Иммуногистохимические маркеры для нейробиологии
- Авторы: Коржевский Д.Э.1, Григорьев И.П.1, Гусельникова В.В.1, Колос Е.А.1, Петрова Е.С.1, Кирик О.В.1, Суфиева Д.А.1, Разенкова В.А.1, Антипова М.В.1,2, Черныш М.В.1,2
-
Учреждения:
- ФГБНУ «Институт экспериментальной медицины»
- ФГБОУ ВО «Санкт-Петербургский государственный университет»
- Выпуск: Том 19, № 4 (2019)
- Страницы: 7-24
- Раздел: Аналитические обзоры
- Статья опубликована: 03.04.2020
- URL: https://journals.eco-vector.com/MAJ/article/view/16548
- DOI: https://doi.org/10.17816/MAJ16548
- ID: 16548
Цитировать
Аннотация
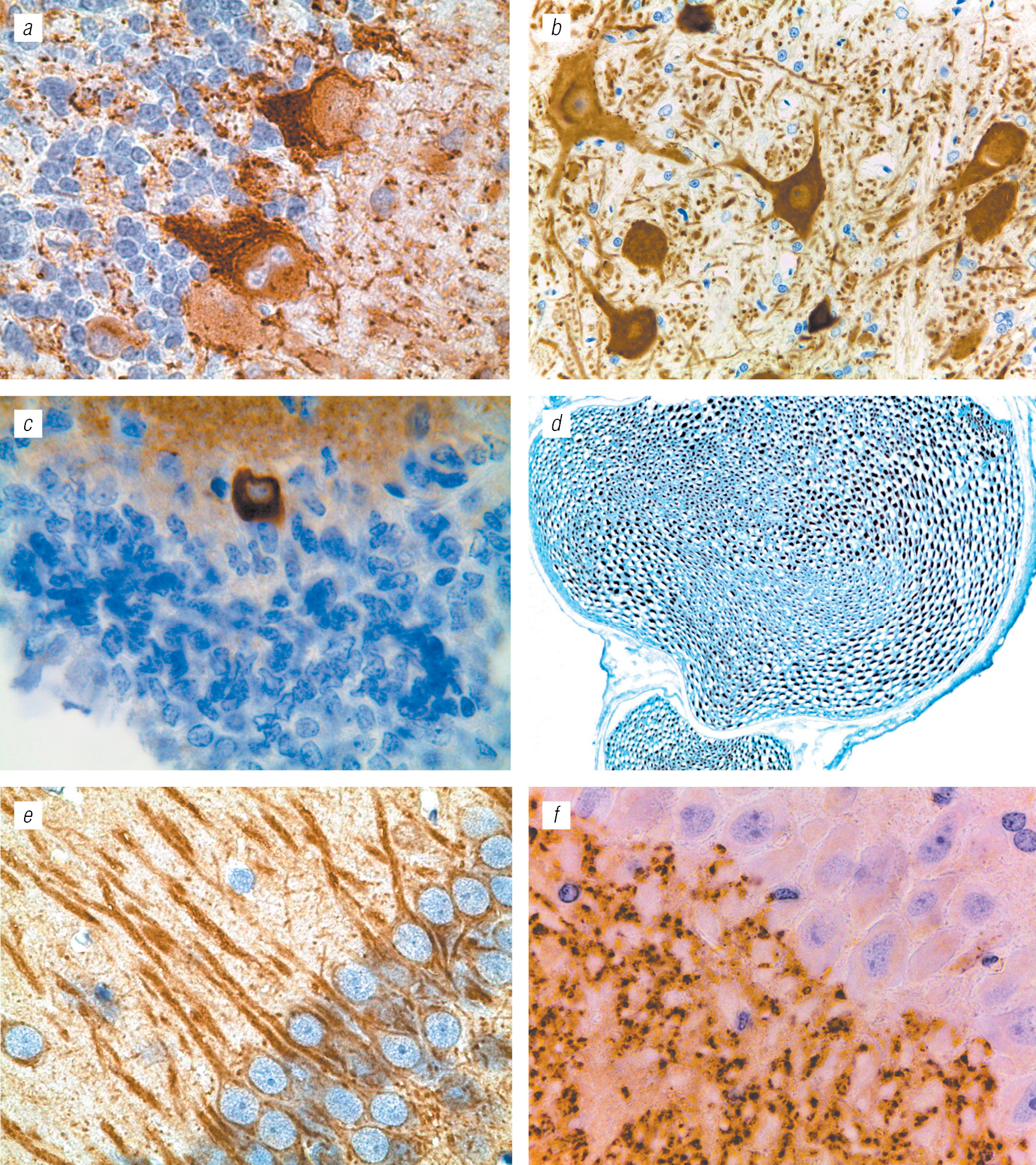
При проведении нейробиологических исследований важным представляется подбор наиболее адекватных и информативных методов, одним из которых является иммуногистохимическое исследование. В статье кратко обобщен многолетний опыт работы сотрудников лаборатории функциональной морфологии центральной и периферической нервной системы ФГБНУ ИЭМ, связанный с адаптацией современных методов иммуногистохимии для изучения нервной системы. Цель работы состояла в определении наиболее эффективных и надежных иммуномаркеров, которые целесообразно использовать при проведении нейробиологических исследований. Статья содержит теоретические сведения о важнейших цитоспецифичных и функциональных нейробиологических маркерах, применяемых в исследованиях структурно-функциональной организации головного и спинного мозга млекопитающих животных и человека, а также практические рекомендации по их использованию. В частности, представлены результаты постановки иммуногистохимических реакций на нейральные маркеры (NeuN, белки нейрофиламентов, альфа-тубулин, альфа-синуклеин), ферменты синтеза нейромедиаторов (тирозингидроксилаза, глутаматдекарбоксилаза, холинацетилтрансфераза, NO-синтаза), глиальные маркеры (GFAP, глутаминсинтетаза, Iba-1, виментин). Описанная методология перспективна для использования в экспериментальной нейробиологии и клинико-морфологической диагностике.
