Peculiarities of sialoglycoprotein metabolism in rat tissues under high-calorie diet under immobilization conditions
- Авторлар: Oksuzyan A.V.1, Butolin E.G.1, Ishina E.A.1
 - 
							Мекемелер: 
							
- Izhevsk State Medical Academy
 
 - Шығарылым: Том 3, № 3 (2023)
 - Беттер: 3-16
 - Бөлім: Articles
 - URL: https://journals.eco-vector.com/2782-3024/article/view/630358
 - DOI: https://doi.org/10.61634/2782-3024-2023-11-3-16
 - ID: 630358
 
Дәйексөз келтіру
Толық мәтін
Аннотация
Purpose of the study: to compare the features of sialoglycoprotein metabolism in the liver, stomach and small intestine tissues of rats on a fructose-enriched diet under immobilization stress and without it.
Materials and Methods. Experiments were performed on 64 adult white males mongrel rats weighing 180-230 g for 90 days in vivarium conditions. The experimental animals were fed a special fructose-enriched diet, and immobilization stress was reproduced according to the method of Tigranyan R.A. (1985) for 35 days. Statistical processing of the data obtained during the experiments was carried out using nonparametric methods of evaluation, using Microsoft Excel; "Statistica 12.0" by Statsoft.
Results and Discussion.During the study, an experimental model of non-alcoholic fatty liver disease was formed, which was confirmed by histologic studies. In addition, an increase in transaminases and dyslipidemia was detected in both study series. In carbohydrate metabolism in all observation groups, an increase in insulin and C-peptide on the background of hyperglycemia was revealed. At the same time, in laboratory animals on fructose diet, under immobilization stress conditions, a high level of glucocorticoids was observed throughout the whole experiment.
Conclusion. On this basis, metabolic changes were observed in the studied tissues, directed towards the synthesis of sialoglycoproteins in the experimental animals, long-term receiving food enriched with fructose, in contrast to the rats on high-fructose diet with simultaneous immobilization, in which the decay processes in the tissues of stomach and small intestine prevailed.
Негізгі сөздер
Толық мәтін
Список сокращений:
ОСК-общие сиаловые кислоты
АЛТ-аланинаминотрансфераза
АСТ-аспартатаминотрансфераза
ТГ-триглицериды
ЛПНП-липопротеины низкой плотности
ЛПВП-липопротеины высокой плотности
ОХС-холестерин
ЩФ- щелочная фосфатаза
ИА-индекс атерогенности
СА-сиалидаза
ВВЕДЕНИЕ
На сегодняшний день является актуальной проблема питания, которое представляет собой основной элемент образа жизни, контролируемый человеком и тем самым непосредственно влияющий на его здоровье. В связи с этим, особый интерес представляют экспериментальные исследования по моделированию ожирения у животных, позволяющие понять причины развития и прогрессирования метаболических нарушений, при которых одним из осложнений является неалкогольная жировая болезнь печени. Данная нозология развивается, когда более 5% массы органа составляет жир, накапливаемый в гепатоцитах в виде триглицеридов. По литературным данным известно, что ежедневное кормление крыс пищей, содержащей высокое содержание углеводов, в частности фруктозы, способствует развитию инсулинорезистентности, нарушение толерантности к глюкозе и дислипидемии [8, 4]. В то же время, учеными изучается проблема стресса, так как интенсивность воздействия различных факторов на организм человека значительно увеличивается. При стрессогенных воздействиях в реализацию вовлекаются многие компоненты функциональной системы, обеспечивающей адаптационно-приспособительные функции организма. Нарушения всех видов обмена при неалкогольной жировой болезни печени, а также при действии различных стрессогенных факторов приводят к возникновению многих заболеваний, в том числе желудочно-кишечного тракта. На данный момент выявлена корреляция между наличием обменных заболеваний у пациентов и вероятности встречаемости у них поражений данных органов [15]. Но при этом не изучены биохимические механизмы изменений в обмене биополимеров соединительной ткани, в частности сиалогликопротеинов, в слизистой оболочке желудка и тонкой кишки, концевыми молекулами которых являются сиаловые кислоты.
ЦЕЛЬЮ ИССЛЕДОВАНИЯ явилось сравнить особенности обмена сиалогликопротеинов в тканях печени, желудка и тонкой кишки крыс, находящихся на высококалорийной диете в условиях иммобилизационного стресса и без него.
