Влияние метилглиоксаля на течение острого повреждения легких у мышей при экспериментальном инфицировании вирусом гриппа A(H1N1)PDM09
- Авторы: Александров А.Г.1, Саватеева-Любимова Т.Н.1, Мужикян А.А.1
-
Учреждения:
- ФГБУ «Научно-исследовательский институт гриппа им. А.А. Смородинцева» Минздрава России
- Выпуск: Том 19, № 1 (2019)
- Страницы: 65-72
- Раздел: Оригинальные исследования
- Статья опубликована: 02.07.2019
- URL: https://journals.eco-vector.com/MAJ/article/view/15191
- DOI: https://doi.org/10.17816/MAJ19165-72
- ID: 15191
Цитировать
Полный текст
Аннотация
Цель исследования. Изучение влияния 2-оксопропаналя (метилглиоксаль) на течение вирус-индуцированного острого повреждения легких.
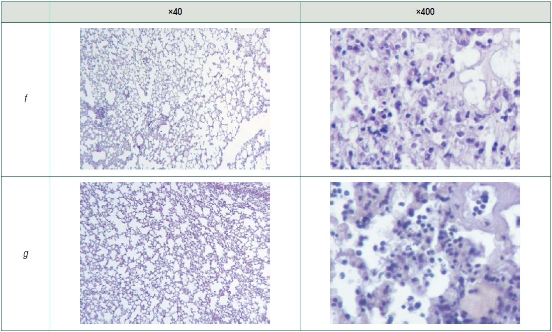
Материалы и методы. Исследование проведено на взрослых аутбредных самках мыши. Метилглиоксаль вводили подкожно в дозе 50 мг/кг/сут в течение 14 дней до инфицирования. С целью моделирования вирусной инфекции использовали штамм вируса гриппа A(H1N1)pdm09 в дозе, равной 0,75 расчетной величины LD50. На 4, 7 и 14-е сутки после инфицирования выполняли гематологическое исследование цельной крови, патоморфологическое и гистологическое исследование легких. Степень поражения легочной ткани оценивали полуколичественным методом.
Результаты. Метилглиоксаль вызвал двукратное повышение летальности и площади поражения легких (р < 0,05), в том числе за счет структурных изменений, характерных для воспалительного процесса. Изменения носили прогредиентный характер. У животных с вирусной инфекцией отмечено повышение индекса соотношения нейтрофилов и лимфоцитов в среднем в 2,5 раза (р < 0,05 по отношению к интактным животным).
Заключение. Внутриклеточный предшественник AGEs метилглиоксаль усугублял тяжесть течения острого повреждения легких, индуцированного вирусом гриппа A(H1N1)pdm09, у мышей за счет значимого влияния на степень выраженности поражения легочной ткани и уровень летальности опытных животных.
Ключевые слова
Полный текст
Об авторах
Андрей Георгиевич Александров
ФГБУ «Научно-исследовательский институт гриппа им. А.А. Смородинцева» Минздрава России
Автор, ответственный за переписку.
Email: forphchemistry@gmail.com
ORCID iD: 0000-0001-9212-3865
аспирант лаборатории безопасности лекарственных средств
Россия, Санкт-ПетербургТатьяна Николаевна Саватеева-Любимова
ФГБУ «Научно-исследовательский институт гриппа им. А.А. Смородинцева» Минздрава России
Email: drugs_safety@mail.ru
ORCID iD: 0000-0003-4516-3308
д-р мед. наук, профессор, ведущий научный сотрудник лаборатории безопасности лекарственных средств
Россия, Санкт-ПетербургАрман Артушович Мужикян
ФГБУ «Научно-исследовательский институт гриппа им. А.А. Смородинцева» Минздрава России
Email: vetdiagnostics.spb@gmail.com
ORCID iD: 0000-0002-7093-0014
канд. ветеринар. наук, ведущий научный сотрудник лаборатории безопасности лекарственных средств
Россия, Санкт-ПетербургСписок литературы
- Грипп у взрослых: методические рекомендации по диагностике, лечению, специфической и неспецифической профилактике / Под ред. А.Г. Чучалина, Т.В. Сологуб. – СПб.: НП-Принт, 2014. – 192 с. [Gripp u vzroslykh: metodicheskie rekomendatsii po diagnostike, lecheniyu, spetsificheskoy i nespetsificheskoy profilaktike. Ed. by A.G. Chuchalin, T.V. Sologub. Saint Petersburg: NP-Print; 2014. 192 p. (In Russ.)]
- Киселев О.И. Пандемии начала XXI века. Грипп птиц и пандемия «свиного» гриппа H1N1 2009 г. – СПб.: Фолиант, 2016. – 368 с. [Kiselev OI. Pandemii nachala XXI veka. Gripp ptits i pandemiya “svinogo” grippa H1N1 2009 g. Saint Petersburg: Foliant; 2016. 368 p. (In Russ.)]
- Чурляев Ю.А., Вереин М.Ю., Кан С.Л., и др. Острый респираторный дистресс-синдром при тяжелой черепно-мозговой травме // Общая реаниматология. – 2009. – Т. 5. – № 2. – С. 21–26. [Churlyaev YA, Verein MY, Kan SL, et al. Acute respiratory distress syndrome in severe brain injury. General Reanimatology. 2009;5(2):21-26. (In Russ.)]. https://doi.org/10.15360/1813-9779-2009-2-21.
- Фастова И.А., Губанова Е.И. Синдром острого повреждения легких при экспериментальном перитоните // Вестник новых медицинских технологий. – 2012. – Т. 19. – № 2. – С. 114–117. [Fastova IA, Gubanova EI. Acute lungs injury syndrome in experimental peritonitis. Journal of new medical technologies. 2012;19(2):114-117. (In Russ.)]
