Morphological peculiarities of regeneration phases and dynamics of growth factor levels at using 2-ethyl-6-methyl-3-hydroxypyridinium n-acetyl-6-aminohexanoate for rat skin burns repairation
- Authors: Petrovskaya M.A.1, Petrova M.B.1, Andrianova E.V.1, Egorova E.N.1
-
Affiliations:
- Tver State Medical University
- Issue: Vol 23, No 3 (2023)
- Pages: 21-29
- Section: Original research
- Published: 30.11.2023
- URL: https://journals.eco-vector.com/MAJ/article/view/606647
- DOI: https://doi.org/10.17816/MAJ606647
- ID: 606647
Cite item
Abstract
BACKGROUND: It was found that new derivatives of acexamic acid — N-acetyl-6-aminohexanoate of silver and 2-ethyl-6-methyl-3-hydroxypyridinium N-acetyl-6-aminohexanoate stimulate regeneration and mineralization of bone tissues in osteoporosis. However, to date, the effect of 2-ethyl-6-methyl-3-hydroxypyridinium N-acetyl-6-aminohexanoate on the features of reparative histogenesis and the relationship of its stages with the levels of growth factors in regenerating tissues during skin restoration after thermal burn has not been studied.
AIM: To estimate the morphology dynamics of skin burn healing and its relationship with the levels of vascular endothelial growth factor and basic fibroblast growth factor growth factors in rat regenerating tissues to characterize the reparative properties of 2-ethyl-6-methyl-3-hydroxypyridinium N-acetyl-6-aminohexanoate.
MATERIALS AND METHODS: 63 nonlinear rats were used to establish thermal burn wound model according to standard methodics. Burn wounds of the experimental group animals were treated with 2% ointment of 2-ethyl-6-methyl-3-hydroxypyridinium N-acetyl-6-aminohexanoate daily, control group 1 — the burns were not treated, control group 2 — ointment base was applied daily. Morphological examinations of regenerating tissues from the burn area were carried out on days 7, 14 and 21 of the experiment after standard sample preparation. The concentrations of growth factors in homogenates of regenerating tissues were determined by Enzyme Immunoassay.
RESULTS: The inflammation phase is characterized by vascular endothelial growth factor active production and release from cells and morphologically accompanied by early neovasculogenesis in granulation tissue and significant differences in its thickness in rats of the experimental group. During the proliferation phase, activation of fibroblast reproduction and differentiation was associated with an increase in basic fibroblast growth factor levels and the maintenance of elevated vascular endothelial growth factor levels in all groups, especially high in experimental group rats. The epithelialization phase was accompanied by a statistically significant decrease in the content of basic fibroblast growth factor and vascular endothelial growth factor in regenerating skin tissues by 1.9 and 1.8 times, respectively, in comparison with the control groups.
CONCLUSIONS: The obtained experimental data indicate 2% ointment with 2-ethyl-6-methyl-3-hydroxypyridinium N-acetyl-6-aminohexanoate has a reparative potential, as evidenced by the accelerated reduction both the area of burn defects and the average time for their healing in the experimental group compared to the control groups.
Keywords
Full Text
Список сокращений
VEGF, vascular endothelial growth factor — cосудистый эндотелиальный фактор роста; bFGF, basic fibroblast growth factor — основной фактор роста фибробластов; 2-Э-6-М-3-ГП N-А-6-АГ — 2-этил-6-метил-3-гидроксипиридиния N-ацетил-6-аминогексаноат.
Обоснование
Высокая популяционная частота травм кожи различной этиологии, в том числе термических ожогов, делает актуальным продолжающийся поиск эффективных средств, стимулирующих их репарацию. В ряде публикаций отмечаются положительные результаты воздействия на процессы репаративной регенерации в тканях и органах ацексамовой кислоты и ее производных [1–3]. Установлено [4], что новые производные ацексамовой кислоты — N-ацетил-6-аминогексаноат серебра и 2-этил-6-метил-3-гидроксипиридиния N-ацетил-6-аминогексаноат (2-Э-6-М-3-ГП N-А-6-АГ) стимулируют регенерацию и минерализацию костной ткани при остеопорозе. Исследование Е.В. Андриановой и соавт. [5] посвящено оценке роли биохимических механизмов — оксидативного стресса и уровня металлопротеиназ в реализации прорегенераторного потенциала 2-Э-6-М-3-ГП N-А-6-АГ при заживлении термических ожогов кожи.
