Поражения структур головного мозга при ВИЧ-инфекции
- Авторы: Трофимова Т.Н.1,2,3, Рассохин В.В.1,3,4, Леонова О.Н.1, Шеломов А.С.1, Яковлев А.А.5, Азовцева О.В.6, Бакулина Е.Г.2, Беляков Н.А.1,3,4
-
Учреждения:
- ФГБОУ ВО «Первый Санкт-Петербургский государственный медицинский университет им. акад. И.П. Павлова»
- ФГБУН «Институт мозга человека им. Н.П. Бехтеревой» РАН
- ФГБНУ «Институт экспериментальной медицины»
- ФБУН «НИИ эпидемиологии и микробиологии имени Пастера»
- ФГБОУ ВО «Санкт-Петербургский государственный университет»
- ФГБОУ ВО «Новгородский государственный университет имени Ярослава Мудрого»
- Выпуск: Том 19, № 3 (2019)
- Страницы: 83-95
- Раздел: Клинические исследования и практика
- Статья опубликована: 26.12.2019
- URL: https://journals.eco-vector.com/MAJ/article/view/15376
- DOI: https://doi.org/10.17816/MAJ19383-95
- ID: 15376
Цитировать
Полный текст
Аннотация
Особенность эпидемии ВИЧ-инфекции в настоящее время заключается в большом количестве коморбидных и тяжелых форм заболевания с частым вовлечением в патологический процесс головного мозга. Поражения головного мозга могут быть первичными, вызванными самим вирусом иммунодефицита человека, и вторичными, обусловленными развитием оппортунистических и вторичных заболеваний и новообразований. Правильная и своевременная расшифровка природы поражения головного мозга необходима для выбора тактики лечения и, как следствие, снижения летальности.
Цель — изучить радиологические проявления поражения головного мозга при ВИЧ-инфекции в условиях ургентного и планового поступления больных в специализированные стационары.
Материалы и методы исследования. В работе исследованы клинические и радиологические проявления поражения головного мозга у ВИЧ-инфицированных больных, поступающих в различные лечебные учреждения с диагнозом «ВИЧ-инфекция». Лучевое обследование головного мозга проводили взрослым ВИЧ-инфицированным пациентам (n = 410) при помощи магнитно-резонансной томографии с внутривенным контрастированием. Окончательный диагноз определяли с учетом клинических, лабораторных, радиологических исследований по Международной классификации болезней 10-го пересмотра в соответствии с отечественными требованиями формулирования коморбидного диагноза.
Заключение. Для правильной расшифровки природы поражения головного мозга необходимо использовать комплексные исследования, в том числе клинико-лабораторные и лучевые методы. Магнитно-резонансная томография с внутривенным контрастированием является методом выбора при обследовании головного мозга у ВИЧ-инфицированных пациентов.
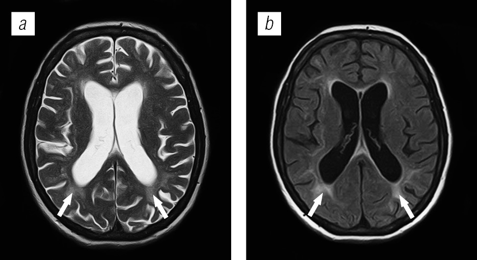
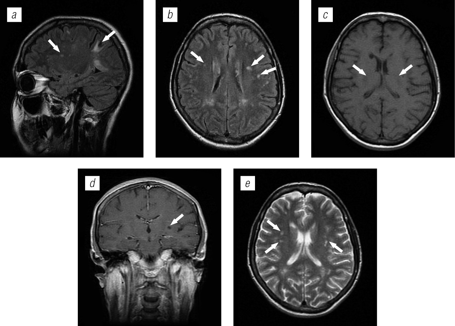
Структура поражения головного мозга у ВИЧ-инфицированных больных имела различную природу: в 54,4 % случаев обнаружены признаки оппортунистических и вторичных заболеваний, в 24,9 % — признаки ВИЧ-энцефалопатии, в 13,2 % — признаки неспецифических изменений мелких сосудов головного мозга, указывающие на преждевременное старение или аномалию развития; в 7,56 % признаки вовлечения головного мозга в патологический процесс не выявлены.
