Nonimmune binding of human immunoglobulins G and A by Streptococcus pyogenes: the role of this phenomenon in pathology
- Authors: Burova L.A.1, Suvorov A.N.1,2, Pigarevsky P.V.1, Totolian A.A.1
-
Affiliations:
- Institute of Experimental Medicine
- Saint Petersburg State University
- Issue: Vol 23, No 2 (2023)
- Pages: 9-29
- Section: Analytical reviews
- Published: 25.08.2023
- URL: https://journals.eco-vector.com/MAJ/article/view/430288
- DOI: https://doi.org/10.17816/MAJ430288
- ID: 430288
Cite item
Abstract
M and M-like proteins are key pathogenicity factors of Streptococcus pyogenes, a widely prevalent and potentially lethal bacterium. These proteins confer resistance to the host’s innate and adaptive immune response by attracting specific human proteins to the streptococcal surface. The nonimmune binding of host immunoglobulins G (IgG) and A (IgA) to M and M-like proteins via their Fc domains was first described over 50 years ago, but its role in the pathogenicity of S. pyogenes remains unclear. This discovery has had a significant impact on the development of innovative diagnostic approaches, technologies, and tools in microbiology, immunology, and molecular biology. The nonimmune binding of immunoglobulins has been suggested to play a role in immune conditions on mucosal surfaces and their secretions, but not in blood plasma, while other studies suggest it protects microbes from phagocytosis in the host’s nonimmune blood. The Fc-binding effect has been shown to increase the pathogenicity of streptococci, contributing to the development of autoimmune diseases and tissue damage in experimental animals. The experimental autoimmune process can be prevented by administering purified Fc fragments of immunoglobulins to animals. Streptococcal diseases play a significant role in the pathogenesis of IgA-nephropathy (IgAN), a mesangial proliferative process caused by initial IgA-Fcα deposition in renal mesangium cells. Literature suggests a relevance of recent ideas about the important role of nonimmune Ig binding in streptococcal diseases, and further efforts are required to study the binding of Fc fragments of IgG and IgA to M and M-like proteins of S. pyogenes, with the aim of developing preventive and potentially therapeutic applications. The paper speculates on the role of nonimmune Ig binding in streptococcal diseases, including cases with various mechanisms of development. These studies also focuses on preventive and potentially therapeutic applications of Fc fragments of IgG to M or M-like proteins of S. pyogenes.
Full Text
List of abbreviations
APSGN — acute poststreptococcal glomerulonephritis; ARF/RHD — acute rheumatic fever / rheumatic heart disease; C4BP — C4b-binding protein; FH — factor H; GAS — Streptococcus pyogenes or group A streptococci; IgAN — IgA-nephropathy; NAPlr — nephritis-associated plasmin receptor, glyceraldehyde-3-phosphate dehydrogenase.
Introduction
Streptococcus pyogenes or group A streptococci (GAS) is a group of gram-positive pathogens that cause numerous human diseases. These pathogens are responsible for conditions such as scarlet fever, pharyngitis, sinusitis, otitis media, pyoderma, impetigo, erysipelas, necrotizing fasciitis, myositis, septicemia, and toxic shock syndrome, which can be highly lethal due to rapid progression and systemic organ damage. Additionally, autoimmune conditions like post-streptococcal rheumatic fever and glomerulonephritis may result from a previous GAS infection. These diseases remain a significant health threat, particularly in developing countries [1–3]. The proteins of the M protein family located on the surface of these bacteria play a crucial role in the pathogenesis of these diseases [4, 5]. The M protein forms a dense fibrillar layer that extends about 500 Å from the cell wall. Its fibrillar appearance is due to its dimeric α-helical coiled-coil structure, consisting of 330–440 amino acids [6, 7]. The location of the M protein on the bacterial surface makes it the main target of the host’s immune system. Previously it was thought that GAS carried a single M protein with a specific antigen function. However, now we understand that at least three M protein family members exist: Emm, Mrp, and Enn [8]. The Emm protein is present in all strains of GAS, while the other two M-like proteins are present in 85% of GAS isolates. Genes in the Mga-regulon [9–11] encode all M proteins. The Emm protein has been established as the standard for emm genotyping of GAS [12], and currently, around 200 emm genotypes of GAS are known [7, 12]. One of the main functions of the M protein is to ensure the bacterium’s resistance to elimination by the host’s innate and adaptive immune system. This resistance is established through the interaction of several human plasma proteins with the surface of GAS cells, preventing opsonization with C3b component complement and specific antibodies, which allows the bacterium to evade phagocytosis. The mechanism of this interaction and the structural interaction with M proteins are well studied or currently being investigated. The most important human plasma proteins that interact with the M protein are fibrinogen [13–15] and C4b-binding protein (C4BP) [16–18]. Fibrinogen is a blood coagulation protein that acts as a steric shield blocking complement component binding [19]. Factor H (FH) is less studied, but its role in GAS pathogenicity has been shown in transgenic mice [20–22]. C4BP and FH are regulators of complement activation and interact with other complement proteins to reduce C3b levels, thereby protecting the host’s tissues from complement damage. C4BP and FH also compete with opsonizing antibodies for M protein epitopes [19]. The other protein recruited by the M protein into the focus of infection is also a component of the blood coagulation system — plasminogen (Pla), which binds directly to the M-like protein of bacteria [23–26] or indirectly through fibrinogen. Plasminogen is transformed into enzymatically active plasmin under the action of streptokinase A. It has been shown that plasmin can cause proteolysis of the C3b component of the complement, leading to a decrease in the level of opsonization of bacteria and their phagocytic uptake by neutrophils [27]. Plasmin localized on bacteria promotes the transition of a local streptococcal infection into an invasive one [26, 28]. Fifty years ago, another form of the interaction of M protein with plasma proteins was discovered — the nonimmune interaction of M protein with immunoglobulins G (IgG) and A (IgA) due to their Fc fragments [29–34]. A number of types of streptococcal M proteins have been shown to bind human IgG, IgA, or both. IgG is mainly found in plasma, but can also be detected in lymph and in small amounts on mucous surfaces, while IgA is the main class of antibodies on mucous membranes [35]. The binding of immunoglobulins by M and M-like streptococcal proteins is a temperature and allosterically dependent process [36].
Immunoglobulin Fc-binding by Streptococcus pyogenes
The binding of human and mammalian immunoglobulin Fc fragments by microbes was first observed in Staphylococcus aureus through the interaction of protein A and the Fc fragment of human IgG [37]. In 1966, A. Forsgren and J. Sjoquis established that this interaction was a pseudo-immune reaction, rather than an antigen-antibody interaction [38]. The Fc fragment of human IgG was also found to bind to streptococci, with four types of streptococcal IgGFc receptors identified in addition to type I bacterial Fc receptors (protein A) [29, 39, 40]. The characteristic IgGFc receptors of S. pyogenes strains were designated type II, and they interact with human IgG 1–4 and polyclonal rabbit and pig IgG [39, 40].
Studies by P. Christensen, C. Schalen, and co-authors revealed the ability of some GAS strains to bind both monomeric and aggregated human IgG, including in the presence or absence of normal serum [41, 42]. This activity is primarily found in “nephritogenic” strains of types M12 and M49, isolated from patients with post-streptococcal glomerulonephritis [41, 42]. In addition to Fc-receptors, the ability to bind immune complexes was also discovered in GAS [43]. Type III Fc receptors (protein G) are typical of human-derived group C and G streptococcal strains, while type IV is characteristic of group G streptococci causing infection in cattle, and type V has been identified in Streptococcus zooepidemicus [39, 40]. The discovery of this phenomenon has had significant impact on microbiological, immunological, molecular diagnostic approaches and research into the pathogenesis of topical infectious diseases caused by S. pyogenes [8, 34, 44, 45].
The unique ability of M type GAS to bind mainly human and rabbit IgG has made it possible to study the role of nonimmune IgG binding in pathology. The Fc-binding activity of GAS may be determined by the bacteria’s ability to cause diseases mainly in humans, which it has developed over its evolution in the human body. Recent research has shown that the IgGFc-binding proteins of GAS have a high degree of homology to M proteins, and common Mga-regulon genes [46–48] regulate their synthesis.
IgG binding sites are localized in the region between the CH2 and CH3 domains of the immunoglobulin G heavy chain with the involvement of three amino acid residues of histidine at positions 435, 433, 310 and tyrosine at position 436 in this binding [8, 49]. S. pyogenes also has the ability to bind the Fc fragment of the IgA molecule. Initially, nonimmune binding of IgA was shown in strains of types M4, M11 and M57 [50] reacting with human myeloma IgA. Later, this activity was also detected in M49 and M60 types of GAS strains [51]. These M types of GAS are binding both subclasses of human IgA: IgA1 and IgA2 [8, 34].
The interaction of M and M-like GAS proteins with immunoglobulins is multi-faceted in infected organisms. Fc-bound immunoglobulin molecules block bacterial opsonization, while the “stockade” of Fc-bound immunoglobulin on the surface of bacteria provides protection from phagocytic uptake. The binding of plasma proteins by microbial cells can result in their sequestration and removal from circulation, thereby evading the host immune response. The ability of streptococcal M proteins to bind IgG, immune complexes, and IgA is determined by the presence of Fcγ and Fcα receptors, which differ in their amino acid sequence [8]. Three IgG and one IgA receptors have been described [8]. Streptococcal proteins of the M protein family Emm, Mrp and Enn bind both IgG and IgA, while the M-like Arp protein is active only against human IgA [8, 34]. The binding of plasma proteins by S. pyogenes may be fraught with their imbalance in the macroorganism. It has also been shown that streptococcal IgGFc-binding strains are capable of inducing the synthesis of anti-IgG class G when injected into rabbits [52–55]. As a result, it leads to a high concentration of circulating IgG-containing immune complexes in the blood. All the consequences of these events and their role in streptococcal pathology are still far from being completely understood.
