Клинический случай: особенности лучевой диагностики в поиске осложнений (после оперативных вмешательств) и выявлении новых новообразований у пациента с болезнью Гиппеля−Линдау в хроническом критическом состоянии
- Авторы: Бессонова Л.В.1, Радутная М.Л.1, Яковлев А.А.1, Яковлева А.В.1, Щелкунова И.Г.1
-
Учреждения:
- Федеральное государственное бюджетное научное учреждение «Федеральный научно-клинический центр реаниматологии и реабилитологии»
- Выпуск: Том 2, № 3 (2020)
- Страницы: 273-279
- Раздел: КЛИНИЧЕСКИЙ СЛУЧАЙ
- Статья получена: 29.04.2020
- Статья одобрена: 21.05.2020
- Статья опубликована: 10.09.2020
- URL: https://journals.eco-vector.com/2658-6843/article/view/33952
- DOI: https://doi.org/10.36425/rehab33952
- ID: 33952
Цитировать
Полный текст
Аннотация
Обоснование. Одной из форм системного ангиоретикулематоза является сочетание опухоли (ангиоретикулемы) мозжечка с ангиомой сетчатки (так называемая болезнь Гиппеля–Линдау). При данном наследственном заболевании общее состояние пациентов и прогноз зависят от сопутствующих опухолевых заболеваний. В том числе для всесторонней диагностики данного синдрома используются лучевые методы исследования.
Описание клинического случая. Для прохождения курса лечебно-реабилитационных мероприятий в ФНКЦ РР поступила молодая пациентка с болезнью Гиппеля–Линдау и рядом неврологических нарушений. На этапе госпитализации в предыдущем стационаре ей было выполнено микрохирургическое удаление внутримозговой опухоли. В процессе дообследования были исключены возможные отдаленные послеоперационные осложнения, однако выявлены поражения почек и поджелудочной железы. В результате скорректированного курса реабилитации у пациентки была отмечена положительная динамика, в частности повышение функционального и соматического статуса.
Заключение. При болезни Гиппеля– Линдау как одной из форм множественного ангиоретикулематоза ангиоретикулемы мозжечка и ангиомы сетчатки могут сочетаться с поражениями и других внутренних органов, поэтому необходима комплексная диагностика данной категории пациентов. Своевременное выявление очагов болезни Гиппеля–Линдау, осложнений после ранее проведенного лечения позволяет подобрать необходимый объем лечебных и реабилитационных мероприятий, что в дальнейшем может улучшить качество жизни пациента и прогноз.
Полный текст
Список сокращений
КТ — компьютерная томография
МРТ — магнитно-резонансная томография
Обоснование
Болезнь Гиппеля–Линдау — состояние, проявляющееся множественными ангиоретикулемами нервной системы. Системный ангиоретикуломатоз (ангиоматоз) — наследственное заболевание, которое проявляется чрезмерным ростом капилляров и возникновением доброкачественных и злокачественных новообразований во многих органах (при этом доброкачественные новообразования могут озлокачествляться и рецидивировать).
Название болезни (синдрома) сформировалось в начале XIX в. В 1904 г. немецкий офтальмолог фон Гиппель (Eugen von Hippel) впервые описал ангиоретикулому сетчатки глаза. В 1926 г. шведский патолог А. Линдау (Arvid Vilhelm Lindau) выявил 16 случаев ангиоматозных кист мозжечка (и 2 солитарных узла) и, изучив более 20 подобных заболеваний в литературе, объединил ангиоматозные опухоли мозжечка в общий синдром сосудистых ангиом (согласно терминологии Lindau, «капиллярные ангиомы»). Потом ученый сравнил кисты с похожими опухолями, выявленными в сетчатке глаза, и пришел к выводу, что ангиоматоз следует рассматривать как системное заболевание врожденного характера [1, 2].