Однако до настоящего времени остается не изученным влияние 2-Э-6-М-3-ГП N-А-6-АГ на особенности репаративного гистогенеза и взаимосвязь его стадий с уровнями факторов роста в регенерирующих тканях при восстановлении кожи после термического ожога.
В связи с этим представляет научный интерес исследование морфологии фаз регенерации и динамики показателей сосудистого эндотелиального фактора роста (VEGF) и основного фактора роста фибробластов (bFGF), которые индуцируют ангиогенез и репарацию тканей [6].
Цель работы — морфологическая оценка динамики заживления ожоговых ран кожи у крыс и ее взаимосвязь с уровнями факторов роста VEGF и bFGF в регенерирующих тканях для характеристики регенераторного потенциала 2-Э-6-М-3-ГП N-А-6-АГ.
Материалы и методы
Исследование выполнено на 63 лабораторных нелинейных крысах массой 180–200 г. в соответствии с Директивой Европейского парламента и Совета Европейского Союза 2010/63/ЕС от 22 сентября 2010 г. о защите животных, использующихся для научных целей, Приказом № 199н Минздрава России от 1 апреля 2016 г. «Об утверждении правил надлежащей лабораторной практики» и разрешением локального Этического комитета ФГБОУ ВО ТГМУ Минздрава России (протокол № 4 от 09 марта 2023 г.). Все манипуляции с крысами проводили по требованиям гуманного обращения с лабораторными животными [7].
После депиляции кожи в межлопаточной области крысам моделировали термический ожог площадью 225 мм2 контактным способом под общей анестезией (Золетил-100 в дозе 8 мг/кг внутримышечно) [8, 9] с помощью прикладывания стального трафарета (температура накаливания 240 °С, экспозиция 8 с). 2-Э-6-М-3-ГП N-А-6-АГ синтезирован в отделе химии и технологии синтетических лекарственных средств АО «ВНЦ БАВ» (г. Старая Купавна) и любезно предоставлен руководителем отдела лауреатом Государственной премии Российской Федерации, д-м хим. наук, профессором С.Я. Скачиловой. В эксперименте использовали 2 % гомогенную мазь с 2-Э-6-М-3-ГП N-А-6-АГ, приготовленную на основе полиэтиленгликоля (на 100 г): 2,0 г 2-Э-6-М-3-ГП N-А-6-АГ, 10,0 г поливинилового спирта, 5,0 г полиэтиленгликоля (ПЭГ 400), 83,0 г воды. В зависимости от местного воздействия крысы были разделены на три группы по 21 животному: в контрольной группе 1 область ожога не обрабатывали, но имитировали аппликации мази, наблюдая спонтанное течение заживления кожи; крысам контрольной группы 2 на дефект ежедневно наносили мазевую основу (полиэтиленгликоль, поливиниловый спирт, вода); животным опытной группы — 2 % мазь с 2-Э-6-М-3-ГП N-А-6-АГ. Аппликации мази и мазевой основы начинали со вторых суток и продолжали до завершения эксперимента.
Материалом для морфологического исследования служили регенерирующие ткани, иссеченные из зоны термического поражения у животных на 7, 14 и 21-е сутки эксперимента. Образцы подвергали пробоподготовке по стандартным протоколам и окрашивали гематоксилином и эозином по общепринятым методикам [10, 11]. Количественную оценку структур регенерата (высота струпа, лейкоцитарного вала, толщина грануляционной ткани, пограничной зоны эпителия и протяженность эпителиального клина) проводили путем микроскопической морфометрии с использованием микроскопа Eclipse E200 (Nikon, Япония) с видеокамерой Infinity 2 (Lumenera Corp., Канада) и программы «Морфометрический анализ» (ООО «АргусСофт», Россия).