МАТЕРИАЛЫ И МЕТОДЫ
Эксперименты проведены на 64 взрослых белых беспородных крысах-самцах массой 180-230г. в течение 90 дней в условиях вивария. Подопытных животных кормили в течение 35 дней специальной фруктозообогащенной диетой, содержащей 20,7% белка (в виде казеина), 5% жира (сало), 60% углеводов (фруктоза), 8% клетчатки, 5% минеральной и 1% витаминной смеси, а в последующие дни они были переведены на стандартный рацион питания [8]. Моделирование неалкогольной жировой болезни печени оценивали по наличию одновременно 3-х факторов: стеатоза печени, дислипидемии в сыворотке крови и увеличение массы тела животного. Иммобилизационный стресс воспроизводили по методике [9, 13], которая заключалась в двухчасовой фиксации крыс на спине в течение 35 дней. Контролем явились 16 лабораторных животных, содержащиеся на обычном рационе вивария. В динамике на 21, 35, 60 и 90 сутки наблюдения их декапитировали под кратковременным эфирным наркозом. При проведении опытов соблюдали положения Хельсинской декларации о гуманном отношении к животным (одобрительная форма комитета по биомедицинской этике от 16 февраля 2010 г., аппликационный № 200). В указанные дни в сыворотке крови лабораторных крыс с помощью стандартных наборов определялись: общие сиаловые кислоты, сиалидаза, инсулин, кортикостерон, С-пептид, аланинаминотрансфераза, аспартатаминотрансфераза, триглицериды, липопротеины низкой плотности, липопротеины высокой плотности, холестерин, индекс атерогенности, а в гомогенатах печени, слизистом секрете и стенке желудка и тонкой кишки – общие сиаловые кислоты с использованием тест-системы «Сиалотест Эко сервис» и сиалидазную активность по методу И.В. Цветковой и соавт. (1968) в модификации П.Н. Шараева и соавт. (1993) [12]. Для морфологического подтверждения развития моделируемого патологического процесса выполняли гистологическое исследование печени. Статистическую обработку данных, полученных в ходе проведенных опытов, проводили с использованием непараметрических методов оценки, с использованием программ Microsoft Excel; «Statistica 12.0» фирмы Statsoft. В группах выборки оценивали следующие параметры: значения медианы, нижний и верхний квартили. Определение значимости различий полученных данных (p) в сравниваемых выборках проводили по критерию Манна-Уитни. Различия между показателями считали статистически значимыми при уровне достоверности p <0,05. Коэффициент корреляции (r) для пар вариант считали по формуле Спирмена, уровень достоверности принимали равным p <0,05.
РЕЗУЛЬТАТЫ И ОБСУЖДЕНИЯ
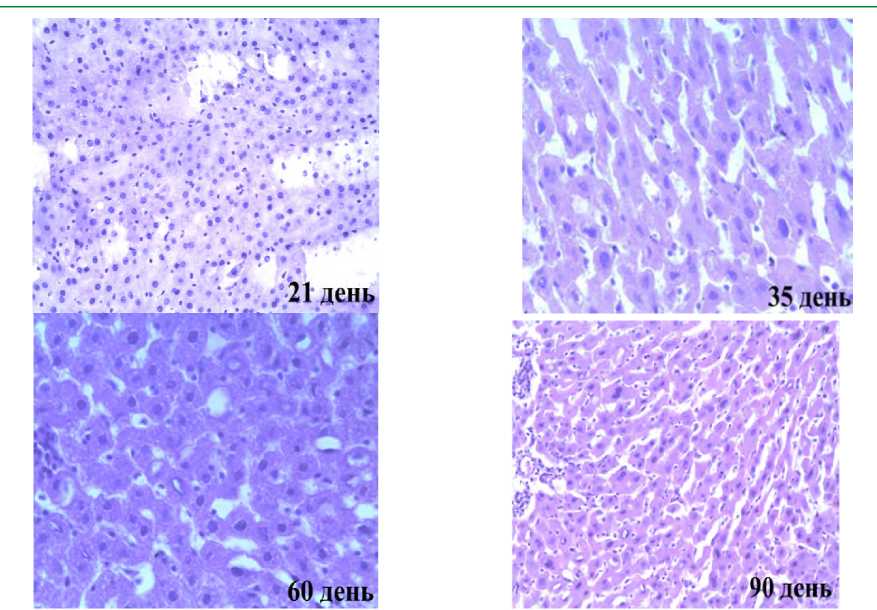
На гистологических срезах препаратов печени крыс, находящихся на фруктозообогащенной диете, выявлялись выраженная зернистость цитоплазмы, «гликогенные» ядра отдельных гепатоцитов, увеличение количества купферовских клеток с развитием жировой дистрофии и нарушением клеточной организации к 90 дню (рис. 1).
