Immunohistochemical markers in the assessment of gastric mucosa atrophy
- Authors: Parygina M.N.1, Shimanskaya A.G.1, Mozgovoy S.I.1, Kononov A.V.1, Panyushkin L.V.2
-
Affiliations:
- Federal State Budgetary Educational Institution of Higher Education "Omsk State Medical University" of the Ministry of Health of the Russian Federation
- Federal State Budgetary Educational Institution of Healthcare "West-Siberian Medical Center of FMBA of Russia"
- Issue: Vol 1, No 3 (2021)
- Pages: 36-48
- Section: Articles
- URL: https://journals.eco-vector.com/2782-3024/article/view/624089
- ID: 624089
Cite item
Full Text
Abstract
Chronic atrophic gastritis precedes the development of intestinal-type gastric cancer (adenocarcinoma). The modern paradigm of cancer prevention focuses on the assessment of an integral index of gastric mucosal atrophy (GMA) to determine the personalized risk of cancer development. However, the assessment of the severity of atrophic changes is difficult due to the frequent violation of the internationally accepted research protocol with the receipt of a smaller number of gastrobiopsy specimens. In this connection the question about the possibility to develop a method of surrogate estimation of atrophy of PJS, in particular, implying additional use of immunohistochemical (IHC) method of research, remains actual. The aim of the study was to evaluate the IHC profile of ab-solute and metaplastic atrophy of PJS. Material and methods. The material of 176 cases of chronic gastritis, taken according to the protocol of the study Operative Link for Gastritis Assessment (OLGA) (2 fragments of the mucosa of the an- neutral part of the stomach, 1 - of the angle and 2 - of the body), was investigated by histologic and IHC method with the use of markers: CDX2, clone EPR2764Y in RTU dilution (Cell Marque, USA); MUC5AC, clone CLH2 in dilution 1:100 (Novocastra, Great Britain); MUC6, clone CLH5 in dilution 1:100 (Novocastra, UK); MUC2, clone MRQ-18 in dilution 1:100 (Cell Marque, USA); CD10, clone 56C6 in dilution 1:200 (Cell Marque, USA). Results. The peculiarities of IHC markers expression (CDX2, MUC5AC, MUC6, MUC2, CD10) in COJ at different phenotypic variants of chronic atrophic gastritis (CAG) and chronic superficial (non-atrophic) gastritis were characterized. Regularities of topographic distribution of IHC markers, pattern of their expression, intensity of positive marks are described. The comparison of the mentioned characteristics was carried out to determine the optimal IHC markers for CAG diagnostics. Conclusion. The study showed that the marker of intestinal differentiation CDX2 possesses the greatest value in the aspect of diagnostics of atrophic changes of PJS. The simplified scheme of diagnostics of atrophic changes of PJS within the limits of one biopsy by the method of IHC markers has been developed.
Full Text
Список выбранных сокращений и их определения
ИГХ – иммуногистохимический
СОЖ – слизистая оболочка желудка
ФЭГДС – фиброэзофагогастродуоденоскопия
ХАГ – хронический атрофический гастрит
OLGA – operative link for gastritis assessment
Введение
Оценка атрофии СОЖ является мерой стратификации риска развития рака желудка кишечного типа (аденокарциномы) [9, 11]. Международные стандарты диагностики атрофии Operative Link for Gastritis Assessment (OLGA) предполагают взятие 5 фрагментов СОЖ из антрального отдела, угла и тела. На основании исследования каждого из них рассчитывается интегральный показатель атрофии СОЖ – стадия хронического гастрита. Однако, несмотря на это, на практике протокол исследования соблюдается лишь в 3–4% случаев [10], что означает, что 96–97% пациентов по итогам биопсийного исследования не получает персонализированного прогноза. Кроме того, оценка выраженности атрофических изменений даже в пределах одного гастробиоптата представляет трудности в связи сих гетерогенностью. В связи с этим остается актуальным вопрос о возможных путях повышения качества диагностики атрофии СОЖ. Возможным способом повышения качества оценки атрофии является дополнительное использование иммуногистохимического (ИГХ) метода исследования.
Цель исследования – оценить ИГХ профиль абсолютной и метапластической атрофии СОЖ.
