Сравнительный анализ патогенности вирусов SARS-CoV-2 генетических линий B.1 и B.1.617.2 на модели сирийских хомяков
- Авторы: Яковлев К.С.1, Меженская Д.А.2, Сивак К.В.1, Руденко Л.Г.2, Исакова-Сивак И.Н.2
-
Учреждения:
- Научно-исследовательский институт гриппа имени А.А. Смородинцева
- Институт экспериментальной медицины
- Выпуск: Том 22, № 2 (2022)
- Страницы: 125-136
- Раздел: Оригинальные исследования
- Статья опубликована: 06.11.2022
- URL: https://journals.eco-vector.com/MAJ/article/view/109066
- DOI: https://doi.org/10.17816/MAJ109066
- ID: 109066
Цитировать
Аннотация
Обоснование. Сирийские хомяки — наиболее адекватная модель для изучения патогенеза новой коронавирусной инфекции и тестирования профилактических и терапевтических препаратов от SARS-CoV-2, так как они отличаются высокой чувствительностью к заражению этим вирусом. Таким образом, анализ корреляции тяжести заболевания с патоморфологическими признаками поражения тканей животных открывает новые возможности для оценки лекарственных средств в доклинической практике.
Цель статьи — комплексная оценка патогенности вирусов SARS-CoV-2 линий В.1 и В.1.167.2 на модели сирийских хомяков для выявления наиболее чувствительных критериев, коррелирующих с клинической картиной заболевания.
Материалы и методы. Интраназальное заражение животных вирусами с последующей оценкой клинической картины заболевания и детальным патоморфологическим исследованием различных органов, извлеченных на 5-е сутки после заражения.
Результаты. Показано, что вирус SARS-CoV-2 варианта Дельта (В.1.617.2) отличается меньшей патогенностью по сравнению с исходным штаммом В.1 первой волны пандемии COVID-19. Комплексное морфометрическое и гистологическое исследование тканей легких зараженных животных выявило наиболее чувствительный морфометрический показатель, отражающий степень выраженности SARS-CoV-2-индуцированной патологии — толщину межальвеолярных перегородок.
Заключение. Изменение толщины межальвеолярных перегородок позволяет определить даже незначительные различия в степени выраженности вирусиндуцированной патологии у сирийских хомяков, что может оказаться критическим при доклиническом исследовании препаратов от COVID-19.
Ключевые слова
Полный текст
Список сокращений
PBS — фосфатно-солевой буфер; MLI — средний линейный интервал.
Обоснование
Вирусы SARS-CoV-2, впервые идентифицированные у людей в конце 2019 г. [1], вызвали глобальную пандемию COVID-19, унесшую к настоящему времени жизни более 6 млн человек [2]. Вскоре после идентификации возбудителя начались масштабные исследования особенностей патогенеза инфекционного процесса, а также работа над созданием эффективных и безопасных терапевтических и профилактических препаратов. В дополнение к ключевым вирусологическим методикам in vitro и ex vivo исследования на животных моделях позволяют оценить физиологическую значимость установленных звеньев патогенеза [3]. В этой связи возникла необходимость определить чувствительные к инфекции виды лабораторных животных, способные наиболее точно воспроизводить клинико-лабораторную картину коронавирусной инфекции человека.
Многочисленные эксперименты продемонстрировали, что сирийские хомяки — оптимальная экспериментальная модель заражения SARS-CoV-2, применимая для доклинической оценки специфической активности противовирусных препаратов и вакцинных кандидатов. В первую очередь это связано со способностью искомых штаммов коронавирусов реплицироваться в эпителии респираторного тракта хомяков, индуцируя повреждение легких, характерное для COVID-19 [3–7].
Необходимо отметить: согласно литературным данным, оценка патогенности вариантов SARS-CoV-2 на модели сирийских хомяков ограничивается мониторингом изменения массы тела животных, определением вирусной нагрузки в органах респираторного тракта, а также базовой оценкой патоморфологических изменений тканей легких, выражаемых в сумме баллов [7–9].
Известно, что штаммы SARS-CoV-2, принадлежащие различным генетическим линиям, могут значительно различаться по способности вызывать клинические симптомы заболевания и патологические изменения органов респираторного тракта у сирийских хомяков [10, 11]. Эта особенность может стать основой определения наиболее чувствительного морфометрического критерия оценки вирусной патологии. В будущем эти показатели могут быть применены для оценки эффективности вакцин и терапевтических препаратов.
Цель исследования — выявить наиболее чувствительные морфологические критерии для комплексной оценки патогенности вирусов SARS-CoV-2 линий В.1 и В.1.167.2 на модели сирийских хомяков.
Материалы и методы
Вирусы SARS-CoV-2, выделенные от пациентов с COVID-19 в Санкт-Петербурге, получены из коллекции ФГБУ «НИИ гриппа им. Смородинцева» (Санкт-Петербург, Россия). Мы использовали исходный штамм коронавируса линии В.1, циркулировавший в первую пандемическую волну в начале 2020 г. (номер доступа в базе GISAID: EPI_ISL_415710), и линии B.1.617.2 (Дельта, GISAID: EPI_ISL_1789542), появившийся в 2021 г. Вирусы SARS-CoV-2 накапливали на клетках Vero (ATCC CCL-81), культивированных в среде DMEM с добавлением 2 % фетальной сыворотки телят (FBS), 1× антибиотика-антимикотика и 10 мМ HEPES (все компоненты производства Gibco, США) [DMEM/FBS] при 37 °C, в атмосфере 5 % СО2 [12]. Клетки инфицировали вирусами при множественности заражения (MOI) 0,005 или 0,01 для штаммов В.1 и B.1.617.2 соответственно [13]. После 72-часовой инкубации надосадочную жидкость собирали, центрифугировали при 2000 g в течение 15 мин, аликвотировали и хранили при –70 °C.