Рис.1. Морфологическая характеристика печени крыс в динамике при фруктозообогащенной диете
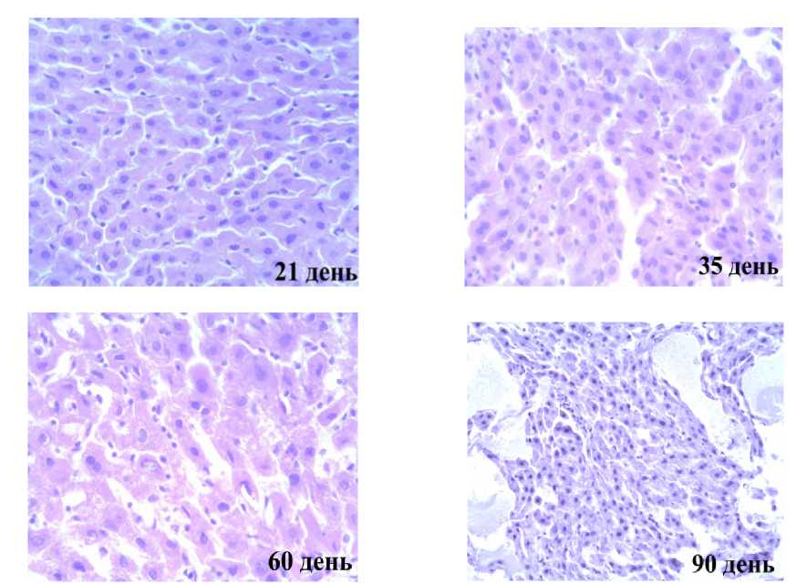
В группе наблюдения животных, находящихся на фруктозообогащенной диете в условиях иммобилизационного стресса на микропрепаратах печени наблюдались признаки дистрофии, проявляющиеся в первой половине эксперимента на 21 и 35 дни, характеризующиеся инфильтрацией жировыми каплями в строму органа, вакуолизацией отдельных гепатоцитов, а к 60 суткам появлением расширения синусоида, “гиалиновых” ядер гепатоцитов, некрозом отдельных гепатоцитов. При этом к 90 дню отмечалось разрастание фиброзной ткани (рис.2).
Рис.2. Морфологическая характеристика печени крыс, находящихся на фруктозообогащенной диете в условиях иммобилизационного стресса.
В условиях фруктозообогащенной диеты в сыворотке крови крыс визуализировался достоверный рост концентрации холестерина до 35 дня, а затем к 90 суткам наблюдения отмечалось их снижение от контроля (табл. 1).
Таблица 1. Изменение показателей липидного и углеводного спектров крови крыс на фруктозообогащенной диете
Показатели  | Контроль  | Дни опыта  | |||
21  | 35  | 60  | 90  | ||
холестерин, ммоль/л  | 0,92  | 1,31 +42,1%  | 1,39 +50,8%  | 1,42 +54,3%  | 0,78 -15%  | 
липопротеины низкой плотности, ммоль/л  | 0,7  | 0,46 -34,5%  | 0,40 -42,7%  | 0,58 -17,9%  | 0,17 -76,4%  | 
липопротеины высокой плотности, ммоль/л  | 0,51  | 0,65 +28%  | 0,75 +49%  | 0,62 +21,8%  | 0,43 -15,3%  | 
триглицериды, ммоль/л 
  | 0,43  | 0,46 +6,6%  | 0,47 +8,7%  | 0,51 +17,3%  | 0,42 -1,7%  | 
глюкоза, ммоль/л  | 5,2  | 7,67 +45,7%  | 8,7 +65,2%  | 7,99 +51,9%  | 6,7 +27,5%  | 
инсулин, мМе/л  | 1,9  | 2,7 +42,1%  | 2,4 +26,3%  | 6,56 +246,3%  | 3,65 +92,1%  | 
C-пептид, пмоль/л  | 1396.15 [940.4;1681.5]  | 2171.5 [2156; 2198]* +55,5%  | 1952,65 +39,9%  | 2128,37 [2016; 2254]* +52,4%  | 2160,1 [2017; 2362]* +54,7%  | 
Примечание: достоверность различий между опытом и контролем:* - р <0,05.
Показатель липопротеинов низкой плотности уменьшался в динамике наблюдения с достоверными значениями на 21, 35 и 90 сутки диеты. Одновременно с этим, статистически выраженные изменения липопротеинов высокой плотности выявлялись на 35 день эксперимента и снижение к 90 дню от контроля, а на 60 день выявилась сильная положительная корреляционная взаимосвязь между вышеуказанными показателями (r=0,8; p=0,017).
Рис.3. Динамика индекса атерогенности крови крыс в условиях фруктозообогащенной диеты на протяжении эксперимента.
Результаты опытов с высокофруктозной диетой показали, что индекс атерогенности у опытных крыс (ИА= (усл. ед.) = (ОХС – ЛПВП) / ЛПВП) увеличивался на протяжении всего эксперимента, но при этом наблюдался достоверный рост ЛПНП на 35 сутки, а концентрация триглицеридов при этом приближалась к контрольным значениям (рис.3; табл.1). На протяжении всего эксперимента уровень глюкозы достоверно был выше значений интактных животных. При этом наибольший показатель гормона инсулина был зафиксирован на 35 день диеты. Одновременно количество С-пептида было выше уровня значений интактных грызунов (табл.1).
В условиях фруктозообогащенной диеты у крыс, подверженных иммобилизационному стрессу, в сыворотке крови наблюдается достоверный рост концентрации холестерина до 60 дня, а затем к 90 суткам наблюдения приближение данного значения к контролю. Показатель липопротеинов низкой плотности достоверно уменьшался на протяжении всей динамики опыта. Статистически значимые изменения липопротеинов высокой плотности отмечались на 35 и 90 дни эксперимента, при этом на 35 день - максимальное повышение относительно контроля и снижение на 90 день, оставаясь выше контрольных значений. При этом концентрация триглицеридов сначала снижалась к 21 дню и в этот срок положительно сильно коррелировала с уровнем холестерина сыворотки крови (r=0,8; p=0,017), а затем к концу опыта - 90 суткам возросла (табл.2). В ходе эксперимента над животными, находящимися на фруктозном питании и подверженных иммобилизации было выявлено, что индекс атерогенности у опытных крыс увеличивался на протяжении всего эксперимента с максимальным значением на 60 день (талб.2; рис. 4). Одновременно с этим, в течение всего эксперимента наблюдался устойчивый рост глюкозы в сыворотке крови лабораторных крыс с преобладанием на 35 сутки. Кроме этого, уровень инсулина и С-пептида имели тенденцию к росту к 21 дню опытов (табл.2)
Таблица 2. Изменение показателей липидного и углеводного спектра крови крыс на фруктозообогащенной диете и в условиях иммобилизационного стресса.