- Росстальная А.Л., Сабиров Д.М., Акалаев Р.Н., и др. Острое повреждение легких: спорные вопросы и нерешенные проблемы (обзор литературы) // Журнал им. Н.В. Склифосовского Неотложная медицинская помощь. – 2016. – № 3. – С. 66–72. [Rosstalnaya AL, Sabirov DM, Akalaev RN, et al. Acute lung injury: issues and remaining challenges (a literature review). Neotlozhnaia meditsinskaia pomoshch. 2016;(3):66-72. (In Russ.)]
- Short KR, Kroeze EJBV, Fouchier RAM, Kuiken T. Pathogenesis of influenza-induced acute respiratory distress syndrome. Lancet Infect Dis. 2014;14(1):57-69. https://doi.org/10.1016/s1473-3099(13)70286-x.
- Kim KM, Jung DH, Jang DS, et al. Puerarin suppresses AGEs-induced inflammation in mouse mesangial cells: a possible pathway through the induction of heme oxygenase-1 expression. Toxicol Appl Pharmacol. 2010;244(2):106-113. https://doi.org/10.1016/j.taap.2009.12.023.
- Byun K, Yoo Y, Son M, et al. Advanced glycation end-products produced systemically and by macrophages: A common contributor to inflammation and degenerative diseases. Pharmacol Ther. 2017;177:44-55. https://doi.org/10.1016/j.pharmthera.2017.02.030.
- Singh R, Barden A, Mori T, Beilin L. Advanced glycation end-products: a review. Diabetologia. 2001;44(2):129-146. https://doi.org/10.1007/s001250051591.
- Балаболкин М.И. Роль гликирования белков, окислительного стресса в патогенезе сосудистых осложнений при сахарном диабете // Сахарный диабет. – 2002. – Т. 5. – № 4. – С. 8–16. [Balabolkin MI. Rol’ glikirovaniya belkov, okislitel’nogo stressa v patogeneze sosudistykh oslozhneniy pri sakharnom diabete. Diabetes mellitus. 2002;5(4):8-16. (In Russ.)]. https://doi.org/10.14341/DM200248-16.
- Ahmed N, Thornalley PJ. Роль конечных продуктов гликирования в патогенезе осложнений сахарного диабета // РМЖ. – 2009. – Т. 17. – № 9. – С. 642–650. [Ahmed N, Thornalley PJ. Rol’ konechnykh produktov glikirovaniya v patogeneze oslozhneniy sakharnogo diabeta. RMZh. 2009;17(9):642-650. (In Russ.)]
- Подачина С.В. Роль блокаторов конечного гликирования белков в формировании неврологических осложнений сахарного диабета // Фарматека. – 2011. – № 16. – С. 37–42. [Podachina SV. Role of glycation end-products blockers in the development of neurologic complications of diabetes mellitus. Farmateka. 2011;(16):37-42. (In Russ.)]
- Спасов A.A., Соловьева О.А., Кузнецова В.А. Гликирование белков при сахарном диабете и возможности его фармакологической коррекции (обзор) // Химико-фармацевтический журнал. – 2017. – Т. 51. – № 6. – C. 3–7. [Spasov AA, Solov’eva OA, Kuznetsova VA. Protein glycation during diabetes mellitus and the possibility of its pharmacological correction (Review). Pharmaceutical chemistry journal. 2017;51(6):3-7. (In Russ.)]
- Урбах В.Ю. Статистический анализ в биологических и медицинских исследованиях. – М.: Медицина, 1975. – 296 с. [Urbakh VY. Statisticheskiy analiz v biologicheskikh i meditsinskikh issledovaniyakh. Moscow: Meditsina; 1975. 296 p. (In Russ.)]
- Ожередова Н.А., Веревкин М.Н., Светлакова Е.В. Общая вирусология: Методические указания. – Ставрополь: АГРУС, 2013. – 50 с. [Ozheredova NA, Verevkina MN, Svetlakov EV. Obshchaya virusologiya: Metodicheskie ukazaniya. Stavropol’: AGRUS; 2013. 50 p. (In Russ.)]
- Golej J, Hoeger H, Radner W, et al. Oral administration of methylglyoxal leads to kidney collagen accumulation in the mouse. Life Sci. 1998;63(9):801-807. https://doi.org/10.1016/s0024-3205(98)00336-1.
- Matute-Bello G, Downey G, Moore BB, et al. An official American Thoracic Society workshop report: features and measurements of experimental acute lung injury in animals. Am J Respir Cell Mol Biol. 2011;44(5):725-738. https://doi.org/10.1165/rcmb.2009-0210ST.
- Preusse M, Schughart K, Wilk E, et al. Hematological parameters in the early phase of influenza A virus infection in differentially susceptible inbred mouse strains. BMC Res Notes. 2015;8:225. https://doi.org/10.1186/s13104-015-1195-8.
- Di Loreto S, Caracciolo V, Colafarina S, et al. Methylglyoxal induces oxidative stress-dependent cell injury and up-regulation of interleukin-1beta and nerve growth factor in cultured hippocampal neuronal cells. Brain Res. 2004;1006(2):157-167. https://doi.org/10.1016/j.brainres.2004.01.066.
- Baig MH, Jan AT, Rabbani G, et al. Methylglyoxal and Advanced Glycation End products: Insight of the regulatory machinery affecting the myogenic program and of its modulation by natural compounds. Sci Rep. 2017;7(1):5916. https://doi.org/10.1038/s41598-017-06067-5.
Дополнительные файлы






