Activation and modulation of Ire1-Xbp1 pathway in SARS-CoV-2 infected Vero cells (B.1.1.7 Alpha, B.1.617.2 Delta, B.1.1.529 Omicron variants)
- Authors: Shishova A.A.1,2, Baryshnikova V.S.1, Ermakova M.Y.1, Turchenko Y.V.1, Dereventsova A.V.1, Fominykh K.V.1
-
Affiliations:
- Chumakov Federal Scientific Center for Research and Development of Immune-and-Biological Products of Russian Academy of Sciences
- Sechenov First Moscow State Medical Univesity
- Issue: Vol 22, No 2 (2022)
- Pages: 269-276
- Section: Conference proceedings
- Published: 06.11.2022
- URL: https://journals.eco-vector.com/MAJ/article/view/108694
- DOI: https://doi.org/10.17816/MAJ108694
- ID: 108694
Cite item
Abstract
BACKGROUND: The emergence of new variants of the SARS-CoV-2 virus at the end of 2020, which became a source of increased risk for global public health, prompted the study of their molecular biological characteristics and pathogenic effects. It is known that one of the reasons for the viruses’ pathogenic action is their interaction with the defense mechanisms of the cell. Ire1 (inositol-requiring enzyme 1)-mediated splicing of Xbp1 mRNA (X-box binding protein 1) is a protective mechanism that is activated in response to the accumulation of misfolded proteins in the cell, a situation that occurs due to uncontrolled synthesis of viral proteins during infection. Studying the interaction of different variants of the SARS-CoV-2 virus with this protective mechanism will help to shed light on various aspects of the pathogenesis of a new coronavirus infection.
AIM: Study of Ire1-Xbp1 defense mechanism activation and modulation in SARS-CoV-2 infected Vero cells.
MATERIALS AND METHODS: We studied the activation of the Ire1 enzyme in Vero cells infected with various variants of the SARS-CoV-2 virus using immunoblotting and antibodies to various forms of this protein in the cell. In addition, we studied the activation of Xbp1 mRNA splicing under conditions of infection with various variants of the SARS-CoV-2 virus in a PCR reaction with specific primers.
RESULTS: Reproduction of B.1.1.529 (Omicron) strain in Vero cells is slower than B.1.1.7 (Alpha) and B.1.617.2 (Delta) strains of SARS-CoV-2. The whole reproduction cycle is 48 hours.
Ire1-dependent defense mechanism is activated after 12 hours of SARS-CoV-2 infection with either of three variants. However, despite the activation of the Ire1 endonuclease domain, there is no Xbp1 mRNA splicing in SARS-CoV-2 infected cells. Inhibition of Xbp1 mRNA splicing occurs slower in Vero cells infected with the B.1.1.529 — Omicron variant.
CONCLUSIONS: The paper describes the reproduction of various variants of the SARS-CoV-2 virus in Vero cell culture and the activation of the Ire1-Xbp1 defense mechanism during infection. The Ire1 endonuclease is phosphorylated, however, mRNA splicing of the Xbp1 transcription factor is impaired in SARS-CoV-2 infected cells. A decrease in the rate of inhibition of this protective mechanism in Vero cells infected with the Omicron (B.1.1.529) variant of the SARS-CoV-2 virus may be the reason for its lower pathogenicity described in various studies.
Keywords
Full Text
Список сокращений
ЭПР — эндоплазматический ретикулум; Ire1 — inositol requiring enzyme; Xbp1 — X-box binding protein; B.1.1.7 (Alpha), B.1.617.2 (Delta), B.1.1.529 (Omicron) — варианты вируса SARS-CoV-2, клетки Vero — клетки почки зеленой мартышки; DTT — дитиотреитол.
Обоснование
Все вирусы, включая вирус SARS-CoV-2, возбудитель COVID-19, со временем накапливают замены в геноме. Некоторые изменения могут затрагивать и свойства вируса, например его способность к распространению, и приводят к появлению новых вариантов.
Появление в конце 2020 г. новых вариантов вируса, ставших источником повышенного риска для глобального общественного здравоохранения, стимулировало изучение их молекулярно-биологических особенностей и патогенного действия. Известно, что одна из причин патогенного действия вирусов — их взаимодействие с защитными механизмами клетки. Один из них направлен против накопления неправильно свернутых белков в стрессе эндоплазматического ретикулума (ЭПР) [1].