Ключевые слова
Полный текст
Об авторах
Дмитрий Эдуардович Коржевский
ФГБНУ «Институт экспериментальной медицины»
Email: DEK2@yandex.ru
ORCID iD: 0000-0002-2456-8165
SPIN-код: 3252-3029
Scopus Author ID: 12770589000
д-р мед. наук, профессор РАН, заведующий лабораторией функциональной морфологии центральной и периферической нервной системы Отдела общей и частной морфологии
Россия, Санкт-ПетербургИгорь Павлович Григорьев
ФГБНУ «Институт экспериментальной медицины»
Email: ipg-iem@yandex.ru
ORCID iD: 0000-0002-3535-7638
SPIN-код: 1306-4860
Scopus Author ID: 7102851509
канд. биол. наук, старший научный сотрудник, лаборатория функциональной морфологии центральной и периферической нервной системы Отдела общей и частной морфологии
Россия, Санкт-ПетербургВалерия Владимировна Гусельникова
ФГБНУ «Институт экспериментальной медицины»
Автор, ответственный за переписку.
Email: Guselnicova.Valeriia@yandex.ru
ORCID iD: 0000-0002-9499-8275
SPIN-код: 5115-4320
Scopus Author ID: 55354616100
канд. биол. наук, старший научный сотрудник, лаборатория функциональной морфологии центральной и периферической нервной системы Отдела общей и частной морфологии
Россия, Санкт-ПетербургЕлена Андреевна Колос
ФГБНУ «Институт экспериментальной медицины»
Email: koloselena1984@yandex.ru
ORCID iD: 0000-0002-9643-6831
SPIN-код: 1479-5992
Scopus Author ID: 55354374400
научный сотрудник, лаборатория функциональной морфологии центральной и периферической нервной системы Отдела общей и частной морфологии
Россия, Санкт-ПетербургЕлена Сергеевна Петрова
ФГБНУ «Институт экспериментальной медицины»
Email: morphologija@yandex.ru
ORCID iD: 0000-0003-0972-8658
SPIN-код: 3973-1421
Scopus Author ID: 7103035013
канд. биол. наук, старший научный сотрудник, лаборатория функциональной морфологии центральной и периферической нервной системы Отдела общей и частной морфологии
Россия, Санкт-ПетербургОльга Викторовна Кирик
ФГБНУ «Институт экспериментальной медицины»
Email: olga_kirik@mail.ru
ORCID iD: 0000-0001-6113-3948
SPIN-код: 5725-8742
Scopus Author ID: 27171304100
канд. биол. наук, старший научный сотрудник, лаборатория функциональной морфологии центральной и периферической нервной системы Отдела общей и частной морфологии
Россия, Санкт-ПетербургДина Азатовна Суфиева
ФГБНУ «Институт экспериментальной медицины»
Email: dinobrione@gmail.com
ORCID iD: 0000-0002-0048-2981
SPIN-код: 3034-3137
Scopus Author ID: 56479139700
научный сотрудник, лаборатория функциональной морфологии центральной и периферической нервной системы Отдела общей и частной морфологии
Россия, Санкт-ПетербургВалерия Алексеевна Разенкова
ФГБНУ «Институт экспериментальной медицины»
Email: valeriya.raz@yandex.ru
ORCID iD: 0000-0002-3997-2232
SPIN-код: 8877-8902
аспирант
Россия, Санкт-ПетербургМария Вячеславовна Антипова
ФГБНУ «Институт экспериментальной медицины»; ФГБОУ ВО «Санкт-Петербургский государственный университет»
Email: maria.antipova814@yandex.ru
ORCID iD: 0000-0002-3853-5671
SPIN-код: 3607-3630
лаборант-исследователь, лаборатория функциональной морфологии центральной и периферической нервной системы Отдела общей и частной морфологии
Россия, Санкт-ПетербургМария Валерьевна Черныш
ФГБНУ «Институт экспериментальной медицины»; ФГБОУ ВО «Санкт-Петербургский государственный университет»
Email: chernysh.mariah@gmail.com
ORCID iD: 0000-0002-4903-4047
SPIN-код: 3371-0447
Scopus Author ID: 57207832833
студент
Россия, Санкт-ПетербургСписок литературы
- Grigoriev IP, Vasilenko MS, Sukhorukova EG, Korzhevskii DE. Use of Different Antibodies to Tyrosine Hydroxylase to Study Catecholaminergic Systems in the Mammalian Brain. Neurosci Behav Physiol. 2011;42(2):210-213. https://doi.org/10.1007/s11055-011-9555-x.