Инфекционные титры SARS-CoV-2 определяли путем титрования вируссодержащей жидкости на 96-луночных планшетах, засеянных клетками Vero-CCL81, с последующим вычислением 50 % тканевой цитопатической инфицирующей дозы (ТЦИД50). В лунки планшета вносили десятикратные разведения вируса, приготовленные на среде DMEM/FBS, и инкубировали при 37 °C и 5 % CO2 в течение 72 ч. Зараженные вирусом лунки определяли визуально по наличию цитопатического действия. Инфекционный титр рассчитывали по методу Рида и Менча, выражая в log10 ТЦИД50/мл [14]. Все процедуры с живым вирусом SARS-CoV-2 проводили в лаборатории уровня биобезопасности BSL-3.
Золотистые сирийские хомяки (Mesocricetus auratus) приобретены в питомнике ФГБУН «Научный центр биомедицинских технологий ФМБА», филиал «Столбовая». Животных содержали в стандартных условиях лабораторного вивария со свободным доступом к корму и воде. Исследование проводили в соответствии с Директивой 2010/63/EU [15].
Животных в возрасте 10 нед. и массой тела 140–160 г (по три особи в группе) заражали интраназально под легким эфирным наркозом вируссодержащей суспензией, доза 105 TCID50, объем 100 мкл. Контрольная группа животных получала раствор фосфатно-солевого буфера (PBS). В течение 5 сут после заражения наблюдали за клиническими симптомами заболевания и динамикой массы тела. Клиническую картину течения заболевания оценивали в баллах по определенным критериям. Внешний вид, состояние шерсти: 0 — нормальное, 1 — отсутствие ухода; взаимодействие с другими животными: 0 — нормальное; 1 — сниженное; корм, потребление: 0 — нормальное, 1 — сниженное; поведение на открытой площадке: 0 — активное, 1 — сниженное; реакция на то, как берут в руки: 0 — нормальная, 1 — сниженная.
На 5-е сутки для оценки уровня репликации вируса патоморфологических животных выводили из эксперимента путем передозировки эфира и асептически извлекали трахею, легкие, головной мозг, печень и почки. Ткани носовых ходов собирали только для вирусологических исследований. Перед извлечением органов легкие перфузировали 10 мл PBS через правый желудочек. Первично наличие патологических изменений оценивали при макроскопическом исследовании. Для гистопатологического анализа использовали одну долю легкого. Оставшуюся ткань взвешивали и гомогенизировали для определения вирусной нагрузки с помощью титрования на клетках Vero.
Фрагменты органов, предназначенные для гистологических исследований, фиксировали в 10 % растворе забуференного формалина (рН = 7,4) в течение 48 ч. После получения необходимых срезов была применена рутинная гистологическая проводка на гистопроцессоре Histo-Tek VP1 (Sakura, Япония) с последующим заключением образцов в парафиновые блоки. Изготовленные срезы толщиной 3 мкм окрашивали раствором гематоксилина и эозина. Микроскопию проводили на световом микроскопе LEICA DM1000. Измерения и фотофиксация — в пакете программ ADF Image Capture 4.17.
Морфометрическая оценка ткани легкого включала планиметрию воспалительного поражения при увеличении ×50 (окуляр ×10; объектив ×5). Площадь поражения выражали в процентах от общей площади среза. Размеры воздухоносного пространства оценивали с помощью среднего линейного интервала (MLI). Интервалы вычисляли между точками пересечения 10 параллельных тестовых линий со стенками альвеол и альвеолярных ходов в 10 случайных непересекающихся полях зрения при увеличении ×200 (окуляр ×10; объектив ×20). Из анализа исключали перегородки, строму, сосуды диаметром >20 мкм и участки компрессии легочной ткани [16]. Затем, не меняя поле зрения и увеличение, оценивали толщину межальвеолярных перегородок. Измерение проводили от внешнего края перегородки перпендикулярно к ее оси.
Полуколичественную оценку поражения легочной ткани для каждого животного осуществляли по модифицированной балльной методике T. Carrol и соавт. [17]. Отдельно определяли степень вовлечения воздухоносных путей, легочной паренхимы и сосудистого русла. Для каждого раздела сформировали балльные критерии.
- Повреждение воздухоносных путей рассчитывали по сумме баллов трех оцениваемых параметров патологии. (а) процент площади пораженных воздухоносных путей: 0 — интактные, 1 — <10 %, 2 — 10–25 %, 3 — 25–50 %, 4 — >50 %; (б) тяжесть повреждения воздухоносных путей: 0 — минимальные перибронхиальные/перибронхиолярные мононуклеарные инфильтраты, 1 — перибронхит/бронхиолит легкой степени, 2 — мононуклеарный или смешанно-клеточный перибронхиолит, от легкой до умеренной степени, 3 — выраженный смешанно-клеточный перибронхиолит с крупными очагами некроза бронхиолярного эпителия, но без атипичных или многоядерных клеток, 4 — выраженный бронхиолит и распространенный некроз эпителия и/или частые атипичные/синцитиальные клетки); (в) гиперплазия бронхиолярного эпителия: 0 — интактный, 1 — спорадическая гиперплазия бронхиолярного эпителия <10 % от площади дыхательных путей, 2 — гиперплазия бронхиолярного эпителия легкой и умеренной степени, 10–25 % просвета площади дыхательных путей, 3 — распространенная гиперплазия бронхиолярного эпителия и/или многоядерные синцитиальные клетки, занимающие более 25 % площади дыхательных путей.
- Повреждение легочной паренхимы рассчитывали по сумме баллов трех оцениваемых параметров патологии: (а) процент площади пораженных альвеол: 0 — интактные, 1 — <10 %, 2 — 10–25 %, 3 — 25–50 %, 4 — >50 %; (б) степень повреждения альвеол: 0 — в пределах нормы, 1 — перибронхиолярные первичные мононуклеарные воспалительные инфильтраты, распространяющиеся на соседние альвеолярные перегородки/пространства, 2 — мононуклеарное или смешанное воспаление легкой или умеренной степени, 3 — смешанное интерстициальное воспаление умеренной степени и/или альвеолярное повреждение, характеризующееся некрозом/потерей пневмоцитов I типа с замещением их кровоизлиянием, фибрином, отеком, некротическими остатками, 4 — выраженное альвеолярное воспаление (смешанное), повреждение альвеолярных перегородок + потеря нормальной гистоархитектоники с часто встречающимися синцитиальными клетками; (в) гиперплазия пневмоцитов II типа: 0 — нет, 1 — рассеянная гиперплазия пневмоцитов II типа, занимающая <10 % среза, 2 — гиперплазия пневмоцитов II типа легкой и средней степени, занимающая >10–15 % атипичных многоядерных клеток, 3 — распространенная гиперплазия пневмоцитов II типа, занимающая >25 % среза.
