Закрытые переломы дистального отдела костей голени. Разнообразие форм и лечения (на примере старших возрастных групп). Ближайшие результаты
- Авторы: Дорохин А.И.1, Крупаткин А.И.1, Адрианова А.А.1, Худик В.И.2, Сорокин Д.С.2, Курышев Д.А.2, Букчин Л.Б.2
- 
							Учреждения: 
							- Федеральное государственное бюджетное учреждение «Национальный медицинский исследовательский центр травматологии и ортопедии имени Н.Н. Приорова» Минздрава России
- Государственное бюджетное учреждение здравоохранения города Москвы «Детская городская клиническая больница имени З.А. Башляевой Департамента здравоохранения города Москвы»
 
- Выпуск: Том 3, № 1 (2021)
- Страницы: 11-23
- Раздел: ОРИГИНАЛЬНОЕ ИССЛЕДОВАНИЕ
- Статья получена: 18.03.2021
- Статья одобрена: 26.03.2021
- Статья опубликована: 28.04.2021
- URL: https://journals.eco-vector.com/2658-6843/article/view/63615
- DOI: https://doi.org/10.36425/rehab63615
- ID: 63615
Цитировать
Полный текст
Аннотация
Обоснование. Переломы дистального отдела костей голени у детей ввиду особенностей локализации, наличия зоны роста, близости сустава и вовлечения в патологический процесс связочного аппарата представляют сложную проблему в выборе лечения и реабилитации. Цель исследования — создание лечебно-диагностического алгоритма и системы раннего восстановительного лечения переломов дистального метаэпифиза костей голени у детей старших возрастных групп. Методы. Представлен опыт лечения 56 детей в возрасте от 8 до 17 лет с острыми переломами. Когорта пациентов была разделена на 3 возрастные группы — 8–11 лет (n=13), 12–14 лет (n=28) и 15–17 лет (n=15). В диагностике наряду со стандартными рентгеновскими укладками выполнялись ультразвуковое исследование связочного аппарата и компьютерная томография. Тактика хирургического лечение была выбрана в зависимости от возраста пациента, характера перелома и повреждения связочно-сумочного аппарата. В ходе постоперационной реабилитации разработку движений начинали на 4-й нед., нагрузочный режим определялся индивидуально. Для разработки реабилитационной программы нагрузочного режима в послеоперационном периоде методом лазерной допплеровской флоуметрии у 15 пациентов была исследована активность микроциркуляторного русла области перелома как фактора репаративной регенерации. Результаты. По результатам лечения, полное восстановление функции у 10 пациентов первой группы наступило через 6–8 нед. от момента перелома; во второй группе у 24 пациентов в течение 8–10 нед. функция конечности была полностью восстановлена; в третьей группе полное восстановление функции наступило в течение 6–8 нед. у всех пациентов. Заключение. Таким образом, дифференцированный подход к лечению сложных переломов дистального метаэпифиза костей голени с учетом морфологических особенностей области повреждения позволяет в различных возрастных группах в большинстве случаев получить хорошие результаты.
Полный текст
Список сокращений
Классификация Дэниса–Вебера (Danis–Weber) — метод описания переломов лодыжки, состоящий из трех категорий: (А) перелом наружней лодыжки дистальнее синдесмоза; (В) перелом малоберцовой кости на уровне синдесмоза; (С) перелом малоберцовой кости проксимальнее синдесмоза
Классификация Лауге–Хансена (Lauge–Hansen) — классификация переломов голеностопного сустава на основе положения стопы и приложенной силы
Классификация Салтера–Харриса (Solter–Harris) — классификация переломов с учетом расположения линии перелома относительно зоны роста, включающая пять видов эпифизеолиза
Перелом Тилау–Чепут (Tillaux–Chaput) — отрывной перелом фрагмента кости вместе с передней порцией тибиофибулярной связки от передней поверхности большеберцовой кости
Обоснование
Переломы дистального отдела костей голени у детей ввиду особенностей локализации, наличия зоны роста, близости сустава и вовлечения в патологический процесс связочного аппарата представляют сложную проблему в выборе лечения и реабилитации. По данных официальной статистики Российской Федерации, переломы костей голени у детей и подростков в структуре переломов различной локализации составляют 10,4% без детализации локализации перелома [1]. Согласно статистическому отчету травматологического отделения ДГКБ им. З. А. Башляевой за 2019 г., переломы костей голени в структуре переломов различной локализации у детей составляют 8,6%, из них 53,7% приходится на повреждение дистального отдела костей голени.
Дистальный отдел костей голени у детей имеет только им присущие анатомо-физиологические особенности, одной из которых является наличие ростковой зоны. Как известно, эпифизарная пластинка дистального отдела большеберцовой кости участвует в формировании 45% роста нижней конечности [2]. Следствием перелома дистального метаэпифизарного отдела костей голени является повреждение зоны роста, характер перелома определяет прогноз ее преждевременного закрытия [3]. В норме закрытие зоны роста начинается постепенно в возрасте от 12 до 14 лет, и переломы, возникающие в процессе закрытия зоны роста, имеют свои морфологические и биомеханические характеристики [2, 4].
Кровоснабжение данной зоны также имеет свою особенность ввиду отсутствия мышечного массива вокруг лодыжечной области. При переломе микроциркуляторная активность резко снижается, что приводит к выраженной гипоксии местных тканей [5]. Интенсивность посттравматической регенерации костной ткани зависит от многих факторов, но одним из ведущих является восстановление микроциркуляции в зоне перелома [6]. I. Macnab и W. G. Dehoas в 1974 г. доказали, что восстановление пери- и эндостальной микроциркуляции способствует заживлению перелома [7]. Существует гипотеза, что клетки-предшественники костеобразования используют микроциркуляторную сосудистую сеть как каркас будущей костной ткани [8]. Таким образом, остеогенез следует за ангиогенезом.
Отличительной особенностью дистального отдела костей голени является наличие связочно-сумочного аппарата, стабилизирующего голеностопный сустав. К нему относят дельтовидную связку, пучки таранно-малоберцовых и малоберцово-пяточной связок, межберцовые связки, формирующие дистальный межберцовый синдесмоз. В результате травмы нередко происходит частичный или полный разрыв этих структур. Недооценка такого вида повреждения может привести к нарушению регенерации, формированию несостоятельности связочного аппарата и развитию нестабильности голеностопного сустава в старшем возрасте [2].
Ввиду вышесказанного неправильно выбранная тактика лечения, отсутствие учета повреждения связочного аппарата и недооценка степени повреждения зоны роста могут привести к развитию посттавматического артроза голеностопного сустава. По данным различных авторов, артроз голеностопного сустава, в отличие от других крупных суставов нижней конечности, в 78% случаев возникает после переломов, а повреждение связочного аппарата приводит к артрозу у 16% пациентов, в то время как клинические проявления с изменением хрящевой ткани появляются через 10–20 лет после травмы [9, 10].