Для изготовления гомогенатов из зоны раневых дефектов хирургическими ножницами получали стандартные биоптаты регенерирующих тканей и помещали их в пластиковые микропробирки типа Эппендорф (ROLL s.a.s., Италия) с 1,8 мл изотонического раствора натрия хлорида. Изготовление гомогенатов тканей производили в гомогенизаторе Minilys (Bertin Technologies, Франция).
Концентрацию факторов роста в гомогенатах регенерирующих тканей определяли методом иммуноферментного анализа с использованием тест-систем Rat bFGF (Ray Biotech, Inc., США) и Quantikine® ELISA Rat VEGF Immunoassay (R&D Systems, Inc., США).
Концентрацию общего белка в супернатантах гомогенатов регенерирующих тканей определяли фотометрически биуретовым методом [12]. В работе использовали набор реагентов для определения общего белка производства АО Диакон-ДС (Россия). Концентрации специфических белков, изученных в настоящей работе, нормализовали по содержанию общего белка в гомогенатах тканей и выражали в пикограммах на мг белка (пг/мг белка).
После получения биологического материала животных выводили из эксперимента в соответствии с правилами эвтаназии.
Статистический анализ полученных данных выполняли с помощью программы IBM® SPSS® Statistcs 23.0 IBM Corporation (США). Количественные данные представлены в виде среднего арифметического и стандартного отклонения. Статистическую значимость разности средних в двух группах оценивали с помощью критериев Стьюдента или Манна – Уитни, в трех группах — с помощью однофакторного дисперсионного анализа или критерия Краскела – Уоллиса в зависимости от типа распределения полученных количественных данных. Различия между показателями в группах считали статистически значимыми при p < 0,05.
Результаты
Результаты наших исследований показали, что 2-Э-6-М-3-ГП N-А-6-АГ в виде 2 % мази обладает репаративным потенциалом, о чем свидетельствует ускоренное сокращение площади ожоговых дефектов (табл. 1) и уменьшение средних сроков их заживления.
Таблица 1. Динамика сокращения площади дефектов кожи крыс при регенерации термического ожога
Table 1. Dynamics of reduction of the area of skin defects in rats during thermal burn regeneration
Группы животных | Площадь дефекта кожи ( ± SD), мм2 | ||
7-е сутки | 14-е сутки | 21-е сутки | |
Контрольная 1 | 217,3 ± 13,3 | 130,2 ± 14,7 | 46,3 ± 8,30 |
Контрольная 2 | 207,2 ± 8,3 | 127,1 ± 13,3 | 35,7 ± 15,6 |
Опытная | 174,5 ± 7,9* | 44,5 ± 10,7* | 0 (рубец)* |
* Различие статистически значимо (р < 0,05) между показателем у животных опытной и контрольных групп 1 и 2.
Через 7 дней после моделирования ожога площадь термотравмы у крыс контрольных групп 1 и 2 составила 217,3 ± 13,3 и 207,2 ± 8,3 мм2 соответственно, к 14-м суткам она сократилась до 57 и 56 % от исходной величины. К завершению наблюдения (21-й день) у животных этих групп еще сохранялся раневой дефект, составляющий 20,5 и 15,8 % от первоначального значения. В опытной группе животных аппликации мази с 2-Э-6-М-3-ГП N-А-6-АГ потенцировали репаративные процессы, что проявлялось в достоверно (р < 0,05) активном сокращении площади ареала ожоговой раны, которая на 7-е сутки составила 77,5 %, на 14-е сутки — 20,1 % от исходного размера, а к 21-м суткам эксперимента на месте бывшего дефекта определялся лишь небольшой рубец.
Гистологический анализ микропрепаратов тканей из области термического повреждения показал, что смена фаз регенерационного гистогенеза у животных трех изучаемых групп носила стереотипный характер, однако морфологически и морфометрически были выявлены отличия в их осуществлении.
У животных опытной группы было установлено ускоренное по сравнению с контрольными течение всех фаз репарации. На 7-е сутки наблюдения (фаза воспаления) область дефекта покрыта тонким струпом, который спаян с подлежащими тканями лишь в центральной части. Толщина струпа была значительно меньше, чем у животных контрольных групп 1 и 2 в данный период исследования, и составляла 257,3 ± 1,2 мкм против 368,5 ± 19,7 и 310,6 ± 5,6 мкм соответственно (табл. 2). Лейкоцитарный вал почти не определялся, его толщина в 1,3 раза меньше, чем у крыс обеих контрольных групп, что свидетельствует о стихании воспалительного процесса.