- Повреждение сосудистого русла рассчитывали по сумме баллов двух оцениваемых параметров патологии: (а) процент пораженных сосудов на срезе: 0 — нет, 1 — <10 %, 2 — 10–25 %, 3 — 25–50 %, 4 — >50 %; (б) сосудистые/периваскулярные поражения: 0 — интактные, 1 — многоочаговый периваскулярный отек / мононуклеарное периваскулярное воспаление легкой степени, 2 — умеренно выраженное мононуклеарное или смешанно-клеточное периваскулярное воспаление, отек или фибрин с лейкоцитами, спорадически трансмигрирующими в стенку сосуда / мультифокальный эндотелиит, 3 — выраженная смешанно-клеточная периваскулярная инфильтрация, отек / повреждение стенки сосуда и/или выраженный частый эндотелиит.
Статистическая обработка полученных результатов: дисперсионный анализ ANOVA с поправкой Тьюки на множественное сравнение. Различия считались достоверными при p < 0,05.
Результаты
Заражение сирийских хомяков коронавирусами SARS-CoV-2 генетических линий B.1 (Wuhan) и B.1.617.2 (Delta) вызывало выраженные клинические симптомы заболевания: животные теряли 12–17 % массы тела, ухудшалось их самочувствие, что выражалось в общей вялости, всклоченной шерсти, отсутствии аппетита и снижении подвижности (рис. 1). При этом достоверных различий в динамике массы тела между двумя исследуемыми группами не установлено (рис. 1, a), в то время как клиническая выраженность заболевания существенно различалась: животные, зараженные исходным штаммом В.1, в целом хуже переносили инфекцию, чем животные группы B.1.617.2 (рис. 1, b).
Рис. 1. Характеристика инфекционного процесса у сирийских хомяков, зараженных вирусами SARS-CoV-2 двух генетических линий B.1 и B.1.617.2, или получивших плацебо (PBS — фосфатно-солевой раствор): a — динамика изменения массы тела в течение 5 сут после заражения; b — интегральная оценка клинических проявлений болезни в течение 5 сут после заражения; c — детекция инфекционного вируса в различных тканях на 5-е сутки после заражения SARS-CoV-2. ANOVA с поправкой Тьюки на множественное сравнение: * p < 0,05; ** p < 0,01; *** p < 0,0001
Fig. 1. Parameters of infection process on Syrian hamsters after SARS-CoV-2 inoculation (two lines B.1 and B.1.617.2) and placebo treatment with phosphate buffered saline: a — dynamics of body weight loss (0–5 days); b — integral clinical sum of scores (5 days); c — viral titer in nasal tissue, lings, trachea, liver, kidney and brain (log10 TCID50/g tissue). ANOVA Tukey test: * p < 0.05; ** p < 0.01; *** p < 0.0001
Определение вирусной нагрузки в тканях животных на 5-й день после заражения показало достоверно более высокие титры штамма В.1 по сравнению с B.1.617.2 как в носовых ходах, так и в легких, что согласуется с более тяжелым течением инфекции в первой группе животных (рис. 1, c). В остальных органах инфекционный вирус не был обнаружен, что соответствует результатам опубликованных ранее исследований [7, 9].
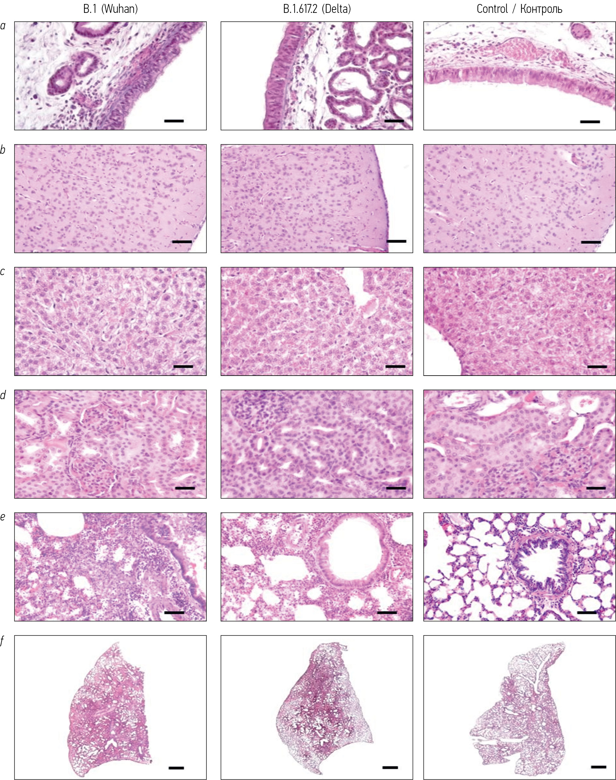
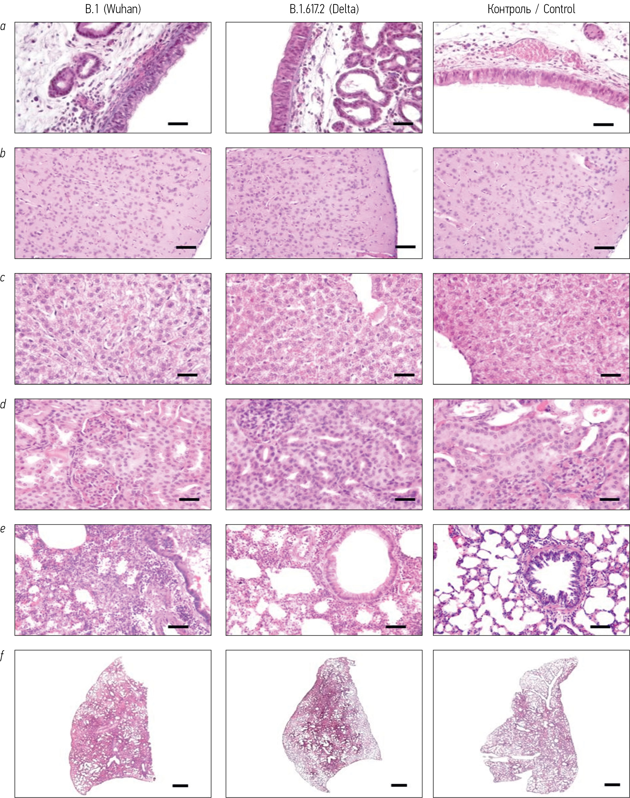
Во всех исследуемых группах гистоархитектоника трахеи соответствовала видовой норме. Эпителиальный покров представлен однослойным многорядным мерцательным эпителием. Реснички на апикальной поверхности эпителиоцитов сохранны на всем протяжении пласта. Количество бокаловидных клеток не увеличено. В собственной пластинке определяются единичные лимфоциты, сосуды умеренно полнокровны (рис. 2, a). Гистологическая оценка головного мозга, печени и почек так же не выявила воспалительных или дистрофических изменений. Гистоархитектоника органов всех исследуемых особей соответствовала видовой норме (рис. 2, b–d). Анализ гистологических срезов тканей легких хомяков выявил патологические изменения в группах животных, инфицированных вирусами В.1 и B.1.617.2. Патология легочной ткани носила одинаковый характер в обеих группах. Следует отметить, что особи, зараженные исходным вариантом В.1 (Wuhan), демонстрировали более выраженную степень поражения, по сравнению с группой В.1.617.2 (рис. 2, e, f). Как мы и предполагали, гистоархитектоника легких животных контрольной группы соответствовала норме (рис. 2, e, f).
