Features of determining the severity of the condition of victims exposed to the chemical factor of fire
- Authors: Tolkach P.G.1, Kuznetsov O.A.2, Anokhin D.Y.1, Lodyagin A.N.2, Gayduk S.V.1, Basharin V.A1
-
Affiliations:
- Kirov Military Medical Academy
- Janelidze Saint Petersburg Institute of Emergency Care
- Issue: Vol 25, No 1 (2025)
- Pages: 24-30
- Section: Clinical research
- Published: 31.05.2025
- URL: https://journals.eco-vector.com/MAJ/article/view/546142
- DOI: https://doi.org/10.17816/MAJ546142
- EDN: https://elibrary.ru/QZYTFY
- ID: 546142
Cite item
Abstract
BACKGROUND: To determine the severity of the condition of the victims exposed to the chemical factor of the fire, they are guided by the content of carboxyhemoglobin in the blood. Inhalation exposure of combustion products of polymeric materials with pulmonotoxic effect leads to disruption of the structure and function of the respiratory system, which plays an important role in aggravating the condition of the victims and predicting the outcome.
AIM: To identify the features of determining the severity of the condition of victims exposed to the chemical factor of fire, depending on the calculated initial concentration of carboxyhemoglobin in the blood and the presence of interstitial changes in lung tissues.
METHODS: When conducting a retrospective analysis of the medical histories of victims exposed to the chemical factor of fire, the initial concentration of carboxyhemoglobin in the blood was calculated, X-rays of the chest cavity organs performed on the first day after admission were analyzed.
RESULTS: Depending on the calculated initial concentration of carboxyhemoglobin in the blood, patients with severe (59 [55; 60]%), moderate (42 [36; 43]%) and mild (18 [15; 24]%) severity. The duration of hospitalization of patients did not depend on a certain degree of severity. It was found that the duration of hospitalization (5 [4; 8] days) of patients with interstitial changes in the lungs detected on radiographs (47 ± 7% of victims) was higher (p = 0.03) compared (3 [2; 5] days) with patients in whom interstitial changes were not detected (53 ± 7% of victims). A moderate correlation (r = 0.31, p < 0.05) was determined between the duration of hospitalization of patients and the presence of interstitial changes on the part of the respiratory system.
CONCLUSION: The presence of interstitial changes in lung tissues identified during radiography should be considered as an unfavorable prognostic sign and taken into account when organizing medical care for victims exposed to the chemical factor of fire.
Full Text
Обоснование
Проблема пожаров весьма актуальна в наши дни. Это связано с большим количеством как самих пожаров, так и погибших и пострадавших на них. Примерно 80% пострадавших на пожаре подвергаются воздействию химического фактора пожара [1]. Спектр токсичных продуктов, образующихся на пожаре, весьма разнообразен и зависит, в первую очередь, от исходной структуры материала, подвергшегося горению. При горении азотсодержащих полимеров, например пенополиуретана (в том числе и пенополиизоцианурата), пенополикаучука, полиакрилонитрила, выделяется цианистый водород, обладающий общеядовитым действием [2‒4], а при горении хлорсодержащих полимерных материалов, например, поливинилхлорида, происходит высвобождение хлороводорода, обладающего пульмонотоксическим действием [2, 5]. Следует помнить, что в состав современных материалов (строительные, термоизоляционные и другие) для повышения термостойкости вводят антипирены (например, хлорпарафин), при термодеструкции которых также образуются вещества пульмонотоксического действия (хлороводород) [3, 5].
Таким образом, пострадавшие на пожаре подвергаются сочетанному воздействию продуктов горения [5]. С учетом того что в повседневной жизнедеятельности, при строительстве, ремонте и отделке жилых зданий и сооружений номенклатура используемых искусственных, в том числе полимерных материалов, постоянно растет, при возникновении пожаров спектр токсичных продуктов горения будет расширятся. При этом формы токсического процесса у пострадавших, подвергшихся воздействию химического фактора пожара, будут видоизменяться.