Одной из форм множественного ангиоретикулематоза является сочетание опухоли (ангиоретикулемы) мозжечка с ангиомой сетчатки (так называемая болезнь Гиппеля–Линдау), которое, по данным разных авторов, выявляется в 2–15% всех ангиоретикулем мозжечка. До недавнего времени научные представления об этиопатогенезе болезни Гиппеля–Линдау были весьма ограничены. В 1993 г. был клонирован ген болезни Гиппеля– Линдау (VHL ген) [3]. В основе патогенеза лежит мутация в участке 3 р25-26, где локализован ген-супрессор опухолевого роста VHL [4]. Наследование синдрома по доминантному типу неодинаково даже у близких родственников. Проявляется также по-разному и в различном возрасте, при этом у большинства (до 90%) носителей болезни к 65 годам жизни обнаруживается хотя бы один из ее симптомов. До появления методов ранней диагностики болезни Гиппеля–Линдау пациенты не доживали до 50 лет [5]. За последние годы прогноз заболевания значительно улучшился благодаря раннему распознаванию патологии, новым технологиям лечения и последующему наблюдению за больными.
Общее состояние пациентов и прогноз заболевания зависят от сопутствующих опухолевых заболеваний. Средняя продолжительность жизни больных с болезнью Гиппеля–Линдау — 45 лет. Наиболее частые причины смерти — метастазы почечно- клеточной карциномы, неврологические осложнения гемангиобластом центральной нервной системы и феохромоцитома надпочечников. Основной причиной снижения качества жизни больных являются неврологические осложнения множественных гемангиобластом центральной нервной системы и сетчатки.
Диагноз системного ангиоретикуломатоза может быть выставлен на основании характерных клинических проявлений, семейного анамнеза и выявленных изменений, в том числе по данным лучевых методов исследования [3, 6].
Клинический пример
О пациенте
В отделение ФНКЦ РР была госпитализирована пациентка П., возраст 30 лет, с диагнозом «Доброкачественное новообразование головного мозга под мозговым наметом. Гемангиобластома WHO Grade I. Болезнь Гиппеля–Линдау. Микрохирургическое удаление внутримозговой опухоли от 03.09.2019. F06.923 Неуточненное непсихотическое расстройство в связи с опухолью головного мозга. Эмоционально-личностные нарушения. Сопутствующий: Q85.8 Вторичная неоваскулярная некомпенсированная глаукома обоих глаз. Острый вагинит. Генитальный кандидоз. Хронический колит. Запоры. Хронический панкреатит вне обострения. Мочекаменная болезнь. Хронический цистит. Поликистоз обеих почек. Хроническая железодефицитная анемия средней степени выраженности».
Из анамнеза известно, что пациентке в 1999 г. был установлен диагноз «Болезнь Гиппеля–Линдау». С 2001 г. отмечалось снижение зрения, постепенно до двустороннего амавроза в 2006 г. За период от выявления заболевания до госпитализации в ФНКЦ РР пациентка перенесла ряд операций по удалению гемангиобластом. В 2019 г. по результатам компьютерной (КТ) и магнитно-резонансной томографии (МРТ) головного мозга выявлен больших размеров солидный узел в правой гемисфере мозжечка с развитием окклюзионной гидроцефалии (размер солидного узла в медицинской документации не указан). В Национальном медицинском исследовательском центре нейрохирургии имени академика Н. Н. Бурденко 03.09.2019 была выполнена операция — микрохирургическое удаление внутримозговой опухоли. Пациентка выписана с ухудшением в виде нарастания мозжечковой атаксии, выраженным головокружением и задержкой мочеиспускания для последующей госпитализации в ФНКЦ РР и проведения комплекса реабилитационных мероприятий.
Сведения о проведении генетического тестирования и наличии заболеваний у родственников в медицинской документации также отсутствуют.
Физикальная диагностика
На момент поступления состояние пациентки расценивалось как тяжелое. Обращала на себя внимание низкая масса тела (40 кг при росте 161 см). Синдромально фиксировались двусторонний амавроз, тетрапарез, дистония, вестибулоатактический синдром, нарушение функции тазовых органов. При поступлении отмечалось отсутствие функциональной и бытовой независимости, т. е. полная зависимость от посторонней помощи в кормлении, поворотах в кровати, гигиеническом и общем уходе. Пациентка нуждалась в круглосуточном мониторинге, лечении и пребывании в условиях реанимационного отделения, включавшего специальный уход и медицинское наблюдение.
Динамика и исходы
Для исключения отдаленных осложнений (абсцесс, окклюзионная гидроцефалия) было решено выполнить дообследование пациентки.