Таблица 2. Морфометрические параметры структур регенерата кожи крыс в динамике эксперимента
Table 2. Morphometric parameters of rat skin regenerate structures in the dynamics of the experiment
Группы животных | Показатели, ± SD | ||||
толщина струпа | лейкоцитарный вал | грануляционная ткань | эпителий | ||
протяженность | на границе | ||||
7-е сутки | |||||
Контрольная 1 | 367,9 ± 15,7 | 142,8 ± 7,4 | 484,7 ± 12,9 | 386,3 ± 14,4 | 20,5 ± 6,6 |
Контрольная 2 | 325,1 ± 14,7 | 131,2 ± 6,1 | 501,5 ± 14,0 | 401,3 ± 15,7 | 22,6 ± 6,4 |
Опытная | 233,5 ± 14,4*, # | 117,7 ± 12,2* | 604,2 ± 13,0*, # | 568,1 ± 22,2*, # | 35,0 ± 7,2 |
14-е сутки | |||||
Контрольная 1 | 213,7 ± 13,6 | 88,1 ± 10,5 | 786,1 ± 14,6 | 601,2 ± 15,0 | 38,7 ± 7,1 |
Контрольная 2 | 203,8 ± 10,2 | 79,9 ± 7,4 | 798,2 ± 10,2 | 610,9 ± 19,3 | 42,8 ± 11,5 |
Опытная | 56,1 ± 12,1*, # | 20,1 ± 6,4*, # | 904,5 ± 12,0*, # | 715,9 ± 14,5*, # | 61,7 ± 10,2 |
* Различие статистически значимо (р < 0,05) между показателем у животных опытной и контрольных групп 1 и 2; # различие статистически значимо (р < 0,05) между соответствующими показателями у животных группы по сравнению с предыдущим сроком эксперимента.
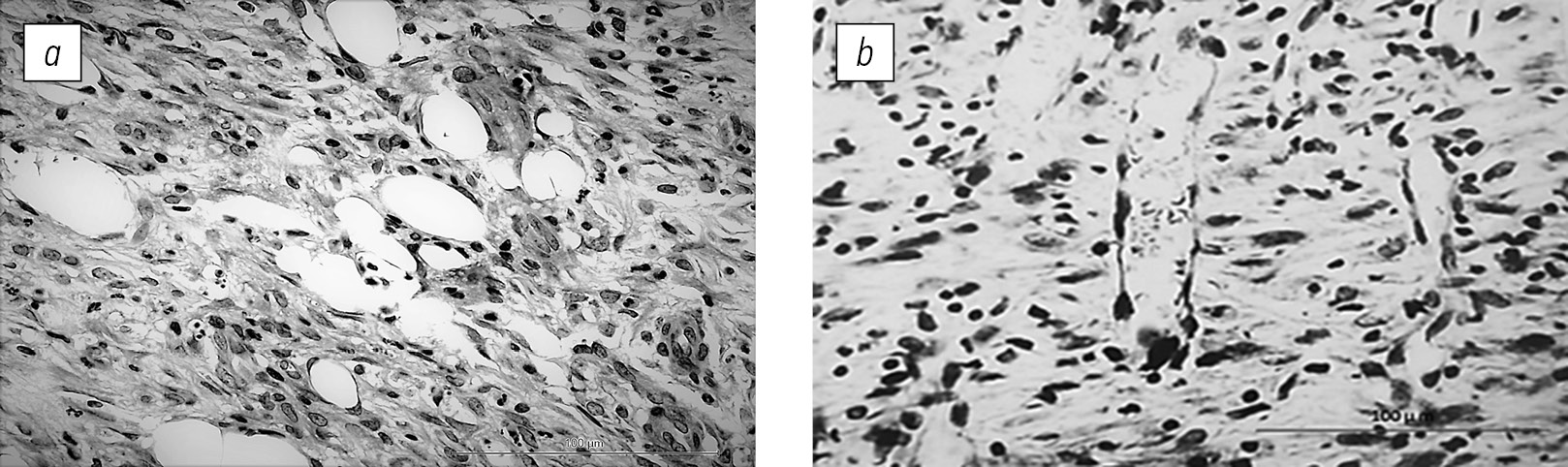
Под действием мази дебютные изменения связаны с активной миграцией клеток в область раны и последующей интенсификацией процессов дифференцировки клеточного компонента. К этому сроку наблюдения раневой дефект практически полностью заместился грануляционной тканью, отмечалось появление краевой эпителизации. На высокую степень зрелости грануляционной ткани указывало присутствие помимо популяции клеток воспаления горизонтально ориентированных фибробластов и интенсивное новообразование капилляров (рис. 1).
