Method of obtaining purified SARS-CoV-2 antigen for structural and immunological studies in whole-virion vaccines against coronavirus infection
- Authors: Zyrina A.N.1, Tselykh I.O.1, Bogdan A.S.1,2, Kovpak A.1, Ivin Y.Y.1, Vasilenko V.E.1, Piniaeva A.N.1, Shishova А.A.1,3
-
Affiliations:
- Chumakov Federal Scientific Center for Research and Development of Immune-and-Biological Products of Russian Academy of Sciences
- MIREA — Russian Technological University
- Sechenov First Moscow State Medical Univesity
- Issue: Vol 22, No 2 (2022)
- Pages: 183-189
- Section: Conference proceedings
- Published: 06.11.2022
- URL: https://journals.eco-vector.com/MAJ/article/view/108681
- DOI: https://doi.org/10.17816/MAJ108681
- ID: 108681
Cite item
Abstract
BACKGROUND: Despite the large-scale development of vaccines against coronavirus infection, there is still no complete information about the antigenic structure of the SARS-CoV-2 virus particles. This article describes a method of obtaining a pure concentrated whole-virion sample that can be used in various studies.
AIM: The goal is to develop an optimal method of purification of the inactivated SARS-CoV-2 virus in order to obtain a standard with parameters of purity and antigen content sufficient for structural and immunological studies.
MATERIALS AND METHODS: To obtain a pure concentrated virus SARS-CoV-2 we used the sucrose density gradient ultracentrifugation. Fractions with the highest content of viral particles were evaluated based on the concentration of nucleocapsid N and glycoprotein S. The purity of the pooled fractions (the purified sample) was evaluated by the presence of impurity proteins, toxins and bovine serum albumin.
RESULTS: The optimal conditions for obtaining the inactivated purified SARS-CoV-2 whole virus were determined. A standard sample of the inactivated SARS-CoV-2 virus was isolated and characterized.
CONCLUSIONS: The obtained standard sample can be used in enzyme immunoassay to measure the amount of antigen in whole-virion vaccines against coronavirus infection, as well as in various structural studies of SARS-CoV-2 virus particle.
Full Text
Список сокращений
БСА — бычий сывороточный альбумин; ИФА — иммуноферментный анализ.
Обоснование
После объявления Всемирной организацией здравоохранения пандемии коронавирусной инфекции в марте 2020 г. началась активная разработка вакцин и методов мониторинга их эффективности. Один из параметров оценки качества вакцины — определение уровня антигена, вызывающего образование нейтрализующих антител. В настоящее время наиболее широко распространен метод иммуноферментного анализа (тест-система ИФА) для измерения количества антигена в образце [1, 2]. Содержание антигена измеряют относительно эталонного стандарта с известными защитными свойствами и параметрами чистоты. Для тест-системы ИФА необходимы специфичные к вирусу антитела, полученные иммунизацией животных стандартом. Таким образом, для определения количества антигена методом ИФА, например в цельновирионных антиковидных вакцинах, требуется стандарт: чистый препарат, содержащий целевой вирус SARS-CoV-2. Известно большое число методов очистки и концентрирования вирусного материала: адсорбция на эритроцитах; осаждение на сахарозную подушку; хроматографическая очистка; ультрацентрифугирование в градиенте плотности сахарозы, хлорида цезия или йодиксанола; тангенциальная поточная фильтрация; водная двухфазная экстракция; диализ и др. [3]. У каждого метода имеются свои достоинства и недостатки.
Цель исследования — разработать оптимальную методику очистки инактивированного вируса SARS-CoV-2 для получения стандарта, отвечающего необходимым требованиям по чистоте и содержанию антигена.
Материалы и методы
Инактивированный антиген SARS-CoV-2 выделяли из вирусного концентрата, обработанного бета-пропиолактоном. Вирусный концентрат получали путем наработки SARS-CoV-2 штамма AYDAR-1 (GISAID EPI_ISL_428851) в культуре клеток Vero в питательной среде Игла МЕМ с добавлением 5 % эмбриональной телячьей сыворотки, главный компонент которой — бычий сывороточный альбумин (БСА). Подробный протокол получения концентрата описан ранее [4]. Для получения грубой фракции концентрат очищали от клеточного дебриса центрифугированием на скорости 76 618 g 4 ч при температуре 4 °C. Полученный осадок растворяли в 3 мл фосфатно-солевого буфера. Готовили заранее в центрифужных пробирках сахарозный градиент из 10 и 50 % сахарозы: аккуратно в центрифужную пробирку по стенке вносили 6 мл 50 % сахарозы, сверху — 6 мл 10 % сахарозы, и оставляли на ночь при 4 °C для уравновешивания. Затем вирусную суспензию в объеме 500 мкл наслаивали поверх сахарозного градиента и проводили разделение вируса и субклеточных частиц методом ультрацентрифугирования в течение 5 ч на скорости 129 080 g при температуре 4 °C. В результате в пробирке визуально детектировали бэнд с размытыми краями, содержащий коронавирусные частицы. Отбирали фракции по 1 мл путем прокалывания дна пробирки иглой от шприца.