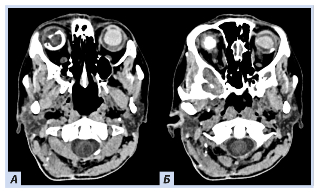
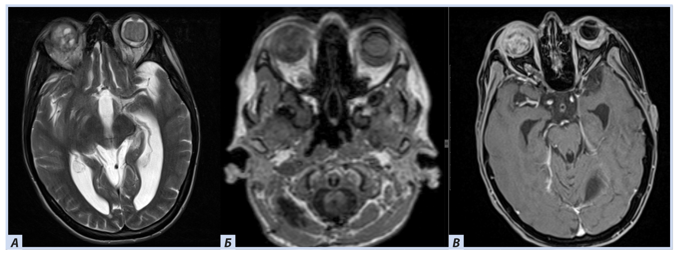
Лучевые методы. На МРТ-изображениях головного мозга выявлено характерное двустороннее поражение глаз (рис. 1), по данным КТ — с участками обызвествления (рис. 2). Также на КТ головного мозга были выявлены зона послеоперационных кистозно-глиозных изменений с наличием кисты и узла на уровне посттрепанационного дефекта в правом полушарии мозжечка, а также аналогичные зоны дорзальнее и в субкортикальных отделах; в левой гемисфере мозжечка определялись кистозные изменения (рис. 3).
Рис. 1. Пациентка П., 30 лет, с диагнозом «Болезнь Гиппеля−Линдау»: магнитно-резонансная томография головного мозга
Примечание. А, Б — Т2- и Т1-взвешенные изображения. В полости правой глазницы объемное образование с неоднородным МР-сигналом; В — постконтрастное Т1-взвешенное изображение, режим подавления сигнала от жира: определяется интенсивное, но гетерогенное контрастирование образования. Кровоизлияние в сетчатку справа.
Рис. 2. Пациентка П., 30 лет, с диагнозом «Болезнь Гиппеля−Линдау»: компьютерная томография головного мозга
Примечание. Отмечаются гиперденсные зоны в области сетчатки и глазных яблок справа плотностью до +270…+330 HU.
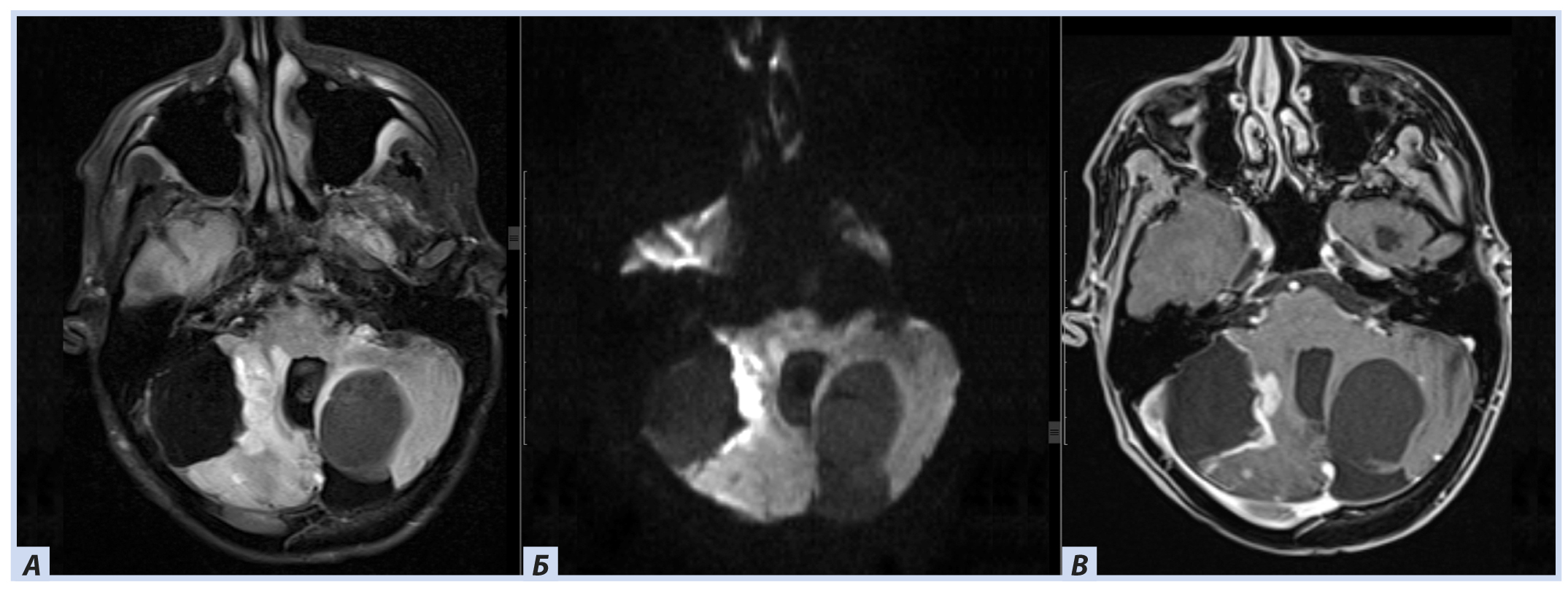
Рис. 3. Пациентка П., 30 лет, с диагнозом «Болезнь Гиппеля−Линдау»: магнитно-резонансная томография головного мозга
Примечание. А — Tirm-режим: на фоне кист мозжечка визуализируется мягкотканный компонент, прилегающий к кисте справа; Б — DWI-режим: зона рестрикции диффузии по ходу стенки кисты справа; В — постконтрастное Т1-взвешенное изображение, режим подавления сигнала от жира: в той же зоне отмечается накопление.