Материал и методы исследования
В качестве материалов исследования использовали фрагменты СОЖ, полученные при фиброэзофагогастродуоденоскопии (ФЭГДС) от 176 пациентов, предъявлявших диспептические жалобы. В соответствии с протоколом биопсийного исследования OLGA каждый из случаев включал пять фрагментов СОЖ: 2 – из антрального отдела, 2 – из тела, 1 – из угла. Основная группа исследования включала пациентов с хроническим атрофическим гастритом (n=155): мужчин – 70, женщин – 85. Средний возраст пациентов составил 54,6 ± 15,4 лет (мужчин – 52,9 ± 16,5 лет, женщин – 56 ± 14,3 лет). Группа сравнения была сформирована из 21 пациента с хроническим поверхностным (неатрофическим) гастритом: мужчин – 9, женщин – 12. Средний возраст пациентов составил 36,7 ± 13,6 лет (мужчин – 32,9 ± 12,7 лет, женщин – 39,6 ± 14,1 лет). Критериями включения основной группы и группы сравнения являлось соблюдение протокола биопсийного исследования OLGA с взятием 5 гастробиоптатов. Критериями исключения основной группы и группы сравнения были приняты: наличие во фрагментах СОЖ неопределенной атрофии, интраэпителиальной неоплазии/дисплазии, полипов желудка, эрозивно-язвенных дефектов, фовеолярной гиперплазии; прием в течение 4 недель до включения в исследование антибактериальных препаратов и/или ингибиторов протонной помпы; прием нестероидных противовоспалительных препаратов, глюкокортикостероидов, цитостатиков и других препаратов, способных исказить результаты исследования; развитие в ходе лечения побочных эффектов на применяемые лекарственные препараты.
Все биоптаты основной группы исследования и группы сравнения (n=775 и n=105, соответственно) подвергали ориентировке с помощью специализированной адгезивной ориентационной подложки [5]. Ориентированные гастробиоптаты в течение 24 часов фиксировали в 10% растворе нейтрального забуференного формалина, после чего обработка материала продолжалась по стандартной методике.
Из полученных парафиновых блоков формировали тканевые матрицы (мультиблоки) [7], с которых затем получали серийные срезы толщиной 3–5 мкм. Готовые срезы окрашивали гематоксилином и эозином по рутинной методике. На каждом срезе проводили детекцию гистологических признаков хронического гастрита в соответствии с визуально-аналоговой шкалой модифицированной Сиднейской системы (1996) с проведением полуколичественной оценкой выраженности воспаления, активности процесса, наличия атрофии, кишечной метаплазии и степени обсемененности Helicobacter pylori [3]. Для ранжирования морфологических изменений в биоптатах использовали следующую градацию: 0 – отсутствие признака; 1 – признак выражен слабо; 2 – умеренно; 3 – значительно/выраженно. Геликобактерную колонизацию оценивали бинарно по принципу наличия или отсутствия Helicobacter pylori в исследуемом объеме материала. На основании описанных критериев все случаи основной группы исследования и группы сравнения были отнесены к одному из фенотипических вариантов хронического гастрита: хроническому поверхностному гастриту, хроническому атрофическому антрум-гастриту, хроническому мультифокальному атрофическому гастриту и хроническому атрофическому пангастриту. Степень и стадию хронического гастрита оценивали в соответствии с визуально-аналоговой шкалой Российского пересмотра Международной классификации хронического гастрита OLGA [1] (рис. 1).
Рис. 1. Визуально-аналоговые шкалы Российского пересмотра Международной классификации ХГ OLGA для определения: а – степени ХГ; б – стадии ХГ
Дополнительно на полученных гистологических срезах проводили детекцию экспрессии ИГХ маркеров. Демаскировку антигенов проводили в цитратном буфере (рН=6.0) при кипячении на водяной бане в течение 1 часа. Ядра клеток докрашивали гематоксилином Майера в течение 30 секунд – 2 минут. В качестве внешнего контроля использовали фрагменты ткани поджелудочной железы с наличием протоков.
Перечень использованных в рамках исследования маркеров: CDX2, клон EPR2764Y в разведении RTU (Cell Marque, США); MUC5AC, клон CLH2 в разведении 1:100 (Novocastra, Великобритания); MUC6, клонCLH5 в разведении 1:100 (Novocastra, Великобритания); MUC2, клон MRQ-18 в разведении 1:100 (Cell Marque, США); CD10, клон 56C6 в разведении 1:200 (Cell Marque, США).
При оценке белка CDX2 оценивали паттерн экспрессии: разрозненные позитивно окрашенные ядра клеток (до трех рядом расположенных клеток) – 1 балл, очаговая экспрессия более чем в трех рядом расположенных клетках без экспрессии во всех клетках железы соответствующей ей зоны покровно-ямочного эпителия – 2, линейная сплошная экспрессия во всей железе и соответствующей ей зоне покровно-ямочного эпителия – 3 балла; интенсивность метки: отсутствие метки – 0 баллов; слабая интенсивность (светло-коричневое окрашивание ядра) – 1 балл; выраженная интенсивность (темно-коричневое окрашивание ядра) – 2 балла. При сочетании паттернов и/или вариантов интенсивности окрашивания ядра расчет индекса CDX2 проводили по превалирующему компоненту.
