Регресс ликвородинамических нарушений и клиники синдрома избыточного дренирования вентрикуло-перитонеального шунта у пациента с последствиями тяжелой черепно-мозговой травмы, посттравматической гидроцефалией и гигантским посттрепанационным дефектом костей свода черепа после реконструкции дефекта: клинический случай
- Авторы: Воробьев А.Н.1, Щелкунова И.Г.1, Левин Д.В.1, Лукьянец О.Б.1, Шайбак А.А.1, Яковлев А.А.1
-
Учреждения:
- Федеральное государственное бюджетное научное учреждение «Федеральный научно-клинический центр реаниматологии и реабилитологии»
- Выпуск: Том 2, № 3 (2020)
- Страницы: 263-272
- Раздел: КЛИНИЧЕСКИЙ СЛУЧАЙ
- Статья получена: 29.05.2020
- Статья одобрена: 30.06.2020
- Статья опубликована: 10.09.2020
- URL: https://journals.eco-vector.com/2658-6843/article/view/34244
- DOI: https://doi.org/10.36425/rehab34244
- ID: 34244
Цитировать
Полный текст
Аннотация
Обоснование. Наличие дефекта костей свода черепа вызывает нарушение кровотока и ликвородинамики в области дефекта, смещение мозговых структур под действием гравитации и атмосферного давления, что может вызывать ухудшение состояния пациента и значительное замедление темпов восстановления после перенесенной тяжелой черепно-мозговой травмы. Как синдром трепанированного черепа, так и избыточное шунтирование могут препятствовать вертикализации и реабилитации пациентов с посттравматической гидроцефалией и посттравматическими дефектами костей свода черепа.
Описание клинического случая. Представленный клинический случай демонстрирует пример дифференциального подхода и алгоритм принятия решения о хирургическом лечении у пациента с посттравматической гидроцефалией и посттрепанационным дефектом костей свода черепа при ухудшении состояния во время попыток вертикализации в комплексе реабилитационных мероприятий.
Заключение. Не всегда, как продемонстрировано в данном клиническом случае, суженные желудочки и связь ухудшения состояния с вертикализацией должны трактоваться как синдром избыточного дренирования шунтирующей системы. Пластика дефекта костей свода черепа позволила добиться улучшения состояния пациента и регресса симптоматики, в результате чего стало возможным проведение дальнейшей реабилитации.
Полный текст
Список сокращений
КТ — компьютерная томография
ПЗ — поле зрения при микроскопии
ЗЧМТ — закрытая черепно-мозговая травма
РИНЦ — Российский индекс научного цитирования
Обоснование
Частота новых случаев черепно-мозговой травмы, по данным различных исследований, составляет от 50 до 546 случаев на 100 000 населения в год, в зависимости от популяции [1]. У ~3,9% пострадавших с тяжелой черепно-мозговой травмой возникает посттравматическая сообщающаяся гидроцефалия, которая требует имплантации вентрикуло-перитонеального шунта [2]. По данным популяционного исследования Н. А. Копорушко и соавт. [3], среднее число посттравматических дефектов костей свода черепа составляет 10,46 на 100 000 населения в год, из них 68% относятся к большим и гигантским. Наличие дефекта костей свода черепа вызывает нарушение кровотока и ликвородинамики в области дефекта, смещение мозговых структур под действием гравитации и атмосферного давления, что может вызывать ухудшение состояния пациента и значительное замедление темпов восстановления после перенесенной тяжелой черепно-мозговой травмы [4]. В настоящее время в мировом нейрохирургическом сообществе нет единого консенсуса относительно сроков и метода закрытия дефектов костей свода черепа, особенно если речь идет о гигантских и сложных дефектах. Однако ряд авторов придерживается тенденции к наиболее раннему закрытию дефектов костей свода черепа, что, по их мнению, обеспечит лучший исход реабилитации у таких пациентов [5].
Избыточное шунтирование цереброспинальной жидкости возникает в 10–12% случаев у пациентов с долгосрочной коррекцией жизнеугрожающего состояния. Клинически избыточное шунтирование может проявляться как симптомами внутричерепной гипотензии, так и картиной внутричерепной гипертензии, что в любом случае вызывает ухудшение состояния больного. Отличительным признаком избыточного шунтирования является его связь с положением больного. Симптоматика возникает и усиливается в вертикальном положении (или сидя) и проходит, когда пациент полежит некоторое время горизонтально [2].
