Immunohistochemical study of human pineal vessels
- Authors: Sufieva D.A.1, Fedorova E.A.1, Yakovlev V.S.1, Grigorev I.P.1
- 
							Affiliations: 
							- Institute of Experimental Medicine
 
- Issue: Vol 23, No 2 (2023)
- Pages: 109-118
- Section: Original research
- Published: 25.08.2023
- URL: https://journals.eco-vector.com/MAJ/article/view/352563
- DOI: https://doi.org/10.17816/MAJ352563
- ID: 352563
Cite item
Abstract
BACKGROUND: The pineal gland is a neuroendocrine organ located in the epithalamic area of the brain. By using the melatonin, a pineal hormone, the pineal gland synchronizes the work of the internal physiological systems of the body with the circadian light-darkness cycle. Melatonin is synthesized in pinealocytes, the endocrine cells of the pineal gland, and secreted into the bloodstream. However, the structural features of the blood vessels in the pineal gland are still not well understood.
AIM: The purpose of this study was to elucidate the intraorgan localization and immunohistochemical pattern of the blood vessels of the pineal gland of human, which had not been previously studied.
MATERIALS AND METHODS: In the research, immunohistochemistry methods were applied using two selective markers of blood vessels, the antibodies to von Willebrand factor and type IV collagen. Von Willebrand factor is expressed selectively in endothelial cells that form blood vessels, including small capillaries, while type IV collagen is inherent to the basement membrane that separates the vascular endothelium from the underlying tissue.
RESULTS: The immunohistochemical reaction to both markers clearly visualize the blood vessels of the human pineal gland, which in both cases were observed mainly in the connective tissue septa (trabeculae), or, in the absence of a regular lobular structure, in the connective tissue layers. In lobules surrounded by connective tissue trabeculae and containing a large number of densely packed pinealocytes, von Willebrand factor- and type IV collagen-immunoreactive structures were very rare, and in many cases were not observed. The found phenomenon of distribution of blood vessels in the human pineal gland is described for the first time.
CONCLUSIONS: Since blood vessel markers with well-proven selectivity were used, the results obtained with their usage can be considered reliable; this gives grounds with a high degree of probability to assert that the majority of pinealocytes in the human pineal gland do not have direct contact with blood vessels and, accordingly, cannot secrete melatonin directly into the bloodstream. On the basis of the results obtained, a hypothesis is proposed that the hormone secretion from pinealocytes into blood vessels is mediated by astroglial cells.
Full Text
Обоснование
Эпифиз (шишковидное тело, пинеальная железа, лат. corpus pineale, epiphysis cerebri) — это непарный нейроэндокринный орган, формой напоминающий сосновую шишку и расположенный в центре головного мозга — в задней части третьего желудочка, между передними бугорками четверохолмия позади хабенулярной спайки. У человека продольный размер эпифиза обычно составляет до 10 мм, поперечный — 4–8 мм. В эпифизе синтезируется гормон мелатонин и некоторые другие индоламины (производные серотонина) и пептиды. Установлено, что продуцируемый эпифизом мелатонин оказывает влияние на другие эндокринные железы, в частности, обладает выраженным антигонадотропным действием, участвует в регуляции сна, в иммунной и антиоксидантной защите организма [1–4]. Однако основной функцией эпифиза является получение им информации от органов зрения о текущем состоянии цикла свет – темнота в окружающей среде и передача этой информации посредством секреции гормона мелатонина на все внутренние физиологические системы организма, тем самым синхронизируется их функциональная активность с суточной цикличностью светового режима и связанным с ней циркадным ритмом цикла сон – бодрствование [1, 4].
Мелатонин синтезируется в темное время суток в специализированных клетках пинеалоцитах и транспортируется из шишковидной железы по всему организму через кровеносное русло. Для реализации этой функции в эпифизе имеется множество артерий, вен и капилляров, обилие которых делает этот орган одним из наиболее васкуляризованных структур в организме [5]. Его богатое кровоснабжение обеспечивается кровеносными сосудами, отходящими от задней мозговой артерии, а венозный отток — через вену Галена. Установление детальной топографии артерий и вен, непосредственно обеспечивающих кровоснабжение эпифиза человека, осложнено обилием экстраорганных кровеносных сосудов, прилежащих к шишковидному телу, большой индивидуальной вариабельностью формы эпифиза и артериальных и венозных сосудов, входящих в данный орган и выходящих из него, а также различием кровоснабжения эпифиза у человека и других видов млекопитающих [6–9]. Распределение внутрипинеальных кровеносных сосудов у человека изучали гистологическими методами, а также с помощью рентгеновской фазово-контрастной томографии [7–10], однако никогда не исследовались молекулярные особенности сосудов эпифиза. В то же время выяснение локализации и молекулярных особенностей кровеносных сосудов в эпифизе важно для понимания механизмов транспорта гормона мелатонина из синтезирующих его пинеалоцитов в кровеносное русло. Мы попытались восполнить этот пробел.