Экспрессию желудочных (MUC5AC, MUC6) и кишечного (MUC2) муцинов проводили по шкале интенсивности (0 – отсутствие, 1 – слабая, 2 – умеренная, 3 –выраженная).
Экспрессию маркера CD10 оценивали бинарно по принципу наличия или отсутствия в исследуемом объеме материала.
Просмотр и фотографирование микропрепаратов осуществлялось на микроскопе AxioSkop40 с набором различных увеличений (×40, ×100, ×200, ×400) с применением камеры AxioCam MRc5 («Carl Zeiss», Германия).
Для формирования описательной статистики использовали пакет анализа Microsoft Office Excel-2010. Описательная статистика номинальных и порядковых переменных включала расчет процентных долей (%). Для описательной статистики нормально распределенных количественных переменных определяли среднеарифметическое ± стандартное отклонение; при обработке количественных переменных с распределением, отличным от нормального, и порядковых данных – медиану, 25 и 75 персентили, максимальное и минимальное значения. При формировании аналитической статистической статистики использовали пакет программы IBM SPSS Statistics (23 версия). Для оценки распределения переменных критериям нормального применяли критерий Колмогорова-Смирнова.
Результаты и обсуждение
Характеристика группы сравнения
Хронический поверхностный гастрит
Все случаи группы сравнения были отнесены к фенотипическому варианту хронического неатрофического (поверхностного) гастрита (стадия 0 по классификации OLGA). Данная форма хронического гастрита была диагностирована на основании наличия воспалительной инфильтрации собственной пластинки СОЖ разной градации выраженности в отсутствие признаков абсолютной и/или метапластической атрофии (n=21, общее число биоптатов = 105).
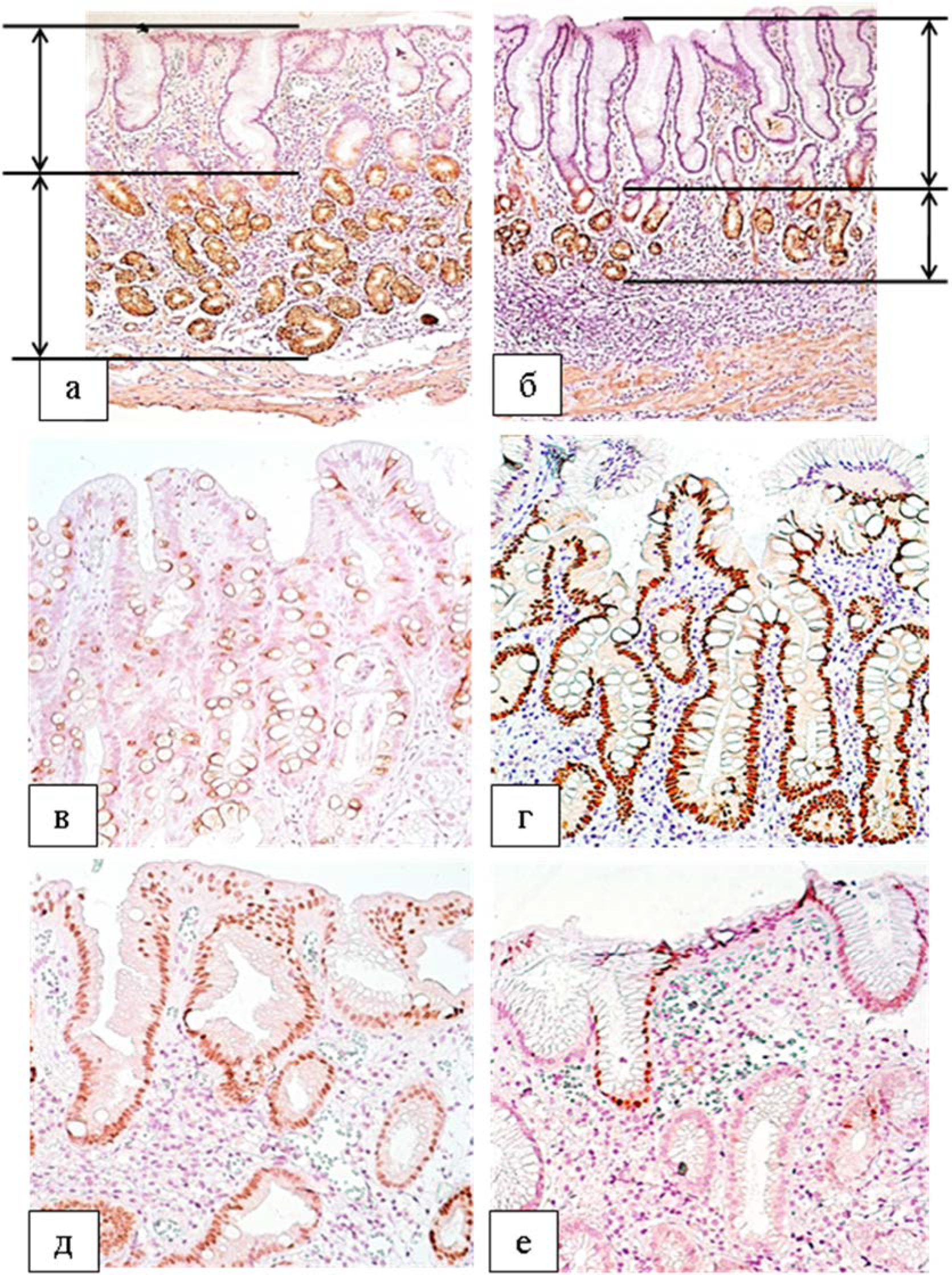
Хронический поверхностный гастрит фактически выступает дебютом каскада канцерогенеза, что объясняет малое количество различий в ИГХ картине нормальной СОЖ и СОЖ при этом фенотипическом варианте хронического гастрита. Во всех биоптатах СОЖ антрума в группе сравнения ИГХ картина соответствовала таковой в нормальной СОЖ в отсутствие хронического гастрита. В железах была отмечена продукция секретируемых муцинов MUC5AC и MUC6. При ИГХ детекции муцинов метки имели цитоплазматический характер и преимущественно супрануклеарную и перинуклеарную локализацию. Профиль секретируемых муцинов менялся в зависимости от отдела желудочной железы и соответствовал нормальному: MUC5AC определялся в фовеолярной зоне (поверхностных отделах желез), MUC6 – в донных отделах желез. Зоны экспрессии муцинов MUC5A:MUC6 имели соотношение 2:1 (рис. 2а).