Цель исследования — создание лечебно-диагностического алгоритма лечения переломов дистального метаэпифиза костей голени у детей старших возрастных групп и программы восстановительного лечения в послеоперационном периоде.
Методы
Дизайн исследования
Для создания лечебно-диагностического алгоритма мы провели проспективное исследование открытой когорты пациентов старших возрастных групп.
Критерии соответствия
Критерии включения: возраст пациентов 8–17 лет; наличие переломов в области лодыжек и дистальной метаэпифизарной зоны костей голени; отсутствие сопутствующих заболеваний опорно-двигательного аппарата.
Критерии исключения: системные заболевания костной ткани и наличие патологических переломов; открытые переломы костей голени (такие пациенты требуют отдельного хирургического подхода, сроков иммобилизации, а также алгоритма раннего восстановительного лечения и реабилитации); ипсилатеральные переломы костей голени (исследование посвящено изолированному повреждению дистального метаэпифиза костей голени).
Критерии невключения: пациенты с прямым механизмом травмы, которая приводит к другим повреждениям, ввиду наличия признаков сочетанной или множественной травмы.
Условия проведения
Участники исследования находились на стационарном лечении в ДГКБ имени З. А. Башляевой (Москва) в период с января 2020 по март 2021 г.
Описание медицинского вмешательства
В исследуемую когорту были включены дети от 8 до 17 лет, однако, учитывая различные морфологические особенности переломов, характерные для определенного возраста, мы разделили когорту пациентов на 3 группы.
Группа 1. В первую группу мы включили детей от 8 до 11 лет. Пациенты данной возрастной группы нередко получают травму лодыжек и переломы метафизарной области дистального отдела костей голени ввиду их высокой физической активности. Механизм травмы — непрямой: травма была получена в результате падения с самоката, скейтборда, велосипеда, ледовой горки, при использовании дополнительных спортивных снарядов.
Общее количество детей от 8 до 11 лет составило 13 человек, из них 8 мальчиков и 5 девочек. Зона роста у таких пациентов открыта, поэтому в повреждение костей нередко вовлекалась эпифизарная пластинка. Среди 13 пациентов эпифизарная пластинка была повреждена у 12 детей. Для оценки тяжести повреждения ростковой зоны использована классификация Салтера–Харриса (Solter–Harris) [11]. У 8 пациентов был диагностирован II тип повреждения, у 2 пациентов — IV тип или перелом медиальной лодыжки типа McFarland с супинационно-инверсионным механизмом травмы [4]. Перелом I типа по классификации Solter–Harris диагностирован у 2 пациентов, однако в обоих случаях перелом был неизолированным.
Хирургическая тактика
В соответствии с возрастом пациентов остеосинтез осуществлен по стандартной методике перекрещивающими спицами; при диафизарном переломе малоберцовой кости перелом фиксирован спицей интрамедуллярно. При внутрисуставных переломах остеосинтез был осуществлен открыто. Одна пациентка из данной возрастной группы имела авульсионный перелом области наружной лодыжки с отрывом передней таранно-малоберцовой связки: остеосинтез был выполнен методом динамического компрессионного остеосинтеза по Weber. Дополнительная иммобилизация поврежденного сегмента осуществлялась при помощи задней гипсовой лонгеты без фиксации коленного сустава.
Тактика реабилитационной программы в послеоперационном периоде
Рентгенографическое исследование выполняли через 4 нед. после травмы; при наличии консолидации костных отломков рекомендовано было удалить фиксирующие спицы. Гипсовую иммобилизацию заменяли полужестким ортезом; были рекомендованы разработка движений в голеностопном суставе и постепенное увеличение нагрузки на травмированную конечность, ходьба при помощи костылей с имитацией фаз шага. Больные на момент удаления спиц уже передвигались самостоятельно без помощи костылей. Фиксирующие спицы удалены через 6 нед. с последующей контрольной рентгенографией. Ограничения в нагрузке после удаления фиксирующих спиц не было.
Группа 2. Во вторую группу мы включили детей в возрасте от 12 до 14 лет. Общее количество пациентов составило 28 человек, из них 16 мальчиков и 12 девочек. Группа наиболее многочисленная, так как физическая активность детей данной возрастной группы самая высокая. Травмы — уличная и спортивная, механизм травмы — непрямой и связан с использованием различных средств передвижения. Из 28 пациентов зона роста была повреждена у 27. По классификации Salter–Harris у 10 пациентов был диагностирован II тип повреждения, III тип (перелом Tillaux–Chaput) — у 11 детей. Перелом IV типа, или тройной эпифизарный перелом (triplane epiphyseal fracture), встретился у 6 пациентов [12]. У одного пациента зона роста не была повреждена.
Хирургическая тактика
Так же как и в первой возрастной группе, переломы II типа были фиксированы по стандартной методике — закрыто, перекрещивающимися спицами. Переломы III и IV типа при смещении эпифизарной части перелома свыше 2 мм по данным компьютерной томографии были фиксированы спицами с экспозицией места перелома. Пациенту с изолированным переломом наружной лодыжки ниже уровня синдесмоза, без повреждения зоны роста остеосинтез выполнен закрыто перекрещивающимися спицами. Дополнительная иммобилизация поврежденного сегмента осуществлялась при помощи задней гипсовой лонгеты.
Тактика реабилитационной программы в послеоперационном периоде
Рентгенографическое исследование выполняли через 4 нед. При наличии консолидированного перелома рекомендовано удаление фиксирующих спиц. Однако в данной группе больных при недостаточной консолидации выполняли повторное рентгенографическое исследование через 6 нед. Разработку движений начинали через 4 нед. после травмы, а нагрузочный режим определяли индивидуально в зависимости от характера перелома, контрольных рентгенограмм и активности микроциркуляторного русла в области перелома. Больные на момент удаления спиц уже передвигались самостоятельно без помощи костылей. Фиксирующие спицы удалены через 6–8 нед. с последующей контрольной рентгенографией. Ограничения в нагрузке после удаления фиксирующих спиц не было.
Группа 3. В третью группу были включены дети от 15 до 17 лет. Общее количество пациентов составило 15 человек, из них 8 пациентов женского пола и 7 — мужского. Механизм травмы — непрямой, во многих случаях — в результате падения при гололедице. По классификации Salter–Harris у 1 пациента 17 лет мужского пола был диагностирован II тип повреждения, III тип — у 2 пациентов. Перелом IV типа (трехплоскостной перелом, или triplane epiphyseal fracture) встретился у 1 пациента 15 лет мужского пола. У 11 пациентов зона роста была закрытой, перелом произошел в области медиальной и латеральной лодыжек.