Autoimmune diseases of streptococcal etiology
Considerable literature on the pathogenesis of poststreptococcal heart and kidney complications has been accumulated in the scientific community. These conditions result from the transition of an infectious process into an immunopathological state. There must always be a triggering factor for this transition to occur, which is part of a series of interrelated reactions between the pathogen and host. Understanding the sequence of pathogenic events is crucial in determining the nature of the initiating factor.
The mechanism behind autoimmune complications from a group A streptococcal infection (GAS-infection) remains a topic of scientific discussion. Examples of these conditions include acute poststreptococcal glomerulonephritis (APSGN) and rheumatic heart disease (RHD), which appear to involve nonimmune IgG binding. For a long time, APSGN was believed to be a complication of infections caused by specific strains of S. pyogenes, including those causing skin and upper respiratory tract infections [56, 57]. However, current research recognizes that Group A streptococci are not the only cause of glomerulonephritis. Studies of individual cases and outbreaks have shown that the condition can develop after infections caused by various other streptococcal species, including S. zooepidemicus [58, 59], Streptococcus pneumonia [60, 61], Streptococcus constellatus [62], and Streptococcus anginosus [63].
The identification of nephritogenic streptococcal antigens remains a topic of ongoing controversy and discussion. Experimental and clinical evidence suggests a potential connection between the development of pathological processes in the renal tissue of APSGN and certain products of GAS, including streptokinase (Ska) [64, 65], glyceraldehyde-3-phosphate-dehydrogenase (GAPDH) with the ability to bind plasmin and named by researchers as a plasmin receptor associated with nephritis (NaPlr) [66], and cysteine proteinase (exotoxin B, SpeB) [67, 68]. This connection is supported by the detection of these antigens and antibodies to them in biopsy samples from affected kidneys and in the blood of patients with APSGN. These antigens also induce the production of monocyte chemoattractant protein 1 (MCHB-1) in mesangial cells and the synthesis of proinflammatory cytokines, such as IL-6, TNF-α, IL-8, and TGF-b [56, 69]. The evidence for the nephritogenicity of the three antigens is not conclusive. For instance, a strain of S. zooepidemicus (MGCS10565) that caused a major epidemic of glomerulonephritis in Brazil [59] lacked the exotoxin B gene in its genome, casting doubt on the initiating role of exotoxin B in the development of APSGN. This highlights need for a critical evaluation of the molecular mechanisms and pathogenesis of APSGN based on genome analysis [59]. Thus, even if exotoxin B (cysteine protease) plays a role in APSGN, it is likely not the sole cause and may not initiate the process in all cases.
The role of Ska in inducing experimental glomerulonephritis is also questionable. Experiments with this GAS product were performed on mice [64, 70], but it is known that Ska does not activate mouse plasminogen into plasmin, a critical step in the development of post-streptococcal glomerulonephritis. This was confirmed in our experiments (Table 1) [71]. Hence, modeling glomerulonephritis in mice may not be attributed to the disease in humans. Additionally, the detecting of Ska on the basement membrane of the renal glomeruli of mice could simply reflect the accumulation of immune complexes containing Ska in these areas.
Table 1. Activation of the plasminogen of different species specificity in the presence of streptokinase C and streptokinase isolated from GAS type M1 (40/58) [71]
Sample number | Studied preparation | Optical density at ë = 405 nm | Protein (plasmin) concentration in mg/ml |
1 | Human plasminogen 10 µg + streptokinase M1(40/58) | 0,5112 | 0,5 |
2 | Human plasminogen 5 µg + streptokinase M1(40/58) | 0,3823 | 0,38 |
3 | Rabbit plasminogen 20 µg + streptokinase M1(40/58) М1(40/58) | 0,0019 | 0,002 |
4 | Mouse plasminogen 20 µg + streptokinase M1(40/58) М1(40/58) | 0,001 | 0 |
5 | “Streptase” + human plasminogen 10 µg | 0,6947 | 0,7 |
6 | “Streptase” + rabbit plasminogen 20 µg | 0,0115 | 0,01 |
7 | “Streptase” + mouse plasminogen 20 µg | 0,0003 | 0 |
8 | Human plasminogen 10 µg | –0,0015 | 0 |
9 | Rabbit plasminogen 20 µg | –0,0026 | 0 |
10 | Mouse plasminogen 20 µg | –0,0029 | 0 |
11 | Streptokinase М1 (40/58) 20 µg | –0,0046 | 0 |
12 | “Streptase” 10 µg | –0,0052 | 0 |
Note: “Streptase” is a commercial streptokinase from group C streptococcus.
The plasmin complex with NAPlr is considered to have a significant role in the development of APSGN. Anti-NAPlr antibody levels are found in 92% of the sera from convalescent APSGN patients and in 60% of the uncomplicated streptococcal infections in Japan. NAPlr is present in early biopsies of APSGN. Its role as a nephritogenic factor is thought to be related to its plasmin-binding capacity, which facilitates immune complex deposition and inflammation [56, 57, 66, 72]. T. Oda and co-authors suggest that the plasmin receptor may act as a nephritogenic factor, as it was found in glomeruli along with pyrogenic toxin (SpeB) in various cells such as neutrophils, endothelium, mesangial cells, and partially in macrophages [72]. However, the study did not provide any evidence linking these findings with the progression of APSGN, inflammation, or serological indicators, making it difficult to determine the initiating role of this factor. Plasmin, a broad-spectrum serine protease, has the ability to destroy mesangial tissue in the kidneys. In a healthy body, plasmin is constantly formed through the action of urokinase without causing harm to the kidney tissue, and NAPlr is present in most individuals. These data suggest the presence of multiple antigens with nephritogenic potency or an unknown cause of APSGN. Not all antigens or antibodies found in renal glomeruli can result in pathological changes in the organ, especially in its initiation. It is believed that there is another factor, aside from the listed nephritogenic factors, that optimizes their effect and initiates the lesion.
R.M. McIntosh and co-authors [73, 74] were the first to question about the role of GAS interaction with human immunoglobulins in the genesis of APSGN. They proposed the potential role of anti-IgG antibodies in this pathology. The study showed that S. pyogenes neuraminidase causes desialization of IgG and autologous anti-IgG antibodies. Its deposits were found in the renal tissue of rabbits infected with GAS. Analysis revealed that anti-IgG and anti-IgM autoantibodies were present in most patients with APSGN in the first week of the disease. It is important to understand the conditions that cause a person’s own IgG (or in an experimental animal) to become an autoantigen. Pathogenic streptococci, whose M and M-like proteins nonimmune bind IgG, actively colonize the mucosa of the upper respiratory tract and form infectious foci involving autologous anti-IgG antibodies, leading to deposits in the renal tissue of infected rabbits. The analysis showed that anti-IgG and anti-IgM autoantibodies were present in most patients with APSGN in the first week of the disease.
The pathogenic streptococci, with M and M-like proteins that no immunologically bind to IgG, actively colonize the upper respiratory tract and create infectious foci with a large number of IgG molecules. A focus of infection with 108 CFU of GAS during seeding contains a substantial amount of IgG molecules associated with bacteria. This allows us to propose the following hypothetical scenario for APSGN development. Bound IgG is degraded by the enzymes GAS-IgG-degrading enzyme (IdeS), endoglycosidase (EndoS), and exotoxin B (SpeB), which cleave the gamma chain of native IgG in the hinge region of the molecule [75, 76]. This differs from the papain cleavage site [77, 78]. As a result, IgG fragments are formed and, in addition to the bacterial antigens, create a strong autoantigenic stimulus that triggers the synthesis of antibodies to these fragments and, essentially, autoantibodies to IgG. This leads to the formation of high concentrations of autoimmune complexes of the IgG-anti-IgG type.
The human body must continually remove harmful substances through binding of immune complexes to the renal basement membrane’s tissue Fc receptors. The accumulation of these complexes triggers complement activation, attracts leukocytes and phagocytes, and leads to the development of immune inflammation foci in kidney tissue. This inflammation creates conditions for the destructive action of the C5b-C9 membrane-attacking complement complex and the subsequent action of exotoxin B or plasmin. The hypothesis about the initiation of APSGN is based on summarized data from our experiments on rabbits [43, 44, 54, 79–81].
To model glomerulonephritis in rabbits, we administered heat-killed cells of GAS types M1, M4, M15, and M22 that bind to the Fc fragment of native IgG, as well as type M12 that binds to immune complexes (Table 2). It has been shown that after binding of IgG by streptococci, antibodies specific to rabbit and human IgG are produced in rabbits. The blood of experimental animals showed the presence of anti-IgG antibodies in titers ranging from 1:80 to 1:640, depending on the time of sampling and individual characteristics of the rabbits. Glomeruli showed deposits of IgG and complement component C3. These deposits were accompanied by an increase of pro-inflammatory cytokines, such as IL-1β, TNF-α, and IL-6, and infiltration of tissues by lymphocytes/macrophages, eventually leading to the formation of local immune inflammation, with subsequent degeneration and destruction of the tissue. The process culminated in the development of membranous-proliferative glomerulonephritis, with some variability in the dynamics of morphological changes in individual rabbits (Fig. 1 and 2).