Рис. 2. Фрагменты СОЖ антрального отдела при хроническом гастрите. а – наличие цитоплазматической экспрессии MUC6 в донных отделах желудочных желез; протяженность экспрессии – около 1/2 длины железы, MUC6, ×100; б – наличие цитоплазматической экспрессии MUC6 в донных отделах желудочных желез; протяженность экспрессии – около 1/3 длины железы, MUC6, ×100; в – цитоплазматическое окрашивание бокаловидных клеток в зоне распространенной кишечной метаплазии, MUC2, ×200; г – выраженная распространенная ядерная экспрессия CDX2 в зоне распространенной полной кишечной метаплазии, CDX2, ×200; д – слабая распространенная ядерная экспрессия CDX2 в зоне распространенной неполной кишечной метаплазии, CDX2, ×200; е – слабая ядерная экспрессия CDX2 в покровно-ямочном эпителии, CDX2, ×200
Экспрессия маркеров MUC 2 и CD10 отсутствовала во всех случаях группы.
Интересной является экспрессия маркера CDX2 в группе хронического поверхностного гастрита (в группе сравнения). Несмотря на то, что CDX2 является маркером кишечной дифференцировки и в этой связи должен отсутствовать в СОЖ в отсутствие метапластической атрофии, в рамках исследования была отмечена его слабая экспрессия в единичных фенотипически неизмененных желудочных эпителиоцитах в 9 биоптатах антрального отдела. Метки имели ядерный характер, низкую интенсивность и, как правило, располагались розно в области перешейков желез.
Распределение диагностических случаев, полученное при гистологической оценке гастробиоптатов группы сравнения в соответствии с принятым международным стандартом исследования OLGA, представлено в таблице 1. Поскольку все случаи группы сравнения относились к фенотипической группе поверхностного хронического гастрита, для них было характерно отсутствие атрофии, что характеризует стадию 0 хронического гастрита по системе OLGA.
Таблица 1. Распределение исследованных диагностических случаев по системе OLGA (абсолютные значения)
Основная группа исследования | ||||||
Показатели | Стадия по системе OLGA | |||||
0 | I | II | III | IV | ||
Степень по системе OLGA | 0 | 0 | 0 | 0 | 0 | 0 |
I | 0 | 10 | 5 | 0 | 0 | |
II | 0 | 25 | 20 | 5 | 1 | |
III | 0 | 11 | 21 | 22 | 5 | |
IV | 0 | 1 | 7 | 6 | 16
| |
Группа сравнения | ||||||
Показатели | Стадия по системе OLGA | |||||
0 | I | II | III | IV | ||
Степень по системе OLGA | 0 | 0 | 0 | 0 | 0 | 0 |
I | 4 | 0 | 0 | 0 | 0 | |
II | 13 | 0 | 0 | 0 | 0 | |
III | 4 | 0 | 0 | 0 | 0 | |
IV | 0 | 0 | 0 | 0 | 0 | |
Характеристика основной группы исследования
Хронический атрофический антрум-гастрит
В группу хронического атрофического антрум-гастрита были включены случаи ХАГ основной группы исследования с наличием абсолютной и/или метапластической атрофии только в антральном отделе желудка (n=55, общее число биоптатов = 275).