Хирургическая тактика
Пациентам с изолированным переломом наружной лодыжки ниже уровня синдесмоза остеосинтез выполнен закрыто перекрещивающимися спицами. Остеосинтез медиальной лодыжки в 2 случаях выполнен спицами, в 4 — методом динамического компрессионного остеосинтеза по Weber. Всем пациентам при сопутствующем диафизарном переломе малоберцовой кости перелом фиксировали пластиной, межберцовый синдесмоз в одном случае фиксирован позиционным винтом, в трех остальных — системой искусственной связки. Дополнительная иммобилизация поврежденного сегмента осуществлялась при помощи задней гипсовой лонгеты, наложенной до коленного сустава.
Тактика реабилитационной программы в послеоперационном периоде
Рентгенографическое исследование выполняли через 6 нед. после травмы. В ряде случаев повторную рентгенограмму выполняли через 8 нед. Разработку движений начинали со 2-й нед., а нагрузочный режим определяли индивидуально. Позиционный винт удаляли через 6 нед. и рекомендовали дозированную нагрузку на оперированную конечность с имитацией шага. Фиксирующие спицы удалены через 8 нед. с последующей контрольной рентгенографией. Ограничения в нагрузке после удаления фиксирующих спиц не было. Удаление пластины производили не ранее чем через 6 мес с момента ее установки.
Методы регистрации исходов
Исследование микроциркуляции
в области перелома
Для разработки реабилитационной программы нагрузочного режима и дополнительной верификации консолидации костных отломков в послеоперационном периоде у 15 пациентов была исследована активность микроциркуляторного русла области перелома как фактора репаративной регенерации.
Доступными и широко применяемыми в клинической практике являются методы, использующие оптические системы диагностики состояния микрогемодинамики. Нами был использован метод лазерной допплеровской флоуметрии [13, 14]. Исследование микроциркуляции в области перелома выполняли с использованием лазерного анализатора отечественного производства ЛАКК-02 в красном и инфракрасном каналах в сроки от 4 до 6 нед. после операции у пациентов первых двух возрастных групп, и через 6–8 нед. у пациентов третьей возрастной группы. Общее число пациентов составило 15 человек (10–17 лет). Методом лазерной допплеровской флоуметрии оценивали стационарный кровоток в микрососудах и вейвлет-спектр колебаний кровотока в активных тонус-формирующих и пассивных диапазонах частот, связанных с колебаниями давления крови [13]. Оценивали величину М — среднюю перфузию крови за период измерения в перфузионных единицах (п. е.). Основное внимание при анализе вейвлет-спектра уделяли состоянию собственно миогенных осцилляций в диапазоне частот 0,07–0,145 Гц, отражающих тонус прекапиллярных сфинктеров, регулирующих состояние капиллярного кровотока. Высокий уровень капиллярного кровотока характерен для активного регенераторного процесса, и наоборот. Для верификации перелома выполняли рентгенологическое исследование в синдесмозной и боковой проекциях на аппарате GE Al01F (Германия). Для определения степени смещения отломков и уточнения характера перелома применяли метод мультиспиральной компьютерной томографии на томографе Toshiba cxl (Япония). При подозрении на повреждение связочного аппарата голеностопного сустава выполняли исследование с использованием ультразвукового оборудования Toshiba Aplio 500 (Япония).
Этическая экспертиза
Исследование одобрено локальным этическим комитетом ФГБУ «НМИЦ ТО им. Н. Н. Приорова». Протокол № 06/19 от 16.12.2019.
Статистический анализ
Статистическую обработку результатов проводили с применением пакета прикладных программ Statistica v. 7.0 (StatSoft, США). Нормальность распределения выборки оценивали при помощи критерия Shapiro–Wilk. Был произведен расчет нормальных и относительных показателей вариации, данные представленные в табл. 1.
Таблица 1. Данные средней перфузии крови в красном и инфракрасном канале для каждого пациента с расчетом показателей вариации
| Пациенты, n=15 | Красный канал М (М-Σ)2 п.е. | Инфракрасный канал М (М-Σ)2 п.е. | 
| 1 | 1,79 (0,05) | 10,21 (0,010) | 
| 2 | 2,46 (0,0) | 11,95 (3,391) | 
| 3 | 1,71 (0,092) | 7,66 (5,996) | 
| 4 | 2,15 (0,018) | 9,31 (0,638) | 
| 5 | 2,49 (0,476) | 11,73 (2,629) | 
| 6 | 1,24 (0,599) | 8,93 (1,389) | 
| 7 | 2,06 (0,002) | 11,6 (2,224) | 
| 8 | 2,31 (0,087) | 11,67 (2,438) | 
| 9 | 1,98 (0,001) | 11,07 (0,924) | 
| 10 | 1,82 (0,037) | 8,52 (2,524) | 
| 11 | 2,34 (0,106) | 10,91 (0,642) | 
| 12 | 1,78 (0,054) | 9,67 (0,192) | 
| 13 | 2,44 (0,181) | 11,3 (1,419) | 
| 14 | 1,88 (0,018) | 9,12 (0,977) | 
| 15 | 1,76 (0,064) | 7,98 (4,531) | 
| W-критерий | 0,933 | 0,917 | 
| Μ | 2,014 | 10,073 | 
| Σ | 0,341 | 1,38 | 
| D | 0,287 | 1,242 | 
| Kd | 14,25% | 12,33% | 
Примечание. М — средняя перфузия крови за период измерения в перфузионных единицах (п.е.); W-критерий — Шапиро–Уилка; Σ — среднее арифметическое значение; σ — среднее квадратическое отклонение; D — среднее линейное отклонение; Kd — относительное линейное отклонение.
Note. M is the average blood perfusion over the measurement period in perfusion units (p.u.); W — Shapiro–Wilk test; Σ is the arithmetic mean; σ is the standard deviation; Dd is the average linear deviation; Kd is the relative linear deviation.
Результаты
Объекты (участники) исследования
Общее количество пациентов — 56 человек, из них пациентов мужского пола было 31, женского — 25. Все пациенты поступали в первые 7 сут от момента травмы. Все пациенты находились на стационарном лечении для проведения хирургического вмешательства; по результатам обследования хирургическое лечение не показано 3 пациентам.
Основные результаты исследования
Консолидация костных отломков у всех 13 больных первой группы наступила в течение 4 нед. Осевая нагрузка была рекомендована через 4 нед. после хирургического лечения; миграции спиц ни у кого из пациентов не наступило. При оценке ближайших результатов анатомическая структура дистального метаэпифиза костей голени была восстановлена у всех больных. У 10 пациентов функция конечности полностью была восстановлена через 6–8 нед. от момента перелома. У 3 больных сохранялось выраженное ограничение движений, связанное с нарушением нагрузочного режима и длительным иммобилизационным периодом. Преждевременного закрытия зоны роста ни у кого из пациентов в ближайший период не было. Хирургическое лечение в 10 случаях выполнено закрыто спицами, что является стандартной и безопасной методикой по отношению к открытой зоне роста. Кроме того, даже в этой группе больных на предоперационном планировании необходимо учитывать повреждение связочного аппарата.