С биохимической точки зрения этот механизм представлен триадой трансмембранных стресс-сенсоров, параллельно запускающими уникальные сигнальные пути: PERK (PKR-like endoplasmic reticilum kinase); ATF6 (activated transcription factor 6); Ire1 (inositol-requiring enzyme 1), каждый из которых имеет регуляторный и люменальный домен [2]. Третий, Ire1-зависимый, путь — самый консервативный, направлен против накопления неправильно свернутых белков в ЭПР [3].
Запуск ЭПР-стресса приводит к олигомеризации и трансавтофосфорилированию Ire1, что, в свою очередь, обусловливает активацию рибонуклеазного домена [4, 5].
Активированная сайт-специфичная эндорибонуклеаза Ire1 вырезает 26-нуклеотидный интрон из мРНК Xbp1 (X-box binding protein 1) [6, 7], который в свою очередь регулирует экспрессию генов, связанных с ЭПР-ассоциированной деградацией, гликозилированием и синтезом шаперонов [8].
В работе описано размножение различных вариантов вируса SARS-CoV-2 в культуре клеток Vero. Исследуется их взаимодействие с Ire1-Xbp1 защитным механизмом.
Материалы и методы
Заражение клеток Vero вирусом SARS-CoV-2
Клетки Vero выращивали на среде ДМЕМ (Федеральный научный центр исследований и разработки иммунобиологических препаратов им. М.П. Чумакова РАН) с 5 % эмбриональной сывороткой (FBS, Gibco) и антибиотиками стрептомицином (0,1 мг/мл) и пенициллином (100 Ед/мл).
Заражение проводили в условиях BSL-3. Поддерживающую среду меняли на бессывороточную и добавляли 10 ИД (инфекционных доз) на клетку. Инокулят вируса инкубировали 2 ч при комнатной температуре при постоянной агитации. Затем клетки отмывали от вируса и добавляли поддерживающую среду. В работе исследовали три варианта вируса SARS-CoV-2: B.1.1.7 (Alpha), B.1.617.2 (Delta), B.1.1.529 (Omicron).
Вирусы
Варианты вируса SARS-CoV-2: B.1.1.7 (Alpha), B.1.617.2 (Delta), B.1.1.529 (Omicron) получали из образцов мазков носоглотки пациентов с COVID-19. Вирусы пассировали в культуре клеток Vero. Принадлежность каждому из вариантов подтверждали секвенированием: Alpha — Pango lineage B.1.1, GISAID EPI_ISL_428852, Delta — GISAID EPI_ISL_8799478, Omicron — GISAID EPI_ISL_9613539.
Вестерн-блот
Лизаты зараженных клеток получали добавлением к монослою культуры Vero двукратного буфера [20 % глицерина, 100 мМ Tris-HCl (pH = 6,8), 200 мМ β-меркаптоэтанола, 2 % SDS, бромфеноловый синий]. Готовые пробы подвергали электрофорезу по методу Лэммли согласно ОФС.1.2.3.0023.15. Разделенные в 12 % полиакриламидном геле белки переносили на нитроцеллюлозную мембрану (BioRad, США). Свободные сайты на мембране блокировали в буфере с 5 % сухим обезжиренным молоком [50 мМ Tris-HCl (pH 7,6), 150 мМ NaCl, 0,05 % Tween 20] в течение 1 ч. Затем в буфер для блокировки добавляли специфичные антитела к клеточным белкам Ire1 (Abcam 37073, 1 : 1000), его фосфорилированной форме Ire1P (S724, Abcam 12945, 1 : 1000) и бета-актину (Sigma, A3854, 1 : 25 000). После инкубации с первичными антителами мембрану промывали 3 раза по 5 мин в буфере для блокировки без молока и помещали на 1 ч в раствор вторичных антител (anti-Rabbit IgG, Promega, CША) в буфере для блокировки, в разведении 1 : 2500. Затем мембрану снова промывали 3 раза по 5 мин в буфере для блокировки без молока и визуализировали с помощью набора реактивов ECL-Plus (Cytiva) согласно рекомендациям производителя. Хемилюминесцентное излучение регистрировали экспонированием на рентгеновскую пленку согласно стандартному протоколу.