Как синдром трепанированного черепа, так и избыточное шунтирование могут препятствовать вертикализации и реабилитации пациентов с посттравматической гидроцефалией и посттравматическими дефектами костей свода черепа. Представленный далее клинический случай демонстрирует пример дифференциального подхода и алгоритм принятия решения о хирургическом лечении у пациента с посттравматической гидроцефалией и посттрепанационным дефектом костей свода черепа при возникновении ухудшения состояния во время попыток вертикализации в комплексе реабилитационных мероприятий.
Клинический пример
О пациенте
Пациент К., 50 лет. Из анамнеза болезни известно, что тяжелая закрытая черепно-мозговая травма была получена 19.10.2019 (был найден на улице со следами травмы). 20.10.2019 пациент стал вял, сонлив, отмечалась продуктивная психическая симптоматика; бригадой скорой медицинской помощи пациент был госпитализирован в клинику по месту жительства. По данным компьютерной томографии головного мозга от 20.10.2019 были выявлены острая субдуральная гематома правого полушария головного мозга, ушиб головного мозга в левой лобной доле, травматическое субарахноидальное кровоизлияние в цистернах левой гемисферы мозга, линейный перелом лобной и теменной костей справа (в аксиальной проекции протяженность до 10,2 см, толщина до 1,2 мм). 21.10.2019 отмечалось ухудшение состояния пациента в виде угнетения сознания (по шкале ком Глазго — 9 баллов, при поступлении — 13 баллов), левостороннего гемипареза (до 2–3 баллов), анизокории S > D. Пациенту была повторно выполнена компьютерная томография головного мозга. На снимках выявлено увеличение объема субдуральной гематомы в лобно-теменно-височной области справа, смещение срединных структур влево до 7 мм. 21.10.2019 по экстренным показаниям пациенту было выполнено оперативное вмешательство в объеме декомпрессивной трепанации черепа справа, удаления острой субдуральной гематомы. 22.10.2019 для дальнейшего лечения пациент был переведен в многопрофильный медицинский центр, где 23.10.2019 ему была выполнена пункционно-дилатационная трахеостомия, а 03.11.2019 в связи с нарастающей в динамике субдуральной гигромой левой теменно-височной области выполнено ее наружное дренирование. 06.11.2019 в связи с отсутствием эффекта от наружного дренирования гигромы и признаками сообщающейся посттравматической гидроцефалии пациенту был установлен вентрикуло-субдуроперитонеальный шунт с клапаном Miethke Pro GAV + SA (клапан с программируемым давлением сброса, дополненный гравитационным клапаном). Течение послеоперационного периода осложнилось развитием бактериального менингоэнцефалита. На фоне проводимой длительной антибактериальной терапии послеоперационный менингит разрешился. Анализы ликвора нормализовались, и было получено несколько стерильных посевов. Дальнейшие реабилитационные мероприятия до выписки из многопрофильного медицинского центра больной получал в условиях неврологического отделения. Проводилось комплексное лечение. Выписан 25.02.2020 с улучшением.
Физикальная диагностика
Пациент поступил в ФГБНУ «Федеральный научно-клинический центр реаниматологии и реабилитологии» 30.03.2020 для проведения реабилитационных мероприятий.
При поступлении состояние пациента расценивалось как тяжелое. Жалоб пациент не предъявлял ввиду тяжести неврологического статуса и наличия трахеостомы.
При осмотре. Кожные покровы обычной окраски, теплые на ощупь. Периферические лимфатические узлы не пальпируются. Гигантский посттрепанационный дефект костей свода черепа в правой височно-теменной области. Кожа в области дефекта втянута внутрь повреждения.
Дыхание самостоятельное через трахеостомическую трубку. Грудная клетка равномерно участвует в акте дыхания. Дыхание жесткое с проводными хрипами. Частота дыхания 19/мин.
Тоны сердца приглушены, ритм правильный. Частота сердечных сокращений 79/мин. Артериальное давление 100/70 мм рт. ст. Шумы в сердце не выслушиваются.
Живот симметричный, равномерно участвует в акте дыхания. При пальпации живот мягкий, безболезненный, не увеличен в размерах. Печень, селезенка, почки не пальпируются. Симптомов раздражения брюшины не отмечается.
Область почек не изменена. Мочеиспускание по уретральному катетеру. Отеков нет.