Table 2. Summarized an experimental data on the relationship between the types of IgGFcR-proteins and the ability of the corresponding bacterial species to induce glomerulonephritis [43, 44, 79–82]
Bacteria used for rabbit injection | M-type of GAS or strain | Type of IgGFcR protein | Number of rabbits with glomerulonephritis/ number of rabbits used |
Streptococcus pyogenes | M1 | II | 13/16 |
M4 | 2/2 | ||
M12 | 17/21 | ||
M15 | 7/8 | ||
M22 | 17/19 | ||
Streptococcus dysgalactie | G148 | III | 2/20 |
Staphylococcus aureus | Cowan I | I | 0/19 |
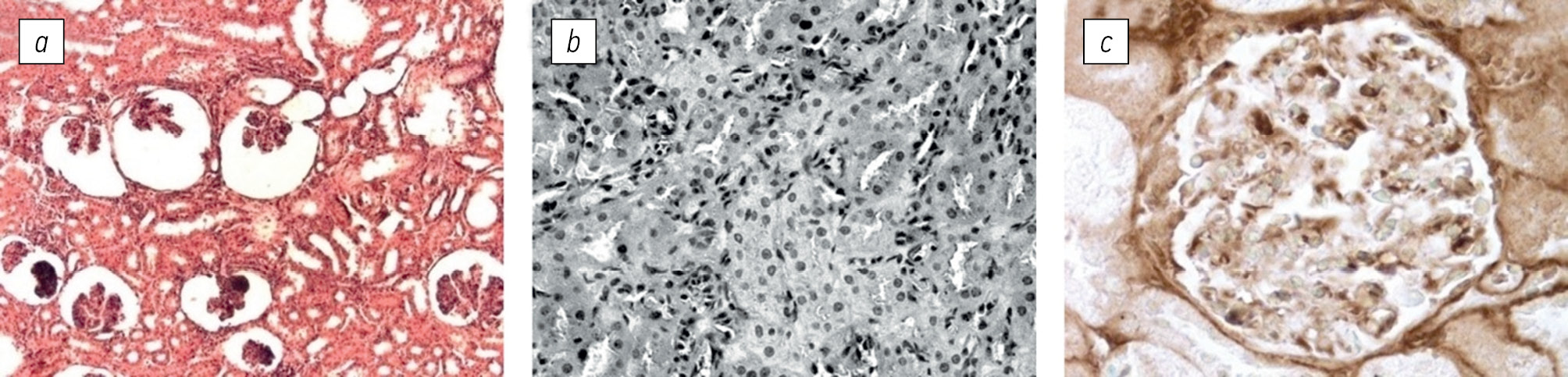
Fig. 1. Immunomorphological changes in cortical and medullary layers of the rabbit kidney, induced by Streptococcus pyogenes strain emm12 [43]: a — the expression of TNF-α by glomeruli mesangial cells (arrow); b — IgG deposition in the wall of the proximal tubule (arrow); c — deposition of C3 component of complement in the cells of the distal tubules (arrows); d — atrophy of the tissues of the renal glomeruli, the abundance of red blood cells in the cavity. a–c — immunohistochemical staining, ×750; d — staining with hematoxylin-eosin, ×550
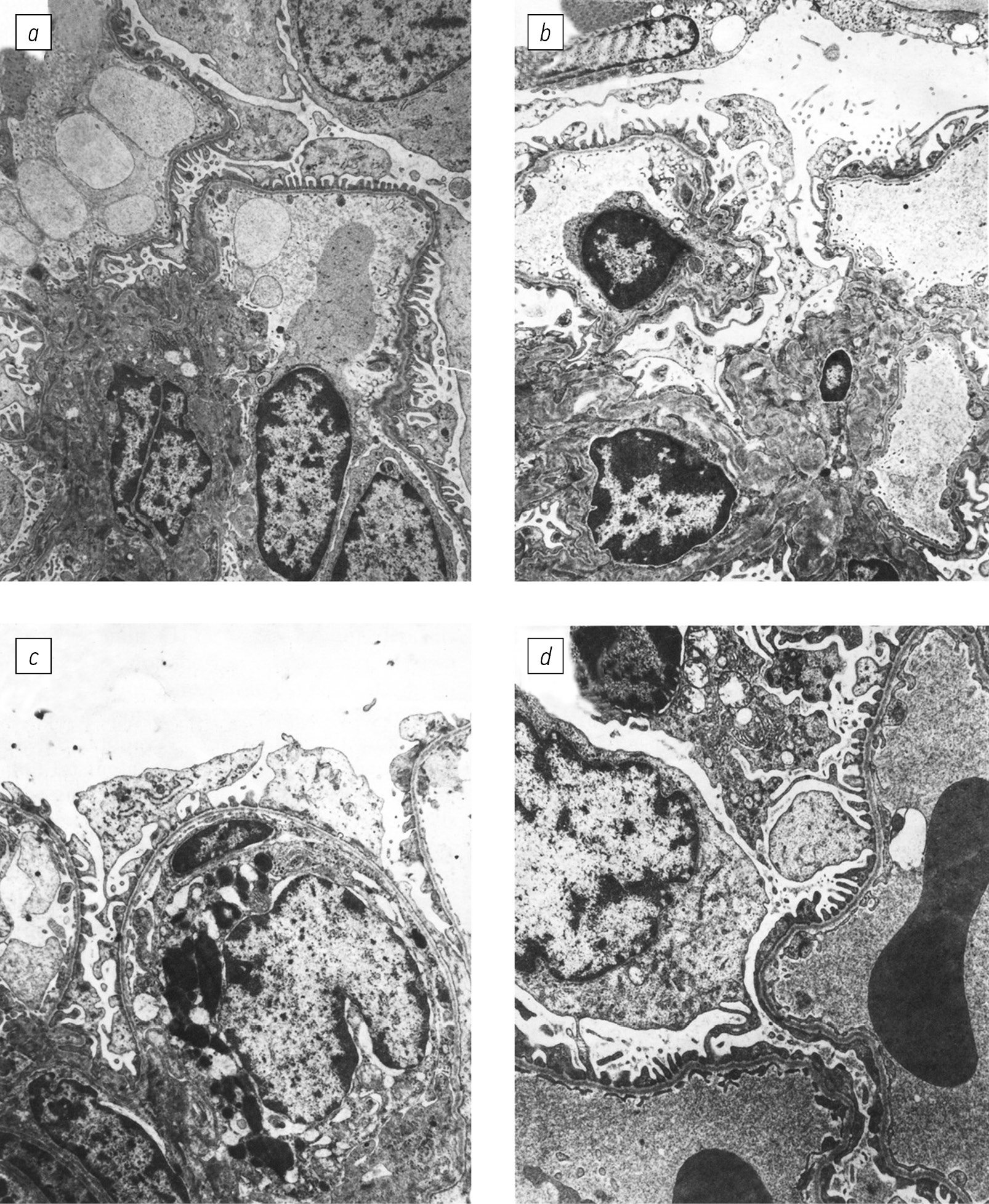
Fig. 2. Membranous-proliferative glomerulonephritis in a rabbit after injection of IgGFc-positive GAS strain of type M1 [81]: a — thickening of the basement membrane and interposition of mesangium cells, ×8000; b — fusion of podocyte and membrane, disintegration of endothelium, ×8500; c — interposition of mesangium and degranulation of basophils in capillaries, ×8000; d — hypertrophy and disintegration of podocytes, endothelium, fragments of cells in vessels, ×13500
Our experiments on rabbits confirmed a high likelihood of developing APSGN according to the previously discussed hypothesis. They demonstrated that immune inflammation leads to changes similar to those observed in human membranous–proliferative and fibroplastic glomerulonephritis [80]. Strains that cannot bind to the Fc fragment of IgG, or mutants lacking this trait, did not produce anti-IgG antibodies and lacked “nephritogenicity”. Interestingly, the M22 strain, which has two M protein genes in its genome and its mutant clones, which still had either of the two M proteins, showed nephritogenicity, unlike the double mutant completely lacking Fcγ-receptors. In contrast to commercial Fc-receptor preparations A and G proteins, administering purified M22 type M proteins to rabbits caused experimental glomerulonephritis in rabbits [44].
It has been demonstrated that the early introduction of human or rabbit purified Fc fragments of IgG to experimental animals in the early stages of glomerulonephritis development can prevent or reduce the severity of the disease [82, 83]. The process was initiated by GAS type M1 (Table 3; Fig. 3). There are two potential mechanisms for suppressing the disease in the renal tissue:
- Fc fragments of IgG interfere with the IgGFc-binding activity of the injected bacteria, preventing the formation of autoantigens and reducing the production of anti-IgG autoantibodies;
- Fc fragments of IgG block tissue Fcγ-receptors, inhibiting immune inflammation and reducing the expression of inflammatory mediators.
Table 3. The effect of Fc fragments of IgG on the development of experimental glomerulonephritis [82, 83]
GAS strain | Fragment of IgG | Number of rabbits with glomerulonephritis/ number of rabbits used |
М1(40/58) | IgG Fc human | 0/4 |
IgG Fc rabbit | 1/5 | |
IgG Fc isolated from autologous rabbit serum | 0/5 | |
IgG Fab rabbit | 4/5 | |
PBS | 5/5 |
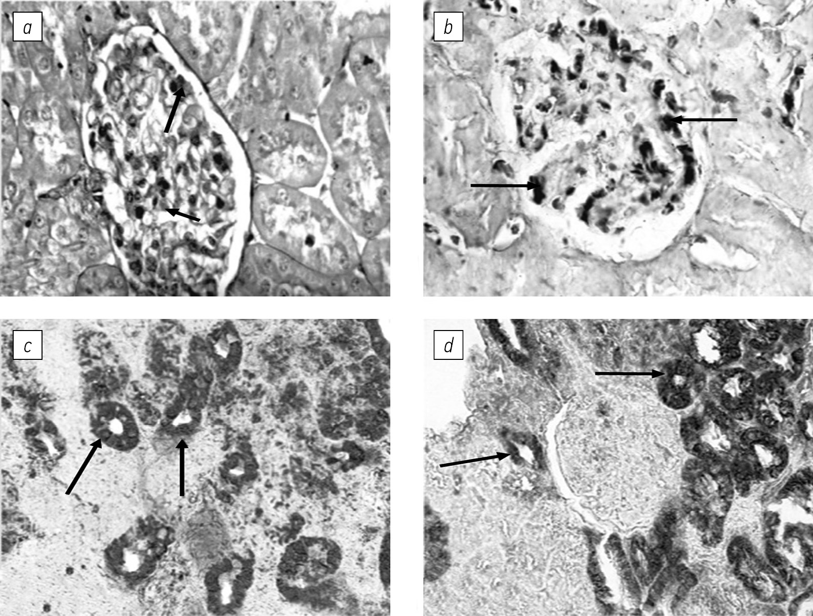
Fig. 3. Morphological changes in cortex and medullar substances of the rabbit renal tissue induced by Streptococcus pyogenes of genotype emm1 [82]: a — the capsular cavities of the glomeruli strongly expanded, in the capillary loops of the glomeruli necrosis and atrophy are observed, in the wall of the proximal tubules of the cortex desquamation of epithelial cells is revealed (shown by arrows); b — swelling and thickening of the membranes of the wall of distal tubules in the medulla with the simultaneous proliferation of the fibrous interstitial tissue; c, d — absence of pathological changes in the cortex and the medulla of the kidney obtained from rabbits treated with Fc fragments of IgG. Staining with hematoxylin-eosin, ×750
The ability Fc fragment of IgG to suppress the development of experimental glomerulonephritis in rats was first reported by C. Gomes-Guerrero and co-authors [84]. This work had a clear practical orientation and highlights the potential use of preparations of IgG Fc fragment for preventing APSGN in GAS-infections. Further research is needed to study the mechanism behind this effect of Fc fragments of IgG and to determine if they can compete with bacterial and tissue Fc receptors.