Показатели  | Контроль  | Дни опыта  | |||
21  | 35  | 60  | 90  | ||
холестерин, ммоль/л  | 0,92  | 1,03 +12,7%  | 1,38 +50,8%  | 1,26 +36,95%  | 1,01 +10,7%  | 
липопротеины высокой плотности, ммоль/л  | 0,51  | 0,55 +9,4%  | 0,75 +49%  | 0,56 +10,4%  | 0,58 +15,6%  | 
липопротеины низкой плотности, ммоль/л  | 0,7  | 0,33 -53,2%  | 0,42 -40%  | 0,5 -29 %  | 0,15 -79,3%  | 
триглицериды, ммоль/л  | 0,43  | 0,36 -16,7%  | 0,47 +8,6%  | 0,46 +5,2%  | 0,63 +46,5%  | 
глюкоза, ммоль/л  | 5,2  | 6,9 +13,1%  | 8,32 +59,2%  | 7,41 +40,7%  | 6,72 +27,5%  | 
инсулин, мМе/л  | 1,8  | 3,25 +83,3%  | 4,8 +766%  | 15,6 +172,2%  | 3,9 +116,6%  | 
C-пептид, пмоль/л  | 994  | 3095,6 [2349; 4338]* +211,4%  | 2544,8 [1925; 3180]* +156,1%  | 1374,275 +38,3%  | 1141,3 +14,8%  | 
Примечание: достоверность различий между опытом и контролем:* - р <0,05.
Исходя из вышеописанного, у экспериментальных животных, находящихся на диете с высоким содержанием фруктозы, отмечались признаки ожирения с морфологически подтвержденным неалкогольным стеатогепатитом, что согласуется с результатами исследований многих авторов по распространенности клинических форм неалкогольной жировой болезни печени при ожирении [3]. Кроме того, в сыворотке крови животных опытной группы увеличивалась концентрация общего холестерина, триглицеридов по сравнению с контрольной группой, однако различия не достигали статистической значимости по уровню триглицеридов. Во многих исследованиях при кормлении лабораторных крыс фруктозой уже через четыре недели наблюдался рост концентрации триглицеридов. При этом повышение массы тела у них не визуализировалось ни через четыре недели, ни в более поздние сроки. Фруктоза в отличие от глюкозы не вызывает секреции инсулина из панкреатических β-клеток, возможно, из-за отсутствия переносчика для фруктозы (GLUT5) в β-клетках. Она не стимулирует секреции лептина, однако имеет возможность активировать липогенез в печени [2]. В нашем исследовании уровень глюкозы в сыворотке крови лабораторных животных имел тенденцию к росту с одновременным повышением инсулина и С-пептида в течение всей динамики наблюдения с максимальными значениями во второй половине. Более высокие концентрации глюкозы у крыс могут быть обусловлены образованием ее из фруктозы за счет глюконеогенеза, а также развитием инсулинорезистентности. Включение фруктозы в метаболизм через фруктозо-1-фосфат минует стадию, катализируемую фосфофруктокиназой, которая является пунктом метаболического контроля скорости катаболизма глюкозы [6]. Этим обстоятельством можно объяснить, почему увеличение количества фруктозы ускоряет в печени процессы, ведущие к синтезу жирных кислот, а также их этерификацию с образованием триглицеридов [10]. В ходе ее метаболизма происходит бесконтрольное накопление двух- и трехуглеродных молекул, которые используются в процессе липогенеза [11].
Рис.4. Динамика индекса атерогенности (ИА) крови крыс в условиях фруктозообогащенной диеты и иммобилизационного стресса на протяжении эксперимента.
Динамика трансаминаз в сыворотке крови животных, находящихся на фруктозообогащенной диете визуализировала циркадный рост АСТ до 90 дня с максимумом на 35 день, соответственно на 52,1%, (p=0,013), тогда как показатель АЛТ имел тенденцию на протяжении эксперимента достоверно сохраняться ниже значения интактных животных, наиболее выраженно на 90 сутки, а именно на 45,4% (p=0,0008). Между АЛТ и АСТ на 35 день выявлена сильная прямая корреляция (r=0,9; p=0,0009). Однако отмечался рост ЩФ с максимумами на 21 и 90 дни, а именно на 61,6% (p=0,0008) и 64,4% (p=0,0008). При этом показатель гамма-глутамилтранспептидазы значимо увеличивался только на 35 и 60 сутки, соответственно на 20% (p=0,0009) и на 14,7% (p=0,004) от контроля. Между анализируемыми показателями гамма-глутамилтранспептидазы и АСТ выявлена сильная отрицательная корреляция на 90 день (r=-0,9; p=0,002). Концентрация кортикостерона в крови крыс, находящихся на фруктозной диете, была близка к значениям контрольных животных.