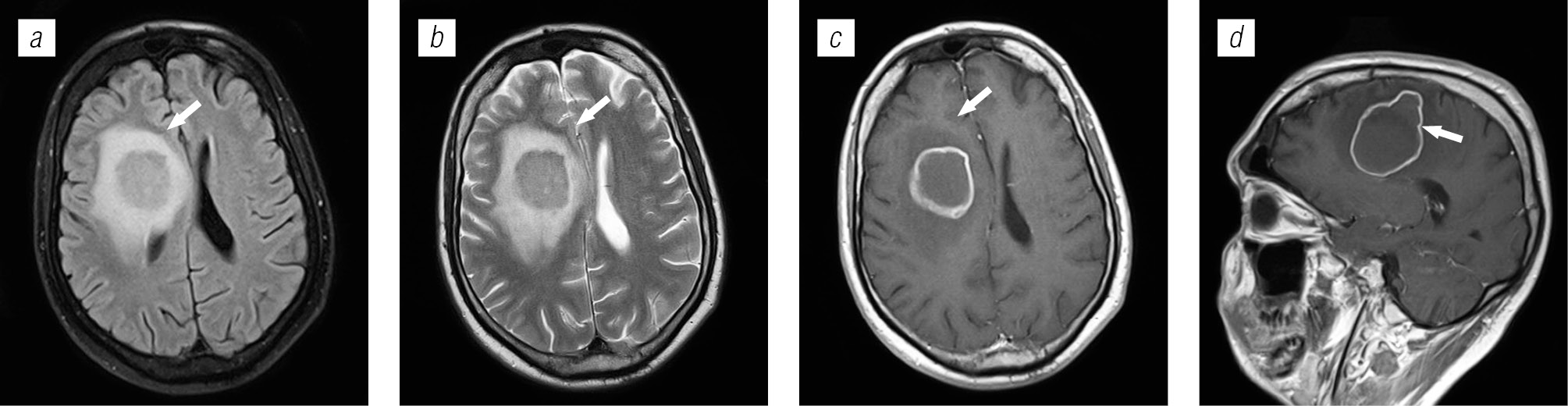
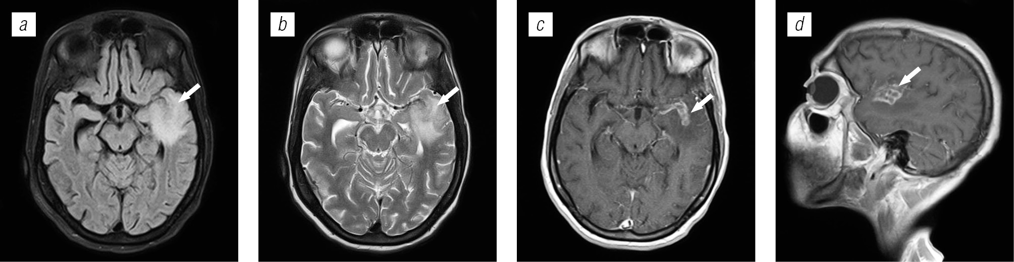
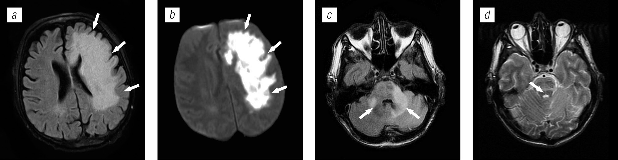
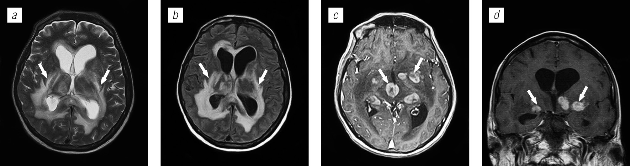
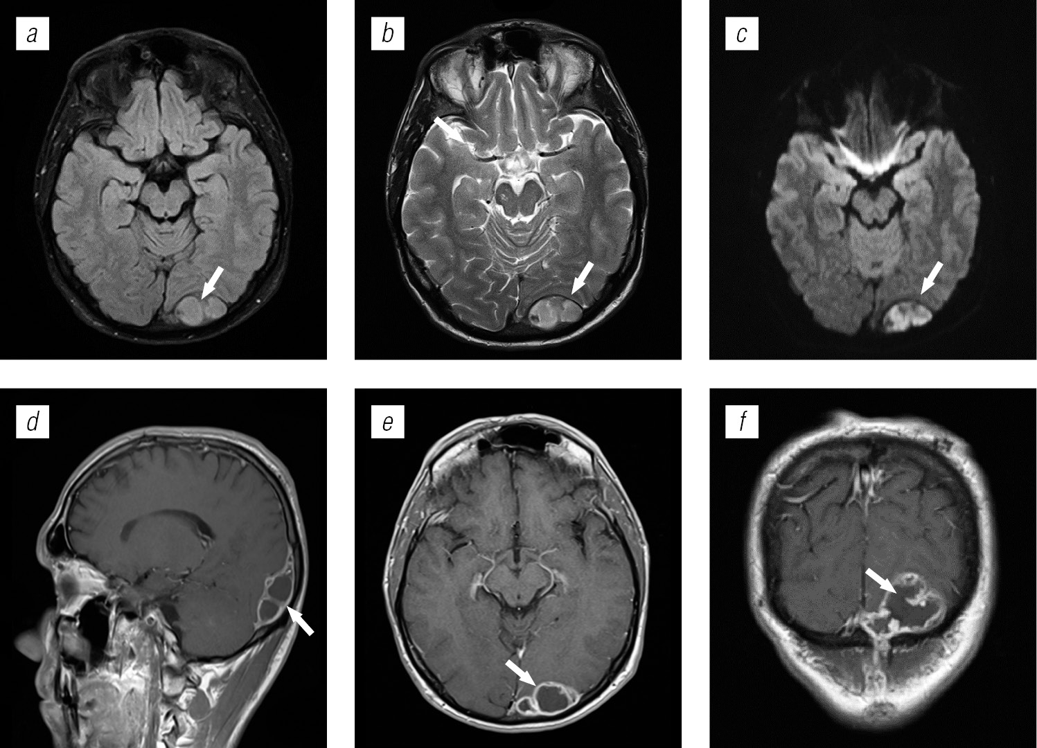
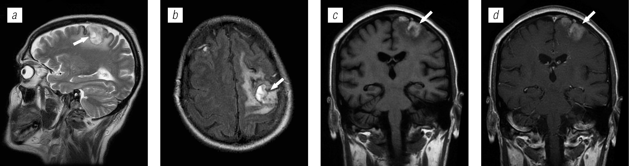
Структура оппортунистических и вторичных заболеваний была представлена токсоплазмозом головного мозга (18,3 %), герпесвирусными поражениями (12,2 %), прогрессирующей мультифокальной лейкоэнцефалопатией (10,24 %), нейроинфекцией неуточненной этиологии (12,2 %), криптококкозом (4,39 %), туберкулезом (2,44 %), лимфомой головного мозга (2,44 %), МАК-инфекцией (0,24 %).
Поражение головного мозга у ВИЧ-инфицированных больных во многом характеризуется синхронностью (микст-инфекция в 8,52 %) и мультифакторностью поражения.
Полный текст
Об авторах
Татьяна Николаевна Трофимова
ФГБОУ ВО «Первый Санкт-Петербургский государственный медицинский университет им. акад. И.П. Павлова»; ФГБУН «Институт мозга человека им. Н.П. Бехтеревой» РАН; ФГБНУ «Институт экспериментальной медицины»
Email: trofimova-tn@avaclinic.ru
ORCID iD: 0000-0003-4537-042X
SPIN-код: 9733-2755
д-р мед. наук, профессор кафедры рентгенологии и радиологии; главный научный сотрудник; ведущий научный сотрудник отдела экологической физиологии
Санкт-ПетербургВадим Владимирович Рассохин