The results of experiments on the induction of glomerulonephritis with a recombinant Fcγ protein GAS emm12 were quite interesting. In our experiments, we were able to clone the IgGFc-binding protein of the genotype emm12 strain in E. coli, which, when it was injected to rabbits, caused in the kidneys a process similar to APSGN. This result is direct proof of the role of streptococcal IgGFc-binding proteins in the genesis of glomerulonephritis. Morphological changes, which were detected in the renal tissue of rabbit, are presented in Figure 4. The immunomorphological picture, using the recombinant Fc receptor, was typical of experimental glomerulonephritis, with altered glomeruli in the cortical layer and expanded cavities of their capsules. Necrosis, atrophy, and destructive changes were also observed in capillary loops and proximal tubules. Connective tissue fields showed growth of fibrous interstitial stroma tissue around the damaged tubules. Inflammatory cell infiltrates contained small and medium-sized lymphocytes, immature and mature plasma cells, which actively produce immunoglobulin. Deposits of IgG and complement component C3 were detected in the renal glomeruli, and titers of anti-IgG antibodies in rabbit blood ranged from 1:80 to 1:640.
Fig. 4. Histological changes detected in rabbit kidney after injection of a recombinant Fcγ-protein from the GAS strain genotype emm12 (our new unpublished data): a — pathologically altered glomeruli are visible in the cortical layer, capsule cavities are expanded or compressed, necrosis and atrophy in capillary loops, destruction is observed in the proximal tubules; b — the wall of the tubules is thickened and edematous or atrophic. Epithelial cells of the lumen of the tubules with signs of necrosis; protein masses are detected; c — lymphocytic infiltrates are detected; they are dominated by small and medium lymphocytes, immature and mature plasma cells. a, b — staining with hematoxylin-eosin, a — ×250, b — ×500; c — immunohistochemical staining, ×750
Therefore, we were successful in creating an experimental model of the pathological process resembling membranous-proliferative, fibroplastic glomerulonephritis in humans using both GAS strains positive for IgGFc-binding, and purified Fcγ-proteins derived from them. This provides strong support for the theory that these proteins and the accompanying immunological changes play a role in initiating PSGN. At present, we do not have concrete evidence to clearly explain the antigenic transformation of bound IgG due to interaction with streptococcal Fcγ-binding proteins, only the possibility of a conformational transformation of IgG molecules bound to streptococci.
The pathogenesis of rheumatic fever and rheumatic heart disease (ARF/RHD) is not fully understood. Some authors believe that the similarity between S. pyogenes antigens and host proteins triggers the autoimmune process in the process of streptococcal infection [4, 85–87]. Studies have shown that molecular mimicry of streptococcal antigens generates antibodies that cross-react with GAS antigens and host tissue proteins, including cardiac myosin, collagens IV, tropomyosin, laminin, vimentin and keratin [85]. The possibility of the existence and involvement of cross-reacting antigens (PR-antigens) in this pathology should not be in doubt from a theoretical standpoint, since evolution could have selected and preserved homologous amino acid sequences of bacterial proteins in mammalian proteins. The question remains whether “mimicry” could be the initial cause of damage to a specific organ. If PR-antigens could independently initiate tissue damage without external involvement, then antimicrobial immune sera and immune sera to the corresponding microbe antigens could simulate pathology in experimental animal organs. However, such a possibility is not proven today.
Rheumatic fever and rheumocarditis are human-specific diseases that are complications of streptococcal infections, so determining the pathogenetically significant links of this pathology requires solving the difficult task of selecting a “reliable” animal model [45, 86, 88–90]. Animal models including cattle, sheep, pigs, dogs, cats, guinea pigs, rats and mice have been repeatedly used to reproduce autoimmune and inflammatory reactions of the ARF/RHD type. Some rodent models have significantly contributed to a better understanding of the fundamental mechanisms of myocarditis and valvulitis that developed under the influence of biologically active GAS products. For example, when Lewis rats [86, 89] were injected with streptococcal antigens, the development of myocarditis and valvulitis with infiltration of tissue by mononuclear leukocytes was detected, which is a pattern similar to that found in ARF/RHD in humans [90]. At the same time, the production of antibodies cross reacting with cardiac tissue proteins was observed. The authors consider this model reliable for studying the mechanisms leading to myocardial and heart valve pathology, but emphasize that “comparing experimental results with clinical observations to extrapolate the sequential events following infection with GAS leading to autoimmune complications requires caution and prudence” [86].
In our experiments, we used rabbits to induce streptococcal myocarditis. We believed that the M and M-like GAS protein’s IgGFc-binding receptors do not significant differences in the binding of human or rabbit IgG [8]. After injecting the rabbits with inactivated M1 GAS bacterial cells, as in the APSGN model, we found that the IgG and C3 complement components had deposited in the sarcolemma, intermiofibrillar spaces, edematous interstitial tissue, and on the basement membrane of capillaries. We also detected positive staining of activated monocytes/macrophages for IL-6, IL-1b, and TNF-α in the same rabbits.
The changes in the rabbit’s myocardium were characterized by pronounced destructive-degenerative changes in the sarcoplasm and myofibrils. In particular, there was a partial or complete disintegration of the cristae, destruction of the matrix, and a decrease in glycogen in sarcoplasm with a large number of hypertrophied mitochondria. The damage, mitochondrial destruction, and sarcoplasmic edema were observed in the marginal zones of muscle fibers near the basement membrane of capillaries, where signs of myofibril destruction also appeared (Fig. 5). A pronounced inflammatory reaction was also noted. The eviction of monocytes from the bloodstream into the perivascular space’s serous-fibrinous edema zone was observed in the capillaries of the myocardium. This was likely due to the activated monocytes/macrophages’ enhanced production of pro-inflammatory cytokines, which damaged the mitochondria, especially in the cardiac muscle. The destruction of mitochondria also led to the disintegration of myofibrils, which were located between many myofibrils and the sarcoplasmic reticulum. The immunomorphological changes in the myocardium of rabbits injected with Fc-positive GAS IgG can be considered comparable to rheumatic myocarditis in patients in terms of destructive changes. Conversely, there was no myocardial damage when introducing a strain of GAS negative for Fc-binding IgG [45, 88]. To establish the role of streptococcal IgG Fc-binding M and M-like proteins in inducing experimental myocarditis, we used isogenic mutants of the M22 type GAS, which were defective in either two or one of the fcr genes responsible for the expression of Mrp or Emm proteins. In rabbits injected with the original M22 strain or its isogenic mutants lacking one of the M proteins, we detected IgG and C3 complement deposits in the structural elements of the cardiac muscles, as well as increased production of proinflammatory cytokines IL-1β, IL-6, TNF-α, and the destructive-degenerative changes described above. However, none of the rabbits that received injections of the double mutant M22, lacking both M proteins, displayed deposits or destructive changes characteristic of myocarditis [45]. These experiments confirmed the role of streptococcal IgGFc-binding M and M-like proteins in initiating myocarditis in rabbits. The same proteins were also responsible for the development of experimental glomerulonephritis in previous experiments. Although myocarditis and glomerulonephritis are different complications of GAS infection caused by various M types, our results suggest that there is a common link in their genesis, which is realized through the ability of these proteins to induce an autoimmune response, leading to immune inflammation and tissue damage in organs.
Fig. 5. Morphological changes (shown by arrows) in the myocardium of the rabbit after injection of Streptococcus pyogenes type M1, binding the Fc fragment of human or rabbit IgG [45]: a–c — the destruction of mitochondria and myofibrils (ТЕМ ×16000, 16000 and 24000, respectively); d — the morphology of the normal rabbit myocardium, which received injection of control IgG Fc-negative strain (ТЕМ ×16000)
IgA-nephropathy
IgA-nephropathy (IgAN) is the most prevalent form of primary glomerulonephritis and is often a leading cause of chronic renal failure, requiring dialysis or transplantation for 30–50% of patients [91–93]. The diagnosis of this disease is established by the presence of IgA1 subclass immunoglobulin A deposits in the mesangial cells of renal glomeruli [91, 94, 95]. It is believed that the pathogenesis of IgAN is linked to the synthesis and accumulation of insufficiently galactosylated and sialylated IgA1 molecules in the blood of affected patients [91]. These molecules form dimeric or polymeric IgA1 complexes, as well as IgA1-containing immune complexes with anti-glycan IgG antibodies [96, 97]. The deposit of these complexes in the mesangium serves as a trigger for inflammation and the development of IgAN [97]. The course of IgAN can be both chronic with periods of remission [95], and influenced by factors such as a gluten-free diet [98]. IgAN can arise as a primary disease [96, 99] or as a result of immune system dysregulation in mucous membranes [100]. The etiology of IgAN includes factors such as viral and bacterial infections, with a notable role assigned to GAS infections [101, 102]. Each of these factors contributes to the development of IgAN in its own way. For instance, galactose-deficient forms of IgA1 in the presence of M4 and M60 S. pyogenes IgAFc-binding infections interact more strongly with the Arp M-like protein (or Enn) IgAFc receptors, forming IgA1-IgAFcα complexes that deposit in the glomeruli and result in mesangial proliferative IgAN [103, 104]. The IgAFc receptor can be either Emm proteins, expressed in most emm genotypes of GAS, that bind both IgA [8, 34] and IgG, or Arp proteins, expressed in GAS of emm genotypes 4 and 60, that mainly bind IgA and weakly bind IgG. Thus, the pathogenesis of IgAN involves various IgA-containing complexes, including “pathogenic” IgA1 dimers and polymers with anti-glycan IgG antibodies, and IgA complexes with Fcα protein of GAS.