В современной клинической практике для определения степени тяжести состояния пострадавших, подвергшихся воздействию химического фактора пожара, ориентируются на содержание карбоксигемоглобина в крови; выделяют легкую (концентрация карбоксигемоглобина в крови менее 30%), среднюю (30‒50%) и тяжелую (более 50%) степень интоксикации [6, 7]. Тем не менее концентрация карбоксигемоглобина в крови не всегда коррелирует с тяжестью состояния пострадавших [8]. Ингаляционное поступление продуктов горения современных материалов, содержащих различные токсиканты, например, вещества, обладающие пульмонотоксическим действием, приводит к нарушениям структуры и функции дыхательной системы, что играет существенную роль в утяжелении состояния пострадавших и прогнозировании исхода.
Цель — выявить особенности определения степени тяжести состояния пострадавших, подвергшихся воздействию химического фактора пожара, в зависимости от рассчитанной начальной концентрации карбоксигемоглобина в крови и наличия интерстициальных изменений в тканях легких.
Материалы и методы
В обсервационное ретроспективное исследование было включено 104 пациента с диагнозом «острое отравление окисью углерода» (Т58 по МКБ-10). Все пациенты подверглись воздействию поражающих факторов пожара и были госпитализированы в центр острых отравлений НИИ скорой помощи им. И.И. Джанелидзе (Санкт-Петербург) в 2021 г.
Критерии включения: пациенты, подвергшиеся воздействию химического фактора пожара, возраст от 18 до 79 лет. Критерии невключения: комбинированное воздействие термического фактора пожара, летальный исход в стационаре.
Концентрации карбоксигемоглобина в крови были определены при лабораторных исследованиях. Для расчета начальных концентраций карбоксигемоглобина в крови использовали номограмму C.J. Clark и соавт. (1981), при этом учитывали время, прошедшее с момента поступления пострадавшего в центр острых отравлений до выполнения исследования [6]. Оценку состояния дыхательной системы выполняли путем анализа рентгенограмм органов грудной клетки пациентов, выполненных в течение первых суток после поступления.
Количественные данные представлены в виде медианы (Me), нижнего (Q1) и верхнего (Q3) квартилей, качественные — в виде процентов (среднее значение Х и стандартная ошибка среднего sx). Для сравнения нескольких независимых групп применяли дисперсионный анализ Краскела–Уоллиса и q-критерий Ньюмена–Кейлса для выполнения множественных попарных сравнений. Для установления наличия и силы связи между количественными (длительность госпитализации) и качественными (наличие интерстициальных изменений на рентгенограмме органов грудной полости) признаками проводили корреляционный анализ Спирмена. О статистической значимости различий между группами судили при уровне р < 0,05.
Результаты
Изолированному воздействию химического фактора пожара подверглось 83% пациентов (среди обследованных пациентов), летальность составила 8 ± 2%. У пациентов при проведении фибробронхоскопии была выявлена ингаляционная травма дыхательных путей I‒III степени.
В зависимости от рассчитанной начальной концентрации карбоксигемоглобина в крови выделили пациентов тяжелой, средней и легкой степени тяжести (табл. 1).