В неврологическом статусе: уровень сознания — вегетативное состояние (по Т. А. Доброхотовой и О. С. Зайцеву [6]), по шкале Глазго — 8 баллов, по шкале Карнофски — 30 баллов. На болевой раздражитель позотонические реакции, боль невозможно локализовать, слуховой стартл-рефлекс отсутствует. Менингиальной симптоматики не выявлено. Анизокория S ≥ D; расходящийся страбизм; фиксации взора и слежения не выявлено. Окуловестибулярный рефлекс отсутствует. Корнеальный рефлекс сохранен с двух сторон. Фотореакции сохранны. Язык в полости рта по средней линии. Глоточный рефлекс снижен. У пациента выявлялись хоботковый симптом и симптом Маринеску–Радовича с двух сторон. Тонус в конечностях диффузно снижен, пассивные движения не ограничены, активных движений не выявлено. Сухожильные рефлексы снижены, без четкой разницы сторон.
Координаторная и чувствительная сферы не оценивались из-за отсутствия контакта с пациентом.
Инструментальная и лабораторная диагностика
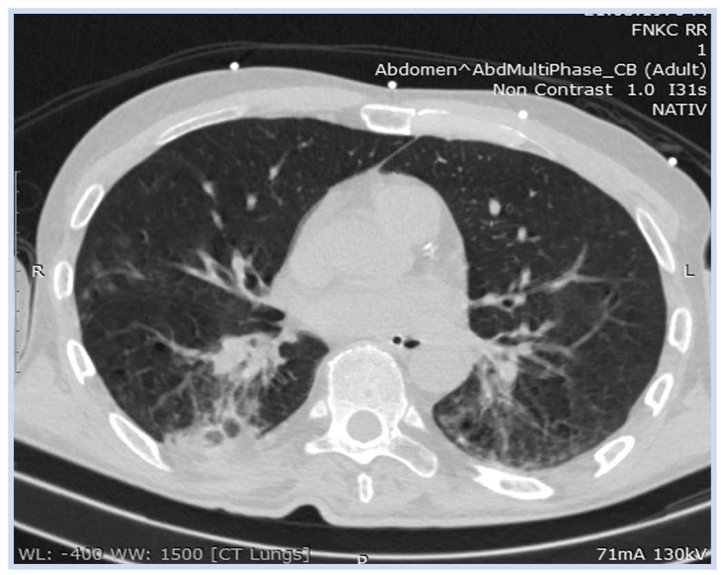
По результатам компьютерной томографии (КТ) при поступлении у пациента выявлены признаки двусторонней нижнедолевой пневмонии (рис. 1), значительная лейкоцитурия (табл. 1). Пациенту была назначена антибактериальная терапия с положительным эффектом (табл. 1–3).
Рис. 1. Пациент К., 50 лет, с посттравматической гидроцефалией и посттрепанационным дефектом костей свода черепа при поступлении: компьютерная томограмма от 30.03.2020
Примечание. Визуализируется двусторонняя нижнедолевая пневмония.
По результатам спиральной КТ при поступлении отмечалось наличие гигантского посттрепанационного дефекта костей свода черепа в правой лобно-теменно-височной области (рис. 2).
Рис. 2. Пациент К., 50 лет, с посттравматической гидроцефалией и посттрепанационным дефектом костей свода черепа: спиральная компьютерная томограмма в виде 3D-реконструкции от 30.03.2020
Примечание. Наличие гигантского посттрепанационного дефекта костей свода черепа в правой лобно-теменно-височной области.