Выделение тотальной РНК из эукариотических клеток
Тотальную РНК выделяли при помощи реагента «Тризол» (Trizol Reagent, Gibco BRL) согласно инструкции производителя. Клетки лизировали в 500 мкл «Тризола». К пробам добавляли 100 мкл хлороформа, перемешивали на вортексе в течение 15 с и снова инкубировали 5 мин. Фазы разделяли центрифугированием (10 мин, 12 000 об/мин). Отбирали верхнюю фракцию, содержащую РНК, добавляли равный объем изопропанола и инкубировали 10 мин при комнатной температуре. РНК осаждали центрифугированием (10 мин, 12000 об/мин), промывали 80 % этанолом, высушивали в вакуумном эксикаторе. Осадок растворяли в воде (Milli-Q). По окончании работы измеряли концентрацию РНК на спектрофотометре, после чего разводили пробы водой (Milli-Q) до концентрации 100 нг/мкл.
Обратная транскрипция
Для проведения обратной транскрипции на матрице РНК, выделенной из инфицированных клеток, к 3 мкл водного раствора РНК (100 нг/мкл из пробы) добавляли 1 мкл рандомизированных праймеров (300 нг/мкл), 1 мкл dNTP (25 мМ), после чего водой (Milli-Q) доводили объем смеси до 13 мкл. Пробы инкубировали при 65 °C в течение 5 мин. Затем переносили на ледяную баню на 1–2 мин, тем самым обеспечивая неспецифичность посадки праймеров. Затем к смеси добавляли 4 мкл пятикратного буфера First-Strand (250 мМ Tris-HCl (pH = 8,3), 375 мМ KCl, 15 мМ MgCl₂, Invitrogen), 2 мкл дитиотреитола (0,1 M) и 1 мкл обратной транскриптазы M-MLV (Invitrogen). Конечный объем смеси составлял 20 мкл. Пробы инкубировали 10 мин при 25 °C. Реакцию обратной транскрипции проводили 40 мин при 42 °C, затем обратную транскриптазу инактивировали нагреванием в течение 5 мин при 80 °C.
Полимеразная цепная реакция со специфическими праймерами на последовательность кДНК Xbp1
Полимеразная цепная реакция (ПЦР) проводилась на амплификаторе BioRad с применением коммерческих реагентов для ПЦР (Screen-Mix, Евроген, Россия) по протоколу производителя. В качестве праймеров использовали олигонуклеотиды:
XBP1R: 5ʹ-CCTTGTAGTTGAGAACCAGG-3ʹ
XBP1L: 5ʹ-GGGGCTTGGTATATATGTGG-3ʹ
Результаты
Репродукция вариантов вируса SARS-CoV-2 в клетках Vero
Цитопатическое действие вариантов вируса SARS-CoV-2: B.1.1.7 (Alpha), B.1.617.2 (Delta), B.1.1.529 (Omicron) изучали на культуре клеток Vero после заражения инфицирующей дозой 10 ИД/клетку. Размножение вариантов Alpha и Delta приводило к поражающему действию на культуре к 36 ч после инфекции. Монослой Vero, зараженный вариантом Omicron, к 36 ч после инфекции практически еще не был поражен цитопатическим действием. Следовательно, цикл репродукции варианта Omicron был значительно длиннее (48 ч) на клетках Vero (рис. 1).
Рис. 1. Цитопатическое действие вариантов вируса SARS-CoV-2 в клетках Vero через 36 ч после инфекции
Fig. 1. SARS-CoV-2 cytopathic action on Vero cells, 36 hours post infection
Активация (фосфорилирование) Ire1 эндонуклеазы в клетках Vero, зараженных вирусом SARS-CoV-2
Для того чтобы выяснить, активирует ли коронавирусная инфекция Ire1-зависимый защитный механизм, проследили за накоплением фосфорилированной изоформы белка Ire1 в инфицированных клетках, через 12 и 24 ч после заражения. Результаты приведены на рис. 2.
Рис. 2. Накопление фосфорилированной изоформы белка Ire1 в клетках Vero, инфицированных тремя вариантами вируса SARS-CoV-2
Fig. 2. Phospho-Ire1 accumulation in SARS-CoV-2 infected Vero cells, B.1.1.7 (Alpha), B.1.617.2 (Delta), B.1.1.529 (Omicron) variants
Очевидно, что накопление фосфорилированной изоформы Ire1 происходит уже через 12 ч после начала инфекции. Эти результаты показывают, что при инфекции всеми тремя вариантами вируса SARS-CoV-2 активируется Ire1-зависимый защитный механизм, что должно приводить к активации эндонуклеазы Ire1 и, как следствие, к неканоническому сплайсингу мРНК Xbp1.