В спинном мозге больной на уровне шейного отдела были выявлены кистозные полости с узлами гемангиобластом (рис. 4).
Рис. 4. Пациентка П., 30 лет, с диагнозом «Болезнь Гиппеля−Линдау»: магнитно-резонансная томография спинного мозга
Примечание. А — постконтрастное Т1-взвешенное изображение, режим подавления сигнала от жира: отмечается узел (гемангиобластомы) с аккумуляцией гадолинийсодержащего контраста; Б — Tirm-режим: на фоне кист спинного мозга визуализируется мягкотканный компонент, краниально прилегающий к кисте.
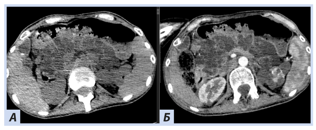
При скрининговом ультразвуковом исследовании забрюшинного пространства были выявлены изменения обеих почек, которые были интерпретированы как множественные кисты при дообследовании на КТ забрюшинного пространства: множественные кистозные образования обеих почек; в верхнем полюсе левой почки — кистозно-солидное образование, изоденсное паренхиме почки в нативную фазу (40 HU), в артериальную активно накапливающее контраст (до 100 HU), контуры его четкие неровные (рис. 5, 6).
Рис. 5. Пациентка П., 30 лет, с диагнозом «Болезнь Гиппеля−Линдау»: компьютерная томография забрюшинного пространства
Примечание. А — нативная фаза: кисты обеих почек, солидный узел в верхнем полюсе левой почки; Б — артериальная фаза: кисты обеих почек более отчетливы на фоне контрастированной почечной ткани, солидный узел в верхнем полюсе левой почки с неоднородным накоплением контраста опухолью.
Рис. 6. Пациентка П., 30 лет, с диагнозом «Болезнь Гиппеля−Линдау»: компьютерная томография забрюшинного пространства
Примечание. А — нативная фаза: кистозно-солидное образование левой почки; Б — артериальная фаза: кистозно-солидное образование левой почки с неоднородным накоплением контраста опухолью.
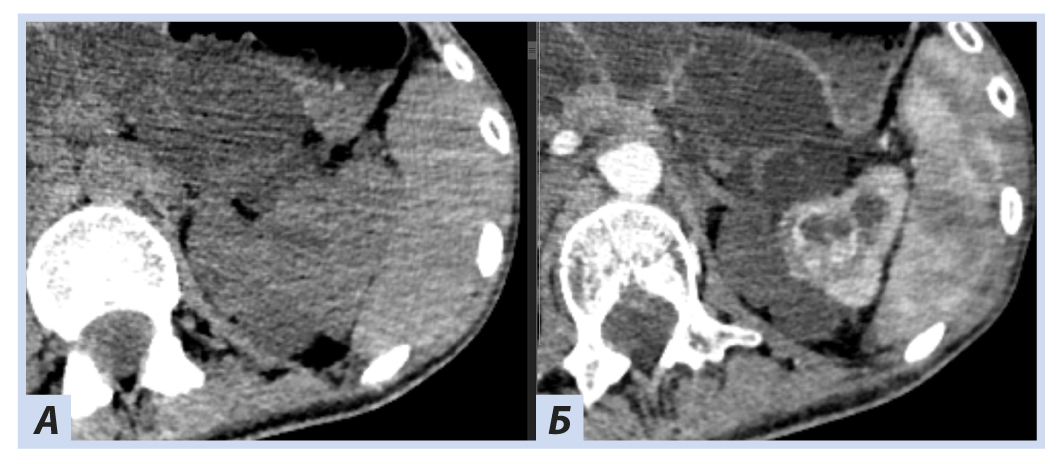
При ультразвуковом исследовании поджелудочной железы эхографическая картина неотчетлива, по данным КТ паренхима поджелудочной железы диффузно изменена за счет множественных тонкостенных кист, вирсунгов проток не прослеживается (рис. 7).