Показатели трансаминаз в сыворотке крови крыс, находящихся на фруктозообогащенной диете в условиях иммобилизационного стресса, отмечали максимальное увеличение АСТ на 21 сутки на 142,9% (p=0,0009) от значений интактных животных, тогда как показатель АЛТ изменялся фазно: до 35 дня снижался на 55,2% (p=0,0009), на 60 сутки вновь возрастал на 22,3% (p=0,013) от значения контроля и вновь к 90 суткам уменьшался на 23,6% (p=0,0009). Однако отмечалось достоверное повышение ЩФ на протяжении всего эксперимента с максимумами на 35 и 60 дни опыта, а именно на 89,7% (p=0,0009) и 82,8% (p=0,0009), соответственно от контроля. Анализируемые показатели ЩФ, АЛТ и АСТ установили корреляционные зависимости: на 21 день (r=0,8; p=0,017) (между ЩФ и АЛТ) - сильная прямая связь, а также на 21 и 35 сутки (r=0,8; p=0,017) (между ЩФ и АСТ) – сильная положительная корреляция и на 60 сутки (r= -0,8; p=0,017) – обратно пропорциональная зависимость. При этом значение гамма-глутамилтранспептидазы значимо возрастало на 35 сутки на 28,7% (p=0,0009) от значения интактных крыс и сильно коррелировало с ЩФ: отрицательно - на 21 сутки (r= -0,8; p=0,017) и положительно на 60 день (r=0,8; p=0,017). Концентрация кортикостерона в крови крыс, находящихся на фруктозной диете, была близка к значениям контрольной группы, с достоверным значением только на 35 день и составила 382,9 нмоль/л, что 22,6% (p= 0,008) выше контроля.
Таким образом, рост АСТ в группе опытных крыс, получавших фруктозообогащенную диету, является маркером повреждения, при этом уменьшение АЛТ может быть связано, с тем, что фермент АЛТ более специфичен для печени, в сравнении с АСТ, так как последний может быть обнаружен в скелетной и сердечной мышцах, эритроцитах и других тканях. Например, в своих исследованиях Д.И. Гавриленко (2017) показал, что, активность ACT в эритроцитах примерно в 15 раз выше, чем в сыворотке крови, поэтому внутрисосудистый гемолиз эритроцитов вызывает повышение активности ACT. Вследствие чего, непропорциональное или изолированное повышение АСТ может быть причиной повреждение скелетной или сердечной мышцы [5].
Рис.5. Изменение содержания общих сиаловых кислот (ОСК) и сиалидазной активности (СА) в сыворотке крови и в печени крыс на фруктозообогащенной диете (достоверность различий между опытом и контролем:* - р <0,05).
В сыворотке крови лабораторных животных показатели ОСК были выше значения контроля на протяжении всей динамики опытов с максимумами на 21 и 90 дни, соответственно на 84,7% (р=0,0008) и 83,8% (р=0,0008) с параллельным ростом уровня СА до 60 дня с преобладанием на 35 сутки на 120% (р=0,0008) от контрольных значений. В гомогенатах печени метаболизм сиалогликопротеинов (СГП) изменялся фазно: выраженный рост на 21 день – на 1367% (р=0,0008), а затем снижение на 35 день – на 20,2% (р=0,0383), повышение на 60 сутки – на 42,4% (р=0,0035), и вновь уменьшение на 90 сутки на 76,3% (р=0,0008) от контроля. Активность сиалидазных ферментов статистически значимо понижалась на 35 и 90 дни, соответственно на 60,2% (р=0,0033) и 51,1% (р=0,0067) от значения контрольных животных (рис.5). В слизистых наложениях желудка лабораторных крыс количество сиаловых кислот постепенно возрастала и к 60 дню значение составило 15,8 ммоль/кг сырой ткани, что выше на 128,3% (р=0,0007) по отношению к контролю.
При этом активность сиалидазных ферментов была достоверно низкой к 90 дню наблюдения в сравнении с показателем интактных грызунов и к этому дню проанализирована обратная корреляционная связь (r= -0,8; p=0,017). В стенке желудка лабораторных крыс отмечался выраженный рост на 2219% (р=0,0007) на 21 день, а затем резкое их снижение с приближением к контрольным значениям. Динамика изменения количества сиалидазы имела скачкообразный характер: резко снижалась к 35 дню – на 25,2% (р=0,0006), затем повышалась к 60 суткам и вновь достоверно уменьшалась к 90 дню – на 37,4% (р=0,0006) от контроля. В слизи тонкой кишки опытных животных, находящихся на фруктозообогащенной диете, содержание сиаловых кислот максимально возрастало на 60 день - на 459,9% (р=0,0008), а уровень сиалидазы статистически значимо уменьшался с 21 дня до конца срока наблюдения с максимумом снижения на 35 день опыта от значения интактных животных, соответственно на 64,1% (р=0,0007). В интестинальной стенке крыс визуализировалось резкое повышение уровня ОСК на 21 день, а именно на 2199% (р=0,0008) от значения группы сравнения, затем значительное его снижение, но при этом изучаемый показатель оставался выше контроля на 95,7%. (p=0,0008), а в остальные дни достоверных изменений не отмечалось. При этом активность сиалидазных энзимов в стенке тонкой кишки крыс значимо не изменялось, но данный показатель отрицательно коррелировал с ОСК на 60 сутки (r= -0,8; p=0,017).