Таблица 1. Динамика показателей общего анализа мочи
Показатель общего анализа мочи | 30.03.2020 | 02.04.2020 | 06.04.2020 | 09.04.2020 | 13.04.2020 | 16.04.2020 | 20.04.2020 |
Цвет | темно-желтый | светло-желтый | светло-желтый | желтый | желтый | светло-желтый | желтый |
Прозрачность | неполная | прозрачная | прозрачная | неполная | неполная | неполная | прозрачная |
Относительная плотность, г/л | 1,023 | 1,04 | 1,01 | 1,009 | 1,013 | 1,005 | 1,013 |
Реакция pH | 5 | 5 | 6 | 6,5 | 9 | 7 | 6 |
Белок, г/л | 0,5 | нет | нет | нет | 0,1 | нет | 0,1 |
Глюкоза, ммоль/л | нет | нет | 2,8 | нет | нет | нет | нет |
Лейкоциты/в ПЗ | 462 | 7 | 10 | 4 | 28 | 13 | 9 |
Эритроциты/в ПЗ | 2 | 2 | 1 | 1 | < 1 | 1 | 2 |
Таблица 2. Динамика показателей биохимического анализа крови
Показатель биохимического анализа крови | 30.03.2020 | 02.04.2020 | 06.04.2020 | 09.04.2020 | 13.04.2020 | 16.04.2020 | 20.04.2020 |
Общий белок, г/л | 65,7 | 53,6 | 53,5 | 57,3 | 56,8 | 53,6 | 62,1 |
Альбумин, г/л | 33,2 | 28,1 | 28,6 | 29,7 | 27,3 | 24,7 | 33,7 |
Мочевина, ммоль/л | 6,7 | 2,7 | 2,2 | 2,1 | 6,2 | 2,7 | 4,9 |
Креатинин, мкмоль/л | 93 | 61,8 | 60 | 56,5 | 75,4 | 54,2 | 60,5 |
Глюкоза, ммоль/л | 6,44 | 4,39 | 3,91 | 4,65 | 7,61 | 6,32 | 4,28 |
Калий, ммоль/л | 4,6 | 3,8 | 4 | 4,1 | 3,4 | 3,8 | 3,7 |
Натрий, ммоль/л | 131 | 135 | 137 | 135 | 135 | 140 | 130 |
Хлориды, ммоль/л | 100 | 103 | 102 | 102 | 101 | 102 | 100 |
Билирубин общий, мкмоль/л | 6,4 | 3,9 | 4,5 | 5,6 | 6,7 | 3,6 | 6,1 |
Билирубин прямой, мкмоль/л | 1,2 | 0,9 | 0,9 | 1,2 | 1,5 | 0,7 | 1,3 |
Аланинаминотрансфераза, Ед/л | 9,3 | 8,6 | 5,8 | 6,3 | 4,2 | 4,7 | 12 |
Аспартатаминотрансфераза, Ед/л | 13 | 9,3 | 7,7 | 9,9 | 6,5 | 7,3 | 7,8 |
С-реактивный белок, мг/л | 99,83 | 24,53 | 16,67 | 1,28 | 37,58 | 1,68 | 23,34 |
Таблица 3. Динамика показателей клинического анализа крови
Показатель клинического анализа крови | 30.03.2020 | 02.04.2020 | 06.04.2020 | 09.04.2020 | 17.04.2020 | 20.04.2020 | 22.04.2020 |
Гемоглобин, г/л | 114 | 91 | 100 | 107 | 106 | 110 | 104 |
Эритроциты, ×1012/л | 4,16 | 3,29 | 3,64 | 3,9 | 3,81 | 3,94 | 3,7 |
Лейкоциты, ×109/л | 9,3 | 5,6 | 6,3 | 6,3 | 4,8 | 9 | 8,4 |
Гематокрит, % | 34,8 | 27,3 | 30,5 | 33 | 31,9 | 33,3 | 31,1 |
Тромбоциты, ×109/л | 472 | 451 | 534 | 539 | 476 | 455 | 449 |
Нейтрофилы, % | 88,4 | 68,5 | 79,5 | 55,2 | 72,9 | ||
Лимфоциты, % | 6 | 21,6 | 17,8 | 33,9 | 18,6 |
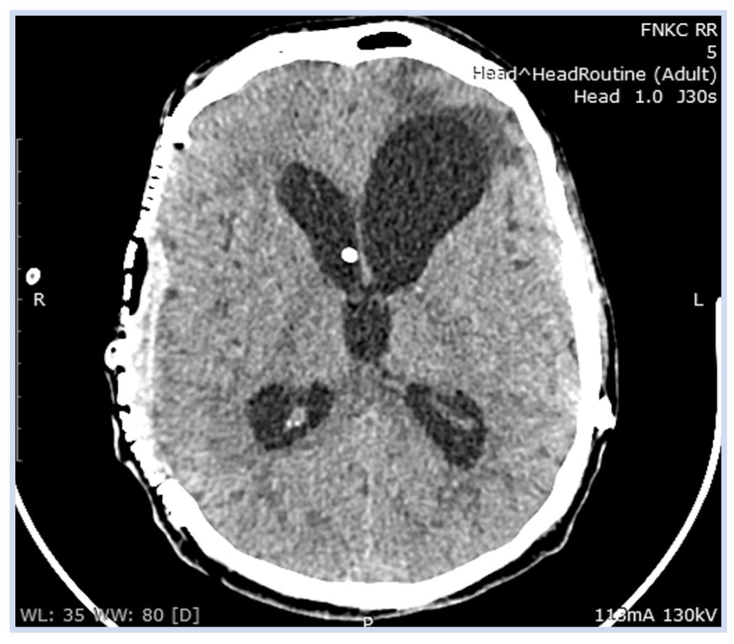
На КТ головы от 31.03.2020: линейный перелом лобной кости справа. Справа определяется постоперационный дефект на уровне лобной, теменной и височной костей размером ~107 × 93 мм, на этом же уровне отмечается западение вещества головного мозга в дефект, максимально до ~30 мм. Вентрикулярный катетер шунта в левом боковом желудочке. Постоперационные изменения в правой гемисфере, латеральная дислокация головного мозга влево до 17,5 мм на уровне прозрачной перегородки. Очаг измененной плотности на границе лобной и теменной долей правой гемисферы следует дифференцировать между гематомой в поздней подострой стадии и постоперационными изменениями. Сглаженность борозд, вероятнее всего, обусловлена последствиями изменения внутричерепного давления, нельзя исключить проявление отека вещества головного мозга левой гемисферы (рис. 3).