Рис. 7. Пациентка П., 30 лет, с диагнозом «Болезнь Гиппеля−Линдау»: компьютерная томография поджелудочной железы
Примечание. А — нативная фаза: множественные тонкостенные кисты поджелудочной железы; Б — артериальная фаза: кисты визуализируются более отчетливо на фоне контрастированной окружающей ткани железы, но при этом участков патологического накопления поджелудочной железой нет.
Других объемных образований, характерных для болезни Гиппеля–Линдау, у нашей пациентки не обнаружено.
Выявленные изменения, с одной стороны, исключили грозные отдаленные послеоперационные осложнения (блокады ликворных путей на уровне водопровода мозга, отверстий Мажанди, Лушка и Монро, воспалительный процесс), с другой — позволили скорректировать реабилитационные мероприятия по улучшению состояния пациентки. За время лечения (52 дня) пациентке был выполнен комплекс реабилитационных мероприятий, включающих лечебную физкультуру и массаж, занятия с логопедом и медицинским психологом (стимуляция слухового, зрительного, сенсорного аппарата), лечение положением и вертикализацию пациента.
По итогам проведенного лечения отмечена положительная динамика в виде повышения толерантности к физической нагрузке: пациентка вертикализирована, может сидеть, стоит в ходунках под контролем инструктора по лечебной физкультуре; уменьшилась выраженность вестибулоатактического синдрома; в соматическом статусе регрессировала инфекция мочевыводящих путей.
Прогноз
Выявленные у пациентки в процессе реабилитации дополнительные кистозные образования органов брюшной полости (почек и поджелудочной железы) являются прогностически неблагоприятными. Однако с учетом улучшения соматического статуса, своевременно выявленных изменений, это позволит в дальнейшем более быстро и точно определить тактику дифференциально-диагностических, лечебных и реабилитационных мероприятий, что, по нашему мнению, может улучшить прогноз в дальнейшем.
Обсуждение
Представленный клинический случай является одним из наиболее часто встречающихся вариантов развития болезни Гиппеля–Линдау. Ретинальные гемангиобластомы — самые распространенные, чаще двусторонние, как в случае нашей пациентки, поражения (45–59% случаев), которые клинически проявляются раньше других симптомов ангиоретикуломатоза.
Для обнаружения образований внутренней оболочки глаза требуется регулярный осмотр глазного дна, при этом у отдельных больных развитие образований приводит к слепоте и тяжелым нарушениям зрения. Таким пациентам выполняется лазерная коагуляция или криотерапия (применяется при опухолях диаметром до 3 мм). В случаях отслоения сетчатки применяют витреоретинальную хирургию. При опухолях, прилегающих к зрительному нерву, применяют анти-VEFG-терапию для уменьшения отека и образования экссудата [1]. Другим наиболее частым поражением при болезни Гиппеля– Линдау являются гемангиобластомы центральной нервной системы. При этом наиболее частой локализацией являются мозжечок (44–72%), спинной (13–59%) и продолговатый мозг (5%). Только 5–30% всех мозжечковых гемангиобластом приписывают болезни системного ангиоретикулематоза [7, 8]. В данной ситуации более предпочтительна МРТ головного мозга и позвоночника с контрастированием. Рост опухоли может провоцировать развитие компрессионного синдрома с экссудацией окружающих структур [8, 9]. При краниоспинальном расположении образования подлежат хирургическому лечению, однако из-за особенности хаотичного роста гемангиобластом центральной нервной системы оперативное лечение не проводится до появления однозначной клинической симптоматики. Стереотаксическая радиохирургия используется в лечении небольших новообразований центральной нервной системы (диаметром менее 3 см) и в неоперабельных случаях [4].