Цель настощей работы — изучение кровеносных сосудов эпифиза человека иммуногистохимическим методом с использованием антител к фактору фон Виллебранда и коллагену IV типа. Фактор фон Виллебранда представляет собой гликопротеин, который синтезируется в эндотелиальных клетках, хранится в тельцах Вейбеля – Паладе и, таким образом, является селективным маркером эндотелиоцитов, формирующих сосуды, тогда как коллаген IV типа характерен для базальной мембраны, лежащей непосредственно под эндотелием сосудов, и его визуализация также выявляет локализацию кровеносных сосудов [11–14].
Материалы и методы
Исследование проведено на образцах эпифиза человека (n = 7) в возрасте от 17 до 68 лет из архивного материала отдела общей и частной морфологии ФГБНУ «ИЭМ». Архивация материала соответствует этическим стандартам национального комитета по исследовательской этике и Хельсинкской декларации 1964 г. и ее последующим изменениям или сопоставимым нормам этики (заключения локального этического комитета ФГБНУ «ИЭМ» № 58-9/1-684 от 11.12.2009 и № 2/22 от 06.04.2022). Образцы эпифиза были зафиксированы в этанол-формалине или цинк-этанол-формалине [15] и залиты в парафин по общепринятой методике. Парафиновые срезы приготавливали толщиной 7 мкм на ротационном микротоме Rotary 3003 pfm (PFM Medical, Германия).
Для гистологического анализа препаратов и проверки сохранности ткани срезы были окрашены толуидиновым синим по методу Ниссля. Для иммуногистохимического исследования препаратов применяли кроличьи поликлональные антитела против фактора фон Виллебранда (разведение 1 : 1000, Agilent, США) и мышиные моноклональные антитела против коллагена IV типа (клон CIV22, разведение 1 : 100, Invitrogen, США). В первом случае (фактор фон Виллебранда) в качестве вторичных антител использовали реагент из набора Mach2 Universal HRP Polymer (Biocare Medical, США), во втором случае — реагент MACH2 Mouse HRP Polymer (Biocare Medical, США). Подкраску срезов осуществляли с помощью квасцового гематоксилина, либо альцианового синего по общепринятой методике [16]. Для анализа и фотографирования препаратов использовали световой микроскоп Leica DM750 (Германия), оснащенный камерой ICC50. Изображения обрабатывали в программе LAS EZ (Leica, Германия).
Результаты
Предварительное гистологическое изучение препаратов эпифиза человека показало их хорошую сохранность, четкую выявляемость клеток и кровеносных сосудов с редкими вкраплениями в паренхиме гранул пигмента меланина, расположенных группами, и конкрементов (мозговой песок, или псаммомные тельца), а также с кистами, расположенными случайным образом и в различном количестве. В большинстве препаратов наблюдалось хорошо выраженное лобулярное строение эпифиза человека: соединительнотканные перегородки (трабекулы) разделяют на отдельные дольки многочисленные, плотно прилежащие друг к другу клетки (пинеалоциты) (рис. 1, а), однако в некоторых случаях четкая лобулярная структура отсутствовала, и группы плотно прилежащих друг к другу пинеалоцитов перемежались толстыми слоями соединительной ткани. Не было отмечено взаимосвязи различий структуры исследованных образцов эпифиза с возрастом.
Рис. 1. Иммуногистохимическая реакция на фактор фон Виллебранда (темные участки) в эпифизе человека: а — малое увеличение, хорошо видна дольчатость структуры эпифиза. Фактор фон Виллебранда маркирует сосуды, которые располагаются в соединительнотканных трабекулах, но не видны внутри долек; b — большее увеличение, хорошо видны окрашенные сосуды, локализованные в соединительнотканных трабекулах; c, d — окрашенные сосуды селективно располагаются только в слоях соединительной ткани, альциановый синий выделяет тучные клетки мукозного типа в соединительнотканных трабекулах. Стрелки указывают на кровеносные сосуды; двойная стрелка — пинеалоциты, локализующиеся внутри долек; головка стрелки — тучные клетки. Звездочкой отмечена паренхима эпифиза. Подкраска альциановым синим. Масштабный отрезок 200 (а), 50 мкм (b–d)
Fig. 1. Immunohistochemical reaction for von Willebrand factor (dark areas) in the human pineal gland: a — low magnification, the lobulation of the pineal gland is clearly visible. Von Willebrand factor marks vessels that are located in connective tissue trabeculae, but are not visible inside the lobules; b — higher magnification, stained vessels localized in connective tissue trabeculae are clearly visible; c, d — stained vessels are selectively located only in the layers of connective tissue, Alcian blue counterstaining stains mucosal-type mast cells in connective tissue trabeculae. Arrows point to blood vessels; double arrow — pinealocytes localized inside the lobules; arrow head — mast cells. The asterisk marks the parenchyma of the epiphysis. Alcian blue counterstaining. Scale bar: 200 (а) and 50 µm (b–d)
Иммуногистохимическое выявление фактора фон Виллебранда обнаружило его избирательное распределение по ходу кровеносных сосудов. Его можно было наблюдать на всем протяжении сосудов, расположенных в плоскости среза эпифиза (рис. 1, b). Обращало на себя внимание то, что кровеносные сосуды, иммунореактивные на фактор фон Виллебранда, располагались строго в соединительнотканных трабекулах и крайне редко встречались в интралобулярной паренхиме. В некоторых образцах эпифиза человека лобулярная структура была менее выражена, но и в этих случаях кровеносные сосуды, иммунореактивные на фактор фон Виллебранда, наблюдались только в соединительной ткани, но не среди пинеалоцитов (рис. 1, c, d). Применение альцианового синего для препаратов, окрашенных к фактору фон Виллебранда, помимо соединительнотканных трабекул позволила выявить также тучные клетки. Было установлено, что тучные клетки располагаются в трабекулах, как правило, вблизи кровеносных сосудов (рис. 1, c).