В биоптатах СОЖ антрального отдела продукция секретируемых муцинов MUC5AC и MUC6 сохранялась в железах пилорического типа и исчезала в участках кишечной метаплазии. Соотношение зон экспрессии муцинов MUC5A:MUC6 варьировалось: в участках, гистологически соответствовавших нормальной СОЖ антрума, соотношение зон экспрессии муцинов составляло 2:1. В очагах абсолютной атрофии протяженность зоны экспрессии MUC6 уменьшалась и в связи с этим протяженность зон экспрессии секретируемых муцинов приобретала соотношение 3:1 или 4:1 (рис. 2б).
В зонах метапластической атрофии (кишечной метаплазии) в цитоплазме бокаловидных клеток отмечалась экспрессия MUC2 (рис. 2в). CD10 демонстрировал позитивную экспрессию в клетках с наличием щеточной каемки в участках полной тонкокишечной (тип I) метаплазии.
В очагах кишечной метаплазии CDX2 экспрессировался в ядрах высоких цилиндрических эпителиоцитов и бокаловидных клеток. Интенсивность экспрессии варьировалась в зависимости от типа кишечной метаплазии: в очагах полной тонкокишечной метаплазии (тип I) метка имела высокую интенсивность (ярко-коричневое окрашивание – 2 балла), в очагах неполной тонко- и толстокишечной метаплазии (типы IIA, IIB, III) –слабую и умеренную (светло-коричневое окрашивание – 1 балл) (рис. 2г, 2д).
Также отмечались CDX2-позитивные метки в клетках желудочного эпителия. Как правило, они определялись на расстоянии 1-2 желез от участков полной и/или неполной кишечной метаплазии. Экспрессия CDX2 в желудочном эпителии была отмечена в 48 фрагментах (17,5%) СОЖ антрума. Она носила ядерный характер, имела слабую интенсивность; чаще всего (39 биоптатов (14,2%)) экспрессия CDX2 отмечалась в разрозненных единичных клетках, однако в 3 биоптатах группы экспрессия в клетках желудочного эпителия была распространена во всей железе и соответствующей ей зоне покровно-ямочного эпителия.
Хронический атрофический мультифокальный гастрит
Фенотипический вариант хронического атрофического мультифокального гастрита был диагностирован в случаях, где абсолютные и/или метапластические атрофические изменения были обнаружены хотя бы в одном из фрагментов СОЖ и антрума, и тела (n=47, общее число биоптатов = 235).
Продукция секретируемых муцинов MUC5AC и MUC6 в биоптатах СОЖ антрального отдела за пределами участков кишечной метаплазии подчинялась описанной ранее закономерности: в участках абсолютной атрофии протяженность зон экспрессии секретируемых муцинов (MUC5AC:MUC6) приобретала соотношение 3:1 или 4:1. Экспрессия MUC5AC также отмечалась в очагах пилорической/псевдопилорической метаплазии СОЖ тела.
Сохранялась экспрессия MUC2 в цитоплазме бокаловидных клеток в участках кишечной метаплазии любого из типов, а также экспрессия CD10 в зоне щеточной каемки высоких цилиндрических клеток в очагах полной тонкокишечной (тип I) метаплазии.
Экспрессия CDX2 была отмечена во всех клетках очагов кишечной метаплазии. Метка преимущественно имела ярко-коричневое окрашивание. Сохранялась и очаговая экспрессия CDX2 в клетках желудочного эпителия: она была отмечена в 59 фрагментах (25,1%) СОЖ антрума и 7 биоптатах (3%) тела желудка. При этом лишь в 8 биоптатах антрального отдела желудка CDX2-позитивные метки сопровождали участки кишечной метаплазии, преимущественно регистрируясь в ее отсутствие. Паттерн экспрессии CDX2 в желудочном эпителии был преимущественно представлен кластерами меток в ядрах 3 и более рядом расположенных клеток, не занимающими, однако же, всей железы.