- Korzhevskii DE, Gilerovich EG, Kirik OV, et al. Simultaneous Detection of Glutamate Decarboxylase and Synaptophysin in Paraffin Sections of the Rat Cerebellum. Neurosci Behav Physiol. 2015;46(1):106-109. https://doi.org/10.1007/s11055-015-0205-6.
- Колос Е.А., Коржевский Д.Э. Неоднородность реакции на холинацетилтрансферазу в холинергических нейронах // Нейрохимия. – 2016. – Т. 33. – № 1. – С. 56–62. [Kolos EA, Korzhevskii DA. Heterogeneous choline acetyltransferase staining in cholinergic neurons. Neirokhimiia. 2016;33(1):56-62. (In Russ.)]. https://doi.org/10.1134/S1819712416010104.
- Коржевский Д.Э., Григорьев И.П., Кирик О.В., и др. Метод иммуноцитохимического определения холинергических нейронов центральной нервной системы лабораторных животных // Морфология. – 2013. – Т. 144. – № 6. – С. 69–72. [Korzhevskiy DE, Grigoriyev IP, Kirik OV, et al. Method of immunocytochemical demonstration of cholinergic neurons in the central nervous system of laboratory animals. Morphology. 2013;144(6):69-72. (In Russ.)]
- Коржевский Д.Э., Григорьев И.П., Новикова А.Д., и др. Холинергические структуры поясной коры головного мозга крысы // Медицинский академический журнал. – 2013. – Т. 13. – № 4. – С. 49–53. [Korzhevskii DE, Grigorev IP, Novikova AD, et al. Cholinergic structures of the cingulate cortex of the rat brain. Medical Academic Journal. 2013;13(4):49-53. (In Russ.)]. https://doi.org/10.17816/MAJ13449-53.
- Сырцова М.А. Нитроксидергические клетки легкого у крысы // Морфология. – 2016. – Т. 150. – № 6. – С. 51–54. [Syrtsova MA. Nitroxidergic cells of the rat lung. Morfology. 2016;150(6):51-54. (In Russ.)]
- Иммуноцитохимия и конфокальная микроскопия / под ред. Д.Э. Коржевского. – СПб.: СпецЛит, 2018. [Immunotsitokhimiya i konfokal’naya mikroskopiya. Ed. by D.E. Korzhevskiy. Saint Petersburg: SpetsLit; 2018. (In Russ.)]
- Grigor’ev IP, Shklyaeva MA, Kirik OV, et al. Distribution of alpha-tubulin in rat forebrain structures. Neurosci Behav Physiol. 2013;44(1):1-4. https://doi.org/10.1007/s11055-013-9864-3.
- Бровко М.А., Суфиева Д.А., Коржевский Д.Э. Иммуногистохимическое выявление альфа-синуклеина в синаптической зоне области CA3 гиппокампа // Журнал анатомии и гистопатологии. – 2018. – Т. 7. – № 2. – С. 23–28. [Brovko MA, Sufieva DA, Korzhevskiy DE. Immunohistochemical revealing of alpha-synuclein in synaptic contact area of hippocampal CA3 zone. Journal of Anatomy and Histopathology. 2018;7(2):23-28. (In Russ.)]. https://doi.org/10.18499/2225-7357-2018-7-2-23-28.
- Сухорукова Е.Г. Ядерный белок NeuN в нейронах черного вещества головного мозга человека // Морфология. – 2013. – Т. 143. – № 2. – С. 78–80. [Sukhorukova YG. NeuN nuclear protein in neurons of human brain substantia Nigra. Morfology. 2013;143(2):78-80. (In Russ.)]