Рис. 3. Пациент К., 50 лет, с посттравматической гидроцефалией и посттрепанационным дефектом костей свода черепа: компьютерная томограмма головы от 31.03.2020
Примечание. Определяются гигантский посттрепанационный дефект костей свода черепа справа, значительное западение вещества мозга в дефект, смещение срединных структур влево, удовлетворительное положение вентрикулярного катетера вентрикуло-перитонеального шунта в области отверстия Монро справа, узкий правый боковой желудочек.
Клинический диагноз
Пациент осмотрен врачами-специалистами мультидисциплинарной бригады, выставлен окончательный диагноз.
Основной диагноз: T90.5 Последствия тяжелой ЗЧМТ от 19.10.2019 г.: множественные ушибы головного мозга тяжелой степени, субдуральная гематома правой височно-лобно-теменной области, закрытый линейный перелом свода черепа. Тетраплегия. Операции: декомпрессивная трепанация правой височно-лобно-теменной области, удаление острой субдуральной гематомы от 21.10.2019 г. Пункционно-дилатационная трахеостомия с эндоскопической ассистенцией от 23.10.2019 г. Дренирование субдуральной гигромы левой теменно-височной области от 03.11.2019 г. Установка вентрикуло-перитониального шунта от 06.11.2019 г. Внешняя причина: W19.9 Падение неуточненное. В неуточненном месте.
Осложнения: Z93.0 Двусторонняя нижнедолевая пневмония, правосторонняя среднедолевая пневмония. Нисходящая атрофия диска зрительного нерва правого глаза. Ангиопатия сетчатки обоих глаз по гипертоническому типу. Синдром сухого глаза обоих глаз. Хронический субатрофический ринофарингит. Хроническая анемия. Хроническая мочевая инфекция.
Сопутствующие заболевания: K29.5 Хронический гастрит, ремиссия.
F 06.920 Непсихотическое расстройство в связи с травмой головного мозга.
Комплекс хирургических и реабилитационных мероприятий
Начаты реабилитационные мероприятия в объеме:
- лечение положением (изменение положения тела каждые 2 ч; использование противопролежневого матраса; ортезирование и лечебные укладки для верхних и нижних конечностей);
- частичная вертикализация (в пределах кровати с приподнятым головным концом не менее 30°);
- пассивная суставная гимнастика для дистальных отделов верхних и нижних конечностей;
- массаж грудной клетки с вибрационными приемами;
- физиотерапевтическое лечение;
- занятия с логопедом;
- занятия с медицинским психологом по различным видам сенсорной стимуляции.
После того как пациенту стала применяться вертикализация, у него появились икота, гемодинамические нарушения в виде тахикардии до 130/мин и артериальной гипертензии до 160/100 мм рт. ст. При возвращении пациента в горизонтальное положение гемодинамические показатели спустя какое-то время возвращались в норму, икота проходила.