Атрофический пангастрит
Фенотипический вариант атрофического пангастрита был диагностирован в случаях, во всех биоптатах СОЖ антрального отдела и тела которых встречались абсолютные и/или метапластические атрофические изменения (n=53, общее число биоптатов = 265).
Продукция секретируемых муцинов MUC5AC и MUC6 в биоптатах СОЖ за пределами участков кишечной метаплазии соответствовала топографии клеток, содержащих MUC5AC и MUC6, описанной выше. В группе атрофического пангастрита была отмечена минимальная протяженность зоны продукции MUC6 и, соответственно, увеличение соотношения протяженности зон экспрессии MUC5AC:MUC6, равное 4:1. Цитоплазматический характер позитивных ИГХ меток сохранялся, однако их интенсивность была ниже, чем при других фенотипических вариантах хронического гастрита. Экспрессия MUC5AC также отмечалась в очагах пилорической/псевдопилорической метаплазии СОЖ тела.
Экспрессия MUC2 в цитоплазме бокаловидных клеток в участках кишечной метаплазии любого типа сохранялась. Также оставалась характерной экспрессия CD10 в зоне щеточной каемки высоких цилиндрических клеток в очагах полной тонкокишечной (тип I) метаплазии.
Во всех клетках очагов кишечной метаплазии присутствовала экспрессия CDX2. Позитивные ИГХ метки имели ярко-коричневый цвет в участках полной тонкокишечной метаплазии (тип I) и светло-коричневый цвет – в очагах неполной кишечной метаплазии (типы IIA, IIB, III).
Экспрессия CDX2 в желудочных эпителиоцитах была отмечена в 66 биоптатах (25%) СОЖ антрума и 20 фрагментах (7,5%) СОЖ тела. В 8 биопатах СОЖ антрума обнаружение CDX2-позитивных меток сочеталось с наличием очага кишечной метаплазии в пределах того же биоптата. Метки в желудочном эпителии, как правило, занимали всю железу и соответствующий ей участок покровно-ямочного эпителия (рис. 2е).
Распределение диагностических случаев, полученное при гистологической оценке гастробиоптатов основной группы исследования в соответствии с принятым международным стандартом исследования OLGA, представлено в таблице 1. К I стадии ХАГ по классификации OLGA отнесли 47 случаев, ко II стадии – 53 случая, к III стадии – 33 случая, к IV стадии – 22 случая. Соответственно, в группу низкого риска развития аденокарциномы желудка было отнесены 100 случаев (стадии I-II ХАГ по OLGA-system), в группу высокого риска – 55 случаев (стадии III-IV ХАГ по OLGA-system). Распределение случаев соответствовало критериям нормального (критерий Колмогорова-Смирнова λ=0.22 (p<0.01)).
Соответствие фенотипических вариантов хронического гастрита стадиям классификации OLGA отражено в таблице 2.
Таблица 2. Распределение диагностических случаев, включенных в основную группу исследования, в соответствии с классификационными характеристиками, определенными по визуально-аналоговым шкалам Российского пересмотра Международной классификации OLGA-system
Фенотипический вариант хронического гастрита | Число диагностических случаев (абсолютное значение / число диагностических случаев (%)) | Число диагностических случаев (абсолютное значение / | ||||
Стадия 0 OLGA | Стадия IOLGA | Стадия IIOLGA | Стадия IIIOLGA | Стадия IVOLGA | ||
атрофический антрум-гастрит | 55 / 35,5% | 0 / 0% | 47 / 30,3% | 8 / 5,2% | 0 / 0% | 0 / 0% |
мультифокальный атрофический гастрит | 47 / 30,3% | 0 / 0% | 0 / 0% | 37 / 23,9% | 9 / 5,8% | 1 / 0,6% |
пангастрит | 53 / 34,2% | 0 / 0% | 0 / 0% | 8 / 5,2% | 24 / 15,5% | 21 / 13,5% |
итого | 155 / 100% | 0 / 0% | 47 / 30,3% | 53 / 34,2% | 33 / 21,3% | 22 / 14,2% |
Определение диагностического потенциала ИГХ маркеров в диагностике атрофии СОЖ
На основании описанных выше особенностей экспрессии ИГХ маркеров (топографической принадлежности позитивных ИГХ меток, их характера (цитоплазматическая/ядерная метка), интенсивности, паттерна экспрессии), а также литературных данных об их валидности [8] было сформулировано мнение о возможности их применения как суррогатных диагностических маркеров атрофии СОЖ.