Клиническое наблюдение 1
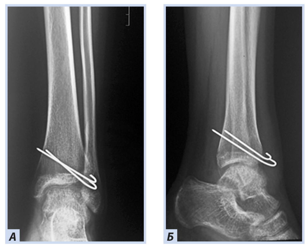
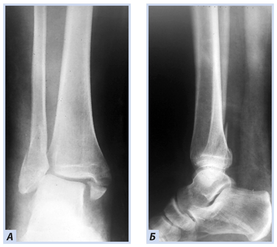
Девочка, 10 лет, диагноз: «Закрытый дистальный остеоэпифизеолиз правой большеберцовой кости, Salter–Harris, II тип». Травму получила, упав с самоката, вследствие чрезмерного сгибания стопы кзади. По механизму травмы — ротационно-флексионный перелом дистального отдела костей голени. По данным компьютерной томографии выявлена значительная степень (5 мм) смещения отломков. Учитывая возраст больной, остеосинтез выполнен закрыто перекрещивающимися спицами. Дополнительная иммобилизация осуществлялась в задней гипсовой лонгете до коленного сустава. Контрольные рентгенограммы выполняли через 4 и 6 нед. после репозиции. Спицы удалены через 6 нед., конфигурация сустава восстановлена полностью (рис. 1–5).
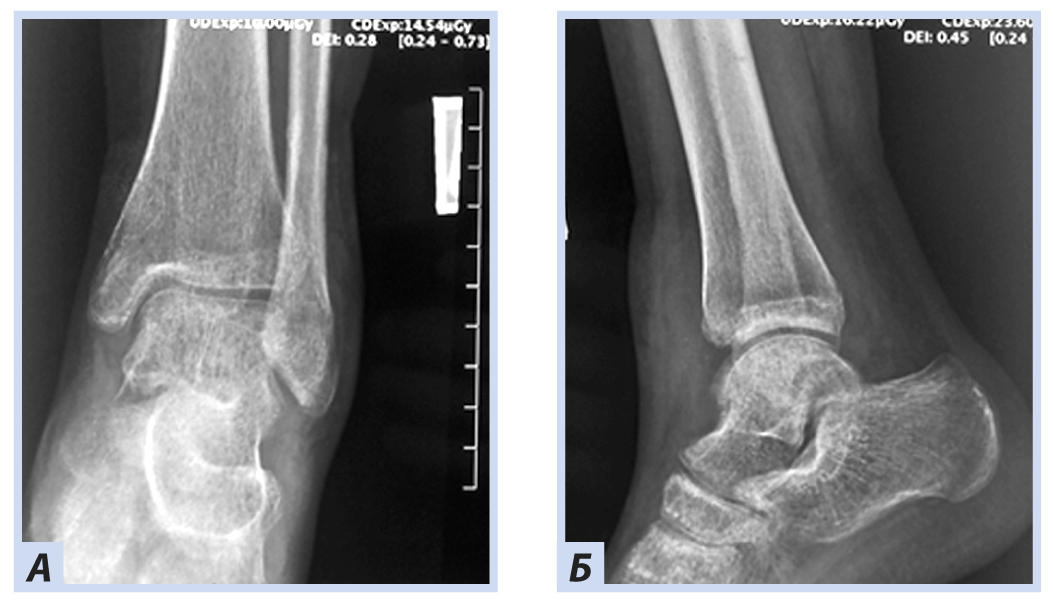
Рис. 1. Девочка, 10 лет. Рентгенограммы дистального отдела костей правой голени. Дистальный остеоэпифизеолиз правой большеберцовой кости, Salter–Harris II тип: А — прямая проекция; Б — боковая проекция.
Рис. 2. Тот же пациент. Компьютерная томография дистального отдела костей голени. Дистальный остеоэпифизеолиз правой большеберцовой кости: А — горизонтальная плоскость; Б — саггитальная плоскость.
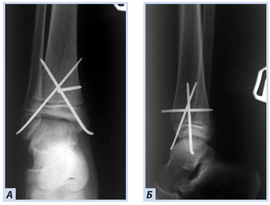
Рис. 3. Тот же пациент. Рентгенограммы дистального отдела костей правой голени. Полифокальный остеосинтез спицами: А — прямая проекция; Б — боковая проекция.
Рис. 4. Тот же пациент. Рентгенограммы дистального отдела костей правой голени через 4 нед. Консолидация костных отломков: А — прямая проекция; Б — боковая проекция.
Рис. 5. Тот же пациент. Рентгенограммы дистального отдела костей правой голени через 6 нед. Консолидация костных отломков. Спицы удалены: А — прямая проекция; Б — боковая проекция.
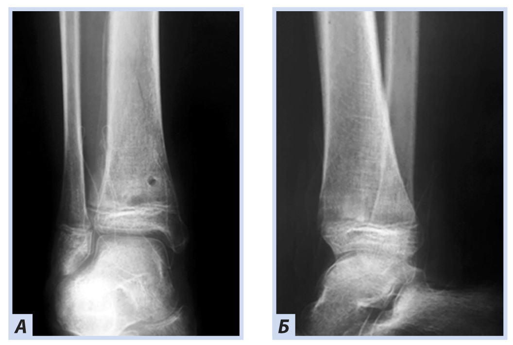
Во второй группе консолидация костных отломков наступила у 17 больных в течение 4 нед., у 11 больных с трехплоскостными переломами консолидация произошла через 6 нед. В этом возрасте начинает постепенно закрываться эпифизарная пластинка роста, что приводит к изменению ее биомеханических свойств, таких как жесткость, эластичность и упругость. Данная структура становится неравномерной по своей структуре, и в результате частичного закрытия заднемедиальная зона эпифизарной пластинки становится прочнее, что приводит к возникновению дополнительных плоскостей перелома. Кроме фронтальной и сагиттальной плоскостей, перелом обнаруживается и в поперечной плоскости. По классификации Solter–Harris такие переломы относят к IV типу. Такие переломы требуют дополнительного обследования, в частности компьютерно-томографической диагностики. Фиксировать следует все элементы перелома вне зависимости от степени смещения. Однако, если эпифизарная часть большебецовой кости имеет смещение менее 2 мм, то открытая репозиция не показана. Переломы Tillaux–Chaput, встречающиеся в этой возрастной группе, характеризуются отрывом бугорка Chaput в переднелатеральном отделе с передней порцией межберцового синдесмоза [2]. Для диагностики перелома необходимо выполнить рентгенограмму в синдесмозной проекции, так как небольшой фрагмент кости может скрываться за латеральной лодыжкой. Переломы данного типа по классификации Solter–Harris относят к III типу. Перелом внутрисуставной и имеет авульсионный характер, поэтому консервативное лечение таких переломов может привести к нарушению конгруэнтности области эпифизарной части суставного хряща большеберцовой кости и развитию нестабильности голеностопного сустава. Репозиция такого типа перелома должна быть открытой, а фиксация произведена спицами. Переломы II типа по классификации Solter–Harris встретились во всех трех возрастных группах, но во второй группе они имеют определенные морфологические особенности. При частичном закрытии зоны роста метаэпифизарная зона остается уязвимой в переднем отделе, и при падении нередко возникает перелом пилона с подвывихом стопы кзади и отрывом заднего края большеберцовой кости по зоне роста. Такой тип перелома не всегда требует оперативного лечения.