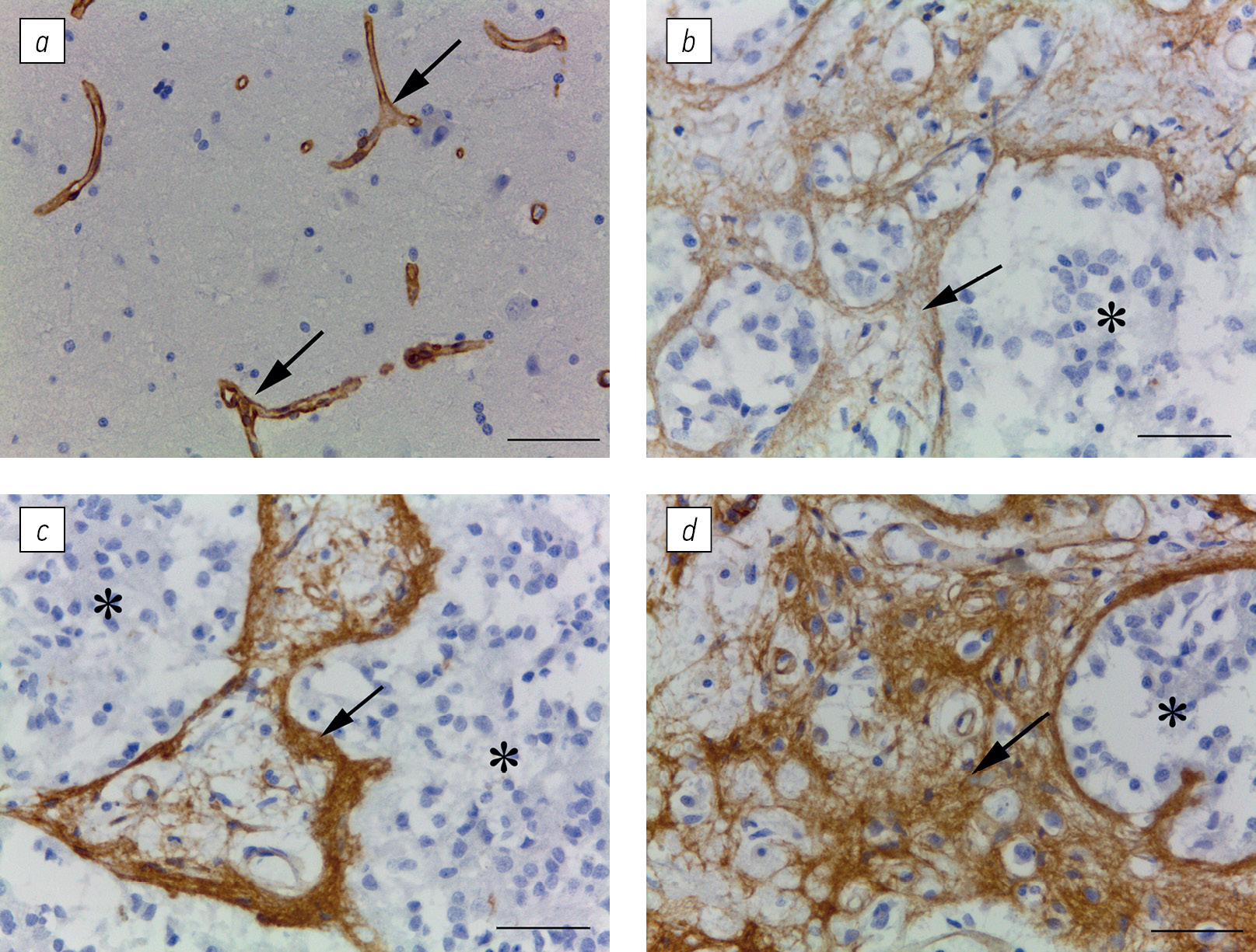
Иммуногистохимическая реакция на коллаген IV типа выявила ряд отличительных особенностей распределения этого маркера в эпифизе. В то время как в типичной нервной ткани коллаген IV типа выявлялся только в базальной мембране кровеносных сосудов (рис. 2, а), в эпифизе помимо сосудов окрашивались некоторые волокна как в соединительнотканных перегородках, так и внутри долек, среди пинеалоцитов (рис. 2, b–d).