Секретируемые муцины СОЖ MUC5AC и MUC6 могут служить маркерами абсолютных атрофических изменений, поскольку по мере прогрессирования атрофии СОЖ протяженность зоны экспрессии MUC6 укорачивается. Однако этот диагностический признак утрачивает свой потенциал в условиях нарушениях ориентировки гастробиоптатов, поскольку тангенциальные и/или поперечные срезы СОЖ не позволяют адекватно и достоверно оценить протяженность топографических зон экспрессии маркеров. Дополнительно ограничивает использование секретируемых муцинов цитоплазматический характер ИГХ метки, который может быть имитирован неспецифической реакцией, связанной с системами детекции.
Муцин MUC2 не экспрессируется в СОЖ в норме и появляется в цитоплазме бокаловидных клеток в очагах кишечной метаплазии. Это позволяет считать MUC2 достоверным маркером метапластической атрофии, не позволяющим, однако же, дифференцировать ее подвариант. Но на бокаловидные клетки приходится лишь малая часть клеток в очагах кишечной метаплазии[6]. При тангенциальном и/или поперечном характере среза, малом объеме диагностического материала или метапластических изменениях, не затрагивающих железу полностью, детекция бокаловидных клеток может быть затруднена.
Маркер CD10 отсутствует в нормальной СОЖ и определяется только в очагах кишечной метаплазии. Метка имеет мембранный характер и затрагивает только апикальный край клетки. Незамкнутая мембранная метка может не попасть в плоскость гистологического среза при тангенциальном его характере. Дополнительно ограничивает применение маркера наличие щеточной каемки и метки CD10 только при полной тонкокишечной (тип I) метаплазии, что не позволяет считать маркер универсальным даже в отношении диагностики метапластической атрофии.
Маркер CDX2 отсутствует в нормальной СОЖ и определяется в ядрах клеток эпителия в очагах кишечной метаплазии. Интенсивность ИГХ метки различается в зависимости от варианта метаплазии. Однако помимо зон кишечной метаплазии CDX2-позитивные метки определяются в ядрах клеток желудочного эпителия и за пределами участков метапластической атрофии. Это может указывать на более универсальную роль маркера в диагностике ХАГ.
Таким образом, в рамках исследования оптимальным диагностическим маркером атрофии СОЖ выступает белок CDX2, отсутствующий в СОЖ в отсутствие воспаления, имеющий ядерный характер ИГХ метки и определяющийся на всем протяжении желез и на любом уровне среза.
Описанный ИГХ профиль очагов абсолютной и метапластической атрофии имеет потенциал практического применения. В частности, при получении единичного гастробиоптата дополнительное применение указанного перечня ИГХ маркеров хотя и не позволяет диагностировать стадию хронического гастрита, но может способствовать диагностике атрофии СОЖ – в том числе и в случае деформированного и/или неориентированного биопсийного материала (рис. 3). Обнаружение атрофии СОЖ даже в единственном взятом биоптате, в свою очередь, должно являться основанием для повторного проведения ФЭГДС с биопсией из пяти точек по стандарту, предложенному OLGA-system.
Рис. 3. Схема детекции атрофических изменений СОЖ в пределах одного биоптата
Заключение
ИГХ метод исследования может быть использован для диагностики как абсолютных, так и метапластических атрофических изменений при хроническом гастрите. Оценка соотношения протяженности зон экспрессии секретируемых муцинов MUC5AC и MUC6 позволяет с большей достоверностью, нежели рутинное гистологическое исследование, верифицировать зоны абсолютной атрофии СОЖ при условии правильной ориентировки гастробиоптата. Определение в гастробиоптате белка кишечной дифференцировки CDX2 позволяет с высокой чувствительностью и специфичностью [1] диагностировать кишечную метаплазию и может быть использовано для уточнения ее варианта на основании интенсивности ядерного окрашивания. Его экспрессия во всех клетках очагов кишечной метаплазии на всем протяжении железы делает возможным использование маркера в отсутствие ориентировки биопсийного материала. Дополнительная детекция в гастробиоптате муцина MUC2 позволяет определить наличие бокаловидных клеток, характерных для очагов кишечной метаплазии независимо от ее типа, а определение в апикальных частях клеток маркера CD10 способно достоверно указать на присутствие на цилиндрических клетках щеточной каемки и, тем самым, подтвердить тип I кишечной метаплазии; вместе с тем, можно констатировать лишь вспомогательную роль маркеров MUC2 и CD10 в диагностике метапластической атрофии (кишечной метаплазии), поскольку они определяются в клеточных структурах, хорошо диагностируемых при рутинном гистологическом окрашивании. Разработанная на основе сведений об особенностях экспрессии ИГХ маркеров схема диагностики атрофических изменений СОЖ в пределах одного биоптата может быть использована в условиях нарушения протокола взятия гастробиоптатов OLGA, а также низкого качества диагностического материала (его фрагментации, отсутствия ориентировки и т.д.) и позволяет вынести ориентировочное суждение о наличии атрофии в исследуемом объеме диагностического материала.