- Кирик О.В., Сухорукова Е.Г., Власов Т.Д., Коржевский Д.Э. Селективная гибель нейронов стриатума крысы после транзиторной окклюзии средней мозговой артерии // Морфология. – 2009. – Т. 135. – №2. – С. 80-82. [Kirik OV, Sukhorukova YG, Vlasov TD, Korzhevskiy DE. Selective death of the striatum neurons in rats after the transient occlusion of the middle cerebral artery. Morfology. 2009;135(2):80-82. (In Russ.)].
- Sukhorukova EG, Kirik OV, Sufieva DA, et al. Structural organization of astrocytes in the subgranular zone of the rabbit hippocampal dentate fascia. J Evol Biochem Physiol. 2019;55(2):148-154. https://doi.org/10.1134/s002209301902008x.
- Калинина Ю.А., Суфиева Д.А. Иммуногистохимический метод одновременного выявления нейронов и астроцитов в головном мозге крысы // Медицинский академический журнал. – 2018. – Т. 18. – № 3. – С. 46–51. [Kalinina YuA, Sufieva DA. Immunohistochemical method of simultaneous detection of neurons and astrocytes in the rat brain. Medical Academic Journal. 2018;18(3):46-51. (In Russ.)]. https://doi.org/10.17816/MAJ18346-51.
- Sukhorukova EG, Gusel’nikova VV, Korzhevskii DE. Glutamine synthetase in rat brain cells. Neurosci Behav Physiol. 2018;48(7):890-893. https://doi.org/10.1007/s11055-018-0644-y.
- Kirik OV, Korzhevskii DE. Vimentin in ependymal and subventricular proliferative zone cells of rat telencephalon. Bull Exp Biol Med. 2013;154(4):553-557. https://doi.org/10.1007/s10517-013-1998-3.
- Kirik OV, Nazarenkova AV, Sufieva DA. Three-dimensional visualization of the ependyma and tanycytes in the brain. Neurosci Behav Physiol. 2015;45(2):127-130. https://doi.org/10.1007/s11055-015-0049-0.
- Kolos EA, Korzhevskii DE. Activation of microglyocytes in the anterior horns of rat spinal cord after administration of bacterial lipopolysaccharide. Bull Exp Biol Med. 2017;163(4):515-518. https://doi.org/10.1007/s10517-017-3841-8.
- Коржевский Д.Э., Кирик О.В., Сухорукова Е.Г., Сырцова М.А. Микроглия черного вещества головного мозга человека // Медицинский академический журнал. – 2014. – Т. 14. – № 4. – C. 68–73. [Korzhevskii DE, Kirik OV, Sukhorukova EG, Syrszova MA. Microglia of the human Substantia Nigra. Medical Academic Journal. 2014;14(4):68-73. (In Russ.)]. https://doi.org/10.17816/MAJ14468-72.
- Klein MO, Battagello DS, Cardoso AR, et al. Dopamine: Functions, Signaling, and Association with Neurological Diseases. Cell Mol Neurobiol. 2019;39(1):31-59. https://doi.org/10.1007/s10571-018-0632-3.
- Dunnett SB, Bentivoglio M, Björklund A, Hökfelt T. Handbook of chemical neuroanatomy: dopamine. Amsterdam: Elsevier; 1984.
- Sukhorukova EG, Alekseeva OS, Korzhevsky DE. Catecholaminergic neurons of mammalian brain and neuromelanin. J Evol Biochem Physiol. 2014;50(5):383-391. https://doi.org/10.1134/s0022093014050020
- Отеллин В.А., Арушанян Э.Б. Нигрострионигральная система. – М.: Медицина, 1989. [Otellin VA, Arushanyan EB. Nigrostrionigral’naya sistema. Moscow: Meditsina; 1989. (In Russ.)]
- Голубев В.Л., Левин Я.И., Вейн А.М. Болезнь Паркинсона и синдром паркинсонизма. М.: МЕДпресс, 2000. [Golubev VL, Levin YI, Vejn AM. Bolezn’ Parkinsona i sindrom parkinsonizma. Moscow: MEDpress; 2000. (In Russ.)]
- Korzhevskii DE, Sukhorukova EG, Gilerovich EG, et al. Advantages and disadvantages of zinc-ethanol-formaldehyde as a fixative for immunocytochemical studies and confocal laser microscopy. Neurosci Behav Physiol. 2014;44(5):542-545. https://doi.org/10.1007/s11055-014-9948-8.