Таким образом, в сыворотке крови опытных животных, находящихся на фруктозообогащенной диете, отмечалось преобладание процессов десиалирования, что подтверждается ростом общих сиаловых кислот и сиалидазной активности, при этом в гомогенатах печени, наоборот выявлялся анаболизм изучаемых биополимеров соединительной ткани. Как известно, повышение сиаловых кислот, в сравнении с С-реактивным белком, более специфично для метаболического синдрома, независимо от индекса массы тела. При этом экспериментально изучена способность гликопротеинов в зоне воспаления внесосудисто связываться с молекулами тропоколлагена и способствовать тем самым фибриллогенезу на более поздних стадиях гепатостеатоза [14]. В тканях желудка и тонкой кишки доминировали процессы синтеза и накопления сиалогликопротеинов, что может быть связано с ростом инсулина в сыворотке крови лабораторных крыс и возможным ингибированием всех процессов переваривания на фоне воспалительно-дистрофических изменений слизистой оболочки желудка и тонкой кишки, компенсируемая конъюгацией моносахаров, а также вероятного преобладания гипокинетической интестинальной дискинезии тонкой кишки со снижением эвакуации и формированием дуоденостаза и гастро-дуоденального рефлюкса [7, 16].
Уровень сиаловых кислот в сыворотке крови лабораторных животных возрастал в течение всей динамики высокофруктозной диеты на фоне иммобилизации с преобладанием на 21 день на 68,6% (р=0,0008) от контроля. При этом активность сиалоразрущающих ферментов была также выше показателя интактных грызунов до конца срока наблюдения с наибольшим показателем на 35 сутки, что на 94% (р=0,013) больше контроля. Содержание ОСК в гомогенатах печени лабораторных животных сохранялось на протяжении всего эксперимента достоверно ниже контрольных значений с наибольшим уменьшением на 35 и 90 сутки, соответственно на 25,1% (р=0,0017) и 29,5% (р=0,013). Одновременно с этим, показатель СА значимо снижался только на 35 день на 51,1% (р=0,012) от контроля, а в остальные дни практически не изменялся. В слизи желудка лабораторных крыс количество общих сиаловых кислот возрастала и к 60 суткам была на 1847,7% (р=0,0008) выше по отношению к контрольным значениям. Одновременно с этим, повышался уровень сиалидазы с достоверным максимумом к вышеуказанному сроку на 40% (р=0,0008) от показателей интактных крыс, а также выявлена обратная сильная корреляционная связь между вышеописанными показателями на 35 день (r=-0,8; p=0,017) (рис.6).
Рис.6. Изменение содержания общих сиаловых кислот и сиалидазной активности в сыворотке крови и в печени крыс на фруктозообогащенной диете в условиях иммобилизационного стресса (достоверность различий между опытом и контролем:* - р <0,05).
При этом в стенке желудка отмечался выраженный рост ОСК до 61 ммоль/кг сырой ткани, что составляет на 1488,2% (р=0,0006) от значений опытных животных, а активность сиалидазных энзимов была значимо ниже контроля на 35 сутки на 42% (р=0,0009). Кроме этого, в исследуемой ткани между ОСК и СА наблюдалась отрицательная корреляция на 21 день (r=-0,8; p=0,017). В слизистом секрете тонкой кишки лабораторных крыс содержание общих сиаловых кислот в первой половине фруктозообогащенной диеты на фоне иммобилизационного стресса снижалось к 21 дню на 34% (р=0,037), а затем максимально возрастало к 60 суткам на 48,7% (р=0,0008) от показателя контрольных грызунов, а значение фермента сиалидазы достоверно уменьшалось к концу срока наблюдения с выраженной активностью на 60 день опыта от контрольных значений, соответственно на 37,1% (р=0,01). В стенке тонкой кишки лабораторных крыс отмечался значимый рост ОСК на 35, 60, 90 сутки, соответственно на 786,2% (р=0,0008), 1326% (р=0,0008) и 1225% (р=0,0008) от показателя группы сравнения. Одновременно уровень СА значимо возрастал только на 21 день на 40,8% (р=0,03) от контроля (рис.6).
Исходя из вышеописанного, можно сделать вывод о том, что в сыворотке крови и гомогенатах печени лабораторных крыс, находящихся на фруктозообогащенной диете в условиях иммобилизационного стресса преобладали процессы катаболизма сиалогликопротеинов. В изучаемых тканях желудка они были более выражены по сравнению исследуемыми гомогенатами тонкой кишки. Вышеуказанные изменения подтверждаются полученными ранее данными о частоте поражений слизистой оболочки желудка и двенадцатиперстной кишки, ассоциированных с Helicobacter Pylori, у больных с метаболическими нарушениями на фоне иммобилизационного стресса индуцирующего выброс глюкокортикоидов достоверно выше по сравнению с обследуемыми, не имеющими нарушений в углеводном обмене [17, 18, 19].