Рис. 2. Иммуногистохимическая реакция на коллаген IV типа: а — коллаген IV типа в базальной мембране кровеносных сосудов участка головного мозга; b–d — варианты распределения коллагена IV типа в трабекулах эпифиза человека. Стрелки указывают на кровеносные сосуды (а) и коллаген IV+-структуры в трабекулах эпифиза (b–d), звездочка — дольки эпифиза. Подкраска ядер квасцовым гематоксилином. Масштабный отрезок 50 мкм
Fig. 2. Immunohistochemical reaction for type IV collagen: a — type IV collagen in the basal lamina of the blood vessels of a brain area; b–d — distribution patterns of type IV collagen in human pineal trabeculae. Arrows point to blood vessels (a) and collagen IV+ structures in pineal trabeculae (b–d), asterisks indicate pineal lobules. Nuclei counterstaining with alum hematoxylin. Scale bar: 50 µm
Сосуды, иммунореактивные на коллаген IV типа, локализовались преимущественно в соединительнотканных перегородках или в разросшейся соединительной ткани, и только в отдельных случаях можно было различить кровеносные сосуды внутри лобулярной паренхимы, среди пинеалоцитов. Коллагеновые волокна, иммунореактивные на коллаген IV типа, также в подавляющем большинстве располагались в соединительной ткани и редко наблюдались в паренхиме.
Как правило, коллаген IV типа наблюдается на границе с паренхимой эпифиза, а внутри трабекул формирует сеть по направлению соединительнотканных волокон. Тем не менее не все волокна иммунореактивны к коллагену IV типа. Стоит также отметить, что внутри трабекул коллаген IV типа расположен неравномерно. Наблюдалось три различных варианта распределения данного маркера: 1) в пределах органа встречаются участки, где коллаген формирует изолирующую тонкую прослойку от паренхимы эпифиза, а внутри окрашенные волокна встречаются относительно редко и распределены равномерно (рис. 2, b); 2) наблюдаются зоны, где изолирующая прослойка сформирована густой сетью волокон, окрашенных к коллагену IV типа, а в пределах трабекулы встречаются редкие отдельные окрашенные волокна (рис. 2, c); 3) изолирующая прослойка плотная и толстая, и волокна внутри трабекулы формируют густую сеть (рис. 2, d).
Обсуждение
Исследованные образцы эпифиза в соответствии с наиболее распространенной классификацией [17–19], предусматривающей три варианта строения органа — целлюлярный, альвеолярный и трабекулярный, относятся к трабекулярному и переходному (альвеолярно-трабекулярному) варианту. Небольшой объем выборки не позволил установить связи между выявленными вариантами строения эпифиза и возрастом, хотя эта проблема представляет существенный научный интерес [20]. Тем не менее результаты работ, выполненных ранее с использованием классических методик окраски [17, 21], не дают однозначных результатов в плане ассоциации структурной организации эпифиза человека с возрастом.
Полученные нами данные свидетельствуют, что в эпифизе человека кровеносные сосуды, иммунореактивные на фактор фон Виллебранда и коллаген IV типа, преимущественно локализованы в соединительнотканных перегородках, тогда как во внутрилобулярной паренхиме среди пинеалоцитов сосуды наблюдаются редко. Фактор фон Виллебранда хорошо известен и широко используется как маркер эндотелиальных клеток, формирующих кровеносные сосуды, то есть его локализация избирательно маркирует сосуды, в том числе мелкие капилляры в различных тканях организма, включая центральную нервную систему, как у животных, так и у человека [11, 12, 22, 23]. Коллаген IV типа локализуется в базальной мембране, отграничивающей эндотелий сосудов от подлежащей ткани, а кроме того, входит в состав соединительнотканных волокон, но поскольку визуально фибриллы и сосуды хорошо различимы, коллаген IV типа также признан специфическим маркером кровеносных сосудов и широко используется в этом качестве [13, 14, 24]. Полученные результаты с большой достоверностью свидетельствуют о высокой плотности васкуляризации соединительной ткани, окружающей дольки эпифиза человека, и об очень малом количестве, если не об отсутствии кровеносных сосудов внутри эпифизных долек, в которых расположены пинеалоциты. Полученные нами результаты согласуются с немногими имеющимися исследованиями эпифиза человека с помощью гистологических методов, а также рентгеновской фазово-контрастной томографии, в которых также отмечалось преимущественное расположение кровеносных сосудов в соединительнотканных перегородках, окружающих дольки эпифиза, в то время как внутри долек среди пинеалоцитов можно было встретить лишь единичные сосуды [7, 10, 25].