При оценке ближайших результатов анатомическая структура дистального метаэпифиза костей голени была восстановлена у всех больных. Так как нагрузочный режим мы начинали в те же временные промежутки, что и в первой группе, функция конечности восстановлена в течение 8 нед. у 14 пациентов. У 10 пациентов, преимущественно с переломами III и IV типа, — в течение 9–10 нед. У 4 пациентов через 10 нед. после травмы присутствовал болевой синдром в области сустава, сохранялась отечность мягких тканей. При изучении особенностей реабилитационного периода у этих пациентов выяснилось отсутствие осевой нагрузки на конечность.
Клиническое наблюдение 2
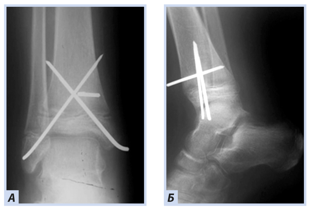
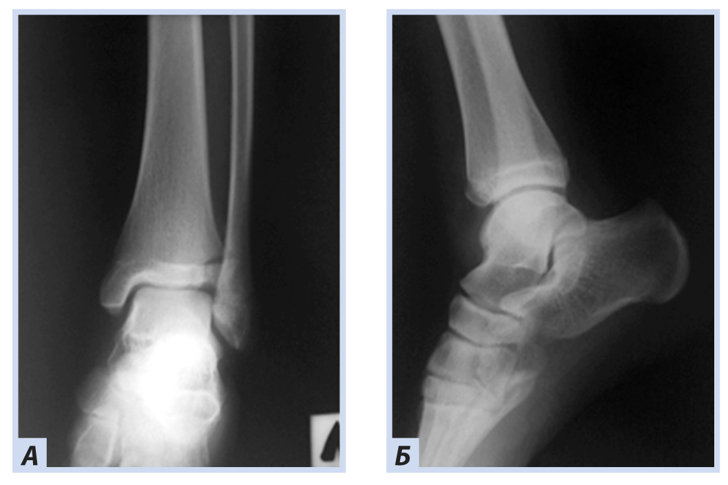
Девочка, 13 лет, диагноз: «Закрытый дистальный остеоэпифизеолиз левой большеберцовой кости, Salter–Harris III тип, Tillaux fractures». Травму получила, упав со скейтборда. По механизму травмы — супинационно-эверсионный перелом. Учитывая внутрисуставной характер перелома, остеосинтез выполнен с открытой репозицией и фиксацией отломков перекрещивающимися спицами. Дополнительная иммобилизация осуществлялась в задней гипсовой лонгете до коленного сустава. Контрольные рентгенограммы выполняли через 6 и 8 нед. после репозиции. Спицы удалены через 8 нед., конфигурация сустава восстановлена полностью (рис. 6–9).
Рис. 6. Девочка, 13 лет. Рентгенограммы дистального отдела костей левой голени. Остеоэпифизелиз дистального отдела левой большеберцовой кости Salter–Harris, III тип, Tillaux fractures: А — прямая проекция; Б — боковая проекция.
Рис. 7. Тот же пациент. Рентгенограммы дистального отдела костей левой голени. Остеосинтез перекрещивающимися спицами: А — прямая проекция; Б — боковая проекция.
Рис. 8. Тот же пациент. Рентгенограммы дистального отдела костей левой голени через 6 нед. Консолидация костных отломков: А — прямая проекция; Б — боковая проекция.
Рис. 9. Тот же пациент. Рентгенограммы дистального отдела костей левой голени через 8 нед. Консолидация костных отломков. Спицы удалены: А — прямая проекция; Б — боковая проекция.
У детей третьей возрастной группы было частичное или полное физиологическое закрытие зоны роста, и ее повреждение встречается гораздо реже, травма становится похожей на взрослую, классификация Solter–Harris теряет свою актуальность. У 5 пациентов данной возрастной группы было выявлено сочетание перелома медиальной лодыжки и диафизарного перелома малоберцовой кости выше уровня синдесмоза. Эти переломы нестабильные, так как происходят по сценарию пронационно эверсионного механизма травмы. При постановке диагноза пациентам с закрытыми зонами роста необходимо использовать классификации Danis–Weber и Lauge–Hansen [15]. Капсула сустава и связочный аппарат становятся более ригидными, и отсутствие дополнительной фиксации может привести к их неполному восстановлению. Динамический компрессионный остеосинтез медиальной лодыжки по Weber позволил начать раньше реабилитационные мероприятия, и функция конечности у таких пациентов была полностью восстановлена через 6 нед. с момента перелома. В случаях остеосинтеза спицами нагрузочный режим был более щадящим, поэтому восстановление функции наступило в течение 8 нед. Неудовлетворительных результатов в этой группе больных не было.