- Korzhevskii DE, Sukhorukova EG, Kirik OV, Grigorev IP. Immunohistochemical demonstration of specific antigens in the human brain fixed in zinc-ethanol-formaldehyde. Eur J Histochem. 2015;59(3). https://doi.org/10.4081/ejh.2015.2530.
- Kaufman DL, Houser CR, Tobin AJ. Two forms of the gamma-aminobutyric acid synthetic enzyme glutamate decarboxylase have distinct intraneuronal distributions and cofactor interactions. J Neurochem. 1991;56(2):720-723. https://doi.org/10.1111/j.1471-4159.1991.tb08211.x.
- Fong AY, Stornetta RL, Foley CM, Potts JT. Immunohistochemical localization of GAD67-expressing neurons and processes in the rat brainstem: subregional distribution in the nucleus tractus solitarius. J Comp Neurol. 2005;493(2):274-290. https://doi.org/10.1002/cne.20758.
- Fukuda T, Heizmann CW, Kosaka T. Quantitative analysis of GAD65 and GAD67 immunoreactivities in somata of GABAergic neurons in the mouse hippocampus proper (CA1 and CA3 regions), with special reference to parvalbumin-containing neurons. Brain Res. 1997;764(1-2):237-243. https://doi.org/10.1016/s0006-8993(97)00683-5.
- Esclapez M, Tillakaratne NJ, Kaufman DL, et al. Comparative localization of two forms of glutamic acid decarboxylase and their mRNAs in rat brain supports the concept of functional differences between the forms. J Neurosci. 1994;14(3):1834-1855. https://doi.org/10.1523/jneurosci.14-03-01834.1994.
- From molecules to networks. An introduction to cellular and molecular neuroscience. 3rd ed. Ed. by J.H. Byrne, R. Heidelberger, M.N. Waxham, et al. New York: Academic Press; 2014.
- Acetylcholine in basic neurochemistry. 8th ed. Ed. by S.T. Brady, R.W. Albers, G.J. Siegel, D.L. Price. New York: Academic Press; 2012.
- Буданцев А.Ю. Диссоциированное обучение и холинергические системы мозга // Успехи современной биологии. – 2000. – Т. 120. – № 6. – С. 587–598. [Budantsev AY. Dissotsiirovannoe obuchenie i kholinergicheskie sistemy mozga. Advances in modern biology. 2000;120(6):587-598. (In Russ.)]
- Zakharova EI, Dudchenko AM, Svinov MM, et al. Cholinergic systems of the rat brain and neuronal reorganization under conditions of acute hypoxia. Neurochem J. 2010;4(4):290-303. https://doi.org/10.1134/s1819712410040082.
- Klinkenberg I, Sambeth A, Blokland A. Acetylcholine and attention. Behav Brain Res. 2011;221(2):430-442. https://doi.org/10.1016/j.bbr.2010.11.033.
- Micheau J, Marighetto A. Acetylcholine and memory: a long, complex and chaotic but still living relationship. Behav Brain Res. 2011;221(2):424-429. https://doi.org/10.1016/ j.bbr.2010.11.052.
- Balentova S, Conwell S, Myers AC. Neurotransmitters in parasympathetic ganglionic neurons and nerves in mouse lower airway smooth muscle. Respir Physiol Neurobiol. 2013;189(1):195-202. https://doi.org/10.1016/ j.resp.2013.07.006.
- Matsumoto M, Xie W, Inoue M, Ueda H. Evidence for the tonic inhibition of spinal pain by nicotinic cholinergic transmission through primary afferents. Mol Pain. 2007;3:41. https://doi.org/10.1186/1744-8069-3-41.
- Ikonomovic MD, Abrahamson EE, Isanski BA, et al. Superior frontal cortex cholinergic axon density in mild cognitive impairment and early Alzheimer disease. Arch Neurol. 2007;64(9):1312-1317. https://doi.org/10.1001/archneur. 64.9.1312.
- Benzing WC, Mufson EJ, Armstrong DM. Immunocytochemical distribution of peptidergic and cholinergic fibers in the human amygdala: their depletion in Alzheimer’s disease and morphologic alteration in non-demented elderly with numerous senile plaques. Brain Res. 1993;625(1):125-138. https://doi.org/10.1016/0006-8993(93)90145-d.
- Колос Е.А., Коржевский Д.Э. Формирование холинергических нейронов спинного мозга крыс в пренатальный и ранний постнатальный период развития // Международная научная конференция «Актуальные вопросы морфогенеза в норме и патологии»; Апрель 16–17, 2014; Москва. – М., 2014. [Kolos YA, Korzhevskiy DE. Formirovanie kholinergicheskikh neyronov spinnogo mozga krys v prenatal’nyy i ranniy postnatal’nyy period razvitiya. In: Proceedings of the International Scientific Conference “Aktual’nye voprosy morfogeneza v norme i patologii”; 2014 Apr 16-17; Moscow. (In Russ.)]