Стоит отметить, что эпифиз образован нетипичной нервной тканью. В то время как клеточные элементы паренхимы имеют нейральное происхождение, трабекулы эпифиза представляют собой впячивания капсулы, окружающей орган [26, 27], в связи с чем трабекулы называют соединительнотканными элементами данного органа. Однако стоит отметить, что тела и отростки астроцитов локализуются не только в паренхиме эпифиза, но и в трабекулах, что может указывать на то, что трабекулы эпифиза представляют собой, скорее, атипичную глиосоединительную ткань. Это также отражается и на реакции на коллаген IV типа, распределение которого в эпифизе отличается от типичной нервной ткани, где данный белок локализуется только в базальной мембране кровеносных сосудов. В эпифизе человека коллаген IV типа помимо базальной мембраны сосудов выявляет и волокна глиосоединительнотканных трабекул. Как правило, в нервной ткани компоненты базальной мембраны синтезируются эндотелиоцитами, перицитами и астроцитами [28]. В эпифизе компоненты базальной мембраны вне кровеносных сосудов, вероятно, могут быть синтезированы астроцитами, в связи с чем может наблюдаться разная плотность коллагена IV типа в зависимости от степени глиоза в конкретной области и, возможно, от степени активности этих клеток. Вероятно, более активное разрастание и утолщение базальной мембраны на границе трабекул и паренхимы также представляет собой изолирующую прослойку для поддержания гомеостаза в областях локализации пинеалоцитов.
Поскольку, согласно полученным результатам, пинеалоциты, расположенные в лобулярной паренхиме эпифиза человека, располагаются вдалеке от кровеносных сосудов, вполне резонно предположить, что секреция гормона мелатонина осуществляется не прямо из пинеалоцитов в капилляры, которых нет между пинеалоцитами, а опосредованно, по-видимому, через астроглиальные клетки — в сосуды, проходящие по глиосоединительнотканным перегородкам. Это предположение подкрепляется данными о том, что многочисленные отростки астроцитов пронизывают весь эпифиз человека, располагаясь густой сетью среди пинеалоцитов и образуя плотные пучки волокон в трабекулах, при этом часто наблюдались многочисленные контакты тел и отростков астроцитов с кровеносными сосудами разного калибра [29]. Сходные наблюдения были описаны при электронномикроскопических исследованиях эпифиза животных: практически во всех исследованиях наблюдали астроциты и их отростки, прилежащие к стенке кровеносного сосуда, причем тела астроглиальных клеток и астроцитарные ножки располагаются концентрически вокруг кровеносных сосудов, создавая сплошной барьер между периваскулярным пространством и скоплениями пинеалоцитов и их отростками [30, 31]. Более того, в тех случаях, когда отростки пинеалоцитов (часто содержащие пузырьки, предположительно, с секретом эндокринных клеток) приближались к перикапиллярному пространству, их покрывали тонким слоем отростки глиальных клеток, отделяя их от капилляров, на основании чего было предположено участие глиальных клеток (по-видимому, астроцитов) в транспорте мелатонина в кровеносное русло [31].
Следует заметить, что в некоторых электронномикроскопических исследованиях упоминалось прилежание пинеалоцитов или их отростков к сосудам или перикапиллярному пространству у грызунов [32, 33]. В гистологических исследованиях указывалось на наличие кровеносных сосудов среди пинеалоцитов, лежащих в дольках или просто расположенных группами (при отсутствии лобулярной структуры), у двух видов животных семейства енотовых [34, 35], хотя у других млекопитающих сосуды среди пинеалоцитов не были описаны [36, 37]. При этом во всех случаях отмечается густая сеть кровеносных сосудов в глиосоединительнотканных перегородках, разделяющих дольки с пинеалоцитами.
Различия данных о присутствии или отсутствии кровеносных сосудов среди пинеалоцитов в дольках эпифиза и о возможности контактов пинеалоцитов напрямую с капиллярами/перикапиллярным пространством, по-видимому, связаны с существующим разнообразием строения кровеносной системы эпифиза у разных млекопитающих [38, 39]. Обращает на себя внимание существование в эпифизе одних млекопитающих фенестрированных, а у других — нефенестрированных капилляров [39, 40]. Фенестры — истончения участков эндотелия — увеличивают проницаемость для макромолекул, поэтому наличие или отсутствие фенестр определяет степень проницаемости стенки капилляра. Нефенестрированные капилляры характерны для большинства структур центральной нервной системы и обеспечивают функциональную целостность гематоэнцефалического барьера. Фенестрированные капилляры типичны для эндокринных желез, а в головном мозге — для циркумвентрикулярных органов, к которым некоторые исследователи относят и эпифиз. Присутствие в эпифизе одних видов животных фенестрированных, а у других — нефенестрированных капилляров определяет различную проницаемость сосудов для транспорта гормона из пинеалоцитов и, вполне возможно, определяет, будет ли мелатонин секретироваться в капилляры напрямую из пинеалоцитов или опосредованно через астроглиальные клетки. Разнообразие строения кровеносной системы эпифиза у разных видов млекопитающих допускает возможность двоякого механизма секреции пинеального гормона.