Рис. 2. Гистология внутренних органов хомяков, нормальная гистоархитектоника: a — трахея; b — кора головного мозга; c — печень; d — почка. e, f — срезы тканей легких контрольных животных (PBS), а также после заражения двумя вирусами SARS-CoV-2 — B.1 (Wuhan) и B.1.617.2 (Delta). Окраска гематоксилином и эозином, увеличение ×200, масштабная линейка 100 мкм (a–e), увеличение ×50, масштабная линейка 1 мм (f)
Fig. 2. Histopathologic changes of internal organs: a — trachea; b — brain cortex; c — liver; d — kidney. e, f — lungs after treatment with placebo (PBS, control) and two SARS-CoV-2 viruses — B.1 (Wuhan) and B.1.617.2 (Delta). H&E stain, 200 (a–e) and 50 (f) magnification with scale line 100 µm (a–e), 1 mm (f)
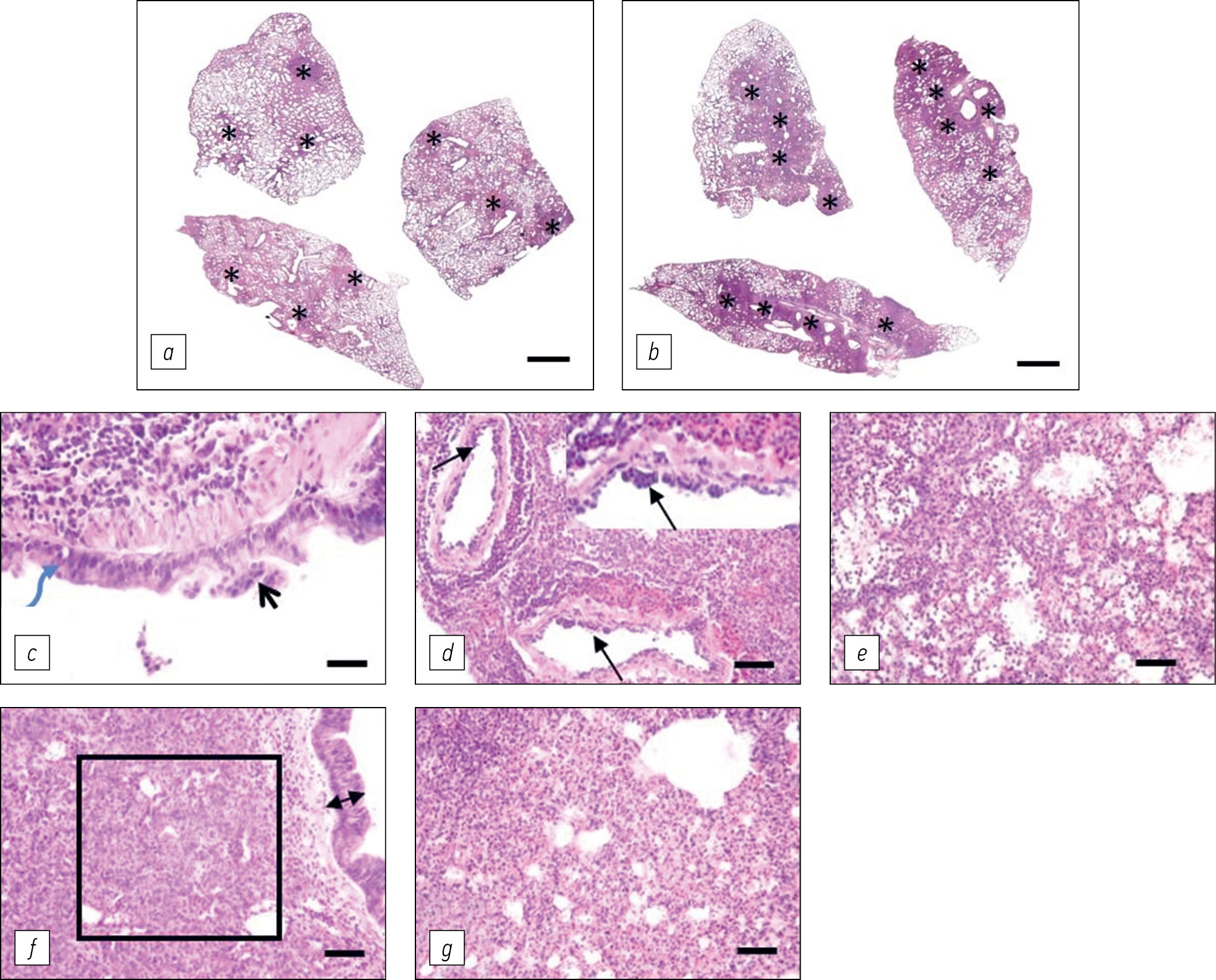
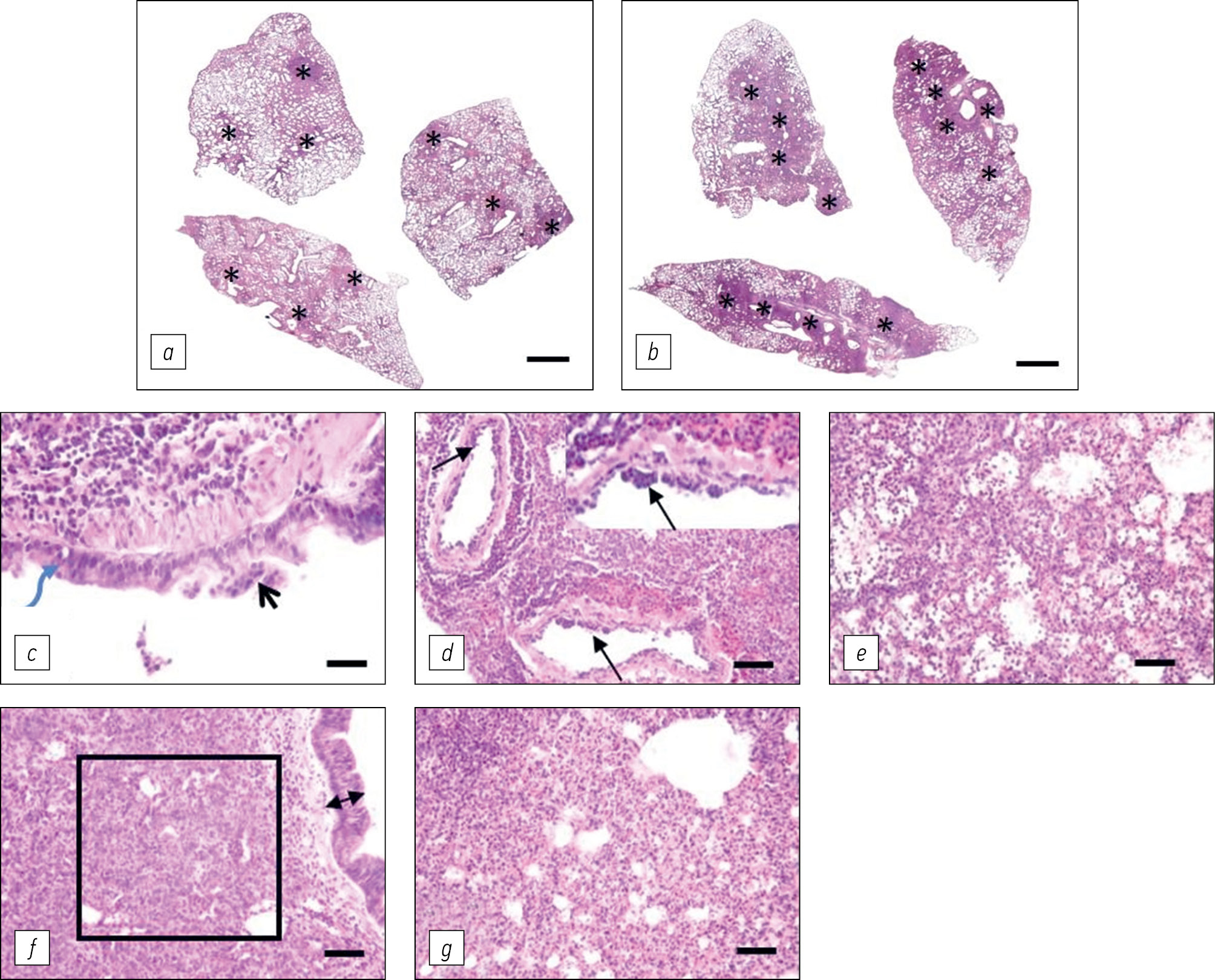
Наиболее значимые характерные изменения в гистологической картине тканей легких у инфицированных SARS-CoV-2 сирийских хомяков обеих исследуемых групп представлены на рис. 3. На панорамном снимке при малом увеличении ×50 во всех образцах экспериментальных групп определяются крупные перибронхиальные и перивазальные воспалительные фокусы, участки консолидации легочной ткани, крупные очаги интраальвеолярных кровоизлияний. Обширные субплевральные участки легких эмфизематозно трансформированы. Участки воспалительной инфильтрации носят фокальный, локализованный характер (рис. 3, a), также определяются сливные участки пневмонии, занимающие значительную площадь среза (рис. 3, b). Несмотря на более выраженный характер повреждений легких у хомяков группы В.1, проведенный морфометрический анализ не выявил существенных различий между двумя штаммами SARS-CoV-2 по площади воспалительных инфильтратов, предположительно ввиду малого количества животных в каждой группе (рис. 4, a).