Собранные фракции анализировали на содержание в них целевого N-белка и БСА методом электрофореза в полиакриламидном геле в редуцирующих условиях. Количественную оценку бэндов белков на геле осуществляли с помощью программы imageJ (версия 1.53k, см. https://imagej.nih.gov/ij, США).
Наличие вирусных N- и S-белков во фракциях проверяли методом вестерн-блота. Перенос белков с полиакриамидного геля на нитроцеллюлозную мембрану (Bio-Rad, США) проводили в камере Bio-Rad (90 В, 300 mA, 60 мин). Для блокировки неспецифических сайтов связывания мембрану инкубировали 1 ч в 5 % растворе сухого молока. Далее выдерживали 1 ч с первичными антителами [поликлональные антитела, полученные путем иммунизации кроликов в два этапа коммерческим N-белком или S-белком (abcam, США) с адъювантом Фрейнда], в разведении 1 : 500. Затем инкубировали 1 ч со вторичными моноклональными антикроличьими антителами, конъюгированными с пероксидазой хрена, в разведении 1 : 2500 (Sigma, США). Проявление мембраны проводили с использованием набора реактивов Clarity™ Western ECL (Bio-Rad, США).
На следующем этапе объединяли фракции с наибольшим содержанием вирусных белков и наименьшим — БСА, проводили очистку от сахарозы на центрифужных ультрафильтрах Амикон 50 к Да (Millipore, США) при условиях центрифугирования: 40 мин на скорости 1811 g при температуре 4 °C.
Полученный стандарт анализировали на содержание БСА и целевого белка (вирусного нуклеокапсида N) методом электрофореза в полиакриламидном геле в редуцирующих условиях с нанесением стандартных образцов БСА в различных концентрациях (10, 5, 2,5 мкг/мл) для построения калибровочной кривой. Полученные результаты подсчитывали в программе GeneTools (Syngene, США).
Содержание бактериальных эндотоксинов проверяли с помощью гель-тромб-теста ЛАЛ (ООО НПО «ЛАЛ-Центр», Россия и Charles River Endosafe, США) согласно инструкции производителя [5], с некоторыми модификациями. Для калибровки контрольный стандарт эндотоксина разводили в 10 раз, затем проводили серию последовательных разведений эндотоксина в 2 раза до концентраций 0,015, 0,008, 0,004 и 0,002 ЕЭ/мл. Далее выполняли серию из 5 последовательных разведений очищенного стандарта SARS-CoV-2 в 128 раз. После проведения теста, согласно инструкции производителя, детектировали, при каком разведении калибровки и стандарта SARS-CoV-2 образуется плотный гель, и определяли содержание эндотоксинов, перемножая значения разведений.
Результаты
Получение фракций, содержащих вирусные частицы
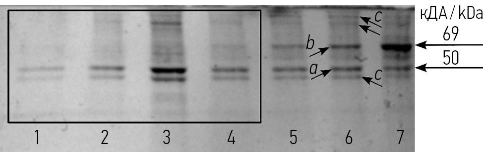
После проведения всех этапов центрифугирования отбирали фракции с наибольшим содержанием вирусных частиц, которое оценивали по количеству N-белка во фракциях. Этот белок — мажорный в составе вируса SARS-CoV-2 [6], поэтому по его количеству можно судить о концентрации целевого вируса. Методом электрофореза в полиакриламидном геле в редуцирующих условиях визуализировали фракции (рис. 1), затем с помощью программы imageJ количественно оценивали бэнды на геле и выбирали фракции с наибольшим количеством вирусного мажорного N-белка (молекулярная масса 50 кДа) и с наименьшим количеством БСА (молекулярная масса 69 кДа) (рис. 2). Необходимость очистки стандартного вирусного образца от БСА объясняется тем, что при иммунизации животных данным стандартом образовывались бы антитела не только на вирусный стандарт SARS-CoV-2, но и на БСА, что искажало бы результаты в тест-системах ИФА для оценки содержания вирусного антигена в цельновирионных вакцинах. Кроме того, для вакцинных препаратов существуют требования по содержанию БСА [7].