Учитывая наличие у пациента вентрикуло-перитонеального шунта, для диагностики синдрома избыточного дренирования цереброспинальной жидкости пациент был повторно осмотрен нейрохирургом: данных за дисфункцию шунтирующей системы не получено. Давление сброса клапана шунта 11 см вод. ст. Указанная симптоматика в виде икоты может иметь соматический генез или быть обусловлена влиянием атмосферного давления на вещество мозга в области посттрепанационного дефекта костей свода черепа. Гипердренирование в данном случае было маловероятно, так как в составе шунтирующей системы имеется гравитационный клапан SA (рис. 4), который повышает давление сброса ликвора при вертикализации пациента.
Рис. 4. Пациент К., 50 лет, с посттравматической гидроцефалией и посттрепанационным дефектом костей свода черепа: данные краниографии
Примечание. На краниографическом изображении (А) видны компоненты шунтирующей системы и схематичные изображения регулируемого клапана ProGAV (Б) и гравитационного клапана SA (В).
После совместного обсуждения пациента на заседании врачебной комиссии было принято решение о выполнении пластики сложного гигантского дефекта костей свода черепа в правой лобно-теменно-височной области с целью восстановления защитной функции черепа и устранения влияния факторов атмосферного давления и гравитации на вещество мозга.
21.04.2020 после предоперационного обследования, регресса воспалительных изменений лабораторных показателей (см. табл. 1–3) и регресса пневмонии по данным КТ пациенту проведена операция в объеме пластики дефекта свода черепа в правой лобно-теменно-височной области титаном с предварительным компьютерным 3D-моделированием (рис. 5).
Рис. 5. Пациент К., 50 лет, с посттравматической гидроцефалией и посттрепанационным дефектом костей свода черепа после операции
Примечание. А — данные 3D-реконструкции компьютерной томограммы головы пациента после операции (на снимках видно удовлетворительное положение титанового имплантата); Б — интраоперационная фотография титанового имплантата, уложенного на дефект костей свода черепа в правой лобно-теменно-височной области.
После операции пациенту выполнена контрольная КТ головы: на снимках отмечены расправление правого бокового желудочка, регресс дислокации срединных структур головного мозга и расправление вещества мозга в области закрытого дефекта костей свода черепа (рис. 6). Давление сброса клапана шунтирующей системы у пациента не менялось и оставалось равным 11 см вод. ст. Также после операции у пациента регрессировали гемодинамические нарушения и икота, связанные с вертикализацией, что позволило продолжить реабилитационные мероприятия.
Рис. 6. Пациент К., 50 лет, с посттравматической гидроцефалией и посттрепанационным дефектом костей свода черепа в правой лобно-теменно-височной области после операции
Примечание. На снимках видны расправление правого бокового желудочка, регресс дислокации срединных структур головного мозга и расправление вещества мозга в области закрытого дефекта костей свода черепа.
Спустя примерно 1 месяц после операции у пациента отмечено повышение уровня сознания до акинетического мутизма с пониманием речи и попытками выполнения инструкций [6], что позволило значительно расширить объем восстановительных мероприятий и улучшило реабилитационный прогноз.
Прогноз
После регресса ликвородинамических и дислокационных нарушений, обусловленных наличием гигантского дефекта костей свода черепа в правой лобно-теменно-височной области, пациент может быть адаптирован к вертикальному положению, что облегчит уход за ним и позволит проводить двигательную реабилитацию. Также повышение уровня сознания пациента значительно улучшило его социализацию, что отразится на реабилитационном прогнозе и позволит надеяться на интеграцию пациента в социум и адаптацию к домашнему уходу в будущем.
Обсуждение
При поиске описания похожих клинических случаев в базах данных РИНЦ и PubMed нами не было найдено похожих описаний клинических случаев. Как синдром трепанированного черепа, так и синдром избыточного дренирования шунтирующей системы могут иметь похожую клиническую картину, симптоматика может регрессировать при изменении положения тела пациента [2, 4]. Тем не менее лечение этих состояний различное. В случае гипердренирования причиной может быть так называемый сифонный эффект, возникающий из-за разности давления в компонентах шунтирующей системы при вертикализации пациента [1]. Лечением этого состояния может быть добавление к уже существующей шунтирующей системе антисифонного устройства или гравитационного клапана (см. рис. 4) либо замена шунта на клапан с антисифонным механизмом [2]. При синдроме трепанированного черепа на вещество мозга оказывают действие две дополнительные силы — атмосферное давление и гравитация, которые не имеют значимого влияния на него при условии целостности черепной коробки и изолированности интракраниального содержимого от внешних факторов [4]. В ряде современных работ продемонстрировано, что наличие дефекта костей свода черепа вызывает нарушения микроциркуляции и ликвородинамики как в зоне дефекта, так и в контралатеральном полушарии головного мозга. Закрытие дефекта, восстановление объемных соотношений интракраниального содержимого приводит к регрессу этих нарушений и улучшению неврологического статуса пациентов [7–11].