ЗАКЛЮЧЕНИЕ
Таким образом, в обмене сиалогликопротеинов в тканях желудочно-кишечного тракта лабораторных животных находящихся на фруктозообогащенной диете формирующийся стеатогепатит подтверждается изменением в липидном спектре и гистологическим исследованиями, отмечались процессы десиалирования, вызванные возможной воспалительной реакцией желудка и тонкой кишки на фоне ожирения. При этом в тканях желудка процессы более выражены, чем в тонкой кишке за счет агрессивной среды, а в гомогенатах печени наоборот преобладали процессы анаболизма. При экспериментальной модели неалкогольной жировой болезни печени в условиях иммобилизационного стресса наблюдается активация катаболических реакций во всех исследуемых тканях за счет возможного выброса глюкокортикоидов индуцированного стрессом.
Авторлар туралы
A. Oksuzyan
Izhevsk State Medical Academy
							Хат алмасуға жауапты Автор.
							Email: Artur30st@mail.ru
				                	ORCID iD: 0000-0002-5901-615X
				                																			                								
кандидат медицинских наук, доцент, доцент кафедры медицины катастроф и безопасности жизнедеятельности
Ресей, IzhevskE. Butolin
Izhevsk State Medical Academy
														Email: Artur30st@mail.ru
				                	ORCID iD: 0000-0002-3312-4689
				                																			                								
доктор медицинских наук, профессор, заведующий кафедрой клинической биохимии и лабораторной диагностики ФПК и лабораторной диагностики
Ресей, IzhevskE. Ishina
Izhevsk State Medical Academy
														Email: Artur30st@mail.ru
				                	ORCID iD: 0000-0003-1769-8655
				                																			                								
студентка 4 курса лечебного факультета
Ресей, IzhevskӘдебиет тізімі
- Ackerman Z., Oron-Herman M., Grozovski M., Rosenthal T., Pappo O., Link G., Sela B. Fructose-induced fatty liver disease: hepatic effects of blood pressure and plasma triglyceride reduction. Hypertension. 2005; 45(5):1012-8 doi: 10.1161/01.HYP.0000164570.20420.67.
 - Bray, G. A. Consumption of high-fructose corn syrup in beverages may play a role in the epidemic of obesity. The American Journal of Clinical Nutrition. 2004; 79(4): 537–543. doi: 10.1093/ajcn/79.4.537.
 - D´Angelo G., Elmarakby A.A., Pollock D. M., Stepp D. W. Fructose Feeding Increases Insulin Resistance but Not Blood Pressure in Sprague – Dawley Rats. Hypertension. 2005; 46(4): 806-811. doi: 10.1161/01.HYP.0000182697.39687.34.
 - Gajda A. M., Pellizzon M. A., Ricci M. R., Ulman E. A. Diet-induced metabolic syndrome in rodent models. Reprinted with permission from animal LABNEWS. 2007; P. 775–793. doi: 10.1007/978-1-62703-095-3_21.
 - Gavrilenko D.I., Gavrilenko T.E. Features of the interpretation of some liver tests - Gomel, 2017 – 26. Russian. Гавриленко Д.И., Гавриленко Т.Е. Особенности интерпретации некоторых печеночных тестов – Гомель, 2017 – 26.
 - Gileva O.G., Butolin E.G., Tereshchenko M.V., Oksuzyan A.V. Effect of high-fructose diet on serum fibronectin levels in rats. Nutrition issues. 2020.89 (2): 46-51. Russian. Гилева О.Г., Бутолин Е.Г., Терещенко М.В., Оксузян А.В. Влияние высокофруктозной диеты на уровень фибронектина в сыворотке крови крыс. Вопросы питания. 2020. 89(2): 46-51.
 - Lelevich V. V., Sheibak V. M., Petushok N. E. Biochemistry of pathological processes. - Grodno: GRSMU, 2016. - 136 p. Russian. Лелевич В. В., Шейбак В. М., Петушок Н. Э. Биохимия патологических процессов. – Гродно: ГрГМУ, 2016. – 136 с.
 - Leshchenko D.V., Kostyuk N.V., Belyakova M.B., Egorova E.N., Minyaev M.V., Petrova M.B. Diet-induced animal models of metabolic syndrome.. Verkhnevolzhskiy meditsinskiy zhurnal. 2015; 14 (2): 34-39. Russian. Лещенко Д.В., Костюк Н.В., Белякова М.Б., Егорова Е.Н., Миняев М.В., Петрова М.Б. Диетически индуцированные животные модели метаболического синдрома. Верхневолжский медицинский журнал. 2015; 14 (2): 34-39.