Таблица 1. Степень тяжести пациентов, подвергшихся воздействию химического фактора пожара, в зависимости от начальной концентрации карбоксигемоглобина в крови
Table 1. Division of patients by severity depending on the initial concentration of carboxyhemoglobin in the blood
Степень тяжести | Доля от общего числа пациентов, % | Рассчитанная начальная концентрация карбоксигемоглобина в крови (Me [Q1; Q3]), % | Доля пациентов с выявленными интерстициальными изменениями в легких (Х ± sх), % |
Тяжелая | 17 | 59 [55; 60] | 63 ± 15 |
Средняя | 24 | 42 [36; 43] | 50 ± 15 |
Легкая | 59 | 18 [15; 24] | 32 ± 9 |
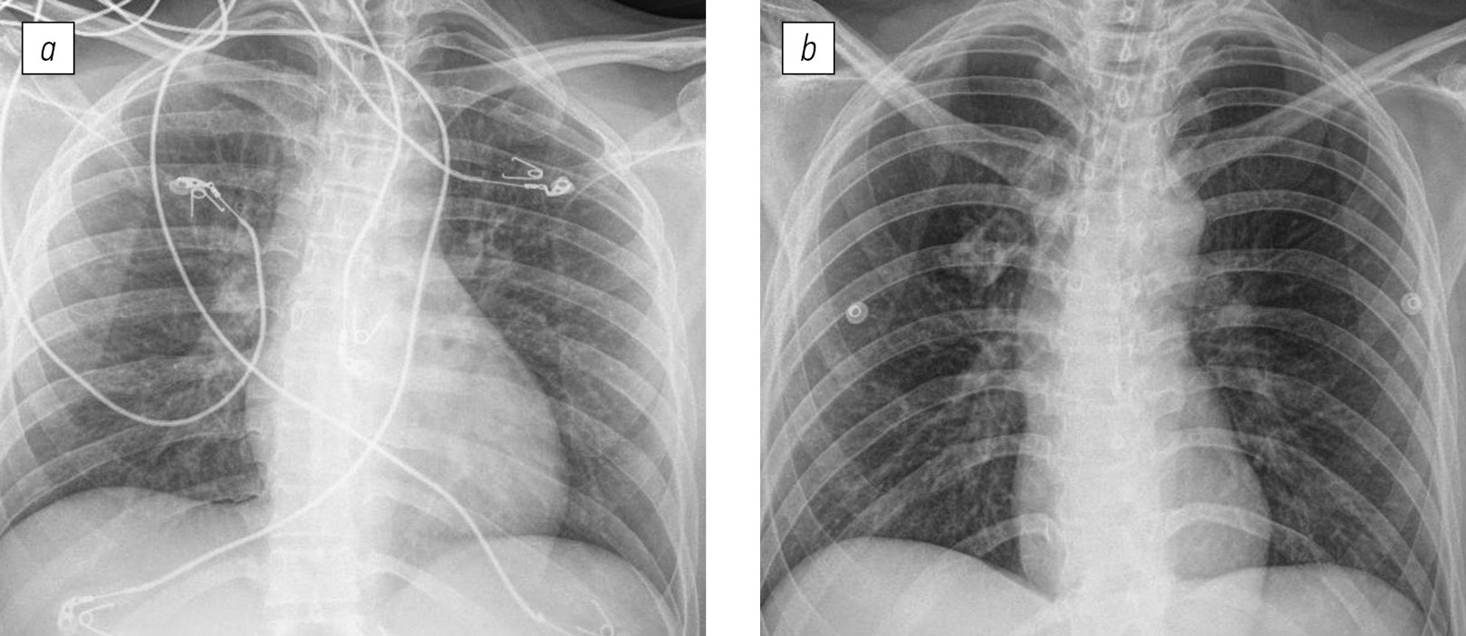
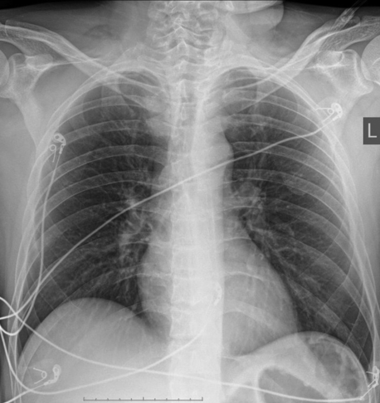
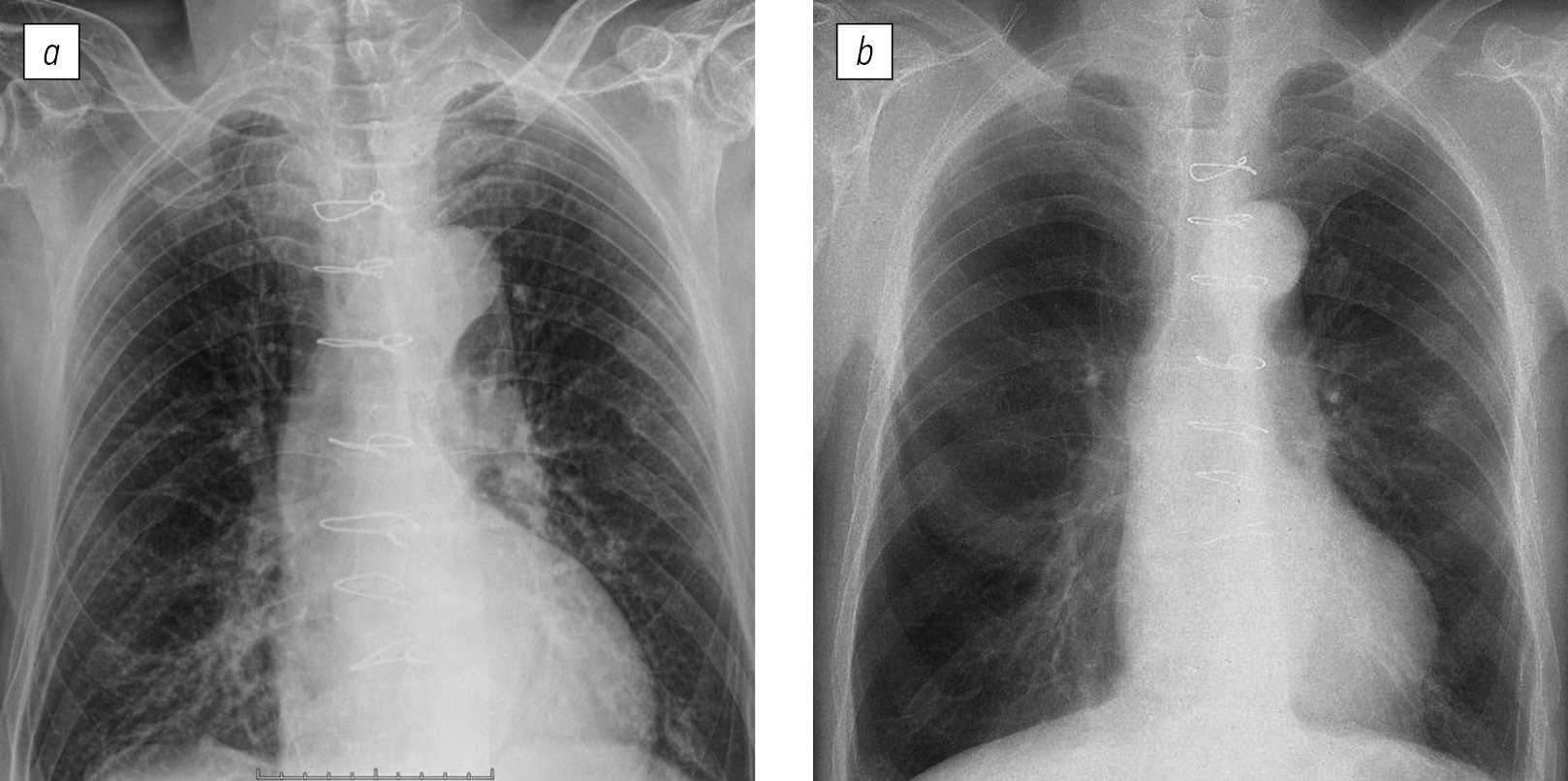
Длительность госпитализации пациентов с интоксикацией тяжелой степени составила 4 [4; 6] сут, средней степени — 4 [2; 5, 7] сут, легкой степени — 3 [2; 5, 5] сут. Значимых различий по длительности госпитализации пациентов в зависимости от степени тяжести состояния, определенного по рассчитанной начальной концентрации карбоксигемоглобина в крови, выявлено не было. Доля пациентов, у которых выявили интерстициальные изменения в легких, значимо не зависела от степени тяжести состояния (табл. 1). Так, у пациентов с тяжелой (рис. 1) и легкой (рис. 2) степенью состояния определены сходные интерстициальные изменения в тканях легких на рентгенограммах органов грудной клетки. В то же время у 37 ± 15% пациентов в тяжелом состоянии интерстициальных изменений в тканях легких при анализе рентгенограмм органов грудной клетки выявлено не было (рис. 3).