Заключение
Полученные нами результаты согласуются с имеющимися немногочисленными литературными данными и свидетельствуют о преимущественном расположении кровеносных сосудов в соединительнотканных перегородках и минимальном их наличии (или отсутствии) среди пинеалоцитов в дольках эпифиза человека. Это позволяет предположить, что в эпифизе человека мелатонин из пинеалоцитов секретируется не напрямую в кровеносные сосуды, а опосредованно, наиболее вероятно, через отростки астроглиальных клеток.
Дополнительная информация
Источник финансирования. Работа выполнена при поддержке гранта Российского научного фонда № 22-25-20051, https://rscf.ru/project/22-25-20051/, и гранта Санкт-Петербургского научного фонда в соответствии с соглашением от 14.04.2022 г. № 47/2022.
Конфликт интересов. Авторы декларируют отсутствие явных и потенциальных конфликтов интересов, связанных с публикацией данной статьи.
Этический комитет. Протокол исследования был одобрен локальным этическим комитетом ФГБНУ «ИЭМ» № 58-9/1-684 от 11.12.2009 и № 2/22 от 06.04.2022.
Вклад авторов. Все авторы внесли существенный вклад в разработку концепции, проведение исследования и подготовку статьи, прочли и одобрили финальную версию перед публикацией. Наибольший вклад распределен следующим образом: Д.А. Суфиева, И.П. Григорьев — идея работы, планирование эксперимента, написание и редактирование рукописи; Д.А. Суфиева, Е.А. Федорова, В.С. Яковлев — сбор данных; И.П. Григорьев, Д.А. Суфиева, Е.А. Федорова — обработка данных.
Additional information
Funding source. The study was supported by the Grant of the Russian Science Fund No. 22-25-20051 and the Grant of Saint Petersburg Science Fund according the Agreement of 14.04.2022 No. 47/2022.
Conflict of interest. The authors declare no conflict of interest.
Ethical approval. The pineal gland samples were obtained from the archives of Department of General and Particular Morphology, Institute of Experimental Medicine, St. Petersburg, Russia. The Institutional Ethics Committee approved the study (No. 58-9/1-684 of 11.12.2009 and No. 2/22 of 06.04.2022).
Authors’ contribution. All authors made a significant contributions to concept development and paper preparation, read and approved the final version before publication. The largest contribution is distributed as follows: D.A. Sufieva, I.P. Grigorev — design of the study, carring out the experiment, writing and editing the manuscript; E.A. Fedorova, V.S. Yakovlev — data collection and processing; D.A. Sufieva, E.A. Fedorova, I.P. Grigorev — data analysis.
About the authors
Dina A. Sufieva
Institute of Experimental Medicine
							Author for correspondence.
							Email: dinobrione@gmail.com
				                	ORCID iD: 0000-0002-0048-2981
				                	SPIN-code: 3034-3137
							Scopus Author ID: 56479139700
							ResearcherId:  O-1825-2017
				                								
Research Associate, Department of General and Particular Morphology
Russian Federation, Saint PetersburgElena A. Fedorova
Institute of Experimental Medicine
														Email: el-fedorova2014@yandex.ru
				                	ORCID iD: 0000-0002-0190-885X
				                	SPIN-code: 5414-4122
							Scopus Author ID: 36901775900
							ResearcherId: B-1671-2012
				                								
Cand. Sci. (Biol.), Research Associate, Department of General and Particular Morphology
Russian Federation, Saint PetersburgVladislav S. Yakovlev
Institute of Experimental Medicine
														Email: 1547053@mail.ru
				                	ORCID iD: 0000-0003-2136-6717
				                	SPIN-code: 7524-9870
																		                								
Research Laboratory Associate, Department of General and Particular Morphology
Russian Federation, Saint PetersburgIgor P. Grigorev
Institute of Experimental Medicine
														Email: ipg-iem@yandex.ru
				                	ORCID iD: 0000-0002-3535-7638
				                	SPIN-code: 1306-4860
							Scopus Author ID: 7102851509
											                								
Cand. Sci. (Biol.), Senior Research Associate, Department of General and Particular Morphology
Russian Federation, Saint PetersburgReferences
- Anisimov VN. Pineal gland, biorhythms and aging of an organism. Progress in Physiological Sciences. 2008;39(4):40–65. (In Russ.)