Протеолитическое расщепление Ire1 в клетках Vero, зараженных Alpha и Delta вариантами вируса SARS-CoV-2
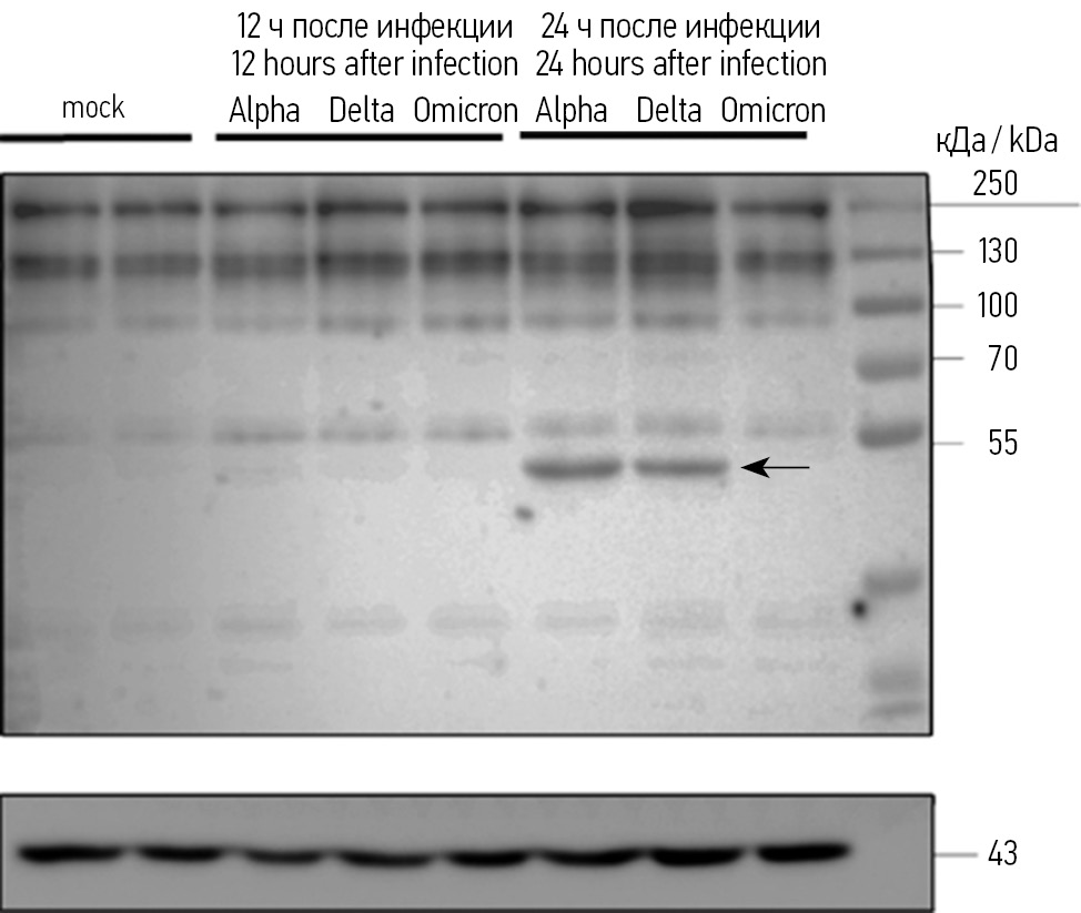
Тотальный уровень белка Ire1 оценивали с помощью вестерн-блота в белковых лизатах зараженных клеток. Для этого использовали поликлональные антитела против Ire1 (Abcam 37073). Результаты приведены на рис. 3.