Рис. 1. Гистологическая структура грануляционной ткани через 7 дней после моделирования ожога: а — контрольная группа 1; b — опытная группа. Окраска гематоксилином и эозином. Ок. 10, об. 60
Fig. 1. Histological structure of granulation tissue 7 days after burn modeling: a — control group 1; b — experimental group. Staining hematoxylin and eosin. Ok. 10, vol. 60
К 14-м суткам эксперимента в области ожогового поражения у опытной группы животных отмечался равномерный тонкий струп (толщина 172,7 ± 4,12 мкм, что достоверно меньше, чем в обеих контрольных группах) и пролиферирующий пласт эпителия, который нарастал под струп по всей зоне пораженной поверхности кожи. Область дефекта была заполнена грануляционной тканью, с признаками преобладания пролиферативных процессов и активной перестройки в развитую соединительную ткань (рис. 2), а именно с резорбцией капилляров, значительным ростом фибробластов, более ранним появлением коллагеновых волокон и преобладанием среди них горизонтально направленных.
Рис. 2. Гистологическая структура центральной зоны регенерата через 14 дней после моделирования ожога: а — контрольная группа 1; b — опытная группа. Окраска гематоксилином и эозином. Ок. 10, об. 60
Fig. 2. Histological structure of the central regenerate zone 14 days after the burn simulation: a — control group 1; b — experimental group. Staining hematoxylin and eosin. Ok. 10, vol. 60
Морфометрически были выявлены статистически значимые различия между сравниваемыми группами и в фазе пролиферации (14-е сут). Причем в ходе смены фаз посттравматической регенерации толщина струпа и лейкоцитарного вала уменьшалась, а толщина грануляционной ткани, новообразованного эпителия и его протяженность увеличивались (табл. 2).
На 21-е сутки наблюдения макроскопически место дефекта у крыс контрольных групп еще хорошо просматривалось, сохранялись фрагменты струпа, тогда как у животных опытной группы этот участок практически неотличим от неповрежденной кожи. Эпителизация области бывшего ожога у мазь-индуцированных животных завершилась в среднем на 2,2 сут раньше в сравнении контрольными группами. Микроскопически на 21-е сутки наблюдался рост регенерирующего эпителия по всей площади дефекта с образованием производных кожи в отличие от слабодифференцированного эпителия в группах контроля (рис. 3).
Рис. 3. Область бывшего дефекта через 21 день после моделирования ожога: а — контрольная группа 1; b — опытная группа. Окраска гематоксилином и эозином. Ок. 10, об. 20
Fig. 3. The area of the former defect 21 days after the simulation of the burn: a — control group 1; b — experimental group. Staining hematoxylin and eosin. Ok. 10, vol. 20
Поскольку морфологические изменения в тканях всегда обусловлены их функциональным состоянием [13], нами было изучено содержание в регенерирующих структурах кожи уровней bFGF и VEGF.
Динамика уровней bFGF и VEGF в гомогенатах регенерирующих тканей термических ожогов кожи крыс представлена в табл. 3.