ФГБОУ ВО «Первый Санкт-Петербургский государственный медицинский университет им. акад. И.П. Павлова»; ФГБНУ «Институт экспериментальной медицины»; ФБУН «НИИ эпидемиологии и микробиологии имени Пастера»
Email: ras-doc@mail.ru
ORCID iD: 0000-0002-1159-0101
SPIN-код: 3390-9457
д-р мед. наук, профессор кафедры социально значимых инфекций; заведующий лабораторией хронических вирусных инфекций отдела экологической физиологии; ведущий научный сотрудник
Россия, Санкт-ПетербургОльга Николаевна Леонова
ФГБОУ ВО «Первый Санкт-Петербургский государственный медицинский университет им. акад. И.П. Павлова»
Email: aidscentr@zdrav.spb.ru
ORCID iD: 0000-0002-4661-5591
SPIN-код: 8842-3610
канд. мед. наук, доцент кафедры социально значимых инфекций
Россия, Санкт-ПетербургАлексей Сергеевич Шеломов
ФГБОУ ВО «Первый Санкт-Петербургский государственный медицинский университет им. акад. И.П. Павлова»
Email: shelomov_rambov@mail.ru
ORCID iD: 0000-0003-0019-6536
SPIN-код: 2495-5601
ассистент кафедры социально значимых инфекций
Россия, Санкт-ПетербургАлексей Авенирович Яковлев
ФГБОУ ВО «Санкт-Петербургский государственный университет»
Email: a.yakovlev@spbu.ru
SPIN-код: 1660-1087
д-р мед. наук, профессор кафедры инфекционных болезней, эпидемиологии и дерматовенерологии медицинского факультета
Санкт-ПетербургОльга Владимировна Азовцева
ФГБОУ ВО «Новгородский государственный университет имени Ярослава Мудрого»
Автор, ответственный за переписку.