Рис. 1. Пример полиакриламидного геля. Номерами отмечены фракции, собранные после ультрацентрифугирования. Фракции с наибольшей степенью чистоты от БСА и с наибольшим содержанием целевого N-белка выделены рамкой. Стрелками указаны полосы: a — N-белка; b — БСА; c — примесных белков. БСА — бычий сывороточный альбумин
Fig. 1. An example of polyacrylamide gel. Fractions collected after ultracentrifugation are marked with numbers. Fractions with the highest degree of purity from BSA and with the highest content of N-protein are in a highlight box. Arrows indicate: a — N-protein band; b — BSA band; c — impurity protein bands. BSA — bovine serum albumin
Таким образом, разработанная методика очистки SARS-CoV-2 позволила получить суспензию вируса, очищенную от БСА, с выходом около 60 % (рис. 2, фракции 1–4).
Рис. 2. Количественное представление результатов электрофореза в полиакриламидном геле. Номерами отмечены фракции, собранные после ультрацентрифугирования. Цветом обозначены подсчитанные в программе imageJ бэнды белков на геле. Результаты представлены как среднее со стандартной ошибкой. Количество независимых экспериментов — 3. БСА — бычий сывороточный альбумин
Fig. 2. Quantification of proteins on polyacrylamide gel. Fractions collected after ultracentrifugation are marked with numbers. The color indicates the protein bands calculated in imageJ program. Results are presented as mean with standard error. Number of independent experiments, n = 3. BSA — bovine serum albumin
Выбор фракций с содержанием целых вирусных частиц
Для подтверждения наличия цельновирионных частиц определяли, в каких фракциях содержатся целевые белки N и S методом вестерн-блота (рис. 3). На поликриламидном геле обнаружено, что фракции с наибольшей чистотой от примесных белков, БСА и наибольшим содержанием N-белка (рис. 3, фракции 1–4) соответствовали тем же фракциям (1–4) на вестерн-блоте, у которых наблюдалось свечение на уровне молекулярной массы 55 кДа, что соответствует N-белку (рис. 3, b), и на уровне молекулярной массы ~200 кДа, что соответствует S-белку (рис. 3, c).
Рис. 3. Детекция целевых белков N и S в анализируемых фракциях: a — электрофорез в полиакриламидном геле фракций вируса после ультрацентрифугирования; b — вестерн-блот-анализ фракций с использованием антител к N-белку; c — вестерн-блот-анализ фракций с использованием антител к S-белку. Номерами отмечены фракции, собранные после ультрацентрифугирования
Fig. 3. Detection of N- and S-proteins in analyzed fractions: a — polyacrylamide gel electrophoresis of virus fractions after ultracentrifugation; b — Western blot analysis of fractions using antibodies against N-protein; c — Western blot analysis of fractions using antibodies against S-protein. Fractions collected after ultracentrifugation are marked with numbers
Таким образом, присутствие целевых белков N и S во фракциях 1–4 после ультрацентрифугирования подтвердило наличие в них цельновирионного антигена.
Оценка чистоты и количества антигена в полученном вирусном образце
Опираясь на полученные выше результаты оценки содержания N-белка, БСА (рис. 1 и 2) и цельновирионных частиц (рис. 3) в собранных вирусных фракциях, были объединены фракции 1–4. Полученные фракции очистили от сахарозы и сконцентрировали на центрифужных ультрафильтрах Амикон 50 кДа. Далее пробу охарактеризовали на содержание в ней БСА и количество целевого N-белка, а также на наличие бактериальных эндотоксинов.
Используя калибровочный график с разведениями по БСА, количественно оценили содержание N-белка и проверили фракции на чистоту от БСА (рис. 4). Для достоверности результата обсчитывали три полиакриламидных геля. В пробе БСА не был обнаружен, о чем говорит отсутствие в образце полосы на уровне молекулярной массы 69 кДа. Расчет количества N-белка (а значит, и количества целевого вируса) показал значение 24,4 ± 3 мкг/мл.
Рис. 4. Оценка количества целевого N-белка в стандарте SARS-CoV-2 и чистоты от БСА. 1 — полученный стандарт, разведенный в 2 раза; 2 — белковый маркер; 3–5 — БСА в концентрациях 2,5, 5, 10 мкг/мл соответственно. БСА — бычий сывороточный альбумин
Fig. 4. Evaluation of the amount of N-protein in the SARS-CoV-2 standard and the purity from BSA. 1 — obtained standard, diluted 2 times; 2 — protein marker; 3–5 — BSA with concentrations 2.5 µg/ml, 5 µg/ml, 10 µg/ml, respectively. BSA — bovine serum albumin
Используя набор гель-тромб-теста ЛАЛ, мы определили количество эндотоксинов в образце — менее 7,68 ЕЭ/мл.