Клиническое наблюдение 3
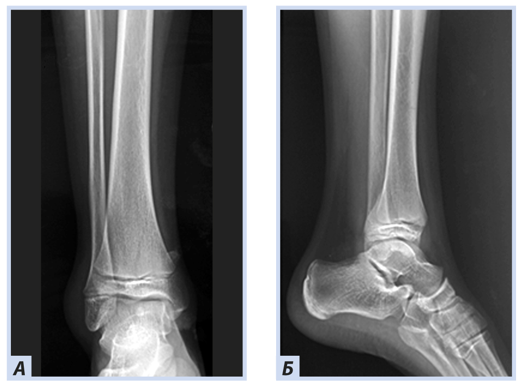
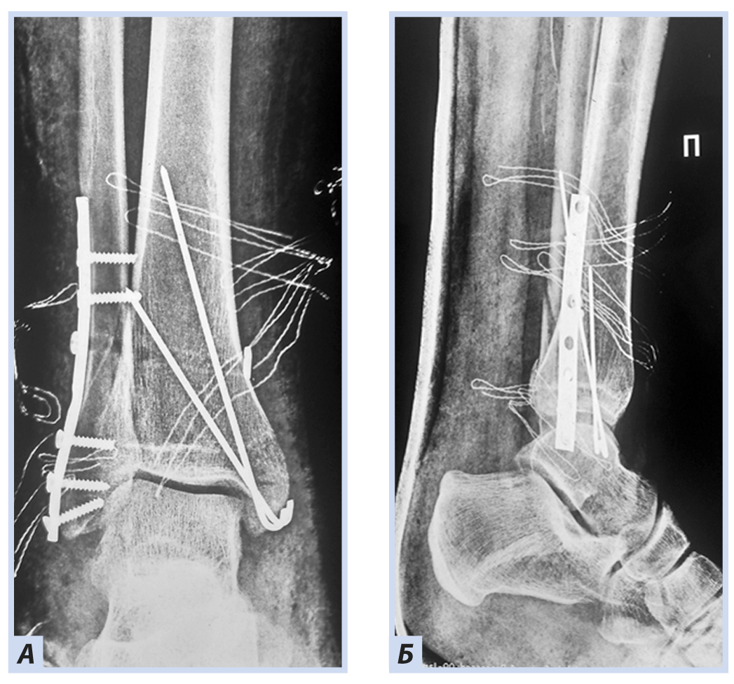
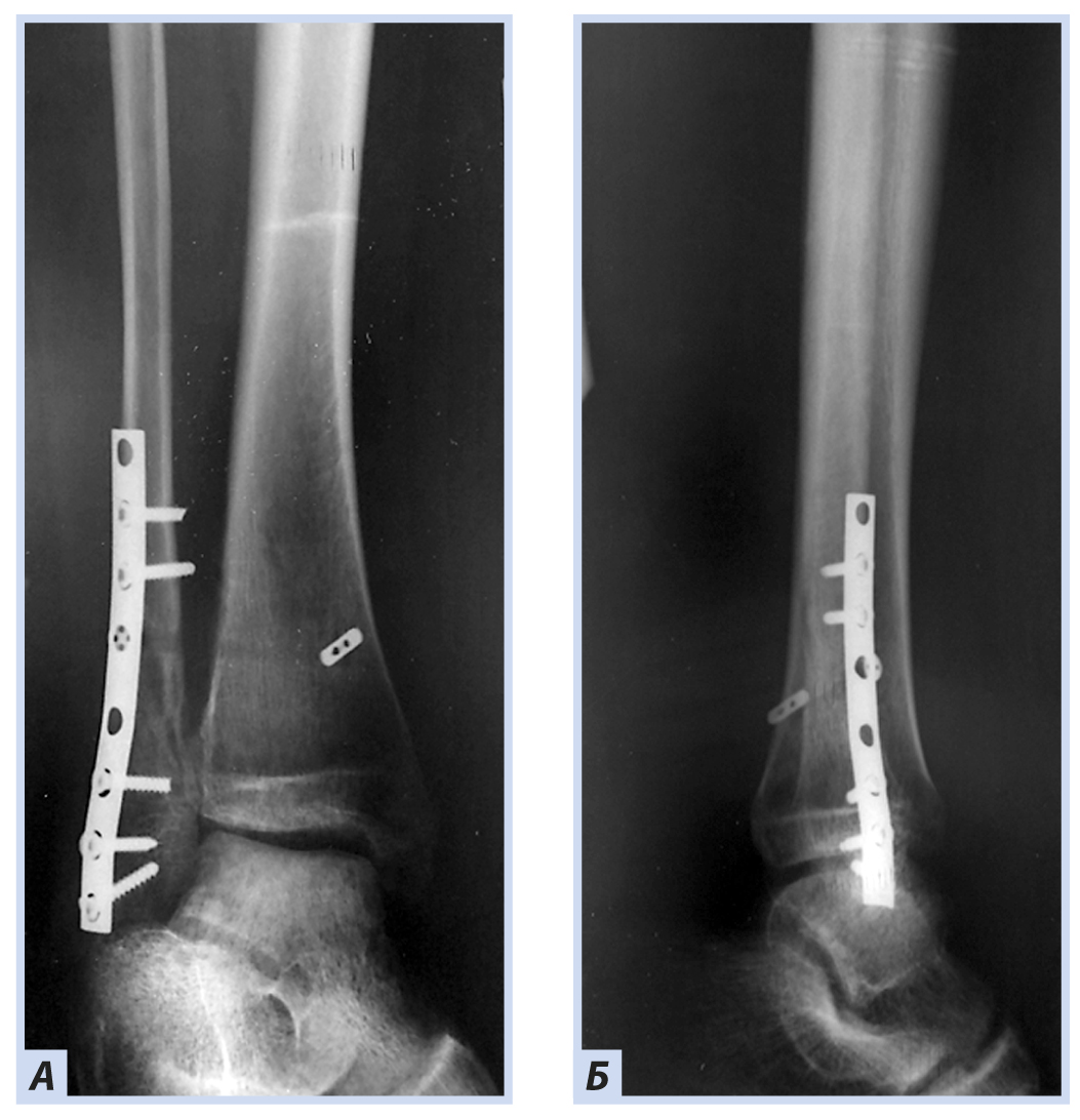
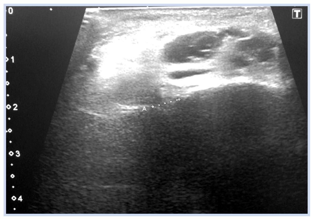
Мальчик, 16 лет, диагноз «Закрытый перелом обеих лодыжек правого голеностопного сустава с подвывихом стопы кнаружи. Супинационно-эверсионный механизм травмы». Травма получена в результате падения на льду. По данным ультразвуковой диагностики был диагностирован частичный разрыв передней порции дистального межберцового синдесмоза. Выполнен остеосинтез внутренней лодыжки спицами, дистальный межберцовый синдесмоз фиксирован синдесмозной системой (Arthrex Tightrope Ankle), перелом латеральной лодыжки фиксирован 1/3 трубчатой пластиной. Внешняя иммобилизация осуществлена гипсовой лонгетой. Контрольная рентгенография и исследование микроциркуляции в области перелома методом лазерной допплеровской флоуметрии выполнены через 8 нед. после операции. На рентгенограммах имеются признаки зажившего перелома, по данным флоуметрии наблюдается активация капилляризации тканей и нутритивного кровотока в условиях регенераторного процесса. Спицы удалены через 8 нед., конфигурация сустава восстановлена полностью (рис. 10–13).
Рис. 10. Мальчик, 16 лет. Рентгенограммы дистального отдела костей правой голени. Перелом обеих лодыжек правого голеностопного сустава с подвывихом стопы кнаружи: А — прямая проекция; Б — боковая проекция.
Рис. 11. Тот же пациент. Ультразвуковoе исследование дистального межберцового синдесмоза. Признаки разрыва передней тибиофибулярной связки.
