиперметаболизм) Миастеатоз | Белково-энергетическая недостаточность, ожирение, сахарный диабет 2-го типа | |
7 | Костно-мышечная система | ||
Отсутствие опорной нагрузки | Остепороз | Низкоэнергетические переломы | |
Отсутствие центральной регуляции | Метаболические нарушения | Гетеротопические оссификации | |
Спастика | Контрактуры | ||
8 | Автономная дисрефлексия | ||
Отсутствие центральной регуляции вегетативной нервной системы | Дискоординация работы симпатической и парасимпатической нервной системы | Повышение артериального давления, тахикардия, гипертермия, паническая атака, инсульт | |
9 | Психоэмоциональная сфера | ||
Изменение привычного жизненного стереотипа | Психологическая дезадаптация | Эмоциональные, мотивационные, поведенческие расстройства | |
Нарушение центральной регуляции + эмоционально-личностные характеристики | Боль | Эмоциональные, мотивационные, поведенческие расстройства | |
ЗАКЛЮЧЕНИЕ
Раннее начало реабилитационных мероприятий и последующее длительное медико-психологическое сопровождение детей с ПСМТ отдаляет возникновение последствий травмы спинного мозга, профилактирует осложнения и побуждает ребёнка и его родителей соблюдать рекомендации реабилитационной команды. Недооценка тяжести состояния ребёнка с ПСМТ может привести не только к ограничению восстановления двигательных возможностей, но и к ухудшению качества жизни семьи и затруднению интеграции ребёнка в общество.
Осведомлённость пациента и его семьи о неизбежном возникновении последствий неврологического дефицита и связанного с ним гипостатического положения, своевременная компенсация возникших нарушений являются залогом успешной профилактики возможных осложнений.
ДОПОЛНИТЕЛЬНАЯ ИНФОРМАЦИЯ
Источник финансирования. Исследование поддержано грантом Правительства г. Москвы «Cистема комплексной реабилитации детей с острыми травматическими повреждениями на основе организационной модели с применением инновационных медико-конвергентных технологий» (проект № 2412-9).
Конфликт интересов. Авторы декларируют отсутствие явных и потенциальных конфликтов интересов, связанных с публикацией настоящей статьи.
Вклад авторов. И.Н. Новосёлова ― концепция и дизайн, обзор публикаций по теме статьи, выбор и обследование пациентов, анализ полученных данных, написание и научная редакция текста рукописи; И.В. Понина ― обзор публикаций по теме статьи, обследование пациентов, проведение исследования, предоставление и анализ полученных данных; С.А. Валиуллина ― общее редактирование, утверждение рукописи для публикации. Все авторы подтверждают соответствие своего авторства международным критериям ICMJE (все авторы внесли существенный вклад в разработку концепции, проведение исследования и подготовку статьи, прочли и одобрили финальную версию перед публикацией).
ADDITIONAL INFORMATION
Funding source. The study was supported by a grant from the Government of Moscow “Comprehensive rehabilitation system for children with acute traumatic injuries based on an organizational model using innovative medical convergent technologies” (project No. 2412-9).
Competing interests. The authors declare no apparent or potential conflicts of interest related to the publication of this article.
Author contribution. I.N. Novoselova ― concept and design, review of publications on the topic of the article, selection and examination of patients, analysis of the data obtained, writing and scientific editing of the text of the manuscript; I.V. Ponina ― review of publications on the topic of the article, examination of patients, research, provision and analysis of the obtained data; S.A. Valiullina ― general editing, approval of the manuscript for publication. All authors made a substantial contribution to the conception of the work, acquisition, analysis, interpretation of data for the work, drafting and revising the work, final approval of the version to be published and agree to be accountable for all aspects of the work.
1 Режим доступа: https://roshalfund.com/kids_rehab.
About the authors
Irina N. Novoselova
Clinical and Research Institute of Emergency Pediatric Surgery and Trauma; Russian Medical Academy of Continuous Professional Education
Author for correspondence.
Email: i.n.novoselova@gmail.com
ORCID iD: 0000-0003-2258-2913
SPIN-code: 1406-1334
MD, Dr. Sci. (Med.)