Рис. 1. Рентгенограммы органов грудной клетки в прямой проекции пациента А (57 лет, рассчитанная начальная концентрация карбоксигемоглобина в крови 56%, тяжелая степень интоксикации), выполненные на 1-е (а) и 9-е (b) сутки после поступления.
Fig. 1. X-rays of the chest organs in the direct projection of patient A (57 years old, the calculated initial concentration of carboxyhemoglobin in the blood is 56%, corresponds to a severe degree of intoxication), performed on days 1 (а) and 9 (b) after admission.
Рис. 2. Рентгенограммы органов грудной клетки в прямой проекции пациента В (39 лет, рассчитанная начальная концентрация карбоксигемоглобина в крови 15%, легкая степень интоксикации), выполненные на 1-е (а) и 4-е (b) сутки после поступления.
Fig. 2. X-rays of the chest organs in the direct projection of patient B (39 years old, calculated initial concentration of carboxyhemoglobin in the blood is 15%, corresponds to a mild degree of intoxication), performed on days 1 (а) and 4 (b) after admission.
Рис. 3. Рентгенограмма органов грудной клетки в прямой проекции пациента С (36 лет, рассчитанная начальная концентрация карбоксигемоглобина в крови 64%, тяжелая степень интоксикации), выполненная на 1-е сутки после воздействия химического фактора пожара. Патологических изменений не выявлено.
Fig. 3. X-ray of the chest organs in the direct projection of patient С (36 years old, the calculated initial concentration of carboxyhemoglobin in the blood is 64%, corresponds to a severe degree of intoxication), performed on day 1 after exposure to the chemical factor of fire. No pathological changes were detected.
У 47 ± 7% пациентов были выявлены интерстициальные изменения в тканях легких: усиление легочного рисунка за счет сосудистого компонента, очаги консолидации легочной ткани. При анализе рентгенограмм таких пациентов в динамике отметили нормализацию легочного рисунка и регресс очагов консолидации (рис. 1, 2). Длительность госпитализации пациентов с выявленными изменениями на рентгенограммах составила 5 [4; 8] сут, без интерстициальных изменений (53 ± 7%) — 3 [2; 5] сут.
Длительность госпитализации пациентов с выявленными интерстициальными изменениями в тканях легких была выше (p = 0,03) по сравнению с пациентами, у которых подобных изменений обнаружено не было. При этом отмечена умеренная корреляция (r = 0,31, p < 0,05) между длительностью госпитализации и наличием интерстициальных изменений в тканях легких, определенных на рентгенограммах органов грудной клетки, выполненной в первые сутки после поступления.
Обсуждение
Спектр токсичных веществ, образующихся на пожаре, весьма разнообразен и в первую очередь зависит от исходной структуры материала, подвергшегося горению [9]. Широкое применение современных синтетических материалов (строительные, термоизоляционные, отделочные и прочие) приводит к расширению спектра токсичных продуктов горения и изменению проявлений токсического процесса у пострадавших, подвергшихся воздействию химического фактора пожара.
В выполненном ретроспективном исследовании установлено, что сходные изменения интерстициального характера в тканях легких, выявленные при проведении рентгенографии, присутствовали у пациентов с поражением различной степени тяжести, определенной по рассчитанной начальной концентрации карбоксигемоглобина в крови. При этом частота встречаемости таких изменений не зависела от степени тяжести интоксикации; у части пациентов с тяжелой и средней степенью тяжести интоксикации интерстициальных изменений в тканях легких выявлено не было. Таким образом, обнаруженные интерстициальные изменения в тканях легких не связаны с интоксикацией монооксидом углерода и проявлениями сосудистой недостаточности вследствие формирования гемической гипоксии.