- Колос Е.А., Коржевский Д.Э. Распределение холинергических и нитроксидергических нейронов в спинном мозгу у новорожденных и взрослых крыс // Морфология. – 2015. – Т. 147. – № 2. – С. 32-37. [Kolos YA, Korzhevskiy DE. The distribution of cholinergic and nitroxidergic neurons in the spinal cord of newborn and adult rats. Morfology. 2015;147(2):32-37. (In Russ.)]
- Akyol O, Zoroglu SS, Armutcu F, et al. Nitric oxide as a physiopathological factor in neuropsychiatric disorders. In vivo. 2004;18(3):377-390.
- Knott AB, Bossy-Wetzel E. Nitric oxide in health and disease of the nervous system. Antioxid Redox Signal. 2009;11(3):541-553. https://doi.org/10.1089/ars.2008.2234.
- Соловьева А.Г., Кузнецова В.Л., Перетягин С.П., и др. Роль оксида азота в процессах свободнорадикального окисления // Вестник Российской военно-медицинской академии. – 2016. – № 1. – С. 228–233. [Solovieva AG, Kuznetsova VL, Peretyagin SP, et al. Role of nitric oxide in processes of free radical oxidation. Vestnik Rossiiskoi voenno-meditsinskoi akademii. 2016;(1):228-233. (In Russ.)]
- Forstermann U, Sessa WC. Nitric oxide synthases: regulation and function. Eur Heart J. 2012;33(7):829-837, 837a-837d. https://doi.org/10.1093/eurheartj/ehr304.
- Matarredona ER, Murillo-Carretero M, Moreno-Lopez B, Estrada C. Role of nitric oxide in subventricular zone neurogenesis. Brain Res Brain Res Rev. 2005;49(2):355-366. https://doi.org/10.1016/j.brainresrev.2005.01.001.
- Sexton TJ, Bleckert A, Turner MH, Van Gelder RN. Type I intrinsically photosensitive retinal ganglion cells of early post-natal development correspond to the M4 subtype. Neural Dev. 2015;10(1). https://doi.org/10.1186/s13064-015-0042-x.
- Lim E-J, Kim I-B, Oh S-J, Chun M-H. Identification and characterization of SMI32-immunoreactive amacrine cells in the mouse retina. Neurosci Lett. 2007;424(3):199-202. https://doi.org/10.1016/j.neulet.2007.07.046.
- Law AJ, Harrison PJ. The distribution and morphology of prefrontal cortex pyramidal neurons identified using anti-neurofilament antibodies SMI32, N200 and FNP7. Normative data and a comparison in subjects with schizophrenia, bipolar disorder or major depression. J Psychiatr Res. 2003;37(6):487-499. https://doi.org/10.1016/s0022-3956 (03)00075-x.
- Korzhevskii DE, Grigor’ev IP, Sukhorukova EG, Gusel’nikova VV. Immunohistochemical characteristics of neurons in the substantia nigra of the human brain. Neurosci Behav Physiol. 2018;49(1):109-114. https://doi.org/10.1007/s11055-018-0702-5.
- Gai WP, Vickers JC, Blumbergs PC, Blessing WW. Loss of non-phosphorylated neurofilament immunoreactivity, with preservation of tyrosine hydroxylase, in surviving substantia nigra neurons in Parkinson’s disease. J Neurol Neurosurg Psychiatry. 1994;57(9):1039-1046. https://doi.org/10.1136/jnnp.57.9.1039.
- Penas C, Casas C, Robert I, et al. Cytoskeletal and activity-related changes in spinal motoneurons after root avulsion. J Neurotrauma. 2009;26(5):763-779. https://doi.org/10.1089/neu.2008-0661.
- Singh S, Metz I, Amor S, et al. Microglial nodules in early multiple sclerosis white matter are associated with degenerating axons. Acta Neuropathol. 2013;125(4):595-608. https://doi.org/10.1007/s00401-013-1082-0.
- Merkul’eva NS, Mikhalkin AA, Nikitina NI, et al. Changes in the formation of Y neurons in the cat visual system during early postnatal ontogeny on exposure to binocular rhythmic light stimulation. Neurosci Behav Physiol. 2014;44(9):1088-1093. https://doi.org/10.1007/s11055-014-0030-3.
- Ang LC, Munoz DG, Shul D, George DH. SMI-32 immunoreactivity in human striate cortex during postnatal development. Dev Brain Res. 1991;61(1):103-109. https://doi.org/10.1016/0165-3806(91)90119-4.