Russian Federation, Moscow; MoscowIrina V. Ponina
Clinical and Research Institute of Emergency Pediatric Surgery and Trauma
Email: ponina.irina@mail.ru
ORCID iD: 0000-0002-0060-7895
SPIN-code: 1753-6156
Russian Federation, Moscow
Svetlana A. Valiullina
Clinical and Research Institute of Emergency Pediatric Surgery and Trauma
Email: vsa64@mail.ru
ORCID iD: 0000-0002-1622-0169
SPIN-code: 6652-2374
MD, Dr. Sci. (Med.), Proffesor
Russian Federation, MoscowReferences
- Hagen EM. Acute complications of spinal cord injuries. World J Orthopedics. 2015;6(1):17–23. doi: 10.5312/wjo.v6.i1.17
- Ivanova GE, Melnikova EV, Belkin AA, et al. How to organize medical rehabilitation? Bulletin restorative medicine. 2018;(2):2–12. (In Russ).
- Novoselova IN, Panina IV, Valiullina SA. Complications and consequences of spinal cord injury in children and adults. Literature review. Russian Neurosurgical Journal named after Professor A.L. Polenov. 2020;12(1):48–54. (In Russ).
- Novoselova IN, Mochalov VA, Panina IV, et al. The concept of early rehabilitation of children with spinal cord injury in a surgical hospital. Bulletin restorative medicine. 2020;(2):94–101. (In Russ). doi: 10.38025/2078-1962-2020-96-2-94-101
- Babichenko EI. Classification of spinal cord injury. In: Neurotraumatology: a reference book. Ed. A.N. Konovalov, L.B. Likhterman, A.A. Potapov. Moscow: Vazar-Ferro; 1994. Р. 252–253. (In Russ).
- Jumanov KN, Perfiliev SB, Babakhanov FX. Issues of treatment of early complications in patients with injuries of the thoracolumbar spine. In: VII Polenov readings: theses of the All-Russian Scientific and practical conference, April 27-30. Saint-Petersburg; 2008. Р. 97–98. (In Russ).
- Leontiev MA. Epidemiology of spinal injury and the frequency of complete anatomical spinal cord injury. In: Actual problems of rehabilitation of the disabled: Materials of the scientific and practical conference dedicated to the European and Russian Year of Disabled People-2003, the 60th anniversary of the Kemerovo region, the 25th anniversary of the Federal State Institution “Novokuznetsk Scientific and Practical Center for Medical and Social Expertise and Rehabilitation of Disabled People”, September 30 – October 3. Novokuznetsk; 2003. Р. 37–38. (In Russ).
- Senichev AA, Lebedeva NB, Belova AN. The main types and structure of lesions of the urinary system organs in patients who have suffered spinal cord injury. In: Vyatka meetings: collection of scientific papers of the Kirov interregional scientific and practical Conference of neurologists and neurosurgeons. Kirov; 2004. Р. 106–107. (In Russ).
- Soleny VI. Orthopedic consequences of spinal cord injury. In: Neurotraumatology: reference book. Ed. A.N. Konovalova; L.B. Lichterman. Moscow: Vazar-Ferro; 1994. Р. 267–268. (In Russ).
- Johnston TE, McDonald CM. Health and fitness in pediatric spinal cord injury: medical issues and the role of exercise. J Pediatr Rehabil Med. 2013;6(1):35–44. doi: 10.3233/PRM-130235
- Vogel LC, Mendoza MM, Schottler JC, et al. Ambulation in children and youth with spinal cord injuries. J Spinal Cord Med. 2007;(30):158–164. doi: 10.1080/10790268.2007.11754595
- Shavelle RM, DeVivo MJ, Brooks JC, et al. Improvements in long-term survival after spinal cord injury? Arch Phys Med Rehab. 2015;96(4):645–651. doi: 10.1016/j.apmr.2014.11.003
- Nelson VS. Durable medical equipment for children with spinal cord dysfunction: implications of age and level of injury. J Spinal Cord Med. 2007;(30):172–177. doi: 10.1080/10790268.2007.11754597
- Schuld C, Franz S, Brüggemann K, et al. International standards for neurological classification of spinal cord injury: impact of the revised worksheet (revision 02/13) on classification performance. J Spinal Cord Med. 2016;5(39):504–512. doi: 10.1080/10790268.2016.1180831
Supplementary files