Кисты почек встречаются в 59–63% случаев, поражение является двусторонним у 75% пациентов [9, 10]. Изменения в почках могут варьировать от простых кист до кистозных образований с наличием раковых клеток; также встречаются солидные опухоли.
Частота поражения поджелудочной железы при системном ангиоретикулематозе достигает 77% случаев (причем в отдельных семейных группах может отсутствовать) [11]. Стоит отметить, что поражение поджелудочной железы может быть единственным проявлением и на несколько лет предшествовать любому другому абдоминальному симптому [12]. У половины больных болезнь Гиппеля–Линдау проявляется доброкачественными кистами печени, почек, протекает бессимптомно и выявляется при скрининговом исследовании. У большей части пациентов к 60 годам имеется риск развития почечно-клеточного рака, сопряженного у данной группы пациентов с летальным исходом. При выявлении опухолей более 3 см (стандарт США) / 5 см (стандарт Европы) показано хирургическое лечение, так как метастазирование соотносится с размером образования [4, 11]. «Золотым стандартом» лечения почечно-клеточного рака является органосохраняющая операция — открытая и лапароскопическая частичная нефрэктомия. Также все чаще применяют альтернативные методы — криотерапию и радиочастотную абляцию [4]. При необходимости лечение нейроэндокринных опухолей состоит из панкреасохраняющих процедур — дистальной панкреатэктомии, энуклеации; объемные поражения могут потребовать более агрессивной хирургии. Могут встречаться кисты печени и селезенки (в нашем случае их не было).
Пациентка поступила для реабилитационных мероприятий после удаления новообразования мозжечка. Для исключения отдаленных послеоперационных осложнений в протокол стандартного МР-исследования была включена дополнительная последовательность CISS (на томографах других фирм обозначается как Fiesta): данная программа позволяет получить изотропные изображения высокого разрешения с помощью сильного Т2-взвешенного 3D-градиентного эха (при высоком значении соотношения T2/T1 вода и жир дают высокий сигнал при этой последовательности). CISS обеспечивает высокую дифференцировку между цереброспинальной жидкостью и другими структурами головного мозга. К счастью, осложнений, требующих повторного оперативного вмешательства, в нашем случае выявлено не было. Тем не менее другие исследования обнаружили у пациентки новообразование левой почки, поликистоз поджелудочной железы, что являлось противопоказанием к физиотерапевтическим процедурам.
Таким образом, картина проявлений болезни Гиппеля–Ландау у пациентки повлияла на дальнейшую тактику лечения и реабилитационные мероприятия.
Заключение
При болезни Гиппеля–Линдау как одной из форм множественного ангиоретикулематоза ангиоретикулемы мозжечка и ангиомы сетчатки могут сочетаться с поражениями других внутренних органов, что требует комплексной диагностики у данной категории пациентов. Своевременное выявление очагов болезни Гиппеля–Линдау, осложнений после ранее проведенного лечения позволяет подобрать необходимый объем лечебных и реабилитационных мероприятий, что в дальнейшем может улучшить качество жизни пациента и прогноз.
Об авторах
Л. В. Бессонова
Федеральное государственное бюджетное научное учреждение «Федеральный научно-клинический центр реаниматологии и реабилитологии»
Email: old@fnkcrr.ru
Россия, Москва
Маргарита Л. Радутная
Федеральное государственное бюджетное научное учреждение «Федеральный научно-клинический центр реаниматологии и реабилитологии»
Email: mradutnaya@fnkcrr.ru
ORCID iD: 0000-0002-9181-2295
Россия, Москва
Алексей Александрович Яковлев
Федеральное государственное бюджетное научное учреждение «Федеральный научно-клинический центр реаниматологии и реабилитологии»
Email: ayakovlev@fnkcrr.ru
ORCID iD: 0000-0002-8482-1249
SPIN-код: 2783-9692
Россия, Москва
Александра Витальевна Яковлева
Федеральное государственное бюджетное научное учреждение «Федеральный научно-клинический центр реаниматологии и реабилитологии»
Автор, ответственный за переписку.