Таблица 3. Уровни факторов роста в гомогенатах тканей в динамике регенерации термического ожога кожи крыс
Table 3. Levels of growth factors in tissue homogenates in the dynamics of thermal burn regeneration of rat skin
Группы животных | Показатели, ± SD | |
bFGF, пг/мг белка | VEGF, пг/мг белка | |
7-е сутки | ||
Контрольная 1 | 25,90 ± 1,60 | 97,0 ± 13,9 |
Контрольная 2 | 22,90 ± 0,99 | 102,1 ± 16,4 |
Опытная | 30,30 ± 1,49* | 141,2 ± 15,5* |
14-е сутки | ||
Контрольная 1 | 51,00 ± 2,73# | 118,60 ± 9,35 |
Контрольная 2 | 42,10 ± 3,30# | 100,2 ± 12,5 |
Опытная | 84,80 ± 3,90*, # | 113,0 ± 12,4 |
21-е сутки | ||
Контрольная 1 | 22,00 ± 0,93# | 66,30 ± 3,43#, ! |
Контрольная 2 | 25,30 ± 1,41# | 72,30 ± 6,88#, ! |
Опытная | 12,70 ± 1,07*, #, ! | 39,80 ± 3,56*, #, ! |
* Различие статистически значимо (р < 0,05) между показателями у животных опытной группы и контрольных групп 1 и 2; # различие статистически значимо (р < 0,05) между соответствующими показателями у животных группы по сравнению с предыдущим сроком эксперимента; ! различие статистически значимо (р < 0,05) между соответствующими показателями у животных группы на третьей неделе эксперимента по сравнению с первой неделей.
В фазу воспаления (7-е сут) уровни bFGF и VEGF в регенерирующих тканях кожи крыс опытной группы достоверно превышали этот показатель в контрольных группах 1 и 2 соответственно на 14,5, 24,4 % и на 31,3, 27,7% (везде р < 0,05).
В фазе пролиферации к концу второй недели эксперимента происходило повышение концентрации bFGF у всех исследуемых крыс, но особенно выраженно — у животных опытной группы, у которых содержание этого цитокина по сравнению с контрольными группами 1 и 2 было выше на 39,9 и 50,1 % соответственно (р < 0,05). В этот срок наблюдения (14-е сутки) различий в содержании VEGF в регенерирующих тканях кожи животных опытной и контрольных групп не обнаружено (p > 0,05).
К моменту завершения репарации (21-е сутки) концентрации обоих исследуемых факторов роста в регенерирующих тканях кожи снизились во всех группах животных, но особенно выраженные изменения наблюдались в опытной группе: уровень bFGF был на 42,3 и 49,8 % ниже, а уровень VEGF — на 39,9 и 44,9 % ниже, чем в контрольных группах 1 и 2 соответственно (р < 0,05).
Концентрации bFGF и VEGF в гомогенатах регенерирующих тканей кожи животных обеих контрольных групп статистически значимо не отличались во все сроки эксперимента.
Сравнение содержания bFGF и VEGF в гомогенатах регенерирующих тканей кожи в каждой исследуемой группе животных в разные фазы раневого процесса по сравнению с предыдущей фазой показало однонаправленность изменений концентрации факторов роста, но выявило различия по достоверности уровней этих изменений в контрольных и опытной группах.
Так, повышение уровня bFGF в фазе пролиферации и его снижение к 21-м суткам эксперимента было достоверным у животных всех исследуемых групп. Однако только в опытной группе животных уровень bFGF на 21-е сутки наблюдения был статистически значимо ниже такового к 7-м суткам эксперимента.
Уровни VEGF в гомогенатах регенерирующих тканей кожи крыс всех групп к 14-м суткам эксперимента достоверно не отличались от таковых на предыдущем сроке эксперимента.
В завершающий срок эксперимента было выявлено статистически значимое снижение уровня VEGF в гомогенатах регенерирующих тканей кожи всех групп животных, а также значения этого фактора роста были достоверно ниже по сравнению таковыми на 7-е сутки эксперимента.
Обсуждение
В проведенных нами исследованиях морфология раневого процесса и динамика факторов роста в контрольных группах не имели существенных различий, следовательно, обнаруженный эффект индукции заживления ожогов определяется действием мази с 2-Э-6-М-3-ГП N-А-6-АГ, которое особенно выражено в фазах воспаления и пролиферации. Дебютная фаза (воспаления) характеризовалась активной продукцией и высвобождением из клеток проангиогенных факторов, в первую очередь VEGF, что морфологически проявилось более ранним неоваскулогенезом в новообразованной грануляционной ткани, а также достоверными различиями показателей толщины грануляционной ткани у крыс опытной группы.