Рис. 3. Характерные особенности патологических изменений тканей легких хомяков, инфицированных вирусом SARS-CoV-2: a — локализованные бронхогенные воспалительные фокусы; b — распространенные сливные воспалительные поля; звездочка — очаги смешанноклеточной инфильтрации легочной ткани; c — пример гнойно-некротического бронхиолита, стенка бронха инфильтрирована полиморфноядерными лейкоцитами и лимфоцитами, частично разрушена, фокусы некроза эпителия (голубая стрелка), гиперплазия, синцитиальная трансформация мерцательного эпителия (черная стрелка); d — сепарация эндотелия от базальной мембраны воспалительным инфильтратом (стрелки), отек медии и массивный перивазальный смешанно-клеточный инфильтрат; e — утолщение межальвеолярных перегородок за счет мононуклеарной инфильтрации и отека, фибрин, клеточный детрит и макрофагальная инфильтрация в просвете альвеол, обширное интраальвеолярное кровоизлияние; f — указан фокус бронхиолярной метаплазии альвеолярного эпителия, также встречается рассеянная гиперплазия альвеолоцитов II типа на фоне смешанноклеточной инфильтрации межальвеолярных перегородок, гиперплазия бронхиолярного эпителия (двойная стрелка); g — диффузное альвеолярное повреждение — смешанно-клеточный воспалительный инфильтрат, состоящий преимущественно из лимфоцитов, полиморфнонуклеарных лейкоцитов, макрофагов на фоне клеточного детрита и разрушенных альвеол. Окраска гематоксилином и эозином, увеличение ×50, масштабная линейка 2 мм (a–b), увеличение ×200, масштабная линейка 100 мкм (c–g)
Fig. 3. Typical histopathologic features of the SARS-CoV-2 induced lung pathology: a — localized bronchogenic inflammatory foci; b — abundant inflammatory fields extending further in the lung tissue; asterisk — foci and/or diffuse mixed cell infiltrate; c — suppurative bronchiolitis — polymorphonuclear leukocytes and lymphocytes infiltrating partially ruptured bronchiolar wall; foci of necrotized (blue arrow) and syncytial multinucleated cell transformation (black arrow) bronchiolar epithelium; d — endothelialitis — endothelium lift off basal lamina by transmigrating inflammatory cells (arrows), severe vessel wall edema and abundant perivascular cuffing with mixed cell infiltrate; e — mononuclear infiltration and interalveolar septa thickening, prevailing intraalveolar edema with intraluminal hemorrhage, fibrin, cell debris and transmigrating macrophages; f — bronchiolar metaplasia of the alveolar epitelium, scattered type II pneumocyte hyperplasia amid the inflammatory alveolar lesion, also noted bronchiolar epithelium hyperplasia with cells pilling up (double arrow); g — diffuse alveolar damage — mixed inflammatory infiltrate: prevailing cells are lymphocytes, polymorphonuclear leukocytes and macrophages against the background of the intraalveolar edema and loss of structure. H&E stain, 50 magnification, scale line 2 mm (a–b), 200 magnification, scale line 100 µm (c–g)
При увеличении ×200 на срезах легких зараженных животных в просвете бронхов и бронхиол обнаруживается значительное количество экссудата и клеточного детрита с лимфогистиоцитарной примесью. Бронхиолярный эпителий гиперплазирован, отечен, определяются фокусы некроза и формирования гигантских многоклеточных синцитиев (рис. 3, c). Смешанно-клеточные лимфогистиоцитарные инфильтраты располагаются субэпителиально в стенке бронха, частично лизируя ее, и распространяются в окружающую паренхиму. При этом полуколичественная интегральная оценка тяжести поражения воздухоносных путей также не выявила различий в степени вовлеченности в патологический процесс бронхов и бронхиол у животных из групп В.1 и В.1.617.2 (рис. 4, b).
Сосуды на срезах легких инфицированных хомяков неравномерно полнокровны. Эндотелий сосудов отечен, частично сепарирован от базальной мембраны скоплениями лимфоцитов и полиморфноядерных лейкоцитов (рис. 3, d). Медиа и адвентиция отечны, значительно инфильтрированы. Перивазально распространяются обширные смешанно-клеточные инфильтраты. При этом полуколичественная оценка сосудистых повреждений не выявила достоверных различий между двумя исследуемыми группами животных (рис. 4, c).
Межальвеолярные перегородки в большинстве полей зрения отечны, инфильтрированы лимфоцитами и полиморфноядерными лейкоцитами (рис. 3, e). Если полуколичественная оценка легочной/альвеолярной патологии не выявила существенных различий между В.1 и В.1.617.2 вирусами SARS-CoV-2 (рис. 4, d), то морфометрический анализ толщины межальвеолярных перегородок показал значительное увеличение данного показателя у группы В.1 по сравнению с В.1.617.2, при этом обе группы достоверно отличались от контрольных образцов (рис. 4, e).
Помимо описанных выше поражений были определены фокусы бронхиолярной метаплазии альвеолярного эпителия и участки гиперплазии альвеолоцитов II типа (рис. 3, f). В областях наиболее тяжелого поражения межальвеолярные перегородки разрушены, респираторное пространство заполнено фибрином, клеточным детритом и массивным полиморфноклеточным инфильтратом (рис. 3, g). Морфометрическая оценка воздухоносного пространства посредством измерения MLI продемонстрировала неоднородный характер поражения легочной ткани в экспериментальных подгруппах (рис. 4, f). Большая дисперсия показателя MLI связана со значительным распространением эмфизематозно расширенных полей в сочетании с коллапсом легочной ткани на периферии пневмонических очагов. Соответственно показатель MLI нельзя считать информативным при патоморфологическом изучении SARS-CoV-2-индуцированной патологии легких сирийских хомяков, поскольку он не позволяет выявлять различия между двумя штаммами вируса, существенно различающихся по клинической выраженности заболевания на данной модели животных.
Рис. 4. Морфометрические показатели патологических изменений в тканях легких сирийских хомяков на 5-й день после заражения SARS-CoV-2: a — вовлеченность легочной ткани в воспалительный процесс, %; b — полуколичественный анализ патологии воздухоносных путей; c — полуколичественный анализ сосудистых поражений; d — полуколичественный анализ легочной/альвеолярной патологии; e — толщина межальвеолярных перегородок; f — показатель MLI. PBS — фосфатно-солевой раствор. ANOVA с поправкой Тьюки на множественное сравнение: * p < 0,05; ** p < 0,01; *** p < 0,001; **** p < 0,0001
Fig. 4. Morphometric lung data, obtained at 5th day after SARS-CoV-2 infection: a —percentage of the lung tissue affected by the inflammatory lesions; b — airway semiquantitative assessment; c — vessel bed semiquantitative assessment; d — alveolar lesions semiquantitative assessment; e — alveolar wall thickness; f — MLI. PBS — phosphate buffered saline. ANOVA Tukey test: * p < 0.05; ** p < 0.01; *** p < 0.001; **** p < 0.0001
Обсуждение
Итак, мы установили, что коронавирусы активно реплицировались в носовых ходах и легких сирийских хомяков, демонстрируя ярко выраженную клиническую картину заболевания [18–22]. Инфекция SARS-CoV-2 обусловливает специфические поражения в тканях легких, поэтому в опубликованных работах чаще всего приводят исследование вовлеченности тканей легких (процент поражений) или интегральную оценку поражений по балльной системе.