 - Oksuzyan A.V. The effect of dalargin on the metabolism of sialoglycoproteins in the stomach tissues of rats with different resistance to stress during prolonged immobilization. Postgraduate Bulletin of the Volga Region. 2011; 11 (1-2): 199-201. Russian. Оксузян А.В. Влияние даларгина на обмен сиалогликопротеинов в тканях желудка крыс с различной устойчивостью к стрессу при длительной иммобилизации. Аспирантский вестник Поволжья. 2011; 11(1-2): 199-201. doi: 10.17816/2072-2354.2011.0.1-2.199-201
 - Reshetnyak M.V., Khirmanov V.N., Zybina N.N., Frolova M. Y., Sakuta G. A., Kudryavtsev B. N. Fructose-fed model of the metabolic syndrome: pathogenetic relationships between metabolic disorders. Medical academic journal. 2011; 11(3): 23–27. Russian. Решетняк М. В., Хирманов В. Н., Зыбина Н. Н., Фролова М. Ю., Сакута Г. А., Кудрявцев Б. Н. Модель метаболического синдрома, вызванная кормлением фруктозой: патогенетические взаимосвязи обменных нарушений. Медицинский академический журнал. 2011; 11(3): 23–27.
 - Rutledge A.C., Adeli K. Fructose and the metabolic syndrome: pathophysiology and molecular mechanisms. Nutrition Reviews. 2007; 65(6): 13–23. doi: 10.1111/j.1753-4887.2007.tb00322.x.
 - Sharaev PN Determination of free and bound forms of sialic acids in biological objects. Laboratory Science, 1993; 4: 44-46. Russian. Шараев П. Н. Определение свободной и связанных форм сиаловых кислот в биологических объектах. Лабораторное дело. 1993; 4: 44—46.
 - Tigranyan R.A. Metabolic aspects of the problem of stress in space flight. Space biology problems. - M.: Nauka, 1985; 52: 223. Russian. Тигранян Р.А. Метаболические аспекты проблемы стресса в космическом полете. Проблемы космической биологии. - М.: Наука, 1985; 52: 223.
 - Vakhrushev Ya.M., Lyapina M.V. Study of the role of the small intestine in the development of metabolic syndrome. Therapeutic archive. 2012; 12: 62-65. Russian. Вахрушев Я.М., Ляпина М.В. Изучение роли тонкой кишки в развитии метаболического синдрома. Терапевтический архив. 2012; 12: 62-65.
 - Zolotova N.A., Makarova O.V. The barrier role of colon mucins in normal conditions and in ulcerative colitis // Clinical and experimental morphology. - 2016. - №3 (19). - S. 69-74. Russian. Золотова Н.А., Макарова О.В. Барьерная роль муцинов толстой кишки в норме и при язвенном колите // Клиническая и экспериментальная морфология. – 2016.– №3(19).–С.69-74.
 - Oksuzyan A.V., Gomoyunova A.A., Maksimov I.E. Features of the exchange of sialoglycoproteins in the tissues of the liver, stomach and small intestine in experimental models of non-alcoholic fatty and alcoholic liver diseases. Biomedical journal Medline.ru. 2020; 21 (33): 405-413. Russian. Оксузян А.В., Гомоюнова А.А., Максимов И.Е. Особенности обмена сиалогликопротеинов в тканях печени, желудка и тонкой кишки в условиях экспериментальных моделей неалкогольной жировой и алкогольной болезней печени. Биомедицинский журнал Медлайн.ру. 2020; 21(33): 405-413.
 - Oksuzyan A.V., Maksimov I.E., Koltsov V.A. Metabolism of sialoglycoproteins in the tissues of the small intestine of rats with different resistance to stress upon administration of dalargin under conditions of experimental diabetes mellitus. Modern problems of science and education. 2019; №1: 24-24. Russian. Оксузян А.В., Максимов И.Е., Кольцов В.А. Обмен сиалогликопротеинов в тканях тонкой кишки крыс с различной устойчивостью к стрессу при введении даларгина в условиях экспериментального сахарного диабета. Современные проблемы науки и образования. 2019; №1: 24-24.
 - Protasova S.V., Butolin E., Oksuzyan A.V. Metabolism of carbohydrate-containing biopolymers in the liver and gastric mucosa in experimental diabetes in rats with different resistance to stress. Diabetes. 2010; 13 (1): 10-12. Russian. Протасова С.В., Бутолин Е., Оксузян А.В. Обмен углеводсодержащих биополимеров в печени и слизистой желудка при экспериментальном диабете у крыс с различной устойчивостью к стрессу. Сахарный диабет. 2010;13(1):10-12.
 - Shkatova E.Yu., Vakhrushev Ya.M., Korobeynikova E.R, Bessonov A.G Pichugin., L.V. Modern aspects of therapy of patients with gastroduodenal erosive and ulcerative lesions. Remedium Volga Region. 2014; 9: 17-25. Russian. Шкатова Е.Ю., Вахрушев Я.М., Коробейникова Е.Р., Бессонов А.Г., Пичугина Л.В.. Современные аспекты терапии больных гастродуоденальными эрозивно-язвенными поражениями. Ремедиум Приволжье. 2014; 9:17-25.
 
Қосымша файлдар
				
			
						
						
						
						
					