Рис. 3. Тотальный уровень белка Ire1 в клетках Vero, инфицированных вирусом SARS-CoV-2: B.1.1.7 (Alpha), B.1.617.2 (Delta), B.1.1.529 (Omicron)
Fig. 3. Ire1 level in SARS-CoV-2 infected Vero cells: B.1.1.7 (Alpha), B.1.617.2 (Delta), B.1.1.529 (Omicron) variants
Помимо полосы, соответствующей полноразмерной форме Ire1 — 100 кДа, на геле видны полосы, соответствующие димеру Ire1 (~200 кДа), а также продукт длиной ~50 кДа (обозначен стрелкой) в пробах белковых лизатов, собранных через 24 ч после заражения вариантами Alpha и Delta вируса SARS-CoV-2. Предположительно, причиной может быть гидролиз белка Ire1. В лизатах клеток, зараженных вариантом Omicron, через 24 ч после заражения такого продукта нет.
Неканонический сплайсинг мРНК Xbp1 в клетках Vero, зараженных вариантами вируса SARS-CoV-2
Чтобы определить, активирует ли коронавирусная инфекция Ire1-зависимый сплайсинг мРНК Xbp1, клетки Vero заражали вирусом SARS-CoV-2 с множественностью заражения 10 ИД на клетку и выделяли тотальную РНК через 12, 24 и 36 ч после инфекции. РНК клеток Vero, обработанных DТТ (10 мМ), использовали как положительный контроль. После этого получали кДНК с помощью рандомизированных праймеров. кДНК амплифицировали с помощью специфических праймеров на последовательность Xbp1, полученные продукты анализировали на 2 % агарозном геле. Результат приведен на рис. 4.
Рис. 4. Сплайсинг Xbp1 в клетках Vero, зараженных вирусом SARS-CoV-2 (варианты Alpha и Omicron)
Fig. 4. Xbp1 splicing in SARS-CoV-2 infected cells (Alpha and Omicron variants)
Согласно рис. 4, сплайсированная форма мРНК Xbp1 отсутствует в клетках Vero, инфицированных вирусом SARS-CoV-2 (B.1.1.7 — Alpha, B.1.1.529 — Omicron). Однако при индукции DTT (10 мМ) в клетках обнаружены две формы мРНК Xbp1: сплайсированная и несплайсированная. Количество несплайсированной формы мРНК Xbp1 в клетках Vero, зараженных вариантом Alpha вируса SARS-CoV-2, достигало после инфекции максимума через 12 ч и снижалось через 36 ч до недетектируемых количеств. В клетках Vero, зараженных вариантом Omicron, количество несплайсированной формы мРНК Xbp1 достигало максимума через 24 ч после инфекции и так же, как и у варианта Alpha, снижалось через 36 ч. Сплайсированной формы мРНК Xbp1 не было ни в одной зараженной пробе.
Обсуждение результатов
Взаимодействие вирусов с защитными механизмами клетки — одна из причин их патогенного действия. В работе описывается активация вирусом SARS-CoV-2 такого защитного механизма, направленного на снижение накопления неправильно свернутых белков. В частности, показано, что инфекция различными вариантами вируса SARS-CoV-2 приводит к фосфорилированию эндонуклеазы Ire1, а следовательно, и активации Ire1-опосредованного пути. Однако на поздних часах инфекции (36 ч) для вариантов Alpha и Delta наблюдали протеолитическое расщепление Ire1, не характерное для варианта Omicron.
Несмотря на активацию Ire1, в зараженных клетках не наблюдали активацию сплайсинга Xbp1, более того, количество несплайсированной формы Xbp1 снижалось на поздних часах инфекции.
Для разных групп вирусов было показано различное их действие на клеточный защитный механизм, регулируемый эндонуклеазой Ire1. Например, заражение энтеровирусом 71 приводит к фосфорилированию Ire1 на поздних стадиях инфекции. Экспрессия мРНК Xbp1 индуцируется в инфицированных клетках, однако ни Ire1-опосредованный сплайсинг Xbp1, ни его активный белок сплайсинга в инфицированных клетках не обнаружены. Инфицирование вирусом Коксаки В3 вызывает стресс эндоплазматического ретикулума [9]. При заражении CVB3 ATF6a и XBP1 активировались посредством расщепления белка и сплайсинга мРНК соответственно, но все эти изменения происходили на поздних стадиях инфекции (через 12 ч после заражения) [10]. Механизм этого взаимодействия плохо описан. В нашей работе мы показали, что помимо фосфорилирования Ire1 в клетке, при инфекции вариантами Alpha (B.1.1.7) и Delta (B.1.617.2) через 24 ч после инфекции происходит его гидролиз. Это может быть причиной ингибирования сплайсинга мРНК Xbp1 в SARS-CoV-2-инфицированных клетках.