Выявленные изменения в тканях легких могут быть связаны с комбинированным термическим и ингаляционным воздействием газо-аэрозольного комплекса, содержащего вещества, обладающие пульмонотоксическим действием [5, 9]. Источником веществ пульмонотоксического действия в атмосфере пожара может быть горение хлорсодержащих полимеров или хлорсодержащих антипиренов, входящих в состав материалов, широко используемых при строительстве и ремонте жилых зданий и сооружений. При их горении происходит реакция дегидрохлорирования, сопровождающаяся выделением в атмосферу пожара хлороводорода [2], обладающего пульмонотоксическим действием [5].
Таким образом, тяжесть состояния пациентов, подвергшихся воздействию химического фактора пожара, обусловлена не только интоксикацией монооксидом углерода, но и нарушениями со стороны дыхательной системы, вызванными продуктами горения, обладающими пульмонотоксическим действием. Выявлена умеренная корреляция (r = 0,31, p < 0,05) и значимое увеличение длительности госпитализации у пациентов с интерстициальными изменениями на рентгенограммах органов грудной полости в течение первых суток после поступления.
Заключение
Результаты проведенного ретроспективного исследования свидетельствуют, что тяжесть состояния пациентов, подвергшихся воздействию продуктов горения, образующихся на пожаре, не всегда соответствует начальной концентрации карбоксигемоглобина в крови. При определении степени тяжести состояния пациентов, подвергшихся воздействию химического фактора пожара, следует уделять внимание не только концентрации карбоксигемоглобина в крови, но и наличию интерстициальных изменений в тканях легких, определенных при проведении рентгенографии органов грудной полости в первые сутки после поступления. Наличие интерстициальных изменений в тканях легких, выявленных при проведении рентгенологического исследования, следует рассматривать в качестве неблагоприятного прогностического признака и учитывать при организации оказания медицинской помощи пострадавшим, подвергшимся воздействию химического фактора пожара.
Дополнительная информация
Источники финансирования. Исследование не имело финансовой поддержки.
Конфликт интересов. Авторы декларируют отсутствие явных и потенциальных конфликтов интересов, связанных с публикацией настоящей статьи.
Этическая экспертиза. Исследование одобрено локальным этическим комитетом ФГБВОУ ВО «Военно-медицинская академия имени С.М. Кирова» МО РФ (протокол № 217 от 25.12.2020).
Вклад авторов. Все авторы внесли существенный вклад в разработку концепции, проведение исследования и подготовку статьи, прочли и одобрили финальную версию перед публикацией.
Наибольший вклад распределен следующим образом: П.Г. Толкач — концепция и дизайн исследования, сбор материала и обработка данных, написание текста; О.А. Кузнецов, Д.Ю. Анохин — сбор материала и обработка данных, редактирование текста; А.Н. Лодягин, С.В. Гайдук — редактирование текста; В.А. Башарин — концепция и дизайн исследования, редактирование текста.
Additional information
Funding source: The study had no financial support.
Competing interests: The authors declare that they have no competing interests.
Ethics approval: The study was approved by the local Ethics Committee of the Kirov Military Medical Academy of the Ministry of Defense of the Russian Federation (Protocol No. 217 dated 25.12.2020).
Author contribution: All authors made a substantial contribution to the conception of the study, acquisition, analysis, interpretation of data for the work, drafting and revising the article, final approval of the version to be published and agree to be accountable for all aspects of the study.
Personal contribution of each author: P.G. Tolkach: research concept and design, material collection and data processing, text writing; O.A. Kuznetsov, D.Yu. Anokhin: material collection and data processing, text editing; A.N. Lodiagin, S.V. Gaiduk: text editing; V.A. Basharin: research concept and design, text editing.