Обсуждение
Полученные значения концентрации и чистоты вирусных частиц в пробе удовлетворительны для дальнейшего использования образца как стандартного в тест-системах ИФА для мониторинга количества антигена в цельновирионных вакцинах против коронавирусной инфекции, а также для исследований структуры вируса. Эта методика успешно применялась для изучения структурных особенностей SARS-CoV-2. В исследовании сравнивали два метода очистки инактивированного вирусного концентрата. Наравне с ультрацентрифугированием использовали хроматографическую очистку методом гель-фильтрации. Популяция частиц, полученных с использованием ультрацентрифугирования, была гомогенной: на изображениях почти полностью отсутствовал дебрис [8]. Однако для масштабирования и очистки вакцинного препарата данная методика не может быть использована. Стадии ультрацентрифугирования в градиенте плотности сахарозы сложно проводить на вирусных концентратах больших объемов. Однако спектр приложений, в которых данная методика применима, включает не только структурные исследования вирусной частицы SARS-CoV-2. Полученный с помощью ультрацентрифугирования антиген также может быть использован для иммунизации животных и получения антител для тест-сиcтем ИФА на измерение количества антигена в цельновирионных вакцинах против вируса SARS-CoV-2. Данный способ очистки может быть применим для вирусов со схожей структурой и использован в аналитических методиках.
Отдельно стоит пояснить причину выбора N-белка как целевого для получения стандартного вирусного образца. Нуклеокапсидный N-белок — мажорный в структуре вируса SARS-CoV-2 [6], а молекулярная масса белка 55 кДа, поэтому его удобно детектировать электрофоретическим методом. Кроме того, мы подбирали оптимальные условия получения стандарта для изучения именно цельновирионных вакцин, следовательно, оценивать количество целых вирионов корректно по наиболее представленному и эволюционно консервативному N-белку. Более того, N-белок, так же как и S-белок, вызывает иммунный ответ и может применяться как антиген в иммунологических исследованиях [9].
Дополнительная информация
Источник финансирования. Статья не имеет спонсорской поддержки.
Конфликт интересов. Авторы заявляют об отсутствии конфликта интересов, связанного с подготовкой и публикацией статьи.
Вклад авторов. Все авторы внесли существенный вклад в разработку концепции, проведение исследования и подготовку статьи, прочли и одобрили финальную версию перед публикацией. Наибольший вклад распределен следующим образом: А.Н. Зырина, И.О. Целых, А.С. Богдан — проведение экспериментальных исследований, обработка и анализ результатов; А.Н. Зырина, А.С. Богдан — написание текста статьи; А.А. Шишова, А.Н. Пиняева — редактирование статьи; А.А. Ковпак, Ю.Ю. Ивин, В.Е. Василенко — получение вирусного концентрата SARS-CoV-2.
Additional information
Funding sources. The article has no sponsorship.
Competing interests. The authors declare the absence of obvious and potential conflicts of interest related to the publication of this article.
Authors̕ contribution. All authors made a significant contribution to the development of the concept and preparation of the article, read and approved the final version before publication. The largest contribution is distributed as follows: A.N. Zyrina, I.O. Tselykh, A.S. Bogdan — conducting experimental studies, processing and analyzing the results; A.N. Zyrina, A.S. Bogdan — writing the text of the article; A.A. Shishova, A.N. Pinyaeva — editing the article; A.A. Kovpak, Yu.Yu. Ivin, V.E. Vasilenko — obtaining a viral concentrate of SARS-CoV-2.
About the authors
Anna N. Zyrina
Chumakov Federal Scientific Center for Research and Development of Immune-and-Biological Products of Russian Academy of Sciences
Author for correspondence.