В свете вышесказанного становится очевидным, что закрытие дефектов костей свода черепа должно предшествовать началу реабилитации таких пациентов. Однако, к сожалению, далеко не все реабилитационные центры в нашей стране оснащены нейрохирургическими отделениями и могут проводить эти операции, к тому же часть нейрохирургов, как в нашей стране, так и в мире, придерживается мнения, что отсроченная пластика дефектов костей свода черепа уменьшает риск послеоперационных инфекционных осложнений с необходимостью удалять установленный имплантат. При появлении клинических симптомов синдрома избыточного дренирования у пациента с установленным вентрикуло-перитонеальным шунтом и незакрытым гигантским дефектом костей свода черепа решающую роль в дифференциальной диагностике с синдромом трепанированного черепа, как в данном случае, играет наличие в составе шунтирующей системы гравитационного клапана, что уменьшает вероятность сифонного эффекта шунтирующей системы. Проведение пластики посттрепанационного дефекта костей свода черепа в правой лобно-теменно-височной области восстановило изолированность и объемные соотношения интракраниального содержимого, что привело к регрессу ликвородинамических и дислокационных нарушений в головном мозге (появление икоты в данном случае было расценено как симптом локального раздражения каудальных отделов ромбовидной ямки в результате дислокации интракраниального содержимого под действием сил гравитации и атмосферного давления). Это позволило провести вертикализацию пациента сразу после операции, тем самым расширив комплекс реабилитационных мероприятий.
Заключение
Клинические проявления синдрома трепанированного черепа и синдрома избыточного дренирования шунтирующей системы у пациента после тяжелой черепно-мозговой травмы с установленным вентрикуло-перитонеальным шунтом и гигантским посттрепанационным дефектом костей свода черепа могут быть схожи. Дифференциальная диагностика этих нарушений, конечно же, должна быть основана на клинической ситуации каждого конкретного пациента. И не всегда, как продемонстрировано в данном клиническом случае, узкие желудочки мозга и связь ухудшения состояния с вертикализацией должны трактоваться как синдром избыточного дренирования шунтирующей системы. Если шунтирующая система работает адекватно и содержит в своем составе антисифонное устройство, то, наиболее вероятно, ухудшение состояния пациента связано с проявлениями синдрома трепанированного черепа, и пластика дефекта костей свода черепа может привести к регрессу ликвородинамических и дислокационных нарушений.
В данном клиническом примере продемонстрировано, что наличие дефекта, особенно гигантского, костей свода черепа может препятствовать проведению реабилитации таких пациентов и ухудшать реабилитационный прогноз. Поэтому крайне важно проведение краниопластики на ранних этапах до поступления больного в реабилитационный центр или перед началом реабилитации.
Об авторах
Алексей Николаевич Воробьев
Федеральное государственное бюджетное научное учреждение «Федеральный научно-клинический центр реаниматологии и реабилитологии»
Автор, ответственный за переписку.
Email: avorobyev@fnkcrr.ru
ORCID iD: 0000-0003-3742-6171
SPIN-код: 3253-7996
Нейрохирург
Россия, МоскваИнесса Геннадьевна Щелкунова
Федеральное государственное бюджетное научное учреждение «Федеральный научно-клинический центр реаниматологии и реабилитологии»
Email: ishchelkunova@fnkcrr.ru
ORCID iD: 0000-0002-3778-5417
SPIN-код: 8319-4170
Россия, Москва
Дмитрий Витальевич Левин
Федеральное государственное бюджетное научное учреждение «Федеральный научно-клинический центр реаниматологии и реабилитологии»
Email: dlevin@fnkcrr.ru
SPIN-код: 2930-4424
Россия, Москва
Олег Борисович Лукьянец
Федеральное государственное бюджетное научное учреждение «Федеральный научно-клинический центр реаниматологии и реабилитологии»
Email: olukyanec@fnkcrr.ru
Россия, Москва
Александр Анатольевич Шайбак
Федеральное государственное бюджетное научное учреждение «Федеральный научно-клинический центр реаниматологии и реабилитологии»
Email: shaybak@mail.ru
SPIN-код: 8544-5407
Россия, Москва
Алексей Александрович Яковлев
Федеральное государственное бюджетное научное учреждение «Федеральный научно-клинический центр реаниматологии и реабилитологии»
Email: ayakovlev@fnkcrr.ru
ORCID iD: 0000-0002-8482-1249
SPIN-код: 2783-9692
Россия, Москва
Список литературы
- Winn HR. Youmans Neurological Surgery. Sixth Edition. Saunders, Philadelphia; 2011. 505 р.