About the authors
Pavel G. Tolkach
Kirov Military Medical Academy
Author for correspondence.
Email: pusher6@yandex.ru
ORCID iD: 0000-0001-5013-2923
MD, Dr. Sci. (Medicine), Deputy Head of the Department of Military Toxicology and Medical Protection
Russian Federation, Saint PetersburgOleg A. Kuznetsov
Janelidze Saint Petersburg Institute of Emergency Care
Email: kuznetcov_dr@inbox.ru
ORCID iD: 0000-0002-1275-9570
SPIN-code: 4656-5700
MD, Cand. Sci. (Medicine), Head of the Department of Toxicological Intensive Care
Russian Federation, Saint PetersburgDmitry Yu. Anokhin
Kirov Military Medical Academy
Email: damixon@mail.ru
ORCID iD: 0000-0003-4499-066X
SPIN-code: 6186-5543
MD, Cand. Sci. (Medicine), Lecturer at the Department of Radiology and Radiology with a Course of Ultrasound Diagnostics
Russian Federation, Saint PetersburgAlexey N. Lodyagin
Janelidze Saint Petersburg Institute of Emergency Care
Email: alodyagin@mail.ru
ORCID iD: 0000-0002-8672-2906
SPIN-code: 4886-8890
MD, Dr. Sci. (Medicine), Associate Professor, Head of the Center for Toxicology
Russian Federation, Saint PetersburgSergey V. Gayduk
Kirov Military Medical Academy
Email: gaiduksergey@mail.ru
ORCID iD: 0000-0003-1524-9493
SPIN-code: 8602-4922
MD, Dr. Sci. (Medicine), Assistant Professor, Deputy Head of the Department of Military Field Therapy
Russian Federation, Saint PetersburgVadim A Basharin
Kirov Military Medical Academy
Email: basharin1@mail.ru
ORCID iD: 0000-0001-8548-6836
SPIN-code: 4671-8386
MD, Dr. Sci. (Medicine), Professor, Head of the Department of Military Toxicology and Medical Protection
Russian Federation, Saint PetersburgReferences
- Tolkach PG, Lodyagin AN, Basharin VA, et al. Analysis of the structure of fire victims in St. Petersburg and Leningrad Region in 2021. Medline.ru. 2023;24(49):667–675. (In Russ.) EDN: QQOGPY
- Madorsky S. Thermal degradation of organic polymers. Transl. from Engl. Ed. by S.R. Rafikov. Moscow: Mir; 1967. 328 p. (In Russ.)
- Sagin P. Heat insulation made of foamed polyurethane is it innovate insulation or chemically hazardous material? Krovel’nye i izolyacionnye materialy. 2014;(4):18–19. (In Russ.) EDN: THVGQZ
- Federal clinical guidelines. Toxic effect of carbon monoxide. Toxic effect of other gases fumes and vapors. 2020. (In Russ.)
- Basharin VA, Chepur SV, Tolkach PG, et al. Toxicology of combustion products of polymeric materials. Study guide. Saint Petersburg: Levsha; 2022. 104 p. (In Russ.)
- Zobnin YuV, editor. Carbon monoxide poisoning (carbon monoxide). Saint Petersburg: Tactic Studio; 2011. 79 p. (In Russ.)
- Hampson NB, Hauff NM. Carboxyhemoglobin levels in carbon monoxide poisoning: do they correlate with the clinical picture? Am J Emerg Med. 2008;26(6):665–669. doi: 10.1016/j.ajem.2007.10.005
- Alexandrov NP. Selection of the experimental animals for developing standards for carbon monoxide. Hygiene and sanitation. 1973;38(1):92–95. (In Russ.)
- Trishkin DV, Chepur SV, Basharin VA, et al. Pulmonotoxicyty of synthetic polymers combustion products. Siberian Scientific Medical Journal. 2018;38(4):114–120. (In Russ.) EDN: XWBYQH doi: 10.15372/SSMJ20180415
Supplementary files