The contribution of IgA1 and its interactions with IgG antibodies to the initiation of IgAN needs to be further understood, as it is known that these factors can cause glomerular damage, including in the presence of streptococcal infections. Our experiments using a strain of type M60, which primarily binds to the Fc fragment of human IgA, have demonstrated its high IgA-nephritogenic potential [105]. In these investigations, animals displayed an inflammatory response characterized by pronounced lymphocytic infiltration of affected nephron structures, deposits of IgA and C3 complement components in the mesangium of the glomeruli (Fig. 6), and increased production of the proinflammatory cytokine TNF-α [105]. Lesion rates varied significantly, likely due to individual differences in rabbit sensitivity. Japanese researchers also noted similar findings when modeling IgAN in mice [106]. No deposit of IgG was observed in rabbits, likely because of the presence of complexes of IgA with the Fcα-receptor protein GAS type M60. This supports the conclusion of Swedish researchers who found the Fcα protein Arp in biopsies from patients with IgA-nephropathy [103]. The presence of IgA-containing complexes in mesangial cells of glomeruli is a reliable indicator of IgAN caused by GAS [104], so the researchers appear to have successfully created a “rabbit” model of IgAN using an IgAFc-binding strain of GAS. Modern concepts differentiate between two forms of IgAN, one characterized by deposits of IgA with anti-IgA antibodies of the IgG class, and another marked by complexes based on IgAFc-receptor proteins of GAS [103]. These differences may determine the mechanism of complex deposition on glomerular structures. In the first form, deposit may occur through Fc receptors of the tissue [107], while in the second form, the Fcα-binding Arp protein GAS serves as an intermediary [104]. It remains unclear if the deposits in renal glomeruli contain defective IgA, which would further align the proposed model with human IgA-nephropathy. It should be noted that only humans and primates have IgA1, so modeling IgAN in rabbits will always involve only IgA and the presence of abnormal IgA in experimental animals cannot be ruled out due to dysbiosis and impaired mucosal immunity. There have been prior experiments in rodents that have replicated true IgAN symptoms, such as the synthesis of galactose-deficient IgA and its deposit in the mesangium, as well as characteristic glomerular lesions. Examples include IgAN models in rats [108], including one using the parainfluenza virus [109]. Effective models of IgAN have been created in mice, where the process was determined by the synthesis of galactose-defective IgA [110, 111]. Researchers have demonstrated the mechanisms of formation of IgA-containing complexes and their deposition in the mesangium using this mouse model. Abnormal IgA, soluble CD89 protein, transferrin receptor, and transglutaminase enzyme are involved in these reactions [112, 113]. Works examining the pathology of the lymphoid tissue of the pharynx and larynx in humans [114, 115] also found the presence of defective IgA1 not only in serum, but also in tonsillar lymphocytes. The analysis of extensive data suggests that kidney pathology caused by GAS infections can be studied in animal models comparable to human APSGN and IgAN. The former is initiated by Fcγ-receptor M proteins, while the latter is initiated by Fcα-receptor GAS proteins.
Fig. 6. Immunomorphological changes in the cortical and medullary substances of the rabbit kidney induced by Streptococcus pyogenes type M60 [105]: a, b — deposits of IgA in the mesangial cells of the renal glomeruli (arrows); c — deposition of C3-complement components in the cells of the tubules (arrows) of the medullary layer of the kidney; d — deposits of C3 component complement in the cells of the proximal tubules (arrows) surrounding the renal glomerulus in the cortical substance. Immunohistochemical staining, ×750
APSGN typically proceeds as a membranous-proliferative process, resulting from the deposition of immune complexes in renal capsule glomeruli, while the mesangial-proliferative process is characteristic of IgAN, due to the deposition of Fcα-binding protein in mesangial cells of glomeruli. These findings highlight the importance of considering the nonimmune binding of immunoglobulins G and A in the complications of streptococcal infections, even for different pathological processes.
Conclusions
Group A streptococci of various M types are capable of nonimmune binding to human and some mammal’s IgG, IgA, and immune complexes. Studying this phenomenon in S. pyogenes is of great scientific interest for understanding the pathogenic properties of this pathogen and the pathogenesis of autoimmune consequences of streptococcal infection. To achieve this, modeling these processes in rabbits is the most suitable method, as it has several advantages. Unlike mouse IgG, rabbit IgG has the ability to bind to M and M-like proteins, albeit to a lesser extent than human IgG. Since GAS infections are only limited to the human population, it is not possible to study autoimmune complications such as streptococcal glomerulonephritis or myocarditis in no immunized rabbits. Furthermore, rabbits lack autoantibodies to their own immunoglobulins, making it an ideal background for immunomorphological studies of streptococcal pathology. The initiation factors of pathology are crucial, as they lead to the search for therapeutic and preventive measures, especially in cases where the cause is unknown or disputed. The conditions or factors that trigger the transition from infection to a complication should be considered as initiation factors, and the effectiveness of therapeutic and preventive measures can serve as a criterion for the study’s effectiveness. In the case of GAS, the immunoglobulin-binding function of M proteins and the use of IgG preparations and their Fc fragments to prevent the transition from infection to a complication deserve attention. Further study is needed to understand the phenomenon of nonimmune binding and specific aspects of the problem, such as the mechanisms of induction of glomerulonephritis or myocarditis by recombinant M and M-like proteins of S. pyogenes and the pathogenesis of streptococcal IgA-nephropathy, to evaluate the role of GAS’s immunoglobulin Fc-binding proteins in the development of these complications.
Additional information
Funding source. The review was written as part of the state task of the Institute of Experimental Medicine on the topic FGWG-2022-0010 “Directed change in the human microbiota as a means of preventing and treating socially significant diseases” (reg. No. 122020300194-0).
Conflict of interest. The authors declare the absence of obvious and potential conflicts of interest related to the publication of this article.
Authors’ contribution. All authors made a significant contributions to concept development and paper preparation, read and approved the final version before publication. The largest contribution is distributed as follows: L.A. Burova, A.N. Suvorov — writing of the manuscript; L.A. Burova — working with references; P.V. Pigarevsky — providing of immunomorphological figures for the manuscript; Artem А. Тotolian — reviewing the manuscript.
Acknowledgements. We thank our Swedish colleagues from the Department of Medical Microbiology of Lund University (Lund, Sweden): Professor Rune Grubb , Dr. Poul Christensen, Dr. Claes Schalen, Professor Gunnar Lindahl, Dr. Ulf Sjobring, Dr. Anett Thern, Dr. Maj-Lis Svensson and Professor Andersh Grubb for many years of cooperation and active participation in experimental work, preparation of publications and technical assistance in researches. We are also grateful to our Russian colleagues at the Institute of Experimental Medicine: Professor V.A. Nagornev , Dr. T.V. Gupalova. Dr. V.G. Seliverstova, Dr. V.A. Snegova, Dr. M.M. Gladilina, Dr. I.V. Koroleva and Dr. A.B. Karaseva for their participation in the experimental work.
Дополнительная информация
Источник финансирования. Обзор написан в рамках государственного задания ФГБНУ «ИЭМ» по теме FGWG-2022-0010 «Направленное изменение микробиоты человека как средство профилактики и лечения социально значимых заболеваний» (рег. № 122020300194-0).
Конфликт интересов. Авторы декларируют отсутствие явных и потенциальных конфликтов интересов, связанных с публикацией настоящей статьи.
Вклад авторов. Все авторы внесли существенный вклад в разработку концепции и подготовку статьи, прочли и одобрили финальную версию перед публикацией. Наибольший вклад распределен следующим образом: Л.А. Бурова, А.Н. Суворов — написание рукописи; Л.А. Бурова — работа с литературными источниками; П.В. Пигаревский — предоставление иммуноморфологических рисунков для рукописи; Артем А. Тотолян — рецензирование рукописи.
Благодарности. Авторы благодарны зарубежным коллегам из Института медицинской микробиологии Лундского университета (Лунд, Швеция): профессору Rune Grubb , профессору Gunnar Lindahl, профессору Andersh Grubb, докторам Poul Christensen, Claes Schalen, Ulf Sjobring, Maj-Lis Svensson и Anett Thern за многолетнее сотрудничество и активное участие в экспериментальной работе, подготовке публикаций и техническую помощь в исследованиях. Мы также благодарны нашим российским коллегам из Института экспериментальной медицины (Санкт-Петербург, Россия): академику РАН, профессору В.А. Нагорневу , д-р биол. наук Т.В. Гупаловой, канд. биол. наук В.Г. Селиверстовой, канд. биол. наук М.М. Гладилиной, канд. биол. наук И.В. Королевой, канд. биол. наук В.А. Снеговой и научному сотруднику А.Б. Карасевой за участие в экспериментальной работе.
About the authors
Larisa A. Burova
Institute of Experimental Medicine
Author for correspondence.