- Galano A, Tan DX, Reiter RJ. Melatonin as a natural ally against oxidative stress: a physicochemical examination. J Pineal Res. 2011;51(1):1–16. doi: 10.1111/j.1600-079X.2011.00916.x
- Markus RP, Fernandes PA, Kinker GS, et al. Immune-pineal axis – acute inflammatory responses coordinate melatonin synthesis by pinealocytes and phagocytes. Br J Pharmacol. 2018;175(16):3239–3250. doi: 10.1111/bph.14083
- Norman AW, Henry HL. The Pineal Gland. In: Hormones. 3rd ed. London, England: Academic Press; 2015. P. 351–361. doi: 10.1016/B978-0-08-091906-5.00016-1
- Hodde KC. The vascularization of the rat pineal organ. Prog Brain Res. 1979;52:39–44. doi: 10.1016/S0079-6123(08)62910-6
- Selin YuM. Blood vessels of the epiphysis in comparative-anatomical aspect. Arkh Anat Gistol Embriol. 1977;72(5):90–96. (In Russ.)
- Duvernoy HM, Parratte B, Tatu L, et al. The human pineal gland: Relationships with surrounding structures and blood supply. Neurol Res. 2000;22(8):747–790. doi: 10.1080/01616412.2000.11740753
- Cho ZH, Choi SH, Chi JG, et al. Classification of the venous architecture of the pineal gland by 7T MRI. J Neuroradiol. 2011;38(4):238–241. doi: 10.1016/j.neurad.2011.02.010
- Kahilogullari G, Ugur HC, Comert A, et al. Arterial vascularization of the pineal gland. Childs Nerv Syst. 2013;29(10):1835–1841. doi: 10.1007/s00381-012-2018-z
- Bukreeva I, Junemann O, Cedola A, et al. Investigation of the human pineal gland 3D organization by X-ray phase contrast tomography. J Struct Biol. 2020;212(3):107659. doi: 10.1016/j.jsb.2020.107659
- Korzhevskii DE, Kirik OV, Sukhorukova EG, et al. Von Willebrand factor of endotheliocytes of blood vessels and its use in the course of immunomorphologycal research. Medical Academic Journal. 2017;17(1):34–40. (In Russ.) doi: 10.17816/MAJ17134-40
- Pusztaszeri MP, Seelentag W, Bosman FT. Immunohistochemical expression of endothelial markers CD31, CD34, von Willebrand factor, and Fli-1 in normal human tissues. J Histochem Cytochem. 2006;54(4):385–395. doi: 10.1369/jhc.4A6514.2005
- Braak H, Feldengut S, Kassubek J, et al. Two histological methods for recognition and study of cortical microinfarcts in thick sections. Eur J Histochem. 2018;62(4):2989. doi: 10.4081/ejh.2018.2989
- Xu L, Nirwane A, Yao Y. Basement membrane and blood-brain barrier. Stroke Vasc Neurol. 2018;4(2):78–82. doi: 10.1136/svn-2018-000198
- Grigorev IP, Korzhevskii DE. Current technologies for fixation of biological material for immunohistochemical analysis (review). Modern technologies in medicine. 2018;10(2):156–165. doi: 10.17691/stm2018.10.2.19
- Morfologicheskaya diagnostika. Podgotovka materiala dlya gistologicheskogo issledovaniya i elektronnoj mikroskopii. Rukovodstvo. Ed. by D.E. Korzhevskii. Saint Petersburg: SpecLit; 2013. (In Russ.)
- Ageychenko FE. Vozrastnye izmeneniya epifiza. In: Anatomo-fiziologicheskie osobennosti detskogo vozrasta. Moscow; Leningrad: Medizdat; 1935. P. 229–266. (In Russ.)
- Khelimskii AM. Epifiz (shishkovidnaya zheleza). Moscow: Meditsina; 1969. (In Russ.)
- Khavinson VKh, Kvetnoi IM, Ingel’ IE, Mar’ianovich AT. Age-related involution of organs and tissues. Usp Fiziol Nauk. 2003;34(1):78–91. (In Russ.)