Отмеченные в фазе пролиферации особенности морфогенеза — активация пролиферации и дифференцировки клеток фибробластического ряда, синтезирующих коллаген, ассоциированы с возрастанием уровня bFGF и сохранением повышенного уровня VEGF во всех группах, особенно высоким у крыс, получавших аппликации мази. Это проявлялось стимулирующим влиянием на активность соединительной ткани — более ранней заменой клеток воспалительного ряда на фибробласты, ускорением трансформации грануляционной ткани в зрелую соединительную, характеризующейся редукцией капилляров.
Фаза эпителизации сопровождалась статистически значимым снижением содержания bFGF и VEGF в регенерирующих тканях кожи. Причем в опытной группе животных концентрация обоих факторов роста в 1,9 и 1,8 раза была ниже, чем в контрольных группах 1 и 2 соответственно. Перестройка грануляционной ткани в зрелую соединительную стимулировала репарацию эпителия, что подтверждалось морфометрическими и планиметрическими данными.
Выводы
Таким образом, 2 % мазь с 2-Э-6-М-3-ГП N-А-6-АГ обладает репаративным потенциалом, о чем свидетельствует ускоренное сокращение как площади ожоговых дефектов, так и средних сроков их заживления в опытной группе по сравнению с контрольными. Поскольку в опытной группе заживление термических ожогов кожи животных наступило в более ранние сроки и при более низких уровнях bFGF и VEGF в регенерирующих тканях по сравнению с контрольными группами, можно заключить, что для оптимальной репарации тканей кожи в фазе эпителизации характерны низкие уровни изученных факторов роста.
Дополнительная информация
Источник финансирования. Работа выполнена за счет средств ФГБОУ ВО Тверской ГМУ Минздрава России.
Соблюдение этических норм. Выполнение исследования одобрено локальным этическим комитетом ФГБОУ ВО ТГМУ Минздрава России (протокол № 4 от 09 марта 2023 г.).
Конфликт интересов. Авторы заявляют об отсутствии конфликта интересов.
Вклад авторов. Все авторы внесли существенный вклад в разработку концепции, проведение исследования и подготовку статьи, прочли и одобрили финальную версию перед публикацией. Наибольший вклад распределен следующим образом: М.А. Петровская — сбор и обработка материалов, анализ полученных данных, написание текста; М.Б. Петрова — концепция и дизайн исследования, написание текста; Е.В. Андрианова — анализ полученных данных; Е.Н. Егорова — концепция и дизайн исследования, написание текста.
Additional information
Funding source. Financing of work at the expense of funds Tver State Medical University.
Ethical approval. The protocol of the study was approved by the local Ethics Committee of the Federal State Budgetary Educational Institution of the Russian Ministry of Health (No. 4 of 09/03/2023).
Conflict of interest. The authors declare no conflict of interest.
Authors̕ contribution. All authors made significant contributions to concept development, research and paper preparation, read and approved the final version before publication. The largest contribution is distributed as follows: M.A. Petrovskaya — collection and processing of materials, analysis of the received data, writing of the text; M.B. Petrova — concept and design of the study, writing the text; E.V. Andrianova — analysis of the received data; E.N. Egorova — the concept and design of the study, writing the text.
About the authors
Marina A. Petrovskaya
Tver State Medical University
Email: solm1990@mail.ru
ORCID iD: 0000-0003-1193-1778
SPIN-code: 5512-7253
Postgraduate Student, Assistant of the Department of Biology
Russian Federation, TverMargarita B. Petrova
Tver State Medical University
Email: pmargo-2612@mail.ru
ORCID iD: 0009-0004-7620-5958
SPIN-code: 4310-3839
Dr. Sсi. (Biol.), Professor, Head of the Department of Biology
Russian Federation, TverElena V. Andrianova
Tver State Medical University
Email: andrianovaalenav@mail.ru
ORCID iD: 0009-0000-5825-7317
SPIN-code: 3946-9969
Assistant of the Department of Biochemistry
Russian Federation, TverElena N. Egorova
Tver State Medical University
Author for correspondence.