Email: avyakovleva@fnkcrr.ru
ORCID iD: 0000-0001-9903-7257
SPIN-код: 3133-3281
мл. науч. сотр.
Россия, МоскваИнесса Геннадьевна Щелкунова
Федеральное государственное бюджетное научное учреждение «Федеральный научно-клинический центр реаниматологии и реабилитологии»
Email: ishchelkunova@fnkcrr.ru
ORCID iD: 0000-0002-3778-5417
SPIN-код: 8319-4170
Россия, Москва
Список литературы
- Lindau A. Zur frage der angiomatosis retinae und ihrer hirnkomplikation. Acta Ophthalmol. 1927;4:193–226.
- Kinney T, Fitzgerald P. Lindauvon Hippel disease with hemangioblastoma of the spinal cord and syringomyelia. Arch Pathol (Chic). 1947;43(5):439–455.
- Wang JT, Cao WJ, Wang ZX, Zhu H. Novel gene mutation in von Hippel-Lindau disease — a report of two cases. BMC Med Genet. 2019;20(1)194. doi: 10.1186/s12881-019-0930-8.
- Ларина И.И., Платонова Н.М., Трошина Е.А., и др. Синдром фон Гиппеля-Линдау: Особенности лечения и наблюдения. Клинический случай и краткий обзор литературы // Архивъ внутренней медицины. — 2019. — Т. 9. — № 3. — С. 165–171. [Larina II, Platonova NM, Troshina EA, et al. Von Hippel-Lindau syndrome: aspects of treatment and management. Case report and literature review. Arhiv vnutrennej mediciny. 2019;9(3):165–171. (In Russ).] doi: 10.20514/2226-6704-2019-9-3-165-171.
- Maggio D, Rosenblum JS, Chittiboina P. Resection of von Hippel Lindau related brainstem hemangioblastoma. J Neurologic Surg Part B-Skull Base. 2019;80(Suppl 4):S348. doi: 10.1055/s-0039-1700511.
- Leung RS, Biswas SV, Duncan M, Rankin S. Imaging features of von Hippel-Lindau disease. Radiographics. 2008;28(1):65–79. doi: 10.1148/rg.281075052.
- Xu N, Duan WS, Zhang RP, Yang B. Imaging diagnosis of von Hippel-Lindau syndrome. J Craniofacial Surg. 2019; 30(7):E674–E677. doi: 10.1097/scs.0000000000005760.
- Румболта З., Костильо М., Хуанга Б., Росси А. КТ и МРТ визуализация головного мозга / Пер. с англ. — М.: Медпресс-информ, 2006. — С. 365−366. [Rumbolta Z, Kostil’o M, Huanga B, Rossi A. KT i MRT vizualizacija golovnogo mozga. Translated from English. Moscow: Medpress-inform; 2006. Р. 365−366. (In Russ).]
- Tiwari R, Singh AK, Somwaru AS, et al. Radiologist’s primer on imaging of common hereditary cancer syndromes. Radiographics. 2019;39(3):759–778. doi: 10.1148/rg.2019180171.
- Романчева Г.С., Саушев Д.А., Папазова А.В., и др. Церебро-ретиновисцеральный ангиоматоз Гиппеля- Линдау. Диагностический подход к решению междисциплинарных проблем // Синергия наук. — 2017. — № S9. — C. 8–17. [Romancheva GS, Saushev DA, Papazova AV, et al. Cerebro-retinovisceral’nyj angiomatoz Gippelja-Lindau. Diagnosticheskij podhod k resheniju mezhdisciplinarnyh problem. Sinergija nauk. 2017;(S9): 8–17. (In Russ).]
- Zhao RN, Zhang B, Jiang YX. [Clinical features of von-Hippel-Lindau syndrome and its ultrasonographic diagnosis of abdominal mass. (In Chinese)]. Zhongguo Yi Xue Ke Xue Yuan Xue Bao. 2019;41(5):658–662. doi: 10.3881/ j.issn.1000-503X.10939.
- Corcos O, Couvelard A, Giraud S, et al. Endocrine pancreatic tumors in von Hippel-Lindau disease — Clinical, histological, and genetic features. Pancreas. 2008;37(1): 85–93. doi: 10.1097/MPA.0b013e31815f394a.
Дополнительные файлы