Email: lburova@yandex.ru
ORCID iD: 0000-0001-7687-2348
SPIN-code: 6084-1255
Scopus Author ID: 7003982261
ResearcherId: E-5270-2014
MD, Dr. Sci. (Med.), Leading Research Associate, Department of Molecular Microbiology
Russian Federation, Saint PetersburgAlexander N. Suvorov
Institute of Experimental Medicine; Saint Petersburg State University
Email: alexander_suvorov1@hotmail.com
ORCID iD: 0000-0003-2312-5589
SPIN-code: 8062-5281
Scopus Author ID: 7101829979
ResearcherId: J-6921-2013
MD, Dr. Sci. (Med.), Professor, Corresponding Member of the Russian Academy of Sciences, Head Department of Molecular Microbiology; Head Department of Fundamental Medicine and Medical Technologies
Russian Federation, Saint Petersburg; Saint PetersburgPeter V. Pigarevsky
Institute of Experimental Medicine
Email: pigarevsky@mail.ru
ORCID iD: 0000-0002-5906-6771
SPIN-code: 8636-4271
Scopus Author ID: 55404484800
ResearcherId: C-3425-2014
Dr. Sci. (Biol.), Head Department of General Morphology
Russian Federation, Saint PetersburgArtem A. Totolian
Institute of Experimental Medicine
Email: totolyan@hotmail.com
ORCID iD: 0000-0002-3310-9294
SPIN-code: 1741-9171
Scopus Author ID: 7004990713
ResearcherId: J-4218-2014
MD, Dr. Sci. (Med.), Professor, Academician RAS, Chief Research Associate, Department of Molecular Microbiology
Russian Federation, Saint PetersburgReferences
- Carapetis JR, Beaton A, Cunningham MW, et al. Acute rheumatic fever and rheumatic heart disease. Nat Rev Dis Primers. 2016;2:15084. doi: 10.1038/nrdp.2015.84
- Carapetis JR, Steer AC, Mulholland EK, Weber M. The global burden of group A streptococcal diseases. Lancet Infect Dis. 2005;5(11):685–694. doi: 10.1016/S1473-3099(05)70267-X
- Watkins DA, Johnson CO, Colquhoun SM, et al. Global, regional, and national burden of rheumatic heart disease, 1990–2015. N Engl J Med. 2017;377(8):713–722. doi: 10.1056/NEJMoa1603693
- Cunningham MW. Pathogenesis of group A streptococcal infections. Clin Microbiol Rev. 2000;13(3):470–511. doi: 10.1128/cmr.13.3.470
- Ghosh P. Variation, indispensability, and masking in the M protein. Trends Microbiol. 2018;26(2):132–144. doi: 10.1016/j.tim.2017.08.002
- Phillips GNJr, Flicker PF, Cohen C, et al. Streptococcal M protein: alpha-helical coiled-coil structure and arrangement on the cell surface. Proc Natl Acad Sci USA. 2018;78(8):4689–4693. doi: 10.1073/pnas.78.8.4689
- McMillan DJ, Dreze PA, Vu T, et al. Updated model of group A Streptococcus M proteins based on a comprehensive worldwide study. Clin Microbiol Infect. 2013;19(5):E222–229. doi: 10.1111/1469-0691.12134
- Mills JO, Ghosh P. Nonimmune antibody interactions of Group A Streptococcus M and M-like proteins. PLoS Pathog. 2021;17(2):e1009248. doi: 10.1371/journal.ppat.1009248
- Haanes EJ, Heath DG, Cleary PP. Architecture of the vir regulons of group A streptococci parallels opacity factor phenotype and M protein class. J Bacteriol. 1992;174(15):4967–4976. doi: 10.1128/jb.174.15.4967-4976.1992
- Hollingshead SK, Readdy TL, Yung DL, Bessen DE. Structural heterogeneity of the emm gene cluster in group A streptococci. Mol Microbiol. 1993;8(4):707–717. doi: 10.1111/j.1365-2958.1993.tb01614.x
- Flores AR, Olsen RJ, Wunsche A, et al. Natural variation in the promoter of the gene encoding the Mga regulator alters host-pathogen interaction in group A Streptococcus carrier strains. Infect Immun. 2013;81(11):4128–4138. doi: 10.1128/IAI.00405-13
- Facklam R, Beall B, Efstratiou A, et al. emm typing and validation of provisional M types for group A streptococci. Emerg Infect Dis. 1999;5(2):247–253. doi: 10.3201/eid0502.990209
- Ringdahl U, Svensson HG, Kotarsky H, et al. A role for the fibrinogen-binding regions of streptococcal M proteins in phagocytosis resistance. Mol Microbiol. 2000;37(6):1318–1326. doi: 10.1046/j.1365-2958.2000.02062.x
- Carlsson F, Sandin C, Lindahl G. Human fibrinogen bound to Streptococcus pyogenes M protein inhibits complement deposition via the classical pathway. Mol Microbiol. 2005;56(1):28–39. doi: 10.1111/j.1365-2958.2005.04527.x
- Macheboeuf P, Buffalo C, Fu CY, et al. Streptococcal M1 protein constructs a pathological host fibrinogen network. Nature. 2011;472(7341):64–68. doi: 10.1038/nature09967
- Thern A, Stenberg L, Dahlback B, Lindahl G. Ig-binding surface proteins of Streptococcus pyogenes also bind human C4b-binding protein (C4BP), a regulatory component of the complement system. J Immunol. 1995;154(1):375–386.
- Berggard K, Johnsson E, Morfeldt E, et al. Binding of human C4BP to the hypervariable region of M protein: a molecular mechanism of phagocytosis resistance in Streptococcus pyogenes. Mol Microbiol. 2001;42(2):539–551. doi: 10.1046/j.1365-2958.2001.02664.x
- Buffalo CZ, Bahn-Suh AJ, Hirakis SP, et al. Conserved patterns hidden within group A Streptococcus M protein hypervariability recognize human C4b-binding protein. Nat Microbiol. 2016;1:16155. doi: 10.1038/nmicrobiol.2016.155
- Sandin C, Carlsson F, Lindahl G. Binding of human plasma proteins to Streptococcus pyogenes M protein determines the location of opsonic and non-opsonic epitopes. Mol Microbiol. 2006;59(1):20–30. doi: 10.1111/j.1365-2958.2005.04913.x
- Akesson P, Schmidt KH, Cooney J, Björck L. M1 protein and protein H: IgGFc- and albumin-binding streptococcal surface proteins encoded by adjacent genes. Biochem J. 1994;300(Pt 3):877–886. doi: 10.1042/bj3000877
- Nilson BH, Frick IM, Akesson P, et al. Structure and stability of protein H and the M1 protein from Streptococcus pyogenes. Implications for other surface proteins of grampositive bacteria. Biochemistry. 1995;34(41):13688–13698. doi: 10.1021/bi00041a051
- Ermert D, Weckel A, Agarwal V, et al. Binding of complement inhibitor C4b-binding protein to a highly virulent Streptococcus pyogenes M1 strain is mediated by protein H and enhances adhesion to and invasion of endothelial cells. J Biol Chem. 2013;288(45):32172–32183. doi: 10.1074/jbc.M113.502955
- Berge A, Sjobring U. PAM, a novel plasminogen-binding protein from Streptococcus pyogenes. J Biol Chem. 1993;268(34):25417–25424.
- Wistedt AC, Ringdahl U, Muller-Esterl W, Sjobring U. Identification of a plasminogen-binding motif in PAM, a bacterial surface protein. Mol Microbiol. 1995;18(3):569–578. doi: 10.1111/j.1365-2958.1995.mmi_18030569.x
- Rios-Steiner JL, Schenone M, Mochalkin I, et al. Structure and binding determinants of the recombinant kringle-2 domain of human plasminogen to an internal peptide from a group a Streptococcal surface protein. Mol Biol. 2001;308(4):705–719. doi: 10.1006/jmbi.2001.4646
- Sun H, Ringdahl U, Homeister JW, et al. Plasminogen is a critical host pathogenicity factor for group A streptococcal infection. Science. 2004;305(5688):1283–1286. doi: 10.1126/science.1101245
- Ly D, Taylor JM, Tsatsaronis JA, et al. Plasmin(ogen) acquisition by group A Streptococcus protects against C3b-mediated neutrophil killing. J Innate Immun. 2014;6(2):240–250. doi: 10.1159/000353754
- Cole JN, McArthur JD, McKay FC, et al. Trigger for group A streptococcal M1T1 invasive disease. FASEB J. 2006;20(10):1745–1747. doi: 10.1096/fj.06-5804fje
- Kronvall G. A surface component in group A, C and G streptococci with non-immune reactivity for immunoglobulin G. J Immunol. 1973;111(5):1401–1406.
- Lindahl G, Akerstrom B. Receptor for IgA in group A streptococci: cloning of the gene and characterization of the protein expressed in Escherichia coli. Mol Microbiol. 1989;3(2):239–247. doi: 10.1111/j.1365-2958.1989.tb01813.x
- Lindahl G, Stenberg L. Binding of IgA and/or IgG is a common property among clinical isolates of group A streptococci. Epidemiol Infect. 1990;105(1):87–93. doi: 10.1017/s0950268800047683
- Johnsson E, Andersson G, Lindahl G, Heden LO. Identification of the IgA-binding region in streptococcal protein Arp. J Immunol. 1994;153(8):3557–3564.
- Bessen DE. Localization of immunoglobulin A-binding sites within M or M-like proteins of group A streptococci. Infect Immun. 1994;62(5):1968–1974. doi: 10.1128/iai.62.5.1968-1974.1994
- Lindahl G. An Odyssey in word of M proteins. In: Perspectives on receptins and resistance. Ed. by G. Kronvall. Stockholm; 2013. P. 13–23.
- Horton RE, Vidarsson G. Antibodies and their receptors: different potential roles in mucosal defense. Front Immunol. 2013;4:200. doi: 10.3389/fimmu.2013.00200
- Cedervall T, Akesson P, Stenberg L, et al. Allosteric and temperature effects on the plasma protein binding by streptococcal M protein family members. Scand J Immunol. 1995;42(4):433–441. doi: 10.1111/j.1365-3083.1995.tb03677.x
- Grov A, Myklestd B, Oeding F. Immunochemical studies on antigen preparations from Staphylococcus aureus. I. Isolation and chemical characterization of antigen A. Acta Pathol Microbiol Scand. 1964;61:588–596. doi: 10.1111/apm.1964.61.4.588
- Forsgren A, Sjoquist J. “Protein A” from S. aureus. I. Pseudoimmune reaction with human gamma-globulin. J Immunol. 1966;97(6):822–827.