Email: olga-azovtseva@mail.ru
ORCID iD: 0000-0002-5548-7819
SPIN-код: 5724-9916
канд. мед. наук, доцент
Россия, Великий НовгородЕкатерина Геннадьевна Бакулина
ФГБУН «Институт мозга человека им. Н.П. Бехтеревой» РАН
Email: bakulina26region@gmail.com
аспирант ФГБУН «Институт мозга человека им. Н.П. Бехтеревой» Российской академии наук по специальности «Лучевая диагностика. Лучевая терапия»
Россия, Санкт-ПетербургНиколай Алексеевич Беляков
ФГБОУ ВО «Первый Санкт-Петербургский государственный медицинский университет им. акад. И.П. Павлова»; ФГБНУ «Институт экспериментальной медицины»; ФБУН «НИИ эпидемиологии и микробиологии имени Пастера»
Email: beliakov.akad.spb@yandex.ru
ORCID iD: 0000-0002-2006-2255
SPIN-код: 5974-2630
д-р мед. наук, профессор, академик РАН, заведующий кафедрой социально значимых инфекций; главный научный сотрудник; руководитель Северо-Западного окружного центра по профилактике и борьбе со СПИД
Россия, Санкт-ПетербургСписок литературы
- ЮНЭЙДС. Информационный бюллетень – Глобальная статистика по ВИЧ за 2018 год [интернет]. [UNAIDS. Fact sheet – Global HIV statistics 2018 [Internet]. (In Russ.)]. Доступно по: https://www.unaids.org/ru/resources/fact-sheet. Ссылка активна на 18.05.2019.
- Трофимова Т.Н., Беляков Н.А., Рассохин В.В. Коморбидные состояния при ВИЧ-инфекции. Часть I. Основные проблемы. Гл. 3. – СПб.: Балтийский медицинский образовательный центр, 2018. – 184 с. [Trofimova TN, Belyakov NA, Rassokhin VV. Komorbidnyye sostoyaniya pri VICH-infektsii. Part I. Osnovnyye problemy. Ch. 3. Saint Petersburg: Baltic medical education center; 2018. 184 p. (In Russ.)]
- Беляков Н.А., Рассохин В.В. Коморбидные состояния при ВИЧ-инфекции. Часть II. Вторичные и сопутствующие инфекции. – СПб.: Балтийский медицинский образовательный центр, 2019. – 251 с. [Belyakov NA, Rassokhin VV. Komorbidnyye sostoyaniya pri VICH-infektsii. Part II. Vtorichnyye i soputstvuyushchiye infektsii. Saint Petersburg: Baltic medical education center; 2019. 251 p. (In Russ.)]
- Беляков Н.А., Рассохин В.В., Трофимова Т.Н., и др. Коморбидные и тяжелые формы ВИЧ-инфекции в России // ВИЧ-инфекция и иммуносупрессии. – 2016. – Т. 8. – № 3. – С. 9–25. [Belyakov NA, Rassokhin VV, Trofimova TN, et al. Advanced and comorbid HIV cases in Russia. HIV infection and immunosuppressive disorders. 2016;8(3):9-25. (In Russ.)]. https://doi.org/10.22328/2077-9828-2016-8-3-9-25.