- Kogan CS, Zangenehpour S, Chaudhuri A. Developmental profiles of SMI-32 immunoreactivity in monkey striate cortex. Dev Brain Res. 2000;119(1):85-95. https://doi.org/10.1016/s0165-3806(99)00162-5.
- Goncalves FG, Freddi TAL, Taranath A, et al. Tubulinopathies. Top Magn Reson Imaging. 2018;27(6):395-408. https://doi.org/10.1097/RMR.0000000000000188.
- Millecamps S, Julien JP. Axonal transport deficits and neurodegenerative diseases. Nat Rev Neurosci. 2013;14(3):161-176. https://doi.org/10.1038/nrn3380.
- Benskey MJ, Perez RG, Manfredsson FP. The contribution of alpha synuclein to neuronal survival and function — Implications for Parkinson’s disease. J Neurochem. 2016;137(3):331-359. https://doi.org/10.1111/jnc. 13570.
- Mehra S, Sahay S, Maji SK. alpha-Synuclein misfolding and aggregation: Implications in Parkinson’s disease pathogenesis. Biochim Biophys Acta Proteins Proteom. 2019;1867(10):890-908. https://doi.org/10.1016/j.bbapap. 2019.03.001.
- Das T, Eliezer D. Membrane interactions of intrinsically disordered proteins: The example of alpha-synuclein. Biochim Biophys Acta Proteins Proteom. 2019;1867(10):879-889. https://doi.org/10.1016/j.bbapap.2019.05.001.
- Пчелина С.Н. Альфа-синуклеин как биомаркер болезни Паркинсона // Анналы клинической и экспериментальной неврологии. – 2011. – Т. 5. – № 4. – С. 46–51. [Pchelina SN. Alpha-synuclein as a biomarker of Parkinson’s disease. Annaly klinicheskoy i eksperimentalnoy nevrologii. 2011;5(4):46-51. (In Russ.)]
- Perez RG, Waymire JC, Lin E, et al. A role for α-synuclein in the regulation of dopamine biosynthesis. J Neurosci. 2002;22(8):3090-3099. https://doi.org/10.1523/jneurosci. 22-08-03090.2002.
- Burre J. The synaptic function of alpha-synuclein. J Parkinsons Dis. 2015;5(4):699-713. https://doi.org/10.3233/JPD-150642.
- Mullen RJ, Buck CR, Smith AM. NeuN, a neuronal specific nuclear protein in vertebrates. Development. 1992;116(1):201-211.
- Scott BB, Lois C. Generation of tissue-specific transgenic birds with lentiviral vectors. Proc Natl Acad Sci U S A. 2005;102(45):16443-16447. https://doi.org/10.1073/pnas. 0508437102.
- Tochinai S, Yoshino J. Phylogeny and ontogeny of regeneration in vertebrates. In: Proceedings of International Symposium on “Dawn of a New Natural History — Integration of Geoscience and Biodiversity Studies”; Sapporo, 2004 Mar 5-6. Okada: Graduate School of Science, Hokkaido University; 2004. P. 45-51.
- King C, Lacey R, Rodger J, et al. Characterisation of tectal ephrin-A2 expression during optic nerve regeneration in goldfish: implications for restoration of topography. Exp Neurol. 2004;187(2):380-387. https://doi.org/10.1016/ j.expneurol.2004.02.006.
- Kim KK, Adelstein RS, Kawamoto S. Identification of neuronal nuclei (NeuN) as Fox-3, a new member of the Fox-1 gene family of splicing factors. J Biol Chem. 2009;284(45):31052-31061. https://doi.org/10.1074/jbc.M109.052969.
- Korzhevskii DE, Petrova ES, Kirik OV, Otellin VA. Assessment of neuron differentiation during embryogenesis in rats using immunocytochemical detection of doublecortin. Neurosci Behav Physiol. 2009;39(6):513-516. https://doi.org/10.1007/s11055-009-9164-0.
- Weyer A, Schilling K. Developmental and cell type-specific expression of the neuronal marker NeuN in the murine cerebellum. J Neurosci Res. 2003;73(3):400-409. https://doi.org/10.1002/jnr.10655.
- Friese A, Kaltschmidt JA, Ladle DR, et al. Gamma and alpha motor neurons distinguished by expression of transcription factor Err3. Proc Natl Acad Sci U S A. 2009;106(32):13588-13593. https://doi.org/10.1073/pnas.0906809106.
- Shneider NA, Brown MN, Smith CA, et al. Gamma motor neurons express distinct genetic markers at birth and require muscle spindle-derived GDNF for postnatal survival. Neural Dev. 2009;4:42. https://doi.org/10.1186/1749-8104-4-42.
- Wolf HK, Buslei R, Schmidt-Kastner R, et al. NeuN: a useful neuronal marker for diagnostic histopathology. J Histochem Cytochem. 1996;44(10):1167-1171. https://doi.org/10.1177/44.10.8813082.