- Myhre EB, Kronvall G. Immunoglobulin binding to group A, C and G streptococci. In: Pathogenic streptococci. Ed. by M.T. Parker. Reedbooks Ltd, England; 1979. P. 76–78.
- Myhre EB, Kronvall G. Heterogeneity of nonimmune immunoglobulin Fc reactivity among gram-positive cocci. Description of three major types of receptors for human immunoglobulin G. Infect Immun. 1977;17(3):475–482. doi: 10.1128/IAI.17.3.475-482.1977
- Christensen P, Sramec J, Zatterstrom U. Binding of aggregated IgG in the presence of fresh serum: strong association with type 12 group A streptococci. Acta Pathol Microbiol Scand B. 1981;89(2):87–91. doi: 10.1111/j.1699-0463.1981.tb00158_89b.x
- Schalen C, Kurl DN, Christensen P. Independent binding of native and aggregated IgG in group A streptococci. APMIS. 1986;94(5):333–338. doi: 10.1111/j.1699-0463.1986.tb03062.x
- Burova L, Pigarevsky P, Duplik N, et al. Immune complex binding Streptococcus pyogenes type M12/emm12 in experimental glomerulonephritis. J Med Microbiol. 2013;62(Pt 9):1272–1280. doi: 10.1099/jmm.0.059196-0
- Burova L, Therne A, Pigarevsky P, et al. Role of group A streptococcal IgG-binding proteins in triggering experimental glomerulonephritis in the rabbit. APMIS. 2003;111(10):955–962. doi: 10.1034/j.1600-0463.2003.1111007.x
- Burova LA, Nagornev VA, Pigarevsky PV, et al. Myocardial tissue damage in rabbits injected with group A streptococci, types M1 and M22. Role of bacterial immunoglobulin G-binding surface proteins. APMIS. 2005;113(1):21–30. doi: 10.1111/j.1600-0463.2005.apm1130104.x
- Heath DG, Cleary PP. Fc-receptor and M protein genes of group A streptococci are products of gene duplication. Proc Natl Acad Sci USA. 1989;86(12):4741–4745. doi: 10.1073/pnas.86.12.4741
- Stenberg L, O’Toole P, Lindahl G. Many group A streptococcal strains express two different immunoglobulin-binding proteins, encoded by closely linked genes: characterization of the proteins expressed by four strains of different M-type. Mol Microbiol. 1992;6(9):1185–1194. doi: 10.1111/j.1365-2958.1992.tb01557.x
- Hollingshead SK, Arnold J, Readdy TL, Bessen DE. Molecular evolution of a multigene family in group A Streptococci. Mol Biol Evol. 1994;11(2):208–219. doi: 10.1093/oxfordjournals.molbev.a040103
- Schroder AK, Nardella FA, Mannik M, et al. Identification of the site on IgG Fc for interaction with streptococci of groups A, C and G. Immunology. 1987;62(4):523–527.
- Christensen P, Oxelius V-A. A reaction between some streptococci and IgA myeloma proteins. Acta Pathol Microbiol Scand C Immunol. 1975;83C(3):184–188. doi: 10.1111/j.1699-0463.1975.tb01624.x
- Kronvall G, Björck L, Myhre EB, Wannamaker LW. Binding of aggregated β2-microglobulin, IgG, IgA and fibrinogen to group A, C and G streptococci with special reference to streptococcal M protein. In: Pathogenic streptococci. Ed. by M.T. Parker. Reedbooks Ltd, England; 1979. P. 74–76.
- Lebrun L, Pillot J, Grangeot-Keros L. Significance of anti-IgG antibodies obtained by immunization of rabbits with same streptococcal strains. Ann Immunol (Paris). 1982;133C(1):45–56. doi: 10.1016/0769-2625(82)90005-8
- Grubb R, Burova L, Hultguist R, et al. Anti-IgG-allotypic specifities of spontaneously occurring anti-immunoglobulins. In: Antibodies-protective, destructive and regulatory role. F. Milgrome, C. Abeyounis, B. Albini (Eds.). Karger, Basel; 1985. P. 224–233.
- Burova LA, Christensen P, Grubb R, et al. Anti-immunoglobulins in experimental streptococcal immunization: relation to bacterial growth conditions and Fc-receptors. Acta Pathol Microbiol Immunol Scand C. 1985;93(1):19–23. doi: 10.1111/j.1699-0463.1985.tb02916.x
- Barabas AZ, Cole CD, Lafreniere R, Weir DM. Immunopathological events initiated and maintained by pathogenic IgG autoantibodies in an experimental autoimmune kidney disease. Autoimmunity. 2012;45(7):495–509. doi: 10.3109/08916934.2012.702812
- Rodriguez-Iturbe B. Autoimmunity in acute poststreptococcal GN: A neglected aspect of the disease. JASN. 2021;32(3):534–542. doi: 10.1681/ASN.2020081228
- Rodriguez-Iturbe B, Haas M. Post-Streptococcal Glomerulonephritis. In: Streptococcus pyogenes: Basic Biology to Clinical Manifestations. J.J. Ferretti, D.L. Stevens, V.A. Fischetti (Eds.) [Internet]. Oklahoma City: University of Oklahoma, Health Sciences Center; 2016.
- Barnham M, Thornton TJ, Lange K. Nephritis caused by Streptococcus zooepidemicus (Lancefield group C). Lancet. 1983;1(8331):945–948. doi: 10.1016/s0140-6736(83)92078-0
- Balter S, Benin A, Pinto SW, et al. Epidemic nephritis in Nova Serrana, Brazil. Lancet. 2000;355(9217):1776–1780. doi: 10.1016/s0140-6736(00)02265-0
- Taylor SN, Sanders CV. Unusual manifestations of invasive pneumococcal infection. Am J Med. 1999;107(1A):12S–27S. doi: 10.1016/s0002-9343(99)00103-5
- Phillips J, Palmer A, Baliga R. Glomerulonephritis associated with acute pneumococcal pneumonia: a case report. Pediatr Nephrol. 2005;20(10):1494–1495. doi: 10.1007/s00467-005-1994-6
- Almroth G, Lindell A, Aselius H, et al. Acute glomerulonephritis associated with Streptococcus pyogenes with concomitant spread of Streptococcus constellatus in four rural families. Ups J Med Sci. 2005;110(3):217–231. doi: 10.3109/2000-1967-067
- Maharaj S, Seegobin K, Chrzanowski S, Chang S. Acute glomerulonephritis secondary to Streptococcus anginosus. BMJ Case Rep. 2018;2018: bcr2017223314. doi: 10.1136/bcr-2017-223314
- Nordstrand A, Norgren M, Ferretti JJ, Holm SE. Streptokinase as a mediator of acute post-streptococcal glomerulonephritis in an experimental mouse model. Infect Immun. 1998;66(1):315–321. doi: 10.1128/IAI.66.1.315-321.1998
- Nordstrand A, McShan WM, Ferretti JJ, et al. Allele substitution of the streptokinase gene reduces the nephritogenic capacity of group A streptococcal strain NZ131. Infect Immun. 2000;68(3):1019–1025. doi: 10.1128/iai.68.3.1019-1025.2000
- Yoshizawa N, Yamakami K, Fujino M, et al. Nephritis-associated plasmin receptor and acute poststreptococcal glomerulonephritis: characterization of the antigen and associated immune response. J Am Soc Nephrol. 2004;15(7):1785–1793. doi: 10.1097/01.asn.0000130624.94920.6b
- Luo YH, Kuo CF, Huang KJ, et al. Streptococcal pyrogenic exotoxin B antibodies in a mouse model of glomerulonephritis. Kidney Int. 2007;72(6):716–724. doi: 10.1038/sj.ki.5002407
- Honda-Ogawa M, Ogawa T, Terao Y, et al. Cysteine proteinase from Streptococcus pyogenes enables evasion of innate immunity via degradation of complement factors. J Biol Chem. 2013;288(22):15854–15864. doi: 10.1074/jbc.M113.469106
- Rodriguez-Iturbe B, Musser JM. The current state of poststreptococcal glomerulonephritis. J Am Soc Nephrol. 2008;19(10):1855–1864. doi: 10.1681/ASN.2008010092
- Nordstrand A, Norgren M, Holm SE. An experimental model for acute glomerulonephritis in mice. APMIS. 1996;104(11):805–816. doi: 10.1111/j.1699-0463.1996.tb04946.x
- Burova LA, Gavrilova EA, Pigarevsky PV, Totolian AA. Role of streptokinase in experimental streptococcal glomerulonephritis. Russian Journal of Infection and Immunity. 2021;11(5):853–864. (In Russ.) doi: 10.15789/2220-7619-ARO-1594
- Oda T, Yoshizawa N, Yamakami K, et al. Localization of nephritis-associated plasmin receptor in acute poststreptococcal glomerulonephritis. Hum Pathol. 2010;41(9):1276–1285. doi: 10.1016/j.humpath.2010.02.006
- McIntosh RM, Allen JE, Rabideua D, et al. The role of interaction between streptococcal products and immunoglobulins in the pathogenesis of glomerular and vascular injure. In: Streptococcal diseases and the immune response. S.E. Read, J.B. Zabriskie (Eds.). New York, London Academic Press; 1980. P. 585–596.