- Paltsev MA, Polyakova VO, Kvetnoi IM, et al. Morphofunctional and signaling molecules overlap of the pineal gland and thymus: role and significance in aging. Oncotarget. 2016;7(11):11972–11983. doi: 10.18632/oncotarget.7863
- Tapp E, Huxley M. The histological appearance of the human pineal gland from puberty to old age. J Pathol. 1972;108(2):137–144. doi: 10.1002/path.1711080207
- Chumasov EI, Petrova ES, Korzhevskii DE. Structural and functional peculiarities of the endothelium of heart vessels of mature rats according to immunistochemical studies. Regional blood circulation and microcirculation. 2019;18(2):70–77. (In Russ.) doi: 10.24884/1682-6655-2019-18-2-70-77
- Zanetta L, Marcus SG, Vasile J, et al. Expression of Von Willebrand factor, an endothelial cell marker, is up-regulated by angiogenesis factors: a potential method for objective assessment of tumor angiogenesis. Int J Cancer. 2000;85(2):281–288. doi: 10.1002/(SICI)1097-0215(20000115)85:2<281::AID-IJC21>3.0.CO;2-3
- Magaki S, Tang Z, Tung S, et al. The effects of cerebral amyloid angiopathy on integrity of the blood-brain barrier. Neurobiol Aging. 2018;70:70–77. doi: 10.1016/j.neurobiolaging.2018.06.004
- Scharenberg K, Liss L. The histologic structure of the human pineal body. Prog Brain Res. 1965;10:193–217. doi: 10.1016/s0079-6123(08)63452-4
- Calvo J, Boya J. Ultrastructural study of the embryonic development in the rat pineal gland. Anat Rec. 1981;199(4):543–553. doi: 10.1002/ar.1091990410
- Tan DX, Xu B, Zhou X, et al. Pineal calcification, melatonin production, aging, associated health consequences and rejuvenation of the pineal gland. Molecules. 2018;23(2):301. doi: 10.3390/molecules23020301
- Chekhonin VP. Development of blood-brain barrier conception. Bulletin of Experimental Biology and Medicine. 2021;171(4):400–412. (In Russ.) doi: 10.47056/0365-9615-2021-171-4-400-412
- Sufieva DA, Fedorova EA, Yakovlev VS, et al. GFAP- and vimentin-containing stuctures in human pineal gland. Tsitologiya. 2023;65(2):1–9. (In Russ.) doi: 10.31857/S0041377123020104
- Taugner R, Schiller A, Rix E. Gap junctions between pinealocytes. A freeze-fracture study of the pineal gland in rats. Cell Tissue Res. 1981;218(2):303–314. doi: 10.1007/BF00210346
- Wartenberg H. The mammalian pineal organ: electron microscopic studies on the fine structure of pinealocytes, glial cells and on the perivascular compartment. Z Zellforsch Mikrosk Anat. 1968;86(1):74–97. doi: 10.1007/BF00340360
- Johnson JE Jr. Fine structural alterations in the aging rat pineal gland. Exp Aging Res. 1980;6(2):189–211. doi: 10.1080/03610738008258357
- Redecker P. Synaptic-like microvesicles in mammalian pinealocytes. Int Rev Cytol. 1999;191:201–255. doi: 10.1016/s0074-7696(08)60160-6
- De Oliveira Marques L, de Carvalho AF, Mançanares ACF, et al. Morphological study of the pineal gland of (crab eater raccoon) Procyon cancrivorus (Cuvier, 1798). Biotemas. 2010;23(2):163–171. (In Brazil) doi: 10.5007/2175-7925.2010v23n2p163
- Favaron PO, Mançanares CA, De Carvalho AF, et al. Gross and microscopic anatomy of the pineal gland in Nasua nasua – coati (Linnaeus, 1766). Anat Histol Embryol. 2008;37(6):464–468. doi: 10.1111/j.1439-0264.2008.00883.x
- Carvalho AF, Ambrosio CE, Miglino MA, et al. Macro-microscopical aspects of the buffalo (Bubalus bubalis Linnaeus, 1758) pineal gland. Biotemas. 2009;22(2):127–135. doi: 10.5007/2175-7925.2009v22n2p127
- Ebada S. Morphological and Immunohistochemical studies on the pineal gland of the donkey (Equus asinus). J Vet Anatomy. 2012;5(1):47–74. doi: 10.21608/jva.2012.44883
- McNulty JA, Fox LM, Lisco SJ. Pinealocyte dense-cored vesicles and synaptic ribbons: a correlative ultrastructural-biochemical investigation in rats and mice. J Pineal Res. 1987;4(1):45–59. doi: 10.1111/j.1600-079x.1987.tb00840.x
- Wohlsein P, Deschl U, Baumgärtner W. Nonlesions, unusual cell types, and postmortem artifacts in the central nervous system of domestic animals. Vet Pathol. 2013;50(1):122–143. doi: 10.1177/0300985812450719
- Karasek M, Reiter RJ. Morphofunctional aspects of the mammalian pineal gland. Microsc Res Tech. 1992;21(2):136–157. doi: 10.1002/jemt.1070210206
Supplementary files
 
				
			 
					 
						 
									
 
  
  
  Email this article
			Email this article 
 Open Access
		                                Open Access Access granted
						Access granted Subscription or Fee Access
		                                							Subscription or Fee Access
		                                					


 СМИ зарегистрировано Федеральной службой по надзору в сфере связи, информационных технологий и массовых коммуникаций (Роскомнадзор).
 СМИ зарегистрировано Федеральной службой по надзору в сфере связи, информационных технологий и массовых коммуникаций (Роскомнадзор).