Рис. 12. Тот же пациент. Рентгенограммы дистального отдела костей правой голени. Остеосинтез малоберцовой кости пластиной, остеосинтез внутренней лодыжки спицами, фиксация синдесмоза системой Arthrex Tightrope Ankle: А — прямая проекция; Б — боковая проекция.
Рис. 13. Тот же пациент. Рентгенограммы дистального отдела костей правой голени через 8 нед. Консолидация костных отломков: А — прямая проекция; Б — боковая проекция.
При анализе рентгенограмм пациентов с консолидированными переломами костей голени в метаэпифизарной зоне, поступивших на удаление металлоконструкций, у всех детей с сочетанным диафизарным переломом малоберцовой кости выявлены очаги склероза межберцового промежутка в нижней трети, что говорит о повреждении данного мягкотканного образования в анамнезе.
Данные лазерной флоуметрии по красному и инфракрасному каналу, согласно критерию Шапиро– Уилка, имели положительный показатель нормальности распределения. В результате расчета нормальных и относительных показателей вариации получено, что данные совокупности однородны с малой вариацией, что говорит о правильности выбора сроков исследования и подтверждает рентгенологические данные.
Метод лазерной допплеровской флоуметрии с вейвлет-спектром колебаний кровотока (рис. 14) и оценкой миогенного компонента осцилляций позволил укрепить доказательную базу рентгенологических признаков заживления перелома согласно установленным срокам консолидации.
Рис. 14. Вейвлет-спектр колебаний кровотока: по горизонтали — частота (F) осцилляций (в Гц), по вертикали — амплитуда (А) колебаний (в п.е.).
Обсуждение
Переломы у больных 1-й группы были фиксированы перекрещивающимися спицами: данный остеосинтез в сочетании с гипсовой иммобилизацией является наиболее безопасным и эффективным, а в условиях скоропомощного стационара с большим потоком пациентов — еще и методом выбора. Метод динамического компрессионного остеосинтеза по Weber является одним из самых надежных и широко распространенных во взрослой практике. В детской практике метод применяется при переломах без повреждения зоны роста. При повреждении эпифизарной пластинки его следует избегать, так как дополнительная компрессия может вызвать ее ишемию и спровоцировать преждевременное закрытие. В ближайшем послеоперационном периоде преждевременного закрытия зоны роста не было. Однако в 2 случаях мы диагностировали переломы медиальной лодыжки типа McFarland, которые имеют самые неблагоприятные последствия. В исследовании D. Petratos и соавт. [16] преждевременное закрытие зоны роста при таком типе перелома произошло в 35% случаях.
Существует мнение, что связочный аппарат у детей эластичный и редко подвергается серьезным повреждениям [17, 18]. Однако в данных работах не производилось измерения межберцового расстояния при помощи методов ультразвуковой диагностики. Кроме того, следует обратить внимание на сложность дифференциальной диагностики между повреждением связочного аппарата и повреждением зоны роста, что в противном случае может привести к неверному диагнозу. В работе K. Boutis и соавт. [19] ни у одного из 18 пациентов с диагнозом перелома наружной лодыжки Salter–Harris I по данным магнитно-резонансной томографии не было подтверждено повреждение зоны роста, у 14 детей выявлено растяжение связочного аппарата, у 1 пациента — авульсионный перелом малоберцовой кости с порцией передней таранно-малоберцовой связки.
Лазерная допплеровская флоуметрия является доступным, малоинвазивным и достоверным методом исследования активности микроциркуляторного русла в области перелома как фактора репаративной регенерации и может применяться на разных сроках консолидации переломов у детей [20].
Особенности локализации данных переломов и их морфологические характеристики требуют особого подхода к лечению, в том числе усовершенствования классификации. Используемая в педиатрической практике универсальная при повреждениях ростковой зоны классификация Salter–Harris не учитывает степени повреждения связочно-сумочного аппарата голеностопного сустава и механизм травмы. В 1973 г. была создана классификация Dias–Tachdjian, которая актуальна до сих пор [21]. Переломы были классифицируемы в зависимости от положения стопы и направления силы, прилагаемой к стопе. Но ни в пояснениях авторов к данной классификации, ни в ее визуальном описании не было упомянуто повреждение дистального межберцового синдесмоза. А ведь в то же время по классификации Danis–Weber у взрослых пациентов при переломах наружной лодыжки необходимо учитывать прохождение линии перелома относительно межберцового синдесмоза. Переломы типов В и С являются нестабильными и требуют дополнительной фиксации [22]. Таким образом, если на первичных рентгенограммах имеется диафизарный перелом малоберцовой кости выше уровня синдесмоза, необходимо выполнить ультразвуковое исследование для верификации повреждения дистального межберцового синдесмоза.
Заключение
Необходимость разработки структурно-функциональной классификации данных переломов и создание алгоритма лечения и реабилитации таких пациентов с учетом степени повреждения связочного аппарата и возрастных особенностей регенерации костной ткани является актуальной и своевременной.
Об авторах
Александр Иванович Дорохин
Федеральное государственное бюджетное учреждение «Национальный медицинский исследовательский центр травматологии и ортопедии имени Н.Н. Приорова» Минздрава России
							Автор, ответственный за переписку.
							Email: a.i.dorokhin@mail.ru
				                	ORCID iD: 0000-0003-3263-0755
				                	SPIN-код: 1306-1729
																		                								
д.м.н.
Россия, МоскваАлександр Ильич Крупаткин
Федеральное государственное бюджетное учреждение «Национальный медицинский исследовательский центр травматологии и ортопедии имени Н.Н. Приорова» Минздрава России
														Email: ale.ale02@yandex.ru
				                	ORCID iD: 0000-0001-5582-5200
				                	SPIN-код: 3671-5540
																		                								
д.м.н., профессор
Россия, МоскваАнастасия Александровна Адрианова
Федеральное государственное бюджетное учреждение «Национальный медицинский исследовательский центр травматологии и ортопедии имени Н.Н. Приорова» Минздрава России
														Email: nastyaloseva@yandex.ru
				                	ORCID iD: 0000-0002-4675-4313
				                																			                								
врач травматолог-ортопед, аспирант
Россия, МоскваВладимир Иванович Худик
Государственное бюджетное учреждение здравоохранения города Москвы «Детская городская клиническая больница имени З.А. Башляевой Департамента здравоохранения города Москвы»
														Email: sroitel@mail.ru
				                					                																			                												                	Россия, 							Москва						
Дмитрий Сергеевич Сорокин
Государственное бюджетное учреждение здравоохранения города Москвы «Детская городская клиническая больница имени З.А. Башляевой Департамента здравоохранения города Москвы»
														Email: lobnya.73@mail.ru
				                					                																			                												                	Россия, 							Москва						
Данила Анатольевич Курышев
Государственное бюджетное учреждение здравоохранения города Москвы «Детская городская клиническая больница имени З.А. Башляевой Департамента здравоохранения города Москвы»
														Email: Al_inad@mail.ru
				                					                	SPIN-код: 9129-9481
																		                								
к.м.н.