В процессе детального изучения патоморфологических изменений в тканях легких сирийских хомяков на фоне новой коронавирусной инфекции мы проводили заражение двумя штаммами SARS-CoV-2, отличающимися по клинической выраженности заболевания. Поскольку клиническая картина двух вирусов отличалась, а специфические патологические изменения обнаружены только в тканях легких, было важно найти такие морфометрические показатели, которые отражали бы степень патогенности вируса, чтобы в дальнейшем можно было оценивать защитный эффект профилактических и терапевтических препаратов на данной модели животных. В нашем исследовании не было выявлено достоверных различий в среднем линейном интервале (MLI) между двумя исследованными штаммами, а также в интегральных полуколичественных оценках патологии легких на уровне воздухоносных путей, альвеолярных и сосудистых повреждений. Расширенный морфометрический анализ различных патологических изменений тканей легких показал, что измерение толщины межальвеолярных перегородок оказалось наиболее чувствительным критерием степени повреждения легких у сирийских хомяков на фоне коронавирусной инфекции. Утолщение межальвеолярных перегородок в экссудативную фазу диффузного альвеолярного повреждения обусловлено преимущественно отеком, миграцией лейкоцитов и гиперплазией пневмоцитов. Такой процесс стереотипен и наблюдается при широком спектре легочной патологии, особенно инфекционного генеза. Однако этот параметр, даже при малом количестве животных в группе позволяет выявить достоверные различия между экспериментальными животными, проявляющими разную клиническую выраженность заболевания.
Заключение
В настоящем исследовании показано, что вирус SARS-CoV-2 линии Дельта (В.1.617.2) менее патогенен для сирийских хомяков по сравнению с исходным штаммом, циркулировавшим в первую волну пандемии COVID-19 (В.1). Углубленная гистопатологическая характеристика срезов тканей легких инфицированных животных позволила нам выявить наиболее чувствительный морфометрический показатель, отражающий степень выраженности SARS-CoV-2-индуцированной патологии, — толщина межальвеолярных перегородок. Данный показатель позволяет определить даже незначительные различия степени выраженности вирусиндуцированной патологии и может применяться в доклинических исследованиях профилактических и терапевтических препаратов при разработке средств лечения COVID-19.
Дополнительная информация
Источник финансирования. Исследование выполнено при поддержке Российского научного фонда (грант № 21-75-30003).
Соблюдение этических норм. Исследование одобрено на заседании локального этического комитета ФГБНУ «Института экспериментальной медицины» (№ 1/22 от 18.02.2022).
Конфликт интересов. Авторы декларирует отсутствие явных и потенциальных конфликтов интересов, связанных с подготовкой и публикацией настоящей статьи.
Вклад авторов. Все авторы внесли существенный вклад в разработку концепции, проведение исследования и подготовку статьи, прочли и одобрили финальную версию перед публикацией. Наибольший вклад распределен следующим образом: И.Н. Исакова-Сивак — идея, план исследований; К.С. Яковлев, Д.А. Меженская, К.В. Сивак — проведение экспериментов, анализ данных; Л.Г. Руденко — общее руководство, обсуждение результатов.
Additional information
Funding sources. The study was funded by the Russian Science Foundation grant No. 21-75-30003.
Compliance with ethical standards. The study was approved by the local Ethical Committee of the Institute of Experimental Medicine (No. 1/22 by 18.02.2022).
Competing interests. The authors declare the absence of obvious and potential conflicts of interest related to the publication of this article.
Authors̕ contribution. All authors made a significant contribution to the development of the concept and preparation of the article, read and approved the final version before publication. The largest contribution is distributed as follows: I.N. Isakova-Sivak — concept, research plan; K.S. Yakovlev, D.A. Mezhenskaya, K.V. Sivak — conducting experiments, their interpretation; L.G. Rudenko — project administration and data analysis.
Об авторах
Кирилл Сергеевич Яковлев
Научно-исследовательский институт гриппа имени А.А. Смородинцева
Email: kirikus-fly@yandex.ru
ORCID iD: 0000-0001-7000-3467
лаборант-исследователь отдела доклинических исследований
Россия, Санкт-ПетербургДарья Андреевна Меженская
Институт экспериментальной медицины
Автор, ответственный за переписку.
Email: dasmez@iemspb.ru
ORCID iD: 0000-0001-6922-7682
SPIN-код: 5799-8802
Scopus Author ID: 57188763106
научный сотрудник лаборатории иммунологии и профилактики вирусных инфекций отдела вирусологии им. А.А. Смородинцева
Россия, Санкт-ПетербургКонстантин Владимирович Сивак
Научно-исследовательский институт гриппа имени А.А. Смородинцева
Email: kvsivak@gmail.com
ORCID iD: 0000-0003-4064-5033
SPIN-код: 7426-8322
Scopus Author ID: 35269910300
канд. биол. наук, заведующий отделом доклинических исследований
Россия, Санкт-ПетербургЛариса Георгиевна Руденко
Институт экспериментальной медицины
Email: vaccine@mail.ru
ORCID iD: 0000-0002-0107-9959
SPIN-код: 4181-1372
Scopus Author ID: 7005033248
д-р мед. наук, профессор, заведующая отделом вирусологии им. А.А. Смородинцева
Россия, Санкт-ПетербургИрина Николаевна Исакова-Сивак
Институт экспериментальной медицины
Email: isakova.sivak@iemspb.ru
ORCID iD: 0000-0002-2801-1508
SPIN-код: 3469-3600
Scopus Author ID: 23973026600
д-р биол. наук, заведующая лабораторией иммунологии и профилактики вирусных инфекций отдела вирусологии им. А.А. Смородинцева
Россия, Санкт-ПетербургСписок литературы
- Zhu N., Zhang D., Wang W. et al. A novel coronavirus from patients with pneumonia in China, 2019 // N. Engl. J. Med. 2020. Vol. 382, No. 8. P. 727–733. doi: 10.1056/NEJMoa2001017
- Anonymous. Worldometer of COVID-19 coronavirus pandemic [Электронный ресурс]. Режим доступа: https://www.worldometers.info/coronavirus/. Дата обращения: 13.06.2022.