- Сухорукова Е.Г., Кирик О.В., Зеленкова Н.М., Коржевский Д.Э. Нейрональный ядерный антиген NeuN — показатель сохранности нервной ткани и пригодности ее для иммуноцитохимического исследования // Медицинский академический журнал. – 2015. – Т. 15. – № 1. – С. 63–67. [Sukhorukova EG, Kirik OV, Zelenkova NM, Korzhevskii DE. Neuronal nuclear antigen NeuN as an indicator of the nervous tissue preservation and suitability for immunocytochemical study. Medical Academic Journal. 2015;15(1):63-67. (In Russ.)]. https://doi.org/10.17816/MAJ15163-67.
- Santello M, Toni N, Volterra A. Astrocyte function from information processing to cognition and cognitive impairment. Nat Neurosci. 2019;22(2):154-166. https://doi.org/10.1038/s41593-018-0325-8.
- Sofroniew MV. Astrogliosis. Cold Spring Harb Perspect Biol. 2014;7(2):a020420. https://doi.org/10.1101/cshperspect.a020420.
- Sofroniew MV, Vinters HV. Astrocytes: biology and pathology. Acta Neuropathol. 2010;119(1):7-35. https://doi.org/10.1007/s00401-009-0619-8.
- Sukhorukova EG, Korzhevskii DE, Alekseeva OS. Glial fibrillary acidic protein: The component of iintermediate filaments in the vertebrate brain astrocytes. J Evol Biochem Physiol. 2015;51(1):1-10. https://doi.org/10.1134/s0022093015010019.
- Сухорукова Е.Г., Гусельникова В.В. Ферменты-маркеры астроцитов // Медицинский академический журнал. – 2015. – Т. 15. – № 3. – С. 31–37. [Sukhorukova EG, Guselnikova VV. Astrocyte marker enzymes. Medical Academic Journal. 2015;15(3):31-37. (In Russ.)]. https://doi.org/10.17816/MAJ15331-37.
- Rose Christopher F, Verkhratsky A, Parpura V. Astrocyte glutamine synthetase: pivotal in health and disease. Biochem Soc Trans. 2013;41(6):1518-1524. https://doi.org/10.1042/bst20130237.
- Jayakumar AR, Norenberg MD. Glutamine synthetase: role in neurological disorders. Adv Neurobiol. 2016;13:327-350. https://doi.org/10.1007/978-3-319-45096-4_13.
- Hepatic encephalopathy. N Engl J Med. 2017;376(2): 186-186. https://doi.org/10.1056/NEJMc1614962.
- Anlauf E, Derouiche A. Glutamine synthetase as an astrocytic marker: its cell type and vesicle localization. Front Endocrinol (Lausanne). 2013;4:144. https://doi.org/10.3389/fendo.2013.00144.
- Pekny M, Wilhelmsson U, Tatlisumak T, Pekna M. Astrocyte activation and reactive gliosis-A new target in stroke? Neurosci Lett. 2019;689:45-55. https://doi.org/10.1016/ j.neulet.2018.07.021.
- Корнева Е.А., Новикова Н.С., Шаинидзе К.З., Перекрест С.В. Взаимодействие нервной и иммунной систем. Молекулярно-клеточные аспекты. – СПб.: Наука, 2012. [Korneva EA, Novikova NS, Shainidze KZ, Perekrest SV. Vzaimodeystvie nervnoy i immunnoy sistem. Molekulyarno-kletochnye aspekty. Saint Petersburg: Nauka; 2012. (In Russ.)]
- Han F, Perrin RJ, Wang Q, et al. Neuroinflammation and myelin status in Alzheimer’s disease, Parkinson’s disease, and normal aging brains: a small sample study. Parkinsons Dis. 2019;2019:7975407. https://doi.org/10.1155/ 2019/7975407.
- Rubino SJ, Mayo L, Wimmer I, et al. Acute microglia ablation induces neurodegeneration in the somatosensory system. Nat Commun. 2018;9(1):4578. https://doi.org/10.1038/s41467-018-05929-4.
- Korzhevskii DE, Kirik OV. Brain microglia and microglial markers. Neurosci Behav Physiol. 2016;46(3):284-290. https://doi.org/10.1007/s11055-016-0231-z.
- Korzhevskii DE, Kirik O, Sukhorukova E. Immunocytochemistry of microglial cells. In: Immunocytochemistry and related techniques. Ed. by A. Adalberto, L. Lossi. New York: Humana Press; 2015. P. 101; 209-224. https://doi.org/10.1007/978-1-4939-2313-7_12.
Дополнительные файлы