Email: enegor@mail.ru
ORCID iD: 0000-0002-4323-5286
SPIN-code: 5805-8780
MD, Dr. Sci. (Med.), Assistant Professor, Head of the Department of Biochemistry
Russian Federation, TverReferences
- Demidova MA, Popov NS, Malygin AS. Liquid chromatography-tandem mass spectrometry (HPLS-MS-MS) as method for separation and identification of new anti-inflammatory agent from derivatives of thiadiazolilamide. Problems of Biological, Medical and Pharmaceutical Chemistry. 2018;21(4):12–17. (In Russ.) doi: 10.29296/25877313-2018-04-03
- Hadj AN, Baulies A, Bouhlel A, et al. The effect of zinc acexamate on oxidative stress, inflammation and mitochondria induced apoptosis in rat model of renal warm ischemia. Biomed Pharmacother. 2018;105:573–581. doi: 10.1016/j.biopha.2018.06.017
- Blinova E, Pakhomov D, Shimanovsky D, et al. Cerium-containing N-Acetyl-6-aminohexanoic acid formulation accelerates wound reparation in diabetic animals. Biomolecules. 2021;11(6):834. doi: 10.3390/biom11060834
- Patent RU № 2668966/ 05.01.18. Byul. 28. Skachilova SYa, Ermakova GA, Blinova EV, et al. Complex salts of acexamic acid, stimulating the regeneration of bone tissue, accelerating the processes of reparative osteogenesis, stimulating the mineralization of bone tissue in osteoporosis. (In Russ.)
- Andrianova EV, Egorova EN, Petrova MB, Pakhomov MA. Biochemical aspects of the regenerative action of 2-ethyl-6-methyl-3-hydroxypyridine N-acetyl-6-aminohexanoate. Yu.A. Ovchinnikov Bulletin of Biotechnology and Physical and Chemical Biology. 2021;17(1):12–16. (In Russ.)
- Aghdam SY, Eming SA, Willenborg S, et al. Vascular endothelial insulin/IGF-1 signaling controls skin wound vascularization. Biochem Biophys Res Commun. 2012;421(2):197–202. doi: 10.1016/j.bbrc.2012.03.134
- Peretyagin SP, Martusevich AK, Grishina AA, Solovyova AG, Zimin YuV. Laboratory animals in experimental medicine. Nizhny Novgorod: Privolzhsky Research Medical University; 2011. (In Russ.)
- Ogneva NS, Savchenko ES, Taboyakova LA. Anesthesia of female mice during surgical embryo transfer. Journal Biomed. 2021;17(3E):64–69. (In Russ.) doi: 10.33647/2713-0428-17-3E-64-69
- Fine AM, Petukhova MN, Miguleva IYu, Savotchenko AM. Comparative evaluation of two schemes of intramuscular anesthesia in laboratory rats in an experiment. Issues of Reconstructive and Plastic Surgery. 2019;22(2):53–61. (In Russ.) doi: 10.17223/1814147/69/07
- Semchenko VV, Barashkova SA, Nozdrin VI, Artemiev VN. Histological technique: textbook. 3rd ed. Omsk; Oryol: Omsk Regional Publishing House; 2006. (In Russ.)
- Kaskaev AV, Cherdantsev DV, Bolshakov IN. Prospect of application of new wound cover materials in patients with burns. Siberian Medical Review. 2011;68(2):3–6. (In Russ.)
- Klinicheskaya laboratornaya diagnostika (metody i traktovka laboratornykh issledovanii). Ed. by V.S. Kamyshnikov. Moscow: MEDpress-inform; 2022. (In Russ.)
- Makarevich PI, Efimenko AYu, Tkachuk VA. Biochemical regulation of regenerative processes by growth factors and cytokines: basic mechanisms and relevance for regenerative medicine. Biochemistry (Moscow). 2020;85(1):11–26. doi: 10.1134/S0006297920010022
Supplementary files