About the authors
M. N. Parygina
Federal State Budgetary Educational Institution of Higher Education "Omsk State Medical University" of the Ministry of Health of the Russian Federation
Author for correspondence.
Email: parygina.omgmu@mail.ru
очный аспирант кафедры патологической анатомии
Russian Federation, OmskA. G. Shimanskaya
Federal State Budgetary Educational Institution of Higher Education "Omsk State Medical University" of the Ministry of Health of the Russian Federation
Email: parygina.omgmu@mail.ru
Russian Federation, Omsk
S. I. Mozgovoy
Federal State Budgetary Educational Institution of Higher Education "Omsk State Medical University" of the Ministry of Health of the Russian Federation
Email: parygina.omgmu@mail.ru
Russian Federation, Omsk
A. V. Kononov
Federal State Budgetary Educational Institution of Higher Education "Omsk State Medical University" of the Ministry of Health of the Russian Federation
Email: parygina.omgmu@mail.ru
Russian Federation, Omsk
L. V. Panyushkin
Federal State Budgetary Educational Institution of Healthcare "West-Siberian Medical Center of FMBA of Russia"
Email: parygina.omgmu@mail.ru
Russian Federation, Omsk
References
- Aruin L.I., Kononov A.V., Mozgovoi S.I Atroficheskiy gastrit: problemy obosnovaniya morfologicheskogo diagnoza (materialy k peresmotru mezhdunarodnykh klassifikatsiy – OLGA i ATRO-PHYCLUB). Materialy III syezda Rossiyskogo ob-shchestva patologoanatomov «Aktualnyye voprosy» 2009;5-8. Russian (Аруин Л.И., Кононов А.В., Мозговой С.И. Атрофический гастрит: проблемы обоснования морфологического диагноза (материалы к пересмотру международных классификаций – OLGA и ATROPHYCLUB). Материалы III съезда Российского общества патологоанатомов «Актуальные вопросы патологической анатомии». 2009;5-8).
- Correa P., Piazuelo M.B. The gastric precancerous cascade. J Dig Dis 2012;13(1):2-9. doi: 10.1111/j.1751-2980.2011.00550.x
- Dixon M.F., Genta R.M., Yardley J.H., Correa P. Classification and grading of gastritis. The updated Sydney System. International Workshop on the Histopathology of Gastritis, Houston 1994. Am J SurgPathol 1996 Oct;20(10):1161-81. doi: 10.1097/00000478-199610000-00001.
- Kononov A.V., Mozgovoi S.I., Shimanskaya A.G. et al. Russian revision of the classification of chronic gastritis: reproducibility of the assessment of the pathomorphological picture. Archives of pathology. 2011;4(73):52–6. Russian (Кононов А.В., Мозговой С.И., Шиманская А.Г. и др. Российский пересмотр классификации хронического гастрита: воспроизводимость оценки патоморфологической картины. Архив патологии 2011;4(73):52–6).
- Kononov A.V. Patent RU № 188389; 2019 (in Russian).
- Mills S. Histology for pathologists Fifth Edition. Philadelphia: Lippincott Williams & Wilkins; 2020. 1344 p.
- Mozgovoi S.I. Patent RU № 2711621; 2020 (in Russian).
- Nakayama C., Yamamichi N., Tomida S. et al. Transduced caudal-type homeobox (CDX) 2/CDX1 can induce growth inhibition on CDX-deficient gastric cancer by rapid intestinal differentiation. Cancer Sci 2018 Dec;109(12):3853-3864. doi: 10.1111/cas.13821
- Rugge M., Correa P., Di Mario F. et al. OLGA staging for gastritis: A tutorial. Digestive and Liver Dis-ease 2008 Aug;40(8):650–8. doi: 10.1016/j.dld.2008.02.030
- Shimanskaya AG. Morfologicheskiye metody i ekspertnyy podkhod pri verifikatsii atrofii slizistoy obolochki zheludka v biopsiynoy diagnostike atroficheskogo gastrita. Molodoy uchenyy 2012; 4:496–505. Russian (Шиманская А.Г. Морфологические методы и экспертный подход при верификации атрофии слизистой оболочки желудка в биопсийной диагностике атрофического гастрита. Молодой ученый 2012; 4:496–505).
- Zhou Y., Li H.Y., Zhang J.J. et al. Operative link on gastritis assessment stage is an appropriate predic-tor of early gastric cancer. World J Gastroenterol 2016;22(13):3670-3678. doi: 10.3748/wjg.v22.i13.3670
Supplementary files