- McIntosh RM, Kaufman DB, McIntosh JR, Griswold W. Glomerular lesions produced in rabbits by autologous serum and autologous IgG modified by treated with a culture of a-hemolytic streptococcus. J Med Microbiol. 1972;5(1):1–7. doi: 10.1099/00222615-5-1-1
- Yang R, Otte MA, Hellmark T, et al. Successful treatment of experimental glomerulonephritis with IdeS and EndoS, IgG-degrading streptococcal enzymes. Nephrol Dial Transplant. 2010;25(8):2479–2486. doi: 10.1093/ndt/gfq115
- Segelmark M, Björck L. Streptococcal enzymes as precision tools against pathogenic IgG autoantibodies in small vessel vasculitis. Front Immunol. 2019;10:2165. doi: 10.3389/fimmu.2019.02165
- Collin M, Olsén A. Effect of SpeB and EndoS from Streptococcus pyogenes on human immunoglobulins. Infect Immun. 2001;69(11):7187–7189. doi: 10.1128/IAI.69.11.7187-7189.2001
- Collin M, Olsén A. EndoS, a novel secreted protein from Streptococcus pyogenes with endoglycosidase activity on human IgG. EMBO J. 2001;20(12):3046–3055. doi: 10.1093/emboj/20.12.3046
- Burova LA, Schalen C, Koroleva IV, Svensson M-L. Role of group A streptococcal IgG Fc-receptor in induction of anti-IgG by immunization in rabbit. FEMS Microbiol Immunol. 1989;1(8–9):443–448. doi: 10.1111/j.1574-6968.1989.tb02435.x
- Burova LA, Koroleva IV, Ogurtzov RP, et al. Role of streptococcal IgG Fc-receptor in tissue deposition of IgG in rabbits immunized with Streptococcus pyogenes. APMIS. 1992;100(6):567–574. doi: 10.1111/j.1699-0463.1992.tb00912.x
- Burova LA, Nagornev VA, Pigarevsky PV, et al. Triggering of renal tissue damage in the rabbit by IgGFc-receptor positive group A streptococci. APMIS. 1998;106(2):277–287. doi: 10.1111/j.1699-0463.1998.tb01347.x
- Burova LA, Pigarevsky PV, Seliverstova VG, et al. Experimental poststreptococcal glomerulonephritis elicited by IgG Fc-binding M family proteins and blocked by IgG Fc-fragment. APMIS. 2012;120(3):221–230. doi: 10.1111/j.1600-0463.2011.02826.x
- Burova LA, Gavrilova EA, Gupalova TV, et al. Inhibition of experimental post-streptococcal glomerulonephritis in rabbits by IgG Fc fragments. In: Streptococci – New Insights into an Old Enemy. Ed. by K.S. Sriprakash. Published by Elsevier, ICS. 2006;1289:359–362. doi: 10.1016/j.ics.2005.11.005
- Gomes-Guerrero C, Duque N, Casado MT, et al. Administration of IgGFc-fragments prevents glomerular injury in experimental immune complex nephritis. J Immunol. 2000;164(4):2092–2101. doi: 10.4049/jimmunol.164.4.2092
- Cunningham MW. Molecular mimicry, autoimmunity, and infection: the cross-reactive antigens of group A Streptococci and their sequelae. Microbiol Spectr. 2019;7(4):10.1128/microbiolspec.GPP3-0045-2018. doi: 10.1128/microbiolspec.GPP3-0045-2018
- Rafeek RAM, Sikder S, Hamlin AS, et al. Requirements for a robust animal model to investigate the disease mechanism of autoimmune complications associated with ARF/RHD. Front Cardiovasc Med. 2021;8:675339. doi: 10.3389/fcvm.2021.675339
- Rafeek RAM, Hamlin AS, Andronicos NM, et al. Characterization of an experimental model to determine streptococcal M protein-induced autoimmune cardiac and neurobehavioral abnormalities. Immunol Cell Biol. 2022;100(8):653–666. doi: 10.1111/imcb.12571
- Burova LA, Nagornev VA, Pigarevsky PV, et al. Induction of myocarditis in rabbits injected with group A streptococci. Indian J Med Res. 2004;119 Suppl:183–185.
- Li Y, Heuser JS, Kosanke SD, et al. Cryptic epitope identified in rat and human cardiac myosin S2 region induces myocarditis in the Lewis rat. J Immunol. 2004;172(5):3225–3234. doi: 10.4049/jimmunol.172.5.3225
- Gorton D, Sikder S, Williams NL, et al. Repeat exposure to group A streptococcal M protein exacerbates cardiac damage in a rat model of rheumatic heart disease. Autoimmunity. 2016;49(8):563–570. doi: 10.1080/08916934.2016.1217999
- Wyatt RJ, Julian BA. IgA Nephropathy. N Engl J Med. 2013;368(25):2402–2414. doi: 10.1056/NEJMra1206793
- Moriyama T, Tanaka K, Iwasaki C, et al. Prognosis in IgA nephropathy: 30-year analysis of 1012 patients at a single center in Japan. PLoS One. 2014;9(3):e91756. doi: 10.1371/journal.pone.0091756
- Maixnerova D, Reily C, Bian Q, et al. Markers for the progression of IgA nephropathy. J Nephrol. 2016;29(4):535–541. doi: 10.1007/s40620-016-0299-0
- Suzuki H, Kiryluk K, Novak J, et al. The Pathophysiology of IgA Nephropathy. J Am Soc Nephrol. 2011;22(10):1795–1803. doi: 10.1681/ASN.2011050464
- Boyd JK, Cheung CK, Molyneux K, et al. An update on the pathogenesis and treatment of IgA nephropathy. Kidney Int. 2012;81(9):833–843. doi: 10.1038/ki.2011.501
- Tomana M, Matousovic K, Julian BA, et al. Galactose-deficient IgA1 in sera of IgA nephropathy patients is present in complexes with IgG. Kidney Int. 1997;52(2):509–516. doi: 10.1038/ki.1997.361
- Suzuki H, Fan R, Zhang Z, et al. Aberrantly glycosylated IgA1 in IgA nephropathy patients is recognized by IgG antibodies with restricted heterogeneity. J Clin Invest. 2009;119(6):1668–1677. doi: 10.1172/JCI38468
- Coppo R. The intestine-renal connection in IgA nephropathy. Nephrol Dial Transplant. 2015;30(3):360–366. doi: 10.1093/ndt/gfu343
- Tanaka M, Seki G, Someya T, et al. Aberrantly glycosylated IgA1 as a factor in the pathogenesis of IgA nephropathy. Clin Dev Immunol. 2011;2011:470803. doi: 10.1155/2011/470803
- Piccolo M, De Angelis M, Lauriero G, et al. Salivary microbiota associated with immunoglobulin A nephropathy. Microb Ecol. 2015;70(2):557–565. doi: 10.1007/s00248-015-0592-9
- Meng H, Ohtake H, Ishida A, et al. IgA production and tonsillar focal infection in IgA nephropathy. J Clin Exp Hematop. 2012;52(3):161–170. doi: 10.3960/jslrt.52.161
- Nakata J, Suzuki Y, Suzuki H, et al. Changes in nephritogenic serum galactose-deficient IgA1 in IgA nephropathy following tonsillectomy and steroid therapy. PloS One. 2014;9(2):e89707. doi: 10.1371/journal.pone.0089707
- Schmitt R, Carlsson F, Mörgelin M, et al. Tissue deposits of IgA-binding streptococcal M proteins in IgA nephropathy and Henoch-Schonlein purpura. Am J Pathol. 2010;176(2):608–618. doi: 10.2353/ajpath.2010.090428
- Schmitt R, Ståhl A, Olin A, et al. The combined role of galactose-deficient IgA1 and streptococcal IgA-Binding M protein in inducing IL-6 and C3 secretion from human mesangial cells: Implications for IgA nephropathy. J Immunol. 2014;193(1):317–326. doi: 10.4049/jimmunol.1302249
- Burova LA, Pigarevsky PV, Snegova VA, et al. Nephritogenic activity of IgA-binding Streptococcus pyogenes. An experimental model of IgA glomerulonephritis. Medical Immunology. 2016;18(3):221–230. (In Russ.) doi: 10.15789/1563-0625-2016-3-221-230
- Hashimoto A, Suzuki Y, Suzuki H, et al. Determination of severity of murine IgA nephropathy by glomerular complement activation by aberrantly glycosylated IgA and immune complexes. Am J Pathol. 2012;181(4):1338–1347. doi: 10.1016/j.ajpath.2012.06.038
- Kovalenko P, Fujinaka H, Yoshida Y, et al. Fc receptor-mediated accumulation of macrophages in crescentic glomerulonephritis induced by antiglomerular basement membrane antibody administration in WKY rats. Int Immunol. 2004;16(5):625–634. doi: 10.1093/intimm/dxh058
- Tian J, Wang Y, Zhou X, et al. Rapamycin slows IgA nephropathy progression in the rat. Am J Nephrol. 2014;39(3):218–229. doi: 10.1159/000358844
- Jessen RH, Emancipator SN, Jacobs GH, Nedrud JG. Experimental IgA-IgG nephropathy induced by a viral respiratory pathogen. Dependence on antigen form and immune status. Lab Invest. 1992;67(3):379–386.
- Okazaki K, Suzuki Y, Otsuji M, et al. Development of a model of early-onset IgA nephropathy. J Am Soc Nephrol. 2012;23(8):1364–1374. doi: 10.1681/ASN.2011121160
- Suzuki H, Suzuki Y, Novak J, Tomino Y. Development of animal models of human IgA nephropathy. Drug Discov Today Dis Models. 2014;11:5–11. doi: 10.1016/j.ddmod.2014.07.002
- Berthelot L, Monteiro RC. Formation of IgA deposits in Berger’s disease: what we learned from animal models. Biol Aujourdhui. 2013;207(4):241–247. (In French) doi: 10.1051/jbio/2013022
- Berthelot L, Papista C, Maciel TT, et al. Transglutaminase is essential for IgA nephropathy development acting through IgA receptors. J Exp Med. 2012;209(4):793–806. doi: 10.1084/jem.20112005
- Barratt J, Smith AC, Feehally J. The pathogenic role of IgA1 O-linked glycosylation in the pathogenesis of IgA nephropathy. Nephrology (Carlton). 2007;12(3):275–284. doi: 10.1111/j.1440-1797.2007.00797.x
- Liu H, Peng Y, Liu F, et al. Expression of IgA class switching gene in tonsillar mononuclear cells in patients with IgA nephropathy. Inflamm Res. 2011;60(9):869–878. doi: 10.1007/s00011-011-0347-0
Supplementary files