Ранее было показано на животной модели (сирийские хомяки), что вариант B.1.1.529 (Omiсron) вируса SARS-CoV-2 менее патогенный для легких, чем варианты B.1.1.7 (Alpha) и B.1.617.2 (Delta) [11]. Одним из механизмов такого снижения патогенного действия может быть взаимодействие вируса с Ire1-Xbp1 защитным механизмом. Мы показали, что инактивация сплайсинга Xbp1 в клетках, зараженных вариантом Omicron развивается дольше, чем в клетках, зараженных вариантом Alpha SARS-CoV-2 (рис. 4). Следовательно, активация экспрессии генов, зависимых от транскрипционного фактора Xbp1, также замедлена. Это может привести к снижению патогенного действия вируса SARS-CoV-2 (вариант Omicron). Однако эту гипотезу еще предстоит подтвердить в последующих экспериментах.
Выводы
- В клетках Vero при инфицировании вирусом SARS-CoV-2 репродукция штамма B.1.1.529 (Omicron) происходит медленнее (48 ч), чем у штаммов B.1.1.7 (Alpha) и B.1.617.2 (Delta).
- При инфицировании клеток Vero вариантами вируса SARS-CoV-2 через 12 ч после инфекции фосфорилируется эндонуклеаза Ire1, что говорит об активации Ire1-зависимого защитного механизма.
- Несмотря на активацию Ire1, сплайсинга мРНК Xbp1 в зараженных SARS-CoV-2 клетках нет.
- Ингибирование сплайсинга мРНК Xbp1 происходит медленнее в клетках Vero, зараженных вариантом B.1.1.529 (Omicron).
- Снижение скорости ингибирования Ire1-Xbp1 защитного механизма у варианта Omicron (B.1.1.529) вируса SARS-CoV-2 по сравнению с вариантами B.1.1.7 (Alpha) и B.1.617.2 (Delta) может быть причиной его меньшей патогенности, описанной в различных исследованиях.
Дополнительная информация
Источник финансирования. Исследование выполнено в рамках темы государственного задания № 0837-2019-0001 «РНК-содержащие вирусы: фундаментальные аспекты взаимодействия с клеткой, репликации, эволюции и молекулярной эпидемиологии».
Конфликт интересов. Авторы заявляют об отсутствии конфликта интересов, связанного с подготовкой и публикацией статьи.
Вклад авторов. Все авторы внесли существенный вклад в разработку концепции, проведение исследования и подготовку статьи, прочли и одобрили финальную версию перед публикацией. Наибольший вклад распределен следующим образом: А.А. Шишова, В.С. Барышникова, М.Ю. Ермакова, А.В. Деревенцова, К.В. Фоминых — проведение экспериментальных исследований, обработка результатов, анализ результатов; А.А. Шишова, В.С. Барышникова — написание текста статьи; А.А. Шишова, А.В. Деревенцова, Ю.В. Турченко — редактирование статьи.
Additional information
Funding sources. The State Assignment supported the work (Project No. 0837-2019-00010 “RNA-containing viruses: fundamental aspects of interaction with the cell, replication, evolution and molecular epidemiology”).
Competing interests. The authors declare the absence of obvious and potential conflicts of interest related to the publication of this article.
Authors̕ contribution. All authors made a significant contribution to the development of the concept and preparation of the article, read and approved the final version before publication. The largest contribution is distributed as follows: A.A. Shishova, V.S. Baryshnikova, M.Yu. Ermakova, A.V. Dereventsova, K.V. Fominyh — conducting experimental studies, processing the results, analyzing the results; A.A. Shishova, V.S. Baryshnikova — writing the text of the article; A.A. Shishova, A.V. Dereventsova, Yu.V. Turchenko — article editing.
About the authors
Anna A. Shishova
Chumakov Federal Scientific Center for Research and Development of Immune-and-Biological Products of Russian Academy of Sciences; Sechenov First Moscow State Medical Univesity
Author for correspondence.