Email: zyrina22anna@gmail.com
ORCID iD: 0000-0002-3675-8361
Scopus Author ID: 57041299900
Cand. Sci. (Biol.), Microbiologist of Analytical Method Development and Validation Team
Russian Federation, MoscowIrina O. Tselykh
Chumakov Federal Scientific Center for Research and Development of Immune-and-Biological Products of Russian Academy of Sciences
Email: will-uhm@mail.ru
ORCID iD: 0000-0002-7530-3925
Microbiologist of Analytical Method Development and Validation Team
Russian Federation, MoscowAnastasia S. Bogdan
Chumakov Federal Scientific Center for Research and Development of Immune-and-Biological Products of Russian Academy of Sciences; MIREA — Russian Technological University
Email: nastyabog1346@gmail.com
group laboratory assistant of Analytical Method Development and Validation Team; Bachelor of M.V. Lomonosov Institute of Fine Chemical Technologies
Russian Federation, Moscow; MoscowAnastasia Kovpak
Chumakov Federal Scientific Center for Research and Development of Immune-and-Biological Products of Russian Academy of Sciences
Email: kovpak_aa@chumakovs.su
ORCID iD: 0000-0003-3200-763X
Scopus Author ID: 57218547079
Head of Team of Purification Processes and Finished Dosage Forms Formulation
Russian Federation, MoscowYury Yu. Ivin
Chumakov Federal Scientific Center for Research and Development of Immune-and-Biological Products of Russian Academy of Sciences
Email: ivin_uu@chumakovs.su
ORCID iD: 0000-0003-0995-7944
Scopus Author ID: 57218552209
Deputy Head of Division of Development and Integration of Innovative and Semi-industrial Technologies
Russian Federation, MoscowVladislav E. Vasilenko
Chumakov Federal Scientific Center for Research and Development of Immune-and-Biological Products of Russian Academy of Sciences
Email: vasilenko_ve@chumakovs.su
ORCID iD: 0000-0001-7980-0921
Scopus Author ID: 41361884300
ResearcherId: A-1043-2015
Head of Fermentation and Cultivation Team
Russian Federation, MoscowAnastasia N. Piniaeva
Chumakov Federal Scientific Center for Research and Development of Immune-and-Biological Products of Russian Academy of Sciences
Email: pinyaeva_an@chumakovs.su
ORCID iD: 0000-0001-5381-2393
Scopus Author ID: 57218545661
Head of Division of Development and Integration of Innovative and Semi-industrial Technologies
Russian Federation, MoscowАnna A. Shishova
Chumakov Federal Scientific Center for Research and Development of Immune-and-Biological Products of Russian Academy of Sciences; Sechenov First Moscow State Medical Univesity
Email: shishova_aa@chumakovs.su
ORCID iD: 0000-0002-5907-0615
Scopus Author ID: 57222487150
Research Associate in Laboratory of Biochemistry; Senior Lecturer in Institute for Translational Medicine and Biotechnology
Russian Federation, Moscow; MoscowReferences
- Fan S, Xiao K, Li D, et al. Preclinical immunological evaluation of an intradermal heterologous vaccine against SARS-CoV-2 variants. Emerg Microbes Infect. 2022;11(1):212–226. doi: 10.1080/22221751.2021.2021807
- Che Y, Liu X, Pu Y, et al. Randomized, double-blinded, placebo-controlled phase 2 trial of an inactivated severe acute respiratory syndrome coronavirus 2 vaccine in healthy adults. Clin Infect Dis. 2021;73(11):e3949–e3955. doi: 10.1093/cid/ciaa1703
- Saagar VK. Virus purification, detection and removal [dissertation]. Michigan Technological University; 2014. doi: 10.37099/mtu.dc.etds/850
- Kozlovskaya LI, Piniaeva AN, Ignatyev GM, et al. Long-term humoral immunogenicity, safety and protective efficacy of inactivated vaccine against COVID-19 (CoviVac) in preclinical studies. Emerg Microbes Infect. 2021;10(1):1790–1806. doi: 10.1080/22221751.2021.1971569
- Limulus amebocyte lysate [Internet]. Endosafe. USA. License No. 1197. Available from: https://limulustest.ru/upload/iblock/625/LAL-Reagent %20Endosafe.PDF. Accessed: 08.06.2022.
- Cubuk J, Alston JJ, Incicco JJ, et al. The SARS-CoV-2 nucleocapsid protein is dynamic, disordered, and phase separates with RNA. Nat Commun. 2021;12(1):1936. doi: 10.1038/s41467-021-21953-3
- OFS.1.2.3.0023.15. Ehlektroforez v poliakrilamidnom gele. Gosudarstvennaya farmakopeya Rossiiskoi Federatsii XIV. (In Russ.)
- Bagrov DV, Glukhov GS, Moiseenko AV, et al. Structural characterization of β-propiolactone inactivated severe acute respiratory syndrome coronavirus (SARS-CoV-2) particles. Microsc Res Tech. 2022;85(2):562–569. doi: 10.1002/jemt.23931
- Bai Z, Cao Y, Liu W, Li J. The SARS-CoV-2 nucleocapsid protein and its role in viral structure, biological functions, and a potential target for drug or vaccine mitigation. Viruses. 2021;13(6):1115. doi: 10.3390/v13061115
Supplementary files