МоскваЛеонид Борисович Букчин
Государственное бюджетное учреждение здравоохранения города Москвы «Детская городская клиническая больница имени З.А. Башляевой Департамента здравоохранения города Москвы»
														Email: blb8@mail.ru
				                					                																			                												                	Россия, 							Москва						
Список литературы
- Травматизм, ортопедическая заболеваемость, состояние травматолого-ортопедической помощи населению России в 2018 г. Сборник. Москва, 2019. [Traumatism, orthopedic morbidity, the state of traumatological and orthopedic care for the population of Russia in 2018. Collection. Moscow; 2019. (In Russ).]
- Rammelt S, Godoy-Santos AL, Schneiders W, et al. Foot and ankle fractures during childhood: review of the literature and scientific evidence for appropriate treatment. Rev Bras Ortop. 2016:51(6):630–639. doi: 10.1016/j.rboe.2016.09.001
- Виленский В.А., Поздеев А.А., Зубаиров Т.Ф., Захарьян Е.А. Деформации костей голени у детей вследствие повреждения зоны роста: анализ хирургического лечения 28 пациентов (предварительное сообщение) // Ортопедия, травматология и восстановительная хирургия детского возраста. 2017. Т. 5, № 4. С. 38–47. [Vilenskiy VA, Pozdeev AA, Zubairov TF, Zakharyan EA. Treatment of pediatric patients with lower leg deformities associated with physeal arrest: analysis of 28 cases. Pediatric Traumatology, Orthopaedics and Reconstructive Surgery. 2017;5(4):38–47. (In Russ).] doi: 10.17816/PTORS5438-47
- Birt M, Vopat B, Schroeppel P, et al. Diagnosis and management of McFarland fractures: a case report and review of the literature. Am J Emerg Med. 2017;36(3):527.e5–527.e7. doi: 10.1016/j.ajem.2017.12.023
- Stegen S, Carmeliet G. The skeletal vascular system — Breathing life into bone tissue. Bone. 2018;115:50–58. doi: 10.1016/j.bone.2017.08.022
- Szabó A, Janovszky Á, Pócs L, Boros M. The periosteal microcirculation in health and disease: an update on clinical significance. Microvasc Res. 2017;110:5–13. doi: 10.1016/j.mvr.2016.11.005
- Macnab I, Dehoas WG. The role of periosteal blood supply in the healing of fractures of the tibia. Clin Orthop Relat Res. 1974;105:27–33.
- Langen UH, Pitulescu ME, Kim JM, et al. Cell-matrix signals specify bone endothelial cells during developmental osteogenesis. Nat Cell Biol. 2017;19(3):189–201. doi: 10.1038/ncb3476
- Santos AL, Demange MK, Prado MP, et al. Cartilage lesions and ankle osteoarthrosis: review of the literature and treatment algorithm. Rev Bras Ortop. 2014;49(6): 565–572. doi: 10.1016/j.rboe.2014.11.003
- Wasik J, Stoltny T, Leksowska-Pawliczek M, et al. Ankle Osteoarthritis — Arthroplasty or Arthrodesis? Ortop Traumatol Rehabil. 2018;20(5):361–370. doi: 10.5604/01.3001.0012.7282
- Salter RB, Harris WR. Injuries Involving the Epiphyseal Plate. J Bone Joint Surg Am. 1963;45(3):587–622. doi: 10.2106/00004623-196345030-00019
- Hadad MJ, Sullivan BT, Sponseller D. Surgically relevant patterns in triplane fractures. J Bone Joint Surg Am. 2018100(12):1039–1046. doi: 10.2106/jbjs.17.01279
- Крупаткин А.И. Оценка локальной эффекторной функции сенсорных афферентов кожи конечностей с помощью лазерной допплеровской флуометрии // Российский физиологический журнал имени И.М. Сеченова. 2002. Т. 88. № 5. С. 658–662. [Krupatkin AI. Evaluation of the local effector function of sensory afferents of the skin of the extremities using laser Doppler fluometry. Russian Journal of Physiology. 2002;88(5):658–662. (In Russ).]
- Meertens R, Casanova F, Knapp KM, et al. Use of near-infrared systems for investigations of hemodynamics in human in vivo bone tissue: A systematic review. J Orthop Res. 2018;36(10):2595–2603. doi: 10.1002/jor.24035
- Lauge-Hansen N. Fractures of the ankle. II. Combined experimental-surgical and experimental-roentgenologic investigations. Arch Surg. 1950;60(5):957–985.
- Petratos DV, Kokkinakis M, Ballas EG, Anastasopoulos JN. Prognostic factors for premature growth plate arrest as a complication of the surgical treatment of fractures of the medial malleolus in children. Bone Joint J. 2013;95B(3): 419–423. doi: 10.1302/0301-620X.95B3.29410
- Швед С.И., Насыров М.З. Лечение больных с остеоэпифизеолизами дистального отдела голени методом чрескоcтного остеосинтеза. Курган, 2012. 189 с. [Shved SI, Nasyrov MZ. Treatment of patients with osteoepiphyseolysis of the distal leg by the method of transosseous osteosynthesis. Kurgan; 2012. 189 p. (In Russ).]
- Pesl T, Havranek P. Rare Injuries to the Distal tibiofibular joint in children. Eur J Pediatr Surg. 2006;16(4):255–259. doi: 10.1055/s-2006-924457
- Boutis K, Narayanan UG, Dong FF, et al. Magnetic resonance imaging of clinically suspected Salter-Harris I fracture of the distal fibula. Injury. 2010;41(8):852–856. doi: 10.1016/j.injury.2010.04.015
- Вековцев А.А., Тохириен Б., Слизовский Г.В., Позняковский В.М. Клинические испытания витаминно-минерального комплекса для лечения детей с травматологическим профилем // Вестник ВГУИТ. 2019. Т. 81. № 2. С. 147–153. [Vekovtsev AA, Tohiriyon B, Slizovsky GV, Poznyakovsky VM. Clinical trials of the vitamin-mineral complex for the treatment of children with a trauma profile. Vestnik VGUIT. 2019;81(2):147–153. (In Russ).] doi: 10.20914/2310-1202-2019-2-147-153
- Weber BG. Die Verletzungen des oberen Sprunggelenkes (The injuries of the upper ankle), 2nd edition. Huber; 1972.
- Pomeranz C, Bartolotta J. Pediatric ankle injuries: utilizing the Dias-Tachdjian classification. Skeletal Radiol. 2020; 49(4):521–530. doi: 10.1007/s00256-019-03356-0
Дополнительные файлы
 
				
			 
						 
					 
						 
									
 
  
  
  Отправить статью по E-mail
			Отправить статью по E-mail 
