Email: shishova_aa@chumakovs.su
ORCID iD: 0000-0002-5907-0615
Research Associate, Laboratory of Biochemistry; Senior Lecturer of the Department of Organization of Technologies for the Production of Immunobiological Research
Russian Federation, Moscow; MoscowVictoria S. Baryshnikova
Chumakov Federal Scientific Center for Research and Development of Immune-and-Biological Products of Russian Academy of Sciences
Email: baryshnikova_vs@chumakovs.su
ORCID iD: 0000-0002-4128-3989
Junior Research Associate, Laboratory of Biochemistry
Russian Federation, MoscowMaya Yu. Ermakova
Chumakov Federal Scientific Center for Research and Development of Immune-and-Biological Products of Russian Academy of Sciences
Email: ermakova_mj@chumakovs.su
ORCID iD: 0000-0002-8229-7818
Microbiologist of Analytical Method Development and Validation Team
Russian Federation, MoscowYuriy V. Turchenko
Chumakov Federal Scientific Center for Research and Development of Immune-and-Biological Products of Russian Academy of Sciences
Email: turchenko_jv@chumakovs.su
ORCID iD: 0000-0003-0869-0045
Junior Research Associate, Laboratory of Biochemistry
Russian Federation, MoscowAlena V. Dereventsova
Chumakov Federal Scientific Center for Research and Development of Immune-and-Biological Products of Russian Academy of Sciences
Email: dereventsova_av@chumakovs.su
ORCID iD: 0000-0002-9612-2146
Junior Research Associate, Laboratory of Biochemistry
Russian Federation, MoscowKseniya V. Fominykh
Chumakov Federal Scientific Center for Research and Development of Immune-and-Biological Products of Russian Academy of Sciences
Email: foxenia@gmail.com
ORCID iD: 0000-0003-0788-514X
Research Associate, Laboratory of Biochemistry
Russian Federation, MoscowReferences
- Xue M, Feng L. The Role of unfolded protein response in coronavirus infection and its implications for drug design. Front Microbiol. 2021;12:808593. doi: 10.3389/fmicb.2021.808593
- Walter P, Ron D. The unfolded protein response: from stress pathway to homeostatic regulation. Science. 2021;334(6059):1081–1086. doi: 10.1126/science.1209038
- Chen Y, Brandizzi F. IRE1: ER stress sensor and cell fate executor. Trends Cell Biol. 2013;23(11):547–555. doi: 10.1016/j.tcb.2013.06.005
- Ali MM, Bagratuni T, Davenport EL, et al. Structure of the Ire1 autophosphorylation complex and implications for the unfolded protein response. EMBO J. 2011;30(5):894–905. doi: 10.1038/emboj.2011.18
- Korennykh AV, Egea PF, Korostelev AA, et al. The unfolded protein response signals through high-order assembly of Ire1. Nature. 2008;457(7230):687–693. doi: 10.1038/nature07661
- Back SH, Lee K, Vink E, Kaufman RJ. Cytoplasmic IRE1alpha-mediated XBP1 mRNA splicing in the absence of nuclear processing and endoplasmic reticulum stress. J Biol Chem. 2006;281(27):18691–18706. doi: 10.1074/jbc.m602030200
- Calfon M, Zeng H, Urano F, et al. IRE1 couples endoplasmic reticulum load to secretory capacity by processing the XBP-1 mRNA. Nature. 2002;415(6867):92–96. doi: 10.1038/415092a
- Lee A, Iwakoshi NN, Glimcher LH. XBP-1 Regulates a subset of endoplasmic reticulum resident chaperone genes in the unfolded protein response. Mol Cell Biol. 2003;23(21):7448–7459. doi: 10.1128/mcb.23.21.7448-7459.2003
- Jheng JR, Lin CY, Horng JT, Lau KS. Inhibition of enterovirus 71 entry by transcription factor XBP1. Biochem Biophys Res Commun. 2012;420(4):882–887. doi: 10.1016/j.bbrc.2012.03.094
- Zhang HM, Ye X, Su Y, et al. Coxsackievirus B3 infection activates the unfolded protein response and induces apoptosis through downregulation of p58IPK and activation of CHOP and SREBP1. J Virol. 2010;84(17):8446–8459. doi: 10.1128/JVI.01416-09
- McMahan K, Giffin V, Tostanoski LH, et al. Reduced pathogenicity of the SARS-CoV-2 omicron variant in hamsters. Med (NY). 2022;3(4):262–268.e4. doi: 10.1016/j.medj.2022.03.004
Supplementary files