- Greenberg MS. Handbook of neurosurgery. Fifth edition. Thieme medical publishers, New York; 2001.
- Копорушко Н.А., Ступак В.В., Мишинов С.В. Эпидемиология больных с приобретенными дефектами костей черепа, полученными при черепно-мозговой травме, и число больных, нуждающихся в их закрытии, на примере крупного промышленного города / Сборник материалов Всероссийской научно-практической конференции с международным участием «Технологические инновации в травматологии, ортопедии и нейрохирургии: интеграция науки и практики». — М., 2018. [Koporushko NA, Stupak VV, Mishinov SV. Epidemiologiya bol’nykh s priobretennymi defektami kostey cherepa, poluchennymi pri cherepno-mozgovoy travme, i chislo bol’nykh, nuzhdayushchikhsya v ikh zakrytii, na primere krupnogo promyshlennogo goroda. In: Sbornik materialov Vserossiyskoy nauchno-prakticheskoy konferentsii s mezhdunarodnym uchastiyem “Tekhnologicheskiye innovatsii v travmatologii, ortopedii i neyrokhirurgii: integratsiya nauki i praktiki”. Moscow; 2018. (In Russ).]
- Потапов А.А., Кравчук А.Д., Лихтерман Л.Б., и др. Реконструктивная хирургия дефектов черепа: клинические рекомендации. — М., 2015. — 22 с. [Potapov AA, Kravchuk AD, Lihterman LB, et al. Rekonstruktivnaya khirurgiya defektov cherepa: klinicheskiye rekomendatsii. Moscow; 2015. (In Russ).]
- Hutchinson PJ, Kolias AG, Tajsic T, et al. Consensus statement from the international consensus meeting on the role of decompressive craniectomy in the management of traumatic brain injury: consensus statement. Acta Neurochir (Wien). 2019;161(7):1261−1274. doi: 10.1007/s00701-019-03936-y.
- Зайцев О.С. Восстановление психической деятельности после длительной комы у больных с черепно-мозговой травмой: Автореф. дис. … канд. мед. наук. — М., 1993. — 24 с. [Zaytsev OS. Vosstanovleniye psikhicheskoy deyatel’nosti posle dlitel’noy komy u bol’nykh s cherepno-mozgovoy travmoy. [dissertation abstract] Moscow; 1993. 24 р. (In Russ).] Доступно по: https://search.rsl.ru/ru/record/01000011255. Ссылка активна на 14.03.2020.
- Panwar N, Agrawal M, Sinha VD. Postcranioplasty quantitative assessment of intracranial fluid dynamics and its impact on neurocognition cranioplasty effect: a pilot-study. World Neurosurgery. 2019;122:E96−E107. doi: 10.1016/j.wneu.2018.09.108.
- Nievas M, Hollerhage HG. Early combined cranioplasty and programmable shunt in patients with skull bone defects and CSF-circulation disorders. Neurological Research. 2006;28(2):139−144. doi: 10.1179/016164106x98008.
- Gopalakrishnan MS, Shanbhag NC, Shukla DP, et al. Complications of decompressive craniectomy. Frontiers in Neurology. 2018;9977. doi: 10.3389/fneur.2018.00977.
- Lang J, Ganau M, Prisco L, et al. Syndrome of trephined-underestimated and poorly understood complication after decompressive craniectomy. Ideggyogy Sz. 2016;69(7–8): 227−232. doi: 10.18071/isz.69.0227.
- Ding J, Guo Y, Tian HL. The influence of decompressive craniectomy on the development of hydrocephalus: a review. Arq Neuropsiquiatr. 2014;72(9):715−720 doi: 10.1590/0004-282x20140106.
Дополнительные файлы