- Рассохин В.В., Бобрешова А.С. ВИЧ-инфекция и иммуносупрессии. Эпидемиология, клиника и современные стратегии. Тяжелые и коморбидные формы ВИЧ-инфекции // ВИЧ-инфекция и иммуносупрессии. – 2017. – Т. 9. – № 4. – С. 106–110. [Rassokhin VV, Bobreshova AS. HIV infection and immunosuppressive conditions. Epidemiology and modern strategies advanced and comorbld forms of HIV infection. HIV infection and immunosuppressive disorders. 2017;9(4):106-110. (In Russ.)]. https://doi.org/10.22328/2077-9828-2017-9-4-106-110.
- Леонова О.Н., Степанова Е.В., Беляков Н.А. Тяжелые и коморбидные состояния у больных с ВИЧ-инфекцией: анализ неблагоприятных исходов // ВИЧ-инфекция и иммуносупрессии. – 2017. – Т. 9. – № 1. – С. 55–64. [Leonovа ON, Stepanova EV, Belyakov NА. Severe comorbid conditions in patients with HIV infection: analysis of adverse outcomes. HIV infection and immunosuppressive disorders. 2017;9(1):55-64. (In Russ.)]. https://doi.org/10.22328/2077-9828-2017-9-1-55-64.
- ВИЧ-инфекция, вторичные и сопутствующие заболевания: тематический архив Балтийского медицинского образовательного центра по материалам журналов «ВИЧ-инфекция и иммуносупрессии», «Лучевая диагностика и терапия», «Медицинский академический журнал». Серия «Медицинский тематический архив». Вып. 8 / под ред. Н.А. Белякова, В.В. Рассохина, Е.В. Степановой. – СПб.: Балтийский медицинский образовательный центр, 2014. – 367 с. [VICH-infektsiya, vtorichnyye i soputstvuyushchiye zabolevaniya: tematicheskiy arkhiv Baltiyskogo meditsinskogo obrazovatel’nogo tsentra po materialam zhurnalov “VICH-infektsiya i immunosupressii”, “Luchevaya diagnostika i terapiya”, “Meditsinskiy akademicheskiy zhurnal”. Seriya “Meditsinskiy tematicheskiy arkhiv”. Issue 8. Ed. by N.A. Belyakov, V.V. Rassokhin, E.V. Stepanova. Saint Petersburg: Baltic medical education center; 2014. 367 p. (In Russ.)]
- Шеломов А.С., Степанова Е.В., Леонова О.Н., и др. Клиническая и радиологическая характеристики поражений центральной нервной системы у больных с ВИЧ-инфекцией // ВИЧ-инфекция и иммуносупрессии. – 2017. – Т. 9. – № 1. – С. 43–54. [Shelomov AS, Stepanova EV, Leonova ON, et al. Clinical and radiological characteristics of the lesions of the Central nervous system in patients with HIV infection. HIV infection and immunosuppressive disorders. 2017;9(1):43-54. (In Russ.)]. https://doi.org/10.22328/2077-9828-2017-9-1-43-54.
- Шеломов А.С., Степанова Е.В., Леонова О.Н., Смирнова Н.Л. Оппортунистические заболевания как причины поражения центральной нервной системы у больных ВИЧ-инфекцией // Журнал инфектологии. – 2016. – Т. 8. – № 3. – С. 107–115. [Shelomov AS, Stepanova EV, Leonova ON, Smirnova NL. Opportunistic diseases as causes of Central nervous system damage in patients with HIV. Jurnal infektologii. 2016;8(3):107-115. (In Russ.)]
- Перегудова А.Б., Ермак Т.Н., Шахгильдян В.И., и др. Церебральный токсоплазмоз в структуре поражения центральной нервной системы у больных ВИЧ-инфекцией // Эпидемиология и инфекционные болезни. – 2013. – № 1. – С. 26–30. [Peregudova AB, Ermak TN, Shakhgildyan VI, et al. Cerebral toxoplasmosis in the pattern of central nervous system lesion in HIV-infected patients. Epidemiology and infectious diseases. 2013;(1):26-30. (In Russ.)]
- Deeks SG, Tracy R, Douek DC. Systemic effects of inflammation on health during chronic HIV infection. Immunity. 2013;39(4):633-645. https://doi.org/10.1016/j.immuni.2013.10.001.