- Chu H., Chan J.F., Yuen K.Y. Animal models in SARS-CoV-2 research // Nat Methods. 2022. Vol. 19, No. 4. P. 392–394. doi: 10.1038/s41592-022-01447-w
- Munoz-Fontela C., Dowling W.E., Funnell S.G.P. et al. Animal models for COVID-19 // Nature. 2020. Vol. 586, No. 7830. P. 509–515. doi: 10.1038/s41586-020-2787-6
- Bednash J.S., Kagan V.E., Englert J.A. et al. Syrian hamsters as a model of lung injury with SARS-CoV-2 infection: Pathologic, physiologic, and detailed molecular profiling // Transl. Res. 2022. Vol. 240. P. 1–16. doi: 10.1016/j.trsl.2021.10.007
- Sia S.F., Yan L.M., Chin A.W.H. et al. Pathogenesis and transmission of SARS-CoV-2 in golden hamsters // Nature. 2020. Vol. 583, No. 7818. P. 834–838. doi: 10.1038/s41586-020-2342-5
- Imai M., Iwatsuki-Horimoto K., Hatta M. et al. Syrian hamsters as a small animal model for SARS-CoV-2 infection and countermeasure development // Proc. Natl. Acad. Sci. USA. 2020. Vol. 117, No. 28. P. 16587–16595. doi: 10.1073/pnas.2009799117
- Mohandas S., Yadav P.D., Shete A. et al. SARS-CoV-2 delta variant pathogenesis and host response in Syrian hamsters // Viruses. 2021. Vol. 13, No. 9. P. 1773. doi: 10.3390/v13091773
- Francis M.E., Goncin U., Kroeker A. et al. SARS-CoV-2 infection in the Syrian hamster model causes inflammation as well as type I interferon dysregulation in both respiratory and non-respiratory tissues including the heart and kidney // PLoS Pathog. 2021. Vol. 17, No. 7. P. e1009705. doi: 10.1371/journal.ppat.1009705
- Moghaddar M., Radman R., Macreadie I. Severity, pathogenicity and transmissibility of delta and lambda variants of SARS-CoV-2, toxicity of spike protein and possibilities for future prevention of COVID-19 // Microorganisms. 2021. Vol. 9, No. 10. P. 2167. doi: 10.3390/microorganisms9102167
- Yuan S., Ye Z.W., Liang R. et al. Pathogenicity, transmissibility, and fitness of SARS-CoV-2 Omicron in Syrian hamsters // Science. 2022. Vol. 377, No. 6604. P. 428–433. doi: 10.1126/science.abn8939
- Matyushenko V., Isakova-Sivak I., Kudryavtsev I. et al. Detection of IFNgamma-secreting CD4(+) and CD8(+) memory t cells in COVID-19 convalescents after stimulation of peripheral blood mononuclear cells with live SARS-CoV-2 // Viruses. 2021. Vol. 13, No. 8. P. 1490. doi: 10.3390/v13081490
- Sokolov A., Isakova-Sivak I., Grudinina N. et al. Ferristatin II efficiently inhibits SARS-CoV-2 replication in vero cells // Viruses. 2022. Vol. 14, No. 2. P. 317. doi: 10.3390/v14020317
- Reed L.J., Muench H. A Simple method of estimating fifty per cent endpoints // Am. J. Epidemiol. 1938. Vol. 27, No. 3. P. 493–497. doi: 10.1093/oxfordjournals.aje.a118408
- Directive 2010/63/EU of the European Parliament 263 and of the Council 264 of 22 September 2010 on the protection of animals used for scientific purposes // Official Journal of the European Union. 2010. Vol. 53. P. 33–79.
- Hsia C.C., Hyde D.M., Ochs M. et al. An official research policy statement of the American Thoracic Society/European Respiratory Society: standards for quantitative assessment of lung structure // Am. J. Respir. Crit. Care Med. 2010. Vol. 181, No. 4. P. 394–418. doi: 10.1164/rccm.200809-1522ST
- Carroll T., Fox D., van Doremalen N. et al. The B.1.427/1.429 (epsilon) SARS-CoV-2 variants are more virulent than ancestral B.1 (614G) in Syrian hamsters // PLoS Pathog. 2022. Vol. 18, No. 2. P. e1009914. doi: 10.1371/journal.ppat.1009914
- Fischer R.J., van Doremalen N., Adney D.R. et al. ChAdOx1 nCoV-19 (AZD1222) protects Syrian hamsters against SARS-CoV-2 B.1.351 and B.1.1.7 // bioRxiv. 2021. doi: 10.1101/2021.03.11.435000
- Van der Lubbe J.E.M., Rosendahl Huber S.K., Vijayan A. et al. Ad26.COV2.S protects Syrian hamsters against G614 spike variant SARS-CoV-2 and does not enhance respiratory disease // NPJ Vaccines. 2021. Vol. 6, No. 1. P. 39. doi: 10.1038/s41541-021-00301-y
- Tamming L.A., Duque D., Tran A. et al. DNA based vaccine expressing SARS-CoV-2 Spike-CD40L fusion protein confers protection against challenge in a Syrian hamster model // Front. Immunol. 2021. Vol. 12. P. 785349. doi: 10.3389/fimmu.2021.785349
- Johnson S., Martinez C.I., Tedjakusuma S.N. et al. Oral vaccination protects against severe acute respiratory syndrome coronavirus 2 in a Syrian hamster challenge model // J. Infect. Dis. 2022. Vol. 225, No. 1. P. 34–41. doi: 10.1093/infdis/jiab561
- Kulkarni R., Chen W.C., Lee Y. et al. Vaccinia virus-based vaccines confer protective immunity against SARS-CoV-2 virus in Syrian hamsters // PLoS One. 2021. Vol. 16, No. 9. P. e0257191. doi: 10.1371/journal.pone.0257191
Дополнительные файлы