- Нейронауки и ВИЧ-инфекция: тематический архив Балтийского медицинского образовательного центра по материалам журналов «ВИЧ-инфекция и иммуносупрессии», «Лучевая диагностика и терапия», «Медицинский академический журнал». Серия «Медицинский тематический архив». Вып. 5 / под ред. Н.А. Белякова, В.В. Рассохина, Е.В. Степановой. – СПб.: Балтийский медицинский образовательный центр, 2013. – 306 с. [Neyronauki i VICH-infektsiya: tematicheskiy arkhiv Baltiyskogo meditsinskogo obrazovatel’nogo tsentra po materialam zhurnalov “VICH-infektsiya i immunosupressii”, “Luchevaya diagnostika i terapiya”, “Meditsinskiy akademicheskiy zhurnal”. Seriya “Meditsinskiy tematicheskiy arkhiv”. Issue 5. Ed. by N.A. Belyakov, V.V. Rassokhin, E.V. Stepanova. Saint Petersburg: Baltic medical education center; 2013. 306 p. (In Russ.)]
- Трофимова Т.Н., Беляков Н.А., Рассохин В.В. Радиология и ВИЧ-инфекция. – СПб.: Балтийский медицинский образовательный центр, 2017. – 352 с. [Trofimova TN, Belyakov NA, Rassokhin VV. Radiologiya i VICH-infektsiya. Saint Petersburg: Baltic medical education center; 2017. 352 p. (In Russ.)]
- Беляков Н.А., Рассохин В.В., Степанова Е.В., и др. ВИЧ-инфекция: алгоритм формирования развернутого клинического диагноза // ВИЧ-инфекция и иммуносупрессии. – 2018. – Т. 10. – № 1. – С. 7–24. [Belyakov NA, Rassokhin VV, Stepanova EV, et al. HIV infection: algorithm of formation of the developed clinical diagnosis. HIV infection and immunosuppressive disorders. 2018;10(1):7-24. (In Russ.)]. https://doi.org/10.22328/2077-9828-2018-10-1-7-24.
- Narvid J, Rehani B, Talbott JF. Diagnostic performance of brain MRI in immune reconstitution inflammatory syndrome. J Neuroimaging. 2016;26(3):303-308. https://doi.org/10.1111/jon.12291.
- Степанова Е.В., Леонова О.Н., Кабанова В.И. Цитомегаловирусная инфекция у больных с ВИЧ // ВИЧ-инфекция и иммуносупрессии. – 2013. – Т. 5. – № 2. – С. 66–73. [Stepanova EV, Leonova ON, Kabanova VI. Cytomegaloviral infection in HIV patients. HIV infection and immunosuppressive disorders. 2013;5(2):66-73. (In Russ.)]
- Гайсина А.В., Магонов Е.П., Громова Е.А., и др. Патологические механизмы ВИЧ-ассоциированных нейрокогнитивных расстройств // Лучевая диагностика и терапия. – 2016. – № 2. – С. 6–21. [Gaysina AV, Magonov EP, Gromova EA, et al. Pathological mechanisms of HIV-associated neurocognitive frustration. Diagnostic ragiology and radiotherapy. 2016;(2):6-21. (In Russ.)]. https://doi.org/10.22328/2079-5343-2016-2-6-21.
- Цинзерлинг В.А. Поражения центральной нервной системы при ВИЧ-инфекции // ВИЧ-инфекция и иммуносупрессия. – 2014. – Т. 6. – № 1. – С. 40–45. [Tsinzerling VA. CNS lesions upon HIV infection. HIV infection and immunosuppressive disorders. 2014;6(1):40-45. (In Russ.)]. https://doi.org/10.22328/2077-9828-2014-6-1-40-45.
- Гурская О.Е., Трофимова А.В., Рассохин В.В., и др. Особенности изменений функционального состояния головного мозга при ВИЧ-ассоциированной энцефалопатии // ВИЧ-инфекция и иммуносупрессии. – 2012. – Т. 4. – № 1. – С. 82–87. [Gurskaya OE, Trofimova AV, Rassokhin VV, et al. Features of changes of functional state of the brain in HIV-associated encephalopathy. HIV infection and immunosuppressive disorders. 2012;4(1):82-87. (In Russ.)]
Дополнительные файлы

















